Spandidos Publications Logo
  • About
    • About Spandidos
    • Aims and Scopes
    • Abstracting and Indexing
    • Editorial Policies
    • Reprints and Permissions
    • Job Opportunities
    • Terms and Conditions
    • Contact
  • Journals
    • All Journals
    • Oncology Letters
      • Oncology Letters
      • Information for Authors
      • Editorial Policies
      • Editorial Board
      • Aims and Scope
      • Abstracting and Indexing
      • Bibliographic Information
      • Archive
    • International Journal of Oncology
      • International Journal of Oncology
      • Information for Authors
      • Editorial Policies
      • Editorial Board
      • Aims and Scope
      • Abstracting and Indexing
      • Bibliographic Information
      • Archive
    • Molecular and Clinical Oncology
      • Molecular and Clinical Oncology
      • Information for Authors
      • Editorial Policies
      • Editorial Board
      • Aims and Scope
      • Abstracting and Indexing
      • Bibliographic Information
      • Archive
    • Experimental and Therapeutic Medicine
      • Experimental and Therapeutic Medicine
      • Information for Authors
      • Editorial Policies
      • Editorial Board
      • Aims and Scope
      • Abstracting and Indexing
      • Bibliographic Information
      • Archive
    • International Journal of Molecular Medicine
      • International Journal of Molecular Medicine
      • Information for Authors
      • Editorial Policies
      • Editorial Board
      • Aims and Scope
      • Abstracting and Indexing
      • Bibliographic Information
      • Archive
    • Biomedical Reports
      • Biomedical Reports
      • Information for Authors
      • Editorial Policies
      • Editorial Board
      • Aims and Scope
      • Abstracting and Indexing
      • Bibliographic Information
      • Archive
    • Oncology Reports
      • Oncology Reports
      • Information for Authors
      • Editorial Policies
      • Editorial Board
      • Aims and Scope
      • Abstracting and Indexing
      • Bibliographic Information
      • Archive
    • Molecular Medicine Reports
      • Molecular Medicine Reports
      • Information for Authors
      • Editorial Policies
      • Editorial Board
      • Aims and Scope
      • Abstracting and Indexing
      • Bibliographic Information
      • Archive
    • World Academy of Sciences Journal
      • World Academy of Sciences Journal
      • Information for Authors
      • Editorial Policies
      • Editorial Board
      • Aims and Scope
      • Abstracting and Indexing
      • Bibliographic Information
      • Archive
    • International Journal of Functional Nutrition
      • International Journal of Functional Nutrition
      • Information for Authors
      • Editorial Policies
      • Editorial Board
      • Aims and Scope
      • Abstracting and Indexing
      • Bibliographic Information
      • Archive
    • International Journal of Epigenetics
      • International Journal of Epigenetics
      • Information for Authors
      • Editorial Policies
      • Editorial Board
      • Aims and Scope
      • Abstracting and Indexing
      • Bibliographic Information
      • Archive
    • Medicine International
      • Medicine International
      • Information for Authors
      • Editorial Policies
      • Editorial Board
      • Aims and Scope
      • Abstracting and Indexing
      • Bibliographic Information
      • Archive
  • Articles
  • Information
    • Information for Authors
    • Information for Reviewers
    • Information for Librarians
    • Information for Advertisers
    • Conferences
  • Language Editing
Spandidos Publications Logo
  • About
    • About Spandidos
    • Aims and Scopes
    • Abstracting and Indexing
    • Editorial Policies
    • Reprints and Permissions
    • Job Opportunities
    • Terms and Conditions
    • Contact
  • Journals
    • All Journals
    • Biomedical Reports
      • Information for Authors
      • Editorial Policies
      • Editorial Board
      • Aims and Scope
      • Abstracting and Indexing
      • Bibliographic Information
      • Archive
    • Experimental and Therapeutic Medicine
      • Information for Authors
      • Editorial Policies
      • Editorial Board
      • Aims and Scope
      • Abstracting and Indexing
      • Bibliographic Information
      • Archive
    • International Journal of Epigenetics
      • Information for Authors
      • Editorial Policies
      • Editorial Board
      • Aims and Scope
      • Abstracting and Indexing
      • Bibliographic Information
      • Archive
    • International Journal of Functional Nutrition
      • Information for Authors
      • Editorial Policies
      • Editorial Board
      • Aims and Scope
      • Abstracting and Indexing
      • Bibliographic Information
      • Archive
    • International Journal of Molecular Medicine
      • Information for Authors
      • Editorial Policies
      • Editorial Board
      • Aims and Scope
      • Abstracting and Indexing
      • Bibliographic Information
      • Archive
    • International Journal of Oncology
      • Information for Authors
      • Editorial Policies
      • Editorial Board
      • Aims and Scope
      • Abstracting and Indexing
      • Bibliographic Information
      • Archive
    • Medicine International
      • Information for Authors
      • Editorial Policies
      • Editorial Board
      • Aims and Scope
      • Abstracting and Indexing
      • Bibliographic Information
      • Archive
    • Molecular and Clinical Oncology
      • Information for Authors
      • Editorial Policies
      • Editorial Board
      • Aims and Scope
      • Abstracting and Indexing
      • Bibliographic Information
      • Archive
    • Molecular Medicine Reports
      • Information for Authors
      • Editorial Policies
      • Editorial Board
      • Aims and Scope
      • Abstracting and Indexing
      • Bibliographic Information
      • Archive
    • Oncology Letters
      • Information for Authors
      • Editorial Policies
      • Editorial Board
      • Aims and Scope
      • Abstracting and Indexing
      • Bibliographic Information
      • Archive
    • Oncology Reports
      • Information for Authors
      • Editorial Policies
      • Editorial Board
      • Aims and Scope
      • Abstracting and Indexing
      • Bibliographic Information
      • Archive
    • World Academy of Sciences Journal
      • Information for Authors
      • Editorial Policies
      • Editorial Board
      • Aims and Scope
      • Abstracting and Indexing
      • Bibliographic Information
      • Archive
  • Articles
  • Information
    • For Authors
    • For Reviewers
    • For Librarians
    • For Advertisers
    • Conferences
  • Language Editing
Login Register Submit
  • This site uses cookies
  • You can change your cookie settings at any time by following the instructions in our Cookie Policy. To find out more, you may read our Privacy Policy.

    I agree
Search articles by DOI, keyword, author or affiliation
Search
Advanced Search
presentation
Oncology Letters
Join Editorial Board Propose a Special Issue
Print ISSN: 1792-1074 Online ISSN: 1792-1082
Journal Cover
October-2023 Volume 26 Issue 4

Full Size Image

Sign up for eToc alerts
Recommend to Library

Journals

International Journal of Molecular Medicine

International Journal of Molecular Medicine

International Journal of Molecular Medicine is an international journal devoted to molecular mechanisms of human disease.

International Journal of Oncology

International Journal of Oncology

International Journal of Oncology is an international journal devoted to oncology research and cancer treatment.

Molecular Medicine Reports

Molecular Medicine Reports

Covers molecular medicine topics such as pharmacology, pathology, genetics, neuroscience, infectious diseases, molecular cardiology, and molecular surgery.

Oncology Reports

Oncology Reports

Oncology Reports is an international journal devoted to fundamental and applied research in Oncology.

Experimental and Therapeutic Medicine

Experimental and Therapeutic Medicine

Experimental and Therapeutic Medicine is an international journal devoted to laboratory and clinical medicine.

Oncology Letters

Oncology Letters

Oncology Letters is an international journal devoted to Experimental and Clinical Oncology.

Biomedical Reports

Biomedical Reports

Explores a wide range of biological and medical fields, including pharmacology, genetics, microbiology, neuroscience, and molecular cardiology.

Molecular and Clinical Oncology

Molecular and Clinical Oncology

International journal addressing all aspects of oncology research, from tumorigenesis and oncogenes to chemotherapy and metastasis.

World Academy of Sciences Journal

World Academy of Sciences Journal

Multidisciplinary open-access journal spanning biochemistry, genetics, neuroscience, environmental health, and synthetic biology.

International Journal of Functional Nutrition

International Journal of Functional Nutrition

Open-access journal combining biochemistry, pharmacology, immunology, and genetics to advance health through functional nutrition.

International Journal of Epigenetics

International Journal of Epigenetics

Publishes open-access research on using epigenetics to advance understanding and treatment of human disease.

Medicine International

Medicine International

An International Open Access Journal Devoted to General Medicine.

Journal Cover
October-2023 Volume 26 Issue 4

Full Size Image

Sign up for eToc alerts
Recommend to Library

  • Article
  • Citations
    • Cite This Article
    • Download Citation
    • Create Citation Alert
    • Remove Citation Alert
    • Cited By
  • Similar Articles
    • Related Articles (in Spandidos Publications)
    • Similar Articles (Google Scholar)
    • Similar Articles (PubMed)
  • Download PDF
  • Download XML
  • View XML

  • Supplementary Files
    • Supplementary_Data.pdf
Case Report Open Access

Multiple synchronous primary malignant neoplasms: A case report and literature review

  • Authors:
    • Linlin Hao
    • Lihui Zhang
    • Chuanjie Xu
    • Min Jiang
    • Geyi Zhu
    • Jie Guo
  • View Affiliations / Copyright

    Affiliations: Department of Tumor Radiotherapy, The Second Hospital of Jilin University, Changchun, Jilin 130041, P.R. China, Department of Gynaecology, The Second Hospital of Jilin University, Changchun, Jilin 130041, P.R. China, Department of Pathology, The Second Hospital of Jilin University, Changchun, Jilin 130041, P.R. China
    Copyright: © Hao et al. This is an open access article distributed under the terms of Creative Commons Attribution License.
  • Article Number: 428
    |
    Published online on: August 17, 2023
       https://doi.org/10.3892/ol.2023.14014
  • Expand metrics +
Metrics: Total Views: 0 (Spandidos Publications: | PMC Statistics: )
Metrics: Total PDF Downloads: 0 (Spandidos Publications: | PMC Statistics: )
Cited By (CrossRef): 0 citations Loading Articles...

This article is mentioned in:



Abstract

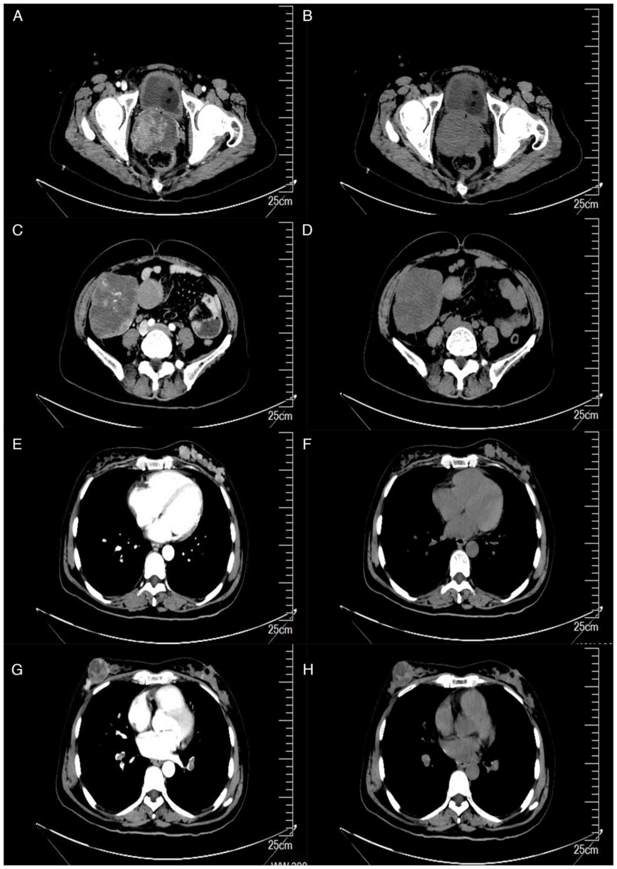
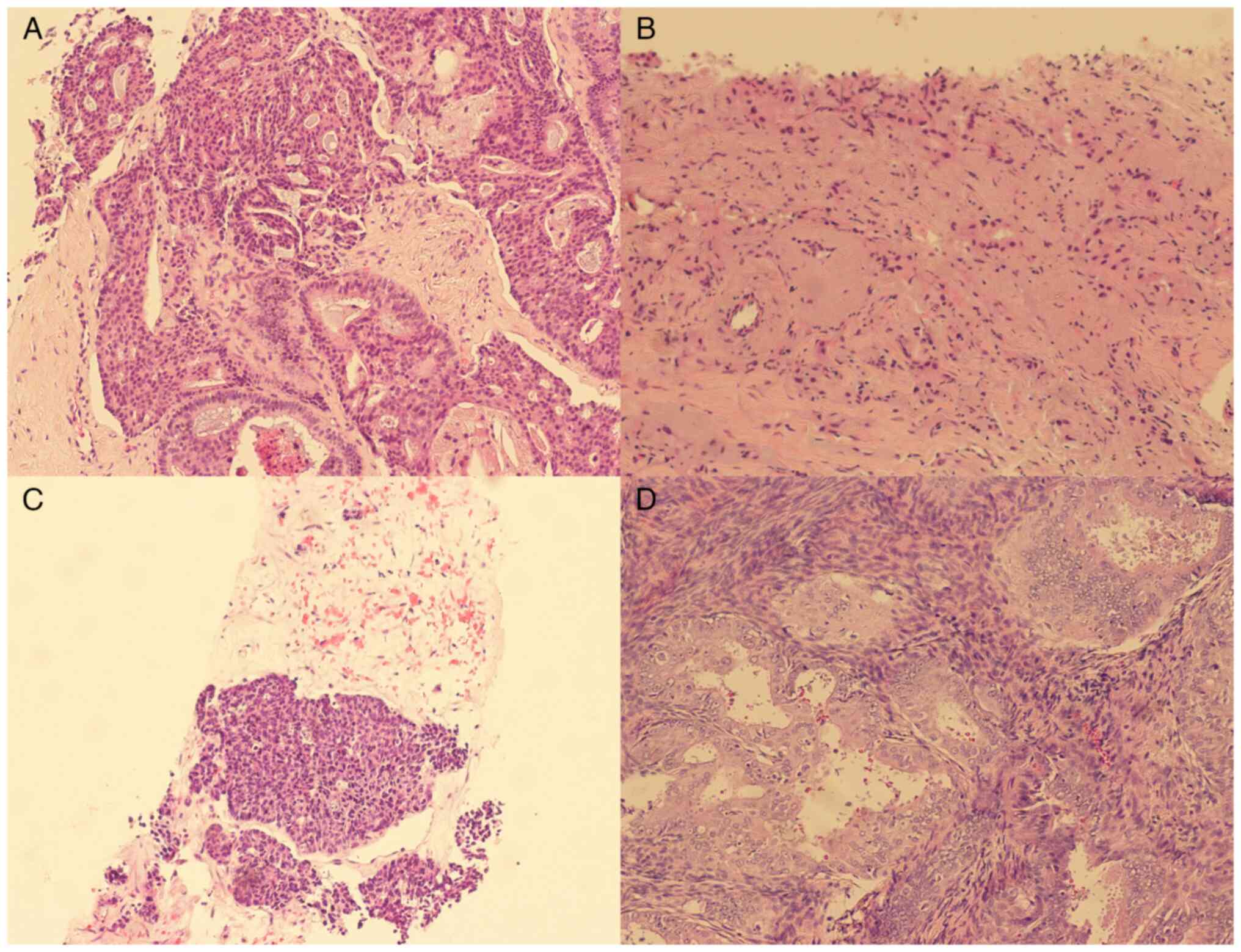
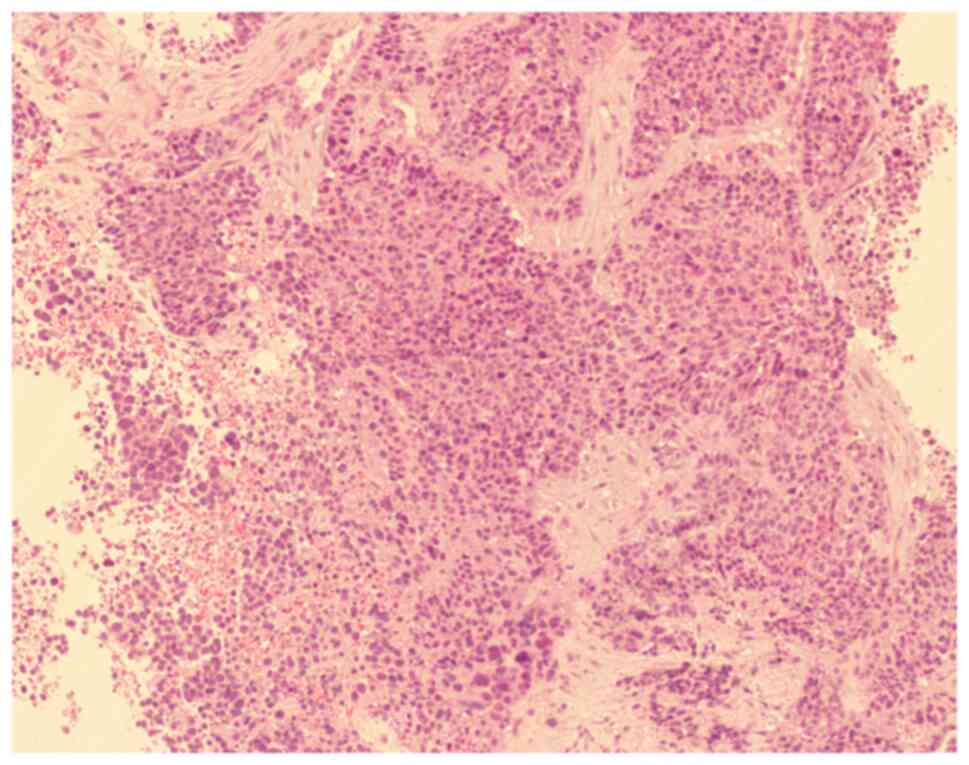
Multiple primary malignant neoplasms (MPMN) are defined as two or more primary malignancies diagnosed in an individual. There is no association between these cancers, which can be classified into synchronous and heterochronous cancers depending on the time of diagnosis. The present study presented a rare case of bilateral breast, endometrial, cervical and ovarian cancers. Through thorough physical examination, pathology and immunohistochemistry, it could be determined that bilateral breast, endometrial and cervical cancers were primary malignant tumors and that ovarian cancer cannot be excluded as a result of metastasis. the present study also summarized the definitions, risk factors, prevalence characteristics, diagnostic ideas and treatment options for MPMN by reviewing the literature.
View Figures

Figure 1

Figure 2

Figure 3

View References

1 

Awad BI, Melibari B, Safadi N, Al-Garni M and Al-Hakami HA: Triple head and neck carcinoma: Case report and literature review. Cureus. 12:e70822020.PubMed/NCBI

2 

Huang XY, Huang ZL, Huang J, Wang ZG and Zheng Q: A case of multiple primary malignancies and investigation of family history. Oncol Lett. 4:931–934. 2012. View Article : Google Scholar : PubMed/NCBI

3 

Tzortzatos G, Wersäll O, Danielsson KG, Lindblom A, Tham E and Mints M: Familial cancer among consecutive uterine cancer patients in Sweden. Hered Cancer Clin Pract. 12:142014. View Article : Google Scholar : PubMed/NCBI

4 

Sun JJ, Yang TB, Yang YH, Liu WF and Song JX: Synchronous double primary malignancies of the liver and kidney: A case report. Oncol Lett. 11:2057–2060. 2016. View Article : Google Scholar : PubMed/NCBI

5 

Pu X, Xu T, Ge C, He Y, Yang X and Chang P: A case of durvalumab-treated double primary cancers of the colon and lung. Ann Palliat Med. 9:3614–3622. 2020. View Article : Google Scholar : PubMed/NCBI

6 

Zhao J, Tan Y, Wu Y, Zhao W, Wu J, Ji M, Shi L, Jiang J and Wu C: A rare case of eight multiple primary malignant neoplasms in a female patient: A case report and review of the literature. Oncol Lett. 9:587–590. 2015. View Article : Google Scholar : PubMed/NCBI

7 

Warren S and Gates O: Multiple primary malignant tumors. A survey of the literature and a statistical study. Am J Cancer. 16:1358–1414. 1932.

8 

Coyte A, Morrison DS and McLoone P: Second primary cancer risk-the impact of applying different definitions of multiple primaries: Results from a retrospective population-based cancer registry study. BMC Cancer. 14:2722014. View Article : Google Scholar : PubMed/NCBI

9 

Arpaci E, Tokluoglu S, Yetigyigit T and Alkis N: Multiple primary malignancies-a retrospective analysis at a single center in Turkey. Asian Pac J Cancer Prev. 14:769–773. 2013. View Article : Google Scholar : PubMed/NCBI

10 

Licciardello J, Spitz MR and Hong WK: Multiple primary cancer in patients with cancer of the head and neck: Second cancer of the head and neck, esophagus, and lung. Int J Radiat Oncol Biol Phys. 17:467–476. 1989. View Article : Google Scholar : PubMed/NCBI

11 

Adjei Boakye E, Buchanan P, Hinyard L, Osazuwa-Peters N, Schootman M and Piccirillo JF: Incidence and risk of second primary malignant neoplasm after a first head and neck squamous cell carcinoma. JAMA Otolaryngol Head Neck Surg. 144:727–737. 2018. View Article : Google Scholar : PubMed/NCBI

12 

Song M, Zhuang SM, Chen SW, Zhang Q, Yang AK, Wang LP and Guo ZM: Survival study and treatment strategy for second primary tumors in the oral cavity in patients with nasopharyngeal carcinoma after definitive radiation. Head Neck. 34:1551–1555. 2012. View Article : Google Scholar : PubMed/NCBI

13 

Sadetzki S, Calderon-Margalit R, Peretz C, Novikov I, Barchana M and Papa MZ: Second primary breast and thyroid cancers (Israel). Cancer Causes Control. 14:367–375. 2003. View Article : Google Scholar : PubMed/NCBI

14 

Weibo Y; Zihao Y, Guozhen X and Yimin H: Radiation Oncology. 4th Edition. Beijing: Chinese Union Medical University Press, Beijing, China; pp. 13742008, (In Chinese).

15 

Mukaiyama Y, Suzuki M, Morikawa T, Mori Y, Takeshima Y, Fujimura T, Fukuhara H, Nakagawa T, Nishimatsu H, Kume H and Homma Y: Multiple primary malignant neoplasms of the glottis, renal pelvis, urinary bladder, oral floor, prostate, and esophagus in a Japanese male patient: A case report. World J Surg Oncol. 12:2942014. View Article : Google Scholar : PubMed/NCBI

16 

De Luca A, Frusone F, Vergine M, Cocchiara R, La Torre G, Ballesio L, Monti M and Amabile MI: Breast cancer and multiple primary malignant tumors: Case report and review of the literature. In Vivo. 33:1313–1324. 2019. View Article : Google Scholar : PubMed/NCBI

17 

Asaad A, Barron M, Rasheed N, Idaewor P and Saad Abdalla Al-Zawi A: The rare diagnosis of synchronous breast and colonic cancers: A case report and review of literature. Cureus. 13:e133142021.PubMed/NCBI

18 

Mellemkjaer L, Friis S, Olsen JH, Scélo G, Hemminki K, Tracey E, Andersen A, Brewster DH, Pukkala E, McBride ML, et al: Risk of second cancer among women with breast cancer. Int J Cancer. 118:2285–2292. 2006. View Article : Google Scholar : PubMed/NCBI

19 

Kim JY and Song HS: Metachronous double primary cancer after treatment of breast cancer. Cancer Res Treat. 47:64–71. 2015. View Article : Google Scholar : PubMed/NCBI

20 

Fukuda H, Tanaka A, Hirashima Y and Ito I: Lambert-eaton myasthenic syndrome associated with synchronous double cancer: A combination of small cell carcinoma of the cervix and breast carcinoma. Intern Med. 57:2409–2411. 2018. View Article : Google Scholar : PubMed/NCBI

21 

Nomura H, Ikki A, Fusegi A, Omi M, Aoki Y, Netsu S, Tanigawa T, Matoda M, Okamoto S, Omatsu K, et al: Clinical and pathological outcomes of risk-reducing salpingo-oophorectomy for Japanese women with hereditary breast and ovarian cancer. Int J Clin Oncol. 26:2331–2337. 2021. View Article : Google Scholar : PubMed/NCBI

22 

Fruscalzo A, Damante G, Calcagno A, Di Loreto C and Marchesoni D: Four primary malignancies successively occurred in a BRCA2 mutation carrier: A case report. Cancer Invest. 24:611–614. 2006. View Article : Google Scholar : PubMed/NCBI

23 

Filippakis GM, Lagoudianakis EE, Genetzakis M, Antonakis P, Papadima A, Boussiotou A, Katergiannakis V and Manouras A: Squamous cell carcinoma arising in a mature cystic teratoma of the ovary with synchronous invasive lobular breast cancer: Case report. Eur J Gynaecol Oncol. 27:537–540. 2006.PubMed/NCBI

24 

Sakellakis M, Peroukides S, Iconomou G, Boumpoucheropoulos S and Kalofonos H: Multiple primary malignancies: A report of two cases. Chin J Cancer Res. 26:215–218. 2014.PubMed/NCBI

25 

Taube ET, Denkert C, Pietzner K, Dietel M, Sehouli J and Darb-Esfahani S: Prognostic impact of neuroendocrine differentiation in high-grade serous ovarian carcinoma. Virchows Arch. 466:333–342. 2015. View Article : Google Scholar : PubMed/NCBI

26 

Karpathiou G, Matias-Guiu X, Mobarki M, Vermesch C, Stachowicz ML, Chauleur C and Peoc'h M: Ovarian neuroendocrine carcinoma of metastatic origin: Clues for diagnosis. Hum Pathol. 85:309–312. 2019. View Article : Google Scholar : PubMed/NCBI

27 

Schultheis AM, Ng CK, De Filippo MR, Piscuoglio S, Macedo GS, Gatius S, Perez Mies B, Soslow RA, Lim RS, Viale A, et al: Massively parallel sequencing-based clonality analysis of synchronous endometrioid endometrial and ovarian carcinomas. J Natl Cancer Inst. 108:djv4272016. View Article : Google Scholar : PubMed/NCBI

28 

Vogt A, Schmid S, Heinimann K, Frick H, Herrmann C, Cerny T and Omlin A: Multiple primary tumours: Challenges and approaches, a review. ESMO Open. 2:e0001722017. View Article : Google Scholar : PubMed/NCBI

29 

Copur MS and Manapuram S: Multiple primary tumors over a lifetime. Oncology (Williston Park). 33:6293842019.PubMed/NCBI

30 

Bateman AC: DNA mismatch repair proteins: Scientific update and practical guide. J Clin Pathol. 74:264–268. 2021. View Article : Google Scholar : PubMed/NCBI

31 

Sharma R, Lewis S and Wlodarski MW: DNA repair syndromes and cancer: Insights into genetics and phenotype patterns. Front Pediatr. 8:5700842020. View Article : Google Scholar : PubMed/NCBI

32 

Zhai C, Cai Y, Lou F, Liu Z, Xie J, Zhou X, Wang Z, Fang Y, Pan H and Han W: Multiple primary malignant tumors-a clinical analysis of 15,321 patients with malignancies at a single center in China. J Cancer. 9:2795–2801. 2018. View Article : Google Scholar : PubMed/NCBI

Related Articles

  • Abstract
  • View
  • Download
  • Twitter
Copy and paste a formatted citation
Spandidos Publications style
Hao L, Zhang L, Xu C, Jiang M, Zhu G and Guo J: Multiple synchronous primary malignant neoplasms: A case report and literature review. Oncol Lett 26: 428, 2023.
APA
Hao, L., Zhang, L., Xu, C., Jiang, M., Zhu, G., & Guo, J. (2023). Multiple synchronous primary malignant neoplasms: A case report and literature review. Oncology Letters, 26, 428. https://doi.org/10.3892/ol.2023.14014
MLA
Hao, L., Zhang, L., Xu, C., Jiang, M., Zhu, G., Guo, J."Multiple synchronous primary malignant neoplasms: A case report and literature review". Oncology Letters 26.4 (2023): 428.
Chicago
Hao, L., Zhang, L., Xu, C., Jiang, M., Zhu, G., Guo, J."Multiple synchronous primary malignant neoplasms: A case report and literature review". Oncology Letters 26, no. 4 (2023): 428. https://doi.org/10.3892/ol.2023.14014
Copy and paste a formatted citation
x
Spandidos Publications style
Hao L, Zhang L, Xu C, Jiang M, Zhu G and Guo J: Multiple synchronous primary malignant neoplasms: A case report and literature review. Oncol Lett 26: 428, 2023.
APA
Hao, L., Zhang, L., Xu, C., Jiang, M., Zhu, G., & Guo, J. (2023). Multiple synchronous primary malignant neoplasms: A case report and literature review. Oncology Letters, 26, 428. https://doi.org/10.3892/ol.2023.14014
MLA
Hao, L., Zhang, L., Xu, C., Jiang, M., Zhu, G., Guo, J."Multiple synchronous primary malignant neoplasms: A case report and literature review". Oncology Letters 26.4 (2023): 428.
Chicago
Hao, L., Zhang, L., Xu, C., Jiang, M., Zhu, G., Guo, J."Multiple synchronous primary malignant neoplasms: A case report and literature review". Oncology Letters 26, no. 4 (2023): 428. https://doi.org/10.3892/ol.2023.14014
Follow us
  • Twitter
  • LinkedIn
  • Facebook
About
  • Spandidos Publications
  • Careers
  • Cookie Policy
  • Privacy Policy
How can we help?
  • Help
  • Live Chat
  • Contact
  • Email to our Support Team