Spandidos Publications Logo
  • About
    • About Spandidos
    • Aims and Scopes
    • Abstracting and Indexing
    • Editorial Policies
    • Reprints and Permissions
    • Job Opportunities
    • Terms and Conditions
    • Contact
  • Journals
    • All Journals
    • Oncology Letters
      • Oncology Letters
      • Information for Authors
      • Editorial Policies
      • Editorial Board
      • Aims and Scope
      • Abstracting and Indexing
      • Bibliographic Information
      • Archive
    • International Journal of Oncology
      • International Journal of Oncology
      • Information for Authors
      • Editorial Policies
      • Editorial Board
      • Aims and Scope
      • Abstracting and Indexing
      • Bibliographic Information
      • Archive
    • Molecular and Clinical Oncology
      • Molecular and Clinical Oncology
      • Information for Authors
      • Editorial Policies
      • Editorial Board
      • Aims and Scope
      • Abstracting and Indexing
      • Bibliographic Information
      • Archive
    • Experimental and Therapeutic Medicine
      • Experimental and Therapeutic Medicine
      • Information for Authors
      • Editorial Policies
      • Editorial Board
      • Aims and Scope
      • Abstracting and Indexing
      • Bibliographic Information
      • Archive
    • International Journal of Molecular Medicine
      • International Journal of Molecular Medicine
      • Information for Authors
      • Editorial Policies
      • Editorial Board
      • Aims and Scope
      • Abstracting and Indexing
      • Bibliographic Information
      • Archive
    • Biomedical Reports
      • Biomedical Reports
      • Information for Authors
      • Editorial Policies
      • Editorial Board
      • Aims and Scope
      • Abstracting and Indexing
      • Bibliographic Information
      • Archive
    • Oncology Reports
      • Oncology Reports
      • Information for Authors
      • Editorial Policies
      • Editorial Board
      • Aims and Scope
      • Abstracting and Indexing
      • Bibliographic Information
      • Archive
    • Molecular Medicine Reports
      • Molecular Medicine Reports
      • Information for Authors
      • Editorial Policies
      • Editorial Board
      • Aims and Scope
      • Abstracting and Indexing
      • Bibliographic Information
      • Archive
    • World Academy of Sciences Journal
      • World Academy of Sciences Journal
      • Information for Authors
      • Editorial Policies
      • Editorial Board
      • Aims and Scope
      • Abstracting and Indexing
      • Bibliographic Information
      • Archive
    • International Journal of Functional Nutrition
      • International Journal of Functional Nutrition
      • Information for Authors
      • Editorial Policies
      • Editorial Board
      • Aims and Scope
      • Abstracting and Indexing
      • Bibliographic Information
      • Archive
    • International Journal of Epigenetics
      • International Journal of Epigenetics
      • Information for Authors
      • Editorial Policies
      • Editorial Board
      • Aims and Scope
      • Abstracting and Indexing
      • Bibliographic Information
      • Archive
    • Medicine International
      • Medicine International
      • Information for Authors
      • Editorial Policies
      • Editorial Board
      • Aims and Scope
      • Abstracting and Indexing
      • Bibliographic Information
      • Archive
  • Articles
  • Information
    • Information for Authors
    • Information for Reviewers
    • Information for Librarians
    • Information for Advertisers
    • Conferences
  • Language Editing
Spandidos Publications Logo
  • About
    • About Spandidos
    • Aims and Scopes
    • Abstracting and Indexing
    • Editorial Policies
    • Reprints and Permissions
    • Job Opportunities
    • Terms and Conditions
    • Contact
  • Journals
    • All Journals
    • Biomedical Reports
      • Information for Authors
      • Editorial Policies
      • Editorial Board
      • Aims and Scope
      • Abstracting and Indexing
      • Bibliographic Information
      • Archive
    • Experimental and Therapeutic Medicine
      • Information for Authors
      • Editorial Policies
      • Editorial Board
      • Aims and Scope
      • Abstracting and Indexing
      • Bibliographic Information
      • Archive
    • International Journal of Epigenetics
      • Information for Authors
      • Editorial Policies
      • Editorial Board
      • Aims and Scope
      • Abstracting and Indexing
      • Bibliographic Information
      • Archive
    • International Journal of Functional Nutrition
      • Information for Authors
      • Editorial Policies
      • Editorial Board
      • Aims and Scope
      • Abstracting and Indexing
      • Bibliographic Information
      • Archive
    • International Journal of Molecular Medicine
      • Information for Authors
      • Editorial Policies
      • Editorial Board
      • Aims and Scope
      • Abstracting and Indexing
      • Bibliographic Information
      • Archive
    • International Journal of Oncology
      • Information for Authors
      • Editorial Policies
      • Editorial Board
      • Aims and Scope
      • Abstracting and Indexing
      • Bibliographic Information
      • Archive
    • Medicine International
      • Information for Authors
      • Editorial Policies
      • Editorial Board
      • Aims and Scope
      • Abstracting and Indexing
      • Bibliographic Information
      • Archive
    • Molecular and Clinical Oncology
      • Information for Authors
      • Editorial Policies
      • Editorial Board
      • Aims and Scope
      • Abstracting and Indexing
      • Bibliographic Information
      • Archive
    • Molecular Medicine Reports
      • Information for Authors
      • Editorial Policies
      • Editorial Board
      • Aims and Scope
      • Abstracting and Indexing
      • Bibliographic Information
      • Archive
    • Oncology Letters
      • Information for Authors
      • Editorial Policies
      • Editorial Board
      • Aims and Scope
      • Abstracting and Indexing
      • Bibliographic Information
      • Archive
    • Oncology Reports
      • Information for Authors
      • Editorial Policies
      • Editorial Board
      • Aims and Scope
      • Abstracting and Indexing
      • Bibliographic Information
      • Archive
    • World Academy of Sciences Journal
      • Information for Authors
      • Editorial Policies
      • Editorial Board
      • Aims and Scope
      • Abstracting and Indexing
      • Bibliographic Information
      • Archive
  • Articles
  • Information
    • For Authors
    • For Reviewers
    • For Librarians
    • For Advertisers
    • Conferences
  • Language Editing
Login Register Submit
  • This site uses cookies
  • You can change your cookie settings at any time by following the instructions in our Cookie Policy. To find out more, you may read our Privacy Policy.

    I agree
Search articles by DOI, keyword, author or affiliation
Search
Advanced Search
presentation
Oncology Letters
Join Editorial Board Propose a Special Issue
Print ISSN: 1792-1074 Online ISSN: 1792-1082
Journal Cover
July-2016 Volume 12 Issue 1

Full Size Image

Sign up for eToc alerts
Recommend to Library

Journals

International Journal of Molecular Medicine

International Journal of Molecular Medicine

International Journal of Molecular Medicine is an international journal devoted to molecular mechanisms of human disease.

International Journal of Oncology

International Journal of Oncology

International Journal of Oncology is an international journal devoted to oncology research and cancer treatment.

Molecular Medicine Reports

Molecular Medicine Reports

Covers molecular medicine topics such as pharmacology, pathology, genetics, neuroscience, infectious diseases, molecular cardiology, and molecular surgery.

Oncology Reports

Oncology Reports

Oncology Reports is an international journal devoted to fundamental and applied research in Oncology.

Experimental and Therapeutic Medicine

Experimental and Therapeutic Medicine

Experimental and Therapeutic Medicine is an international journal devoted to laboratory and clinical medicine.

Oncology Letters

Oncology Letters

Oncology Letters is an international journal devoted to Experimental and Clinical Oncology.

Biomedical Reports

Biomedical Reports

Explores a wide range of biological and medical fields, including pharmacology, genetics, microbiology, neuroscience, and molecular cardiology.

Molecular and Clinical Oncology

Molecular and Clinical Oncology

International journal addressing all aspects of oncology research, from tumorigenesis and oncogenes to chemotherapy and metastasis.

World Academy of Sciences Journal

World Academy of Sciences Journal

Multidisciplinary open-access journal spanning biochemistry, genetics, neuroscience, environmental health, and synthetic biology.

International Journal of Functional Nutrition

International Journal of Functional Nutrition

Open-access journal combining biochemistry, pharmacology, immunology, and genetics to advance health through functional nutrition.

International Journal of Epigenetics

International Journal of Epigenetics

Publishes open-access research on using epigenetics to advance understanding and treatment of human disease.

Medicine International

Medicine International

An International Open Access Journal Devoted to General Medicine.

Journal Cover
July-2016 Volume 12 Issue 1

Full Size Image

Sign up for eToc alerts
Recommend to Library

  • Article
  • Citations
    • Cite This Article
    • Download Citation
    • Create Citation Alert
    • Remove Citation Alert
    • Cited By
  • Similar Articles
    • Related Articles (in Spandidos Publications)
    • Similar Articles (Google Scholar)
    • Similar Articles (PubMed)
  • Download PDF
  • Download XML
  • View XML
Article

Multidetector computed tomography analysis of benign and malignant nodules in patients with chronic lymphocytic thyroiditis

  • Authors:
    • Caisong Zhu
    • Wei Liu
    • Jun Yang
    • Jing Yang
    • Kangwei Shao
    • Lixin Yuan
    • Hairong Chen
    • Wei Lu
    • Ying Zhu
  • View Affiliations / Copyright

    Affiliations: Department of Radiology, Tongren Hospital, Shanghai Jiao Tong University School of Medicine, Shanghai 200336, P.R. China, Department of Pathology, Tongren Hospital, Shanghai Jiao Tong University School of Medicine, Shanghai 200336, P.R. China
  • Pages: 238-242
    |
    Published online on: May 16, 2016
       https://doi.org/10.3892/ol.2016.4585
  • Expand metrics +
Metrics: Total Views: 0 (Spandidos Publications: | PMC Statistics: )
Metrics: Total PDF Downloads: 0 (Spandidos Publications: | PMC Statistics: )
Cited By (CrossRef): 0 citations Loading Articles...

This article is mentioned in:



Abstract

The aim of the present study was to compare the multidetector computed tomography (MDCT) features of benign and malignant nodules in patients with chronic lymphocytic thyroiditis (CLT). MDCT findings, including the size, solid percentage, calcification, margin, capsule, anteroposterior-transverse diameter ratio as well as the mode and the degree of enhancement of 137 thyroid nodules in 127 CLT cases were retrospectively analyzed. Furthermore, the correlation between MDCT findings and pathological results combined with the CT perfusion imaging was analyzed for the differences between benign and malignant nodules. A total of 77.5% (31/40) of malignant nodules were completely solid, and 33% (32/97) of benign nodules were predominantly cystic. Compared with the benign nodules, micro‑calcification and internal calcification were more frequently observed in the malignant nodules (P<0.05). MDCT features such as ill‑defined margin, absence of capsule or incomplete capsule or homogeneous enhancement were more likely to be present in the malignant nodules (P<0.05). Nevertheless, no significant difference was observed in the enhancement degree at arterial or venous phase between benign and malignant nodules (P>0.05). MDCT features are useful in differentiating the benign and malignant nodules in CLT patients, and it may be essential for a radiologist to review the MDCT characteristics of nodules in the clinical practice.

Introduction

Chronic lymphocytic thyroiditis (CLT), also termed Hashimoto thyroiditis, is a type of autoimmune disease characterized by thyroid antigen response and T and B lymphocytes infiltration (1,2). Generally, 95% of CLT cases occur in women, particularly among women between 30 and 50 years of age (3). Thyroid nodule is a common disease found in the thyroid, and CTL usually coexists with benign and malignant thyroid nodules (4–6). In the majority of cases, CTL combined with malignant thyroid nodules was the reason for surgery and most patients underwent surgery following an inconclusive diagnosis (7). Therefore, it may be of significant clinical benefit to identify a method to distinguish between benign and malign thyroid nodules.

Previously, cases of CLT with thyroid nodules were typically diagnosed by ultrasonography (6,8,9) and fine needle aspiration biopsy (FNAB) (10–12). However, there remains a lack of specific sonographic features that provide a prediction value with high sensitivity and high positivity in thyroid, which makes it difficult to differentiate benign nodules from malignant nodules in CLT patients. Yang et al (13) conducted a clinical trial enrolling 1,100 patients and the authors observed that only a specificity of 75% was confirmed by using thyroid biopsy (13). Notably, a study has recommended the application of multidetector computed tomography (MDCT) in thyroid nodules diagnosis (14). However, MDCT has not previously been used to differentiate the benign from malignant nodules thyroid nodules in CLT patients.

In the present study, 137 thyroid nodules in 127 CLT patients combined with benign and malignant thyroid nodules underwent MDCT perfusion imaging. The present study retrospectively analyzed the characteristics of nodules, including the size, solid percentage, calcification, margin, capsule, anteroposterior-transverse diameter ratio as well as the mode and the degree of enhancement. In addition, the correlation between pathological results and the computed tomography (CT) perfusion imaging was also analyzed for assessing the differences between benign and malignant nodules.

Subjects and methods

Subjects

A total of 127 CTL patients (10 males and 117 females; median age, 52 years, range 19–77 years) diagnosed with thyroid nodules by palpation or B-mode ultrasound from January 2005 to December 2013 at the Tongren Hospital Affiliated to Shanghai Jiaotong University School of Medicine (Shanghai, China) were retrospectively reviewed in the study. The nodules were confirmed as benign or malignant nodules by surgery. In addition, all the patients received an MDCT scan on the thyroid less than a week prior to surgery, and the patients did not receive any treatment during the week.

The present study was approved by the hospital medical ethics committees and written informed consent was obtained from all participants.

MDCT technical parameters

The patients were placed in a supine position with hyperextended neck. All CT perfusion images were obtained using a MDCT scanner (Lightspeed Pro32 CT; GeneralElectric, Milwaukee, WI, USA) with the following parameters: 2.5-mm section thickness and section slice, and 30–35 sec scan delay at an arterial phase while 50–60 sec scan delay at a parenchymal phase. The scanning range was initially performed in a craniocaudal direction from the superior border of hyoid to the aorta arch, including the entire thyroid mass (mean coverage, 250 mm). Each patient received 100 ml of nonionic contrast material (iohexol, 300 mg/ml, GE Healthcare) via a peripheral arm vein at a flow rate of 2.5–3 ml/s and a dose of 1.5 ml/kg. After 2 sec, axial images were reconstructed at 1.25-mm increments at the end of the scan and then the coronal section was reconstructed.

Image analysis

Hard copies were analyzed by two radiologists who recorded every nodule with regard to diagnostic confidence and nodule size to correct classification into one of the size classes. Disagreement would be resolved through discussing with another experienced radiologist. The CT features were defined as follows through combining the studies by Kim et al (12) and Kang et al (15): i) Solid vs. cystic: Completely solid (>95% solid), predominantly solid (50–95% solid), predominantly cystic (1–49% solid); ii) calcification: Micro-calcification (diameter ≤2 mm), macro-calcification (diameter >2 mm), eggshell (arc-shaped or semi arc-shaped) or mixed (coexist with multiple calcification) in morphology; internal or peripheral calcification in position; iii) margins: Well-defined or ill-defined at enhancement stage; iv) capsule: Intact, incomplete, or unclear and none; v) enhancement mode: Completely cystic, not enhanced, homogeneous enhancement or heterogeneous enhancement; vi) lesion size: Maximum diameter of the lesion; vii) the ratio of anteroposterior to transverse diameter; viii) enhancement degree: The net enhancement value at arterial or venous phase was calculated by enhanced CT scan value subtracting plain CT scan value. The measurement of the CT values should avoid regions presented with cystic change, necrosis, calcification and vessels.

Hematoxylin and eosin (HE) staining

The nodule tissues of the CLT patients were fixed in 10% formalin and embedded in paraffin. Next, the tissues were cut into 5-µm consecutive sections and stained with HE. The images were observed under a Leica DM2500 fluorescence microscope (Leica Microsystems GmbH, Wetzlar, Germany).

Statistical analysis

All the statistical analyses were performed using SPSS 17.0 software (SPSS, Chicago, IL, USA). The Chi-square test was used to analyze the differences among enumeration data. Student's t-test was used for data measurement after homogeneity test of variance. A value of P<0.05 was considered to indicate a statistically significant difference.

Results

Pathological features of the lesions

Among the CTL patients, 40 cases coexisted with malignant nodules, including 26 cases of papillary cancer (Fig. 1A and B), 10 cases of microcarcinoma, 1 case of papillary cancer combined with microcarcinoma, 2 cases of medullary cancer (Fig. 2A and B), and 1 case of lymphoma. Totally, 87 CLT patients coexisted with benign nodules, including 63 cases of follicular adenoma (Fig. 3A and B), 7 cases of nodules goiter and 17 cases of nodules hyperplasia (Fig. 4A and B). In addition, among the 40 patients with malignant nodules, including 3 papillary cancer patients, 1 medullary cancer patient and 5 microcarcinoma patients combined with benign follicular adenoma at contralateral side, were also divided into benign group. Finally, 137 nodes from 127 cases were enrolled in this study, including 97 nodules from benign group and 40 nodules from malignant group.

Figure 1.

Characteristics of chronic lymphocytic thyroiditis and right lobe papillary cancer by computed tomography pathological microscopy. (A) Enhanced computed tomography suggested cystic degeneration accompanied with enhanced wall nodules with incomplete capsule and incomplete enhanced rings. (B) Papillary growth and extracapsular extension of the cancer cells, the mature lymphocytes infiltration and lymphoid follicular formation in the periphery tissues (hemotoxylin and eosin; magnification, ×40).

Figure 2.

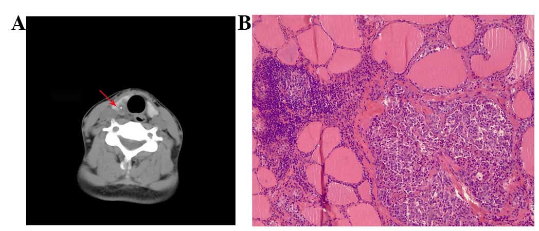
Characteristics of chronic lymphocytic thyroiditis and right lobe medullary cancer by computed tomography pathological microscopy. (A) Plain computed tomography showed low density nodule, ill-defined margin and central micro-calcification (arrow) was found at the right lobe thyroid. (B) Peninsula growth pattern of cancer cells and the cells were isolated by fibrous tissues and amyloid substance, and irregular narrow without capsule was found between cancer cells and adjacent tissues. The mature lymphocytes infiltration and lymphoid follicular formation in the periphery region (hemotoxylin and eosin; magnification, ×40).

Figure 3.

Characteristics of chronic lymphocytic thyroiditis and left lobe follicular adenoma by computed tomography pathological microscopy. (A) Enhanced computed tomography demonstrated peninsula enhancement and central cystic degeneration were observed in one nodule of left lobe. A low density halo (arrows) with well-defined margin is observed in the periphery region. (B) Pathological microscopy demonstrated that intact capsule accompanied with normal follicular pattern, characterized by homogeneous size distribution. The mature lymphocytes infiltration and lymphoid follicular formation in the peripheral region (hemotoxylin and eosin; magnification, ×40).

Figure 4.

Characteristics of chronic lymphocytic thyroiditis with cystic degeneration by computed tomography pathological microscopy. (A) Enhanced computed tomography demonstrated a diffuse decrease of density in right lobe of the thyroid with a cystic nodule. (B) Pathological microscopy showed that cystic wall formed by fibrous tissues. Mature lymphocytes infiltration was found inside cystic wall in peripheral tissues. No lymphoid follicular formation was observed (hemotoxylin and eosin; magnification, ×40).

Comparison of benign and malignant nodules within CLT

As demonstrated in Table I, there were significant differences in the CT features, including completely solid, predominantly cystic, calcification rate, micro-calcification, peripheral calcification, internal calcification, well or ill-defined margins, intact or incomplete capsule and homogenous enhancement between benign and malignant group (P<0.05). Most of the malignant nodules showed completely solid composition (31/40), and none of samples among malignant was predominantly cystic. However, only 33% (32/97) of the predominantly cystic composition were found in benign nodules. Compared with the benign nodules, calcification was more frequently observed in malignant nodules (37.5 vs. 21.6%), mainly exhibiting as micro-calcification (22.5 vs. 5.2%) and internal calcification (88.2 vs. 19.0%). Well-defined (76.3%) and intact capsule (63.9%) were present in most of benign nodules. There was a trend towards ill-defined margin (75.0%), unclear (65.0%) or incomplete (27.5%) capsule in most of malignant nodules. Among malignant nodules, 7 presented with incomplete enhanced ring. Among the heterogeneous benign nodules, 16 were peninsula-like enhancement which has irregular low density area in the periphery region or significantly enhanced nodules in the central region, while only 7 patients in the malignant group presented peninsula-like enhancement. In addition, the incidence of malignant nodules was significantly higher than the benign nodules (55.0 vs. 25.8%, P<0.05) among the homogeneous nodules.

Table I.

Comparison of multi-slice computer tomography features of benign and malignant nodules.

Table I.

Comparison of multi-slice computer tomography features of benign and malignant nodules.

Nodule characteristicBenign (%)Malignant (%)χ2 valueP-value
Solid vs. cystic
  Completely solid32.0 (31/97)77.5 (31/40)23.709<0.001
  Predominantly solid35.0 (34/97)22.5 (9/40)2.0720.150
  Predominantly cystic33.0 (32/97)0 (0/40)17.217<0.001
Calcifications
  Incidence21.6 (21/97)37.5 (17/40)6.1430.013
  Micro5.2 (5/97)22.5 (11/40)11.6290.001
  Macro8.2 (8/97)7.5 (3/40)0.0001.000
  Eggshell2.1 (2/97)2.5 (1/40)0.0001.000
  Mixed6.2 (6/97)5 (2/40)0.0001.000
  Internal19.0 (4/21)88.2 (15/17)17.989<0.001
  Peripheral81.0 (17/21)11.8 (2/17)17.989<0.001
Margins
  Well-defined76.3 (74/97)25.0 (10/40)31.408<0.001
  Ill-defined23.7 (23/97)75.0 (30/40)31.408<0.001
Capsule
  Intact63.9 (62/97)7.5 (3/40)36.152<0.001
  Unclear or none36.1 (35/97)65.0 (26/40)9.5880.002
  Incomplete0 (0/97)27.5 (11/40)25.399<0.001
Enhancement
  Completely cystic21.6 (21/97)0 (0/40)10.2280.001
  Homogenous25.8 (25/97)55 (22/40)10.7340.001
  Heterogeneous52.8 (51/97)37.5 (15/40)2.5790.108

As presented in Table II, the size of the benign nodules was significantly larger than the malignant nodules, but the ratio of anteroposterior to transverse diameter, anteroposterior to net enhancement degree at arterial or venous phase were not significantly different between the two groups (P>0.05).

Table II.

Comparison of morphological characteristics of benign and malignant nodules (mean ± standard deviation).

Table II.

Comparison of morphological characteristics of benign and malignant nodules (mean ± standard deviation).

Classification of nodulesNodule sizeaAnteroposterior and transverse diameter ratioPlain scanbNet enhancement degree at arterial phasebNet enhancement degree at venous phaseb
Benign15.5±8.11.10±0.2571.1±22.186.8±40.548.6±27.6
Malignancy11.8±6.11.03±0.1466.5±23.188.3±51.454.1±27.5
t value−2.5441.618−1.0240.1651.01
P-value0.0120.1120.3080.86910.315

a mm

b HU.

Discussion

Although the association between CLT and thyroid cancer remains controversial (16), emerging evidence has demonstrated that there is an increased risk of papillary thyroid carcinoma for patients with CLT (17–19). In the present study, among patients with CLT, the incidence of malignancy was 31.5% (40/127), including 26 papillary cancer cases and 11 microcarcinoma cases. Notably, malignant nodules were normally characterized by having a completely solid composition, internal calcification, ill-defined margin, an unclear or incomplete capsule, while benign nodules were more likely to have peripheral calcification, well-defined margins and an intact capsule. In addition, the size of the benign nodules was significantly larger than the malignant nodules.

In accordance with the findings by MDCT, sonographic analysis of benign and malignant nodules in diffuse hashimoto thyroiditis patients has demonstrated that malignant nodules were more likely to be solid and hypoechoic (1). In addition, Hashimoto's thyroiditis cases associated with thyroid nodular disease were also represented by solid composition, hypoechogenicity and micro-calcifications (6). A previous study by Kim et al (12) reported the sonographic characteristics of micro-calcifications, an irregular or microlobulated margin, marked hypoechogenicity, and a shape that was more tall than it was wide as the criteria for malignant nodules and obtained 93.8% sensitivity and 66% specificity. A significant difference was not observed on length-to-width ratio using MDCT, which might attribute to technological disparity. Thus, it may be inferred that the MDCT features on solid composition and margin shape would be helpful for preoperative diagnosis for CTL patients.

The present findings differed from that of a previous study, which concluded that on diameter comparison, no significant association was found between malignancy and a nodule size of >15 mm using FNAB (20). The higher incidence of microcarcinoma in the present study and timely surgery on suspected carcinomas may contribute to the difference in conclusions. Generally, the density is homogenous for small nodules, but the density is gradually heterogeneous and cystic changed as the size enlarged, which was also confirmed by the enhancement results in the present study. However, no significant differences were observed in the CT value of plain scan, enhancement degree at arterial or venous phase in CTL patients with benign or malignant nodules, indicating that the enhancement degree on the parenchyma demonstrated no significant value in differentiating benign from malignant nodules.

Traditionally, FANB has been recognized as the standard test to determine whether surgical removal of a detected nodule. Given the low risk for thyroid cancer, the technology of FNAB performed on all nodules detected by imaging was not feasible or advisable (21,22). Thereafter, a serious of imaging modalities was developed, including ultrasound, carotid duplex scan, CT, magnetic resonance imaging (MRI) or positron emission tomography (PET). However, mixed results were reported using these imaging modalities. For example, Mitchell et al (23) reported that 18FDG-PET with sensitivity of 60% and a specificity of 91% based on 48 malignant lesions and 33 benign lesions, which performed similarly with sonographic diagnosis (91.4–92.5% specificity) when the ratio of anteroposterior to transverse diameter ratio was >1. Basharat et al (24) has compared thyroid scan with FNAB and suggests fine needle aspiration cytology is more specific than sensitive whereas thyroid scan is more sensitive than specific in detecting thyroid malignancy. In 2011, a study reported the highest values for sensitivity and specificity based on (nodule/cord SI)/nodule apparent diffusion coefficient ratio using DW-MRI limited on 44 patients with nodules (25). Despite the high values for sensitivity and specificity, a missed malignancy would cause huge damage for the patient. However, to establish general criteria for differentiating malignant nodules from benign nodules according to the different backgrounds of CTL patients is difficult. Therefore, CT features that can differentiate between benign and malignant nodules are required.

Certain limitations of the present study should be discussed. Firstly, no gold standard for detecting nodules was designed in the study. Although we have defined the criteria for each feature through combining the previous studies (12,15), the criteria have limited the rigorous of the result. Secondly, malignant and benign thyroid nodules were just confirmed by surgery, and no follow-up was performed. Therefore, the possibility that the benign nodule may develop into the malignant nodule could not be excluded. Moreover, the conclusion from the small sample size of the enrolled cases may limit the reliability of the conclusion, and MDCT characterization for benign and malign nodules on a larger sample size is needed.

In conclusion, the findings suggest that CLT patients with malignant nodules mainly present with features of solid composition, ill-defined margin, unclear or no capsule, or micro-calcifications, which could be used as the diagnosis method in advance for FANB. However, further study based on a larger sample size and cases with different backgrounds is required in order to confirm the above method is suitable to differentiate benign and malign nodules.

References

1 

Anderson L, Middleton WD, Teefey SA, Reading CC, Langer JE, Desser T, Szabunio MM, Mandel SJ, Hildebolt CF and Cronan JJ: Hashimoto thyroiditis: Part 2, sonographic analysis of benign and malignant nodules in patients with diffuse Hashimoto thyroiditis. AJR Am J Roentgenol. 195:216–222. 2010. View Article : Google Scholar : PubMed/NCBI

2 

Anderson L, Middleton WD, Teefey SA, Reading CC, Langer JE, Desser T, Szabunio MM, Hildebolt CF, Mandel SJ and Cronan JJ: Hashimoto thyroiditis: Part 1, sonographic analysis of the nodular form of Hashimoto thyroiditis. AJR Am J Roentgenol. 195:208–215. 2010. View Article : Google Scholar : PubMed/NCBI

3 

Sakiyama R: Thyroiditis: A clinical review. Am Fam Physician. 48:615–621. 1993.PubMed/NCBI

4 

Mazokopakis EE, Tzortzinis AA, Dalieraki-Ott EI, Tsartsalis AN, Syros PK, Karefilakis CM, Papadomanolaki MG and Starakis IK: Coexistence of Hashimoto's thyroiditis with papillary thyroid carcinoma. A retrospective study. Hormones (Athens). 9:312–317. 2010. View Article : Google Scholar : PubMed/NCBI

5 

Zhang Y, Dai J, Wu T, Yang N and Yin Z: The study of the coexistence of Hashimoto's thyroiditis with papillary thyroid carcinoma. J Cancer Res Clin Oncol. 140:1021–1026. 2014. View Article : Google Scholar : PubMed/NCBI

6 

Zosin I and Balaş M: Clinical, ultrasonographical and histopathological aspects in Hashimoto's thyroiditis associated with malignant and benign thyroid nodules. Endokrynol Pol. 64:255–262. 2013. View Article : Google Scholar : PubMed/NCBI

7 

Reading CC, Charboneau JW, Hay ID and Sebo TJ: Sonography of thyroid nodules: A ‘classic pattern’ diagnostic approach. Ultrasound Q. 21:157–165. 2005. View Article : Google Scholar : PubMed/NCBI

8 

Wang L, Xia Y, Jiang YX, Dai Q and Li XY: Likelihood ratio-based differentiation of nodular Hashimoto thyroiditis and papillary thyroid carcinoma in patients with sonographically evident diffuse hashimoto thyroiditis: Preliminary study. J Ultrasound Med. 31:1767–1775. 2012.PubMed/NCBI

9 

Gul K, Dirikoc A, Kiyak G, Ersoy PE, Ugras NS, Ersoy R and Cakir B: The association between thyroid carcinoma and Hashimoto's thyroiditis: The ultrasonographic and histopathologic characteristics of malignant nodules. Thyroid. 20:873–878. 2010. View Article : Google Scholar : PubMed/NCBI

10 

Cronan JJ: Thyroid nodules: Is it time to turn off the US machines? Radiology. 247:602–604. 2008. View Article : Google Scholar : PubMed/NCBI

11 

Frates MC, Benson CB, Charboneau JW, Cibas ES, Clark OH, Coleman BG, Cronan JJ, Doubilet PM, Evans DB, Goellner JR, et al: Management of thyroid nodules detected at US: Society of radiologists in ultrasound consensus conference statement. Radiology. 237:794–800. 2005. View Article : Google Scholar : PubMed/NCBI

12 

Kim EK, Park CS, Chung WY, Oh KK, Kim DI, Lee JT and Yoo HS: New sonographic criteria for recommending fine-needle aspiration biopsy of nonpalpable solid nodules of the thyroid. AJR Am J Roentgenol. 178:687–691. 2002. View Article : Google Scholar : PubMed/NCBI

13 

Yang GC, Liebeskind D and Messina AV: Ultrasound-guided fine-needle aspiration of the thyroid assessed by Ultrafast Papanicolaou stain: Data from 1135 biopsies with a two-to six-year follow-up. Thyroid. 11:581–589. 2001. View Article : Google Scholar : PubMed/NCBI

14 

Ishigaki S, Shimamoto K, Satake H, Sawaki A, Itoh S, Ikeda M, Ishigaki T and Imai T: Multi-slice CT of thyroid nodules: Comparison with ultrasonography. Radiat Med. 22:346–353. 2004.PubMed/NCBI

15 

Kang HW, No JH, Chung JH, Min YK, Lee MS, Lee MK, Yang JH and Kim KW: Prevalence, clinical and ultrasonographic characteristics of thyroid incidentalomas. Thyroid. 14:29–33. 2004. View Article : Google Scholar : PubMed/NCBI

16 

Anil C, Goksel S and Gursoy A: Hashimoto's thyroiditis is not associated with increased risk of thyroid cancer in patients with thyroid nodules: A single-center prospective study. Thyroid. 20:601–606. 2010. View Article : Google Scholar : PubMed/NCBI

17 

Kim KW, Park YJ, Kim EH, Park SY, Park Do J, Ahn SH, Park Do J, Jang HC and Cho BY: Elevated risk of papillary thyroid cancer in Korean patients with Hashimoto's thyroiditis. Head Neck. 33:691–695. 2011. View Article : Google Scholar : PubMed/NCBI

18 

Repplinger D, Bargren A, Zhang YW, Adler JT, Haymart M and Chen H: Is Hashimoto's thyroiditis a risk factor for papillary thyroid cancer? J Surg Res. 150:49–52. 2008. View Article : Google Scholar : PubMed/NCBI

19 

Fiore E, Rago T, Latrofa F, Provenzale MA, Piaggi P, Delitala A, Scutari M, Basolo F, Di Coscio G, Grasso L, et al: Hashimoto's thyroiditis is associated with papillary thyroid carcinoma: Role of TSH and of treatment with L-thyroxine. Endocr Relat Cancer. 18:429–437. 2011. View Article : Google Scholar : PubMed/NCBI

20 

Rahimi M, Farshchian N, Rezaee E, Shahebrahimi K and Madani H: To differentiate benign from malignant thyroid nodule comparison of sonography with FNAC findings. Pak J Med Sci. 29:77–80. 2013.PubMed/NCBI

21 

Lawrence W and Kaplan BJ: Diagnosis and management of patients with thyroid nodules. J Surg Oncol. 80:157–170. 2002. View Article : Google Scholar : PubMed/NCBI

22 

Khalid AN, Hollenbeak CS, Quraishi SA, Fan CY and Stack BC: The cost-effectiveness of iodine 131 scintigraphy, ultrasonography, and fine-needle aspiration biopsy in the initial diagnosis of solitary thyroid nodules. Arch Otolaryngol Head Neck Surg. 132:244–250. 2006. View Article : Google Scholar : PubMed/NCBI

23 

Mitchell JC, Grant F, Evenson AR, Parker JA, Hasselgren PO and Parangi S: Preoperative evaluation of thyroid nodules with 18FDG-PET/CT. Surgery. 138:1166–1175. 2005. View Article : Google Scholar : PubMed/NCBI

24 

Basharat R, Bukhari MH, Saeed S and Hamid T: Comparison of fine needle aspiration cytology and thyroid scan in solitary thyroid nodule. Patholog Res Int. 2011:7540412011.PubMed/NCBI

25 

Mutlu H, Sivrioglu AK, Sonmez G, Velioglu M, Sildiroglu HO, Basekim CC and Kizilkaya E: Role of apparent diffusion coefficient values and diffusion-weighted magnetic resonance imaging in differentiation between benign and malignant thyroid nodules. Clin Imaging. 36:1–7. 2012.

Related Articles

  • Abstract
  • View
  • Download
  • Twitter
Copy and paste a formatted citation
Spandidos Publications style
Zhu C, Liu W, Yang J, Yang J, Shao K, Yuan L, Chen H, Lu W and Zhu Y: Multidetector computed tomography analysis of benign and malignant nodules in patients with chronic lymphocytic thyroiditis. Oncol Lett 12: 238-242, 2016.
APA
Zhu, C., Liu, W., Yang, J., Yang, J., Shao, K., Yuan, L. ... Zhu, Y. (2016). Multidetector computed tomography analysis of benign and malignant nodules in patients with chronic lymphocytic thyroiditis. Oncology Letters, 12, 238-242. https://doi.org/10.3892/ol.2016.4585
MLA
Zhu, C., Liu, W., Yang, J., Yang, J., Shao, K., Yuan, L., Chen, H., Lu, W., Zhu, Y."Multidetector computed tomography analysis of benign and malignant nodules in patients with chronic lymphocytic thyroiditis". Oncology Letters 12.1 (2016): 238-242.
Chicago
Zhu, C., Liu, W., Yang, J., Yang, J., Shao, K., Yuan, L., Chen, H., Lu, W., Zhu, Y."Multidetector computed tomography analysis of benign and malignant nodules in patients with chronic lymphocytic thyroiditis". Oncology Letters 12, no. 1 (2016): 238-242. https://doi.org/10.3892/ol.2016.4585
Copy and paste a formatted citation
x
Spandidos Publications style
Zhu C, Liu W, Yang J, Yang J, Shao K, Yuan L, Chen H, Lu W and Zhu Y: Multidetector computed tomography analysis of benign and malignant nodules in patients with chronic lymphocytic thyroiditis. Oncol Lett 12: 238-242, 2016.
APA
Zhu, C., Liu, W., Yang, J., Yang, J., Shao, K., Yuan, L. ... Zhu, Y. (2016). Multidetector computed tomography analysis of benign and malignant nodules in patients with chronic lymphocytic thyroiditis. Oncology Letters, 12, 238-242. https://doi.org/10.3892/ol.2016.4585
MLA
Zhu, C., Liu, W., Yang, J., Yang, J., Shao, K., Yuan, L., Chen, H., Lu, W., Zhu, Y."Multidetector computed tomography analysis of benign and malignant nodules in patients with chronic lymphocytic thyroiditis". Oncology Letters 12.1 (2016): 238-242.
Chicago
Zhu, C., Liu, W., Yang, J., Yang, J., Shao, K., Yuan, L., Chen, H., Lu, W., Zhu, Y."Multidetector computed tomography analysis of benign and malignant nodules in patients with chronic lymphocytic thyroiditis". Oncology Letters 12, no. 1 (2016): 238-242. https://doi.org/10.3892/ol.2016.4585
Follow us
  • Twitter
  • LinkedIn
  • Facebook
About
  • Spandidos Publications
  • Careers
  • Cookie Policy
  • Privacy Policy
How can we help?
  • Help
  • Live Chat
  • Contact
  • Email to our Support Team