Spandidos Publications Logo
  • About
    • About Spandidos
    • Aims and Scopes
    • Abstracting and Indexing
    • Editorial Policies
    • Reprints and Permissions
    • Job Opportunities
    • Terms and Conditions
    • Contact
  • Journals
    • All Journals
    • Oncology Letters
      • Oncology Letters
      • Information for Authors
      • Editorial Policies
      • Editorial Board
      • Aims and Scope
      • Abstracting and Indexing
      • Bibliographic Information
      • Archive
    • International Journal of Oncology
      • International Journal of Oncology
      • Information for Authors
      • Editorial Policies
      • Editorial Board
      • Aims and Scope
      • Abstracting and Indexing
      • Bibliographic Information
      • Archive
    • Molecular and Clinical Oncology
      • Molecular and Clinical Oncology
      • Information for Authors
      • Editorial Policies
      • Editorial Board
      • Aims and Scope
      • Abstracting and Indexing
      • Bibliographic Information
      • Archive
    • Experimental and Therapeutic Medicine
      • Experimental and Therapeutic Medicine
      • Information for Authors
      • Editorial Policies
      • Editorial Board
      • Aims and Scope
      • Abstracting and Indexing
      • Bibliographic Information
      • Archive
    • International Journal of Molecular Medicine
      • International Journal of Molecular Medicine
      • Information for Authors
      • Editorial Policies
      • Editorial Board
      • Aims and Scope
      • Abstracting and Indexing
      • Bibliographic Information
      • Archive
    • Biomedical Reports
      • Biomedical Reports
      • Information for Authors
      • Editorial Policies
      • Editorial Board
      • Aims and Scope
      • Abstracting and Indexing
      • Bibliographic Information
      • Archive
    • Oncology Reports
      • Oncology Reports
      • Information for Authors
      • Editorial Policies
      • Editorial Board
      • Aims and Scope
      • Abstracting and Indexing
      • Bibliographic Information
      • Archive
    • Molecular Medicine Reports
      • Molecular Medicine Reports
      • Information for Authors
      • Editorial Policies
      • Editorial Board
      • Aims and Scope
      • Abstracting and Indexing
      • Bibliographic Information
      • Archive
    • World Academy of Sciences Journal
      • World Academy of Sciences Journal
      • Information for Authors
      • Editorial Policies
      • Editorial Board
      • Aims and Scope
      • Abstracting and Indexing
      • Bibliographic Information
      • Archive
    • International Journal of Functional Nutrition
      • International Journal of Functional Nutrition
      • Information for Authors
      • Editorial Policies
      • Editorial Board
      • Aims and Scope
      • Abstracting and Indexing
      • Bibliographic Information
      • Archive
    • International Journal of Epigenetics
      • International Journal of Epigenetics
      • Information for Authors
      • Editorial Policies
      • Editorial Board
      • Aims and Scope
      • Abstracting and Indexing
      • Bibliographic Information
      • Archive
    • Medicine International
      • Medicine International
      • Information for Authors
      • Editorial Policies
      • Editorial Board
      • Aims and Scope
      • Abstracting and Indexing
      • Bibliographic Information
      • Archive
  • Articles
  • Information
    • Information for Authors
    • Information for Reviewers
    • Information for Librarians
    • Information for Advertisers
    • Conferences
  • Language Editing
Spandidos Publications Logo
  • About
    • About Spandidos
    • Aims and Scopes
    • Abstracting and Indexing
    • Editorial Policies
    • Reprints and Permissions
    • Job Opportunities
    • Terms and Conditions
    • Contact
  • Journals
    • All Journals
    • Biomedical Reports
      • Information for Authors
      • Editorial Policies
      • Editorial Board
      • Aims and Scope
      • Abstracting and Indexing
      • Bibliographic Information
      • Archive
    • Experimental and Therapeutic Medicine
      • Information for Authors
      • Editorial Policies
      • Editorial Board
      • Aims and Scope
      • Abstracting and Indexing
      • Bibliographic Information
      • Archive
    • International Journal of Epigenetics
      • Information for Authors
      • Editorial Policies
      • Editorial Board
      • Aims and Scope
      • Abstracting and Indexing
      • Bibliographic Information
      • Archive
    • International Journal of Functional Nutrition
      • Information for Authors
      • Editorial Policies
      • Editorial Board
      • Aims and Scope
      • Abstracting and Indexing
      • Bibliographic Information
      • Archive
    • International Journal of Molecular Medicine
      • Information for Authors
      • Editorial Policies
      • Editorial Board
      • Aims and Scope
      • Abstracting and Indexing
      • Bibliographic Information
      • Archive
    • International Journal of Oncology
      • Information for Authors
      • Editorial Policies
      • Editorial Board
      • Aims and Scope
      • Abstracting and Indexing
      • Bibliographic Information
      • Archive
    • Medicine International
      • Information for Authors
      • Editorial Policies
      • Editorial Board
      • Aims and Scope
      • Abstracting and Indexing
      • Bibliographic Information
      • Archive
    • Molecular and Clinical Oncology
      • Information for Authors
      • Editorial Policies
      • Editorial Board
      • Aims and Scope
      • Abstracting and Indexing
      • Bibliographic Information
      • Archive
    • Molecular Medicine Reports
      • Information for Authors
      • Editorial Policies
      • Editorial Board
      • Aims and Scope
      • Abstracting and Indexing
      • Bibliographic Information
      • Archive
    • Oncology Letters
      • Information for Authors
      • Editorial Policies
      • Editorial Board
      • Aims and Scope
      • Abstracting and Indexing
      • Bibliographic Information
      • Archive
    • Oncology Reports
      • Information for Authors
      • Editorial Policies
      • Editorial Board
      • Aims and Scope
      • Abstracting and Indexing
      • Bibliographic Information
      • Archive
    • World Academy of Sciences Journal
      • Information for Authors
      • Editorial Policies
      • Editorial Board
      • Aims and Scope
      • Abstracting and Indexing
      • Bibliographic Information
      • Archive
  • Articles
  • Information
    • For Authors
    • For Reviewers
    • For Librarians
    • For Advertisers
    • Conferences
  • Language Editing
Login Register Submit
  • This site uses cookies
  • You can change your cookie settings at any time by following the instructions in our Cookie Policy. To find out more, you may read our Privacy Policy.

    I agree
Search articles by DOI, keyword, author or affiliation
Search
Advanced Search
presentation
Molecular Medicine Reports
Join Editorial Board Propose a Special Issue
Print ISSN: 1791-2997 Online ISSN: 1791-3004
Journal Cover
August-2016 Volume 14 Issue 2

Full Size Image

Sign up for eToc alerts
Recommend to Library

Journals

International Journal of Molecular Medicine

International Journal of Molecular Medicine

International Journal of Molecular Medicine is an international journal devoted to molecular mechanisms of human disease.

International Journal of Oncology

International Journal of Oncology

International Journal of Oncology is an international journal devoted to oncology research and cancer treatment.

Molecular Medicine Reports

Molecular Medicine Reports

Covers molecular medicine topics such as pharmacology, pathology, genetics, neuroscience, infectious diseases, molecular cardiology, and molecular surgery.

Oncology Reports

Oncology Reports

Oncology Reports is an international journal devoted to fundamental and applied research in Oncology.

Experimental and Therapeutic Medicine

Experimental and Therapeutic Medicine

Experimental and Therapeutic Medicine is an international journal devoted to laboratory and clinical medicine.

Oncology Letters

Oncology Letters

Oncology Letters is an international journal devoted to Experimental and Clinical Oncology.

Biomedical Reports

Biomedical Reports

Explores a wide range of biological and medical fields, including pharmacology, genetics, microbiology, neuroscience, and molecular cardiology.

Molecular and Clinical Oncology

Molecular and Clinical Oncology

International journal addressing all aspects of oncology research, from tumorigenesis and oncogenes to chemotherapy and metastasis.

World Academy of Sciences Journal

World Academy of Sciences Journal

Multidisciplinary open-access journal spanning biochemistry, genetics, neuroscience, environmental health, and synthetic biology.

International Journal of Functional Nutrition

International Journal of Functional Nutrition

Open-access journal combining biochemistry, pharmacology, immunology, and genetics to advance health through functional nutrition.

International Journal of Epigenetics

International Journal of Epigenetics

Publishes open-access research on using epigenetics to advance understanding and treatment of human disease.

Medicine International

Medicine International

An International Open Access Journal Devoted to General Medicine.

Journal Cover
August-2016 Volume 14 Issue 2

Full Size Image

Sign up for eToc alerts
Recommend to Library

  • Article
  • Citations
    • Cite This Article
    • Download Citation
    • Create Citation Alert
    • Remove Citation Alert
    • Cited By
  • Similar Articles
    • Related Articles (in Spandidos Publications)
    • Similar Articles (Google Scholar)
    • Similar Articles (PubMed)
  • Download PDF
  • Download XML
  • View XML
Article Open Access

Effects of AP‑1 and NF‑κB inhibitors on colonic endocrine cells in rats with TNBS‑induced colitis

  • Authors:
    • Magdy El‑Salhy
    • Kazuo Umezawa
  • View Affiliations / Copyright

    Affiliations: Division of Gastroenterology, Department of Medicine, Stord Helse‑Fonna Hospital, 5416 Stord, Norway, Department of Molecular Target Medicine, School of Aichi Medical University, School of Medicine, Nagakute, Aichi 480‑1195, Japan
    Copyright: © El‑Salhy et al. This is an open access article distributed under the terms of Creative Commons Attribution License.
  • Pages: 1515-1522
    |
    Published online on: June 27, 2016
       https://doi.org/10.3892/mmr.2016.5444
  • Expand metrics +
Metrics: Total Views: 0 (Spandidos Publications: | PMC Statistics: )
Metrics: Total PDF Downloads: 0 (Spandidos Publications: | PMC Statistics: )
Cited By (CrossRef): 0 citations Loading Articles...

This article is mentioned in:


Abstract

Interactions between intestinal neuroendocrine peptides/amines and the immune system appear to have an important role in the pathophysiology of inflammatory bowel disease (IBD). The present study investigated the effects of activator protein (AP)‑1 and nuclear factor (NF)‑κB inhibitors on inflammation‑induced alterations in enteroendocrine cells. A total of 48 male Wistar rats were divided into the following four groups (n=12 rats/group): Control, trinitrobenzene sulfonic acid (TNBS)‑induced colitis only (TNBS group), TNBS‑induced colitis with 3‑[(dodecylthiocarbonyl)-methyl]-glutarimide (DTCM‑G) treatment (DTCM‑G group), and TNBS‑induced colitis with dehydroxymethylepoxyquinomicin (DHMEQ) treatment (DHMEQ group). A total of 3 days following administration of TNBS, the rats were treated as follows: The control and TNBS groups received 0.5 ml vehicle (0.5% carboxymethyl cellulose; CMC), respectively; the DTCM‑G group received DTCM‑G (20 mg/kg body weight) in 0.5% CMC; and the DHMEQ group received DHMEQ (15 mg/kg body weight) in 0.5% CMC. All injections were performed intraperitoneally twice daily for 5 days. The rats were sacrificed, and tissue samples obtained from the colon were examined histopathologically and immunohistochemically. Inflammation was evaluated using a scoring system. In addition, the sections were immunostained for chromogranin A (CgA), serotonin, peptide YY (PYY), oxyntomodulin, pancreatic polypeptide (PP) and somatostatin, and immunostaining was quantified using image‑analysis software. The density of cells expressing CgA, PYY and PP was significantly lower in the TNBS group compared with in the control group, whereas the density of cells expressing serotonin, oxyntomodulin and somatostatin was significantly higher in the TNBS group compared with in the control group. None of the endocrine cell types differed significantly between the control group and either the DTCM‑G or DHMEQ groups. All of the colonic endocrine cell types were affected in rats with TNBS‑induced colitis. The expression density of these endocrine cell types was restored to control levels following treatment with AP‑1 or NF‑κB inhibitors. These results indicated that the immune system and enteroendocrine cells interact in IBD.

Introduction

It has previously been suggested that interactions between intestinal neuroendocrine peptides/amines and the immune system have a significant role in the pathophysiology of inflammatory bowel disease (IBD) (1–12). Understanding this role may shed light on the etiology of IBD and lead to potential therapeutic strategies for the treatment of IBD, involving the use of agonists or antagonists to these peptides/amines.

Abnormalities in the enteroendocrine cells of patients with IBD and in animal models of human IBD have previously been reported (6,10,11,13–29). Some of the alterations observed in enteroendocrine cells are similar in ulcerative colitis (UC), Crohn's disease (CD) and microscopic colitis (MC), including an increased density of cells expressing serotonin, whereas others differ between these three diseases. A recent study involving an animal model of human CD, namely trinitrobenzene sulfonic acid (TNBS)-induced colitis, demonstrated that abnormalities in enteroendocrine cells were strongly correlated with changes in immune cells (30). These observations support the presence of interactions between intestinal hormones and the immune system, as represented by immune cells in IBD (1–12).

3-[(Dodecylthiocarbonyl)-methyl]-glutarimide (DTCM-G) is an inhibitor of activator protein (AP)-1, which has been reported to exhibit potent anti-inflammatory activity in animal experiments (31,32). Dehydroxymethylepoxyquinomicin (DHMEQ) is a novel inhibitor of nuclear factor (NF)-κB with a low molecular weight (33,34). Similar to DTCM-G, DHMEQ has been reported to exert potent anti-inflammatory effects in experimental animal models of human IBD (32,35). The aim of the present study was to identify the effects of these two novel anti-inflammatory agents on inflammation-induced alterations to enteroendocrine cells.

Materials and methods

Rats

A total of 48 male Wistar rats (Hannover GALAS™; Taconic Europe A/S, Lille Skensved, Denmark) with a mean body weight of 202 g (range, 166–249 g) were housed in Macrolon III cages with ad libitum access to food and water. The rats were fed a standard diet (B&K Universal, Nittedal, Norway) and were maintained at a temperature of 20–22°C, a relative humidity of 50–60%, and under a 12/12-h light/dark cycle. The rats were allowed to acclimate in the animal house for at least 7 days prior to experimentation, and were divided into the following four groups (n=12 rats/group): Control, TNBS-induced colitis only (TNBS group), TNBS-induced colitis with DTCM-G treatment (DTCM-G group), and TNBS-induced colitis with DHMEQ treatment (DHMEQ group).

The present study was performed in accordance with the Directive for the Protection of Vertebrate Animals used for Experimental and other Scientific Purposes (86/609/EEC), in compliance with the Helsinki Declaration. The local ethical committee for experimental animals at the University of Bergen (Bergen, Norway) approved the protocols used in the present study.

Induction of colitis using TNBS

TNBS-colitis was induced in the TNBS, DTCM-G and DHMEQ groups as previously described (36). The dose of TNBS chosen in the present study induces severe inflammation in rats (36). Briefly, after a 24 h fast, a single dose of TNBS (Sigma-Aldrich Produktions GmbH, Steinheim, Germany) was administered to the colon of each rat (25 mg/animal in 50% ethanol solution; 0.5 ml/rat), followed by 2 ml of air, at 8 cm from the anal margin via an 8.5-cm-long, 2.5-mm-diameter round-tipped Teflon feeding tube (AngTheo, Lidingö, Sweden). The rats were anesthetized by isoflurane inhalation (Merck Pharmaceuticals, Kenilworth, NJ, USA) during the procedure. The animals were kept prone with their hind legs raised for 2–3 min following administration of TNBS. The rats were supervised until recovery and were subsequently monitored several times daily. The control group received the same treatment as the TNBS group, except that 0.9% saline was introduced into the colon instead of TNBS.

DTCM-G and DHMEQ treatments

A total of 3 days following administration of TNBS, the rats were treated as follows: The control and TNBS groups received 0.5 ml vehicle (0.5% carboxymethyl cellulose; CMC), respectively; the DTCM-G group received DTCM-G (20 mg/kg body weight) in 0.5% CMC; and the DHMEQ group received DHMEQ (15 mg/kg body weight) in 0.5% CMC. All injections were performed intraperitoneally twice daily for 5 days. The doses of DTCM-G and DHMEQ used here were the same as those earlier reported to ameliorate TNBS-induced colitis in rats (32). The synthesis of DTCM-G and DHMEQ is described in previous studies (31,37–41). The rats were checked twice daily, and any animals exhibiting signs of pain were given a subcutaneous injection of 1 ml 0.3-g/ml Temgesic solution (Merck Pharmaceuticals).

At the end of the experiments, the rats were sacrificed by CO2 inhalation and a post-mortem laparotomy was carried out. Tissue samples obtained from the colon were examined histopathologically and immunohistochemically.

Histopathological and immunohistochemical examinations

The colonic tissues were fixed in 4% buffered paraformaldehyde overnight, embedded in paraffin, and cut into 5-µm sections. The sections were routinely stained with hematoxylin and eosin in the pathology laboratory. Inflammation was evaluated using the scoring system as described by Hunter et al (42), in which the total score was calculated as the summation of four parameter scores: Inflammatory infiltration (0–3), the number of gut walls engaged (0–3), damage to the mucosal architecture (0–3) and edema (0 or 1). The total score of this scale ranged between 0 and 10.

The sections were also immunostained and visualized using the ultraView Universal DAB Detection kit (version 1.02.0018; Ventana Medical Systems, Inc., Basel, Switzerland) and the BenchMark Ultra IHC/ISH staining module (Ventana Medical Systems, Inc.). The sections were incubated with one of the following primary antibodies for 32 min at 37°C: Monoclonal mouse antibody raised against the N-terminal of purified chromogranin A (CgA; no. M869; Dako, Glostrup, Denmark), monoclonal mouse anti-serotonin (no. M0758; Dako), polyclonal rabbit anti-porcine peptide YY (PYY; no. PYY 11A; Alpha Diagnostic International, San Antonio, TX, USA), polyclonal rabbit anti-synthetic-human pancreatic polypeptide (PP; no. #114; Diagnostic Biosystems Inc., Pleasanton, CA, USA), polyclonal rabbit anti-porcine oxyntomodulin 'glicentin/glucagon' (no. BP508; Acris Antibodies GmbH, Herford, Germany), and polyclonal rabbit anti-synthetic-human somatostatin (no. A566; Dako); these antibodies were used at dilutions of 1:1,000, 1:1,500, 1:1,000, 1:800, 1:400 and 1:200, respectively.

Quantification of endocrine cells

The endocrine cells were quantified using image-analysis software (version 1.7, cellSens; Olympus Corporation, Tokyo, Japan). The number of endocrine cells in the epithelium was counted manually in each field by pointing and clicking the computer mouse. The area of the epithelial cells was determined by manually drawing an enclosed region using the computer mouse. Cell counting was conducted in ten randomly chosen microscopic fields, as observed using a 40x objective, for which each field represented a tissue area of 0.035 mm2. The data are presented as the numbers of endocrine cells per square millimeter of epithelium, and measurements were made by the same person (M.E-S.), who was not aware of the identities of the slides.

Statistical analysis

Differences between the control, TNBS, DTCM-G and DHMEQ groups were analyzed using the Kruskal-Wallis nonparametric test followed by Dunn's post-hoc test. Data are presented as the mean ± standard error of the mean. Statistical analysis was conducted using Prism 6 (GraphPad Software, Inc., La Jolla, CA, USA) and P<0.05 was considered to indicate a statistically significant difference.

Results

Body weight and mortality

The initial body weight did not differ between the control, TNBS, DTCM-G and DHMEQ groups (P=0.08); however, there were differences in reductions in body weight at the end of the experiment (P<0.0001): 0.0±0.0, 21.5±1.1, 1.7±0.6 and 1.6±0.8%, respectively. Multiple comparisons indicated that the body weight reductions differed significantly between the TNBS group, and the DTCM-G and DHMEQ groups (P<0.001). Three animals succumbed in the TNBS group: Two due to spontaneous mortality and one was sacrificed due to animal welfare reasons. There were no cases of mortality in the other three groups.

Histopathological and immunohistochemical examinations

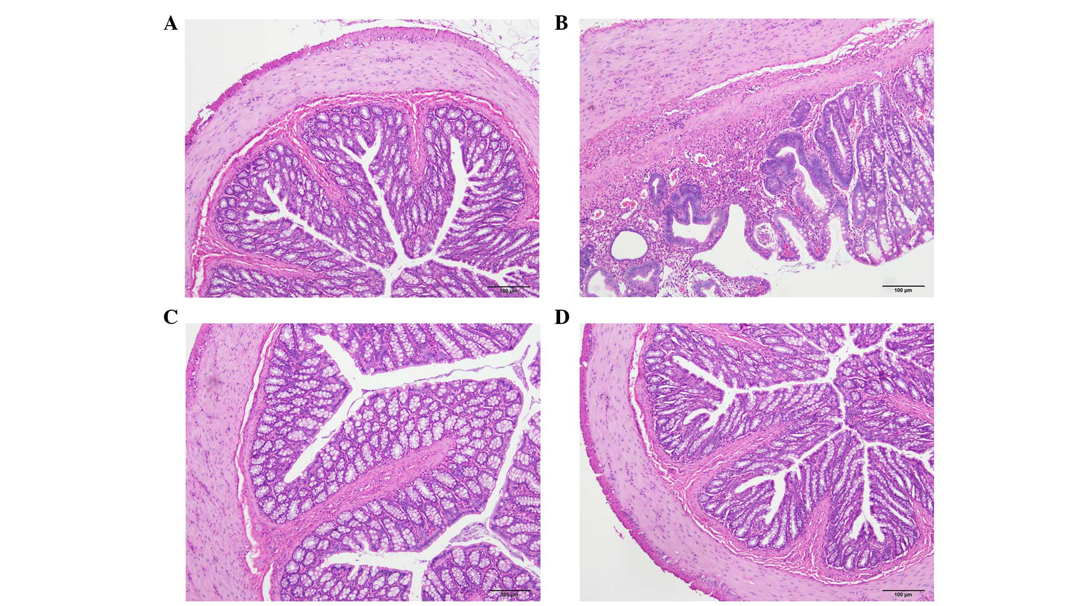
The histopathological inflammation scores were 6.6±0.9, 2.0±1.0 and 2.2±0.6 in the TNBS, DTCM-G and DHMEQ groups, respectively (Fig. 1). Multiple comparisons revealed a statistically significant difference between the three groups (P=0.002). The scores differed between the TNBS group, and the DTCM-G and DHMEQ groups (P=0.03 and P=0.01, respectively).

Figure 1

Histopathological appearance of the colon in rats in the (A) control, (B) trinitrobenzene sulfonic acid, (C) 3-[(dodecylthiocarbonyl)-methyl]-glutarimide and (D) dehydroxymethylepoxyquinomicin groups.

Cells expressing CgA, serotonin, PYY, oxyntomodulin, PP and somatostatin were detected in all colonic tissues from all of the groups. The endocrine cells were predominantly located at the crypts of Lieberkühn. These cells were flask-shaped and occasionally contained a long basal cytoplasmic process, often known as a 'neuropod' (43–46) (Figs. 2 and 3).

Figure 2

Chromogranin A-expressing cells in the colon of rats in the (A) control, (B) trinitrobenzene sulfonic acid, (C) 3-[(dodecylthiocarbonyl)-methyl]-glutarimide and (D) dehydroxymethylepoxyquinomicin groups.

Figure 3

Serotonin-expressing cells in the colon of rats in the (A) control, (B) trinitrobenzene sulfonic acid, (C) 3-[(dodecylthiocarbonyl)-methyl]-glutarimide and (D) dehydroxymethylepoxyquinomicin groups.

Quantification of endocrine cells

Results of the quantification of the various types of endocrine cells in all four experimental groups are presented in Fig. 4.

Figure 4

Densities of different colonic endocrine cell types in the control, trinitrobenzene sulfonic acid (TNBS), 3-[(dodecylthiocarbonyl)-methyl]-glutarimide (DTCM-G) and dehydroxymethylepoxyquinomicin (DHMEQ) groups. Immunostaining was conducted to detect (A) chromogranin A, (B) serotonin, (C) peptide YY (PYY), (D) oxyntomodulin, (E) pancreatic polypeptide (PP) and (F) somatostatin. *P<0.05, **P<0.01, ***P<0.001 vs. the controls, as determined by Dunn's post-hoc test. SEM, standard error of the mean.

CgA-expressing cells

The density of cells expressing CgA was 121±20.4, 59.8±30.7, 106.6±12.2 and 118.4±18.0 cells/mm2 epithelium in the control, TNBS, DTCM-G and DHMEQ groups, respectively. The Kruskal-Wallis test revealed a significant difference among the four experimental groups (P=0.01). The density of cells expressing CgA was significantly lower in the TNBS group compared with in the control group (P=0.01); however, there was no significant difference between the control, DTCM-G and DHMEQ groups.

Serotonin-expressing cells

The density of cells expressing serotonin was 40.7±5.5, 59.9±7.7, 39.2±5.2 and 35.3±4.7 cells/mm2 epithelium in the control, TNBS, DTCM-G and DHMEQ groups, respectively. The Kruskal-Wallis test revealed a significant difference among the four experimental groups (P=0.002). The density of cells expressing serotonin was higher in the TNBS group compared with in the control group (P=0.003); however, there was no significant difference between the control, DTCM-G, and DHMEQ groups.

PYY-expressing cells

The density of cells expressing PYY was 87.3±2.2, 13.9±2.7, 83.6±3.3 and 84.9±2.3 in the control, TNBS, DTCM-G and DHMEQ groups, respectively. The Kruskal-Wallis test revealed a significant difference among the four experimental groups (P<0.0001). The density of cells expressing PYY was significantly lower in the TNBS group compared with in the control group (P<0.001); however, there was no significant difference between the control, DTCM-G and DHMEQ groups.

Oxyntomodulin-expressing cells

The density of cells expressing oxyntomodulin in the control, TNBS, DTCM-G and DHMEQ groups was 44.8±3.6, 73.3±7.9, 49.3±3.9 and 49.8±3.2 cells/mm2 epithelium, respectively. The Kruskal-Wallis test revealed a statistically significant difference among the four experimental groups (P=0.006). The density of cells expressing oxyntomodulin was significantly higher in the TNBS group compared with in the control group (P=0.001).

PP-expressing cells

The density of cells expressing PP in the control, TNBS, DTCM-G and DHMEQ groups was 57.8±3.0, 34.8±7.2, 68.3±5.2 and 58.1±4.0 cells/mm2 epithelium, respectively. The Kruskal-Wallis test revealed a significant difference among the four experimental groups (P=0.002). The density of cells expressing PP was significantly lower in the TNBS group compared with in the control group (P=0.003); however, there was no significant difference between the DTCM-G, DHMEQ and control groups.

Somatostatin-expressing cells

The density of cells expressing somatostatin was 42.9±2.9, 66.0±7.9, 39.9±2.7 and 42.1±4.4 cells/mm2 epithelium in the control, TNBS, DTCM-G and DHMEQ groups, respectively. The Kruskal-Wallis test revealed a significant difference among the four experimental groups (P=0.002). The density of cells expressing somatostatin was significantly higher in the TNBS group compared with in the control group (P=0.01); however, there was no significant difference between the control, DTCM-G and DHMEQ groups.

Discussion

TNBS-induced colitis resulted in alterations in the densities of all colonic endocrine cells. The density of cells expressing CgA, PYY and PP decreased, whereas the density of those expressing serotonin, oxyntomodulin and somatostatin increased. These changes occurred rapidly, 3 days after the induction of inflammation. Explaining the underlying mechanisms requires consideration of the recently published findings, which have reported that mature intestinal endocrine cells are capable of expressing up to seven hormones (47,48). It may be hypothesized that the inflammatory substances produced during inflammation, including cytokines, affect the endocrine cell expression of certain hormones, thus upregulating the expression of some hormones whilst downregulating others. The change in the density of particular endocrine cell types may therefore depend on switching hormone expression rather than changing the actual number of these cells. In support of this assumption are L-cells, which are known to express both PYY and oxyntomodulin (49,50). In the present study it seems that L-cells exhibited downregulated expression of PYY, whereas the expression of oxyntomodulin was upregulated.

Comparisons of the findings of the present study with those of previous studies reveal both discrepant and consistent results. The decreased density of CgA-expressing cells observed in the present study disagrees with previously reported increases in CgA-expressing cells in UC and CD (13,23); however, the increased density of serotonin-expressing colonic cells in TNBS-induced colitis in the present study is in agreement with previously published findings in patients with UC, CD and MC, and in animal models of colitis (13,15,51–53). In addition, the present observation of a decrease in the density of cells expressing PYY disagrees with previous observations in UC and interleukin (IL)-2 gene knockout mice (13,52). Furthermore, whereas the increased density of cells expressing oxyntomodulin detected in the present study is in concordance with previous findings in IL-2 knockout mice, it disagrees with the findings of a previous study, which demonstrated that the density of oxyntomodulin-expressing cells was unchanged in UC (13,52). The decreased density of cells expressing PP observed in the present study is in concordance with what has previously been reported in UC and CD (13). Conversely, the density of cells expressing somatostatin has been reported to be decreased in the colon of patients with UC and CD, and in animal models of induced colitis (28,29,54); however, the present study detected an increase in the density of cells expressing somatostatin in TNBS-induced colitis. When considering all of these differences, it should be kept in mind that the type of inflammation differs between UC, CD and MC, and that animal models of colitis are not identical to human UC and CD.

Treatment with either DTCM-G or DHMEQ for 5 days ameliorated TNBS-induced inflammation, as indicated by the reduced histopathological inflammation scores for the treated rats. This finding is in concordance with the results of previous studies in TNBS- and dextran sodium sulfate-induced colitis in rats and mice (3,32,35). In the present study, the attenuation of inflammation was associated with restoration of the normal densities of all colonic endocrine cell types to normal levels. DTCM-G affects inflammation by inhibiting AP-1, whereas the anti-inflammatory effects of DHMEQ are due to the inhibition of NF-κB. The effects of these agents on the density of colonic endocrine cells are most likely to be attributed to their effects on inflammation. Furthermore, it may be hypothesized that attenuation of inflammation by treatment with anti-inflammatory agents that reduce the secretion of inflammatory substances may result in restoration of normal expression levels of hormones in colonic cells.

CgA peptides and serotonin are considered to have proinflammatory actions (54–66), whereas somatostatin exerts anti-inflammatory effects (4,67–82). The exact roles of PYY, oxyntomodulin and PP in inflammation remain to be elucidated. Serotonin stimulates gastric and intestinal motility, modulates visceral sensitivity, and stimulates intestinal secretion (83,84), whereas PYY delays gastric emptying and mediates the ileal brake. In addition, PYY inhibits gastric and pancreatic secretion, and stimulates the absorption of water and electrolytes (6,83,85). The increase in serotonin and decrease in PYY detected in TNBS-induced colitis in the present study may lead to accelerated gastrointestinal motility and an increase in intestinal secretion, giving rise to diarrhea, which is the cardinal symptom of colitis.

In conclusion, TNBS-induced colitis affected the density of all colonic endocrine cell types investigated in the present study. The observed changes in these densities may have been caused by switching the expression from one hormone to another, rather than changing the actual number of cells. Treatment with anti-inflammatory agents, AP-1 and NF-κB inhibitors, restored the density of these endocrine cells to normal. These results support the hypothesis that interactions between the immune system and enteroendocrine cells have a significant role in the pathophysiology of IBD and in the development of the clinical symptoms of colitis.

Acknowledgments

The present study was supported by grants from Helse-Vest (grant no. 911978) and Helse-Fonna (grant no. 40515).

References

1 

Khan WI and Ghia JE: Gut hormones: Emerging role in immune activation and inflammation. Clin Exp Immunol. 161:19–27. 2010.PubMed/NCBI

2 

Margolis KG and Gershon MD: Neuropeptides and inflammatory bowel disease. Curr Opin Gastroenterol. 25:503–511. 2009. View Article : Google Scholar : PubMed/NCBI

3 

Bampton PA and Dinning PG: High resolution colonic manometry-what have we learnt?-A review of the literature 2012. Curr Gastroenterol Rep. 15:3282013. View Article : Google Scholar

4 

Ameri P and Ferone D: Diffuse endocrine system, neuroendocrine tumors and immunity: What's new? Neuroendocrinology. 95:267–276. 2012. View Article : Google Scholar : PubMed/NCBI

5 

Farzi A, Reichmann F and Holzer P: The homeostatic role of neuropeptide Y in immune function and its impact on mood and behaviour. Acta Physiol (Oxf). 213:603–627. 2015. View Article : Google Scholar

6 

Vona-Davis LC and McFadden DW: NPY family of hormones: Clinical relevance and potential use in gastrointestinal disease. Curr Top Med Chem. 7:1710–1720. 2007. View Article : Google Scholar : PubMed/NCBI

7 

Wheway J, Herzog H and Mackay F: NPY and receptors in immune and inflammatory diseases. Curr Top Med Chem. 7:1743–1752. 2007. View Article : Google Scholar : PubMed/NCBI

8 

Wheway J, Herzog H and Mackay F: The Y1 receptor for NPY: A key modulator of the adaptive immune system. Peptides. 28:453–458. 2007. View Article : Google Scholar : PubMed/NCBI

9 

Wheway J, Mackay CR, Newton RA, Sainsbury A, Boey D, Herzog H and Mackay F: A fundamental bimodal role for neuropeptide Y1 receptor in the immune system. J Exp Med. 202:1527–1538. 2005. View Article : Google Scholar : PubMed/NCBI

10 

El-Salhy M, Suhr O and Danielsson A: Peptide YY in gastrointestinal disorders. Peptides. 23:397–402. 2002. View Article : Google Scholar : PubMed/NCBI

11 

El-Salhy M, Mazzawi T, Gundersen D, Hatlebakk JG and Hausken T: The role of peptide YY in gastrointestinal diseases and disorders (Review). Int J Mol Med. 31:275–282. 2013.PubMed/NCBI

12 

El-Salhy M and Hausken T: The role of the neuropeptide Y (NPY) family in he pathophysiology of inflammatory bowel disease (IBD). Neuropeptides. 55:137–144. 2015. View Article : Google Scholar

13 

El-Salhy M, Danielsson A, Stenling R and Grimelius L: Colonic endocrine cells in inflammatory bowel disease. J Intern Med. 242:413–419. 1997. View Article : Google Scholar

14 

El-Salhy M, Gundersen D, Hatlebakk JG and Hausken T: Chromogranin a cell density as a diagnostic marker for lymphocytic colitis. Dig Dis Sci. 57:3154–3159. 2012. View Article : Google Scholar : PubMed/NCBI

15 

El-Salhy M, Gundersen D, Hatlebakk JG and Hausken T: High densities of serotonin and peptide YY cells in the colon of patients with lymphocytic colitis. World J Gastroenterol. 18:6070–6075. 2012. View Article : Google Scholar : PubMed/NCBI

16 

El-Salhy M, Lomholt-Beck B and Gundersen TD: High chromogranin A cell density in the colon of patients with lymphocytic colitis. Mol Med Rep. 4:603–605. 2011.PubMed/NCBI

17 

Moran GW, Pennock J and McLaughlin JT: Enteroendocrine cells in terminal ileal Crohn's disease. J Crohns Colitis. 6:871–880. 2012. View Article : Google Scholar : PubMed/NCBI

18 

Moran GW, Leslie FC and McLaughlin JT: Crohn's disease affecting the small bowel is associated with reduced appetite and elevated levels of circulating gut peptides. Clin Nutr. 32:404–411. 2013. View Article : Google Scholar

19 

Besterman HS, Mallinson CN, Modigliani R, Christofides ND, Pera A, Ponti V, Sarson DL and Bloom SR: Gut hormones in inflammatory bowel disease. Scand J Gastroenterol. 18:845–852. 1983. View Article : Google Scholar : PubMed/NCBI

20 

Hirotani Y, Mikajiri K, Ikeda K, Myotoku M and Kurokawa N: Changes of the peptide YY levels in the intestinal tissue of rats with experimental colitis following oral administration of mesalazine and prednisolone. Yakugaku Zasshi. 128:1347–1353. 2008. View Article : Google Scholar : PubMed/NCBI

21 

Tari A, Teshima H, Sumii K, Haruma K, Ohgoshi H, Yoshihara M, Kajiyama G and Miyachi Y: Peptide YY abnormalities in patients with ulcerative colitis. Jpn J Med. 27:49–55. 1988. View Article : Google Scholar : PubMed/NCBI

22 

Sciola V, Massironi S, Conte D, Caprioli F, Ferrero S, Ciafardini C, Peracchi M, Bardella MT and Piodi L: Plasma chromogranin a in patients with inflammatory bowel disease. Inflamm Bowel Dis. 15:867–871. 2009. View Article : Google Scholar

23 

Bishop AE, Pietroletti R, Taat CW, Brummelkamp WH and Polak JM: Increased populations of endocrine cells in Crohn's ileitis. Virchows Arch A Pathol Anat Histopathol. 410:391–396. 1987. View Article : Google Scholar : PubMed/NCBI

24 

Manocha M and Khan WI: Serotonin and GI Disorders: An update on clinical and experimental studies. Clin Transl Gastroenterol. 3:e132012. View Article : Google Scholar : PubMed/NCBI

25 

Stoyanova II and Gulubova MV: Mast cells and inflammatory mediators in chronic ulcerative colitis. Acta Histochem. 104:185–192. 2002. View Article : Google Scholar : PubMed/NCBI

26 

Yamamoto H, Morise K, Kusugami K, Furusawa A, Konagaya T, Nishio Y, Kaneko H, Uchida K, Nagai H, Mitsuma T and Nagura H: Abnormal neuropeptide concentration in rectal mucosa of patients with inflammatory bowel disease. J Gastroenterol. 31:525–532. 1996. View Article : Google Scholar : PubMed/NCBI

27 

Payer J, Huorka M, Duris I, Mikulecky M, Kratochvílová H, Ondrejka P and Lukác L: Plasma somatostatin levels in ulcerative colitis. Hepatogastroenterology. 41:552–553. 1994.PubMed/NCBI

28 

Watanabe T, Kubota Y, Sawada T and Muto T: Distribution and quantification of somatostatin in inflammatory disease. Dis Colon Rectum. 35:488–494. 1992. View Article : Google Scholar : PubMed/NCBI

29 

Koch TR, Carney JA, Morris VA and Go VL: Somatostatin in the idiopathic inflammatory bowel diseases. Dis Colon Rectum. 31:198–203. 1988. View Article : Google Scholar : PubMed/NCBI

30 

El-Sahy M and Hatlebakk JG: Changes in endocrine and immune cells following colitis induction by TNBS in rats. Mol Med Rep. In press.

31 

Takeiri M, Tachibana M, Kaneda A, Ito A, Ishikawa Y, Nishiyama S, Goto R, Yamashita K, Shibasaki S, Hirokata G, et al: Inhibition of macrophage activation and suppression of graft rejection by DTCM-glutarimide, a novel piperidine derived from the antibiotic 9-methylstreptimidone. Inflamm Res. 60:879–888. 2011. View Article : Google Scholar : PubMed/NCBI

32 

El-Salhy M, Umezawa K, Gilja OH, Hatlebakk JG, Gundersen D and Hausken T: Amelioration of Severe TNBS Induced colitis by novel AP-1 and NF-κB inhibitors in rats. Scientfic World Journal. 2014:8138042014.

33 

Umezawa K, Ariga A and Matsumoto N: Naturally occurring and synthetic inhibitors of NF-kappaB functions. Anticancer Drug Des. 15:239–244. 2000.

34 

Umezawa K: Possible role of peritoneal NF-kappaB in peripheral inflammation and cancer: Lessons from the inhibitor DHMEQ. Biomed Pharmacother. 65:252–259. 2011. View Article : Google Scholar : PubMed/NCBI

35 

Funakoshi T, Yamashita K, Ichikawa N, Fukai M, Suzuki T, Goto R, Oura T, Kobayashi N, Katsurada T, Ichihara S, et al: A novel NF-kappaB inhibitor, dehydroxymethylepoxyquinomicin, ameliorates inflammatory colonic injury in mice. J Crohns Colitis. 6:215–225. 2012. View Article : Google Scholar : PubMed/NCBI

36 

El-Salhy M, Wendelbo IH, Gundersen D, Hatlebakk JG and Hausken T: Evaluation of the usefulness of colonoscopy with mucosal biopsies in the follow-up of TNBS-induced colitis in rats. Mol Med Rep. 8:446–450. 2013.PubMed/NCBI

37 

Ota E, Takeiri M, Tachibana M, Ishikawa Y, Umezawa K and Nishiyama S: Synthesis and biological evaluation of molecular probes based on the 9-methylstreptimidone derivative DTCM-glutarimide. Bioorg Med Chem Lett. 22:164–167. 2012. View Article : Google Scholar

38 

Ishikawa Y, Tachibana M, Matsui C, Obata R, Umezawa K and Nishiyama S: Synthesis and biological evaluation on novel analogs of 9-methylstreptimidone, an inhibitor of NF-kappaB. Bioorg Med Chem Lett. 19:1726–1728. 2009. View Article : Google Scholar : PubMed/NCBI

39 

Ueki S, Yamashita K, Aoyagi T, Haga S, Suzuki T, Itoh T, Taniguchi M, Shimamura T, Furukawa H, Ozaki M, et al: Control of allograft rejection by applying a novel nuclear factor-kappaB inhibitor, dehydroxymethylepoxyquinomicin. Transplantation. 82:1720–1727. 2006. View Article : Google Scholar

40 

Matsumoto N, Ariga A, To-e S, Nakamura H, Agata N, Hirano S, Inoue J and Umezawa K: Synthesis of NF-kappaB activation inhibitors derived from epoxyquinomicin C. Bioorg Med Chem Lett. 10:865–869. 2000. View Article : Google Scholar : PubMed/NCBI

41 

Umezawa N, Matsumoto N, Iwama S, Kato N and Higuchi T: Facile synthesis of peptide-porphyrin conjugates: Towards artificial catalase. Bioorg Med Chem. 18:6340–6350. 2010. View Article : Google Scholar : PubMed/NCBI

42 

Hunter MM, Wang A, Hirota CL and McKay DM: Neutralizing anti-IL-10 antibody blocks the protective effect of tapeworm infection in a murine model of chemically induced colitis. J Immunol. 174:7368–7375. 2005. View Article : Google Scholar : PubMed/NCBI

43 

Pang XH, Li TK, Xie Q, He FQ, Cui de J, Chen YQ, Huang XL and Gan HT: Amelioration of dextran sulfate sodium-induced colitis by neuropeptide Y antisense oligodeoxynucleotide. Int J Colorectal Dis. 25:1047–1053. 2010. View Article : Google Scholar : PubMed/NCBI

44 

Bohorquez DV, Chandra R, Samsa LA, Vigna SR and Liddle RA: Characterization of basal pseudopod-like processes in ileal and colonic PYY cells. J Mol Histol. 42:3–13. 2011. View Article : Google Scholar

45 

Bohórquez DV, Samsa LA, Roholt A, Medicetty S, Chandra R and Liddle RA: An enteroendocrine cell-enteric glia connection revealed by 3D electron microscopy. PloS one. 9:e898812014. View Article : Google Scholar : PubMed/NCBI

46 

Bohórquez DV, Shahid RA, Erdmann A, Kreger AM, Wang Y, Calakos N, Wang F and Liddle RA: Neuroepithelial circuit formed by innervation of sensory enteroendocrine cells. J Clin Invest. 125:782–786. 2015. View Article : Google Scholar : PubMed/NCBI

47 

Ghia JE, Li N, Wang H, Collins M, Deng Y, El-Sharkawy RT, Côté F, Mallet J and Khan WI: Serotonin has a key role in pathogenesis of experimental colitis. Gastroenterology. 137:1649–1660. 2009. View Article : Google Scholar : PubMed/NCBI

48 

Dryden S, Wang Q, Frankish HM, Pickavance L and Williams G: The serotonin (5-HT) antagonist methysergide increases neuropeptide Y (NPY) synthesis and secretion in the hypothalamus of the rat. Brain Res. 699:12–18. 1995. View Article : Google Scholar : PubMed/NCBI

49 

Spångeus A, Forsgren S and el-Salhy M: Does diabetic state affect co-localization of peptide YY and enteroglucagon in colonic endocrine cells? Histol Histopathol. 15:37–41. 2000.PubMed/NCBI

50 

Pyarokhil AH, Ishihara M, Sasaki M and Kitamura N: The developmental plasticity of colocalization pattern of peptide YY and glucagon-like peptide-1 in the endocrine cells of bovine rectum. Biomed Res. 33:35–38. 2012. View Article : Google Scholar : PubMed/NCBI

51 

Bertrand PP and Bertrand RL: Serotonin release and uptake in the gastrointestinal tract. Auton Neurosci. 153:47–57. 2010. View Article : Google Scholar

52 

Qian BF, El-Salhy M, Melgar S, Hammarström ML and Danielsson A: Neuroendocrine changes in colon of mice with a disrupted IL-2 gene. Clin Exp Immunol. 120:424–433. 2000. View Article : Google Scholar : PubMed/NCBI

53 

Oshima S, Fujimura M and Fukimiya M: Changes in number of serotonin-containing cells and serotonin levels in the intestinal mucosa of rats with colitis induced by dextran sodium sulfate. Histochem Cell Biol. 112:257–263. 1999. View Article : Google Scholar : PubMed/NCBI

54 

Spiller R: Serotonin and GI clinical disorders. Neuropharmacology. 55:1072–1080. 2008. View Article : Google Scholar : PubMed/NCBI

55 

Egger M, Beer AG, Theurl M, Schgoer W, Hotter B, Tatarczyk T, Vasiljevic D, Frauscher S, Marksteiner J, Patsch JR, et al: Monocyte migration: A novel effect and signaling pathways of catestatin. Eur J Pharmacol. 598:104–111. 2008. View Article : Google Scholar : PubMed/NCBI

56 

Feistritzer C, Mosheimer BA, Colleselli D, Wiedermann CJ and Kähler CM: Effects of the neuropeptide secretoneurin on natural killer cell migration and cytokine release. Regul Pept. 126:195–201. 2005. View Article : Google Scholar : PubMed/NCBI

57 

Ferrero E, Magni E, Curnis F, Villa A, Ferrero ME and Corti A: Regulation of endothelial cell shape and barrier function by chromogranin A. Ann N Y Acad Sci. 971:355–358. 2002. View Article : Google Scholar : PubMed/NCBI

58 

Wang H, Steeds J, Motomura Y, Deng Y, Verma-Gandhu M, El-Sharkawy RT, McLaughlin JT, Grencis RK and Khan WI: CD4+ T cell-mediated immunological control of enterochromaffin cell hyperplasia and 5-hydroxytryptamine production in enteric infection. Gut. 56:949–957. 2007. View Article : Google Scholar : PubMed/NCBI

59 

Cloez-Tayarani I and Changeux JP: Nicotine and serotonin in immune regulation and inflammatory processes: A perspective. J Leukoc Biol. 81:599–606. 2007. View Article : Google Scholar

60 

Stefulj J, Cicin-Sain L, Schauenstein K and Jernej B: Serotonin and immune response: Effect of the amine on in vitro proliferation of rat lymphocytes. Neuroimmunomodulation. 9:103–108. 2001. View Article : Google Scholar : PubMed/NCBI

61 

Betten A, Dahlgren C, Hermodsson S and Hellstrand K: Serotonin protects NK cells against oxidatively induced functional inhibition and apoptosis. J Leukoc Biol. 70:65–72. 2001.PubMed/NCBI

62 

Laberge S, Cruikshank WW, Beer DJ and Center DM: Secretion of IL-16 (lymphocyte chemoattractant factor) from serotonin-stimulated CD8+ T cells in vitro. J Immunol. 156:310–315. 1996.PubMed/NCBI

63 

Soga F, Katoh N, Inoue T and Kishimoto S: Serotonin activates human monocytes and prevents apoptosis. J Invest Dermatol. 127:1947–1955. 2007. View Article : Google Scholar : PubMed/NCBI

64 

Di Sabatino A, Volta U, Salvatore C, Biancheri P, Caio G, De Giorgio R, Di Stefano M and Corazza GR: Small amounts of gluten in subjects with suspected nonceliac gluten sensitivity: A randomized, double-blind, placebo-controlled, cross-over trial. Clin Gastroenterol Hepatol. 13:1604–1612. 2015. View Article : Google Scholar : PubMed/NCBI

65 

Macia L, Yulyaningsih E, Pangon L, Nguyen AD, Lin S, Shi YC, Zhang L, Bijker M, Grey S, Mackay F, et al: Neuropeptide Y1 receptor in immune cells regulates inflammation and insulin resistance associated with diet-induced obesity. Diabetes. 61:3228–3238. 2012. View Article : Google Scholar : PubMed/NCBI

66 

De la Fuente M, Bernaez I, Del Rio M and Hernanz A: Stimulation of murine peritoneal macrophage functions by neuropeptide Y and peptide YY. Involvement of protein kinase C. Immunology. 80:259–265. 1993.PubMed/NCBI

67 

Ferone D, Resmini E, Boschetti M, Arvigo M, Albanese V, Ceresola E, Pivonello R, Albertelli M, Bianchi F, Giusti M and Minuto F: Potential indications for somatostatin analogues: Immune system and limphoproliferative disorders. J Endocrinol Invest. 28(11 Supply International): 111–117. 2005.

68 

ten Bokum AM, Hofland LJ and van Hagen PM: Somatostatin and somatostatin receptors in the immune system: A review. Eur Cytokine Netw. 11:161–176. 2000.PubMed/NCBI

69 

Ferone D, Pivonello R, Kwekkeboom DJ, Gatto F, Ameri P, Colao A, de Krijger RR, Minuto F, Lamberts SW, van Hagen PM and Hofland LJ: Immunohistochemical localization and quantitative expression of somatostatin receptors in normal human spleen and thymus: Implications for the in vivo visualization during somatostatin receptor scintigraphy. J Endocrinol Invest. 35:528–534. 2012.

70 

Ferone D, Pivonello R, Van Hagen PM, Dalm VA, Lichtenauer-Kaligis EG, Waaijers M, Van Koetsveld PM, Mooy DM, Colao A, Minuto F, et al: Quantitative and functional expression of somatostatin receptor subtypes in human thymocytes. Am J Physiol Endocrinol Metab. 283:E1056–E1066. 2002. View Article : Google Scholar : PubMed/NCBI

71 

Dalm VA, van Hagen PM, van Koetsveld PM, Achilefu S, Houtsmuller AB, Pols DH, van der Lely AJ, Lamberts SW and Hofland LJ: Expression of somatostatin, cortistatin and soma-tostatin receptors in human monocytes, macrophages and dendritic cells. Am J Physiol Endocrinol Metab. 285:E344–E353. 2003. View Article : Google Scholar : PubMed/NCBI

72 

Lichtenauer-Kaligis EG, Dalm VA, Oomen SP, Mooij DM, van Hagen PM, Lamberts SW and Hofland LJ: Differential expression of somatostatin receptor subtypes in human peripheral blood mononuclear cell subsets. Eur J Endocrinol. 150:565–577. 2004. View Article : Google Scholar : PubMed/NCBI

73 

Armani C, Catalani E, Balbarini A, Bagnoli P and Cervia D: Expression, pharmacology and functional role of somatostatin receptor subtypes 1 and 2 in human macrophages. J Leukoc Biol. 81:845–855. 2007. View Article : Google Scholar

74 

Taniyama Y, Suzuki T, Mikami Y, Moriya T, Satomi S and Sasano H: Systemic distribution of somatostatin receptor subtypes in human: An immunohistochemical study. Endocrine J. 52:605–611. 2005. View Article : Google Scholar

75 

Hagströmer L, Emtestam L, Stridsberg M and Talme T: Expression pattern of somatostatin receptor subtypes 1–5 in human skin: An immunohistochemical study of healthy subjects and patients with psoriasis or atopic dermatitis. Exp Dermatol. 15:950–957. 2006. View Article : Google Scholar

76 

Talme T, Ivanoff J, Hägglund M, Van Neerven RJ, Ivanoff A and Sundqvist KG: Somatostatin receptor (SSTR) expression and function in normal and leukaemic T-cells. Evidence for selective effects on adhesion to extracellular matrix components via SSTR2 and/or 3. Clin Exp Immunol. 125:71–79. 2001. View Article : Google Scholar : PubMed/NCBI

77 

Rosskopf D, Schürks M, Manthey I, Joisten M, Busch S and Siffert W: Signal transduction of somatostatin in human B lymphoblasts. American journal of physiology. Cell physiology. 284:C179–C190. 2003. View Article : Google Scholar

78 

Casnici C, Lattuada D, Perego C, Franco P and Marelli O: Inhibitory effect of somatostatin on human T lymphocytes proliferation. Int J Immunopharmacol. 19:721–727. 1997. View Article : Google Scholar

79 

Radosević-Stasić B, Trobonjaca Z, Lucin P, Cuk M, Polić B and Rukavina D: Immunosuppressive and antiproliferative effects of somatostatin analog SMS 201–995. Int J Neurosci. 81:283–297. 1995. View Article : Google Scholar

80 

Sirianni MC, Annibale B, Fais S and Delle Fave G: Inhibitory effect of somatostatin-14 and some analogues on human natural killer cell activity. Peptides. 15:1033–1036. 1994. View Article : Google Scholar : PubMed/NCBI

81 

Helyes Z, Elekes K, Németh J, Pozsgai G, Sándor K, Kereskai L, Börzsei R, Pintér E, Szabó A and Szolcsányi J: Role of transient receptor potential vanilloid 1 receptors in endotoxin-induced airway inflammation in the mouse. Am J Physiol Lung Cell Mol Physiol. 292:L1173–L1181. 2007. View Article : Google Scholar : PubMed/NCBI

82 

Helyes Z, Pintér E, Sándor K, Elekes K, Bánvölgyi A, Keszthelyi D, Szoke E, Tóth DM, Sándor Z, Kereskai L, et al: Impaired defense mechanism against inflammation, hyperalgesia and airway hyperreactivity in somatostatin 4 receptor gene-deleted mice. Proc Natl Acad Sci USA. 106:13088–13093. 2009. View Article : Google Scholar

83 

El-Salhy M, Seim I, Chopin L, Gundersen D, Hatlebakk JG and Hausken T: Irritable bowel syndrome: The role of gut neuroendocrine peptides. Front Biosci (Elite Ed). 4:2783–2800. 2012.

84 

El-Salhy M, Gundersen D, Hatlebakk JG and Hausken T: Irritable bowel syndrome: Diagnosis, pathogenesis and treatment options. Nova Science Publishers; Inc, New York: 2012

85 

El-Salhy M, Gundersen D, Gilja OH, Hatlebakk JG and Hausken T: Is irritable bowel syndrome an organic disorder? World J Gastroenterol. 20:384–400. 2014. View Article : Google Scholar : PubMed/NCBI

Related Articles

  • Abstract
  • View
  • Download
  • Twitter
Copy and paste a formatted citation
Spandidos Publications style
El‑Salhy M and Umezawa K: Effects of AP‑1 and NF‑κB inhibitors on colonic endocrine cells in rats with TNBS‑induced colitis. Mol Med Rep 14: 1515-1522, 2016.
APA
El‑Salhy, M., & Umezawa, K. (2016). Effects of AP‑1 and NF‑κB inhibitors on colonic endocrine cells in rats with TNBS‑induced colitis. Molecular Medicine Reports, 14, 1515-1522. https://doi.org/10.3892/mmr.2016.5444
MLA
El‑Salhy, M., Umezawa, K."Effects of AP‑1 and NF‑κB inhibitors on colonic endocrine cells in rats with TNBS‑induced colitis". Molecular Medicine Reports 14.2 (2016): 1515-1522.
Chicago
El‑Salhy, M., Umezawa, K."Effects of AP‑1 and NF‑κB inhibitors on colonic endocrine cells in rats with TNBS‑induced colitis". Molecular Medicine Reports 14, no. 2 (2016): 1515-1522. https://doi.org/10.3892/mmr.2016.5444
Copy and paste a formatted citation
x
Spandidos Publications style
El‑Salhy M and Umezawa K: Effects of AP‑1 and NF‑κB inhibitors on colonic endocrine cells in rats with TNBS‑induced colitis. Mol Med Rep 14: 1515-1522, 2016.
APA
El‑Salhy, M., & Umezawa, K. (2016). Effects of AP‑1 and NF‑κB inhibitors on colonic endocrine cells in rats with TNBS‑induced colitis. Molecular Medicine Reports, 14, 1515-1522. https://doi.org/10.3892/mmr.2016.5444
MLA
El‑Salhy, M., Umezawa, K."Effects of AP‑1 and NF‑κB inhibitors on colonic endocrine cells in rats with TNBS‑induced colitis". Molecular Medicine Reports 14.2 (2016): 1515-1522.
Chicago
El‑Salhy, M., Umezawa, K."Effects of AP‑1 and NF‑κB inhibitors on colonic endocrine cells in rats with TNBS‑induced colitis". Molecular Medicine Reports 14, no. 2 (2016): 1515-1522. https://doi.org/10.3892/mmr.2016.5444
Follow us
  • Twitter
  • LinkedIn
  • Facebook
About
  • Spandidos Publications
  • Careers
  • Cookie Policy
  • Privacy Policy
How can we help?
  • Help
  • Live Chat
  • Contact
  • Email to our Support Team