Spandidos Publications Logo
  • About
    • About Spandidos
    • Aims and Scopes
    • Abstracting and Indexing
    • Editorial Policies
    • Reprints and Permissions
    • Job Opportunities
    • Terms and Conditions
    • Contact
  • Journals
    • All Journals
    • Oncology Letters
      • Oncology Letters
      • Information for Authors
      • Editorial Policies
      • Editorial Board
      • Aims and Scope
      • Abstracting and Indexing
      • Bibliographic Information
      • Archive
    • International Journal of Oncology
      • International Journal of Oncology
      • Information for Authors
      • Editorial Policies
      • Editorial Board
      • Aims and Scope
      • Abstracting and Indexing
      • Bibliographic Information
      • Archive
    • Molecular and Clinical Oncology
      • Molecular and Clinical Oncology
      • Information for Authors
      • Editorial Policies
      • Editorial Board
      • Aims and Scope
      • Abstracting and Indexing
      • Bibliographic Information
      • Archive
    • Experimental and Therapeutic Medicine
      • Experimental and Therapeutic Medicine
      • Information for Authors
      • Editorial Policies
      • Editorial Board
      • Aims and Scope
      • Abstracting and Indexing
      • Bibliographic Information
      • Archive
    • International Journal of Molecular Medicine
      • International Journal of Molecular Medicine
      • Information for Authors
      • Editorial Policies
      • Editorial Board
      • Aims and Scope
      • Abstracting and Indexing
      • Bibliographic Information
      • Archive
    • Biomedical Reports
      • Biomedical Reports
      • Information for Authors
      • Editorial Policies
      • Editorial Board
      • Aims and Scope
      • Abstracting and Indexing
      • Bibliographic Information
      • Archive
    • Oncology Reports
      • Oncology Reports
      • Information for Authors
      • Editorial Policies
      • Editorial Board
      • Aims and Scope
      • Abstracting and Indexing
      • Bibliographic Information
      • Archive
    • Molecular Medicine Reports
      • Molecular Medicine Reports
      • Information for Authors
      • Editorial Policies
      • Editorial Board
      • Aims and Scope
      • Abstracting and Indexing
      • Bibliographic Information
      • Archive
    • World Academy of Sciences Journal
      • World Academy of Sciences Journal
      • Information for Authors
      • Editorial Policies
      • Editorial Board
      • Aims and Scope
      • Abstracting and Indexing
      • Bibliographic Information
      • Archive
    • International Journal of Functional Nutrition
      • International Journal of Functional Nutrition
      • Information for Authors
      • Editorial Policies
      • Editorial Board
      • Aims and Scope
      • Abstracting and Indexing
      • Bibliographic Information
      • Archive
    • International Journal of Epigenetics
      • International Journal of Epigenetics
      • Information for Authors
      • Editorial Policies
      • Editorial Board
      • Aims and Scope
      • Abstracting and Indexing
      • Bibliographic Information
      • Archive
    • Medicine International
      • Medicine International
      • Information for Authors
      • Editorial Policies
      • Editorial Board
      • Aims and Scope
      • Abstracting and Indexing
      • Bibliographic Information
      • Archive
  • Articles
  • Information
    • Information for Authors
    • Information for Reviewers
    • Information for Librarians
    • Information for Advertisers
    • Conferences
  • Language Editing
Spandidos Publications Logo
  • About
    • About Spandidos
    • Aims and Scopes
    • Abstracting and Indexing
    • Editorial Policies
    • Reprints and Permissions
    • Job Opportunities
    • Terms and Conditions
    • Contact
  • Journals
    • All Journals
    • Biomedical Reports
      • Information for Authors
      • Editorial Policies
      • Editorial Board
      • Aims and Scope
      • Abstracting and Indexing
      • Bibliographic Information
      • Archive
    • Experimental and Therapeutic Medicine
      • Information for Authors
      • Editorial Policies
      • Editorial Board
      • Aims and Scope
      • Abstracting and Indexing
      • Bibliographic Information
      • Archive
    • International Journal of Epigenetics
      • Information for Authors
      • Editorial Policies
      • Editorial Board
      • Aims and Scope
      • Abstracting and Indexing
      • Bibliographic Information
      • Archive
    • International Journal of Functional Nutrition
      • Information for Authors
      • Editorial Policies
      • Editorial Board
      • Aims and Scope
      • Abstracting and Indexing
      • Bibliographic Information
      • Archive
    • International Journal of Molecular Medicine
      • Information for Authors
      • Editorial Policies
      • Editorial Board
      • Aims and Scope
      • Abstracting and Indexing
      • Bibliographic Information
      • Archive
    • International Journal of Oncology
      • Information for Authors
      • Editorial Policies
      • Editorial Board
      • Aims and Scope
      • Abstracting and Indexing
      • Bibliographic Information
      • Archive
    • Medicine International
      • Information for Authors
      • Editorial Policies
      • Editorial Board
      • Aims and Scope
      • Abstracting and Indexing
      • Bibliographic Information
      • Archive
    • Molecular and Clinical Oncology
      • Information for Authors
      • Editorial Policies
      • Editorial Board
      • Aims and Scope
      • Abstracting and Indexing
      • Bibliographic Information
      • Archive
    • Molecular Medicine Reports
      • Information for Authors
      • Editorial Policies
      • Editorial Board
      • Aims and Scope
      • Abstracting and Indexing
      • Bibliographic Information
      • Archive
    • Oncology Letters
      • Information for Authors
      • Editorial Policies
      • Editorial Board
      • Aims and Scope
      • Abstracting and Indexing
      • Bibliographic Information
      • Archive
    • Oncology Reports
      • Information for Authors
      • Editorial Policies
      • Editorial Board
      • Aims and Scope
      • Abstracting and Indexing
      • Bibliographic Information
      • Archive
    • World Academy of Sciences Journal
      • Information for Authors
      • Editorial Policies
      • Editorial Board
      • Aims and Scope
      • Abstracting and Indexing
      • Bibliographic Information
      • Archive
  • Articles
  • Information
    • For Authors
    • For Reviewers
    • For Librarians
    • For Advertisers
    • Conferences
  • Language Editing
Login Register Submit
  • This site uses cookies
  • You can change your cookie settings at any time by following the instructions in our Cookie Policy. To find out more, you may read our Privacy Policy.

    I agree
Search articles by DOI, keyword, author or affiliation
Search
Advanced Search
presentation
Molecular Medicine Reports
Join Editorial Board Propose a Special Issue
Print ISSN: 1791-2997 Online ISSN: 1791-3004
Journal Cover
April 2013 Volume 7 Issue 4

Full Size Image

Sign up for eToc alerts
Recommend to Library

Journals

International Journal of Molecular Medicine

International Journal of Molecular Medicine

International Journal of Molecular Medicine is an international journal devoted to molecular mechanisms of human disease.

International Journal of Oncology

International Journal of Oncology

International Journal of Oncology is an international journal devoted to oncology research and cancer treatment.

Molecular Medicine Reports

Molecular Medicine Reports

Covers molecular medicine topics such as pharmacology, pathology, genetics, neuroscience, infectious diseases, molecular cardiology, and molecular surgery.

Oncology Reports

Oncology Reports

Oncology Reports is an international journal devoted to fundamental and applied research in Oncology.

Experimental and Therapeutic Medicine

Experimental and Therapeutic Medicine

Experimental and Therapeutic Medicine is an international journal devoted to laboratory and clinical medicine.

Oncology Letters

Oncology Letters

Oncology Letters is an international journal devoted to Experimental and Clinical Oncology.

Biomedical Reports

Biomedical Reports

Explores a wide range of biological and medical fields, including pharmacology, genetics, microbiology, neuroscience, and molecular cardiology.

Molecular and Clinical Oncology

Molecular and Clinical Oncology

International journal addressing all aspects of oncology research, from tumorigenesis and oncogenes to chemotherapy and metastasis.

World Academy of Sciences Journal

World Academy of Sciences Journal

Multidisciplinary open-access journal spanning biochemistry, genetics, neuroscience, environmental health, and synthetic biology.

International Journal of Functional Nutrition

International Journal of Functional Nutrition

Open-access journal combining biochemistry, pharmacology, immunology, and genetics to advance health through functional nutrition.

International Journal of Epigenetics

International Journal of Epigenetics

Publishes open-access research on using epigenetics to advance understanding and treatment of human disease.

Medicine International

Medicine International

An International Open Access Journal Devoted to General Medicine.

Journal Cover
April 2013 Volume 7 Issue 4

Full Size Image

Sign up for eToc alerts
Recommend to Library

  • Article
  • Citations
    • Cite This Article
    • Download Citation
    • Create Citation Alert
    • Remove Citation Alert
    • Cited By
  • Similar Articles
    • Related Articles (in Spandidos Publications)
    • Similar Articles (Google Scholar)
    • Similar Articles (PubMed)
  • Download PDF
  • Download XML
  • View XML
Article

The effects of carvedilol on cardiac structural remodeling: The role of endogenous nitric oxide in the activity of carvedilol

  • Authors:
    • Jiangbin Chen
    • Congxin Huang
    • Bin Zhang
    • Qiao Huang
    • Jing Chen
    • Lin Xu
  • View Affiliations / Copyright

    Affiliations: Department of Cardiology, Renmin Hospital of Wuhan University, Hubei 430060, P.R. China
  • Pages: 1155-1158
    |
    Published online on: February 19, 2013
       https://doi.org/10.3892/mmr.2013.1329
  • Expand metrics +
Metrics: Total Views: 0 (Spandidos Publications: | PMC Statistics: )
Metrics: Total PDF Downloads: 0 (Spandidos Publications: | PMC Statistics: )
Cited By (CrossRef): 0 citations Loading Articles...

This article is mentioned in:


Abstract

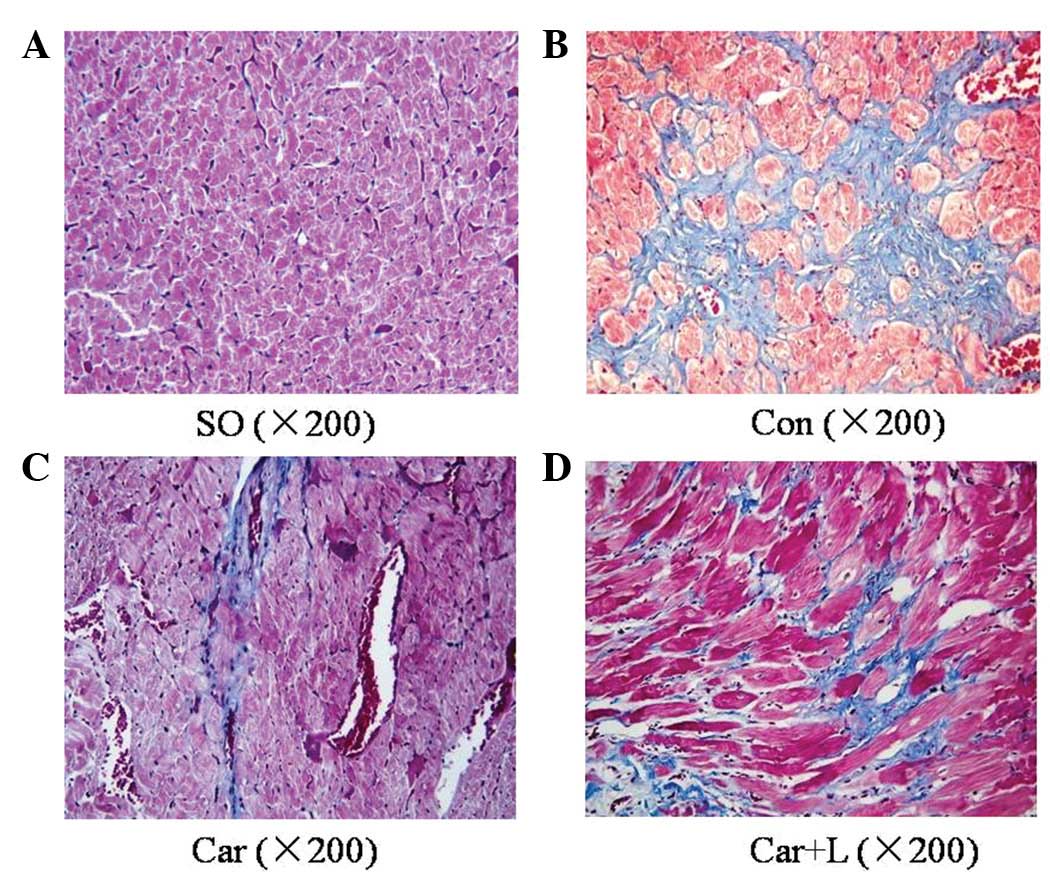
As a third-generation β-adrenergic blocker (β-blocker), carvedilol is able to reverse cardiac structural remodeling, however, its mechanism of action remains unclear. In order to investigate this mechanism, hypertension was induced in rats by unilateral renal artery narrowing. Additionally, carvedilol alone or carvedilol combined with L-NAME, a specific inhibitor of nitric oxide (NO) synthase, were administered to rats by gastric gavage for 8 weeks. Systolic blood pressure (SBP) was monitored once a week for each rat until sacrifice; the blood was kept to examine plasma NO level and the tissues were used for hematoxylin and eosin (H&E) and Masson's trichrome staining. Collagen volume fraction (CVF) and perivascular collagen area (PVCA) were calculated to quantitatively evaluate myocardial fibrosis. Our data showed that SBP was not different between the carvedilol-treated (Car) and carvedilol combined L-NAME groups (Car+L) at 8 weeks. Carvedilol significantly suppressed myocardial fibrosis and decreased both CVF and PVCA, although L-NAME blunted the effects caused by carvedilol. These results demonstrated that the effect caused by carvedilol on cardiac remodeling is largely dependent on endogenous NO.
View Figures

Figure 1

Figure 2

Figure 3

View References

1 

DiNicolantonio JJ and Hackam DG: Carvedilol: a third-generation β-blocker should be a first-choice β-blocker. Expert Rev Cardiovasc Ther. 10:13–25. 2012.

2 

Fonarow GC, Lukas MA, Robertson M, Colucci WS and Dargie HJ: Effects of carvedilol early after myocardial infarction: analysis of the first 30 days in Carvedilol Post-Infarct Survival Control in Left Ventricular Dysfunction (CAPRICORN). Am Heart J. 154:637–644. 2007. View Article : Google Scholar

3 

Bozkurt B, Bolos M, Deswal A, Ather S, Chan W, Mann DL and Carabello B: New insights into mechanisms of action of carvedilol treatment in chronic heart failure patients - a matter of time for contractility. J Card Fail. 18:183–193. 2012. View Article : Google Scholar : PubMed/NCBI

4 

Wei S, Chow LT and Sanderson JE: Effect of carvedilol in comparison with metoprolol on myocardial collagen postinfarction. J Am Coll Cardiol. 36:276–281. 2000. View Article : Google Scholar : PubMed/NCBI

5 

Afonso RA, Patarrão RS, Macedo MP and Carmo MM: Carvedilol’s actions are largely mediated by endogenous nitric oxide. Rev Port Cardiol. 25:911–917. 2006.

6 

Inaba S, Iwai M, Furuno M, Kanno H, Senba I, Okayama H, Mogi M, Higaki J and Horiuchi M: Role of angiotensin-converting enzyme 2 in cardiac hypertrophy induced by nitric oxide synthase inhibition. J Hypertens. 29:2236–2245. 2011. View Article : Google Scholar : PubMed/NCBI

7 

Li B, Liao YH, Cheng X, Ge H, Guo H and Wang M: Effects of carvedilol on cardiac cytokines expression and remodeling in rat with acute myocardial infarction. Int J Cardiol. 111:247–255. 2006. View Article : Google Scholar : PubMed/NCBI

8 

Rossoni G, Manfredi B, De Gennaro Colonna V, Berti M, Guazzi M and Berti F: Sildenafil reduces L-NAME-induced severe hypertension and worsening of myocardial ischaemia-reperfusion damage in the rat. Br J Pharmacol. 150:567–576. 2007. View Article : Google Scholar : PubMed/NCBI

9 

Isabelle M, Simonet S, Ragonnet C, Sansilvestri-Morel P, Clavreul N, Vayssettes-Courchay C and Verbeuren TJ: Chronic reduction of nitric oxide level in adult spontaneously hypertensive rats induces aortic stiffness similar to old spontaneously hypertensive rats. J Vasc Res. 49:309–318. 2012. View Article : Google Scholar : PubMed/NCBI

10 

Dulin B and Abraham WT: Pharmacology of carvedilol. Am J Cardiol. 93:3B–6B. 2004. View Article : Google Scholar

11 

Bellenger NG, Rajappan K, Rahman SL, Lahiri A, Raval U, Webster J, Murray GD, Coats AJ, Cleland JG and Pennell DJ; CHRISTMAS Study Steering Committee and Investigators. Effects of carvedilol on left ventricular remodelling in chronic stable heart failure: a cardiovascular magnetic resonance study. Heart. 90:760–764. 2004. View Article : Google Scholar : PubMed/NCBI

12 

Schulz R, Kelm M and Heusch G: Nitric oxide in myocardial ischemia/reperfusion injury. Cardiovasc Res. 61:402–413. 2004. View Article : Google Scholar : PubMed/NCBI

13 

Lindman BR and Chakinala MM: Modulating the nitric oxide - cyclic GMP pathway in the pressure-overloaded left ventricle and group II pulmonary hypertension. Int J Clin Pract Suppl. 168:15–22. 2010. View Article : Google Scholar : PubMed/NCBI

Related Articles

  • Abstract
  • View
  • Download
  • Twitter
Copy and paste a formatted citation
Spandidos Publications style
Chen J, Huang C, Zhang B, Huang Q, Chen J and Xu L: The effects of carvedilol on cardiac structural remodeling: The role of endogenous nitric oxide in the activity of carvedilol. Mol Med Rep 7: 1155-1158, 2013.
APA
Chen, J., Huang, C., Zhang, B., Huang, Q., Chen, J., & Xu, L. (2013). The effects of carvedilol on cardiac structural remodeling: The role of endogenous nitric oxide in the activity of carvedilol. Molecular Medicine Reports, 7, 1155-1158. https://doi.org/10.3892/mmr.2013.1329
MLA
Chen, J., Huang, C., Zhang, B., Huang, Q., Chen, J., Xu, L."The effects of carvedilol on cardiac structural remodeling: The role of endogenous nitric oxide in the activity of carvedilol". Molecular Medicine Reports 7.4 (2013): 1155-1158.
Chicago
Chen, J., Huang, C., Zhang, B., Huang, Q., Chen, J., Xu, L."The effects of carvedilol on cardiac structural remodeling: The role of endogenous nitric oxide in the activity of carvedilol". Molecular Medicine Reports 7, no. 4 (2013): 1155-1158. https://doi.org/10.3892/mmr.2013.1329
Copy and paste a formatted citation
x
Spandidos Publications style
Chen J, Huang C, Zhang B, Huang Q, Chen J and Xu L: The effects of carvedilol on cardiac structural remodeling: The role of endogenous nitric oxide in the activity of carvedilol. Mol Med Rep 7: 1155-1158, 2013.
APA
Chen, J., Huang, C., Zhang, B., Huang, Q., Chen, J., & Xu, L. (2013). The effects of carvedilol on cardiac structural remodeling: The role of endogenous nitric oxide in the activity of carvedilol. Molecular Medicine Reports, 7, 1155-1158. https://doi.org/10.3892/mmr.2013.1329
MLA
Chen, J., Huang, C., Zhang, B., Huang, Q., Chen, J., Xu, L."The effects of carvedilol on cardiac structural remodeling: The role of endogenous nitric oxide in the activity of carvedilol". Molecular Medicine Reports 7.4 (2013): 1155-1158.
Chicago
Chen, J., Huang, C., Zhang, B., Huang, Q., Chen, J., Xu, L."The effects of carvedilol on cardiac structural remodeling: The role of endogenous nitric oxide in the activity of carvedilol". Molecular Medicine Reports 7, no. 4 (2013): 1155-1158. https://doi.org/10.3892/mmr.2013.1329
Follow us
  • Twitter
  • LinkedIn
  • Facebook
About
  • Spandidos Publications
  • Careers
  • Cookie Policy
  • Privacy Policy
How can we help?
  • Help
  • Live Chat
  • Contact
  • Email to our Support Team