International Journal of Molecular Medicine is an international journal devoted to molecular mechanisms of human disease.
International Journal of Oncology is an international journal devoted to oncology research and cancer treatment.
Covers molecular medicine topics such as pharmacology, pathology, genetics, neuroscience, infectious diseases, molecular cardiology, and molecular surgery.
Oncology Reports is an international journal devoted to fundamental and applied research in Oncology.
Experimental and Therapeutic Medicine is an international journal devoted to laboratory and clinical medicine.
Oncology Letters is an international journal devoted to Experimental and Clinical Oncology.
Explores a wide range of biological and medical fields, including pharmacology, genetics, microbiology, neuroscience, and molecular cardiology.
International journal addressing all aspects of oncology research, from tumorigenesis and oncogenes to chemotherapy and metastasis.
Multidisciplinary open-access journal spanning biochemistry, genetics, neuroscience, environmental health, and synthetic biology.
Open-access journal combining biochemistry, pharmacology, immunology, and genetics to advance health through functional nutrition.
Publishes open-access research on using epigenetics to advance understanding and treatment of human disease.
An International Open Access Journal Devoted to General Medicine.
The most common site of breast cancer metastasis is the bone. Other common metastatic sites include the lungs, pleura, liver and brain (1). The majority of metastatic lesions occur shortly after the detection of the primary tumor (2). Metastasis to the thyroid gland is rare (3). The thyroid gland is also a rare site for metastatic disease to develop (4,5) and metastatic lesions from non-thyroid cancers are infrequent. However, since treatment strategies used to control primary and metastatic malignancies are different, accurate diagnosis appears important and may influence the prognosis and likelihood of a cure for lesions of the thyroid. Therefore, when encountering a patient with thyroid tumor, and with a long history of breast cancer, clinicians should be aware of the possibility of metastatic disease, until such a diagnosis can be ruled out. Then, besides collecting full clinical information, further histological analysis should be performed. Here, we report a case of thyroid metastasis arising from breast cancer. The thyroid metastasis appeared 3 years after the initial diagnosis of breast carcinoma and was confirmed by histopathological analysis.
The patient, a 45-year-old female, was diagnosed with an infiltrating ductal carcinoma in the right breast (cT3N1M0) by fine needle aspiration biopsy in June 2009. The patient subsequently received six cycles of neoadjuvant chemotherapy. A follow-up mammectomy was performed in November 2009. In June 2012, the patient presented with palpable masses on the right thyroid, isthmus and lateral neck. Subsequently, the patient underwent a bilateral subtotal thyroidectomy and lymphadenectomy. Histological assessment of the surgical thyroid specimens and the neck lymph nodes revealed multiple carcinoma foci. The microscopic and immunohistochemical findings confirmed that the thyroid masses were breast cancer metastases.
The primary lesion excised from the right breast was a 20×18×15-mm infiltrating ductal carcinoma. The metastases excised from the right and left thyroid three years later were 30×20×15 and 20×15×12 mm in size, respectively, and the lymph nodes contained sheets of metastatic carcinoma (4/9). The diagnosis of metastatic carcinoma was made based on immunostaining data for the estrogen receptor (ER), progesterone receptor (PR) and CerbB-2 in neoplastic cells. Additionally, staining for thyroglobulin (TG) and thyroid transcription factor 1 (TTF-1), which are expressed in the thyroid gland but not in breast cancer tissue, was performed to differentiate the thyroid component from neoplastic breast cells.
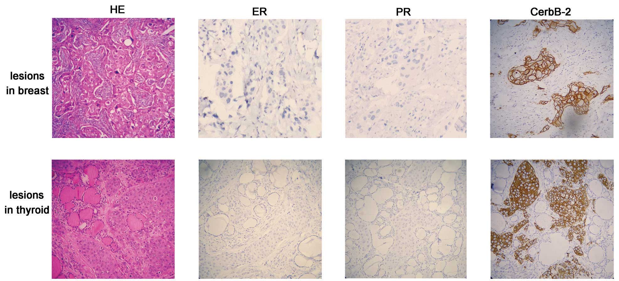
Histologically, pleomorphic tumor cells from the breast carcinoma metastasis were intermingled with the thyroid follicles (Fig. 1, hematoxylin and eosin staining of the adenocarcinoma tissue in the breast and thyroid gland). In the thyroid gland, clusters of metastatic breast carcinoma cells were surrounded by a normal thyroid component. Tumor cells in metastatic foci exhibited negative staining for the ER and PR and strong positive staining for CerbB-2, similar to the staining pattern of the primary breast lesion. The adjacent normal thyroid tissue was positive for TTF-1 (Fig. 2, lower panel, region IV) and TG (Fig. 2, lower panel, region II); however, the metastatic tumor cells were negative for both markers (Fig. 2, lower panel, regions III and I). These two markers indicate that the cancer lesions did not originate from the thyroid component.
This study reports the observation of an uncommon metastatic site (thyroid gland) of breast carcinoma in a patient with a three-year history of breast cancer. Clinically evident metastases of non-thyroid malignancies to the thyroid gland are uncommon and usually, patients with metastatic thyroid lesions present with similar symptoms to primary lesions. Particularly in breast cancer, metastasis to the thyroid gland is rarely observed. In addition, given the long interval between the primary cancer and subsequent thyroid metastases, diagnosis of thyroid metastasis from breast carcinoma may be difficult. However, importantly, the diagnosis influences the prognosis and likelihood of a cure for lesions of the thyroid gland, and the treatment strategy used to control metastatic breast carcinoma is different from that used to treat primary thyroid malignancies. Therefore, a diagnosis of metastatic disease should be considered when new aggregates are identified in the thyroid glands of patients with a long-term history of breast cancer, until such a diagnosis can be ruled out.
To ascertain metastatic breast carcinoma in the thyroid gland, immunohistochemistry should be performed for the detection of specific markers. There are at least two types of marker that are required to be evaluated; the markers which possess a similar expression status in original and metastatic lesions and those that are capable of differentiating between metastatic lesions and the surrounding thyroid components. Clinically, ER, PR and CerbB-2 (HER2/neu) statuses are known to be correlated with breast cancer. As they provide important therapeutic and prognostic markers in the management of breast carcinoma (6), they are routinely evaluated. In this study, immunohistochemical staining of the ER, PR and CerbB-2 in postoperative thy roid specimens of patients were performed and they all demonstrated a similar expression pattern with primary breast carcinoma; negative for ER and PR, and strongly positive for CerbB-2 (Fig. 1).
Furthermore, TG (7) and TTF-1 (8), the functional markers for medullary thyroid carcinoma, are useful to distinguish breast metastatic lesions from primary thyroid lesions. As shown in Fig. 2, normal thyroid follicular cells, but not malignant cells, are stained strongly for TG and TTF-1, which confirms that lesions are not thyroid in origin.
Based on the present study, we conclude that although knowledge of a patient’s complete clinical history is extremely useful, immunohistopathological analysis should be performed to confirm the diagnosis of metastatic breast cancer. Negative immunohistochemical staining for TG and TTF-1 in the thyroid lesions and similar staining results for ER, PR and CerbB-2 in breast and thyroid lesions may aid the diagnosis of thyroid carcinoma derived from metastatic breast cancer.
This study was supported by a grant from the National Natural Science Foundation of China (No. 81202076).
|
Irvin W Jr, Muss HB and Mayer DK: Symptom management in metastatic breast cancer. Oncologist. 16:1203–1214. 2011. View Article : Google Scholar : PubMed/NCBI | |
|
Lam KY and Lo CY: Metastatic tumors of the thyroid gland: a study of 79 cases in Chinese patients. Arch Pathol Lab Med. 122:37–41. 1998.PubMed/NCBI | |
|
Gerges AS, Shehata SR and Gouda IA: Metastasis to the thyroid gland; unusual site of metastasis. J Egypt Natl Canc Inst. 18:67–72. 2006.PubMed/NCBI | |
|
Chen H, Nicol TL and Udelsman R: Clinically significant, isolated metastatic disease to the thyroid gland. World J Surg. 23:177–180. 1999. View Article : Google Scholar : PubMed/NCBI | |
|
Willis RA: Metastatic Tumours in the Thyreoid Gland. Am J Pathol. 7:187–208. 1931.PubMed/NCBI | |
|
Idirisinghe PK, Thike AA, Cheok PY, et al: Hormone receptor and c-ERBB2 status in distant metastatic and locally recurrent breast cancer. Pathologic correlations and clinical significance. Am J Clin Pathol. 133:416–429. 2010. View Article : Google Scholar | |
|
Wagner K, Arciaga R, Siperstein A, et al: Thyrotropin receptor/thyroglobulin messenger ribonucleic acid in peripheral blood and fine-needle aspiration cytology: diagnostic synergy for detecting thyroid cancer. J Clin Endocrinol Metab. 90:1921–1924. 2005. View Article : Google Scholar | |
|
Katoh R, Miyagi E, Nakamura N, et al: Expression of thyroid transcription factor-1 (TTF-1) in human C cells and medullary thyroid carcinomas. Hum Pathol. 31:386–393. 2000. View Article : Google Scholar |