Spandidos Publications Logo
  • About
    • About Spandidos
    • Aims and Scopes
    • Abstracting and Indexing
    • Editorial Policies
    • Reprints and Permissions
    • Job Opportunities
    • Terms and Conditions
    • Contact
  • Journals
    • All Journals
    • Oncology Letters
      • Oncology Letters
      • Information for Authors
      • Editorial Policies
      • Editorial Board
      • Aims and Scope
      • Abstracting and Indexing
      • Bibliographic Information
      • Archive
    • International Journal of Oncology
      • International Journal of Oncology
      • Information for Authors
      • Editorial Policies
      • Editorial Board
      • Aims and Scope
      • Abstracting and Indexing
      • Bibliographic Information
      • Archive
    • Molecular and Clinical Oncology
      • Molecular and Clinical Oncology
      • Information for Authors
      • Editorial Policies
      • Editorial Board
      • Aims and Scope
      • Abstracting and Indexing
      • Bibliographic Information
      • Archive
    • Experimental and Therapeutic Medicine
      • Experimental and Therapeutic Medicine
      • Information for Authors
      • Editorial Policies
      • Editorial Board
      • Aims and Scope
      • Abstracting and Indexing
      • Bibliographic Information
      • Archive
    • International Journal of Molecular Medicine
      • International Journal of Molecular Medicine
      • Information for Authors
      • Editorial Policies
      • Editorial Board
      • Aims and Scope
      • Abstracting and Indexing
      • Bibliographic Information
      • Archive
    • Biomedical Reports
      • Biomedical Reports
      • Information for Authors
      • Editorial Policies
      • Editorial Board
      • Aims and Scope
      • Abstracting and Indexing
      • Bibliographic Information
      • Archive
    • Oncology Reports
      • Oncology Reports
      • Information for Authors
      • Editorial Policies
      • Editorial Board
      • Aims and Scope
      • Abstracting and Indexing
      • Bibliographic Information
      • Archive
    • Molecular Medicine Reports
      • Molecular Medicine Reports
      • Information for Authors
      • Editorial Policies
      • Editorial Board
      • Aims and Scope
      • Abstracting and Indexing
      • Bibliographic Information
      • Archive
    • World Academy of Sciences Journal
      • World Academy of Sciences Journal
      • Information for Authors
      • Editorial Policies
      • Editorial Board
      • Aims and Scope
      • Abstracting and Indexing
      • Bibliographic Information
      • Archive
    • International Journal of Functional Nutrition
      • International Journal of Functional Nutrition
      • Information for Authors
      • Editorial Policies
      • Editorial Board
      • Aims and Scope
      • Abstracting and Indexing
      • Bibliographic Information
      • Archive
    • International Journal of Epigenetics
      • International Journal of Epigenetics
      • Information for Authors
      • Editorial Policies
      • Editorial Board
      • Aims and Scope
      • Abstracting and Indexing
      • Bibliographic Information
      • Archive
    • Medicine International
      • Medicine International
      • Information for Authors
      • Editorial Policies
      • Editorial Board
      • Aims and Scope
      • Abstracting and Indexing
      • Bibliographic Information
      • Archive
  • Articles
  • Information
    • Information for Authors
    • Information for Reviewers
    • Information for Librarians
    • Information for Advertisers
    • Conferences
  • Language Editing
Spandidos Publications Logo
  • About
    • About Spandidos
    • Aims and Scopes
    • Abstracting and Indexing
    • Editorial Policies
    • Reprints and Permissions
    • Job Opportunities
    • Terms and Conditions
    • Contact
  • Journals
    • All Journals
    • Biomedical Reports
      • Information for Authors
      • Editorial Policies
      • Editorial Board
      • Aims and Scope
      • Abstracting and Indexing
      • Bibliographic Information
      • Archive
    • Experimental and Therapeutic Medicine
      • Information for Authors
      • Editorial Policies
      • Editorial Board
      • Aims and Scope
      • Abstracting and Indexing
      • Bibliographic Information
      • Archive
    • International Journal of Epigenetics
      • Information for Authors
      • Editorial Policies
      • Editorial Board
      • Aims and Scope
      • Abstracting and Indexing
      • Bibliographic Information
      • Archive
    • International Journal of Functional Nutrition
      • Information for Authors
      • Editorial Policies
      • Editorial Board
      • Aims and Scope
      • Abstracting and Indexing
      • Bibliographic Information
      • Archive
    • International Journal of Molecular Medicine
      • Information for Authors
      • Editorial Policies
      • Editorial Board
      • Aims and Scope
      • Abstracting and Indexing
      • Bibliographic Information
      • Archive
    • International Journal of Oncology
      • Information for Authors
      • Editorial Policies
      • Editorial Board
      • Aims and Scope
      • Abstracting and Indexing
      • Bibliographic Information
      • Archive
    • Medicine International
      • Information for Authors
      • Editorial Policies
      • Editorial Board
      • Aims and Scope
      • Abstracting and Indexing
      • Bibliographic Information
      • Archive
    • Molecular and Clinical Oncology
      • Information for Authors
      • Editorial Policies
      • Editorial Board
      • Aims and Scope
      • Abstracting and Indexing
      • Bibliographic Information
      • Archive
    • Molecular Medicine Reports
      • Information for Authors
      • Editorial Policies
      • Editorial Board
      • Aims and Scope
      • Abstracting and Indexing
      • Bibliographic Information
      • Archive
    • Oncology Letters
      • Information for Authors
      • Editorial Policies
      • Editorial Board
      • Aims and Scope
      • Abstracting and Indexing
      • Bibliographic Information
      • Archive
    • Oncology Reports
      • Information for Authors
      • Editorial Policies
      • Editorial Board
      • Aims and Scope
      • Abstracting and Indexing
      • Bibliographic Information
      • Archive
    • World Academy of Sciences Journal
      • Information for Authors
      • Editorial Policies
      • Editorial Board
      • Aims and Scope
      • Abstracting and Indexing
      • Bibliographic Information
      • Archive
  • Articles
  • Information
    • For Authors
    • For Reviewers
    • For Librarians
    • For Advertisers
    • Conferences
  • Language Editing
Login Register Submit
  • This site uses cookies
  • You can change your cookie settings at any time by following the instructions in our Cookie Policy. To find out more, you may read our Privacy Policy.

    I agree
Search articles by DOI, keyword, author or affiliation
Search
Advanced Search
presentation
Molecular Medicine Reports
Join Editorial Board Propose a Special Issue
Print ISSN: 1791-2997 Online ISSN: 1791-3004
Journal Cover
July-2016 Volume 14 Issue 1

Full Size Image

Sign up for eToc alerts
Recommend to Library

Journals

International Journal of Molecular Medicine

International Journal of Molecular Medicine

International Journal of Molecular Medicine is an international journal devoted to molecular mechanisms of human disease.

International Journal of Oncology

International Journal of Oncology

International Journal of Oncology is an international journal devoted to oncology research and cancer treatment.

Molecular Medicine Reports

Molecular Medicine Reports

Covers molecular medicine topics such as pharmacology, pathology, genetics, neuroscience, infectious diseases, molecular cardiology, and molecular surgery.

Oncology Reports

Oncology Reports

Oncology Reports is an international journal devoted to fundamental and applied research in Oncology.

Experimental and Therapeutic Medicine

Experimental and Therapeutic Medicine

Experimental and Therapeutic Medicine is an international journal devoted to laboratory and clinical medicine.

Oncology Letters

Oncology Letters

Oncology Letters is an international journal devoted to Experimental and Clinical Oncology.

Biomedical Reports

Biomedical Reports

Explores a wide range of biological and medical fields, including pharmacology, genetics, microbiology, neuroscience, and molecular cardiology.

Molecular and Clinical Oncology

Molecular and Clinical Oncology

International journal addressing all aspects of oncology research, from tumorigenesis and oncogenes to chemotherapy and metastasis.

World Academy of Sciences Journal

World Academy of Sciences Journal

Multidisciplinary open-access journal spanning biochemistry, genetics, neuroscience, environmental health, and synthetic biology.

International Journal of Functional Nutrition

International Journal of Functional Nutrition

Open-access journal combining biochemistry, pharmacology, immunology, and genetics to advance health through functional nutrition.

International Journal of Epigenetics

International Journal of Epigenetics

Publishes open-access research on using epigenetics to advance understanding and treatment of human disease.

Medicine International

Medicine International

An International Open Access Journal Devoted to General Medicine.

Journal Cover
July-2016 Volume 14 Issue 1

Full Size Image

Sign up for eToc alerts
Recommend to Library

  • Article
  • Citations
    • Cite This Article
    • Download Citation
    • Create Citation Alert
    • Remove Citation Alert
    • Cited By
  • Similar Articles
    • Related Articles (in Spandidos Publications)
    • Similar Articles (Google Scholar)
    • Similar Articles (PubMed)
  • Download PDF
  • Download XML
  • View XML
Article Open Access

Comparison of catalase immunoreactivity in the hippocampus between young, adult and aged mice and rats

  • Authors:
    • Ji Hyeon Ahn
    • Bai Hui Chen
    • Bich‑Na Shin
    • Tae‑Kyeong Lee
    • Jeong Hwi Cho
    • In Hye Kim
    • Joon Ha Park
    • Jae‑Chul Lee
    • Hyun‑Jin Tae
    • Choong‑Hyun Lee
    • Moo‑Ho Won
    • Yun Lyul Lee
    • Soo Young Choi
    • Seongkweon Hong
  • View Affiliations / Copyright

    Affiliations: Department of Biomedical Science, Research Institute of Bioscience and Biotechnology, Hallym University, Chuncheon, Gangwon-do 24252, Republic of Korea, Department of Physiology, College of Medicine, Hallym University, Chuncheon, Gangwon-do 24252, Republic of Korea, Department of Neurobiology, School of Medicine, Kangwon National University, Chuncheon, Gangwon-do 24341, Republic of Korea, Department of Pharmacy, College of Pharmacy, Dankook University, Cheonan, Chungcheongnam-do 31116, Republic of Korea, Department of Surgery, School of Medicine, Kangwon National University, Chuncheon, Gangwon-do 24341, Republic of Korea
    Copyright: © Ahn et al. This is an open access article distributed under the terms of Creative Commons Attribution License.
  • Pages: 851-856
    |
    Published online on: May 18, 2016
       https://doi.org/10.3892/mmr.2016.5300
  • Expand metrics +
Metrics: Total Views: 0 (Spandidos Publications: | PMC Statistics: )
Metrics: Total PDF Downloads: 0 (Spandidos Publications: | PMC Statistics: )
Cited By (CrossRef): 0 citations Loading Articles...

This article is mentioned in:



Abstract

Catalase (CAT) is an important antioxidant enzyme and is crucial in modulating synaptic plasticity in the brain. In this study, CAT expression as well as neuronal distribution was compared in the hippocampus among young, adult and aged mice and rats. Male ICR mice and Sprague Dawley rats were used at postnatal month (PM) 1, PM 6 and PM 24 as the young, adult and aged groups, respectively (n=14/group). CAT expression was examined by immunohistochemistry and western blot analysis. In addition, neuronal distribution was examined by NeuN immunohistochemistry. In the present study, the mean number of NeuN‑immunoreactive neurons was marginally decreased in mouse and rat hippocampi during aging, although this change was not identified to be significantly different. However, CAT immunoreactivity was significantly increased in pyramidal and granule neurons in the adult mouse and rat hippocampi and was significantly decreased in the aged mouse and rat hippocampi compared with that in the young animals. CAT protein levels in the hippocampus were also lowest in the aged mouse and rat hippocampus. These results indicate that CAT expression is significantly decreased in the hippocampi of aged animals and decreased CAT expression may be closely associated with aging.

Introduction

Reactive oxygen species (ROS) are inevitably produced during cellular energy metabolism (1), however, increased intracellular ROS production causes oxidative damage to critical macromolecules, including DNA, proteins and lipids (2–4). Oxidative stress has been considered a major aspect of aging (5–8), and is closely associated with an onset of several neurodegenerative diseases (9,10).

Numerous antioxidant enzymes, such as superoxide dismutase (SOD), catalase (CAT), glutathione peroxidase (GPx), thioredoxin (Trx) and peroxiredoxin (Prx) defend against oxidative stress by maintaining a balanced intracellular redox state (11,12); SOD converts superoxide radial (O2•−) to hydrogen peroxide (H2O2) and water, and CAT or GPx converts H2O2 to water and oxygen (13).

Alterations in various molecular processes in the hippocampus during aging is a great deal of interest as hippocampus-dependent learning and memory is impaired in nearly half of the healthy elderly population over 60 years of age (14). In addition, the hippocampus is vulnerable to neurological diseases, such as cerebral ischemia, vascular dementia and Alzheimer's disease (15–17). In this regard, numerous researchers have demonstrated age-related changes in the levels of antioxidant enzymes levels in the hippocampus. In particular, it has been reported that CAT activity is unchanged or decreased in the aged hippocampus of the mouse (18) and rat (19,20).

Although certain studies have reported the age-associated changes in CAT activity in the hippocampus, it has not been fully elucidated. Therefore, in the present study, in order to show fundamental data on the change in CAT levels during normal aging, CAT expression was compared in the hippocampus among the young, adult, and aged mice and rats, which are good animal models in aging research (21,22), using immunohistochemistry and western blot analysis.

Materials and methods

Experimental animals

Male ICR mice and Sprague Dawley rats were purchased from Orient Bio Inc. (Seongnam, Korea). They were used at ages 1, 6 and 24 months for the young, adult and aged groups, respectively, as the ages of mice and rats are similar (23–25). The animals (n=14/group) were housed in a conventional state under adequate temperature (23°C) and humidity (60%) control with a 12-h light/dark cycle, and provided free access to food and water. Animal handling and care followed the guidelines of current international laws and policies (NIH Guide for the Care and Use of Laboratory Animals, The National Academies Press, 8th Ed., 2011) (26), and the experimental protocols were approved by the Institutional Animal Care and Use Committee of Kangwon National University (Chuncheon, Korea; approval no. KW-130424-3). All experiments were conducted with the aim of minimizing the number of animals used and avoiding animal suffering.

Tissue processing for histology

The animals (n=7/group) were anesthetized intraperitoneally 40 mg/kg pentobarbital sodium (JW Pharmaceutical Co., Ltd., Seoul, Korea) and perfused transcardially with 0.1 M phosphate-buffered saline (PBS, pH 7.4, Sigma-Aldrich, St. Louis, MO, USA) followed by 4% paraformaldehyde (Sigma-Aldrich) in 0.1 M PBS (pH 7.4, Sigma-Aldrich). The brains were removed and post-fixed with the same solution for 6 h. The tissues were cryoprotected by infiltration with 30% sucrose (Sigma-Aldrich) overnight. The brain tissues were then frozen and sectioned (30 µm) with a cryostat (CM1520, Leica Microsystems, Wetzlar, Germany), and consecutive sections were collected in six-well plates containing 0.1 M PBS.

Immunohistochemistry

To examine age-related changes in NeuN and CAT immunoreactivity in the hippocampi of the mice and rats, immunohistochemical staining and quantitative analysis of immunohistochemical data were performed according to a previous method (27). Monoclonal mouse anti-NeuN (1:800; EMD Millipore, Billerica, MA, USA; cat. no. MAB377) and polyclonal rabbit anti-CAT antibody (1:250; Abcam, Cambridge, MA, USA; cat. no. ab52477) used as primary antibodies overnight at 4°C, followed by incubation with biotinylated horse anti-mouse (1:200; cat. no. AI-2000) or goat anti-rabbit IgG (1:200; cat. no. AI-1000) obtained from Vector Laboratories, Inc., Burlingame, CA, USA) secondary antibodies for 2 h at room temperature and streptavidin peroxidase complex (1:200; Vector Laboratories, Inc.). A negative control test was conducted using 5% pre-immune serum (Vector Laboratories, Inc.) instead of primary antibody in order to establish the specificity of the immunostaining. The negative control resulted in the absence of immunoreactivity in any neurons.

According to anatomical landmarks corresponding to the mouse and rat brain atlas, seven sections with 120-µm intervals per animal were selected to quantitatively analyze NeuN and CAT immunoreactivity, respectively. As previously described (28), digital images of the hippocampus were captured with an AxioM1 light microscope (Carl Zeiss, Oberkochen, Germany) equipped with a digital camera (Axiocam, Carl Zeiss) connected to a PC monitor. NeuN- and CAT-immunoreactive neurons were counted in a 250×250 µm square in the hippocampi using an image analyzing system with Optimas 6.5 (CyberMetrics, Scottsdale, AZ, USA) software. Cell counts were obtained by averaging the counts from each animal. In addition, the density of CAT-immunoreactive neurons was evaluated on the basis of optical density (OD), which was obtained after the transformation of the mean gray level using the formula: OD=log (256/mean gray level). The OD of the background was taken from areas adjacent to the measured area. After the background density was subtracted, a ratio of the optical density of the image file was calibrated as a % (relative optical density, ROD) using Adobe Photoshop version 8.0 (Adobe Systems Inc., San Jose, CA, USA) and then analyzed using NIH Image J software (version 1.46; NIH Image, Bethesda, MD, USA). A ratio of the ROD was calibrated as a %, with the young group designated as 100%.

Western blot analysis

To examine changes in the CAT levels in the mouse and rat hippocampi between groups, animals at each age (n=7) were used, and western blot analysis was performed according to a previous method (27). In brief, after sacrificing the animals by cervical dislocation, the striatum was removed. The tissues were then homogenized in 50 mM PBS containing 0.1 mM ethylene glycol bis (2-aminoethyl ether)-N, N, N′, N′ tetraacetic acid (pH 8.0, Sigma-Aldrich), 0.2% Nonidet P-40 (Sigma-Aldrich), 10 mM ethylendiamine tetraacetic acid (pH 8.0, Sigma-Aldrich), 15 mM sodium pyrophosphate (Sigma-Aldrich), 100 mM β-glycerophosphate, (Sigma-Aldrich), 50 mM NaF (Sigma-Aldrich), 150 mM NaCl (Sigma-Aldrich), 2 mM sodium orthovanadate (Sigma-Aldrich), 1 mM phenylmethylsulfonyl fluoride (Sigma-Aldrich) and 1 mM dithiothreitol (DTT, Sigma-Aldrich). After centrifugation at 10,000 × g for 20 min, the protein level in the supernatants was determined using a Micro bicinchoninic acid protein assay kit (Sigma-Aldrich) with bovine serum albumin as a standard (Pierce Chemical, Rockford, IL, USA). Aliquots containing 20 µg total protein were boiled in loading buffer containing 150 mM Tris (pH 6.8, Sigma-Aldrich), 3 mM DTT, 6% SDS, 0.3% bromophenol blue and 30% glycerol. The aliquots were then loaded onto a 12% polyacrylamide gel. After electrophoresis, the gels were transferred to nitrocellulose transfer membranes (Pall Corp., East Hills, NY, USA). To reduce background staining, the membranes were incubated with 5% non-fat dry milk (Sigma-Aldrich) in PBS containing 0.1% Tween-20 (PBST; Sigma-Aldrich) for 45 min at room temperature. Membranes were incubated with polyclonal rabbit anti-CAT antibody (1:1,000) or monoclonal mouse β-actin (1:5,000; Sigma-Aldrich; cat. no. A5316) overnight at 4°C. Following washing with PBST three times, the membranes were incubated with peroxidase-conjugated donkey anti-rabbit IgG (1:1,000; Santa Cruz Biotechnology, Inc., Dallas, TX, USA; cat. no. sc-2305) or goat anti-mouse (1:1,000; Santa Cruz Biotechnology, Inc.; cat. no. sc-2031) for 1 h at room temperature. An enhanced chemiluminescence kit (Pierce ECL Western Blotting Substrate; Thermo Fisher Scientific, Inc.) was used to detect the protein expression. Western blot analysis was performed with three repetitions. The result of the western blot analysis was scanned, and densitometric analysis for the quantification of the bands was conducted using Scion Image software (version 4.0.3.2; Scion Corp., Frederick, MD, USA), which was used to count ROD. CAT levels were normalized to β-actin, used as the internal control protein, respectively. A ratio of the ROD was calibrated as %, with the young group designated as 100%.

Statistical analysis

The data shown here represent the mean ± standard error of the mean. Differences of the means among the groups were statistically analyzed by analysis of variance with a post hoc Bonferroni's multiple comparison test in order to elucidate age-related differences among groups. Statistical analysis was performed using GraphPad Instat (version 3.05; GraphPad Software, Inc.; La Jolla, CA, USA). P<0.05 was considered to indicate a statistically significant difference.

Results

NeuN immunoreactivity
Mice

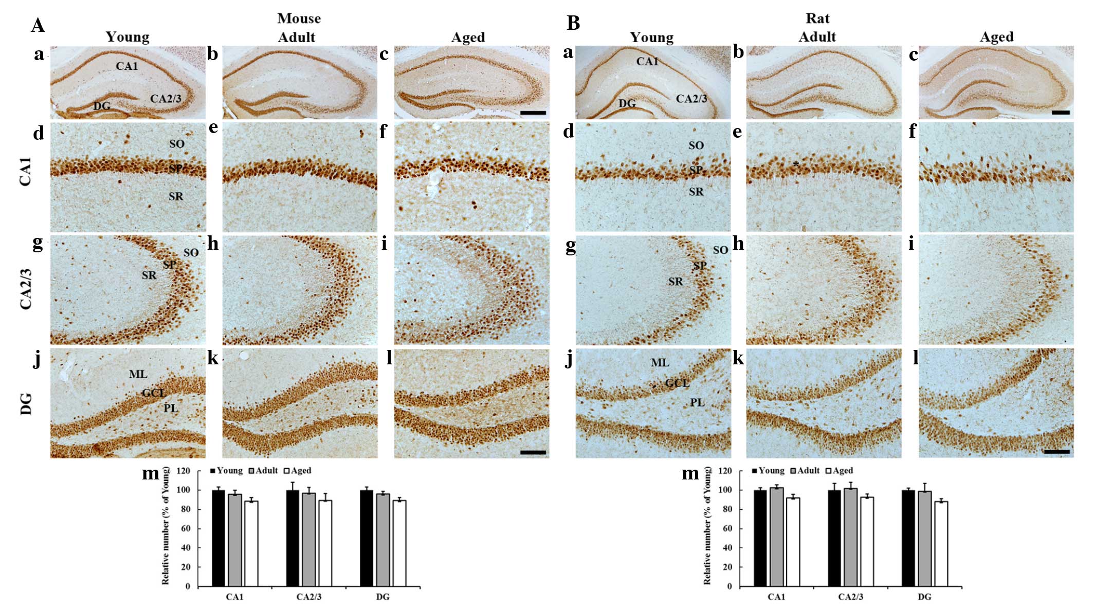
Numerous NeuN-immunoreactive neurons were distributed in the stratum pyramidale of the hippocampus proper (CA1-3 regions) and the granule cell layer of the dentate gyrus in the young, adult and aged mice. In addition, no significant difference was identified in the mean number of NeuN-immunoreactive neurons in the hippocampus proper and dentate gyrus among the groups (Fig. 1A).

Figure 1

NeuN immunohistochemistry in the hippocampus of the (A) mice and (B) rats in the young, adult and aged groups. The distribution pattern and numbers of NeuN-immunoreactive neurons are not significantly different among all of the groups. GCL, granule cell layer; ML, molecular layer; PL, polymorphic layer; SO, stratum oriens; SP, stratum pyramidale; SR, stratum radiatum; DG, dentate gyrus. Scale bar, 400 µm (a–c) and 100 µm (d–l). (m) Mean percentage of NeuN-immunoreactive neurons in the hippocampus (n=7 per group). The bars indicate the mean ± standard error of the mean.

Rats

The distribution pattern of NeuN-immunoreactive neurons in the rats was similar to that in the mice. In addition, the number of NeuN-immunoreactive neurons in the hippocampus proper and dentate gyrus was not significantly changed among the groups (Fig. 1B).

CAT immunoreactivity
Mice

CAT immunoreactivity was then analyzed in the mice (Fig. 2A). In the young mice, CAT immunoreactivity was observed primarily in the pyramidal cells of the stratum pyramidale and in certain non-pyramidal neurons in the strata oriens and radiatum of the hippocampus proper (Fig. 2Ad and g). In addition, CAT immunoreactivity was easily detected in granule cells of the granule cell layer and hilar neurons of the polymorphic layer of the dentate gyrus (Fig. 2Aj).

Figure 2

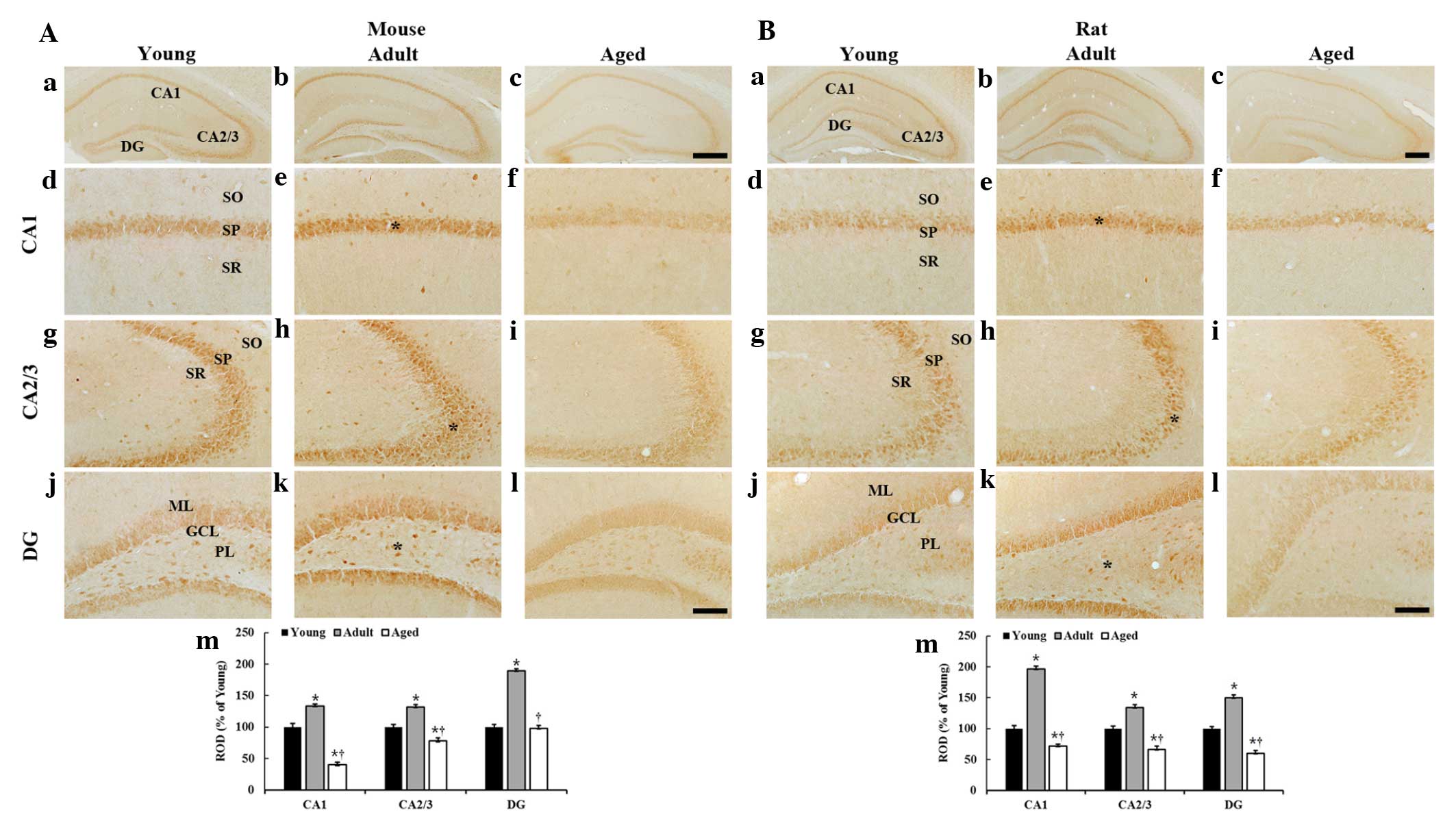
CAT immunohistochemistryin the hippocampus of the (A) mice and (B) rats in the young, adult and aged groups. CAT immunoreactivity is highest in the adult group and lowest in the aged group. GCL, granule cell layer; ML, molecular layer; PL, polymorphic layer; SO, stratum oriens; SP, stratum pyramidale; SR, stratum radiatum; DG, dentate gyrus. Scale bar, 400 µm (a–c) and 100 µm (d–l). (m) ROD as % of CAT-immunoreactive structures in the hippocampus (n=7 per group). *P<0.05, compared with the young group and †P<0.05, compared with the adult group. The bars indicate the mean ± standard error of the mean. ROD, relative optical density.

In the adult mice, the distribution pattern of CAT-immunoreactive neurons was similar to that in the young mice; however, the CAT immunoreactivity in all layers of the hippocampus proper and dentate gyrus was significantly increased compared with that in the young mice (Fig. 2Ae, h, k and m).

In the aged mice, CAT immunoreactivity in all layers of the hippocampus proper was significantly decreased compared with that in the young and adult mice; however, CAT immunoreactivity in the dentate gyrus was similar to the young mice (Fig. 2Af, i, 1 and m).

Rats

Generally, the distribution patter n of CAT-immunoreactivity in the rats (Fig. 2B) was similar to that in mice (Fig. 2A). In the adult rats, the CAT immunoreactivity was significantly increased in all layers of the hippocampus proper and dentate gyrus compared with that in the young rats (Fig. 2Be, h, k and m). However, in the aged rats, CAT immunoreactivity was significantly decreased in all layers of the hippocampus proper and the dentate gyrus compared with that in the young and adult rats (Fig. 2Bf, i, l and m).

CAT protein level
Mice

In the western blot analysis, age-related changes of CAT levels in the hippocampus were observed to be similar to those identified in the immunohistochemical results. In the hippocampus of the adult group, the CAT protein level was significantly increased compared with that in the young group. In the hippocampus of the aged group, CAT protein level was significantly decreased compared with that in the young group (Fig. 3).

Figure 3

Western blot analysis of catalase (~60 kDa) in the hippocampus of the young, adult and aged mice and rats. The ROD as percentage of the immunoblot band is presented (n=7 per group). *P<0.05, compared with the young group, †P<0.05, compared with the adult group. The bars indicate the mean ± standard error of the mean. ROD, relative optical density.

Rats

Age-associated changes to the CAT protein levels in the rats were similar to that in the mice (Fig. 3).

Discussion

The present study aimed to investigate the age-related changes in neuronal distribution in the hippocampi of young, adult and aged mice and rats using NeuN immunohistochemistry. No significant changes in cell morphology and distribution patterns were identified during normal aging among all of the groups, although the mean number of NeuN-immunoreactive neurons was marginally decreased in all hippocampal subregions of the mice and rats during aging. Previously, the presence of age-related neuronal loss was reported, however, no significant difference was identified in the number of cresyl violet-positive neurons in the hippocampal CA1 region in aged gerbils compared with that in young and adult gerbils (29). In addition, the results of the present study are supported by a previous study that showed that neuronal loss was found in the hippocampi of aged rodents (30).

In the present study, CAT expression in the hippocampus was compared among young, adult, and aged mice and rats, and it was demonstrated that CAT immunoreactivity was highest in the pyramidal and granule neurons in the adult hippocampi and lowest in the aged hippocampi. In addition, CAT protein levels in the hippocampi were lowest in the aged mice and rats. The results regarding the aged animals are consistent with those of previous studies, which reported that CAT activity was significantly diminished in the rat hippocampus during the normal aging process (20,31). However, other studies have shown inconsistent results; CAT activity in the hippocampus was unchanged in aged Fischer-344 rats (19) and C57BL/6 N mice (18). Furthermore, Sohal et al (32) reported that CAT was increased in the hippocampi of mice during aging. The present study hypothesized that the levels of CAT in the hippocampus from aged animals is lower than that those from young and adult animals. However, the exact mechanism underlying the decreased CAT levels in the aged hippocampus remains to be determined. It is likely that the decreased CAT expression may be associated with age-related functional changes in the hippocampus.

It is well known that CAT, an important antioxidant enzyme, protects cells from oxidative damage by ROS (33,34). In the brain, CAT exerts numerous important functions and shows a strong correlation between normal aging and increased oxidative damage (31). For example, Lee et al (35) reported that overexpressing CAT using a viral vector delivery system in aging rats decreased oxidative damage in the hippocampus. Furthermore, CAT is crucial in modulating synaptic plasticity. Olsen et al (36) demonstrated that overexpressing mitochondrial CAT in mice resulted in improvements in spatial learning and memory tested with a water maze test. In addition, a recent study showed that exogenous treatment with a synthetic CAT mimetic in aged mice ameliorated the age-related decline in cognitive impairment (37).

In conclusion, the present study shows that CAT expression was significantly decreased in the hippocampi of mice and rats from the aged group compared with that in the young and adult groups, and suggests that the decreased CAT expression may be closely associated with age-related changes in the aged hippocampus.

Acknowledgments

This study was supported by the Basic Science Research Program through the National Research Foundation of Korea (NRF) funded by the Ministry of Education, Science and Technology (grant no. NO2011-0022812), by Basic Science Research Program through the National Research Foundation of Korea (NRF) funded by the Ministry of Science, ICT and future Planning (grant no. NRF-2014R1A2A2A01005307), and by the 2014 Research Grant from Kangwon National University.

References

1 

Simon HU, Haj-Yehia A and Levi-Schaffer F: Role of reactive oxygen species (ROS) in apoptosis induction. Apoptosis. 5:415–418. 2000. View Article : Google Scholar

2 

Berlett BS and Stadtman ER: Protein oxidation in aging, disease, and oxidative stress. J Biol Chem. 272:20313–20316. 1997. View Article : Google Scholar : PubMed/NCBI

3 

Cui K, Luo X, Xu K and Ven Murthy MR: Role of oxidative stress in neurodegeneration: Recent developments in assay methods for oxidative stress and nutraceutical antioxidants. Prog Neuropsychopharmacol Biol Psychiatry. 28:771–799. 2004. View Article : Google Scholar : PubMed/NCBI

4 

Nordberg J and Arnér ES: Reactive oxygen species, antioxidants, and the mammalian thioredoxin system. Free Radic Biol Med. 31:1287–1312. 2001. View Article : Google Scholar : PubMed/NCBI

5 

Beckman KB and Ames BN: The free radical theory of aging matures. Physiol Rev. 78:547–581. 1998.PubMed/NCBI

6 

Genovese T, Mazzon E, Di Paola R, Crisafulli C, Muià C, Bramanti P and Cuzzocrea S: Increased oxidative-related mechanisms in the spinal cord injury in old rats. Neurosci Lett. 393:141–146. 2006. View Article : Google Scholar

7 

Du Z, Yang Q, Zhou T, Liu L, Li S, Chen S and Gao C: D-galactose-induced mitochondrial DNA oxidative damage in the auditory cortex of rats. Mol Med Rep. 10:2861–2867. 2014.PubMed/NCBI

8 

Gao Y, Yan Y and Huang T: Human age-related cataracts: Epigenetic suppression of the nuclear factor erythroid 2-related factor 2-mediated antioxidant system. Mol Med Rep. 11:1442–1447. 2015.

9 

Reiter RJ: Oxidative processes and antioxidative defense mechanisms in the aging brain. FASEB J. 9:526–533. 1995.PubMed/NCBI

10 

Wang SJ, Zhao XH, Chen W, Bo N, Wang XJ, Chi ZF and Wu W: Sirtuin 1 activation enhances the PGC-1α/mitochondrial antioxidant system pathway in status epilepticus. Mol Med Rep. 11:521–526. 2015.

11 

Kang SW, Rhee SG, Chang TS, Jeong W and Choi MH: 2-Cys peroxiredoxin function in intracellular signal transduction: Therapeutic implications. Trends Mol Med. 11:571–578. 2005. View Article : Google Scholar : PubMed/NCBI

12 

Matés JM, Pérez-Gómez C and Núñez de Castro I: Antioxidant enzymes and human diseases. Clin Biochem. 32:595–603. 1999. View Article : Google Scholar

13 

Chen X, Stern D and Yan SD: Mitochondrial dysfunction and Alzheimer's disease. Curr Alzheimer Res. 3:515–520. 2006. View Article : Google Scholar : PubMed/NCBI

14 

Hedden T and Gabrieli JD: Insights into the ageing mind: A view from cognitive neuroscience. Nat Rev Neurosci. 5:87–96. 2004. View Article : Google Scholar : PubMed/NCBI

15 

Kirino T and Sano K: Selective vulnerability in the gerbil hippocampus following transient ischemia. Acta Neuropathol. 62:201–208. 1984. View Article : Google Scholar : PubMed/NCBI

16 

Kril J, Patel S, Harding A and Halliday G: Patients with vascular dementia due to microvascular pathology have significant hippocampal neuronal loss. J Neurol Neurosurg Psychiatry. 72:747–751. 2002. View Article : Google Scholar : PubMed/NCBI

17 

Morrison JH and Hof PR: Selective vulnerability of cortico-cortical and hippocampal circuits in aging and Alzheimer's disease. Prog Brain Res. 136:467–486. 2002. View Article : Google Scholar

18 

Hussain S, Slikker W Jr and Ali SF: Age-related changes in antioxidant enzymes, superoxide dismutase, catalase, glutathione peroxidase and glutathione in different regions of mouse brain. Int J Dev Neurosci. 13:811–817. 1995. View Article : Google Scholar : PubMed/NCBI

19 

Carrillo MC, Kanai S, Sato Y and Kitani K: Age-related changes in antioxidant enzyme activities are region and organ, as well as sex, selective in the rat. Mech Ageing Dev. 65:187–198. 1992. View Article : Google Scholar : PubMed/NCBI

20 

Ciriolo M, Fiskin K, De Martino A, Corasaniti M, Nistico G and Rotilio G: Age-releated changes in Cu, Zn superoxide dismutase, Se-dependent and -independent glutathione peroxidase and catalase activities in specific areas of rat brain. Mech Ageing Dev. 61:287–297. 1991. View Article : Google Scholar : PubMed/NCBI

21 

Gorbunova V, Bozzella MJ and Seluanov A: Rodents for comparative aging studies: From mice to beavers. Age (Dordr). 30:111–119. 2008. View Article : Google Scholar

22 

Vanhooren V and Libert C: The mouse as a model organism in aging research: Usefulness, pitfalls and possibilities. Ageing Res Rev. 12:8–21. 2013. View Article : Google Scholar

23 

Quinn R: Comparing rat's to human's age: How old is my rat in people years? Nutrition. 21:775–777. 2005. View Article : Google Scholar : PubMed/NCBI

24 

Demetrius L: Aging in mouse and human systems. Ann N Y Acad Sci. 1067:66–82. 2006. View Article : Google Scholar : PubMed/NCBI

25 

Gorbunova V, Bozzella MJ and Seluanov A: Rodents for comparative aging studies: From mice to beavers. Age (Dordr). 30:111–119. 2008. View Article : Google Scholar

26 

Institute of laboratory animal research, committee for the update of the guide for the care and use of laboratory animals, national research council: Guide for the care and use of laboratory animals. 8th edition. Washington, (DC): National Academies Press; pp. 2202011

27 

Lee CH, Ahn JH, Park JH, Yan BC, Kim IH, Lee DH, Cho JH, Chen BH, Lee JC, Cho JH, et al: Decreased insulin-like growth factor-I and its receptor expression in the hippocampus and somatosensory cortex of the aged mouse. Neurochem Res. 39:770–776. 2014. View Article : Google Scholar : PubMed/NCBI

28 

Ohk TG, Yoo KY, Park SM, Shin BN, Kim IH, Park JH, Ahn HC, Lee YJ, Kim MJ, Kim TY, et al: Neuronal damage using fluoro-jade B histofluorescence and gliosis in the striatum after various durations of transient cerebral ischemia in gerbils. Neurochem Res. 37:826–834. 2012. View Article : Google Scholar : PubMed/NCBI

29 

Hwang IK, Yoo KY, Jung BK, Cho JH, Kim DH, Kang TC, Kwon YG, Kim YS and Won MH: Correlations between neuronal loss, decrease of memory, and decrease expression of brain-derived neurotrophic factor in the gerbil hippocampus during normal aging. Exp Neurol. 201:75–83. 2006. View Article : Google Scholar : PubMed/NCBI

30 

Flood DG and Coleman PD: Neuron numbers and sizes in aging brain: Comparisons of human, monkey and rodent data. Neurobiol Aging. 9:453–463. 1988. View Article : Google Scholar : PubMed/NCBI

31 

Serrano F and Klann E: Reactive oxygen species and synaptic plasticity in the aging hippocampus. Ageing Res Rev. 3:431–443. 2004. View Article : Google Scholar : PubMed/NCBI

32 

Sohal RS, Ku HH, Agarwal S, Forster MJ and Lal H: Oxidative damage, mitochondrial oxidant generation and antioxidant defenses during aging and in response to food restriction in the mouse. Mech Ageing Dev. 74:121–133. 1994. View Article : Google Scholar : PubMed/NCBI

33 

Bai J, Rodriguez AM, Melendez JA and Cederbaum AI: Overexpression of catalase in cytosolic or mitochondrial compartment protects HepG2 cells against oxidative injury. J Biol Chem. 274:26217–26224. 1999. View Article : Google Scholar : PubMed/NCBI

34 

Rong Y, Doctrow SR, Tocco G and Baudry M: EUK-134, a synthetic superoxide dismutase and catalase mimetic, prevents oxidative stress and attenuates kainate-induced neuropathology. Proc Natl Acad Sci USA. 96:9897–9902. 1999. View Article : Google Scholar : PubMed/NCBI

35 

Lee WH, Kumar A, Rani A, Herrera J, Xu J, Someya S and Foster TC: Influence of viral vector-mediated delivery of superoxide dismutase and catalase to the hippocampus on spatial learning and memory during aging. Antioxid Redox Signal. 16:339–350. 2012. View Article : Google Scholar :

36 

Olsen RH, Johnson LA, Zuloaga DG, Limoli CL and Raber J: Enhanced hippocampus-dependent memory and reduced anxiety in mice over-expressing human catalase in mitochondria. J Neurochem. 125:303–313. 2013. View Article : Google Scholar : PubMed/NCBI

37 

Clausen A, Doctrow S and Baudry M: Prevention of cognitive deficits and brain oxidative stress with superoxide dismutase/catalase mimetics in aged mice. Neurobiol Aging. 31:425–433. 2010. View Article : Google Scholar :

Related Articles

  • Abstract
  • View
  • Download
  • Twitter
Copy and paste a formatted citation
Spandidos Publications style
Ahn JH, Chen BH, Shin BN, Lee TK, Cho JH, Kim IH, Park JH, Lee JC, Tae HJ, Lee CH, Lee CH, et al: Comparison of catalase immunoreactivity in the hippocampus between young, adult and aged mice and rats. Mol Med Rep 14: 851-856, 2016.
APA
Ahn, J.H., Chen, B.H., Shin, B., Lee, T., Cho, J.H., Kim, I.H. ... Hong, S. (2016). Comparison of catalase immunoreactivity in the hippocampus between young, adult and aged mice and rats. Molecular Medicine Reports, 14, 851-856. https://doi.org/10.3892/mmr.2016.5300
MLA
Ahn, J. H., Chen, B. H., Shin, B., Lee, T., Cho, J. H., Kim, I. H., Park, J. H., Lee, J., Tae, H., Lee, C., Won, M., Lee, Y. L., Choi, S. Y., Hong, S."Comparison of catalase immunoreactivity in the hippocampus between young, adult and aged mice and rats". Molecular Medicine Reports 14.1 (2016): 851-856.
Chicago
Ahn, J. H., Chen, B. H., Shin, B., Lee, T., Cho, J. H., Kim, I. H., Park, J. H., Lee, J., Tae, H., Lee, C., Won, M., Lee, Y. L., Choi, S. Y., Hong, S."Comparison of catalase immunoreactivity in the hippocampus between young, adult and aged mice and rats". Molecular Medicine Reports 14, no. 1 (2016): 851-856. https://doi.org/10.3892/mmr.2016.5300
Copy and paste a formatted citation
x
Spandidos Publications style
Ahn JH, Chen BH, Shin BN, Lee TK, Cho JH, Kim IH, Park JH, Lee JC, Tae HJ, Lee CH, Lee CH, et al: Comparison of catalase immunoreactivity in the hippocampus between young, adult and aged mice and rats. Mol Med Rep 14: 851-856, 2016.
APA
Ahn, J.H., Chen, B.H., Shin, B., Lee, T., Cho, J.H., Kim, I.H. ... Hong, S. (2016). Comparison of catalase immunoreactivity in the hippocampus between young, adult and aged mice and rats. Molecular Medicine Reports, 14, 851-856. https://doi.org/10.3892/mmr.2016.5300
MLA
Ahn, J. H., Chen, B. H., Shin, B., Lee, T., Cho, J. H., Kim, I. H., Park, J. H., Lee, J., Tae, H., Lee, C., Won, M., Lee, Y. L., Choi, S. Y., Hong, S."Comparison of catalase immunoreactivity in the hippocampus between young, adult and aged mice and rats". Molecular Medicine Reports 14.1 (2016): 851-856.
Chicago
Ahn, J. H., Chen, B. H., Shin, B., Lee, T., Cho, J. H., Kim, I. H., Park, J. H., Lee, J., Tae, H., Lee, C., Won, M., Lee, Y. L., Choi, S. Y., Hong, S."Comparison of catalase immunoreactivity in the hippocampus between young, adult and aged mice and rats". Molecular Medicine Reports 14, no. 1 (2016): 851-856. https://doi.org/10.3892/mmr.2016.5300
Follow us
  • Twitter
  • LinkedIn
  • Facebook
About
  • Spandidos Publications
  • Careers
  • Cookie Policy
  • Privacy Policy
How can we help?
  • Help
  • Live Chat
  • Contact
  • Email to our Support Team