International Journal of Molecular Medicine is an international journal devoted to molecular mechanisms of human disease.
International Journal of Oncology is an international journal devoted to oncology research and cancer treatment.
Covers molecular medicine topics such as pharmacology, pathology, genetics, neuroscience, infectious diseases, molecular cardiology, and molecular surgery.
Oncology Reports is an international journal devoted to fundamental and applied research in Oncology.
Experimental and Therapeutic Medicine is an international journal devoted to laboratory and clinical medicine.
Oncology Letters is an international journal devoted to Experimental and Clinical Oncology.
Explores a wide range of biological and medical fields, including pharmacology, genetics, microbiology, neuroscience, and molecular cardiology.
International journal addressing all aspects of oncology research, from tumorigenesis and oncogenes to chemotherapy and metastasis.
Multidisciplinary open-access journal spanning biochemistry, genetics, neuroscience, environmental health, and synthetic biology.
Open-access journal combining biochemistry, pharmacology, immunology, and genetics to advance health through functional nutrition.
Publishes open-access research on using epigenetics to advance understanding and treatment of human disease.
An International Open Access Journal Devoted to General Medicine.
Solitary fibrous tumors (SFTs) (1) are rare mesenchymal neoplasms of fibroblastic type, which account for ~4% of all soft-tissue sarcomas and mesenchymal tumors in France (2), with a reported incidence rate of <1 case/million people/year in the United States (3). SFTs may occur at any anatomical location and have a peak incidence age of between 40 and 70 years, with no sex difference (1). SFTs consist of a histologically random arrangement characterized by a combination of hypercellular and hypocellular areas. Nuclear STAT6 protein expression and specific NGFI-A binding protein 2 (NAB2)-STAT6 gene fusion facilitates a definite diagnosis of SFT (4–6). Although most cases are benign, the features of malignant SFT may contain dense arrangements, evident atypia, increased mitotic figures, necrosis, peripheral infiltration, recurrence or metastasis (4,5). Recurrence occurs in 10–30% of SFTs, and metastasis to the lymph nodes is reported in <5% of malignant SFTs (7–9). Surgical resection remains the main treatment modality, and systematic adjuvant therapy or targeted treatment may also be used. To the best of our knowledge, this is the first case report of a patient who suffered two recurrences of retroperitoneal malignant STF and lymph node metastases. This report mainly focused on the samples of the second recurrence to identify the risk factors for poor prognosis of SFT.
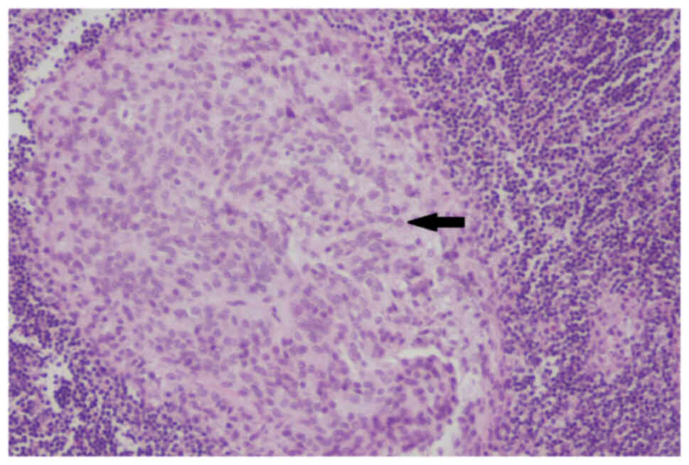
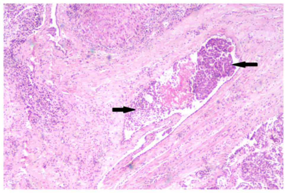
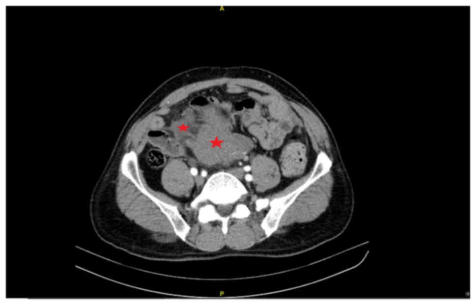
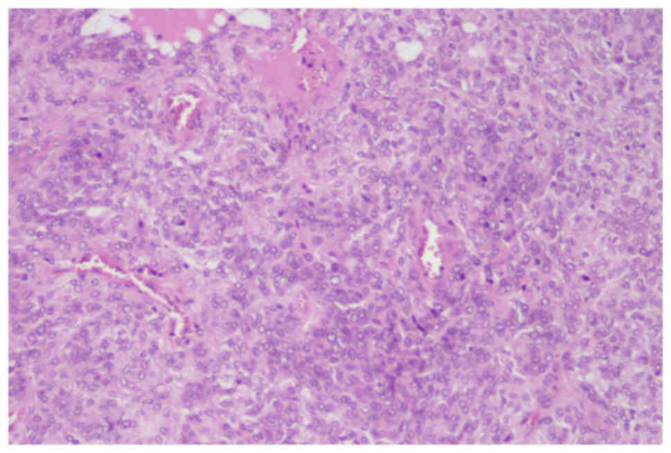
A 67-year-old male patient underwent retroperitoneal benign SFT resection at the Tianjin Medical University Cancer Institute and Hospital (Tianjin, China) in February 2009. The first recurrence presented as a malignant SFT in January 2018 and the second retroperitoneal tumor resection was performed in March 2018 at the Peking University International Hospital (Beijing, China). A total of 4 months after the second surgery, the second recurrence occurred and 40 months later the patient had hematochezia for 2 months. CT revealed multiple retroperitoneal masses involving the intestinal wall (Fig. 1). Immediately, the third retroperitoneal tumor resection (including part liver, intestine, mesentery and omentum resection) was performed at the Peking University International Hospital in November 2021. However, a number of small lesions could not be completely removed. The total size of the resected masses was ~18×18×8 cm, partially encapsulated with a smooth fibrous surface. The cross-section of the tumor showed lobulated white-brown areas (Fig. 2). Specimens were fixed with 4% formalin at room temperature for 12 h, embedded in paraffin, cut into 4-µm sections, stained for 5 min at room temperature with hematoxylin and eosin, and observed under a light microscope (Nikon Corporation). At the microscopic level, the short spindle-shaped tumor cells were arranged alternatively with hypocellular and hypercellular patterns separated by thick collagen fibers and blood vessels in the interstitium (Fig. 3). Compared with the previous postoperative specimens from the Tianjin Medical University Cancer Institute and Hospital, the hypercellular regions of the lesions presented obvious cytological atypia, increased mitoses count of 6–8 per 10 high power fields, and focal necrosis. The tumor encroached the surrounding liver, the whole layer of the intestinal wall and lymphatic vessels (Fig. 4). Two lymph nodes (2/18) showed the same histological finding as the hypercellular area (Fig. 5). In addition, multiple tumor nodules were seen in the mesentery and omentum.
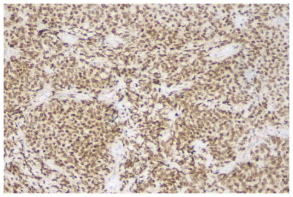
For immunohistochemical staining, the tissue was fixed with 4% neutral formalin at room temperature for 6–12 h, cut into 2–3 mm sections and embedded in paraffin. Paraffin-embedded tissues were cut into 4 µm sections and sealed with 3% hydrogen peroxide at room temperature for 10 min. Antigen retrieval was performed with EDTA at 100°C for 2.5 min, followed by washing with PBS, primary antibody incubation at 37°C for 60 min and secondary antibody incubation at 37°C for 20 min. The primary and the secondary antibodies were purchased ready to use from OriGene Technologies, Inc., with the exception of anti-CD117, which was purchased from Leica Microsystems, Inc. The following primary antibodies were used: STAT6 (cat. no. ZA-0647), CD34 (cat. no. ZM-0046), CD99 (cat. no. ZM-0296), Bcl-2 (cat. no. ZA-0536), p16 (cat. no. ZM-0205), CDK4 (cat. no. ZA-0614), S-100 (cat. no. ZA-0225), MDM2 (cat. no. ZM-0425), desmin (cat. no. ZA-0610), smooth muscle actin (SMA; cat. no, ZM-0003), Myogenin (cat. no. ZA-0592), CD117 (cat. no. PA0007), DOG-1 (cat. no. ZM-0371), p53 (cat. no. ZM-0408) and Ki-67 (cat. no. ZM-0166). Secondary antibodies were obtained from OriGene Technologies, Inc. (cat. no. PV-8000) and from Leica Microsystems, Ltd. (cat. no DS9800). Finally, sections were stained with DAB at room temperature for 5 min, counterstained with hematoxylin at room temperature for 5 min and observed under a Nikon light microscope (Nikon Corporation). Immunohistochemical staining showed that the tumor cells were diffusely positive for STAT6 (Fig. 6), Bcl-2 (Fig. S1), CD34 (Fig. S2) and CD99 (Fig. S3), focally positive for CDK4 (Fig. S4) and p16 (Fig. S5), and negative for S-100, MDM2, desmin, SMA, Myogenin, CD117 and DOG-1 (data not shown). Wild-type p53 was expressed (Fig. S6), and Ki-67 index was ~20% (Fig. S7). The final diagnosis was retroperitoneal malignant SFT; however, the third recurrence was observed again by CT just 2 months after the latest surgery. The patient is surviving to date having received no further or additional treatment.
Although the majority of SFTs are clinically benign, SFTs can be malignant or can be transformed/dedifferentiated from a benign to a malignant level during recurrence or metastasis. The development in the present patient confirms the latter scenario. Because the prognosis of SFTs is not well predicted by histological grading, Demicco et al (10,11) used the age of onset, tumor size, mitotic count and necrosis of SFTs to evaluate the risk of metastasis and death, which greatly enhanced the prediction for prognosis. According to the method for risk stratification, Yuan et al (12) explored 31 cases of retroperitoneal SFTs and revealed that patients in the high- or intermediate-risk group were susceptible to metastasis and that the Ki-67 index ≥10% could be used as an important reference to predict the prognosis. In addition, considering the location of the tumor, a high risk of recurrence has been reported when it is located in the retroperitoneum (13), where metastasis could enter the lung, liver or bone (12,14). Ito et al (15) reported the first case of primary retroperitoneal malignant SFT with paraaortic lymph node metastasis, which belonged to the non-high-risk group. In this previous study, only surgical resection was performed and the patient did not develop recurrence for 2.5 years. Comparatively, the present case was in the high-risk group and the recurrent tumor morphology became denser and more atypical compared with the primary tumor. Furthermore, organ invasion, lymphatic tumor embolization and lymph node metastases may be indicators of poor prognosis. Only 2 months after the latest operation, CT scans showed new recurrence. The present case focused on the pathology of the second recurrence. The specimens obtained from the first operation are from the Tianjin Medical University Cancer Institute and Hospital and no external hospital pictures are presented here, which is a limitation of the present study.
The diagnosis of SFT should combine morphological and immunophenotypic markers, as well as differentiation markers from other mesenchymal tumors with spindle-shape cells. Immunohistochemically, SFTs generally express STAT6, CD34, Bcl-2 and CD99, but rarely S-100, MDM2, desmin, SMA, Myogenin, CD117 and DOG-1 (11,12). Moreover, GRIA2 and ALDH1 could be used as novel markers of SFTs (16,17); however, the absence of experimental results to support this claim is a limitation of the present study. Notably, since liposarcomas occasionally show STAT6 protein expression, the MDM2/CDK4 status must also be evaluated by immunohistochemistry and/or genetic amplification detection to exclude liposarcomas (18). Therefore, in this case, the combined detection of these proteins helped to distinguish SFT from myogenic/neurogenic tumors, gastrointestinal stromal tumors, synovial sarcomas and liposarcomas.
The NAB2-STAT6 fusion gene is the driving gene mutation of SFT; therefore, molecular detection of the NAB2-STAT6 fusion gene has high sensitivity and specificity for the diagnosis of SFTs (19). Nonaka et al (20) demonstrated for the first time that downregulation of the NAB2-STAT6 fusion gene at the transcriptional level was associated with malignant SFT, which indicated that clinicians should be alerted to cases with a loss of STAT6 (20). However, in this case, STAT6 protein was diffusely positive but the patient refused genetic testing due to financial constraints, which is a limitation of this study.
Moreover, p53 mutation may be a potential molecular mechanism promoting the malignancy of SFT (20,21). Ito et al (15) detected Bcl-2 positive staining only in the hypocellular area and deduced that Bcl-2 may also be related to malignant transformation (15). Nevertheless, the patient in the present case expressed wild-type p53 and showed no notable regional differences in Bcl-2 expression.
The first choice for the treatment of retroperitoneal malignant SFT is surgery, but complete resection is difficult, and incomplete resection can result in a high recurrence rate. Notably, adjuvant methods, such as radiotherapy, chemotherapy or targeted treatment, are currently under investigation (22). Mainly due to economic reasons and physical fitness, the patient described in the present study will not be receiving palliative care although the doctors strongly recommended it. The patient never received chemotherapy or radiotherapy and therefore long-term survival of the patient is not expected. The patient has been subjected to regular follow-up appointments during the past 13 years and is currently living with the tumor. In conclusion, the course of retroperitoneal SFTs can last >10 years and requires regular follow-up procedures. Multiple masses, invasive growth and lymph node metastasis may result in a poor prognosis.
Not applicable.
Funding: No funding was received.
The datasets used and/or analyzed during the current study are available from the corresponding author on reasonable request.
LL was responsible for the conception and design of the study, and SC and LW contributed to the acquisition and interpretation of the data. LL drafted the manuscript, and SC and LW revised it. All authors read and approved the final manuscript, and agree to be accountable for all aspects of the work to ensure that questions related to the accuracy or integrity of any part of the work are appropriately investigated and resolved. LL and SC confirm the authenticity of all the raw data.
Not applicable.
Written informed consent for publication was obtained from the patient's family; due to the limited education level and understanding ability of the patient, the specific conditions of their disease was entrusted to their family.
The authors declare that they have no competing interests.
|
Demicco EG, Fritchie KJ and Han A: WHO classification of tumours: soft tissue and bone tumours. 5th ed. International Agency for Research on Cancer; Lyon, France: 2020 | |
|
de Pinieux G, Karanian M, Loarer FL, Guellec SL, Chabaud S, Terrier P, Bouvier C, Batistella M, Neuville A, Robin YM, et al: Nationwide incidence of sarcomas and connective tissue tumors of intermediate malignancy over four years using an expert pathology review network. PLoS One. 16:e02469582021. View Article : Google Scholar : PubMed/NCBI | |
|
Kinslow CJ and Wang TJC: Incidence of extrameningeal solitary fibrous tumors. Cancer. 126:40672020. View Article : Google Scholar : PubMed/NCBI | |
|
Machado I, Nieto Morales MG, Cruz J, Lavernia J, Giner F, Navarro S, Ferrandez A and Llombart-Bosch A: Solitary fibrous tumor: Integration of clinical, morphologic, immunohistochemical and molecular findings in risk stratification and classification may better predict patient outcome. Int J Mol Sci. 22:94232021. View Article : Google Scholar : PubMed/NCBI | |
|
Kim JM, Choi YL, Kim YJ and Park HK: Comparison and evaluation of risk factors for meningeal, pleural, and extrapleural solitary fibrous tumors: A clinicopathological study of 92 cases confirmed by STAT6 immunohistochemical staining. Pathol Res Pract. 213:619–625. 2017. View Article : Google Scholar : PubMed/NCBI | |
|
Akaike K, Kurisaki-Arakawa A, Hara K, Suehara Y, Takagi T, Mitani K, Kaneko K, Yao T and Saito T: Distinct clinicopathological features of NAB2-STAT6 fusion gene variants in solitary fibrous tumor with emphasis on the acquisition of highly malignant potential. Hum Pathol. 46:347–356. 2015. View Article : Google Scholar : PubMed/NCBI | |
|
Mearini E, Cochetti G, Barillaro F, Fatigoni S and Roila F: Renal malignant solitary fibrous tumor with single lymph node involvement: Report of unusual metastasis and review of the literature. Onco Targets Ther. 7:679–685. 2014.PubMed/NCBI | |
|
Yang XJ, Zheng JW, Ye WM, Wang YA, Zhu HG, Wang LZ and Zhang ZY: Malignant solitary fibrous tumors of the head and neck: A clinicopathological study of nine consecutive patients. Oral Oncol. 45:678–682. 2009. View Article : Google Scholar : PubMed/NCBI | |
|
Yang Y, Miller CR, Clement C, Hes O and Eyzaguirre E: Malignant solitary fibrous tumour of the kidney with lymph node and liver metastases. Pathology. 49:450–453. 2017. View Article : Google Scholar : PubMed/NCBI | |
|
Demicco EG, Wagner MJ, Maki RG, Gupta V, Iofin I, Lazar AJ and Wang WL: Risk assessment in solitary fibrous tumors: Validation and refinement of a risk stratification model. Mod Pathol. 30:1433–1442. 2017. View Article : Google Scholar : PubMed/NCBI | |
|
Demicco EG, Park MS, Araujo DM, Fox PS, Bassett RL, Pollock RE, Lazar AJ and Wang WL: Solitary fibrous tumor: A clinicopathological study of 110 cases and proposed risk assessment model. Mod Pathol. 25:1298–1306. 2012. View Article : Google Scholar : PubMed/NCBI | |
|
Yuan X, Liu Y, Wang X, Chen Y, Zhang L and Wei J: Clinicopathological analysis of retroperitoneal solitary fibrous tumours: A study of 31 cases. Histol Histopathol. 37:43–50. 2022.PubMed/NCBI | |
|
Gholami S, Cassidy MR, Kirane A, Kuk D, Zanchelli B, Antonescu CR, Singer S and Brennan M: Size and Location are the most Important risk factors for malignant behavior in resected solitary fibrous tumors. Ann Surg Oncol. 24:3865–3871. 2017. View Article : Google Scholar : PubMed/NCBI | |
|
Matsuishi K, Eto K, Morito A, Hamasaki H, Morita K, Ikeshima S, Horino K, Shimada S and Baba H: Retroperitoneal fibrous tumor recurring as lung metastases after 10 years: A case report. Surg Case Rep. 7:1272021. View Article : Google Scholar : PubMed/NCBI | |
|
Ito H, Fukuda M, Imamura Y and Fuse H: A malignant solitary fibrous tumor in the retroperitoneum. Int J Clin Oncol. 13:173–175. 2008. View Article : Google Scholar : PubMed/NCBI | |
|
Vivero M, Doyle LA, Fletcher CD, Mertens F and Hornick JL: GRIA2 is a novel diagnostic marker for solitary fibrous tumour identified through gene expression profiling. Histopathology. 65:71–80. 2014. View Article : Google Scholar : PubMed/NCBI | |
|
Ouladan S, Trautmann M, Orouji E, Hartmann W, Huss S, Büttner R and Wardelmann E: Differential diagnosis of solitary fibrous tumors: A study of 454 soft tissue tumors indicating the diagnostic value of nuclear STAT6 relocation and ALDH1 expression combined with in situ proximity ligation assay. Int J Oncol. 46:2595–2605. 2015. View Article : Google Scholar : PubMed/NCBI | |
|
Creytens D, Libbrecht L and Ferdinande L: Nuclear expression of STAT6 in dedifferentiated liposarcomas with a solitary fibrous tumor-like morphology: A diagnostic pitfall. Appl Immunohistochem Mol Morphol. 23:462–463. 2015. View Article : Google Scholar : PubMed/NCBI | |
|
Bieg M, Moskalev EA, Will R, Hebele S, Schwarzbach M, Schmeck S, Hohenberger P, Jakob J, Kasper B, Gaiser T, et al: Gene expression in solitary fibrous tumors (SFTs) correlates with anatomic localization and NAB2-STAT6 gene fusion variants. Am J Pathol. 191:602–617. 2021. View Article : Google Scholar : PubMed/NCBI | |
|
Nonaka H, Kandori S, Nitta S, Shiga M, Nagumo Y, Kimura T, Kawahara T, Negoro H, Hoshi A, Kojima T, et al: Case report: Molecular characterization of aggressive malignant retroperitoneal solitary fibrous tumor: A case study. Front Oncol. 11:7369692021. View Article : Google Scholar : PubMed/NCBI | |
|
Park HK, Yu DB, Sung M, Oh E, Kim M, Song JY, Lee MS, Jung K, Noh KW, An S, et al: Molecular changes in solitary fibrous tumor progression. J Mol Med (Berl). 97:1413–1425. 2019. View Article : Google Scholar : PubMed/NCBI | |
|
de Bernardi A, Dufresne A, Mishellany F, Blay JY, Ray-Coquard I and Brahmi M: Novel therapeutic options for solitary fibrous tumor: Antiangiogenic therapy and beyond. Cancers (Basel). 14:10642022. View Article : Google Scholar : PubMed/NCBI |