Spandidos Publications Logo
  • About
    • About Spandidos
    • Aims and Scopes
    • Abstracting and Indexing
    • Editorial Policies
    • Reprints and Permissions
    • Job Opportunities
    • Terms and Conditions
    • Contact
  • Journals
    • All Journals
    • Oncology Letters
      • Oncology Letters
      • Information for Authors
      • Editorial Policies
      • Editorial Board
      • Aims and Scope
      • Abstracting and Indexing
      • Bibliographic Information
      • Archive
    • International Journal of Oncology
      • International Journal of Oncology
      • Information for Authors
      • Editorial Policies
      • Editorial Board
      • Aims and Scope
      • Abstracting and Indexing
      • Bibliographic Information
      • Archive
    • Molecular and Clinical Oncology
      • Molecular and Clinical Oncology
      • Information for Authors
      • Editorial Policies
      • Editorial Board
      • Aims and Scope
      • Abstracting and Indexing
      • Bibliographic Information
      • Archive
    • Experimental and Therapeutic Medicine
      • Experimental and Therapeutic Medicine
      • Information for Authors
      • Editorial Policies
      • Editorial Board
      • Aims and Scope
      • Abstracting and Indexing
      • Bibliographic Information
      • Archive
    • International Journal of Molecular Medicine
      • International Journal of Molecular Medicine
      • Information for Authors
      • Editorial Policies
      • Editorial Board
      • Aims and Scope
      • Abstracting and Indexing
      • Bibliographic Information
      • Archive
    • Biomedical Reports
      • Biomedical Reports
      • Information for Authors
      • Editorial Policies
      • Editorial Board
      • Aims and Scope
      • Abstracting and Indexing
      • Bibliographic Information
      • Archive
    • Oncology Reports
      • Oncology Reports
      • Information for Authors
      • Editorial Policies
      • Editorial Board
      • Aims and Scope
      • Abstracting and Indexing
      • Bibliographic Information
      • Archive
    • Molecular Medicine Reports
      • Molecular Medicine Reports
      • Information for Authors
      • Editorial Policies
      • Editorial Board
      • Aims and Scope
      • Abstracting and Indexing
      • Bibliographic Information
      • Archive
    • World Academy of Sciences Journal
      • World Academy of Sciences Journal
      • Information for Authors
      • Editorial Policies
      • Editorial Board
      • Aims and Scope
      • Abstracting and Indexing
      • Bibliographic Information
      • Archive
    • International Journal of Functional Nutrition
      • International Journal of Functional Nutrition
      • Information for Authors
      • Editorial Policies
      • Editorial Board
      • Aims and Scope
      • Abstracting and Indexing
      • Bibliographic Information
      • Archive
    • International Journal of Epigenetics
      • International Journal of Epigenetics
      • Information for Authors
      • Editorial Policies
      • Editorial Board
      • Aims and Scope
      • Abstracting and Indexing
      • Bibliographic Information
      • Archive
    • Medicine International
      • Medicine International
      • Information for Authors
      • Editorial Policies
      • Editorial Board
      • Aims and Scope
      • Abstracting and Indexing
      • Bibliographic Information
      • Archive
  • Articles
  • Information
    • Information for Authors
    • Information for Reviewers
    • Information for Librarians
    • Information for Advertisers
    • Conferences
  • Language Editing
Spandidos Publications Logo
  • About
    • About Spandidos
    • Aims and Scopes
    • Abstracting and Indexing
    • Editorial Policies
    • Reprints and Permissions
    • Job Opportunities
    • Terms and Conditions
    • Contact
  • Journals
    • All Journals
    • Biomedical Reports
      • Information for Authors
      • Editorial Policies
      • Editorial Board
      • Aims and Scope
      • Abstracting and Indexing
      • Bibliographic Information
      • Archive
    • Experimental and Therapeutic Medicine
      • Information for Authors
      • Editorial Policies
      • Editorial Board
      • Aims and Scope
      • Abstracting and Indexing
      • Bibliographic Information
      • Archive
    • International Journal of Epigenetics
      • Information for Authors
      • Editorial Policies
      • Editorial Board
      • Aims and Scope
      • Abstracting and Indexing
      • Bibliographic Information
      • Archive
    • International Journal of Functional Nutrition
      • Information for Authors
      • Editorial Policies
      • Editorial Board
      • Aims and Scope
      • Abstracting and Indexing
      • Bibliographic Information
      • Archive
    • International Journal of Molecular Medicine
      • Information for Authors
      • Editorial Policies
      • Editorial Board
      • Aims and Scope
      • Abstracting and Indexing
      • Bibliographic Information
      • Archive
    • International Journal of Oncology
      • Information for Authors
      • Editorial Policies
      • Editorial Board
      • Aims and Scope
      • Abstracting and Indexing
      • Bibliographic Information
      • Archive
    • Medicine International
      • Information for Authors
      • Editorial Policies
      • Editorial Board
      • Aims and Scope
      • Abstracting and Indexing
      • Bibliographic Information
      • Archive
    • Molecular and Clinical Oncology
      • Information for Authors
      • Editorial Policies
      • Editorial Board
      • Aims and Scope
      • Abstracting and Indexing
      • Bibliographic Information
      • Archive
    • Molecular Medicine Reports
      • Information for Authors
      • Editorial Policies
      • Editorial Board
      • Aims and Scope
      • Abstracting and Indexing
      • Bibliographic Information
      • Archive
    • Oncology Letters
      • Information for Authors
      • Editorial Policies
      • Editorial Board
      • Aims and Scope
      • Abstracting and Indexing
      • Bibliographic Information
      • Archive
    • Oncology Reports
      • Information for Authors
      • Editorial Policies
      • Editorial Board
      • Aims and Scope
      • Abstracting and Indexing
      • Bibliographic Information
      • Archive
    • World Academy of Sciences Journal
      • Information for Authors
      • Editorial Policies
      • Editorial Board
      • Aims and Scope
      • Abstracting and Indexing
      • Bibliographic Information
      • Archive
  • Articles
  • Information
    • For Authors
    • For Reviewers
    • For Librarians
    • For Advertisers
    • Conferences
  • Language Editing
Login Register Submit
  • This site uses cookies
  • You can change your cookie settings at any time by following the instructions in our Cookie Policy. To find out more, you may read our Privacy Policy.

    I agree
Search articles by DOI, keyword, author or affiliation
Search
Advanced Search
presentation
Molecular and Clinical Oncology
Join Editorial Board Propose a Special Issue
Print ISSN: 2049-9450 Online ISSN: 2049-9469
Journal Cover
April-2023 Volume 18 Issue 4

Full Size Image

Sign up for eToc alerts
Recommend to Library

Journals

International Journal of Molecular Medicine

International Journal of Molecular Medicine

International Journal of Molecular Medicine is an international journal devoted to molecular mechanisms of human disease.

International Journal of Oncology

International Journal of Oncology

International Journal of Oncology is an international journal devoted to oncology research and cancer treatment.

Molecular Medicine Reports

Molecular Medicine Reports

Covers molecular medicine topics such as pharmacology, pathology, genetics, neuroscience, infectious diseases, molecular cardiology, and molecular surgery.

Oncology Reports

Oncology Reports

Oncology Reports is an international journal devoted to fundamental and applied research in Oncology.

Experimental and Therapeutic Medicine

Experimental and Therapeutic Medicine

Experimental and Therapeutic Medicine is an international journal devoted to laboratory and clinical medicine.

Oncology Letters

Oncology Letters

Oncology Letters is an international journal devoted to Experimental and Clinical Oncology.

Biomedical Reports

Biomedical Reports

Explores a wide range of biological and medical fields, including pharmacology, genetics, microbiology, neuroscience, and molecular cardiology.

Molecular and Clinical Oncology

Molecular and Clinical Oncology

International journal addressing all aspects of oncology research, from tumorigenesis and oncogenes to chemotherapy and metastasis.

World Academy of Sciences Journal

World Academy of Sciences Journal

Multidisciplinary open-access journal spanning biochemistry, genetics, neuroscience, environmental health, and synthetic biology.

International Journal of Functional Nutrition

International Journal of Functional Nutrition

Open-access journal combining biochemistry, pharmacology, immunology, and genetics to advance health through functional nutrition.

International Journal of Epigenetics

International Journal of Epigenetics

Publishes open-access research on using epigenetics to advance understanding and treatment of human disease.

Medicine International

Medicine International

An International Open Access Journal Devoted to General Medicine.

Journal Cover
April-2023 Volume 18 Issue 4

Full Size Image

Sign up for eToc alerts
Recommend to Library

  • Article
  • Citations
    • Cite This Article
    • Download Citation
    • Create Citation Alert
    • Remove Citation Alert
    • Cited By
  • Similar Articles
    • Related Articles (in Spandidos Publications)
    • Similar Articles (Google Scholar)
    • Similar Articles (PubMed)
  • Download PDF
  • Download XML
  • View XML

  • Supplementary Files
    • Supplementary_Data.pdf
Article Open Access

Retrospective analysis of Porphyromonas gingivalis in patients with nasopharyngeal carcinoma in central China

  • Authors:
    • Bianli Gu
    • Yuehui Wang
    • Jianwei Huang
    • Jingyi Guo
    • Lixia Ma
    • Yijun Qi
    • Shegan Gao
  • View Affiliations / Copyright

    Affiliations: Henan Key Laboratory of Microbiome and Esophageal Cancer Prevention and Treatment; Henan Key Laboratory of Cancer Epigenetics, Cancer Hospital, The First Affiliated Hospital (College of Clinical Medicine) of Henan University of Science and Technology, Jianxi, Luoyang, Henan 471003, P.R. China, Department of Otolaryngology, The First Affiliated Hospital of Henan University of Science and Technology, Luoyang, Henan 471003, P.R. China, Department of Pathology, Luoyang Central Hospital Affiliated to Zhengzhou University, Luoyang, Henan 471003, P.R. China, Henan Key Laboratory of Microbiome and Esophageal Cancer Prevention and Treatment; Henan Key Laboratory of Cancer Epigenetics, Cancer Hospital, The First Affiliated Hospital (College of Clinical Medicine) of Henan University of Science and Technology, Jianxi, Luoyang, Henan 471003, P.R. China
    Copyright: © Gu et al. This is an open access article distributed under the terms of Creative Commons Attribution License.
  • Article Number: 32
    |
    Published online on: February 23, 2023
       https://doi.org/10.3892/mco.2023.2628
  • Expand metrics +
Metrics: Total Views: 0 (Spandidos Publications: | PMC Statistics: )
Metrics: Total PDF Downloads: 0 (Spandidos Publications: | PMC Statistics: )
Cited By (CrossRef): 0 citations Loading Articles...

This article is mentioned in:



Abstract

Little is known about the presence and possible role of Porphyromonas gingivalis (P. gingivalis) in nasopharyngeal carcinoma (NPC), its co‑infection with Epstein‑Barr virus (EBV), or their association with clinical characteristics of patients with NPC in Central China, where NPC is non‑endemic. A total of 45 NPC formalin‑fixed paraffin‑embedded (FFPE) tissues were retrospectively analyzed using immunohistochemistry (IHC) and a nested PCR combined with DNA sequencing to detect the presence of P. gingivalis, and using reverse transcription‑quantitative PCR to detect the presence of EBV. Clinical data including EBV and P. gingivalis status were associated with overall survival (OS). All tumors were undifferentiated, non‑keratinizing carcinomas, of which 40/45 (88.9%) were positive for EBV (EBV+), 26/45 (57.8%) were positive for P. gingivalis (by IHC), and 7/45 (15.6%) were positive for P. gingivalis DNA (P. gingivalis+). All seven P. gingivalis DNA‑positive NPCs were co‑infected with EBV. The 5‑year survival rates of the patients with EBV‑/P. gingivalis‑, EBV+/P. gingivalis‑, and EBV+/P. gingivalis+ tumors were 60.0% (3/5), 39.4% (13/33) and 42.9% (3/7), respectively. No significant difference was found between the OS of NPC patients among the different infection groups (P=0.793). In conclusion, to the best of our knowledge, this is the first study to describe and confirm the presence of P. gingivalis in FFPE tissues from patients with NPC. P. gingivalis was found to co‑exist with EBV in NPC tumor tissues, but is not etiologically relevant to NPC in non‑endemic areas, such as Central China.

Introduction

Nasopharyngeal carcinoma (NPC) is an epithelial carcinoma arising from the nasopharyngeal mucosal lining, with >70% of new cases in east and southeast Asia. Although NPC is a relatively rare disease in Northern China (~1-5 per 100,000 individuals per year) (1), incidence remains high in endemic regions of China (2).

Knowledge on the etiology and pathogenesis of NPC is underdeveloped. Multiple factors, including Epstein-Barr virus (EBV) infection, host genetics, and environmental factors, such as oral hygiene, have been suggested to contribute to the development of NPC (3). Previous epidemiological studies identified oral hygiene as a potential risk factor for NPC (3-5). EBV is an enveloped herpes virus with double-stranded DNA that only infects humans. EBV DNA is frequently detected in saliva, throat washing, gingival crevicular fluid, and nasopharyngeal epithelium (6). Poor oral health can increase the risk of NPC by stimulating EBV replication, and nurturing the overgrowth of oral bacteria (7). Since oral health status is affected by the oral microbial equilibrium and activities, a link between NPC-risk and the oral bacterial status has been hypothesized by researchers. Porphyromonas gingivalis (P. gingivalis), a keystone pathogen in chronic periodontitis (8), was also found to coexist with EBV, a potential causative agent of NPC, in individuals with periodontal disease (6). Thus, the combined presence of EBV and periodontopathic bacteria could increase the risk of developing periodontitis (6,9,10).

However, whether P. gingivalis is present in NPCs in a non-endemic area of China, has yet to be investigated.

Thus, to the best of our knowledge, for the first time, the presence of P. gingivalis was retrospectively evaluated by immunohistochemistry (IHC) and nested PCR, and determined its possible association with NPC. The overall survival (OS) of patients with P. gingivalis-positive NPC was directly compared with that of patients with EBV-positive and P. gingivalis/EBV-negative NPC, and the prognostic significance of different infection status were assessed.

Materials and methods

Samples and clinical data

Formalin-fixed paraffin-embedded tissue (FFPE) specimens from patients with primary NPC who were diagnosed at Luoyang Central Hospital Affiliated to Zhengzhou University and the First Affiliated Hospital of Henan University of Science and Technology (Luoyang, China) between January 2011 and July 2017 were collected. All specimens were reviewed by a single pathologist under a light microscope (Eclipse 80i; Nikon Corporation) at the Department of Pathology, the First Affiliated Hospital of Henan University of Science and Technology following hematoxylin and eosin (H&E) staining. Histological classification was re-evaluated according to the current World Health Organization (WHO) classification (3). NPC are grouped into keratinizing squamous, non-keratinizing and basaloid squamous. Non-keratinizing NPC can be divided into differentiated and undifferentiated tumors (3). Patients with nasopharyngeal tumors other than the WHO types, those with poor quality, and those without sufficient sample available for investigation were excluded from the study. Clinical information associated with each sample was recorded. The present study was approved (approval no. 2021-03-B053) by the Ethics Committee of the First Affiliated Hospital of Henan University of Science and Technology (Luoyang, China).

P. gingivalis detection and identification

P. gingivalis was detected using IHC and nested PCR.

IHC

Primary NPC FFPE tissues were used for the IHC analysis of P. gingivalis using polyclonal rabbit anti-whole cell P. gingivalis 33277 antibody (a generous gift from Dr Richard Lamont) (11). This antibody does not react with human cells or with other bacteria at dilutions of 1:500 or greater (a dilution of 1:1,000 was used with NPC tissue sections). Pre-immune rabbit IgG was used as a negative control. IHC was performed as previously described (12). The sections were evaluated by two pathologists under a light microscope (Eclipse 80i; Nikon Corporation) after IHC staining. Staining intensity was classified using a numerical scale, as previously described by the authors (12). In the present study, IHC scores ≥2 were categorized as P. gingivalis-positive.

DNA extraction

Genomic DNA from FFPE tissue was extracted using the QIAamp DNA FFPE Tissue kit (cat. no. 56404, Qiagen, Inc.) according to the manufacturer's instructions. The quantity and purity of the DNA were accessed by NanoDrop 2000 (Thermo Fisher Scientific, Inc.) at 260/280 nm (ratios of 1.8-2.0 favorable results).

Designation and synthesis of primers

The universal bacterial primer pair, 27F/1492R (forward, 5'-AGAGTTTGATCCTGGCTCAG-3' and reverse, 5'-ACGGCTACCTTGTTACGACTT-3') and the P. gingivalis specific primer pair, 404F/R (forward, 5'-AGGCAGCTTGCCATACTGCG-3' and reverse, 5'-ACTGTTAGCAACTACCGATGT-3'), were used as previously described (13-15). The primer pair 27F/1492R was used for the first round of PCR amplification, generating a full-length 16S rDNA product. P. gingivalis specific primers 404F/R, targeting the internal sequence of 16S rDNA, were used to detect P. gingivalis in the second round of PCR amplification. To increase sensitivity, nested PCR was performed based on the sequence of the 16S rRNA fragment of P. gingivalis genomic DNA. The expected size of the amplification product by the inner primer pair was 404 bp in length. Oligonucleotide primers were synthesized by Genewiz, Inc.

Nested PCR

The nested PCR assay included two rounds of consecutive PCR amplifications and was performed as described herein. Briefly, the first round of amplification contained the outer primer pair (27F/1429R) and was performed in a reaction volume of 50 µl consisting of 2 µl of 50 ng DNA and 48 µl of reaction mixture containing 2X Taq Plus Master Mix (cat. no. P212-AA; Vazyme Biotech Co., Ltd.), and 10 pmol of each primer. The reaction was performed under the following thermocycling conditions: 94˚C for 10 min, 25 PCR cycles (94˚C for 30 sec, 60˚C for 30 sec, and 72˚C for 60 sec). The final cycle included extension for 5 min at 72˚C. Then, 1 µl of the reaction products was transferred into a new tube and diluted 1:100 with nuclease-free water. Subsequently, 2 µl of this dilution was used as a template for the second-round reaction. The second-round reaction mixture contained 10 pmol of each of the inner pair primers 404F/R and the same Taq polymerase system as used in the first round. Samples were amplified for 30 cycles under the same conditions reported for the first round of amplification, except that elongation was performed at 72˚C for 30 sec in this round of amplification.

Identification

The amplification products obtained by nested PCR were run on 2% agarose gel, using a horizontal electrophoresis system (DYCP-32C; Beijing Liuyi Biotechnology Co., Ltd.), then visualized on ChemiDoc™ XRS+ (Bio-Rad Laboratories, Inc.). The size of the product was estimated by comparison with DL 2000 DNA markers (Takara Bio, Inc.), and DNA bands close to the expected size (based on the PCR product obtained from the amplification of positive control and DNA markers) were identified as P. gingivalis positive. The products of positive sample were sent to Genewiz, Inc. for DNA sequencing.

Positive and negative controls were included for each batch of amplification. DNA extracted from the American Type Culture Collection (cat. no. 33277) cultures (from the authors' laboratory) served as a positive control, and a tube containing distilled water in place of the DNA template was used as a negative control. Nested PCR was performed blinded to the results obtained by IHC.

DNA sequencing and reads analysis

The products of nested PCR were subjected to DNA sequencing in both (forward and reverse) directions with 404F/R primers by Genewiz, Inc. The obtained map results were analyzed by Chromas 2.22 (Technelysium Pty. Ltd.) and sequencing reads were analyzed via BLAST search in NCBI (https://blast. ncbi.nlm.nih.gov/). Bacterial species were identified if subjects showed the lowest expectation (E) value in the list of BLAST results.

EBV detection

Reverse transcription-quantitative PCR was performed using the following primer sets: EBV forward, 5'-CCTGGTCATCCTTTGCCA-3'; and EBV reverse, 5'-TGCTTCGTTATAGCCGTAGT-3' (8), using SYBR Master Mix (cat. no. Q111-02-AA; Vazyme Biotech Co., Ltd.) in a Bio-Rad CFX96™ real time system (Bio-Rad Laboratories, Inc.). The amplification reaction was performed in a total volume of 20 µl containing 2X AceQ qPCR SYBR Master Mix (10 µl), 10 µM forward and reverse primers (1 µl), and 20 ng genomic DNA (2 µl) and distilled water (7 µl). The thermocycling conditions were as follows: 10 sec at 95˚C and 40 cycles of 5 sec at 95˚C and 30 sec at 60˚C. Post-PCR melting curves confirmed the specificity of single-target amplification.

Statistical analysis

All statistical analyses were performed using SPSS Statistics 19.0 software (IBM Corp.). Cohen's Kappa coefficient was used to evaluate the concordance between IHC and nested PCR. All patients were linked to data from a mortality registry up to May 18, 2021. The primary endpoint was OS, measured using the duration from the date of diagnosis to the end of follow-up or the date of death by any cause. Kaplan-Meier methodology and the log-rank test were performed to determine survival differences among groups.

Chi-square or Fisher's exact test was used to compare categorical variables between patients with different P. gingivalis and EBV infection statuses, and to determine the associations between P. gingivalis status and clinical characteristics. P<0.05 was considered to indicate a statistically significant difference.

Results

Clinical and histological features of NPC

A total of 58 patients with NPC diagnosed from January 2011 to July 2017 were identified, in the two hospitals. Among these, six patients were excluded because their samples presented histology other than a WHO type, and seven were excluded due to poor quality or having insufficient sample for investigation. Thus, a total of 45 subjects were included in the present study. A total of 30 (66.7%) patients were male and 15 (33.3%) patients were female. All tumors were classified as non-keratinizing undifferentiated NPC (WHO Type-III), and no other type cases were identified. Unfortunately, tumor staging and other information were unknown for most patients at the time of diagnosis.

Detection of P. gingivalis by IHC

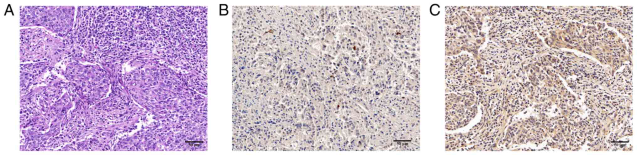
Among the 45 samples, 26 (57.8%) cases were P. gingivalis-positive (P. gingivalis+), and 19 (42.2%) cases were P. gingivalis-negative (P. gingivalis-). P. gingivalis expression was detected as dark brown staining, which was primarily localized to the cytoplasm of epithelial cells (Fig. 1).

Figure 1

Representative photograph of NPC staining by (A) haematoxylin and eosin, (B) IgG control and (C) P. gingivalis positivity in NPC. Anti-P. gingivalis (+) staining was observed in the cytoplasm and around the nucleus of tumor cells. Images were captured by a Panoramic MIDI system (3DHISTECH, Ltd.). Magnification, x20. NPC, nasopharyngeal carcinoma; P. gingivalis, Porphyromonas gingivalis.

Detection and identification of P. gingivalis using nested PCR and DNA sequencing

DNA extracted from the 45 FFPE tissues was examined by single-step PCR, nested PCR, and the products were confirmed by Sanger sequencing. P. gingivalis DNA was not detected by single-step PCR (Fig. S2). After two rounds of amplification, seven (15.6%) samples produced a clear and expected 404 bp band, which was specific for P. gingivalis DNA (Fig. 2). Since nested PCR represents a highly sensitive method to detect low copy numbers of P. gingivalis DNA, it is possible that the nested amplification of a common bacterium could result in a false-positive signal. Therefore, the direct sequencing map was verified on Chromas and the sequencing reads were analyzed by BLAST. All 14 sequencing maps from the seven products corresponded specifically to single reads (Fig. S1). Sequencing of the nested PCR products and BLAST analysis confirmed the presence of P. gingivalis in DNA from NPC tissue (Table I). This indicated that the results obtained by P. gingivalis PCR results were unlikely to be due to a PCR artifact; thus, P. gingivalis is present in NPC tumor tissues. In summary, the identification of P. gingivalis DNA from tumor tissues and the results for P. gingivalis+ in FFPE tissues by IHC validate the presence of P. gingivalis in tissues of NPC.

Figure 2

Detection of P. gingivalis DNA in FFPE tissues from patients with nasopharyngeal carcinoma. Nested PCR products detecting P. gingivalis in FFPE tissues from all patients run on agarose gel including negative (distilled water) and positive controls (cat. no. 33277 cultures; American Type Culture Collection) are presented. P. gingivalis, Porphyromonas gingivalis; FFPE, formalin-fixed paraffin-embedded.

Table I

Age and ID of specimens and sequence identity of nested PCR products to Porphyromonas gingivalis ATCC 33277 16S rDNA sequence by NCBI BLAST. Sequencing data are included in Fig. S1.

Table I

Age and ID of specimens and sequence identity of nested PCR products to Porphyromonas gingivalis ATCC 33277 16S rDNA sequence by NCBI BLAST. Sequencing data are included in Fig. S1.

Subject IDAgePCR primersSequencing primersIdentity, %E-value
NPC-144927F/1492R; 404F/R404F/R100, 1001e-171, 8e-173
NPC-187027F/1492R; 404F/R404F/R100, 1007e-168, 5e-180
NPC-235127F/1492R; 404F/R404F/R100, 1006e-174, 1e-176
NPC-246127F/1492R; 404F/R404F/R99, 995e-170, 1e-175
NPC-315927F/1492R; 404F/R404F/R99, 992e-169, 3e-172
NPC-373227F/1492R; 404F/R404F/R100, 1003e-172, 5e-175
NPC-426127F/1492R; 404F/R404F/R99, 1002e-174, 5e-175
Comparison of different techniques for the detection of P. gingivalis

Nested PCR was able to detect P. gingivalis-specific DNA in FFPE tissues from seven patients with NPC, of which specimens from five patients were histologically classified as P. gingivalis+. Two P. gingivalis+ specimens examined by nested PCR were revealed to be negative by IHC. Nested PCR failed to detect P. gingivalis DNA from the FFPE tissues of 21 patients with NPC that were categorized as P. gingivalis+ based on the results of IHC. The concordance rate was 48.9% (kappa=0.422; P<0.001) between nested PCR and IHC (Table II). There was agreement between these two methods for the detection of P. gingivalis in FFPE tissues from patients with NPC.

Table II

Histological examination and nested PCR for the detection of Porphyromonas gingivalis in FFPE samples from patients with NPC.

Table II

Histological examination and nested PCR for the detection of Porphyromonas gingivalis in FFPE samples from patients with NPC.

 Porphyromonas gingivalis results 
Patients (no.)HistologyNested PCRKappaP-value
5++0.422<0.001
21+-  
2-+  
17--  
Total=45267  
Positive rate (%)57.815.6  

[i] NPC, nasopharyngeal carcinoma; FFPE, formalin-fixed paraffin-embedded; +, positive; -, negative.

Association between P. gingivalis infection and the clinicopathological status of patients with NPC

An association was identified between P. gingivalis infection and the clinical features of patients with NPC (Table III). The presence of P. gingivalis was not significantly associated with age, EBV status, or prognosis in terms of both DNA and expression level. NPC was found to predominantly affect male (30 males vs. 15 females), while the P. gingivalis-positive rate of female patients with NPC was significantly higher than that of male patients with NPC (80.0% vs. 46.7%, P<0.05) in terms of the expression level, but not based on DNA. Furthermore, there were twice as numerous male patients with NPC compared with female patients with NPC, which is consistent with previous studies from high-incidence areas (1,16). The relationship between P. gingivalis infection and the sex of patients with NPC was not consistent with the results of nested PCR and IHC.

Table III

Clinicopathological features of patients with nasopharyngeal carcinoma.

Table III

Clinicopathological features of patients with nasopharyngeal carcinoma.

 Porphyromonas gingivalis positive cases (%)
Clinicopathological featuresNested PCR Immunohistochemistry
Sex  
     Male (30)3 (10.0)14 (46.7)a
     Female (15)4 (26.7)12 (80.0)a
Age, years  
     ≥50(28)5 (17.9)15 (53.6)
     <50(17)2 (11.8)11 (64.7)
Histologic classification  
     Keratinizing (0)0 (0)0 (0)
     Non-keratinizing (45)7 (15.6)26 (57.8)
EBV status  
     Positive (40)7 (17.5)24 (60.0)
     Negative (5)0 (0)2 (40.0)
Prognosis  
     Alive (20)1 (5.0)10 (50.0)
     Died (25)6 (24.0)16 (64.0)

[i] aP<0.05, χ2=4.555. Porphyromonas gingivalis-positive rate of female patients with NPC was significantly higher than those of male patients with NPC in terms of the expression level. EBV, Epstein-Barr virus.

P. gingivalis and EBV status

EBV-positive NPCs were predominant in the current study. Among the 45 specimens, 40 (88.9%) possessed EBV-positive (EBV+) tumors, seven of which (15.6%) exhibited EBV and P. gingivalis co-infection. Thus, based on DNA status, the samples were classified into three groups: i) EBV-/P. gingivalis- (5 of 45 patients, 11.1%); ii) EBV+/P. gingivalis- (33 of 45 patients, 73.3%); and iii) EBV+/P. gingivalis+ (7 of 45 patients, 15.6%). The clinical characteristics of patients are shown in Table IV.

Table IV

Characteristics of patients with different infection statuses.

Table IV

Characteristics of patients with different infection statuses.

 Number of patients (%)
Clinicopathological features Pg-/EBV- Pg-/EBV+ Pg+/EBV+χ2P-value
Sex   3.9470.160
     Male (30)5(100)22 (66.7)3 (42.9)  
     Female (15)0 (0)11(33.3)4 (57.1)  
Age, years   30.705<0.001
     ≥50(28)2 (40.0)21 (63.6)5 (71.4)  
     <50(17)3 (60.0)12 (36.4)2 (28.6)  
Histologic classification     
     Keratinizing (0)000 0
     Non-keratinizing (45)5(100)33(100)7(100)  
Prognosis   0.8960.793
     Alive (20)3 (60.0)16 (48.5)1 (14.3)  
     Died (25)2 (40.0)17 (51.5)6 (85.7)  

[i] Pg, Porphyromonas gingivalis; EBV, Epstein-Barr virus; +, positive; -, negative.

Survival analysis

A total of 45 patients were followed up for survival analysis over a period of 115 months. The median follow-up period was 60.9 months for all groups (range, 6.9-115.1 months). Most patients had a minimum of 5 years follow-up; after treatment for <60 months (46.3-59.6 months), there were only five survivors. Due to the low patient number, the survival rate exceeded 40% in two groups and the median survival time could not be calculated in the other group. In the present study, the mean survival time among the three groups was compared. Patients in the EBV+/P. gingivalis- group, which contained the highest number of patients, presented a shorter mean time compared with those with EBV-/P. gingivalis- NPC (74.8±6.7 vs. 86.5±13.8). Patients with EBV+/P. gingivalis+ tended to have the shortest mean survival time (56.8 months). However, there were no significant differences among the three groups (P=0.255; Table IV). Furthermore, the 5-year OS rate in patients with EBV-/P. gingivalis- NPC was higher than that in patients with EBV+/P. gingivalis+ NPC (60.0% vs. 42.9%), although the number of specimens was too low for any statistically meaningful analysis. The 5-year OS rate differed between P. gingivalis positive (whether EBV infected or not) and P. gingivalis negative patients with NPC, the difference was not significant (14.3% vs. 50%, P=0.120). A Kaplan-Meier curve for OS is shown in Figs. 3 and S3.

Figure 3

Kaplan-Meier curve showing the 5-year overall survival for the three subgroups of patients with nasopharyngeal carcinoma. Pg, Porphyromonas gingivalis; EBV, Epstein-Barr virus; +, positive; -, negative.

Discussion

P. gingivalis is one of the most common bacterial pathogens in human periodontitis. In the present study, for the first time, the presence of P. gingivalis in FFPE tissues from patients with NPC was retrospectively investigated and confirmed using two complementary approaches. P. gingivalis was detected in 26 (57.8%) and seven (15.6%) of 45 NPC tumor tissues by IHC and nested PCR, respectively; and the presence of P. gingivalis was confirmed by DNA sequencing in NPC FFPE tissues. Moreover, P. gingivalis DNA and EBV DNA were found to co-exist in the tumor tissues of patients with NPC.

NPC is not endemic within Central China, although EBV was predominant among the NPC cases (88.9%). A significant association between the presence of P. gingivalis and infection with EBV has also been reported (17). To the best of our knowledge, the presence of P. gingivalis and infection with EBV has not been reported in NPC. Furthermore, no differences in the clinical characteristics of patients with P. gingivalis-positive NPC and those with P. gingivalis-negative NPC were observed. The co-infection of P. gingivalis with EBV may affect the OS of patients with NPC; however, a larger sample size is needed for a statistically meaningful analysis.

Among the 45 cases, no EBV negative and P. gingivalis positive cases were reported. This is a very interesting question that leads the authors to think all possible distribution patterns of P. gingivalis and EBV. There were cases being reported with negative EBV DNA but positive P. gingivalis in the patients with chronic periodontitis (8). However, to the best of our knowledge, it was not found in NPC so far. Considering the regional and pathogenic characteristics of NPC, it could be hypothesized that even if there were such cases in clinical practice, it would be very rare.

Nested PCR with 27F/1429R and 404F/R primer pairs successfully identified P. gingivalis DNA in FFPE tissues from 7 out of 45 NPC patients. False-positive results with nested PCR were unlikely in the present study for the following reasons: First, negative controls performed in parallel with the samples during the two rounds of amplification revealed no detectable or specific band (404 bp). Second, the specificity of the 404F/R primers that were used for the second round of amplification of nested PCR has been widely investigated (13-15). The products of nested PCR appeared to be specific for P. gingivalis, which was confirmed by DNA sequencing. Finally, nested PCR has higher specificity compared with single-step PCR. P. gingivalis DNA was not detected using 404F/R primers by single-step PCR. Consequently, use of nested PCR was found to be more efficient for the reliable detection of P. gingivalis DNA in FFPE tissues.

Although the presence of P. gingivalis in NPC was verified in the present study, several questions remain unanswered, for example, the mechanism by which P. gingivalis infects the nasopharynx.

The nasopharynx is a tubular space that represents a transitional area between the nasal cavities and the oropharynx. This region is suitable for the growth of anaerobic bacteria during infection, although limited bacteria are present under normal healthy conditions (18). The mucosal epithelium in the nasopharynx, which possesses a small crypt epithelium similar to the oropharynx, consists of a special type of stratified squamous epithelium that is typically observed in the respiratory tract (19,20). Furthermore, oral pathogens can translocate to remote body organs via the local or oral blood circulation, or pass through the gastrointestinal tract (21). Since P. gingivalis is a gram-negative anaerobic pathogen that can penetrate and invade oral epithelial and endothelial cells, and the nasopharynx is histologically similar and in close proximity to the oropharynx, infection by P. gingivalis arising from the oral cavity is highly plausible when the environment of the human nasopharynx changes. Previous studies have reported the occurrence of anaerobes in the nasopharynx during respiratory infection (18,22). Alternatively, when sneezing and covering the mouth, due to increased local pressure, it is likely that bacteria in the mouth, oropharynx and other parts of the mouth may enter the nasopharynx where is under relatively little pressure. It appears that P. gingivalis reaches the nasopharynx by direct mucosal dispersion or through the flow of saliva from the oral cavity upon swallowing.

Another question is whether P. gingivalis positivity affects the development of NPC. Mounting evidence suggests there is a relationship between P. gingivalis infection and the development of certain cancers (23-25). Persistent exposure to P. gingivalis may induce tumor-like characteristic changes in oral epithelial cells and promote tumorigenesis (26). By contrast, no studies have investigated the relationship between P. gingivalis and NPC carcinogenesis, and the mechanism remains unknown. The existence of P. gingivalis-positive patients with NPC in the present study demonstrated that P. gingivalis following infection may constantly colonize the nasopharynx. This explains why P. gingivalis DNA and EBV DNA were found to co-exist in seven specimens of NPC in the present study. Persistent EBV infection in epithelial cells could induce progressive genomic changes, which promote the clonal evolution of NPC (3). P. gingivalis and other anaerobic bacteria can reactivate EBV infection via the production of butyric acid; this may contribute to the progression of EBV-related diseases (27,28). These findings suggested that P. gingivalis may accelerate the replication of EBV in EBV-related diseases (27).

Although P. gingivalis-positive cases were identified, this finding suggested that P. gingivalis is not etiologically linked to NPC carcinogenesis in Central China. Further studies are needed to define the influence of P. gingivalis on NPC.

A third question relates to the discrepancy between the overexpression of P. gingivalis antigen and P. gingivalis DNA-positive NPC. IHC was able to identify a specific protein associated with P. gingivalis, and the results may indicate localization within the tissues; while PCR detected nucleic acid of P. gingivalis within the tissue, regardless of the localization. Several FFPE samples that were positive for P. gingivalis were identified upon IHC staining; of these, only five were detected as P. gingivalis-positive following nested PCR. Certain investigators have suggested that the formalin fixation process may result in the formation of crosslinks between proteins and nucleic acids, which is a challenge for DNA detection methods such as PCR. The lower detection rate of PCR may be resultant from the fixation of our tissues. For another, the PCR samples were picked from a small portion of the sliced tissues while antibody in IHC could cover the whole area of the slide. In fact, according to the present study, nested PCR is more sensitive to detect P. gingivalis in the nasopharynx compared with routine PCR. Two FFPE cases that were P. gingivalis-positive by nested PCR were revealed to be P. gingivalis-negative by IHC, with a score of 1. This may be attributed to the authors' relatively strict IHC scoring standard, at least partially. The IHC positive standard used in the current study was similar to that previously used in studies on esophageal cancer (12). In addition, the present PCR samples were only from a small portion of sliced tissues while antibody in IHC could cover the whole area of the slide. This could be a major reason for the discrepancy observed in the study. Notably, these two different assays have their own emphasis on detecting organisms. Nevertheless, despite the different results from specific samples, the statistical results of these two methods showed the same trends of the presence of P. gingivalis in FFPE tissues from patients with NPC.

Although the mean survival time and survival rate differed between P. gingivalis-positive and P. gingivalis-negative patients with NPC, the differences were not significant. When the influence of EBV infection was considered, the mean survival time and 5-year survival rate among patients with P. gingivalis-/EBV-, P. gingivalis-/EBV+ and P. gingivalis+/EBV+ were also found to differ; however, the differences were not significant. Therefore, there was less power to yield meaningful outcomes in this situation, and additional studies are needed. In general, high expression levels of EBV encoding region expression, or EBV-positivity, are associated with non-keratinizing carcinoma and a favorable prognosis for patients with NPC (29); however, in the current study, EBV-negative patients with NPC tended to live longer than EBV-positive patients. It is considered that the EBV-negative group in the present study was too small to allow meaningful comparisons to be made.

There are several limitations to the present study. First, it was a retrospective study; tumor staging and EBV status were obtained when the patients were diagnosed, and information on smoking habits and alcohol use were incomplete or absent. This limits the potential to evaluate the outcome data. Second, it is difficult to estimate the prognosis for patients with P. gingivalis-related NPC due to the small number of identified patients with NPC in Henan, although data were collected from two cohorts. Certain clinicopathological subgroups obtained too few patients for analysis with adequate statistical power. For example, more females with NPC had P. gingivalis infection (by IHC), and patients with EBV+/P. gingivalis+ had worse outcomes in the present study. The reason and significance underlying these findings are unclear. Last, also the most important, the consistence of the two methods used in the present study are not favorable enough. The reasons were aforementioned. An interesting phenomenon was identified in the current study; P. gingivalis was revealed to preferably infect female patients with NPC than male. Given the relatively small sample size in the present study, the authors are uncertain about the probable reason, which could be an interesting topic in future investigation. Further studies are required to establish P. gingivalis as a co-etiologic factor of NPC. Reducing infection and maintaining oral hygiene could be potential strategies to decrease the risk of NPC.

In conclusion, the present study of P. gingivalis in a low-incidence population confirmed the presence of P. gingivalis in NPC tumor tissues. It is proposed by the authors that P. gingivalis is not etiologically relevant to NPC in central China, despite its coinfection with EBV-the most common causal factor for NPC.

Supplementary Material

Sequencing of Porphyromonas gingivalis 16S rDNA nested PCR products from NPC formalin-fixed paraffin-embedded tissues. (A) Partial of sequencing map from NPC-18 sequenced in forward direction with 404-F primers. (B) Nested PCR product sequences for each NPC subjects. NPC, nasopharyngeal carcinoma.
Single-step PCR products detecting Porphyromonas gingivalis from formalin-fixed paraffin-embedded tissues for all subjects run on agarose gel with DL 2000 as DNA marker, including negative and positive controls. (A) Products examined from NPC-1 to NPC-12, positive and negative. (B) Products examined from NPC-13 to NPC-22. (C) Products examined from NPC-23 to NPC-45. NPC, nasopharyngeal carcinoma.
Kaplan-Meier curve showing the 5-year overall survival for P. gingivalis positive and P. gingivalis negative patients with nasopharyngeal carcinoma. Pg, Porphyromonas gingivalis; +, positive; -, negative.

Acknowledgements

The authors would like to thank Professors Jianqiang Mi and Lan Chen from Department of Pathology, the First Affiliated Hospital of Henan University of Science and Technology for their assistance while preparing and slicing paraffin blocks; Kelei Guo from Medical Record Department of the First Affiliated Hospital of Henan University of Science and Technology for clinical data collection; and Dr Linlin Shi from Henan Key Laboratory of Cancer Epigenetics; Cancer Hospital, The First Affiliated Hospital (College of Clinical Medicine) of Henan University of Science and Technology for manuscript editing.

Funding

Funding: The present study was supported by the National Natural Science Foundation of China (grant no. 81972571), the Special Project in Social Development of Luoyang (Medical and Health Services Key Program; grant no. 2101038A).

Availability of data and materials

All data generated or analyzed during this study are included in this published article.

Authors' contributions

BG, YW and JG contributed to the experimental studies. YQ and SG contributed to the study design, supervision of experiments, and manuscript review. JH and LM contributed to the collection of samples, the acquisition of clinical data, and patient follow-ups. BG and YW conceived of the study and prepared the manuscript. All authors read and approved the final manuscript. BG and SG confirm the authenticity of all the raw data.

Ethics approval and consent to participate

The present study was approved (approval no. 2021-03-B053) by the Ethics Committee of the First Affiliated Hospital of Henan University of Science (Luoyang, China). There was an informed consent waiver from the Ethics Committee of the First Affiliated Hospital of Henan University of Science.

Patient consent for publication

Not applicable.

Competing interests

The authors declare that they have no competing interests.

References

1 

Tsao SW, Yip YL, Tsang CM, Pang PS, Lau VMY, Zhang G and Lo KW: Etiological factors of nasopharyngeal carcinoma. Oral Oncol. 50:330–338. 2014.PubMed/NCBI View Article : Google Scholar

2 

Chen W, Zheng R, Baade PD, Zhang S, Zeng H, Bray F, Jemal A, Yu XQ and He J: Cancer statistics in China, 2015. CA Cancer J Clin. 66:115–132. 2016.PubMed/NCBI View Article : Google Scholar

3 

Chen YP, Chan A, Le QT, Blanchard P, Sun Y and Ma J: Nasopharyngeal carcinoma. Lancet. 394:64–80. 2019.PubMed/NCBI View Article : Google Scholar

4 

Pihlstrom BL, Michalowicz BS and Johnson NW: Periodontal diseases. Lancet. 366:1809–1820. 2005.PubMed/NCBI View Article : Google Scholar

5 

Xu FH, Xiong D, Xu YF, Cao SM, Xue WQ, Qin HD, Liu WS, Cao JY, Zhang Y, Feng QS, et al: An epidemiological and molecular study of the relationship between smoking, risk of nasopharyngeal carcinoma, and Epstein-Barr virus activation. J Natl Cancer Inst. 104:1396–1410. 2012.PubMed/NCBI View Article : Google Scholar

6 

Kato A, Imai K, Ochiai K and Ogata Y: Prevalence and quantitative analysis of Epstein-Barr virus DNA and Porphyromonas gingivalis associated with Japanese chronic periodontitis patients. Clin Oral Investig. 19:1605–1610. 2015.PubMed/NCBI View Article : Google Scholar

7 

Turkoz FP, Celenkoglu G, Dogu GG, Kalender ME, Coskun U, Alkis N, Ozkan M, Turk HM and Arslan UY: Risk factors of nasopharyngeal carcinoma in Turkey-an epidemiological survey of the anatolian society of medical oncology. Asian Pac J Cancer Prev. 12:3017–3021. 2011.PubMed/NCBI

8 

Hajishengallis G and Lamont RJ: Dancing with the stars: How choreographed bacterial interactions dictate nososymbiocity and give rise to keystone pathogens, accessory pathogens, and pathobionts. Trends Microbiol. 24:477–489. 2016.PubMed/NCBI View Article : Google Scholar

9 

Kato A, Imai K, Sato H and Ogata Y: Prevalence of Epstein-Barr virus DNA and Porphyromonas gingivalis in Japanese peri-implantitis patients. BMC Oral Health. 17(148)2017.PubMed/NCBI View Article : Google Scholar

10 

Kato A, Imai K, Ochiai K and Ogata Y: Higher prevalence of Epstein-Barr virus DNA in deeper periodontal pockets of chronic periodontitis in Japanese patients. PLoS One. 8(e71990)2013.PubMed/NCBI View Article : Google Scholar

11 

Yilmaz O, Watanabe K and Lamont RJ: Involvement of integrins in fimbriae-mediated binding and invasion by Porphyromonas gingivalis. Cell Microbiol. 4:305–314. 2002.PubMed/NCBI View Article : Google Scholar

12 

Gao S, Li S, Ma Z, Liang S, Shan T, Zhang M, Zhu X, Zhang P, Liu G, Zhou F, et al: Presence of Porphyromonas gingivalis in esophagus and its association with the clinicopathological characteristics and survival in patients with esophageal cancer. Infect Agent Cancer. 11(3)2016.PubMed/NCBI View Article : Google Scholar

13 

Dougherty WJ, Bae KS, Watkins BJ and Baumgartner JC: Black-pigmented bacteria in coronal and apical segments of infected root canals. J Endod. 24:356–358. 1998.PubMed/NCBI View Article : Google Scholar

14 

Fouad AF, Barry J, Caimano M, Clawson M, Zhu Q, Carver R, Hazlett K and Radolf JD: PCR-based identification of bacteria associated with endodontic infections. J Clin Microbiol. 40:3223–3231. 2002.PubMed/NCBI View Article : Google Scholar

15 

Siqueira JF Jr, Rôças IN, Alves FR and Santos KR: Selected endodontic pathogens in the apical third of infected root canals: A molecular investigation. J Endod. 30:638–643. 2004.PubMed/NCBI View Article : Google Scholar

16 

Lo KW, To KF and Huang DP: Focus on nasopharyngeal carcinoma. Cancer Cell. 5:423–428. 2004.PubMed/NCBI View Article : Google Scholar

17 

Slots J, Kamma JJ and Sugar C: The herpesvirus-Porphyromonas gingivalis-periodontitis axis. J Periodontal Res. 38:318–323. 2003.PubMed/NCBI View Article : Google Scholar

18 

Könönen E, Syrjänen R, Takala A and Jousimies-Somer H: . Nasopharyngeal carriage of anaerobes during health and acute otitis media by two years of age. Diagn Microbiol Infect Dis. 46:167–172. 2003.PubMed/NCBI View Article : Google Scholar

19 

Bryant WS: The transition of the ciliated epithelium of the nose into the squamous epithelium of the pharynx. J Anat Physiol. 50:172–176. 1916.PubMed/NCBI

20 

Kano M, Kondo S, Wakisaka N, Moriyama-Kita M, Nakanishi Y, Endo K, Murono S, Nakamura H and Yoshizaki T: The influence of human papillomavirus on nasopharyngeal carcinoma in Japan. Auris Nasus Larynx. 44:327–332. 2017.PubMed/NCBI View Article : Google Scholar

21 

Mohammed H, Varoni EM, Cochis A, Cordaro M, Gallenzi P, Patini R, Staderini E, Lajolo C, Rimondini L and Rocchetti V: Oral dysbiosis in pancreatic cancer and liver cirrhosis: A review of the literature. Biomedicines. 6(115)2018.PubMed/NCBI View Article : Google Scholar

22 

Haraldsson G, Holbrook WP and Könönen E: Clonal similarity of salivary and nasopharyngeal Fusobacterium nucleatum in infants with acute otitis media experience. J Med Microbiol. 53:161–165. 2004.PubMed/NCBI View Article : Google Scholar

23 

Atanasova KR and Yilmaz O: Looking in the Porphyromonas gingivalis cabinet of curiosities: The microbium, the host and cancer association. Mol Oral Microbiol. 29:55–66. 2014.PubMed/NCBI View Article : Google Scholar

24 

Olsen I and Yilmaz Ö: Possible role of Porphyromonas gingivalis in orodigestive cancers. J Oral Microbiol. 11(1563410)2019.PubMed/NCBI View Article : Google Scholar

25 

Irfan M, Delgado RZR and Frias-Lopez J: The oral microbiome and cancer. Front Immunol. 11(591088)2020.PubMed/NCBI View Article : Google Scholar

26 

Geng F, Liu J, Guo Y, Li C, Wang H, Wang H, Zhao H and Pan Y: Persistent exposure to Porphyromonas gingivalis promotes proliferative and invasion capabilities, and tumorigenic properties of human immortalized oral epithelial cells. Front Cell Infect Microbiol. 7(57)2017.PubMed/NCBI View Article : Google Scholar

27 

Imai K, Inoue H, Tamura M, Cueno ME, Inoue H, Takeichi O, Kusama K, Saito I and Ochiai K: The periodontal pathogen Porphyromonas gingivalis induces the Epstein-Barr virus lytic switch transactivator ZEBRA by histone modification. Biochimie. 94:839–846. 2012.PubMed/NCBI View Article : Google Scholar

28 

Makino K, Takeichi O, Imai K, Inoue H, Hatori K, Himi K, Saito I, Ochiai K and Ogiso B: Porphyromonas endodontalis reactivates latent Epstein-Barr virus. Int Endod J. 51:1410–1419. 2018.PubMed/NCBI View Article : Google Scholar

29 

Ke K, Wang H, Fu S, Zhang Z, Duan L, Liu D and Ye J: Epstein-barr virus-encoded RNAs as a survival predictor in nasopharyngeal carcinoma. Chin Med J (Engl). 127:294–299. 2014.PubMed/NCBI

Related Articles

  • Abstract
  • View
  • Download
  • Twitter
Copy and paste a formatted citation
Spandidos Publications style
Gu B, Wang Y, Huang J, Guo J, Ma L, Qi Y and Gao S: Retrospective analysis of <em>Porphyromonas gingivalis</em> in patients with nasopharyngeal carcinoma in central China. Mol Clin Oncol 18: 32, 2023.
APA
Gu, B., Wang, Y., Huang, J., Guo, J., Ma, L., Qi, Y., & Gao, S. (2023). Retrospective analysis of <em>Porphyromonas gingivalis</em> in patients with nasopharyngeal carcinoma in central China. Molecular and Clinical Oncology, 18, 32. https://doi.org/10.3892/mco.2023.2628
MLA
Gu, B., Wang, Y., Huang, J., Guo, J., Ma, L., Qi, Y., Gao, S."Retrospective analysis of <em>Porphyromonas gingivalis</em> in patients with nasopharyngeal carcinoma in central China". Molecular and Clinical Oncology 18.4 (2023): 32.
Chicago
Gu, B., Wang, Y., Huang, J., Guo, J., Ma, L., Qi, Y., Gao, S."Retrospective analysis of <em>Porphyromonas gingivalis</em> in patients with nasopharyngeal carcinoma in central China". Molecular and Clinical Oncology 18, no. 4 (2023): 32. https://doi.org/10.3892/mco.2023.2628
Copy and paste a formatted citation
x
Spandidos Publications style
Gu B, Wang Y, Huang J, Guo J, Ma L, Qi Y and Gao S: Retrospective analysis of <em>Porphyromonas gingivalis</em> in patients with nasopharyngeal carcinoma in central China. Mol Clin Oncol 18: 32, 2023.
APA
Gu, B., Wang, Y., Huang, J., Guo, J., Ma, L., Qi, Y., & Gao, S. (2023). Retrospective analysis of <em>Porphyromonas gingivalis</em> in patients with nasopharyngeal carcinoma in central China. Molecular and Clinical Oncology, 18, 32. https://doi.org/10.3892/mco.2023.2628
MLA
Gu, B., Wang, Y., Huang, J., Guo, J., Ma, L., Qi, Y., Gao, S."Retrospective analysis of <em>Porphyromonas gingivalis</em> in patients with nasopharyngeal carcinoma in central China". Molecular and Clinical Oncology 18.4 (2023): 32.
Chicago
Gu, B., Wang, Y., Huang, J., Guo, J., Ma, L., Qi, Y., Gao, S."Retrospective analysis of <em>Porphyromonas gingivalis</em> in patients with nasopharyngeal carcinoma in central China". Molecular and Clinical Oncology 18, no. 4 (2023): 32. https://doi.org/10.3892/mco.2023.2628
Follow us
  • Twitter
  • LinkedIn
  • Facebook
About
  • Spandidos Publications
  • Careers
  • Cookie Policy
  • Privacy Policy
How can we help?
  • Help
  • Live Chat
  • Contact
  • Email to our Support Team