Spandidos Publications Logo
  • About
    • About Spandidos
    • Aims and Scopes
    • Abstracting and Indexing
    • Editorial Policies
    • Reprints and Permissions
    • Job Opportunities
    • Terms and Conditions
    • Contact
  • Journals
    • All Journals
    • Oncology Letters
      • Oncology Letters
      • Information for Authors
      • Editorial Policies
      • Editorial Board
      • Aims and Scope
      • Abstracting and Indexing
      • Bibliographic Information
      • Archive
    • International Journal of Oncology
      • International Journal of Oncology
      • Information for Authors
      • Editorial Policies
      • Editorial Board
      • Aims and Scope
      • Abstracting and Indexing
      • Bibliographic Information
      • Archive
    • Molecular and Clinical Oncology
      • Molecular and Clinical Oncology
      • Information for Authors
      • Editorial Policies
      • Editorial Board
      • Aims and Scope
      • Abstracting and Indexing
      • Bibliographic Information
      • Archive
    • Experimental and Therapeutic Medicine
      • Experimental and Therapeutic Medicine
      • Information for Authors
      • Editorial Policies
      • Editorial Board
      • Aims and Scope
      • Abstracting and Indexing
      • Bibliographic Information
      • Archive
    • International Journal of Molecular Medicine
      • International Journal of Molecular Medicine
      • Information for Authors
      • Editorial Policies
      • Editorial Board
      • Aims and Scope
      • Abstracting and Indexing
      • Bibliographic Information
      • Archive
    • Biomedical Reports
      • Biomedical Reports
      • Information for Authors
      • Editorial Policies
      • Editorial Board
      • Aims and Scope
      • Abstracting and Indexing
      • Bibliographic Information
      • Archive
    • Oncology Reports
      • Oncology Reports
      • Information for Authors
      • Editorial Policies
      • Editorial Board
      • Aims and Scope
      • Abstracting and Indexing
      • Bibliographic Information
      • Archive
    • Molecular Medicine Reports
      • Molecular Medicine Reports
      • Information for Authors
      • Editorial Policies
      • Editorial Board
      • Aims and Scope
      • Abstracting and Indexing
      • Bibliographic Information
      • Archive
    • World Academy of Sciences Journal
      • World Academy of Sciences Journal
      • Information for Authors
      • Editorial Policies
      • Editorial Board
      • Aims and Scope
      • Abstracting and Indexing
      • Bibliographic Information
      • Archive
    • International Journal of Functional Nutrition
      • International Journal of Functional Nutrition
      • Information for Authors
      • Editorial Policies
      • Editorial Board
      • Aims and Scope
      • Abstracting and Indexing
      • Bibliographic Information
      • Archive
    • International Journal of Epigenetics
      • International Journal of Epigenetics
      • Information for Authors
      • Editorial Policies
      • Editorial Board
      • Aims and Scope
      • Abstracting and Indexing
      • Bibliographic Information
      • Archive
    • Medicine International
      • Medicine International
      • Information for Authors
      • Editorial Policies
      • Editorial Board
      • Aims and Scope
      • Abstracting and Indexing
      • Bibliographic Information
      • Archive
  • Articles
  • Information
    • Information for Authors
    • Information for Reviewers
    • Information for Librarians
    • Information for Advertisers
    • Conferences
  • Language Editing
Spandidos Publications Logo
  • About
    • About Spandidos
    • Aims and Scopes
    • Abstracting and Indexing
    • Editorial Policies
    • Reprints and Permissions
    • Job Opportunities
    • Terms and Conditions
    • Contact
  • Journals
    • All Journals
    • Biomedical Reports
      • Information for Authors
      • Editorial Policies
      • Editorial Board
      • Aims and Scope
      • Abstracting and Indexing
      • Bibliographic Information
      • Archive
    • Experimental and Therapeutic Medicine
      • Information for Authors
      • Editorial Policies
      • Editorial Board
      • Aims and Scope
      • Abstracting and Indexing
      • Bibliographic Information
      • Archive
    • International Journal of Epigenetics
      • Information for Authors
      • Editorial Policies
      • Editorial Board
      • Aims and Scope
      • Abstracting and Indexing
      • Bibliographic Information
      • Archive
    • International Journal of Functional Nutrition
      • Information for Authors
      • Editorial Policies
      • Editorial Board
      • Aims and Scope
      • Abstracting and Indexing
      • Bibliographic Information
      • Archive
    • International Journal of Molecular Medicine
      • Information for Authors
      • Editorial Policies
      • Editorial Board
      • Aims and Scope
      • Abstracting and Indexing
      • Bibliographic Information
      • Archive
    • International Journal of Oncology
      • Information for Authors
      • Editorial Policies
      • Editorial Board
      • Aims and Scope
      • Abstracting and Indexing
      • Bibliographic Information
      • Archive
    • Medicine International
      • Information for Authors
      • Editorial Policies
      • Editorial Board
      • Aims and Scope
      • Abstracting and Indexing
      • Bibliographic Information
      • Archive
    • Molecular and Clinical Oncology
      • Information for Authors
      • Editorial Policies
      • Editorial Board
      • Aims and Scope
      • Abstracting and Indexing
      • Bibliographic Information
      • Archive
    • Molecular Medicine Reports
      • Information for Authors
      • Editorial Policies
      • Editorial Board
      • Aims and Scope
      • Abstracting and Indexing
      • Bibliographic Information
      • Archive
    • Oncology Letters
      • Information for Authors
      • Editorial Policies
      • Editorial Board
      • Aims and Scope
      • Abstracting and Indexing
      • Bibliographic Information
      • Archive
    • Oncology Reports
      • Information for Authors
      • Editorial Policies
      • Editorial Board
      • Aims and Scope
      • Abstracting and Indexing
      • Bibliographic Information
      • Archive
    • World Academy of Sciences Journal
      • Information for Authors
      • Editorial Policies
      • Editorial Board
      • Aims and Scope
      • Abstracting and Indexing
      • Bibliographic Information
      • Archive
  • Articles
  • Information
    • For Authors
    • For Reviewers
    • For Librarians
    • For Advertisers
    • Conferences
  • Language Editing
Login Register Submit
  • This site uses cookies
  • You can change your cookie settings at any time by following the instructions in our Cookie Policy. To find out more, you may read our Privacy Policy.

    I agree
Search articles by DOI, keyword, author or affiliation
Search
Advanced Search
presentation
Oncology Letters
Join Editorial Board Propose a Special Issue
Print ISSN: 1792-1074 Online ISSN: 1792-1082
Journal Cover
July-2017 Volume 14 Issue 1

Full Size Image

Sign up for eToc alerts
Recommend to Library

Journals

International Journal of Molecular Medicine

International Journal of Molecular Medicine

International Journal of Molecular Medicine is an international journal devoted to molecular mechanisms of human disease.

International Journal of Oncology

International Journal of Oncology

International Journal of Oncology is an international journal devoted to oncology research and cancer treatment.

Molecular Medicine Reports

Molecular Medicine Reports

Covers molecular medicine topics such as pharmacology, pathology, genetics, neuroscience, infectious diseases, molecular cardiology, and molecular surgery.

Oncology Reports

Oncology Reports

Oncology Reports is an international journal devoted to fundamental and applied research in Oncology.

Experimental and Therapeutic Medicine

Experimental and Therapeutic Medicine

Experimental and Therapeutic Medicine is an international journal devoted to laboratory and clinical medicine.

Oncology Letters

Oncology Letters

Oncology Letters is an international journal devoted to Experimental and Clinical Oncology.

Biomedical Reports

Biomedical Reports

Explores a wide range of biological and medical fields, including pharmacology, genetics, microbiology, neuroscience, and molecular cardiology.

Molecular and Clinical Oncology

Molecular and Clinical Oncology

International journal addressing all aspects of oncology research, from tumorigenesis and oncogenes to chemotherapy and metastasis.

World Academy of Sciences Journal

World Academy of Sciences Journal

Multidisciplinary open-access journal spanning biochemistry, genetics, neuroscience, environmental health, and synthetic biology.

International Journal of Functional Nutrition

International Journal of Functional Nutrition

Open-access journal combining biochemistry, pharmacology, immunology, and genetics to advance health through functional nutrition.

International Journal of Epigenetics

International Journal of Epigenetics

Publishes open-access research on using epigenetics to advance understanding and treatment of human disease.

Medicine International

Medicine International

An International Open Access Journal Devoted to General Medicine.

Journal Cover
July-2017 Volume 14 Issue 1

Full Size Image

Sign up for eToc alerts
Recommend to Library

  • Article
  • Citations
    • Cite This Article
    • Download Citation
    • Create Citation Alert
    • Remove Citation Alert
    • Cited By
  • Similar Articles
    • Related Articles (in Spandidos Publications)
    • Similar Articles (Google Scholar)
    • Similar Articles (PubMed)
  • Download PDF
  • Download XML
  • View XML
Case Report Open Access

Pancreatic intraductal tubulopapillary neoplasm with associated invasive cancer successfully treated by total pancreatectomy: A case report

  • Authors:
    • Yuji Fujimoto
    • Yoshito Tomimaru
    • Hiromi Tamura
    • Kozo Noguchi
    • Hirotsugu Nagase
    • Atsushi Hamabe
    • Masashi Hirota
    • Kazuteru Oshima
    • Tsukasa Tanida
    • Tomono Kawase
    • Shunji Morita
    • Hiroshi Imamura
    • Takashi Iwazawa
    • Kenzo Akagi
    • Masashi Yamamoto
    • Tsutomu Nishida
    • Shiro Adachi
    • Keizo Dono
  • View Affiliations / Copyright

    Affiliations: Department of Surgery, Toyonaka Municipal Hospital, Toyonaka, Osaka 560‑8565, Japan, Department of Pathology, Toyonaka Municipal Hospital, Toyonaka, Osaka 560‑8565, Japan, Department of Gastroenterology, Toyonaka Municipal Hospital, Toyonaka, Osaka 560‑8565, Japan
    Copyright: © Fujimoto et al. This is an open access article distributed under the terms of Creative Commons Attribution License.
  • Pages: 153-158
    |
    Published online on: May 5, 2017
       https://doi.org/10.3892/ol.2017.6130
  • Expand metrics +
Metrics: Total Views: 0 (Spandidos Publications: | PMC Statistics: )
Metrics: Total PDF Downloads: 0 (Spandidos Publications: | PMC Statistics: )
Cited By (CrossRef): 0 citations Loading Articles...

This article is mentioned in:



Abstract

A 74‑year‑old male was admitted to Departments of Surgery, Toyonaka Municipal Hospital (Osaka, Japan) for treatment of a pancreatic tumor. Contrast enhanced computed tomography (CT) revealed a mass with small cystic lesions in the pancreatic head and body. Fluorodeoxyglucose‑positron emission tomography/CT revealed an abnormal uptake of fluorodeoxyglucose, corresponding to the mass lesions. Upper gastrointestinal endoscopy revealed rough mucosa near the opening of the accessory pancreatic duct, and the mucosa biopsy exhibited adenocarcinoma with no mucin observed. The preoperative diagnosis was pancreatic intraductal tubulopapillary neoplasm (ITPN) with cancerous lesions, and a total pancreatectomy with splenectomy was performed. The resected tissue specimen revealed a solid tumor occupying the entire pancreas with intraductal growth into the main pancreatic duct. Histological examination revealed high‑grade dysplastic cells in a tubulopapillary growth pattern without overt mucin production beyond the pancreatic duct. Immunohistochemical staining analysis of the tumor was positive for cytokeratin (CK)7, CK19 and mucin (MUC)1, and negative for MUC2, MUC5AC, MUC6 and caudal type homeobox 2. The tumor was finally diagnosed as pancreatic ITPN with associated invasive cancer. The patient remains well without evident recurrence nine months post‑surgery. ITPN is a rare type of epithelial neoplasm of the pancreas, and is characterized by intraductal tubulo‑papillary growth, ductal differentiation, limited intracellular mucin production, and cellular dysplasia. The present case report may contribute to improved understanding of how to effectively treat patients with ITPN.

Introduction

Intraductal tubulopapillary neoplasm (ITPN) is a rare type of epithelial neoplasm of the pancreas that is characterized by an intraductal, grossly visible, tubule-forming epithelial neoplasm with cellular dysplasia and ductal differentiation without overt mucin production (1). To the best of our knowledge, ITPN-like intraductal neoplasm was first recognized by Japanese investigators in the mid 1990s and was studied in 2009 by Yamaguchi et al (2). Following these reports, ITPN was adopted by the World Health Organization (WHO) classification, which was revised in 2010, as a subclass of intraductal neoplasms of the pancreas, along with intraductal papillary mucinous neoplasm (IPMN). It is estimated that ITPNs account for <1% of all pancreatic exocrine tumor cases and 3% of all pancreatic intraductal neoplasm cases (2). Due to the rarity of ITPN, information regarding the disease is currently limited, and only a few reports, case series and reviews are available (2,3); thus, the clinicopathological features of ITPN remain to be elucidated. In this context, even a case report of ITPN is essential for further characterizing this disease in order to improve the management and treatment of patients with ITPN. In this report we present a case of pancreatic ITPN with associated invasive cancer that was successfully treated with total pancreatectomy.

Case report

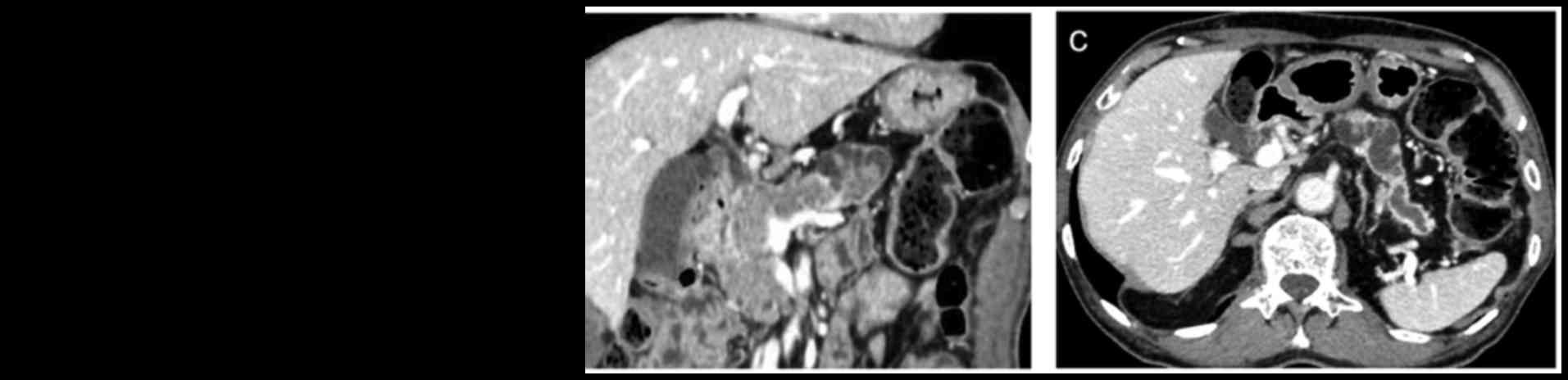
A 74-year-old male was admitted to the Departments of Surgery, Toyonaka Municipal Hospital (Osaka, Japan) for treatment of a pancreatic tumor. The patient's medical history included alcoholic acute pancreatitis, a renal stone and cerebral infarction. The patient did not exhibit any significant findings on physical examination. The laboratory analysis results were within the normal range, with the exception of the serum glucose level (155 mg/dl; normal range 60–110 mg/dl) and HbA1c-NGSP (7.0%; normal range 4.6–6.2%), which were elevated. The levels of various tumor markers were within the normal range, including carcinoembryonic antigen (2.8 ng/ml; normal range, <5.0 mg/dl), cancer antigen 19-9 (15 U/ml; normal range, <37 U/ml), s-pancreas-1 antigen (8.6 U/ml; normal range, <30 U/ml) and duke pancreatic monoclonal antigen type 2 (46 U/ml; normal range, <150 U/ml), and the serum IgG4 level was also normal (42.8 mg/dl; normal range, 4.8–105 mg/dl). Contrast-enhanced computed tomography (CT) revealed a mass with small cystic lesions in the pancreatic head and body that exhibited a non-uniform contrast effect (Fig. 1A and B). The main pancreatic duct at the peripheral side of the mass was dilated to 18 mm (Fig. 1C). Although the patient was not jaundiced, the lower common bile duct was surrounded by the mass, which was in contact with the portal vein and the superior mesenteric vein. There were no visibly enlarged lymph nodes. Magnetic resonance imaging (MRI), as with CT, revealed small cystic lesions in the mass on T2-weighted images (Fig. 2A). The mass in the pancreatic head and body was visualized with high signal intensity on diffusion-weighted images (Fig. 2B). On MR cholangiopancreatography (MRCP), there were small cystic lesions present in the mass and dilatation of the main pancreatic duct from the pancreatic body to the tail (Fig. 2C). Upper gastrointestinal endoscopy revealed rough mucosa near the opening of the accessory pancreatic duct and no mucus was observed (Fig. 3A). Biopsy of the mucosa revealed adenocarcinoma. An 18F-fluorodeoxyglucose (FDG)-positron emission tomography scan revealed abnormal FDG uptake with a maximum standardized uptake value of 4.9 for the mass (Fig. 3B). Based on the aforementioned findings, the pre-operative diagnosis was pancreatic ITPN with associated cancer lesions. Although IPMN was also considered as another possible differential diagnosis of the mass, this diagnosis was rejected due to the lack of mucous secretion identified. A laparotomy using an upper and middle abdominal median incision was performed under general anesthesia. The whole pancreas was hard, likely due to the patient's previous pancreatitis. As the mass was located in the entire pancreatic head and body, an attempt was made to resect the pancreas on the tail side of the mass, in order to preserve the pancreatic tail. However, it was problematic to separate the pancreatic body and the splenic artery and vein, due to the tissue hardness. Therefore, it was judged to be impossible to preserve the spleen, and a total pancreatectomy with splenectomy was subsequently performed. Lymphadenectomy was performed for dissecting regional lymph nodes. Macroscopic examination of the resected specimen indicated an off-white solid tumor occupying the entire pancreas with intraductal growth of the main pancreatic duct; mucin was not identified (Fig. 4A and B). Histological examination using hematoxylin and eosin staining revelaed that the tumor exhibited high-grade dysplastic cells in a tubulopapillary growth pattern without the overt production of mucin (Fig. 4C and D). The tumor had infiltrated the main pancreatic duct, although the pre-operative CT scan had not revealed any tumors in the main pancreatic duct of the pancreatic tail. The tumor had invaded beyond this to the entire pancreatic parenchyma and serosal invasion and retroperitoneal invasion were observed, whereas vascular invasion was not identified. Among 30 lymph nodes dissected, metastasis was verified to be present in two lymph nodes. The metastases were also identified in the lymph nodes along the common hepatic artery and the splenic artery. No cancer cells were identified in the resected cut end margin of bile duct or dissected peripancreatic tissue. Immunohistochemical staining was positive for cytokeratin (CK)7 (Roche Diagnostics, Basel, Switzerland), CK19 (Leica Microsystems, Ltd., Milton Keynes, UK) and mucin (MUC1) (Leica Microsystems Ltd.), and negative for MUC2 (Leica Microsystems, Ltd.), MUC5AC (Leica Microsystems, Ltd.), MUC6 (Leica Microsystems, Ltd.) and caudal type homeobox 2 (Biocare Medical, LLC., Concord, CA, USA; Fig. 5). The final diagnosis was determined to be pancreatic ITPN with associated invasive cancer. The patient progressed without post-operative complications. Following the surgery, the serum glucose levels were managed with subcutaneous insulin injections. At the time of this report (9 months post-surgery), the patient remains disease-free without evidence of recurrence, and is being followed on an outpatient basis (follow-up is ongoing for 5-years).

Figure 1.

Preoperative radiological imaging using enhanced abdominal CT. (A and B) CT images revealed a mass with small cystic lesions in the pancreatic head and body (A, axial scan; B, coronal scan). (C) The main pancreatic duct at the peripheral side of the mass was dilated to 18 mm. CT, computed tomography.

Figure 2.

Preoperative radiological imaging by MRI. (A) A mass with small cystic lesions was identified on T2-weighted images (coronal scan). (B) The mass in the pancreatic head and body was visualized using high signal intensity on diffusion weighted images (arrow). (C) MRCP revealed small cystic lesions in the mass and a dilatation of the main pancreatic duct from the pancreatic body to the tail. MRI, magnetic resonance imaging; MRCP, magnetic resonance cholangiopancreatography.

Figure 3.

Findings of the FDG-PET/CT and upper gastrointestinal endoscopy. (A and B) Coronal scan of FDG-PET/CT revealed abnormal FDG uptake with a standardized uptake value maximum of 4.9 for the mass. (C) Upper gastrointestinal endoscopy revealed rough mucosa near the opening of the accessory pancreatic duct, and a biopsy from the mucosa indicated adenocarcinoma. No mucus was identified during this examination. FDG, 18F-fluorodeoxyglucose; PET, positron emission tomography; CT, computed tomography.

Figure 4.

Macroscopic and microscopic findings of the resected tissue specimen. (A) The whole pancreas was hard, and the solid tumor occupied the entire pancreas. (B) In the macroscopic view of the pancreas stained with hematoxylin and eosin, the tumor was revealed to be occupying the entire pancreas with intraductal growth of the main pancreatic duct. (C and D) Histological analysis of the tumor tissue revealed high-grade dysplastic cells in a tubulopapillary growth pattern without the overt production of mucin (C, low-power field; D, high-power field).

Figure 5.

Immunohistochemical staining of the tumor. The tumor was immunohistochemically stained for (A) CK7, (B) CK19, (C) MUC1, (D) MUC2, (E) MUC5AC, (F) MUC6 and (G) CDX2. The staining was positive for CK7, CK19 and MUC1, and negative for MUC2, MUC5AC, MUC6 and CDX2. CK, cytokeratin; MUC, mucin; CDX2, caudal type homeobox 2.

Discussion

Yamaguchi et al (2) reported 10 cases of pancreatic intraductal neoplasms with predominantly tubular growth patterns and a papillary component, and determined the neoplasm to be ITPN of the pancreas. To the best of our knowledge, that was the first report of ITPN. Intraductal neoplasms were classified as an IPMN or ITPN in the 2010 WHO classification (1). ITPN is rare, accounting for <1% of all pancreatic exocrine neoplasms and, to the best of our knowledge, there has been only one case series of patients with ITPN since the initial report by Yamaguchi et al (2). Date et al (3) recently analyzed the published data of 58 cases of ITPN, including their own case. In this study, they searched MEDLINE and Igakuchuo-Zacchi (a database of Japanese articles with English abstracts) for cases since 1980. The term ITPN was first introduced by Yamaguchi et al (2) in 2009; although, cases reported prior to 2009 were included in the study. This suggests that the diagnosis of ITPN in the cases reported prior to the definition may not be accurate, as the authors noted in the report. Therefore, in the present study, ITPN cases that had been reported in detail following the definition in 2009 were searched for, and only cases where the term ITPN was stated in the diagnosis were extracted. Overall, 30 cases were extracted (2,3–20). The clinicopathological features of 31 cases, including the extracted 30 cases and the current case, are presented in Table I. Among these 31 cases, 19 and 12 occurred in men and women, respectively. The age range of the patients involved was 35–80 years, with a median age at diagnosis of 66 years. The most frequently reported symptom was abdominal pain, but there were also asymptomatic cases. Among the 31 patients, 29 patients had received surgery. The surgical procedure was pancreaticoduodenectomy in 16 patients, distal pancreatectomy in 8 patients and total pancreatectomy in 5 patients. Postoperatively, the overall 1-, 3- and 5-year survival rates were all 92.3%. The summary of the clinicopathological features of the 31 cases is similar to that reported by Date et al (3). In addition, regardless of the presence of the invasive component in the ITPN area, all of the cases had associated cancer lesions. Therefore, all the cases were intraductal tubulopapillary cancer with or without an invasive component. There were no cases with intraductal tubulopapillary adenoma. This finding suggests ITPN cases are not similar to IPMN cases. The 2010 WHO classification categorizes IPMN cases according to their malignant transformation into IPMN with low or intermediate dysplasia, IPMN with high-grade dysplasia and IPMN with invasive cancer (1). One limitation was that a dedicated pathologist did not perform the histopathological diagnosis in the 31 cases; thus, this characteristic of ITPN must be validated in further and larger studies. In conclusion, the current study presents a case of ITPN with associated invasive cancer successfully treated with total pancreatectomy. Further characterization of ITPN based on a collection of cases, similar to that reported here, may lead to improved management of this type of neoplasm.

Table I.

Reported cases of intraductal tubulopapillary neoplasm of the pancreas.

Table I.

Reported cases of intraductal tubulopapillary neoplasm of the pancreas.

No.AuthorsYearAgeGenderSymptomLocationSize (cm)InvasionSurgical ProcedurePostoperative survival (months)Outcome(Refs.)
  1Yamaguchi et al200960FNoneH6.0−PD19Mortality due to other diseases(2)
  2Yamaguchi et al200935FAbdominal painB1.0−DP72Alive without recurrence(2)
  3Yamaguchi et al200968FNoneH2.5−PD29Alive without recurrence(2)
  4Yamaguchi et al200953MAbdominal painB2.0−DP36Alive without recurrence(2)
  5Yamaguchi et al200960FAbdominal painH4.5−PD24Alive without recurrence(2)
  6Yamaguchi et al200973FNoneH5.2−PD33Alive without recurrence(2)
  7Yamaguchi et al200972MNoneB1.0+DP33Alive without recurrence(2)
  8Yamaguchi et al200944MAbdominal painH6.0+PD72Alive without recurrence(2)
  9Yamaguchi et al200948MJaundiceHBT15.0+TP7Disease-associated mortality(2)
10Yamaguchi et al200970MExacerbation of diabetes mellitusHB4.0−PD24Alive without recurrence(2)
11Bhuva et al201150MAbdominal pain, jaundice, AnemiaHNA+PD28Alive with recurrence(4)
12Jokoji et al201268MAbdominal painBT10.0+DP15Alive without recurrence(5)
13Urata et al201278FNoneBT2.2+DP43Alive with recurrence(6)
14Tajiri et al201266MAppetite lossHNA−PD12Alive without recurrence(7)
15Guan et al201241FNoneH2.3−PDNANA(8)
16Kasugai et al201369FExcessive thirstHBT12.0+TP24Alive without recurrence(9)
17Furuhata et al201374MFeverH7.0+NANANA(10)
18Someya et al201474MFeverH7.0+PD24Alive without recurrence(11)
19Del chiaro et al201478MAbdominal painHBT1.1−TPNANA(12)
20Ahls et al201443FAbdominal painH2.6−PD24Alive without recurrence(13)
21Zhao et al201448MAbdominal painB1.3−DPNANA(14)
22Takayama et al201554FSevere diarrheaH5.0+PD10Alive without recurrence(15)
23Yoshida et al201575MNoneH1.2−PDNANA(16)
24Kitaguchi et al201561MNoneH1.2+PD22Alive without recurrence(17)
25Kitaguchi et al201575FNoneB10.0+DP51Alive without recurrence(17)
26Kitaguchi et al201567MAnemiaHBT6.5+TP84Alive without recurrence(17)
27Matthews et al201555MAbdominal painT10.0+DP36Alive with recurrence(18)
28Kölby et al201542MAbdominal painHBT3.5+PD19Alive without recurrence(19)
29Tajima et al201580MNAHB0.5NANA12Alive without recurrence(20)
30Date et al201654FAbdominal painH5.5+PD24Alive without recurrence(3)
31Present case201674MWeight lossHBT17.5+TP9Alive without recurrence

[i] M, male; F, female; H, head of the pancreas; B, body of the pancreas; T, tail of the pancreas; NA, not assigned; PD, pancreaticoduodenectomy; DP, distal pancreatectomy;TP, total pancreatectomy

References

1 

Adsay NV, Fukushima N, Furukawa T, Hruban RH, Klimstra DS, Klöppel G, et al: Intraductal neoplasms of the pancreasWorld Health Organization Classification of Tumours of the Digestive System. Bosman FT, Carneiro F, Hruban RH and Theise ND: 4th. IARC; Lyon, France: pp. 304–313. 2010;

2 

Yamaguchi H, Shimizu M, Ban S, Koyama I, Hatori T, Fujita I, Yamamoto M, Kawamura S, Kobayashi M, Ishida K, et al: Intraductal tubulopapillary neoplasms of the pancreas distinct from pancreatic intraepithelial neoplasia and intraductal papillary mucinous neoplasms. Am J Surg Pathol. 33:1164–1172. 2009. View Article : Google Scholar : PubMed/NCBI

3 

Date K, Okabayashi T, Shima Y, Iwata J, Sumiyoshi T, Kozuki A, Morita S, Hata Y, Noda Y, Nishioka A and Matsumoto M: Clinicopathological features and surgical outcomes of intraductal tubulopapillary neoplasm of the pancreas: A systematic review. Langenbecks Arch Surg. 401:439–447. 2016. View Article : Google Scholar : PubMed/NCBI

4 

Bhuva N, Wasan H, Spalding D, Stamp G and Harrison M: Intraductal tubulopapillary neoplasm of the pancreas as a radiation induced malignancy. BMJ Case Rep pii. bcr0920114777. 2011. View Article : Google Scholar

5 

Jokoji R, Tsuji H, Tsujimoto M, Shinno N and Tori M: Intraductal tubulopapillary neoplasm of pancreas with stromal osseous and cartilaginous metaplasia; a case report. Pathol Int. 62:339–343. 2012. View Article : Google Scholar : PubMed/NCBI

6 

Urata T, Naito Y, Nagamine M, Izumi Y, Tonaki G, Iwasaki H, Sasaki A, Yamasaki A, Minami N, Yoshioka R, et al: Intraductal tubulopapillary neoplasm of the pancreas with somatic BRAF mutation. Clin J Gastroenterol. 5:413–420. 2012. View Article : Google Scholar : PubMed/NCBI

7 

Tajiri T, Tate G, Matsumoto K, Hoshino H, Iwamura T, Kodaira Y, Takahashi K, Ohike N, Kunimura T, Mitsuya T and Morohoshi T: Diagnostic challenge: Intraductal neoplasms of the pancreatobiliary system. Pathol Res Pract. 208:691–696. 2012. View Article : Google Scholar : PubMed/NCBI

8 

Guan H, Gurda G, Lennon AM, Hruban RH and Erozan YS: Intraductal tubulopapillary neoplasm of the pancreas on fine needle aspiration: Case report with differential diagnosis. Diagn Cytopathol. 42:156–160. 2014. View Article : Google Scholar : PubMed/NCBI

9 

Kasugai H, Tajiri T, Takehara Y, Mukai S, Tanaka J and Kudo SE: Intraductal tubulopapillary neoplasms of the pancreas: Case report and review of the literature. J Nippon Med Sch. 80:224–229. 2013. View Article : Google Scholar : PubMed/NCBI

10 

Furuhata A, Minamiguchi S, Mikami Y, Kodama Y, Sumiyoshi S, Adachi S and Haga H: Intraductal tubulopapillary neoplasm with expansile invasive carcinoma of the pancreas diagnosed by endoscopic ultrasonography-guided fine needle aspiration: A case report. Diagn Cytopathol. 42:314–320. 2014. View Article : Google Scholar : PubMed/NCBI

11 

Someya Y, Nakamoto Y, Nakatani K, Kawaguchi M, Minamiguchi S and Togashi K: 18F-FDG uptake in intraductal tubulopapillary neoplasm of the pancreas. Clin Nucl Med. 39:e277–e280. 2014. View Article : Google Scholar : PubMed/NCBI

12 

Del Chiaro M, Mucelli RP, Blomberg J, Segersvärd R and Verbeke C: Is intraductal tubulopapillary neoplasia a new entity in the spectrum of familial pancreatic cancer syndrome? Fam Cancer. 13:227–229. 2014.PubMed/NCBI

13 

Ahls MG, Niedergethmann M, Dinter D, Sauer C, Lüttges J, Post S, Marx A and Gaiser T: Case report: Intraductal tubulopapillary neoplasm of the pancreas with unique clear cell phenotype. Diagn Pathol. 9:112014. View Article : Google Scholar : PubMed/NCBI

14 

Zhao L, Hart J, Xiao SY and Antic T: Cytological features of pancreatic intraductal tubulopapillary neoplasm and an unexpected immunohistochemical profile. Pathology. 46:662–665. 2014. View Article : Google Scholar : PubMed/NCBI

15 

Takayama S, Maeda T, Nishihara M, Kanazawa A, Chong HS, Oka H, Hirota S and Ishikawa O: A case of intraductal tubulopapillary neoplasm of pancreas with severe calcification, a potential pitfall in diagnostic imaging. Pathol Int. 65:501–506. 2015. View Article : Google Scholar : PubMed/NCBI

16 

Yoshida Y, Matsubayashi H, Sasaki K, Kanemoto H, Uesaka K and Ono H: Intraductal tubulopapillary neoplasm of the pancreatic branch duct showing atypical images. J Dig Dis. 16:357–361. 2015. View Article : Google Scholar : PubMed/NCBI

17 

Kitaguchi K, Kato Y, Kojima M, Okubo S, Takahashi D, Okada R, Nakayama Y, Nishida Y, Gotohda N, Takahashi S and Konishi M: A resected case of intraductal tubulopapillary neoplasm of the pancreas: Report of a case. Int Surg. 100:281–286. 2015. View Article : Google Scholar : PubMed/NCBI

18 

Matthews Y, McKenzie C, Byrne C and Kench JG: Intraductal tubulopapillary neoplasm of pancreas with associated invasive carcinoma, lymph node, rectal and hepatic metastases. Pathology. 47:169–171. 2015. View Article : Google Scholar : PubMed/NCBI

19 

Kölby D, Thilén J, Andersson R, Sasor A and Ansari D: Multifocal intraductal tubulopapillary neoplasm of the pancreas with total pancreatectomy: Report of a case and review of literature. Int J Clin Exp Pathol. 8:9672–9680. 2015.PubMed/NCBI

20 

Tajima S: Intraductal tubulopapillary neoplasm of the pancreas suspected by endoscopic ultrasonography-fine-needle aspiration cytology: Report of a case confirmed by surgical specimen histology. Diagn Cytopathol. 43:1003–1006. 2015. View Article : Google Scholar : PubMed/NCBI

Related Articles

  • Abstract
  • View
  • Download
  • Twitter
Copy and paste a formatted citation
Spandidos Publications style
Fujimoto Y, Tomimaru Y, Tamura H, Noguchi K, Nagase H, Hamabe A, Hirota M, Oshima K, Tanida T, Kawase T, Kawase T, et al: Pancreatic intraductal tubulopapillary neoplasm with associated invasive cancer successfully treated by total pancreatectomy: A case report. Oncol Lett 14: 153-158, 2017.
APA
Fujimoto, Y., Tomimaru, Y., Tamura, H., Noguchi, K., Nagase, H., Hamabe, A. ... Dono, K. (2017). Pancreatic intraductal tubulopapillary neoplasm with associated invasive cancer successfully treated by total pancreatectomy: A case report. Oncology Letters, 14, 153-158. https://doi.org/10.3892/ol.2017.6130
MLA
Fujimoto, Y., Tomimaru, Y., Tamura, H., Noguchi, K., Nagase, H., Hamabe, A., Hirota, M., Oshima, K., Tanida, T., Kawase, T., Morita, S., Imamura, H., Iwazawa, T., Akagi, K., Yamamoto, M., Nishida, T., Adachi, S., Dono, K."Pancreatic intraductal tubulopapillary neoplasm with associated invasive cancer successfully treated by total pancreatectomy: A case report". Oncology Letters 14.1 (2017): 153-158.
Chicago
Fujimoto, Y., Tomimaru, Y., Tamura, H., Noguchi, K., Nagase, H., Hamabe, A., Hirota, M., Oshima, K., Tanida, T., Kawase, T., Morita, S., Imamura, H., Iwazawa, T., Akagi, K., Yamamoto, M., Nishida, T., Adachi, S., Dono, K."Pancreatic intraductal tubulopapillary neoplasm with associated invasive cancer successfully treated by total pancreatectomy: A case report". Oncology Letters 14, no. 1 (2017): 153-158. https://doi.org/10.3892/ol.2017.6130
Copy and paste a formatted citation
x
Spandidos Publications style
Fujimoto Y, Tomimaru Y, Tamura H, Noguchi K, Nagase H, Hamabe A, Hirota M, Oshima K, Tanida T, Kawase T, Kawase T, et al: Pancreatic intraductal tubulopapillary neoplasm with associated invasive cancer successfully treated by total pancreatectomy: A case report. Oncol Lett 14: 153-158, 2017.
APA
Fujimoto, Y., Tomimaru, Y., Tamura, H., Noguchi, K., Nagase, H., Hamabe, A. ... Dono, K. (2017). Pancreatic intraductal tubulopapillary neoplasm with associated invasive cancer successfully treated by total pancreatectomy: A case report. Oncology Letters, 14, 153-158. https://doi.org/10.3892/ol.2017.6130
MLA
Fujimoto, Y., Tomimaru, Y., Tamura, H., Noguchi, K., Nagase, H., Hamabe, A., Hirota, M., Oshima, K., Tanida, T., Kawase, T., Morita, S., Imamura, H., Iwazawa, T., Akagi, K., Yamamoto, M., Nishida, T., Adachi, S., Dono, K."Pancreatic intraductal tubulopapillary neoplasm with associated invasive cancer successfully treated by total pancreatectomy: A case report". Oncology Letters 14.1 (2017): 153-158.
Chicago
Fujimoto, Y., Tomimaru, Y., Tamura, H., Noguchi, K., Nagase, H., Hamabe, A., Hirota, M., Oshima, K., Tanida, T., Kawase, T., Morita, S., Imamura, H., Iwazawa, T., Akagi, K., Yamamoto, M., Nishida, T., Adachi, S., Dono, K."Pancreatic intraductal tubulopapillary neoplasm with associated invasive cancer successfully treated by total pancreatectomy: A case report". Oncology Letters 14, no. 1 (2017): 153-158. https://doi.org/10.3892/ol.2017.6130
Follow us
  • Twitter
  • LinkedIn
  • Facebook
About
  • Spandidos Publications
  • Careers
  • Cookie Policy
  • Privacy Policy
How can we help?
  • Help
  • Live Chat
  • Contact
  • Email to our Support Team