Spandidos Publications Logo
  • About
    • About Spandidos
    • Aims and Scopes
    • Abstracting and Indexing
    • Editorial Policies
    • Reprints and Permissions
    • Job Opportunities
    • Terms and Conditions
    • Contact
  • Journals
    • All Journals
    • Oncology Letters
      • Oncology Letters
      • Information for Authors
      • Editorial Policies
      • Editorial Board
      • Aims and Scope
      • Abstracting and Indexing
      • Bibliographic Information
      • Archive
    • International Journal of Oncology
      • International Journal of Oncology
      • Information for Authors
      • Editorial Policies
      • Editorial Board
      • Aims and Scope
      • Abstracting and Indexing
      • Bibliographic Information
      • Archive
    • Molecular and Clinical Oncology
      • Molecular and Clinical Oncology
      • Information for Authors
      • Editorial Policies
      • Editorial Board
      • Aims and Scope
      • Abstracting and Indexing
      • Bibliographic Information
      • Archive
    • Experimental and Therapeutic Medicine
      • Experimental and Therapeutic Medicine
      • Information for Authors
      • Editorial Policies
      • Editorial Board
      • Aims and Scope
      • Abstracting and Indexing
      • Bibliographic Information
      • Archive
    • International Journal of Molecular Medicine
      • International Journal of Molecular Medicine
      • Information for Authors
      • Editorial Policies
      • Editorial Board
      • Aims and Scope
      • Abstracting and Indexing
      • Bibliographic Information
      • Archive
    • Biomedical Reports
      • Biomedical Reports
      • Information for Authors
      • Editorial Policies
      • Editorial Board
      • Aims and Scope
      • Abstracting and Indexing
      • Bibliographic Information
      • Archive
    • Oncology Reports
      • Oncology Reports
      • Information for Authors
      • Editorial Policies
      • Editorial Board
      • Aims and Scope
      • Abstracting and Indexing
      • Bibliographic Information
      • Archive
    • Molecular Medicine Reports
      • Molecular Medicine Reports
      • Information for Authors
      • Editorial Policies
      • Editorial Board
      • Aims and Scope
      • Abstracting and Indexing
      • Bibliographic Information
      • Archive
    • World Academy of Sciences Journal
      • World Academy of Sciences Journal
      • Information for Authors
      • Editorial Policies
      • Editorial Board
      • Aims and Scope
      • Abstracting and Indexing
      • Bibliographic Information
      • Archive
    • International Journal of Functional Nutrition
      • International Journal of Functional Nutrition
      • Information for Authors
      • Editorial Policies
      • Editorial Board
      • Aims and Scope
      • Abstracting and Indexing
      • Bibliographic Information
      • Archive
    • International Journal of Epigenetics
      • International Journal of Epigenetics
      • Information for Authors
      • Editorial Policies
      • Editorial Board
      • Aims and Scope
      • Abstracting and Indexing
      • Bibliographic Information
      • Archive
    • Medicine International
      • Medicine International
      • Information for Authors
      • Editorial Policies
      • Editorial Board
      • Aims and Scope
      • Abstracting and Indexing
      • Bibliographic Information
      • Archive
  • Articles
  • Information
    • Information for Authors
    • Information for Reviewers
    • Information for Librarians
    • Information for Advertisers
    • Conferences
  • Language Editing
Spandidos Publications Logo
  • About
    • About Spandidos
    • Aims and Scopes
    • Abstracting and Indexing
    • Editorial Policies
    • Reprints and Permissions
    • Job Opportunities
    • Terms and Conditions
    • Contact
  • Journals
    • All Journals
    • Biomedical Reports
      • Information for Authors
      • Editorial Policies
      • Editorial Board
      • Aims and Scope
      • Abstracting and Indexing
      • Bibliographic Information
      • Archive
    • Experimental and Therapeutic Medicine
      • Information for Authors
      • Editorial Policies
      • Editorial Board
      • Aims and Scope
      • Abstracting and Indexing
      • Bibliographic Information
      • Archive
    • International Journal of Epigenetics
      • Information for Authors
      • Editorial Policies
      • Editorial Board
      • Aims and Scope
      • Abstracting and Indexing
      • Bibliographic Information
      • Archive
    • International Journal of Functional Nutrition
      • Information for Authors
      • Editorial Policies
      • Editorial Board
      • Aims and Scope
      • Abstracting and Indexing
      • Bibliographic Information
      • Archive
    • International Journal of Molecular Medicine
      • Information for Authors
      • Editorial Policies
      • Editorial Board
      • Aims and Scope
      • Abstracting and Indexing
      • Bibliographic Information
      • Archive
    • International Journal of Oncology
      • Information for Authors
      • Editorial Policies
      • Editorial Board
      • Aims and Scope
      • Abstracting and Indexing
      • Bibliographic Information
      • Archive
    • Medicine International
      • Information for Authors
      • Editorial Policies
      • Editorial Board
      • Aims and Scope
      • Abstracting and Indexing
      • Bibliographic Information
      • Archive
    • Molecular and Clinical Oncology
      • Information for Authors
      • Editorial Policies
      • Editorial Board
      • Aims and Scope
      • Abstracting and Indexing
      • Bibliographic Information
      • Archive
    • Molecular Medicine Reports
      • Information for Authors
      • Editorial Policies
      • Editorial Board
      • Aims and Scope
      • Abstracting and Indexing
      • Bibliographic Information
      • Archive
    • Oncology Letters
      • Information for Authors
      • Editorial Policies
      • Editorial Board
      • Aims and Scope
      • Abstracting and Indexing
      • Bibliographic Information
      • Archive
    • Oncology Reports
      • Information for Authors
      • Editorial Policies
      • Editorial Board
      • Aims and Scope
      • Abstracting and Indexing
      • Bibliographic Information
      • Archive
    • World Academy of Sciences Journal
      • Information for Authors
      • Editorial Policies
      • Editorial Board
      • Aims and Scope
      • Abstracting and Indexing
      • Bibliographic Information
      • Archive
  • Articles
  • Information
    • For Authors
    • For Reviewers
    • For Librarians
    • For Advertisers
    • Conferences
  • Language Editing
Login Register Submit
  • This site uses cookies
  • You can change your cookie settings at any time by following the instructions in our Cookie Policy. To find out more, you may read our Privacy Policy.

    I agree
Search articles by DOI, keyword, author or affiliation
Search
Advanced Search
presentation
Molecular Medicine Reports
Join Editorial Board Propose a Special Issue
Print ISSN: 1791-2997 Online ISSN: 1791-3004
Journal Cover
July-2016 Volume 14 Issue 1

Full Size Image

Sign up for eToc alerts
Recommend to Library

Journals

International Journal of Molecular Medicine

International Journal of Molecular Medicine

International Journal of Molecular Medicine is an international journal devoted to molecular mechanisms of human disease.

International Journal of Oncology

International Journal of Oncology

International Journal of Oncology is an international journal devoted to oncology research and cancer treatment.

Molecular Medicine Reports

Molecular Medicine Reports

Covers molecular medicine topics such as pharmacology, pathology, genetics, neuroscience, infectious diseases, molecular cardiology, and molecular surgery.

Oncology Reports

Oncology Reports

Oncology Reports is an international journal devoted to fundamental and applied research in Oncology.

Experimental and Therapeutic Medicine

Experimental and Therapeutic Medicine

Experimental and Therapeutic Medicine is an international journal devoted to laboratory and clinical medicine.

Oncology Letters

Oncology Letters

Oncology Letters is an international journal devoted to Experimental and Clinical Oncology.

Biomedical Reports

Biomedical Reports

Explores a wide range of biological and medical fields, including pharmacology, genetics, microbiology, neuroscience, and molecular cardiology.

Molecular and Clinical Oncology

Molecular and Clinical Oncology

International journal addressing all aspects of oncology research, from tumorigenesis and oncogenes to chemotherapy and metastasis.

World Academy of Sciences Journal

World Academy of Sciences Journal

Multidisciplinary open-access journal spanning biochemistry, genetics, neuroscience, environmental health, and synthetic biology.

International Journal of Functional Nutrition

International Journal of Functional Nutrition

Open-access journal combining biochemistry, pharmacology, immunology, and genetics to advance health through functional nutrition.

International Journal of Epigenetics

International Journal of Epigenetics

Publishes open-access research on using epigenetics to advance understanding and treatment of human disease.

Medicine International

Medicine International

An International Open Access Journal Devoted to General Medicine.

Journal Cover
July-2016 Volume 14 Issue 1

Full Size Image

Sign up for eToc alerts
Recommend to Library

  • Article
  • Citations
    • Cite This Article
    • Download Citation
    • Create Citation Alert
    • Remove Citation Alert
    • Cited By
  • Similar Articles
    • Related Articles (in Spandidos Publications)
    • Similar Articles (Google Scholar)
    • Similar Articles (PubMed)
  • Download PDF
  • Download XML
  • View XML
Article Open Access

Influence of different types of contact hypersensitivity on imiquimod-induced psoriasis-like inflammation in mice

  • Authors:
    • Shuang Bai
    • Zhenying Zhang
    • Suchun Hou
    • Xiaoming Liu
  • View Affiliations / Copyright

    Affiliations: Department of Dermatology and Venereology, The First Affiliated Hospital of Dalian Medical University, Dalian, Liaoning 116011, P.R. China, Department of Dermatology and Venereology, The University of Hong Kong‑Shenzhen Hospital, Shenzhen, Guangdong 518053, P.R. China
    Copyright: © Bai et al. This is an open access article distributed under the terms of Creative Commons Attribution License.
  • Pages: 671-680
    |
    Published online on: May 18, 2016
       https://doi.org/10.3892/mmr.2016.5299
  • Expand metrics +
Metrics: Total Views: 0 (Spandidos Publications: | PMC Statistics: )
Metrics: Total PDF Downloads: 0 (Spandidos Publications: | PMC Statistics: )
Cited By (CrossRef): 0 citations Loading Articles...

This article is mentioned in:



Abstract

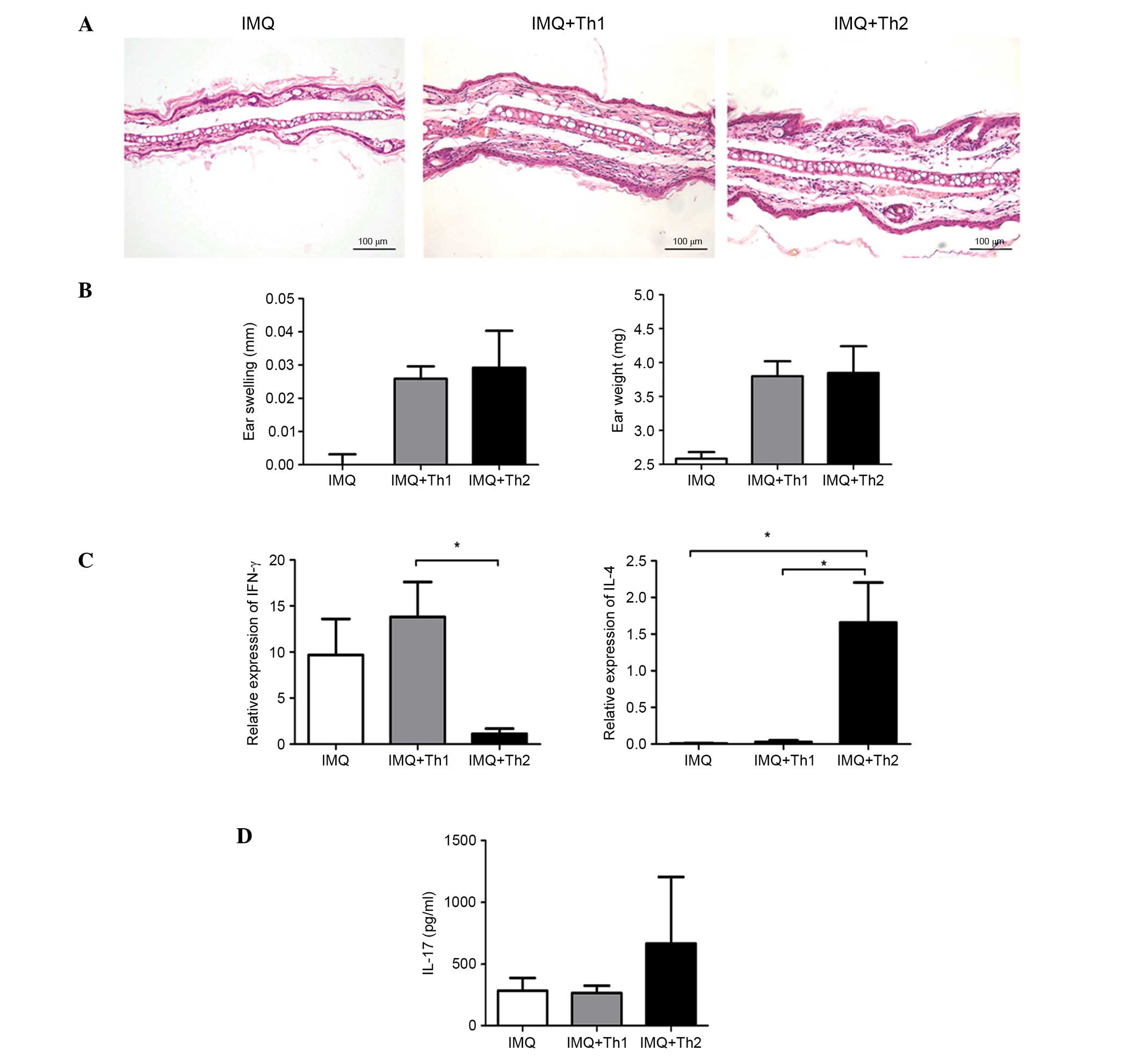
It is currently believed that psoriasis and allergic contact dermatitis (ACD) are different diseases; however, they share clinical similarities. The involvement of T helper 17 (Th17) cells in these disorders provides a novel opportunity to investigate the relationship between them. The present study aimed to determine whether the same or overlapping inflammatory pathways are involved in the two diseases, and the influence of different types of ACD on psoriasis. Compound mouse models of Th1 or Th2‑type contact hypersensitivity (CHS) combined with imiquimod (IMQ)‑induced psoriasis‑like inflammation were established, in order to mimic the characteristics of ACD and psoriasis. Histopathology, immunohistochemistry and cytokine detection in blood serum and tissues were used to compare the differences between the mice treated with IMQ alone or IMQ combined with Th1 and Th2‑type CHS. As compared with the IMQ‑treated mice or IMQ-treated Th1‑type CHS mice, the mice with Th2‑type CHS treated with IMQ exhibited more serious psoriasis‑like inflammation with increased epidermal thickness and infiltrating cells in the derma. High mRNA expression levels of interleukin (IL)‑17, IL‑22, IL‑23, TNF‑α and RORγt were detected in back skin lesions. Additionally, high levels of IL‑17 and IL‑22 in blood serum were detected in IMQ‑treated mice combined with Th2‑type CHS. The mice treated with IMQ alone, and IMQ treatment combined with Th1‑type CHS had a comparable psoriasis‑like inflammatory response in the back skin. In conclusion, these data demonstrate that Th2‑type CHS exacerbated the IMQ‑treated psoriatic inflammation of mice via the IL‑23/IL‑17 axis. Th17 cells and associated pathways may link ACD and psoriasis. Therefore, patients with psoriasis should avoid contact with specific sensitizers, such as fragrance and rubber products, which may induce Th2 polarization.
View Figures

Figure 1

Figure 2

Figure 3

Figure 4

Figure 5

Figure 6

Figure 7

View References

1 

Bangsgaard N, Engkilde K, Thyssen JP, Linneberg A, Nielsen NH, Menné T, Skov L and Johansen JD: Inverse relationship between contact allergy and psoriasis: Results from a patient- and a population-based study. Br J Dermatol. 161:1119–1123. 2009. View Article : Google Scholar : PubMed/NCBI

2 

Guttman-Yassky E, Nograles KE and Krueger JG: Contrasting pathogenesis of atopic dermatitis and psoriasis-part I: Clinical and pathologic concepts. J Allergy Clin Immunol. 127:1110–1118. 2011. View Article : Google Scholar : PubMed/NCBI

3 

Guttman-Yassky E, Nograles KE and Krueger JG: Contrasting pathogenesis of atopic dermatitis and psoriasis-part II: Immune cell subsets and therapeutic concepts. J Allergy Clin Immunol. 127:1420–1432. 2011. View Article : Google Scholar : PubMed/NCBI

4 

Camargo CM, Brotas AM, Ramos-e-Silva M and Carneiro S: Isomorphic phenomenon of Koebner: Facts and controversies. Clin Dermatol. 31:741–749. 2013. View Article : Google Scholar : PubMed/NCBI

5 

Kurz C, Wunderlich S, Spieler D, Schwaiger BJ, Andres C, Traidl-Hoffmann C and Ilg R: Acute transverse myelitis and psoriasiform dermatitis associated with Sjoegren's syndrome: A case report. BMC Res Notes. 7:5802014. View Article : Google Scholar : PubMed/NCBI

6 

Jain S, Kaur IR, Das S, Bhattacharya SN and Singh A: T helper 1 to T helper 2 shift in cytokine expression: An autoregulatory process in superantigen-associated psoriasis progression? J Med Microbiol. 58:180–184. 2009. View Article : Google Scholar : PubMed/NCBI

7 

Martin DA, Towne JE, Kricorian G, Klekotka P, Gudjonsson JE, Krueger JG and Russell CB: The emerging role of IL-17 in the pathogenesis of psoriasis: Preclinical and clinical findings. J Invest Dermatol. 133:17–26. 2013. View Article : Google Scholar

8 

Lynde CW, Poulin Y, Vender R, Bourcier M and Khalil S: Interleukin 17A: Toward a new understanding of psoriasis pathogenesis. J Am Acad Dermatol. 71:141–150. 2014. View Article : Google Scholar : PubMed/NCBI

9 

Michalak-Stoma A, Bartosińska J, Kowal M, Juszkiewicz-Borowiec M, Gerkowicz A and Chodorowska G: Serum levels of selected Th17 and Th22 cytokines in psoriatic patients. Dis Markers. 35:625–631. 2013. View Article : Google Scholar : PubMed/NCBI

10 

Nakajima K: Critical role of the interleukin-23/T-helper 17 cell axis in the pathogenesis of psoriasis. J Dermatol. 39:219–224. 2012. View Article : Google Scholar : PubMed/NCBI

11 

Works MG, Yin F, Yin CC, Yiu Y, Shew K, Tran TT, Dunlap N, Lam J, Mitchell T, Reader J, et al: Inhibition of TYK2 and JAK1 ameliorates imiquimod-induced psoriasis-like dermatitis by inhibiting IL-22 and the IL-23/IL-17 axis. J Immunol. 193:3278–3287. 2014. View Article : Google Scholar : PubMed/NCBI

12 

Honda T, Egawa G, Grabbe S and Kabashima K: Update of immune events in the murine contact hypersensitivity model: Toward the understanding of allergic contact dermatitis. J Invest Dermatol. 133:303–315. 2013. View Article : Google Scholar

13 

Sugaya M, Kuwano Y, Suga H, Miyagaki T, Ohmatsu H, Kadono T, Okochi H, Blauvelt A, Tamaki K and Sato S: Lymphatic dysfunction impairs antigen-specific immunization, but augments tissue swelling following contact with allergens. J Invest Dermatol. 132:667–676. 2012. View Article : Google Scholar

14 

Nakajima S, Kitoh A, Egawa G, Natsuaki Y, Nakamizo S, Moniaga CS, Otsuka A, Honda T, Hanakawa S, Amano W, et al: IL-17A as an inducer for Th2 immune responses in murine atopic dermatitis models. J Invest Dermatol. 134:2122–2130. 2014. View Article : Google Scholar : PubMed/NCBI

15 

Dhingra N, Shemer A, Correa da Rosa J, Rozenblit M, Fuen-tes-Duculan J, Gittler JK, Finney R, Czarnowicki T, Zheng X, Xu H, et al: Molecular profiling of contact dermatitis skin identifies allergen-dependent differences in immune response. J Allergy Clin Immunol. 134:362–372. 2014. View Article : Google Scholar : PubMed/NCBI

16 

Hopkins JE, Naisbitt DJ, Kitteringham NR, Dearman RJ, Kimber I and Park BK: Selective haptenation of cellular or extra-cellular protein by chemical allergens: Association with cytokine polarization. Chem Res Toxicol. 18:375–381. 2005. View Article : Google Scholar : PubMed/NCBI

17 

Ogawa A, Yoshizaki A, Yanaba K, Ogawa F, Hara T, Muroi E, Takenaka M, Shimizu K, Hasegawa M, Fujimoto M, et al: The differential role of L-selectin and ICAM-1 in Th1-type and Th2-type contact hypersensitivity. J Invest Dermatol. 130:1558–1570. 2010. View Article : Google Scholar : PubMed/NCBI

18 

Larsen JM, Bonefeld CM, Poulsen SS, Geisler C and Skov L: IL-23 and T (H)17-mediated inflammation in human allergic contact dermatitis. J Allergy Clin Immunol. 123:486–492. 2009. View Article : Google Scholar

19 

van Beelen AJ, Teunissen MB, Kapsenberg ML and de Jong EC: Interleukin-17 in inflammatory skin disorders. Curr Opin Allergy Clin Immunol. 7:374–381. 2007. View Article : Google Scholar : PubMed/NCBI

20 

Louten J, Boniface K and de Waal Malefyt R: Development and function of TH17 cells in health and disease. J Allergy Clin Immunol. 123:1004–1011. 2009. View Article : Google Scholar : PubMed/NCBI

21 

Jovanović M, Boza P, Karadaglić D, Brkić S, Petrović A, Mimica-Dukić N, Anackov G and Poljacki M: Contact sensitivity in patients with psoriasis in Vojvodina. Int Arch Allergy Immunol. 148:311–320. 2009. View Article : Google Scholar

22 

Pigatto PD: Atopy and contact sensitization in psoriasis. Acta Derm Venereol Suppl (Stockh). 19–20. 2000. View Article : Google Scholar

23 

van der Fits L, Mourits S, Voerman JS, Kant M, Boon L, Laman JD, Cornelissen F, Mus AM, Florencia E, Prens EP and Lubberts E: Imiquimod-induced psoriasis-like skin inflammation in mice is mediated via the IL-23/IL-17 axis. J Immunol. 182:5836–5845. 2009. View Article : Google Scholar : PubMed/NCBI

24 

Qin S, Wen J, Bai XC, Chen TY, Zheng RC, Zhou GB, Ma J, Feng JY, Zhong BL and Li YM: Endogenous n-3 polyunsaturated fatty acids protect against imiquimod-induced psoriasis-like inflammation via the IL-17/IL-23 axis. Mol Med Rep. 9:2097–2104. 2014.PubMed/NCBI

25 

Onoue A, Kabashima K, Kobayashi M, Mori T and Tokura Y: Induction of eosinophil- and Th2-attracting epidermal chemokines and cutaneous late-phase reaction in tape-stripped skin. Exp Dermatol. 18:1036–1043. 2009. View Article : Google Scholar : PubMed/NCBI

26 

Livak KJ and Schmittgen TD: Analysis of relative gene expression data using real-time quantitative PCR and the 2(-Delta Delta C(T)) method. Methods. 25:402–408. 2001. View Article : Google Scholar

27 

Rabin RL and Levinson AI: The nexus between atopic disease and autoimmunity: A review of the epidemiological and mechanistic literature. Clin Exp Immunol. 153:19–30. 2008. View Article : Google Scholar : PubMed/NCBI

28 

Ghoreschi K, Weigert C and Röcken M: Immunopathogenesis and role of T cells in psoriasis. Clin Dermatol. 25:574–580. 2007. View Article : Google Scholar : PubMed/NCBI

29 

Cai Y, Fleming C and Yan J: New insights of T cells in the pathogenesis of psoriasis. Cell Mol Immunol. 9:302–309. 2012. View Article : Google Scholar : PubMed/NCBI

30 

Al-Robaee AA, Al-Zolibani AA, Al-Shobili HA, Kazamel A and Settin A: IL-10 implications in psoriasis. Int J Health Sci (Qassim). 2:53–58. 2008.

31 

Weigert C, Röcken M and Ghoreschi K: Interleukin 4 as a potential drug candidate for psoriasis. Expert Opin Drug Discov. 3:357–368. 2008. View Article : Google Scholar : PubMed/NCBI

32 

Nishimoto S, Kotani H, Tsuruta S, Shimizu N, Ito M, Shichita T, Morita R, Takahashi H, Amagai M and Yoshimura A: Th17 cells carrying TCR recognizing epidermal autoantigen induce psoriasis-like skin inflammation. J Immunol. 191:3065–3072. 2013. View Article : Google Scholar : PubMed/NCBI

33 

Singh TP, Schön MP, Wallbrecht K, Michaelis K, Rinner B, Mayer G, Schmidbauer U, Strohmaier H, Wang XJ and Wolf P: 8-methoxypsoralen plus ultraviolet A therapy acts via inhibition of the IL-23/Th17 axis and induction of Foxp3+regulatory T cells involving CTLA4 signaling in a psoriasis-like skin disorder. J Immunol. 184:7257–7267. 2010. View Article : Google Scholar : PubMed/NCBI

34 

Lowes MA, Russell CB, Martin DA, Towne JE and Krueger JG: The IL-23/T17 pathogenic axis in psoriasis is amplified by keratinocyte responses. Trends Immunol. 34:174–181. 2013. View Article : Google Scholar : PubMed/NCBI

35 

Nakagawa R, Yoshida H, Asakawa M, Tamiya T, Inoue N, Morita R, Inoue H, Nakao A and Yoshimura A: Pyridone 6, a pan-JAK inhibitor, ameliorates allergic skin inflammation of NC/Nga mice via suppression of Th2 and enhancement of Th17. J Immunol. 187:4611–4620. 2011. View Article : Google Scholar : PubMed/NCBI

36 

Volpe E, Pattarini L, Martinez-Cingolani C, Meller S, Donnadieu MH, Bogiatzi SI, Fernandez MI, Touzot M, Bichet JC, Reyal F, et al: Thymic stromal lymphopoietin links keratinocytes and dendritic cell-derived IL-23 in patients with psoriasis. J Allergy Clin Immunol. 134:373–381. 2014. View Article : Google Scholar : PubMed/NCBI

37 

Moss C, Friedmann PS and Shuster S: Impaired contact hypersensitivity in untreated psoriasis and the effects of photochemotherapy and dithranol/UV-B. Br J Dermatol. 105:503–508. 1981. View Article : Google Scholar : PubMed/NCBI

38 

Bangsgaard N, Engkilde K, Menné T, Løvendorf M, Jacobsen GK, Olsen J and Skov L: Impaired hapten sensitization in patients with autoimmune disease. Clin Exp Immunol. 165:310–317. 2011. View Article : Google Scholar : PubMed/NCBI

39 

Hajdarbegovic E, Nijsten T, Westgeest A, Habraken F, Hollestein L and Thio B: Decreased prevalence of atopic features in patients with psoriatic arthritis, but not in psoriasis vulgaris. J Am Acad Dermatol. 68:270–277. 2013. View Article : Google Scholar

40 

Caca-Biljanovska N, V'Lckova-Laskoska M, Balabanova-Stefanova M and Grivceva-Panovska V: Frequency of delayed-type hypersensitivity to contact allergens in palmo-plantar psoriasis. Prilozi. 26:131–141. 2005.

41 

Krupashankar DS and Manivasagam SR: Prevalence and relevance of secondary contact sensitizers in subjects with psoriasis. Indian Dermatol Online J. 3:177–181. 2012. View Article : Google Scholar : PubMed/NCBI

42 

Malhotra V, Kaur I, Saraswat A and Kumar B: Frequency of patch-test positivity in patients with psoriasis: A prospective controlled study. Acta Derm Venereol. 82:432–435. 2002. View Article : Google Scholar

Related Articles

  • Abstract
  • View
  • Download
  • Twitter
Copy and paste a formatted citation
Spandidos Publications style
Bai S, Zhang Z, Hou S and Liu X: Influence of different types of contact hypersensitivity on imiquimod-induced psoriasis-like inflammation in mice. Mol Med Rep 14: 671-680, 2016.
APA
Bai, S., Zhang, Z., Hou, S., & Liu, X. (2016). Influence of different types of contact hypersensitivity on imiquimod-induced psoriasis-like inflammation in mice. Molecular Medicine Reports, 14, 671-680. https://doi.org/10.3892/mmr.2016.5299
MLA
Bai, S., Zhang, Z., Hou, S., Liu, X."Influence of different types of contact hypersensitivity on imiquimod-induced psoriasis-like inflammation in mice". Molecular Medicine Reports 14.1 (2016): 671-680.
Chicago
Bai, S., Zhang, Z., Hou, S., Liu, X."Influence of different types of contact hypersensitivity on imiquimod-induced psoriasis-like inflammation in mice". Molecular Medicine Reports 14, no. 1 (2016): 671-680. https://doi.org/10.3892/mmr.2016.5299
Copy and paste a formatted citation
x
Spandidos Publications style
Bai S, Zhang Z, Hou S and Liu X: Influence of different types of contact hypersensitivity on imiquimod-induced psoriasis-like inflammation in mice. Mol Med Rep 14: 671-680, 2016.
APA
Bai, S., Zhang, Z., Hou, S., & Liu, X. (2016). Influence of different types of contact hypersensitivity on imiquimod-induced psoriasis-like inflammation in mice. Molecular Medicine Reports, 14, 671-680. https://doi.org/10.3892/mmr.2016.5299
MLA
Bai, S., Zhang, Z., Hou, S., Liu, X."Influence of different types of contact hypersensitivity on imiquimod-induced psoriasis-like inflammation in mice". Molecular Medicine Reports 14.1 (2016): 671-680.
Chicago
Bai, S., Zhang, Z., Hou, S., Liu, X."Influence of different types of contact hypersensitivity on imiquimod-induced psoriasis-like inflammation in mice". Molecular Medicine Reports 14, no. 1 (2016): 671-680. https://doi.org/10.3892/mmr.2016.5299
Follow us
  • Twitter
  • LinkedIn
  • Facebook
About
  • Spandidos Publications
  • Careers
  • Cookie Policy
  • Privacy Policy
How can we help?
  • Help
  • Live Chat
  • Contact
  • Email to our Support Team