Spandidos Publications Logo
  • About
    • About Spandidos
    • Aims and Scopes
    • Abstracting and Indexing
    • Editorial Policies
    • Reprints and Permissions
    • Job Opportunities
    • Terms and Conditions
    • Contact
  • Journals
    • All Journals
    • Oncology Letters
      • Oncology Letters
      • Information for Authors
      • Editorial Policies
      • Editorial Board
      • Aims and Scope
      • Abstracting and Indexing
      • Bibliographic Information
      • Archive
    • International Journal of Oncology
      • International Journal of Oncology
      • Information for Authors
      • Editorial Policies
      • Editorial Board
      • Aims and Scope
      • Abstracting and Indexing
      • Bibliographic Information
      • Archive
    • Molecular and Clinical Oncology
      • Molecular and Clinical Oncology
      • Information for Authors
      • Editorial Policies
      • Editorial Board
      • Aims and Scope
      • Abstracting and Indexing
      • Bibliographic Information
      • Archive
    • Experimental and Therapeutic Medicine
      • Experimental and Therapeutic Medicine
      • Information for Authors
      • Editorial Policies
      • Editorial Board
      • Aims and Scope
      • Abstracting and Indexing
      • Bibliographic Information
      • Archive
    • International Journal of Molecular Medicine
      • International Journal of Molecular Medicine
      • Information for Authors
      • Editorial Policies
      • Editorial Board
      • Aims and Scope
      • Abstracting and Indexing
      • Bibliographic Information
      • Archive
    • Biomedical Reports
      • Biomedical Reports
      • Information for Authors
      • Editorial Policies
      • Editorial Board
      • Aims and Scope
      • Abstracting and Indexing
      • Bibliographic Information
      • Archive
    • Oncology Reports
      • Oncology Reports
      • Information for Authors
      • Editorial Policies
      • Editorial Board
      • Aims and Scope
      • Abstracting and Indexing
      • Bibliographic Information
      • Archive
    • Molecular Medicine Reports
      • Molecular Medicine Reports
      • Information for Authors
      • Editorial Policies
      • Editorial Board
      • Aims and Scope
      • Abstracting and Indexing
      • Bibliographic Information
      • Archive
    • World Academy of Sciences Journal
      • World Academy of Sciences Journal
      • Information for Authors
      • Editorial Policies
      • Editorial Board
      • Aims and Scope
      • Abstracting and Indexing
      • Bibliographic Information
      • Archive
    • International Journal of Functional Nutrition
      • International Journal of Functional Nutrition
      • Information for Authors
      • Editorial Policies
      • Editorial Board
      • Aims and Scope
      • Abstracting and Indexing
      • Bibliographic Information
      • Archive
    • International Journal of Epigenetics
      • International Journal of Epigenetics
      • Information for Authors
      • Editorial Policies
      • Editorial Board
      • Aims and Scope
      • Abstracting and Indexing
      • Bibliographic Information
      • Archive
    • Medicine International
      • Medicine International
      • Information for Authors
      • Editorial Policies
      • Editorial Board
      • Aims and Scope
      • Abstracting and Indexing
      • Bibliographic Information
      • Archive
  • Articles
  • Information
    • Information for Authors
    • Information for Reviewers
    • Information for Librarians
    • Information for Advertisers
    • Conferences
  • Language Editing
Spandidos Publications Logo
  • About
    • About Spandidos
    • Aims and Scopes
    • Abstracting and Indexing
    • Editorial Policies
    • Reprints and Permissions
    • Job Opportunities
    • Terms and Conditions
    • Contact
  • Journals
    • All Journals
    • Biomedical Reports
      • Information for Authors
      • Editorial Policies
      • Editorial Board
      • Aims and Scope
      • Abstracting and Indexing
      • Bibliographic Information
      • Archive
    • Experimental and Therapeutic Medicine
      • Information for Authors
      • Editorial Policies
      • Editorial Board
      • Aims and Scope
      • Abstracting and Indexing
      • Bibliographic Information
      • Archive
    • International Journal of Epigenetics
      • Information for Authors
      • Editorial Policies
      • Editorial Board
      • Aims and Scope
      • Abstracting and Indexing
      • Bibliographic Information
      • Archive
    • International Journal of Functional Nutrition
      • Information for Authors
      • Editorial Policies
      • Editorial Board
      • Aims and Scope
      • Abstracting and Indexing
      • Bibliographic Information
      • Archive
    • International Journal of Molecular Medicine
      • Information for Authors
      • Editorial Policies
      • Editorial Board
      • Aims and Scope
      • Abstracting and Indexing
      • Bibliographic Information
      • Archive
    • International Journal of Oncology
      • Information for Authors
      • Editorial Policies
      • Editorial Board
      • Aims and Scope
      • Abstracting and Indexing
      • Bibliographic Information
      • Archive
    • Medicine International
      • Information for Authors
      • Editorial Policies
      • Editorial Board
      • Aims and Scope
      • Abstracting and Indexing
      • Bibliographic Information
      • Archive
    • Molecular and Clinical Oncology
      • Information for Authors
      • Editorial Policies
      • Editorial Board
      • Aims and Scope
      • Abstracting and Indexing
      • Bibliographic Information
      • Archive
    • Molecular Medicine Reports
      • Information for Authors
      • Editorial Policies
      • Editorial Board
      • Aims and Scope
      • Abstracting and Indexing
      • Bibliographic Information
      • Archive
    • Oncology Letters
      • Information for Authors
      • Editorial Policies
      • Editorial Board
      • Aims and Scope
      • Abstracting and Indexing
      • Bibliographic Information
      • Archive
    • Oncology Reports
      • Information for Authors
      • Editorial Policies
      • Editorial Board
      • Aims and Scope
      • Abstracting and Indexing
      • Bibliographic Information
      • Archive
    • World Academy of Sciences Journal
      • Information for Authors
      • Editorial Policies
      • Editorial Board
      • Aims and Scope
      • Abstracting and Indexing
      • Bibliographic Information
      • Archive
  • Articles
  • Information
    • For Authors
    • For Reviewers
    • For Librarians
    • For Advertisers
    • Conferences
  • Language Editing
Login Register Submit
  • This site uses cookies
  • You can change your cookie settings at any time by following the instructions in our Cookie Policy. To find out more, you may read our Privacy Policy.

    I agree
Search articles by DOI, keyword, author or affiliation
Search
Advanced Search
presentation
Oncology Letters
Join Editorial Board Propose a Special Issue
Print ISSN: 1792-1074 Online ISSN: 1792-1082
Journal Cover
December 2012 Volume 4 Issue 6

Full Size Image

Sign up for eToc alerts
Recommend to Library

Journals

International Journal of Molecular Medicine

International Journal of Molecular Medicine

International Journal of Molecular Medicine is an international journal devoted to molecular mechanisms of human disease.

International Journal of Oncology

International Journal of Oncology

International Journal of Oncology is an international journal devoted to oncology research and cancer treatment.

Molecular Medicine Reports

Molecular Medicine Reports

Covers molecular medicine topics such as pharmacology, pathology, genetics, neuroscience, infectious diseases, molecular cardiology, and molecular surgery.

Oncology Reports

Oncology Reports

Oncology Reports is an international journal devoted to fundamental and applied research in Oncology.

Experimental and Therapeutic Medicine

Experimental and Therapeutic Medicine

Experimental and Therapeutic Medicine is an international journal devoted to laboratory and clinical medicine.

Oncology Letters

Oncology Letters

Oncology Letters is an international journal devoted to Experimental and Clinical Oncology.

Biomedical Reports

Biomedical Reports

Explores a wide range of biological and medical fields, including pharmacology, genetics, microbiology, neuroscience, and molecular cardiology.

Molecular and Clinical Oncology

Molecular and Clinical Oncology

International journal addressing all aspects of oncology research, from tumorigenesis and oncogenes to chemotherapy and metastasis.

World Academy of Sciences Journal

World Academy of Sciences Journal

Multidisciplinary open-access journal spanning biochemistry, genetics, neuroscience, environmental health, and synthetic biology.

International Journal of Functional Nutrition

International Journal of Functional Nutrition

Open-access journal combining biochemistry, pharmacology, immunology, and genetics to advance health through functional nutrition.

International Journal of Epigenetics

International Journal of Epigenetics

Publishes open-access research on using epigenetics to advance understanding and treatment of human disease.

Medicine International

Medicine International

An International Open Access Journal Devoted to General Medicine.

Journal Cover
December 2012 Volume 4 Issue 6

Full Size Image

Sign up for eToc alerts
Recommend to Library

  • Article
  • Citations
    • Cite This Article
    • Download Citation
    • Create Citation Alert
    • Remove Citation Alert
    • Cited By
  • Similar Articles
    • Related Articles (in Spandidos Publications)
    • Similar Articles (Google Scholar)
    • Similar Articles (PubMed)
  • Download PDF
  • Download XML
  • View XML
Case Report

Leiomyoma of the gallbladder in a patient with metastatic gastrointestinal stromal tumor in the liver: A case report with differential diagnostic considerations

  • Authors:
    • Mitsuaki Ishida
    • Hisanori Shiomi
    • Shigeyuki Naka
    • Tohru Tani
    • Hidetoshi Okabe
  • View Affiliations / Copyright

    Affiliations: Department of Clinical Laboratory Medicine and Division of Diagnostic Pathology, Otsu, Shiga 520‑2192, Japan, Department of Surgery, Shiga University of Medical Science, Otsu, Shiga 520‑2192, Japan
  • Pages: 1171-1173
    |
    Published online on: September 12, 2012
       https://doi.org/10.3892/ol.2012.910
  • Expand metrics +
Metrics: Total Views: 0 (Spandidos Publications: | PMC Statistics: )
Metrics: Total PDF Downloads: 0 (Spandidos Publications: | PMC Statistics: )
Cited By (CrossRef): 0 citations Loading Articles...

This article is mentioned in:



Abstract

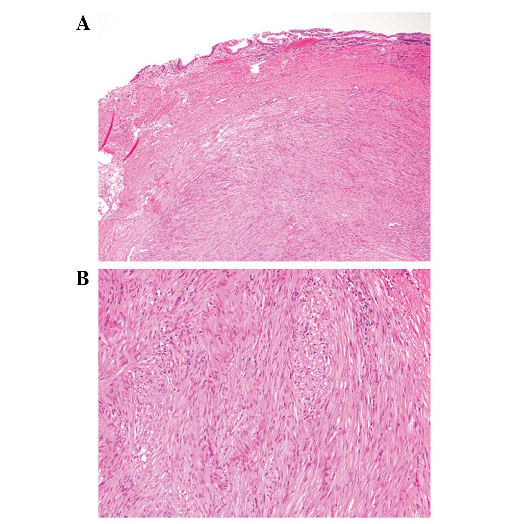
Mesenchymal tumor of the gallbladder is rare and the majority of cases present as sarcomas. Benign mesenchymal tumors of the gallbladder are extremely rare and to date, only one case of leiomyoma has been reported. In this report, we describe a second case of leiomyoma of the gallbladder, and discuss the differential diagnostic considerations. A 55‑year‑old female with metastatic gastrointestinal stromal tumors (GISTs) in the liver was identified to possess a tumorous lesion of the gallbladder. The patient had previously received a partial gastrectomy for GIST, and multiple liver metastases were revealed. Following surgery, imatinib was administered, and the liver metastatic lesions were stabilized. Histopathological analysis of the resected gallbladder specimens revealed that the nodule arose from the muscular layer, and was composed of spindle cell proliferation with eosinophilic cytoplasm and bland cigar‑shaped nuclei. Mitotic figures were rarely noted, and necrosis was not observed. Immunohistochemical analyses demonstrated that the tumor cells were positive for desmin and alpha‑smooth muscle actin, but negative for CD117 and CD34. In accordance with these results, a final diagnosis of leiomyoma of the gallbladder was made. The present case is unique since the patient possessed multiple metastatic GISTs in the liver, and the gallbladder nodule was preoperatively suspected to be a metastatic GIST. Leiomyoma of the gallbladder is extremely rare; however, it may be an underrecognized entity. Thus, it is important to differentiate leiomyoma from GIST to avoid unnecessary clinical follow‑up and treatment.
View Figures

Figure 1

Figure 2

View References

1. 

A DuffyM CapanuGK Abou-AlfaGallbladder cancer (GBC): 10-year experience at Memorial Sloan-Kettering Cancer Centre (MSKCC)J Surg Oncol98485489200818802958

2. 

M MiettinenCDM FletcherLG KindblomMesenchymal tumours of the gallbladder and extrahepatic bile ductsWHO Classification of Tumours of the Digestive SystemFT BosmanF CarneiroRH HrubanND TheiseIARCLyon2772010

3. 

DL WachterMJ BüttnerK GrimmA HartmannA AgaimyLeiomyoma of the gallbladder: a case report with review of the literature and discussion of the differential diagnosisJ Clin Pathol63177179201010.1136/jcp.2009.07064920154041

4. 

M MiettinenJ LasotaGastrointestinal stromal tumors: pathology and prognosis at different sitesSemin Diagn Pathol237083200610.1053/j.semdp.2006.09.00117193820

5. 

WI Al-DarajiHR MakhloufM MiettinenPrimary gallbladder sarcoma: a clinicopathologic study of 15 cases, heterogeneous sarcomas with poor outcome, except pediatric botryoid rhabdomyosarcomaAm J Surg Pathol33826834200910.1097/PAS.0b013e3181937bb3

6. 

ID PeerlinckTT IrvinPT SarsfieldJM HaringtonGIST (gastro-intestinal stromal tumour) of the gallbladder: a case reportActa Chir Belg104107109200415053476

Related Articles

  • Abstract
  • View
  • Download
  • Twitter
Copy and paste a formatted citation
Spandidos Publications style
Ishida M, Shiomi H, Naka S, Tani T and Okabe H: Leiomyoma of the gallbladder in a patient with metastatic gastrointestinal stromal tumor in the liver: A case report with differential diagnostic considerations. Oncol Lett 4: 1171-1173, 2012.
APA
Ishida, M., Shiomi, H., Naka, S., Tani, T., & Okabe, H. (2012). Leiomyoma of the gallbladder in a patient with metastatic gastrointestinal stromal tumor in the liver: A case report with differential diagnostic considerations. Oncology Letters, 4, 1171-1173. https://doi.org/10.3892/ol.2012.910
MLA
Ishida, M., Shiomi, H., Naka, S., Tani, T., Okabe, H."Leiomyoma of the gallbladder in a patient with metastatic gastrointestinal stromal tumor in the liver: A case report with differential diagnostic considerations". Oncology Letters 4.6 (2012): 1171-1173.
Chicago
Ishida, M., Shiomi, H., Naka, S., Tani, T., Okabe, H."Leiomyoma of the gallbladder in a patient with metastatic gastrointestinal stromal tumor in the liver: A case report with differential diagnostic considerations". Oncology Letters 4, no. 6 (2012): 1171-1173. https://doi.org/10.3892/ol.2012.910
Copy and paste a formatted citation
x
Spandidos Publications style
Ishida M, Shiomi H, Naka S, Tani T and Okabe H: Leiomyoma of the gallbladder in a patient with metastatic gastrointestinal stromal tumor in the liver: A case report with differential diagnostic considerations. Oncol Lett 4: 1171-1173, 2012.
APA
Ishida, M., Shiomi, H., Naka, S., Tani, T., & Okabe, H. (2012). Leiomyoma of the gallbladder in a patient with metastatic gastrointestinal stromal tumor in the liver: A case report with differential diagnostic considerations. Oncology Letters, 4, 1171-1173. https://doi.org/10.3892/ol.2012.910
MLA
Ishida, M., Shiomi, H., Naka, S., Tani, T., Okabe, H."Leiomyoma of the gallbladder in a patient with metastatic gastrointestinal stromal tumor in the liver: A case report with differential diagnostic considerations". Oncology Letters 4.6 (2012): 1171-1173.
Chicago
Ishida, M., Shiomi, H., Naka, S., Tani, T., Okabe, H."Leiomyoma of the gallbladder in a patient with metastatic gastrointestinal stromal tumor in the liver: A case report with differential diagnostic considerations". Oncology Letters 4, no. 6 (2012): 1171-1173. https://doi.org/10.3892/ol.2012.910
Follow us
  • Twitter
  • LinkedIn
  • Facebook
About
  • Spandidos Publications
  • Careers
  • Cookie Policy
  • Privacy Policy
How can we help?
  • Help
  • Live Chat
  • Contact
  • Email to our Support Team