Spandidos Publications Logo
  • About
    • About Spandidos
    • Aims and Scopes
    • Abstracting and Indexing
    • Editorial Policies
    • Reprints and Permissions
    • Job Opportunities
    • Terms and Conditions
    • Contact
  • Journals
    • All Journals
    • Oncology Letters
      • Oncology Letters
      • Information for Authors
      • Editorial Policies
      • Editorial Board
      • Aims and Scope
      • Abstracting and Indexing
      • Bibliographic Information
      • Archive
    • International Journal of Oncology
      • International Journal of Oncology
      • Information for Authors
      • Editorial Policies
      • Editorial Board
      • Aims and Scope
      • Abstracting and Indexing
      • Bibliographic Information
      • Archive
    • Molecular and Clinical Oncology
      • Molecular and Clinical Oncology
      • Information for Authors
      • Editorial Policies
      • Editorial Board
      • Aims and Scope
      • Abstracting and Indexing
      • Bibliographic Information
      • Archive
    • Experimental and Therapeutic Medicine
      • Experimental and Therapeutic Medicine
      • Information for Authors
      • Editorial Policies
      • Editorial Board
      • Aims and Scope
      • Abstracting and Indexing
      • Bibliographic Information
      • Archive
    • International Journal of Molecular Medicine
      • International Journal of Molecular Medicine
      • Information for Authors
      • Editorial Policies
      • Editorial Board
      • Aims and Scope
      • Abstracting and Indexing
      • Bibliographic Information
      • Archive
    • Biomedical Reports
      • Biomedical Reports
      • Information for Authors
      • Editorial Policies
      • Editorial Board
      • Aims and Scope
      • Abstracting and Indexing
      • Bibliographic Information
      • Archive
    • Oncology Reports
      • Oncology Reports
      • Information for Authors
      • Editorial Policies
      • Editorial Board
      • Aims and Scope
      • Abstracting and Indexing
      • Bibliographic Information
      • Archive
    • Molecular Medicine Reports
      • Molecular Medicine Reports
      • Information for Authors
      • Editorial Policies
      • Editorial Board
      • Aims and Scope
      • Abstracting and Indexing
      • Bibliographic Information
      • Archive
    • World Academy of Sciences Journal
      • World Academy of Sciences Journal
      • Information for Authors
      • Editorial Policies
      • Editorial Board
      • Aims and Scope
      • Abstracting and Indexing
      • Bibliographic Information
      • Archive
    • International Journal of Functional Nutrition
      • International Journal of Functional Nutrition
      • Information for Authors
      • Editorial Policies
      • Editorial Board
      • Aims and Scope
      • Abstracting and Indexing
      • Bibliographic Information
      • Archive
    • International Journal of Epigenetics
      • International Journal of Epigenetics
      • Information for Authors
      • Editorial Policies
      • Editorial Board
      • Aims and Scope
      • Abstracting and Indexing
      • Bibliographic Information
      • Archive
    • Medicine International
      • Medicine International
      • Information for Authors
      • Editorial Policies
      • Editorial Board
      • Aims and Scope
      • Abstracting and Indexing
      • Bibliographic Information
      • Archive
  • Articles
  • Information
    • Information for Authors
    • Information for Reviewers
    • Information for Librarians
    • Information for Advertisers
    • Conferences
  • Language Editing
Spandidos Publications Logo
  • About
    • About Spandidos
    • Aims and Scopes
    • Abstracting and Indexing
    • Editorial Policies
    • Reprints and Permissions
    • Job Opportunities
    • Terms and Conditions
    • Contact
  • Journals
    • All Journals
    • Biomedical Reports
      • Information for Authors
      • Editorial Policies
      • Editorial Board
      • Aims and Scope
      • Abstracting and Indexing
      • Bibliographic Information
      • Archive
    • Experimental and Therapeutic Medicine
      • Information for Authors
      • Editorial Policies
      • Editorial Board
      • Aims and Scope
      • Abstracting and Indexing
      • Bibliographic Information
      • Archive
    • International Journal of Epigenetics
      • Information for Authors
      • Editorial Policies
      • Editorial Board
      • Aims and Scope
      • Abstracting and Indexing
      • Bibliographic Information
      • Archive
    • International Journal of Functional Nutrition
      • Information for Authors
      • Editorial Policies
      • Editorial Board
      • Aims and Scope
      • Abstracting and Indexing
      • Bibliographic Information
      • Archive
    • International Journal of Molecular Medicine
      • Information for Authors
      • Editorial Policies
      • Editorial Board
      • Aims and Scope
      • Abstracting and Indexing
      • Bibliographic Information
      • Archive
    • International Journal of Oncology
      • Information for Authors
      • Editorial Policies
      • Editorial Board
      • Aims and Scope
      • Abstracting and Indexing
      • Bibliographic Information
      • Archive
    • Medicine International
      • Information for Authors
      • Editorial Policies
      • Editorial Board
      • Aims and Scope
      • Abstracting and Indexing
      • Bibliographic Information
      • Archive
    • Molecular and Clinical Oncology
      • Information for Authors
      • Editorial Policies
      • Editorial Board
      • Aims and Scope
      • Abstracting and Indexing
      • Bibliographic Information
      • Archive
    • Molecular Medicine Reports
      • Information for Authors
      • Editorial Policies
      • Editorial Board
      • Aims and Scope
      • Abstracting and Indexing
      • Bibliographic Information
      • Archive
    • Oncology Letters
      • Information for Authors
      • Editorial Policies
      • Editorial Board
      • Aims and Scope
      • Abstracting and Indexing
      • Bibliographic Information
      • Archive
    • Oncology Reports
      • Information for Authors
      • Editorial Policies
      • Editorial Board
      • Aims and Scope
      • Abstracting and Indexing
      • Bibliographic Information
      • Archive
    • World Academy of Sciences Journal
      • Information for Authors
      • Editorial Policies
      • Editorial Board
      • Aims and Scope
      • Abstracting and Indexing
      • Bibliographic Information
      • Archive
  • Articles
  • Information
    • For Authors
    • For Reviewers
    • For Librarians
    • For Advertisers
    • Conferences
  • Language Editing
Login Register Submit
  • This site uses cookies
  • You can change your cookie settings at any time by following the instructions in our Cookie Policy. To find out more, you may read our Privacy Policy.

    I agree
Search articles by DOI, keyword, author or affiliation
Search
Advanced Search
presentation
Molecular Medicine Reports
Join Editorial Board Propose a Special Issue
Print ISSN: 1791-2997 Online ISSN: 1791-3004
Journal Cover
February-2023 Volume 27 Issue 2

Full Size Image

Sign up for eToc alerts
Recommend to Library

Journals

International Journal of Molecular Medicine

International Journal of Molecular Medicine

International Journal of Molecular Medicine is an international journal devoted to molecular mechanisms of human disease.

International Journal of Oncology

International Journal of Oncology

International Journal of Oncology is an international journal devoted to oncology research and cancer treatment.

Molecular Medicine Reports

Molecular Medicine Reports

Covers molecular medicine topics such as pharmacology, pathology, genetics, neuroscience, infectious diseases, molecular cardiology, and molecular surgery.

Oncology Reports

Oncology Reports

Oncology Reports is an international journal devoted to fundamental and applied research in Oncology.

Experimental and Therapeutic Medicine

Experimental and Therapeutic Medicine

Experimental and Therapeutic Medicine is an international journal devoted to laboratory and clinical medicine.

Oncology Letters

Oncology Letters

Oncology Letters is an international journal devoted to Experimental and Clinical Oncology.

Biomedical Reports

Biomedical Reports

Explores a wide range of biological and medical fields, including pharmacology, genetics, microbiology, neuroscience, and molecular cardiology.

Molecular and Clinical Oncology

Molecular and Clinical Oncology

International journal addressing all aspects of oncology research, from tumorigenesis and oncogenes to chemotherapy and metastasis.

World Academy of Sciences Journal

World Academy of Sciences Journal

Multidisciplinary open-access journal spanning biochemistry, genetics, neuroscience, environmental health, and synthetic biology.

International Journal of Functional Nutrition

International Journal of Functional Nutrition

Open-access journal combining biochemistry, pharmacology, immunology, and genetics to advance health through functional nutrition.

International Journal of Epigenetics

International Journal of Epigenetics

Publishes open-access research on using epigenetics to advance understanding and treatment of human disease.

Medicine International

Medicine International

An International Open Access Journal Devoted to General Medicine.

Journal Cover
February-2023 Volume 27 Issue 2

Full Size Image

Sign up for eToc alerts
Recommend to Library

  • Article
  • Citations
    • Cite This Article
    • Download Citation
    • Create Citation Alert
    • Remove Citation Alert
    • Cited By
  • Similar Articles
    • Related Articles (in Spandidos Publications)
    • Similar Articles (Google Scholar)
    • Similar Articles (PubMed)
  • Download PDF
  • Download XML
  • View XML
Article Open Access

Glycyrrhizin regulates the HMGB1/P38MAPK signalling pathway in status epilepticus

  • Authors:
    • Zhong Luo
    • Meng Xu
    • Linhai Zhang
    • Haiqing Zhang
    • Zucai Xu
    • Zhongxiang Xu
  • View Affiliations / Copyright

    Affiliations: Department of Neurology, Affiliated Hospital of Zunyi Medical University, Zunyi, Guizhou 563003, P.R. China
    Copyright: © Luo et al. This is an open access article distributed under the terms of Creative Commons Attribution License.
  • Article Number: 45
    |
    Published online on: January 5, 2023
       https://doi.org/10.3892/mmr.2023.12932
  • Expand metrics +
Metrics: Total Views: 0 (Spandidos Publications: | PMC Statistics: )
Metrics: Total PDF Downloads: 0 (Spandidos Publications: | PMC Statistics: )
Cited By (CrossRef): 0 citations Loading Articles...

This article is mentioned in:



Abstract

In recent decades, studies have reported that inflammation serves key roles in epilepsy and that high mobility group box protein‑1 (HMGB1) may be involved in status epilepticus. However, it has not been reported whether HMGB1 participates in the pathogenesis of status epilepticus through the regulation of the p38 mitogen‑activated protein kinase (p38MAPK) signalling pathway. In the present study, Sprague‑Dawley rats were randomly divided into four groups as follows: Control, status epilepticus (SE), dimethyl sulfoxide treatment (DMSO + SE), and glycyrrhizin treatment (GL + SE) groups. Behavioural changes were then evaluated using the Racine score. In the hippocampus, the protein expression levels of HMGB1 were assessed using western blotting, the neuronal damage was evaluated using haematoxylin and eosin staining and transmission electron microscopy, and the activation of microglia was assessed using immunochemistry and immunofluorescence. The results demonstrated that, in the hippocampal region, HMGB1 existed in neurons and astrocytes and the protein expression levels of HMGB1, p38MAPK and phosphorylated‑p38MAPK were significantly inhibited after treatment with GL. Furthermore, GL could alleviate neuronal injury in the CA1 region of the hippocampus and prevented HMGB1 translocation from the nucleus into the cytoplasm in these areas. These findings expand the understanding of how HMGB1 may participate in SE and lay a foundation for evaluation of HMGB1 as a drug target.

Introduction

Epilepsy is a complex syndrome of the nervous system induced by the over synchronized abnormal discharge of neurons. There are approximately 70 million patients with epilepsy (PWE) worldwide that mainly live in low-income countries (1). In China, the number of PWE is nearly 10 million (2). From both an individual and societal perspective, the high morbidity rate and long therapy period of epilepsy impose an enormous burden on public health, the economy and mental wellbeing (3–5). However, the mechanism of epilepsy still remains unclear. In recent decades, new scientific research has reported that the activation of inflammatory cells and molecules, and the regulation by decomposition of injury serve key roles in epilepsy (6).

High mobility group box protein-1 (HMGB1) is a nuclear protein with a stable nucleic acid structure that is produced by activated monocytes or macrophages. When cells are exposed to certain harmful signals, HMGB-1 can be produced in the nucleus and then transferred to the cytoplasm, where it binds to receptors to form late glycation end products (RAGE), Toll-like receptor 2 and Toll-like receptor 4 (TLR4) (7). Previous studies have reported that HMGB1 is a proinflammatory agent, which is related to the production and release of multiple pro-inflammatory factors in numerous diseases, including interleukin-1b, tumour necrosis factor-α and intercellular cell adhesion molecule-1, and serves an indispensable role in maintenance of the inflammatory response in the late stage of inflammation (8). A recent study reported that HMGB1 was significantly overexpressed in the hippocampus in drug-induced status epilepticus (SE) rat models, which suggested that HMGB1 was involved in pathophysiological processes and disease progression (9). However, the possible involvement of HMGB1 in SE has not been previously clarified.

p38 mitogen-activated protein kinase (p38MAPK) serves a key role in the serine-lysine MAPK family, regulating the production of inflammatory cells and oxidative stress in numerous diseases (10). P38MAPK can be activated by different extracellular stimuli and successfully converted to phosphorylated (p)-p38MAPK by specific serine or threonine phosphorylation and is subsequently transferred from the cytoplasm into the nucleus, where it activates the expression of transcription factors, regulates related genes and participates in numerous biological processes, such as tissue development, cell reproduction or apoptosis, inflammation and cancer metastasis (11–15). In previous studies of myocardial ischemia-reperfusion injury, asthma and intestinal injury, HMGB1 has been reported to be associated with the p38MAPK signalling pathway (16–18). However, it has not previously been reported whether HMGB1 participates in the pathogenesis of epilepsy by regulation of the p38MAPK signalling pathway.

Pilocarpine-induced epilepsy is a well-established animal model for SE (19). Injection of pilocarpine in rats induces SE, which triggers a cascade of molecular and cellular events, which lead to neuronal cell death and eventually to epilepsy. Glycyrrhizin (GL) is a natural anti-inflammatory component and can be extracted from liquorice, a traditional Chinese medicine, or chemically synthesized (20). It is a direct inhibitor of HMGB1 and binds directly to both HMG boxes. GL exerts neuroprotective effects via the blocking of HMGB1 release into the extracellular space through interaction with HMG boxes (21). Based on the aforementioned data, it was hypothesized that HMGB1 participates in status epilepticus via the p38MAPK signalling pathway and, that GL regulates epileptic seizures by inhibition of the activity of HMGB1 and p-p38MAPK. To evaluate this hypothesis, a lithium-pilocarpine induced epileptic seizures rat model was established and the protein expression levels of HMGB1 in hippocampus during epileptic seizures were assessed. The effectiveness of GL in treatment of lithium-pilocarpine induced status epilepticus in rats was also evaluated.

Materials and methods

Experimental animals

A total of 50 healthy adult male Sprague-Dawley (SD) rats, weighing 250–280 g (age, 6–8 weeks), were purchased from the Hunan SJA Laboratory Animal Co., Ltd. All rats were maintained separately in a room with an average of 12 h light/dark cycles at room temperature (24±2°C and 55±5% humidity) and provided food and water ad libitum. After the SE model had been successfully established for 24 h, the rats were anaesthetized using 1% pentobarbital sodium (40 mg/kg) before being sacrificed. All efforts were made to minimize the rat's suffering and the total number of animals used (for example, prevention of asphyxia, pneumonia and trauma). All procedures were approved by the Animal Care and Use Committee of Zunyi Medical University [approval no. KLLY(A)-2020-009].

Acute LiCl-pilocarpine induced a rat status epilepticus model

SD rats were randomly divided into four groups (n=12) as follows: control (Con), status epilepticus (SE), 2% dimethyl sulfoxide treatment group (DMSO + SE) and GL treatment group (GL + SE). Lithium chloride (LiCl) and pilocarpine were prepared using 0.9% normal saline. Rats in the SE group were administered 127 mg/kg lithium chloride by intraperitoneal injection and SE was induced using 40 mg/kg pilocarpine by intraperitoneal injection after waiting for 18–20 h, the peripheral side effect of muscarinic/M-like symptoms was prevented using intraperitoneal injection with 1 mg/kg atropine sulfate 30 min before the induction phase, while the control group were injected with the same volume of 0.9% normal saline. The rat's behaviour was then evaluated using the Racine scale (22), briefly: 0, The rats demonstrated no abnormal reactions; 1, the rats demonstrated shaking of the whiskers, facial convulsions and chewing but no body movement; 2, the rats demonstrated facial twitching, cramps and nodded involuntarily; 3, the rats demonstrated one-side paroxysmal limb twitching; 4, the rats were standing with two forelimb twitching; 5, the rats demonstrated a drop attack including the behaviour of a level 4 attack. Only rats with persistent severe SE (Racine scale 4–5) were used in further studies. Thirty minutes after SE induction, pilocarpine was again injected into rats with scores below grade 4 until the score reached at least grade 4 (20). If the number of injections exceeded 5 and still did not reach grade 4, the modelling was considered to have failed. The number of seizures and the latency period were recorded. SE was terminated 60 min later by intraperitoneal injection of 5 mg/ml diazepam (1 mg/kg). If SE continued, further injections of diazepam (maximum, n=3) were administered. If any of the following occurred, SE was terminated earlier than 60 min: Continuous stage 5 seizures (rearing and falling) last longer than 5 min, severe dyspnoea or hypothermia.

For rats in the GL + SE group, 100 mg/kg GL (prepared using fresh 2% DMSO) was injected 30 min prior to pilocarpine injection and the other groups were injected with fresh 2% DMSO in the same volume.

Western blotting

After anaesthesia using 1% pentobarbital sodium (40 mg/kg), six rats were randomly selected from each group for extraction of the brain tissue. The rats were sacrificed by decapitation, the brains were dissected on a cooled plate and the hippocampus was separated from brain tissues. The collected brain tissue samples were homogenized in a radioimmune precipitation buffer containing 1% phenylmethylsulfonyl fluoride (PMSF) (cat no. HY-B0496, MedChemExpress), an irreversible serine/cysteine protease inhibitor used to prepare cell lysates. In the present study, PMSF was used to inhibit protein degradation during protein extraction. The concentration of the supernatant was estimated using an Instant BCA Protein Assay Kit (cat no. ZJ101, EpiZyme, Inc.). The 30 µg per lane protein was loaded onto SDS-PAGE gels (stacking, 5%; separation, 10%). The samples were then transferred to PVDF membranes and blocked using 5% skim milk powder at room temperature for 1 h. The membranes were incubated overnight at 4°C with an anti-HMGB1-specific antibody (1:1,300; cat no. 10829-1-AP, Wuhan Sanying Biotechnology) and then incubated at room temperature for 2 h with HRP-conjugated Affinipure goat anti-rabbit IgG (H+L) (1:8,000; cat no. SA00001-2, Wuhan Sanying Biotechnology). After rinsing with an appropriate buffer, protein bands were developed using the Western Lightning Plus ECL kit (cat no. P0018FS; Shanghai Beyotime Institute of Biotechnology), according to the manufacturer's protocols. Blots were imaged using ChemicDoc™ Imaging System (Bio-Rad Laboratories, Inc.). ImageJ 1.52a (National Institutes of Health) was used to assess the greyscale values and SPSS 19.0 (IBM Corp.) was used to analyse the data.

Immunofluorescence

Rats were anaesthetized using 1% pentobarbital sodium (40 mg/kg) and were then intracardially perfused with 0.9% saline, followed by 4% paraformaldehyde. No heartbeat, continued absence of spontaneous breathing for 2–3 min and no blink reflex was considered to indicate mortality. Then, brain tissues were isolated and stored in 4% paraformaldehyde overnight at 4°C. Brain tissues were dehydrated using 20 and 30% sucrose solutions. Finally, samples were cut into 10 µm sections. The sections were repaired using microwave antigen retrieval set on high for 5 min for a total of 3 times with citric acid buffer (pH, 6.0), meanwhile, the membrane was permeabilized using 0.4% Triton X-100 at 37°C for 15 min. After inactivation of the endogenous enzymes using 3% H2O2 at room temperature for 30 min, goat serum (cat no. AR0009, Wuhan Boster Biological Technology, Ltd.) was used to block membranes at room temperature for 20 min. Each step before blocking with goat serum should be washed 5 min, 3 times with PBS solution. The sections were incubated overnight at 4°C with anti-HMGB1 antibody (1:100, cat no. 10829-1-AP and 66525-1-Ig, Wuhan Sanying Biotechnology), anti-neuronal nuclei (NeuN) antibody (1:200, cat no. A11954-1, Wuhan Boster Biological Technology, Ltd.) and anti-glial fibrillary acidic protein (GFAP) antibody (1:300, cat no. BM0055, Wuhan Boster Biological Technology, Ltd.). The samples were then rewarmed for 1 h at 37°C, washed with PBS solution and incubated at 37°C for 1 h in a dark environment with 488-conjugated anti-rabbit second fluorescent antibody (1:200, cat no. ab150077, Abcam) and Cy3-conjugated anti-rat second fluorescent antibody (1:200, cat no. A0507, Beyotime Institute of Biotechnology). Sections were then washed using PBS solution, incubated with DAPI solution for 5 min. Finally, the sections were ready for imaging after sealing with antifade solution (cat no. S3023, Dako, Agilent Technologies, Inc.) at room temperature. Then the hippocampal region of the section was assessed and imaged using laser-scanning confocal microscopy (Nikon Corporation) within 48 h. The colocalization analyses were performed using NIS-viewer (Nikon Corporation).

Immunohistochemistry

The rats were anaesthetized using 1% pentobarbital sodium (40 mg/kg). After anesthetisation, the brains were removed from cranial cavity after perfusion by saline and then 4% paraformaldehyde according to the aforementioned protocol. The tissues were fixed using 4% polyformaldehyde at 4°C overnight, embedded in paraffin and sectioned to a thickness of 5 µm. Briefly, sectioned specimens were deparaffinized using xylene for 20 min, twice, and then rehydrated using a graded ethanol series (100, 95, 80 and 70%) for 5 min at room temperature. Antigen recovery was performed using microwave antigen retrieval set on high for 5 min, 3 times, with citric acid buffer (pH, 6.0). After inactivation of the endogenous enzymes using 3% H2O2 for 10 min at room temperature, sections were blocked using bovine serum albumin (cat no. AR1006, Wuhan Boster Biological Technology, Ltd.) for 30 min at room temperature. Then the sections were incubated at 4°C overnight with diluted primary antibodies against HMGB1 (1:200, cat no. 10829-1-AP, Wuhan Sanying Biotechnology) and Iba1 (1:1,000, cat no. 012-26723, FUJIFILM Wako Pure Chemical Corporation). They were then rewarmed in an incubator at 37°C for 1.5 h. According to the manufacturer's protocols for the immunohistochemical kit (cat. no. PV9001, OriGene Technologies, Inc.), the sections were incubated at 37°C for 30 min with the Bio-goat anti-rabbit IgG and streptavidin-POD solution (1:100), then washed using PBS. Sections were stained using DAB colour liquid (cat. no. B1072, ApplyGen Technologies, Inc.) according to the manufacturer's protocols, in a dark environment at room temperature and the staining reaction was terminated when moderate tan particles were observed under the microscope. The slices were differentiated with hydrochloric acid alcohol differentiation solution (0.5%) for 2 sec, dehydrated for 5 min with each specific concentration of alcohol (70, 80, 95 and 100%) and neutral gum sealed after haematoxylin staining for 40 sec at room temperature. Finally, immunohistochemical images were captured using a CX43 light microscope (Olympus Corporation). The protein expression levels of HMGB1 and activation of microglia were assessed using ImageJ 1.52a (National Institutes of Health).

Transmission electron microscopy (TEM)

Three rats in each group were anaesthetized using 1% pentobarbital sodium (40 mg/kg) before decapitation. The CA1 region in the hippocampus was separated, the CA1 tissue was cut into small chunks of approximately 1 mm3 and was placed into 4% glutaraldehyde. The samples were fixed using 2.5% glutaraldehyde-paraformaldehyde mixture fixing solution (pH, 7.2) for 2 h at room temperature, washed with PBS for 10 min, 3 times and fixed in 1% osmic acid for 2 h at room temperature. Samples were then dehydrated using an graded ethanol (50, 70, 80, 90 and 100%) for 10 min and 100% acetone for 15 min. Samples were then embedded after soaking in epoxy resin, polymerized in an oven at 60°C for 46 h, cut into sections with a thickness of 70 nm and stained for 15 min using 2% uranium acetate saturated alcohol solution and lead citrate at room temperature, sequentially. Samples were removed and placed in a ventilated place to dry overnight and then assessed using TEM and images were captured for evaluation.

Haematoxylin and eosin (H&E) staining

For H&E staining, the brain tissues were obtained using the aforementioned method used for immunohistochemistry staining. Slices were fixed using a graded alcohol series (100, 95, 85 and 70%) for 5 min and hydrated by immersion in 1% hydrochloric acid alcohol for 30 sec at room temperature. The slices were then stained using haematoxylin for 5 min and rinsed in water for 1 min at room temperature. The slices were subsequently stained with 0.5% eosin for 3 min, and dehydrated using a graded alcohol series (70, 85, 95 and 100%) for 5 min at room temperature. Finally, sections were covered using a coverslip and imaged using a HD-2700 scanning electron microscope (Hitachi High-Technologies Corporation).

Statistical analysis

Data from the present study were analysed using SPSS 19.0 (IBM Corp.) for statistical analysis. Data are presented as mean ± standard deviation, comparisons of >2 groups were performed using 1-way ANOVA followed by Bonferroni's post hoc test and P<0.05 was considered to indicate a statistically significant difference.

Results

Localisation of HMGB1 in the hippocampus of LiCl-pilocarpine induced SE rats

Evaluation of the protein expression levels of HMGB1 in the hippocampal neurons of the SE group demonstrated that HMGB1 was highly expressed in different hippocampal regions. Immunofluorescence staining of neurons using the specific marker NeuN, indicated that HMGB1 was co-expressed with neurons (Fig. 1A). Furthermore, immunofluorescence staining of neurons with the specific marker GFAP demonstrated that HMGB1 was also co-expressed with astrocytes (Fig. 1B).

Figure 1.

Immunofluorescence detection of the protein expression levels of HMGB1 in the hippocampal CA1, CA3 and DG region of pilocarpine induced SE rats. (A) Arrows indicated NeuN, HMGB1 and DAPI positive cells. (B) Arrows indicated GFAP, HMGB1 and DAPI positive cells. Scale bar=30 µm (10 µm in inset enlarged view). HMGB1, high mobility group box protein-1; DG, dentate gyrate; NeuN, neuronal nuclei; SE, status epilepticus; GFAP, glial fibrillary acidic protein.

HMGB1, p38MAPK and p-p38MAPK protein expression levels in the hippocampus of LiCl-pilocarpine induced SE rats

HMGB1, p38MAPK and p-p38MAPK protein expression levels in the hippocampus of pilocarpine induced SE rats were assessed using western blotting. Compared with the control group, protein expression levels of HMGB1 were significantly upregulated in the SE group. However, compared with SE group, the HMGB1 protein expression level in the DMSO + SE group did not demonstrate a significant difference. Compared with the DMSO + SE group, the HMGB1 protein expression level in the GL + SE group was significantly decreased (mean intensity ratio: 0.57±0.15 in the Con group, 1.09±0.20 in the SE group, 1.08±0.20 in the DMSO + SE group and 0.8±0.17 in the GL + SE group; Fig. 2A and B). Western blotting was also performed to evaluate the p38MAPK and p-p38MAPK protein expression levels in the hippocampus of pilocarpine induced SE rats. The ratio of p-p38MAPK/p38MAPK was evaluated and demonstrated a similar trend to the protein expression levels of HMGB1 in the hippocampus of pilocarpine induced SE rats (mean ratio of p-p38MAPK/p38MAPK: 0.39±0.09 in the control group, 0.71±0.08 in the SE group, 0.69±0.13 in the DMSO + SE group and 0.49±0.09 in the GL + SE group; Fig. 2C-E).

Figure 2.

GL affects the protein expression levels of HMGB1, p38MAPK and p-p38MAPK in the hippocampus of pilocarpine induced SE rats. Representative images of (A) HMGB1, (C) p38MAPK and (E) p-p38MAPK protein expression levels in the hippocampus of pilocarpine induced SE rats. Comparison of western blotting intensity ratios of (B) HMGB1/GAPDH and (D) p-p38MAPK/p38MAPK in the hippocampus of pilocarpine induced SE rats. The base protein expression level of HMGB1, p38MAPK and p-p38MAPK was assessed in the Con group. Data presented were the mean of four technical replicates (n=6 in each group). *P<0.05 and **P<0.01 vs. SE group. GL, glycyrrhizin; HMGB1, high mobility group box protein-1; MAPK, mitogen-activated protein kinase; p, phosphorylated; SE, status epilepticus; Con, control; ns, not significant.

GL affects the latency of the first seizure and the number of epileptic seizures in LiCl-pilocarpine induced SE rats

Behavioural results indicated that the control group had no seizures. The latency of the first seizure in the SE and DMSO + SE groups were 14.14±3.08 and 13.29±1.9 min, respectively, and the latency of the first seizure in the GL + SE group was 13.57±2.23 min. The number of seizures within 1 h following the first seizure in the SE and DMSO + SE groups were 7.1±2.13 and 7.6±1.72, respectively, and the number of seizures within 1 h following the first seizure in the GL + SE group was 2.9±1.35. The results demonstrated no significant differences amongst the latency or the number of seizures within 1 h between the SE and the DMSO + SE groups. Compared with the SE and the DMSO + SE groups, the GL + SE group demonstrated no significant effect on the seizure latency (Table I; Fig. 3A). However, the GL + SE group did demonstrate a significantly reduced number of seizures compared with the SE group (Table I; Fig. 3B).

Figure 3.

Effect of GL on seizures. (A) GL didn't significantly affect the latency of first seizure; however, (B) the number of seizures was significantly reduced (n=12 in each group). **P<0.01 vs. SE. GL, glycyrrhizin; SE, status epilepticus; Con, control.

Table I.

Glycyrrhizin affects the latency of the first seizure and the number of epileptic seizures in rats.

Table I.

Glycyrrhizin affects the latency of the first seizure and the number of epileptic seizures in rats.

GroupsLatency of firstmer seizure (min)Number of seizures in one hour
Con00
SE14.14±3.087.1±2.13
DMSO + SE13.29±1.907.6±1.72
GL + SE13.57±2.23 2.9±1.35a

{ label (or @symbol) needed for fn[@id='tfn1-mmr-27-2-12932'] } The number of epileptic seizures was presented as the mean ± standard deviation (n=12 in each group).

a P<0.001 vs. SE. Con, control; SE, status epilepticus; GL, glycyrrhizin.

GL alters translocation and release of HMGB1 from the nucleus of cells in the hippocampus of LiCl-pilocarpine induced SE rats

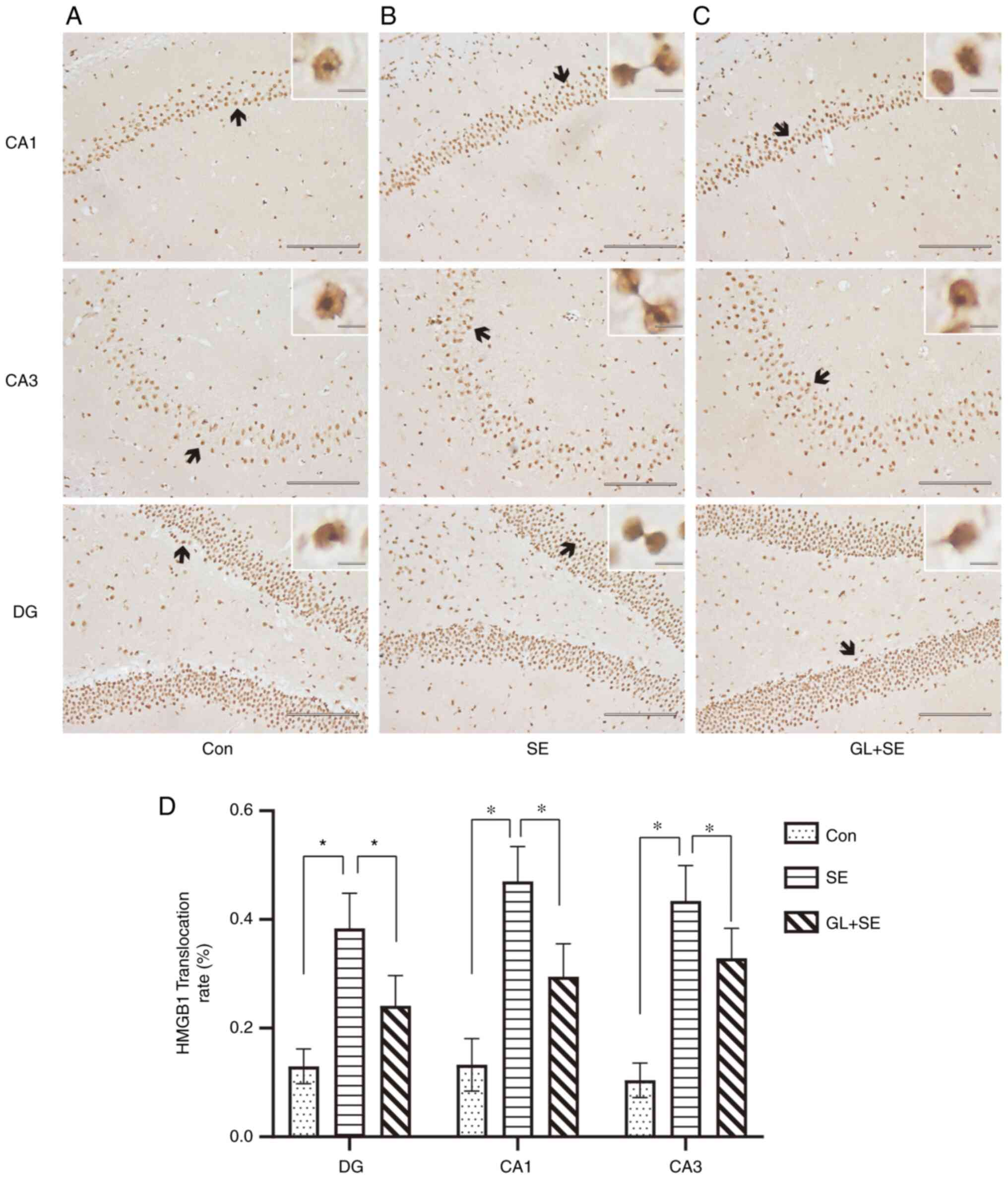
Immunohistochemistry was used to assess the protein expression levels and degree of translocation of HMGB1 in hippocampal tissues. It was demonstrated that HMGB1 positive cells in the Con group (Fig. 4A) were mainly located in the nucleus and cytoplasm of neurons, whereas in the SE group (Fig. 4B), nuclear cytoplasmic translocation and extracellular release occurred in HMGB1 positive cells. Compared with SE group, the nuclear cytoplasmic translocation and extracellular release were markedly inhibited in HMGB1 positive cells (Fig. 4C). The HMGB1 translocation rate post-SE treatment was calculated (Fig. 4D). The HMGB1 translocation rate in the SE group was significantly higher compared with those of the Con and GL + SE groups. The data suggested that translocation of HMGB1 from the nucleus to the cytoplasm was significantly inhibited in the GL + SE group (Fig. 4D) compared with the SE group.

Figure 4.

Immunohistochemical assessment of the protein expression levels of HMGB1 in the hippocampus of rats in the (A) Con, (B) SE and (C) GL + SE groups. Arrows indicated HMGB1 positive cells. (D) GL decreased HMGB1 translocation in the CA1, CA3 and DG regions of the hippocampus (n=9 in each group). *P<0.05. Scale bar=50 µm (3 µm in inset enlarged view). GL, glycyrrhizin; SE, status epilepticus; Con, control; DG, dentate gyrate; HMGB1, high mobility group box protein-1.

GL attenuates neuronal injury in the hippocampal CA1 region of LiCl-pilocarpine induced SE rats

H&E staining demonstrated that hippocampal neurons in the Con group (Fig. 5A) were neatly arranged with clear cell contours and nucleoli, and chromatin in the neurons was transparent and evenly distributed around the nucleus. The neurons in the SE (Fig. 5B) and DMSO + SE groups (Fig. 5C) were irregularly arranged and impaired, and the neurons in both groups were pyroptotic and demonstrated cytoplasmic vacuoles. The neuronal arrangement in the GL + SE group (Fig. 5D) was slightly disordered, with neuronal lysis and necrosis; however, the degree of neuronal damage was markedly less than that in SE and DMSO + SE groups.

Figure 5.

GL affects the degree of neuron injury in the hippocampal CA1 region of rats (n=3) in the (A) Con, (B) SE, (C) DMSO + SE and (D) GL + SE groups. Neuron injury was indicated by shrunken neurons with pyknotic nuclei (indicated by yellow arrows). Scale bar=50 µm (15 µm in inset enlarged view). Con, control; GL, glycyrrhizin; SE, status epilepticus.

GL reduces mitochondrial damage in the hippocampal CA1 region of LiCl-pilocarpine induced SE rats

The ultrastructure of mitochondria of neurons in the CA1 region of rats' hippocampi were assessed using TEM. The ultrastructure of mitochondria was clear and both the inner and outer membranes were discoid or short rods were continuous and intact and had a high matrix density in the Con group (Fig. 6A). The ultrastructure of mitochondria in the other three groups were damaged to varying degrees: The SE (Fig. 6B) and DMSO + SE (Fig. 6C) groups had unclear mitochondrial structure, obvious swelling, reduced matrix density and partial or complete degradation of inner and outer membranes. Moreover, in the GL + SE group (Fig. 6D), part of mitochondrial structure was broken and swollen, and part of membrane was damaged; however, the degree of damage was less than that in the SE and DMSO + SE groups.

Figure 6.

Effects of GL on mitochondrial ultrastructure in the hippocampal CA1 region of rats in the (A) Con, (B) SE, (C) DMSO + SE and (D) GL + SE groups. Yellow circles indicated mitochondria (n=3 in each group). Scale bar=1 µm. Con, control; GL, glycyrrhizin; SE, status epilepticus.

GL alters microglial activation in the hippocampus of LiCl-pilocarpine induced SE rats

The extent of glial activation was assessed using immunohistochemical staining with Iba-1, which specifically labelled microglia cells. In the hippocampus, it was demonstrated that microglia in the Con group (Fig. 7A) were characterized by small cell size, dense cytoplasm, multiple elongated dendrites and phagocytosis at rest. Compared with those in the Con group, microglia in SE group (Fig. 7B) were in the activation stage and mainly manifested with cell body enlargement, cytoplasm dilution, dendrite thickening and shortening, and phagocytosis. Compared with the Con group, although the cell body was still enlarged, the dendrites were shortened and partially thickened in the GL + SE group (Fig. 7C) which indicated that GL markedly inhibited the activation of microglia.

Figure 7.

Immunohistochemical assessment of microglia in the hippocampus of the (A) Con, (B) SE and (C) GL + SE groups. Arrows indicated Iba1 positive cells. Scale bar=50 µm (20 µm in inset enlarged view). Con, control; GL, glycyrrhizin; SE, status epilepticus.

Discussion

Numerous studies have reported the pathogenesis of epilepsy, including but not limited to axon sprouting, dendritic morphology, inflammatory cell infiltration, glial cell proliferation, vascular growth, and degenerative changes (23–28), which demonstrated great potential for the treatment of epilepsy. However, the exact pathogenic mechanisms of epilepsy remain unclear.

HMGB1 is a new and attractive intervention target for epilepsy. Although understanding of HMGB1 has increased, little is known about the exact mechanism by which HMGB1 participates in the development of epileptic seizures. Previous studies have reported that HMGB1 participated in the development of epilepsy mainly by interaction with RAGE (29) or TLR4 (30), damage to the blood-brain barrier and the induction of the inflammatory cascade. Furthermore, HMGB1 has been reported to contribute significantly to the inflammatory response and is associated with sterile inflammation and, autoimmune and neurodegenerative diseases (31). During the development of epilepsy, HMGB1 translocates from the nucleus to the cytoplasm after injury and is released into the extracellular space to act as a proinflammatory factor which induces an inflammatory response (32). Because the CA1 region of hippocampus is particularly vulnerable to hypoxia and ischemia, the present study focused on the regulation of the HMGB1/p38MAPK signalling pathway by GL. The lack of CA3 and dentate gyrus regions in parts of the study is a limitation of the present study which requires further evaluation in the future. The present study demonstrated that among LiCl-pilocarpine-induced acute epileptic rats, HMGB1 protein was significantly upregulated after seizures. In the control group, the immunohistochemical results illustrated that HMGB1-positive cells mainly existed in the neuronal nucleus and markedly reduced numbers existed in the cytoplasm. For a total of 24 h following seizures, HMGB1-positive cells underwent nuclear translocation to the cytoplasm and some HMGB1 was released into the extracellular space. Evaluation of immunofluorescence labelled HMGB1, demonstrated that HMGB1 was expressed in both hippocampal neurons and astrocytes. Furthermore, different experimental methods were used to demonstrate that HMGB1 may participate in the development of epileptic seizures, which was in agreement with previously reported studies.

HMGB1, like other inflammatory agents, may induce epileptic seizures by damaging the blood-brain barrier (BBB). HMGB1 can induce and maintain BBB injury through the regulation of endothelial tight junctions and the base membrane or promote epileptic seizures through the regulation of the neuronal excitability and epileptic threshold during epilepsy (32,33). During seizures, BBB damage may facilitate the invasion of the brain parenchyma by HMGB1 and other inflammatory molecules, which may aggravate epileptic seizures (34). The BBB can be damaged by extracellular potassium influx, which may depolarize the neurons directly or cause other serious consequences, such as injury to the potassium buffer capacity and activation of glial cells, which then induce inflammation, synaptogenesis, the injury of mitochondrial dynamic balance function and finally induce SE (35,36). Previous studies have reported that HMGB1 was released into the central and peripheral bloodstream after rats were treated with pilocarpine, which may contribute to the development of epilepsy by facilitation of BBB damage and activation of inflammatory agents (37). The present study demonstrated that microglia were activated during epileptic seizures and were mainly characterized by enlarged cell bodies and, thicker and shorter dendrites. The mitochondria in hippocampal neurons were significantly changed, mainly characterized by oedema, membrane breakdown and reduced matrix density. These changes suggested that the mitochondria were severely damaged. The aforementioned results were in agreement with previously reported research.

The MAPK signal transduction pathway serves an important role in the occurrence and development of nervous system diseases; furthermore, inhibition of the MAPK signalling pathway can significantly reduce the damage of nerve cells (38). The JNK and p38 signalling pathways, as the two most important signal transduction pathways of MAPK, are mainly involved in the regulation of cell proliferation, differentiation, apoptosis, necrosis, and the cell cycle (39,40). The present study demonstrated that p38MAPK was activated in the status epilepticus model, accompanied by different degrees of neuronal loss and hippocampal sclerosis. Therefore, it was hypothesised GL could inhibit the p38MAPK signalling pathway by the suppression of HMGB1, which could reduce neuronal damage and change epilepsy progression after seizures. The present study demonstrated that intraperitoneal injection of GL 30 min before the seizures significantly reduced the number of seizures but had no significant influence on the latency of the first seizure, which may have been associated with GL inhibition of the translocation and release of HMGB1. GL has anti-inflammatory, hepatoprotective and neuroprotective effects (41–43). It was previously reported that GL produced neuroprotective effects in the postischemic brain as well as in the kainic acid induced epileptic model in rats (44,45). Furthermore, GL was also reported to have prevented excitotoxic effects on primary cultures (46). The mechanism of GL in the protection against neuron injury and mitochondrial injury have been previously reported to include suppression of oxidative stress and proinflammatory cytokines (44). Certain studies reported that GL could combine with HMGB1 directly, which obstructed the interaction between the key serine residue of HMGB1 and protein kinase C, which thereby inhibited the phosphorylation of HMGB1 and the subsequent translocation of HMGB1 (47), which was in agreement with the results of the present study. Western blotting was used to assess the protein expression levels of p38MAPK and p-p38MAPK after injection with GL to inhibit HMGB1. The results of the present study demonstrated that the protein expression levels of p38MAPK and p-p38MAPK were significantly downregulated in the hippocampal tissue 24 h after seizures, which indicated that HMGB1 participated in epileptic seizures via the p38MAPK signalling pathway. The present study also demonstrated that activated microglia were inhibited after HMGB1 downregulation and previous studies reported that one of the mechanisms by which p38MAPK promoted inflammation progression was to regulate the activation of microglia (48), which indirectly indicated that HMGB1 may regulate the participation of the p38MAPK signalling pathway in epileptic seizures.

In summary, the results of the present study demonstrated that HMGB1 protein expression levels were significantly upregulated during epileptic seizures. After glycyrrhizin-specific inhibition of HMGB1, hippocampal neuron and mitochondrial injury can be alleviated, p38MAPK and p-p38MAPK protein expression levels were markedly downregulated and microglial activation was inhibited, which markedly reduced the number of epileptic seizures in one hour. The mechanism may be through regulation of the p38MAPK signalling pathway by HMGB1 and participation in epileptogenesis. However, there are certain limitations to the present study: The study only used a single dose and route of administration (intraperitoneal injection of 100 mg/kg) of GL in rats and lacked cellular experiments; furthermore, the possibility of the involvement of other inflammatory signalling pathways in this study cannot be excluded and these could have interfered with the results. Further study of the effect of different doses and routes of GL administration of its influence on the paroxysm of epileptic seizures is required. Furthermore, the detailed mechanism of HMGB1 activation of neuron injury and astrocyte activation needs to be assessed using cell culture experiments.

A better understanding of the exact mechanisms by which HMGB1 participates in epileptic seizures is of great significance for the treatment of epilepsy. A new medicine that targets HMGB1, which could be put into use in the neuroscience field would provide a novel pathway for epilepsy therapy.

In conclusion, GL can alleviate neuronal injury in the CA1 regions of the hippocampus and prevent HMGB1 translocation from the nucleus into the cytoplasm in this area. GL may exert neuroprotective effects through the suppression of the expression of p38MAPK and p-p38MAPK. The present study increases understanding of the mechanism by which HMGB1 may participate in status epilepticus and lay a foundation for the exploration of the possible use of GL as a new antiseizure drug.

Acknowledgements

Not applicable.

Funding

The present study was supported by The Zunyi City Science and Technology Foundation [grant no. (2018)64], The Zunyi Medical College Neurological Graduate Workstation (grant no. GZZ2017004), The Science and Technology Project in Guizhou Province [grant no. ZK (2022) General 656] and The Science and Technology Project of Guizhou Health Commission (grant no. gzwkj2021.017 and gzwjkj2020-1-010).

Availability of data and materials

The datasets used and/or analysed during the current study are available from the corresponding author on reasonable request.

Authors' contributions

ZCX and ZXX conceived and designed the study. ZL, MX, LHZ and HQZ performed the experiments. MX and HQZ performed statistical analysis, ZL, MX and HQZ wrote the manuscript. ZL, MX, LHZ, ZCX and ZXX reviewed and edited the manuscript. All authors read and approved the final manuscript. ZL and MX confirm the authenticity of all the raw data.

Ethics approval and consent to participate

All experimental procedures were approved by The Animal Care and Use Committee of Zunyi Medical University (approval no. KLLY(A)-2020-009).

Patient consent for publication

Not applicable.

Competing interests

The authors declare that they have no competing interests.

References

1 

Mallok A, Vaillant JD, Soto MT, Viebahn-Hänsler R, Viart Mde L, Pérez AF, Cedeño RI and Fernández OS: Ozone protective effects against PTZ-induced generalized seizures are mediated by reestablishment of cellular redox balance and A1 adenosine receptors. Neurol Res. 37:204–210. 2015. View Article : Google Scholar : PubMed/NCBI

2 

Ding D, Zhou D, Sander JW, Wang W, Li S and Hong Z: Epilepsy in China: Major progress in the past two decades. Lancet Neurol. 20:316–326. 2021. View Article : Google Scholar : PubMed/NCBI

3 

Shangguan Y, Xu X, Ganbat B, Li Y, Wang W, Yang Y, Lu X, Du C, Tian X and Wang X: CNTNAP4 impacts epilepsy through GABAA receptors regulation: Evidence from temporal lobe epilepsy patients and mouse models. Cereb Cortex. 28:3491–3504. 2018. View Article : Google Scholar : PubMed/NCBI

4 

Xu X, Shangguan Y, Lu S, Wang W, Du C, Xiao F, Hu Y, Luo J, Wang L, He C, et al: Tubulin β-III modulates seizure activity in epilepsy. J Pathol. 242:297–308. 2017. View Article : Google Scholar : PubMed/NCBI

5 

Zhao Y, Li X, Zhang K, Tong T and Cui R: The progress of epilepsy after stroke. Curr Neuropharmacol. 16:71–78. 2018.PubMed/NCBI

6 

Rana A and Musto AE: The role of inflammation in the development of epilepsy. J Neuroinflammation. 15:1442018. View Article : Google Scholar : PubMed/NCBI

7 

Yang QW, Wang JZ, Li JC, Zhou Y, Zhong Q, Lu FL and Xiang J: High-mobility group protein box-1 and its relevance to cerebral ischemia. J Cereb Blood Flow Metab. 30:243–254. 2010. View Article : Google Scholar : PubMed/NCBI

8 

Yang H, Wang H and Andersson U: Targeting inflammation driven by HMGB1. Front Immunol. 11:4842020. View Article : Google Scholar : PubMed/NCBI

9 

Li YJ, Wang L, Zhang B, Gao F and Yang CM: Glycyrrhizin, an HMGB1 inhibitor, exhibits neuroprotective effects in rats after lithium-pilocarpine-induced status epilepticus. J Pharm Pharmacol. 71:390–399. 2019. View Article : Google Scholar : PubMed/NCBI

10 

He Y, She H, Zhang T, Xu H, Cheng L, Yepes M, Zhao Y and Mao Z: p38 MAPK inhibits autophagy and promotes microglial inflammatory responses by phosphorylating ULK1. J Cell Biol. 217:315–328. 2018. View Article : Google Scholar : PubMed/NCBI

11 

Moreno-Cugnon L, Arrizabalaga O, Llarena I and Matheu A: Elevated p38MAPK activity promotes neural stem cell aging. Aging (Albany NY). 12:6030–6036. 2020. View Article : Google Scholar : PubMed/NCBI

12 

Yeung YT, Aziz F, Guerrero-Castilla A and Arguelles S: Signaling pathways in inflammation and anti-inflammatory therapies. Curr Pharm Des. 24:1449–1484. 2018. View Article : Google Scholar : PubMed/NCBI

13 

Martínez-Limón A, Joaquin M, Caballero M, Posas F and de Nadal E: The p38 pathway: From biology to cancer therapy. Int J Mol Sci. 21:19132020. View Article : Google Scholar : PubMed/NCBI

14 

Gaestel M: MAPK-activated protein kinases (MKs): Novel insights and challenges. Front Cell Dev Biol. 3:882016. View Article : Google Scholar : PubMed/NCBI

15 

Zhang HW, Ding JD, Zhang ZS, Zhao SS, Duan KY, Zhu BQ, Zhao WF, Chai ZT and Liu XW: Critical role of p38 in spinal cord injury by regulating inflammation and apoptosis in a rat model. Spine (Phila Pa 1976). 45:E355–E363. 2020. View Article : Google Scholar : PubMed/NCBI

16 

Zhang DY, Zhang AX, Zhou YH, Wang LH and Yao HC: Protection of intravenous HMGB1 on myocardial ischemia reperfusion injury. Int J Cardiol. 184:280–282. 2015. View Article : Google Scholar : PubMed/NCBI

17 

Liang Y, Hou C, Kong J, Wen H, Zheng X, Wu L, Huang H and Chen Y: HMGB1 binding to receptor for advanced glycation end products enhances inflammatory responses of human bronchial epithelial cells by activating p38 MAPK and ERK1/2. Mol Cell Biochem. 405:63–71. 2015. View Article : Google Scholar : PubMed/NCBI

18 

Liu S, Chen HZ, Xu ZD, Wang F, Fang H, Bellanfante O and Chen XL: Sodium butyrate inhibits the production of HMGB1 and attenuates severe burn plus delayed resuscitation-induced intestine injury via the p38 signaling pathway. Burns. 45:649–658. 2019. View Article : Google Scholar : PubMed/NCBI

19 

Delgado-Escueta AV, Wasterlain C, Treiman DM and Porter RJ: Status epilepticus: Summary. Adv Neurol. 34:537–541. 1983.PubMed/NCBI

20 

Musumeci D, Roviello GN and Montesarchio D: An overview on HMGB1 inhibitors as potential therapeutic agents in HMGB1-related pathologies. Pharmacol Ther. 141:347–357. 2014. View Article : Google Scholar : PubMed/NCBI

21 

Mollica L, De Marchis F, Spitaleri A, Dallacosta C, Pennacchini D, Zamai M, Agresti A, Trisciuoglio L, Musco G and Bianchi ME: Glycyrrhizin binds to high-mobility group box 1 protein and inhibits its cytokine activities. Chem Biol. 14:431–441. 2007. View Article : Google Scholar : PubMed/NCBI

22 

Racine RJ: Modification of seizure activity by electrical stimulation. II. Motor seizure. Electroencephalogr Clin Neurophysiol. 32:281–294. 1972. View Article : Google Scholar : PubMed/NCBI

23 

Luo Z, Wang J, Tang S, Zheng Y, Zhou X, Tian F and Xu Z: Dynamic-related protein 1 inhibitor eases epileptic seizures and can regulate equilibrative nucleoside transporter 1 expression. BMC Neurol. 20:3532020. View Article : Google Scholar : PubMed/NCBI

24 

Godale CM and Danzer SC: Signaling pathways and cellular mechanisms regulating mossy fiber sprouting in the development of epilepsy. Front Neurol. 9:2982018. View Article : Google Scholar : PubMed/NCBI

25 

Rossini L, De Santis D, Mauceri RR, Tesoriero C, Bentivoglio M, Maderna E, Maiorana A, Deleo F, de Curtis M, Tringali G, et al: Dendritic pathology, spine loss and synaptic reorganization in human cortex from epilepsy patients. Brain. 144:251–265. 2021. View Article : Google Scholar : PubMed/NCBI

26 

Vezzani A, Balosso S and Ravizza T: Neuroinflammatory pathways as treatment targets and biomarkers in epilepsy. Nat Rev Neurol. 15:459–472. 2019. View Article : Google Scholar : PubMed/NCBI

27 

Zhao XF, Liao Y, Alam MM, Mathur R, Feustel P, Mazurkiewicz JE, Adamo MA, Zhu XC and Huang Y: Microglial mTOR is neuronal protective and antiepileptogenic in the pilocarpine model of temporal lobe epilepsy. J Neurosci. 40:7593–7608. 2020. View Article : Google Scholar : PubMed/NCBI

28 

Ogaki A, Ikegaya Y and Koyama R: Vascular abnormalities and the role of vascular endothelial growth factor in the epileptic brain. Front Pharmacol. 11:202020. View Article : Google Scholar : PubMed/NCBI

29 

Sarkis RA, Goksen Y, Mu Y, Rosner B and Lee JW: Cognitive and fatigue side effects of anti-epileptic drugs: An analysis of phase III add-on trials. J Neurol. 265:2137–2142. 2018. View Article : Google Scholar : PubMed/NCBI

30 

Maroso M, Balosso S, Ravizza T, Liu J, Bianchi ME and Vezzani A: Interleukin-1 type 1 receptor/Toll-like receptor signalling in epilepsy: The importance of IL-1beta and high-mobility group box 1. J Intern Med. 270:319–326. 2011. View Article : Google Scholar : PubMed/NCBI

31 

Paudel YN, Semple BD, Jones NC, Othman I and Shaikh MF: High mobility group box 1 (HMGB1) as a novel frontier in epileptogenesis: From pathogenesis to therapeutic approaches. J Neurochem. 151:542–557. 2019. View Article : Google Scholar : PubMed/NCBI

32 

Iori V, Maroso M, Rizzi M, Iyer AM, Vertemara R, Carli M, Agresti A, Antonelli A, Bianchi ME, Aronica E, et al: Receptor for advanced glycation endproducts is upregulated in temporal lobe epilepsy and contributes to experimental seizures. Neurobiol Dis. 58:102–114. 2013. View Article : Google Scholar : PubMed/NCBI

33 

Nishibori M, Wang D, Ousaka D and Wake H: High mobility group box-1 and blood-brain barrier disruption. Cells. 9:26502020. View Article : Google Scholar : PubMed/NCBI

34 

Fu L, Liu K, Wake H, Teshigawara K, Yoshino T, Takahashi H, Mori S and Nishibori M: Therapeutic effects of anti-HMGB1 monoclonal antibody on pilocarpine-induced status epilepticus in mice. Sci Rep. 7:11792017. View Article : Google Scholar : PubMed/NCBI

35 

Devinsky O, Vezzani A, Najjar S, De Lanerolle NC and Rogawski MA: Glia and epilepsy: Excitability and inflammation. Trends Neurosci. 36:174–184. 2013. View Article : Google Scholar : PubMed/NCBI

36 

Gorter JA, van Vliet EA and Aronica E: Status epilepticus, blood-brain barrier disruption, inflammation, and epileptogenesis. Epilepsy Behav. 49:13–16. 2015. View Article : Google Scholar : PubMed/NCBI

37 

Walker LE, Frigerio F, Ravizza T, Ricci E, Tse K, Jenkins RE, Sills GJ, Jorgensen A, Porcu L, Thippeswamy T, et al: Molecular isoforms of high-mobility group box 1 are mechanistic biomarkers for epilepsy. J Clin Invest. 129:21662019. View Article : Google Scholar : PubMed/NCBI

38 

Kaminska B, Gozdz A, Zawadzka M, Ellert-Miklaszewska A and Lipko M: MAPK signal transduction underlying brain inflammation and gliosis as therapeutic target. Anat Rec (Hoboken). 292:1902–1913. 2009. View Article : Google Scholar : PubMed/NCBI

39 

de Los Reyes Corrales T, Losada-Pérez M and Casas-Tintó S: JNK pathway in CNS pathologies. Int J Mol Sci. 22:38832021. View Article : Google Scholar : PubMed/NCBI

40 

Wei TH and Hsieh CL: Effect of acupuncture on the p38 signaling pathway in several nervous system diseases: A systematic review. Int J Mol Sci. 21:46932020. View Article : Google Scholar : PubMed/NCBI

41 

Pastorino G, Cornara L, Soares S, Rodrigues F and Oliveira MBPP: Liquorice (Glycyrrhiza glabra): A phytochemical and pharmacological review. Phytother Res. 32:2323–2339. 2018. View Article : Google Scholar : PubMed/NCBI

42 

Asl MN and Hosseinzadeh H: Review of pharmacological effects of Glycyrrhiza sp. and its bioactive compounds. Phytother Res. 22:709–724. 2008. View Article : Google Scholar : PubMed/NCBI

43 

Ahmed-Farid OA, Haredy SA, Niazy RM, Linhardt RJ and Warda M: Dose-dependent neuroprotective effect of oriental phyto-derived glycyrrhizin on experimental neuroterminal norepinephrine depletion in a rat brain model. Chem Biol Interact. 308:279–287. 2019. View Article : Google Scholar : PubMed/NCBI

44 

Kim SW, Jin Y, Shin JH, Kim ID, Lee HK, Park S, Han PL and Lee JK: Glycyrrhizic acid affords robust neuroprotection in the postischemic brain via anti-inflammatory effect by inhibiting HMGB1 phosphorylation and secretion. Neurobiol Dis. 46:147–156. 2012. View Article : Google Scholar : PubMed/NCBI

45 

Luo L, Jin Y, Kim ID and Lee JK: Glycyrrhizin attenuates kainic acid-induced neuronal cell death in the mouse hippocampus. Exp Neurobiol. 22:107–115. 2013. View Article : Google Scholar : PubMed/NCBI

46 

Cherng JM, Lin HJ, Hung MS, Lin YR, Chan MH and Lin JC: Inhibition of nuclear factor kappaB is associated with neuroprotective effects of glycyrrhizic acid on glutamate-induced excitotoxicity in primary neurons. Eur J Pharmacol. 547:10–21. 2006. View Article : Google Scholar : PubMed/NCBI

47 

Sakamoto R, Okano M, Takena H and Ohtsuki TK: Inhibitory effect of glycyrrhizin on the phosphorylation and DNA-binding abilities of high mobility group proteins 1 and 2 in vitro. Biol Pharm Bull. 24:906–911. 2001. View Article : Google Scholar : PubMed/NCBI

48 

Giovannini MG, Scali C, Prosperi C, Bellucci A, Vannucchi MG, Rosi S, Pepeu G and Casamenti F: Beta-amyloid-induced inflammation and cholinergic hypofunction in the rat brain in vivo: Involvement of the p38MAPK pathway. Neurobiol Dis. 11:257–274. 2002. View Article : Google Scholar : PubMed/NCBI

Related Articles

  • Abstract
  • View
  • Download
  • Twitter
Copy and paste a formatted citation
Spandidos Publications style
Luo Z, Xu M, Zhang L, Zhang H, Xu Z and Xu Z: Glycyrrhizin regulates the HMGB1/P38MAPK signalling pathway in status epilepticus. Mol Med Rep 27: 45, 2023.
APA
Luo, Z., Xu, M., Zhang, L., Zhang, H., Xu, Z., & Xu, Z. (2023). Glycyrrhizin regulates the HMGB1/P38MAPK signalling pathway in status epilepticus. Molecular Medicine Reports, 27, 45. https://doi.org/10.3892/mmr.2023.12932
MLA
Luo, Z., Xu, M., Zhang, L., Zhang, H., Xu, Z., Xu, Z."Glycyrrhizin regulates the HMGB1/P38MAPK signalling pathway in status epilepticus". Molecular Medicine Reports 27.2 (2023): 45.
Chicago
Luo, Z., Xu, M., Zhang, L., Zhang, H., Xu, Z., Xu, Z."Glycyrrhizin regulates the HMGB1/P38MAPK signalling pathway in status epilepticus". Molecular Medicine Reports 27, no. 2 (2023): 45. https://doi.org/10.3892/mmr.2023.12932
Copy and paste a formatted citation
x
Spandidos Publications style
Luo Z, Xu M, Zhang L, Zhang H, Xu Z and Xu Z: Glycyrrhizin regulates the HMGB1/P38MAPK signalling pathway in status epilepticus. Mol Med Rep 27: 45, 2023.
APA
Luo, Z., Xu, M., Zhang, L., Zhang, H., Xu, Z., & Xu, Z. (2023). Glycyrrhizin regulates the HMGB1/P38MAPK signalling pathway in status epilepticus. Molecular Medicine Reports, 27, 45. https://doi.org/10.3892/mmr.2023.12932
MLA
Luo, Z., Xu, M., Zhang, L., Zhang, H., Xu, Z., Xu, Z."Glycyrrhizin regulates the HMGB1/P38MAPK signalling pathway in status epilepticus". Molecular Medicine Reports 27.2 (2023): 45.
Chicago
Luo, Z., Xu, M., Zhang, L., Zhang, H., Xu, Z., Xu, Z."Glycyrrhizin regulates the HMGB1/P38MAPK signalling pathway in status epilepticus". Molecular Medicine Reports 27, no. 2 (2023): 45. https://doi.org/10.3892/mmr.2023.12932
Follow us
  • Twitter
  • LinkedIn
  • Facebook
About
  • Spandidos Publications
  • Careers
  • Cookie Policy
  • Privacy Policy
How can we help?
  • Help
  • Live Chat
  • Contact
  • Email to our Support Team