Spandidos Publications Logo
  • About
    • About Spandidos
    • Aims and Scopes
    • Abstracting and Indexing
    • Editorial Policies
    • Reprints and Permissions
    • Job Opportunities
    • Terms and Conditions
    • Contact
  • Journals
    • All Journals
    • Oncology Letters
      • Oncology Letters
      • Information for Authors
      • Editorial Policies
      • Editorial Board
      • Aims and Scope
      • Abstracting and Indexing
      • Bibliographic Information
      • Archive
    • International Journal of Oncology
      • International Journal of Oncology
      • Information for Authors
      • Editorial Policies
      • Editorial Board
      • Aims and Scope
      • Abstracting and Indexing
      • Bibliographic Information
      • Archive
    • Molecular and Clinical Oncology
      • Molecular and Clinical Oncology
      • Information for Authors
      • Editorial Policies
      • Editorial Board
      • Aims and Scope
      • Abstracting and Indexing
      • Bibliographic Information
      • Archive
    • Experimental and Therapeutic Medicine
      • Experimental and Therapeutic Medicine
      • Information for Authors
      • Editorial Policies
      • Editorial Board
      • Aims and Scope
      • Abstracting and Indexing
      • Bibliographic Information
      • Archive
    • International Journal of Molecular Medicine
      • International Journal of Molecular Medicine
      • Information for Authors
      • Editorial Policies
      • Editorial Board
      • Aims and Scope
      • Abstracting and Indexing
      • Bibliographic Information
      • Archive
    • Biomedical Reports
      • Biomedical Reports
      • Information for Authors
      • Editorial Policies
      • Editorial Board
      • Aims and Scope
      • Abstracting and Indexing
      • Bibliographic Information
      • Archive
    • Oncology Reports
      • Oncology Reports
      • Information for Authors
      • Editorial Policies
      • Editorial Board
      • Aims and Scope
      • Abstracting and Indexing
      • Bibliographic Information
      • Archive
    • Molecular Medicine Reports
      • Molecular Medicine Reports
      • Information for Authors
      • Editorial Policies
      • Editorial Board
      • Aims and Scope
      • Abstracting and Indexing
      • Bibliographic Information
      • Archive
    • World Academy of Sciences Journal
      • World Academy of Sciences Journal
      • Information for Authors
      • Editorial Policies
      • Editorial Board
      • Aims and Scope
      • Abstracting and Indexing
      • Bibliographic Information
      • Archive
    • International Journal of Functional Nutrition
      • International Journal of Functional Nutrition
      • Information for Authors
      • Editorial Policies
      • Editorial Board
      • Aims and Scope
      • Abstracting and Indexing
      • Bibliographic Information
      • Archive
    • International Journal of Epigenetics
      • International Journal of Epigenetics
      • Information for Authors
      • Editorial Policies
      • Editorial Board
      • Aims and Scope
      • Abstracting and Indexing
      • Bibliographic Information
      • Archive
    • Medicine International
      • Medicine International
      • Information for Authors
      • Editorial Policies
      • Editorial Board
      • Aims and Scope
      • Abstracting and Indexing
      • Bibliographic Information
      • Archive
  • Articles
  • Information
    • Information for Authors
    • Information for Reviewers
    • Information for Librarians
    • Information for Advertisers
    • Conferences
  • Language Editing
Spandidos Publications Logo
  • About
    • About Spandidos
    • Aims and Scopes
    • Abstracting and Indexing
    • Editorial Policies
    • Reprints and Permissions
    • Job Opportunities
    • Terms and Conditions
    • Contact
  • Journals
    • All Journals
    • Biomedical Reports
      • Information for Authors
      • Editorial Policies
      • Editorial Board
      • Aims and Scope
      • Abstracting and Indexing
      • Bibliographic Information
      • Archive
    • Experimental and Therapeutic Medicine
      • Information for Authors
      • Editorial Policies
      • Editorial Board
      • Aims and Scope
      • Abstracting and Indexing
      • Bibliographic Information
      • Archive
    • International Journal of Epigenetics
      • Information for Authors
      • Editorial Policies
      • Editorial Board
      • Aims and Scope
      • Abstracting and Indexing
      • Bibliographic Information
      • Archive
    • International Journal of Functional Nutrition
      • Information for Authors
      • Editorial Policies
      • Editorial Board
      • Aims and Scope
      • Abstracting and Indexing
      • Bibliographic Information
      • Archive
    • International Journal of Molecular Medicine
      • Information for Authors
      • Editorial Policies
      • Editorial Board
      • Aims and Scope
      • Abstracting and Indexing
      • Bibliographic Information
      • Archive
    • International Journal of Oncology
      • Information for Authors
      • Editorial Policies
      • Editorial Board
      • Aims and Scope
      • Abstracting and Indexing
      • Bibliographic Information
      • Archive
    • Medicine International
      • Information for Authors
      • Editorial Policies
      • Editorial Board
      • Aims and Scope
      • Abstracting and Indexing
      • Bibliographic Information
      • Archive
    • Molecular and Clinical Oncology
      • Information for Authors
      • Editorial Policies
      • Editorial Board
      • Aims and Scope
      • Abstracting and Indexing
      • Bibliographic Information
      • Archive
    • Molecular Medicine Reports
      • Information for Authors
      • Editorial Policies
      • Editorial Board
      • Aims and Scope
      • Abstracting and Indexing
      • Bibliographic Information
      • Archive
    • Oncology Letters
      • Information for Authors
      • Editorial Policies
      • Editorial Board
      • Aims and Scope
      • Abstracting and Indexing
      • Bibliographic Information
      • Archive
    • Oncology Reports
      • Information for Authors
      • Editorial Policies
      • Editorial Board
      • Aims and Scope
      • Abstracting and Indexing
      • Bibliographic Information
      • Archive
    • World Academy of Sciences Journal
      • Information for Authors
      • Editorial Policies
      • Editorial Board
      • Aims and Scope
      • Abstracting and Indexing
      • Bibliographic Information
      • Archive
  • Articles
  • Information
    • For Authors
    • For Reviewers
    • For Librarians
    • For Advertisers
    • Conferences
  • Language Editing
Login Register Submit
  • This site uses cookies
  • You can change your cookie settings at any time by following the instructions in our Cookie Policy. To find out more, you may read our Privacy Policy.

    I agree
Search articles by DOI, keyword, author or affiliation
Search
Advanced Search
presentation
Molecular Medicine Reports
Join Editorial Board Propose a Special Issue
Print ISSN: 1791-2997 Online ISSN: 1791-3004
Journal Cover
March 2013 Volume 7 Issue 3

Full Size Image

Sign up for eToc alerts
Recommend to Library

Journals

International Journal of Molecular Medicine

International Journal of Molecular Medicine

International Journal of Molecular Medicine is an international journal devoted to molecular mechanisms of human disease.

International Journal of Oncology

International Journal of Oncology

International Journal of Oncology is an international journal devoted to oncology research and cancer treatment.

Molecular Medicine Reports

Molecular Medicine Reports

Covers molecular medicine topics such as pharmacology, pathology, genetics, neuroscience, infectious diseases, molecular cardiology, and molecular surgery.

Oncology Reports

Oncology Reports

Oncology Reports is an international journal devoted to fundamental and applied research in Oncology.

Experimental and Therapeutic Medicine

Experimental and Therapeutic Medicine

Experimental and Therapeutic Medicine is an international journal devoted to laboratory and clinical medicine.

Oncology Letters

Oncology Letters

Oncology Letters is an international journal devoted to Experimental and Clinical Oncology.

Biomedical Reports

Biomedical Reports

Explores a wide range of biological and medical fields, including pharmacology, genetics, microbiology, neuroscience, and molecular cardiology.

Molecular and Clinical Oncology

Molecular and Clinical Oncology

International journal addressing all aspects of oncology research, from tumorigenesis and oncogenes to chemotherapy and metastasis.

World Academy of Sciences Journal

World Academy of Sciences Journal

Multidisciplinary open-access journal spanning biochemistry, genetics, neuroscience, environmental health, and synthetic biology.

International Journal of Functional Nutrition

International Journal of Functional Nutrition

Open-access journal combining biochemistry, pharmacology, immunology, and genetics to advance health through functional nutrition.

International Journal of Epigenetics

International Journal of Epigenetics

Publishes open-access research on using epigenetics to advance understanding and treatment of human disease.

Medicine International

Medicine International

An International Open Access Journal Devoted to General Medicine.

Journal Cover
March 2013 Volume 7 Issue 3

Full Size Image

Sign up for eToc alerts
Recommend to Library

  • Article
  • Citations
    • Cite This Article
    • Download Citation
    • Create Citation Alert
    • Remove Citation Alert
    • Cited By
  • Similar Articles
    • Related Articles (in Spandidos Publications)
    • Similar Articles (Google Scholar)
    • Similar Articles (PubMed)
  • Download PDF
  • Download XML
  • View XML
Article

Survival of pig-to-rhesus corneal xenografts prolonged by prior donor bone marrow transplantation

  • Authors:
    • Ying Jie
    • Limin Liu
    • Zhiqiang Pan
    • Li Wang
  • View Affiliations / Copyright

    Affiliations: Beijing Ophthalmology and Visual Science Laboratory, Beijing Tongren Eye Centre, Beijing Tongren Hospital, Capital Medical University, Beijing 100730, P.R. China
  • Pages: 869-874
    |
    Published online on: January 28, 2013
       https://doi.org/10.3892/mmr.2013.1294
  • Expand metrics +
Metrics: Total Views: 0 (Spandidos Publications: | PMC Statistics: )
Metrics: Total PDF Downloads: 0 (Spandidos Publications: | PMC Statistics: )
Cited By (CrossRef): 0 citations Loading Articles...

This article is mentioned in:



Abstract

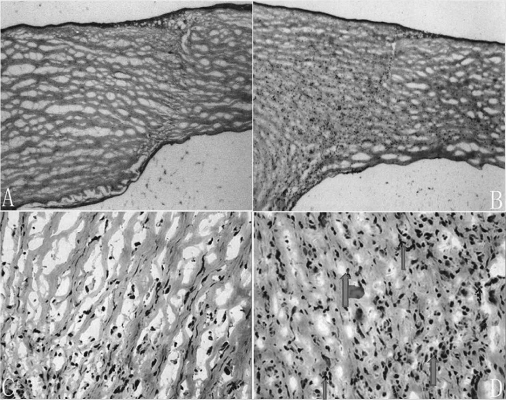
The aim of the present study was to explore the survival of pig-rhesus corneal xenografts following donor bone marrow transplantation (BMT). Wuzhishan pigs were used as donors and rhesus monkeys as recipients for corneal xenotransplantation. Twelve rhesus monkeys were divided into two groups. Group 1 received intravenous injection of cyclophosphamide (CP) followed by pig bone marrow cell transplantation, while group 2 was used as a control and only received intravenous CP injection. All xenografts were evaluated using a slit-lamp microscope. The immunological status of the recipients following transplantation, including the formation of chimerism, mixed lymphocyte reaction (MLR) and immunoglobulin and complement in the serum, was analyzed. Two rhesus monkeys in each group were sacrificed for corneal histopathology examination. The mean survival time was 36.0±4.7 days in group 1 and 17.7±3.2 days in group 2. The mean chimerism percentage in group 1 at week 1 was 5.20±1.02%, but decreased with time and was <1% after week 3. MLR demonstrated that immune reactivity to donor spleen cells in group 1 was decreased following surgery. Immunoglobulin and complement levels in the serum revealed a decreasing trend. Histopathological examination demonstrated that the corneal xenografts in group 1 had minimal inflammatory cell infiltration and no eosinophil infiltration. Survival of corneal xenografts may be prolonged by prior BMT, suggesting that immune reactivity to donors is suppressed, and is highly dependent on chimerism formation.
View Figures

Figure 1

Figure 2

Figure 3

Figure 4

View References

1 

Lan P, Wang L, Diouf B, et al: Induction of human T-cell tolerance to porcine xenoantigens through mixed hematopoietic chimerism. Blood. 103:3964–3969. 2004. View Article : Google Scholar : PubMed/NCBI

2 

Ross JR, Howell DN and Sanfilippo FP: Characteristics of corneal xenograft rejection in a discordant species combination. Invest Ophthalmol Vis Sci. 34:2469–2476. 1993.PubMed/NCBI

3 

Zhiqiang P, Cun S, Ying J, Ningli W and Li W: WZS-pig is a potential donor alternative in corneal xenotransplantation. Xenotransplantation. 14:603–611. 2007. View Article : Google Scholar : PubMed/NCBI

4 

Wekerle T and Sykes M: Mixed chimerism and transplantation tolerance. Ann Rev Med. 52:353–370. 2001. View Article : Google Scholar : PubMed/NCBI

5 

Sachs DH: Mixed chimerism as an approach to transplantation tolerance. Clin Immunol. 95:S63–S68. 2000. View Article : Google Scholar : PubMed/NCBI

6 

Wekerle T: Transplantation tolerance induced by mixed chimerism. J Heart Lung Transplant. 20:816–823. 2001. View Article : Google Scholar : PubMed/NCBI

7 

Sykes M: Mixed chimerism and transplant tolerance. Immunity. 14:417–424. 2001. View Article : Google Scholar : PubMed/NCBI

8 

Pham SM, Mitruka SN, Youm W, et al: Mixed hematopoietic chimerism induces donor-specific tolerance for lung allografts in rodents. Am J Respir Crit Care Med. 159:199–205. 1999. View Article : Google Scholar : PubMed/NCBI

9 

Huang CA, Fuchimoto Y, Scheier-Dolberg R, Murphy MC, Neville DM Jr and Sachs DH: Stable mixed chimerism and tolerance using a nonmyeloablative preparative regimen in a large animal model. J Clin Invest. 105:173–181. 2000. View Article : Google Scholar : PubMed/NCBI

10 

Abe M, Qi J, Sykes M and Yang YG: Mixed chimerism induces donor-specific T cell tolerance across a highly disparate xenogeneic barrier. Blood. 99:3823–3829. 2002. View Article : Google Scholar : PubMed/NCBI

11 

Beschorner WE, Sudan DL, Radio SJ, et al: Heart xenograft survival with chimeric pig donors and modest immune suppression. Ann Surg. 237:265–272. 2003. View Article : Google Scholar : PubMed/NCBI

12 

Murakami M, Ito H, Harada E, Enoki T, Sykes M and Hamano K: Long-term survival of xenogeneic heart grafts achieved by costimulatory blockade and transient mixed chimerism. Transplantation. 82:275–281. 2006. View Article : Google Scholar : PubMed/NCBI

13 

Lee PW, Cina RA, Randolph MA, et al: Stable multilineage chimerism across full MHC barriers without graft-versus-host disease following in utero bone marrow transplantation in pigs. Exp Hematol. 33:371–379. 2005. View Article : Google Scholar : PubMed/NCBI

14 

Kawai T, Cosimi AB, Wee SL, et al: Effect of mixed hematopoietic chimerism on cardiac allograft survival in cynomolgus monkeys. Transplantation. 73:1757–1764. 2002. View Article : Google Scholar : PubMed/NCBI

15 

Iwai T, Tomita Y, Zhang QW, Shimizu I, Nomoto K and Yasui H: Requirement of a higher degree of chimerism for skin allograft tolerance in cyclophosphamide-induced tolerance. Transplant Int. 17:795–803. 2005. View Article : Google Scholar : PubMed/NCBI

16 

Kimikawa M, Sachs DH, Colvin RB, Bartholomew A, Kawai T and Cosimi AB: Modifications of the conditioning regimen for achieving mixed chimerism and donor-specific tolerance in cynomolgus monkeys. Transplantation. 64:709–716. 1997. View Article : Google Scholar : PubMed/NCBI

17 

Sablinski T, Emery DW, Monroy R, et al: Long-term discordant xenogeneic (porcine-to-primate) bone marrow engraftment in a monkey treated with porcine-specific growth factors. Transplantation. 67:972–977. 1999. View Article : Google Scholar : PubMed/NCBI

18 

Kozlowski T, Shimizu A, Lambrigts D, et al: Porcine kidney and heart transplantation in baboons undergoing a tolerance induction regimen and antibody adsorption. Transplantion. 67:18–30. 1999. View Article : Google Scholar : PubMed/NCBI

19 

Chen D, Cao R, Guo H, et al: Pathogenesis and pathology of delayed xenograft rejection in pig-to-rhesus monkey cardiac transplantation. Transplant Proc. 36:2480–2482. 2004. View Article : Google Scholar

20 

Yang YG: Application of xenogeneic stem cells for induction of transplantation tolerance: present state and future directions. Springer Semin Immunopathol. 26:187–200. 2004. View Article : Google Scholar : PubMed/NCBI

21 

Millan MT, Shizuru JA, Hoffmann P, et al: Mixed chimerism and immunosuppressive drug withdrawal after HLA-mismatched kidney and hematopoietic progenitor transplantation. Transplantation. 73:1386–1391. 2002. View Article : Google Scholar : PubMed/NCBI

22 

Cobbold SP, Martin G, Qin S and Waldmann H: Monoclonal antibodies to promote marrow engraftment and tissue graft tolerance. Nature. 323:164–166. 1986. View Article : Google Scholar : PubMed/NCBI

23 

Li A, Pan Z, Jie Y, Sun Y, Luo F and Wang L: Comparison of immunogenicity and porcine-to-rhesus lamellar corneal xenografts survival between fresh preserved and dehydrated porcine corneas. Xenotransplantation. 18:46–55. 2011. View Article : Google Scholar

24 

Tanaka K, Yamagami S and Streilein JW: Evidence that T-helper type 2 cell-derived cytokines and eosinophils contribute to acute rejection of orthotopic corneal xenografts in mice. Transplantation. 79:1317–1323. 2005. View Article : Google Scholar : PubMed/NCBI

Related Articles

  • Abstract
  • View
  • Download
  • Twitter
Copy and paste a formatted citation
Spandidos Publications style
Jie Y, Liu L, Pan Z and Wang L: Survival of pig-to-rhesus corneal xenografts prolonged by prior donor bone marrow transplantation. Mol Med Rep 7: 869-874, 2013.
APA
Jie, Y., Liu, L., Pan, Z., & Wang, L. (2013). Survival of pig-to-rhesus corneal xenografts prolonged by prior donor bone marrow transplantation. Molecular Medicine Reports, 7, 869-874. https://doi.org/10.3892/mmr.2013.1294
MLA
Jie, Y., Liu, L., Pan, Z., Wang, L."Survival of pig-to-rhesus corneal xenografts prolonged by prior donor bone marrow transplantation". Molecular Medicine Reports 7.3 (2013): 869-874.
Chicago
Jie, Y., Liu, L., Pan, Z., Wang, L."Survival of pig-to-rhesus corneal xenografts prolonged by prior donor bone marrow transplantation". Molecular Medicine Reports 7, no. 3 (2013): 869-874. https://doi.org/10.3892/mmr.2013.1294
Copy and paste a formatted citation
x
Spandidos Publications style
Jie Y, Liu L, Pan Z and Wang L: Survival of pig-to-rhesus corneal xenografts prolonged by prior donor bone marrow transplantation. Mol Med Rep 7: 869-874, 2013.
APA
Jie, Y., Liu, L., Pan, Z., & Wang, L. (2013). Survival of pig-to-rhesus corneal xenografts prolonged by prior donor bone marrow transplantation. Molecular Medicine Reports, 7, 869-874. https://doi.org/10.3892/mmr.2013.1294
MLA
Jie, Y., Liu, L., Pan, Z., Wang, L."Survival of pig-to-rhesus corneal xenografts prolonged by prior donor bone marrow transplantation". Molecular Medicine Reports 7.3 (2013): 869-874.
Chicago
Jie, Y., Liu, L., Pan, Z., Wang, L."Survival of pig-to-rhesus corneal xenografts prolonged by prior donor bone marrow transplantation". Molecular Medicine Reports 7, no. 3 (2013): 869-874. https://doi.org/10.3892/mmr.2013.1294
Follow us
  • Twitter
  • LinkedIn
  • Facebook
About
  • Spandidos Publications
  • Careers
  • Cookie Policy
  • Privacy Policy
How can we help?
  • Help
  • Live Chat
  • Contact
  • Email to our Support Team