Spandidos Publications Logo
  • About
    • About Spandidos
    • Aims and Scopes
    • Abstracting and Indexing
    • Editorial Policies
    • Reprints and Permissions
    • Job Opportunities
    • Terms and Conditions
    • Contact
  • Journals
    • All Journals
    • Oncology Letters
      • Oncology Letters
      • Information for Authors
      • Editorial Policies
      • Editorial Board
      • Aims and Scope
      • Abstracting and Indexing
      • Bibliographic Information
      • Archive
    • International Journal of Oncology
      • International Journal of Oncology
      • Information for Authors
      • Editorial Policies
      • Editorial Board
      • Aims and Scope
      • Abstracting and Indexing
      • Bibliographic Information
      • Archive
    • Molecular and Clinical Oncology
      • Molecular and Clinical Oncology
      • Information for Authors
      • Editorial Policies
      • Editorial Board
      • Aims and Scope
      • Abstracting and Indexing
      • Bibliographic Information
      • Archive
    • Experimental and Therapeutic Medicine
      • Experimental and Therapeutic Medicine
      • Information for Authors
      • Editorial Policies
      • Editorial Board
      • Aims and Scope
      • Abstracting and Indexing
      • Bibliographic Information
      • Archive
    • International Journal of Molecular Medicine
      • International Journal of Molecular Medicine
      • Information for Authors
      • Editorial Policies
      • Editorial Board
      • Aims and Scope
      • Abstracting and Indexing
      • Bibliographic Information
      • Archive
    • Biomedical Reports
      • Biomedical Reports
      • Information for Authors
      • Editorial Policies
      • Editorial Board
      • Aims and Scope
      • Abstracting and Indexing
      • Bibliographic Information
      • Archive
    • Oncology Reports
      • Oncology Reports
      • Information for Authors
      • Editorial Policies
      • Editorial Board
      • Aims and Scope
      • Abstracting and Indexing
      • Bibliographic Information
      • Archive
    • Molecular Medicine Reports
      • Molecular Medicine Reports
      • Information for Authors
      • Editorial Policies
      • Editorial Board
      • Aims and Scope
      • Abstracting and Indexing
      • Bibliographic Information
      • Archive
    • World Academy of Sciences Journal
      • World Academy of Sciences Journal
      • Information for Authors
      • Editorial Policies
      • Editorial Board
      • Aims and Scope
      • Abstracting and Indexing
      • Bibliographic Information
      • Archive
    • International Journal of Functional Nutrition
      • International Journal of Functional Nutrition
      • Information for Authors
      • Editorial Policies
      • Editorial Board
      • Aims and Scope
      • Abstracting and Indexing
      • Bibliographic Information
      • Archive
    • International Journal of Epigenetics
      • International Journal of Epigenetics
      • Information for Authors
      • Editorial Policies
      • Editorial Board
      • Aims and Scope
      • Abstracting and Indexing
      • Bibliographic Information
      • Archive
    • Medicine International
      • Medicine International
      • Information for Authors
      • Editorial Policies
      • Editorial Board
      • Aims and Scope
      • Abstracting and Indexing
      • Bibliographic Information
      • Archive
  • Articles
  • Information
    • Information for Authors
    • Information for Reviewers
    • Information for Librarians
    • Information for Advertisers
    • Conferences
  • Language Editing
Spandidos Publications Logo
  • About
    • About Spandidos
    • Aims and Scopes
    • Abstracting and Indexing
    • Editorial Policies
    • Reprints and Permissions
    • Job Opportunities
    • Terms and Conditions
    • Contact
  • Journals
    • All Journals
    • Biomedical Reports
      • Information for Authors
      • Editorial Policies
      • Editorial Board
      • Aims and Scope
      • Abstracting and Indexing
      • Bibliographic Information
      • Archive
    • Experimental and Therapeutic Medicine
      • Information for Authors
      • Editorial Policies
      • Editorial Board
      • Aims and Scope
      • Abstracting and Indexing
      • Bibliographic Information
      • Archive
    • International Journal of Epigenetics
      • Information for Authors
      • Editorial Policies
      • Editorial Board
      • Aims and Scope
      • Abstracting and Indexing
      • Bibliographic Information
      • Archive
    • International Journal of Functional Nutrition
      • Information for Authors
      • Editorial Policies
      • Editorial Board
      • Aims and Scope
      • Abstracting and Indexing
      • Bibliographic Information
      • Archive
    • International Journal of Molecular Medicine
      • Information for Authors
      • Editorial Policies
      • Editorial Board
      • Aims and Scope
      • Abstracting and Indexing
      • Bibliographic Information
      • Archive
    • International Journal of Oncology
      • Information for Authors
      • Editorial Policies
      • Editorial Board
      • Aims and Scope
      • Abstracting and Indexing
      • Bibliographic Information
      • Archive
    • Medicine International
      • Information for Authors
      • Editorial Policies
      • Editorial Board
      • Aims and Scope
      • Abstracting and Indexing
      • Bibliographic Information
      • Archive
    • Molecular and Clinical Oncology
      • Information for Authors
      • Editorial Policies
      • Editorial Board
      • Aims and Scope
      • Abstracting and Indexing
      • Bibliographic Information
      • Archive
    • Molecular Medicine Reports
      • Information for Authors
      • Editorial Policies
      • Editorial Board
      • Aims and Scope
      • Abstracting and Indexing
      • Bibliographic Information
      • Archive
    • Oncology Letters
      • Information for Authors
      • Editorial Policies
      • Editorial Board
      • Aims and Scope
      • Abstracting and Indexing
      • Bibliographic Information
      • Archive
    • Oncology Reports
      • Information for Authors
      • Editorial Policies
      • Editorial Board
      • Aims and Scope
      • Abstracting and Indexing
      • Bibliographic Information
      • Archive
    • World Academy of Sciences Journal
      • Information for Authors
      • Editorial Policies
      • Editorial Board
      • Aims and Scope
      • Abstracting and Indexing
      • Bibliographic Information
      • Archive
  • Articles
  • Information
    • For Authors
    • For Reviewers
    • For Librarians
    • For Advertisers
    • Conferences
  • Language Editing
Login Register Submit
  • This site uses cookies
  • You can change your cookie settings at any time by following the instructions in our Cookie Policy. To find out more, you may read our Privacy Policy.

    I agree
Search articles by DOI, keyword, author or affiliation
Search
Advanced Search
presentation
Oncology Letters
Join Editorial Board Propose a Special Issue
Print ISSN: 1792-1074 Online ISSN: 1792-1082
Journal Cover
February-2023 Volume 25 Issue 2

Full Size Image

Sign up for eToc alerts
Recommend to Library

Journals

International Journal of Molecular Medicine

International Journal of Molecular Medicine

International Journal of Molecular Medicine is an international journal devoted to molecular mechanisms of human disease.

International Journal of Oncology

International Journal of Oncology

International Journal of Oncology is an international journal devoted to oncology research and cancer treatment.

Molecular Medicine Reports

Molecular Medicine Reports

Covers molecular medicine topics such as pharmacology, pathology, genetics, neuroscience, infectious diseases, molecular cardiology, and molecular surgery.

Oncology Reports

Oncology Reports

Oncology Reports is an international journal devoted to fundamental and applied research in Oncology.

Experimental and Therapeutic Medicine

Experimental and Therapeutic Medicine

Experimental and Therapeutic Medicine is an international journal devoted to laboratory and clinical medicine.

Oncology Letters

Oncology Letters

Oncology Letters is an international journal devoted to Experimental and Clinical Oncology.

Biomedical Reports

Biomedical Reports

Explores a wide range of biological and medical fields, including pharmacology, genetics, microbiology, neuroscience, and molecular cardiology.

Molecular and Clinical Oncology

Molecular and Clinical Oncology

International journal addressing all aspects of oncology research, from tumorigenesis and oncogenes to chemotherapy and metastasis.

World Academy of Sciences Journal

World Academy of Sciences Journal

Multidisciplinary open-access journal spanning biochemistry, genetics, neuroscience, environmental health, and synthetic biology.

International Journal of Functional Nutrition

International Journal of Functional Nutrition

Open-access journal combining biochemistry, pharmacology, immunology, and genetics to advance health through functional nutrition.

International Journal of Epigenetics

International Journal of Epigenetics

Publishes open-access research on using epigenetics to advance understanding and treatment of human disease.

Medicine International

Medicine International

An International Open Access Journal Devoted to General Medicine.

Journal Cover
February-2023 Volume 25 Issue 2

Full Size Image

Sign up for eToc alerts
Recommend to Library

  • Article
  • Citations
    • Cite This Article
    • Download Citation
    • Create Citation Alert
    • Remove Citation Alert
    • Cited By
  • Similar Articles
    • Related Articles (in Spandidos Publications)
    • Similar Articles (Google Scholar)
    • Similar Articles (PubMed)
  • Download PDF
  • Download XML
  • View XML

  • Supplementary Files
    • Supplementary_Data.pdf
Article Open Access

Bacterial RNA virus MS2 exposure increases the expression of cancer progression genes in the LNCaP prostate cancer cell line

  • Authors:
    • Swapnil Ganesh Sanmukh
    • Nilton José Dos Santos
    • Caroline Nascimento Barquilha
    • Márcio De Carvalho
    • Patricia Pintor Dos Reis
    • Flávia Karina Delella
    • Hernandes F. Carvalho
    • Dorota Latek
    • Tamás Fehér
    • Sérgio Luis Felisbino
  • View Affiliations / Copyright

    Affiliations: Laboratory of Extracellular Matrix Biology, Department of Structural and Functional Biology, Institute of Biosciences of Botucatu, Sao Paulo State University, Botucatu, São Paulo 18618‑689, Brazil, Department of Surgery and Orthopedics, Faculty of Medicine, Sao Paulo State University, Botucatu, São Paulo 18618‑687, Brazil, Department of Structural and Functional Biology, Institute of Biology, University of Campinas, Campinas, São Paulo 13083‑970, Brazil, Faculty of Chemistry, University of Warsaw, 02‑093 Warsaw, Poland, Synthetic and Systems Biology Unit, Biological Research Center, Eötvös Loránd Research Network, 6726 Szeged, Hungary
    Copyright: © Sanmukh et al. This is an open access article distributed under the terms of Creative Commons Attribution License.
  • Article Number: 86
    |
    Published online on: January 17, 2023
       https://doi.org/10.3892/ol.2023.13672
  • Expand metrics +
Metrics: Total Views: 0 (Spandidos Publications: | PMC Statistics: )
Metrics: Total PDF Downloads: 0 (Spandidos Publications: | PMC Statistics: )
Cited By (CrossRef): 0 citations Loading Articles...

This article is mentioned in:



Abstract

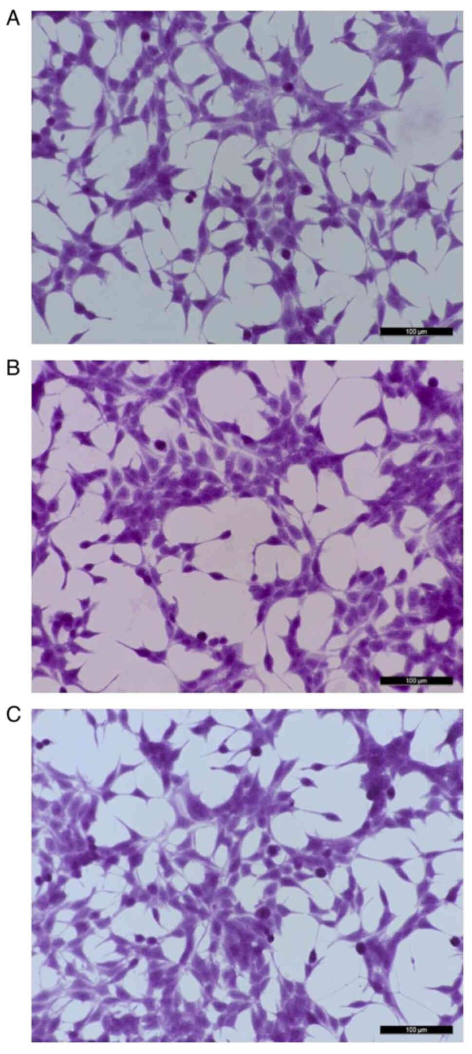
Bacteriophages effectively counteract diverse bacterial infections, and their ability to treat most types of cancer has been explored using phage engineering or phage‑virus hybrid platforms. In the present study, it was demonstrated that the bacteriophage MS2 can affect the expression of genes associated with the proliferation and survival of LNCaP prostate epithelial cells. LNCaP cells were exposed to bacteriophage MS2 at a concentration of 1x107 plaque forming units/ml for 24‑48 h. After exposure, various cellular parameters, including cell viability, morphology, and changes in gene expression, were examined. MS2 affected cell viability adversely, reducing viability by 25% in the first 4 h of treatment; however, cell viability recovered within 24‑48 h. Similarly, the AKT, androgen receptor, integrin α5, integrin β1, MAPK1, MAPK3, STAT3, and peroxisome proliferator-activated receptor‑γ coactivator 1α genes, which are involved in various normal cellular processes and tumor progression, were significantly upregulated, whereas the expression levels of HSP90, ITGB5, ITGB3, HSP27, ITGAV, and PI3K genes were unchanged. Therefore, based on viability and gene expression changes, bacteriophage MS2 severely impaired LNCaP cells by reducing anchorage‑dependent survival and androgen signaling. A caveolin‑mediated endocytosis mechanism for MS2‑mediated signaling in prostate cancer cells was proposed based on reports involving bacteriophages T4, M13, and MS2, and their interactions with LNCaP and PC3 cell lines.
View Figures

Figure 1

Figure 2

Figure 3

Figure 4

Figure 5

Figure 6

View References

1 

Bray F, Ferlay J, Soerjomataram I, Siegel RL, Torre LA and Jemal A: Global cancer statistics 2018: GLOBOCAN estimates of incidence and mortality worldwide for 36 cancers in 185 countries. CA Cancer J Clin. 68:394–424. 2018. View Article : Google Scholar : PubMed/NCBI

2 

Siegel RL, Miller KD, Fuchs HE and Jemal A: Cancer statistics, 2021. CA Cancer J Clin. 71:7–33. 2021. View Article : Google Scholar : PubMed/NCBI

3 

Sakr WA, Grignon DJ, Crissman JD, Heilbrun LK, Cassin BJ, Pontes JJ and Haas GP: High grade prostatic intraepithelial neoplasia (HGPIN) and prostatic adenocarcinoma between the ages of 20–69: An autopsy study of 249 cases. In Vivo. 8:439–443. 1994.PubMed/NCBI

4 

Nelson WG, De Marzo AM and Isaacs WB: Prostate cancer. N Engl J Med. 349:366–381. 2003. View Article : Google Scholar : PubMed/NCBI

5 

Nuhn P, De Bono JS, Fizazi K, Freedland SJ, Grilli M, Kantoff PW, Sonpavde G, Sternberg CN, Yegnasubramanian S and Antonarakis ES: Update on systemic prostate cancer therapies: Management of metastatic castration-resistant prostate cancer in the era of precision oncology. Eur Urol. 75:88–99. 2019. View Article : Google Scholar : PubMed/NCBI

6 

Sumanasuriya S and De Bono J: Treatment of advanced prostate cancer-a review of current therapies and future promise. Cold Spring Harb Perspect Med. 8:a0306352018. View Article : Google Scholar : PubMed/NCBI

7 

Barquilha CN, Santos NJ, Monção CCD, Barbosa IC, Lima FO, Justulin LA, Pértega-Gomes N and Felisbino SL: Sulfiredoxin as a potential therapeutic target for advanced and metastatic prostate cancer. Oxid Med Cell Longev. 2020:21485622020. View Article : Google Scholar : PubMed/NCBI

8 

Przystal JM, Waramit S, Pranjol MZI, Yan W, Chu G, Chongchai A, Samarth G, Olaciregui NG, Tabatabai G, Carcaboso AM, et al: Efficacy of systemic temozolomide-activated phage-targeted gene therapy in human glioblastoma. EMBO Mol Med. 11:e84922019. View Article : Google Scholar : PubMed/NCBI

9 

Ren S, Fengyu Zuo S, Zhao M, Wang X, Wang X, Chen Y, Wu Z and Ren Z: Inhibition of tumor angiogenesis in lung cancer by T4 phage surface displaying mVEGFR2 vaccine. Vaccine. 29:5802–5811. 2011. View Article : Google Scholar : PubMed/NCBI

10 

Shadidi M, Sørensen D, Dybwad A, Furset G and Sioud M: Mucosal vaccination with phage-displayed tumour antigens identified through proteomics-based strategy inhibits the growth and metastasis of 4T1 breast adenocarcinoma. Int J Oncol. 32:241–247. 2008.PubMed/NCBI

11 

Ashley CE, Carnes EC, Phillips GK, Durfee PN, Buley MD, Lino CA, Padilla DP, Phillips B, Carter MB, Willman CL, et al: Cell-specific delivery of diverse cargos by bacteriophage MS2 virus-like particles. ACS Nano. 5:5729–5745. 2011. View Article : Google Scholar : PubMed/NCBI

12 

Aanei IL, ElSohly AM, Farkas ME, Netirojjanakul C, Regan M, Taylor Murphy S, O'Neil JP, Seo Y and Francis MB: Biodistribution of antibody-MS2 viral capsid conjugates in breast cancer models. Mol Pharm. 13:3764–3772. 2016. View Article : Google Scholar : PubMed/NCBI

13 

Li J, Sun Y, Jia T, Zhang R, Zhang K and Wang L: Messenger RNA vaccine based on recombinant MS2 virus-like particles against prostate cancer. Int J Cancer. 134:1683–1694. 2014. View Article : Google Scholar : PubMed/NCBI

14 

Zhai L, Yadav R, Kunda NK, Anderson D, Bruckner E, Miller EK, Basu R, Muttil P and Tumban E: Oral immunization with bacteriophage MS2-L2 VLPs protects against oral and genital infection with multiple HPV types associated with head & neck cancers and cervical cancer. Antiviral Res. 166:56–65. 2019. View Article : Google Scholar : PubMed/NCBI

15 

Lino CA, Caldeira JC and Peabody DS: Display of single-chain variable fragments on bacteriophage MS2 virus-like particles. J Nanobiotechnology. 15:132017. View Article : Google Scholar : PubMed/NCBI

16 

Chang L, Wang G, Jia T, Zhang L, Li Y, Han Y, Zhang K, Lin G, Zhang R, Li J and Wang L: Armored long non-coding RNA MEG3 targeting EGFR based on recombinant MS2 bacteriophage virus-like particles against hepatocellular carcinoma. Oncotarget. 7:23988–24004. 2016. View Article : Google Scholar : PubMed/NCBI

17 

Briolay T, Petithomme T, Fouet M, Nguyen-Pham N, Blanquart C and Boisgerault N: Delivery of cancer therapies by synthetic and bio-inspired nanovectors. Mol Cancer. 20:552021. View Article : Google Scholar : PubMed/NCBI

18 

Kolesanova EF, Melnikova MV, Bolshakova TN, Rybalkina EY and Sivov IG: Bacteriophage MS2 as a tool for targeted delivery in solid tumor chemotherapy. Acta Naturae. 11:98–101. 2019. View Article : Google Scholar : PubMed/NCBI

19 

Sanmukh SG and Felisbino SL: Bacteriophages in cancer biology and therapies. Clin Oncol. 2:12952017.

20 

Sanmukh SG, Dos Santos SAA and Felisbino SL: Natural bacteriophages T4 and M13 down-regulates Hsp90 gene expression in human prostate cancer cells (PC-3) representing a potential nanoparticle against cancer. Virol Res J. 1:21–23. 2017.

21 

Sanmukh SG and Felisbino SL: Development of pipette tip gap closure migration assay (s-ARU method) for studying semi-adherent cell lines. Cytotechnology. 70:1685–1695. 2018. View Article : Google Scholar : PubMed/NCBI

22 

Sanmukh SG, Santos NJ, Barquilha CN, dos Santos SAA, Duran BOS, Delella FK, Moroz A, Justulin LA, Carvalho HF and Felisbino SL: Exposure to bacteriophages T4 and M13 increases integrin gene expression and impairs migration of human PC-3 prostate cancer cells. Antibiotics (Basel). 10:12022021. View Article : Google Scholar : PubMed/NCBI

23 

Sanmukh SG, Dos Santos NJ, Barquilha CN, Cucielo MS, de Carvalho M, Dos Reis PP, Delella FK, Carvalho HF and Felisbino SL: Bacteriophages M13 and T4 increase the expression of anchorage-dependent survival pathway genes and down regulate androgen receptor expression in LNCaP prostate cell line. Viruses. 13:17542021. View Article : Google Scholar : PubMed/NCBI

24 

Mosmann T: Rapid colorimetric assay for cellular growth and survival: Application to proliferation and cytotoxicity assays. J Immunol Methods. 65:55–63. 1983. View Article : Google Scholar : PubMed/NCBI

25 

Berridge MV and Tan AS: Characterization of the cellular reduction of 3-(4,5-dimethylthiazol-2-yl)-2,5-diphenyltetrazolium bromide (MTT): Subcellular localization, substrate dependence, and involvement of mitochondrial electron transport in MTT reduction. Arch Biochem Biophys. 303:474–482. 1993. View Article : Google Scholar : PubMed/NCBI

26 

Livak KJ and Schmittgen TD: Analysis of relative gene expression data using real-time quantitative PCR and the 2(−Delta Delta C(T)) method. Methods. 25:402–408. 2001. View Article : Google Scholar : PubMed/NCBI

27 

Xie Z, Bailey A, Kuleshov MV, Clarke DJB, Evangelista JE, Jenkins SL, Lachmann A, Wojciechowicz ML, Kropiwnicki E, Jagodnik KM, et al: Gene set knowledge discovery with enrichr. Curr Protoc. 1:e902021. View Article : Google Scholar : PubMed/NCBI

28 

Szklarczyk D, Gable AL, Nastou KC, Lyon D, Kirsch R, Pyysalo S, Doncheva NT, Legeay M, Fang T, Bork P, et al: The STRING database in 2021: Customizable protein-protein networks, and functional characterization of user-uploaded gene/measurement sets. Nucleic Acids Res. 49(D1): D605–D612. 2021. View Article : Google Scholar : PubMed/NCBI

29 

Langer I, Jeandriens J, Couvineau A, Sanmukh S and Latek D: Signal transduction by VIP and PACAP receptors. Biomedicines. 10:4062022. View Article : Google Scholar : PubMed/NCBI

30 

Peterson YK and Luttrell LM: The diverse roles of arrestin scaffolds in G protein-coupled receptor signaling. Pharmacol Rev. 69:256–297. 2017. View Article : Google Scholar : PubMed/NCBI

31 

Gad AA and Balenga N: The Emerging Role of adhesion GPCRs in cancer. ACS Pharmacol Transl Sci. 3:29–42. 2020. View Article : Google Scholar : PubMed/NCBI

32 

Liscano Y, Oñate-Garzón J and Delgado JP: Peptides with Dual antimicrobial-anticancer activity: Strategies to overcome peptide limitations and rational design of anticancer peptides. Molecules. 25:42452020. View Article : Google Scholar : PubMed/NCBI

33 

Hwang JS, Kim SG, Shin TH, Jang YE, Kwon DH and Lee G: Development of anticancer peptides using artificial intelligence and combinational therapy for cancer therapeutics. Pharmaceutics. 14:9972022. View Article : Google Scholar : PubMed/NCBI

34 

Ripa I, Andreu S, López-Guerrero JA and Bello-Morales R: Membrane rafts: Portals for viral entry. Front Microbiol. 12:6312742021. View Article : Google Scholar : PubMed/NCBI

35 

Kim A, Shin TH, Shin SM, Pham CD, Choi DK, Kwon MH and Kim YS: Cellular internalization mechanism and intracellular trafficking of filamentous M13 phages displaying a cell-penetrating transbody and TAT peptide. PLoS One. 7:e518132012. View Article : Google Scholar : PubMed/NCBI

36 

Peterziel H, Mink S, Schonert A, Becker M, Klocker H and Cato AC: Rapid signalling by androgen receptor in prostate cancer cells. Oncogene. 18:6322–6329. 1999. View Article : Google Scholar : PubMed/NCBI

37 

Liao RS, Ma S, Miao L, Li R, Yin Y and Raj GV: Androgen receptor-mediated non-genomic regulation of prostate cancer cell proliferation. Transl Androl Urol. 2:187–196. 2013.PubMed/NCBI

38 

Heinlein CA and Chang C: The roles of androgen receptors and androgen-binding proteins in nongenomic androgen actions. Mol Endocrinol. 16:2181–2187. 2002. View Article : Google Scholar : PubMed/NCBI

39 

Siu MK, Chen WY, Tsai HY, Yeh HL, Yin JJ, Liu SY and Liu YN: Androgen receptor regulates SRC expression through microRNA-203. Oncotarget. 7:25726–25741. 2016. View Article : Google Scholar : PubMed/NCBI

40 

Taheri M, Khoshbakht T, Jamali E, Kallenbach J, Ghafouri-Fard S and Baniahmad A: Interaction between non-coding RNAs and androgen receptor with an especial focus on prostate cancer. Cells. 10:31982021. View Article : Google Scholar : PubMed/NCBI

41 

Kim KH, Dobi A, Shaheduzzaman S, Gao CL, Masuda K, Li H, Drukier A, Gu Y, Srikantan V, Rhim JS and Srivastava S: Characterization of the androgen receptor in a benign prostate tissue-derived human prostate epithelial cell line: RC-165N/human telomerase reverse transcriptase. Prostate Cancer Prostatic Dis. 10:30–38. 2007. View Article : Google Scholar : PubMed/NCBI

42 

Zhang J, Li D, Zhang R, Peng R and Li J: Delivery of microRNA-21-sponge and pre-microRNA-122 by MS2 virus-like particles to therapeutically target hepatocellular carcinoma cells. Exp Biol Med (Maywood). 246:2463–2472. 2021. View Article : Google Scholar : PubMed/NCBI

43 

Foglizzo V and Marchiò S: Bacteriophages as therapeutic and diagnostic vehicles in cancer. Pharmaceuticals (Basel). 14:1612021. View Article : Google Scholar : PubMed/NCBI

44 

Echarri A and Del Pozo MA: Caveolae internalization regulates integrin-dependent signaling pathways. Cell Cycle. 5:2179–2182. 2006. View Article : Google Scholar : PubMed/NCBI

45 

Shi F and Sottile J: Caveolin-1-dependent beta1 integrin endocytosis is a critical regulator of fibronectin turnover. J Cell Sci. 121:2360–2371. 2008. View Article : Google Scholar : PubMed/NCBI

46 

Tahir SA, Yang G, Ebara S, Timme TL, Satoh T, Li L, Goltsov A, Ittmann M, Morrisett JD and Thompson TC: Secreted caveolin-1 stimulates cell survival/clonal growth and contributes to metastasis in androgen-insensitive prostate cancer. Cancer Res. 61:3882–3885. 2001.PubMed/NCBI

47 

Xing Y, Wen Z, Gao W, Lin Z, Zhong J and Jiu Y: Multifaceted functions of host cell caveolae/caveolin-1 in virus infections. Viruses. 12:4872020. View Article : Google Scholar : PubMed/NCBI

48 

Schaffner F, Ray AM and Dontenwill M: Integrin α5β1, the fibronectin receptor, as a pertinent therapeutic target in solid tumors. Cancers (Basel). 5:27–47. 2013. View Article : Google Scholar : PubMed/NCBI

49 

Hou J, Yan D, Liu Y, Huang P and Cui H: The roles of integrin α5β1 in human cancer. Onco Targets Ther. 13:13329–13344. 2020. View Article : Google Scholar : PubMed/NCBI

50 

Pantano F, Croset M, Driouch K, Bednarz-Knoll N, Iuliani M, Ribelli G, Bonnelye E, Wikman H, Geraci S, Bonin F, et al: Integrin alpha5 in human breast cancer is a mediator of bone metastasis and a therapeutic target for the treatment of osteolytic lesions. Oncogene. 40:1284–1299. 2021. View Article : Google Scholar : PubMed/NCBI

51 

Hou S, Isaji T, Hang Q, Im S, Fukuda T and Gu J: Distinct effects of β1 integrin on cell proliferation and cellular signaling in MDA-MB-231 breast cancer cells. Sci Rep. 6:184302016. View Article : Google Scholar : PubMed/NCBI

52 

Morozevich GE, Kozlova NI, Ushakova NA, Preobrazhenskaya ME and Berman AE: Integrin α5β1 simultaneously controls EGFR-dependent proliferation and Akt-dependent pro-survival signaling in epidermoid carcinoma cells. Aging (Albany NY). 4:368–374. 2012. View Article : Google Scholar : PubMed/NCBI

53 

Butler DE, Marlein C, Walker HF, Frame FM, Mann VM, Simms MS, Davies BR, Collins AT and Maitland NJ: Inhibition of the PI3K/AKT/mTOR pathway activates autophagy and compensatory Ras/Raf/MEK/ERK signalling in prostate cancer. Oncotarget. 8:56698–56713. 2017. View Article : Google Scholar : PubMed/NCBI

54 

DuShane JK and Maginnis MS: Human DNA virus exploitation of the MAPK-ERK cascade. Int J Mol Sci. 20:34272019. View Article : Google Scholar : PubMed/NCBI

55 

Mukherjee R, McGuinness DH, McCall P, Underwood MA, Seywright M, Orange C and Edwards J: Upregulation of MAPK pathway is associated with survival in castrate-resistant prostate cancer. Br J Cancer. 104:1920–1928. 2011. View Article : Google Scholar : PubMed/NCBI

56 

Bluemn EG, Coleman IM, Lucas JM, Coleman RT, Hernandez-Lopez S, Tharakan R, Bianchi-Frias D, Dumpit RF, Kaipainen A, Corella AN, et al: Androgen receptor pathway-independent prostate cancer is sustained through FGF signaling. Cancer Cell. 32:474–489.e6. 2017. View Article : Google Scholar : PubMed/NCBI

57 

Liang H and Ward WF: PGC-1alpha: A key regulator of energy metabolism. Adv Physiol Educ. 30:145–151. 2006. View Article : Google Scholar : PubMed/NCBI

58 

Abdulghani J, Gu L, Dagvadorj A, Lutz J, Leiby B, Bonuccelli G, Lisanti MP, Zellweger T, Alanen K, Mirtti T, et al: Stat3 promotes metastatic progression of prostate cancer. Am J Pathol. 172:1717–1728. 2008. View Article : Google Scholar : PubMed/NCBI

59 

Barton BE, Karras JG, Murphy TF, Barton A and Huang HF: Signal transducer and activator of transcription 3 (STAT3) activation in prostate cancer: Direct STAT3 inhibition induces apoptosis in prostate cancer lines. Mol Cancer Ther. 3:11–20. 2004. View Article : Google Scholar : PubMed/NCBI

60 

Bishop JL, Thaper D and Zoubeidi A: The multifaceted roles of STAT3 signaling in the progression of prostate cancer. Cancers (Basel). 6:829–859. 2014. View Article : Google Scholar : PubMed/NCBI

61 

Zhao M, Gao FH, Wang JY, Liu F, Yuan HH, Zhang WY and Jiang B: JAK2/STAT3 signaling pathway activation mediates tumor angiogenesis by upregulation of VEGF and bFGF in non-small-cell lung cancer. Lung Cancer. 73:366–374. 2011. View Article : Google Scholar : PubMed/NCBI

62 

Kujawski M, Kortylewski M, Lee H, Herrmann A, Kay H and Yu H: Stat3 mediates myeloid cell-dependent tumor angiogenesis in mice. J Clin Invest. 118:3367–3377. 2008. View Article : Google Scholar : PubMed/NCBI

63 

Molek P, Strukelj B and Bratkovic T: Peptide phage display as a tool for drug discovery: Targeting membrane receptors. Molecules. 16:857–887. 2011. View Article : Google Scholar : PubMed/NCBI

64 

Agu CA, Klein R, Schwab S, König-Schuster M, Kodajova P, Ausserlechner M, Binishofer B, Bläsi U, Salmons B, Günzburg WH and Hohenadl C: The cytotoxic activity of the bacteriophage lambda-holin protein reduces tumour growth rates in mammary cancer cell xenograft models. J Gene Med. 8:229–241. 2006. View Article : Google Scholar : PubMed/NCBI

65 

David M, Ribeiro J, Descotes F, Serre CM, Barbier M, Murone M, Clézardin P and Peyruchaud O: Targeting lysophosphatidic acid receptor type 1 with Debio 0719 inhibits spontaneous metastasis dissemination of breast cancer cells independently of cell proliferation and angiogenesis. Int J Oncol. 40:1133–1141. 2012. View Article : Google Scholar : PubMed/NCBI

66 

Chaudhary PK and Kim S: An insight into GPCR and G-proteins as cancer drivers. Cells. 10:32882021. View Article : Google Scholar : PubMed/NCBI

67 

Bar-Shavit R, Maoz M, Kancharla A, Nag JK, Agranovich D, Grisaru-Granovsky S and Uziely B: G protein-coupled receptors in cancer. Int J Mol Sci. 17:13202016. View Article : Google Scholar : PubMed/NCBI

68 

Yang J, Mapelli C, Wang Z, Sum CS, Hua J, Lawrence RM, Ni Y and Seiffert DA: An optimized agonist peptide of protease-activated receptor 4 and its use in a validated platelet-aggregation assay. Platelets. 33:979–986. 2022. View Article : Google Scholar : PubMed/NCBI

69 

Hu Y, Ma A, Lin S, Yang Y and Hong G: Novel peptide screened from a phage display library antagonizes the activity of CC chemokine receptor 9. Oncol Lett. 14:6471–6476. 2017.PubMed/NCBI

70 

Nickho H, Younesi V, Aghebati-Maleki L, Motallebnezhad M, Majidi Zolbanin J, Movassagh Pour A and Yousefi M: Developing and characterization of single chain variable fragment (scFv) antibody against frizzled 7 (Fzd7) receptor. Bioengineered. 8:501–510. 2017. View Article : Google Scholar : PubMed/NCBI

71 

Pavlovic Z, Adams JJ, Blazer LL, Gakhal AK, Jarvik N, Steinhart Z, Robitaille M, Mascall K, Pan J, Angers S, et al: A synthetic anti-frizzled antibody engineered for broadened specificity exhibits enhanced anti-tumor properties. MAbs. 10:1157–1167. 2018. View Article : Google Scholar : PubMed/NCBI

72 

Tobia C, Chiodelli P, Nicoli S, Dell'era P, Buraschi S, Mitola S, Foglia E, van Loenen PB, Alewijnse AE and Presta M: Sphingosine-1-phosphate receptor-1 controls venous endothelial barrier integrity in zebrafish. Arterioscler Thromb Vasc Biol. 32:e104–e116. 2012. View Article : Google Scholar : PubMed/NCBI

73 

Dąbrowska K, Kaźmierczak Z, Majewska J, Miernikiewicz P, Piotrowicz A, Wietrzyk J, Lecion D, Hodyra K, Nasulewicz-Goldeman A, Owczarek B and Górski A: Bacteriophages displaying anticancer peptides in combined antibacterial and anticancer treatment. Future Microbiol. 9:861–869. 2014. View Article : Google Scholar : PubMed/NCBI

74 

Hart SL, Knight AM, Harbottle RP, Mistry A, Hunger HD, Cutler DF, Williamson R and Coutelle C: Cell binding and internalization by filamentous phage displaying a cyclic Arg-Gly-Asp-containing peptide. J Biol Chem. 269:12468–12474. 1994. View Article : Google Scholar : PubMed/NCBI

75 

Kantoch M and Mordarski M: Binding of bacterial viruses by cancer cells in vitro. Postepy Hig Med Dosw. 12:191–192. 1958.PubMed/NCBI

76 

Porayath C, Salim A, Palillam Veedu A, Babu P, Nair B, Madhavan A and Pal S: Characterization of the bacteriophages binding to human matrix molecules. Int J Biol Macromol. 110:608–615. 2018. View Article : Google Scholar : PubMed/NCBI

77 

Lehti TA, Pajunen MI, Skog MS and Finne J: Internalization of a polysialic acid-binding Escherichia coli bacteriophage into eukaryotic neuroblastoma cells. Nat Commun. 8:19152017. View Article : Google Scholar : PubMed/NCBI

78 

Kantoch M: Studies on phagocytosis of bacterial viruses. Arch Immunol Ther Exp. 6:63–84. 1958.PubMed/NCBI

79 

Bloch H: Experimental investigation on the relationships between bacteriophages and malignant tumors. Arch Virol. 1:481–496. 1940.(In German).

80 

Szczaurska-Nowak K, Dabrowska K, Celka M, Kurzepa A, Nevozhay D, Wietrzyk J, Switala-Jelen K, Syper D, Pozniak G, Opolski A, et al: Antitumor effect of combined treatment of mice with cytostatic agents and bacteriophage T4. Anticancer Res. 29:2361–2370. 2009.PubMed/NCBI

81 

Dabrowska K, Skaradziński G, Jończyk P, Kurzepa A, Wietrzyk J, Owczarek B, Zaczek M, Switała-Jeleń K, Boratyński J, Poźniak G, et al: The effect of bacteriophages T4 and HAP1 on in vitro melanoma migration. BMC Microbiol. 9:132009. View Article : Google Scholar : PubMed/NCBI

82 

Kurzepa-Skaradzinska A, Skaradzinski G, Weber-Dabrowska B, Zaczek M, Maj T, Slawek A, Switalska M, Maciejewska M, Wietrzyk J, Rymowicz W and Gorski A: Influence of bacteriophage preparations on migration of HL-60 leukemia cells in vitro. Anticancer Res. 33:1569–1574. 2013.PubMed/NCBI

83 

Merril CR, Friedman TB, Attallah AF, Geier MR, Krell K and Yarkin R: Isolation of bacteriophages from commercial sera. In Vitro. 8:91–93. 1972. View Article : Google Scholar : PubMed/NCBI

84 

Eriksson F, Tsagozis P, Lundberg K, Parsa R, Mangsbo SM, Persson MA, Harris RA and Pisa P: Tumor-specific bacteriophages induce tumor destruction through activation of tumor-associated macrophages. J Immunol. 182:3105–3111. 2009. View Article : Google Scholar : PubMed/NCBI

Related Articles

  • Abstract
  • View
  • Download
  • Twitter
Copy and paste a formatted citation
Spandidos Publications style
Sanmukh SG, Dos Santos NJ, Barquilha CN, De Carvalho M, Dos Reis PP, Delella FK, Carvalho HF, Latek D, Fehér T, Felisbino SL, Felisbino SL, et al: Bacterial RNA virus MS2 exposure increases the expression of cancer progression genes in the LNCaP prostate cancer cell line. Oncol Lett 25: 86, 2023.
APA
Sanmukh, S.G., Dos Santos, N.J., Barquilha, C.N., De Carvalho, M., Dos Reis, P.P., Delella, F.K. ... Felisbino, S.L. (2023). Bacterial RNA virus MS2 exposure increases the expression of cancer progression genes in the LNCaP prostate cancer cell line. Oncology Letters, 25, 86. https://doi.org/10.3892/ol.2023.13672
MLA
Sanmukh, S. G., Dos Santos, N. J., Barquilha, C. N., De Carvalho, M., Dos Reis, P. P., Delella, F. K., Carvalho, H. F., Latek, D., Fehér, T., Felisbino, S. L."Bacterial RNA virus MS2 exposure increases the expression of cancer progression genes in the LNCaP prostate cancer cell line". Oncology Letters 25.2 (2023): 86.
Chicago
Sanmukh, S. G., Dos Santos, N. J., Barquilha, C. N., De Carvalho, M., Dos Reis, P. P., Delella, F. K., Carvalho, H. F., Latek, D., Fehér, T., Felisbino, S. L."Bacterial RNA virus MS2 exposure increases the expression of cancer progression genes in the LNCaP prostate cancer cell line". Oncology Letters 25, no. 2 (2023): 86. https://doi.org/10.3892/ol.2023.13672
Copy and paste a formatted citation
x
Spandidos Publications style
Sanmukh SG, Dos Santos NJ, Barquilha CN, De Carvalho M, Dos Reis PP, Delella FK, Carvalho HF, Latek D, Fehér T, Felisbino SL, Felisbino SL, et al: Bacterial RNA virus MS2 exposure increases the expression of cancer progression genes in the LNCaP prostate cancer cell line. Oncol Lett 25: 86, 2023.
APA
Sanmukh, S.G., Dos Santos, N.J., Barquilha, C.N., De Carvalho, M., Dos Reis, P.P., Delella, F.K. ... Felisbino, S.L. (2023). Bacterial RNA virus MS2 exposure increases the expression of cancer progression genes in the LNCaP prostate cancer cell line. Oncology Letters, 25, 86. https://doi.org/10.3892/ol.2023.13672
MLA
Sanmukh, S. G., Dos Santos, N. J., Barquilha, C. N., De Carvalho, M., Dos Reis, P. P., Delella, F. K., Carvalho, H. F., Latek, D., Fehér, T., Felisbino, S. L."Bacterial RNA virus MS2 exposure increases the expression of cancer progression genes in the LNCaP prostate cancer cell line". Oncology Letters 25.2 (2023): 86.
Chicago
Sanmukh, S. G., Dos Santos, N. J., Barquilha, C. N., De Carvalho, M., Dos Reis, P. P., Delella, F. K., Carvalho, H. F., Latek, D., Fehér, T., Felisbino, S. L."Bacterial RNA virus MS2 exposure increases the expression of cancer progression genes in the LNCaP prostate cancer cell line". Oncology Letters 25, no. 2 (2023): 86. https://doi.org/10.3892/ol.2023.13672
Follow us
  • Twitter
  • LinkedIn
  • Facebook
About
  • Spandidos Publications
  • Careers
  • Cookie Policy
  • Privacy Policy
How can we help?
  • Help
  • Live Chat
  • Contact
  • Email to our Support Team