Spandidos Publications Logo
  • About
    • About Spandidos
    • Aims and Scopes
    • Abstracting and Indexing
    • Editorial Policies
    • Reprints and Permissions
    • Job Opportunities
    • Terms and Conditions
    • Contact
  • Journals
    • All Journals
    • Oncology Letters
      • Oncology Letters
      • Information for Authors
      • Editorial Policies
      • Editorial Board
      • Aims and Scope
      • Abstracting and Indexing
      • Bibliographic Information
      • Archive
    • International Journal of Oncology
      • International Journal of Oncology
      • Information for Authors
      • Editorial Policies
      • Editorial Board
      • Aims and Scope
      • Abstracting and Indexing
      • Bibliographic Information
      • Archive
    • Molecular and Clinical Oncology
      • Molecular and Clinical Oncology
      • Information for Authors
      • Editorial Policies
      • Editorial Board
      • Aims and Scope
      • Abstracting and Indexing
      • Bibliographic Information
      • Archive
    • Experimental and Therapeutic Medicine
      • Experimental and Therapeutic Medicine
      • Information for Authors
      • Editorial Policies
      • Editorial Board
      • Aims and Scope
      • Abstracting and Indexing
      • Bibliographic Information
      • Archive
    • International Journal of Molecular Medicine
      • International Journal of Molecular Medicine
      • Information for Authors
      • Editorial Policies
      • Editorial Board
      • Aims and Scope
      • Abstracting and Indexing
      • Bibliographic Information
      • Archive
    • Biomedical Reports
      • Biomedical Reports
      • Information for Authors
      • Editorial Policies
      • Editorial Board
      • Aims and Scope
      • Abstracting and Indexing
      • Bibliographic Information
      • Archive
    • Oncology Reports
      • Oncology Reports
      • Information for Authors
      • Editorial Policies
      • Editorial Board
      • Aims and Scope
      • Abstracting and Indexing
      • Bibliographic Information
      • Archive
    • Molecular Medicine Reports
      • Molecular Medicine Reports
      • Information for Authors
      • Editorial Policies
      • Editorial Board
      • Aims and Scope
      • Abstracting and Indexing
      • Bibliographic Information
      • Archive
    • World Academy of Sciences Journal
      • World Academy of Sciences Journal
      • Information for Authors
      • Editorial Policies
      • Editorial Board
      • Aims and Scope
      • Abstracting and Indexing
      • Bibliographic Information
      • Archive
    • International Journal of Functional Nutrition
      • International Journal of Functional Nutrition
      • Information for Authors
      • Editorial Policies
      • Editorial Board
      • Aims and Scope
      • Abstracting and Indexing
      • Bibliographic Information
      • Archive
    • International Journal of Epigenetics
      • International Journal of Epigenetics
      • Information for Authors
      • Editorial Policies
      • Editorial Board
      • Aims and Scope
      • Abstracting and Indexing
      • Bibliographic Information
      • Archive
    • Medicine International
      • Medicine International
      • Information for Authors
      • Editorial Policies
      • Editorial Board
      • Aims and Scope
      • Abstracting and Indexing
      • Bibliographic Information
      • Archive
  • Articles
  • Information
    • Information for Authors
    • Information for Reviewers
    • Information for Librarians
    • Information for Advertisers
    • Conferences
  • Language Editing
Spandidos Publications Logo
  • About
    • About Spandidos
    • Aims and Scopes
    • Abstracting and Indexing
    • Editorial Policies
    • Reprints and Permissions
    • Job Opportunities
    • Terms and Conditions
    • Contact
  • Journals
    • All Journals
    • Biomedical Reports
      • Information for Authors
      • Editorial Policies
      • Editorial Board
      • Aims and Scope
      • Abstracting and Indexing
      • Bibliographic Information
      • Archive
    • Experimental and Therapeutic Medicine
      • Information for Authors
      • Editorial Policies
      • Editorial Board
      • Aims and Scope
      • Abstracting and Indexing
      • Bibliographic Information
      • Archive
    • International Journal of Epigenetics
      • Information for Authors
      • Editorial Policies
      • Editorial Board
      • Aims and Scope
      • Abstracting and Indexing
      • Bibliographic Information
      • Archive
    • International Journal of Functional Nutrition
      • Information for Authors
      • Editorial Policies
      • Editorial Board
      • Aims and Scope
      • Abstracting and Indexing
      • Bibliographic Information
      • Archive
    • International Journal of Molecular Medicine
      • Information for Authors
      • Editorial Policies
      • Editorial Board
      • Aims and Scope
      • Abstracting and Indexing
      • Bibliographic Information
      • Archive
    • International Journal of Oncology
      • Information for Authors
      • Editorial Policies
      • Editorial Board
      • Aims and Scope
      • Abstracting and Indexing
      • Bibliographic Information
      • Archive
    • Medicine International
      • Information for Authors
      • Editorial Policies
      • Editorial Board
      • Aims and Scope
      • Abstracting and Indexing
      • Bibliographic Information
      • Archive
    • Molecular and Clinical Oncology
      • Information for Authors
      • Editorial Policies
      • Editorial Board
      • Aims and Scope
      • Abstracting and Indexing
      • Bibliographic Information
      • Archive
    • Molecular Medicine Reports
      • Information for Authors
      • Editorial Policies
      • Editorial Board
      • Aims and Scope
      • Abstracting and Indexing
      • Bibliographic Information
      • Archive
    • Oncology Letters
      • Information for Authors
      • Editorial Policies
      • Editorial Board
      • Aims and Scope
      • Abstracting and Indexing
      • Bibliographic Information
      • Archive
    • Oncology Reports
      • Information for Authors
      • Editorial Policies
      • Editorial Board
      • Aims and Scope
      • Abstracting and Indexing
      • Bibliographic Information
      • Archive
    • World Academy of Sciences Journal
      • Information for Authors
      • Editorial Policies
      • Editorial Board
      • Aims and Scope
      • Abstracting and Indexing
      • Bibliographic Information
      • Archive
  • Articles
  • Information
    • For Authors
    • For Reviewers
    • For Librarians
    • For Advertisers
    • Conferences
  • Language Editing
Login Register Submit
  • This site uses cookies
  • You can change your cookie settings at any time by following the instructions in our Cookie Policy. To find out more, you may read our Privacy Policy.

    I agree
Search articles by DOI, keyword, author or affiliation
Search
Advanced Search
presentation
Oncology Letters
Join Editorial Board Propose a Special Issue
Print ISSN: 1792-1074 Online ISSN: 1792-1082
Journal Cover
April-2018 Volume 15 Issue 4

Full Size Image

Sign up for eToc alerts
Recommend to Library

Journals

International Journal of Molecular Medicine

International Journal of Molecular Medicine

International Journal of Molecular Medicine is an international journal devoted to molecular mechanisms of human disease.

International Journal of Oncology

International Journal of Oncology

International Journal of Oncology is an international journal devoted to oncology research and cancer treatment.

Molecular Medicine Reports

Molecular Medicine Reports

Covers molecular medicine topics such as pharmacology, pathology, genetics, neuroscience, infectious diseases, molecular cardiology, and molecular surgery.

Oncology Reports

Oncology Reports

Oncology Reports is an international journal devoted to fundamental and applied research in Oncology.

Experimental and Therapeutic Medicine

Experimental and Therapeutic Medicine

Experimental and Therapeutic Medicine is an international journal devoted to laboratory and clinical medicine.

Oncology Letters

Oncology Letters

Oncology Letters is an international journal devoted to Experimental and Clinical Oncology.

Biomedical Reports

Biomedical Reports

Explores a wide range of biological and medical fields, including pharmacology, genetics, microbiology, neuroscience, and molecular cardiology.

Molecular and Clinical Oncology

Molecular and Clinical Oncology

International journal addressing all aspects of oncology research, from tumorigenesis and oncogenes to chemotherapy and metastasis.

World Academy of Sciences Journal

World Academy of Sciences Journal

Multidisciplinary open-access journal spanning biochemistry, genetics, neuroscience, environmental health, and synthetic biology.

International Journal of Functional Nutrition

International Journal of Functional Nutrition

Open-access journal combining biochemistry, pharmacology, immunology, and genetics to advance health through functional nutrition.

International Journal of Epigenetics

International Journal of Epigenetics

Publishes open-access research on using epigenetics to advance understanding and treatment of human disease.

Medicine International

Medicine International

An International Open Access Journal Devoted to General Medicine.

Journal Cover
April-2018 Volume 15 Issue 4

Full Size Image

Sign up for eToc alerts
Recommend to Library

  • Article
  • Citations
    • Cite This Article
    • Download Citation
    • Create Citation Alert
    • Remove Citation Alert
    • Cited By
  • Similar Articles
    • Related Articles (in Spandidos Publications)
    • Similar Articles (Google Scholar)
    • Similar Articles (PubMed)
  • Download PDF
  • Download XML
  • View XML
Article Open Access

Effect of taurine on cell proliferation and apoptosis human lung cancer A549 cells

  • Authors:
    • Shuo Tu
    • Xia‑Li Zhang
    • Hui‑Fang Wan
    • Yan‑Qin Xia
    • Zhuo‑Qi Liu
    • Xiao‑Hong Yang
    • Fu‑Sheng Wan
  • View Affiliations / Copyright

    Affiliations: Department of Biochemistry and Molecular Biology, Basic Medical College of Nan Chang University, Nanchang, Jiangxi 330006, P.R. China, Department of Laboratory Animal Science, Nan Chang University, Nanchang, Jiangxi 330006, P.R. China, Department of Medical Experimental Teaching Center, Nan Chang University, Nanchang, Jiangxi 330006, P.R. China
    Copyright: © Tu et al. This is an open access article distributed under the terms of Creative Commons Attribution License.
  • Pages: 5473-5480
    |
    Published online on: February 13, 2018
       https://doi.org/10.3892/ol.2018.8036
  • Expand metrics +
Metrics: Total Views: 0 (Spandidos Publications: | PMC Statistics: )
Metrics: Total PDF Downloads: 0 (Spandidos Publications: | PMC Statistics: )
Cited By (CrossRef): 0 citations Loading Articles...

This article is mentioned in:



Abstract

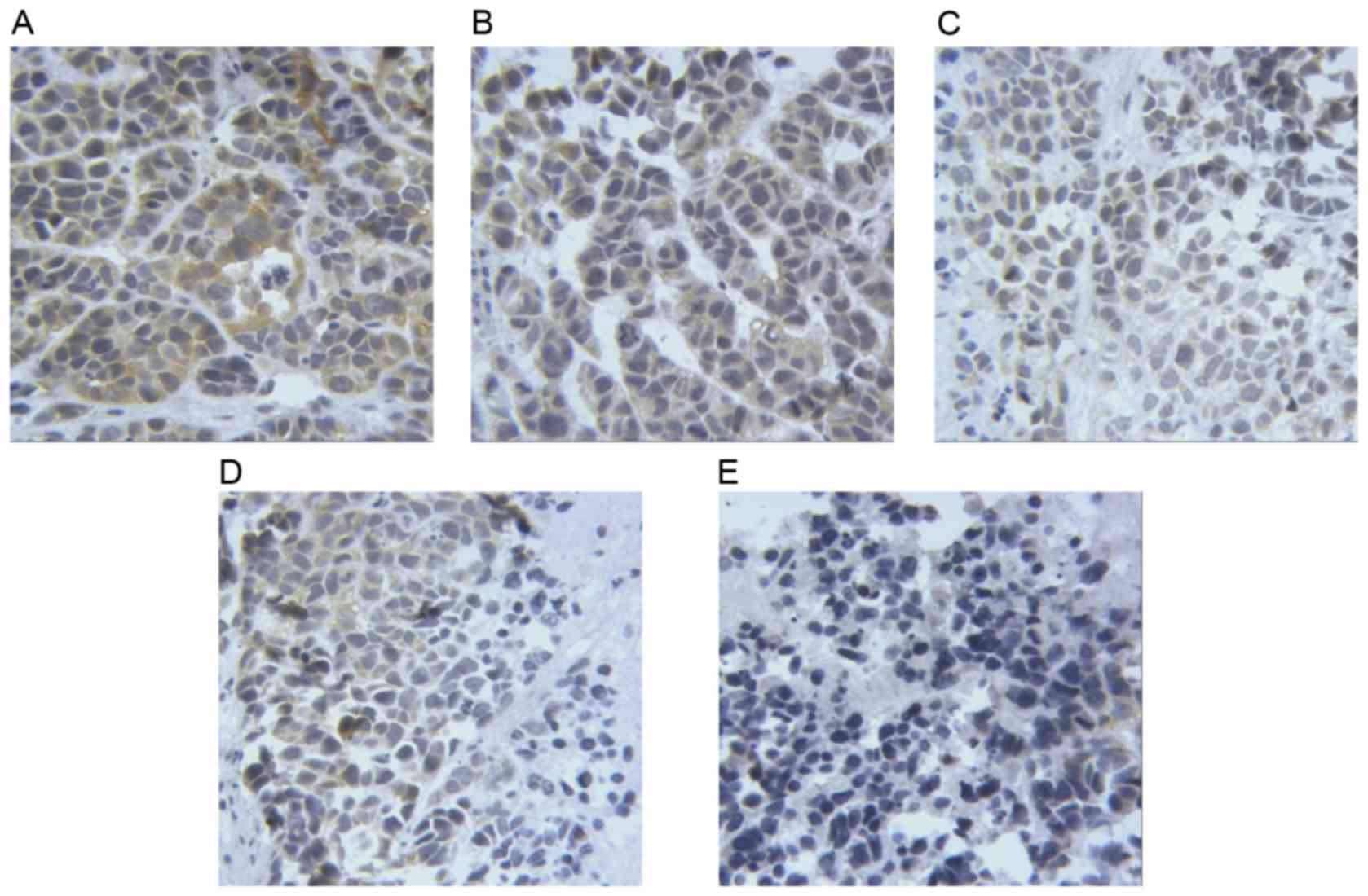
To investigate the effects of taurine on cell proliferation and apoptosis, the human lung cancer A549 cell line and xenograft tumors in nude mice were used. The effects of taurine on cell proliferation and apoptosis were observed at time points of 24, 48 and 72 h after treatment using an MTT assay to detect the survival rate, and flow cytometry to detect the apoptotic rate. Western blot analysis was performed to examine the levels of p53 upregulated modulator of apoptosis (PUMA), BCL2, apoptosis regulator (Bcl‑2) and BCL2‑associated X, apoptosis regulator (Bax) in A549 cells. The level of PUMA, Bax and Bcl‑2 proteins in the mouse xenograft tumors treated with taurine and/or exogenous PUMA were assessed by immunohistochemistry, with taurine suppressing the proliferation of the human lung cancer A549 cell line in a concentration‑dependent manner, and it significantly enhanced the apoptosis rate at all concentrations. Taurine induced the significant upregulation of PUMA and Bax, but led to downregulation of Bcl‑2. In comparison to the control group, taurine treatment markedly reduced the volume and weight of A549‑derived xenograft tumors in nude mice. Expression of PUMA and Bax were upregulated in the xenograft tumors following taurine treatment, whereas Bcl‑2 was downregulated. In addition, the inhibitory effect of taurine and exogenous PUMA on tumor growth was significantly higher than that of a single treatment of taurine or exogenous PUMA. It can therefore be concluded that taurine can inhibit cell proliferation of the human lung cancer A549 cell line and the growth of the xenograft tumors, whereas PUMA serves an important role in taurine‑induced growth suppression.
View Figures

Figure 1

Figure 2

Figure 3

Figure 4

Figure 5

Figure 6

Figure 7

Figure 8

View References

1 

Shi L, Xu ZZ, Wu G, Chen XT, Huang YY, Wang YJ, Jiang WQ and Bin Ke: Up-regulation of miR-146a increases the sensitivity of non-small cell lung cancer to DDP by downregulating cyclin J. BMC Cancer. 17:1382017. View Article : Google Scholar : PubMed/NCBI

2 

Rouibaa F, Bakkar M, Seddik H, Addioui T, Filali FZ, Akka R, Desla H and Aourarh A: Interest of expandable metallic stents in the management of colonic tumor occlusion: Experience of a Moroccan hospital. Pan Afr Med J. 2:245–269. 2013.

3 

Watanabe A, Taniguchi F, Izawa M, Suou K, Uegaki T, Takai E, Terakawa N and Harada T: The role of survivin in the resistance of endometriotic stromal cells to drug-induced apoposis. Hum Reprod. 24:3172–3179. 2009. View Article : Google Scholar : PubMed/NCBI

4 

Zaffaroni N, Costa A, Pennati M, De Marco C, Affini E, Madeo M, Erdas R, Cabras A, Kusamura S, Baratti D, et al: Survivin is highly expressed and promotes cell survival in malignant peritoneal mesothelioma. Cell Oncol. 29:453–466. 2007.PubMed/NCBI

5 

Meng J, Fang B, Liao Y, Chresta CM, Smith PD and Roth JA: Apoptosis induction by MEK inhibition in human lung cancer cells is mediated by Bim. PLoS One. 5:e130262010. View Article : Google Scholar : PubMed/NCBI

6 

Perez BA, Ghafoori AP, Lee CL, Johnston SM, Li Y, Moroshek JG, Ma Y, Mukherjee S, Kim Y, Badea CT and Kirsch DG: Assessing the radiation response of lung cancer with different gene mutations using genetically engineered mice. Front Oncol. 3:722013. View Article : Google Scholar : PubMed/NCBI

7 

Hayes KC, Carey RE and Schmidt SY: Retinal degeneration associated with taurine deficiency in the cat. Science. 188:949–951. 1975. View Article : Google Scholar : PubMed/NCBI

8 

Huxtable RJ: Physiological action of taurine. Physiol Rev. 72:101–163. 1992. View Article : Google Scholar : PubMed/NCBI

9 

Han XB: Human condition essential nutrients-taurine. Foreign Med (Hygienic Branch). 1–132. 1987.

10 

El Agouza IM, Eissa SS, El Houseini MM, El-Nashar DE and Abd El Hameed OM: taurine: A novel tumor marker for enhanced detection of breast cancer among female patients. Angiogenesis. 14:321–330. 2011. View Article : Google Scholar : PubMed/NCBI

11 

Srivastava S, Roy R, Singh S, Kumar P, Dalela D, Sankhwar SN, Goel A and Sonkar AA: Taurine-a possible fingerprint biomarker in non-muscle invasive bladder cancer: A pilot study by 1H NMR spectroscopy. Cancer Biomark. 6:11–20. 2010. View Article : Google Scholar : PubMed/NCBI

12 

Zhang X, Tu S, Wang Y, Xu B and Wan F: The mechanism of taurine-induced apoptosis in human colon cancer cells. Acta Biochim Biophys Sin (Shanghai). 46:261–272. 2014. View Article : Google Scholar : PubMed/NCBI

13 

Zhang X, Lu H, Wang Y, Liu C, Zhu W, Zheng S and Wan F: Taurine induces apoptosis of breast cancer cells by regulating apoptosis-related proteins of mitochondria. Int J Mol Med. 35:218–226. 2015. View Article : Google Scholar : PubMed/NCBI

14 

Okamoto K, Sugie S, Ohnishi M, Makita H, Kawamori T, Watanabe T, Tanaka T and Mori H: Chemopreventive effects of taurine on diethylnitrosamine and phenobarbital-induced hepatocarcinogenesis in male F344 rats. Jpn J Cancer Res. 87:30–36. 1996. View Article : Google Scholar : PubMed/NCBI

15 

Wang HR: Experimental study of the effect of taurine on sarcoma 180(S180) in mices. PhD dissertationQingdao University Qingdao: 2008

16 

Neary PM, Hallihan P, Wang JH, Pfirrmann RW, Bouchier-Hayes DJ and Redmond HP: The evolving role of taurolidine in cancer therapy. Ann Surg Oncol. 17:1135–1143. 2010. View Article : Google Scholar

17 

Schaffer SW, Jong CJ, Ito T and Azuma J: Effect of taurine on ischemia-reperfusion injury. Amino Acids. 46:21–30. 2014. View Article : Google Scholar

18 

Yin Y, Wen K, Wu Y, Kang Y and Lou J: Inhibition of sodium current by taurine magnesium coordination compound prevents cesium chloride-induced arrhythmias. Bio Trace Elem Res. 146:192–198. 2012. View Article : Google Scholar

19 

El Zahraa Z, EI Ashry F, Mahmoud MF, EI Maraghy NN and Ahmed AF: Effect of Cordyceps sinensis and taurine either alone or in combination on streptozotocin induced diabetes. Food Chem Toxicol. 50:1159–1165. 2012. View Article : Google Scholar

20 

Son HY, Kim H and H Kwon Y: Taurine prevents oxidative damage of high glucose-induced cataractogenesis in isolated rat lenses. J Nutr Sci Vitaminol (Tokyo). 53:324–330. 2007. View Article : Google Scholar

21 

Sun Q, Sakaida T, Yue W, Gollin SM and Yu J: Chemosensitization of head and neck cancer cells by PUMA. Mol Cancer Ther. 6:3180–3188. 2007. View Article : Google Scholar

22 

Chen D, Wei L, Yu J and Zhang L: Regorafenib inhibits colorectal tumor growth through PUMA-mediated apoptosis. Clin Cancer Res. 20:3472–3484. 2014. View Article : Google Scholar

23 

Liu CJ, Zhang XL, Luo DY, Zhu WF, Wan HF, Yang JP, Yang XJ and Wan FS: Exogenous p53 upregulated modulator of apoptosis (PUMA) decreases growth of lung cancer A549 cells. Asian Pac J Cancer Prev. 16:741–746. 2015. View Article : Google Scholar

24 

Yee KS and Vousden KH: Contribution of membrane localization to the apoptotic activity of PUMA. Apoptosis. 13:87–95. 2008. View Article : Google Scholar

25 

Letai A: Puma strikes Bax. J Cell Biol. 185:189–191. 2009. View Article : Google Scholar

26 

Adams JM and Cory S: The Bcl-2 apoptotic switch in cancer development and therapy. Oncogene. 29:1324–1337. 2007. View Article : Google Scholar

27 

Schuler M and Green DR: Mechanisms of p53-dependent apoptosis. Biochem Soc Trans. 29:684–688. 2001. View Article : Google Scholar

28 

Mates JM, Segura JA, Alonso FJ and Marquez J: Sulphur-containing non enzymatic antioxidants: Therapeutic tools against cancer. Front Biosci (Schol Ed). 4:722–748. 2012. View Article : Google Scholar

29 

Das J, Ghosh J, Manna P and Sil PC: Taurine suppresses doxorubicin-triggered oxidative stress and cardiac apoptosis in rat via up-regulation of PI3-K/Akt and inhibition of p53, p38-JNK. Biochem Pharmacol. 81:891–909. 2011. View Article : Google Scholar

30 

Yu J and Kim AK: Effect of taurine on antioxidant enzyme system in B16F10 melanoma cells. Adv Exp Med Biol. 643:491–499. 2009. View Article : Google Scholar

31 

Kim T and Kim AK: Taurine enhances anticancer activity of cisplatin in human cervical cancer cells. Adv Exp Med Biol. 776:189–198. 2013. View Article : Google Scholar

32 

Abd-Rabou AA, Zoheir KM and Ahmed HH: Potential impact of curcumin and taurine on human hepatoma cells using Huh-7 cell line. Clin Biochem. 45:1519–1521. 2012. View Article : Google Scholar

33 

Zhang X, Sheng J, Zhang C and Zhao F: Taurine induces apoptosis in pulmonary artery smooth muscle cells. Zhongguo Zhong Yao Za Zhi. 37:654–657. 2012.(In Chinese).

Related Articles

  • Abstract
  • View
  • Download
  • Twitter
Copy and paste a formatted citation
Spandidos Publications style
Tu S, Zhang XL, Wan HF, Xia YQ, Liu ZQ, Yang XH and Wan FS: Effect of taurine on cell proliferation and apoptosis human lung cancer A549 cells. Oncol Lett 15: 5473-5480, 2018.
APA
Tu, S., Zhang, X., Wan, H., Xia, Y., Liu, Z., Yang, X., & Wan, F. (2018). Effect of taurine on cell proliferation and apoptosis human lung cancer A549 cells. Oncology Letters, 15, 5473-5480. https://doi.org/10.3892/ol.2018.8036
MLA
Tu, S., Zhang, X., Wan, H., Xia, Y., Liu, Z., Yang, X., Wan, F."Effect of taurine on cell proliferation and apoptosis human lung cancer A549 cells". Oncology Letters 15.4 (2018): 5473-5480.
Chicago
Tu, S., Zhang, X., Wan, H., Xia, Y., Liu, Z., Yang, X., Wan, F."Effect of taurine on cell proliferation and apoptosis human lung cancer A549 cells". Oncology Letters 15, no. 4 (2018): 5473-5480. https://doi.org/10.3892/ol.2018.8036
Copy and paste a formatted citation
x
Spandidos Publications style
Tu S, Zhang XL, Wan HF, Xia YQ, Liu ZQ, Yang XH and Wan FS: Effect of taurine on cell proliferation and apoptosis human lung cancer A549 cells. Oncol Lett 15: 5473-5480, 2018.
APA
Tu, S., Zhang, X., Wan, H., Xia, Y., Liu, Z., Yang, X., & Wan, F. (2018). Effect of taurine on cell proliferation and apoptosis human lung cancer A549 cells. Oncology Letters, 15, 5473-5480. https://doi.org/10.3892/ol.2018.8036
MLA
Tu, S., Zhang, X., Wan, H., Xia, Y., Liu, Z., Yang, X., Wan, F."Effect of taurine on cell proliferation and apoptosis human lung cancer A549 cells". Oncology Letters 15.4 (2018): 5473-5480.
Chicago
Tu, S., Zhang, X., Wan, H., Xia, Y., Liu, Z., Yang, X., Wan, F."Effect of taurine on cell proliferation and apoptosis human lung cancer A549 cells". Oncology Letters 15, no. 4 (2018): 5473-5480. https://doi.org/10.3892/ol.2018.8036
Follow us
  • Twitter
  • LinkedIn
  • Facebook
About
  • Spandidos Publications
  • Careers
  • Cookie Policy
  • Privacy Policy
How can we help?
  • Help
  • Live Chat
  • Contact
  • Email to our Support Team