Spandidos Publications Logo
  • About
    • About Spandidos
    • Aims and Scopes
    • Abstracting and Indexing
    • Editorial Policies
    • Reprints and Permissions
    • Job Opportunities
    • Terms and Conditions
    • Contact
  • Journals
    • All Journals
    • Oncology Letters
      • Oncology Letters
      • Information for Authors
      • Editorial Policies
      • Editorial Board
      • Aims and Scope
      • Abstracting and Indexing
      • Bibliographic Information
      • Archive
    • International Journal of Oncology
      • International Journal of Oncology
      • Information for Authors
      • Editorial Policies
      • Editorial Board
      • Aims and Scope
      • Abstracting and Indexing
      • Bibliographic Information
      • Archive
    • Molecular and Clinical Oncology
      • Molecular and Clinical Oncology
      • Information for Authors
      • Editorial Policies
      • Editorial Board
      • Aims and Scope
      • Abstracting and Indexing
      • Bibliographic Information
      • Archive
    • Experimental and Therapeutic Medicine
      • Experimental and Therapeutic Medicine
      • Information for Authors
      • Editorial Policies
      • Editorial Board
      • Aims and Scope
      • Abstracting and Indexing
      • Bibliographic Information
      • Archive
    • International Journal of Molecular Medicine
      • International Journal of Molecular Medicine
      • Information for Authors
      • Editorial Policies
      • Editorial Board
      • Aims and Scope
      • Abstracting and Indexing
      • Bibliographic Information
      • Archive
    • Biomedical Reports
      • Biomedical Reports
      • Information for Authors
      • Editorial Policies
      • Editorial Board
      • Aims and Scope
      • Abstracting and Indexing
      • Bibliographic Information
      • Archive
    • Oncology Reports
      • Oncology Reports
      • Information for Authors
      • Editorial Policies
      • Editorial Board
      • Aims and Scope
      • Abstracting and Indexing
      • Bibliographic Information
      • Archive
    • Molecular Medicine Reports
      • Molecular Medicine Reports
      • Information for Authors
      • Editorial Policies
      • Editorial Board
      • Aims and Scope
      • Abstracting and Indexing
      • Bibliographic Information
      • Archive
    • World Academy of Sciences Journal
      • World Academy of Sciences Journal
      • Information for Authors
      • Editorial Policies
      • Editorial Board
      • Aims and Scope
      • Abstracting and Indexing
      • Bibliographic Information
      • Archive
    • International Journal of Functional Nutrition
      • International Journal of Functional Nutrition
      • Information for Authors
      • Editorial Policies
      • Editorial Board
      • Aims and Scope
      • Abstracting and Indexing
      • Bibliographic Information
      • Archive
    • International Journal of Epigenetics
      • International Journal of Epigenetics
      • Information for Authors
      • Editorial Policies
      • Editorial Board
      • Aims and Scope
      • Abstracting and Indexing
      • Bibliographic Information
      • Archive
    • Medicine International
      • Medicine International
      • Information for Authors
      • Editorial Policies
      • Editorial Board
      • Aims and Scope
      • Abstracting and Indexing
      • Bibliographic Information
      • Archive
  • Articles
  • Information
    • Information for Authors
    • Information for Reviewers
    • Information for Librarians
    • Information for Advertisers
    • Conferences
  • Language Editing
Spandidos Publications Logo
  • About
    • About Spandidos
    • Aims and Scopes
    • Abstracting and Indexing
    • Editorial Policies
    • Reprints and Permissions
    • Job Opportunities
    • Terms and Conditions
    • Contact
  • Journals
    • All Journals
    • Biomedical Reports
      • Information for Authors
      • Editorial Policies
      • Editorial Board
      • Aims and Scope
      • Abstracting and Indexing
      • Bibliographic Information
      • Archive
    • Experimental and Therapeutic Medicine
      • Information for Authors
      • Editorial Policies
      • Editorial Board
      • Aims and Scope
      • Abstracting and Indexing
      • Bibliographic Information
      • Archive
    • International Journal of Epigenetics
      • Information for Authors
      • Editorial Policies
      • Editorial Board
      • Aims and Scope
      • Abstracting and Indexing
      • Bibliographic Information
      • Archive
    • International Journal of Functional Nutrition
      • Information for Authors
      • Editorial Policies
      • Editorial Board
      • Aims and Scope
      • Abstracting and Indexing
      • Bibliographic Information
      • Archive
    • International Journal of Molecular Medicine
      • Information for Authors
      • Editorial Policies
      • Editorial Board
      • Aims and Scope
      • Abstracting and Indexing
      • Bibliographic Information
      • Archive
    • International Journal of Oncology
      • Information for Authors
      • Editorial Policies
      • Editorial Board
      • Aims and Scope
      • Abstracting and Indexing
      • Bibliographic Information
      • Archive
    • Medicine International
      • Information for Authors
      • Editorial Policies
      • Editorial Board
      • Aims and Scope
      • Abstracting and Indexing
      • Bibliographic Information
      • Archive
    • Molecular and Clinical Oncology
      • Information for Authors
      • Editorial Policies
      • Editorial Board
      • Aims and Scope
      • Abstracting and Indexing
      • Bibliographic Information
      • Archive
    • Molecular Medicine Reports
      • Information for Authors
      • Editorial Policies
      • Editorial Board
      • Aims and Scope
      • Abstracting and Indexing
      • Bibliographic Information
      • Archive
    • Oncology Letters
      • Information for Authors
      • Editorial Policies
      • Editorial Board
      • Aims and Scope
      • Abstracting and Indexing
      • Bibliographic Information
      • Archive
    • Oncology Reports
      • Information for Authors
      • Editorial Policies
      • Editorial Board
      • Aims and Scope
      • Abstracting and Indexing
      • Bibliographic Information
      • Archive
    • World Academy of Sciences Journal
      • Information for Authors
      • Editorial Policies
      • Editorial Board
      • Aims and Scope
      • Abstracting and Indexing
      • Bibliographic Information
      • Archive
  • Articles
  • Information
    • For Authors
    • For Reviewers
    • For Librarians
    • For Advertisers
    • Conferences
  • Language Editing
Login Register Submit
  • This site uses cookies
  • You can change your cookie settings at any time by following the instructions in our Cookie Policy. To find out more, you may read our Privacy Policy.

    I agree
Search articles by DOI, keyword, author or affiliation
Search
Advanced Search
presentation
Oncology Letters
Join Editorial Board Propose a Special Issue
Print ISSN: 1792-1074 Online ISSN: 1792-1082
Journal Cover
November-December 2011 Volume 2 Issue 6

Full Size Image

Sign up for eToc alerts
Recommend to Library

Journals

International Journal of Molecular Medicine

International Journal of Molecular Medicine

International Journal of Molecular Medicine is an international journal devoted to molecular mechanisms of human disease.

International Journal of Oncology

International Journal of Oncology

International Journal of Oncology is an international journal devoted to oncology research and cancer treatment.

Molecular Medicine Reports

Molecular Medicine Reports

Covers molecular medicine topics such as pharmacology, pathology, genetics, neuroscience, infectious diseases, molecular cardiology, and molecular surgery.

Oncology Reports

Oncology Reports

Oncology Reports is an international journal devoted to fundamental and applied research in Oncology.

Experimental and Therapeutic Medicine

Experimental and Therapeutic Medicine

Experimental and Therapeutic Medicine is an international journal devoted to laboratory and clinical medicine.

Oncology Letters

Oncology Letters

Oncology Letters is an international journal devoted to Experimental and Clinical Oncology.

Biomedical Reports

Biomedical Reports

Explores a wide range of biological and medical fields, including pharmacology, genetics, microbiology, neuroscience, and molecular cardiology.

Molecular and Clinical Oncology

Molecular and Clinical Oncology

International journal addressing all aspects of oncology research, from tumorigenesis and oncogenes to chemotherapy and metastasis.

World Academy of Sciences Journal

World Academy of Sciences Journal

Multidisciplinary open-access journal spanning biochemistry, genetics, neuroscience, environmental health, and synthetic biology.

International Journal of Functional Nutrition

International Journal of Functional Nutrition

Open-access journal combining biochemistry, pharmacology, immunology, and genetics to advance health through functional nutrition.

International Journal of Epigenetics

International Journal of Epigenetics

Publishes open-access research on using epigenetics to advance understanding and treatment of human disease.

Medicine International

Medicine International

An International Open Access Journal Devoted to General Medicine.

Journal Cover
November-December 2011 Volume 2 Issue 6

Full Size Image

Sign up for eToc alerts
Recommend to Library

  • Article
  • Citations
    • Cite This Article
    • Download Citation
    • Create Citation Alert
    • Remove Citation Alert
    • Cited By
  • Similar Articles
    • Related Articles (in Spandidos Publications)
    • Similar Articles (Google Scholar)
    • Similar Articles (PubMed)
  • Download PDF
  • Download XML
  • View XML
Article

Expression of stromal cell-derived factor-1α is an independent risk factor for lymph node metastasis in early gastric cancer

  • Authors:
    • Ik-Chan Song
    • Zhe-Long Liang
    • Jung-Chan Lee
    • Song-Mei Huang
    • Ha-Yon Kim
    • Yoon-Suk Oh
    • Hwan-Jung Yun
    • Ji-Young Sul
    • Deog-Yeon Jo
    • Samyong Kim
    • Jin-Man Kim
    • Hyo-Jin Lee
  • View Affiliations / Copyright

    Affiliations: Department of Internal Medicine, Chungnam National University Hospital, Jung-gu, Daejeon, Republic of Korea, Department of Pathology, Cancer Research Institute, Daejeon Regional Cancer Center, Infection Signaling Network Research Center, and Chungnam National Univerisity School of Medicine, Daejeon, Republic of Korea, Department of General Surgery, Chungnam National University School of Medicine, Daejeon, Republic of Korea
  • Pages: 1197-1202
    |
    Published online on: August 19, 2011
       https://doi.org/10.3892/ol.2011.389
  • Expand metrics +
Metrics: Total Views: 0 (Spandidos Publications: | PMC Statistics: )
Metrics: Total PDF Downloads: 0 (Spandidos Publications: | PMC Statistics: )
Cited By (CrossRef): 0 citations Loading Articles...

This article is mentioned in:


Abstract

Lymph node metastasis is considered to be a significant prognostic factor for early gastric cancer (EGC). However, no real consensus exists on which patient and/or tumor characteristics are associated with lymph node metastasis. We investigated whether stromal cell-derived factor (SDF)-1α expression correlates with lymph node metastasis in patients with EGC by immunohistochemically examining the expression of SDF-1α in 138 archival tissue specimens of EGC. Of these specimens, 59 (42.8%) and 79 (57.2%) were grouped into SDF-1α-positive and SDF-1α‑negative groups, respectively. No significant differences existed with respect to age, gender, tumor location, proportion of tumors >20 mm in size, macroscopic type, depth of invasion or histology between the SDF-1α-positive and -negative groups. However, the SDF-1α-positive group was significantly correlated with lymphovascular invasion and lymph node metastasis. Results of the univariate analyses indicated that lymphovascular invasion, undifferentiated histology and SDF-1α positivity were statistically significant risk factors affecting lymph node metastasis in patients with EGC. Multivariate analyses showed that lymphovascular invasion [hazard ratio (HR), 8.595; 95% confidence interval (CI), 1.694‑43.595; P=0.009], undifferentiated histology (HR, 2.965; 95% CI, 1.037-8.471; P=0.043) and SDF-1α positivity (HR, 2.108; 95% CI, 1.316-10.135; P=0.013) were independent risk factors predicting lymph node metastasis in EGC. In conclusion, these results suggest that SDF-1α expression in tumor cells is a predictive marker of lymph node metastasis in EGC.

Introduction

Early gastric cancer (EGC) is defined as adenocarcinoma localized to the mucosa or the submucosa, irrespective of lymph node metastasis (1). The incidence of EGC has increased due to mass screening and advances in diagnostic technology. In Korea, EGC increased from 29% in 1995 to 33% in 1999. This trend was more prominent in Japan, where EGC represents more than 50% of all gastric cancers (2–4). While the prognosis for surgically treated EGC is generally excellent, with five-year survival greater than 90%, patients with lymph node metastasis have lower survival rates than those without metastasis (4–8). Accurate prediction of lymph node involvement is of crucial significance for appropriate curative treatment planning. Lymph node-negative EGC patients may be curatively treated with minimally invasive endoscopic mucosal resection or endoscopic submucosal dissection, whereas lymph node-positive patients should undergo gastrectomy with lymph node dissection (9–11). Gastrectomy is associated with a high morbidity and mortality, and postoperative quality of life may be impaired by weight loss, loss of appetite and other metabolic and nutritional changes. This aggressive surgical approach should be reserved only for EGC patients at high risk of lymph node metastasis (9). Therefore, clarification of the biological features of EGC with lymph node metastasis may aid in the identification of a high-risk group of patients, and assist in planning a strategy for their treatment.

Stromal cell-derived factor (SDF)-1α, also known as CXCL12, is a small, cytokine-like protein that regulates leukocyte trafficking to appropriate organs and maintains normal immune system function. However, in addition to its role in the immune system, it is now clear that SDF-1α is expressed in a number of distinct types of normal and cancerous tissues, and that SDF-1α has significant functions in development, proliferation, angiogenesis and motility (12,13). It has also been reported that this chemokine and its receptor, CXCR4, are involved in tumor progression and metastasis (13–16). In the case of gastric cancer, SDF-1α expression in primary cancers was reported to be an independent prognostic factor among patients with cancers at various stages, suggesting a role as a biological marker (17,18). Thus, it is possible that there may be a correlation between SDF-1α expression and lymph node metastasis in patients with EGC.

Patients and methods

Patients and tumor samples

This study used tissue samples from 138 consecutive patients with EGC undergoing surgical resection at Chungnam National University Hospital, Daejeon, Korea, between 2001 and 2003. The patients had histologically confirmed adenocarcinoma of the stomach. All patients signed informed consent for therapy as well as for subsequent tissue studies, which had received prior approval by an institutional review board. Clinicopathological characteristics at the time of surgery were assessed using the general rules established by the Japanese Gastric Cancer Association (19).

Immunohistochemical staining of SDF-1α

Immunohisto-chemical staining was performed using a monoclonal anti-SDF-1α antibody (MAB350; R&D Systems, Minneapolis, MN, USA) and the EnVision-HRP detection system (DakoCytomation, Carpinteria, CA, USA) according to the manufacturer’s instructions. Sections (3 μm) were cut from gastric cancer tissue microarray blocks, mounted on slides treated with 3-aminopropyltriethoxysilane (APES, Sigma Chemical, St. Louis, MO, USA) and dried for 2 h at 56°C prior to staining. The sections were deparaffinized in xylene and rehydrated in a graded alcohol series. Following antigen retrieval by heating under pressure in citrate buffer (pH 6.0) for 3 min, tissue sections were treated with 3% hydrogen peroxide for 10 min to block endogenous peroxidases. The sections were then incubated for 30 min in a humid chamber at room temperature with the anti-SDF-1α antibody (1:50) diluted in a background-reducing diluent (S0809; DakoCytomation). Slides were then incubated with EnVision reagent for 30 min, followed by 3,3′-diaminobenzidine (DAB) chromogen for 5 min, counterstained with Mayer’s hematoxylin and mounted. Exclusion of the primary antibody during immunostaining was used in the negative controls, while lymphocytes of normal spleen sections served as positive controls. Immunostaining was evaluated independently by two of the authors, who were blinded to each patient’s clinicopathological findings. Tumors were classified into four grades according to staining intensity (grade 0, no staining; grade 1, weak staining intensity; grade 2, moderate staining intensity; grade 3, strong staining intensity). In the case of heterogeneous sample staining, the higher score was selected if more than 50% of the cells exhibited a higher intensity of staining.

Statistical analysis

The association of SDF-1α expression with clinicopathological characteristics was assessed using the Pearson’s χ2 test or linear-by-linear associations. For analysis of the factors responsible for lymph node metastasis, a logistic regression analysis was used. P<0.05 was considered to be statistically significant. Statistical analyses were conducted using SPSS 13.0 (SPSS, Chicago, IL, USA).

Results

SDF-1α immunostaining in tumor tissues

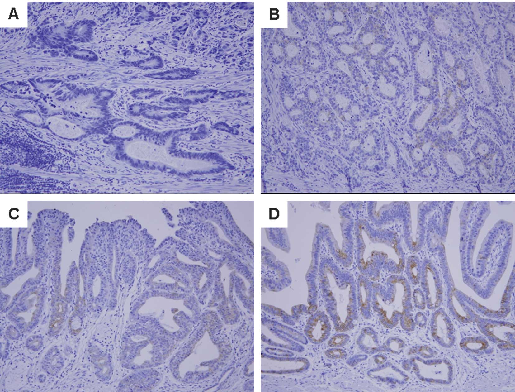
SDF-1α was detected in the cytoplasm and cellular membrane of gastric cancer cells. SDF-1α expression was variable [no staining, 79 patients (57.2%); weak staining, 30 (21.7%); moderate staining, 17 (12.3%); and strong staining, 12 patients (8.7%); Fig. 1]. The patients were divided into two groups according to SDF-1α expression; the SDF-1α-positive group (n=59) was defined as patients with weak to strong SDF-1α expression, and the SDF-1α-negative group (n=79) was defined as patients with no SDF-1α expression.

Figure 1

Representative photomicrographs of SDF-1α immunohistochemical staining in early gastric cancer tissues. (A) No staining intensity. (B-D) Weak, intermediate and strong staining intensity, respectively (magnification, ×200).

Association between SDF-1α expression and clinicopathological factors

The correlation of SDF-1α expression and clinicopathological characteristics is shown in Table I. No significant differences existed with respect to age, gender, tumor location, proportion of tumors >20 mm in size, macroscopic type, depth of invasion or histology between SDF-1α-positive and -negative groups. However, the SDF-1α-positive group was significantly correlated with lymphovascular invasion (P=0.042) and with lymph node metastasis (P=0.018).

Table I

Clinicopathological characteristics according to SDF-1α expression.

Table I

Clinicopathological characteristics according to SDF-1α expression.

VariableTotal n=138SDF-1αP-value

Positive n=59 (%)Negative n=79 (%)
Age (years)0.342a
 ≤ 659638 (64.4)58 (73.4)
 > 654221 (35.6)21 (26.6)
Gender0.544a
 Male9844 (74.6)54 (68.4)
 Female4015 (25.4)25 (31.6)
Tumor location0.672b
 Upper41 (1.7)3 (3.8)
 Middle7733 (55.9)44 (55.7)
 Lower5725 (42.4)32 (40.5)
Tumor size (mm)0.688a
  ≤ 205023 (39.0)27 (34.2)
 > 208836 (61.0)52 (65.8)
Macroscopic types0.280b
 Elevated1811 (18.6)7 (8.9)
 Flat125 (8.5)7 (8.9)
 Depressed9536 (61.0)59 (74.7)
 Mixed137 (11.9)6 (7.6)
Depth of invasion0.497a
 Mucosal95 (8.5)4 (5.1)
 Submucosal12954 (91.5)75 (94.9)
Lymphovascular invasion0.042a
 Negative5216 (27.1)36 (45.6)
 Positive8643 (72.9)43 (54.4)
Histology0.761a
 Differentiated8136 (61.0)45 (57.0)
 Undifferentiated5723 (39.0)34 (43.0)
Lymph node metastasis0.018a
 Negative11041 (69.5)69 (87.3)
 Positive2818 (30.5)10 (12.7)

a P-values were calculated by pairwise comparisons from the Pearson’s χ2 test.

b P-values were calculated by comparisons of three or four groups from linear-by-linear associations.

SDF-1α expression and lymph node metastasis

To estimate the clinical significance of various clinicopathological factors that may affect lymph node metastasis in EGC, univariate analyses were performed. As shown in Table II, lymphovascular invasion [hazard ratio (HR), 10.833; 95% confidence interval (CI), 2.450–47.895; P=0.002], undifferentiated histology (HR, 3.277; 95% CI, 1.378–7.791; P=0.007) and SDF-1α positivity (HR, 3.029; 95% CI, 1.276–7.189; P=0.012) were statistically significant risk factors affecting lymph node metastasis in patients with EGC. To determine the independent prognostic effects of these variables, multivariate analyses were performed using logistic regression analysis. The results again demonstrated that lymphovascular invasion (HR, 8.595; 95% CI, 1.694–43.595; P=0.009), undifferentiated histology (HR, 2.965; 95% CI, 1.037–8.471; P=0.043) and SDF-1α positivity (HR, 2.108; 95% CI, 1.316–10.135; P=0.013) were independent risk factors predicting lymph node metastasis in EGC patients (Table III).

Table II

Univariate analysis of risk factors for lymph node metastasis in patients with early gastric cancer.

Table II

Univariate analysis of risk factors for lymph node metastasis in patients with early gastric cancer.

VariablesHazard ratio95% Confidence intervalP-value
Age (> 65 years)1.3540.564–3.2510.497
Females1.2070.493–2.9550.680
Tumor location (lower)1.0830.468–2.5080.852
Tumor size (>20 mm)2.4440.917–6.5130.074
Macroscopic type (Depressed or mixed)1.8570.590–5.8430.290
Depth of invasion (Submucosal)2.1180.254–17.6720.488
Lymphovascular invasion (Positive)10.8332.450–47.8950.002
Histology (Undifferentiated)3.2771.378–7.7910.007
SDF-1α expression (Positive)3.0291.276–7.1890.012

Table III

Multivariate analysis of risk factors for lymph node metastasis in patients with early gastric cancer.

Table III

Multivariate analysis of risk factors for lymph node metastasis in patients with early gastric cancer.

VariablesHazard ratio95% Confidence intervalP-value
Age (> 65 years)1.5240.550–4.2250.418
Females1.5200.540–4.2770.428
Tumor location (lower)1.3660.504–3.7031.366
Tumor size (>20 mm)2.3140.742–7.2162.314
Macroscopic type (Depressed or mixed)2.1080.566–7.8570.266
Depth of invasion (Submucosal)1.1630.062–21.9390.920
Lymphovascular invasion (Positive)8.5951.694–43.5950.009
Histology (Undifferentiated)2.9651.037–8.4710.043
SDF-1α expression (Positive)2.1081.316–10.1350.013

Discussion

The prognosis for EGC is favorable following radical surgery. Lymph node metastasis is considered to be a significant prognostic factor for EGC as the 5-year survival rate of patients without lymph node metastasis is approximately 95%, whereas that of patients with metastasis is approximately 83% (7,20). Therefore, a number of studies have been conducted to identify predictive parameters, particularly biological markers, of lymph node metastasis in EGC. We report for the first time that SDF-1α expression in tumor cells is an independent risk factor for lymph node metastasis in EGC. However, there remains no real consensus on which patient and/or tumor characteristics are associated with lymph node metastasis (9,21–23).

Recently, certain reports have demonstrated that SDF-1α expression is associated with the progression and metastasis of a number of types of cancer, including malignant glioma, esophageal carcinoma, non-small cell lung cancer and colorectal cancer (24–29). In gastric cancer, Ishigami et al reported that SDF-1α expression was significantly associated with lymph node metastasis, depth of invasion, lymphatic invasion, tumor diameter and higher stage. In addition, the SDF-1α-positive group showed significantly poorer surgical outcomes than the SDF-1α-negative group, suggesting SDF-1α to be an independent prognostic factor in gastric cancer (17). Iwasa et al also showed that SDF-1α expression was significantly correlated with lymphovascular invasion and lymph node and liver metastasis in patients with intestinal-type gastric cancer (18). These findings led to speculation that SDF-1α is a predictive marker of lymph node metastasis in EGC.

In this study, it was found that SDF-1α expression in EGC was significantly associated with lymphovascular invasion and lymph node metastasis, whereas SDF-1α expression was not associated with age, gender, tumor location, tumor size, macroscopic type, depth of invasion or histology (Table I). Results of the univariate analyses of risk factors for lymph node metastasis showed that lymphovascular invasion, undifferentiated histology and SDF-1α expression are risk factors in patients with EGC (Table II). Furthermore, multivariate analyses clearly indicated that SDF-1α expression is as much an independent risk factor for lymph node metastasis as is lymphovascular invasion or undifferentiated histology. These data suggest that SDF-1α expression in tumor cells is a useful marker for the prediction of lymph node metastasis in patients with EGC.

The mechanism by which SDF-1α contributes to gastric cancer progression events, including lymph node metastasis, remains unclear. One potential explanation is that SDF-1α is involved in tumor progression in an autocrine and/or paracrine manner. The concomitant expression of SDF-1α and its receptor, CXCR4, in the same brain tumor cells has been characterized as an autocrine and/or paracrine mechanism of cancer cell stimulation, resulting in more aggressive behavior (30,31). Subsequently, the autocrine/paracrine mitogenic activity of SDF-1α was reported in cell lines and primary cell cultures of human glioblastoma multiforme (32,33). Barbieri et al also reported that the overexpression of SDF-1α promoted autocrine/paracrine cell proliferation in human pituitary tumor cells (30). Another possible mechanism is that SDF-1α may promote tumor angiogenesis by attracting endothelial cells to the tumor microenvironment. Pathologically induced SDF-1α secretion by brain tumor cells increases the recruitment of circulating endothelial progenitors (34). Furthermore, inhibition of the SDF-1α/CXCR4 receptor pathway reduced short-term homing and long-term engraftment of vascular progenitors, and decreased the growth of gastrointestinal tumors through the suppression of angiogenesis (35,36).

In conclusion, this study has demonstrated that the tumor expression of SDF-1α is an independent risk factor for lymph node metastasis in patients with EGC, suggesting that SDF-1α is a useful predictive marker. Further studies are required to elucidate the mechanisms linking SDF-1α secreted by tumor cells to gastric cancer.

Acknowledgements

This study was supported in part by the Basic Science Research Program through the National Research Foundation of Korea (NRF) funded by the Ministry of Education, Science and Technology (NRF-2009-0076540) and the National Research Foundation of Korea grant funded by the Korean government (MEST) (No. 2011-0006229).

References

1 

Okamura T, Tsujitani S, Korenaga D, Haraguchi M, Baba H, Hiramoto Y and Sugimachi K: Lymphadenectomy for cure in patients with early gastric cancer and lymph node metastasis. Am J Surg. 155:476–480. 1988. View Article : Google Scholar : PubMed/NCBI

2 

Park YD, Chung YJ, Chung HY, et al: Factors related to lymph node metastasis and the feasibility of endoscopic mucosal resection for treating poorly differentiated adenocarcinoma of the stomach. Endoscopy. 40:7–10. 2008. View Article : Google Scholar : PubMed/NCBI

3 

Isozaki H, Tanaka N and Okajima K: General and specific prognostic factors of early gastric carcinoma treated with curative surgery. Hepatogastroenterology. 46:1800–1808. 1999.PubMed/NCBI

4 

Maehara Y, Orita H, Okuyama T, Moriguchi S, Tsujitani S, Korenaga D and Sugimachi K: Predictors of lymph node metastasis in early gastric cancer. Br J Surg. 79:245–247. 1992. View Article : Google Scholar : PubMed/NCBI

5 

Folli S, Dente M, Dell’Amore D, Gaudio M, Nanni O, Saragoni L and Vio A: Early gastric cancer: prognostic factors in 223 patients. Br J Surg. 82:952–956. 1995. View Article : Google Scholar : PubMed/NCBI

6 

Kitamura K, Yamaguchi T, Taniguchi H, Hagiwara A, Sawai K and Takahashi T: Analysis of lymph node metastasis in early gastric cancer: rationale of limited surgery. J Surg Oncol. 64:42–47. 1997. View Article : Google Scholar : PubMed/NCBI

7 

Habu H, Takeshita K, Sunagawa M and Endo M: Lymph node metastasis in early gastric cancer. Int Surg. 71:244–247. 1986.PubMed/NCBI

8 

Folli S, Morgagni P, Roviello F, et al; Italian Research Group for Gastric Cancer (IRGGC). Risk factors for lymph node metastases and their prognostic significance in early gastric cancer (EGC) for the Italian Research Group for Gastric Cancer (IRGGC). Jpn J Clin Oncol. 31:495–499. 2001. View Article : Google Scholar : PubMed/NCBI

9 

Kwee RM and Kwee TC: Predicting lymph node status in early gastric cancer. Gastric Cancer. 11:134–148. 2008. View Article : Google Scholar : PubMed/NCBI

10 

Brennan MF: Current status of surgery for gastric cancer: a review. Gastric Cancer. 8:64–70. 2005. View Article : Google Scholar : PubMed/NCBI

11 

Nakajima T: Gastric cancer treatment guidelines in Japan. Gastric Cancer. 5:1–5. 2002. View Article : Google Scholar

12 

Krop IE: Chemokine signaling in gliomas: prognostic factor, therapeutic target or both? Cancer Biol Ther. 5:1039–1041. 2006. View Article : Google Scholar : PubMed/NCBI

13 

Burger JA and Kipps TJ: CXCR4: a key receptor in the crosstalk between tumor cells and their microenvironment. Blood. 107:1761–1767. 2006. View Article : Google Scholar : PubMed/NCBI

14 

Arya M, Patel HR and Williamson M: Chemokines: key players in cancer. Curr Med Res Opin. 19:557–564. 2003. View Article : Google Scholar

15 

Scotton CJ, Wilson JL, Scott K, et al: Multiple actions of the chemokine CXCL12 on epithelial tumor cells in human ovarian cancer. Cancer Res. 62:5930–5938. 2002.PubMed/NCBI

16 

Koshiba T, Hosotani R, Miyamoto Y, et al: Expression of stromal cell-derived factor 1 and CXCR4 ligand receptor system in pancreatic cancer: a possible role for tumor progression. Clin Cancer Res. 6:3530–3535. 2000.PubMed/NCBI

17 

Ishigami S, Natsugoe S, Okumura H, et al: Clinical implication of CXCL12 expression in gastric cancer. Ann Surg Oncol. 14:3154–3158. 2007. View Article : Google Scholar : PubMed/NCBI

18 

Iwasa S, Yanagawa T, Fan J and Katoh R: Expression of CXCR4 and its ligand SDF-1 in intestinal-type gastric cancer is associated with lymph node and liver metastasis. Anticancer Res. 29:4751–4758. 2009.PubMed/NCBI

19 

Japanese Gastric Cancer Association. Japanese classification of gastric carcinoma. 2nd English edition. Gastric Cancer. 1. pp. 10–24. 1998, View Article : Google Scholar

20 

Li C, Kim S, Lai JF, et al: Risk factors for lymph node metastasis in undifferentiated early gastric cancer. Ann Surg Oncol. 15:1464–1469. 2008.

21 

Kanai T, Konno H, Maruyama K, et al: p53 overexpression and proliferative activity do not correlate with lymph node metastasis in early gastric cancer. Eur Surg Res. 29:35–41. 1997. View Article : Google Scholar : PubMed/NCBI

22 

Kabashima A, Maehara Y, Kakeji Y, Baba H, Koga T and Sugimachi K: Clinicopathological features and overexpression of matrix metalloproteinases in intramucosal gastric carcinoma with lymph node metastasis. Clin Cancer Res. 6:3581–3584. 2000.PubMed/NCBI

23 

Yonemura Y, Ninomiya I, Ohoyama S, et al: Correlation of c-erbB-2 protein expression and lymph node status in early gastric cancer. Oncology. 49:363–367. 1992. View Article : Google Scholar : PubMed/NCBI

24 

Salmaggi A, Gelati M, Pollo B, et al: CXCL12 expression is predictive of a shorter time to tumor progression in low-grade glioma: a single-institution study in 50 patients. J Neurooncol. 74:287–293. 2005. View Article : Google Scholar : PubMed/NCBI

25 

Calatozzolo C, Maderna E, Pollo B, et al: Prognostic value of CXCL12 expression in 40 low-grade oligodendrogliomas and oligoastrocytomas. Cancer Biol Ther. 5:827–832. 2006. View Article : Google Scholar : PubMed/NCBI

26 

Sasaki K, Natsugoe S, Ishigami S, et al: Expression of CXCL12 and its receptor CXCR4 correlates with lymph node metastasis in submucosal esophageal cancer. J Surg Oncol. 97:397–402. 2008. View Article : Google Scholar : PubMed/NCBI

27 

Sasaki K, Natsugoe S, Ishigami S, et al: Expression of CXCL12 and its receptor CXCR4 in esophageal squamous cell carcinoma. Oncol Rep. 21:65–71. 2009.PubMed/NCBI

28 

Wagner PL, Hyjek E, Vazquez MF, et al: CXCL12 and CXCR4 in adenocarcinoma of the lung: association with metastasis and survival. J Thorac Cardiovasc Surg. 137:615–621. 2009. View Article : Google Scholar : PubMed/NCBI

29 

Yoshitake N, Fukui H, Yamagishi H, et al: Expression of SDF-1 α and nuclear CXCR4 predicts lymph node metastasis in colorectal cancer. Br J Cancer. 98:1682–1689. 2008.

30 

Barbieri F, Bajetto A, Stumm R, et al: Overexpression of stromal cell-derived factor 1 and its receptor CXCR4 induces autocrine/paracrine cell proliferation in human pituitary adenomas. Clin Cancer Res. 14:5022–5032. 2008. View Article : Google Scholar : PubMed/NCBI

31 

Rempel SA, Dudas S, Ge S and Gutiérrez JA: Identification and localization of the cytokine SDF1 and its receptor, CXC chemokine receptor 4, to regions of necrosis and angiogenesis in human glioblastoma. Clin Cancer Res. 6:102–111. 2000.PubMed/NCBI

32 

Bajetto A, Barbieri F, Dorcaratto A, et al: Expression of CXC chemokine receptors 1–5 and their ligands in human glioma tissues: role of CXCR4 and SDF1 in glioma cell proliferation and migration. Neurochem Int. 49:423–432. 2006.

33 

Barbero S, Bonavia R, Bajetto A, et al: Stromal cell-derived factor 1α stimulates human glioblastoma cell growth through the activation of both extracellular signal-regulated kinases 1/2 and Akt. Cancer Res. 63:1969–1974. 2003.

34 

Li M and Ransohoff RM: The roles of chemokine CXCL12 in embryonic and brain tumor angiogenesis. Semin Cancer Biol. 19:111–115. 2009. View Article : Google Scholar : PubMed/NCBI

35 

Guleng B, Tateishi K, Ohta M, et al: Blockade of the stromal cell-derived factor-1/CXCR4 axis attenuates in vivo tumor growth by inhibiting angiogenesis in a vascular endothelial growth factor-independent manner. Cancer Res. 65:5864–5871. 2005. View Article : Google Scholar : PubMed/NCBI

36 

Orimo A, Gupta PB, Sgroi DC, et al: Stromal fibroblasts present in invasive human breast carcinomas promote tumor growth and angiogenesis through elevated SDF-1/CXCL12 secretion. Cell. 121:335–348. 2005. View Article : Google Scholar : PubMed/NCBI

Related Articles

  • Abstract
  • View
  • Download
  • Twitter
Copy and paste a formatted citation
Spandidos Publications style
Song I, Liang Z, Lee J, Huang S, Kim H, Oh Y, Yun H, Sul J, Jo D, Kim S, Kim S, et al: Expression of stromal cell-derived factor-1α is an independent risk factor for lymph node metastasis in early gastric cancer. Oncol Lett 2: 1197-1202, 2011.
APA
Song, I., Liang, Z., Lee, J., Huang, S., Kim, H., Oh, Y. ... Lee, H. (2011). Expression of stromal cell-derived factor-1α is an independent risk factor for lymph node metastasis in early gastric cancer. Oncology Letters, 2, 1197-1202. https://doi.org/10.3892/ol.2011.389
MLA
Song, I., Liang, Z., Lee, J., Huang, S., Kim, H., Oh, Y., Yun, H., Sul, J., Jo, D., Kim, S., Kim, J., Lee, H."Expression of stromal cell-derived factor-1α is an independent risk factor for lymph node metastasis in early gastric cancer". Oncology Letters 2.6 (2011): 1197-1202.
Chicago
Song, I., Liang, Z., Lee, J., Huang, S., Kim, H., Oh, Y., Yun, H., Sul, J., Jo, D., Kim, S., Kim, J., Lee, H."Expression of stromal cell-derived factor-1α is an independent risk factor for lymph node metastasis in early gastric cancer". Oncology Letters 2, no. 6 (2011): 1197-1202. https://doi.org/10.3892/ol.2011.389
Copy and paste a formatted citation
x
Spandidos Publications style
Song I, Liang Z, Lee J, Huang S, Kim H, Oh Y, Yun H, Sul J, Jo D, Kim S, Kim S, et al: Expression of stromal cell-derived factor-1α is an independent risk factor for lymph node metastasis in early gastric cancer. Oncol Lett 2: 1197-1202, 2011.
APA
Song, I., Liang, Z., Lee, J., Huang, S., Kim, H., Oh, Y. ... Lee, H. (2011). Expression of stromal cell-derived factor-1α is an independent risk factor for lymph node metastasis in early gastric cancer. Oncology Letters, 2, 1197-1202. https://doi.org/10.3892/ol.2011.389
MLA
Song, I., Liang, Z., Lee, J., Huang, S., Kim, H., Oh, Y., Yun, H., Sul, J., Jo, D., Kim, S., Kim, J., Lee, H."Expression of stromal cell-derived factor-1α is an independent risk factor for lymph node metastasis in early gastric cancer". Oncology Letters 2.6 (2011): 1197-1202.
Chicago
Song, I., Liang, Z., Lee, J., Huang, S., Kim, H., Oh, Y., Yun, H., Sul, J., Jo, D., Kim, S., Kim, J., Lee, H."Expression of stromal cell-derived factor-1α is an independent risk factor for lymph node metastasis in early gastric cancer". Oncology Letters 2, no. 6 (2011): 1197-1202. https://doi.org/10.3892/ol.2011.389
Follow us
  • Twitter
  • LinkedIn
  • Facebook
About
  • Spandidos Publications
  • Careers
  • Cookie Policy
  • Privacy Policy
How can we help?
  • Help
  • Live Chat
  • Contact
  • Email to our Support Team