Spandidos Publications Logo
  • About
    • About Spandidos
    • Aims and Scopes
    • Abstracting and Indexing
    • Editorial Policies
    • Reprints and Permissions
    • Job Opportunities
    • Terms and Conditions
    • Contact
  • Journals
    • All Journals
    • Oncology Letters
      • Oncology Letters
      • Information for Authors
      • Editorial Policies
      • Editorial Board
      • Aims and Scope
      • Abstracting and Indexing
      • Bibliographic Information
      • Archive
    • International Journal of Oncology
      • International Journal of Oncology
      • Information for Authors
      • Editorial Policies
      • Editorial Board
      • Aims and Scope
      • Abstracting and Indexing
      • Bibliographic Information
      • Archive
    • Molecular and Clinical Oncology
      • Molecular and Clinical Oncology
      • Information for Authors
      • Editorial Policies
      • Editorial Board
      • Aims and Scope
      • Abstracting and Indexing
      • Bibliographic Information
      • Archive
    • Experimental and Therapeutic Medicine
      • Experimental and Therapeutic Medicine
      • Information for Authors
      • Editorial Policies
      • Editorial Board
      • Aims and Scope
      • Abstracting and Indexing
      • Bibliographic Information
      • Archive
    • International Journal of Molecular Medicine
      • International Journal of Molecular Medicine
      • Information for Authors
      • Editorial Policies
      • Editorial Board
      • Aims and Scope
      • Abstracting and Indexing
      • Bibliographic Information
      • Archive
    • Biomedical Reports
      • Biomedical Reports
      • Information for Authors
      • Editorial Policies
      • Editorial Board
      • Aims and Scope
      • Abstracting and Indexing
      • Bibliographic Information
      • Archive
    • Oncology Reports
      • Oncology Reports
      • Information for Authors
      • Editorial Policies
      • Editorial Board
      • Aims and Scope
      • Abstracting and Indexing
      • Bibliographic Information
      • Archive
    • Molecular Medicine Reports
      • Molecular Medicine Reports
      • Information for Authors
      • Editorial Policies
      • Editorial Board
      • Aims and Scope
      • Abstracting and Indexing
      • Bibliographic Information
      • Archive
    • World Academy of Sciences Journal
      • World Academy of Sciences Journal
      • Information for Authors
      • Editorial Policies
      • Editorial Board
      • Aims and Scope
      • Abstracting and Indexing
      • Bibliographic Information
      • Archive
    • International Journal of Functional Nutrition
      • International Journal of Functional Nutrition
      • Information for Authors
      • Editorial Policies
      • Editorial Board
      • Aims and Scope
      • Abstracting and Indexing
      • Bibliographic Information
      • Archive
    • International Journal of Epigenetics
      • International Journal of Epigenetics
      • Information for Authors
      • Editorial Policies
      • Editorial Board
      • Aims and Scope
      • Abstracting and Indexing
      • Bibliographic Information
      • Archive
    • Medicine International
      • Medicine International
      • Information for Authors
      • Editorial Policies
      • Editorial Board
      • Aims and Scope
      • Abstracting and Indexing
      • Bibliographic Information
      • Archive
  • Articles
  • Information
    • Information for Authors
    • Information for Reviewers
    • Information for Librarians
    • Information for Advertisers
    • Conferences
  • Language Editing
Spandidos Publications Logo
  • About
    • About Spandidos
    • Aims and Scopes
    • Abstracting and Indexing
    • Editorial Policies
    • Reprints and Permissions
    • Job Opportunities
    • Terms and Conditions
    • Contact
  • Journals
    • All Journals
    • Biomedical Reports
      • Information for Authors
      • Editorial Policies
      • Editorial Board
      • Aims and Scope
      • Abstracting and Indexing
      • Bibliographic Information
      • Archive
    • Experimental and Therapeutic Medicine
      • Information for Authors
      • Editorial Policies
      • Editorial Board
      • Aims and Scope
      • Abstracting and Indexing
      • Bibliographic Information
      • Archive
    • International Journal of Epigenetics
      • Information for Authors
      • Editorial Policies
      • Editorial Board
      • Aims and Scope
      • Abstracting and Indexing
      • Bibliographic Information
      • Archive
    • International Journal of Functional Nutrition
      • Information for Authors
      • Editorial Policies
      • Editorial Board
      • Aims and Scope
      • Abstracting and Indexing
      • Bibliographic Information
      • Archive
    • International Journal of Molecular Medicine
      • Information for Authors
      • Editorial Policies
      • Editorial Board
      • Aims and Scope
      • Abstracting and Indexing
      • Bibliographic Information
      • Archive
    • International Journal of Oncology
      • Information for Authors
      • Editorial Policies
      • Editorial Board
      • Aims and Scope
      • Abstracting and Indexing
      • Bibliographic Information
      • Archive
    • Medicine International
      • Information for Authors
      • Editorial Policies
      • Editorial Board
      • Aims and Scope
      • Abstracting and Indexing
      • Bibliographic Information
      • Archive
    • Molecular and Clinical Oncology
      • Information for Authors
      • Editorial Policies
      • Editorial Board
      • Aims and Scope
      • Abstracting and Indexing
      • Bibliographic Information
      • Archive
    • Molecular Medicine Reports
      • Information for Authors
      • Editorial Policies
      • Editorial Board
      • Aims and Scope
      • Abstracting and Indexing
      • Bibliographic Information
      • Archive
    • Oncology Letters
      • Information for Authors
      • Editorial Policies
      • Editorial Board
      • Aims and Scope
      • Abstracting and Indexing
      • Bibliographic Information
      • Archive
    • Oncology Reports
      • Information for Authors
      • Editorial Policies
      • Editorial Board
      • Aims and Scope
      • Abstracting and Indexing
      • Bibliographic Information
      • Archive
    • World Academy of Sciences Journal
      • Information for Authors
      • Editorial Policies
      • Editorial Board
      • Aims and Scope
      • Abstracting and Indexing
      • Bibliographic Information
      • Archive
  • Articles
  • Information
    • For Authors
    • For Reviewers
    • For Librarians
    • For Advertisers
    • Conferences
  • Language Editing
Login Register Submit
  • This site uses cookies
  • You can change your cookie settings at any time by following the instructions in our Cookie Policy. To find out more, you may read our Privacy Policy.

    I agree
Search articles by DOI, keyword, author or affiliation
Search
Advanced Search
presentation
Oncology Letters
Join Editorial Board Propose a Special Issue
Print ISSN: 1792-1074 Online ISSN: 1792-1082
Journal Cover
June-2023 Volume 25 Issue 6

Full Size Image

Sign up for eToc alerts
Recommend to Library

Journals

International Journal of Molecular Medicine

International Journal of Molecular Medicine

International Journal of Molecular Medicine is an international journal devoted to molecular mechanisms of human disease.

International Journal of Oncology

International Journal of Oncology

International Journal of Oncology is an international journal devoted to oncology research and cancer treatment.

Molecular Medicine Reports

Molecular Medicine Reports

Covers molecular medicine topics such as pharmacology, pathology, genetics, neuroscience, infectious diseases, molecular cardiology, and molecular surgery.

Oncology Reports

Oncology Reports

Oncology Reports is an international journal devoted to fundamental and applied research in Oncology.

Experimental and Therapeutic Medicine

Experimental and Therapeutic Medicine

Experimental and Therapeutic Medicine is an international journal devoted to laboratory and clinical medicine.

Oncology Letters

Oncology Letters

Oncology Letters is an international journal devoted to Experimental and Clinical Oncology.

Biomedical Reports

Biomedical Reports

Explores a wide range of biological and medical fields, including pharmacology, genetics, microbiology, neuroscience, and molecular cardiology.

Molecular and Clinical Oncology

Molecular and Clinical Oncology

International journal addressing all aspects of oncology research, from tumorigenesis and oncogenes to chemotherapy and metastasis.

World Academy of Sciences Journal

World Academy of Sciences Journal

Multidisciplinary open-access journal spanning biochemistry, genetics, neuroscience, environmental health, and synthetic biology.

International Journal of Functional Nutrition

International Journal of Functional Nutrition

Open-access journal combining biochemistry, pharmacology, immunology, and genetics to advance health through functional nutrition.

International Journal of Epigenetics

International Journal of Epigenetics

Publishes open-access research on using epigenetics to advance understanding and treatment of human disease.

Medicine International

Medicine International

An International Open Access Journal Devoted to General Medicine.

Journal Cover
June-2023 Volume 25 Issue 6

Full Size Image

Sign up for eToc alerts
Recommend to Library

  • Article
  • Citations
    • Cite This Article
    • Download Citation
    • Create Citation Alert
    • Remove Citation Alert
    • Cited By
  • Similar Articles
    • Related Articles (in Spandidos Publications)
    • Similar Articles (Google Scholar)
    • Similar Articles (PubMed)
  • Download PDF
  • Download XML
  • View XML
Case Report Open Access

Gallbladder neuroendocrine carcinoma: A report of two cases and literature review

  • Authors:
    • Yong Liao
    • We Cao
    • Zhongkang Li
    • Xin Xu
    • Ye Zhang
    • Zhihu Liu
    • Jie Miao
    • Yang Zhou
    • Zhongguang Zhen
    • Dengxiang Liu
    • Hui Li
    • Lichao Chai
    • Yan Wei
    • Xiaochong Zhang
    • Le Zhang
    • Jitao Wang
    • Yanpeng Tian
  • View Affiliations / Copyright

    Affiliations: Department of Hepatobiliary Surgery, Xingtai People's Hospital of Hebei Medical University, Xingtai, Hebei 054001, P.R. China, Department of Neurology, Peking University Third Hospital, Beijing 100191, P.R. China, Department of Obstetrics and Gynecology, The Second Hospital of Hebei Medical University, Shijiazhuang, Hebei 050000, P.R. China, Department of Gynecological Endocrinology, Beijing Obstetrics and Gynecology Hospital, Capital Medical University, Beijing 100191, P.R. China, Department of Obstetrics and Gynecology, The First Affiliated Hospital of Zhengzhou University, Zhengzhou, Henan 450052, P.R. China, Department of Pathology, Xingtai People's Hospital of Hebei Medical University, Xingtai, Hebei 054001, P.R. China, Department of Nuclear Medicine, Xingtai People's Hospital of Hebei Medical University, Xingtai, Hebei 054001, P.R. China, Department of Oral Surgery, Hebei Provincial Eye Hospital, Xingtai, Hebei 054001, P.R. China
    Copyright: © Liao et al. This is an open access article distributed under the terms of Creative Commons Attribution License.
  • Article Number: 229
    |
    Published online on: April 13, 2023
       https://doi.org/10.3892/ol.2023.13815
  • Expand metrics +
Metrics: Total Views: 0 (Spandidos Publications: | PMC Statistics: )
Metrics: Total PDF Downloads: 0 (Spandidos Publications: | PMC Statistics: )
Cited By (CrossRef): 0 citations Loading Articles...

This article is mentioned in:



Abstract

Gallbladder neuroendocrine carcinoma (GB‑NEC) is a rare, aggressive neuroendocrine carcinoma that arises from the gallbladder. Patients with GB‑NEC usually have a poor prognosis. The present study described two cases diagnosed with GB‑NEC and reviewed the literature to improve knowledge of GB‑NEC. The present study reported on two cases of GB‑NEC in male patients aged 65 and 66 years, respectively. Both patients underwent surgical resection. Postoperative pathology confirmed that one case had mixed adeno‑neuroendocrine carcinoma and the other had large cell neuroendocrine carcinoma. In addition, both patients had uneventful recoveries following surgery and received cisplatin‑etoposide combination chemotherapy. The present study summarized the two cases and reviewed the literature to improve understanding of GB‑NEC. The results revealed that radiological findings of GB‑NEC are non‑specific. The present study demonstrated that surgical resection was still the most effective therapy and that postoperative adjuvant chemotherapy could markedly improve the prognosis of patients with GB‑NEC.

Introduction

Neuroendocrine carcinomas (NEC) are a highly heterogeneous group of malignant tumors, which originate from neuroendocrine cells and account for approximately 1% of all malignant tumors (1). In 1907, Oberndorfer reported the first case of neuroendocrine neoplasm (2). In recent years, an increasing number of cases were reported. Previous studies have pointed out that neuroendocrine neoplasm was more likely to occur in the gastrointestinal tract (66%) and respiratory system (31%), such as the colorectal and lungs (3), rarely in gallbladder neuroendocrine. From data provided by Surveillance Epidemiology and End Result (SEER) research, gallbladder neuroendocrine carcinoma (GB-NEC) is extremely rare, accounting for about 0.5% of all neuroendocrine neoplasms and 2.1% of all gallbladder tumors (4). In addition, GB-NEC was more aggressive and had a worse outcome than adenocarcinomas of the gallbladder (5,6). Thus far, most studies of the GB-NEC are case reports and small case series. Therefore, there is still no consensus on the initiation and development, molecular mechanisms, pathology and treatment of GB-NEC.

Here we reported two cases of GB-NEC pathologically diagnosed as mixed adenoneuroendocrine carcinoma (MANEC) and large cell neuroendocrine carcinoma, respectively. These patients are rarely diagnosed preoperatively because most patients will be treated as standard gallbladder cancer. Both patients were treated with a combination of surgery and chemotherapy. In addition, we reviewed the relevant literature and described the progression of the epidemiology, pathogenesis, pathology, clinical characteristics, treatment of GB-NEC.

Case report

Case 1

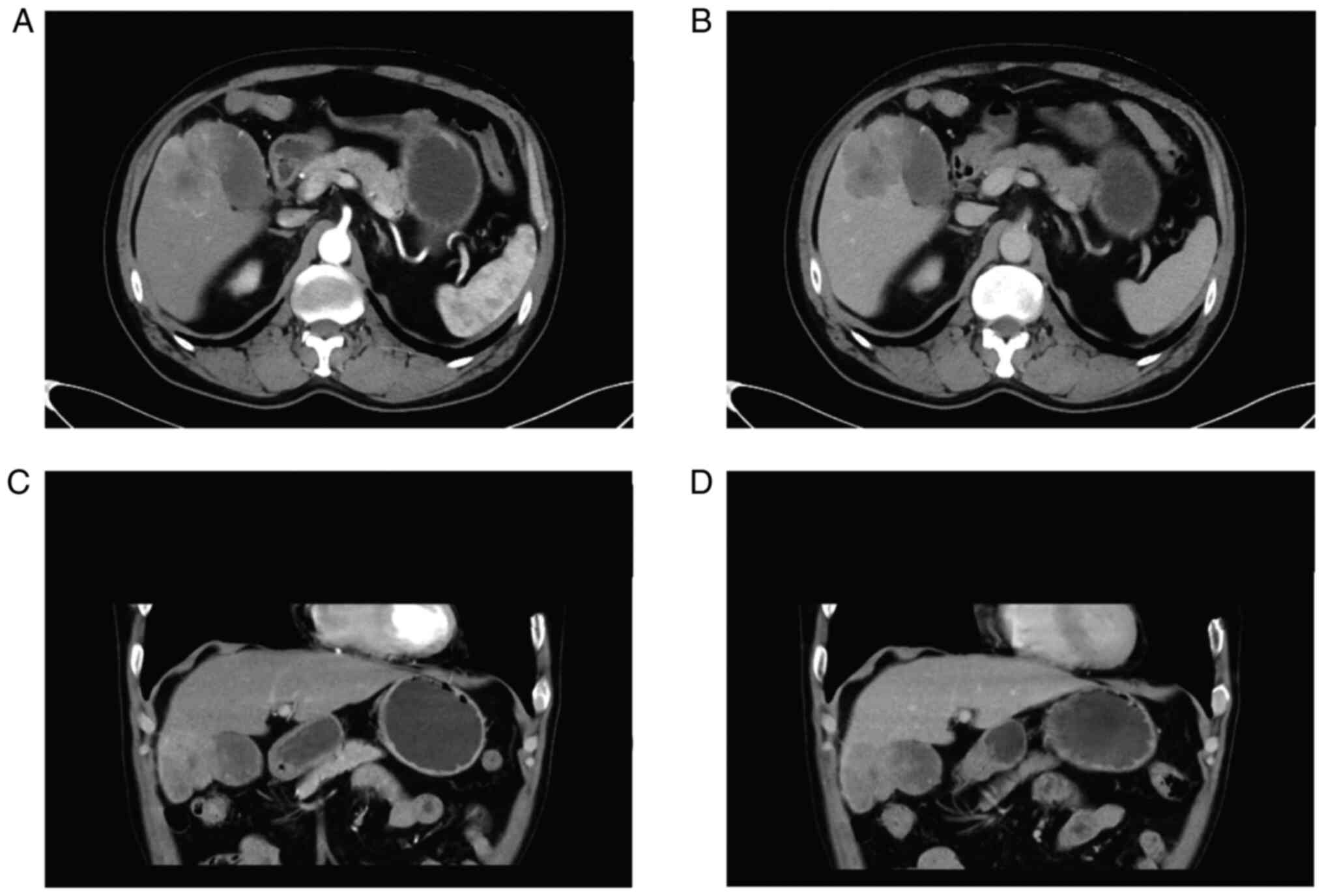
The case was a 65-year-old male patient with no family history of cancer and with a past medical history of appendectomy and surgery for lumbar disc herniation. Suspected gallbladder malignancy was found during physical examination. He had no fever, abdominal pain, nausea, vomiting, weight loss and other complaints. No abnormal clinical signs were detected by abdominal examination. Computed tomography (CT) scanning of upper abdomen indicated soft tissue shadows could be seen at the bottom of the gallbladder, invading the liver, and the boundary was blurred. In addition, a cyst was found in the left lobe of liver. Contrast-enhanced CT scanning indicated significant uneven enhancement and it was about 60×45 mm in size (Fig. 1). Preoperative positron emission tomography/computed tomography (PET/CT) showed irregular soft tissue occupancy at the bottom of the gallbladder with abnormally high metabolic activity and low-density occupancy in the lower right anterior lobe with abnormally inhomogeneity high metabolic activity (Fig. 2). Levels of tumor markers were shown in Table I. All these results suggested that gallbladder malignant lesions with the right liver lobe involvement. CT provided no clear evidence of distal metastases.

Figure 1.

CT images of case 1. (A) Cross-sectional contrast-enhanced arterial phase CT of the abdomen. (B) Cross-sectional contrast-enhanced venous phase CT of the abdomen. (C) Contrast enhanced arterial phase CT scan of the abdomen, coronal view. (D) Contrast enhanced arterial phase CT scan of the abdomen, coronal view. CT, computed tomography.

Figure 2.

Chest and abdominal PET/CT images of case 1. (A) PET imaging 1 h after FDG injection. (B) CT imaging 1 h after FDG tracer injection. (C) 1 h after injection of FDG tracer, PET/CT fusion imaging. (D) Maximum intensity projection. PET/CT, peoperative positron emission tomography/computed tomography; FDG, fluorodeoxyglucose.

Table I.

Tumor markers of the two cases.

Table I.

Tumor markers of the two cases.

MarkerCase 1Case 2
CA-12536.60 U/ml6.22 U/ml
CA-199<2.000 U/ml22.03 U/ml
CEANot applicable2.87 ng/ml
AFPNot applicable2.66 IU/l

[i] CA, carbohydrate antigen; CEA, carcinoembryonic antigen; AFP, α-fetoprotein.

After multidisciplinary team discussion, preoperative examination was considered to be gallbladder malignant tumor, which could be surgically removed. At the same time, in order to reduce the risk of malignant tumor metastasis caused by invasive biopsy, EUS-FNA or bile cytology was not performed, and surgery was performed directly. During the operation, a solid mass of 3×2 cm in size were found in the body of gallbladder, infiltrating the liver. Cholecystectomy, the local resection of right liver lobe and regional lymphadenectomy were performed. Postoperative Pathology confirmed no tumor cell infiltration at the incisor margin, R0 resection was performed, and metastatic carcinoma was found in 1/9 (tubular adenocarcinoma) around the gallbladder. It was also confirmed as MANEC with stage IIIB (T3N1M0). Immunohistochemical stains were positive for synaptophysin (Syn), chromogranin A (CgA), CD56, CK7 and CK19. Furthermore, the Ki-67 indexes were over 50% in NEC tissue and 30% in adenocarcinoma tissue (Fig. 3). The patient had an uneventful recovery following the surgery and received cisplatin-etoposide combination chemotherapy. The patient was followed up for one year. The general condition was satisfactory at present, and no tumor metastasis was observed.

Figure 3.

HE staining and immunohistochemical staining of case 1. (A) HE staining. (B) CK8-18. (C) CK7. (D) CK19. (E) CDX-2. (F) CKLMW. (G) CD99. (H) Ki-67. (I) CgA. (J) Syn. (K) CD56. (L) SSTR-2. (M) Vimentin. (N) Desmin. (O) CD34. (P) S-100. (Q) Hepatocyte-specific antigen. (R) Arg-1. (S) GS. Scale bar, 5 µm. CK, cytokeratin; CDX, caudal-related homeobox transcription factor; CKLMW, low molecular weight cytokeratin; CD, cluster of differentiation; Ki-67, antigen KI67; CgA, chromogranin A; Syn, synaptophysin; SSTR-2, somatostatin receptor type 2; S-100, soluble protein-100; Arg-1, arginase-1; GS, glutamine synthetase.

Case 2

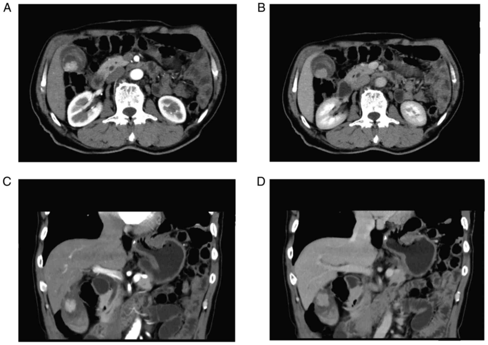
The case was a 66-year-old male patient presented to our hospital with paroxysmal upper abdomen pain for more than half a year. The day before the visit, the patient presented a worsening of upper abdomen pain accompanied by nausea and vomiting. Also, the patient experienced loss of appetite and weight loss over 5 kg in the past 6 months. Partial gastrectomy was performed 4 years ago owing to esophageal carcinoma. Abdominal ultrasound suggested thickening of the gallbladder wall and a liver cyst. CT scanning of upper abdomen showed marked signal abnormality in the gallbladder (Fig. 4). Levels of tumor markers were showed in Table I. These results indicated suspected gallbladder cancer.

Figure 4.

CT images of case 2. (A) Cross-sectional contrast-enhanced arterial phase CT of the abdomen. (B) Cross-sectional contrast-enhanced venous phase CT of the abdomen. (C) Contrast enhanced arterial phase CT scan of the abdomen, coronal view. (D) Contrast enhanced arterial phase CT scan of the abdomen, coronal view. CT, computed tomography.

After multidisciplinary team discussion, the patient underwent surgical treatment. During the operation, a solid mass of 1.6×1.1×1 cm in size were found in gallbladder. Cut face showed a solid and grayish tumor lesion. Intraoperative frozen pathology showed that the tumor invaded the muscular layer but did not invade the fibrous membrane. In order to reduce the risk of gallbladder bed metastasis, cholecystectomy, hepatic segmental IVb + V resection and regional lymph node resection were performed. Postoperative pathology confirmed it as gallbladder large cell neuroendocrine carcinoma (GB-LCNEC). Postoperative pathology confirmed that no tumor cell infiltration was observed at the liver resection margin and local lymphadenectomy, and R0 resection was performed. Consequently, the patient was diagnosed with stage IIB (T2bN0M0). Immunohistochemical stains were positive for CgA, CD56 and CK19. In addition, the Ki-67 indexes were over 80% (Fig. 5). The patient had an uneventful recovery following the surgery and received cisplatin-etoposide combination chemotherapy. The patient was followed up for 14 months. The general condition was satisfactory at present, and no tumor metastasis was observed.

Figure 5.

HE staining and immunohistochemical staining of case 2. (A) HE staining. (B) CK20. (C) CK7. (D) CK19. (E) CDX-2. (F) CKLMW. (G) AFP. (H) Ki-67. (I) CgA. (J) Syn. (K) CD56. (L) Gly-3. (M) Her-2. (N) p-40. (O) p-63. (P) Sall4. Scale bar, 5 µm. CK, cytokeratin; CDX, caudal-related homeobox transcription factor; CKLMW, low molecular weight cytokeratin; AFP, α-fetoprotein; Ki-67, antigen KI67; CgA, chromogranin A; Syn, synaptophysin; CD, cluster of differentiation; Gly-3, glypican-3; Her-2, human epidermal growth factor receptor 2; Sall4, spalt like transcription factor 4.

Discussion

Neuroendocrine carcinomas (NECs) are a highly heterogeneous group of malignant tumors, which originate from neuroendocrine cells and account for approximately 1% of all malignant tumors (1). The vast majority of NEC were found in the gastrointestinal tract (66%), followed by the lungs (31%), and were also found in tissues such as ovaries and pancreas (3). Due to the lack of specific clinical features and the insensitivity of preoperative diagnosis, the majority of these patients will be considered standard gallbladder cancer and eventually diagnosed as GB-NEC by postoperative pathology. Based on the classification criteria provided by WHO Classification of Tumors of the Digestive System in 2010, neuroendocrine neoplasm (NEN) was classified into three categories: the well-differentiated neuroendocrine tumors (G1 and G2) and poorly-differentiated neuroendocrine tumors (G3, defined as NECs). According to the pathology, NECs could be classified into small cell neuroendocrine carcinomas (SCNEC), large cell neuroendocrine carcinomas (LCNEC) and MANEC (7). In this study, case 1 was confirmed as MANEC, and case 2 was confirmed as LCNEC by post-surgical pathologic diagnosis.

The etiology of GB-NEC remains still unclear. Previous studies have proposed the following hypotheses: i) Undifferentiated gallbladder stem cells differentiate into neuroendocrine cells; ii) long-term chronic inflammatory stimulation of the gallbladder mucosa leads to pathological intestinal metaplasia, which in turn produces neuroendocrine cells at the lesion site and develops into neuroendocrine carcinoma. iii) In some cases, the gallbladder adenocarcinoma function switches to a neuroendocrine one (8–10).

Recently, with the increasing cases of GN-NEC reported, its molecular mechanism has received extensive attention. Previous studies have pointed out that activation of epidermal growth factor receptor (EGFR) can upregulate the expression of downstream effector protein kinase B (PKB) and extracellular signal regulate kinase (ECSRK) (10,11). In addition, the expression level of the target protein of rapamycin was positively correlated with the proliferation index of the cells (6). These results indicated high expressions of EGFR, ECSRK and the target protein of rapamycin were linked to poor survival prognosis. Takizawa et al (12) and Fujimasa et al (13) reported loss of Rb1 and overexpression of were found in NECs of the colorectum and esophagus. Lee and Sung reported a series of 34 GB-NEC cases (14). Of the 34 GB-NEC patients, 25 (74%) showed loss of Rb1 and overexpression of p16. Although these results have suggested that disruption of the Rb1-p16 pathway might play a crucial role in GB-NEC, the detailed molecular mechanism requires further exploration. Park et al pointed out that BRAF mutations were present in about 9% of gastroenteropancreatic neuroendocrine tumors, especially in high-grade neuroendocrine carcinomas (15). Advanced colorectal NEC patients with BRAFV600E mutation benefited from BRAF mutation-targeted therapy (16). However, no mutations of BRAFV600E were found in any of the 34 GB-NEC cases (14). Therefore, it is still unclear whether BRAF mutation is related to GB-NEC, and further research is needed. Another study has pointed out that ALK rearrangement and immune microenvironment heterogeneity were related to large cell neuroendocrine carcinoma of the lung, and its correlation with GB-NEC still needs to be further explored (17).

Traditional imaging methods, such as ultrasound, CT and MRI, are not sensitive to the diagnosis of GB-NEC. Recent studies have shown that the use of 68Ga-DOTANOC PET tracer in PET/CT and PET/MRI is effective in the detection of primary NENs and metastatic sites. At the same time, the staging and therapeutic response evaluation of GB-NENs is a valuable tool (18,19). The gold standard for diagnosis of GB-NEC is still histopathological examination. Preoperative EUS-FNA or bile cytology is a good diagnostic method for biliary malignancy, but may be more suitable for patients with excessive tumor load, difficult surgery, or distant metastasis. In this paper, two patients with small tumor load, no distant metastasis, preoperative evaluation can be radical resection, suitable for direct surgical treatment. Neuron specific enolase (NSE), Syn, CgA and CD56 were often positive in immunohistochemistry staining. High Ki-67 and mitotic index may be predictors of poor prognosis (20). According to the immunohistochemical characteristics, at least two of the three commonly used markers SynA, CgA and CD56 should be widely expressed to confirm the diagnosis of late MANEC (21,22). In this study, Syn, CgA and CD56 were all positive staining in case 1 and CgA and CD56 were positive staining in case 2. Previous study indicated CK7 and CK20 were positively expressed in gallbladder adenocarcinoma and the expression rates of CK7 and CK20 in GB-NEC were slightly lower (14,23). However, in our study, CK7 was only positively expressed in adenocarcinoma tissue of case 1. CK7 and CK20 were both negatively expressed in NEC tissue of case 2. Interestingly, CK19 was positively expressed in both cases. Overexpression of CD117 in colorectal NECs was reported in previous studies. In addition, CD117 was positive in 25 (79%) of 34 GB-NEC cases. Given the high frequencies of CD117 expression in NECs, CD117 might potentially be applied as a novel NECs biomarker (14,24,25).

Currently, surgical resection is still the primary and most effective therapy for GB-NEC. Radical resection and obtaining histologically negative surgical resection margins can definitely prolong the survival time of patients (26–28). For those advanced patients, cholecystectomy combined with partial hepatectomy and lymph node dissection can significantly improve the outcome (29). Patients not suitable for surgery should be administered chemotherapy. Postoperative chemoradiotherapy for highly aggressive GB-NEC patients with early lymph node metastasis is an effective means to prolong the survival time of patients. The recommended chemotherapy includes streptozotocin, 5-fluorouracil, doxorubicin, cisplatin, and etoposide (30). Due to the low incidence of GB-NEC, there is still no standard chemotherapy regimen to date. Relevant case reports suggest that gemcitabine, docetaxel, or cisplatin in combination with cisplatin, sunitinib, and docetaxel, respectively, could prolong survival time in patients with neuroendocrine carcinoma of the gallbladder (31,32). To date, there are still no targeted drugs in clinical practice. Some studies have pointed out that the expression level of VEGF in GB-NEC patients was increased, and sunitinib, a VEGF-targeting inhibitor, could effectively prolong the progression-free survival and overall survival of pancreatic neuroendocrine neoplasm patients. The effectiveness of GB-NEC still needs further research. Also, previous studies have shown that changes in the immune microenvironment and ALK rearrangement are involved in the development of lung large cell neuroendocrine carcinoma, and the application of ALK inhibitors improved the prognosis of patients. It might provide a new therapeutic option for the treatment of GB-NEC (17,33,34).

Most GB-NEC patients are in an advanced stage of disease at the time of presentation, and many have lost the chance of radical surgery. Biopsy and pathologic examination can be performed first to determine the tumor type, followed by chemotherapy. Chemotherapy is essential for inoperable GB-NEC patients and can improve patient survival (35). At present, cisplatin or carboplatin plus etoposide is the main chemotherapy regimen for poorly differentiated GB-NEC, and has achieved satisfactory results (36). In addition, neoadjuvant chemotherapy may help to reduce the tumor burden and provide the opportunity for radical surgical resection (37). Another study compared the median survival time of patients receiving surgical treatment alone and postoperative combined adjuvant radiotherapy for 3.0 and 12.7 months, respectively, indicating that postoperative chemotherapy can benefit patients' survival (38). GB-MANEC is rarer among gallbladder neuroendocrine carcinomas (22). The choice of chemotherapeutic regimens to be used lies on the degree of MANEC differentiation and accordingly may follow a ‘treat-like-neuroendocrine tumor’ or a ‘treat-like-an adenocarcinoma’ protocol as suggested by previous investigators (39). Therefore, chemotherapy was administered postoperatively and both patients survived. We will continue to actively follow up.

At present, GB-NEC is still an aggressive malignancy with poor prognosis. We reported two cases of GB-NECs and reviewed the literature to deepen our understanding of GB-NEC. In future, exploring the etiology and molecular mechanism of occurrence and development of this disease will provide new strategies for its treatment.

Acknowledgements

Not applicable.

Funding

This work was supported by the Key Research and Development Project of Xingtai (grant no. 2020ZC273).

Availability of data and materials

All data generated or analyzed in this study are included in this published article.

Authors' contributions

YPT, JTW, ZHL, JM, LCC and YW conceived and designed the study. YL and YeZ provided study materials, collected data and drafted the manuscript.. YL, ZGZ, DXL and HL performed surgery. WC, ZKL, XX, YaZ, XCZ and LZ analyzed and interpreted the data. YL and JTW confirm the authenticity of all the raw data. All authors read and approved the final manuscript.

Ethics approval and consent to participate

The patients provided written informed consent to participate.

Patient consent for publication

Written informed consent was obtained from the patients for publication of the data and images in this case report.

Competing interests

The authors declare that they have no competing interests.

Glossary

Abbreviations

Abbreviations:

GB-NEC

gallbladder neuroendocrine carcinoma

MANEC

mixed adeno-neuroendocrine carcinoma

LCNEC

large cell neuroendocrine carcinoma

NEC

neuroendocrine carcinoma

SEER

Surveillance Epidemiology and End Result

CT

computed tomography

PET/CT

preoperative positron emission tomography/computed tomography

Syn

synaptophysin

CgA

chromogranin A

MRCP

magnetic resonance cholangiopancreatography

GB-LCNEC

gallbladder large cell neuroendocrine carcinoma

SCNEC

small cell neuroendocrine carcinoma

EGFR

epidermal growth factor receptor

PKB

protein kinase B

ECSRK

extracellular signal-regulated kinase

References

1 

Kumar K, Tariq H, Ahmed R, Chukwunonso C, Niazi M and Ihimoyan A: Small-cell type, poorly differentiated neuroendocrine carcinoma of the gallbladder: A case report and review of the literature. Case Rep Oncol Med. 2019:89680342019.PubMed/NCBI

2 

Oberndorfer S: Carcinoid tumors of the small intestine. Frank Z. Pathol. 1:426–429. 1907.(In German).

3 

Gustafsson BI, Kidd M and Modlin IM: Neuroendocrine tumors of the diffuse neuroendocrine system. Curr Opin Oncol. 20:1–12. 2008. View Article : Google Scholar : PubMed/NCBI

4 

Yao JC, Hassan M, Phan A, Dagohoy C, Leary C, Mares JE, Abdalla EK, Fleming JB, Vauthey JN, Rashid A and Evans DB: One hundred years after ‘carcinoid’: epidemiology of and prognostic factors for neuroendocrine tumors in 35,825 cases in the United States. J Clin Oncol. 26:3063–3072. 2008. View Article : Google Scholar : PubMed/NCBI

5 

Lee KJ, Cho JH, Lee SH, Lee KH, Park BK, Lee JK, Woo SM, Ryu JK, Lee JK, Kim YS, et al: Clinicopathological characteristics of biliary neuroendocrine neoplasms: A multicenter study. Scand J Gastroenterol. 52:437–441. 2017. View Article : Google Scholar : PubMed/NCBI

6 

Yun SP, Shin N and Seo HI: Clinical outcomes of small cell neuroendocrine carcinoma and adenocarcinoma of the gallbladder. World J Gastroenterol. 21:269–275. 2015. View Article : Google Scholar : PubMed/NCBI

7 

Lüttges J: What's new? The 2010 WHO classification for tumours of the pancreas. Pathologe. 32 (Suppl 2):S332–S336. 2011.(In German). View Article : Google Scholar

8 

Adachi T, Haraguchi M, Irie J, Yoshimoto T, Uehara R, Ito S, Tokai H, Noda K, Tada N, Hirabaru M, et al: Gallbladder small cell carcinoma: A case report and literature review. Surg Case Rep. 2:712016. View Article : Google Scholar : PubMed/NCBI

9 

Duffy A, Capanu M, Abou-Alfa GK, Huitzil D, Jarnagin W, Fong Y, D'Angelica M, Dematteo RP, Blumgart LH and O'Reilly EM: Gallbladder cancer (GBC): 10-Year experience at memorial sloan-kettering cancer centre (MSKCC). J Surg Oncol. 98:485–489. 2008. View Article : Google Scholar : PubMed/NCBI

10 

Komori Y, Yada K, Ohta M, Uchida H, Iwashita Y, Fukuzawa K, Kashima K, Yokoyama S, Inomata M and Kitano S: Mammalian target of rapamycin signaling activation patterns in pancreatic neuroendocrine tumors. J Hepatobiliary Pancreat Sci. 21:288–295. 2014. View Article : Google Scholar : PubMed/NCBI

11 

Missiaglia E, Dalai I, Barbi S, Beghelli S, Falconi M, della Peruta M, Piemonti L, Capurso G, Di Florio A, delle Fave G, et al: Pancreatic endocrine tumors: Expression profiling evidences a role for AKT-mTOR pathway. J Clin Oncol. 28:245–255. 2010. View Article : Google Scholar : PubMed/NCBI

12 

Takizawa N, Ohishi Y, Hirahashi M, Takahashi S, Nakamura K, Tanaka M, Oki E, Takayanagi R and Oda Y: Molecular characteristics of colorectal neuroendocrine carcinoma; similarities with adenocarcinoma rather than neuroendocrine tumor. Hum Pathol. 46:1890–1900. 2015. View Article : Google Scholar : PubMed/NCBI

13 

Fujimasa K, Ohike N, Norose T, Isobe T, Kikuchi K, Otsuka K, Murakami M and Takimoto M: Frequent and specific involvement of changes of the p16-RB pathway in esophageal neuroendocrine carcinoma. Anticancer Res. 39:1927–1934. 2019. View Article : Google Scholar : PubMed/NCBI

14 

Lee SM and Sung CO: Neuroendocrine carcinomas of the gallbladder: A clinicopathologic and immunohistochemical analysis of 34 resected cases. Am J Surg Pathol. 44:1308–1321. 2020. View Article : Google Scholar : PubMed/NCBI

15 

Park C, Ha SY, Kim ST, Kim HC, Heo JS, Park YS, Lauwers G, Lee J and Kim KM: Identification of the BRAF V600E mutation in gastroenteropancreatic neuroendocrine tumors. Oncotarget. 7:4024–4035. 2016. View Article : Google Scholar : PubMed/NCBI

16 

Burkart J, Owen D, Shah MH, Abdel-Misih SRZ, Roychowdhury S, Wesolowski R, Haraldsdottir S, Reeser JW, Samorodnitsky E, Smith A and Konda B: Targeting BRAF mutations in high-grade neuroendocrine carcinoma of the colon. J Natl Compr Canc Netw. 16:1035–1040. 2018. View Article : Google Scholar : PubMed/NCBI

17 

Tashiro T, Imamura K, Tomita Y, Tamanoi D, Takaki A, Sugahara K, Sato R, Saruwatari K, Sakata S, Inaba M, et al: Heterogeneous tumor-immune microenvironments between primary and metastatic tumors in a patient with ALK rearrangement-positive large cell neuroendocrine carcinoma. Int J Mol Sci. 21:97052020. View Article : Google Scholar : PubMed/NCBI

18 

Kumar A, Kumar B, Muthu GS and Mitra S: 68Ga-DOTANOC PET/CT detects a rare case of metastatic neuroendocrine neoplasm of the gallbladder. Clin Nucl Med. 47:539–540. 2022. View Article : Google Scholar : PubMed/NCBI

19 

Berzaczy D, Giraudo C, Haug AR, Raderer M, Senn D, Karanikas G, Weber M and Mayerhoefer ME: Whole-body 68Ga-DOTANOC PET/MRI versus 68Ga-DOTANOC PET/CT in patients with neuroendocrine tumors: A prospective study in 28 patients. Clin Nucl Med. 42:669–674. 2017. View Article : Google Scholar : PubMed/NCBI

20 

Eltawil KM, Gustafsson BI, Kidd M and Modlin IM: Neuroendocrine tumors of the gallbladder: An evaluation and reassessment of management strategy. J Clin Gastroenterol. 44:687–695. 2010. View Article : Google Scholar : PubMed/NCBI

21 

Yu J, Nikiforova MN, Hodak SP, Yim JH, Cai G, Walls A, Nikiforov YE and Seethala RR: Tumor-to-tumor metastases to follicular variant of papillary thyroid carcinoma: Histologic, immunohistochemical, and molecular studies of two unusual cases. Endocr Pathol. 20:235–242. 2009. View Article : Google Scholar : PubMed/NCBI

22 

Machairas N, Paspala A, Frountzas M, Tsilimigras DI, Moris D, Ntomi V, Tsapralis D and Schizas D: Mixed adenoneuroendocrine carcinoma (MANEC) of the gallbladder: A systematic review of outcomes following surgical management. In Vivo. 33:1721–1726. 2019. View Article : Google Scholar : PubMed/NCBI

23 

Kalekou H and Miliaras D: Cytokeratin 7 and 20 expression in gallbladder carcinoma. Pol J Pathol. 62:25–30. 2011.PubMed/NCBI

24 

La Rosa S, Marando A, Furlan D, Sahnane N and Capella C: Colorectal poorly differentiated neuroendocrine carcinomas and mixed adenoneuroendocrine carcinomas: Insights into the diagnostic immunophenotype, assessment of methylation profile, and search for prognostic markers. Am J Surg Pathol. 36:601–611. 2012. View Article : Google Scholar : PubMed/NCBI

25 

Krug LM, Crapanzano JP, Azzoli CG, Miller VA, Rizvi N, Gomez J, Kris MG, Pizzo B, Tyson L, Dunne M and Heelan RT: Imatinib mesylate lacks activity in small cell lung carcinoma expressing c-kit protein: A phase II clinical trial. Cancer. 103:2128–2131. 2005. View Article : Google Scholar : PubMed/NCBI

26 

Ayabe RI, Wach M, Ruff S, Martin S, Diggs L, Wiemken T, Hinyard L, Davis JL, Luu C and Hernandez JM: Primary gallbladder neuroendocrine tumors: Insights into a rare histology using a large national database. Ann Surg Oncol. 26:3577–3585. 2019. View Article : Google Scholar : PubMed/NCBI

27 

Liu W, Chen W, Chen J, Hong T, Li B, Qu Q and He X: Neuroendocrine carcinoma of gallbladder: A case series and literature review. Eur J Med Res. 24:82019. View Article : Google Scholar : PubMed/NCBI

28 

Iype S, Mirza TA, Propper DJ, Bhattacharya S, Feakins RM and Kocher HM: Neuroendocrine tumours of the gallbladder: Three cases and a review of the literature. Postgrad Med J. 85:213–218. 2009. View Article : Google Scholar : PubMed/NCBI

29 

Niu C, Wang S, Guan Q, Ren X, Ji B and Liu Y: Neuroendocrine tumors of the gallbladder. Oncol Lett. 19:3381–3388. 2020.PubMed/NCBI

30 

Chiorean L, Bartos A, Pelau D, Iancu D, Ciuleanu T, Buiga R, Oancea I, Mangrau A, Iancu C and Badea R: Neuroendocrine tumor of gallbladder with liver and retroperitoneal metastases and a good response to the chemotherapeutical treatment. J Med Ultrason (2001). 42:271–276. 2015. View Article : Google Scholar : PubMed/NCBI

31 

Elahi F, Ahmadzadeh A, Yadollahzadeh M, Hassanpour K and Babaei M: Neuroendocrine tumor of the gallbladder. Arch Iran Med. 16:123–125. 2013.PubMed/NCBI

32 

Okuyama Y, Fukui A, Enoki Y, Morishita H, Yoshida N and Fujimoto S: A large cell neuroendocrine carcinoma of the gall bladder: Diagnosis with 18FDG-PET/CT-guided biliary cytology and treatment with combined chemotherapy achieved a long-term stable condition. Jpn J Clin Oncol. 43:571–574. 2013. View Article : Google Scholar : PubMed/NCBI

33 

Raymond E, Dahan L, Raoul JL, Bang YJ, Borbath I, Lombard-Bohas C, Valle J, Metrakos P, Smith D, Vinik A, et al: Sunitinib malate for the treatment of pancreatic neuroendocrine tumors. N Engl J Med. 364:501–513. 2011. View Article : Google Scholar : PubMed/NCBI

34 

Yao JC, Shah MH, Ito T, Bohas CL, Wolin EM, Van Cutsem E, Hobday TJ, Okusaka T, Capdevila J, de Vries EG, et al: Everolimus for advanced pancreatic neuroendocrine tumors. N Engl J Med. 364:514–523. 2011. View Article : Google Scholar : PubMed/NCBI

35 

Yan S, Wang Y, Chen X, Zhang Y, Huang Z, Zhao J, Zhou J, Li Z, Bi X, Luo Z, et al: Clinical analysis of 15 cases of gallbladder neuroendocrine carcinoma and comparison with gallbladder adenocarcinoma using a propensity score matching. Cancer Manag Res. 12:1437–1446. 2020. View Article : Google Scholar : PubMed/NCBI

36 

Liu W, Chen W, He X, Qu Q, Hong T and Li B: Cholecystectomy with gallbladder bed cautery might be sufficient for T1bN0M0 neuroendocrine carcinoma of gallbladders: Cases report and literature review. Medicine (Baltimore). 96:e87782017. View Article : Google Scholar : PubMed/NCBI

37 

Kanetkar AV, Patkar S, Khobragade KH, Ostwal V, Ramaswamy A and Goel M: Neuroendocrine carcinoma of gallbladder: A step beyond palliative therapy, experience of 25 cases. J Gastrointest Cancer. 50:298–303. 2019. View Article : Google Scholar : PubMed/NCBI

38 

Chen C, Wang L, Liu X, Zhang G, Zhao Y and Geng Z: Gallbladder neuroendocrine carcinoma: Report of 10 cases and comparision of clinicopathologic features with gallbladder adenocarcinoma. Int J Clin Exp Pathol. 8:8218–8226. 2015.PubMed/NCBI

39 

de Mestier L, Cros J, Neuzillet C, Hentic O, Egal A, Muller N, Bouché O, Cadiot G, Ruszniewski P, Couvelard A and Hammel P: Digestive system mixed neuroendocrine-non-neuroendocrine neoplasms. Neuroendocrinology. 105:412–425. 2017. View Article : Google Scholar : PubMed/NCBI

Related Articles

  • Abstract
  • View
  • Download
  • Twitter
Copy and paste a formatted citation
Spandidos Publications style
Liao Y, Cao W, Li Z, Xu X, Zhang Y, Liu Z, Miao J, Zhou Y, Zhen Z, Liu D, Liu D, et al: Gallbladder neuroendocrine carcinoma: A report of two cases and literature review. Oncol Lett 25: 229, 2023.
APA
Liao, Y., Cao, W., Li, Z., Xu, X., Zhang, Y., Liu, Z. ... Tian, Y. (2023). Gallbladder neuroendocrine carcinoma: A report of two cases and literature review. Oncology Letters, 25, 229. https://doi.org/10.3892/ol.2023.13815
MLA
Liao, Y., Cao, W., Li, Z., Xu, X., Zhang, Y., Liu, Z., Miao, J., Zhou, Y., Zhen, Z., Liu, D., Li, H., Chai, L., Wei, Y., Zhang, X., Zhang, L., Wang, J., Tian, Y."Gallbladder neuroendocrine carcinoma: A report of two cases and literature review". Oncology Letters 25.6 (2023): 229.
Chicago
Liao, Y., Cao, W., Li, Z., Xu, X., Zhang, Y., Liu, Z., Miao, J., Zhou, Y., Zhen, Z., Liu, D., Li, H., Chai, L., Wei, Y., Zhang, X., Zhang, L., Wang, J., Tian, Y."Gallbladder neuroendocrine carcinoma: A report of two cases and literature review". Oncology Letters 25, no. 6 (2023): 229. https://doi.org/10.3892/ol.2023.13815
Copy and paste a formatted citation
x
Spandidos Publications style
Liao Y, Cao W, Li Z, Xu X, Zhang Y, Liu Z, Miao J, Zhou Y, Zhen Z, Liu D, Liu D, et al: Gallbladder neuroendocrine carcinoma: A report of two cases and literature review. Oncol Lett 25: 229, 2023.
APA
Liao, Y., Cao, W., Li, Z., Xu, X., Zhang, Y., Liu, Z. ... Tian, Y. (2023). Gallbladder neuroendocrine carcinoma: A report of two cases and literature review. Oncology Letters, 25, 229. https://doi.org/10.3892/ol.2023.13815
MLA
Liao, Y., Cao, W., Li, Z., Xu, X., Zhang, Y., Liu, Z., Miao, J., Zhou, Y., Zhen, Z., Liu, D., Li, H., Chai, L., Wei, Y., Zhang, X., Zhang, L., Wang, J., Tian, Y."Gallbladder neuroendocrine carcinoma: A report of two cases and literature review". Oncology Letters 25.6 (2023): 229.
Chicago
Liao, Y., Cao, W., Li, Z., Xu, X., Zhang, Y., Liu, Z., Miao, J., Zhou, Y., Zhen, Z., Liu, D., Li, H., Chai, L., Wei, Y., Zhang, X., Zhang, L., Wang, J., Tian, Y."Gallbladder neuroendocrine carcinoma: A report of two cases and literature review". Oncology Letters 25, no. 6 (2023): 229. https://doi.org/10.3892/ol.2023.13815
Follow us
  • Twitter
  • LinkedIn
  • Facebook
About
  • Spandidos Publications
  • Careers
  • Cookie Policy
  • Privacy Policy
How can we help?
  • Help
  • Live Chat
  • Contact
  • Email to our Support Team