Spandidos Publications Logo
  • About
    • About Spandidos
    • Aims and Scopes
    • Abstracting and Indexing
    • Editorial Policies
    • Reprints and Permissions
    • Job Opportunities
    • Terms and Conditions
    • Contact
  • Journals
    • All Journals
    • Oncology Letters
      • Oncology Letters
      • Information for Authors
      • Editorial Policies
      • Editorial Board
      • Aims and Scope
      • Abstracting and Indexing
      • Bibliographic Information
      • Archive
    • International Journal of Oncology
      • International Journal of Oncology
      • Information for Authors
      • Editorial Policies
      • Editorial Board
      • Aims and Scope
      • Abstracting and Indexing
      • Bibliographic Information
      • Archive
    • Molecular and Clinical Oncology
      • Molecular and Clinical Oncology
      • Information for Authors
      • Editorial Policies
      • Editorial Board
      • Aims and Scope
      • Abstracting and Indexing
      • Bibliographic Information
      • Archive
    • Experimental and Therapeutic Medicine
      • Experimental and Therapeutic Medicine
      • Information for Authors
      • Editorial Policies
      • Editorial Board
      • Aims and Scope
      • Abstracting and Indexing
      • Bibliographic Information
      • Archive
    • International Journal of Molecular Medicine
      • International Journal of Molecular Medicine
      • Information for Authors
      • Editorial Policies
      • Editorial Board
      • Aims and Scope
      • Abstracting and Indexing
      • Bibliographic Information
      • Archive
    • Biomedical Reports
      • Biomedical Reports
      • Information for Authors
      • Editorial Policies
      • Editorial Board
      • Aims and Scope
      • Abstracting and Indexing
      • Bibliographic Information
      • Archive
    • Oncology Reports
      • Oncology Reports
      • Information for Authors
      • Editorial Policies
      • Editorial Board
      • Aims and Scope
      • Abstracting and Indexing
      • Bibliographic Information
      • Archive
    • Molecular Medicine Reports
      • Molecular Medicine Reports
      • Information for Authors
      • Editorial Policies
      • Editorial Board
      • Aims and Scope
      • Abstracting and Indexing
      • Bibliographic Information
      • Archive
    • World Academy of Sciences Journal
      • World Academy of Sciences Journal
      • Information for Authors
      • Editorial Policies
      • Editorial Board
      • Aims and Scope
      • Abstracting and Indexing
      • Bibliographic Information
      • Archive
    • International Journal of Functional Nutrition
      • International Journal of Functional Nutrition
      • Information for Authors
      • Editorial Policies
      • Editorial Board
      • Aims and Scope
      • Abstracting and Indexing
      • Bibliographic Information
      • Archive
    • International Journal of Epigenetics
      • International Journal of Epigenetics
      • Information for Authors
      • Editorial Policies
      • Editorial Board
      • Aims and Scope
      • Abstracting and Indexing
      • Bibliographic Information
      • Archive
    • Medicine International
      • Medicine International
      • Information for Authors
      • Editorial Policies
      • Editorial Board
      • Aims and Scope
      • Abstracting and Indexing
      • Bibliographic Information
      • Archive
  • Articles
  • Information
    • Information for Authors
    • Information for Reviewers
    • Information for Librarians
    • Information for Advertisers
    • Conferences
  • Language Editing
Spandidos Publications Logo
  • About
    • About Spandidos
    • Aims and Scopes
    • Abstracting and Indexing
    • Editorial Policies
    • Reprints and Permissions
    • Job Opportunities
    • Terms and Conditions
    • Contact
  • Journals
    • All Journals
    • Biomedical Reports
      • Information for Authors
      • Editorial Policies
      • Editorial Board
      • Aims and Scope
      • Abstracting and Indexing
      • Bibliographic Information
      • Archive
    • Experimental and Therapeutic Medicine
      • Information for Authors
      • Editorial Policies
      • Editorial Board
      • Aims and Scope
      • Abstracting and Indexing
      • Bibliographic Information
      • Archive
    • International Journal of Epigenetics
      • Information for Authors
      • Editorial Policies
      • Editorial Board
      • Aims and Scope
      • Abstracting and Indexing
      • Bibliographic Information
      • Archive
    • International Journal of Functional Nutrition
      • Information for Authors
      • Editorial Policies
      • Editorial Board
      • Aims and Scope
      • Abstracting and Indexing
      • Bibliographic Information
      • Archive
    • International Journal of Molecular Medicine
      • Information for Authors
      • Editorial Policies
      • Editorial Board
      • Aims and Scope
      • Abstracting and Indexing
      • Bibliographic Information
      • Archive
    • International Journal of Oncology
      • Information for Authors
      • Editorial Policies
      • Editorial Board
      • Aims and Scope
      • Abstracting and Indexing
      • Bibliographic Information
      • Archive
    • Medicine International
      • Information for Authors
      • Editorial Policies
      • Editorial Board
      • Aims and Scope
      • Abstracting and Indexing
      • Bibliographic Information
      • Archive
    • Molecular and Clinical Oncology
      • Information for Authors
      • Editorial Policies
      • Editorial Board
      • Aims and Scope
      • Abstracting and Indexing
      • Bibliographic Information
      • Archive
    • Molecular Medicine Reports
      • Information for Authors
      • Editorial Policies
      • Editorial Board
      • Aims and Scope
      • Abstracting and Indexing
      • Bibliographic Information
      • Archive
    • Oncology Letters
      • Information for Authors
      • Editorial Policies
      • Editorial Board
      • Aims and Scope
      • Abstracting and Indexing
      • Bibliographic Information
      • Archive
    • Oncology Reports
      • Information for Authors
      • Editorial Policies
      • Editorial Board
      • Aims and Scope
      • Abstracting and Indexing
      • Bibliographic Information
      • Archive
    • World Academy of Sciences Journal
      • Information for Authors
      • Editorial Policies
      • Editorial Board
      • Aims and Scope
      • Abstracting and Indexing
      • Bibliographic Information
      • Archive
  • Articles
  • Information
    • For Authors
    • For Reviewers
    • For Librarians
    • For Advertisers
    • Conferences
  • Language Editing
Login Register Submit
  • This site uses cookies
  • You can change your cookie settings at any time by following the instructions in our Cookie Policy. To find out more, you may read our Privacy Policy.

    I agree
Search articles by DOI, keyword, author or affiliation
Search
Advanced Search
presentation
Molecular Medicine Reports
Join Editorial Board Propose a Special Issue
Print ISSN: 1791-2997 Online ISSN: 1791-3004
Journal Cover
May-2018 Volume 17 Issue 5

Full Size Image

Sign up for eToc alerts
Recommend to Library

Journals

International Journal of Molecular Medicine

International Journal of Molecular Medicine

International Journal of Molecular Medicine is an international journal devoted to molecular mechanisms of human disease.

International Journal of Oncology

International Journal of Oncology

International Journal of Oncology is an international journal devoted to oncology research and cancer treatment.

Molecular Medicine Reports

Molecular Medicine Reports

Covers molecular medicine topics such as pharmacology, pathology, genetics, neuroscience, infectious diseases, molecular cardiology, and molecular surgery.

Oncology Reports

Oncology Reports

Oncology Reports is an international journal devoted to fundamental and applied research in Oncology.

Experimental and Therapeutic Medicine

Experimental and Therapeutic Medicine

Experimental and Therapeutic Medicine is an international journal devoted to laboratory and clinical medicine.

Oncology Letters

Oncology Letters

Oncology Letters is an international journal devoted to Experimental and Clinical Oncology.

Biomedical Reports

Biomedical Reports

Explores a wide range of biological and medical fields, including pharmacology, genetics, microbiology, neuroscience, and molecular cardiology.

Molecular and Clinical Oncology

Molecular and Clinical Oncology

International journal addressing all aspects of oncology research, from tumorigenesis and oncogenes to chemotherapy and metastasis.

World Academy of Sciences Journal

World Academy of Sciences Journal

Multidisciplinary open-access journal spanning biochemistry, genetics, neuroscience, environmental health, and synthetic biology.

International Journal of Functional Nutrition

International Journal of Functional Nutrition

Open-access journal combining biochemistry, pharmacology, immunology, and genetics to advance health through functional nutrition.

International Journal of Epigenetics

International Journal of Epigenetics

Publishes open-access research on using epigenetics to advance understanding and treatment of human disease.

Medicine International

Medicine International

An International Open Access Journal Devoted to General Medicine.

Journal Cover
May-2018 Volume 17 Issue 5

Full Size Image

Sign up for eToc alerts
Recommend to Library

  • Article
  • Citations
    • Cite This Article
    • Download Citation
    • Create Citation Alert
    • Remove Citation Alert
    • Cited By
  • Similar Articles
    • Related Articles (in Spandidos Publications)
    • Similar Articles (Google Scholar)
    • Similar Articles (PubMed)
  • Download PDF
  • Download XML
  • View XML
Article Open Access

Role of leptin and the leptin receptor in the pathogenesis of varicocele-induced testicular dysfunction

  • Authors:
    • Jie Zhang
    • Peng‑Peng Jin
    • Min Gong
    • Qing‑Tong Yi
    • Ru‑Jian Zhu
  • View Affiliations / Copyright

    Affiliations: Department of Urology, Shanghai Pudong Hospital, Fudan University, Shanghai 201399, P.R. China, Center for Medical Research, Shanghai Pudong Hospital, Fudan University, Shanghai 201399, P.R. China
    Copyright: © Zhang et al. This is an open access article distributed under the terms of Creative Commons Attribution License.
  • Pages: 7065-7072
    |
    Published online on: March 15, 2018
       https://doi.org/10.3892/mmr.2018.8753
  • Expand metrics +
Metrics: Total Views: 0 (Spandidos Publications: | PMC Statistics: )
Metrics: Total PDF Downloads: 0 (Spandidos Publications: | PMC Statistics: )
Cited By (CrossRef): 0 citations Loading Articles...

This article is mentioned in:



Abstract

The present study investigated the expression of leptin and its receptor in the left testis and hypothalamus of rats with varicocele and clarified their roles in the pathogenesis of varicocele‑induced testicular dysfunction. A total of 40 male rats were divided randomly into four groups. Groups 1 (G1) and 3 (G3) underwent a sham operation. Groups 2 (G2) and 4 (G4) underwent operations to form a varicocele created by partial ligation of the left renal vein. G1 and G2 rats were euthanized 4 weeks after the operation while G3 and G4 rats were euthanized at 8 weeks. The expression of leptin and its receptor was analyzed by immunohistochemistry. The mRNA levels of leptin, its receptor, kisspeptin (KiSS‑1), G‑protein coupled receptor 54 (GPR54), gonadotropin releasing hormone (GnRH), luteinizing hormone (LH), and follicle‑stimulating hormone (FSH) were measured by reverse transcription‑quantitative polymerase chain reaction. Testicular spermatogenesis function and gonadal hormone levels were measured. Compared with G1 and G3, the expression of leptin and its receptor in rat testis was significantly higher in G2 and G4, respectively. Leptin expression was inversely associated with the number of sperm in the left epididymis, thickness of the seminiferous epithelium and the diameter of seminiferous tubules. The expression of leptin receptors in the hypothalamus of G2 and G4 was significantly increased compared with that in G1 and G3, respectively. The mRNA levels of KiSS‑1, GPR54, GnRH, LH and FSH in G2 and G4 were significantly increased compared with that in G1 and G3, respectively. Serum testosterone levels in G2 and G4 rats were significantly lower than those in G1 and G3 rats, respectively. There was no significant difference between the serum levels of FSH, LH and leptin. These results suggest that leptin and its receptor may serve significant roles in the pathogenesis of varicocele-induced testicular dysfunction.

Introduction

Varicocele is one of the most common causes of male infertility. In adult males, approximately 30–40% of patients with primary infertility, and 69–81% of patients with secondary infertility, suffer from varicocele (1). Varicocele is considered disadvantageous to spermatogenesis, leading to low sperm count, abnormal morphology, and poor motility. The academic community has put forward many hypotheses for varicocele-induced testicular dysfunction including oxidative stress, increased apoptosis, hypoxia, and testicular microcirculation abnormalities. However, the exact mechanism has not yet been fully elucidated (2).

Leptin, secreted mainly by white adipose tissue, is a protein product of an obese gene. Leptin receptors belong to the class I cytokine receptor family and have at least six different subtypes. Leptin which reaches the central or peripheral tissue is free in the blood or binds to the leptin binding protein (3). Differential leptin receptor activation conveys different biological activities of leptin (4). Leptin is a metabolic signal that connects nutrition and other physiological functions (5). Leptin not only plays an important role in energy metabolism, but also participates in a series of important physiological activities such as angiogenesis, immune regulation, inflammatory reaction and bone formation (6). Previous studies have focused on the role of leptin in energy metabolism. Recently, an increasing number of studies have shown that leptin plays an important role in regulating reproductive function (7,8). It has been reported that leptin and the leptin receptor exist in testicular tissue (9), suggesting that they might be related to spermatogenesis dysfunction caused by varicocele. In addition, Ishikawa has found that testicular dysfunction is associated with increased leptin and leptin receptor expression (10). The purpose of this study was to elucidate the relationship between spermatogenesis dysfunction and the expressions of leptin and its receptor in rats with experimental varicocele. Furthermore, we examined the roles of leptin and the leptin receptor in the pathogenesis of varicocele-induced testicular dysfunction.

Materials and methods

Preparation of animals and tissues

Forty Sprague-Dawley male rats were obtained from Shanghai SIPPR-BK Laboratory or Animal Co., Ltd. (Shanghai, China). Weights ranged from 200 to 250 g. Rats were divided into four groups randomly: Groups 1 (G1) and 3 (G3) underwent the sham operation as controls; groups 2 (G2) and 4 (G4) underwent operations to form an experimental left varicocele which was created by partially narrowing the left renal vein with reference to Turner's method (11). Briefly, with a 4-0 silk suture passing under the left renal vein, a 0.7 mm diameter needle was placed above the left renal vein proximal to the junction of the left internal spermatic vein. The left renal vein and the needle were ligated together. The needle was withdrawn after the knot was secured resulting in partial narrowing of the vein. We then carefully looked for and ligated branches between the left internal spermatic and left common iliac veins.

G1 and G3 rats underwent left renal vein isolation without ligation. The diameters of both the left and right internal spermatic veins were measured under a microscope with a micrometer before and 4 or 8 weeks after the operation. Varicocele modeling was considered successful when the diameter of the left internal spermatic vein was more than twice the right vein and there was no renal atrophy (Fig. 1).

Figure 1.

Development of the left varicocele. The experimental left varicocele was created by partially narrowing the left renal vein. 1, inferior caval vein; 2, aortaventralis; 3, left internal spermatic vein; 4, left renal vein; 5, the knot.

G1 and G2 rats were killed 4 weeks after the operation while G3 and G4 rats were killed at 8 weeks. The left testis and epididymis were obtained and their weight was recorded. After washing with phosphate-buffered saline (PBS), the epididymis was placed into PBS at 37°C for 10 min for semen analysis. Some testis tissues stored in tubes were placed into liquid nitrogen for measuring mRNA levels with the real-time polymerase chain reaction (RT-PCR). Others were fixed in Bouin's solution for histochemical analysis. Blood was drawn from the abdominal aorta and the supernatant was collected after centrifugation at 3,500 × g for 15 min at 4°C. Blood samples were obtained to measure hormone levels. Finally, hypothalamus tissues were obtained and preserved in liquid nitrogen. The study was approved by the Ethics Committee of Shanghai Municipal Commission of Health and family Planning (SWJW005).

Spermatogenesis assessment

Paraffin sections made from fixed testis were stained with hematoxylin and eosin. Twenty fields were analyzed randomly under a microscope. Each section of seminiferous tubules was graded with a Johnsen's score from 1 to 10 as described previously (12) and an average score was calculated. In addition, the diameter of the seminiferous tubules, and the thickness of the seminiferous epithelium, were analyzed using Image-Pro Plus (Media Cybernetics, Inc., Rockville, MD, USA). The epididymis was cut into two sections and incubated at 37°C for 10 min in 2 ml PBS to allow sperm to swim out freely. A blood cell counter was used for sperm counts.

Immunohistochemical staining

A streptavidin-peroxidase kit was used to perform immunohistochemical staining (Beijing Zhongshan Golden Bridge Biotechnology Co., Ltd., Beijing, China). Hypothalamus was used for frozen sections and testis was used for paraffin sections. Slides were incubated for 20 min at room temperature in 3% hydrogen peroxide to block endogenous peroxidase activity. All slides were then incubated for 1 h in goat serum, followed by an overnight incubation at 4°C with primary antibodies against leptin (sc-842; Santa Cruz Biotechnology, Inc., Santa Cruz, CA, USA) or the leptin receptor (sc-8325; Santa Cruz Biotechnology, Inc.) at the dilution of 1:100. The following day, the slides were incubated with a biotinylated secondary antibody for 30 min at room temperature, and then with an enhanced streptavidin horseradish peroxidase conjugate for 15 min at room temperature. The slides were then washed and incubated with 3,3′-diaminobenzidine chromogenic reagent for 6 min. Finally, all slides were counterstained with hematoxylin for 45 sec, destained with acid alcohol for 3 sec, dehydrated with an ethanol gradient, coated with resin, and covered with a glass coverslip. Image-Pro Plus was used to perform the quantitative analysis.

RT-PCR

Total RNA was extracted from cerebral and left testis tissues using TRIzol® Reagent (Ambion, Inc., Austin, TX, USA) according to the manufacturer's instructions. Total RNA (1 µg) was reverse transcribed using QuantiTect Reverse Transcription kit (cat. nos. 205310, 205311, 205313, and 205314; Qiagen GmbH, Hilden, Germany). The primer sequences were synthesized by Sangon Biotech (Shanghai, China) (Table I). The RT-PCR reaction (ViiA™ 7 Real-Time PCR; Applied Biosystems, Foster City, CA, USA) was started at 95°C for 10 min, followed by 40 cycles at 95°C for 15 sec and 60°C for 1 min. β-actin was used to normalize the data and differences between the relative expression of the target genes were calculated according to the 2−ΔΔCq method. All reactions were performed in triplicate.

Table I.

Primer sequences.

Table I.

Primer sequences.

GeneSequence (5′-3′)Product length (bp)Accession number
Leptin-F CAATGACATTTCACACACGCAG204NM_013076
Leptin-R AGATGGAGGAGGTCTCGCAG
Leptin receptor-F GTGTCCTTCCTGACTCCGTAG119NM_012596
Leptin receptor-R GTTATTCTCTGGAAAGACTGGCT
β-actin-F GGCTGTATTCCCCTCCATCG154NM_007393
β-actin-R CCAGTTGGTAACAATGCCATGT
KiSS-1-F TGGCACCTGTGGTGAACCCTGAAC202NM_181692
KiSS-1-R ATCAGGCGACTGCGGCTGGCACAC
GPR54-F TTGGGTCCGAACGTGAGCT371NM_001301151
GPR54-R CATGTGGCTTGCACCGAGA
GnRH-F CCGCTGTTGTTCTGTTGACT201NM_012767
GnRH-R GCAGATCCCTAAGAGGTGAA
LH-F CCCCATAGTCTCCTTTCCTG190NM_012858
LH-R GGATGGTTAGAACACCTGCT
FSH-F CATCCTACTCTGGTGCTTGA325NM_008045
FSH-R TCTTACAGTGCAGTCGGTGC

[i] F, forward; R, reverse; KiSS-1, kisspeptin; GPR54, G-protein coupled receptor 54; GnRH, gonadotropin releasing hormone; LH, luteinizing hormone; FSH, follicle-stimulating hormone; bp, base pairs.

Hormone evaluations

Leptin was measured by an enzyme-linked immunosorbent assay kit (Shanghai Westang Bio-Tech Co., Ltd., Shanghai, China). Follicle-stimulating hormone (FSH), luteinizing hormone (LH), and testosterone levels were determined by a radioimmunoassay (Beijing North Institute of Biological Technology, Beijing, China).

Statistical analysis

Data were analyzed using SPSS 20 (IBM Corp., Armonk, NY, USA). All values are shown as means ± SEM. Statistical comparisons were performed using Student's t-test and correlations were analyzed by using linear regression analysis. P<0.05 was considered statistically different.

Results

Varicocele model and spermatogenesis assessment

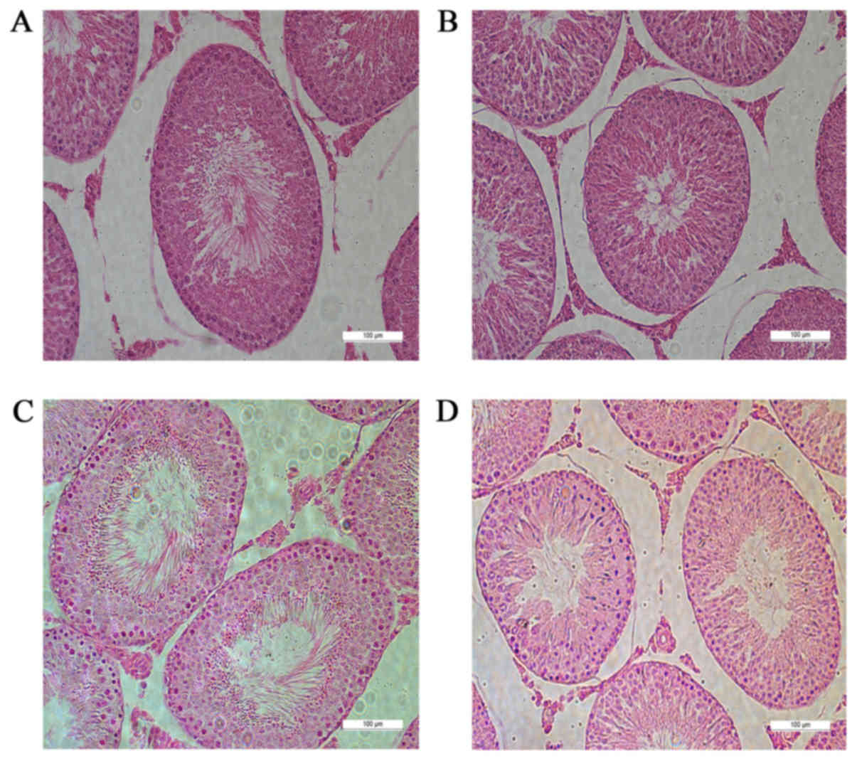
One rat in the G2 group was excluded because of death and one in the G4 group was excluded because of unsuccessful modeling. Hematoxylin and eosin staining showed that the numbers of mature sperm in the seminiferous epithelium of G2 and G4 rats were significantly lower than those in G1 and G3 rats. Cells were relatively loose and disordered, and the number of vacuoles increased in G2 and G4 rats (Fig. 2).

Figure 2.

Hematoxylin and eosin staining in the (A) G1, (B) G2, (C) G3 and (D) G4 groups. Magnification, ×200. G1 and G3 were the control groups and G2 and G4 were the experimental varicoceles groups. Cells were relatively loose and disordered and the number of vacuoles increased in the G2 and G4 rat groups. G1, group 1; G2, group 2; G3, group 3; G4, group 4.

There was no significant difference among groups in weights of the left testis and left epididymis. The Johnsen scores for the left testis of G2 and G4 rats were significantly lower, the seminiferous epithelium thinner, the seminiferous tubule diameters smaller, and the sperm counts lower than those in G1 and G3 rats, respectively (Table II).

Table II.

Spermatogenesis-associated indexes.

Table II.

Spermatogenesis-associated indexes.

Left testisLeft epididymis


GroupWeight (g)Johnsen scoreSeminiferous tubule diameter (µm)Seminiferous epithelium thickness (µm)Weight (g)Sperm count (×106/g × ml)
G1 1.42±0.07 9.10±0.28 276.21±4.66 57.58±1.98 0.28±0.005 1,552±184
G2 1.42±0.06 6.44±0.38b 223.10±9.45a 48.35±0.99b 0.27±0.007 980±85a
G3 1.46±0.06 9.20±0.25 293.25±7.45 58.05±0.75 0.26±0.009 1,356±176
G4 1.41±0.05 6.67±0.41d 230.62±10.12c 47.87±1.42d 0.27±0.008 930±92c

a P<0.05

b P<0.01 vs. G1

c P<0.05

d P<0.01 vs. G3. G1 and G3 are 4 and 8 weeks post the sham operation, respectively; G2 and G4 are 4 and 8 weeks post experimental varicocele modelling, respectively. Data are presented as the mean ± standard error of the mean. G1, group 1; G2, group 2; G3, group 3; G4, group 4.

Leptin and leptin receptor levels in testis and hypothalamus

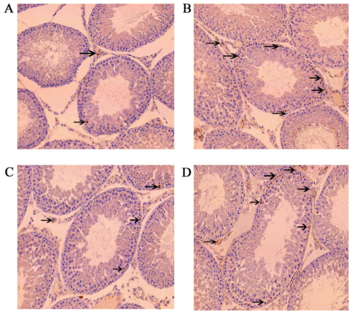
Leptin and leptin receptors were expressed in the testis of all groups. Leptin was expressed in seminiferous tubules and intersitium while the leptin receptor was expressed predominantly in interstitium (Figs. 3 and 4). Expression of leptin and leptin receptors in the testis of G2 and G4 rats was increased significantly compared to G1 and G3 rats, respectively (Fig. 5). Leptin and leptin receptor mRNA levels in the testis of G2 and G4 rats were significantly increased compared to G1 and G3 rats, respectively (Fig. 6). Expression of leptin receptors in the hypothalamus of G2 and G4 rats was significantly increased compared to G1 and G3 rats, respectively (Fig. 7).

Figure 3.

Immunohistochemistry staining of leptin in rats in the (A) G1, (B) G2, (C) G3 and (D) G4 groups. Magnification, ×200. G1 and G3 were the control groups and G2 and G4 were the experimental varicoceles groups. Arrows indicate positive leptin stained cells. G1, group 1; G2, group 2; G3, group 3; G4, group 4.

Figure 4.

Immunohistochemistry staining of leptin receptor in rats in the (A) G1, (B) G2, (C) G3 and (D) G4 groups. Magnification, ×200. G1 and G3 were the control groups and G2 and G4 were the experimental varicoceles groups. Arrows indicate positive leptin receptor stained cells. G1, group 1; G2, group 2; G3, group 3; G4, group 4.

Figure 5.

The OD values of anti-leptin and anti-leptin-R antibodies in the testes of different groups. **P<0.01 vs. the G1 group. #P<0.05 and ##P<0.01 vs. the G3 group. G1 and G3 are 4 and 8 weeks post the sham operation, respectively; G2 and G4 are 4 and 8 weeks post experimental varicocele modelling, respectively. Leptin-R, leptin receptor; OD, optical density; G1, group 1; G2, group 2; G3, group 3; G4, group 4.

Figure 6.

The mRNA expression of leptin and leptin-R in the testes of different groups. *P<0.05 and **P<0.01 vs. the G1 group. ##P<0.01 vs. the G3 group. G1 and G3 are 4 and 8 weeks post the sham operation, respectively; G2 and G4 are 4 and 8 weeks post experimental varicocele modelling, respectively. Leptin-R, leptin receptor; G1, group 1; G2, group 2; G3, group 3; G4, group 4.

Figure 7.

Immunohistochemistry staining of leptin receptor in the hypothalamus of rats in the (A) G1, (B) G2, (C) G3 and (D) G4 groups. Magnification, ×100. G1, group 1; G2, group 2; G3, group 3; G4, group 4.

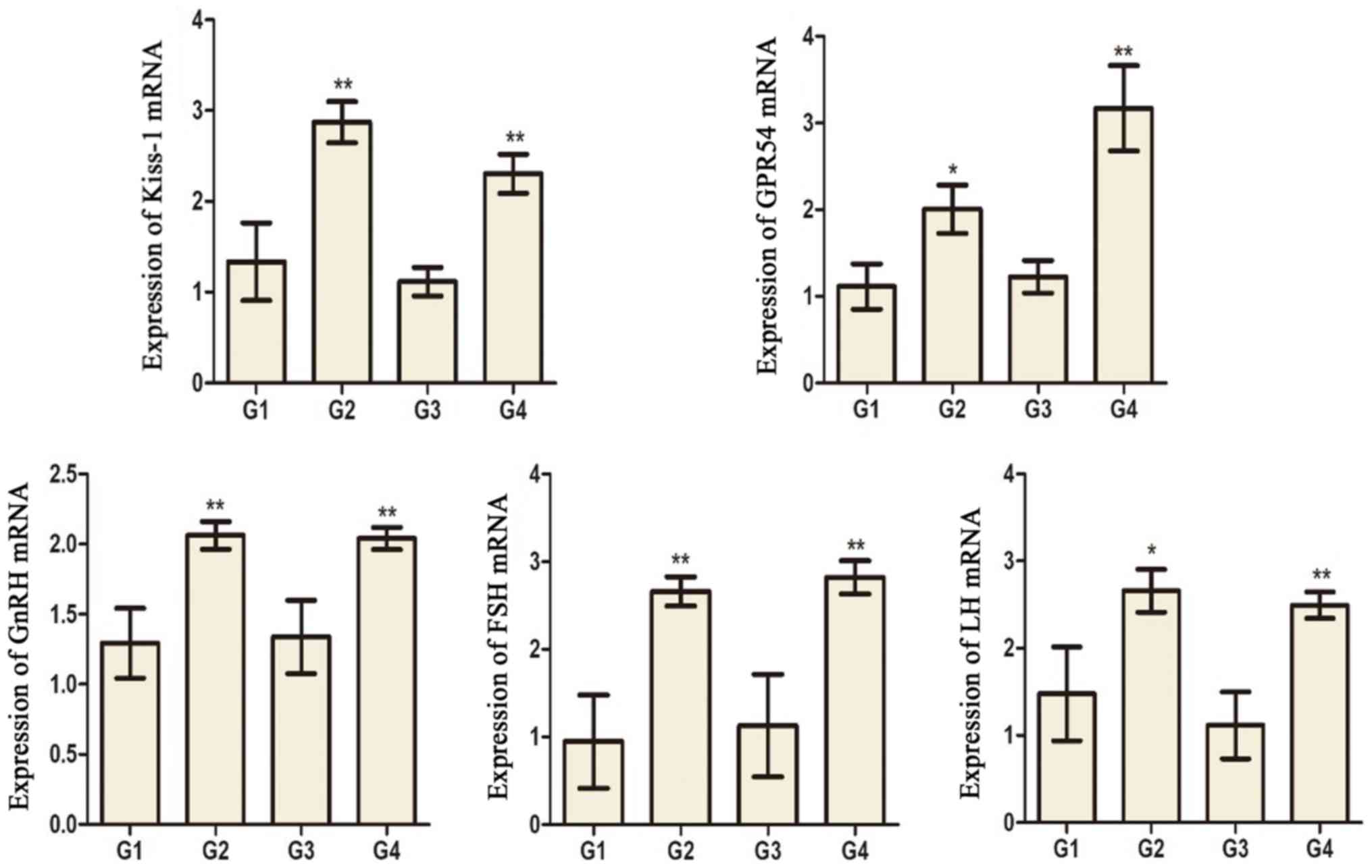
Expression of kisspeptin (KiSS-1), G-protein coupled receptor 54 (GPR54), gonadotropin releasing hormone (GnRH), LH, and FSH mRNA in hypothalamus tissue

KiSS-1, GPR54, GnRH, LH, and FSH mRNA levels in G2 and G4 rats were significantly increased compared to G1 and G3 rats, respectively (Fig. 8).

Figure 8.

The mRNA expression of KiSS-1, GPR54, GnRH, FSH and LH in the hypothalamus tissues of different groups. *P<0.05 and **P<0.01 vs. the G1 group. ##P<0.01 vs. the G3 group. G1 and G3 are 4 and 8 weeks post the sham operation, respectively; G2 and G4 are 4 and 8 weeks post experimental varicocele modelling, respectively. KiSS-1, kisspeptin; GPR54, G-protein coupled receptor 54; GnRH, gonadotropin releasing hormone; FSH, follicle-stimulating hormone; LH, luteinizing hormone; G1, group 1; G2, group 2; G3, group 3; G4, group 4.

Hormone levels

Serum testosterone levels in G2 and G4 rats were significantly lower than those in G1 and G3 rats, respectively. There was no significant difference in serum levels of FSH, LH, and leptin (Table III).

Table III.

Serum hormonal evaluation.

Table III.

Serum hormonal evaluation.

GroupT (ng/ml)FSH (mIU/ml)LH (mIU/ml)Leptin (pg/ml)
G1 0.95±0.39 3.03±0.37 4.71±0.33 79.18±5.56
G2 0.20±0.08a 3.32±0.63 5.57±0.67 113.39±18.18
G3 1.06±0.46 3.18±0.52 5.02±0.38 88.42±7.86
G4 0.24±0.09b 3.77±0.25 5.84±0.38 120.80±15.78

a P<0.01 vs. G1

b P<0.01 vs. G3. G1 and G3 are 4 weeks and 8 weeks post the sham operation, respectively; G2 and G4 are 4 weeks and 8 weeks post experimental varicocele modelling, respectively. Data are presented as the mean ± standard error of the mean. T, testosterone; FSH, follicle-stimulating hormone; LH, luteinizing hormone; G1, group 1; G2, group 2; G3, group 3; G4, group 4.

Correlation analyses

The leptin level was inversely related to sperm count (r=−0.426, P=0.043), thickness of the seminiferous epithelium (r=−0.466, P=0.034), and the diameter of seminiferous tubules (r=−0.608, P=0.004) (Fig. 9).

Figure 9.

(A) Linear regression of OD and sperm count, (B) the thickness of seminiferous epithelium and (C) the diameters of seminiferous tubules. OD, optical density.

Discussion

Varicocele is an abnormal elongation, expansion, and tortuosity of the spermatic vein. Both animal and human studies have confirmed that varicocele can affect spermatogenesis (13). Our results showed that Johnsen scores in the left testis of the experimental varicocele groups (G2 and G4) were significantly lower, the seminiferous epithelium was thinner, the seminiferous tubule diameters were smaller, the sperm count was lower, and serum testosterone levels were decreased compared to those in the control groups (G1 and G3). These results confirm that varicocele causes testicular dysfunction in rats.

Leptin plays an important role in both male and female reproductive systems. However, the precise relationship between leptin and male spermatogenesis has not been elucidated. Leptin receptors are found in hypothalamus, pituitary, testis, and sperm (10,14). Our study found that leptin was expressed in seminiferous tubules and interstitium of testicular tissue, whereas leptin receptors were mainly expressed in the interstitium, consistent with prior research (15). Ishikawa (10) found overexpression of leptin and leptin receptors in testicular tissue of patients with varicocele. Chen et al (15) also found that the expression of leptin and its receptor in the testis of experimental varicocele rats increased, and was negatively correlated with testicular weight, Johnsen score, thickness of seminiferous epithelium, and diameter of the seminiferous tubules. Similarly, we found that varicocele increased the expression of leptin and leptin receptors in rat testis.

Overexpression of leptin and leptin receptors is closely related to spermatogenesis dysfunction. We found that the expression of leptin was negatively correlated with sperm count, thickness of seminiferous epithelium, and diameter of the seminiferous tubules. However, it is still unknown what pathways leptin affects in the male reproductive system. Previous studies have shown that leptin plays a role in both central and peripheral tissues (6,16). Leptin receptors are expressed on neurons secreting GnRH in the hypothalamus. Leptin is mainly involved in regulating GnRH secretion by this tissue by promoting the pulsatile secretion of GnRH through activating hypothalamic arcuate nucleus neurons (17). Our study found that leptin receptors were expressed mainly in Leydig cells whose major function is to secrete testosterone. This suggests that leptin and its receptor are likely to affect the reproductive system by regulating the secretion of testosterone. Tena-Sempere's study group found that leptin inhibited testosterone secretion by adult rat tissue in vitro and, in a subsequent study, found that leptin might inhibit testosterone secretion by down-regulating mRNA of some elements upstream of the steroidogenic pathway (18,19).

Fombonne et al found that leptin could inhibit the division of immature Leydig cells (8). Our results showed that the expression of leptin and leptin receptors increased, and testosterone decreased significantly, in the experimental varicocele groups (G2 and G4). Overexpression of leptin and leptin receptors in testis tissue appears to be related to inhibition of testosterone secretion. There was a trend toward an increase in serum leptin in G2 and G4 compared with G1 and G3 rats, respectively, but neither reached significance. This result can be explained by the fact that serum leptin is regulated mainly by systemic metabolism and is related to the body mass index (20).

We found that expression of leptin receptors in the hypothalamus of rats in the experimental varicocele groups (G2 and G4) was increased. Furthermore, we also found that the mRNA levels of KiSS-1 GPR54, GnRH, LH, and FSH increased in the experimental varicocele groups. KiSS-1 is a coding gene for a tumor metastasis suppressor. The protein product is also called KiSS-1 and GPR54 is its receptor. KiSS-1/GPR54 is involved in regulating the hypothalamic-pituitary-gonadal axis which regulates levels of sex hormones by activating GnRH (21). The leptin receptor is present on KiSS-1 hypothalamic neurons, not on GnRH neurons (22), suggesting that peripheral leptin levels may regulate the hypothalamic-pituitary-gonadal axis by acting on the KiSS-1/GPR54 system.

A recent study has shown that leptin not only promotes the expression of KiSS-1 and GPR54, but also expression of the leptin and androgen receptors. This suggests that leptin and androgen may have a positive synergistic effect on regulating the KiSS-1/GPR54 system (23). Therefore, we believe that the increased expression of leptin receptors in the hypothalamus caused by varicocele activated the KiSS-1/GPR54 system, resulting in upregulation of GnRH mRNA levels and then upregulation of LH and FSH mRNA levels. The KiSS-1 gene is a target for regulation by both leptin and testosterone (24). Therefore, the increased expression of GnRH, LH, and FSH can also be interpreted as negative feedback regulation of testosterone, or synergistic effects of leptin and testosterone.

The non-significant trend toward increased serum FSH and LH levels we observed in the experimental varicocele groups might be explained by the small sample size or short modeling time. Based on the results of our study, and the current understanding of leptin, we cannot fully define the role of leptin and leptin receptors in the pathogenesis of varicocele-induced testicular dysfunction. In part, this is because our results are only observational. Further studies, including both animal and in vitro cell experiments, are needed to clarify the mechanism.

Overexpression of leptin and the leptin receptor is closely related to spermatogenesis dysfunction. The results of our study indicate that varicocele can increase the expression of leptin and leptin receptors in rat testis, thus causing spermatogenesis dysfunction. Leptin and leptin receptors may have a significant role in the male reproductive system by regulating the KiSS-1/GPR54 system. Our study may help to further define the mechanism of how varicocele causes infertility and provide new ideas for treatment. However, understanding the exact role of leptin and leptin receptors in the pathogenesis of varicocele-induced testicular dysfunction requires further research and we are designing experiments to clarify the role of leptin in reproductive endocrinology and metabolism.

Acknowledgments

Not applicable.

Funding

This study was funded by the Research Grant for Health Science and Technology of Shanghai Municipal Commission of Health and family Planning (grant nos. 201440455 and ZHYY-ZXYJHZX-201602) and the Key Discipline Construction Project of Pudong Health and Family Planning Commission of Shanghai (grant no. PWZxk2017-21).

Availability of data and materials

All data generated or analyzed during this study are included in this published article.

Authors' contributions

JZ performed the research and wrote the paper. PPJ helped perform the research. MG designed the research and revised the paper. QTY and RJZ analyzed the data.

Ethics approval and consent to participate

The study was approved by the Ethical Committee of Shanghai Municipal Commission of Health and Family Planning (SWJW005).

Consent for publication

Not applicable.

Competing interests

The authors declare that they have no competing interests.

References

1 

Lai YW, Hsueh TY, Hu HY, Chiu YC, Chen SS and Chiu AW: Varicocele is associated with varicose veins: A population-based case-control study. Int J Urol. 22:972–975. 2015. View Article : Google Scholar : PubMed/NCBI

2 

Shiraishi K, Matsuyama H and Takihara H: Pathophysiology of varicocele in male infertility in the era of assisted reproductive technology. Int J Urol. 19:538–550. 2012. View Article : Google Scholar : PubMed/NCBI

3 

Sáinz N, Barrenetxe J, Moreno-Aliaga MJ and Martínez JA: Leptin resistance and diet-induced obesity: Central and peripheral actions of leptin. Metabolism. 64:35–46. 2015. View Article : Google Scholar : PubMed/NCBI

4 

Schulz LC and Widmaier EP: Leptin receptors. Endocrine Updates. 83:271–361. 2006.

5 

Barash IA, Cheung CC, Weigle DS, Ren H, Kabigting EB, Kuijper JL, Clifton DK and Steiner RA: Leptin is a metabolic signal to the reproductive system. Endocrinology. 137:3144–3147. 1996. View Article : Google Scholar : PubMed/NCBI

6 

Budak E, Fernández Sánchez M, Bellver J, Cerveró A, Simón C and Pellicer A: Interactions of the hormones leptin, ghrelin, adiponectin, resistin, and PYY3-36 with the reproductive system. Fertil Steril. 85:1563–1581. 2006. View Article : Google Scholar : PubMed/NCBI

7 

Kawwass JF, Summer R and Kallen CB: Direct effects of leptin and adiponectin on peripheral reproductive tissues: A critical review. Mol Hum Reprod. 21:617–632. 2015. View Article : Google Scholar : PubMed/NCBI

8 

Fombonne J, Charrier C, Goddard I, Moyse E and Krantic S: Leptin-mediated decrease of cyclin A2 and increase of cyclin D1 expression: Relevance for the control of prepubertal rat Leydig cell division and differentiation. Endocrinology. 148:2126–2137. 2007. View Article : Google Scholar : PubMed/NCBI

9 

Grosfeld A, Andre J, Hauguel-De Mouzon S, Berra E, Pouyssegur J and Guerre-Millo M: Hypoxia-inducible factor 1 transactivates the human leptin gene promoter. J Biol Chem. 277:42953–42957. 2002. View Article : Google Scholar : PubMed/NCBI

10 

Ishikawa T, Fujioka H, Ishimura T, Takenaka A and Fujisawa M: Expression of leptin and leptin receptor in the testis of fertile and infertile patients. Andrologia. 39:22–27. 2007. View Article : Google Scholar : PubMed/NCBI

11 

Turner TT: The study of varicocele through the use of animal models. Hum Reprod Update. 7:78–84. 2001. View Article : Google Scholar : PubMed/NCBI

12 

Johnsen SG: Testicular biopsy score count-a method for registration of spermatogenesis in human testes: Normal values and results in 335 hypogonadal males. Hormone. 1:2–25. 1970.

13 

Agarwal A, Sharma R, Harlev A and Esteves SC: Effect of varicocele on semen characteristics according to the new 2010 World Health Organization criteria: A systematic review and meta-analysis. Asian J Androl. 18:163–170. 2016. View Article : Google Scholar : PubMed/NCBI

14 

Smith MS, True C and Grove KL: The neuroendocrine basis of lactation-induced suppression of GnRH: Role of kisspeptin and leptin. Brain Res. 1364:139–152. 2010. View Article : Google Scholar : PubMed/NCBI

15 

Chen B, Guo JH, Lu YN, Ying XL, Hu K, Xiang ZQ, Wang YX, Chen P and Huang YR: Leptin and varicocele-related spermatogenesis dysfunction: Animal experiment and clinical study. Int J Androl. 32:532–541. 2009. View Article : Google Scholar : PubMed/NCBI

16 

Donato J Jr, Cravo RM, Frazão R and Elias CF: Hypothalamic sites of leptin action linking metabolism and reproduction. Neuroendocrinology. 93:9–18. 2011. View Article : Google Scholar : PubMed/NCBI

17 

Lebrethon MC, Vandersmissen E, Gérard A, Parent AS, Junien JL and Bourguignon JP: In vitro stimulation of the prepubertal rat gonadotropin-releasing hormone pulse generator by leptin and neuropeptide Y through distinct mechanisms. Endocrinology. 141:1464–1469. 2000. View Article : Google Scholar : PubMed/NCBI

18 

Tena-Sempere M, Pinilla L, González LC, Diéguez C, Casanueva FF and Aguilar E: Leptin inhibits testosterone secretion from adult rat testis in vitro. J Endocrinol. 161:211–218. 1999. View Article : Google Scholar : PubMed/NCBI

19 

Tena-Sempere M, Manna PR, Zhang FP, Pinilla L, González LC, Diéguez C, Huhtaniemi I and Aguilar E: Molecular mechanisms of leptin action in adult rat testis: Potential targets for leptin-induced inhibition of steroidogenesis and pattern of leptin receptor messenger ribonucleic acid expression. J Endocrinol. 170:413–423. 2001. View Article : Google Scholar : PubMed/NCBI

20 

Glander HJ, Lammert A, Paasch U, Glasow A and Kratzsch J: Leptin exists in tubuli seminiferi and in seminal plasma. Andrologia. 34:227–233. 2002. View Article : Google Scholar : PubMed/NCBI

21 

Dungan HM, Clifton DK and Steiner RA: Minireview: Kisspeptin neurons as central processors in the regulation of gonadotropin-releasing hormone secretion. Endocrinology. 147:1154–1158. 2006. View Article : Google Scholar : PubMed/NCBI

22 

Skorupskaite K, George JT and Anderson RA: The kisspeptin-GnRH pathway in human reproductive health and disease. Hum Reprod Update. 20:485–500. 2014. View Article : Google Scholar : PubMed/NCBI

23 

Morelli A, Marini M, Mancina R, Luconi M, Vignozzi L, Fibbi B, Filippi S, Pezzatini A, Forti G, Vannelli GB and Maggi M: Sex steroids and leptin regulate the ‘first Kiss’ (KiSS 1/G-protein-coupled receptor 54 system) in human gonadotropin-releasing-hormone-secreting neuroblasts. J Sex Med. 5:1097–1113. 2008. View Article : Google Scholar : PubMed/NCBI

24 

Popa SM, Clifton DK and Steiner RA: The role of kisspeptins and GPR54 in the neuroendocrine regulation of reproduction. Annu Rev Physiol. 70:213–238. 2008. View Article : Google Scholar : PubMed/NCBI

Related Articles

  • Abstract
  • View
  • Download
  • Twitter
Copy and paste a formatted citation
Spandidos Publications style
Zhang J, Jin PP, Gong M, Yi QT and Zhu RJ: Role of leptin and the leptin receptor in the pathogenesis of varicocele-induced testicular dysfunction. Mol Med Rep 17: 7065-7072, 2018.
APA
Zhang, J., Jin, P., Gong, M., Yi, Q., & Zhu, R. (2018). Role of leptin and the leptin receptor in the pathogenesis of varicocele-induced testicular dysfunction. Molecular Medicine Reports, 17, 7065-7072. https://doi.org/10.3892/mmr.2018.8753
MLA
Zhang, J., Jin, P., Gong, M., Yi, Q., Zhu, R."Role of leptin and the leptin receptor in the pathogenesis of varicocele-induced testicular dysfunction". Molecular Medicine Reports 17.5 (2018): 7065-7072.
Chicago
Zhang, J., Jin, P., Gong, M., Yi, Q., Zhu, R."Role of leptin and the leptin receptor in the pathogenesis of varicocele-induced testicular dysfunction". Molecular Medicine Reports 17, no. 5 (2018): 7065-7072. https://doi.org/10.3892/mmr.2018.8753
Copy and paste a formatted citation
x
Spandidos Publications style
Zhang J, Jin PP, Gong M, Yi QT and Zhu RJ: Role of leptin and the leptin receptor in the pathogenesis of varicocele-induced testicular dysfunction. Mol Med Rep 17: 7065-7072, 2018.
APA
Zhang, J., Jin, P., Gong, M., Yi, Q., & Zhu, R. (2018). Role of leptin and the leptin receptor in the pathogenesis of varicocele-induced testicular dysfunction. Molecular Medicine Reports, 17, 7065-7072. https://doi.org/10.3892/mmr.2018.8753
MLA
Zhang, J., Jin, P., Gong, M., Yi, Q., Zhu, R."Role of leptin and the leptin receptor in the pathogenesis of varicocele-induced testicular dysfunction". Molecular Medicine Reports 17.5 (2018): 7065-7072.
Chicago
Zhang, J., Jin, P., Gong, M., Yi, Q., Zhu, R."Role of leptin and the leptin receptor in the pathogenesis of varicocele-induced testicular dysfunction". Molecular Medicine Reports 17, no. 5 (2018): 7065-7072. https://doi.org/10.3892/mmr.2018.8753
Follow us
  • Twitter
  • LinkedIn
  • Facebook
About
  • Spandidos Publications
  • Careers
  • Cookie Policy
  • Privacy Policy
How can we help?
  • Help
  • Live Chat
  • Contact
  • Email to our Support Team