Spandidos Publications Logo
  • About
    • About Spandidos
    • Aims and Scopes
    • Abstracting and Indexing
    • Editorial Policies
    • Reprints and Permissions
    • Job Opportunities
    • Terms and Conditions
    • Contact
  • Journals
    • All Journals
    • Oncology Letters
      • Oncology Letters
      • Information for Authors
      • Editorial Policies
      • Editorial Board
      • Aims and Scope
      • Abstracting and Indexing
      • Bibliographic Information
      • Archive
    • International Journal of Oncology
      • International Journal of Oncology
      • Information for Authors
      • Editorial Policies
      • Editorial Board
      • Aims and Scope
      • Abstracting and Indexing
      • Bibliographic Information
      • Archive
    • Molecular and Clinical Oncology
      • Molecular and Clinical Oncology
      • Information for Authors
      • Editorial Policies
      • Editorial Board
      • Aims and Scope
      • Abstracting and Indexing
      • Bibliographic Information
      • Archive
    • Experimental and Therapeutic Medicine
      • Experimental and Therapeutic Medicine
      • Information for Authors
      • Editorial Policies
      • Editorial Board
      • Aims and Scope
      • Abstracting and Indexing
      • Bibliographic Information
      • Archive
    • International Journal of Molecular Medicine
      • International Journal of Molecular Medicine
      • Information for Authors
      • Editorial Policies
      • Editorial Board
      • Aims and Scope
      • Abstracting and Indexing
      • Bibliographic Information
      • Archive
    • Biomedical Reports
      • Biomedical Reports
      • Information for Authors
      • Editorial Policies
      • Editorial Board
      • Aims and Scope
      • Abstracting and Indexing
      • Bibliographic Information
      • Archive
    • Oncology Reports
      • Oncology Reports
      • Information for Authors
      • Editorial Policies
      • Editorial Board
      • Aims and Scope
      • Abstracting and Indexing
      • Bibliographic Information
      • Archive
    • Molecular Medicine Reports
      • Molecular Medicine Reports
      • Information for Authors
      • Editorial Policies
      • Editorial Board
      • Aims and Scope
      • Abstracting and Indexing
      • Bibliographic Information
      • Archive
    • World Academy of Sciences Journal
      • World Academy of Sciences Journal
      • Information for Authors
      • Editorial Policies
      • Editorial Board
      • Aims and Scope
      • Abstracting and Indexing
      • Bibliographic Information
      • Archive
    • International Journal of Functional Nutrition
      • International Journal of Functional Nutrition
      • Information for Authors
      • Editorial Policies
      • Editorial Board
      • Aims and Scope
      • Abstracting and Indexing
      • Bibliographic Information
      • Archive
    • International Journal of Epigenetics
      • International Journal of Epigenetics
      • Information for Authors
      • Editorial Policies
      • Editorial Board
      • Aims and Scope
      • Abstracting and Indexing
      • Bibliographic Information
      • Archive
    • Medicine International
      • Medicine International
      • Information for Authors
      • Editorial Policies
      • Editorial Board
      • Aims and Scope
      • Abstracting and Indexing
      • Bibliographic Information
      • Archive
  • Articles
  • Information
    • Information for Authors
    • Information for Reviewers
    • Information for Librarians
    • Information for Advertisers
    • Conferences
  • Language Editing
Spandidos Publications Logo
  • About
    • About Spandidos
    • Aims and Scopes
    • Abstracting and Indexing
    • Editorial Policies
    • Reprints and Permissions
    • Job Opportunities
    • Terms and Conditions
    • Contact
  • Journals
    • All Journals
    • Biomedical Reports
      • Information for Authors
      • Editorial Policies
      • Editorial Board
      • Aims and Scope
      • Abstracting and Indexing
      • Bibliographic Information
      • Archive
    • Experimental and Therapeutic Medicine
      • Information for Authors
      • Editorial Policies
      • Editorial Board
      • Aims and Scope
      • Abstracting and Indexing
      • Bibliographic Information
      • Archive
    • International Journal of Epigenetics
      • Information for Authors
      • Editorial Policies
      • Editorial Board
      • Aims and Scope
      • Abstracting and Indexing
      • Bibliographic Information
      • Archive
    • International Journal of Functional Nutrition
      • Information for Authors
      • Editorial Policies
      • Editorial Board
      • Aims and Scope
      • Abstracting and Indexing
      • Bibliographic Information
      • Archive
    • International Journal of Molecular Medicine
      • Information for Authors
      • Editorial Policies
      • Editorial Board
      • Aims and Scope
      • Abstracting and Indexing
      • Bibliographic Information
      • Archive
    • International Journal of Oncology
      • Information for Authors
      • Editorial Policies
      • Editorial Board
      • Aims and Scope
      • Abstracting and Indexing
      • Bibliographic Information
      • Archive
    • Medicine International
      • Information for Authors
      • Editorial Policies
      • Editorial Board
      • Aims and Scope
      • Abstracting and Indexing
      • Bibliographic Information
      • Archive
    • Molecular and Clinical Oncology
      • Information for Authors
      • Editorial Policies
      • Editorial Board
      • Aims and Scope
      • Abstracting and Indexing
      • Bibliographic Information
      • Archive
    • Molecular Medicine Reports
      • Information for Authors
      • Editorial Policies
      • Editorial Board
      • Aims and Scope
      • Abstracting and Indexing
      • Bibliographic Information
      • Archive
    • Oncology Letters
      • Information for Authors
      • Editorial Policies
      • Editorial Board
      • Aims and Scope
      • Abstracting and Indexing
      • Bibliographic Information
      • Archive
    • Oncology Reports
      • Information for Authors
      • Editorial Policies
      • Editorial Board
      • Aims and Scope
      • Abstracting and Indexing
      • Bibliographic Information
      • Archive
    • World Academy of Sciences Journal
      • Information for Authors
      • Editorial Policies
      • Editorial Board
      • Aims and Scope
      • Abstracting and Indexing
      • Bibliographic Information
      • Archive
  • Articles
  • Information
    • For Authors
    • For Reviewers
    • For Librarians
    • For Advertisers
    • Conferences
  • Language Editing
Login Register Submit
  • This site uses cookies
  • You can change your cookie settings at any time by following the instructions in our Cookie Policy. To find out more, you may read our Privacy Policy.

    I agree
Search articles by DOI, keyword, author or affiliation
Search
Advanced Search
presentation
Oncology Letters
Join Editorial Board Propose a Special Issue
Print ISSN: 1792-1074 Online ISSN: 1792-1082
Journal Cover
November-2017 Volume 14 Issue 5

Full Size Image

Sign up for eToc alerts
Recommend to Library

Journals

International Journal of Molecular Medicine

International Journal of Molecular Medicine

International Journal of Molecular Medicine is an international journal devoted to molecular mechanisms of human disease.

International Journal of Oncology

International Journal of Oncology

International Journal of Oncology is an international journal devoted to oncology research and cancer treatment.

Molecular Medicine Reports

Molecular Medicine Reports

Covers molecular medicine topics such as pharmacology, pathology, genetics, neuroscience, infectious diseases, molecular cardiology, and molecular surgery.

Oncology Reports

Oncology Reports

Oncology Reports is an international journal devoted to fundamental and applied research in Oncology.

Experimental and Therapeutic Medicine

Experimental and Therapeutic Medicine

Experimental and Therapeutic Medicine is an international journal devoted to laboratory and clinical medicine.

Oncology Letters

Oncology Letters

Oncology Letters is an international journal devoted to Experimental and Clinical Oncology.

Biomedical Reports

Biomedical Reports

Explores a wide range of biological and medical fields, including pharmacology, genetics, microbiology, neuroscience, and molecular cardiology.

Molecular and Clinical Oncology

Molecular and Clinical Oncology

International journal addressing all aspects of oncology research, from tumorigenesis and oncogenes to chemotherapy and metastasis.

World Academy of Sciences Journal

World Academy of Sciences Journal

Multidisciplinary open-access journal spanning biochemistry, genetics, neuroscience, environmental health, and synthetic biology.

International Journal of Functional Nutrition

International Journal of Functional Nutrition

Open-access journal combining biochemistry, pharmacology, immunology, and genetics to advance health through functional nutrition.

International Journal of Epigenetics

International Journal of Epigenetics

Publishes open-access research on using epigenetics to advance understanding and treatment of human disease.

Medicine International

Medicine International

An International Open Access Journal Devoted to General Medicine.

Journal Cover
November-2017 Volume 14 Issue 5

Full Size Image

Sign up for eToc alerts
Recommend to Library

  • Article
  • Citations
    • Cite This Article
    • Download Citation
    • Create Citation Alert
    • Remove Citation Alert
    • Cited By
  • Similar Articles
    • Related Articles (in Spandidos Publications)
    • Similar Articles (Google Scholar)
    • Similar Articles (PubMed)
  • Download PDF
  • Download XML
  • View XML
Article Open Access

Brain metastatic alveolar soft‑part sarcoma: Clinicopathological profiles, management and outcomes

  • Authors:
    • Xiaogang Tao
    • Zonggang Hou
    • Zhen Wu
    • Shuyu Hao
    • Baiyun Liu
  • View Affiliations / Copyright

    Affiliations: Department of Neurosurgery, Beijing Tian Tan Hospital, Capital Medical University, Beijing 100050, P.R. China
    Copyright: © Tao et al. This is an open access article distributed under the terms of Creative Commons Attribution License.
  • Pages: 5779-5784
    |
    Published online on: September 14, 2017
       https://doi.org/10.3892/ol.2017.6941
  • Expand metrics +
Metrics: Total Views: 0 (Spandidos Publications: | PMC Statistics: )
Metrics: Total PDF Downloads: 0 (Spandidos Publications: | PMC Statistics: )
Cited By (CrossRef): 0 citations Loading Articles...

This article is mentioned in:



Abstract

Alveolar soft‑part sarcoma (ASPS) is a rare sarcoma that presents in the buttocks or thigh of young adults and often metastasizes to the brain. The present study examined the clinical features and morphology of brain metastatic ASPS. The case records of eight patients with brain metastatic ASPS admitted between November 2008 and March 2015 were reviewed. The relevant clinical data (including patient age and sex, neuroimaging studies, histopathological and immunohistochemical features, surgical records and follow‑up reports) were collected through a review of patient records. The sex distribution was 3:1 male to female and the age ranged between 15 and 33 years at the time of surgery. In total, five patients with brain metastases had concurrent pulmonary metastases. The lesions were hypointense on T1‑weighted images in every patient, hyperintense on T2‑weighted images in six patients and contrast enhancement was present in all patients. The most notable immunohistochemical feature was strong immunohistochemical staining for TFE3 in each patient. Gross total resection was performed in all eight patients, with two patients undergoing adjuvant radiotherapy and one undergoing adjuvant chemotherapy. Four recurrent cases were observed during the follow‑up. TFE3 staining and knowledge of its microscopic characteristics would facilitate earlier diagnosis: Early diagnosis with a multidisciplinary, multimodal approach to treatment is required to achieve extended disease‑free survival in patients with brain metastatic ASPS.

Introduction

Alveolar soft-part sarcoma (ASPS) is a rare but distinct soft-tissue tumor that accounts for <1% of all sarcomas, and usually arises in the soft tissues of the extremities (1). Its histogenesis is unclear, but it has unique histopathological and electron microscopic features. In a 1952 study by Christopherson et al (2), the patients studied were predominantly young and female (median age at diagnosis, 22 years), which remain characteristic features of ASPS. ASPS presents as a slowly growing tumor and is usually overlooked due to lack of symptoms. Unlike the majority of sarcomas, ASPS frequently metastasizes, primarily to the lungs (in 42% of cases), bones (19%), brain (15%) and lymph nodes (7%) (3). A number of studies have been performed to identify the molecular mechanism underlying the development of ASPS; however, the pathological mechanism remains unknown (3–5). ‘Alveolar’ soft part sarcoma is diagnosed on the basis of the histological features of the tumors (1,2). Thesite of origin remains controversial with either myogenic or neurogenic origin being proposed (1,3). The primary therapeutic option for ASPS is complete resection with no microscopic residual tumor. The aim of surgery is complete tumor excision. Adequate excision translates into improved outcome in such patients. Radiotherapy, which produces improved local control, is recommended following subtotal surgical removal.

Brain metastasis of ASPS is rare, with only 14 case reports published in the literature in English (4–7). For a period of 6 years, between November 2008 and March 2015, eight patients with ASPS with brain metastasis were treated at the Department of Neurosurgery of Beijing Tian Tan Hospital. In the present study, the clinical, pathological and prognostic features of all eight cases were investigated.

Materials and methods

Between November 2008 and March 2015, eight patients with ASPS with brain metastasis underwent surgery at the Department of Neurosurgery of Beijing Tian Tan Hospital (Table I). Patients were identified from the Beijing Tian Tan Hospital registry and all were treated for brain metastatic ASPS in the same hospital. Relevant clinical (including follow-up) data were collected through a chart review and telephone interviews as necessary. The present study also analyzed all available neuroimaging data and radiological reports. Magnetic resonance imaging (MRI) with gadolinium contrast enhancement was performed as standard radiological investigation prior to and following treatment. MR images were evaluated for the predominant signal intensity and homogeneity of the tumor on T1- and T2-weight images. MR images obtained following intravenous gadolinium chelate injection were evaluated for the degree and predominant pattern of contrast enhancement. Tumor size was recorded according to the measurement of the maximum diameter on MRI. Peritumoral brain edema was evaluated by T2-weighted images or fluid-attenuated inversion recovery sequences on MRI. The patients' neurological status was recorded using the Karnofsky Performance Scale (KPS) score (8). All diagnoses were reviewed at the Department of Neuropathology at the Beijing Neurosurgical Institute (Beijing, China) using the 2007 World Health Organization classification of tumors of the central nervous system (9).

Table I.

Clinical features of eight patients with brain metastatic alveolar soft-part sarcoma.

Table I.

Clinical features of eight patients with brain metastatic alveolar soft-part sarcoma.

Case numberSex/age, yearsInitial SymptomDuration of symptoms, monthsExtent of ResectionBlood SupplyPrimary sitePulmonary metastasesRTCTPreoperative KPSKPS at last follow-upRecurrent tumorMortalityDuration of follow-up, months
1M/22Headache5GTRRichArmYesNoYes905024 months PONo69
2F/15Left hemiparesis0.25GTRRichChestYesNoNo9010033 months PONo35
3F/26Headache2GTRRichThighNoYesNo8090NoNo32
4M/32Headache0.33GTRRichThighYesYesNo90100NoNo31
5M/25Head mass1GTRMediumCrusYesNoNo904018 months PO20 months after surgery20
6M/33Headache and vomiting1GTRRichThighYesNoNo805012 months PONo25
7M/26Head mass3GTRRichThighNoNoNo90100NoNo14
8M/23Headache1GTRRichAbdomenNoNoNo80100NoNo6

[i] CT, chemotherapy; GTR, gross total resection; KPS, Kamofsky performance scale; M, male; PO, postoperative; RT, radiotherapy.

Pathological examination

All specimens underwent fixation in 4% neutral formalin (24 h at 4°C), routine dehydration, paraffin-embedding, preparation into 4-µm sections and staining using hematoxylin-eosin at room temperature for about 2 h. Immunohistochemical staining was used for differential diagnoses. Immunohistochemistry was performed using the indirect immunoperoxidase technique. Bovine serum albumin (Origene Technologies, Beijing, China) was used for blocking at room temperature for 1 h. Primary antibodies included pre-diluted monoclonal antibodies against transcription factor E3 (TFE3; ZA-0570, Origene Technologies; 1:100), vimentin (ZM-0260; 1:200), desmin (ZM-0091; 1:200), myogenin (ZM-0402; 1:200), S-100 (ZM-0224; 1:200), cytokeratin (ZM-0069; 1:100), neurone-specific enolase (ZM-0203; 1:200), smooth muscle actin (ZM-0003; 1:200), epithelial membrane antigen (ZM-0095; 1:200), synaptophysin (ZM-0246; 1:200), chromogranin A (ZM-0076; 1:100), which were incubated for 12 h at 4°C. The SuperPicture™ 3rd Gen IHC Detection kit (Invitrogen; Thermo Fisher Scientific, Inc., Waltham, MA, USA) was used to evaluate staining, according to the manufacturer's protocol. For antigen retrieval, slides were boiled in EDTA buffer (pH 8.0; ZLI-9066; Origene Technologies; Tris 30.27 g, EDTA 1.461 g and H2O 500 ml) under high pressure. Slides were counterstained with hematoxylin. Appropriate positive and negative controls were used. Quantitative evaluation of TFE3 was obtained by calculating the percentage of TFE3-positive nuclei in 100 tumor cells from the microscopic field (light microscope; magnification, ×100; Konghai Co., Beijing, China) with the highest density of labeled nuclei.

Results

Clinical presentation

The clinical features of the eight patients in the present study are summarized in Table I. The ages of patients ranged between 15 and 33 years (mean, 25.3 years). The sex ratio was 3:1 male to female. The duration of symptoms ranged between1 and 22 weeks. Headache and scalp mass were the most common initial symptoms. The most common site of the primary tumor was in the extremities (6/8 patients, 75%), with the lower extremity being involved in 5 of these 6 patients (83.3%) and the upper extremity in one patient (16.6%). The torso was involved in two patients (25%): The chest of one patient and the abdominal region of the other. In addition, 5/8 (62.5%) patients with brain metastases had concurrent pulmonary metastases. The median preoperative KPS score was 86.3±5.2 (Table I).

Neuroradiological findings

Preoperative MRI results were available in all 8 patients (Table II). The location of the tumors were as follows: Left frontal in two patients (cases 1 and 6); right frontal in two patients (cases 2 and 7); left parietal in two patients (cases 4 and 8; Fig. 1); right parietal in one patient (case 5); left anterior cranial fossa in one patient (case 3). Tumor size (maximum diameter on MRI) ranged between 2.5 and 5.4 cm (median, 3.4 cm). In total, 4 tumors were <3.0 cm in the longest dimension, 3 were 3.0–5.0 cm and 1 was >5.0 cm. MRI revealed well-circumscribed lesions and peritumoral edema was observed in 4 patients (cases 1, 2, 4, 6; Fig. 1). T1-weighted images revealed a hypointense signal in all eight patients. T2-weighted imaging showed a hyperintense signal in six patients and an isointense signal in two patients. Moderate enhancement was observed in three cases (cases 3, 7 and 8), and bright contrast enhancement was observed in five cases (cases 1, 2, 4, 5 and 6; Fig. 1).

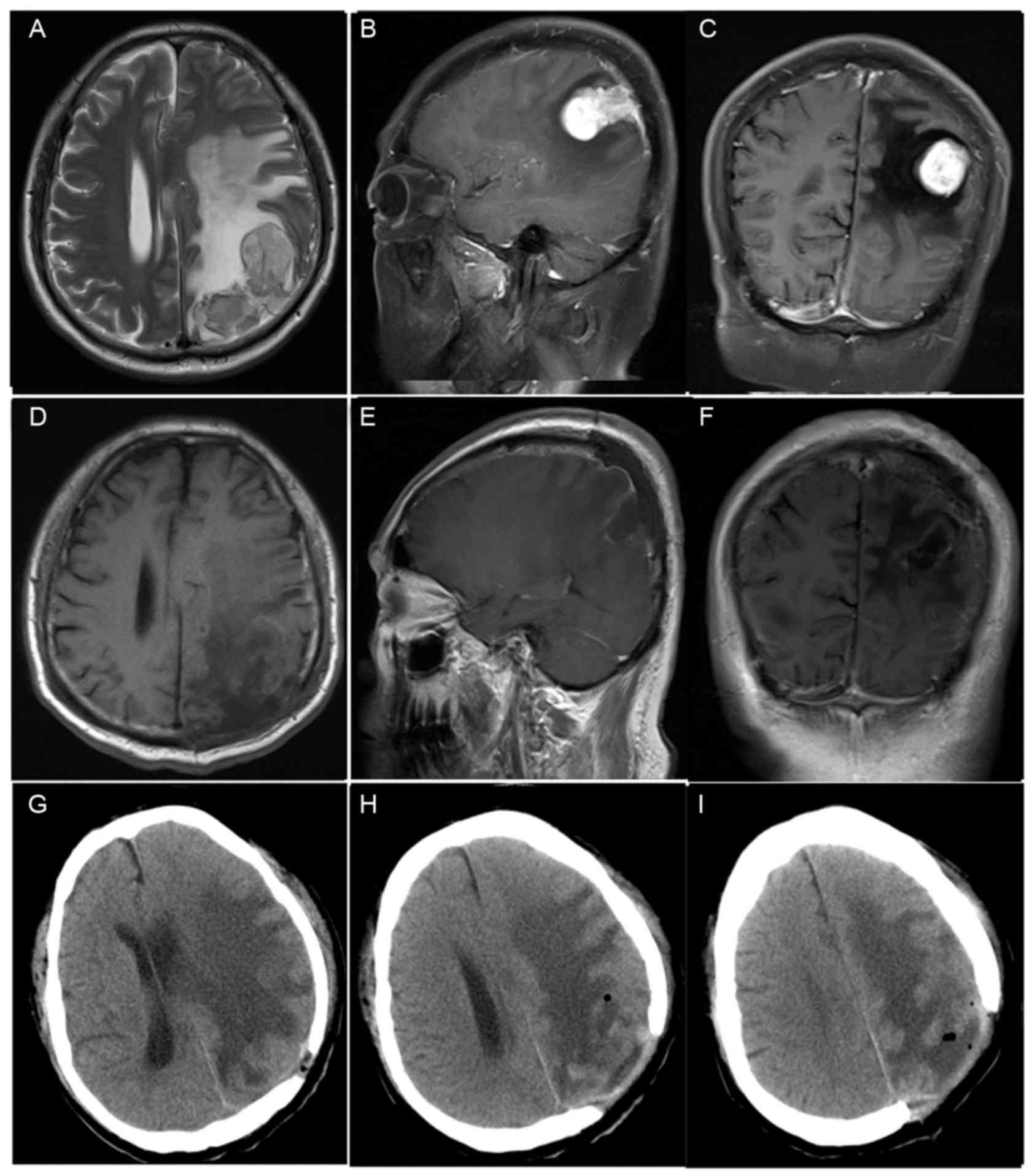
Figure 1.

Case 4. (A) Magnetic resonance imaging of the brain shows hyperintense tumor on T2-weighted images. (B and C) Contrast-enhanced sagittal images and coronal images show a hyperintense tumor with marked enhancement in the left parietal. Peritumoral edema was evident. (D-F) Postoperative, contrast-enhanced axial, image and coronal images show that the lesion was totally resected. (G-I) A postoperative computed tomography image shows the left parietal bone defect. Case 4 was selected as complete patient data could be obtained.

Table II.

Magnetic resonance imaging features of eight patients with brain metastatic alveolar soft-part sarcoma.

Table II.

Magnetic resonance imaging features of eight patients with brain metastatic alveolar soft-part sarcoma.

Patient numberLocationT1-weighted imagingT2-weighted imagingEnhancementMarginsMax diameter, cmEdema
1Left frontalHypoHyperMarkedWell demarcated2.8+
2Right frontalHypoHyperMarkedWell demarcated4.1+
3Left anterior cranial fossaHypoHyperModerateWell demarcated3−
4Left parietalHypoHyperMarkedWell demarcated2.7+
5Right parietalHypoHyperMarkedWell demarcated4−
6Left frontalHypoHyperMarkedWell demarcated2.5+
7Right frontalHypoIsoModerateWell demarcated5.4−
8Left parietalHypoIsoModerateWell demarcated2.7−

[i] Hypo, hypointense signal; Iso, isointense signal; Hyper, hyperintense signal.

Histological findings

A histological examination revealed that a partially encapsulated tumor was sharply demarcated from gliotic brain parenchyma in every patient. Adjacent parenchyma exhibited a perivascular mononuclear inflammatory infiltrate. The tumor cells were large, round-polygonal with distinct borders, abundant granular eosinophilic-clear cytoplasm and had large vesicular nuclei with prominent nucleoli. The most notable immunohistochemical feature was strong, granular cytoplasmic staining for TFE3 (Fig. 2) in 100% (8/8) cases. Focal but strong cytoplasmic staining for vimentin was observed in 50% of cases (4/8). The tumor cells lacked staining for other immunohistochemical markers, including desmin, myogenin and S-100 (Table III).

Figure 2.

(A) Micrograph showing alveolar pattern in an alveolar soft-part sarcoma tissue sample, with delicate, intervening fibrovascularseptae, stained with hematoxylin and eosin (original magnification, ×100). (B) Micrograph showing immunohistochemical staining showing diffuse nuclear immunoreactivity for transcription factor E3 (original magnification, ×100).

Table III.

Results of immunohistochemistry of brain metastatic alveolar soft-part sarcoma.

Table III.

Results of immunohistochemistry of brain metastatic alveolar soft-part sarcoma.

IHC stainingTotal, n (%)
TFE38 (100)
Vimentin4 (50)
Desmin0 (0)
Myogenin0 (0)
S-1002 (25)
CK0 (0)
NSE1 (12.5)
SMA1 (12.5)
EMA1 (12.5)
SYN0 (0)
CgA2 (25)
PAS1 (12.5)

[i] IHC, immunohistochemical; TFE3, transcription factor E3; CK, cytokeratin; NSE, neurone-specific enolase; SMA, smooth muscle actin; EMA, epithelial membrane antigen; synaptophysin; CgA, chromograninA; PAS, periodic acid Schiff.

Surgical findings and outcomes

All patients underwent a craniotomy to remove the tumor. Intraoperatively, the tumors typically appeared as medium-texture, reddish-gray solid masses, some of which eroded the skull. Gross total resection was performed in all eight patients, and seven of the tumors had an abundant blood supply. Postoperatively, the follow-up data were available for all eight patients. The mean follow-up time was 29 months (range, 6–69 months). Four patients (cases 1, 2, 5 and 6) experienced tumor recurrence during follow-up and cases 1 and 6 underwent a second surgery. One patient (case 5) succumbed to disease after 20 months of follow-up. Data analysis revealed that the four relapsed patients had a long history of ASPS, and had experienced multiple systemic metastases (such as to the liver or kidney); each case experienced lung metastasis that had not been treated surgically. The primary disease in these patients had not been well controlled, as the primary lesions had not been completely resected or multiple metastases were already established at the time of diagnosis, eventually leading to intracranial metastasis. In addition, intracranial metastasis recurred a number of years following total resection of the primary intracranial tumor. The four non-relapsing patients (cases 3, 4, 7 and 8) had their primary tumors completely resected, resulting in satisfactory disease control. Of these patients, only one experienced lung metastasis, for which resection was timely performed. None of these four patients relapsed following total resection of the intracranial tumors. Case 6 had multiple metastatic intracranial tumors associated with multiple liver and lung metastases. As of the last follow-up, the patient had received three craniotomies, with the liver and lung lesions remaining untreated. Two patients (cases 3 and 4) underwent adjuvant radiotherapy and one (case 1) received adjuvant chemotherapy. Case 1 exhibited no response to two cycles of oral chemotherapy with sorafenib. At follow-up, five patients (cases 2, 3, 4, 7 and 8) had KPS scores that were higher than their preoperative scores.

Discussion

ASPS is a rare tumor that accounts for 0.5–1% of all soft-tissue tumors (10). Christopherson et al (2) coined the term ASPS when in their study of 12 cases, which first described its unique histological and cytological features. It is primarily a tumor that presents in young adults, with a peak age incidence between 15–35 years and a higher incidence in females (11). The mean age of presentation in this study was 25 years and a majority (21–84%) of the patients presenting with disease aged <30 years. Although other series have documented a larger proportion of female ASPS patients, the present study had a male preponderance as 3:1 male to female ratio. The majority of patients had primary tumors in the lower limbs and exhibited right-sided laterality, as described by Fassbender (12). The site of tumor origin remains controversial, with either myogenic or neurogenic origins proposed (13–15).

Imaging characteristics of brain metastases of ASPS have not been well described in the literature. The appearances of the brain metastases in the present study differ substantially from that of other brain metastases, such as those originating from lung and breast carcinomas (16,17). On computed tomography (CT) images, the appearance of primary and metastatic ASPS reflects a rich vascularity, with large vessels being a prominent feature of the tumor (18,19). Tumor invasion of blood vessels and central non-enhancement, indicating necrosis, are frequent observed on CT images (18). On MRI, ASPS usually present as hyperintense T1-weighted and T2-weighted images. Avid enhancement with contrast is also typical, with or without a non-enhancing, necrotic core (18,19). When present, hemosiderin staining on gradient-echo sequences indicates prior hemorrhage (19). Metastatic ASPS can be considered in the differential diagnosis for haemorrhagic intracranial metastases in young patients, along with other more common diagnoses, such as meningioma, renal cell carcinoma, granular cell tumor, paraganglioma and choriocarcinoma.

In the past 10 years, genetic studies have demonstrated that ASPS is a result of a chromosomal abnormality associated with an unbalanced translocation between chromosomes X and 17, der(17)t(X:17)(p11; p25). This translocation results in a fusion of the ASPL gene on chromosome 17 and the TFE3 gene on the X chromosome. As a result of this fusion, the C-terminus of TFE3 is considered to be a specific highly sensitive marker for ASPS (1,20,21). An antibody directed against the C-terminus of TFE3 has emerged as a highly sensitive and specific method of detecting ASPS (22); the present study also confirmed brain metastatic ASPS using TFE3 immunohistochemical staining. Furthermore, molecular analysis of fresh tissue may serve a role in the diagnosis of primary and metastatic ASPS. However, it is not currently possible to assay for this chromosomal translocation in formalin-fixed paraffin-embedded tissue. As such, it was not possible to perform this test on any of the retrospective cases in the present study. In the future, however, it is expected that molecular methods may assist in the diagnosis of difficult cases of ASPS (23).

ASPS has the highest incidence of brain metastasis (19–30%) of all sarcomas (24–26). The reason for this high incidence of brain metastases is unknown. It may be because ASPS has a high propensity for haematogenous metastasis (18). The primary therapeutic option for ASPS brain metastases is radical surgical resection. The aggressive removal of all accessible brain lesions is recommended in patients with ASPS who are not terminally ill, which can result in a particularly favorable prognosis (27). Radiotherapy is recommended following surgical excision (28). The use of chemotherapy is controversial for ASPS, and the majority of authors consider it to be ineffective (3,5,29). In the present study, two patients received adjuvant radiotherapy, one patient received adjuvant chemotherapy and the remaining patients underwent surgery for gross total resection alone. Follow-up data were available for all eight patients: Five exhibited an improvement in their symptoms; four experienced tumor recurrence, one of whom succumbed to the disease as a result of this recurrence. The role served by radiotherapy was unclear due to the limited number of patients who underwent radiotherapy and the short follow-up time. Additional therapy is largely dependent on clinical circumstances with respect to recurrence, ability to undergo complete surgical excision and other clinical factors. The patient series in the present study indicates that adjuvant therapy may not be necessary if ASPS brain metastases can be completely resected.

The resistance of ASPS tumors to conventional chemotherapy and radiotherapy means treatment of this type of tumor is challenging. However, a number of clinical trials are investigating novel targeted therapies (29,30). Some trials seek to focus on the over activity of the MET receptor tyrosine kinase gene induced by the ASPSCR1-TFE3 fusion protein (31). In addition, the highly vascularized nature of this tumor also indicates that there may be a potential therapeutic role for antiangiogenic agents (32).

Limitations of the present study include the small sample size and the retrospective nature of the study. The high incidence of brain metastasis in the current study is likely to be due to referral bias in a tertiary cancer center. Statistical analysis was not performed owing to the small number of patients, but this is unavoidable, considering the rarity of the disease.

ASPS is an uncommon soft tissue tumor that has a propensity to recur or metastasize late in the follow-up period. ASPS often metastasizes to the lungs, bones and brain. Brain metastases should be considered in the differential diagnosis of an intracranial mass with the radiographic characteristics of a meningioma, particularly if clinical or radiographic findings are even marginally unusual. TFE3 immunohistochemical staining and knowledge of the characteristic microscopic features of ASPS could facilitate an early diagnosis, with early total resection possibly the most effective treatment for brain metastatic ASPS. With the development of radiotherapy, chemotherapy and targeted therapies, a multidisciplinary treatment is essential to achieve extended disease-free survival.

Acknowledgements

The present study was supported by a research grant from the National Natural Science Foundation of China (no. 81471238).

References

1 

Lieberman PH, Brennan MF, Kimmel M, Erlandson RA, Garin-Chesa P and Flehinger BY: Alveolar soft-part sarcoma. A clinico-pathologic study of half a century. Cancer. 63:1–13. 1989. View Article : Google Scholar : PubMed/NCBI

2 

Christopherson WM, Foote Fw Jr and Stewart FW: Alveolar soft-part sarcomas; structurally characteristic tumors of uncertain histogenesis. Cancer. 5:100–111. 1952. View Article : Google Scholar : PubMed/NCBI

3 

Ahn SH, Lee JY, Wang KC, Park SH, Cheon JE, Phi JH and Kim SK: Primary alveolar soft part sarcoma arising from the cerebellopontine angle. Childs Nerv Syst. 30:345–350. 2014. View Article : Google Scholar : PubMed/NCBI

4 

Lewis AJ: Sarcoma metastatic to brain. Cancer. 61:593–601. 1988. View Article : Google Scholar : PubMed/NCBI

5 

Cohen DB, Jones DM, Fergus AH, Qian J and Schwartz MS: Metastatic alveolar soft-part sarcoma of the intracranial skull base: Case report. Skull Base. 12:33–38. 2002. View Article : Google Scholar : PubMed/NCBI

6 

Mandal S, Majumdar K, Saran Kumar R and Jagetia A: Meningeal alveolar soft part sarcoma masquerading as a meningioma: A case report. ANZ J Surg. 83:693–694. 2013. View Article : Google Scholar : PubMed/NCBI

7 

Akiyama Y, Baba T, Ibayashi Y, Asai Y and Houkin K: Alveolar soft part sarcoma in brain with cardiac metastasis: A case report. Int J Cardiol. 114:e93–e95. 2007. View Article : Google Scholar : PubMed/NCBI

8 

Hartmann K and Kuffer M: Karnofsky's score modified for cats. Eur J Med Res. 3:95–98. 1998.PubMed/NCBI

9 

Louis DN, Ohgaki H, Wiestler OD, Cavenee WK, Burger PC, Jouvet A, Scheithauer BW and Kleihues P: The 2007 WHO classification of tumours of the central nervous system. Acta Neuropathol. 114:97–109. 2007. View Article : Google Scholar : PubMed/NCBI

10 

Schenning R, Vajtai P, Troxell M, Pollock J and Hopkins K: Alveolar soft part sarcoma: Unusual etiology of mediastinal mass in an adolescent. Clin Pract. 3:e262013. View Article : Google Scholar : PubMed/NCBI

11 

Folpe AL and Deyrup AT: Alveolar soft-part sarcoma: A review and update. J Clin Pathol. 59:1127–1132. 2006. View Article : Google Scholar : PubMed/NCBI

12 

Fassbender HG: Alveolar myoblastic sarcoma of the skeletal musculature. Oncologia. 13:184–191. 1960.(In German). View Article : Google Scholar : PubMed/NCBI

13 

Kang WD, Heo SH, Choi YD, Choi HS and Kim SM: Alveolar soft part sarcoma of the uterine cervix in a woman presenting with postmenopausal bleeding: A case report and literature review. Eur J Gynaecol Oncol. 32:359–361. 2011.PubMed/NCBI

14 

Yang CQ, Cui Z, Yao JJ and Liu DG: Meningeal alveolar soft tissue sarcoma misdiagnosed as meningioma: Report of a case. Zhonghua Bing Li Xue Za Zhi. 40:193–194. 2011.(In Chinese). PubMed/NCBI

15 

Xin FY, Rana N, Ming Z and Lang YB: Alveolar soft part sarcoma of the retro peritoneum. J Cancer Res Ther. 6:117–119. 2010. View Article : Google Scholar : PubMed/NCBI

16 

Yavuz A, Göya C, Bora A and Beyazal M: Primary alveolar soft part sarcoma of the scapula. Case Rep Oncol. 6:356–361. 2013. View Article : Google Scholar : PubMed/NCBI

17 

Kim JM, Im SA, Oh SN and Chung NG: Alveolar soft part sarcoma arising from the kidney: Imaging and clinical features. Korean J Radiol. 15:381–385. 2014. View Article : Google Scholar : PubMed/NCBI

18 

Sood S, Baheti AD, Shinagare AB, Jagannathan JP, Hornick JL, Ramaiya NH and Tirumani SH: Imaging features of primary and metastatic alveolar soft part sarcoma: Single institute experience in 25 patients. Br J Radiol. 87:201307192014. View Article : Google Scholar : PubMed/NCBI

19 

Suh JS, Cho J, Lee SH, Shin KH, Yang WI, Lee JH, Cho JH, Suh KJ, Lee YJ and Ryu KN: Alveolar soft part sarcoma: MR and angiographic findings. Skeletal Radiol. 29:680–689. 2000. View Article : Google Scholar : PubMed/NCBI

20 

Kayton ML, Meyers P, Wexler LH, Gerald WL and LaQuaglia MP: Clinical presentation, treatment, and outcome of alveolar soft part sarcoma in children, adolescents, and young adults. J Pediatr Surg. 41:187–193. 2006. View Article : Google Scholar : PubMed/NCBI

21 

Ladanyi M, Lui MY, Antonescu CR, Krause-Boehm A, Meindl A, Argani P, Healey JH, Ueda T, Yoshikawa H, Meloni-Ehrig A, et al: The der(17)t(X;17)(p11;q25) of human alveolar soft part sarcoma fuses the TFE3 transcription factor gene to ASPL, a novel gene at 17q25. Oncogene. 20:48–57. 2001. View Article : Google Scholar : PubMed/NCBI

22 

Argani P, Lal P, Hutchinson B, Lui MY, Reuter VE and Ladanyi M: Aberrant nuclear immunoreactivity for TFE3 in neoplasms with TFE3 gene fusions: A sensitive and specificimmunohistochemical assay. Am J Surg Pathol. 27:750–761. 2003. View Article : Google Scholar : PubMed/NCBI

23 

Fanburg-Smith JC, Miettinen M, Folpe AL, Weiss SW and Childers EL: Lingual alveolar soft part sarcoma; 14 cases: Novel clinical and morphological observations. Histopathology. 45:526–537. 2004. View Article : Google Scholar : PubMed/NCBI

24 

Portera CA Jr, Ho V, Patel SR, Hunt KK, Feig BW, Respondek PM, Yasko AW, Benjamin RS, Pollock RE and Pisters PW: Alveolar soft part sarcoma: Clinical course and patterns of metastasis in 70 patients treated at a single institution. Cancer. 91:585–591. 2001. View Article : Google Scholar : PubMed/NCBI

25 

Reichardt P, Lindner T, Pink D, Thuss-Patience PC, Kretzschmar A and Dörken B: Chemotherapy in alveolar soft part sarcomas. What do we know? Eur J Cancer. 39:1511–1516. 2003. View Article : Google Scholar : PubMed/NCBI

26 

Ogose A, Morita T, Hotta T, Kobayashi H, Otsuka H, Hirata Y and Yoshida S: Brain metastases in musculoskeletal sarcomas. Jpn J Clin Oncol. 29:245–247. 1999. View Article : Google Scholar : PubMed/NCBI

27 

Bindal RK, Sawaya RE, Leavens ME, Taylor SH and Guinee VF: Sarcoma metastatic to the brain: Results of surgical treatment. Neurosurgery. 35:185–191. 1994. View Article : Google Scholar : PubMed/NCBI

28 

Kumar Sujit GS, Chacko G, Chacko AG and Rajshekhar V: Alveolar soft-part sarcoma presenting with multiple intracranial metastases. Neurol India. 52:257–258. 2004.PubMed/NCBI

29 

Mitton B and Federman N: Alveolar soft part sarcomas: Molecular pathogenesis and implications for novel targeted therapies. Sarcoma. 2012:4287892012. View Article : Google Scholar : PubMed/NCBI

30 

Ghose A, Tariq Z and Veltri S: Treatment of multidrug resistant advanced alveolar soft part sarcoma with sunitinib. Am J Ther. 19:e56–e58. 2012. View Article : Google Scholar : PubMed/NCBI

31 

Stacchiotti S, Negri T, Zaffaroni N, Palassini E, Morosi C, Brich S, Conca E, Bozzi F, Cassinelli G, Gronchi A, et al: Sunitinib in advanced alveolar soft part sarcoma: Evidence of a direct antitumor effect. Ann Oncol. 22:1682–1690. 2011. View Article : Google Scholar : PubMed/NCBI

32 

Genin O, Rechavi G, Nagler A, Ben-Itzhak O, Nazemi KJ and Pines M: Myofibroblasts in pulmonary and brain metastases of alveolar soft-part sarcoma: A novel target for treatment? Neoplasia. 10:940–948. 2008. View Article : Google Scholar : PubMed/NCBI

Related Articles

  • Abstract
  • View
  • Download
  • Twitter
Copy and paste a formatted citation
Spandidos Publications style
Tao X, Hou Z, Wu Z, Hao S and Liu B: Brain metastatic alveolar soft‑part sarcoma: Clinicopathological profiles, management and outcomes. Oncol Lett 14: 5779-5784, 2017.
APA
Tao, X., Hou, Z., Wu, Z., Hao, S., & Liu, B. (2017). Brain metastatic alveolar soft‑part sarcoma: Clinicopathological profiles, management and outcomes. Oncology Letters, 14, 5779-5784. https://doi.org/10.3892/ol.2017.6941
MLA
Tao, X., Hou, Z., Wu, Z., Hao, S., Liu, B."Brain metastatic alveolar soft‑part sarcoma: Clinicopathological profiles, management and outcomes". Oncology Letters 14.5 (2017): 5779-5784.
Chicago
Tao, X., Hou, Z., Wu, Z., Hao, S., Liu, B."Brain metastatic alveolar soft‑part sarcoma: Clinicopathological profiles, management and outcomes". Oncology Letters 14, no. 5 (2017): 5779-5784. https://doi.org/10.3892/ol.2017.6941
Copy and paste a formatted citation
x
Spandidos Publications style
Tao X, Hou Z, Wu Z, Hao S and Liu B: Brain metastatic alveolar soft‑part sarcoma: Clinicopathological profiles, management and outcomes. Oncol Lett 14: 5779-5784, 2017.
APA
Tao, X., Hou, Z., Wu, Z., Hao, S., & Liu, B. (2017). Brain metastatic alveolar soft‑part sarcoma: Clinicopathological profiles, management and outcomes. Oncology Letters, 14, 5779-5784. https://doi.org/10.3892/ol.2017.6941
MLA
Tao, X., Hou, Z., Wu, Z., Hao, S., Liu, B."Brain metastatic alveolar soft‑part sarcoma: Clinicopathological profiles, management and outcomes". Oncology Letters 14.5 (2017): 5779-5784.
Chicago
Tao, X., Hou, Z., Wu, Z., Hao, S., Liu, B."Brain metastatic alveolar soft‑part sarcoma: Clinicopathological profiles, management and outcomes". Oncology Letters 14, no. 5 (2017): 5779-5784. https://doi.org/10.3892/ol.2017.6941
Follow us
  • Twitter
  • LinkedIn
  • Facebook
About
  • Spandidos Publications
  • Careers
  • Cookie Policy
  • Privacy Policy
How can we help?
  • Help
  • Live Chat
  • Contact
  • Email to our Support Team