Spandidos Publications Logo
  • About
    • About Spandidos
    • Aims and Scopes
    • Abstracting and Indexing
    • Editorial Policies
    • Reprints and Permissions
    • Job Opportunities
    • Terms and Conditions
    • Contact
  • Journals
    • All Journals
    • Oncology Letters
      • Oncology Letters
      • Information for Authors
      • Editorial Policies
      • Editorial Board
      • Aims and Scope
      • Abstracting and Indexing
      • Bibliographic Information
      • Archive
    • International Journal of Oncology
      • International Journal of Oncology
      • Information for Authors
      • Editorial Policies
      • Editorial Board
      • Aims and Scope
      • Abstracting and Indexing
      • Bibliographic Information
      • Archive
    • Molecular and Clinical Oncology
      • Molecular and Clinical Oncology
      • Information for Authors
      • Editorial Policies
      • Editorial Board
      • Aims and Scope
      • Abstracting and Indexing
      • Bibliographic Information
      • Archive
    • Experimental and Therapeutic Medicine
      • Experimental and Therapeutic Medicine
      • Information for Authors
      • Editorial Policies
      • Editorial Board
      • Aims and Scope
      • Abstracting and Indexing
      • Bibliographic Information
      • Archive
    • International Journal of Molecular Medicine
      • International Journal of Molecular Medicine
      • Information for Authors
      • Editorial Policies
      • Editorial Board
      • Aims and Scope
      • Abstracting and Indexing
      • Bibliographic Information
      • Archive
    • Biomedical Reports
      • Biomedical Reports
      • Information for Authors
      • Editorial Policies
      • Editorial Board
      • Aims and Scope
      • Abstracting and Indexing
      • Bibliographic Information
      • Archive
    • Oncology Reports
      • Oncology Reports
      • Information for Authors
      • Editorial Policies
      • Editorial Board
      • Aims and Scope
      • Abstracting and Indexing
      • Bibliographic Information
      • Archive
    • Molecular Medicine Reports
      • Molecular Medicine Reports
      • Information for Authors
      • Editorial Policies
      • Editorial Board
      • Aims and Scope
      • Abstracting and Indexing
      • Bibliographic Information
      • Archive
    • World Academy of Sciences Journal
      • World Academy of Sciences Journal
      • Information for Authors
      • Editorial Policies
      • Editorial Board
      • Aims and Scope
      • Abstracting and Indexing
      • Bibliographic Information
      • Archive
    • International Journal of Functional Nutrition
      • International Journal of Functional Nutrition
      • Information for Authors
      • Editorial Policies
      • Editorial Board
      • Aims and Scope
      • Abstracting and Indexing
      • Bibliographic Information
      • Archive
    • International Journal of Epigenetics
      • International Journal of Epigenetics
      • Information for Authors
      • Editorial Policies
      • Editorial Board
      • Aims and Scope
      • Abstracting and Indexing
      • Bibliographic Information
      • Archive
    • Medicine International
      • Medicine International
      • Information for Authors
      • Editorial Policies
      • Editorial Board
      • Aims and Scope
      • Abstracting and Indexing
      • Bibliographic Information
      • Archive
  • Articles
  • Information
    • Information for Authors
    • Information for Reviewers
    • Information for Librarians
    • Information for Advertisers
    • Conferences
  • Language Editing
Spandidos Publications Logo
  • About
    • About Spandidos
    • Aims and Scopes
    • Abstracting and Indexing
    • Editorial Policies
    • Reprints and Permissions
    • Job Opportunities
    • Terms and Conditions
    • Contact
  • Journals
    • All Journals
    • Biomedical Reports
      • Information for Authors
      • Editorial Policies
      • Editorial Board
      • Aims and Scope
      • Abstracting and Indexing
      • Bibliographic Information
      • Archive
    • Experimental and Therapeutic Medicine
      • Information for Authors
      • Editorial Policies
      • Editorial Board
      • Aims and Scope
      • Abstracting and Indexing
      • Bibliographic Information
      • Archive
    • International Journal of Epigenetics
      • Information for Authors
      • Editorial Policies
      • Editorial Board
      • Aims and Scope
      • Abstracting and Indexing
      • Bibliographic Information
      • Archive
    • International Journal of Functional Nutrition
      • Information for Authors
      • Editorial Policies
      • Editorial Board
      • Aims and Scope
      • Abstracting and Indexing
      • Bibliographic Information
      • Archive
    • International Journal of Molecular Medicine
      • Information for Authors
      • Editorial Policies
      • Editorial Board
      • Aims and Scope
      • Abstracting and Indexing
      • Bibliographic Information
      • Archive
    • International Journal of Oncology
      • Information for Authors
      • Editorial Policies
      • Editorial Board
      • Aims and Scope
      • Abstracting and Indexing
      • Bibliographic Information
      • Archive
    • Medicine International
      • Information for Authors
      • Editorial Policies
      • Editorial Board
      • Aims and Scope
      • Abstracting and Indexing
      • Bibliographic Information
      • Archive
    • Molecular and Clinical Oncology
      • Information for Authors
      • Editorial Policies
      • Editorial Board
      • Aims and Scope
      • Abstracting and Indexing
      • Bibliographic Information
      • Archive
    • Molecular Medicine Reports
      • Information for Authors
      • Editorial Policies
      • Editorial Board
      • Aims and Scope
      • Abstracting and Indexing
      • Bibliographic Information
      • Archive
    • Oncology Letters
      • Information for Authors
      • Editorial Policies
      • Editorial Board
      • Aims and Scope
      • Abstracting and Indexing
      • Bibliographic Information
      • Archive
    • Oncology Reports
      • Information for Authors
      • Editorial Policies
      • Editorial Board
      • Aims and Scope
      • Abstracting and Indexing
      • Bibliographic Information
      • Archive
    • World Academy of Sciences Journal
      • Information for Authors
      • Editorial Policies
      • Editorial Board
      • Aims and Scope
      • Abstracting and Indexing
      • Bibliographic Information
      • Archive
  • Articles
  • Information
    • For Authors
    • For Reviewers
    • For Librarians
    • For Advertisers
    • Conferences
  • Language Editing
Login Register Submit
  • This site uses cookies
  • You can change your cookie settings at any time by following the instructions in our Cookie Policy. To find out more, you may read our Privacy Policy.

    I agree
Search articles by DOI, keyword, author or affiliation
Search
Advanced Search
presentation
Oncology Letters
Join Editorial Board Propose a Special Issue
Print ISSN: 1792-1074 Online ISSN: 1792-1082
Journal Cover
March-2024 Volume 27 Issue 3

Full Size Image

Sign up for eToc alerts
Recommend to Library

Journals

International Journal of Molecular Medicine

International Journal of Molecular Medicine

International Journal of Molecular Medicine is an international journal devoted to molecular mechanisms of human disease.

International Journal of Oncology

International Journal of Oncology

International Journal of Oncology is an international journal devoted to oncology research and cancer treatment.

Molecular Medicine Reports

Molecular Medicine Reports

Covers molecular medicine topics such as pharmacology, pathology, genetics, neuroscience, infectious diseases, molecular cardiology, and molecular surgery.

Oncology Reports

Oncology Reports

Oncology Reports is an international journal devoted to fundamental and applied research in Oncology.

Experimental and Therapeutic Medicine

Experimental and Therapeutic Medicine

Experimental and Therapeutic Medicine is an international journal devoted to laboratory and clinical medicine.

Oncology Letters

Oncology Letters

Oncology Letters is an international journal devoted to Experimental and Clinical Oncology.

Biomedical Reports

Biomedical Reports

Explores a wide range of biological and medical fields, including pharmacology, genetics, microbiology, neuroscience, and molecular cardiology.

Molecular and Clinical Oncology

Molecular and Clinical Oncology

International journal addressing all aspects of oncology research, from tumorigenesis and oncogenes to chemotherapy and metastasis.

World Academy of Sciences Journal

World Academy of Sciences Journal

Multidisciplinary open-access journal spanning biochemistry, genetics, neuroscience, environmental health, and synthetic biology.

International Journal of Functional Nutrition

International Journal of Functional Nutrition

Open-access journal combining biochemistry, pharmacology, immunology, and genetics to advance health through functional nutrition.

International Journal of Epigenetics

International Journal of Epigenetics

Publishes open-access research on using epigenetics to advance understanding and treatment of human disease.

Medicine International

Medicine International

An International Open Access Journal Devoted to General Medicine.

Journal Cover
March-2024 Volume 27 Issue 3

Full Size Image

Sign up for eToc alerts
Recommend to Library

  • Article
  • Citations
    • Cite This Article
    • Download Citation
    • Create Citation Alert
    • Remove Citation Alert
    • Cited By
  • Similar Articles
    • Related Articles (in Spandidos Publications)
    • Similar Articles (Google Scholar)
    • Similar Articles (PubMed)
  • Download PDF
  • Download XML
  • View XML
Case Report Open Access

Imaging of Merkel cell carcinoma of the eyelid: A case report

  • Authors:
    • Guangwen Zhu
    • Liting Xie
    • Xianwen Hu
  • View Affiliations / Copyright

    Affiliations: Department of Endocrinology, Zunyi Hospital of Traditional Chinese Medicine, Zunyi, Guizhou 563003, P.R. China, Department of Gynecology, Zunyi Hospital of Traditional Chinese Medicine, Zunyi, Guizhou 563000, P.R. China, Department of Nuclear Medicine, The Affiliated Hospital of Zunyi Medical University, Zunyi, Guizhou 563000, P.R. China
    Copyright: © Zhu et al. This is an open access article distributed under the terms of Creative Commons Attribution License.
  • Article Number: 119
    |
    Published online on: January 23, 2024
       https://doi.org/10.3892/ol.2024.14252
  • Expand metrics +
Metrics: Total Views: 0 (Spandidos Publications: | PMC Statistics: )
Metrics: Total PDF Downloads: 0 (Spandidos Publications: | PMC Statistics: )
Cited By (CrossRef): 0 citations Loading Articles...

This article is mentioned in:



Abstract

Merkel cell carcinoma (MCC) is a rare primary neuroendocrine carcinoma commonly found in older adults in areas of the skin that are susceptible to ultraviolet ray damage. The current study reports the case of a 79‑year‑old woman who presented to the Affiliated Hospital of Zunyi Medical University (Zunyi, China) with a painless lump in the lower eyelid of the left eye accompanied by photophobic tears for 4 months. Head computed tomography (CT) and magnetic resonance imaging (MRI) showed a space‑occupying lesion ~2.8x2.4 cm in size outside the left orbital muscle cone, which was poorly demarcated from the surrounding normal tissues. Markedly intense and tortuous walking vascular shadows were observed within the tumor tissues. Fluorine‑18‑fluorodeoxyglucose positron emission tomography (18F‑FDG PET)/CT revealed increased 18F‑FDG uptake in the corresponding lesions. Based on these imaging features, a malignant tumor was suspected. The patient subsequently underwent surgery. Postoperative pathology and immunohistochemistry revealed MCC. The clinical presentation of MCC is usually a painless soft‑tissue nodule or mass that grows rapidly over a short period and is flesh‑colored, bluish red or purple. A slightly hyperdense mass on CT, with equal T1‑weighted and slightly longer T2‑weighted MRI signals, and mild enhancement on contrast‑enhanced scans, accompanied by significantly enhanced distorted vascular shadows and increased 18F‑FDG uptake on PET/CT, are valuable in the diagnosis of eyelid MCC.

Introduction

Merkel cell carcinoma (MCC) is a rare primary neuroendocrine carcinoma of the skin, which was first reported in 1972 and named ‘cutaneous trabecular carcinoma’ based on its histopathological features (1). The incidence of MCC has increased over the past few decades, with studies revealing that the annual incidence of MCC rose from 0.5 per 1,000 individuals in 2000 to 0.7 per 1,000 individuals in 2013 (2–4). MCC is usually observed in light-skinned older adults, most often in sun-damaged areas of the skin. The carcinoma presents as a fast-growing, soft to elastic, non-indurated intradermal nodule that is flesh-colored, bluish red or purple and shiny, with a high degree of malignancy. Since 2009, the National Comprehensive Cancer Network (NCCN) in the United States has been releasing guidelines for the treatment of patients with MCC. According to the latest NCCN guidelines, surgical resection and adjuvant radiotherapy are still the preferred strategies for treating local diseases. However, 80–90% of patients with MCC experience recurrence within 2 years after treatment, with a mortality rate of >80% (5). It is not entirely unusual to diagnose a lymph node with metastasis of MCC, but it is difficult to determine the primary location of the tumor (6). Moreover, MCC is considered to undergo spontaneous total or partial regression of the primary tumor, and fluorine-18-fluorodeoxyglucose positron emission tomography/computed tomography (18F-FDG PET/CT) can be used to localize tumors with partial regression. The current case study presents the diagnosis and treatment of a patient with MCC of the eyelid, focusing on its imaging manifestations and reviewing the relevant literature to increase awareness of this rare disease.

Case report

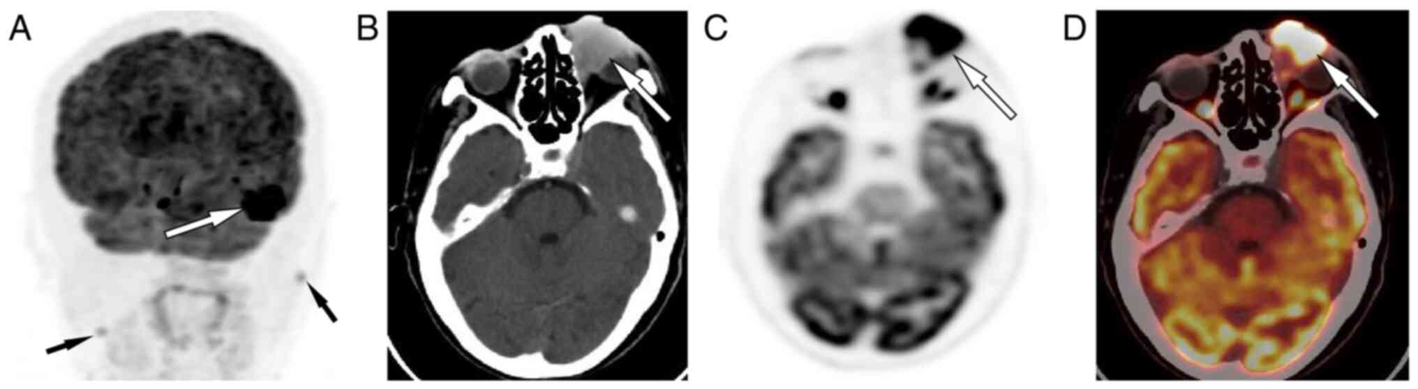
A 79-year-old female patient visited the Affiliated Hospital of Zunyi Medical University (Zunyi, China) in September 2021 due to painless swelling of the lower eyelid of the left eye for 4 months, with photophobic tears. The patient had no personal or family history of tumors. A physical examination showed that the patient's left eyelid was red and swollen, and an irregular mass was visible on the lower eyelid that was ~2.0×1.8 cm, felt hard, and had poor mobility and an unclear boundary with the surrounding tissues. The patient also experienced tenderness in the left eyeball but had no other positive signs in the rest of the body. Routine blood counts and serum tumor marker levels were within the normal reference values. CT and magnetic resonance imaging (MRI) of the head revealed a space-occupying lesion outside the left orbital muscle cone that was poorly demarcated from the surrounding normal tissue (Fig. 1). To further evaluate the presence of distant metastases, the patient underwent 18F-FDG PET/CT, which showed significantly increased 18F-FDG uptake at the corresponding lesion and additional bilateral lesions in the neck with increased 18F-FDG uptake (Fig. 2). Based on these findings, a malignant tumor of the left eyelid with bilateral cervical lymph node metastases was suspected.

Figure 1.

(A) Head CT showed a slightly hyperdense mass measuring ~2.8×2.4 cm outside the left orbital muscle cone (white arrow), and the left eyeball showed pressure changes. (B) The CT bone window showed no obvious signs of bone resorption or bone destruction in the adjacent bone. (C) T2WI sequences of magnetic resonance imaging showed the lesion to be slightly hyperintense (white arrow). (D) T1WI sequences showed the lesion to be of equal signal with soft tissue (white arrow). (E) Axial and (F) coronal contrast-enhanced T1WI sequences showed inhomogeneous enhancement of the lesion, with markedly enhanced tortuous vascular shadows (black arrows) seen within the tumor tissue. CT, computed tomography; WI, weighted imaging.

Figure 2.

(A) The maximum intensity projection map showed a lesion with intense 18F-FDG uptake in the left ocular region (white arrow). Moreover, additional 18F-FDG nodules with mild uptake were apparent bilaterally in the neck (black arrows), which were later pathologically confirmed to be inflammatory. (B) Axial CT showed the shadowing of the left ocular region as a homogeneous slightly hyperdense mass (white arrow). (C) Axial PET and (D) PET/CT fusion showed strong uptake of 18F-FDG in this lesion, with a maximum standardized uptake value of 12.8 (arrows). 18F-FDG, fluorine-18-fluorodeoxyglucose positron emission tomography; CT, computed tomography; PET, positron emission tomography.

After talking to the patient and obtaining the consent of the family, the patient underwent left eyelid mass resection, left eyeball enucleation and bilateral neck lymph node dissection. The excised lesion tissues were sent for postoperative pathological examination. For hematoxylin-eosin staining (Fuzhou Maixin Biotech Co., Ltd.), the specimen was fixed with 10% neutral formalin, dehydrated at room temperature for ~24 h and paraffin embedded. Next, 3- to 4-µm thick sections were stained with hematoxylin and eosin (25°C, 5–10 min), and viewed at ×400 magnification under an optical microscope. Microscopically, there was extensive occurrence of mitoses in the tumor tissues, and a diffuse distribution of uniformly sized round or ovoid tumor cells, with sparse cytoplasm and large, deeply stained nuclei (Fig. 3). Further immunohistochemistry (all specimens were fixed with 10% neutral formalin, dehydrated at room temperature for ~24 h and paraffin embedded. The 3- to 4-µm thick sections were stained for creatine kinase, CD56, cytokeratin (CK), CK20, synaptophysin, S-100 and Ki-67, with antibodies purchased from Fuzhou Maixin Biotech Co., Ltd., and viewed at ×400 magnification under an optical microscope. The results showed that the tumor cells positively expressed CD56, CK, CK20 and synaptophysin, but did not express S-100. The Ki-67 index was ~40%, and the diagnosis of MCC was made. The pathological examination revealed bilateral inflammatory lesions in the lymph nodes of the neck; however, no tumor cells were observed. The patient did not undergo radiotherapy or chemotherapy after surgery and was discharged from the hospital after 1 week of anti-inflammatory therapy (1–2 g cefixime, twice a day). At 7 months post-discharge, the patient returned to the hospital as they felt a mass in the surgical area of the left eye. A larger mass with abnormal signals in the surgical area of the left eye, suggesting tumor recurrence, was revealed by MRI (Fig. 4). However, the patient refused treatment and was lost to follow-up. As recurrence was exhibited 7 months after the operation, the patient prognosis was likely to be poor.

Figure 3.

(A) Hematoxylin-eosin staining showed a diffuse distribution of uniformly sized tumor cells, round or ovoid in shape, with sparse cytoplasm and deeply stained nuclei. Immunohistochemical staining showed that tumor cells positively expressed (B) CD56, (C) CK20, (D) synaptophysin and (E) CK, but negatively expressed (F) S100. CK, cytokeratin.

Figure 4.

Magnetic resonance imaging at 7 months and 1 week after surgery, which showed a postoperative absence of the left eyeball, and a heterogeneous lump presenting with (A) a slightly hypointense signal on T1WI and (B) a slightly hyperintense signal on T2WI in the operative area, suggesting tumor recurrence. WI, weighted imaging.

Discussion

The etiology of MCC may be related to Merkel cell polyomavirus infection, immunosuppression or ultraviolet radiation (7). The origin of cancer cells in MCC remains controversial; tumor cells have the same morphological and histological features as normal Merkel cells, with no evidence of direct evolution of normal Merkel cells into tumor cells, and no benign or abnormally developed precursor lesions (8). The tissue origin, which is currently hypothesized to be dermal or epidermal stem cells and precursor B cells, is controversial (9). The overall incidence of MCC is low, although studies have revealed a high incidence in patients with lymphoproliferative malignancies, solid organ transplantation and HIV infection. The onset of MCC occurs at an older age, with a median age of >70 years (10,11). Most MCCs present as fast-growing, painless nodules or lumps on the skin (10). The present study reports the case of a 79-year-old patient with a mass located in the lower eyelid of the left eye, an area susceptible to ultraviolet damage from the sun, consistent with the prevalent elements of MCC. The clinical presentation of a rapidly enlarging painless soft-tissue mass over a short period in the lower eyelid is also consistent with the clinical presentation of MCC reported in the literature.

At present, there are few imaging studies on eyelid MCC, which may be related to the shallow location of the tumor and the ease of sample collection for direct pathological biopsy. Although the imaging features of MCC are considered non-specific, a review of previously published cases of eyelid MCC identified some common imaging features that may contribute to our understanding of this rare solid tumor. On CT, the mass often appears to have a uniform density slightly higher than that of the surrounding normal soft tissue, with a few low-density cystic areas, high-density bleeding and calcification foci within the tumor (12–14). The MRI features of MCC in the eyelid have not been reported in the literature, although some studies have revealed that MCC originating from other locations presents with a slightly hypo- to isointense signal on T1-weighted imaging (T1WI) and an iso- to hyperintense signal on T2WI or fat-suppression T2WI (15,16). On contrast-enhanced T1WI, lesions usually show mild, diffuse, uneven enhancement, and larger lesions may result in unenhanced cystic necrosis within the tumor (15). The present patient showed a uniform, slightly high density mass on CT, without cystic necrosis, hemorrhage or calcification. On MRI, T1WI showed an isointense signal, T2WI showed a slightly hyperintense signal and contrast-enhanced T1WI showed mild uneven enhancement with significantly enhanced distorted vascular shadows, consistent with the findings of the aforementioned literature. MCC is a highly aggressive tumor with active glucose metabolism, showing strong uptake of 18F-FDG on PET. The mean maximum standardized uptake value (SUVmax) is 4.0–6.5 on 18F-FDG PET/CT for primary MCC (17,18). The present patient showed stronger uptake of 18F-FDG on PET/CT, with an SUVmax of 12.8.

Imaging techniques, including CT, MRI and PET/CT, are essential in the management of MCC, including assessing the extent of tumor invasion, guiding the surgical plan and radiotherapy area, and tumor staging. Studies analyzing the performance of MRI using histomorphometric and immunohistochemical results have found that MRI has a significant advantage in the visualization of MCC foci and adjacent metastases, which can help in the planning of targeted volumetric radiation therapy and documentation of tumor characteristics to assess the tumor response to therapy (1,19–21). MCC can develop into osteogenic or osteolytic metastases. Bone marrow involvement and extraosseous invasion is more likely to be detected by MRI than by CT; however, CT has the advantage of assessing changes in bone quality. New manifestations of osteosclerosis on CT may originate from a response to therapy or suggest lesion progression (19,22). In patients with bone metastases treated with radiotherapy or systemic therapy, the metabolic changes shown by 18FDG-PET are highly reliable, and a reduction in metabolism shown by 18FDG-PET suggests better outcomes (19).

Based on the clinical presentation and imaging features of eyelid MCC, the differential diagnoses include basal cell carcinoma, squamous cell carcinoma, eyelid adenocarcinoma, melanoma and chalazion. The lesion location of basal cell carcinoma is relatively shallow, mostly located in the lower eyelid near the inner canthus, and can form a nibbling ulcer in the late stage of the lesion. Metastasis rarely occurs (23). Squamous cell carcinoma is a superficial nodular mass that often protrudes from the surface of the skin and typically shows an isointense signal on T1WI and a slightly high signal on T2WI, with uneven enhancement and hyperperfusion on enhancement. The carcinoma may invade the adjacent skin or superficial fascia with creeping growth and blurred margins (24). Adenocarcinoma of the eyelid is rare and usually occurs in elderly individuals with heterogeneous densities or signals on CT or MRI. During growth, it is characterized on images by an ‘arcuate sign’ in the posterior part of the lesion owing to obstruction of the posterior ocular ring, and the arcuate structure may be disrupted (25). Typical melanomas tend to present as superficial skin-pigmented spots or nodules with or without irregular borders and ulcers, and MRI shows a specific T1 high signal and a T2 low signal (26). Chalazion is a less likely differential diagnosis, as it is located at the margin of the eyelid, has a smooth surface and occurs preferentially in young people, while the elderly exhibit gland atrophy with impaired lacrimation (27).

Histopathological examination is the gold standard for the diagnosis of MCC. Microscopically, relatively uniform tumor cells are diffusely arranged, trabecular, nested or mixed, and frequently infiltrate the dermis or subcutaneous tissue, whereas the epidermis is usually not involved (28). MCC shows epithelial and neuroendocrine differentiation characteristics; therefore, tumor cells often express epithelial CK, neuroendocrine substances, including chromogranin A, neuron-specific enolase, CD56 and villus proteins, and neural markers such as the S-100 protein (29). Histopathological examination of the patient in the present study showed that the tumor cells were uniform in size, with a circular or oval diffuse distribution, sparse cytoplasm, large nuclei, deep staining and positive expression of CD56, CK, CK20 and synaptophysin, which was consistent with the pathological and immunohistochemical characteristics of MCC, and the diagnosis was clear.

The National Comprehensive Cancer Network guidelines for the treatment of MCC state that surgical resection is preferred, using a wide resection with 1- to 2-cm margins when clinically feasible (30). However, the operative method of enlargement and re-excision of the tumor is more limited in the eyelid area and is prone to recurrence after surgery (31). Some studies have shown that even in the absence of metastasis, postoperative adjuvant radiotherapy for tumors >1.0 cm in diameter results in a lower recurrence rate (30,32). Adjuvant chemotherapy is needed for MCC cases with definite lymph node and distant metastases. However, the chemotherapy regimen is not standardized, and one published study showed that good results were achieved with the use of cyclophosphamide, doxorubicin and vincristine (11). In recent years, advancements in immunotherapy have greatly extended the survival times of patients with metastatic MCC, especially with the use of immunotherapy involving the programmed death 1 and programmed death ligand 1 pathways. In particular, avelumab, the first drug specifically for metastatic MCC approved by the US Food and Drug Administration in March 2017, showed an overall response rate of 32% and a complete response rate of 11% in patients in whom chemotherapy had failed (33). The overall prognosis for MCC is poor. The overall 5-year survival rate of patients with MCC without metastasis is 64%, whereas the 5-year survival rate of patients with lymph node or distant metastases decreases to 39 and 18%, respectively (34). Risk factors for a poor prognosis include a tumor diameter >1 cm, a location in the head and neck region, lymphovascular invasion and an immunocompromised status, whereas a tumor diameter >2 cm is an independent risk factor for patient death (31). The present patient had no radiotherapy or chemotherapy after surgical removal of the tumor, and the tumor recurred in the ninth postoperative month, illustrating the highly aggressive nature of MCC.

As the focus of the present study is to discuss the multimodal imaging features of eyelid MCC, only the pathological diagnosis of this patient was reviewed and colleagues from the Department of Pathology were not invited to join the study, which is a shortcoming of the study. However, the current study still provides a reference for imaging findings in the diagnosis of such a rare entity as eyelid MCC.

In conclusion, the current study reports the multimodal imaging features, including CT, MRI and PET/CT, of a rare tumor, eyelid MCC. A slightly hyperdense mass on CT, with equal T1 signals and slightly longer T2 signals on MRI, and mild enhancement on contrast-enhanced scans, accompanied by significantly enhanced distorted vascular shadows and increased 18F-FDG uptake on PET/CT are valuable for diagnosing eyelid MCC. Eyelid MCC has a poor prognosis, and new methods to improve its prognosis must be explored in future studies.

Acknowledgements

The authors would like to thank Professor Tan Na (Department of Pathology, Affiliated Hospital of Zunyi Medical University, Zunyi, China) for contributing to the interpretation of the pathological diagnosis of this patient.

Funding

Funding: No funding was received.

Availability of data and materials

The data generated in the present study may be requested from the corresponding author.

Authors' contributions

GZ and LX conceived and designed the study. XH acquired, analyzed and interpreted the data. GZ and LX confirm the authenticity of all the raw data. GZ drafted the manuscript. XH critically revised the manuscript for intellectual content and approved the final version for publication. All authors agree to the journal to which the article was submitted and take responsibility for all aspects of the work. All authors have read and approved the final version of the manuscript.

Ethics approval and consent to participate

The present study was approved by the Ethics Committee of The Affiliated Hospital of Zunyi Medical University (Zunyi, China; approval no. KLL-2023-186).

Patient consent for publication

Written informed consent was obtained from the patient to publish this case report.

Competing interests

The authors declare that they have no competing interests.

References

1 

Toker C: Trabecular carcinoma of the skin. Arch Dermatol. 105:107–110. 1972. View Article : Google Scholar : PubMed/NCBI

2 

Paulson KG, Park SY, Vandeven NA, Lachance K, Thomas H, Chapuis AG, Harms KL, Thompson JA, Bhatia S, Stang A and Nghiem P: Merkel cell carcinoma: Current US incidence and projected increases based on changing demographics. J Am Acad Dermatol. 78:457–463.e2. 2018. View Article : Google Scholar : PubMed/NCBI

3 

Zaar O, Gillstedt M, Lindelöf B, Wennberg-Larkö AM and Paoli J: Merkel cell carcinoma incidence is increasing in Sweden. J Eur Acad Dermatol Venereol. 30:1708–1713. 2016. View Article : Google Scholar : PubMed/NCBI

4 

Fondain M, Dereure O, Uhry Z, Guizard AV, Woronoff AS, Colonna M, Molinie F, Bara S, Velten M, Marrer E, et al: Merkel cell carcinoma in France: A registries-based, comprehensive epidemiological survey. J Eur Acad Dermatol Venereol. 32:1292–1296. 2018. View Article : Google Scholar : PubMed/NCBI

5 

Coggshall K, Tello TL, North JP and Yu SS: Merkel cell carcinoma: An update and review: Pathogenesis, diagnosis, and staging. J Am Acad Dermatol. 78:433–442. 2018. View Article : Google Scholar : PubMed/NCBI

6 

Fazio N, Maisonneuve P, Spada F, Gervaso L, Cella CA, Pozzari M, Zerini D, Pisa E, Fumagalli C, Barberis M, et al: Nodal merkel cell carcinoma with unknown primary site and no distant metastasis: A single-center series. Cancers (Basel). 14:47772022. View Article : Google Scholar : PubMed/NCBI

7 

Feng H, Shuda M, Chang Y and Moore PS: Clonal integration of a polyomavirus in human Merkel cell carcinoma. Science. 319:1096–1100. 2008. View Article : Google Scholar : PubMed/NCBI

8 

Moll I, Zieger W and Schmelz M: Proliferative Merkel cells were not detected in human skin. Arch Dermatol Res. 288:184–187. 1996. View Article : Google Scholar : PubMed/NCBI

9 

Zur Hausen A, Rennspiess D, Winnepenninckx V, Speel EJ and Kurz AK: Early B-cell differentiation in Merkel cell carcinomas: Clues to cellular ancestry. Cancer Res. 73:4982–4987. 2013. View Article : Google Scholar : PubMed/NCBI

10 

Zaggana E, Konstantinou MP, Krasagakis GH, de Bree E, Kalpakis K, Mavroudis D and Krasagakis K: Merkel cell carcinoma-update on diagnosis, management and future perspectives. Cancers (Basel). 15:1032022. View Article : Google Scholar : PubMed/NCBI

11 

Tello TL, Coggshall K, Yom SS and Yu SS: Merkel cell carcinoma: An update and review: Current and future therapy. J Am Acad Dermatol. 78:445–454. 2018. View Article : Google Scholar : PubMed/NCBI

12 

Chen L, Zhu L, Wu J, Lin T, Sun B and He Y: Giant Merkel cell carcinoma of the eyelid: A case report and review of the literature. World J Surg Oncol. 9:582011. View Article : Google Scholar : PubMed/NCBI

13 

Watanabe N, Shimizu M, Kageyama M, Kitagawa K, Hayasaka S and Seto H: 123I-MIBG SPECT of Merkel cell carcinoma. Br J Radiol. 71:886–887. 1998. View Article : Google Scholar : PubMed/NCBI

14 

Feng Y, Song X and Jia R: Case Report: Favorable response to the tyrosine kinase inhibitor apatinib in recurrent merkel cell carcinoma. Front Oncol. 11:6253602021. View Article : Google Scholar : PubMed/NCBI

15 

Dunlop P, Sapp H, Logan PM and Walsh NM: Merkel cell carcinoma of the abdominal wall. Skeletal Radiol. 27:396–399. 1998. View Article : Google Scholar : PubMed/NCBI

16 

Moayed S, Maldjianb C, Adam R and Bonakdarpour A: Magnetic resonance imaging appearance of metastatic Merkel cell carcinoma to the sacrum and epidural space. Magn Reson Imaging. 18:1039–1042. 2000. View Article : Google Scholar : PubMed/NCBI

17 

Hawryluk EB, O'Regan KN, Sheehy N, Guo Y, Dorosario A, Sakellis CG, Jacene HA and Wang LC: Positron emission tomography/computed tomography imaging in Merkel cell carcinoma: A study of 270 scans in 97 patients at the Dana-Farber/Brigham and Women's Cancer Center. J Am Acad Dermatol. 68:592–599. 2013. View Article : Google Scholar : PubMed/NCBI

18 

Concannon R, Larcos GS and Veness M: The impact of (18)F-FDG PET-CT scanning for staging and management of Merkel cell carcinoma: Results from Westmead Hospital, Sydney, Australia. J Am Acad Dermatol. 62:76–84. 2010. View Article : Google Scholar : PubMed/NCBI

19 

Akaike G, Akaike T, Fadl SA, Lachance K, Nghiem P and Behnia F: Imaging of merkel cell carcinoma: What imaging experts should know. Radiographics. 39:2069–2084. 2019. View Article : Google Scholar : PubMed/NCBI

20 

Peloschek P, Novotny C, Mueller-Mang C, Weber M, Sailer J, Dawid M, Czerny C, Dudczak R, Kletter K and Becherer A: Diagnostic imaging in Merkel cell carcinoma: Lessons to learn from 16 cases with correlation of sonography, CT, MRI and PET. Eur J Radiol. 73:317–323. 2010. View Article : Google Scholar : PubMed/NCBI

21 

Kim HJ, Lee KC, Kang CH, Ahn KS and Kim CH: Characteristic imaging features of merkel cell carcinoma: A case report. Curr Med Imaging. 17:562–566. 2021. View Article : Google Scholar : PubMed/NCBI

22 

Enzenhofer E, Ubl P, Czerny C and Erovic BM: Imaging in patients with merkel cell carcinoma. J Skin Cancer. 2013:9731232013. View Article : Google Scholar : PubMed/NCBI

23 

Shoji MK, Tran AQ, Lazzarini TA, Choi CJ and Tse BC: Basal cell carcinoma and eccrine porocarcinoma of the eyelid. Ophthalmic Plast Reconstr Surg. 37:e53–e56. 2021. View Article : Google Scholar : PubMed/NCBI

24 

Tang M, Huang R, Chen J, Sheng M, Zhang Z, Xing J, Guo L and Li Y: Clinical value of high-resolution dynamic contrast-enhanced (DCE) MRI in diagnosis of cutaneous squamous cell carcinoma. Skin Res Technol. 27:511–520. 2021. View Article : Google Scholar : PubMed/NCBI

25 

Soror NN, Lutaya I, Shah P, Hemrock L, Bennett R and Gibson G: A rare case of primary adenocarcinoma of the eyelid: Case presentation and review of literature. Cureus. 13:e165802021.PubMed/NCBI

26 

Barat M, Guegan-Bart S, Cottereau AS, Guillo E, Hoeffel C, Barret M, Gaujoux S, Dohan A and Soyer P: CT, MRI and PET/CT features of abdominal manifestations of cutaneous melanoma: A review of current concepts in the era of tumor-specific therapies. Abdom Radiol (NY). 46:2219–2235. 2021. View Article : Google Scholar : PubMed/NCBI

27 

Evans J, Vo KBH and Schmitt M: Chalazion: Racial risk factors for formation, recurrence, and surgical intervention. Can J Ophthalmol. 57:242–246. 2022. View Article : Google Scholar : PubMed/NCBI

28 

Schrama D, Sarosi EM, Adam C, Ritter C, Kaemmerer U, Klopocki E, König EM, Utikal J, Becker JC and Houben R: Characterization of six Merkel cell polyomavirus-positive Merkel cell carcinoma cell lines: Integration pattern suggest that large T antigen truncating events occur before or during integration. Int J Cancer. 145:1020–1032. 2019. View Article : Google Scholar : PubMed/NCBI

29 

Kervarrec T, Tallet A, Miquelestorena-Standley E, Houben R, Schrama D, Gambichler T, Berthon P, Le Corre Y, Hainaut-Wierzbicka E, Aubin F, et al: Diagnostic accuracy of a panel of immunohistochemical and molecular markers to distinguish Merkel cell carcinoma from other neuroendocrine carcinomas. Mod Pathol. 32:499–510. 2019. View Article : Google Scholar : PubMed/NCBI

30 

Bichakjian CK, Olencki T, Aasi SZ, Alam M, Andersen JS, Blitzblau R, Bowen GM, Contreras CM, Daniels GA, Decker R, et al: Merkel Cell Carcinoma, Version 1.2018, NCCN Clinical Practice Guidelines in Oncology. J Natl Compr Canc Netw. 16:742–774. 2018. View Article : Google Scholar : PubMed/NCBI

31 

Dasanu CA, Del Rosario M, Codreanu I, Hyams DM and Plaxe SC: Inferior outcomes in immunocompromised Merkel cell carcinoma patients: Can they be overcome by the use of PD1/PDL1 inhibitors. J Oncol Pharm Pract. 25:214–216. 2019. View Article : Google Scholar : PubMed/NCBI

32 

Frohm ML, Griffith KA, Harms KL, Hayman JA, Fullen DR, Nelson CC, Wong SL, Schwartz JL and Bichakjian CK: Recurrence and survival in patients with merkel cell carcinoma undergoing surgery without adjuvant radiation therapy to the primary site. JAMA Dermatol. 152:1001–1007. 2016. View Article : Google Scholar : PubMed/NCBI

33 

Kaufman HL, Russell J, Hamid O, Bhatia S, Terheyden P, D'Angelo SP, Shih KC, Lebbé C, Linette GP, Milella M, et al: Avelumab in patients with chemotherapy-refractory metastatic Merkel cell carcinoma: A multicentre, single-group, open-label, phase 2 trial. Lancet Oncol. 17:1374–1385. 2016. View Article : Google Scholar : PubMed/NCBI

34 

Lemos BD, Storer BE, Iyer JG, Phillips JL, Bichakjian CK, Fang LC, Johnson TM, Liegeois-Kwon NJ, Otley CC, Paulson KG, et al: Pathologic nodal evaluation improves prognostic accuracy in Merkel cell carcinoma: Analysis of 5823 cases as the basis of the first consensus staging system. J Am Acad Dermatol. 63:751–761. 2010. View Article : Google Scholar : PubMed/NCBI

Related Articles

  • Abstract
  • View
  • Download
  • Twitter
Copy and paste a formatted citation
Spandidos Publications style
Zhu G, Xie L and Hu X: Imaging of Merkel cell carcinoma of the eyelid: A case report. Oncol Lett 27: 119, 2024.
APA
Zhu, G., Xie, L., & Hu, X. (2024). Imaging of Merkel cell carcinoma of the eyelid: A case report. Oncology Letters, 27, 119. https://doi.org/10.3892/ol.2024.14252
MLA
Zhu, G., Xie, L., Hu, X."Imaging of Merkel cell carcinoma of the eyelid: A case report". Oncology Letters 27.3 (2024): 119.
Chicago
Zhu, G., Xie, L., Hu, X."Imaging of Merkel cell carcinoma of the eyelid: A case report". Oncology Letters 27, no. 3 (2024): 119. https://doi.org/10.3892/ol.2024.14252
Copy and paste a formatted citation
x
Spandidos Publications style
Zhu G, Xie L and Hu X: Imaging of Merkel cell carcinoma of the eyelid: A case report. Oncol Lett 27: 119, 2024.
APA
Zhu, G., Xie, L., & Hu, X. (2024). Imaging of Merkel cell carcinoma of the eyelid: A case report. Oncology Letters, 27, 119. https://doi.org/10.3892/ol.2024.14252
MLA
Zhu, G., Xie, L., Hu, X."Imaging of Merkel cell carcinoma of the eyelid: A case report". Oncology Letters 27.3 (2024): 119.
Chicago
Zhu, G., Xie, L., Hu, X."Imaging of Merkel cell carcinoma of the eyelid: A case report". Oncology Letters 27, no. 3 (2024): 119. https://doi.org/10.3892/ol.2024.14252
Follow us
  • Twitter
  • LinkedIn
  • Facebook
About
  • Spandidos Publications
  • Careers
  • Cookie Policy
  • Privacy Policy
How can we help?
  • Help
  • Live Chat
  • Contact
  • Email to our Support Team