Spandidos Publications Logo
  • About
    • About Spandidos
    • Aims and Scopes
    • Abstracting and Indexing
    • Editorial Policies
    • Reprints and Permissions
    • Job Opportunities
    • Terms and Conditions
    • Contact
  • Journals
    • All Journals
    • Oncology Letters
      • Oncology Letters
      • Information for Authors
      • Editorial Policies
      • Editorial Board
      • Aims and Scope
      • Abstracting and Indexing
      • Bibliographic Information
      • Archive
    • International Journal of Oncology
      • International Journal of Oncology
      • Information for Authors
      • Editorial Policies
      • Editorial Board
      • Aims and Scope
      • Abstracting and Indexing
      • Bibliographic Information
      • Archive
    • Molecular and Clinical Oncology
      • Molecular and Clinical Oncology
      • Information for Authors
      • Editorial Policies
      • Editorial Board
      • Aims and Scope
      • Abstracting and Indexing
      • Bibliographic Information
      • Archive
    • Experimental and Therapeutic Medicine
      • Experimental and Therapeutic Medicine
      • Information for Authors
      • Editorial Policies
      • Editorial Board
      • Aims and Scope
      • Abstracting and Indexing
      • Bibliographic Information
      • Archive
    • International Journal of Molecular Medicine
      • International Journal of Molecular Medicine
      • Information for Authors
      • Editorial Policies
      • Editorial Board
      • Aims and Scope
      • Abstracting and Indexing
      • Bibliographic Information
      • Archive
    • Biomedical Reports
      • Biomedical Reports
      • Information for Authors
      • Editorial Policies
      • Editorial Board
      • Aims and Scope
      • Abstracting and Indexing
      • Bibliographic Information
      • Archive
    • Oncology Reports
      • Oncology Reports
      • Information for Authors
      • Editorial Policies
      • Editorial Board
      • Aims and Scope
      • Abstracting and Indexing
      • Bibliographic Information
      • Archive
    • Molecular Medicine Reports
      • Molecular Medicine Reports
      • Information for Authors
      • Editorial Policies
      • Editorial Board
      • Aims and Scope
      • Abstracting and Indexing
      • Bibliographic Information
      • Archive
    • World Academy of Sciences Journal
      • World Academy of Sciences Journal
      • Information for Authors
      • Editorial Policies
      • Editorial Board
      • Aims and Scope
      • Abstracting and Indexing
      • Bibliographic Information
      • Archive
    • International Journal of Functional Nutrition
      • International Journal of Functional Nutrition
      • Information for Authors
      • Editorial Policies
      • Editorial Board
      • Aims and Scope
      • Abstracting and Indexing
      • Bibliographic Information
      • Archive
    • International Journal of Epigenetics
      • International Journal of Epigenetics
      • Information for Authors
      • Editorial Policies
      • Editorial Board
      • Aims and Scope
      • Abstracting and Indexing
      • Bibliographic Information
      • Archive
    • Medicine International
      • Medicine International
      • Information for Authors
      • Editorial Policies
      • Editorial Board
      • Aims and Scope
      • Abstracting and Indexing
      • Bibliographic Information
      • Archive
  • Articles
  • Information
    • Information for Authors
    • Information for Reviewers
    • Information for Librarians
    • Information for Advertisers
    • Conferences
  • Language Editing
Spandidos Publications Logo
  • About
    • About Spandidos
    • Aims and Scopes
    • Abstracting and Indexing
    • Editorial Policies
    • Reprints and Permissions
    • Job Opportunities
    • Terms and Conditions
    • Contact
  • Journals
    • All Journals
    • Biomedical Reports
      • Information for Authors
      • Editorial Policies
      • Editorial Board
      • Aims and Scope
      • Abstracting and Indexing
      • Bibliographic Information
      • Archive
    • Experimental and Therapeutic Medicine
      • Information for Authors
      • Editorial Policies
      • Editorial Board
      • Aims and Scope
      • Abstracting and Indexing
      • Bibliographic Information
      • Archive
    • International Journal of Epigenetics
      • Information for Authors
      • Editorial Policies
      • Editorial Board
      • Aims and Scope
      • Abstracting and Indexing
      • Bibliographic Information
      • Archive
    • International Journal of Functional Nutrition
      • Information for Authors
      • Editorial Policies
      • Editorial Board
      • Aims and Scope
      • Abstracting and Indexing
      • Bibliographic Information
      • Archive
    • International Journal of Molecular Medicine
      • Information for Authors
      • Editorial Policies
      • Editorial Board
      • Aims and Scope
      • Abstracting and Indexing
      • Bibliographic Information
      • Archive
    • International Journal of Oncology
      • Information for Authors
      • Editorial Policies
      • Editorial Board
      • Aims and Scope
      • Abstracting and Indexing
      • Bibliographic Information
      • Archive
    • Medicine International
      • Information for Authors
      • Editorial Policies
      • Editorial Board
      • Aims and Scope
      • Abstracting and Indexing
      • Bibliographic Information
      • Archive
    • Molecular and Clinical Oncology
      • Information for Authors
      • Editorial Policies
      • Editorial Board
      • Aims and Scope
      • Abstracting and Indexing
      • Bibliographic Information
      • Archive
    • Molecular Medicine Reports
      • Information for Authors
      • Editorial Policies
      • Editorial Board
      • Aims and Scope
      • Abstracting and Indexing
      • Bibliographic Information
      • Archive
    • Oncology Letters
      • Information for Authors
      • Editorial Policies
      • Editorial Board
      • Aims and Scope
      • Abstracting and Indexing
      • Bibliographic Information
      • Archive
    • Oncology Reports
      • Information for Authors
      • Editorial Policies
      • Editorial Board
      • Aims and Scope
      • Abstracting and Indexing
      • Bibliographic Information
      • Archive
    • World Academy of Sciences Journal
      • Information for Authors
      • Editorial Policies
      • Editorial Board
      • Aims and Scope
      • Abstracting and Indexing
      • Bibliographic Information
      • Archive
  • Articles
  • Information
    • For Authors
    • For Reviewers
    • For Librarians
    • For Advertisers
    • Conferences
  • Language Editing
Login Register Submit
  • This site uses cookies
  • You can change your cookie settings at any time by following the instructions in our Cookie Policy. To find out more, you may read our Privacy Policy.

    I agree
Search articles by DOI, keyword, author or affiliation
Search
Advanced Search
presentation
Oncology Letters
Join Editorial Board Propose a Special Issue
Print ISSN: 1792-1074 Online ISSN: 1792-1082
Journal Cover
January 2013 Volume 5 Issue 1

Full Size Image

Sign up for eToc alerts
Recommend to Library

Journals

International Journal of Molecular Medicine

International Journal of Molecular Medicine

International Journal of Molecular Medicine is an international journal devoted to molecular mechanisms of human disease.

International Journal of Oncology

International Journal of Oncology

International Journal of Oncology is an international journal devoted to oncology research and cancer treatment.

Molecular Medicine Reports

Molecular Medicine Reports

Covers molecular medicine topics such as pharmacology, pathology, genetics, neuroscience, infectious diseases, molecular cardiology, and molecular surgery.

Oncology Reports

Oncology Reports

Oncology Reports is an international journal devoted to fundamental and applied research in Oncology.

Experimental and Therapeutic Medicine

Experimental and Therapeutic Medicine

Experimental and Therapeutic Medicine is an international journal devoted to laboratory and clinical medicine.

Oncology Letters

Oncology Letters

Oncology Letters is an international journal devoted to Experimental and Clinical Oncology.

Biomedical Reports

Biomedical Reports

Explores a wide range of biological and medical fields, including pharmacology, genetics, microbiology, neuroscience, and molecular cardiology.

Molecular and Clinical Oncology

Molecular and Clinical Oncology

International journal addressing all aspects of oncology research, from tumorigenesis and oncogenes to chemotherapy and metastasis.

World Academy of Sciences Journal

World Academy of Sciences Journal

Multidisciplinary open-access journal spanning biochemistry, genetics, neuroscience, environmental health, and synthetic biology.

International Journal of Functional Nutrition

International Journal of Functional Nutrition

Open-access journal combining biochemistry, pharmacology, immunology, and genetics to advance health through functional nutrition.

International Journal of Epigenetics

International Journal of Epigenetics

Publishes open-access research on using epigenetics to advance understanding and treatment of human disease.

Medicine International

Medicine International

An International Open Access Journal Devoted to General Medicine.

Journal Cover
January 2013 Volume 5 Issue 1

Full Size Image

Sign up for eToc alerts
Recommend to Library

  • Article
  • Citations
    • Cite This Article
    • Download Citation
    • Create Citation Alert
    • Remove Citation Alert
    • Cited By
  • Similar Articles
    • Related Articles (in Spandidos Publications)
    • Similar Articles (Google Scholar)
    • Similar Articles (PubMed)
  • Download PDF
  • Download XML
  • View XML
Case Report

Sporadic renal haemangioblastoma: Case report and review of the literature

  • Authors:
    • Yadong Wang
    • Can Wei
    • Lisha Mou
    • Qiang Zhang
    • Zhiwen  Cui
    • Xianxin Li
    • Jiongxian Ye
    • Yongqing Lai
  • View Affiliations / Copyright

    Affiliations: Department of Urology, Peking University Shenzhen Hospital, Shenzhen PKU-HKUST Medical Center, Shenzhen 518036, P.R. China, Department of Urology, Peking University Shenzhen Hospital, Shenzhen PKU-HKUST Medical Center, Shenzhen 518036, P.R. China, Guangdong Key Laboratory of Male Reproductive Medicine and Genetics, Peking University Shenzhen Hospital, Shenzhen PKU-HKUST Medical Center, Shenzhen 518036, P.R. China , Hong Kong University Shenzhen Hospital, Shenzhen 518053, P.R. China
  • Pages: 360-362
    |
    Published online on: September 27, 2012
       https://doi.org/10.3892/ol.2012.942
  • Expand metrics +
Metrics: Total Views: 0 (Spandidos Publications: | PMC Statistics: )
Metrics: Total PDF Downloads: 0 (Spandidos Publications: | PMC Statistics: )
Cited By (CrossRef): 0 citations Loading Articles...

This article is mentioned in:



Abstract

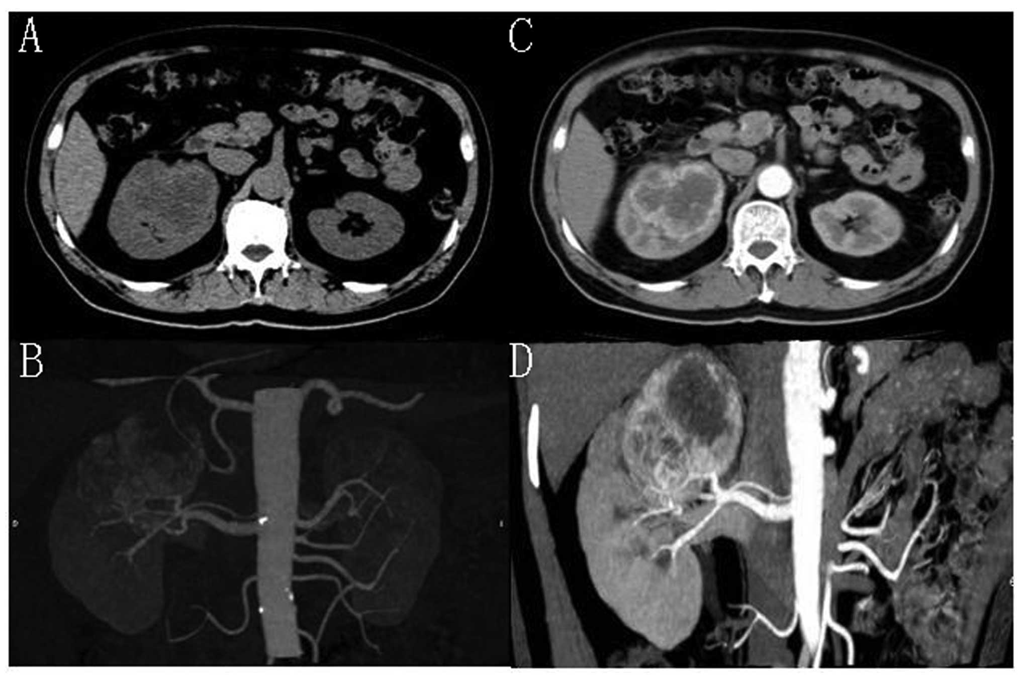
Haemangioblastoma is a benign tumour which generally occurs in a relatively restricted area of the central nervous system. Renal haemangioblastoma are extremely rare. We report a rare case of renal haemangioblastoma occurring in a 61-year-old male with a solid mass, which was detected during a routine examination. The patient was asymptomatic and abdominal computed tomography (CT) revealed a solid mass in the right kidney. No definitive preoperative diagnosis could be established. Surgical resection of the tumour revealed sporadic renal haemangioblastoma by pathological examination. The patient was followed up at 1 year without any problems. We also present a supplementary review of previously published cases and literature.
View Figures

Figure 1

View References

1 

Karabagli H, Karabagli P, Alpman A and Durmaz B: Congenital supratentorial cystic hemangioblastoma. Case report and review of the literature. J Neurosurg. 107(Suppl 6): 515–518. 2007.PubMed/NCBI

2 

Hussein MR: Central nervous system capillary haemangioblastoma: the pathologist's viewpoint. Int J Exp Pathol. 88:311–324. 2007.PubMed/NCBI

3 

Wang CC, Wang SM and Liau JY: Sporadic hemangioblastoma of the kidney in a 29-year-old man. Int J Surg Pathol. Jan 23–2012.(Epub ahead of print).

4 

Liu Y, Qiu XS and Wang EH: Sporadic hemangioblastoma of the kidney: a rare renal tumor. Diagn Pathol. May 1–2012.(Epub ahead of print).

5 

Ip YT, Yuan JQ, Cheung H and Chan JK: Sporadic hemangioblastoma of the kidney: an underrecognized pseudomalignant tumor? Am J Surg Pathol. 34:1695–1700. 2010.PubMed/NCBI

6 

Verine J, Sandid W, Miquel C, Vignaud JM and Mongiat-Artus P: Sporadic hemangioblastoma of the kidney: an underrecognized pseudomalignant tumor? Am J Surg Pathol. 35:623–624. 2011. View Article : Google Scholar : PubMed/NCBI

7 

Zagoria RJ and Dyer RB: The small renal mass: detection, characterization, and management. Abdom Imaging. 23:256–265. 1998. View Article : Google Scholar : PubMed/NCBI

8 

Nonaka D, Rodriguez J and Rosai J: Extraneural hemangioblastoma: a report of 5 cases. Am J Surg Pathol. 31:1545–1551. 2007. View Article : Google Scholar : PubMed/NCBI

Related Articles

  • Abstract
  • View
  • Download
  • Twitter
Copy and paste a formatted citation
Spandidos Publications style
Wang Y, Wei C, Mou L, Zhang Q, Cui Z, Li X, Ye J and Lai Y: Sporadic renal haemangioblastoma: Case report and review of the literature. Oncol Lett 5: 360-362, 2013.
APA
Wang, Y., Wei, C., Mou, L., Zhang, Q., Cui, Z., Li, X. ... Lai, Y. (2013). Sporadic renal haemangioblastoma: Case report and review of the literature. Oncology Letters, 5, 360-362. https://doi.org/10.3892/ol.2012.942
MLA
Wang, Y., Wei, C., Mou, L., Zhang, Q., Cui, Z., Li, X., Ye, J., Lai, Y."Sporadic renal haemangioblastoma: Case report and review of the literature". Oncology Letters 5.1 (2013): 360-362.
Chicago
Wang, Y., Wei, C., Mou, L., Zhang, Q., Cui, Z., Li, X., Ye, J., Lai, Y."Sporadic renal haemangioblastoma: Case report and review of the literature". Oncology Letters 5, no. 1 (2013): 360-362. https://doi.org/10.3892/ol.2012.942
Copy and paste a formatted citation
x
Spandidos Publications style
Wang Y, Wei C, Mou L, Zhang Q, Cui Z, Li X, Ye J and Lai Y: Sporadic renal haemangioblastoma: Case report and review of the literature. Oncol Lett 5: 360-362, 2013.
APA
Wang, Y., Wei, C., Mou, L., Zhang, Q., Cui, Z., Li, X. ... Lai, Y. (2013). Sporadic renal haemangioblastoma: Case report and review of the literature. Oncology Letters, 5, 360-362. https://doi.org/10.3892/ol.2012.942
MLA
Wang, Y., Wei, C., Mou, L., Zhang, Q., Cui, Z., Li, X., Ye, J., Lai, Y."Sporadic renal haemangioblastoma: Case report and review of the literature". Oncology Letters 5.1 (2013): 360-362.
Chicago
Wang, Y., Wei, C., Mou, L., Zhang, Q., Cui, Z., Li, X., Ye, J., Lai, Y."Sporadic renal haemangioblastoma: Case report and review of the literature". Oncology Letters 5, no. 1 (2013): 360-362. https://doi.org/10.3892/ol.2012.942
Follow us
  • Twitter
  • LinkedIn
  • Facebook
About
  • Spandidos Publications
  • Careers
  • Cookie Policy
  • Privacy Policy
How can we help?
  • Help
  • Live Chat
  • Contact
  • Email to our Support Team