Spandidos Publications Logo
  • About
    • About Spandidos
    • Aims and Scopes
    • Abstracting and Indexing
    • Editorial Policies
    • Reprints and Permissions
    • Job Opportunities
    • Terms and Conditions
    • Contact
  • Journals
    • All Journals
    • Oncology Letters
      • Oncology Letters
      • Information for Authors
      • Editorial Policies
      • Editorial Board
      • Aims and Scope
      • Abstracting and Indexing
      • Bibliographic Information
      • Archive
    • International Journal of Oncology
      • International Journal of Oncology
      • Information for Authors
      • Editorial Policies
      • Editorial Board
      • Aims and Scope
      • Abstracting and Indexing
      • Bibliographic Information
      • Archive
    • Molecular and Clinical Oncology
      • Molecular and Clinical Oncology
      • Information for Authors
      • Editorial Policies
      • Editorial Board
      • Aims and Scope
      • Abstracting and Indexing
      • Bibliographic Information
      • Archive
    • Experimental and Therapeutic Medicine
      • Experimental and Therapeutic Medicine
      • Information for Authors
      • Editorial Policies
      • Editorial Board
      • Aims and Scope
      • Abstracting and Indexing
      • Bibliographic Information
      • Archive
    • International Journal of Molecular Medicine
      • International Journal of Molecular Medicine
      • Information for Authors
      • Editorial Policies
      • Editorial Board
      • Aims and Scope
      • Abstracting and Indexing
      • Bibliographic Information
      • Archive
    • Biomedical Reports
      • Biomedical Reports
      • Information for Authors
      • Editorial Policies
      • Editorial Board
      • Aims and Scope
      • Abstracting and Indexing
      • Bibliographic Information
      • Archive
    • Oncology Reports
      • Oncology Reports
      • Information for Authors
      • Editorial Policies
      • Editorial Board
      • Aims and Scope
      • Abstracting and Indexing
      • Bibliographic Information
      • Archive
    • Molecular Medicine Reports
      • Molecular Medicine Reports
      • Information for Authors
      • Editorial Policies
      • Editorial Board
      • Aims and Scope
      • Abstracting and Indexing
      • Bibliographic Information
      • Archive
    • World Academy of Sciences Journal
      • World Academy of Sciences Journal
      • Information for Authors
      • Editorial Policies
      • Editorial Board
      • Aims and Scope
      • Abstracting and Indexing
      • Bibliographic Information
      • Archive
    • International Journal of Functional Nutrition
      • International Journal of Functional Nutrition
      • Information for Authors
      • Editorial Policies
      • Editorial Board
      • Aims and Scope
      • Abstracting and Indexing
      • Bibliographic Information
      • Archive
    • International Journal of Epigenetics
      • International Journal of Epigenetics
      • Information for Authors
      • Editorial Policies
      • Editorial Board
      • Aims and Scope
      • Abstracting and Indexing
      • Bibliographic Information
      • Archive
    • Medicine International
      • Medicine International
      • Information for Authors
      • Editorial Policies
      • Editorial Board
      • Aims and Scope
      • Abstracting and Indexing
      • Bibliographic Information
      • Archive
  • Articles
  • Information
    • Information for Authors
    • Information for Reviewers
    • Information for Librarians
    • Information for Advertisers
    • Conferences
  • Language Editing
Spandidos Publications Logo
  • About
    • About Spandidos
    • Aims and Scopes
    • Abstracting and Indexing
    • Editorial Policies
    • Reprints and Permissions
    • Job Opportunities
    • Terms and Conditions
    • Contact
  • Journals
    • All Journals
    • Biomedical Reports
      • Information for Authors
      • Editorial Policies
      • Editorial Board
      • Aims and Scope
      • Abstracting and Indexing
      • Bibliographic Information
      • Archive
    • Experimental and Therapeutic Medicine
      • Information for Authors
      • Editorial Policies
      • Editorial Board
      • Aims and Scope
      • Abstracting and Indexing
      • Bibliographic Information
      • Archive
    • International Journal of Epigenetics
      • Information for Authors
      • Editorial Policies
      • Editorial Board
      • Aims and Scope
      • Abstracting and Indexing
      • Bibliographic Information
      • Archive
    • International Journal of Functional Nutrition
      • Information for Authors
      • Editorial Policies
      • Editorial Board
      • Aims and Scope
      • Abstracting and Indexing
      • Bibliographic Information
      • Archive
    • International Journal of Molecular Medicine
      • Information for Authors
      • Editorial Policies
      • Editorial Board
      • Aims and Scope
      • Abstracting and Indexing
      • Bibliographic Information
      • Archive
    • International Journal of Oncology
      • Information for Authors
      • Editorial Policies
      • Editorial Board
      • Aims and Scope
      • Abstracting and Indexing
      • Bibliographic Information
      • Archive
    • Medicine International
      • Information for Authors
      • Editorial Policies
      • Editorial Board
      • Aims and Scope
      • Abstracting and Indexing
      • Bibliographic Information
      • Archive
    • Molecular and Clinical Oncology
      • Information for Authors
      • Editorial Policies
      • Editorial Board
      • Aims and Scope
      • Abstracting and Indexing
      • Bibliographic Information
      • Archive
    • Molecular Medicine Reports
      • Information for Authors
      • Editorial Policies
      • Editorial Board
      • Aims and Scope
      • Abstracting and Indexing
      • Bibliographic Information
      • Archive
    • Oncology Letters
      • Information for Authors
      • Editorial Policies
      • Editorial Board
      • Aims and Scope
      • Abstracting and Indexing
      • Bibliographic Information
      • Archive
    • Oncology Reports
      • Information for Authors
      • Editorial Policies
      • Editorial Board
      • Aims and Scope
      • Abstracting and Indexing
      • Bibliographic Information
      • Archive
    • World Academy of Sciences Journal
      • Information for Authors
      • Editorial Policies
      • Editorial Board
      • Aims and Scope
      • Abstracting and Indexing
      • Bibliographic Information
      • Archive
  • Articles
  • Information
    • For Authors
    • For Reviewers
    • For Librarians
    • For Advertisers
    • Conferences
  • Language Editing
Login Register Submit
  • This site uses cookies
  • You can change your cookie settings at any time by following the instructions in our Cookie Policy. To find out more, you may read our Privacy Policy.

    I agree
Search articles by DOI, keyword, author or affiliation
Search
Advanced Search
presentation
Oncology Letters
Join Editorial Board Propose a Special Issue
Print ISSN: 1792-1074 Online ISSN: 1792-1082
Journal Cover
June-2023 Volume 25 Issue 6

Full Size Image

Sign up for eToc alerts
Recommend to Library

Journals

International Journal of Molecular Medicine

International Journal of Molecular Medicine

International Journal of Molecular Medicine is an international journal devoted to molecular mechanisms of human disease.

International Journal of Oncology

International Journal of Oncology

International Journal of Oncology is an international journal devoted to oncology research and cancer treatment.

Molecular Medicine Reports

Molecular Medicine Reports

Covers molecular medicine topics such as pharmacology, pathology, genetics, neuroscience, infectious diseases, molecular cardiology, and molecular surgery.

Oncology Reports

Oncology Reports

Oncology Reports is an international journal devoted to fundamental and applied research in Oncology.

Experimental and Therapeutic Medicine

Experimental and Therapeutic Medicine

Experimental and Therapeutic Medicine is an international journal devoted to laboratory and clinical medicine.

Oncology Letters

Oncology Letters

Oncology Letters is an international journal devoted to Experimental and Clinical Oncology.

Biomedical Reports

Biomedical Reports

Explores a wide range of biological and medical fields, including pharmacology, genetics, microbiology, neuroscience, and molecular cardiology.

Molecular and Clinical Oncology

Molecular and Clinical Oncology

International journal addressing all aspects of oncology research, from tumorigenesis and oncogenes to chemotherapy and metastasis.

World Academy of Sciences Journal

World Academy of Sciences Journal

Multidisciplinary open-access journal spanning biochemistry, genetics, neuroscience, environmental health, and synthetic biology.

International Journal of Functional Nutrition

International Journal of Functional Nutrition

Open-access journal combining biochemistry, pharmacology, immunology, and genetics to advance health through functional nutrition.

International Journal of Epigenetics

International Journal of Epigenetics

Publishes open-access research on using epigenetics to advance understanding and treatment of human disease.

Medicine International

Medicine International

An International Open Access Journal Devoted to General Medicine.

Journal Cover
June-2023 Volume 25 Issue 6

Full Size Image

Sign up for eToc alerts
Recommend to Library

  • Article
  • Citations
    • Cite This Article
    • Download Citation
    • Create Citation Alert
    • Remove Citation Alert
    • Cited By
  • Similar Articles
    • Related Articles (in Spandidos Publications)
    • Similar Articles (Google Scholar)
    • Similar Articles (PubMed)
  • Download PDF
  • Download XML
  • View XML
Case Report Open Access

Inflammatory myofibroblastic tumor of the urinary bladder with FN1‑ALK gene fusion: A case report

  • Authors:
    • Seung-Myoung Son
    • Chang Gok Woo
    • Ok-Jun Lee
    • Yong June Kim
    • Ho-Chang Lee
  • View Affiliations / Copyright

    Affiliations: Department of Pathology, Chungbuk National University Hospital, Chungbuk National University College of Medicine, Cheongju, North Chungcheong 28644, Republic of Korea, Department of Urology, Chungbuk National University Hospital, Chungbuk National University College of Medicine, Cheongju, North Chungcheong 28644, Republic of Korea
    Copyright: © Son et al. This is an open access article distributed under the terms of Creative Commons Attribution License.
  • Article Number: 227
    |
    Published online on: April 13, 2023
       https://doi.org/10.3892/ol.2023.13813
  • Expand metrics +
Metrics: Total Views: 0 (Spandidos Publications: | PMC Statistics: )
Metrics: Total PDF Downloads: 0 (Spandidos Publications: | PMC Statistics: )
Cited By (CrossRef): 0 citations Loading Articles...

This article is mentioned in:



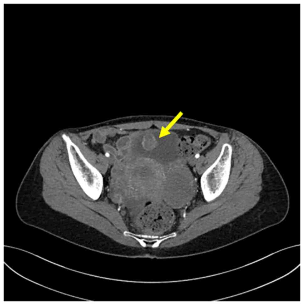
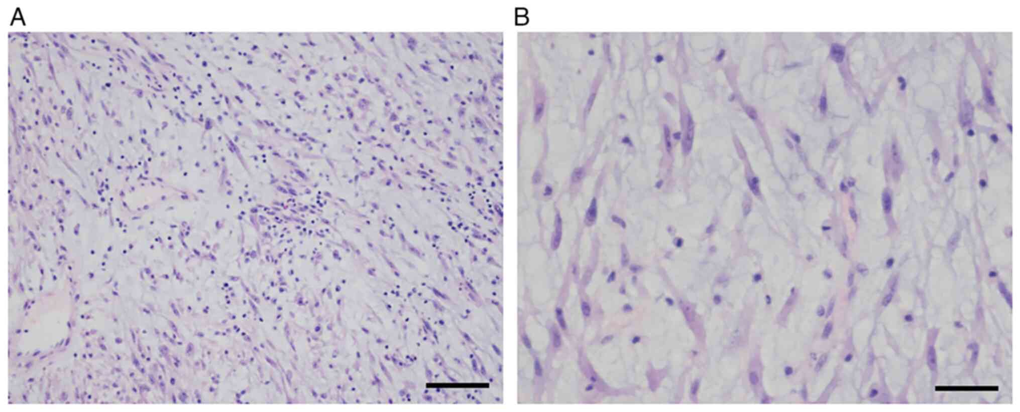
Abstract

Inflammatory myofibroblastic tumors (IMTs), which are rare tumors, exhibit myofibroblastic differentiation, often with anaplastic lymphoma kinase (ALK) gene rearrangements. A subset of IMTs identified in the urinary tract have been shown to harbor a fibronectin 1 (FN1)‑ALK gene fusion. In this case report, a case of an IMT with FN1‑ALK fusion in the urinary bladder was presented, and its clinicopathological characteristics were reviewed. A 45‑year‑old female was referred to Chungbuk National University Hospital with gross hematuria. Cystoscopy revealed a solid mass in the bladder. The patient subsequently underwent transurethral resection of the lesion. The mass comprised stellate and spindled myofibroblastic cells that were arranged in loose fascicles, with a myxoid background and a mixed inflammatory infiltrate. Immunohistochemical analysis revealed that the tumor cells were positive for vimentin, cytokeratin AE1/AE3 and ALK, and focal‑positive for desmin. Targeted next‑generation sequencing was subsequently employed to identify the FN1‑ALK fusion. To date, the patient has undergone outpatient follow‑up for 18 months, with no signs of tumor recurrence. To conclude, in total, FN1 has been identified as an ALK fusion partner almost exclusively in cases of genitourinary IMTs [13 bladder IMTs (including the present case) and two uterine IMTs]. In the present case, the FN1‑ALK fusion was found to involve ALK exon 19 and FN1 exon 23. By contrast, the majority of the other IMTs with an ALK fusion have involved ALK exon 20, whereas ALK fusion involving ALK exon 18 or 19 has been reported only in genitourinary IMTs. Therefore, the FN1‑ALK fusion involving ALK exon 18 or 19 may be specific to a subset of IMTs arising in the urinary bladder.
View Figures

Figure 1

Figure 2

Figure 3

Figure 4

View References

1 

Gleason BC and Hornick JL: Inflammatory myofibroblastic tumours: Where are we now? J Clin Pathol. 61:428–437. 2008. View Article : Google Scholar : PubMed/NCBI

2 

Coffin CM, Hornick JL and Fletcher CD: Inflammatory myofibroblastic tumor: Comparison of clinicopathologic, histologic, and immunohistochemical features including ALK expression in atypical and aggressive cases. Am J Surg Pathol. 31:509–520. 2007. View Article : Google Scholar : PubMed/NCBI

3 

Lovly CM, Gupta A, Lipson D, Otto G, Brennan T, Chung CT, Borinstein SC, Ross JS, Stephens PJ, Miller VA and Coffin CM: Inflammatory myofibroblastic tumors harbor multiple potentially actionable kinase fusions. Cancer Discov. 4:889–895. 2014. View Article : Google Scholar : PubMed/NCBI

4 

Coffin CM, Patel A, Perkins S, Elenitoba-Johnson KS, Perlman E and Griffin CA: ALK1 and p80 expression and chromosomal rearrangements involving 2p23 in inflammatory myofibroblastic tumor. Mod Pathol. 14:569–576. 2001. View Article : Google Scholar : PubMed/NCBI

5 

Butrynski JE, D'Adamo DR, Hornick JL, Dal Cin P, Antonescu CR, Jhanwar SC, Ladanyi M, Capelletti M, Rodig SJ, Ramaiya N, et al: Crizotinib in ALK-rearranged inflammatory myofibroblastic tumor. N Engl J Med. 363:1727–1733. 2010. View Article : Google Scholar : PubMed/NCBI

6 

Acosta AM, Demicco EG, Dal Cin P, Hirsch MS, Fletcher CDM and Jo VY: Pseudosarcomatous myofibroblastic proliferations of the urinary bladder are neoplasms characterized by recurrent FN1-ALK fusions. Mod Pathol. 34:469–477. 2021. View Article : Google Scholar : PubMed/NCBI

7 

Ouchi K, Miyachi M, Tsuma Y, Tsuchiya K, Iehara T, Konishi E, Yanagisawa A and Hosoi H: FN1: A novel fusion partner of ALK in an inflammatory myofibroblastic tumor. Pediatr Blood Cancer. 62:909–911. 2015. View Article : Google Scholar : PubMed/NCBI

8 

Haimes JD, Stewart CJR, Kudlow BA, Culver BP, Meng B, Koay E, Whitehouse A, Cope N, Lee JC, Ng T, et al: Uterine inflammatory myofibroblastic tumors frequently harbor ALK fusions with IGFBP5 and THBS1. Am J Surg Pathol. 41:773–780. 2017. View Article : Google Scholar : PubMed/NCBI

9 

Reinhart S, Trachsel Y, Fritz C, Wagner U, Bode-Lesniewska B, John H and Pless M: Inflammatory myofibroblastic tumor of the bladder with FN1-ALK gene fusion: Different response to ALK inhibition. Urology. 146:32–35. 2020. View Article : Google Scholar : PubMed/NCBI

10 

Antonescu CR, Suurmeijer AJ, Zhang L, Sung YS, Jungbluth AA, Travis WD, Al-Ahmadie H, Fletcher CD and Alaggio R: Molecular characterization of inflammatory myofibroblastic tumors with frequent ALK and ROS1 gene fusions and rare novel RET rearrangement. Am J Surg Pathol. 39:957–967. 2015. View Article : Google Scholar : PubMed/NCBI

11 

Bertz S, Stohr R, Gaisa NT, Wullich B, Hartmann A and Agaimy A: TERT promoter mutation analysis as a surrogate to morphology and immunohistochemistry in problematic spindle cell lesions of the urinary bladder. Histopathology. 77:949–962. 2020. View Article : Google Scholar : PubMed/NCBI

12 

WHO Classification of Tumours Editorial Board, . Urinary and male genital tumours. International Agency for Research on Cancer. 8. 5th edition. WHO Classification of tumours series; Lyon: 2022

13 

Montgomery EA, Shuster DD, Burkart AL, Esteban JM, Sgrignoli A, Elwood L, Vaughn DJ, Griffin CA and Epstein JI: Inflammatory myofibroblastic tumors of the urinary tract: A clinicopathologic study of 46 cases, including a malignant example inflammatory fibrosarcoma and a subset associated with high-grade urothelial carcinoma. Am J Surg Pathol. 30:1502–1512. 2006. View Article : Google Scholar : PubMed/NCBI

14 

Coffin CM, Watterson J, Priest JR and Dehner LP: Extrapulmonary inflammatory myofibroblastic tumor (inflammatory pseudotumor). A clinicopathologic and immunohistochemical study of 84 cases. Am J Surg Pathol. 19:859–872. 1995. View Article : Google Scholar : PubMed/NCBI

15 

Cook JR, Dehner LP, Collins MH, Ma Z, Morris SW, Coffin CM and Hill DA: Anaplastic lymphoma kinase (ALK) expression in the inflammatory myofibroblastic tumor: A comparative immunohistochemical study. Am J Surg Pathol. 25:1364–1371. 2001. View Article : Google Scholar : PubMed/NCBI

16 

Teoh JY, Chan NH, Cheung HY, Hou SS and Ng CF: Inflammatory myofibroblastic tumors of the urinary bladder: A systematic review. Urology. 84:503–508. 2014. View Article : Google Scholar : PubMed/NCBI

17 

Inamura K, Kobayashi M, Nagano H, Sugiura Y, Ogawa M, Masuda H, Yonese J and Ishikawa Y: A novel fusion of HNRNPA1-ALK in inflammatory myofibroblastic tumor of urinary bladder. Hum Pathol. 69:96–100. 2017. View Article : Google Scholar : PubMed/NCBI

18 

Hisaoka M, Shimajiri S, Matsuki Y, Meis-Kindblom JM, Kindblom LG, Li XQ, Wang J and Hashimoto H: Inflammatory myofibroblastic tumor with predominant anaplastic lymphoma kinase-positive cells lacking a myofibroblastic phenotype. Pathol Int. 53:376–381. 2003. View Article : Google Scholar : PubMed/NCBI

19 

Debiec-Rychter M, Marynen P, Hagemeijer A and Pauwels P: ALK-ATIC fusion in urinary bladder inflammatory myofibroblastic tumor. Genes Chromosomes Cancer. 38:187–190. 2003. View Article : Google Scholar : PubMed/NCBI

20 

Lygoe KA, Wall I, Stephens P and Lewis MP: Role of vitronectin and fibronectin receptors in oral mucosal and dermal myofibroblast differentiation. Biol Cell. 99:601–614. 2007. View Article : Google Scholar : PubMed/NCBI

21 

Mano H: ALKoma: A cancer subtype with a shared target. Cancer Discov. 2:495–502. 2012. View Article : Google Scholar : PubMed/NCBI

22 

Ren H, Tan ZP, Zhu X, Crosby K, Haack H, Ren JM, Beausoleil S, Moritz A, Innocenti G, Rush J, et al: Identification of anaplastic lymphoma kinase as a potential therapeutic target in ovarian cancer. Cancer Res. 72:3312–3323. 2012. View Article : Google Scholar : PubMed/NCBI

23 

Marino-Enriquez A and Dal Cin P: ALK as a paradigm of oncogenic promiscuity: Different mechanisms of activation and different fusion partners drive tumors of different lineages. Cancer Genet. 206:357–373. 2013. View Article : Google Scholar : PubMed/NCBI

24 

Childress MA, Himmelberg SM, Chen H, Deng W, Davies MA and Lovly CM: ALK Fusion partners impact response to ALK Inhibition: Differential effects on sensitivity, cellular phenotypes, and biochemical properties. Mol Cancer Res. 16:1724–1736. 2018. View Article : Google Scholar : PubMed/NCBI

25 

Testa S, Million L, Longacre T and Bui N: Uterine leiomyosarcoma with FN1-Anaplastic lymphoma kinase fusion responsive to alectinib and lorlatinib. Case Rep Oncol. 14:812–819. 2021. View Article : Google Scholar : PubMed/NCBI

Related Articles

  • Abstract
  • View
  • Download
  • Twitter
Copy and paste a formatted citation
Spandidos Publications style
Son S, Woo CG, Lee O, Kim YJ and Lee H: Inflammatory myofibroblastic tumor of the urinary bladder with FN1‑ALK gene fusion: A case report. Oncol Lett 25: 227, 2023.
APA
Son, S., Woo, C.G., Lee, O., Kim, Y.J., & Lee, H. (2023). Inflammatory myofibroblastic tumor of the urinary bladder with FN1‑ALK gene fusion: A case report. Oncology Letters, 25, 227. https://doi.org/10.3892/ol.2023.13813
MLA
Son, S., Woo, C. G., Lee, O., Kim, Y. J., Lee, H."Inflammatory myofibroblastic tumor of the urinary bladder with FN1‑ALK gene fusion: A case report". Oncology Letters 25.6 (2023): 227.
Chicago
Son, S., Woo, C. G., Lee, O., Kim, Y. J., Lee, H."Inflammatory myofibroblastic tumor of the urinary bladder with FN1‑ALK gene fusion: A case report". Oncology Letters 25, no. 6 (2023): 227. https://doi.org/10.3892/ol.2023.13813
Copy and paste a formatted citation
x
Spandidos Publications style
Son S, Woo CG, Lee O, Kim YJ and Lee H: Inflammatory myofibroblastic tumor of the urinary bladder with FN1‑ALK gene fusion: A case report. Oncol Lett 25: 227, 2023.
APA
Son, S., Woo, C.G., Lee, O., Kim, Y.J., & Lee, H. (2023). Inflammatory myofibroblastic tumor of the urinary bladder with FN1‑ALK gene fusion: A case report. Oncology Letters, 25, 227. https://doi.org/10.3892/ol.2023.13813
MLA
Son, S., Woo, C. G., Lee, O., Kim, Y. J., Lee, H."Inflammatory myofibroblastic tumor of the urinary bladder with FN1‑ALK gene fusion: A case report". Oncology Letters 25.6 (2023): 227.
Chicago
Son, S., Woo, C. G., Lee, O., Kim, Y. J., Lee, H."Inflammatory myofibroblastic tumor of the urinary bladder with FN1‑ALK gene fusion: A case report". Oncology Letters 25, no. 6 (2023): 227. https://doi.org/10.3892/ol.2023.13813
Follow us
  • Twitter
  • LinkedIn
  • Facebook
About
  • Spandidos Publications
  • Careers
  • Cookie Policy
  • Privacy Policy
How can we help?
  • Help
  • Live Chat
  • Contact
  • Email to our Support Team