Spandidos Publications Logo
  • About
    • About Spandidos
    • Aims and Scopes
    • Abstracting and Indexing
    • Editorial Policies
    • Reprints and Permissions
    • Job Opportunities
    • Terms and Conditions
    • Contact
  • Journals
    • All Journals
    • Oncology Letters
      • Oncology Letters
      • Information for Authors
      • Editorial Policies
      • Editorial Board
      • Aims and Scope
      • Abstracting and Indexing
      • Bibliographic Information
      • Archive
    • International Journal of Oncology
      • International Journal of Oncology
      • Information for Authors
      • Editorial Policies
      • Editorial Board
      • Aims and Scope
      • Abstracting and Indexing
      • Bibliographic Information
      • Archive
    • Molecular and Clinical Oncology
      • Molecular and Clinical Oncology
      • Information for Authors
      • Editorial Policies
      • Editorial Board
      • Aims and Scope
      • Abstracting and Indexing
      • Bibliographic Information
      • Archive
    • Experimental and Therapeutic Medicine
      • Experimental and Therapeutic Medicine
      • Information for Authors
      • Editorial Policies
      • Editorial Board
      • Aims and Scope
      • Abstracting and Indexing
      • Bibliographic Information
      • Archive
    • International Journal of Molecular Medicine
      • International Journal of Molecular Medicine
      • Information for Authors
      • Editorial Policies
      • Editorial Board
      • Aims and Scope
      • Abstracting and Indexing
      • Bibliographic Information
      • Archive
    • Biomedical Reports
      • Biomedical Reports
      • Information for Authors
      • Editorial Policies
      • Editorial Board
      • Aims and Scope
      • Abstracting and Indexing
      • Bibliographic Information
      • Archive
    • Oncology Reports
      • Oncology Reports
      • Information for Authors
      • Editorial Policies
      • Editorial Board
      • Aims and Scope
      • Abstracting and Indexing
      • Bibliographic Information
      • Archive
    • Molecular Medicine Reports
      • Molecular Medicine Reports
      • Information for Authors
      • Editorial Policies
      • Editorial Board
      • Aims and Scope
      • Abstracting and Indexing
      • Bibliographic Information
      • Archive
    • World Academy of Sciences Journal
      • World Academy of Sciences Journal
      • Information for Authors
      • Editorial Policies
      • Editorial Board
      • Aims and Scope
      • Abstracting and Indexing
      • Bibliographic Information
      • Archive
    • International Journal of Functional Nutrition
      • International Journal of Functional Nutrition
      • Information for Authors
      • Editorial Policies
      • Editorial Board
      • Aims and Scope
      • Abstracting and Indexing
      • Bibliographic Information
      • Archive
    • International Journal of Epigenetics
      • International Journal of Epigenetics
      • Information for Authors
      • Editorial Policies
      • Editorial Board
      • Aims and Scope
      • Abstracting and Indexing
      • Bibliographic Information
      • Archive
    • Medicine International
      • Medicine International
      • Information for Authors
      • Editorial Policies
      • Editorial Board
      • Aims and Scope
      • Abstracting and Indexing
      • Bibliographic Information
      • Archive
  • Articles
  • Information
    • Information for Authors
    • Information for Reviewers
    • Information for Librarians
    • Information for Advertisers
    • Conferences
  • Language Editing
Spandidos Publications Logo
  • About
    • About Spandidos
    • Aims and Scopes
    • Abstracting and Indexing
    • Editorial Policies
    • Reprints and Permissions
    • Job Opportunities
    • Terms and Conditions
    • Contact
  • Journals
    • All Journals
    • Biomedical Reports
      • Information for Authors
      • Editorial Policies
      • Editorial Board
      • Aims and Scope
      • Abstracting and Indexing
      • Bibliographic Information
      • Archive
    • Experimental and Therapeutic Medicine
      • Information for Authors
      • Editorial Policies
      • Editorial Board
      • Aims and Scope
      • Abstracting and Indexing
      • Bibliographic Information
      • Archive
    • International Journal of Epigenetics
      • Information for Authors
      • Editorial Policies
      • Editorial Board
      • Aims and Scope
      • Abstracting and Indexing
      • Bibliographic Information
      • Archive
    • International Journal of Functional Nutrition
      • Information for Authors
      • Editorial Policies
      • Editorial Board
      • Aims and Scope
      • Abstracting and Indexing
      • Bibliographic Information
      • Archive
    • International Journal of Molecular Medicine
      • Information for Authors
      • Editorial Policies
      • Editorial Board
      • Aims and Scope
      • Abstracting and Indexing
      • Bibliographic Information
      • Archive
    • International Journal of Oncology
      • Information for Authors
      • Editorial Policies
      • Editorial Board
      • Aims and Scope
      • Abstracting and Indexing
      • Bibliographic Information
      • Archive
    • Medicine International
      • Information for Authors
      • Editorial Policies
      • Editorial Board
      • Aims and Scope
      • Abstracting and Indexing
      • Bibliographic Information
      • Archive
    • Molecular and Clinical Oncology
      • Information for Authors
      • Editorial Policies
      • Editorial Board
      • Aims and Scope
      • Abstracting and Indexing
      • Bibliographic Information
      • Archive
    • Molecular Medicine Reports
      • Information for Authors
      • Editorial Policies
      • Editorial Board
      • Aims and Scope
      • Abstracting and Indexing
      • Bibliographic Information
      • Archive
    • Oncology Letters
      • Information for Authors
      • Editorial Policies
      • Editorial Board
      • Aims and Scope
      • Abstracting and Indexing
      • Bibliographic Information
      • Archive
    • Oncology Reports
      • Information for Authors
      • Editorial Policies
      • Editorial Board
      • Aims and Scope
      • Abstracting and Indexing
      • Bibliographic Information
      • Archive
    • World Academy of Sciences Journal
      • Information for Authors
      • Editorial Policies
      • Editorial Board
      • Aims and Scope
      • Abstracting and Indexing
      • Bibliographic Information
      • Archive
  • Articles
  • Information
    • For Authors
    • For Reviewers
    • For Librarians
    • For Advertisers
    • Conferences
  • Language Editing
Login Register Submit
  • This site uses cookies
  • You can change your cookie settings at any time by following the instructions in our Cookie Policy. To find out more, you may read our Privacy Policy.

    I agree
Search articles by DOI, keyword, author or affiliation
Search
Advanced Search
presentation
Oncology Letters
Join Editorial Board Propose a Special Issue
Print ISSN: 1792-1074 Online ISSN: 1792-1082
Journal Cover
July-2020 Volume 20 Issue 1

Full Size Image

Sign up for eToc alerts
Recommend to Library

Journals

International Journal of Molecular Medicine

International Journal of Molecular Medicine

International Journal of Molecular Medicine is an international journal devoted to molecular mechanisms of human disease.

International Journal of Oncology

International Journal of Oncology

International Journal of Oncology is an international journal devoted to oncology research and cancer treatment.

Molecular Medicine Reports

Molecular Medicine Reports

Covers molecular medicine topics such as pharmacology, pathology, genetics, neuroscience, infectious diseases, molecular cardiology, and molecular surgery.

Oncology Reports

Oncology Reports

Oncology Reports is an international journal devoted to fundamental and applied research in Oncology.

Experimental and Therapeutic Medicine

Experimental and Therapeutic Medicine

Experimental and Therapeutic Medicine is an international journal devoted to laboratory and clinical medicine.

Oncology Letters

Oncology Letters

Oncology Letters is an international journal devoted to Experimental and Clinical Oncology.

Biomedical Reports

Biomedical Reports

Explores a wide range of biological and medical fields, including pharmacology, genetics, microbiology, neuroscience, and molecular cardiology.

Molecular and Clinical Oncology

Molecular and Clinical Oncology

International journal addressing all aspects of oncology research, from tumorigenesis and oncogenes to chemotherapy and metastasis.

World Academy of Sciences Journal

World Academy of Sciences Journal

Multidisciplinary open-access journal spanning biochemistry, genetics, neuroscience, environmental health, and synthetic biology.

International Journal of Functional Nutrition

International Journal of Functional Nutrition

Open-access journal combining biochemistry, pharmacology, immunology, and genetics to advance health through functional nutrition.

International Journal of Epigenetics

International Journal of Epigenetics

Publishes open-access research on using epigenetics to advance understanding and treatment of human disease.

Medicine International

Medicine International

An International Open Access Journal Devoted to General Medicine.

Journal Cover
July-2020 Volume 20 Issue 1

Full Size Image

Sign up for eToc alerts
Recommend to Library

  • Article
  • Citations
    • Cite This Article
    • Download Citation
    • Create Citation Alert
    • Remove Citation Alert
    • Cited By
  • Similar Articles
    • Related Articles (in Spandidos Publications)
    • Similar Articles (Google Scholar)
    • Similar Articles (PubMed)
  • Download PDF
  • Download XML
  • View XML

  • Supplementary Files
    • Supplementary_Data.pdf
Article Open Access

Histology and its prognostic effect on KRAS‑mutated colorectal carcinomas in Korea

  • Authors:
    • Hye Seung Lee
    • Dae Yong Hwang
    • Hye Seung Han
  • View Affiliations / Copyright

    Affiliations: Department of Pathology, Korea Clinical Laboratory, Seoul 05396, Republic of Korea, Department of Surgery, Konkuk University School of Medicine, Seoul 05030, Republic of Korea, Department of Pathology, Konkuk University School of Medicine, Seoul 05030, Republic of Korea
    Copyright: © Lee et al. This is an open access article distributed under the terms of Creative Commons Attribution License.
  • Pages: 655-666
    |
    Published online on: May 13, 2020
       https://doi.org/10.3892/ol.2020.11606
  • Expand metrics +
Metrics: Total Views: 0 (Spandidos Publications: | PMC Statistics: )
Metrics: Total PDF Downloads: 0 (Spandidos Publications: | PMC Statistics: )
Cited By (CrossRef): 0 citations Loading Articles...

This article is mentioned in:



Abstract

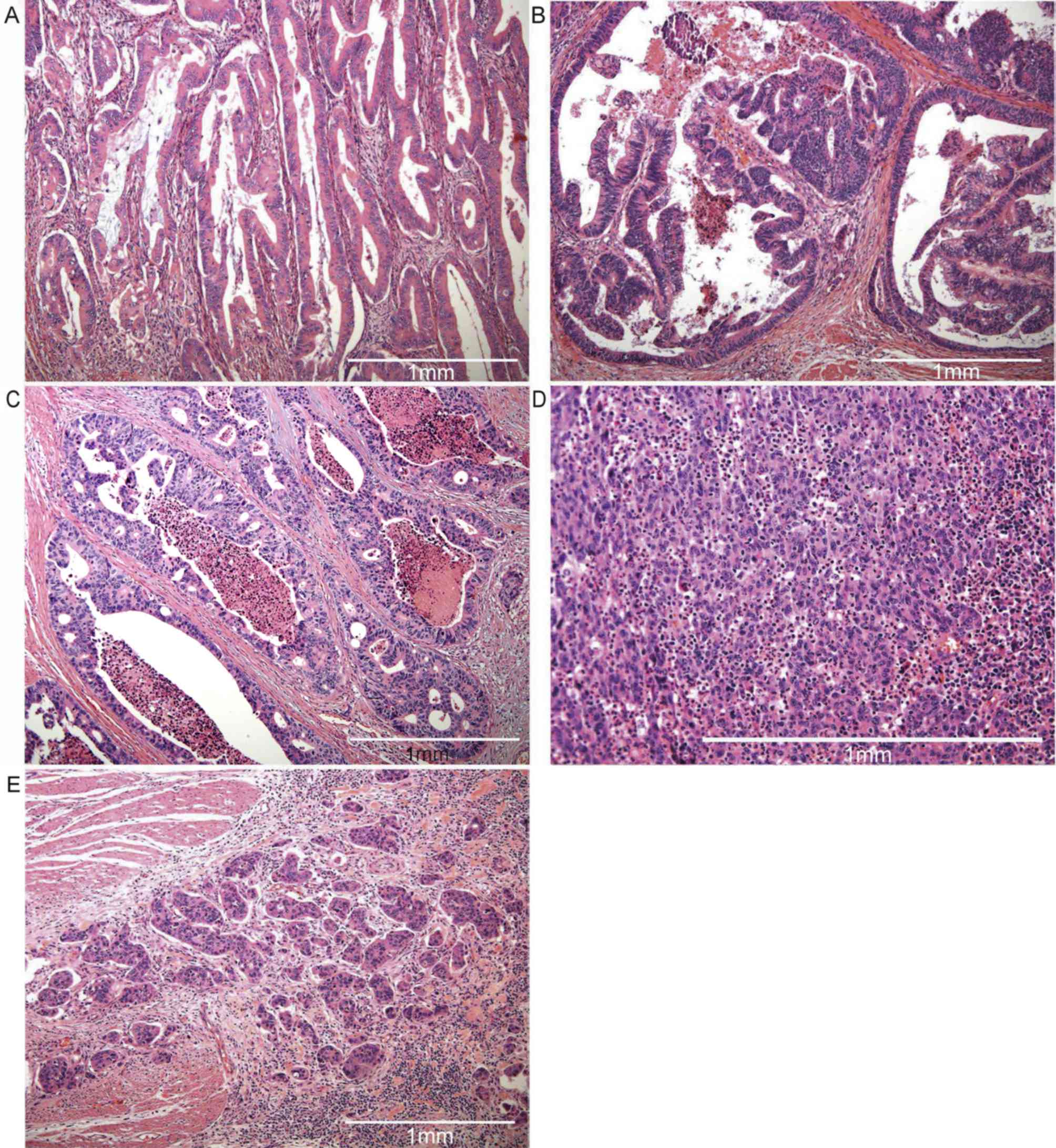
KRAS mutation is frequently identified in advanced colorectal carcinoma (CRC); however, its prognostic significance and the associated histological features have remained to be clarified. In the present study, the precise histological results and prognostic value of KRAS‑mutated CRCs were investigated in patients from South Korea. A retrospective review of the results from KRAS mutation testing, as well as evaluation of the histology of 310 cases of CRC at various stages, were performed. Cross‑tabulation and survival analysis were performed according to the KRAS status. Patients with KRAS mutation more frequently exhibited serrated and papillary architectures (P=0.009 and P=0.014, respectively). KRAS mutation was an independent unfavorable prognostic factor for overall survival (OS) according to multivariate analysis (P=0.001), whereas no association was observed with disease‑free survival (DFS) (P=0.611). Of note, in the subgroup of KRAS‑mutated carcinomas, the presence of a solid component on histology was associated with less favorable OS (P=0.032). Furthermore, among the wild type cases, patients with a micropapillary component had a worse OS than those who did not (P=0.018). However, no subgroup or specific histological features were associated with DFS. In summary, KRAS‑mutated CRCs had a moderate association with particular histological features, and according to the KRAS mutational status, there was a certain degree of association between histology and prognosis.
View Figures

Figure 1

Figure 2

View References

1 

Shin A, Kim KZ, Jung KW, Park S, Won YJ, Kim J, Kim DY and Oh JH: Increasing trend of colorectal cancer incidence in Korea, 1999–2009. Cancer Res Treat. 44:219–226. 2012. View Article : Google Scholar : PubMed/NCBI

2 

Jung KW, Won YJ, Kong HJ and Lee ES: Prediction of cancer incidence and mortality in Korea, 2018. Cancer Res Treat. 50:317–323. 2018. View Article : Google Scholar : PubMed/NCBI

3 

De Angelis R, Sant M, Coleman MP, Francisci S, Baili P, Pierannunzio D, Trama A, Visser O, Brenner H, Ardanaz E, et al: Cancer survival in Europe 1999–2007 by country and age: Results of EUROCARE-5-a population-based study. Lancet Oncol. 15:23–34. 2014. View Article : Google Scholar : PubMed/NCBI

4 

Mundade R, Imperiale TF, Prabhu L, Loehrer PJ and Lu T: Genetic pathways, prevention, and treatment of sporadic colorectal cancer. Oncoscience. 1:400–406. 2014. View Article : Google Scholar : PubMed/NCBI

5 

Castagnola P and Giaretti W: Mutant KRAS, chromosomal instability and prognosis in colorectal cancer. Biochim Biophys Acta. 1756:115–125. 2005.PubMed/NCBI

6 

Suehiro Y, Wong CW, Chirieac LR, Kondo Y, Shen L, Webb CR, Chan YW, Chan AS, Chan TL, Wu TT, et al: Epigenetic-genetic interactions in the APC/WNT, RAS/RAF, and P53 pathways in colorectal carcinoma. Clin Cancer Res. 14:2560–2569. 2008. View Article : Google Scholar : PubMed/NCBI

7 

Malumbres M and Barbacid M: RAS oncogenes: The first 30 years. Nat Rev Cancer. 3:459–465. 2003. View Article : Google Scholar : PubMed/NCBI

8 

Rosty C, Young JP, Walsh MD, Clendenning M, Walters RJ, Pearson S, Pavluk E, Nagler B, Pakenas D, Jass JR, et al: Colorectal carcinomas with KRAS mutation are associated with distinctive morphological and molecular features. Mod Pathol. 26:825–834. 2013. View Article : Google Scholar : PubMed/NCBI

9 

Tanaka M, Omura K, Watanabe Y, Oda Y and Nakanishi I: Prognostic factors of colorectal cancer: K-ras mutation, overexpression of the p53 protein, and cell proliferative activity. J Surg Oncol. 57:57–64. 1994. View Article : Google Scholar : PubMed/NCBI

10 

Kakar S, Aksoy S, Burgart LJ and Smyrk TC: Mucinous carcinoma of the colon: Correlation of loss of mismatch repair enzymes with clinicopathologic features and survival. Mod Pathol. 17:696–700. 2004. View Article : Google Scholar : PubMed/NCBI

11 

Rimbert J, Tachon G, Junca A, Villalva C, Karayan-Tapon L and Tougeron D: Association between clinicopathological characteristics and RAS mutation in colorectal cancer. Mod Pathol. 31:517–526. 2018. View Article : Google Scholar : PubMed/NCBI

12 

Millar J: The Need for a Global Language-SNOMED CT introduction. Stud Health Technol Inform. 225:683–685. 2016.PubMed/NCBI

13 

Yang D, Lai X, Xu F, Li Y, Jiang W and Ma D: Prognosis and clinical characteristics of colorectal cancer patients with KRAS gene mutation: A 5-year follow-up study. Int J Clin Exp Pathol. 12:409–418. 2019.PubMed/NCBI

14 

Lim DR, Kuk JK, Kim T and Shin EJ: Comparison of oncological outcomes of right-sided colon cancer versus left-sided colon cancer after curative resection: Which side is better outcome? Medicine (Baltimore). 96:e82412017. View Article : Google Scholar : PubMed/NCBI

15 

Chen CH, Hsieh MC, Hsiao PK, Lin EK, Lu YJ and Wu SY: A critical reappraisal for the value of tumor size as a prognostic variable in rectal adenocarcinoma. J Cancer. 8:1927–1934. 2017. View Article : Google Scholar : PubMed/NCBI

16 

Zhai ZW and Gu J: Influence of tumor size on the prognosis in patients with colon cancer. Zhonghua Wei Chang Wai Ke Za Zhi. 15:495–498. 2012.(In Chinese). PubMed/NCBI

17 

Oh SY, Han JY, Lee SR and Lee HT: Improved DNA extraction method for molecular diagnosis from smaller numbers of cells. Korean J Clin Lab Sci. 46:99–105. 2014. View Article : Google Scholar

18 

Bosman FT, Carneiro F, Hruban RH and Theise ND: WHO classification of tumours of the digestive system. Fourth Edition. IARC. 2010.

19 

Weiser MR: AJCC 8th edition: Colorectal cancer. Ann Surg Oncol. 25:1454–1455. 2018. View Article : Google Scholar : PubMed/NCBI

20 

Onodera M, Nishigami T, Torii I, Sato A, Tao LH, Kataoka TR, Yoshikawa R and Tsujimura T: Comparison between colorectal low- and high-grade mucinous adenocarcinoma with MUC1 and MUC5AC. World J Gastrointest Oncol. 1:69–73. 2009. View Article : Google Scholar : PubMed/NCBI

21 

Ueno H, Hashiguchi Y, Shimazaki H, Shinto E, Kajiwara Y, Nakanishi K, Kato K, Maekawa K, Miyai K, Nakamura T, et al: Objective criteria for crohn-like lymphoid reaction in colorectal cancer. Am J Clin Pathol. 139:434–441. 2013. View Article : Google Scholar : PubMed/NCBI

22 

Shia J, Schultz N, Kuk D, Vakiani E, Middha S, Segal NH, Hechtman JF, Berger MF, Stadler ZK, Weiser MR, et al: Morphological characterization of colorectal cancers in The Cancer Genome Atlas reveals distinct morphology-molecular associations: Clinical and biological implications. Mod Pathol. 30:599–609. 2017. View Article : Google Scholar : PubMed/NCBI

23 

Iseki Y, Shibutani M, Maeda K, Nagahara H, Fukuoka T, Matsutani S, Kashiwagi S, Tanaka H, Hirakawa K and Ohira M: A new method for evaluating tumor-infiltrating lymphocytes (TILs) in colorectal cancer using hematoxylin and eosin (H-E)-stained tumor sections. PLoS One. 13:e01927442018. View Article : Google Scholar : PubMed/NCBI

24 

Lugli A, Kirsch R, Ajioka Y, Bosman F, Cathomas G, Dawson H, El Zimaity H, Flèjou JF, Hansen TP, Hartmann A, et al: Recommendations for reporting tumor budding in colorectal cancer based on the International Tumor Budding Consensus Conference (ITBCC) 2016. Mod Pathol. 30:1299–1311. 2017. View Article : Google Scholar : PubMed/NCBI

25 

Kruschewski M, Mueller K, Lipka S, Budczies J, Noske A, Buhr HJ and Elezkurtaj S: The prognostic impact of p53 expression on sporadic colorectal cancer is dependent on p21 status. Cancers (Basel). 3:1274–1284. 2011. View Article : Google Scholar : PubMed/NCBI

26 

Ogino S, Kawasaki T, Kirkner GJ, Ogawa A, Dorfman I, Loda M and Fuchs CS: Down-regulation of p21 (CDKN1A/CIP1) is inversely associated with microsatellite instability and CpG island methylator phenotype (CIMP) in colorectal cancer. J Pathol. 210:147–154. 2006. View Article : Google Scholar : PubMed/NCBI

27 

Guo F, Gong H, Zhao H, Chen J, Zhang Y, Zhang L, Shi X, Zhang A, Jin H, Zhang J and He Y: Mutation status and prognostic values of KRAS, NRAS, BRAF and PIK3CA in 353 Chinese colorectal cancer patients. Sci Rep. 8:60762018. View Article : Google Scholar : PubMed/NCBI

28 

Lee WS, Lee JN, Baek JH and Park YH: RAS status in Korean patients with stage III and IV colorectal cancer. Clin Transl Oncol. 17:751–756. 2015. View Article : Google Scholar : PubMed/NCBI

29 

Byun JH, Ahn JB, Kim SY, Kang JH, Zang DY, Kang SY, Kang MJ, Shim BY, Baek SK, Kim BS, et al: The impact of primary tumor location in patients with metastatic colorectal cancer: A Korean Cancer Study Group CO12-04 study. Korean J Intern Med. 34:165–177. 2019. View Article : Google Scholar : PubMed/NCBI

30 

Calistri D, Rengucci C, Seymour I, Leonardi E, Truini M, Malacarne D, Castagnola P and Giaretti W: KRAS, p53 and BRAF gene mutations and aneuploidy in sporadic colorectal cancer progression. Cell Oncol. 28:161–166. 2006.PubMed/NCBI

31 

Tosi F, Magni E, Amatu A, Mauri G, Bencardino K, Truini M, Veronese S, De Carlis L, Ferrari G, Nichelatti M, et al: Effect of KRAS and BRAF mutations on survival of metastatic colorectal cancer after liver resection: A systematic review and meta-analysis. Clin Colorectal Cancer. 16:e153–e163. 2017. View Article : Google Scholar : PubMed/NCBI

32 

Bai B, Shan L, Xie B, Huang X, Mao W, Wang X, Wang D and Zhu H: Mutations in KRAS codon 12 predict poor survival in Chinese patients with metastatic colorectal cancer. Oncol Lett. 15:3161–3166. 2018.PubMed/NCBI

33 

Lee JH, Ahn J, Park WS, Choe EK, Kim E, Shin R, Heo SC, Jung S, Kim K, Chai YJ and Chae H: Colorectal cancer prognosis is not associated with BRAF and KRAS Mutations-A STROBE compliant study. J Clin Med. 8(pii): E1112019. View Article : Google Scholar : PubMed/NCBI

34 

Payandeh M, Shazad B, Sadeghi M and Shahbazi M: Correlation between RAS test results and prognosis of metastatic colorectal cancer patients: A report from Western Iran. Asian Pac J Cancer Prev. 17:1729–1732. 2016. View Article : Google Scholar : PubMed/NCBI

35 

Modest DP, Brodowicz T, Stintzing S, Jung A, Neumann J, Laubender RP, Ocvirk J, Kurteva G, Papai Z, Knittelfelder R, et al: Impact of the specific mutation in KRAS codon 12 mutated tumors on treatment efficacy in patients with metastatic colorectal cancer receiving cetuximab-based first-line therapy: A pooled analysis of three trials. Oncology. 83:241–247. 2012. View Article : Google Scholar : PubMed/NCBI

36 

Renaud S, Guerrera F, Seitlinger J, Costardi L, Schaeffer M, Romain B, Mossetti C, Claire-Voegeli A, Filosso PL, Legrain M, et al: KRAS exon 2 codon 13 mutation is associated with a better prognosis than codon 12 mutation following lung metastasectomy in colorectal cancer. Oncotarget. 8:2514–2524. 2017. View Article : Google Scholar : PubMed/NCBI

37 

Jones RP, Sutton PA, Evans JP, Clifford R, McAvoy A, Lewis J, Rousseau A, Mountford R, McWhirter D and Malik HZ: Specific mutations in KRAS codon 12 are associated with worse overall survival in patients with advanced and recurrent colorectal cancer. Br J Cancer. 116:923–929. 2017. View Article : Google Scholar : PubMed/NCBI

38 

Kaczirek K, Ciuleanu TE, Vrbanec D, Marton E, Messinger D, Liegl-Atzwanger B, Wrba F, Knittelfelder R, Lindner E, Zielinski CC, et al: FOLFOX4 plus cetuximab for patients with previously untreated metastatic colorectal cancer according to tumor RAS and BRAF mutation status: Updated analysis of the CECOG/CORE 1.2.002 study. Clin Colorectal Cancer. 14:91–98. 2015. View Article : Google Scholar : PubMed/NCBI

39 

Yoon HH, Tougeron D, Shi Q, Alberts SR, Mahoney MR, Nelson GD, Nair SG, Thibodeau SN, Goldberg RM, Sargent DJ, et al: KRAS codon 12 and 13 mutations in relation to disease-free survival in BRAF-wild-type stage III colon cancers from an adjuvant chemotherapy trial (N0147 alliance). Clin Cancer Res. 20:3033–3043. 2014. View Article : Google Scholar : PubMed/NCBI

40 

Kadowaki S, Kakuta M, Takahashi S, Takahashi A, Arai Y, Nishimura Y, Yatsuoka T, Ooki A, Yamaguchi K, Matsuo K, et al: Prognostic value of KRAS and BRAF mutations in curatively resected colorectal cancer. World J Gastroenterol. 21:1275–1283. 2015. View Article : Google Scholar : PubMed/NCBI

41 

Alberts SR, Sargent DJ, Nair S, Mahoney MR, Mooney M, Thibodeau SN, Smyrk TC, Sinicrope FA, Chan E, Gill S, et al: Effect of oxaliplatin, fluorouracil, and leucovorin with or without cetuximab on survival among patients with resected stage III colon cancer: A randomized trial. JAMA. 307:1383–1393. 2012. View Article : Google Scholar : PubMed/NCBI

42 

Lee DW, Kim KJ, Han SW, Lee HJ, Rhee YY, Bae JM, Cho NY, Lee KH, Kim TY, Oh DY, et al: KRAS mutation is associated with worse prognosis in stage III or high-risk stage II colon cancer patients treated with adjuvant FOLFOX. Ann Surg Oncol. 22:187–194. 2015. View Article : Google Scholar : PubMed/NCBI

43 

Blons H, Emile JF, Le Malicot K, Juliè C, Zaanan A, Tabernero J, Mini E, Folprecht G, Van Laethem JL, Thaler J, et al: Prognostic value of KRAS mutations in stage III colon cancer: Post hoc analysis of the PETACC8 phase III trial dataset. Ann Oncol. 25:2378–2385. 2014. View Article : Google Scholar : PubMed/NCBI

44 

Won DD, Lee JI, Lee IK, Oh ST, Jung ES and Lee SH: The prognostic significance of KRAS and BRAF mutation status in Korean colorectal cancer patients. BMC Cancer. 17:4032017. View Article : Google Scholar : PubMed/NCBI

45 

Gao XH, Yu GY, Hong YG, Lian W, Chouhan H, Xu Y, Liu LJ, Bai CG and Zhang W: Clinical significance of multiple gene detection with a 22-gene panel in formalin-fixed paraffin-embedded specimens of 207 colorectal cancer patients. Int J Clin Oncol. 24:141–152. 2019. View Article : Google Scholar : PubMed/NCBI

46 

Natsume S, Yamaguchi T, Takao M, Iijima T, Wakaume R, Takahashi K, Matsumoto H, Nakano D, Horiguchi SI, Koizumi K and Miyaki M: Clinicopathological and molecular differences between right-sided and left-sided colorectal cancer in Japanese patients. Jpn J Clin Oncol. 48:609–618. 2018. View Article : Google Scholar : PubMed/NCBI

47 

Inoue Y, Saigusa S, Iwata T, Okugawa Y, Toiyama Y, Tanaka K, Uchida K, Mohri Y and Kusunoki M: The prognostic value of KRAS mutations in patients with colorectal cancer. Oncol Rep. 28:1579–1584. 2012. View Article : Google Scholar : PubMed/NCBI

48 

Chang MH, Lee IK, Si Y, Lee KS, Woo IS and Byun JH: Clinical impact of K-ras mutation in colorectal cancer patients treated with adjuvant FOLFOX. Cancer Chemother Pharmacol. 68:317–323. 2011. View Article : Google Scholar : PubMed/NCBI

49 

Kim HS, Heo JS, Lee J, Lee JY, Lee MY, Lim SH, Lee WY, Kim SH, Park YA, Cho YB, et al: The impact of KRAS mutations on prognosis in surgically resected colorectal cancer patients with liver and lung metastases: A retrospective analysis. BMC Cancer. 16:1202016. View Article : Google Scholar : PubMed/NCBI

50 

Buim ME, Fanelli MF, Souza VS, Romero J, Abdallah EA, Mello CA, Alves V, Ocea LM, Mingues NB, Barbosa PN, et al: Detection of KRAS mutations in circulating tumor cells from patients with metastatic colorectal cancer. Cancer Biol Ther. 16:1289–1295. 2015. View Article : Google Scholar : PubMed/NCBI

51 

Cabrera-Mendoza F, Gainza-Lagunes S, Castañeda-Andrade I and Castro-Zarate A: Clinical relevance of the K-ras oncogene in colorectal cancer: Experience in a Mexican population. Rev Gastroenterol Mex. 79:166–170. 2014.(In Spanish). PubMed/NCBI

52 

Zekri J, Rizvi A, Al-Maghrabi J and Bin Sadiq B: K-ras in colorectal cancer tumors from saudi patients: Frequency, Clinco-pathological Association and clinical outcome. Open Colorectal Cancer J. 5:22–27. 2012. View Article : Google Scholar

53 

Sastre J, Vidaurreta M, Gómez A, Rivera F, Massutí B, López MR, Abad A, Gallen M, Benavides M, Aranda E, et al: Prognostic value of the combination of circulating tumor cells plus KRAS in patients with metastatic colorectal cancer treated with chemotherapy plus bevacizumab. Clin Colorectal Cancer. 12:280–286. 2013. View Article : Google Scholar : PubMed/NCBI

54 

Serenari M, Alvarez FA, Ardiles V, de Santibañes M, Pekolj J and de Santibañes E: The ALPPS approach for colorectal liver metastases: Impact of KRAS mutation status in survival. Dig Surg. 35:303–310. 2018. View Article : Google Scholar : PubMed/NCBI

55 

Graf W, Cashin PH, Ghanipour L, Enblad M, Botling J, Terman A and Birgisson H: Prognostic impact of BRAF and KRAS mutation in patients with colorectal and appendiceal peritoneal metastases scheduled for CRS and HIPEC. Ann Surg Oncol. 27:293–300. 2020. View Article : Google Scholar : PubMed/NCBI

56 

Winder T, Mündlein A, Rhomberg S, Dirschmid K, Hartmann BL, Knauer M, Drexel H, Wenzl E, De Vries A and Lang A: Different types of K-Ras mutations are conversely associated with overall survival in patients with colorectal cancer. Oncol Rep. 21:1283–1287. 2009. View Article : Google Scholar : PubMed/NCBI

57 

East JE, Atkin WS, Bateman AC, Clark SK, Dolwani S, Ket SN, Leedham SJ, Phull PS, Rutter MD, Shepherd NA, et al: British society of gastroenterology position statement on serrated polyps in the colon and rectum. Gut. 66:1181–1196. 2017. View Article : Google Scholar : PubMed/NCBI

58 

Lee CT, Huang YC, Hung LY, Chow NH, Su PF, Ho CL, Tsai HW, Chen YL, Lin SC, Lin BW, et al: Serrated adenocarcinoma morphology in colorectal mucinous adenocarcinoma is associated with improved patient survival. Oncotarget. 8:35165–35175. 2017. View Article : Google Scholar : PubMed/NCBI

59 

Patai AV, Molnár B, Tulassay Z and Sipos F: Serrated pathway: Alternative route to colorectal cancer. World J Gastroenterol. 19:607–615. 2013. View Article : Google Scholar : PubMed/NCBI

60 

Loy TS and Kaplan PA: Villous adenocarcinoma of the colon and rectum: A clinicopathologic study of 36 cases. Am J Surg Pathol. 28:1460–1465. 2004. View Article : Google Scholar : PubMed/NCBI

61 

Palazzo JP, Edmonston TB, Chaille-Arnold LM and Burkholder S: Invasive papillary adenocarcinoma of the colon. Hum Pathol. 33:372–375. 2002. View Article : Google Scholar : PubMed/NCBI

62 

Gonzalez RS, Cates JM, Washington MK, Beauchamp RD, Coffey RJ and Shi C: Adenoma-like adenocarcinoma: A subtype of colorectal carcinoma with good prognosis, deceptive appearance on biopsy and frequent KRAS mutation. Histopathology. 68:183–190. 2016. View Article : Google Scholar : PubMed/NCBI

63 

Fecteau RE, Lutterbaugh J, Markowitz SD, Willis J and Guda K: GNAS mutations identify a set of right-sided, RAS mutant, villous colon cancers. PLoS One. 9:e879662014. View Article : Google Scholar : PubMed/NCBI

64 

Kim MJ, Hong SM, Jang SJ, Yu E, Kim JS, Kim KR, Gong G and Ro JY: Invasive colorectal micropapillary carcinoma: An aggressive variant of adenocarcinoma. Hum Pathol. 37:809–815. 2006. View Article : Google Scholar : PubMed/NCBI

65 

Pettinato G, Manivel CJ, Panico L, Sparano L and Petrella G: Invasive micropapillary carcinoma of the breast: Clinicopathologic study of 62 cases of a poorly recognized variant with highly aggressive behavior. Am J Clin Pathol. 121:857–866. 2004. View Article : Google Scholar : PubMed/NCBI

66 

Hendifar A, Yang D, Lenz F, Lurje G, Pohl A, Lenz C, Ning Y, Zhang W and Lenz HJ: Gender disparities in metastatic colorectal cancer survival. Clin Cancer Res. 15:6391–6397. 2009. View Article : Google Scholar : PubMed/NCBI

67 

Majek O, Gondos A, Jansen L, Emrich K, Holleczek B, Katalinic A, Nennecke A, Eberle A and Brenner H; GEKID Cancer Survival Working Group, : Sex differences in colorectal cancer survival: Population-based analysis of 164,996 colorectal cancer patients in Germany. PLoS One. 8:e680772013. View Article : Google Scholar : PubMed/NCBI

68 

Soulierès D, Greer W, Magliocco AM, Huntsman D, Young S, Tsao MS and Kamel-Reid S: KRAS mutation testing in the treatment of metastatic colorectal cancer with anti-EGFR therapies. Curr Oncol. 17 (Suppl 1):S31–S40. 2010.PubMed/NCBI

69 

Chuko J, Yeh MK, Chen BJ and Hu KY: Efficacy of cetuximab on wild-type and mutant KRAS in colorectal cancer: Systematic review and meta-analysis. J Med Sci. 30:189–198. 2010.

70 

Pollheimer MJ, Kornprat P, Lindtner RA, Harbaum L, Schlemmer A, Rehak P and Langner C: Tumor necrosis is a new promising prognostic factor in colorectal cancer. Hum Pathol. 41:1749–1757. 2010. View Article : Google Scholar : PubMed/NCBI

71 

Väyrynen SA, Väyrynen JP, Klintrup K, Mäkelä J, Karttunen TJ, Tuomisto A and Mäkinen MJ: Clinical impact and network of determinants of tumour necrosis in colorectal cancer. Br J Cancer. 114:1334–1342. 2016. View Article : Google Scholar : PubMed/NCBI

72 

Wikberg ML, Ling A, Li X, Öberg A, Edin S and Palmqvist R: Neutrophil infiltration is a favorable prognostic factor in early stages of colon cancer. Hum Pathol. 68:193–202. 2017. View Article : Google Scholar : PubMed/NCBI

73 

Rao HL, Chen JW, Li M, Xiao YB, Fu J, Zeng YX, Cai MY and Xie D: Increased intratumoral neutrophil in colorectal carcinomas correlates closely with malignant phenotype and predicts patients' adverse prognosis. PLoS One. 7:e308062012. View Article : Google Scholar : PubMed/NCBI

74 

Sanz-Garcia E, Argiles G, Elez E and Tabernero J: BRAF mutant colorectal cancer: Prognosis, treatment, and new perspectives. Ann Oncol. 28:2648–2657. 2017. View Article : Google Scholar : PubMed/NCBI

75 

Chen D, Huang JF, Liu K, Zhang LQ, Yang Z, Chuai ZR, Wang YX, Shi DC, Huang Q and Fu WL: BRAFV600E mutation and its association with clinicopathological features of colorectal cancer: A systematic review and meta-analysis. PLoS One. 9:e906072014. View Article : Google Scholar : PubMed/NCBI

76 

Davies H, Bignell GR, Cox C, Stephens P, Edkins S, Clegg S, Teague J, Woffendin H, Garnett MJ, Bottomley W, et al: Mutations of the BRAF gene in human cancer. Nature. 417:949–954. 2002. View Article : Google Scholar : PubMed/NCBI

Related Articles

  • Abstract
  • View
  • Download
  • Twitter
Copy and paste a formatted citation
Spandidos Publications style
Lee HS, Hwang DY and Han HS: Histology and its prognostic effect on KRAS‑mutated colorectal carcinomas in Korea . Oncol Lett 20: 655-666, 2020.
APA
Lee, H.S., Hwang, D.Y., & Han, H.S. (2020). Histology and its prognostic effect on KRAS‑mutated colorectal carcinomas in Korea . Oncology Letters, 20, 655-666. https://doi.org/10.3892/ol.2020.11606
MLA
Lee, H. S., Hwang, D. Y., Han, H. S."Histology and its prognostic effect on KRAS‑mutated colorectal carcinomas in Korea ". Oncology Letters 20.1 (2020): 655-666.
Chicago
Lee, H. S., Hwang, D. Y., Han, H. S."Histology and its prognostic effect on KRAS‑mutated colorectal carcinomas in Korea ". Oncology Letters 20, no. 1 (2020): 655-666. https://doi.org/10.3892/ol.2020.11606
Copy and paste a formatted citation
x
Spandidos Publications style
Lee HS, Hwang DY and Han HS: Histology and its prognostic effect on KRAS‑mutated colorectal carcinomas in Korea . Oncol Lett 20: 655-666, 2020.
APA
Lee, H.S., Hwang, D.Y., & Han, H.S. (2020). Histology and its prognostic effect on KRAS‑mutated colorectal carcinomas in Korea . Oncology Letters, 20, 655-666. https://doi.org/10.3892/ol.2020.11606
MLA
Lee, H. S., Hwang, D. Y., Han, H. S."Histology and its prognostic effect on KRAS‑mutated colorectal carcinomas in Korea ". Oncology Letters 20.1 (2020): 655-666.
Chicago
Lee, H. S., Hwang, D. Y., Han, H. S."Histology and its prognostic effect on KRAS‑mutated colorectal carcinomas in Korea ". Oncology Letters 20, no. 1 (2020): 655-666. https://doi.org/10.3892/ol.2020.11606
Follow us
  • Twitter
  • LinkedIn
  • Facebook
About
  • Spandidos Publications
  • Careers
  • Cookie Policy
  • Privacy Policy
How can we help?
  • Help
  • Live Chat
  • Contact
  • Email to our Support Team