Spandidos Publications Logo
  • About
    • About Spandidos
    • Aims and Scopes
    • Abstracting and Indexing
    • Editorial Policies
    • Reprints and Permissions
    • Job Opportunities
    • Terms and Conditions
    • Contact
  • Journals
    • All Journals
    • Oncology Letters
      • Oncology Letters
      • Information for Authors
      • Editorial Policies
      • Editorial Board
      • Aims and Scope
      • Abstracting and Indexing
      • Bibliographic Information
      • Archive
    • International Journal of Oncology
      • International Journal of Oncology
      • Information for Authors
      • Editorial Policies
      • Editorial Board
      • Aims and Scope
      • Abstracting and Indexing
      • Bibliographic Information
      • Archive
    • Molecular and Clinical Oncology
      • Molecular and Clinical Oncology
      • Information for Authors
      • Editorial Policies
      • Editorial Board
      • Aims and Scope
      • Abstracting and Indexing
      • Bibliographic Information
      • Archive
    • Experimental and Therapeutic Medicine
      • Experimental and Therapeutic Medicine
      • Information for Authors
      • Editorial Policies
      • Editorial Board
      • Aims and Scope
      • Abstracting and Indexing
      • Bibliographic Information
      • Archive
    • International Journal of Molecular Medicine
      • International Journal of Molecular Medicine
      • Information for Authors
      • Editorial Policies
      • Editorial Board
      • Aims and Scope
      • Abstracting and Indexing
      • Bibliographic Information
      • Archive
    • Biomedical Reports
      • Biomedical Reports
      • Information for Authors
      • Editorial Policies
      • Editorial Board
      • Aims and Scope
      • Abstracting and Indexing
      • Bibliographic Information
      • Archive
    • Oncology Reports
      • Oncology Reports
      • Information for Authors
      • Editorial Policies
      • Editorial Board
      • Aims and Scope
      • Abstracting and Indexing
      • Bibliographic Information
      • Archive
    • Molecular Medicine Reports
      • Molecular Medicine Reports
      • Information for Authors
      • Editorial Policies
      • Editorial Board
      • Aims and Scope
      • Abstracting and Indexing
      • Bibliographic Information
      • Archive
    • World Academy of Sciences Journal
      • World Academy of Sciences Journal
      • Information for Authors
      • Editorial Policies
      • Editorial Board
      • Aims and Scope
      • Abstracting and Indexing
      • Bibliographic Information
      • Archive
    • International Journal of Functional Nutrition
      • International Journal of Functional Nutrition
      • Information for Authors
      • Editorial Policies
      • Editorial Board
      • Aims and Scope
      • Abstracting and Indexing
      • Bibliographic Information
      • Archive
    • International Journal of Epigenetics
      • International Journal of Epigenetics
      • Information for Authors
      • Editorial Policies
      • Editorial Board
      • Aims and Scope
      • Abstracting and Indexing
      • Bibliographic Information
      • Archive
    • Medicine International
      • Medicine International
      • Information for Authors
      • Editorial Policies
      • Editorial Board
      • Aims and Scope
      • Abstracting and Indexing
      • Bibliographic Information
      • Archive
  • Articles
  • Information
    • Information for Authors
    • Information for Reviewers
    • Information for Librarians
    • Information for Advertisers
    • Conferences
  • Language Editing
Spandidos Publications Logo
  • About
    • About Spandidos
    • Aims and Scopes
    • Abstracting and Indexing
    • Editorial Policies
    • Reprints and Permissions
    • Job Opportunities
    • Terms and Conditions
    • Contact
  • Journals
    • All Journals
    • Biomedical Reports
      • Information for Authors
      • Editorial Policies
      • Editorial Board
      • Aims and Scope
      • Abstracting and Indexing
      • Bibliographic Information
      • Archive
    • Experimental and Therapeutic Medicine
      • Information for Authors
      • Editorial Policies
      • Editorial Board
      • Aims and Scope
      • Abstracting and Indexing
      • Bibliographic Information
      • Archive
    • International Journal of Epigenetics
      • Information for Authors
      • Editorial Policies
      • Editorial Board
      • Aims and Scope
      • Abstracting and Indexing
      • Bibliographic Information
      • Archive
    • International Journal of Functional Nutrition
      • Information for Authors
      • Editorial Policies
      • Editorial Board
      • Aims and Scope
      • Abstracting and Indexing
      • Bibliographic Information
      • Archive
    • International Journal of Molecular Medicine
      • Information for Authors
      • Editorial Policies
      • Editorial Board
      • Aims and Scope
      • Abstracting and Indexing
      • Bibliographic Information
      • Archive
    • International Journal of Oncology
      • Information for Authors
      • Editorial Policies
      • Editorial Board
      • Aims and Scope
      • Abstracting and Indexing
      • Bibliographic Information
      • Archive
    • Medicine International
      • Information for Authors
      • Editorial Policies
      • Editorial Board
      • Aims and Scope
      • Abstracting and Indexing
      • Bibliographic Information
      • Archive
    • Molecular and Clinical Oncology
      • Information for Authors
      • Editorial Policies
      • Editorial Board
      • Aims and Scope
      • Abstracting and Indexing
      • Bibliographic Information
      • Archive
    • Molecular Medicine Reports
      • Information for Authors
      • Editorial Policies
      • Editorial Board
      • Aims and Scope
      • Abstracting and Indexing
      • Bibliographic Information
      • Archive
    • Oncology Letters
      • Information for Authors
      • Editorial Policies
      • Editorial Board
      • Aims and Scope
      • Abstracting and Indexing
      • Bibliographic Information
      • Archive
    • Oncology Reports
      • Information for Authors
      • Editorial Policies
      • Editorial Board
      • Aims and Scope
      • Abstracting and Indexing
      • Bibliographic Information
      • Archive
    • World Academy of Sciences Journal
      • Information for Authors
      • Editorial Policies
      • Editorial Board
      • Aims and Scope
      • Abstracting and Indexing
      • Bibliographic Information
      • Archive
  • Articles
  • Information
    • For Authors
    • For Reviewers
    • For Librarians
    • For Advertisers
    • Conferences
  • Language Editing
Login Register Submit
  • This site uses cookies
  • You can change your cookie settings at any time by following the instructions in our Cookie Policy. To find out more, you may read our Privacy Policy.

    I agree
Search articles by DOI, keyword, author or affiliation
Search
Advanced Search
presentation
Molecular Medicine Reports
Join Editorial Board Propose a Special Issue
Print ISSN: 1791-2997 Online ISSN: 1791-3004
Journal Cover
November-2015 Volume 12 Issue 5

Full Size Image

Sign up for eToc alerts
Recommend to Library

Journals

International Journal of Molecular Medicine

International Journal of Molecular Medicine

International Journal of Molecular Medicine is an international journal devoted to molecular mechanisms of human disease.

International Journal of Oncology

International Journal of Oncology

International Journal of Oncology is an international journal devoted to oncology research and cancer treatment.

Molecular Medicine Reports

Molecular Medicine Reports

Covers molecular medicine topics such as pharmacology, pathology, genetics, neuroscience, infectious diseases, molecular cardiology, and molecular surgery.

Oncology Reports

Oncology Reports

Oncology Reports is an international journal devoted to fundamental and applied research in Oncology.

Experimental and Therapeutic Medicine

Experimental and Therapeutic Medicine

Experimental and Therapeutic Medicine is an international journal devoted to laboratory and clinical medicine.

Oncology Letters

Oncology Letters

Oncology Letters is an international journal devoted to Experimental and Clinical Oncology.

Biomedical Reports

Biomedical Reports

Explores a wide range of biological and medical fields, including pharmacology, genetics, microbiology, neuroscience, and molecular cardiology.

Molecular and Clinical Oncology

Molecular and Clinical Oncology

International journal addressing all aspects of oncology research, from tumorigenesis and oncogenes to chemotherapy and metastasis.

World Academy of Sciences Journal

World Academy of Sciences Journal

Multidisciplinary open-access journal spanning biochemistry, genetics, neuroscience, environmental health, and synthetic biology.

International Journal of Functional Nutrition

International Journal of Functional Nutrition

Open-access journal combining biochemistry, pharmacology, immunology, and genetics to advance health through functional nutrition.

International Journal of Epigenetics

International Journal of Epigenetics

Publishes open-access research on using epigenetics to advance understanding and treatment of human disease.

Medicine International

Medicine International

An International Open Access Journal Devoted to General Medicine.

Journal Cover
November-2015 Volume 12 Issue 5

Full Size Image

Sign up for eToc alerts
Recommend to Library

  • Article
  • Citations
    • Cite This Article
    • Download Citation
    • Create Citation Alert
    • Remove Citation Alert
    • Cited By
  • Similar Articles
    • Related Articles (in Spandidos Publications)
    • Similar Articles (Google Scholar)
    • Similar Articles (PubMed)
  • Download PDF
  • Download XML
  • View XML
Article Open Access

Expression and purification of functional HMGB1 A box by fusion with SUMO

  • Authors:
    • Wen‑Song Ge
    • Jian‑Gao Fan
    • Ying‑Wei Chen
    • Lei‑Ming Xu
  • View Affiliations / Copyright

    Affiliations: Department of Gastroenterology, Shanghai Xinhua Hospital Affiliated to Shanghai Jiao Tong University School of Medicine, Shanghai 200092, P.R. China
    Copyright: © Ge et al. This is an open access article distributed under the terms of Creative Commons Attribution License.
  • Pages: 6527-6532
    |
    Published online on: September 9, 2015
       https://doi.org/10.3892/mmr.2015.4308
  • Expand metrics +
Metrics: Total Views: 0 (Spandidos Publications: | PMC Statistics: )
Metrics: Total PDF Downloads: 0 (Spandidos Publications: | PMC Statistics: )
Cited By (CrossRef): 0 citations Loading Articles...

This article is mentioned in:



Abstract

High‑mobility‑group‑box chromosomal protein 1 (HMGB1) is a ubiquitous and abundant nuclear protein in eukaryotic cells. Nuclear HMGB1 serves an important role in maintaining nuclear stability under stress. However, extracellular HMGB1 exerts actions, which are distinctly different compared with these intracellular functions. HMGB1, when released extracellularly, is a potent innate signal, which initiates host defense mechanisms or tissue regeneration. HMGB1 has two DNA‑binding domains: HMG A box and B box. The HMGB1 A box exhibits an antagonistic, anti‑inflammatory effect, and is a potential therapeutic target, however, the large‑scale expression and purification of the HMGB1 A box with high efficiency remains to be reported. In the present study, a SUMO‑fusion expression system was used to express and purify high levels of functional HMGB1 A box to meet the requirements of therapeutic protein production.

Introduction

High-mobility-group-box chromosomal protein 1 (HMGB1), a protein of 215 amino acids, is a ubiquitous and abundant nuclear protein in eukaryotic cells. As a nuclear protein, HMGB1 stabilizes nucleosomes and facilitates DNA replication, recombination, repair and gene transcription (1–4). Nuclear HMGB1 serves an important role in maintaining nuclear stability under stress (5,6). However, an increasing number of previous studies revealed that extracellular HMGB1 exerts actions, which are distinctly different compared with its intracellular functions (7–12). HMGB1 is able to be rapidly mobilized into the extracellular space, or it can be released passively as a cytokine by cells undergoing unprogrammed cell death or necrosis (6,13). HMGB1, when released extracellularly, is an extremely potent innate signal, which initiates host defense mechanisms or tissue regeneration (8), and it has been identified as a macrophage-stimulating factor and a pro-inflammatory mediator (10).

Serum HMGB1 levels are reported to be raised in patients with acute organ injuries, including trauma, stroke, acute myocardial infarction, acute respiratory distress, acute pancreatitis and ischemia-reperfusion injury (6). Additionally, the increases observed in circulating levels of the HMGB1 protein were positively correlated with the severity of the disease in human and animal models. Complete inhibition or neutralization of HMGB1 may attenuate the severity of these diseases, decrease the incidence of organ dysfunction and improve survival, and consequently there is a burgeoning interest in HMGB1 as a therapeutic target. Among the strategies investigated, agents which bind to HMGB1 and neutralize its activity, including antibodies raised against HMGB1 and molecules which inhibit HMGB1 activation or its interaction with specific receptors, are gathering attention.

HMGB1 has two separate and characteristic DNA-binding domains, termed the HMG A and B boxes. Each domain contains ~80 amino acid residues with a of molecular mass of ~10 kDa. The B box domain contains the pro-inflammatory cytokine functionality of the molecule, whereas the A box region exerts an antagonistic, anti-inflammatory effect, and is a putative therapeutic target (7). The purified A box has been identified as an antagonist of the pro-inflammatory actions of the HMGB1 B box, since it competes with HMGB1 for receptor activation and attenuates the HMGB1-induced release of pro-inflammatory cytokines (6). The HMGB1 A box markedly ameliorated damage status. For example, the administration of the HMGB1 A box in a mouse model of transient coronary vessel occlusion was associated with a marked attenuation of tissue damage, whereas systemically administered recombinant HMGB1 protein increased the severity of the damage by an appreciable extent (14). The administration of the A box markedly enhanced cardiac allograft survival, and it was associated with reduced levels of expression of tumor necrosis factor (TNF), interferon (IFN)-γ and HMGB1 in allografts (13). The administration of the HMGB1 A box protein to wild-type mice, into which HMGB1 had been injected directly into the hippo-campus, led to a marked attenuation in HMGB1-induced seizure severity (15). In a model which emulated collagen-induced arthritis inflammation, the damage was markedly attenuated by inhibitors of HMGB1, including anti-HMGB1 antibodies and HMGB1 A box protein (11). Additionally, the administration of the A box afforded a high level of protection against sepsis lethality, reduced the mean arthritis score, and circumvented disease-induced weight loss and the histological severity of arthritis (16). Consequently, counteracting extracellular HMGB1 with its specific antagonist, the HMGB1 A box, may offer a novel method for therapeutic intervention.

Rapid, efficient and cost-effective protein expression and purification strategies are required for the production of therapeutic proteins (17). The small ubiquitin-like modifier (SUMO) fusion expression system is able to meet these requirements. SUMO family proteins function as post-translational modifiers by making covalent and reversible connections with other proteins (18). SUMO and its associated enzymes are present in all eukaryotes, and are highly conserved from yeast to humans, although they are absent in prokaryotes (19–21). SUMO, fused at the N-terminus with heterologous proteins, was revealed to improve the folding of the protein of interest, to enhance its level of expression and to protect the protein from degradation via its chaperoning properties (22,23). SUMO-fusion proteins may be cleaved by SUMO proteases, which recognizes the three-dimensional structure of the SUMO protein rather than a specific peptide sequence, and the target protein is obtainable with its native N-terminus intact (17). The aim of the present study was to develop a SUMO-fusion expression system in order to express and purify high levels of the HMGB1 A box protein.

Materials and methods

Reagents

Primers were synthesized by Shanghai Generay Biotech Co., Ltd (Shanghai, China). The restriction enzymes StuI and HindIII were purchased from New England Biolabs, Ltd. (Beijing, China). The Taq DNA polymerase was obtained from Takara Biotechnology (Dalian) Co., Ltd. (Dalian, China). The reverse transcription-polymerase chain reaction (RT-PCR) purification, gel extraction and plasmid miniprep kits were purchased from Axygen (Corning Inc., Corning, NY, USA). The expression vector, pSumo-Mut, was modified and obtained from Novobio Scientific (Shanghai, China). Escherichia coli and ArcticExpress™ competent cells (DH5α and DE3 cells, respectively) were also obtained from Novobio Scientific. The Ni2+-IDA-Sepharose CL-6B affinity column was from Novagen®, Merck KGaA (Darmstadt, Germany). SUMO protease was purchased from Novobio Scientific, and the cell counting kit 8 (CCK8) was purchased from Dojindo Molecular Technologies, Inc. (Rockville, MD, USA). Lipopolysaccharide (LPS) was from Sigma-Aldrich (St. Louis, MO, USA). Enzyme-linked immunosorbent assay (ELISA) kits for TNF-α and IL-1β were obtained from R&D Systems China Co., Ltd. (Shanghai, China).

Construction of the SUMO-HMGB1-A-Box fusion protein expression vector

The full-length HMGB1 cDNA (NM_002128.4), with certain synonymous mutations incorporated to render it more appropriate for prokaryotic expression, was used as a template. Primers for the HMGB1-A-Box were synthesized, according to the sequence of the modified HMGB1 cDNA. The sequences of the primers were as follows: Forward, 5′-GGAGGTATGGGCAAAGGAGATCCTAAGAAG-3′ and reverse: 5′-AAGCTTTGTTTCCCCTTTAGGAGGGATATAG-3′. Thermal cycling conditions were as follows: 5 min at 94°C, followed by 30 cycles at 94°C for 30 sec, 51°C for 30 sec and 72°C for 30 sec using a T100 Thermal Cycler (Bio-Rad Laboratories, Inc., Hercules, CA, USA). Briefly, each PCR reaction mixture (100 µl) contained 10 µl 10X buffer, 20 µM dNTP, 2.5 µl Taq DNA polymerase, 1.5 mM Mg2+, 1 µl sense and antisense primers (2.5 µM), and 2 µg cDNA. The PCR products were digested with the restriction enzymes, StuI and HindIII, and were ligated into pre-digested vector, pSumo-Mut, to make the SUMO-HMGB1-A-BOX fusion protein expression vector, pSumo-Mut-HMGB1-A-BOX. The accuracy of the inserted DNA segment was confirmed by DNA sequencing at Genewix (Suxhou, China).

Induction and expression of the SUMO-HMGB1-A-Box fusion protein expression vector

Aliquots of 1 µl (~5 µg) recombinant pSumo-Mut-HMGB1-A-BOX plasmid harboring the accurate sequence of the SUMO-HMGB1-A-BOX fusion gene were transferred into ArcticExpress™ (DE3) cells (Agilent Technologies, Inc., Santa Clara, CA, USA). Single transformed colonies were inoculated into 3 ml lysogeny broth (LB), containing 50 µg/ml kanamycin (Sangon Biotech Co., Ltd., Shanghai, China), and agitated in a shaker (ZQZY-70Bl ZhiCu, Shanghai, China) at 5 × g overnight at 37°C. A total of 300 µl culture was transferred into 30 ml LB medium the following day, and this was cultured with agitation at 5 × g at 37°C until the absorbance at 600 nm reached 0.4. Isopro pyl-β-d-thiogalactopyranoside (IPTG; Sangon Biotech Co., Ltd.) was added into the culture at a final concentration of 0.2 mM. Following induction with agitation at 5 × g at 11°C for 4 h, the samples were prepared for subsequent expression analysis by SDS-PAGE (Bio-Rad Laboratories, Inc.) using 18% SDS-PAGE gels (Amresco LLC, Solon, OH, USA).

Purification of the SUMO-HMGB1-A-Box fusion protein expression vector

The cells were collected by centrifugation at 95 × g for 5 min at room temperature following IPTG induction. Cell pellets of 15 l bacterium solution were resuspended in 600 ml Ni2+-IDA binding buffer and lysed by sonication using an ultrasonic cell disruption system (FB705; Thermo Fisher Scientific, Waltham, MA, USA). The parameters of the sonicator were adjusted to 45% amplitude, 20 min sonication and 3 sec sonication with 3 sec between pulses. The lysate was subsequently centrifuged at 12,000 g for 20 min at 4°C. The supernatant was applied onto an Ni2+-IDA-Sepharose CL-6B affinity column pre-equilibrated with Ni2+-IDA binding buffer. Following washing of the column with Ni2+-IDA washing buffer [160 mM Tris-HCl (pH 7.9), 20 mM imidazole and 0.5 M NaCl], bound proteins were eluted with Ni2+-IDA elution buffer [160 mM Tris-HCl (pH 7.9), 250 mM imidazole and 0.5 M NaCl]. The fractions were collected prior to SDS-PAGE analysis.

Cleavage of the SUMO-HMGB1-A-BOX and subsequent purification of HMGB1-A-BOX

The purified fusion protein was dialyzed overnight with 20 mM Tris-HCl (pH 8.0) buffer. A total of 2 units SUMO protease/50 µg fusion protein was added and the mixture was incubated at 30°C for 30 min. The cleaved sample was applied onto the Ni2+-IDA-Sepharose CL-6B affinity column to separate the target HMGB1-A-BOX protein from the His-tagged SUMO-HMGB1-A-BOX, SUMO and SUMO protease. The purified protein, HMGB1-A-BOX, was dialyzed overnight with phosphate-buffered saline (PBS; pH 7.4). The concentration of purified HMGB1-A-BOX was evaluated using a Nanodrop 2000 UV-vis spectrophotometer (Thermo Fisher Scientific, Wilmington, DE, USA).

Cell culture

Murine macrophage-like RAW 264.7 cells were purchased from the cell bank of the Shanghai Institutes for Biological Sciences of the Chinese Academy of Sciences (Shanghai, China). Macrophage-like RAW 264.7 cells were cultured in Dulbecco's modified Eagle's medium, supplemented with 15% fetal bovine serum, 100 U/ml penicillin and 100 U/ml streptomycin (all from Invitrogen Life Technologies, Carlsbad, CA, USA) at 37°C with 5% CO2. The supernatant was replaced with fresh medium every 48 h, and cells, which were in a healthy condition with a viability >98%, were used for subsequent experiments.

Cell viability measurements and ELISA

A total of 100 µl macrophage-like RAW 264.7 cell suspension was seeded into 96-well plates at a density of 1×105/ml. LPS was added at a final concentration of 20 µg/ml. Following 1 h incubation with LPS, HMGB1-A-BOX protein at final concentrations of 100 or 200 µg/ml were added into the experimental group (Exp). An identical volume of PBS was added into the control group (Ctrl). Blank controls (Blank) were established with PBS and lacking LPS stimulation. Following 2, 6, 12, 24 or 48 h incubation, 10 µl CCK8 medium was added to corresponding wells, and the plates were incubated at 37°C for an additional 1 h. The absorbance at a wavelength of 450 nm (A) was determined using an ELISA reader (BioRad M450; Bio-Rad Laboratories, Inc.), and the cell viability was calculated according to the following equation: Cell viability = (AExp − ABlank)/(ACtrl − ABlank) × 100%. The data were acquired from experiments performed in triplicate. The concentration of TNF-α and IL-1β in the cell culture supernatants was determined by ELISA, according to the manufacturer's instructions.

Statistical analysis

The results are expressed as the mean ± standard deviation. Statistical analyses were performed using the paired Student's t-test, with paired comparisons being made where relevant using GraphPad Prism 5 (GraphPad Software, Inc., La Jolla, CA, USA). P<0.05 was considered to indicate a statistically significant difference.

Results

Construction of the SUMO-HMGB1-A-BOX expression strain

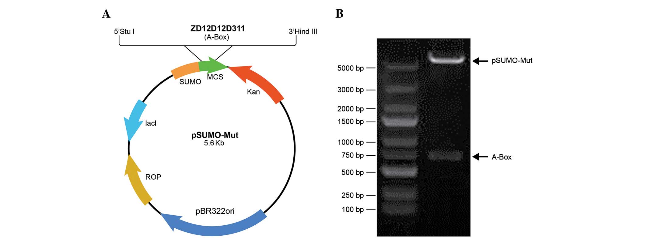
The PCR products of HMGB1-A-BOX were digested with the restriction enzymes, StuI and HindIII, and were ligated into pre-digested pSumo-Mut vector to create the SUMO-HMGB1-A-BOX fusion protein expression vector, pSumo-Mut-HMGB1-A-BOX (Fig. 1A). Two restriction enzyme sites, Xbal I and Xhol I, were located at the ends of the sequence of the fusion protein, and restriction enzyme analysis of the pSumo-Mut-HMGB1-A-BOX plasmid by Xbal I and Xhol I was performed to confirm that the construct of pSumo-Mut-HMGB1-A-BOX was obtained (Fig. 1B).

Figure 1

Construction of the pSumo-Mut-HMGB1-A-BOX expression vector. (A) The vector map of pSumo-Mut-HMGB1-A-BOX is shown. (B) The results of the restriction enzyme analysis of pSumo-Mut-HMGB1-A-BOX plasmid by cleavage with Xbal I and Xhol I are indicated. HMGB1, high-mobility-group box chromosomal protein 1 Kan, kanamycin; MCS, multiple coling site; SUMO, small ubiquitin-like modifier; lacI, lac repressor; ROP, repressor of primer.

Expression of the SUMO-HMGB1-A-BOX fusion protein

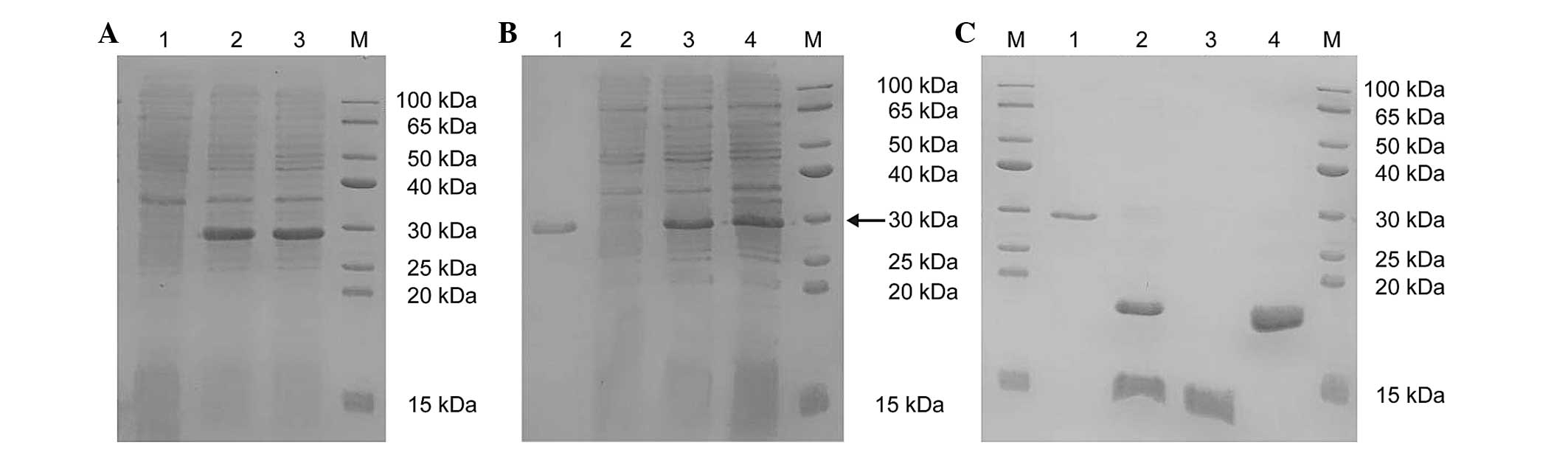
The recombinant plasmid, pSumo-Mut-HMGB1-A-BOX, harboring the accurate sequence of the SUMO-HMGB1-A-BOX fusion gene was transferred into ArcticExpress™ DE3 cells. A total of two single transformed colonies were inoculated and cultured on a large scale, prior to IPTG induction. Each colony expressed high levels of the SUMO-HMGB1-A-BOX fusion protein following 0.2 mM IPTG induction at 11°C for 4 h (Fig. 2A; lanes 2 and 3).

Figure 2

SDS-PAGE analysis of protein expression levels. (A) The SDS-PAGE analysis of the protein expression of SUMO-HMGB1-A-BOX (M, protein marker; lane 1, non-induced ArcticExpress™ (DE3 cells)/Sumo-Mut-HMGB1-A-BOX; lanes 2 and 3, supernatant of ArcticExpress™ (DE3)/pSumo-Mut-HMGB1-A-BOX induced at 11°C with 0.2 mM IPTG for 4 h). (B) The SDS-PAGE analysis of the purified SUMO-HMGB1-A-BOX fusion protein (M, protein marker; lane 1, precipitate of ArcticExpress™ (DE3 cells)/pSumo-Mut-HMGB1-A-BOX induced at 11°C with 0.2 mM IPTG for 4 h; lane 2, supernatant of ArcticExpress™ (DE3)/pSumo-Mut-HMGB1-A-BOX induced at 11°C with 0.2 mM IPTG for 4 h; lane 3, flow through; lane 4, purified SUMO-HMGB1-A-BOX eluted with Ni2+-IDA elution buffer containing 250 mM imidazole). The fusion protein is indicated by the black arrow. (C) The SDS-PAGE analysis of purified HMGB1-A-BOX protein (M, Protein marker; lane 1, purified SUMO-HMGB1-A-BOX fusion protein; lane 2, digested mixture of the purified fusion protein using SUMO protease at 30°C for 30 min; lane 3, purified target protein of HMGB1-A-BOX in the flow through; lane 4, remaining mixture eluted with the Ni2+-IDA elution buffer, containing 250 mM imidazole). HMGB1, high-mobility-group box chromosomal protein 1; IPTG, isopropyl-β-D-thiogalactopyranoside; SUMO, small ubiquitin-like modifier.

Purification of the SUMO-HMGB1-A-BOX fusion protein

Following IPTG induction, the cells were collected by centrifugation, and the cell pellets were resuspended in Ni2+-IDA binding buffer and lysed by sonication. The results of the SDS-PAGE experiment revealed that the SUMO-HMGB1-A-BOX fusion protein was expressed in the precipitate and in the supernatant of ArcticExpress™ DE3 cells/pSumo-Mut-HMGB1-A-BOX induced at 11°C with 0.2 mM IPTG for 4 h (Fig. 2B, lanes 1 and 2). The supernatant was loaded onto an Ni2+-IDA-Sepharose CL-6B affinity column pre-equilibrated with Ni2+-IDA binding buffer. Proteins with a His-tag were retained on the column, whereas proteins lacking the His-tag were removed by the Ni2+-IDA washing buffer. The bound fusion proteins were eluted with Ni2+-IDA elution buffer, containing 250 mM imidazole, and the purity was revealed to be >90% (Fig. 2B; lane 4).

Cleavage of the SUMO-HMGB1-A-BOX fusion protein and the subsequent purification of HMGB1-A-BOX

The HMGB1-A-BOX fusion protein was released by cleaving the purified SUMO-HMGB1-A-BOX with SUMO protease. The results of the SDS-PAGE experiment revealed that almost all the fusion protein was cleaved within 30 min at 30°C (Fig. 2C; lane 2). The digested mixture was subsequently reloaded onto the Ni2+-IDA-Sepharose CL-6B affinity column for further purification. Since all the non-cleaved fusion protein, SUMO fragments and SUMO protease possessed a His-tag and were retained on the column, the released HMGB1-A-BOX target protein was obtained in the flow-through, and the purity of HMGB1-A-BOX was revealed to be >90% (Fig. 2C; lane 3). The purified HMGB1-A-BOX protein was dialyzed overnight with PBS (pH 7.4), and the final concentration of purified HMGB1-A-BOX protein, and the total yield of this target protein, were determined to be 0.72 mg/ml and 10.8 mg, respectively.

HMGB1-A-BOX ameliorates LPS-impaired cell viability

Previous results have indicated that the HMGB1 protein may be released by LPS-activated RAW 264.7 cells, and this may contribute to the LPS-regulated cell viability (24). To assess the anti-inflammatory function of the HMGB1 A box following its expression and purification, the cell viability was evaluated following LPS treatment with or without HMGB1-A-Box incubation. After treatment with 20 µg/ml LPS for 1 h, the HMGB1-A-BOX protein at final concentrations of 100 and 200 µg/ml were added into the experimental groups and incubated for 2, 6, 12, 24 or 48 h. The control groups, with LPS stimulation only, demonstrated an impaired cell viability throughout the duration of the experiment. By contrast, the cell viability was gradually increased over time on addition of the HMGB1-A-BOX protein, and this increase was dose-dependent (Fig. 3). The cell viabilities at 48 h were 79.33±0.49% for the Control group (n=3), 109.26±0.63% for the group treated with 100 µg/ml HMGB1-A-BOX protein (n=3, P<0.05) and 118.81±0.64% for the group treated with 200 µg/ml HMGB1-A-BOX protein (n=3; P<0.05).

Figure 3

Effect of the HMGB1-A-BOX protein on the cell viability of LPS-treated RAW 264.7 cells. HMGB1-A-BOX protein at two concentrations (100 and 200 µg/l) was used to investigate the effect on the cell viability of LPS-treated RAW 264.7 cells. The data are expressed as the percentage viability of the cells at the respective time points throughout the duration of the experiment (up to 48 h). LPS, lipopolysaccharide.

HMGB1-A-BOX protein attenuates the levels of TNF-α and IL-1β

TNF-α and IL-1β are released at an early stage during the onset of systemic inflammatory responses (16). Furthermore, HMGB1 protein released by LPS-activated RAW 264.7 cells has been demonstrated to stimulate macrophages to release TNFα and IL-1β (12). Therefore, an objective of the present study was to observe the effect of the purified HMGB1-A-BOX protein on the levels of TNF-α and IL-1β stimulated by LPS/HMGB1 in the supernatant. The level of TNF-α in the control group reached a maximum at 48 h (Table I), whereas the level of IL-1β peaked at 12 h (Table II). The level of TNF-α was reduced immediately following a 2 h incubation with HMGB1-A-BOX, compared with the control group (P<0.05), and the inhibitory effect was time-dependent. The maximum inhibition of TNF-α was achieved following 48 h incubation with HMGB1-A-BOX and reached ~30.20% (P<0.05; Table I). The levels of IL-1β observed upon incubation with HMGB1-A-BOX were inhibited, reaching the maximum at 24 h, and this was postponed compared with the control group (Table II).

Table I

Effect of the HMGB1-A-BOX protein on the levels of TNFα in the supernatant (pg/ml).

Table I

Effect of the HMGB1-A-BOX protein on the levels of TNFα in the supernatant (pg/ml).

GroupNLevels of TNFα at various time points (h)
26122448
Ctrl203,339.5±56.33,569.7±69.33,673.4±82.54,102.7±66.36,189.8±71.4
Exp202,167.2±76.6a2,348.2±49.8a3,015.4±59.1a3,265.8±58.9a4,320.5±63.2a

{ label (or @symbol) needed for fn[@id='tfn1-mmr-12-05-6527'] } The data are expressed as the mean ± standard deviation from 20 samples per group.

a P<0.05, compared with the control group, using Student's t-test. Exp, experimental group; Ctrl, control group; HMGB1, high-mobility-group box chromosomal protein 1; N, number of samples; TNF, tumor necrosis factor.

Table II

Effect of the HMGB1-A-BOX protein on the levels of IL-1β in the supernatant (pg/ml).

Table II

Effect of the HMGB1-A-BOX protein on the levels of IL-1β in the supernatant (pg/ml).

GroupNLevels of IL-1β at various time points (h)
26122448
Ctrl203,216.1±44.23,389.6±49.63,521.9±51.73,306.8±62.73,209.3±47.6
Exp20 2,757.2±70.1a 2,978.5±39.4a 3,068.8±60.5a3,187.4±54.2 2,685.5±81.7a

{ label (or @symbol) needed for fn[@id='tfn3-mmr-12-05-6527'] } Data are expressed as the mean ± standard deviation from 20 samples per group.

a P<0.05, compared with the control group, using Student's t-test. Exp, experimental group; Ctrl, control group; HMGB1, high-mobility-group box chromosomal protein 1; N, number of samples; IL, interleukin.

Discussion

Theoretically, the size of the SUMO-fusion protein is ~24 kDa. However, the size of the SUMO-fused HMGB1-A-BOX protein, as determined by SDS-PAGE analysis, appeared to be marginally larger than the predicted size. The possible explanation for this phenomenon may be attributable to the SUMO protein itself: SUMO is a ubiquitin-like protein, which is able to form tertiary structures with itself (17), which consequently leads to increases in molecular weight. This was commonly observed when other SUMO-fusion proteins were being expressed. The sought-after target protein, HMGB1-A-BOX, is a low-molecular-weight protein of ~10 kDa. SUMO proteases have been observed to successfully cleave a broad range of sizes (6–110 kDa) of partner proteins fused to SUMO (17). The achievement in obtaining purified HMGB1-A-BOX protein with the SUMO-fusion expression system used in the present study also supported the capability of this expression system to accommodate SUMO fusion partner proteins.

Since the A box region of HMGB1 exerts an antagonistic, anti-inflammatory effect with therapeutic potential, the ultimate goal for expressing and purifying HMGB1-A-BOX is for therapeutic interventions. The production of therapeutic proteins is required to be rapid, efficient and cost-effective. Furthermore, tags should be removed in order that the protein activity is neither attenuated nor modified. Different methods used in preliminary investigations to express the HMGB1-A-BOX protein failed to yield satisfactory results (data not shown). The yields of the HMGB1-A-BOX fusion protein obtained with a glutathione S-transferase (GST) tag were acceptable, although removal of the GST tag affected the activity of the target protein. Expressing the target protein without a GST tag led to low solubility. One advantage of the SUMO-fusion technology used in the present study is that 10.8 mg soluble HMGB1-A-BOX protein of a purity >90% was obtained from 15 l bacterium solution. SUMO fusion was reported to enhance protein expression, solubility and purification in prokaryotes (22). This fusion technology is able to improve the expression of the recombinant proteins by protecting them from degradation. In addition, SUMO has an external hydrophilic surface and inner hydrophobic core, which may exert a detergent-like effect on otherwise-insoluble proteins (17,22). Furthermore, the presence of the His-tag on SUMO and the SUMO protease provides a simplified means of purification to obtain high levels of the target proteins. Notably, the lack of an endogenous SUMO protease in prokaryotes facilitated the use of SUMO as a purification tag in E. coli. SUMO proteases are accurate and efficient agents at cleaving the SUMO tag and in allowing for retention of the desired N-terminus, without the extraneous residues, which are usually produced by other proteases, since SUMO proteases recognize the tertiary structure of the SUMO tag instead of peptide sequences. The use of the SUMO-fusion expression system in the present study has overcome several problems, including low protein yield, precipitation of the target protein and a failure to recover active, structurally intact protein.

The recombinant A box of HMGB1 is antagonistic to the B box and full-length HMGB1 protein, and is considered to compete with HMGB1 for receptor activation. A previous study has reported that the recombinant HMGB1-A-BOX protein may attenuate the development of the inflammatory disease, thromboangiitis obliterans, in rat models, which provided further evidence that HMGB1-A-BOX may be a putative therapeutic protein for the treatment of certain inflammatory diseases (25). Furthermore, the truncation of HMGB1 into individual structural domains revealed that HMGB1-A-box, a DNA-binding motif, specifically antagonizes the activity of HMGB1 and rescues mice from lethal sepsis (9). Accordingly, strategies that target HMGB1 with specific antibodies or antagonists are potentially useful as therapies for lethal systemic inflammatory disease. The recombinant A box of HMGB1 obtained with SUMO fusion technology in the present study was demonstrated to attenuate the levels of TNF-α and IL-1β in the supernatant, and to ameliorate LPS-impaired cell viability. In addition, this technology has allowed the production of active HMGB1-A-BOX protein with a high yield and purity, which is valuable for producing high levels of this target protein for subsequent therapeutic studies.

Acknowledgments

This study was supported by the National Natural Science Foundation of China (no. 81200279), the Medical Engineering (Science) Cross-Research Fund of Shanghai Jiao Tong University (no. YG2011MS29) and the LI Jieshou Bowel Function Barrier Medical Foundation (no. LJS-201111).

References

1 

Bustin M, Lehn DA and Landsman D: Structural features of the HMG chromosomal proteins and their genes. Biochim Biophys Acta. 1049:231–243. 1990. View Article : Google Scholar : PubMed/NCBI

2 

Boonyaratanakornkit V, Melvin V, Prendergast P, Altmann M, Ronfani L, Bianchi ME, Taraseviciene L, Nordeen SK, Allegretto EA and Edwards DP: High-mobility group chromatin proteins 1 and 2 functionally interact with steroid hormone receptors to enhance their DNA binding in vitro and transcriptional activity in mammalian cells. Mol Cell Biol. 18:4471–4487. 1998. View Article : Google Scholar : PubMed/NCBI

3 

Melvin VS and Edwards DP: Coregulatory proteins in steroid hormone receptor action: The role of chromatin high mobility group proteins HMG-1 and -2. Steroids. 64:576–586. 1999. View Article : Google Scholar : PubMed/NCBI

4 

Vaccari T, Beltrame M, Ferrari S and Bianchi ME: Hmg4, a new member of the Hmg1/2 gene family. Genomics. 49:247–252. 1998. View Article : Google Scholar : PubMed/NCBI

5 

Funayama A, Shishido T, Netsu S, Narumi T, Kadowaki S, Takahashi H, Miyamoto T, Watanabe T, Woo CH, Abe J, et al: Cardiac nuclear high mobility group box 1 prevents the development of cardiac hypertrophy and heart failure. Cardiovasc Res. 99:657–664. 2013. View Article : Google Scholar : PubMed/NCBI

6 

Tsung A, Tohme S and Billiar TR: High mobility group box-1 in sterile inflammation. J Intern Med. 276:425–443. 2014. View Article : Google Scholar : PubMed/NCBI

7 

Dumitriu IE, Baruah P, Manfredi AA, Bianchi ME and Rovere-Querini P: HMGB1: Guiding immunity from within. Trends Immunol. 26:381–387. 2005. View Article : Google Scholar : PubMed/NCBI

8 

Yang D, Chen Q, Yang H, Tracey KJ, Bustin M and Oppenheim JJ: High mobility group box-1 protein induces the migration and activation of human dendritic cells and acts as an alarmin. J Leukoc Biol. 81:59–66. 2007. View Article : Google Scholar

9 

Yang H, Wang H, Czura CJ and Tracey KJ: HMGB1 as a cytokine and therapeutic target. J Endotoxin Res. 8:469–472. 2002. View Article : Google Scholar

10 

Andersson U and Tracey KJ: HMGB1 in sepsis. Scand J Infect Dis. 35:577–584. 2003. View Article : Google Scholar : PubMed/NCBI

11 

Kokkola R, Li J, Sundberg E, Aveberger AC, Palmblad K, Yang H, Tracey KJ, Andersson U and Harris HE: Successful treatment of collagen-induced arthritis in mice and rats by targeting extracellular high mobility group box chromosomal protein 1 activity. Arthritis Rheum. 48:2052–2058. 2003. View Article : Google Scholar : PubMed/NCBI

12 

Wang H, Bloom O, Zhang M, Vishnubhakat JM, Ombrellino M, Che J, Frazier A, Yang H, Ivanova S, Borovikova L, et al: HMG-1 as a late mediator of endotoxin lethality in mice. Science. 285:248–251. 1999. View Article : Google Scholar : PubMed/NCBI

13 

Huang Y, Yin H, Han J, Huang B, Xu J, Zheng F, Tan Z, Fang M, Rui L, Chen D, et al: Extracellular hmgb1 functions as an innate immune-mediator implicated in murine cardiac allograft acute rejection. Am J Transplant. 7:799–808. 2007. View Article : Google Scholar : PubMed/NCBI

14 

Andrassy M, Volz HC, Igwe JC, Funke B, Eichberger SN, Kaya Z, Buss S, Autschbach F, Pleger ST, Lukic IK, et al: High-mobility group box-1 in ischemia-reperfusion injury of the heart. Circulation. 117:3216–3226. 2008. View Article : Google Scholar : PubMed/NCBI

15 

Andersson U and Tracey KJ: HMGB1 is a therapeutic target for sterile inflammation and infection. Annu Rev Immunol. 29:139–162. 2011. View Article : Google Scholar : PubMed/NCBI

16 

Yang H, Ochani M, Li J, Qiang X, Tanovic M, Harris HE, Susarla SM, Ulloa L, Wang H, DiRaimo R, et al: Reversing established sepsis with antagonists of endogenous high-mobility group box 1. Proc Natl Acad Sci USA. 101:296–301. 2004. View Article : Google Scholar :

17 

Butt TR, Edavettal SC, Hall JP and Mattern MR: SUMO fusion technology for difficult-to-express proteins. Protein Expr Purif. 43:1–9. 2005. View Article : Google Scholar : PubMed/NCBI

18 

Johnson ES: Protein modification by SUMO. Annu Rev Biochem. 73:355–382. 2004. View Article : Google Scholar : PubMed/NCBI

19 

Hochstrasser M: Evolution and function of ubiquitin-like protein-conjugation systems. Nat Cell Biol. 2:E153–E157. 2000. View Article : Google Scholar : PubMed/NCBI

20 

Jentsch S and Pyrowolakis G: Ubiquitin and its kin: How close are the family ties? Trends Cell Biol. 10:335–342. 2000. View Article : Google Scholar : PubMed/NCBI

21 

Müller S, Hoege C, Pyrowolakis G and Jentsch S: SUMO, ubiquitin's mysterious cousin. Nat Rev Mol Cell Biol. 2:202–210. 2001. View Article : Google Scholar : PubMed/NCBI

22 

Malakhov MP, Mattern MR, Malakhova OA, Drinker M, Weeks SD and Butt TR: SUMO fusions and SUMO-specific protease for efficient expression and purification of proteins. J Struct Funct Genomics. 5:75–86. 2004. View Article : Google Scholar : PubMed/NCBI

23 

Zuo X, Mattern MR, Tan R, Li S, Hall J, Sterner DE, Shoo J, Tran H, Lim P, Sarafianos SG, et al: Expression and purification of SARS coronavirus proteins using SUMO-fusions. Protein Expr Purif. 42:100–110. 2005. View Article : Google Scholar : PubMed/NCBI

24 

Zhang Z, Zhang L, Zhou C and Wu H: Ketamine inhibits LPS-induced HGMB1 release in vitro and in vivo. Int Immunopharmacol. 23:14–26. 2014. View Article : Google Scholar : PubMed/NCBI

25 

Kong X, Yuan H, Wu X, Zhang J, Zhou H, Wang M, Liu Y and Jin X: High-mobility-group box protein 1A box reduces development of sodium laurate-induced thromboangiitis obliterans in rats. J Vasc Surg. 57:194–204. 2013. View Article : Google Scholar

Related Articles

  • Abstract
  • View
  • Download
  • Twitter
Copy and paste a formatted citation
Spandidos Publications style
Ge WS, Fan JG, Chen YW and Xu LM: Expression and purification of functional HMGB1 A box by fusion with SUMO. Mol Med Rep 12: 6527-6532, 2015.
APA
Ge, W., Fan, J., Chen, Y., & Xu, L. (2015). Expression and purification of functional HMGB1 A box by fusion with SUMO. Molecular Medicine Reports, 12, 6527-6532. https://doi.org/10.3892/mmr.2015.4308
MLA
Ge, W., Fan, J., Chen, Y., Xu, L."Expression and purification of functional HMGB1 A box by fusion with SUMO". Molecular Medicine Reports 12.5 (2015): 6527-6532.
Chicago
Ge, W., Fan, J., Chen, Y., Xu, L."Expression and purification of functional HMGB1 A box by fusion with SUMO". Molecular Medicine Reports 12, no. 5 (2015): 6527-6532. https://doi.org/10.3892/mmr.2015.4308
Copy and paste a formatted citation
x
Spandidos Publications style
Ge WS, Fan JG, Chen YW and Xu LM: Expression and purification of functional HMGB1 A box by fusion with SUMO. Mol Med Rep 12: 6527-6532, 2015.
APA
Ge, W., Fan, J., Chen, Y., & Xu, L. (2015). Expression and purification of functional HMGB1 A box by fusion with SUMO. Molecular Medicine Reports, 12, 6527-6532. https://doi.org/10.3892/mmr.2015.4308
MLA
Ge, W., Fan, J., Chen, Y., Xu, L."Expression and purification of functional HMGB1 A box by fusion with SUMO". Molecular Medicine Reports 12.5 (2015): 6527-6532.
Chicago
Ge, W., Fan, J., Chen, Y., Xu, L."Expression and purification of functional HMGB1 A box by fusion with SUMO". Molecular Medicine Reports 12, no. 5 (2015): 6527-6532. https://doi.org/10.3892/mmr.2015.4308
Follow us
  • Twitter
  • LinkedIn
  • Facebook
About
  • Spandidos Publications
  • Careers
  • Cookie Policy
  • Privacy Policy
How can we help?
  • Help
  • Live Chat
  • Contact
  • Email to our Support Team