Spandidos Publications Logo
  • About
    • About Spandidos
    • Aims and Scopes
    • Abstracting and Indexing
    • Editorial Policies
    • Reprints and Permissions
    • Job Opportunities
    • Terms and Conditions
    • Contact
  • Journals
    • All Journals
    • Oncology Letters
      • Oncology Letters
      • Information for Authors
      • Editorial Policies
      • Editorial Board
      • Aims and Scope
      • Abstracting and Indexing
      • Bibliographic Information
      • Archive
    • International Journal of Oncology
      • International Journal of Oncology
      • Information for Authors
      • Editorial Policies
      • Editorial Board
      • Aims and Scope
      • Abstracting and Indexing
      • Bibliographic Information
      • Archive
    • Molecular and Clinical Oncology
      • Molecular and Clinical Oncology
      • Information for Authors
      • Editorial Policies
      • Editorial Board
      • Aims and Scope
      • Abstracting and Indexing
      • Bibliographic Information
      • Archive
    • Experimental and Therapeutic Medicine
      • Experimental and Therapeutic Medicine
      • Information for Authors
      • Editorial Policies
      • Editorial Board
      • Aims and Scope
      • Abstracting and Indexing
      • Bibliographic Information
      • Archive
    • International Journal of Molecular Medicine
      • International Journal of Molecular Medicine
      • Information for Authors
      • Editorial Policies
      • Editorial Board
      • Aims and Scope
      • Abstracting and Indexing
      • Bibliographic Information
      • Archive
    • Biomedical Reports
      • Biomedical Reports
      • Information for Authors
      • Editorial Policies
      • Editorial Board
      • Aims and Scope
      • Abstracting and Indexing
      • Bibliographic Information
      • Archive
    • Oncology Reports
      • Oncology Reports
      • Information for Authors
      • Editorial Policies
      • Editorial Board
      • Aims and Scope
      • Abstracting and Indexing
      • Bibliographic Information
      • Archive
    • Molecular Medicine Reports
      • Molecular Medicine Reports
      • Information for Authors
      • Editorial Policies
      • Editorial Board
      • Aims and Scope
      • Abstracting and Indexing
      • Bibliographic Information
      • Archive
    • World Academy of Sciences Journal
      • World Academy of Sciences Journal
      • Information for Authors
      • Editorial Policies
      • Editorial Board
      • Aims and Scope
      • Abstracting and Indexing
      • Bibliographic Information
      • Archive
    • International Journal of Functional Nutrition
      • International Journal of Functional Nutrition
      • Information for Authors
      • Editorial Policies
      • Editorial Board
      • Aims and Scope
      • Abstracting and Indexing
      • Bibliographic Information
      • Archive
    • International Journal of Epigenetics
      • International Journal of Epigenetics
      • Information for Authors
      • Editorial Policies
      • Editorial Board
      • Aims and Scope
      • Abstracting and Indexing
      • Bibliographic Information
      • Archive
    • Medicine International
      • Medicine International
      • Information for Authors
      • Editorial Policies
      • Editorial Board
      • Aims and Scope
      • Abstracting and Indexing
      • Bibliographic Information
      • Archive
  • Articles
  • Information
    • Information for Authors
    • Information for Reviewers
    • Information for Librarians
    • Information for Advertisers
    • Conferences
  • Language Editing
Spandidos Publications Logo
  • About
    • About Spandidos
    • Aims and Scopes
    • Abstracting and Indexing
    • Editorial Policies
    • Reprints and Permissions
    • Job Opportunities
    • Terms and Conditions
    • Contact
  • Journals
    • All Journals
    • Biomedical Reports
      • Information for Authors
      • Editorial Policies
      • Editorial Board
      • Aims and Scope
      • Abstracting and Indexing
      • Bibliographic Information
      • Archive
    • Experimental and Therapeutic Medicine
      • Information for Authors
      • Editorial Policies
      • Editorial Board
      • Aims and Scope
      • Abstracting and Indexing
      • Bibliographic Information
      • Archive
    • International Journal of Epigenetics
      • Information for Authors
      • Editorial Policies
      • Editorial Board
      • Aims and Scope
      • Abstracting and Indexing
      • Bibliographic Information
      • Archive
    • International Journal of Functional Nutrition
      • Information for Authors
      • Editorial Policies
      • Editorial Board
      • Aims and Scope
      • Abstracting and Indexing
      • Bibliographic Information
      • Archive
    • International Journal of Molecular Medicine
      • Information for Authors
      • Editorial Policies
      • Editorial Board
      • Aims and Scope
      • Abstracting and Indexing
      • Bibliographic Information
      • Archive
    • International Journal of Oncology
      • Information for Authors
      • Editorial Policies
      • Editorial Board
      • Aims and Scope
      • Abstracting and Indexing
      • Bibliographic Information
      • Archive
    • Medicine International
      • Information for Authors
      • Editorial Policies
      • Editorial Board
      • Aims and Scope
      • Abstracting and Indexing
      • Bibliographic Information
      • Archive
    • Molecular and Clinical Oncology
      • Information for Authors
      • Editorial Policies
      • Editorial Board
      • Aims and Scope
      • Abstracting and Indexing
      • Bibliographic Information
      • Archive
    • Molecular Medicine Reports
      • Information for Authors
      • Editorial Policies
      • Editorial Board
      • Aims and Scope
      • Abstracting and Indexing
      • Bibliographic Information
      • Archive
    • Oncology Letters
      • Information for Authors
      • Editorial Policies
      • Editorial Board
      • Aims and Scope
      • Abstracting and Indexing
      • Bibliographic Information
      • Archive
    • Oncology Reports
      • Information for Authors
      • Editorial Policies
      • Editorial Board
      • Aims and Scope
      • Abstracting and Indexing
      • Bibliographic Information
      • Archive
    • World Academy of Sciences Journal
      • Information for Authors
      • Editorial Policies
      • Editorial Board
      • Aims and Scope
      • Abstracting and Indexing
      • Bibliographic Information
      • Archive
  • Articles
  • Information
    • For Authors
    • For Reviewers
    • For Librarians
    • For Advertisers
    • Conferences
  • Language Editing
Login Register Submit
  • This site uses cookies
  • You can change your cookie settings at any time by following the instructions in our Cookie Policy. To find out more, you may read our Privacy Policy.

    I agree
Search articles by DOI, keyword, author or affiliation
Search
Advanced Search
presentation
Oncology Letters
Join Editorial Board Propose a Special Issue
Print ISSN: 1792-1074 Online ISSN: 1792-1082
Journal Cover
October-2022 Volume 24 Issue 4

Full Size Image

Sign up for eToc alerts
Recommend to Library

Journals

International Journal of Molecular Medicine

International Journal of Molecular Medicine

International Journal of Molecular Medicine is an international journal devoted to molecular mechanisms of human disease.

International Journal of Oncology

International Journal of Oncology

International Journal of Oncology is an international journal devoted to oncology research and cancer treatment.

Molecular Medicine Reports

Molecular Medicine Reports

Covers molecular medicine topics such as pharmacology, pathology, genetics, neuroscience, infectious diseases, molecular cardiology, and molecular surgery.

Oncology Reports

Oncology Reports

Oncology Reports is an international journal devoted to fundamental and applied research in Oncology.

Experimental and Therapeutic Medicine

Experimental and Therapeutic Medicine

Experimental and Therapeutic Medicine is an international journal devoted to laboratory and clinical medicine.

Oncology Letters

Oncology Letters

Oncology Letters is an international journal devoted to Experimental and Clinical Oncology.

Biomedical Reports

Biomedical Reports

Explores a wide range of biological and medical fields, including pharmacology, genetics, microbiology, neuroscience, and molecular cardiology.

Molecular and Clinical Oncology

Molecular and Clinical Oncology

International journal addressing all aspects of oncology research, from tumorigenesis and oncogenes to chemotherapy and metastasis.

World Academy of Sciences Journal

World Academy of Sciences Journal

Multidisciplinary open-access journal spanning biochemistry, genetics, neuroscience, environmental health, and synthetic biology.

International Journal of Functional Nutrition

International Journal of Functional Nutrition

Open-access journal combining biochemistry, pharmacology, immunology, and genetics to advance health through functional nutrition.

International Journal of Epigenetics

International Journal of Epigenetics

Publishes open-access research on using epigenetics to advance understanding and treatment of human disease.

Medicine International

Medicine International

An International Open Access Journal Devoted to General Medicine.

Journal Cover
October-2022 Volume 24 Issue 4

Full Size Image

Sign up for eToc alerts
Recommend to Library

  • Article
  • Citations
    • Cite This Article
    • Download Citation
    • Create Citation Alert
    • Remove Citation Alert
    • Cited By
  • Similar Articles
    • Related Articles (in Spandidos Publications)
    • Similar Articles (Google Scholar)
    • Similar Articles (PubMed)
  • Download PDF
  • Download XML
  • View XML

  • Supplementary Files
    • Supplementary_Data.pdf
Article Open Access

Inter‑component immunohistochemical assessment of proliferative markers in uterine carcinosarcoma

  • Authors:
    • Andrzej Pyra
    • Aneta Adamiak‑Godlewska
    • Dorota Lewkowicz
    • Beata Bałon
    • Marek Cybulski
    • Anna Semczuk‑Sikora
    • Andrzej Semczuk
  • View Affiliations / Copyright

    Affiliations: Department of Gynecology and Obstetrics, Municipal Hospital, PL‑39460 Nowa Dęba, Poland, Second Department of Gynecology, Lublin Medical University, PL‑20954 Lublin, Poland, Department of Clinical Pathology, Lublin Medical University, PL‑20954 Lublin, Poland, Medical Institute, State School, PL‑38500 Sanok, Poland, Department of Biochemistry and Molecular Biology, Lublin Medical University, PL-20093 Lublin, Poland, Department of Obstetrics and Pathology of Pregnancy, Lublin Medical University, PL‑20081 Lublin, Poland
    Copyright: © Pyra et al. This is an open access article distributed under the terms of Creative Commons Attribution License.
  • Article Number: 363
    |
    Published online on: August 31, 2022
       https://doi.org/10.3892/ol.2022.13483
  • Expand metrics +
Metrics: Total Views: 0 (Spandidos Publications: | PMC Statistics: )
Metrics: Total PDF Downloads: 0 (Spandidos Publications: | PMC Statistics: )
Cited By (CrossRef): 0 citations Loading Articles...

This article is mentioned in:



Abstract

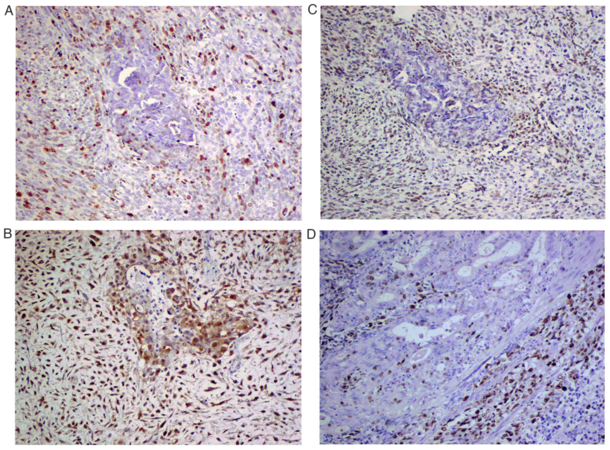
In the scientific literature, a selected number of reports have investigated the impact of proliferative activity on the development and progression of uterine carcinosarcomas (UC). The aim of the present retrospective study was to compare the immunohistochemical proliferation markers [Ki67, proliferating cell nuclear antigen (PCNA), minichromosome maintenance complex component 3 (MCM3), and topoisomerase IIα (topoIIα)] assessment in both components of UC. A total of 30 paraffin‑embedded slides of UCs, obtained from patients who underwent surgery between January 1, 2006, and December 31, 2020, were analyzed. Medical records and clinicopathological data of patients were reviewed. Formalin‑fixed, paraffin‑embedded tissue sections were immunostained with monoclonal antibodies against Ki67, PCNA, MCM3 and topoIIα. Ki67‑positive nuclear immunoreactivity was reported in 20 (67%) and 16 (53%) UC carcinomatous and sarcomatous components, respectively. In the epithelial component, Ki67 positive staining was related to the International Federation of Gynecology and Obstetrics (FIGO) stage (P=0.025), and histological grade (G1 vs. G2/G3, P=0.031). Nuclear PCNA reactivity was observed in 18 (60%) and 16 (53%) carcinomatous and sarcomatous components, respectively. Notably, all four cases with omental metastases were PCNA‑positive, and a relationship between staining pattern and the existence of metastases was of significant value (P=0.018). MCM3‑positive nuclear staining was found nearly twice as high in the carcinomatous (n=19; 63%), compared with the sarcomatous (n=11; 37%) component, respectively, and MCM3 expression in the epithelial component was related to clinical stage (P=0.030), and the existence of omental metastasis (P=0.012). In addition, out of the 30 UCs, 17 (57%) and 13 (43%) showed topoIIα positivity in the carcinomatous and sarcomatous UC components, respectively. A significant relationship between protein immunoreactivity and FIGO stage (P=0.049), and omental metastasis (P=0.026) was revealed to exist. However, no significant differences between expression of proliferation markers and clinicopathological features in the sarcomatous UC component were identified. Finally, a significant correlation between each protein immunohistochemical staining was demonstrated, particularly in the sarcomatous UC component. Collectively, a combined analysis of Ki67, PCNA, MCM3, and topoIIα may provide more detailed information of cell‑cycle alterations determining the heterogeneity of uterine carcinosarcomas.
View Figures

Figure 1

View References

1 

Kernochan LE and Garcia RL: Carcinosarcomas (malignant mixed Müllerian tumor) of the uterus: Advances in elucidation of biologic and clinical characteristics. J Natl Compr Canc Netw. 7:550–557. 2009. View Article : Google Scholar : PubMed/NCBI

2 

Lopez-Garcia MA and Palacios J: Pathologic and molecular features of uterine carcinosarcomas. Semin Diagn Pathol. 27:274–286. 2010. View Article : Google Scholar : PubMed/NCBI

3 

Singh R: Review literature on uterine carcinosarcoma. J Cancer Res Ther. 10:461–468. 2014.PubMed/NCBI

4 

Liao CI, Caesar MA, Lee D, Chan A, Darcy KM, Tian C, Kapp DS and Chan JK: Increasing incidence of uterine carcinosarcoma: A United States cancer statistics study. Gynecol Oncol Rep. 40:1009362022. View Article : Google Scholar : PubMed/NCBI

5 

Concin N, Matias-Guiu X, Vergote I, Cibula D, Mirza MR, Marnitz S, Ledermann J, Bosse T, Chargari C, Fagotti A, et al: ESGO/ESTRO/ESP guidelines for the management of patients with endometrial carcinoma. Int J Gynecol Cancer. 31:12–39. 2021. View Article : Google Scholar : PubMed/NCBI

6 

Kounelis S, Jones MW, Papadaki H, Bakker A, Swalsky P and Finkelstein SD: Carcinosarcomas (malignant mixed mullerian tumors) of the female genital tract: Comparative molecular analysis of epithelial and mesenchymal components. Hum Pathol. 29:82–87. 1998. View Article : Google Scholar : PubMed/NCBI

7 

McCluggage WG: Malignant biphasic uterine tumours: Carcinosarcomas or metaplastic carcinomas? J Clin Pathol. 55:321–325. 2002. View Article : Google Scholar : PubMed/NCBI

8 

Kanthan R and Senger JL: Uterine carcinosarcomas (malignant mixed Müllerian tumours): A review with special emphasis on the controversies in management. Obstet Gynecol Int. 2011:4707952011. View Article : Google Scholar : PubMed/NCBI

9 

Matsuzaki S, Klar M, Matsuzaki S, Roman LD, Sood AK and Matsuo K: Uterine carcinosarcoma: Contemporary clinical summary, molecular updates, and future research opportunity. Gynecol Oncol. 160:586–601. 2020. View Article : Google Scholar : PubMed/NCBI

10 

Kadota K, Haba R, Ishikawa M, Kushida Y, Katsuki N, Hayashi T, Miyai Y, Bando K, Shiota A and Hata T: Uterine cervical carcinosarcoma with heterologous mesenchymal component: A case report and review of the literature. Arch Gynecol Obstet. 280:839–843. 2009. View Article : Google Scholar : PubMed/NCBI

11 

Wada H, Enomoto T, Fujita M, Yoshino K, Nakashima R, Kurachi H, Haba T, Wakasa K, Shroyer KR, Tsujimoto M, et al: Molecular evidence that most but not all carcinosarcomas of the uterus are combination tumors. Cancer Res. 57:5379–5385. 1997.PubMed/NCBI

12 

Liu Y, Weber Z, San Lucas FA, Deshpande A, Jakubek YA, Sulaiman R, Fagerness M, Flier N, Sulaiman J, Davis CM, et al: Assessing inter-component heterogeneity of biphasic uterine carcinosarcomas. Gynecol Oncol. 151:243–249. 2018. View Article : Google Scholar : PubMed/NCBI

13 

Jonson AL, Bliss RL, Trusnikovsky A, Judson P, Argenta P, Carson L, Dusenbery K and Downs LS Jr: Clinical features and outcomes of uterine and ovarian carcinosarcoma. Gynecol Oncol. 100:561–564. 2006. View Article : Google Scholar : PubMed/NCBI

14 

Rauh-Hain JA, Shoni M, Schorge JO, Goodman A, Horowitz NS and del Carmen MG: Prognostic determinants in patients with uterine and ovarian carcinosarcoma. J Reprod Med. 58:297–304. 2013.PubMed/NCBI

15 

Adachi Y, Nonogaki H, Minamiguchu S, Li M and Ikehara S: Carcinosarcoma of the uterus: A case report. Mol Clin Oncol. 4:571–573. 2016. View Article : Google Scholar : PubMed/NCBI

16 

Callister M, Ramondetta LM, Jhingran A, Burke TW and Eifel PJ: Malignant mixed Müllerian tumors of the uterus: Analysis of patterns of failure, prognostic factors, and treatment outcome. Int J Radiat Oncol Biol Phys. 58:786–796. 2004. View Article : Google Scholar : PubMed/NCBI

17 

Villena-Heinsen C, Diesing D, Griesinger G, Maas N, Diedrich K and Friedrich M: Carcinosarcomas-a retrospective analysis of 21 patients. Anticancer Res. 26:4817–4823. 2006.PubMed/NCBI

18 

Chen X, Arend R, Hamele-Bena D, Tergas AI, Hawver M, Tong GX, Wright TC and Wright JD: Uterine carcinosarcomas: Clinical, histopathologic and immunohistochemical characteristics. Int J Gynecol Pathol. 36:412–419. 2017. View Article : Google Scholar : PubMed/NCBI

19 

Swisher EM, Gown AM, Skelly M, Ek M, Tamimi HK, Cain JM, Greer BE, Muntz HG and Goff BA: The expression of epidermal growth factor receptor, HER-2/Neu, p53, and Ki-67 antigen in uterine malignant mixed mesodermal tumors and adenosarcoma. Gynecol Oncol. 60:81–88. 1996. View Article : Google Scholar : PubMed/NCBI

20 

Nicotina PA, Ferlazzo G and Vincelli AM: Proliferation indices and p53-immunocytochemistry in uterine mixed mullerian tumors. Histol Histopathol. 12:967–972. 1997.PubMed/NCBI

21 

Yoshida Y, Kurokawa T, Fukuno N, Nishiokawa Y, Kamitani N and Kotsuji F: Markers of apoptosis and angiogenesis indicate that carcinomatous components play an important role in the malignant behavior of uterine carcinosarcoma. Hum Pathol. 31:1448–1454. 2000. View Article : Google Scholar : PubMed/NCBI

22 

Ikeda K, Tate G, Suzuki T and Mitsuya T: Effusion cytodiagnosis of carcinosarcoma derived from the female genital tract: Immunohistochemical features of MMP-7 and Ki-67 and immunofluorescence double staining analyses of eight cases. Gynecol Oncol. 97:323–329. 2005. View Article : Google Scholar : PubMed/NCBI

23 

Lee SJ, Kim HS, Kim HS, Chun YK, Hong YR and Lee JH: Immunohistochemical study of DNA topoisomerase I, p53, and Ki-67 in uterine carcinosarcomas. Hum Pathol. 38:1226–1231. 2007. View Article : Google Scholar : PubMed/NCBI

24 

Kanthan R, Senger JL and Diudea D: Malignant mixed mullerian tumors of the uterus: Histopathological evaluation of cell cycle and apoptotic regulatory proteins. World J Surg Oncol. 8:602010. View Article : Google Scholar : PubMed/NCBI

25 

Koivisto-Korander R, Butzow R, Koivistro AM and Leminen A: Immunohistochemical studies on uterine carcinosarcoma, leiomyosarcoma, and endometrial stromal sarcoma: Expression and prognostic importance of ten different markers. Tumor Biol. 32:451–459. 2011. View Article : Google Scholar : PubMed/NCBI

26 

Bałon B, Kaznowska E, Ignatov A, Steć A, Semczuk-Sikora A, Schneider-Stock R, Jóźwik M, Sulkowski S, Cybulski M, Szumiło J and Semczuk A: p53 is not related to Ki-67 immunostaining in the epithelial and mesenchymal components of female genital tract carcinosarcomas. Oncol Rep. 30:1661–1668. 2013. View Article : Google Scholar : PubMed/NCBI

27 

Yue X, Utsunomita H, Akahira JI, Suzuki F, Ito K, Nagase S, Sasano H and Yaegashi N: Expression of steroid and xenobiotic receptor in uterine carcinosarcoma, leiomyosarcoma and endometrial stromal sarcoma. Oncol Lett. 5:835–839. 2013. View Article : Google Scholar : PubMed/NCBI

28 

Zhou Y, Huang H, Yuan LJ, Xiong Y, Huang X, Lin JX and Zheng M: CD146 as an adverse prognostic factor in uterine sarcoma. Eur J Med Res. 20:672015. View Article : Google Scholar : PubMed/NCBI

29 

Tochimoto M, Oguri Y, Hashimura M, Konno R, Matsumoto T, Yokoi A, Kodera Y and Saegusa M: S100A4/non-muscle myosin II signaling regulates epithelial-mesenchymal transition and stemness in uterine carcinosarcoma. Lab Invest. 100:682–695. 2020. View Article : Google Scholar : PubMed/NCBI

30 

Female Genital Tumors, . WHO classification of tumors. 5th edition. Vol. 4. WHO Classification of Tumours Editorial Board; 2020

31 

Koksas M, Amant F, Mirza MR and Creutzberg CL: Cancer of the corpus uteri: 2021 update. Int J Gynecol Obstet. 155 (Suppl 1):S45–S60. 2021. View Article : Google Scholar

32 

Hassab El-Naby NED, Muhammad EMS, El-Nashar AT, Sotouhy SMM and Mahmoude SM: P0173 use of PTEN, PCNA, and β-cathenin to differentiate between endometrial hyperplasia and endometrial adenocarcinoma. Eur J Cancer. 50 (Suppl 4):E592014. View Article : Google Scholar

33 

Lameira AG, Pontes FS, Guimarães DM, Alves AC, de Jesus AS, Pontes HA and Pinto Ddos S Jr: MCM3 could be a better marker than Ki-67 for evaluation of dysplastic oral lesions: An immunohistochemical study. J Oral Pathol Med. 43:427–434. 2014. View Article : Google Scholar : PubMed/NCBI

34 

Kreisholt JM, Sorensen M, Jensen PB, Nielsen BS, Andersen CB and Sehested M: Immunohistochemical detection of DNA topoisomerase IIalpha, P-glycoprotein and multidrug resistance protein (MRP) in small-cell and non-small-cell lung cancer. Br J Cancer. 77:1469–1473. 1998. View Article : Google Scholar : PubMed/NCBI

35 

Mittal K, Soslow R and McCluggage WG: Application of immunohistochemistry to gynecologic pathology. Arch Pathol Lab Med. 132:402–423. 2008. View Article : Google Scholar : PubMed/NCBI

36 

Kaspar HG and Crum CP: The utility of immunohistochemistry in the differential diagnosis of gynecologic disorders. Arch Pathol Lab Med. 139:39–54. 2015. View Article : Google Scholar : PubMed/NCBI

37 

Hirsch MS and Watkins J: A comprehensive review of biomarker use in the gynecologic tract including differential diagnoses and diagnostic pitfalls. Adv Anat Pathol. 27:164–192. 2020. View Article : Google Scholar : PubMed/NCBI

38 

McCluggage WG: Immunohistochemical and functional biomarkers of value in female genital tract lesions. Int J Gynecol Pathol. 25:101–120. 2006. View Article : Google Scholar : PubMed/NCBI

39 

Semczuk A, Skomra D, Chyzynska M, Szewczuk W, Olcha P and Korobowicz E: Immunohistochemical analysis of carcinomatous and sarcomatous components in the uterine carcinosarcoma: A case report. Pathol Res Pract. 204:203–207. 2008. View Article : Google Scholar : PubMed/NCBI

40 

Semczuk A, Zakrzewski PK, Forma E, Cygankiewicz AI, Semczuk-Sikora A, Bryś M, Rechberger T and Krajewska WM: TGFβ-pathway is down-regulated in a uterine carcinosarcoma: A case study. Pathol Res Pract. 209:740–744. 2013. View Article : Google Scholar : PubMed/NCBI

41 

Semczuk A, Colas E, Walczyna B, Joźwik M, Pyra A, Semczuk-Sikora A and Rechberger T: Coexistence of homologous-type cervical carcinosarcoma with endometrioid-type G1 endometrial cancer: A case report with an immunohistochemical study. Int J Clin Exp Pathol. 7:7191–7195. 2014.PubMed/NCBI

42 

Semczuk A, Ignatov A, Obrzut B, Reventos J and Rechberger T: Role of p53 pathway alterations in uterine carcinosarcomas (malignant mixed Müllerian tumors). Oncology. 87:193–204. 2014. View Article : Google Scholar : PubMed/NCBI

43 

Semczuk A, Lewkowicz D, Jóźwik M, Mrozek A, Gogacz M, Semczuk-Sikora A and Rechberger T: Bilateral lymph node metastases from primary uterine carcinosarcoma: An immunohistochemical case study. Int J Clin Exp Pathol. 9:8754–8758. 2016.

44 

Watanabe M, Shimizu K, Kato H, Imai H, Nakano H, Sugawa M and Shiraishi T: Carcinosarcoma of the uterus: Immunohistochemical and genetic analysis of clonality of one case. Gynecol Oncol. 82:563–567. 2001. View Article : Google Scholar : PubMed/NCBI

45 

de Jong RA, Nijman HW, Wijbrandi TF, Reyners AK, Boezen HM and Hollema H: Molecular markers and clinical behavior of uterine carcinosarcomas: Focus on the epithelial tumor component. Mod Pathol. 24:1368–1379. 2011. View Article : Google Scholar : PubMed/NCBI

46 

Iwasa Y, Haga H, Konishi I, Kobashi Y, Higuchi K, Katsuyama E, Minamiguchi S and Yamabe H: Prognostic factors in uterine carcinosarcoma: A clinicopathologic study of 25 patients. Cancer. 82:512–519. 1998. View Article : Google Scholar : PubMed/NCBI

47 

Sreenan JJ and Hart WR: Carcinosarcomas of the female genital tract. A pathologic study of 29 metastatic tumors: Further evidence for the dominant role of the epithelial component and the conversion theory of histogenesis. Am J Surg Pathol. 19:666–674. 1995. View Article : Google Scholar : PubMed/NCBI

48 

Bologna-Molina R, Beyoda-Borella AM, Soria-Moreira L and Soría-Suárez S: Molecular biomarkers of cell proliferation in amenoblastomas. World J Stomatol. 2:79–85. 2013. View Article : Google Scholar

Related Articles

  • Abstract
  • View
  • Download
  • Twitter
Copy and paste a formatted citation
Spandidos Publications style
Pyra A, Adamiak‑Godlewska A, Lewkowicz D, Bałon B, Cybulski M, Semczuk‑Sikora A and Semczuk A: Inter‑component immunohistochemical assessment of proliferative markers in uterine carcinosarcoma. Oncol Lett 24: 363, 2022.
APA
Pyra, A., Adamiak‑Godlewska, A., Lewkowicz, D., Bałon, B., Cybulski, M., Semczuk‑Sikora, A., & Semczuk, A. (2022). Inter‑component immunohistochemical assessment of proliferative markers in uterine carcinosarcoma. Oncology Letters, 24, 363. https://doi.org/10.3892/ol.2022.13483
MLA
Pyra, A., Adamiak‑Godlewska, A., Lewkowicz, D., Bałon, B., Cybulski, M., Semczuk‑Sikora, A., Semczuk, A."Inter‑component immunohistochemical assessment of proliferative markers in uterine carcinosarcoma". Oncology Letters 24.4 (2022): 363.
Chicago
Pyra, A., Adamiak‑Godlewska, A., Lewkowicz, D., Bałon, B., Cybulski, M., Semczuk‑Sikora, A., Semczuk, A."Inter‑component immunohistochemical assessment of proliferative markers in uterine carcinosarcoma". Oncology Letters 24, no. 4 (2022): 363. https://doi.org/10.3892/ol.2022.13483
Copy and paste a formatted citation
x
Spandidos Publications style
Pyra A, Adamiak‑Godlewska A, Lewkowicz D, Bałon B, Cybulski M, Semczuk‑Sikora A and Semczuk A: Inter‑component immunohistochemical assessment of proliferative markers in uterine carcinosarcoma. Oncol Lett 24: 363, 2022.
APA
Pyra, A., Adamiak‑Godlewska, A., Lewkowicz, D., Bałon, B., Cybulski, M., Semczuk‑Sikora, A., & Semczuk, A. (2022). Inter‑component immunohistochemical assessment of proliferative markers in uterine carcinosarcoma. Oncology Letters, 24, 363. https://doi.org/10.3892/ol.2022.13483
MLA
Pyra, A., Adamiak‑Godlewska, A., Lewkowicz, D., Bałon, B., Cybulski, M., Semczuk‑Sikora, A., Semczuk, A."Inter‑component immunohistochemical assessment of proliferative markers in uterine carcinosarcoma". Oncology Letters 24.4 (2022): 363.
Chicago
Pyra, A., Adamiak‑Godlewska, A., Lewkowicz, D., Bałon, B., Cybulski, M., Semczuk‑Sikora, A., Semczuk, A."Inter‑component immunohistochemical assessment of proliferative markers in uterine carcinosarcoma". Oncology Letters 24, no. 4 (2022): 363. https://doi.org/10.3892/ol.2022.13483
Follow us
  • Twitter
  • LinkedIn
  • Facebook
About
  • Spandidos Publications
  • Careers
  • Cookie Policy
  • Privacy Policy
How can we help?
  • Help
  • Live Chat
  • Contact
  • Email to our Support Team