Spandidos Publications Logo
  • About
    • About Spandidos
    • Aims and Scopes
    • Abstracting and Indexing
    • Editorial Policies
    • Reprints and Permissions
    • Job Opportunities
    • Terms and Conditions
    • Contact
  • Journals
    • All Journals
    • Oncology Letters
      • Oncology Letters
      • Information for Authors
      • Editorial Policies
      • Editorial Board
      • Aims and Scope
      • Abstracting and Indexing
      • Bibliographic Information
      • Archive
    • International Journal of Oncology
      • International Journal of Oncology
      • Information for Authors
      • Editorial Policies
      • Editorial Board
      • Aims and Scope
      • Abstracting and Indexing
      • Bibliographic Information
      • Archive
    • Molecular and Clinical Oncology
      • Molecular and Clinical Oncology
      • Information for Authors
      • Editorial Policies
      • Editorial Board
      • Aims and Scope
      • Abstracting and Indexing
      • Bibliographic Information
      • Archive
    • Experimental and Therapeutic Medicine
      • Experimental and Therapeutic Medicine
      • Information for Authors
      • Editorial Policies
      • Editorial Board
      • Aims and Scope
      • Abstracting and Indexing
      • Bibliographic Information
      • Archive
    • International Journal of Molecular Medicine
      • International Journal of Molecular Medicine
      • Information for Authors
      • Editorial Policies
      • Editorial Board
      • Aims and Scope
      • Abstracting and Indexing
      • Bibliographic Information
      • Archive
    • Biomedical Reports
      • Biomedical Reports
      • Information for Authors
      • Editorial Policies
      • Editorial Board
      • Aims and Scope
      • Abstracting and Indexing
      • Bibliographic Information
      • Archive
    • Oncology Reports
      • Oncology Reports
      • Information for Authors
      • Editorial Policies
      • Editorial Board
      • Aims and Scope
      • Abstracting and Indexing
      • Bibliographic Information
      • Archive
    • Molecular Medicine Reports
      • Molecular Medicine Reports
      • Information for Authors
      • Editorial Policies
      • Editorial Board
      • Aims and Scope
      • Abstracting and Indexing
      • Bibliographic Information
      • Archive
    • World Academy of Sciences Journal
      • World Academy of Sciences Journal
      • Information for Authors
      • Editorial Policies
      • Editorial Board
      • Aims and Scope
      • Abstracting and Indexing
      • Bibliographic Information
      • Archive
    • International Journal of Functional Nutrition
      • International Journal of Functional Nutrition
      • Information for Authors
      • Editorial Policies
      • Editorial Board
      • Aims and Scope
      • Abstracting and Indexing
      • Bibliographic Information
      • Archive
    • International Journal of Epigenetics
      • International Journal of Epigenetics
      • Information for Authors
      • Editorial Policies
      • Editorial Board
      • Aims and Scope
      • Abstracting and Indexing
      • Bibliographic Information
      • Archive
    • Medicine International
      • Medicine International
      • Information for Authors
      • Editorial Policies
      • Editorial Board
      • Aims and Scope
      • Abstracting and Indexing
      • Bibliographic Information
      • Archive
  • Articles
  • Information
    • Information for Authors
    • Information for Reviewers
    • Information for Librarians
    • Information for Advertisers
    • Conferences
  • Language Editing
Spandidos Publications Logo
  • About
    • About Spandidos
    • Aims and Scopes
    • Abstracting and Indexing
    • Editorial Policies
    • Reprints and Permissions
    • Job Opportunities
    • Terms and Conditions
    • Contact
  • Journals
    • All Journals
    • Biomedical Reports
      • Information for Authors
      • Editorial Policies
      • Editorial Board
      • Aims and Scope
      • Abstracting and Indexing
      • Bibliographic Information
      • Archive
    • Experimental and Therapeutic Medicine
      • Information for Authors
      • Editorial Policies
      • Editorial Board
      • Aims and Scope
      • Abstracting and Indexing
      • Bibliographic Information
      • Archive
    • International Journal of Epigenetics
      • Information for Authors
      • Editorial Policies
      • Editorial Board
      • Aims and Scope
      • Abstracting and Indexing
      • Bibliographic Information
      • Archive
    • International Journal of Functional Nutrition
      • Information for Authors
      • Editorial Policies
      • Editorial Board
      • Aims and Scope
      • Abstracting and Indexing
      • Bibliographic Information
      • Archive
    • International Journal of Molecular Medicine
      • Information for Authors
      • Editorial Policies
      • Editorial Board
      • Aims and Scope
      • Abstracting and Indexing
      • Bibliographic Information
      • Archive
    • International Journal of Oncology
      • Information for Authors
      • Editorial Policies
      • Editorial Board
      • Aims and Scope
      • Abstracting and Indexing
      • Bibliographic Information
      • Archive
    • Medicine International
      • Information for Authors
      • Editorial Policies
      • Editorial Board
      • Aims and Scope
      • Abstracting and Indexing
      • Bibliographic Information
      • Archive
    • Molecular and Clinical Oncology
      • Information for Authors
      • Editorial Policies
      • Editorial Board
      • Aims and Scope
      • Abstracting and Indexing
      • Bibliographic Information
      • Archive
    • Molecular Medicine Reports
      • Information for Authors
      • Editorial Policies
      • Editorial Board
      • Aims and Scope
      • Abstracting and Indexing
      • Bibliographic Information
      • Archive
    • Oncology Letters
      • Information for Authors
      • Editorial Policies
      • Editorial Board
      • Aims and Scope
      • Abstracting and Indexing
      • Bibliographic Information
      • Archive
    • Oncology Reports
      • Information for Authors
      • Editorial Policies
      • Editorial Board
      • Aims and Scope
      • Abstracting and Indexing
      • Bibliographic Information
      • Archive
    • World Academy of Sciences Journal
      • Information for Authors
      • Editorial Policies
      • Editorial Board
      • Aims and Scope
      • Abstracting and Indexing
      • Bibliographic Information
      • Archive
  • Articles
  • Information
    • For Authors
    • For Reviewers
    • For Librarians
    • For Advertisers
    • Conferences
  • Language Editing
Login Register Submit
  • This site uses cookies
  • You can change your cookie settings at any time by following the instructions in our Cookie Policy. To find out more, you may read our Privacy Policy.

    I agree
Search articles by DOI, keyword, author or affiliation
Search
Advanced Search
presentation
Oncology Letters
Join Editorial Board Propose a Special Issue
Print ISSN: 1792-1074 Online ISSN: 1792-1082
Journal Cover
August-2017 Volume 14 Issue 2

Full Size Image

Sign up for eToc alerts
Recommend to Library

Journals

International Journal of Molecular Medicine

International Journal of Molecular Medicine

International Journal of Molecular Medicine is an international journal devoted to molecular mechanisms of human disease.

International Journal of Oncology

International Journal of Oncology

International Journal of Oncology is an international journal devoted to oncology research and cancer treatment.

Molecular Medicine Reports

Molecular Medicine Reports

Covers molecular medicine topics such as pharmacology, pathology, genetics, neuroscience, infectious diseases, molecular cardiology, and molecular surgery.

Oncology Reports

Oncology Reports

Oncology Reports is an international journal devoted to fundamental and applied research in Oncology.

Experimental and Therapeutic Medicine

Experimental and Therapeutic Medicine

Experimental and Therapeutic Medicine is an international journal devoted to laboratory and clinical medicine.

Oncology Letters

Oncology Letters

Oncology Letters is an international journal devoted to Experimental and Clinical Oncology.

Biomedical Reports

Biomedical Reports

Explores a wide range of biological and medical fields, including pharmacology, genetics, microbiology, neuroscience, and molecular cardiology.

Molecular and Clinical Oncology

Molecular and Clinical Oncology

International journal addressing all aspects of oncology research, from tumorigenesis and oncogenes to chemotherapy and metastasis.

World Academy of Sciences Journal

World Academy of Sciences Journal

Multidisciplinary open-access journal spanning biochemistry, genetics, neuroscience, environmental health, and synthetic biology.

International Journal of Functional Nutrition

International Journal of Functional Nutrition

Open-access journal combining biochemistry, pharmacology, immunology, and genetics to advance health through functional nutrition.

International Journal of Epigenetics

International Journal of Epigenetics

Publishes open-access research on using epigenetics to advance understanding and treatment of human disease.

Medicine International

Medicine International

An International Open Access Journal Devoted to General Medicine.

Journal Cover
August-2017 Volume 14 Issue 2

Full Size Image

Sign up for eToc alerts
Recommend to Library

  • Article
  • Citations
    • Cite This Article
    • Download Citation
    • Create Citation Alert
    • Remove Citation Alert
    • Cited By
  • Similar Articles
    • Related Articles (in Spandidos Publications)
    • Similar Articles (Google Scholar)
    • Similar Articles (PubMed)
  • Download PDF
  • Download XML
  • View XML
Article Open Access

α‑taxilin overexpression correlates with proliferation activity but not with prognosis of colorectal cancer

  • Authors:
    • Akira Kanamori
    • Yasuo Imai
    • Keisuke Ihara
    • Hitoshi Nagata
    • Masakazu Nakano
    • Keiichi Tominaga
    • Hiroaki Shimizu
    • Tomihiko Makiyama
    • Hajime Kuroda
    • Hiromichi Shirataki
    • Hideyuki Hiraishi
  • View Affiliations / Copyright

    Affiliations: Department of Gastroenterology, School of Medicine, Dokkyo Medical University, Mibu, Tochigi 321‑0293, Japan, Department of Diagnostic Pathology, School of Medicine, Dokkyo Medical University, Mibu, Tochigi 321‑0293, Japan, Department of Surgical Oncology, School of Medicine, Dokkyo Medical University, Mibu, Tochigi 321‑0293, Japan, Department of Gastroenterological Surgery, School of Medicine, Dokkyo Medical University, Mibu, Tochigi 321‑0293, Japan, Department of Molecular and Cell Biology, School of Medicine, Dokkyo Medical University, Mibu, Tochigi 321‑0293, Japan
    Copyright: © Kanamori et al. This is an open access article distributed under the terms of Creative Commons Attribution License.
  • Pages: 1471-1476
    |
    Published online on: June 2, 2017
       https://doi.org/10.3892/ol.2017.6309
  • Expand metrics +
Metrics: Total Views: 0 (Spandidos Publications: | PMC Statistics: )
Metrics: Total PDF Downloads: 0 (Spandidos Publications: | PMC Statistics: )
Cited By (CrossRef): 0 citations Loading Articles...

This article is mentioned in:


Abstract

α‑taxilin is a binding partner of syntaxins, which are the central coordinators of membrane traffic. Expression of α‑taxilin has been implicated in the development of human glioblastoma, hepatocellular carcinoma and renal cell carcinoma. In the present study, the clinical significance of α‑taxilin expression in colorectal cancer (CRC) was investigated. A total of 20 cases of colorectal intramucosal adenocarcinoma (IMA) with adenoma were analyzed using immunohistochemical analysis. The results demonstrated that α‑taxilin expression was significantly associated with Ki‑67 indices in adenoma and IMA. The patients expressed equally high levels of α‑taxilin in the upper third of the intramucosal glands. These results suggest that α‑taxilin expression is significantly associated with the proliferative activity of CRC, but that its overexpression alone is not a biomarker of malignancy. Next, α‑taxilin expression was investigated in 57 advanced CRCs and its association with prognosis was determined. Well‑differentiated and/or moderately differentiated adenocarcinomas in the left‑sided colon with anatomic stage II and/or III were analyzed. α‑taxilin expression levels were high on the surface of nearly all tumors, but variable at the deep advancing edge. α‑taxilin levels at the advancing edge were not significantly associated with local invasiveness or prognosis. In conclusion, α‑taxilin is a cell proliferation marker in colorectal epithelial neoplasms but cannot be a marker of malignancy or prognosis of CRCs.

Introduction

Colorectal cancer (CRC) is the third most common cancer and the fourth leading cause of cancer-related death worldwide (1,2). In 2012, 1,360,600 new cases were diagnosed and 693,900 deaths were attributed to CRC (2). The carcinogenetic mechanism of CRC has been extensively investigated and intracellular signaling pathways related to cell survival, cell fate, and genome maintenance have been implicated (3).

Membrane traffic is a fundamental intracellular transport system in eukaryotic cells, and recent studies have revealed that molecules involved in membrane traffic play an important role in the initiation and progression of several types of tumor (4–6). Soluble N-ethylmaleimide-sensitive factor attachment protein receptors (SNAREs) located on intracellular vesicles and their target membranes are the central coordinators of membrane traffic (7), and syntaxin family proteins are the main components of SNARE complexes. Taxilin was identified as a novel binding partner of syntaxins (8). The taxilin family consists of at least three members: α-, β-, and γ-taxilins. α-taxilin binds to free syntaxins that are not part of a SNARE complex (9), suggesting that α-taxilin may act as a regulator of vesicular transport by affecting the assembly of SNARE complexes. In the physiological setting α-taxilin was proposed to be involved in Ca2+-dependent exocytosis in neuroendocrine cells (8), and it was recently reported that α-taxilin is normally expressed in gastrointestinal epithelial cells (10). α-taxilin is also expressed in stromal cells, such as mouse fibroblast NIH3T3 (10) and human fibrosarcoma HT1080 (11) cell lines. Overexpression of α-taxilin mRNA has been reported in human glioblastoma compared with normal tissues of the central nervous system (12). α-taxilin expression has also been found to be associated with proliferative activity and dedifferentiation of hepatocellular carcinoma (HCC) (13) and local invasiveness and poor prognosis of renal cell carcinoma (RCC) (14).

In the present study, we analyzed α-taxilin expression in human colorectal tumors and explored the associations between α-taxilin overexpression and prognosis of CRC. This is the first study to investigate the clinical significance of α-taxilin in human CRC.

Materials and methods

Tumor samples, pathological diagnosis, and staging

CRCs that were endoscopically or surgically resected at the Dokkyo Medical University Hospital (DMUH) and the International University of Health and Welfare, Shioya Hospital (IUHWSH) were analyzed. Clinicopathologic classification was based on the World Health Organization classification of colorectal tumors and stage grouping was according to tumor, node, metastases (TNM) staging of the American Joint Committee on Cancer (AJCC) Colon and Rectum Cancer Staging (15,16).

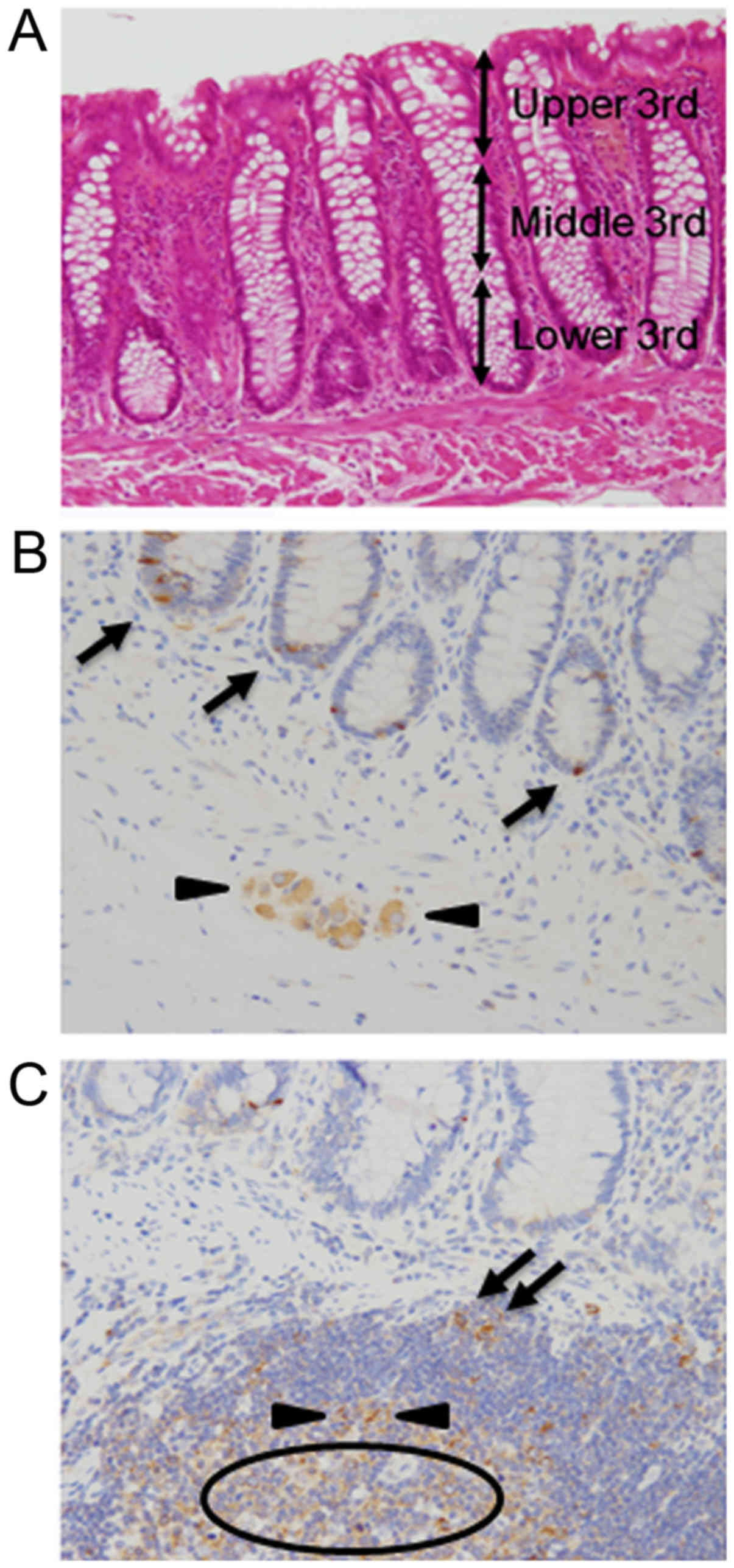
Colorectal intramucosal adenocarcinomas (IMAs; pTis defined by AJCC) with adenoma components were selected from all CRCs resected at IUHWSH from 2013 to 2015 and at DMUH from 2012 to 2014. A total of 20 IMAs, pathologically diagnosed as well-differentiated and/or moderately differentiated adenocarcinoma, were analyzed. For pathological analysis, intramucosal glands were divided into three anatomical components: Upper third (UT), middle third (MT), and lower third (LT) (Fig. 1A). Next, among all CRCs surgically resected at DMUH and IUHWSH from 2009 to 2011, histologically proven well-differentiated and/or moderately differentiated adenocarcinomas in the left-sided colon with anatomic stage II and/or III were selected. All CRCs included in this study were diagnosed clinically and pathologically as primary tumors and confirmed to be advanced cancers that invaded the muscularis propria or more (pT2 to 4). We aimed to study the pure effect of α-taxilin expression on prognosis by normalizing other possible prognostic factors, such as tumor histology, differentiation grade, location, and initial anatomic stage (17). Patients with complete medical records were included in the survival analyses, but individuals with invasive cancers originating from other sites were excluded. As a result, a total of 57 cases were subjected to prognostic analyses. This study protocol was approved by the ethical review boards of the participating hospitals (IUHWSH, FK-94; DMUH, 26067).

Figure 1.

(A) Three anatomical components of normal colonic crypts: Upper third, middle third, and lower third. (B) α-Taxilin expression in the colonic crypts and ganglion cells. Level 3, comparable to expression of proliferating cells in the lower crypt (arrows); level 2, comparable to expression of ganglion cells (arrowheads). (C) α-Taxilin expression in the lymph follicles. Level 3, comparable to expression of follicular dendritic cells (arrowheads) and immunoblasts (arrows); level 2, comparable to expression of follicular B lymphocytes (in the circle).

Immunohistochemistry

Tumor specimens were fixed in 10% neutral-buffered formalin for 48 h, embedded in paraffin, and then cut into 4-µm sections. Antigen retrieval was performed in 10 mM citrate buffer (pH 6.0) using microwave irradiation (400 W) at 95°C for 40 min. After quenching endogenous peroxidase activity, sections were incubated with primary antibody detecting α-taxilin (1:1,000) or Ki-67 (1:50, clone: Mib-1; Dako, Glostrup, Denmark) for 60 min at room temperature. Characterization of the anti-α-taxilin antibody was described in previous studies (10,18). Intensity of α-taxilin staining was classified into four categories: Level 3, comparable to that of proliferating cells in the lower crypt, follicular dendritic cells, and immunoblasts: Level 2, comparable to that of ganglion cells and follicular B-lymphocytes: Level 1, between level 0 and 2: Level 0, no staining (Fig. 1B and C). α-taxilin expression of levels 2 and 3 was regarded as overexpression. Ki-67 indices were calculated as the percentage of Ki-67-positive cells among 500 to 1,000 cells in the areas with the strongest nuclear labeling.

Statistics

Comparisons between two sets of data were performed by non-paired/paired two-tailed Student's t-test. Correlation between α-taxilin expression levels and Ki-67 indices were analyzed by Spearman's rank correlation analysis. Specific parameters between two patient cohorts were compared using the χ2 test with/without Yates' correction or by Fisher's exact test. Age was compared using the Mann-Whitney U test, and survival curves were analyzed using the Kaplan-Meier method and log-rank tests. P<0.05 was considered to indicate a statistically significant difference. Statistical analyses were performed using IBM SPSS Statistics 23 (IBM SPSS, Armonk, NY, USA).

Results

α-taxilin expression in IMA and adenoma

A total of 20 cases of IMA with adenoma were analyzed (Fig. 2A). The proliferative zone was in the LT in the normal colonic crypt, whereas it shifted to UT in adenoma and spread from the UT downward in IMA (Fig. 2B). α-taxilin expression paralleled Ki-67 expression (Fig. 2B and C). In the normal mucosa, expression of both α-taxilin and Ki-67 was strongest in LT followed by MT, and weakest in UT of the crypt (Fig. 3A). In contrast, for glands in adenoma and IMA, expression of both α-taxilin and Ki-67 was strongest in UT followed by MT, and weakest in LT (Fig. 3A). α-taxilin levels were similarly high in UT of glands of adenoma and IMA (2.813±0.527 and 2.875±0.484, respectively), although Ki-67 indices were significantly higher in IMA than in adenoma (88.46±9.343 and 63.35±17.2, respectively; P<0.01) (Fig. 3A).

Figure 2.

(A) Representative histological structure of IMA with adenoma (H&E ×2). (B) Ki-67 expression status (×2). (C) α-Taxilin expression status (×2). IMA, intramucosal adenocarcinoma; H&E, hematoxylin and eosin.

Figure 3.

(A) α-Taxilin expression levels and Ki-67 labeling indices in the respective anatomical units (lower, middle and upper thirds) of the normal crypt, adenoma, and IMA. (B) Scattergrams displaying correlations between α-taxilin expression level and Ki-67 labeling index in three anatomical units of adenoma and IMA. U, upper third; M, middle third; L, lower third; IMA, intramucosal adenocarcinoma.

Coordinate points consisting of α-taxilin level in the x-axis and Ki-67 index in the y-axis in respective anatomical components (LT, MT and UT) of intramucosal neoplastic glands were plotted in a scattergram (Fig. 3B). α-taxilin level and Ki-67 index showed a significant positive correlation in both adenoma and IMA.

α-taxilin expression in CRC and prognosis

We next investigated α-taxilin expression in histologically proven well-differentiated and/or moderately differentiated adenocarcinoma in the left-sided colon with anatomic stage II and/or III and examined its association with local invasiveness and prognosis. α-taxilin was strongly expressed at the cancer surface of nearly all CRCs: Level 1 in 6 cases, level 2 in 15 cases, level 3 in 35 cases, not determined in one case (Fig. 4A and C). In contrast, α-taxilin expression levels at the cancer deep advancing edge in the colorectal wall were more variable: Level 0 in 4 cases, level 1 in 12 cases, level 2 in 25 cases, and level 3 in 16 cases (Fig. 4B and D). Sixteen of 57 cases (28.1%) showed low expression of α-taxilin. On average, there was a significant difference in α-taxilin expression levels between the surface area and the advancing edge (2.52±0.09 and 1.91±0.12, respectively; P<0.01) in the present CRC cohorts.

Figure 4.

Representative α-taxilin expression status at the surface and at the deep advancing edge of advanced CRC (×4). Level 3 staining in the (A) surface area and at the (B) advancing edge in the sigmoid colon cancer of an 80-year-old male patient. Arrows indicate ganglion cells. Level 3 staining at the (C) surface area and level 1 staining at the (D) advancing edge in rectal cancer of a 78-year-old female patient. Arrows indicate ganglion cells. CRC, colorectal cancer.

Malignant tumor is characterized by destructive downward growth and metastasis. We therefore investigated associations of α-taxilin expression in cancer cells at the advancing edge with local invasiveness and prognosis. α-taxilin overexpression (levels 2 and 3) was not associated with any of the clinical parameters tested, including depth of tumor (pT), venous invasion, lymphatic permeation, nodal metastasis, and clinical stage (Table I). In the survival analyses, CRCs with α-taxilin overexpression showed a trend for worse 5-year recurrence-free survival than those without α-taxilin overexpression, but the difference did not reach statistical significance (Fig. 5A). Advanced CRCs with and without α-taxilin overexpression demonstrated similar 5-year overall survival (Fig. 5B). These results suggest that the α-taxilin expression level may not affect prognosis of CRCs.

Figure 5.

Survival analyses of histologically proven well-differentiated and/or moderately differentiated adenocarcinoma in the left-sided colon with anatomic stage II and/or III. (A) 5-year recurrence-free survival in the presence (n=41; solid line) or absence (n=16; dotted line) of α-taxilin overexpression at the deep advancing edge. (B) 5-year overall survival in the presence (n=41; solid line) or absence (n=16; dotted line) of α-taxilin overexpression at the deep advancing edge.

Table I.

Association between α-taxilin overexpression in cancer cells at the deep advancing edge and clinicopathologic characteristics of advanced CRC.

Table I.

Association between α-taxilin overexpression in cancer cells at the deep advancing edge and clinicopathologic characteristics of advanced CRC.

α-Taxilin overexpression

CharacteristicsYes (n=41)No (n=16)P-value
Age
  Range (mean)42–83 (67)58–81 (69.5)0.505
Gender
  Male23  80.771
  Female18  8
pT4
  Yes  8  40.450
  No3312
Venous invasion
  Yes28111.000
  No13  5
Lymphatic permeation
  Yes32131.000
  No  9  3
Nodal metastasis
  Yes19  81.000
  No22  8
Clinical stage
  II22  81.000
  III19  8

[i] CRC, colorectal cancer; pT4, tumor penetrating to the surface of the visceral peritoneum, directly invading or adherent to other organs or structures.

Discussion

It has been reported that α-taxilin is related to cell proliferation of neuroepithelial cells and malignancies of epithelial origin, such as HCC and RCC (8,13,14). Recently, Horii et al reported α-taxilin expression status in the normal gastrointestinal tract in mice (10). They demonstrated that α-taxilin was expressed in the majority of the gastrointestinal tract and prominently present in the cytoplasm of epithelial cells expressing Ki-67 in C57BL/6 mice. Although some epithelial cells expressed α-taxilin without Ki-67 expression, the majority of α-taxilin-positive/Ki-67-negative epithelial cells were observed in the vicinity of α-taxilin/Ki-67 double-positive cells, and the authors reasoned that α-taxilin remained in these cells following division and subsequent loss of Ki-67 expression. They also reported that treatment with dibenzazepine, a γ-secretase inhibitor that inhibits cell proliferation in the stomach, resulted in a decrease in the number of Ki-67-positive cells and α-taxilin-positive cells in the lower part of the gastric glands, suggesting that expression of α-taxilin was dependent on cell proliferation. In the present study, we investigated α-taxilin expression status in human colorectal tumors for the first time. Assuming that α-taxilin might be a marker of CRC, we first studied its expression focusing on the pathological sequence of colorectal carcinogenesis. In normal mucosa, the proliferation zone of the colonic crypt is located in the lower third of the crypt, where stem cells are present. However, the proliferation zone represented by high Ki-67 indices shifted to the upper third of the crypt in adenoma and was found to extend downward from the UT in IMA. These observations corresponded well with one of the two models explaining colon carcinogenesis: The top-down model. This model proposes that transformation is initiated in a fully differentiated cell in which adenomatous polyposis coli is highly expressed and β-catenin is downregulated (19). The fully differentiated villus cell proliferates and replaces the normal mucosa from the top down. In contrast, the bottom-up model proposes that transformation is initiated in a stem cell at the base of the crypt, which proliferates and replaces the normal mucosa with transformed cells from the bottom up. In the present study, α-taxilin levels were significantly associated with proliferation activity in both adenoma and IMA. We observed that α-taxilin was similarly upregulated in the upper third of the neoplastic glands in both adenoma and IMA. These data suggested that α-taxilin expression status might be similar between adenoma and adenocarcinoma, and that high α-taxilin levels could not be a marker of malignancy in the large intestine.

We next investigated α-taxilin expression in histologically proven well-differentiated and/or moderately differentiated adenocarcinoma in the left-sided colon with anatomic stage II and/or III in order to investigate its prognostic significance in CRC. Since α-taxilin expression levels were similarly high in the surface area of adenoma and adenocarcinoma, we reasoned that α-taxilin expression on the surface could not be a marker of malignancy or prognosis in CRCs. However, the malignant potential of cancer would be determined by proliferation activity, destructive downward growth, and metastasis, suggesting that malignant potential may be determined by the invasiveness and proliferation activity of cancer cells at the deep advancing edge. We therefore investigated associations of α-taxilin expression at the advancing edge with local invasiveness (pT and vessel invasion) and prognosis; however, α-taxilin expression levels were not associated with local invasiveness and also did not affect 5-year recurrence-free survival or overall survival of patients with advanced CRCs.

Previously, Ohtomo et al reported that α-taxilin upregulation was significantly associated with proliferative activity, less-differentiated histological grade, positivity of vascular invasion, and/or intrahepatic metastasis of HCC (13). In addition, Mashidori et al reported that α-taxilin upregulation was significantly associated with depth of tumor (pT), vessel invasion, and unfavorable overall and disease-free survival of patients with RCC (14). In the present study, α-taxilin expression levels were associated with proliferation activity but its overexpression did not significantly affect prognosis of patients with CRC. There are some possible explanations for this discrepancy. First, it is well known that a majority of CRCs develop via the adenoma-carcinoma sequence. Because α-taxilin levels in adenoma cells are already as high as those in adenocarcinoma cells, upregulation of α-taxilin alone cannot be a marker of malignant potential of colorectal neoplasms. In contrast, except for a few cases, no such common precancerous lesion has been reported for HCC and RCC. The majority of both tumors may develop de novo, and therefore α-taxilin upregulation could be a marker of malignancy. Second, we selected a relatively homogenous group of CRCs to investigate only the effect of α-taxilin expression on prognosis. We enrolled only cases of histologically proven differentiated adenocarcinoma in the left-sided colon with anatomic stage II and/or III that underwent surgical resection. However, this selection might have resulted in selection bias because α-taxilin levels might have affected pT and nodal/distant metastasis. Analysis of all consecutive CRC cases in our regional cohort during the study period might have resulted in a different conclusion. This is definitely a limitation to this trial, in part because patients with stage I disease would undergo endoscopic treatment and those with stage IV disease may not undergo surgical resection. Third, histological structure differs greatly between CRC and HCC/RCC; invasive CRCs are relatively stroma-rich tumors whereas both HCCs and RCCs are deficient in fibrous stroma. In the present study, as well as in previous studies, α-taxilin expression was also noted in the stromal cells such as fibroblasts. Previous studies suggested fibroblasts as the cellular origin of matrix metalloproteinase (MMP)-9 in CRCs (20,21). Increased MMP-2 and MMP-9 expression has been associated with worse outcome of CRC (22–24). The fact that α-taxilin preferentially binds to free syntaxins and thereby prevents formation of the SNARE complex suggests that α-taxilin might act as a negative regulator of t-SNARE formation, leading to impaired intracellular vesicular transport (8,9). SNAREs have been reported to be involved in secretion of MMP-2 and MMP-9 (25), therefore α-taxilin expression in fibroblasts might cause decreased MMP-9 secretion, leading to a favorable prognosis of CRCs. α-taxilin expression in both cancer cells and stromal cells may offset the prognostic effect in stroma-rich CRCs.

In conclusion, this is the first report of α-taxilin expression in human colorectal tumors. In both adenoma and adenocarcinoma, α-taxilin was significantly associated with cell proliferation activity. However, α-taxilin expression levels were not significantly associated with local invasiveness or recurrence-free/overall survival of advanced CRCs. Taken together, our findings indicate that α-taxilin is a cell proliferation marker in colorectal epithelial neoplasms, but cannot be a marker of malignancy, and its expression does not affect prognosis of CRC.

Acknowledgements

We are greatly indebted to Ms. Chiaki Matsuyama and Ms. Ayako Shimizu for their excellent technical assistance. This study was supported in part by JSPS KAKENHI (JP16K08695) from the Ministry of Education, Culture, Sports, Science and Technology of Japan.

References

1 

World Cancer Research Fund/American Institute for Cancer Research, . Food, Nutrition, Physical Activity and the Prevention of Cancer: A Global Perspective. AICR; Washington DC: pp. 280–288. 2007

2 

Torre LA, Bray F, Siegel RL, Ferlay J, Lortet-Tieulent J and Jemal A: Global cancer statistics, 2012. CA Cancer J Clin. 65:87–108. 2015. View Article : Google Scholar : PubMed/NCBI

3 

Vogelstein B, Papadopoulos N, Velculescu VE, Zhou S, Diaz LA Jr and Kinzler KW: Cancer genome landscapes. Science. 339:1546–1558. 2013. View Article : Google Scholar : PubMed/NCBI

4 

Strömberg S, Agnarsdóttir M, Magnusson K, Rexhepaj E, Bolander A, Lundberg E, Asplund A, Ryan D, Rafferty M, Gallagher WM, et al: Selective expression of Syntaxin-7 protein in benign melanocytes and malignant melanoma. J Proteome Res. 8:1639–1646. 2009. View Article : Google Scholar : PubMed/NCBI

5 

Hashimoto S, Onodera Y, Hashimoto A, Tanaka M, Hamaguchi M, Yamada A and Sabe H: Requirement for Arf6 in breast cancer invasive activities. Proc Natl Acad Sci USA. 101:pp. 6647–6652. 2004; View Article : Google Scholar : PubMed/NCBI

6 

Bascom JL, Fata JE, Hirai Y, Sternlicht MD and Bissell MJ: Epimorphin overexpression in the mouse mammary gland promotes alveolar hyperplasia and mammary adenocarcinoma. Cancer Res. 65:8617–8621. 2005. View Article : Google Scholar : PubMed/NCBI

7 

Chen YA and Scheller RH: SNARE-mediated membrane fusion. Nat Rev Mol Cell Biol. 2:98–106. 2001. View Article : Google Scholar : PubMed/NCBI

8 

Nogami S, Satoh S, Nakano M, Shimizu H, Fukushima H, Maruyama A, Terano A and Shirataki H: Taxilin; a novel syntaxin-binding protein that is involved in Ca2+-dependent exocytosis in neuroendocrine cells. Genes Cells. 8:17–28. 2003. View Article : Google Scholar : PubMed/NCBI

9 

Nogami S, Satoh S, Nakano M, Terano A and Shirataki H: Interaction of taxilin with syntaxin which does not form the SNARE complex. Biochem Biophys Res Commun. 311:797–802. 2003. View Article : Google Scholar : PubMed/NCBI

10 

Horii Y, Sakane H, Nogami S, Ohtomo N, Tomiya T and Shirataki H: Expression of α-taxilin in the murine gastrointestinal tract: Potential implication in cell proliferation. Histochem Cell Biol. 141:165–180. 2014. View Article : Google Scholar : PubMed/NCBI

11 

Sai XB, Makiyama T, Sakane H, Horii Y, Hiraishi H and Shirataki H: TSG101, a tumor susceptibility gene, bidirectionally modulates cell invasion through regulating MMP-9 mRNA expression. BMC Cancer. 15:9332015. View Article : Google Scholar : PubMed/NCBI

12 

Oba-Shinjo SM, Bengtson MH, Winnischofer SM, Colin C, Vedoy CG, De Mendonça Z, Marie SK and Sogayar MC: Identification of novel differentially expressed genes in human astrocytomas by cDNA representational difference analysis. Brain Res Mol Brain Res. 140:25–33. 2005. View Article : Google Scholar : PubMed/NCBI

13 

Ohtomo N, Tomiya T, Tanoue Y, Inoue Y, Nishikawa T, Ikeda H, Seyama Y, Kokudo N, Shibahara J, Fukayama M, et al: Expression of α-taxilin in hepatocellular carcinoma correlates with growth activity and malignant potential of the tumor. Int J Oncol. 37:1417–1423. 2010.PubMed/NCBI

14 

Mashidori T, Shirataki H, Kamai T, Nakamura F and Yoshida K: Increased alpha-taxilin protein expression is associated with the metastatic and invasive potential of renal cell cancer. Biomed Res. 32:103–110. 2011. View Article : Google Scholar : PubMed/NCBI

15 

Hamilton SR, Bosman FT, Boffetta P, Ilyas M, Morreau H, Nakamura SI, Quirke P, Riboli E and Sobin LH: Carcinoma of the colon and rectumWHO Classification of Tumours of the Digestive System. 4th. Bozman FT, Carneiro F, Hruban RH and Theise ND: IARC Press; Lyon: pp. 134–146. 2010

16 

American Joint Committee on Cancer (AJCC), . Colon and Rectum Cancer Staging. 7th. AJCC; Chicago, IL: 2009, https://cancerstaging.org/references-tools/quickreferences/Documents/ColonMedium.pdfMay 25–2017

17 

Imai Y: Poorly differentiated adenocarcinoma of the colon: Subsite location and clinicopathologic features. Int J Colorectal Dis. 30:187–196. 2015. View Article : Google Scholar : PubMed/NCBI

18 

Sakakibara S, Nakadate K, Tanaka-Nakadate S, Yoshida K, Nogami S, Shirataki H and Ueda S: Developmental and spatial expression pattern of alpha-taxilin in the rat central nervous system. J Comp Neurol. 511:65–80. 2008. View Article : Google Scholar : PubMed/NCBI

19 

Fodde R, Smits R and Clevers H: APC, signal transduction and genetic instability in colorectal cancer. Nat Rev Cancer. 1:55–67. 2001. View Article : Google Scholar : PubMed/NCBI

20 

Roeb E, Dietrich CG, Winograd R, Arndt M, Breuer B, Fass J, Schumpelick V and Matern S: Activity and cellular origin of gelatinases in patients with colon and rectal carcinoma differential activity of matrix metalloproteinase-9. Cancer. 92:2680–2691. 2001. View Article : Google Scholar : PubMed/NCBI

21 

Behrens P, Mathiak M, Mangold E, Kirdorf S, Wellmann A, Fogt F, Rothe M, Florin A and Wernert N: Stromal expression of invasion-promoting, matrix-degrading proteases MMP-1 and −9 and the Ets 1 transcription factor in HNPCC carcinomas and sporadic colorectal cancers. Int J Cancer. 107:183–188. 2003. View Article : Google Scholar : PubMed/NCBI

22 

Said AH, Raufman JP and Xie G: The role of matrix metalloproteinases in colorectal cancer. Cancers (Basel). 6:366–375. 2014. View Article : Google Scholar : PubMed/NCBI

23 

Zeng ZS, Huang Y, Cohen AM and Guillem JG: Prediction of colorectal cancer relapse and survival via tissue RNA levels of matrix metalloproteinase-9. J Clin Oncol. 14:3133–3140. 1996. View Article : Google Scholar : PubMed/NCBI

24 

Zeng ZS, Cohen AM and Guillem JG: Loss of basement membrane type IV collagen is associated with increased expression of metalloproteinases 2 and 9 (MMP-2 and MMP-9) during human colorectal tumorigenesis. Carcinogenesis. 20:749–755. 1999. View Article : Google Scholar : PubMed/NCBI

25 

Kean MJ, Williams KC, Skalski M, Myers D, Burtnik A, Foster D and Coppolino MG: VAMP3, syntaxin-13 and SNAP23 are involved in secretion of matrix metalloproteinases, degradation of the extracellular matrix and cell invasion. J Cell Sci. 122:4089–4098. 2009. View Article : Google Scholar : PubMed/NCBI

Related Articles

  • Abstract
  • View
  • Download
  • Twitter
Copy and paste a formatted citation
Spandidos Publications style
Kanamori A, Imai Y, Ihara K, Nagata H, Nakano M, Tominaga K, Shimizu H, Makiyama T, Kuroda H, Shirataki H, Shirataki H, et al: α‑taxilin overexpression correlates with proliferation activity but not with prognosis of colorectal cancer. Oncol Lett 14: 1471-1476, 2017.
APA
Kanamori, A., Imai, Y., Ihara, K., Nagata, H., Nakano, M., Tominaga, K. ... Hiraishi, H. (2017). α‑taxilin overexpression correlates with proliferation activity but not with prognosis of colorectal cancer. Oncology Letters, 14, 1471-1476. https://doi.org/10.3892/ol.2017.6309
MLA
Kanamori, A., Imai, Y., Ihara, K., Nagata, H., Nakano, M., Tominaga, K., Shimizu, H., Makiyama, T., Kuroda, H., Shirataki, H., Hiraishi, H."α‑taxilin overexpression correlates with proliferation activity but not with prognosis of colorectal cancer". Oncology Letters 14.2 (2017): 1471-1476.
Chicago
Kanamori, A., Imai, Y., Ihara, K., Nagata, H., Nakano, M., Tominaga, K., Shimizu, H., Makiyama, T., Kuroda, H., Shirataki, H., Hiraishi, H."α‑taxilin overexpression correlates with proliferation activity but not with prognosis of colorectal cancer". Oncology Letters 14, no. 2 (2017): 1471-1476. https://doi.org/10.3892/ol.2017.6309
Copy and paste a formatted citation
x
Spandidos Publications style
Kanamori A, Imai Y, Ihara K, Nagata H, Nakano M, Tominaga K, Shimizu H, Makiyama T, Kuroda H, Shirataki H, Shirataki H, et al: α‑taxilin overexpression correlates with proliferation activity but not with prognosis of colorectal cancer. Oncol Lett 14: 1471-1476, 2017.
APA
Kanamori, A., Imai, Y., Ihara, K., Nagata, H., Nakano, M., Tominaga, K. ... Hiraishi, H. (2017). α‑taxilin overexpression correlates with proliferation activity but not with prognosis of colorectal cancer. Oncology Letters, 14, 1471-1476. https://doi.org/10.3892/ol.2017.6309
MLA
Kanamori, A., Imai, Y., Ihara, K., Nagata, H., Nakano, M., Tominaga, K., Shimizu, H., Makiyama, T., Kuroda, H., Shirataki, H., Hiraishi, H."α‑taxilin overexpression correlates with proliferation activity but not with prognosis of colorectal cancer". Oncology Letters 14.2 (2017): 1471-1476.
Chicago
Kanamori, A., Imai, Y., Ihara, K., Nagata, H., Nakano, M., Tominaga, K., Shimizu, H., Makiyama, T., Kuroda, H., Shirataki, H., Hiraishi, H."α‑taxilin overexpression correlates with proliferation activity but not with prognosis of colorectal cancer". Oncology Letters 14, no. 2 (2017): 1471-1476. https://doi.org/10.3892/ol.2017.6309
Follow us
  • Twitter
  • LinkedIn
  • Facebook
About
  • Spandidos Publications
  • Careers
  • Cookie Policy
  • Privacy Policy
How can we help?
  • Help
  • Live Chat
  • Contact
  • Email to our Support Team