Spandidos Publications Logo
  • About
    • About Spandidos
    • Aims and Scopes
    • Abstracting and Indexing
    • Editorial Policies
    • Reprints and Permissions
    • Job Opportunities
    • Terms and Conditions
    • Contact
  • Journals
    • All Journals
    • Oncology Letters
      • Oncology Letters
      • Information for Authors
      • Editorial Policies
      • Editorial Board
      • Aims and Scope
      • Abstracting and Indexing
      • Bibliographic Information
      • Archive
    • International Journal of Oncology
      • International Journal of Oncology
      • Information for Authors
      • Editorial Policies
      • Editorial Board
      • Aims and Scope
      • Abstracting and Indexing
      • Bibliographic Information
      • Archive
    • Molecular and Clinical Oncology
      • Molecular and Clinical Oncology
      • Information for Authors
      • Editorial Policies
      • Editorial Board
      • Aims and Scope
      • Abstracting and Indexing
      • Bibliographic Information
      • Archive
    • Experimental and Therapeutic Medicine
      • Experimental and Therapeutic Medicine
      • Information for Authors
      • Editorial Policies
      • Editorial Board
      • Aims and Scope
      • Abstracting and Indexing
      • Bibliographic Information
      • Archive
    • International Journal of Molecular Medicine
      • International Journal of Molecular Medicine
      • Information for Authors
      • Editorial Policies
      • Editorial Board
      • Aims and Scope
      • Abstracting and Indexing
      • Bibliographic Information
      • Archive
    • Biomedical Reports
      • Biomedical Reports
      • Information for Authors
      • Editorial Policies
      • Editorial Board
      • Aims and Scope
      • Abstracting and Indexing
      • Bibliographic Information
      • Archive
    • Oncology Reports
      • Oncology Reports
      • Information for Authors
      • Editorial Policies
      • Editorial Board
      • Aims and Scope
      • Abstracting and Indexing
      • Bibliographic Information
      • Archive
    • Molecular Medicine Reports
      • Molecular Medicine Reports
      • Information for Authors
      • Editorial Policies
      • Editorial Board
      • Aims and Scope
      • Abstracting and Indexing
      • Bibliographic Information
      • Archive
    • World Academy of Sciences Journal
      • World Academy of Sciences Journal
      • Information for Authors
      • Editorial Policies
      • Editorial Board
      • Aims and Scope
      • Abstracting and Indexing
      • Bibliographic Information
      • Archive
    • International Journal of Functional Nutrition
      • International Journal of Functional Nutrition
      • Information for Authors
      • Editorial Policies
      • Editorial Board
      • Aims and Scope
      • Abstracting and Indexing
      • Bibliographic Information
      • Archive
    • International Journal of Epigenetics
      • International Journal of Epigenetics
      • Information for Authors
      • Editorial Policies
      • Editorial Board
      • Aims and Scope
      • Abstracting and Indexing
      • Bibliographic Information
      • Archive
    • Medicine International
      • Medicine International
      • Information for Authors
      • Editorial Policies
      • Editorial Board
      • Aims and Scope
      • Abstracting and Indexing
      • Bibliographic Information
      • Archive
  • Articles
  • Information
    • Information for Authors
    • Information for Reviewers
    • Information for Librarians
    • Information for Advertisers
    • Conferences
  • Language Editing
Spandidos Publications Logo
  • About
    • About Spandidos
    • Aims and Scopes
    • Abstracting and Indexing
    • Editorial Policies
    • Reprints and Permissions
    • Job Opportunities
    • Terms and Conditions
    • Contact
  • Journals
    • All Journals
    • Biomedical Reports
      • Information for Authors
      • Editorial Policies
      • Editorial Board
      • Aims and Scope
      • Abstracting and Indexing
      • Bibliographic Information
      • Archive
    • Experimental and Therapeutic Medicine
      • Information for Authors
      • Editorial Policies
      • Editorial Board
      • Aims and Scope
      • Abstracting and Indexing
      • Bibliographic Information
      • Archive
    • International Journal of Epigenetics
      • Information for Authors
      • Editorial Policies
      • Editorial Board
      • Aims and Scope
      • Abstracting and Indexing
      • Bibliographic Information
      • Archive
    • International Journal of Functional Nutrition
      • Information for Authors
      • Editorial Policies
      • Editorial Board
      • Aims and Scope
      • Abstracting and Indexing
      • Bibliographic Information
      • Archive
    • International Journal of Molecular Medicine
      • Information for Authors
      • Editorial Policies
      • Editorial Board
      • Aims and Scope
      • Abstracting and Indexing
      • Bibliographic Information
      • Archive
    • International Journal of Oncology
      • Information for Authors
      • Editorial Policies
      • Editorial Board
      • Aims and Scope
      • Abstracting and Indexing
      • Bibliographic Information
      • Archive
    • Medicine International
      • Information for Authors
      • Editorial Policies
      • Editorial Board
      • Aims and Scope
      • Abstracting and Indexing
      • Bibliographic Information
      • Archive
    • Molecular and Clinical Oncology
      • Information for Authors
      • Editorial Policies
      • Editorial Board
      • Aims and Scope
      • Abstracting and Indexing
      • Bibliographic Information
      • Archive
    • Molecular Medicine Reports
      • Information for Authors
      • Editorial Policies
      • Editorial Board
      • Aims and Scope
      • Abstracting and Indexing
      • Bibliographic Information
      • Archive
    • Oncology Letters
      • Information for Authors
      • Editorial Policies
      • Editorial Board
      • Aims and Scope
      • Abstracting and Indexing
      • Bibliographic Information
      • Archive
    • Oncology Reports
      • Information for Authors
      • Editorial Policies
      • Editorial Board
      • Aims and Scope
      • Abstracting and Indexing
      • Bibliographic Information
      • Archive
    • World Academy of Sciences Journal
      • Information for Authors
      • Editorial Policies
      • Editorial Board
      • Aims and Scope
      • Abstracting and Indexing
      • Bibliographic Information
      • Archive
  • Articles
  • Information
    • For Authors
    • For Reviewers
    • For Librarians
    • For Advertisers
    • Conferences
  • Language Editing
Login Register Submit
  • This site uses cookies
  • You can change your cookie settings at any time by following the instructions in our Cookie Policy. To find out more, you may read our Privacy Policy.

    I agree
Search articles by DOI, keyword, author or affiliation
Search
Advanced Search
presentation
Molecular Medicine Reports
Join Editorial Board Propose a Special Issue
Print ISSN: 1791-2997 Online ISSN: 1791-3004
Journal Cover
December-2014 Volume 10 Issue 6

Full Size Image

Sign up for eToc alerts
Recommend to Library

Journals

International Journal of Molecular Medicine

International Journal of Molecular Medicine

International Journal of Molecular Medicine is an international journal devoted to molecular mechanisms of human disease.

International Journal of Oncology

International Journal of Oncology

International Journal of Oncology is an international journal devoted to oncology research and cancer treatment.

Molecular Medicine Reports

Molecular Medicine Reports

Covers molecular medicine topics such as pharmacology, pathology, genetics, neuroscience, infectious diseases, molecular cardiology, and molecular surgery.

Oncology Reports

Oncology Reports

Oncology Reports is an international journal devoted to fundamental and applied research in Oncology.

Experimental and Therapeutic Medicine

Experimental and Therapeutic Medicine

Experimental and Therapeutic Medicine is an international journal devoted to laboratory and clinical medicine.

Oncology Letters

Oncology Letters

Oncology Letters is an international journal devoted to Experimental and Clinical Oncology.

Biomedical Reports

Biomedical Reports

Explores a wide range of biological and medical fields, including pharmacology, genetics, microbiology, neuroscience, and molecular cardiology.

Molecular and Clinical Oncology

Molecular and Clinical Oncology

International journal addressing all aspects of oncology research, from tumorigenesis and oncogenes to chemotherapy and metastasis.

World Academy of Sciences Journal

World Academy of Sciences Journal

Multidisciplinary open-access journal spanning biochemistry, genetics, neuroscience, environmental health, and synthetic biology.

International Journal of Functional Nutrition

International Journal of Functional Nutrition

Open-access journal combining biochemistry, pharmacology, immunology, and genetics to advance health through functional nutrition.

International Journal of Epigenetics

International Journal of Epigenetics

Publishes open-access research on using epigenetics to advance understanding and treatment of human disease.

Medicine International

Medicine International

An International Open Access Journal Devoted to General Medicine.

Journal Cover
December-2014 Volume 10 Issue 6

Full Size Image

Sign up for eToc alerts
Recommend to Library

  • Article
  • Citations
    • Cite This Article
    • Download Citation
    • Create Citation Alert
    • Remove Citation Alert
    • Cited By
  • Similar Articles
    • Related Articles (in Spandidos Publications)
    • Similar Articles (Google Scholar)
    • Similar Articles (PubMed)
  • Download PDF
  • Download XML
  • View XML
Article

Protective effect of Urtica dioica methanol extract against experimentally induced urinary calculi in rats

  • Authors:
    • Haiying Zhang
    • Ning Li
    • Kun Li
    • Peng Li
  • View Affiliations / Copyright

    Affiliations: Department of Urology, Yantai Hill Hospital, Yantai, Shandong 264001, P.R. China, Department of Gynecology and Obstetrics, The Affiliated Hospital of Shandong Academy of Medical Sciences, Jinan, Shandong 250031, P.R. China
  • Pages: 3157-3162
    |
    Published online on: October 8, 2014
       https://doi.org/10.3892/mmr.2014.2610
  • Expand metrics +
Metrics: Total Views: 0 (Spandidos Publications: | PMC Statistics: )
Metrics: Total PDF Downloads: 0 (Spandidos Publications: | PMC Statistics: )
Cited By (CrossRef): 0 citations Loading Articles...

This article is mentioned in:



Abstract

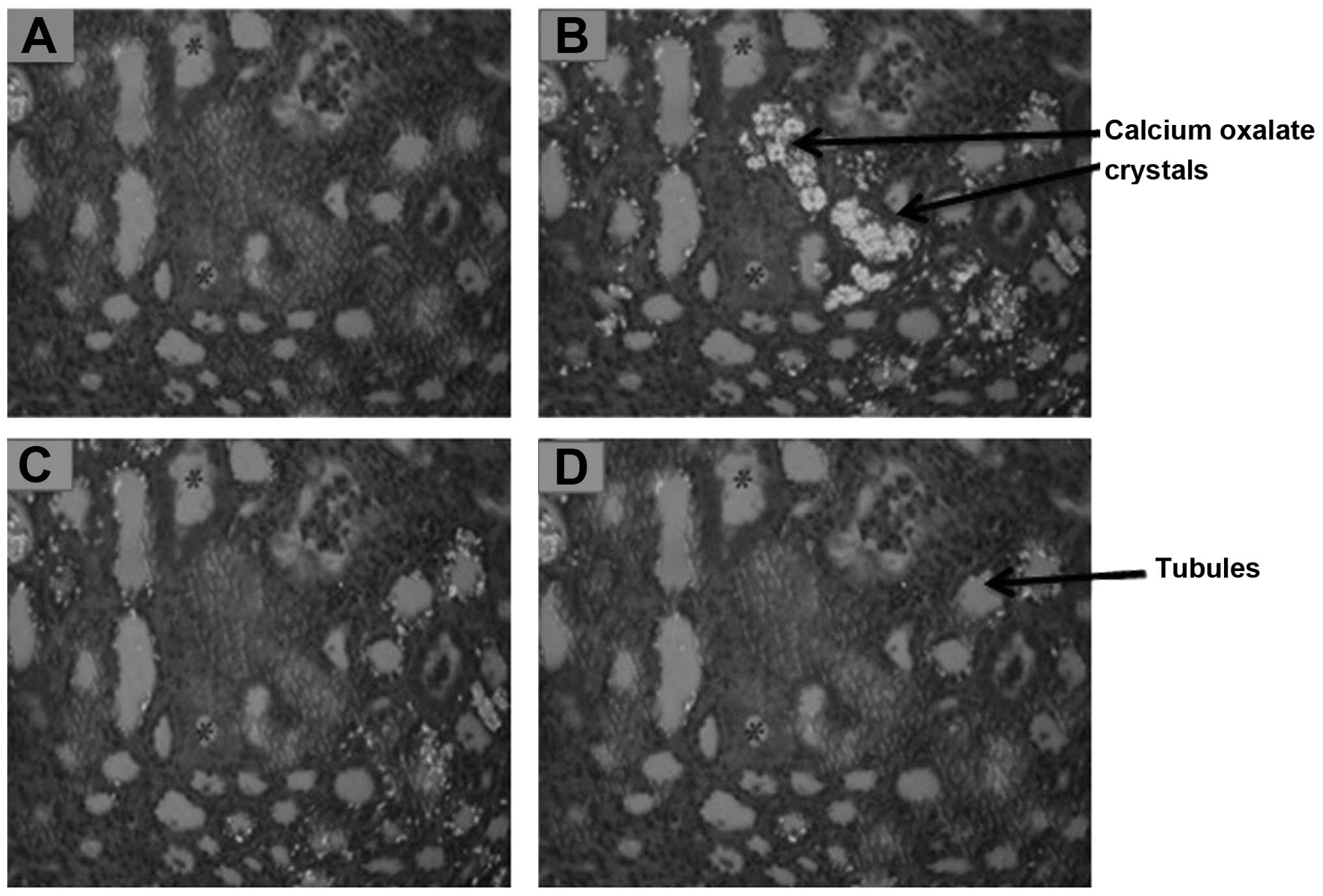
Renal calculi formation is one of the most common urological disorders. Urinary stone disease is a common disease, which affects 10‑12% of the population in industrialized countries. In males, the highest prevalence of the disease occurs between the age of 20 and 40 years, while in females, the highest incidence of the disease occurs later. Previous studies have shown that long‑term exposure to oxalate is toxic to renal epithelial cells and results in oxidative stress. In the present study, a methanolic extract of aerial parts of Urtica dioica was screened for antiurolithiatic activity against ethylene glycol and ammonium chloride‑induced calcium oxalate renal stones in male rats. In the control rats, ethylene glycol and ammonium chloride administration was observed to cause an increase in urinary calcium, oxalate and creatinine levels, as well as an increase in renal calcium and oxalate deposition. Histopathological observations revealed calcium oxalate microcrystal deposits in the kidney sections of the rats treated with ethylene glycol and ammonium chloride, indicating the induction of lithiasis. In the test rats, treatment with the methanolic extract of Urtica dioica was found to decrease the elevated levels of urinary calcium, oxalate and creatinine, and significantly decrease the renal deposition of calcium and oxalate. Furthermore, renal histological observations revealed a significant reduction in calcium oxalate crystal deposition in the test rats. Phytochemical analysis of the Urtica dioica extract was also performed using liquid chromatography‑electrospray ionization tandem mass spectrometry and high-performance liquid chromatography with photodiode array detection, to determine the chemical composition of the extract. The eight chemical constituents identified in the extract were protocatechuic acid, salicylic acid, luteolin, gossypetin, rutin, kaempferol‑3‑O‑rutinoside, kaempferol‑3‑O‑glucoside and chlorogenic acid. In conclusion, the results of the present study suggest that Urtica dioica has strong antiurolithiatic activity and may have potential as a natural therapeutic agent for various urological disorders.
View Figures

Figure 1

Figure 2

Figure 3

Figure 4

View References

1 

Robertson WG, Peacock M, Heyburn PJ, Marshall DH and Clark PB: Risk factors in calcium stone disease of the urinary tract. Br J Urol. 50:449–454. 1978. View Article : Google Scholar : PubMed/NCBI

2 

Buttterwick V and Khan SR: Herbal medicines in the management of urolithiasis: alternative or complimentary? Planta Med. 75:1095–1103. 2009. View Article : Google Scholar : PubMed/NCBI

3 

Pak CY: Citrate and renal calculi. Miner Electrolyte Metab. 13:257–266. 1987.PubMed/NCBI

4 

Gürocak S and Küpeli B: Consumption of historical and current phytotherapeutic agents for urolithiasis: a critical review. J Urol. 176:450–455. 2006.PubMed/NCBI

5 

Wasserstein AG: Nephrolithiasis: acute management and prevention. Dis Mon. 44:196–213. 1998. View Article : Google Scholar : PubMed/NCBI

6 

Chaussy C, Schmeidt E, Jochman D, et al: First clinical experience with extracorporeally induced destruction of kidney stones by shocks waves. J Urol. 127:417–420. 1982.PubMed/NCBI

7 

Cass AS: Comparison of first generation (Dornier HM3) and second generation (Medstone STS) lithotriptors: treatment results with 13, 863 renal and ureteral calculi. J Urol. 153:588–592. 1995. View Article : Google Scholar

8 

Gronau E, Pannek J, Böhme M and Senge T: Results of extracorporeal shock wave lithotripsy with a new electrohydraulic shock wave generator. Urol Int. 71:355–360. 2003. View Article : Google Scholar : PubMed/NCBI

9 

Lingeman JE, Siegel YI, Steele B, et al: Management of lower pole nephrolithiasis: a critical analysis. J Urol. 151:663–667. 1994.PubMed/NCBI

10 

Kerbl K, Clayman RV, Chandhoke PS, et al: Percutaneous stone removal with the patient in a flank position. J Urol. 151:686–688. 1994.PubMed/NCBI

11 

Grases F and Costa-Bauzá A: Study of factors affecting calcium oxalate crystalline aggregation. Br J Urol. 66:240–244. 1990. View Article : Google Scholar : PubMed/NCBI

12 

Hughes RE, Ellery P, Harry T, Jenkins V and Jones E: The dietary potential of the common nettle. J Sci Food Agric. 31:1279–1286. 1980. View Article : Google Scholar : PubMed/NCBI

13 

Vogl S, Picker P, Milhaly-Bison J, Fakhrudin N, Atanasov AG, Heiss EH, Wawrosch C, Reznicek G, Dirsch VM, Saukel J and Kopp B: Ethanopharmacological in vitro studies on Austria’s folk medicine - an unexplored lore in vitro anti-inflammatory activities of 71 Austrian traditional herbal drugs. J Ethanopharmacol. 149:750–771. 2013.PubMed/NCBI

14 

Lopatkin N, Sivikov A, Walther C, Schläfke S, Medvedev A, Avdeichuk J, Golubev G, Melnik K, Elenberger N and Engelman U: Long-term efficiency and safety of a combination of sabal and urtica extract for lower urinary tract symptoms - a placebo-controlled, double-blind, multicenter trial. World J Urol. 23:139–146. 2005. View Article : Google Scholar : PubMed/NCBI

15 

Safarinejad MR: Urtica dioica for the treatment of benign prostatic hyperplasia: a prospective, randomized, double-blind, placebo-controlled, crossover study. J Herb Pharmacother. 5:1–11. 2005. View Article : Google Scholar

16 

Khan SR and Glenton PA: Deposition of calcium phosphate and calcium oxalate crystals in the kidneys. J Urol. 153:811–817. 1995. View Article : Google Scholar : PubMed/NCBI

17 

Lorentz K: Improved determination of serum calcium with 2-cresolphthalein complexone. Clin Chim Acta. 126:327–334. 1982. View Article : Google Scholar : PubMed/NCBI

18 

Hodgkinson A: Calcium-containing stones: their causation and treatment. Postgrad Med J. 53(Suppl 2): 25–34. 1977.PubMed/NCBI

19 

Bowers LD and Wong ET: Kinetic serum creatinine assays. II A critical evaluation and review. Clin Chem. 26:555–561. 1980.PubMed/NCBI

20 

Akbay P, Basaran AA, Undeger U and Basaran N: In vitro immunomodulatory activity of flavonoid glycosides from Urtica dioica L. Phytother Res. 17:34–37. 2003. View Article : Google Scholar : PubMed/NCBI

21 

Budzianowski J: Caffeic acid esters from Urtica dioica and U. urens. Planta Med. 57:5071991. View Article : Google Scholar

22 

Grevsen K, Frette XC and Christensen LP: Concentration and composition of flavonol glycosides and phenolics acids in aerial parts of stinging nettle (Urtica dioica L.) are affected by nitrogen fertilization and by harvest times. Eur J Hortic Sci. 73:20–27. 2008.

23 

Kavtaradze NS, Alaniya MD and Aneli JN: Chemical components of Urtica dioica growing in Georgia. Chem Nat Compd. 37:2872001. View Article : Google Scholar

24 

Basaran AA, Akbay P, Undeger U and Basaran N: In vitro immunomodulatory and mutagenic activity of the flavonoid glycosides from Urtica dioica L. Toxicology. 164:171–172. 2001.

25 

Chaurasia N and Wichtl M: Flavonol glycosides from Urtica dioica. Planta Med. 53:432–434. 1987.

26 

Fu HY, Chen SJ, Chen RF, Ding WH, Kuo-Huang LL and Huang RN: Identification of oxalic acid and tartaric acid as major persistent pain-inducing toxins in the stinging hairs of nettles, Urtica thunbergiana. Ann Bot. 98:57–65. 2006. View Article : Google Scholar : PubMed/NCBI

27 

Leal JJ and Finlayson B: Adsorption of naturally occurring polymers onto calcium oxalate crystal surfaces. Invest Urol. 14:278–283. 1977.PubMed/NCBI

28 

King JS Jr: Etiologic factors involved in urolithiasis: a review of recent research. J Urol. 97:583–591. 1967.PubMed/NCBI

Related Articles

  • Abstract
  • View
  • Download
  • Twitter
Copy and paste a formatted citation
Spandidos Publications style
Zhang H, Li N, Li K and Li P: Protective effect of Urtica dioica methanol extract against experimentally induced urinary calculi in rats. Mol Med Rep 10: 3157-3162, 2014.
APA
Zhang, H., Li, N., Li, K., & Li, P. (2014). Protective effect of Urtica dioica methanol extract against experimentally induced urinary calculi in rats. Molecular Medicine Reports, 10, 3157-3162. https://doi.org/10.3892/mmr.2014.2610
MLA
Zhang, H., Li, N., Li, K., Li, P."Protective effect of Urtica dioica methanol extract against experimentally induced urinary calculi in rats". Molecular Medicine Reports 10.6 (2014): 3157-3162.
Chicago
Zhang, H., Li, N., Li, K., Li, P."Protective effect of Urtica dioica methanol extract against experimentally induced urinary calculi in rats". Molecular Medicine Reports 10, no. 6 (2014): 3157-3162. https://doi.org/10.3892/mmr.2014.2610
Copy and paste a formatted citation
x
Spandidos Publications style
Zhang H, Li N, Li K and Li P: Protective effect of Urtica dioica methanol extract against experimentally induced urinary calculi in rats. Mol Med Rep 10: 3157-3162, 2014.
APA
Zhang, H., Li, N., Li, K., & Li, P. (2014). Protective effect of Urtica dioica methanol extract against experimentally induced urinary calculi in rats. Molecular Medicine Reports, 10, 3157-3162. https://doi.org/10.3892/mmr.2014.2610
MLA
Zhang, H., Li, N., Li, K., Li, P."Protective effect of Urtica dioica methanol extract against experimentally induced urinary calculi in rats". Molecular Medicine Reports 10.6 (2014): 3157-3162.
Chicago
Zhang, H., Li, N., Li, K., Li, P."Protective effect of Urtica dioica methanol extract against experimentally induced urinary calculi in rats". Molecular Medicine Reports 10, no. 6 (2014): 3157-3162. https://doi.org/10.3892/mmr.2014.2610
Follow us
  • Twitter
  • LinkedIn
  • Facebook
About
  • Spandidos Publications
  • Careers
  • Cookie Policy
  • Privacy Policy
How can we help?
  • Help
  • Live Chat
  • Contact
  • Email to our Support Team