Spandidos Publications Logo
  • About
    • About Spandidos
    • Aims and Scopes
    • Abstracting and Indexing
    • Editorial Policies
    • Reprints and Permissions
    • Job Opportunities
    • Terms and Conditions
    • Contact
  • Journals
    • All Journals
    • Oncology Letters
      • Oncology Letters
      • Information for Authors
      • Editorial Policies
      • Editorial Board
      • Aims and Scope
      • Abstracting and Indexing
      • Bibliographic Information
      • Archive
    • International Journal of Oncology
      • International Journal of Oncology
      • Information for Authors
      • Editorial Policies
      • Editorial Board
      • Aims and Scope
      • Abstracting and Indexing
      • Bibliographic Information
      • Archive
    • Molecular and Clinical Oncology
      • Molecular and Clinical Oncology
      • Information for Authors
      • Editorial Policies
      • Editorial Board
      • Aims and Scope
      • Abstracting and Indexing
      • Bibliographic Information
      • Archive
    • Experimental and Therapeutic Medicine
      • Experimental and Therapeutic Medicine
      • Information for Authors
      • Editorial Policies
      • Editorial Board
      • Aims and Scope
      • Abstracting and Indexing
      • Bibliographic Information
      • Archive
    • International Journal of Molecular Medicine
      • International Journal of Molecular Medicine
      • Information for Authors
      • Editorial Policies
      • Editorial Board
      • Aims and Scope
      • Abstracting and Indexing
      • Bibliographic Information
      • Archive
    • Biomedical Reports
      • Biomedical Reports
      • Information for Authors
      • Editorial Policies
      • Editorial Board
      • Aims and Scope
      • Abstracting and Indexing
      • Bibliographic Information
      • Archive
    • Oncology Reports
      • Oncology Reports
      • Information for Authors
      • Editorial Policies
      • Editorial Board
      • Aims and Scope
      • Abstracting and Indexing
      • Bibliographic Information
      • Archive
    • Molecular Medicine Reports
      • Molecular Medicine Reports
      • Information for Authors
      • Editorial Policies
      • Editorial Board
      • Aims and Scope
      • Abstracting and Indexing
      • Bibliographic Information
      • Archive
    • World Academy of Sciences Journal
      • World Academy of Sciences Journal
      • Information for Authors
      • Editorial Policies
      • Editorial Board
      • Aims and Scope
      • Abstracting and Indexing
      • Bibliographic Information
      • Archive
    • International Journal of Functional Nutrition
      • International Journal of Functional Nutrition
      • Information for Authors
      • Editorial Policies
      • Editorial Board
      • Aims and Scope
      • Abstracting and Indexing
      • Bibliographic Information
      • Archive
    • International Journal of Epigenetics
      • International Journal of Epigenetics
      • Information for Authors
      • Editorial Policies
      • Editorial Board
      • Aims and Scope
      • Abstracting and Indexing
      • Bibliographic Information
      • Archive
    • Medicine International
      • Medicine International
      • Information for Authors
      • Editorial Policies
      • Editorial Board
      • Aims and Scope
      • Abstracting and Indexing
      • Bibliographic Information
      • Archive
  • Articles
  • Information
    • Information for Authors
    • Information for Reviewers
    • Information for Librarians
    • Information for Advertisers
    • Conferences
  • Language Editing
Spandidos Publications Logo
  • About
    • About Spandidos
    • Aims and Scopes
    • Abstracting and Indexing
    • Editorial Policies
    • Reprints and Permissions
    • Job Opportunities
    • Terms and Conditions
    • Contact
  • Journals
    • All Journals
    • Biomedical Reports
      • Information for Authors
      • Editorial Policies
      • Editorial Board
      • Aims and Scope
      • Abstracting and Indexing
      • Bibliographic Information
      • Archive
    • Experimental and Therapeutic Medicine
      • Information for Authors
      • Editorial Policies
      • Editorial Board
      • Aims and Scope
      • Abstracting and Indexing
      • Bibliographic Information
      • Archive
    • International Journal of Epigenetics
      • Information for Authors
      • Editorial Policies
      • Editorial Board
      • Aims and Scope
      • Abstracting and Indexing
      • Bibliographic Information
      • Archive
    • International Journal of Functional Nutrition
      • Information for Authors
      • Editorial Policies
      • Editorial Board
      • Aims and Scope
      • Abstracting and Indexing
      • Bibliographic Information
      • Archive
    • International Journal of Molecular Medicine
      • Information for Authors
      • Editorial Policies
      • Editorial Board
      • Aims and Scope
      • Abstracting and Indexing
      • Bibliographic Information
      • Archive
    • International Journal of Oncology
      • Information for Authors
      • Editorial Policies
      • Editorial Board
      • Aims and Scope
      • Abstracting and Indexing
      • Bibliographic Information
      • Archive
    • Medicine International
      • Information for Authors
      • Editorial Policies
      • Editorial Board
      • Aims and Scope
      • Abstracting and Indexing
      • Bibliographic Information
      • Archive
    • Molecular and Clinical Oncology
      • Information for Authors
      • Editorial Policies
      • Editorial Board
      • Aims and Scope
      • Abstracting and Indexing
      • Bibliographic Information
      • Archive
    • Molecular Medicine Reports
      • Information for Authors
      • Editorial Policies
      • Editorial Board
      • Aims and Scope
      • Abstracting and Indexing
      • Bibliographic Information
      • Archive
    • Oncology Letters
      • Information for Authors
      • Editorial Policies
      • Editorial Board
      • Aims and Scope
      • Abstracting and Indexing
      • Bibliographic Information
      • Archive
    • Oncology Reports
      • Information for Authors
      • Editorial Policies
      • Editorial Board
      • Aims and Scope
      • Abstracting and Indexing
      • Bibliographic Information
      • Archive
    • World Academy of Sciences Journal
      • Information for Authors
      • Editorial Policies
      • Editorial Board
      • Aims and Scope
      • Abstracting and Indexing
      • Bibliographic Information
      • Archive
  • Articles
  • Information
    • For Authors
    • For Reviewers
    • For Librarians
    • For Advertisers
    • Conferences
  • Language Editing
Login Register Submit
  • This site uses cookies
  • You can change your cookie settings at any time by following the instructions in our Cookie Policy. To find out more, you may read our Privacy Policy.

    I agree
Search articles by DOI, keyword, author or affiliation
Search
Advanced Search
presentation
Oncology Letters
Join Editorial Board Propose a Special Issue
Print ISSN: 1792-1074 Online ISSN: 1792-1082
Journal Cover
November-December 2010 Volume 1 Issue 6

Full Size Image

Sign up for eToc alerts
Recommend to Library

Journals

International Journal of Molecular Medicine

International Journal of Molecular Medicine

International Journal of Molecular Medicine is an international journal devoted to molecular mechanisms of human disease.

International Journal of Oncology

International Journal of Oncology

International Journal of Oncology is an international journal devoted to oncology research and cancer treatment.

Molecular Medicine Reports

Molecular Medicine Reports

Covers molecular medicine topics such as pharmacology, pathology, genetics, neuroscience, infectious diseases, molecular cardiology, and molecular surgery.

Oncology Reports

Oncology Reports

Oncology Reports is an international journal devoted to fundamental and applied research in Oncology.

Experimental and Therapeutic Medicine

Experimental and Therapeutic Medicine

Experimental and Therapeutic Medicine is an international journal devoted to laboratory and clinical medicine.

Oncology Letters

Oncology Letters

Oncology Letters is an international journal devoted to Experimental and Clinical Oncology.

Biomedical Reports

Biomedical Reports

Explores a wide range of biological and medical fields, including pharmacology, genetics, microbiology, neuroscience, and molecular cardiology.

Molecular and Clinical Oncology

Molecular and Clinical Oncology

International journal addressing all aspects of oncology research, from tumorigenesis and oncogenes to chemotherapy and metastasis.

World Academy of Sciences Journal

World Academy of Sciences Journal

Multidisciplinary open-access journal spanning biochemistry, genetics, neuroscience, environmental health, and synthetic biology.

International Journal of Functional Nutrition

International Journal of Functional Nutrition

Open-access journal combining biochemistry, pharmacology, immunology, and genetics to advance health through functional nutrition.

International Journal of Epigenetics

International Journal of Epigenetics

Publishes open-access research on using epigenetics to advance understanding and treatment of human disease.

Medicine International

Medicine International

An International Open Access Journal Devoted to General Medicine.

Journal Cover
November-December 2010 Volume 1 Issue 6

Full Size Image

Sign up for eToc alerts
Recommend to Library

  • Article
  • Citations
    • Cite This Article
    • Download Citation
    • Create Citation Alert
    • Remove Citation Alert
    • Cited By
  • Similar Articles
    • Related Articles (in Spandidos Publications)
    • Similar Articles (Google Scholar)
    • Similar Articles (PubMed)
  • Download PDF
  • Download XML
  • View XML
Case Report

Inhibition of pleural metastasis of collecting duct carcinoma of the kidney by modified cytokine-induced killer cells: A case report and review of the literature

  • Authors:
    • Jingyi Liu
    • Jun Sui
    • Zhiwei Zhang
    • Xiubao Ren
    • Li Luan
    • Qisheng Yang
    • Songhai Gu
    • Rudolf Wank
    • Barbara Laumbacher
    • Xin Song
  • View Affiliations / Copyright

    Affiliations: Cancer Biotherapy Center, the Third Affiliated Hospital, Kunming Medical College, Kunming 650118, P.R. China, Department of Biotherapy, the Affiliated Cancer Hospital, Tianjin Medical University, Tianjin, P.R. China, Radiology Department, the Third Affiliated Hospital, Kunming Medical College, Kunming, P.R. China, Immunotherapy Research Centre, D-80336 Munich, Germany
  • Pages: 955-958
    |
    Published online on: September 8, 2010
       https://doi.org/10.3892/ol.2010.168
  • Expand metrics +
Metrics: Total Views: 0 (Spandidos Publications: | PMC Statistics: )
Metrics: Total PDF Downloads: 0 (Spandidos Publications: | PMC Statistics: )
Cited By (CrossRef): 0 citations Loading Articles...

This article is mentioned in:



Abstract

Collecting duct carcinoma (CDC) or Bellini duct carcinoma of the kidney is a rare, but highly aggressive renal epithelial malignancy, with an extremely poor prognosis. Modified cytokine-induced killer (mCIK) cells were injected into the pleural cavity to treat pleural metastasis of CDC. The patient, a 33-year-old male, was admitted to hospital for further treatment for severe pleural metastasis of CDC. We cured the pleural metastasis through intrapleural infusion with mCIK cells. After receiving this innovative treatment, the patient exhibited a positive response: the cough, dyspnea, chest distress and thoracalgia were evidently relieved, while the pleural fluid became clear after exhibiting haematodes and its level decreased significantly. The patient achieved partial success. This novel immunotherapy method is a promising treatment for patients with refractory pleural metastasis.

Introduction

Collecting duct carcinoma (CDC) or Bellini duct carcinoma, which accounts for 1–3% of all renal neoplasms (1), is a rare variant of renal cell carcinoma (RCC) originating in the collecting duct epithelium and occurring more frequently in relatively young adults (2). Patients with CDC often require a more aggressive clinical course, have a poor long-term survival rate and, currently no standard treatment regimens exist (3). CDC and clear cell RCC typically present with a renal mass, macroscopic hematuria and associated flank pain. However, the majority of patients with CDC show evidence of metastatic disease at the time of presentation (3). Pleural metastasis of CDC is resistant to chemotherapy and radiotherapy, while immunotherapy, especially adoptive immune cell treatment, becomes a promising treatment for pleural metastasis. The present study evaluated a patient with pleural metastasis of CDC who achieved partial success following intrapleural infusion with modified cytokine-induced killer (mCIK) cells.

Case report

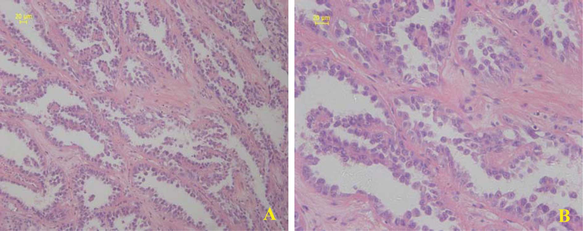
A 33-year-old male with no significant past medical history was referred for urology review after a mass was found during a regular examination. A left radical nephrectomy was performed in December 2006 in the First Affiliated Hospital, Kunming Medical College, China. The pathology revealed CDC (Fig. 1) in the left kidney with no lymph node metastasis. After 1 year, the patient suffered from constant coughing, dyspnea, chest distress and thoracalgia. A chest X-Ray revealed a left pleural effusion. The pleural effusion recurred 1 month after B-ultrasound-guided therapeutic thoracentesis. For further treatment, the patient was referred to our institution on May 5th, 2008.

Figure 1

Histological features of CDC in a representative section. (A) Typical irregular angulated tubular architecture associated with striking stromal desmoplasia. (B) High-powered view of CDC showing cancer cells with large pleomorphic nuclei and eosinophilic cytoplasm. Pathological tissue section No. 15397. Scale bars, 20 μm.

A physical examination revealed a dull sound on percussion and the breath sounds disappeared below the sixth left rib. A computed tomography (CT) scan of the chest, abdomen and pelvis revealed no local recurrence and no lymph node metastasis, although severe pleural metastasis was noted. The examination results revealed that the left pleural had thickened, the pleural effusion was partly encapsulated and there was left pulmonary atelectasis (Fig. 3A). An ultrasound-guided aspiration revealed haematodes fluid. The results of the laboratory examinations were insignificant. Haematology showed a haemoglobin level of 171 g/l (120–160), a white cell count of 11.72×109/l (4–10) and a platelet count of 236×109/l (100–300).

Figure 3

CT scan. (A) Pre-therapy: pulmonary atelectasis. (B) After the second cycle of treatment pulmonary re-expansion is evident.

To alleviate pleural effusion and dyspnea, the patient was treated with a mCIK cell intrapleural infusion. Mononuclear cells were obtained aseptically from blood and infused back to the patient through intrapleural infusion, following in vitro culture of the mCIK cells.

The mCIK cells were cascade-primed immune cells (CAPRI) generated using a procedure to enhance cytokine-induced killer cells (4), with modification. Briefly, using a blood cell separator (Spectra, Gambro BCT, USA), leukapheresis was conducted to obtain peripheral blood mononuclear cells (PBMCs). Half of the mononuclear cells were resuspended in culture flasks coated with anti-CD3 antibody (BD Pharmingen, NJ, USA), and incubated at 37°C in a humidified atmosphere of 5% CO2. After 3 h, a mixture of 700 U/ml interleukin (IL)-2, 800 U/ml IL-18 and 2,000 U/ml interferon (IFN)-γ (all from R&D Systems, MN, USA) were added. After another 3 h, the remaining mononuclear cells were added. After 24 h, the cells were transferred to a larger culture flask for expansion. IL-2, IL-18 and IFN-γ were added every 2 days. After incubation for 7 days, the activated immune cells were harvested and preserved in liquid nitrogen. The cells were defrosted, resuspended in phosphate-buffered saline and freshly transfused to the patient when required.

In every cycle, the patient received mCIK cells at a dose of 100 million (40 ml) once a day for 5 days, through intrapleural infusion. Following the initial cycle of treatment, the coughing disappeared and symptoms including dyspnea, chest distress and thoracalgia were relieved. In order to receive further treatment, the patient returned to the department for the second cycle of therapy on July 18, 2008. An ultrasound-guided aspiration revealed 600 ml of clear fluid (Fig. 2B). A CT scan (Fig. 3B) revealed that the left pulmonary had re-expanded and the level of pleural fluid had decreased. After the third cycle of therapy, the dyspnea was evidently relieved and the chest distress and thoracalgia were relieved completely. The chest X-Ray (Fig. 4A) revealed a great reduction in the level of pleural fluid compared to the initial examination (Fig. 4B).

Figure 2

Pleural fluid change. (A) Pre-therapy: haematodes fluid. (B) Following the second treatment cycle: clear fluid.

Figure 4

Alteration of chest X-Ray. (A) Pre-therapy reveals a large amount of pleural fluid in the left thoracic cavity. (B) After the third cycle of treatment, the level of pleural fluid decreased significantly.

The patient had a fever (~38°C) after intrapleural infusion, but recovered 2 days later. No other adverse effects were noted during therapy.

The evaluation of efficacy was based on the relief of symptoms and absence or reduction of pleural fluid (5,6). Patients with symptomatic improvement and no detectable fluid on the roentgenogram prior to discharge are deemed a success. Those with symptomatic improvement, but residual fluid in the costophrenic angle, with no tendency for increase, are considered to be a partial success. Patients whose pleural effusion recurred or who had no symptomatic improvement, are deemed unsuccessful. Based on these criteria, the patient received mCIK cells and achieved partial success.

Discussion

The rare renal carcinoma type CDC, first reported by Mancilla-Jimenz (7), exhibits highly aggressive behavior (8). Although radical surgery is the basic type of therapy and different protocols have been applied, the challenge involves the identification of novel therapeutic modalities (9). No standard protocols have been established for the treatment of CDC. Numerous agents have been reported over the last few decades as being effective by intrapleural injection in the suppression of recurrent malignant pleural effusion (10). Intrapleural injection by mCIKs is a novel therapeutic strategy for the treatment of malignant pleural effusions. We evaluated this case due to the efficacy of this novel immunotherapy method in the supression of pleural metastasis of CDC.

mCIK cells are a cluster of cascade-primed immune cells, including mainly CD3+CD56+ and CD3+CD8+ T cells. PBMCs were stimulated in vitro with CD3-activated T lymphocytes in order to increase the expression of HLA molecules and costimulatory molecules. In particular, the antigen-presenting cells in the molecules express tumor peptides after stimulation. Freshly added PBMCs were primed by the stimulated antigen-presenting cells and immune cytokines (IL-18, IFN-γ and IL-2) and matured to helper T and cytotoxic T cells. IL-18 induces enhanced CD8+ T-cell proliferation (11). Yamada et al found that IL-18 immunotherapy decreased the number of macroscopic pulmonary metastases (12). IFN-γ is the hallmark cytokine of Th1 cells and stimulates anti-tumor immunity (13). IL-2 stimulates the growth, differentiation and survival of antigen-selected cytotoxic T cells and enhances anti-tumor immunity (14). The mCIK cells proliferated rapidly and showed anti-tumor effects on various types of cancer.

We treated pleural metastasis of the patient with this novel immunotherapy method. Following the initial cycle of treatment, the symptoms including coughing, chest distress and thoracalgia were relieved. After the second cycle of treatment, we found that pleural fluid previously exhibiting haematodes had become clear. Although the pleural effusion remained, pulmonary re-expansion was evident (Fig. 3B). After the third cycle of treatment was completed, the levels of pleural fluid had decreased significantly (Fig. 4B). According to the previous criteria, the patient achieved partial success.

Various agents have been instilled into the pleural space to treat malignant pleural effusions and agents, such as talc, tetracycline and bleomycin, creating a chemical pleuritis (10,15). However, when we treated the patient with mCIK cells, overt pleuritis was not observed, only a transitory fever, suggesting the safety of this method for the treatment of pleural metastasis.

The intrapleural infusion of activated immune cells causes the accumulation of effector cells and significantly decreases the number of tumor cells. The precise mechanisms of eradication of tumor cells by the adoptive transfer of activated killer cells have yet to be elucidated, but this transfer may be mediated mainly by the immune responses of cytotoxic killer T cells. Intrapleural infusion is an innovative method aimed at curing pleural metastasis with activated immune cells. Thus, the efficacy and mechanisms of this exploratory treatment require further study.

In conclusion, to control malignant pleural fluid, drainage and intrapleural chemotherapy are applied in the majority of cases of pleural metastasis. However, successful supression of pleural fluid is difficult and always recurs in advanced cases. This study suggested that mCIK cell intrapleural infusion is a candidate for the therapy of pleural metastasis with refractory pleural fluid.

Acknowledgements

This study was supported by grants from the National Natural Science Foundation of China (Grant No. 30671904, 30760014 and 81060185), the New Century Excellent Talent Supporting Project of Ministry of Education of China (Grant No. NCET-08-0923), the Cultivation Program for Reserve Talent of Middle-Young Aged Academic and Technology Leader of Yunnan Province (Grant No. 2006Y01-12), the Key Program of Science and Technology Project of Kunming (Grant No. 07S060202), the Yunnan Provincial Applied Basic Research Program (Grant No. 2007C0022R, 2007C0025R and 2007C0023R), the Science and Technology Program of Yunnan Province (Grant No. 2007C009Z), the Yunnan Provincial Key Program for Applied Basic Research (Grant No. 2008CC006), the Innovation talent Team Program for Prevention and Treatment of High Incidence Lung Cancer of Yunnan Province (Grant No. 20080C014), and the International Technology Cooperation Project of Scientific and Technological Innovation Program of Yunnan Province Science and Technology Agency (Grant No. 2009AC016).

References

1 

Dimopoulos MA, Logothetis CJ, Markowitz A, et al: Collecting duct carcinoma of the kidney. Br J Urol. 71:388–391. 1993. View Article : Google Scholar : PubMed/NCBI

2 

Méjean A, Rouprêt M, Larousserie F, et al: Is there a place for radical nephrectomy in the presence of metastatic collecting duct (Bellini) carcinoma? J Urol. 169:1287–1290. 2003.PubMed/NCBI

3 

Milowsky MI, Rosmarin A, Tickoo SK, Papanicolaou N and Nanus DM: Active chemotherapy for collecting duct carcinoma of the kidney: a case report and review of the literature. Cancer. 94:111–116. 2002. View Article : Google Scholar : PubMed/NCBI

4 

Shi M, Zhang B, Tang ZR, et al: Autologous cytokine-induced killer cell therapy in clinical trial phase is safe in patients with primary hepatocellular carcinoma. World J Gastroenterol. 10:1146–1151. 2004.PubMed/NCBI

5 

Millar JW, Hunter AM and Horne NW: Intrapleural immunotherapy with Corynebacterium parvum in recurrent malignant pleural effusions. Thorax. 35:856–858. 1980.PubMed/NCBI

6 

Schulze M, Boehle AS, Kurdow R, et al: Effective treatment of malignant pleural effusion by minimal invasive thoracic surgery: thoracoscopic talc pleurodesis and pleuroperitoneal shunts in 101 patients. Ann Thorac Surg. 71:1809–1812. 2001. View Article : Google Scholar

7 

Mancilla-Jimenez R, Stanley RJ and Blath RA: Papillary renal cell carcinoma. A clinical, radiologic, and pathologic study of 34 cases. Cancer. 38:2469–2480. 1976. View Article : Google Scholar : PubMed/NCBI

8 

Anjum MI, Ting PY, Shrotri N, Randall B and Mufti GR: An unusual case of Bellini duct carcinoma. Int Urol Nephrol. 28:695–698. 1996. View Article : Google Scholar : PubMed/NCBI

9 

Ansari J, Fatima A, Chaudhri S, et al: Sorafenib induces therapeutic response in a patient with metastatic collecting duct carcinoma of kidney. Onkologie. 32:44–46. 2009. View Article : Google Scholar : PubMed/NCBI

10 

Musani AI: Treatment options for malignant pleural effusion. Curr Opin Pulm Med. 15:380–387. 2009. View Article : Google Scholar : PubMed/NCBI

11 

Balkow S, Loser K, Krummen M, et al: Dendritic cell activation by combined exposure to anti-CD40 plus interleukin (IL)-12 and IL-18 efficiently stimulates anti-tumor immunity. Exp Dermatol. 18:78–87. 2009. View Article : Google Scholar : PubMed/NCBI

12 

Yamada N, Hata M, Ohyama H, et al: Immunotherapy with interleukin-18 in combination with preoperative chemotherapy with ifosfamide effectively inhibits postoperative progression of pulmonary metastases in a mouse osteosarcoma model. Tumour Biol. 30:176–184. 2009. View Article : Google Scholar

13 

Olioso P, Giancola R, Di Riti M, et al: Immunotherapy with cytokine induced killer cells in solid and hematopoietic tumours: a pilot clinical trial. Hematol Oncol. 27:130–139. 2009. View Article : Google Scholar : PubMed/NCBI

14 

McDermott DF: Immunotherapy of metastatic renal cell carcinoma. Cancer. 115:2298–2305. 2009. View Article : Google Scholar : PubMed/NCBI

15 

Hausheer FH and Yarbro JW: Diagnosis and treatment of the malignant pleural effusion. Semin Oncol. 12:54–75. 1985.

Related Articles

  • Abstract
  • View
  • Download
  • Twitter
Copy and paste a formatted citation
Spandidos Publications style
Liu J, Sui J, Zhang Z, Ren X, Luan L, Yang Q, Gu S, Wank R, Laumbacher B, Song X, Song X, et al: Inhibition of pleural metastasis of collecting duct carcinoma of the kidney by modified cytokine-induced killer cells: A case report and review of the literature. Oncol Lett 1: 955-958, 2010.
APA
Liu, J., Sui, J., Zhang, Z., Ren, X., Luan, L., Yang, Q. ... Song, X. (2010). Inhibition of pleural metastasis of collecting duct carcinoma of the kidney by modified cytokine-induced killer cells: A case report and review of the literature. Oncology Letters, 1, 955-958. https://doi.org/10.3892/ol.2010.168
MLA
Liu, J., Sui, J., Zhang, Z., Ren, X., Luan, L., Yang, Q., Gu, S., Wank, R., Laumbacher, B., Song, X."Inhibition of pleural metastasis of collecting duct carcinoma of the kidney by modified cytokine-induced killer cells: A case report and review of the literature". Oncology Letters 1.6 (2010): 955-958.
Chicago
Liu, J., Sui, J., Zhang, Z., Ren, X., Luan, L., Yang, Q., Gu, S., Wank, R., Laumbacher, B., Song, X."Inhibition of pleural metastasis of collecting duct carcinoma of the kidney by modified cytokine-induced killer cells: A case report and review of the literature". Oncology Letters 1, no. 6 (2010): 955-958. https://doi.org/10.3892/ol.2010.168
Copy and paste a formatted citation
x
Spandidos Publications style
Liu J, Sui J, Zhang Z, Ren X, Luan L, Yang Q, Gu S, Wank R, Laumbacher B, Song X, Song X, et al: Inhibition of pleural metastasis of collecting duct carcinoma of the kidney by modified cytokine-induced killer cells: A case report and review of the literature. Oncol Lett 1: 955-958, 2010.
APA
Liu, J., Sui, J., Zhang, Z., Ren, X., Luan, L., Yang, Q. ... Song, X. (2010). Inhibition of pleural metastasis of collecting duct carcinoma of the kidney by modified cytokine-induced killer cells: A case report and review of the literature. Oncology Letters, 1, 955-958. https://doi.org/10.3892/ol.2010.168
MLA
Liu, J., Sui, J., Zhang, Z., Ren, X., Luan, L., Yang, Q., Gu, S., Wank, R., Laumbacher, B., Song, X."Inhibition of pleural metastasis of collecting duct carcinoma of the kidney by modified cytokine-induced killer cells: A case report and review of the literature". Oncology Letters 1.6 (2010): 955-958.
Chicago
Liu, J., Sui, J., Zhang, Z., Ren, X., Luan, L., Yang, Q., Gu, S., Wank, R., Laumbacher, B., Song, X."Inhibition of pleural metastasis of collecting duct carcinoma of the kidney by modified cytokine-induced killer cells: A case report and review of the literature". Oncology Letters 1, no. 6 (2010): 955-958. https://doi.org/10.3892/ol.2010.168
Follow us
  • Twitter
  • LinkedIn
  • Facebook
About
  • Spandidos Publications
  • Careers
  • Cookie Policy
  • Privacy Policy
How can we help?
  • Help
  • Live Chat
  • Contact
  • Email to our Support Team