Spandidos Publications Logo
  • About
    • About Spandidos
    • Aims and Scopes
    • Abstracting and Indexing
    • Editorial Policies
    • Reprints and Permissions
    • Job Opportunities
    • Terms and Conditions
    • Contact
  • Journals
    • All Journals
    • Oncology Letters
      • Oncology Letters
      • Information for Authors
      • Editorial Policies
      • Editorial Board
      • Aims and Scope
      • Abstracting and Indexing
      • Bibliographic Information
      • Archive
    • International Journal of Oncology
      • International Journal of Oncology
      • Information for Authors
      • Editorial Policies
      • Editorial Board
      • Aims and Scope
      • Abstracting and Indexing
      • Bibliographic Information
      • Archive
    • Molecular and Clinical Oncology
      • Molecular and Clinical Oncology
      • Information for Authors
      • Editorial Policies
      • Editorial Board
      • Aims and Scope
      • Abstracting and Indexing
      • Bibliographic Information
      • Archive
    • Experimental and Therapeutic Medicine
      • Experimental and Therapeutic Medicine
      • Information for Authors
      • Editorial Policies
      • Editorial Board
      • Aims and Scope
      • Abstracting and Indexing
      • Bibliographic Information
      • Archive
    • International Journal of Molecular Medicine
      • International Journal of Molecular Medicine
      • Information for Authors
      • Editorial Policies
      • Editorial Board
      • Aims and Scope
      • Abstracting and Indexing
      • Bibliographic Information
      • Archive
    • Biomedical Reports
      • Biomedical Reports
      • Information for Authors
      • Editorial Policies
      • Editorial Board
      • Aims and Scope
      • Abstracting and Indexing
      • Bibliographic Information
      • Archive
    • Oncology Reports
      • Oncology Reports
      • Information for Authors
      • Editorial Policies
      • Editorial Board
      • Aims and Scope
      • Abstracting and Indexing
      • Bibliographic Information
      • Archive
    • Molecular Medicine Reports
      • Molecular Medicine Reports
      • Information for Authors
      • Editorial Policies
      • Editorial Board
      • Aims and Scope
      • Abstracting and Indexing
      • Bibliographic Information
      • Archive
    • World Academy of Sciences Journal
      • World Academy of Sciences Journal
      • Information for Authors
      • Editorial Policies
      • Editorial Board
      • Aims and Scope
      • Abstracting and Indexing
      • Bibliographic Information
      • Archive
    • International Journal of Functional Nutrition
      • International Journal of Functional Nutrition
      • Information for Authors
      • Editorial Policies
      • Editorial Board
      • Aims and Scope
      • Abstracting and Indexing
      • Bibliographic Information
      • Archive
    • International Journal of Epigenetics
      • International Journal of Epigenetics
      • Information for Authors
      • Editorial Policies
      • Editorial Board
      • Aims and Scope
      • Abstracting and Indexing
      • Bibliographic Information
      • Archive
    • Medicine International
      • Medicine International
      • Information for Authors
      • Editorial Policies
      • Editorial Board
      • Aims and Scope
      • Abstracting and Indexing
      • Bibliographic Information
      • Archive
  • Articles
  • Information
    • Information for Authors
    • Information for Reviewers
    • Information for Librarians
    • Information for Advertisers
    • Conferences
  • Language Editing
Spandidos Publications Logo
  • About
    • About Spandidos
    • Aims and Scopes
    • Abstracting and Indexing
    • Editorial Policies
    • Reprints and Permissions
    • Job Opportunities
    • Terms and Conditions
    • Contact
  • Journals
    • All Journals
    • Biomedical Reports
      • Information for Authors
      • Editorial Policies
      • Editorial Board
      • Aims and Scope
      • Abstracting and Indexing
      • Bibliographic Information
      • Archive
    • Experimental and Therapeutic Medicine
      • Information for Authors
      • Editorial Policies
      • Editorial Board
      • Aims and Scope
      • Abstracting and Indexing
      • Bibliographic Information
      • Archive
    • International Journal of Epigenetics
      • Information for Authors
      • Editorial Policies
      • Editorial Board
      • Aims and Scope
      • Abstracting and Indexing
      • Bibliographic Information
      • Archive
    • International Journal of Functional Nutrition
      • Information for Authors
      • Editorial Policies
      • Editorial Board
      • Aims and Scope
      • Abstracting and Indexing
      • Bibliographic Information
      • Archive
    • International Journal of Molecular Medicine
      • Information for Authors
      • Editorial Policies
      • Editorial Board
      • Aims and Scope
      • Abstracting and Indexing
      • Bibliographic Information
      • Archive
    • International Journal of Oncology
      • Information for Authors
      • Editorial Policies
      • Editorial Board
      • Aims and Scope
      • Abstracting and Indexing
      • Bibliographic Information
      • Archive
    • Medicine International
      • Information for Authors
      • Editorial Policies
      • Editorial Board
      • Aims and Scope
      • Abstracting and Indexing
      • Bibliographic Information
      • Archive
    • Molecular and Clinical Oncology
      • Information for Authors
      • Editorial Policies
      • Editorial Board
      • Aims and Scope
      • Abstracting and Indexing
      • Bibliographic Information
      • Archive
    • Molecular Medicine Reports
      • Information for Authors
      • Editorial Policies
      • Editorial Board
      • Aims and Scope
      • Abstracting and Indexing
      • Bibliographic Information
      • Archive
    • Oncology Letters
      • Information for Authors
      • Editorial Policies
      • Editorial Board
      • Aims and Scope
      • Abstracting and Indexing
      • Bibliographic Information
      • Archive
    • Oncology Reports
      • Information for Authors
      • Editorial Policies
      • Editorial Board
      • Aims and Scope
      • Abstracting and Indexing
      • Bibliographic Information
      • Archive
    • World Academy of Sciences Journal
      • Information for Authors
      • Editorial Policies
      • Editorial Board
      • Aims and Scope
      • Abstracting and Indexing
      • Bibliographic Information
      • Archive
  • Articles
  • Information
    • For Authors
    • For Reviewers
    • For Librarians
    • For Advertisers
    • Conferences
  • Language Editing
Login Register Submit
  • This site uses cookies
  • You can change your cookie settings at any time by following the instructions in our Cookie Policy. To find out more, you may read our Privacy Policy.

    I agree
Search articles by DOI, keyword, author or affiliation
Search
Advanced Search
presentation
Oncology Letters
Join Editorial Board Propose a Special Issue
Print ISSN: 1792-1074 Online ISSN: 1792-1082
Journal Cover
June-2016 Volume 11 Issue 6

Full Size Image

Sign up for eToc alerts
Recommend to Library

Journals

International Journal of Molecular Medicine

International Journal of Molecular Medicine

International Journal of Molecular Medicine is an international journal devoted to molecular mechanisms of human disease.

International Journal of Oncology

International Journal of Oncology

International Journal of Oncology is an international journal devoted to oncology research and cancer treatment.

Molecular Medicine Reports

Molecular Medicine Reports

Covers molecular medicine topics such as pharmacology, pathology, genetics, neuroscience, infectious diseases, molecular cardiology, and molecular surgery.

Oncology Reports

Oncology Reports

Oncology Reports is an international journal devoted to fundamental and applied research in Oncology.

Experimental and Therapeutic Medicine

Experimental and Therapeutic Medicine

Experimental and Therapeutic Medicine is an international journal devoted to laboratory and clinical medicine.

Oncology Letters

Oncology Letters

Oncology Letters is an international journal devoted to Experimental and Clinical Oncology.

Biomedical Reports

Biomedical Reports

Explores a wide range of biological and medical fields, including pharmacology, genetics, microbiology, neuroscience, and molecular cardiology.

Molecular and Clinical Oncology

Molecular and Clinical Oncology

International journal addressing all aspects of oncology research, from tumorigenesis and oncogenes to chemotherapy and metastasis.

World Academy of Sciences Journal

World Academy of Sciences Journal

Multidisciplinary open-access journal spanning biochemistry, genetics, neuroscience, environmental health, and synthetic biology.

International Journal of Functional Nutrition

International Journal of Functional Nutrition

Open-access journal combining biochemistry, pharmacology, immunology, and genetics to advance health through functional nutrition.

International Journal of Epigenetics

International Journal of Epigenetics

Publishes open-access research on using epigenetics to advance understanding and treatment of human disease.

Medicine International

Medicine International

An International Open Access Journal Devoted to General Medicine.

Journal Cover
June-2016 Volume 11 Issue 6

Full Size Image

Sign up for eToc alerts
Recommend to Library

  • Article
  • Citations
    • Cite This Article
    • Download Citation
    • Create Citation Alert
    • Remove Citation Alert
    • Cited By
  • Similar Articles
    • Related Articles (in Spandidos Publications)
    • Similar Articles (Google Scholar)
    • Similar Articles (PubMed)
  • Download PDF
  • Download XML
  • View XML
Case Report

Synchronous renal cell carcinoma metastasis to the contralateral adrenal gland and pancreas: A case report with 7-year follow-up subsequent to surgical therapy

  • Authors:
    • Cunzao Wu
    • Zhenxu Zhou
    • Xueting Ye
    • Weilie Hu
  • View Affiliations / Copyright

    Affiliations: Transplantation Center, The First Affiliated Hospital of Wenzhou Medical University, Wenzhou, Zhejiang 325003, P.R. China, Department of Urology, Guangzhou General Hospital of Guangzhou Military Command, Guangzhou, Guangdong 510010, P.R. China
  • Pages: 4144-4146
    |
    Published online on: April 28, 2016
       https://doi.org/10.3892/ol.2016.4510
  • Expand metrics +
Metrics: Total Views: 0 (Spandidos Publications: | PMC Statistics: )
Metrics: Total PDF Downloads: 0 (Spandidos Publications: | PMC Statistics: )
Cited By (CrossRef): 0 citations Loading Articles...

This article is mentioned in:



Abstract

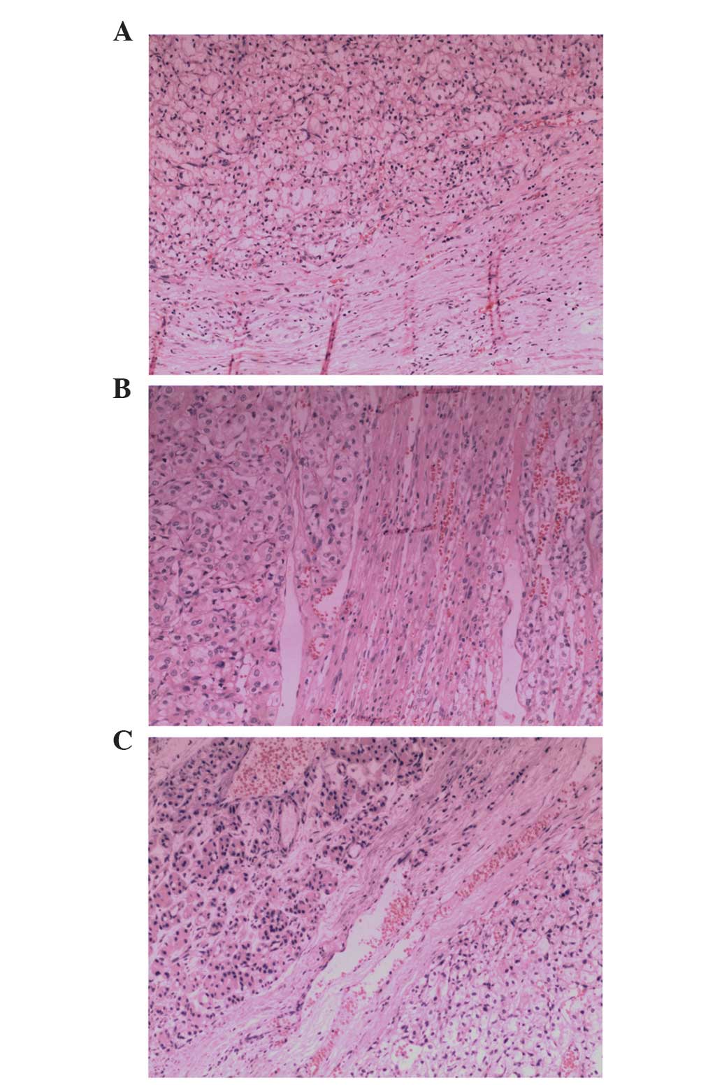
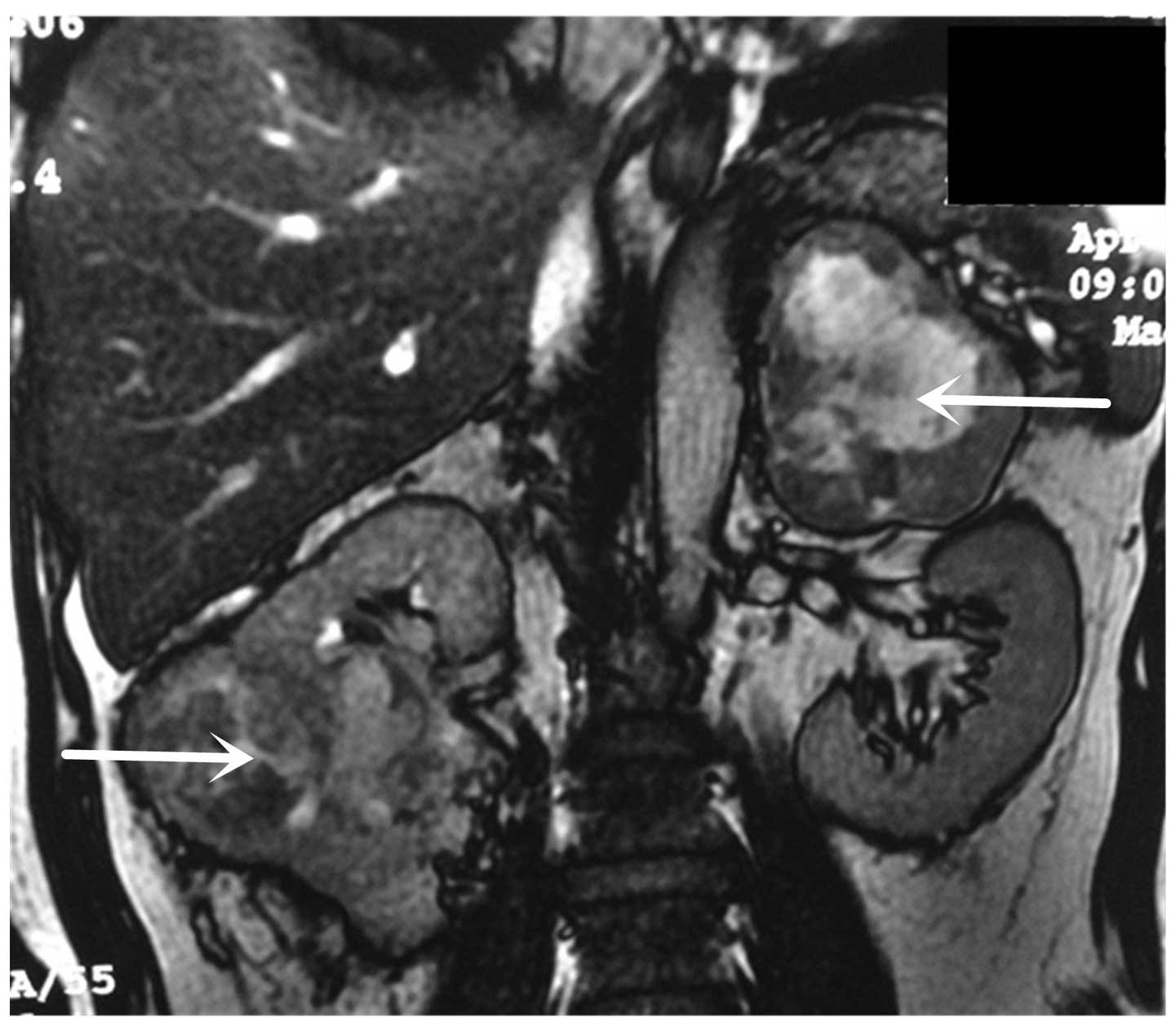
Metastatic renal cell carcinoma (RCC) disseminates to a number of organ sites and few patients demonstrate long-term survival following surgery. However, synchronous metastasis of RCC to the contralateral adrenal gland and pancreas is rare. In the present report, a case of synchronous RCC metastasis to the contralateral adrenal gland and pancreas in a 55‑year‑old patient, with an 116x92x61 mm right renal tumor and a 96x79x57 mm left adrenal lesion, is described. In April 2007, right nephrectomy was performed to treat the RCC, left adrenalectomy was performed to treat the adrenal tumor and the pancreatic metastases were resected. The patient remained alive at the 7‑year follow-up appointment.
View Figures

Figure 1

Figure 2

View References

1. 

Ljungberg B, Bensalah K, Canfield S, Dabestani S, Hofmann F, Hora M, Kuczyk MA, Lam T, Marconi L, Merseburger AS, et al: EAU guidelines on renal cell carcinoma: 2014 update. Eur Urol. 67:913–924. 2015. View Article : Google Scholar : PubMed/NCBI

2. 

Gupta K, Miller JD, Li JZ, Russell MW and Charbonneau C: Epidemiologic and socioeconomic burden of metastatic renal cell carcinoma (mRCC): A literature review. Cancer Treat Rev. 34:193–205. 2008. View Article : Google Scholar : PubMed/NCBI

3. 

Antonelli A, Cozzoli A, Simeone C, Zani D, Zanotelli T, Portesi E and Cunico Cosciani S: Surgical treatment of adrenal metastasis from renal cell carcinoma: A single-centre experience of 45 patients. BJU Int. 97:505–508. 2006. View Article : Google Scholar : PubMed/NCBI

4. 

Sellner F, Tykalsky N, De Santis M, Pont J and Klimpfinger M: Solitary and multiple isolated metastases of clear cell renal carcinoma to the pancreas: An indication for pancreatic surgery. Ann Surg Oncol. 13:75–85. 2006. View Article : Google Scholar : PubMed/NCBI

5. 

Zacharoulis D, Asopa V, Karvounis E and Williamson RC: Resection of renal metastases to the pancreas: A surgical challenge. HPB (Oxford). 5:137–141. 2003. View Article : Google Scholar : PubMed/NCBI

6. 

Kim SP, Alt AL, Weight CJ, Costello BA, Cheville JC, Lohse C, Allmer C and Leibovich BC: Independent validation of the 2010 American Joint Committee on Cancer TNM classification for renal cell carcinoma: Results from a large, single institution cohort. J Urol. 185:2035–2039. 2011. View Article : Google Scholar : PubMed/NCBI

7. 

Sotiropoulos GC, Lang H, Liu C, Brokalaki EI, Molmenti E and Broelsch CE: Surgical treatment of pancreatic metastases of renal cell carcinoma. JOP. 6:339–343. 2005.PubMed/NCBI

8. 

Moslemi MK, Saghafi H and Firoozabadi MH: Renal cell carcinoma with simultaneous bilateral adrenal metastasis: Ipsilateral radical nephrectomy with contralateral adrenal preservation. Case Rep Oncol. 3:372–379. 2010. View Article : Google Scholar : PubMed/NCBI

9. 

Sagalowsky AI, Kadesky KT, Ewalt DM and Kennedy TJ: Factors influencing adrenal metastasis in renal cell carcinoma. J Urol. 151:1181–1184. 1994.PubMed/NCBI

10. 

Dieckmann KP, Wullbrand A and Krolzig G: Contralateral adrenal metastasis in renal cell cancer. Scand J Urol Nephrol. 30:139–143. 1996. View Article : Google Scholar : PubMed/NCBI

11. 

Israel GM and Bosniak MA: How I do it: Evaluating renal masses. Radiology. 236:441–450. 2005. View Article : Google Scholar : PubMed/NCBI

12. 

Lau WK, Zincke H, Lohse CM, Cheville JC, Weaver AL and Blute ML: Contralateral adrenal metastasis of renal cell carcinoma: Treatment, outcome and a review. BJU Int. 91:775–779. 2003. View Article : Google Scholar : PubMed/NCBI

13. 

Stein A, Mecz Y, Sova Y, Lurie M and Lurie A: Synchronous and metachronous contralateral adrenal metastases from primary renal carcinoma. Urol Int. 58:58–60. 1997. View Article : Google Scholar : PubMed/NCBI

14. 

Sakorafas GH, Milingos D, Revelos K, Siafakas J, Kontopoulos P and Peros G: Isolated metachronous contralateral adrenal metastasis from renal cell carcinoma. Mt Sinai J Med. 73:822–824. 2006.PubMed/NCBI

15. 

Shonkwiler RJ and Lee JA: Laparoscopic retroperitoneal adrenalectomy. Surg Laparosc Endosc Percutan Tech. 21:243–247. 2011. View Article : Google Scholar : PubMed/NCBI

16. 

Peters I, Hora M, Herrmann TR, von Klot C, Wegener G, Stransky P, Hes O, Kuczyk MA and Merseburger AS: Incidence of synchronous and metachronous adrenal metastases following tumor nephrectomy in renal cell cancer patients: A retrospective bi-center analysis. Springerplus. 2:2932013. View Article : Google Scholar : PubMed/NCBI

17. 

Ballarin R, Spaggiari M, Cautero N, De Ruvo N, Montalti R, Longo C, Pecchi A, Giacobazzi P, De Marco G, D'Amico G, et al: Pancreatic metastases from renal cell carcinoma: The state of the art. World J Gastroenterol. 17:4747–4756. 2011. View Article : Google Scholar : PubMed/NCBI

18. 

Gilani SM, Tashjian R, Danforth R and Fathallah L: Metastatic renal cell carcinoma to the pancreas: diagnostic significance of fine-needle aspiration cytology. Acta Cytol. 57:418–422. 2013. View Article : Google Scholar : PubMed/NCBI

19. 

Lavu H and Yeo CJ: Metastatic renal cell carcinoma to the pancreas. Gastroenterol Hepatol (NY). 7:699–700. 2011.

20. 

Wente MN, Kleeff J, Esposito I, Hartel M, Müller MW, Fröhlich BE, Büchler MW and Friess H: Renal cancer cell metastasis into the pancreas: A single-center experience and overview of the literature. Pancreas. 30:218–222. 2005. View Article : Google Scholar : PubMed/NCBI

21. 

Singer EA, Gupta GN and Srinivasan R: Update on targeted therapies for clear cell renal cell carcinoma. Curr Opin Oncol. 23:283–289. 2011. View Article : Google Scholar : PubMed/NCBI

Related Articles

  • Abstract
  • View
  • Download
  • Twitter
Copy and paste a formatted citation
Spandidos Publications style
Wu C, Zhou Z, Ye X and Hu W: Synchronous renal cell carcinoma metastasis to the contralateral adrenal gland and pancreas: A case report with 7-year follow-up subsequent to surgical therapy. Oncol Lett 11: 4144-4146, 2016.
APA
Wu, C., Zhou, Z., Ye, X., & Hu, W. (2016). Synchronous renal cell carcinoma metastasis to the contralateral adrenal gland and pancreas: A case report with 7-year follow-up subsequent to surgical therapy. Oncology Letters, 11, 4144-4146. https://doi.org/10.3892/ol.2016.4510
MLA
Wu, C., Zhou, Z., Ye, X., Hu, W."Synchronous renal cell carcinoma metastasis to the contralateral adrenal gland and pancreas: A case report with 7-year follow-up subsequent to surgical therapy". Oncology Letters 11.6 (2016): 4144-4146.
Chicago
Wu, C., Zhou, Z., Ye, X., Hu, W."Synchronous renal cell carcinoma metastasis to the contralateral adrenal gland and pancreas: A case report with 7-year follow-up subsequent to surgical therapy". Oncology Letters 11, no. 6 (2016): 4144-4146. https://doi.org/10.3892/ol.2016.4510
Copy and paste a formatted citation
x
Spandidos Publications style
Wu C, Zhou Z, Ye X and Hu W: Synchronous renal cell carcinoma metastasis to the contralateral adrenal gland and pancreas: A case report with 7-year follow-up subsequent to surgical therapy. Oncol Lett 11: 4144-4146, 2016.
APA
Wu, C., Zhou, Z., Ye, X., & Hu, W. (2016). Synchronous renal cell carcinoma metastasis to the contralateral adrenal gland and pancreas: A case report with 7-year follow-up subsequent to surgical therapy. Oncology Letters, 11, 4144-4146. https://doi.org/10.3892/ol.2016.4510
MLA
Wu, C., Zhou, Z., Ye, X., Hu, W."Synchronous renal cell carcinoma metastasis to the contralateral adrenal gland and pancreas: A case report with 7-year follow-up subsequent to surgical therapy". Oncology Letters 11.6 (2016): 4144-4146.
Chicago
Wu, C., Zhou, Z., Ye, X., Hu, W."Synchronous renal cell carcinoma metastasis to the contralateral adrenal gland and pancreas: A case report with 7-year follow-up subsequent to surgical therapy". Oncology Letters 11, no. 6 (2016): 4144-4146. https://doi.org/10.3892/ol.2016.4510
Follow us
  • Twitter
  • LinkedIn
  • Facebook
About
  • Spandidos Publications
  • Careers
  • Cookie Policy
  • Privacy Policy
How can we help?
  • Help
  • Live Chat
  • Contact
  • Email to our Support Team