Spandidos Publications Logo
  • About
    • About Spandidos
    • Aims and Scopes
    • Abstracting and Indexing
    • Editorial Policies
    • Reprints and Permissions
    • Job Opportunities
    • Terms and Conditions
    • Contact
  • Journals
    • All Journals
    • Oncology Letters
      • Oncology Letters
      • Information for Authors
      • Editorial Policies
      • Editorial Board
      • Aims and Scope
      • Abstracting and Indexing
      • Bibliographic Information
      • Archive
    • International Journal of Oncology
      • International Journal of Oncology
      • Information for Authors
      • Editorial Policies
      • Editorial Board
      • Aims and Scope
      • Abstracting and Indexing
      • Bibliographic Information
      • Archive
    • Molecular and Clinical Oncology
      • Molecular and Clinical Oncology
      • Information for Authors
      • Editorial Policies
      • Editorial Board
      • Aims and Scope
      • Abstracting and Indexing
      • Bibliographic Information
      • Archive
    • Experimental and Therapeutic Medicine
      • Experimental and Therapeutic Medicine
      • Information for Authors
      • Editorial Policies
      • Editorial Board
      • Aims and Scope
      • Abstracting and Indexing
      • Bibliographic Information
      • Archive
    • International Journal of Molecular Medicine
      • International Journal of Molecular Medicine
      • Information for Authors
      • Editorial Policies
      • Editorial Board
      • Aims and Scope
      • Abstracting and Indexing
      • Bibliographic Information
      • Archive
    • Biomedical Reports
      • Biomedical Reports
      • Information for Authors
      • Editorial Policies
      • Editorial Board
      • Aims and Scope
      • Abstracting and Indexing
      • Bibliographic Information
      • Archive
    • Oncology Reports
      • Oncology Reports
      • Information for Authors
      • Editorial Policies
      • Editorial Board
      • Aims and Scope
      • Abstracting and Indexing
      • Bibliographic Information
      • Archive
    • Molecular Medicine Reports
      • Molecular Medicine Reports
      • Information for Authors
      • Editorial Policies
      • Editorial Board
      • Aims and Scope
      • Abstracting and Indexing
      • Bibliographic Information
      • Archive
    • World Academy of Sciences Journal
      • World Academy of Sciences Journal
      • Information for Authors
      • Editorial Policies
      • Editorial Board
      • Aims and Scope
      • Abstracting and Indexing
      • Bibliographic Information
      • Archive
    • International Journal of Functional Nutrition
      • International Journal of Functional Nutrition
      • Information for Authors
      • Editorial Policies
      • Editorial Board
      • Aims and Scope
      • Abstracting and Indexing
      • Bibliographic Information
      • Archive
    • International Journal of Epigenetics
      • International Journal of Epigenetics
      • Information for Authors
      • Editorial Policies
      • Editorial Board
      • Aims and Scope
      • Abstracting and Indexing
      • Bibliographic Information
      • Archive
    • Medicine International
      • Medicine International
      • Information for Authors
      • Editorial Policies
      • Editorial Board
      • Aims and Scope
      • Abstracting and Indexing
      • Bibliographic Information
      • Archive
  • Articles
  • Information
    • Information for Authors
    • Information for Reviewers
    • Information for Librarians
    • Information for Advertisers
    • Conferences
  • Language Editing
Spandidos Publications Logo
  • About
    • About Spandidos
    • Aims and Scopes
    • Abstracting and Indexing
    • Editorial Policies
    • Reprints and Permissions
    • Job Opportunities
    • Terms and Conditions
    • Contact
  • Journals
    • All Journals
    • Biomedical Reports
      • Information for Authors
      • Editorial Policies
      • Editorial Board
      • Aims and Scope
      • Abstracting and Indexing
      • Bibliographic Information
      • Archive
    • Experimental and Therapeutic Medicine
      • Information for Authors
      • Editorial Policies
      • Editorial Board
      • Aims and Scope
      • Abstracting and Indexing
      • Bibliographic Information
      • Archive
    • International Journal of Epigenetics
      • Information for Authors
      • Editorial Policies
      • Editorial Board
      • Aims and Scope
      • Abstracting and Indexing
      • Bibliographic Information
      • Archive
    • International Journal of Functional Nutrition
      • Information for Authors
      • Editorial Policies
      • Editorial Board
      • Aims and Scope
      • Abstracting and Indexing
      • Bibliographic Information
      • Archive
    • International Journal of Molecular Medicine
      • Information for Authors
      • Editorial Policies
      • Editorial Board
      • Aims and Scope
      • Abstracting and Indexing
      • Bibliographic Information
      • Archive
    • International Journal of Oncology
      • Information for Authors
      • Editorial Policies
      • Editorial Board
      • Aims and Scope
      • Abstracting and Indexing
      • Bibliographic Information
      • Archive
    • Medicine International
      • Information for Authors
      • Editorial Policies
      • Editorial Board
      • Aims and Scope
      • Abstracting and Indexing
      • Bibliographic Information
      • Archive
    • Molecular and Clinical Oncology
      • Information for Authors
      • Editorial Policies
      • Editorial Board
      • Aims and Scope
      • Abstracting and Indexing
      • Bibliographic Information
      • Archive
    • Molecular Medicine Reports
      • Information for Authors
      • Editorial Policies
      • Editorial Board
      • Aims and Scope
      • Abstracting and Indexing
      • Bibliographic Information
      • Archive
    • Oncology Letters
      • Information for Authors
      • Editorial Policies
      • Editorial Board
      • Aims and Scope
      • Abstracting and Indexing
      • Bibliographic Information
      • Archive
    • Oncology Reports
      • Information for Authors
      • Editorial Policies
      • Editorial Board
      • Aims and Scope
      • Abstracting and Indexing
      • Bibliographic Information
      • Archive
    • World Academy of Sciences Journal
      • Information for Authors
      • Editorial Policies
      • Editorial Board
      • Aims and Scope
      • Abstracting and Indexing
      • Bibliographic Information
      • Archive
  • Articles
  • Information
    • For Authors
    • For Reviewers
    • For Librarians
    • For Advertisers
    • Conferences
  • Language Editing
Login Register Submit
  • This site uses cookies
  • You can change your cookie settings at any time by following the instructions in our Cookie Policy. To find out more, you may read our Privacy Policy.

    I agree
Search articles by DOI, keyword, author or affiliation
Search
Advanced Search
presentation
Oncology Letters
Join Editorial Board Propose a Special Issue
Print ISSN: 1792-1074 Online ISSN: 1792-1082
Journal Cover
June-2023 Volume 25 Issue 6

Full Size Image

Sign up for eToc alerts
Recommend to Library

Journals

International Journal of Molecular Medicine

International Journal of Molecular Medicine

International Journal of Molecular Medicine is an international journal devoted to molecular mechanisms of human disease.

International Journal of Oncology

International Journal of Oncology

International Journal of Oncology is an international journal devoted to oncology research and cancer treatment.

Molecular Medicine Reports

Molecular Medicine Reports

Covers molecular medicine topics such as pharmacology, pathology, genetics, neuroscience, infectious diseases, molecular cardiology, and molecular surgery.

Oncology Reports

Oncology Reports

Oncology Reports is an international journal devoted to fundamental and applied research in Oncology.

Experimental and Therapeutic Medicine

Experimental and Therapeutic Medicine

Experimental and Therapeutic Medicine is an international journal devoted to laboratory and clinical medicine.

Oncology Letters

Oncology Letters

Oncology Letters is an international journal devoted to Experimental and Clinical Oncology.

Biomedical Reports

Biomedical Reports

Explores a wide range of biological and medical fields, including pharmacology, genetics, microbiology, neuroscience, and molecular cardiology.

Molecular and Clinical Oncology

Molecular and Clinical Oncology

International journal addressing all aspects of oncology research, from tumorigenesis and oncogenes to chemotherapy and metastasis.

World Academy of Sciences Journal

World Academy of Sciences Journal

Multidisciplinary open-access journal spanning biochemistry, genetics, neuroscience, environmental health, and synthetic biology.

International Journal of Functional Nutrition

International Journal of Functional Nutrition

Open-access journal combining biochemistry, pharmacology, immunology, and genetics to advance health through functional nutrition.

International Journal of Epigenetics

International Journal of Epigenetics

Publishes open-access research on using epigenetics to advance understanding and treatment of human disease.

Medicine International

Medicine International

An International Open Access Journal Devoted to General Medicine.

Journal Cover
June-2023 Volume 25 Issue 6

Full Size Image

Sign up for eToc alerts
Recommend to Library

  • Article
  • Citations
    • Cite This Article
    • Download Citation
    • Create Citation Alert
    • Remove Citation Alert
    • Cited By
  • Similar Articles
    • Related Articles (in Spandidos Publications)
    • Similar Articles (Google Scholar)
    • Similar Articles (PubMed)
  • Download PDF
  • Download XML
  • View XML

  • Supplementary Files
    • Supplementary_Data.pdf
Case Report Open Access

Lung carcinoma with small intestinal metastases and gastrointestinal bleeding: A rare case report

  • Authors:
    • Tianzi Liu
    • Yan Geng
    • Zichuan Wang
    • Xintong Peng
    • Jing Liu
    • Yan Huang
  • View Affiliations / Copyright

    Affiliations: School of Clinical Medicine, Weifang Medical University, Weifang, Shandong 261053, P.R. China, Department of Oncology, The Affiliated Hospital of Weifang Medical University, Weifang, Shandong 261041, P.R. China
    Copyright: © Liu et al. This is an open access article distributed under the terms of Creative Commons Attribution License.
  • Article Number: 241
    |
    Published online on: April 20, 2023
       https://doi.org/10.3892/ol.2023.13827
  • Expand metrics +
Metrics: Total Views: 0 (Spandidos Publications: | PMC Statistics: )
Metrics: Total PDF Downloads: 0 (Spandidos Publications: | PMC Statistics: )
Cited By (CrossRef): 0 citations Loading Articles...

This article is mentioned in:



Abstract

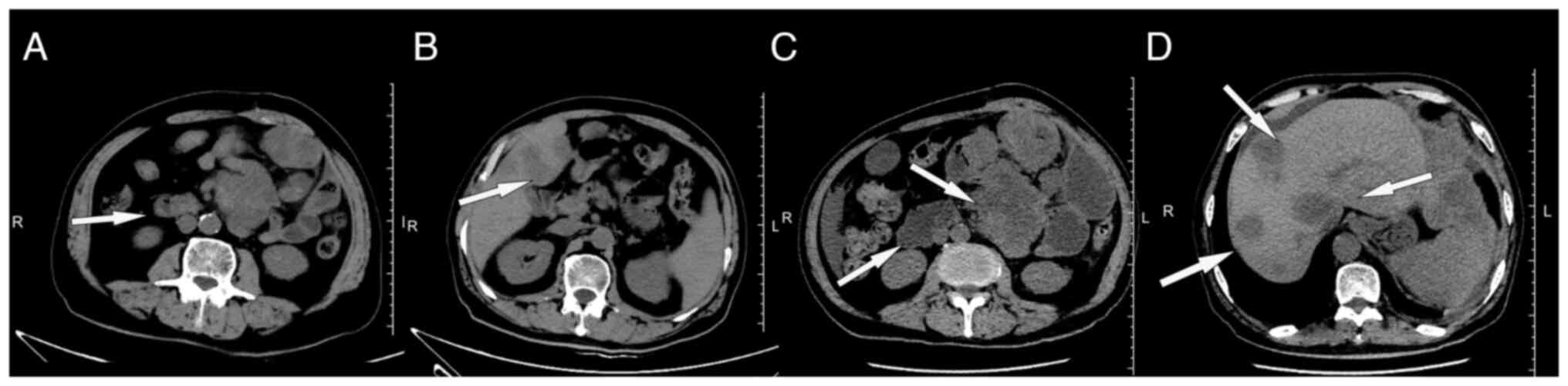
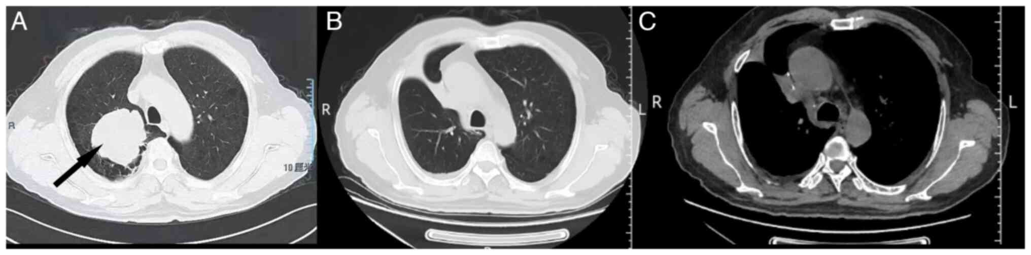
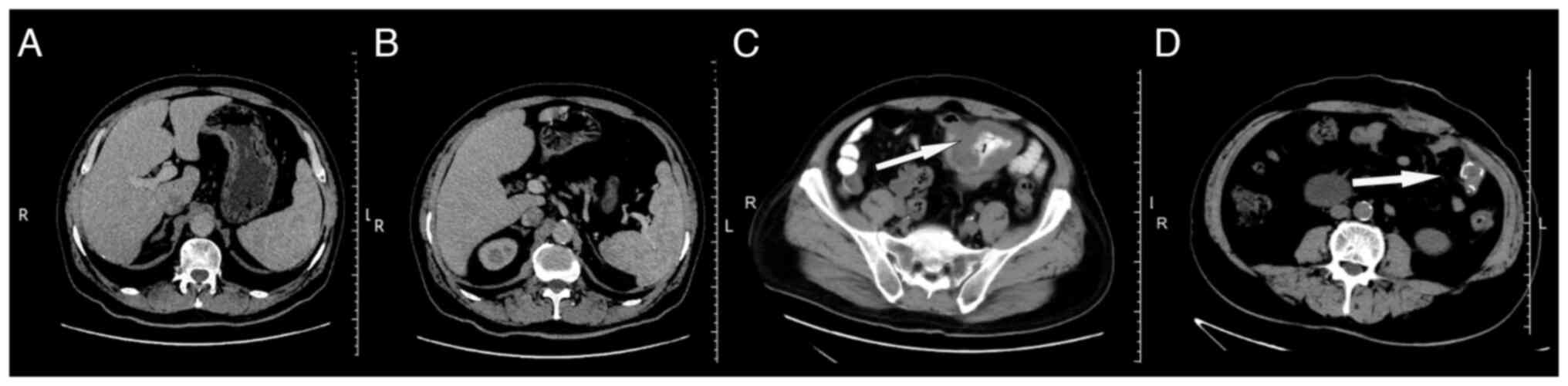
The occurrence of small intestinal metastases from primary lung cancer is rare. This report documents the case of a 57‑year‑old male patient initially diagnosed with non‑metastatic lung adenocarcinoma, who presented with abdominal pain 6 months later. Postoperative pathological analysis confirmed the final diagnosis to be small intestinal metastasis from primary lung cancer. Thoracoscopic surgery and systemic chemotherapy were the preferred treatment options. However, the lung tumor spread to the small intestine, causing intestinal obstruction. As the patient could not tolerate anti‑tumor therapy, only symptomatic treatment was provided. The patient experienced massive gastrointestinal bleeding and died the next day. Although small intestinal metastasis from lung cancer is rare and difficult to diagnose accurately, it should be considered when encountering a patient with lung cancer exhibiting abdominal symptoms and associated imaging findings. At this point, a pathological diagnosis should be performed immediately to determine the nature and source of the tumor. Furthermore, individualized treatment should be conducted in strict accordance with oncology guidelines. Of note, early detection and treatment are critical to ensure favorable outcomes.
View Figures

Figure 1

Figure 2

Figure 3

Figure 4

View References

1 

Balata H, Fong KM, Hendriks LE, Lam S, Ostroff JS, Peled N, Wu N and Aggarwal C: Prevention and early detection for NSCLC: Advances in thoracic oncology 2018. J Thorac Oncol. 14:1513–1527. 2019. View Article : Google Scholar : PubMed/NCBI

2 

Xia C, Dong X, Li H, Cao M, Sun D, He S, Yang F, Yan X, Zhang S, Li N and Chen W: Cancer statistics in China and United States, 2022: profiles, trends, and determinants. Chin Med J (Engl). 135:584–590. 2022. View Article : Google Scholar : PubMed/NCBI

3 

Siegel RL, Miller KD, Fuchs HE and Jemal A: Cancer statistics, 2022. CA Cancer J Clin. 72:7–33. 2022. View Article : Google Scholar : PubMed/NCBI

4 

Niu FY, Zhou Q, Yang JJ, Zhong WZ, Chen ZH, Deng W, He YY, Chen HJ, Zeng Z, Ke EE, et al: Distribution and prognosis of uncommon metastases from non-small cell lung cancer. BMC Cancer. 16:1492016. View Article : Google Scholar : PubMed/NCBI

5 

Hu Y, Feit N, Huang Y, Xu W, Zheng S and Li X: Gastrointestinal metastasis of primary lung cancer: An analysis of 366 cases. Oncol Lett. 15:9766–9776. 2018.PubMed/NCBI

6 

Yoshimoto A, Kasahara K and Kawashima A: Gastrointestinal metastases from primary lung cancer. Eur J Cancer. 42:3157–3160. 2006. View Article : Google Scholar : PubMed/NCBI

7 

Goldstraw P, Chansky K, Crowley J, Rami-Porta R, Asamura H, Eberhardt WE, Nicholson AG, Groome P, Mitchell A, Bolejack V, et al: The IASLC lung cancer staging project: Proposals for revision of the TNM stage groupings in the forthcoming (Eighth) edition of the TNM classification for lung cancer. J Thorac Oncol. 11:39–51. 2016. View Article : Google Scholar : PubMed/NCBI

8 

Neeman E, Gresham G, Ovasapians N, Hendifar A, Tuli R, Figlin R and Shinde A: Comparing physician and nurse eastern cooperative oncology group performance status (ECOG-PS) ratings as predictors of clinical outcomes in patients with cancer. Oncologist. 24:e1460–e1466. 2019. View Article : Google Scholar : PubMed/NCBI

9 

Herbst RS, Morgensztern D and Boshoff C: The biology and management of non-small cell lung cancer. Nature. 553:446–454. 2018. View Article : Google Scholar : PubMed/NCBI

10 

Barta JA, Powell CA and Wisnivesky JP: Global epidemiology of lung cancer. Ann Glob Health. 85:82019. View Article : Google Scholar : PubMed/NCBI

11 

Hoffman PC, Mauer AM and Vokes EE: Lung cancer. Lancet. 355:479–485. 2000. View Article : Google Scholar : PubMed/NCBI

12 

McNeill PM, Wagman LD and Neifeld JP: Small bowel metastases from primary carcinoma of the lung. Cancer. 59:1486–1489. 1987. View Article : Google Scholar : PubMed/NCBI

13 

Hung TI, Chu KE, Chou YH and Yang KC: Gastric metastasis of lung cancer mimicking an adrenal tumor. Case Rep Gastroenterol. 8:77–81. 2014. View Article : Google Scholar : PubMed/NCBI

14 

Jevremovic V: Is gastrointestinal metastasis of primary lung malignancy as rare as reported in the literature? A comparison between clinical cases and post-mortem studies. Stud Oncol Hematol Rev. 12:51–57. 2016.

15 

Yamada H, Akahane T, Horiuchi A, Shimada R, Shibuya H, Hayama T, Nozawa K, Ishihara S, Matsuda K and Watanabe T: A case of lung squamous cell carcinoma with metastases to the duodenum and small intestine. Int Surg. 96:176–181. 2011. View Article : Google Scholar : PubMed/NCBI

16 

Janež J: Acute intestinal obstruction due to metastatic lung cancer-case report. J Surg Case Rep. 2017:rjx0312017. View Article : Google Scholar : PubMed/NCBI

17 

Di JZ, Peng JY and Wang ZG: Prevalence, clinicopathological characteristics, treatment, and rognosis of intestinal metastasis of primary lung cancer: A comprehensive review. Surg Oncol. 23:72–80. 2014. View Article : Google Scholar : PubMed/NCBI

18 

Yang CJ, Hwang JJ, Kang WY, Chong IW, Wang TH, Sheu CC, Tsai JR and Huang MS: Gastro-intestinal metastasis of primary lung carcinoma: Clinical presentations and outcome. Lung Cancer. 54:319–323. 2006. View Article : Google Scholar : PubMed/NCBI

19 

Xue C, Hu Z, Jiang W, Zhao Y, Xu F, Huang Y, Zhao H, Wu J, Zhang Y, Zhao L, et al: National survey of the medical treatment status for non-small cell lung cancer (NSCLC) in China. Lung Cancer. 77:371–375. 2012. View Article : Google Scholar : PubMed/NCBI

20 

Kim SY, Ha HK, Park SW, Kang J, Kim KW, Lee SS, Park SH and Kim AY: Gastrointestinal metastasis from primary lung cancer: CT findings and clinicopathologic features. AJR Am J Roentgenol. 193:W197–W201. 2009. View Article : Google Scholar : PubMed/NCBI

21 

Lardinois D, Weder W, Roudas M, von Schulthess GK, Tutic M, Moch H, Stahel RA and Steinert HC: Etiology of solitary extrapulmonary positron emission tomography and computed tomography findings in patients with lung cancer. J Clin Oncol. 23:6846–6853. 2005. View Article : Google Scholar : PubMed/NCBI

22 

Stinchcombe TE, Socinski MA, Gangarosa LM and Khandani AH: Lung cancer presenting with a solitary colon metastasis detected on positron emission tomography scan. J Clin Oncol. 24:4939–4940. 2006. View Article : Google Scholar : PubMed/NCBI

23 

Rossi G, Marchioni A, Romagnani E, Bertolini F, Longo L, Cavazza A and Barbieri F: Primary lung cancer presenting with gastrointestinal tract involvement: Clinicopathologic and immunohistochemical features in a series of 18 consecutive cases. J Thorac Oncol. 2:115–120. 2007. View Article : Google Scholar : PubMed/NCBI

24 

Sakai H, Egi H, Hinoi T, Tokunaga M, Kawaguchi Y, Shinomura M, Adachi T, Arihiro K and Ohda H: Primary lung cancer presenting with metastasis to the colon: A case report. World J Surg Oncol. 10:1–5. 2012. View Article : Google Scholar

25 

Goh BK, Yeo AW, Koong HN, Ooi LL and Wong WK: Laparotomy for acute complications of gastrointestinal metastases from lung cancer: Is it a worthwhile or futile effort? Surg Today. 37:370–374. 2007. View Article : Google Scholar : PubMed/NCBI

26 

Liu W, Zhou W, Qi WL, Ma YD and Xu YY: Gastrointestinal hemorrhage due to ileal metastasis from primary lung cancer. World J Gastroenterol. 21:3435–3440. 2015. View Article : Google Scholar : PubMed/NCBI

27 

Nitipir C, Ginghina O, Popa L, Andrei F, Tudor N, Radu I, Iaciu C, Orlov C, Vasilescu F, Balalau C, et al: A rare case of advanced lung cancer presenting as a symptomatic gastric tumor. Mol Clin Oncol. 8:595–599. 2018.PubMed/NCBI

28 

AlSaeed EF, Tunio MA, AlSayari K, AlDandan S and Riaz K: Duodenal metastasis from lung adenocarcinoma: A rare cause of melena. Int J Surg Case Rep. 13:91–94. 2015. View Article : Google Scholar : PubMed/NCBI

29 

Letaief-Ksontini F, Boujnah R, Yahiaoui Y, Zaimi Y, Ksentini M, Aloui R, Meddeb K and Mezlini A: An acute jejunojejunal intussusception revealing a metastatic combined lung cancer. Case Rep Surg. 2021:99996052021.PubMed/NCBI

30 

Rittmeyer A, Barlesi F, Waterkamp D, Park K, Ciardiello F, von Pawel J, Gadgeel SM, Hida T, Kowalski DM, Dols MC, et al: Atezolizumab versus docetaxel in patients with previously treated non-small-cell lung cancer (OAK): A phase 3, open-label, multicentre randomised controlled trial. Lancet. 389:255–265. 2017. View Article : Google Scholar : PubMed/NCBI

31 

Vokes EE, Ready N, Felip E, Horn L, Burgio MA, Antonia SJ, Aren Frontera O, Gettinger S, Holgado E, Spigel D, et al: Nivolumab versus docetaxel in previously treated advanced non-small-cell lung cancer (CheckMate 017 and CheckMate 057): 3-year update and outcomes in patients with liver metastases. Ann Oncol. 29:959–965. 2018. View Article : Google Scholar : PubMed/NCBI

32 

Socinski MA, Jotte RM, Cappuzzo F, Orlandi F, Stroyakovskiy D, Nogami N, Rodriguez-Abreu D, Moro-Sibilot D, Thomas CA, Barlesi F, et al: Atezolizumab for First-Line Treatment of Metastatic Nonsquamous NSCLC. N Engl J Med. 378:2288–2301. 2018. View Article : Google Scholar : PubMed/NCBI

33 

Mo H, Huang J, Xu J, Chen X, Wu D, Qu D, Wang X, Lan B, Wang X, Xu J, et al: Safety, anti-tumour activity, and pharmacokinetics of fixed-dose SHR-1210, an anti-PD-1 antibody in advanced solid tumours: A dose-escalation, phase 1 study. Br J Cancer. 119:538–545. 2018. View Article : Google Scholar : PubMed/NCBI

34 

Zhou C, Chen G, Huang Y, Zhou J, Lin L, Feng J, Wang Z, Shu Y, Shi J, Hu Y, et al: Camrelizumab plus carboplatin and pemetrexed versus chemotherapy alone in chemotherapy-naive patients with advanced non-squamous non-small-cell lung cancer (CameL): A randomised, open-label, multicentre, phase 3 trial. Lancet Respir Med. 9:305–314. 2021. View Article : Google Scholar : PubMed/NCBI

35 

Hou X, Zhou C, Wu G, Lin W, Xie Z, Zhang H, Yi J, Peng Z, Yin L, Ma C and Chen L: Efficacy, safety, and health-related quality of life with camrelizumab plus pemetrexed and carboplatin as first-line treatment for advanced nonsquamous NSCLC with brain metastases (CAP-BRAIN): A multicenter, open-label, single-arm, phase 2 study. J Thorac Oncol. 2:S1556–S0864(23)00092-8. 2023.

36 

Ettinger DS, Wood DE, Aisner DL, Akerley W, Bauman JR, Bharat A, Bruno DS, Chang JY, Chirieac LR, D'Amico TA, et al: Non-small cell lung cancer, version 3.2022, NCCN clinical practice guidelines in oncology. J Natl Compr Canc Netw. 20:497–530. 2022. View Article : Google Scholar : PubMed/NCBI

37 

Zhou C, Chen G, Huang Y, Zhou J, Lin L, Feng J, Wang Z, Shu Y, Shi J, Hu Y, et al: Camrelizumab plus carboplatin and pemetrexed as first-line treatment for advanced nonsquamous NSCLC: Extended follow-up of camel phase 3 trial. J Thorac Oncol. 13:S1556S0864(22)01993-1. 2023.

Related Articles

  • Abstract
  • View
  • Download
  • Twitter
Copy and paste a formatted citation
Spandidos Publications style
Liu T, Geng Y, Wang Z, Peng X, Liu J and Huang Y: Lung carcinoma with small intestinal metastases and gastrointestinal bleeding: A rare case report. Oncol Lett 25: 241, 2023.
APA
Liu, T., Geng, Y., Wang, Z., Peng, X., Liu, J., & Huang, Y. (2023). Lung carcinoma with small intestinal metastases and gastrointestinal bleeding: A rare case report. Oncology Letters, 25, 241. https://doi.org/10.3892/ol.2023.13827
MLA
Liu, T., Geng, Y., Wang, Z., Peng, X., Liu, J., Huang, Y."Lung carcinoma with small intestinal metastases and gastrointestinal bleeding: A rare case report". Oncology Letters 25.6 (2023): 241.
Chicago
Liu, T., Geng, Y., Wang, Z., Peng, X., Liu, J., Huang, Y."Lung carcinoma with small intestinal metastases and gastrointestinal bleeding: A rare case report". Oncology Letters 25, no. 6 (2023): 241. https://doi.org/10.3892/ol.2023.13827
Copy and paste a formatted citation
x
Spandidos Publications style
Liu T, Geng Y, Wang Z, Peng X, Liu J and Huang Y: Lung carcinoma with small intestinal metastases and gastrointestinal bleeding: A rare case report. Oncol Lett 25: 241, 2023.
APA
Liu, T., Geng, Y., Wang, Z., Peng, X., Liu, J., & Huang, Y. (2023). Lung carcinoma with small intestinal metastases and gastrointestinal bleeding: A rare case report. Oncology Letters, 25, 241. https://doi.org/10.3892/ol.2023.13827
MLA
Liu, T., Geng, Y., Wang, Z., Peng, X., Liu, J., Huang, Y."Lung carcinoma with small intestinal metastases and gastrointestinal bleeding: A rare case report". Oncology Letters 25.6 (2023): 241.
Chicago
Liu, T., Geng, Y., Wang, Z., Peng, X., Liu, J., Huang, Y."Lung carcinoma with small intestinal metastases and gastrointestinal bleeding: A rare case report". Oncology Letters 25, no. 6 (2023): 241. https://doi.org/10.3892/ol.2023.13827
Follow us
  • Twitter
  • LinkedIn
  • Facebook
About
  • Spandidos Publications
  • Careers
  • Cookie Policy
  • Privacy Policy
How can we help?
  • Help
  • Live Chat
  • Contact
  • Email to our Support Team