Spandidos Publications Logo
  • About
    • About Spandidos
    • Aims and Scopes
    • Abstracting and Indexing
    • Editorial Policies
    • Reprints and Permissions
    • Job Opportunities
    • Terms and Conditions
    • Contact
  • Journals
    • All Journals
    • Oncology Letters
      • Oncology Letters
      • Information for Authors
      • Editorial Policies
      • Editorial Board
      • Aims and Scope
      • Abstracting and Indexing
      • Bibliographic Information
      • Archive
    • International Journal of Oncology
      • International Journal of Oncology
      • Information for Authors
      • Editorial Policies
      • Editorial Board
      • Aims and Scope
      • Abstracting and Indexing
      • Bibliographic Information
      • Archive
    • Molecular and Clinical Oncology
      • Molecular and Clinical Oncology
      • Information for Authors
      • Editorial Policies
      • Editorial Board
      • Aims and Scope
      • Abstracting and Indexing
      • Bibliographic Information
      • Archive
    • Experimental and Therapeutic Medicine
      • Experimental and Therapeutic Medicine
      • Information for Authors
      • Editorial Policies
      • Editorial Board
      • Aims and Scope
      • Abstracting and Indexing
      • Bibliographic Information
      • Archive
    • International Journal of Molecular Medicine
      • International Journal of Molecular Medicine
      • Information for Authors
      • Editorial Policies
      • Editorial Board
      • Aims and Scope
      • Abstracting and Indexing
      • Bibliographic Information
      • Archive
    • Biomedical Reports
      • Biomedical Reports
      • Information for Authors
      • Editorial Policies
      • Editorial Board
      • Aims and Scope
      • Abstracting and Indexing
      • Bibliographic Information
      • Archive
    • Oncology Reports
      • Oncology Reports
      • Information for Authors
      • Editorial Policies
      • Editorial Board
      • Aims and Scope
      • Abstracting and Indexing
      • Bibliographic Information
      • Archive
    • Molecular Medicine Reports
      • Molecular Medicine Reports
      • Information for Authors
      • Editorial Policies
      • Editorial Board
      • Aims and Scope
      • Abstracting and Indexing
      • Bibliographic Information
      • Archive
    • World Academy of Sciences Journal
      • World Academy of Sciences Journal
      • Information for Authors
      • Editorial Policies
      • Editorial Board
      • Aims and Scope
      • Abstracting and Indexing
      • Bibliographic Information
      • Archive
    • International Journal of Functional Nutrition
      • International Journal of Functional Nutrition
      • Information for Authors
      • Editorial Policies
      • Editorial Board
      • Aims and Scope
      • Abstracting and Indexing
      • Bibliographic Information
      • Archive
    • International Journal of Epigenetics
      • International Journal of Epigenetics
      • Information for Authors
      • Editorial Policies
      • Editorial Board
      • Aims and Scope
      • Abstracting and Indexing
      • Bibliographic Information
      • Archive
    • Medicine International
      • Medicine International
      • Information for Authors
      • Editorial Policies
      • Editorial Board
      • Aims and Scope
      • Abstracting and Indexing
      • Bibliographic Information
      • Archive
  • Articles
  • Information
    • Information for Authors
    • Information for Reviewers
    • Information for Librarians
    • Information for Advertisers
    • Conferences
  • Language Editing
Spandidos Publications Logo
  • About
    • About Spandidos
    • Aims and Scopes
    • Abstracting and Indexing
    • Editorial Policies
    • Reprints and Permissions
    • Job Opportunities
    • Terms and Conditions
    • Contact
  • Journals
    • All Journals
    • Biomedical Reports
      • Information for Authors
      • Editorial Policies
      • Editorial Board
      • Aims and Scope
      • Abstracting and Indexing
      • Bibliographic Information
      • Archive
    • Experimental and Therapeutic Medicine
      • Information for Authors
      • Editorial Policies
      • Editorial Board
      • Aims and Scope
      • Abstracting and Indexing
      • Bibliographic Information
      • Archive
    • International Journal of Epigenetics
      • Information for Authors
      • Editorial Policies
      • Editorial Board
      • Aims and Scope
      • Abstracting and Indexing
      • Bibliographic Information
      • Archive
    • International Journal of Functional Nutrition
      • Information for Authors
      • Editorial Policies
      • Editorial Board
      • Aims and Scope
      • Abstracting and Indexing
      • Bibliographic Information
      • Archive
    • International Journal of Molecular Medicine
      • Information for Authors
      • Editorial Policies
      • Editorial Board
      • Aims and Scope
      • Abstracting and Indexing
      • Bibliographic Information
      • Archive
    • International Journal of Oncology
      • Information for Authors
      • Editorial Policies
      • Editorial Board
      • Aims and Scope
      • Abstracting and Indexing
      • Bibliographic Information
      • Archive
    • Medicine International
      • Information for Authors
      • Editorial Policies
      • Editorial Board
      • Aims and Scope
      • Abstracting and Indexing
      • Bibliographic Information
      • Archive
    • Molecular and Clinical Oncology
      • Information for Authors
      • Editorial Policies
      • Editorial Board
      • Aims and Scope
      • Abstracting and Indexing
      • Bibliographic Information
      • Archive
    • Molecular Medicine Reports
      • Information for Authors
      • Editorial Policies
      • Editorial Board
      • Aims and Scope
      • Abstracting and Indexing
      • Bibliographic Information
      • Archive
    • Oncology Letters
      • Information for Authors
      • Editorial Policies
      • Editorial Board
      • Aims and Scope
      • Abstracting and Indexing
      • Bibliographic Information
      • Archive
    • Oncology Reports
      • Information for Authors
      • Editorial Policies
      • Editorial Board
      • Aims and Scope
      • Abstracting and Indexing
      • Bibliographic Information
      • Archive
    • World Academy of Sciences Journal
      • Information for Authors
      • Editorial Policies
      • Editorial Board
      • Aims and Scope
      • Abstracting and Indexing
      • Bibliographic Information
      • Archive
  • Articles
  • Information
    • For Authors
    • For Reviewers
    • For Librarians
    • For Advertisers
    • Conferences
  • Language Editing
Login Register Submit
  • This site uses cookies
  • You can change your cookie settings at any time by following the instructions in our Cookie Policy. To find out more, you may read our Privacy Policy.

    I agree
Search articles by DOI, keyword, author or affiliation
Search
Advanced Search
presentation
Oncology Letters
Join Editorial Board Propose a Special Issue
Print ISSN: 1792-1074 Online ISSN: 1792-1082
Journal Cover
June-2024 Volume 27 Issue 6

Full Size Image

Sign up for eToc alerts
Recommend to Library

Journals

International Journal of Molecular Medicine

International Journal of Molecular Medicine

International Journal of Molecular Medicine is an international journal devoted to molecular mechanisms of human disease.

International Journal of Oncology

International Journal of Oncology

International Journal of Oncology is an international journal devoted to oncology research and cancer treatment.

Molecular Medicine Reports

Molecular Medicine Reports

Covers molecular medicine topics such as pharmacology, pathology, genetics, neuroscience, infectious diseases, molecular cardiology, and molecular surgery.

Oncology Reports

Oncology Reports

Oncology Reports is an international journal devoted to fundamental and applied research in Oncology.

Experimental and Therapeutic Medicine

Experimental and Therapeutic Medicine

Experimental and Therapeutic Medicine is an international journal devoted to laboratory and clinical medicine.

Oncology Letters

Oncology Letters

Oncology Letters is an international journal devoted to Experimental and Clinical Oncology.

Biomedical Reports

Biomedical Reports

Explores a wide range of biological and medical fields, including pharmacology, genetics, microbiology, neuroscience, and molecular cardiology.

Molecular and Clinical Oncology

Molecular and Clinical Oncology

International journal addressing all aspects of oncology research, from tumorigenesis and oncogenes to chemotherapy and metastasis.

World Academy of Sciences Journal

World Academy of Sciences Journal

Multidisciplinary open-access journal spanning biochemistry, genetics, neuroscience, environmental health, and synthetic biology.

International Journal of Functional Nutrition

International Journal of Functional Nutrition

Open-access journal combining biochemistry, pharmacology, immunology, and genetics to advance health through functional nutrition.

International Journal of Epigenetics

International Journal of Epigenetics

Publishes open-access research on using epigenetics to advance understanding and treatment of human disease.

Medicine International

Medicine International

An International Open Access Journal Devoted to General Medicine.

Journal Cover
June-2024 Volume 27 Issue 6

Full Size Image

Sign up for eToc alerts
Recommend to Library

  • Article
  • Citations
    • Cite This Article
    • Download Citation
    • Create Citation Alert
    • Remove Citation Alert
    • Cited By
  • Similar Articles
    • Related Articles (in Spandidos Publications)
    • Similar Articles (Google Scholar)
    • Similar Articles (PubMed)
  • Download PDF
  • Download XML
  • View XML
Case Report Open Access

Acute promyelocytic leukemia with additional chromosome abnormalities in a patient positive for HIV: A case report and literature review

  • Authors:
    • Xiao-Lan Li
    • Min Li
    • Ling-Zhi Wang
    • Juan Tian
    • Zi-Wei Shi
    • Kui Song
  • View Affiliations / Copyright

    Affiliations: Department of Hematology, The First Affiliated Hospital of Jishou University, Jishou, Hunan 416000, P.R. China, Department of Pharmacy, The First Affiliated Hospital of Jishou University, Jishou, Hunan 416000, P.R. China, Department of Hematology, The First Affiliated Hospital of Jishou University, Jishou, Hunan 416000, P.R. China
    Copyright: © Li et al. This is an open access article distributed under the terms of Creative Commons Attribution License.
  • Article Number: 274
    |
    Published online on: April 19, 2024
       https://doi.org/10.3892/ol.2024.14407
  • Expand metrics +
Metrics: Total Views: 0 (Spandidos Publications: | PMC Statistics: )
Metrics: Total PDF Downloads: 0 (Spandidos Publications: | PMC Statistics: )
Cited By (CrossRef): 0 citations Loading Articles...

This article is mentioned in:



Abstract

Acute promyelocytic leukemia (APL), especially cases of high‑risk with complex chromosomes (CK), is rare in individuals infected with human immunodeficiency virus (HIV), making the establishment of therapeutic approaches challenging; often the treatment is individualized. This report describes a 49‑year‑old female patient with HIV who was diagnosed with high‑risk APL with a new CK translocation and presents a literature review. At diagnosis, the patient presented with typical t(15;17)(q24;q21) with additional abnormalities, including add(5)(q15), add(5)(q31), add(7)(q11.2) and add(12) (p13). The results of acute myeloid leukemia mutation analysis suggested positivity for calreticulin and lysine methyltransferase 2C genes. The patient received all‑trans retinoic acid combined with arsenic trioxide and chemotherapy, with morphologically complete remission after the first cycle of chemotherapy. The present report provided preliminary data for future clinical research.

Introduction

HIV attacks the human immune system and targets CD4+T lymphocytes, which are important immune cells. The introduction of highly active antiretroviral therapy (HAART) has markedly improved outcomes in patients with HIV infection and long-term survival can be expected even following the onset of acquired immune deficiency syndrome (1). However, patients with HIV are at increased risk of cancer due to oncogenic factors, including the immune dysregulated state, direct pathogenicity of the virus, chronic stimulation and prolonged drug exposure (2). Acute promyelocytic leukemia (APL), the French-American-Britain classification of acute myeloid leukemia (AML)-M3 (3), is distinct among AML subtypes due to its unique prognosis and pathogenesis. The malignant clone is characterized by a specific translocation t(15;17), which results in rearrangement the retinoic acid receptor α (RARα) genes and promyelocytic leukemia (PML) (4). The resulting protein product interferes with maturation of the immature myeloid morphology (5). APL is now a highly curable disease with an overall response rate of 95% and current cure rate is >80% (5). The incidence of HIV with APL is extremely rare, with only 12 cases reported to date, and it is even rarer in the chromosomally complex APL population. Due to the small number of cases, there is no uniform standard of treatment for APL complicated with HIV, and the prognosis remains unclear (2,4,6–14). The status of patients infected with HIV and initiation and course of chemotherapy are increasingly a cause of concern due to the highly effective HAART and its success in controlling viral load (6,7). The present report describes a case of high-risk APL with additional chromosomal abnormalities and HIV infection and discusses the existing literature on this unique population.

Case report

A 49-year-old previously healthy female patient presented in July 2022 following abdominal pain for 1 week and intermittent mild fever combined with fatigue for 3 days. Before admission to The First Affiliated Hospital of Jishou University (Jishou, China), the patient was admitted to Fenghuang County People's Hospital (Fenghuang, China) at which the initial hematological assessment determined the following: An elevated white blood cell (WBC) count of 40.97×109/l (normal range, 4.0–10.0×109/l); neutrophil count, 4.30×109/l (normal range, 1.8–6.3×109/l); platelet count of 14×109/l (normal range, 100–400×109/l) and a hemoglobin, 75 g/l (normal range, 110–150 g/l) (15). Whole abdominal computed tomography (CT) scan (KVP:120, MA:177, SL-573.5MM, TITLE:0, Head 5.0, Hr40 3) and abdominal standing films showed no abnormalities. Intravenous cephalosporin antibiotic administration (2 g ceftazidim twice/day for 4 days) and fluid replacement were used to control the fever but the efficacy was limited. Subsequently, the patient was admitted to the Emergency Department of The First Affiliated Hospital of Jishou University for further diagnosis and treatment in July 2022.

Physical examination revealed an afebrile case with conjunctival pallor and abdominal tenderness without tonsillar exudates. Old ecchymosis was visible on the skin without fresh petechiae and ecchymoses. There was no hepatosplenomegaly or lymphadenopathy. Physical examination of the heart and lungs showed no positive signs. The patient had no history of tobacco, alcohol or illicit drug use.

Laboratory assessment demonstrated the following: Hemoglobin, 66 g/l; total leukocyte count, 41.86×109/l; platelet count of 9×109/l and reticulocyte count of 32.3×109/l. Blood tests showed differential leukocyte counts were as follows: 19.8% neutrophils, 12.9% lymphocytes and 66.5% monocytes (Table I). Immature cells and rod-shaped bodies were visible but no schistocytes were observed in the peripheral blood smear. Prothrombin time and activated partial thromboplastin time were 17.4 and 41.6 sec, respectively. Fibrinogen levels were 1.294 g/l, D-dimer levels were 23.97 µg/ml and fibrin monomer concentration was 40.05 µg/ml. Serum potassium levels were 2.79 mmol/l and lactate dehydrogenase concentration was 808 U/l. Serum electrolytes, calcium, magnesium, urea and creatinine were within normal range. Liver function tests were normal. Hepatitis B surface antigen index was 2362.00 and the HIV antibody index was 1303.00. The hepatitis B virus (HBV) titer was 2.96×103 IU/ml, as evidenced by HBV-DNA virus nucleic acid quantitative detection-internal standard quantification (High Pure Viral Nucleic Acid kit, Roche Diagnostics, Mannhein, Germany). The lymphocyte subsets [analyzed by flow cytometry (MoFlo® Astrios; Beckman Coulter) (16)] were as follows: Lymphocytes, 4.01%; B lymphocytes, 22.99%; helper/induced T lymphocytes, 21.30%; CD4/CD8, 0.55% and absolute helper/induced T lymphocytes count, 335.00/µl.

Table I.

Initial laboratory test data.

Table I.

Initial laboratory test data.

Laboratory measureOn admissionNormal value
White blood cell count, ×109/l41.864.00–10.00
Differential count, %
  Neutrophils19.8040.00–75.00
  Lymphocytes12.6020.00–50.00
  Monocytes66.503.00–10.00
  Eosinophils0.000.40–8.00
  Basophilic granulocyte0.800.00–1.00
Hemoglobin, g/l66.00110.00–150.00
Hematocrit, %19.9035.00–45.00
Platelet count, ×109/l9.00100.00–400.00
Mean corpuscular volume, fl92.5082.00–100.00
Activated partial thromboplastin time, sec41.6027.00–45.00
Prothrombin time, sec17.4011.00–16.00
International normalized ratio, sec1.480.80–1.30
Fibrinogen, g/l1.292.00–4.00
Fibrin-split products, µg/ml40.500.00–5.00
D-dimer, µg/ml23.970.00–0.50
Lactate dehydrogenase, U/l808.00125.00–274.00
Sodium, mmol/l138.00135.00–145.00
Potassium, mmol/l2.793.50–5.50
Chloride, mmol/l106.0096.00–108.00
Urea nitrogen, mmol/l5.402.50–7.10
Creatinine, µmol/l77.5040.00–120.00
Glucose, mmol/l9.123.89–6.11
Total protein, g/l69.8060.00–85.00
Total bilirubin, µmol/l16.203.40–20.50
Aspartate aminotransferase, U/l24.000.00–40.00
Alanine aminotransferase, U/l16.000.00–40.00

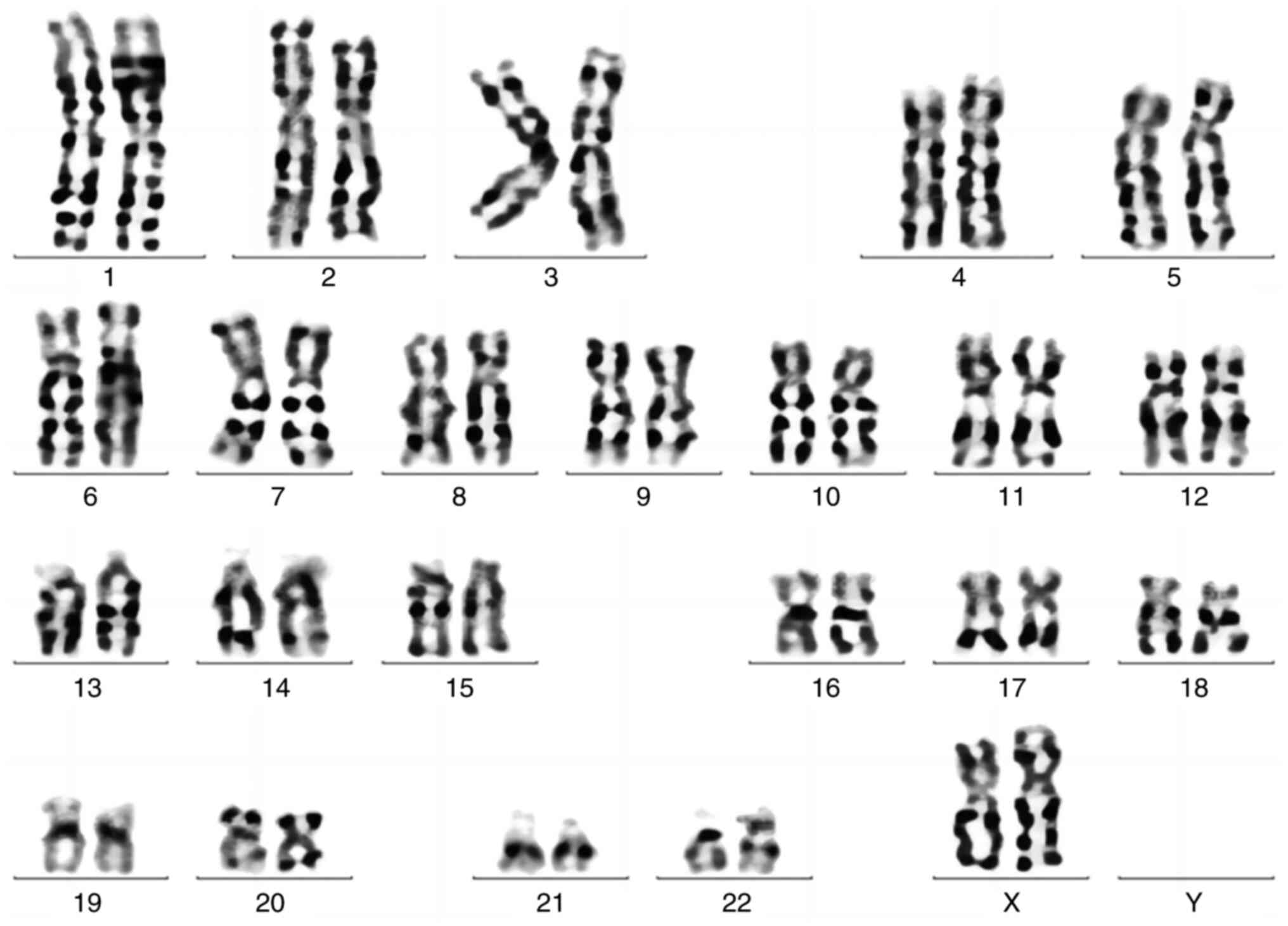
Based on morphology (cells from the bone marrow aspirate smears stained with Wright's stain for 10–15 min and myeloperoxidase respectively. For myeloperoxidase staining: 10–15 drops of 0.3% benzidine ethanol solution in the slices, after 1 min, 10–15 drops of hydrogen peroxide solution were added for 5 min. Slides were rinsed and Wright's stain was added for 30 min, followed by another rinse. Images were captured using an optical microscope at magnifications, ×10 and ×100) (Fig. 1), 92% of marrow cells were promyelocytes [myeloperoxidase (MPO+++)]. These variant (monocytoid) promyelocytes expressed CD13, CD33, cMPO and human leukocyte antigen-DR, whilst CD34 and CD19 were absent. Monocytic markers were either absent (CD14) or scarcely expressed (CD64). Cytogenetic analysis revealed an abnormal female karyotype [46, XX, add(5)(q15), add(5)(q31), add(7)(q11.2), add(12)(p13), t(15;17)(q24; q21)[19]/46, XX; Fig. 2], whilst myeloid leukemia fusion gene results were negative for AML1/ETO, mixed-lineage leukemia and core-binding factor subunit β rearrangements. For fusion gene detection, leukemia-associated fusion gene analysis detected positive expression of PML-RARα, and negative expression of BCR/ABL1, MLL/ELL, MLL/SEPT6, SET/CAN, TEL/PDGFRB, TLS/ERG, MLL/AF6, NPM1/RARα, TEL/ABL1, AML1/ETO, CBFβ/MYH11, PLZF/RARα, FIP1L1/PDGFRA, DEK/CAN, AML1-MDS1/EVI1, AML1/MTG16, AML1/EAP, NPM1/MLF, MLL/AF9, MLL/AF10, MLL/ENL, MLL/AF17, MLL/AF1q, MLL/AF1p (Total RNA was extracted from the patient's bone marrow mononuclear cells by TRIzol method. The reaction solution was prepared according to the instructions of leukemia fusion gene detection kit, and the amplification reaction was performed by ABI7500 amplification instrument). For the mutated gene fraction, sample transfer/genomic DNA levels were detected by deep target sequencing (Next-generation sequencing; NGS). Gene mutations in AML suggested the following: Calreticulin (CALR) p.E371fs, variant abundance, 2.40%) and lysine methyltransferase 2C (KMT2C) p.H1826R, variant abundance, 49.30%. NGS was performed by Golddomain Medicine/Guangzhou Jinyu Inspection using DNA extracted from bone marrow mononuclear cells of the patient Using illumina platform NextSeq550 sequencing platform (Thermo Fisher Scientific, Inc.), 72 genes (ANKRD26, ABCB1, ARID1A, ARID1B, ARID2, ASXL1, ASXL2, ATG2B, BCOR, BCORL1, BRAF, CALR, CBL, CEBPA, CREBBP, CSF3R, CTCF, DDX41, DIS3, DNMT3A, ETNK1, ETV6, EZH2, FLT3, GATA1, GATA2, GFI1, GNB1, GSKIP, HRAS, IDH1 IDH2 IKZF1 JAK1 JAK2 JAK3 KDM6A KIT KMT2A KMT2C KRAS MPL MYC NBN NF1 NPM1 NRAS NTRK1 PHF6 PML PPM1D PTPN11 RAD21 RARA RUNX1 SBDS SETBP1 SETD2 SF3B1 SMC1A SMC3 SRSF2 STAG2 STAT5A TERC TERT TET1 TET2 TP53 U2AF1 WT1 ZRSR2) of patients were deeply sequenced by targeted amplicon method (NGS amplicon sequencing primers were designed and synthesized by Thermo Fisher company). Sequencing depth of 170-fold.] Reverse transcription (RT)-qPCR testing was positive for the PML/RARα translocation [Type L; PML-retinoic acid receptor α (RARα) gene copy number, 15,006 copies; ABL1 gene copy number, 138499 copies; PML-RARα/ABL1:10.835%; The relative quantitation of PML/RARa=(copiesPML/RARa/copiesABL) ×100% (17)]. PML-RARα mRNA expression was measured using RT-qPCR [The patient's bone marrow RNA was reverse-transcribed onto the cDNA and tested for PML/RAR α transcripts with primers: forward, 5′-GCAATTTAGGTATGAAAGCCAGC-3′, and reverse, 5′-CTTTCAGCATTTTGACGGCAACC-3′; and fluorescein amidite-labeled probe (Boshang Biotechnology Co., Ltd.): 5′-CTGCTCTGGGTCTCAATGGCTGCCTCC-3′; ABL was used as the reference gene and detected with the primers: forward, 5′-TCCATCTCGCTGAGATACGAAG-3′, and reverse, 5′-ATGATGAACCAACTCGGCCA-3′; and VIC-labeled probe 5′CAACACTGCTTCTGATGGCAAGCTCTACG3′. RT-qPCR was tested for 2 min at 50°C, pre-denatured for 3 min at 95°C, and then 40 cycles of denatured for 5 sec at 95°C, annealed and extended for 30 sec at 58°C were performed using the ABI 7500 Real-time PCR system. Data was collected and analyzed using ABI 7500 software v2.3 (Thermo Fisher Scientific, Inc.)].

Figure 1.

Bone marrow shows obvious premyelocytes at the time of the acute promyelocytic leukemia diagnosis. Magnification, (A) ×10 and (B) ×100. Bone marrow at the time complete remission) showed the proportion of particle lines decreased significantly, and the proportion of erythroid lines increased significantly. Magnification, (C) ×10 and (D) ×100.

Figure 2.

Karyotype from bone marrow specimen at the time of diagnosis of acute promyelocytic leukemia showing 46,XX, add(5)(q15), add(5)(q31), add(7)(q11.2), add(12)(p13), t(15;17)(q24; q21)[19]/46, XX. Arrows show the translocation t(15;17).

Chest CT and electrocardiography were normal. Multigated equilibrium radionucleotide cineangiography revealed normal cardiac wall motion and ejection fraction of 58%. However, cranial CT suggested a subarachnoid hemorrhage (Fig. 3).

Figure 3.

Brain computed tomography images. Arrows point to an intracerebral hemorrhage).

Remission was induced using all-trans-retinoic acid (ATRA; 25 mg/m2). The patient was administered Pirarubicin hydrochloride (45 mg/m2) via a continuous intravenous infusion over 24 h (20 mg for 3 day, 10 mg × 2 day) and arsenic trioxide (ATO; 0.16 mg/m2) as an intravenous bolus once daily for three days. As the corrected QT interval of the patient increased from normal to 492 msec, ATO was intermittently used during induction. The patient developed differentiation syndrome during chemotherapy but it did not recur following ATRA dose reduction (20 mg twice/day). In the absence of disseminated intravascular coagulation, heparin was not administered. Red cells, platelets, fibrinogen and cryoprecipitate were transfused as required.

Following discussion with the Department of Infection, HAART was initiated during the induction. HAART regimen comprised efavirenz (600 mg daily) and lamivudine (300 mg daily). Simultaneously, the patient received anti-HBV therapy (tenofovir disoproxil fumarate, 300 mg daily) due to infection with hepatitis B. A total of 4 weeks later, the CD4+ T cell count was decreased, whilst the HIV-1 titer was below the normal range of detection values.

Following one cycle of chemotherapy, the patient was in complete morphological remission (CMR; Fig. 1C and D). Subsequently, the patient was administered one cycle of consolidation chemotherapy with idarubicin (IDA; 8 mg/sqm/d; days 1–3; bolus intravenous injection) and cytosine arabinoside (1 g/sqm/12 h; days 1–3, continuous intravenous infusion), and HAART was administered throughout. The chromosome karyotype of the patients was normalized after chemotherapy. As of January 2024 (Fig. 4), the patient is receiving regular chemotherapy, but is asymptomatic and has tolerated both chemotherapy and HAART well; however, there is risk of recurrence and need further observation

Figure 4.

Karyotyping of bone marrow specimen at time of the acute promyelocytic leukemia-complete remission, showing 46,XX (2022/8).

Discussion

HIV attacks the human immune system and may increase risk of malignant tumors, which may be associated with oncogenic factors, including immune dysregulation status, direct viral pathogenicity, chronic stimulation and long-term medication exposure. An association between HIV infection and several types of malignancy has been reported (1). Although the most frequent neoplasms are non-Hodgkin lymphoma, Kaposi sarcoma and invasive cervical carcinoma, other cancers are increasingly reported (2,18). A few cases of AML have been described in patients with AML and HIV infection (9,10). As the incidence of APL in patients infected with HIV is sporadic, the therapeutic approach is individualized and often challenging (2,4,8). Recently, with the advent of novel therapies, survival of patients with HIV and APL has improved but there are no relevant guidelines for treatment of the concomitant HIV and APL (6,7,9–14). Therefore, evaluating the mechanism and clinical characteristics of these cases is important. The present report described a case of an HIV-positive patient with a high-risk AML M3L presenting with hyperleukocytosis complicated by hematencephalon and prolonged QT interval during induction therapy. HIV may also infect monocytes and macrophages in addition to functioning as a tropic retrovirus and neurotropic virus for helper inducer (CD4) lymphocytes (19). This increases DNA-binding activity of the NF-κB transcription factor, which can further activate genes that may be involved in leukemogenesis [for example, IL-6, granulocyte-colony stimulating factor (CSF) or granulocyte-macrophage-CSF] through paracrine or autocrine loops (8). Immunodeficiency may also explain. The high incidence of APL in two disorders associated with chronic T cell abnormality, severe combined immunodeficiency and Wiskott Aldrich syndrome, suggests that an immunodeficient state is associated with APL (2,20). Furthermore, during HIV infection, tumor cells evade immune surveillance via lost or decreased immune response. The development of APL in patients infected with HIV may involve the potent transactivator protein Tat, which serves a crucial role in angiogenesis and can replace the preformed basic fibroblast growth factor (bFGF). bFGF increases myelopoiesis directly via FGF receptors on myeloid progenitors (21). HIV may also alter the bone marrow microenvironment to make it more favorable for proliferation of leukemic cells (19,21). Lastly, in the era of ART, the improvement in survival rate following HIV infection has led to an increase in long-term morbidity, including APL. Exposure to drugs, including cell inhibitors, HIV nucleoside analogs, benzene, alkanes and cytotoxic molecules, can increase the risk of leukemia complications in patients with HIV. In addition to the aforementioned factors, ionizing radiation can cause chromosome breakage and recombination, along with alterations and mutations in the c-myc and ras genes, which serve an important role in inducing leukemia. The greater the radiation dose, the higher the risk of leukemia. It is hypothesized that the occurrence of APL in HIV may be coincidental but certain authors suggest that incidence of APL is higher in HIV-infected patients (22). Cytopenia of patients with HIV infection is usually attributed to action of viruses and antiviral drugs, and the accompanying malignant tumors of the hematopoietic system are often ignored (23). Therefore, further assessment and monitoring of potential associations is needed to determine the cause of concomitant HIV and APL. Although prognostic variables have been assessed to stratify patients, the data concerning the prognostic relevance of CK are conflicting (24–29). Most patients with APL who have t(15;17) chromosome heterotopia are considered to have a good prognosis, but certain factors affect prognosis including high WBC count, the male sex, elevated serum creatinine levels, advanced age and fibrinogen levels (30). The prognosis of complex chromosome karyotype in patients with AML but no HIV is poor but whether CK affects the prognosis of patients with APL is debatable and, to the best of our knowledge, few studies have assessed this (25,31). The additional chromosome abnormality does not affect overall survival (OS). Moreover, the additional chromosome abnormality population has advantages in duration of complete remission (CR) and event-free survival rate (EFS) (25–26). Wiernik et al (25), through uni- and multivariate survival analysis, reported that treatment regimen with arsenic acid could prolong the disease-free survival of patients with APL and improve prognoses. Arsenic acid and retinoic acid may have a synergistic effect on clearing promyelocytic leukemia clones, thus improving the curative effect (32). Wan et al (27) reported that the additional chromosome does not affect the OS rate but patients with APL carrying additional chromosome abnormalities have delayed recurrence, which may be related to the lack of a serine proline enrichment region in PML-RARα fusion gene S (33). However, Vu et al (28) reported that patients with additional chromosomal abnormalities have aggressive disease, and additional chromosomal abnormalities are independent adverse prognostic factors for these patients. Another study (29) demonstrated inferior EFS for patients harboring complex karyotypes but not for patients harboring additional cytogenetic abnormalities. In conclusion, prognosis of patients with APL with additional chromosomes remains controversial and needs more evidence. At the molecular level, mutations were detected in CALR (p.E371fs) and KMT2C genes in the present patient. CALR is a multifunctional protein with 417 amino acids and is mainly localized in the luminal of the endoplasmic reticulum (34). A study reported that gene expression of CALR is downregulated in patients with APL (35). Another study reported that CALR may participate in clearance of tumor cells by reducing angiogenesis and immune system activation (36). Moreover, increased CALR expression may cause tumor metastasis, which may be associated with lack of matrix attachment or regulation of Ca2+ signaling (37). In the nucleus, CALR inhibits the interaction between the retinoic acid receptor and its DNA response elements and CALR silencing causes a significant decrease in both erythroid and MK differentiation of human HSPC (38). KMT2C is an epigenetic modifier gene that participates in histone methylation and affects transcriptional coactivation of gene expression. KMT2C is expressed in several types of tumor tissues, including leukemia, and is among the most frequently mutated genes in human cancer (39). KMT2C is a haploinsufficient tumor suppressor (40) and its inhibition impairs the differentiation of hematopoietic stem cells and progenitor cells. In a study on AML with fms-related receptor tyrosine kinase 3 (FLT3)-internal tandem duplication (ITD) mutations, RFS and OS were markedly decreased in patients with recurrent KMT2C mutations and deletions compared with patients with FLT3-ITD mutations without KMT2C (41). To the best of our knowledge, however, there are no reports of CALR or KMT2C mutations or CK with HIV and more studies are needed to reveal their relevance.

APL is among the highly curable hematological neoplastic diseases with a 10-year OS rate of 93.9% owing to the use of ATRA and ATO (42). A total of 13 cases of APL with HIV have been reported (Tables II and III) (2,4,6–14). Of these, treatment and survival details are unavailable for one case (9). ATRA was used in 12 patients and 10/12 (83.3%) evaluable patients remained in CR at the time of reporting, which is similar to the experience with classic APL (32). For the 13 patients, the median age was 37 years (range, 22–67 years); 9 were male (69.2%) and 4 (30.8%) were female. A total of four cases were in the high-risk and 9 in the low-median group (based on NCCN guidelines) (43). The patients in the high-risk and the low-median group who were still in the CR status at the time of reporting accounted for 50.0 and 88.9%, respectively. The treatment failed for one patient as ATRA was used inappropriately (CR was not maintained for a long period after chemotherapy). A total of 6/12 (50.0%) patients who received chemotherapy-alone were alive during CR at a median follow-up of 10 months, which is consistent with classical APL treated with chemotherapy-alone (44). Thus, even from a small number of cases, it appears that there is no difference in survival between individuals with HIV. However, extensive data are needed to confirm this observation. Therefore, chemotherapy should not be rejected even for patients with HIV. Despite therapeutic advances, early mortality of APL is 32.6–34.6% (45). Hemorrhage remains one of the most common causes of early mortality (46) and mainly occurs in the brain and lungs. High WBC count and prolonged Prothrombin time predict severe bleeding in patients with high-risk APL (47,48). Strategies to reduce early death are key for improving the survival of patients with APL (42). To prevent early death, patients with high risk of early death and hemorrhage should be identified. The patient in the present report suffered from a subarachnoid hemorrhage after diagnosis. Platelet transfusion was administered during induction chemotherapy but the efficacy was not obvious, which may be associated with heavy tumor burden and the immune dysfunction caused by HIV. Platelet transfusion resistance (PTR) refers to persistently inadequate increments in post-transfusion platelet count. It is commonly defined as a corrected count increment of the platelet count <7.5×109/l or a % platelet recovery of <30% within 60 min post-transfusion. PTR can result from non-immune and immune factors; non-immune causes are more common. These factors include infection, disseminated intravascular coagulation, fever (body temperature ≥38°C), bleeding, heparin administration, splenomegaly and intravenous antibiotic use. Immune factors include incompatibility of non-specific antigens, such as human leukocyte antigen class I, ABO, CD36 and human platelet antigen (48,49). Following one cycle of induction chemotherapy and HAART, re-examination of the bone marrow morphology of the patient in the present report revealed CR, effective platelet transfusion and a notably decreased transfusion volume of platelets (Fig. 5), which further confirms that the poor efficacy of platelet transfusion may be related to the high tumor burden. Simultaneously, red blood cell infusion was markedly decreased compared with before (Fig. 6). However, prolonging QT interval is common, especially in frail patients, and attention should be paid to the risk to their heart (50). The patient in the present report experienced repeated prolonging of QT interval during the induction of chemotherapy, during which potassium supplementation and electrocardiogram monitoring were performed, while arsenic treatment was intermittent. The patient in the present report had HIV and APL, and received treatment that is considered to be ‘standard of care’. Standard treatment for APL together with HAART should be used in patients with HIV infection when possible. Attempting to prolong the maintenance treatment cycle may overcome the adverse effects of complex karyotype on relapse-free survival but needs further clinical research. The disease state of patients with APL with complex chromosome karyotype needs to be monitored to identify early recurrence and ultimately improve their prognoses. It is difficult to establish a definite association between HIV and APL due to the scarcity of cases. Multicenter clinical studies are needed to define epidemiology, standardize cytogenetic/molecular features and improve therapeutic management.

Figure 5.

Patient platelet transfusion during the hospitalization. (A) Patient platelet transfusion during the first hospitalization. (B) Platelet transfusion unit during the first hospitalization (Days post-admission). (C) Patient platelet transfusion during the second hospitalization. (D) Platelet transfusion unit during the second hospitalization (Days post-admission).

Figure 6.

Patient hemoglobin transfusion during the hospitalization. (A) Patient hemoglobin transfusion during the first hospitalization. (B) Hemoglobin transfusion unit during the first hospitalization (Days post-admission). (C) Patient hemoglobin transfusion during the second hospitalization. (D) Hemoglobin transfusion unit during the second hospitalization (Days post-admission).

Table II.

Previous cases of acute promyelocytic leukemia with human immunodeficiency virus infection.

Table II.

Previous cases of acute promyelocytic leukemia with human immunodeficiency virus infection.

First author/s, yearHIV caseAge, yearsSexHIV detection time, monthsARTRisk groupCD4+ cell count, /µl HIV RNAInductionConsolidationMaintenanceTreatment outcomeSurvival statusObservati on period(Refs.)
Kunitomi et al, 2019146Male5RAL, FTC, TDFIntermediate264, 325ATRA, IDAATRA, IDA, MTZNot possible due to liver dysfunctionCCR at 30 monthsAlive30 months(2)
232Male5ABC/3T C, DRV, RTVIntermediate38, 75.4ATRA, IDA, MTZATRA, IDA, MTZATRA, MTX 6-MPCCR at 38 monthsAlive38 months(2)
Mahmoud et al, 2023367Male0BiktarvyLow491/548.74ATRA, ATOATRA, ATOATRACR at 4 weeksAlive8 months(4)
Drilon et al, 2010443Female0ATV, TVD, RALHigh118, >500,000ATRA, IDAATRA, IDA, MTZATRA, MTX, 6-MPCR at day 29; CCR at 8 monthsAlive8 months(6)
Mendes-de-Almeida et al, 2022549Male18ATV, 3TC, TDFM3v/high673ATRA, Ara-C, DaunoNilNilDied on day 10Deceased10 days(7)
Calvo et al, 1997630Male24NDIntermediate240, NDATRADNR, Ara-C, MTZNDCCR at 8 monthsAlive8 months(8)
Gatphoh et al, 2001722FemaleNDNDHighND, NDNDNDNDCR not reachedNDND(9)
Sutton et al, 2001836Male0ND Low-intermediate400, NDATRANDMTX, 6-MPCR/relaps e day 305Deceased350 days(10)
Kudva et al, 2004927Male72IDV, 3TC, ZDVIntermediate356, undetectableATRA, IDA, Ara-CHigh dose Ara-CATRA, MTX, 6-MP; maintenance therapy interrupted due to liver dysfunctionMolecular CR at 9 weeks; CCR at 40 monthsAlive40 months(11)
De Vita et al, 20061046Female24EFV, TDF, 3TCIntermediate>500, <50ATRA, IDAATRA, IDA, MTZ6-ATRA, 7-MTX, 8-MPCCR at 21 monthsAlive21 months(12)
Boban et al, 20091135Male120D4T, LPVIntermediate184, <50ATRA, IDAATRANDCCR at 14 monthsAlive14 months(13)
Malik et al, 20091237Male7LPV/RTV 3TC, NVP, DDI M3/intermediate>800ATRA, IDANANACR at day 77; relapse at 1 year and retreated with ATO; CR at 3 months and CCR at 17 monthsAlive17 months(14)
Present case1349Female0ATV, TVD, RALHighNDATRA, ATO, THPIDA, Ara-CNSCR at 4 weeks; CCR at 2 monthsAlive3 months-

[i] HIV, human immunodeficiency virus; ART, antiretroviral therapy; RAL, raltegravir; FTC, emtricitabine; TDF, tenofovir; ATRA, all-trans-retinoic acid; IDA, idarubicin; MTZ, mitoxantrone; ABC, abacavir; 3TC, lamivudine; DRV, darunavir; RTV, ritonavir; IDV, indinavir; 6-MP, mercaptopurine; ND, not described; Ara-C, cytarabine; MTX, methotrexate; ZDV, zidovudine; EFV, efavirenz; D4T, stavudine; LPV, lopinavir; ATV, atazanavir; TVD, tenofovir/emtricitabin; ATO, Arsenic trioxide; THP, Pirarubicin Hydrochloride; NS, not started; CCR, continuous complete remission; DNR, Daunorubicin; NA, Not available; DDI-Didanosine. Risk group-According to the PETHEMA protocol.

Table III.

Table III.

HIV caseInductionConsolidationMaintenance(Refs.)
1ATRA, IDAATRA, IDA, MTZNot possible due to liver(2)
Oral ATRA (45 mg/m2/d) divided into 2Three monthly risk-adapteddysfunction
daily doses, which was maintained untilconsolidation cycles with ATRABecause of liver dysfunction
complete hematologic remission and(45 mg/m2/day for 15 days) anddue to fatty liver (AST:
idarubicin (12 mg/m2/d) given as anreceived a reinforced dose of50-230 IU/L, ALT:50-270
intravenous bolus on days 2, 4, 6, and 8idarubicin in the first cycleIU/L), he did not receive
(ATRA and idarubicin [AIDA] regimen)(7 mg/m2/day) and third cyclemaintenance therapy
(12 mg/m2/day for 2 days)
2ATRA, IDA, MTZATRA, IDA, MTZATRA, MTX 6-MP(2)
ATRA (45 mg/m2, po) D1-12ATRA (45 mg/m2/d) was given onDetails are not described
Idarubicin (12 mg/m2, ivgtt) D13-14days 1 through 15 in combinationin the original text
Cytarabine (100 mg/m2, ivgtt) D13-17with the 3 single-agent
chemotherapy courses
Reinforcement of chemotherapy
consolidation consisted of
increasing the idarubicin dose in the
first course to 7 mg/m2/d and of
administering idarubicin for 2
consecutive days
3ATRA, ATOATRA, ATOATRA(4)
The patient was started on all-transThe patient received a total of 4Details are not described in
retinoic acid (ATRA) and arsenic trioxidecycles of ATO, with plans to receivethe original text
(ATO) for APLATRA, for a total of 7 cycles as an
outpatient
Details are not described in the originalDetails are not described in the
textoriginal text
4ATRA, IDAATRA, IDA, MTZATRA, MTX, 6-MP(6)
Idarubicin 12 mg/m2 on days 2, 4, 6, andA first course of consolidationATRA, methotrexate,
8; ATRA 45 mg/m2 orally dailychemotherapy with ATRA andmercaptopurine
idarubicin; a second courseDetails are not described in
of ATRA and mitoxantrone;the original text
a final course of ATRA and
idarubicin
Details are not described in the
original text
5ATRA, Ara-C, DaunoNilNil(7)
Cytarabine and daunorubicin protocol
(7+3) (idarubicin was unavailable
nationally)
Details are not described in the original
text
6ATRADNR, Ara-C, MTZND(9)
ATRA (45 mg/sqm/d oral)Daunorubicin (60 mg/sqm/d days
1-3, bolus intravenous injection)
Cytosine arabinoside (200 mg/sqm/d
days 1–7 in continuous intravenous
infusion)
Mitoxantrone
Details are not described in the
original text
7NDNDND(11)
8ATRANDMTX, 6-MP(12)
ATRA (25 mg/d for 2 months, oral) Mp (90 mg/d oral)
Mtx (15 mg/w oral)
9ATRA, IDA, Ara-CHigh dose Ara-CATRA, MTX, 6-MP;(13)
ATRA (45 mg/m2) administered orallyHigh-dose cytarabinemaintenance therapy
Cytarabine (200 mg/m2) as a(3 g/m2 q 12 hr ivgtt) for 6 daysinterrupted due to liver
continuous intravenous infusion overDaily ATRA orallydysfunction
24 hr for 7 days (days 3–9)was continued through consolidationThis was followed by oral
Daunorubicin (50 mg/m2) as an intrawith high-dose cytarabinemaintenance therapy
venous bolus once daily for 3 days with ATRA (45 mg/m2)
(days 3–5) daily for 15 days every
3 months
MTX 15 mg/m2 weekly;
6-MP 50 mg/m2
daily until 2 years
after diagnosis
10ATRA, IDAATRA, IDA, MTZ6-ATRA, 7-MTX, 8-MP(14)
ATRA 45 mg/m2/d until CR[ATRA 45 mg/m2 for 15 days;Oral maintenance with ATRA
Idarubicin 12 mg/m2/d (day 2,4,6,8)IDA 5 mg/m2 (days 1,2,3,4)]for 15 days every 3 months,
[ATRA 45 mg/m2 for 15 days;methotrexate once weekly,
Mitoxantrone 10 mg/m2 (days6-mercaptopurine daily
1,2,3,4,5)]More details are not described
[Idarubicine 12 mg/m2 (day 1);in the original text
ATRA 45 mg/m2 for 15 days)]
11ATRA, IDAATRAND(15)
ATRA at 45 mg/m2/day taken orallyATRA was given during March and
for 34 daysApril 2007 as two cycles of 45 mg/
Idarubicine in dose 12 mg/m2/daym2/day for 42 days
intravenously through 4 days
12ATRA, IDANANA(16)
Details are not described in the original
text
13ATRA, ATO, THP ATRA (25 mg/m2IDA, Ara-CNSOur
oral daily)Idarubicin (8 mg/sqm/d; days 1–3; case
Pirarubicin hydrochloride (45 mg/m2)bolus intravenous injection)
via a continuous intravenous infusionCytosine arabinoside (1 g/sqm/12 h;
over 24 h for several days (Total ofdays 1–3, continuous intravenous
80 mg; 20 mg*3 day, 10 mg*2 day)infusion)
Arsenic trioxide (0.16 mg/m2) as an
intravenous bolus once daily for three
days

[i] ATRA, all trans-retinoic acid.

Acknowledgements

Not applicable.

Funding

The present study was supported by the Innovation Platform and talent program of Hunan Province (grant no. 2021SK4050) and the Natural Science Foundation of Hunan Province (grant no. 2023JJ30609).

Availability of data and materials

The data generated in the present study are included in the figures and/or tables of this article.

Authors' contributions

KS and XL conceived and designed the study. XL and ML collected all relevant data of patients and drafted the manuscript. LW coordinated the clinical management. JT and ZS analyzed the data. KS revised the manuscript. KS and XL confirm the authenticity of all the raw data. All authors have read and approved the final manuscript.

Ethics approval and consent to participate

Not applicable.

Patient consent for publication

Written consent for publication of the case report and any accompanying images, without any potentially identifying information, was provided by the patient.

Competing interests

The authors declare that they have no competing interests.

References

1 

Palella FJ Jr, Delaney KM, Moorman AC, Loveless MO, Fuhrer J, Satten GA, Aschman DJ and Holmberg SD: Declining morbidity and mortality among patients with advanced human immunodeficiency virus infection. HIV Outpatient Study Investigators. N Engl J Med. 338:853–860. 1998. View Article : Google Scholar : PubMed/NCBI

2 

Kunitomi A, Hasegawa Y, Lmamura J, Yokomaku Y, Tokunaga T, Miyata Y, Iida H and Nagai H: Acute promyelocytic leukemia and HIV: Case reports and a review of the literature. Intern Med. 58:2387–2391. 2019. View Article : Google Scholar : PubMed/NCBI

3 

Gupta V, Shariff M, Bajwa R, Patel I, Ayyad HA, Levitt MJ, Mencel PJ and Hossain MA: Acute myeloid leukemia acquiring promyelocytic leukemia-retinoic acid receptor alpha at relapse. World J Oncol. 10:153–156. 2019. View Article : Google Scholar : PubMed/NCBI

4 

Mahmoud A, Ghrewati M, Kania B, Naseer M, Kapoor A and Michael P: Aleukemic acute promyelocytic leukemia: How Concomitant HIV, Hepatitis C, and chronic alcohol use disorder may have hidden an underlying malignancy. Am J Case Rep. 24:e9380862023. View Article : Google Scholar : PubMed/NCBI

5 

Korsos V and Miller WH Jr: How retinoic acid and arsenic transformed acute promyelocytic leukemia therapy. J Mol Endocrinol. 69:T69–T83. 2022. View Article : Google Scholar : PubMed/NCBI

6 

Drilon AD, Gamboa EO, Koolaee R and Goel A: Acute promyelocytic leukemia in HIV-infected adults: A case report and review of therapeutic considerations. Clin Lymphoma Myeloma Leuk. 10:E47–E52. 2010. View Article : Google Scholar : PubMed/NCBI

7 

Mendes-de-Almeida DP, Fernandez TS, Lovatel VL, da Rocha MM, Gomes BE, Monte-Mór BCR, Vianna DT, Alcoforado MTG, Kronemberg JMPB, Cardoso JPSC, et al: Acute promyelocytic leukemia in a long-standing HIV-positive patient: Case report and literature review. Leuk Res Rep. 18:1003392022.PubMed/NCBI

8 

Calvo R, Ribera JM, Battle M, Sancho JM, Granada I, Flores A, Millá F and Feliu E: Acute promyelocytic leukemia in a HIV seropositive patient. Leuk Lymphoma. 26:621–624. 1997. View Article : Google Scholar : PubMed/NCBI

9 

Gatphoh ED, Zamzachin G, Devi SB and Punyabati P: AIDS related malignant disease at regional institute of medical sciences. Indian J Pathol Microbiol. 44:1–4. 2001.PubMed/NCBI

10 

Sutton L, Guénel P, Tanguy ML, Rio B, Dhedin N, Casassus P and Lortholary O; French Study Group on Acute Myeloid Leukaemia in HIV–Infected Patients, : Acute myeloid leukaemia in human immunodeficiency virus-infected adults: Epidemiology, treatment feasibility and outcome. Br J Haematol. 112:900–908. 2001. View Article : Google Scholar : PubMed/NCBI

11 

Kudva GC, Maliekel K, Richart JM, Batanian JR, Grosso LE, Sokol-Anderson M and Petruska PJ: Acute promyelocytic leukemia and HIV-1 infection: Case report and review of the literature. Am J Hematol. 77:287–290. 2004. View Article : Google Scholar : PubMed/NCBI

12 

De Vita S, De Matteis S, Laurenti L, Sorà F, Tarnani M, Cingolani A and Sica S: Acute promyelocytic leukemia in an HIV-infected patient: A case report. Am J Hematol. 81:3002006. View Article : Google Scholar : PubMed/NCBI

13 

Boban A, Radman I, Zadro R, Dubravcic K, Maretic T, Civljak R, Lisic M and Begovac J: Acute promyelocytic leukemia after whole brain irradiation of primary brain lymphoma in an HIV-infected patient. Eur J Med Res. 14:42–43. 2009. View Article : Google Scholar : PubMed/NCBI

14 

Malik A and Levine RL: The First Case Report of APL (Acute Promyelocytic Leukemia) in An HIV Positive Patient On (Highly Active Antiretroviral Therapy) Treated with Arsenic Trioxide. Blood. 114:41662009. View Article : Google Scholar

15 

Wu P, Sun W and Li J: Rheumatoid arthritis patients with peripheral blood cell reduction should be evaluated for latent Felty syndrome: A case report. Medicine (Baltimore). 99:e236082020. View Article : Google Scholar : PubMed/NCBI

16 

Wang C, Liao Q, Hu Y and Zhong D: T lymphocyte subset imbalances in patients contribute to ankylosing spondylitis. Exp Ther Med. 9:250–256. 2015. View Article : Google Scholar : PubMed/NCBI

17 

Caprodossi S, Pedinotti M, Amantini C, Santoni G, Minucci S, Pelicci PG and Fanelli M: Differentiation response of acute promyelocytic leukemia cells and PML/RARa leukemogenic activity studies by real-time RT-PCR. Mol Biotechnol. 30:231–238. 2005. View Article : Google Scholar : PubMed/NCBI

18 

Bolduc P, Roder N, Colgate E and Cheeseman SH: Care of patients With HIV infection: Medical complications and comorbidities. FP Essent. 443:16–22. 2016.PubMed/NCBI

19 

Monroe J and Godwin JH: HIV/AIDS case histories: Acute leukemia in an AIDS patient. AIDS Patient Care STDS. 14:221–223. 2000. View Article : Google Scholar : PubMed/NCBI

20 

Forghieri F, Nasillo V, Bettelli F, Pioli V, Giusti D, Gilioli A, Mussini C, Tagliafico E, Trenti T, Cossarizza A, et al: Acute myeloid leukemia in patients living with HIV Infection: Several questions, fewer answers. Int J Mol Sci. 21:10812020. View Article : Google Scholar : PubMed/NCBI

21 

Aboulafia DM, Meneses M, Ginsberg S, Siegel MS, Howard WW and Dezube BJ: Acute myeloid leukemia in patients infected with HIV-1. AIDS. 16:865–876. 2002. View Article : Google Scholar : PubMed/NCBI

22 

Kane D, Keating S, McCann S and Mulcahy F: The management of acute myeloid leukaemia (AML) in human immunodeficiency virus (HIV) infection: A case report and review. Int J STD AIDS. 8:272–274. 1997. View Article : Google Scholar : PubMed/NCBI

23 

Katsura M, Okuhama A, Koizumi Y, Ando N, Yanagawa Y, Mizushima D, Aoki T, Tsukada K, Teruya K, Kikuchi Y, et al: Progressive cytopenia developing during treatment of cryptococcosis in a patient with HIV infection and bone marrow cryptococcal infection. Intern Med. 61:257–261. 2022. View Article : Google Scholar : PubMed/NCBI

24 

Labrador J, Luño E, Vellenga E, Brunet S, González-Campos J, Chillón MC, Holowiecka A, Esteve J, Bergua J, González-Sanmiguel JD, et al: Clinical significance of complex karyotype at diagnosis in pediatric and adult patients with de novo acute promyelocytic leukemia treated with ATRA and chemotherapy. Leuk Lymphoma. 60:1146–1155. 2019. View Article : Google Scholar : PubMed/NCBI

25 

Wiernik PH, Sun Z, Gundacker H, Dewald G, Slovak ML, Paietta E, Kim HT, Appelbaum FR, Cassileth PA and Tallman MS: Prognostic implications of additional chromosome abnormalities among patients with de novo acute promyelocytic leukemia with t(15;17). Med Oncol. 29:2095–2101. 2012. View Article : Google Scholar : PubMed/NCBI

26 

Lai BB, Mu QT, Zhang YL, Chen Y and Ouyang GF: Effect of Chromosomal Karyotype on the Prognosis of Patients with Acute Promyelocytic Leukemia in Condition of the Maintenance Treatment Based on Arsenic Trioxide. Zhongguo Shi Yan Xue Ye Xue Za Zhi. 27:1380–1386. 2019.(In Chinese). PubMed/NCBI

27 

Wan TS, Ma SK, Au WY, Liu HS, Chan JC and Chan LC: Trisomy 21 and other chromosomal abnormalities in acute promyelocytic leukemia. Cancer Genet Cytogenet. 140:170–173. 2003. View Article : Google Scholar : PubMed/NCBI

28 

Vu MP, Nguyen CN and Vu H: Cytogenetic influence on prognosis in acute promyelocytic leukaemia: A cohort study in vietnam. Hematol Oncol Stem Cell Ther. 15:151–153. 2022.PubMed/NCBI

29 

Epstein-Peterson ZD, Derkach A, Geyer S, Mrózek K, Kohlschmidt J, Park JH, Rajeeve S, Stein EM, Zhang Y, Iland H, et al: Effect of additional cytogenetic abnormalities on survival in arsenic trioxide-treated acute promyelocytic leukemia. Blood Adv. 6:3433–3439. 2022. View Article : Google Scholar : PubMed/NCBI

30 

Cingam SR and Koshy NV: Acute Promyelocytic Leukemia. 2022 Jun 27. StatPearls [Internet]. StatPearls Publishing; Treasure Island, FL: 2023

31 

Rosenbaum MW, Pozdnyakova O, Geyer JT, Dal Cin P and Hasserjian RP: Ring chromosome in myeloid neoplasms is associated with complex karyotype and disease progression. Hum Pathol. 68:40–46. 2017. View Article : Google Scholar : PubMed/NCBI

32 

Stahl M and Tallman MS: Acute promyelocytic leukemia (APL): Remaining challenges towards a cure for all. Leuk Lymphoma. 60:3107–3115. 2019. View Article : Google Scholar : PubMed/NCBI

33 

Avvisati G, Lo-Coco F, Paoloni FP, Petti MC, Diverio D, Vignetti M, Latagliata R, Specchia G, Baccarani M, Di Bona E, et al: GIMEMA, AIEOP, and EORTC Cooperative Groups. AIDA 0493 protocol for newly diagnosed acute promyelocytic leukemia: Very long-term results and role of maintenance. Blood. 117:4716–4725. 2011. View Article : Google Scholar : PubMed/NCBI

34 

Diep R and Metjian A: A rare CALR variant mutation and a review of CALR in essential thrombocythemia. J Thromb Thrombolysis. 45:457–462. 2018. View Article : Google Scholar : PubMed/NCBI

35 

Li Y, Liu X, Chen H, Xie P, Ma R, He J and Zhang H: Bioinformatics analysis for the role of CALR in human cancers. PLoS One. 16:e02612542021. View Article : Google Scholar : PubMed/NCBI

36 

Martins I, Kepp O, Galluzzi L, Senovilla L, Schlemmer F, Adjemian S, Menger L, Michaud M, Zitvogel L and Kroemer G: Surface-exposed calreticulin in the interaction between dying cells and phagocytes. Ann N Y Acad Sci. 1209:77–82. 2010. View Article : Google Scholar : PubMed/NCBI

37 

Papp S, Fadel MP, Kim H, McCulloch CA and Opas M: Calreticulin affects fibronectin-based cell-substratum adhesion via the regulation of c-Src activity. J Biol Chem. 282:16585–16598. 2007. View Article : Google Scholar : PubMed/NCBI

38 

Merlinsky TR, Levine RL and Pronier E: Unfolding the role of calreticulin in myeloproliferative neoplasm pathogenesis. Clin Cancer Res. 25:2956–2962. 2019. View Article : Google Scholar : PubMed/NCBI

39 

Zhao Z, Chen CC, Rillahan CD, Shen R, Kitzing T, McNerney ME, Diaz-Flores E, Zuber J, Shannon K, Le Beau MM, et al: Cooperative loss of RAS feedback regulation drives myeloid leukemogenesis. Nat Genet. 47:539–543. 2015. View Article : Google Scholar : PubMed/NCBI

40 

Kayser S, Feszler M, Krzykalla J, Schick M, Kramer M, Benner A, Thol F, Platzbecker U, Müller-Tidow C, Ho AD, et al: Clinical impact of KMT2C and SPRY4 expression levels in intensively treated younger adult acute myeloid leukemia patients. Eur J Haematol. 99:544–552. 2017. View Article : Google Scholar : PubMed/NCBI

41 

Garg M, Nagata Y, Kanojia D, Mayakonda A, Yoshida K, Haridas Keloth S, Zang ZJ, Okuno Y, Shiraishi Y, Chiba K, et al: Profiling of somatic mutations in acute myeloid leukemia with FLT3-ITD at diagnosis and relapse. Blood. 126:2491–2501. 2015. View Article : Google Scholar : PubMed/NCBI

42 

Ciftciler R, Haznedaroglu IC, Aksu S, Ozcebe O, Sayınalp N, Malkan UY and Buyukasık Y: The factors affecting early death in newly diagnosed apl patients. Open Med (Wars). 14:647–652. 2019. View Article : Google Scholar : PubMed/NCBI

43 

O'Donnell MR, Tallman MS, Abboud CN, Altman JK, Appelbaum FR, Arber DA, Attar E, Borate U, Coutre SE, Damon LE, et al: National Comprehensive Cancer Network. Acute myeloid leukemia, version 2.2013. J Natl Compr Canc Netw. 11:1047–1055. 2013. View Article : Google Scholar : PubMed/NCBI

44 

Li X, Wang C, Chen G, Ji B and Xu Y: Combined chemotherapy for acute promyelocytic leukemia: A meta-analysis. Hematology. 22:450–459. 2017.PubMed/NCBI

45 

Xiao M, Zhou P, Liu Y, Wei S, Li D, Li W, Niu X, Niu J, Zhang Y, Cao W, et al: Predictive factors for differentiating thrombohemorrhagic disorders in high-risk acute promyelocytic leukemia. Thromb Res. 210:33–41. 2022. View Article : Google Scholar : PubMed/NCBI

46 

Jillella AP and Kota VK: The global problem of early deaths in acute promyelocytic leukemia: A strategy to decrease induction mortality in the most curable leukemia. Blood Rev. 32:89–95. 2018. View Article : Google Scholar : PubMed/NCBI

47 

Pei Y, Shi M, Song J, Niu X, Wei S, Dou L, Xiao M, Li D, Xu F, Bai Y and Sun K: Absolute circulating leukemic cells as a risk factor for early bleeding events in patients with non-high-risk acute promyelocytic leukemia. Cancer Manag Res. 13:4135–4146. 2021. View Article : Google Scholar : PubMed/NCBI

48 

Saris A and Pavenski K: Human leukocyte antigen alloimmunization and alloimmune platelet refractoriness. Transfus Med Rev. 34:250–257. 2020. View Article : Google Scholar : PubMed/NCBI

49 

Prodger CF, Rampotas A, Estcourt LJ, Stanworth SJ and Murphy MF: Platelet transfusion: Alloimmunization and refractoriness. Semin Hematol. 57:92–99. 2020. View Article : Google Scholar : PubMed/NCBI

50 

Trinkley KE, Page RL II, Lien H, Yamanouye K and Tisdale JE: QT interval prolongation and the risk of torsades de pointes: Essentials for clinicians. Curr Med Res Opin. 29:1719–1726. 2013. View Article : Google Scholar : PubMed/NCBI

Related Articles

  • Abstract
  • View
  • Download
  • Twitter
Copy and paste a formatted citation
Spandidos Publications style
Li X, Li M, Wang L, Tian J, Shi Z and Song K: Acute promyelocytic leukemia with additional chromosome abnormalities in a patient positive for HIV: A case report and literature review. Oncol Lett 27: 274, 2024.
APA
Li, X., Li, M., Wang, L., Tian, J., Shi, Z., & Song, K. (2024). Acute promyelocytic leukemia with additional chromosome abnormalities in a patient positive for HIV: A case report and literature review. Oncology Letters, 27, 274. https://doi.org/10.3892/ol.2024.14407
MLA
Li, X., Li, M., Wang, L., Tian, J., Shi, Z., Song, K."Acute promyelocytic leukemia with additional chromosome abnormalities in a patient positive for HIV: A case report and literature review". Oncology Letters 27.6 (2024): 274.
Chicago
Li, X., Li, M., Wang, L., Tian, J., Shi, Z., Song, K."Acute promyelocytic leukemia with additional chromosome abnormalities in a patient positive for HIV: A case report and literature review". Oncology Letters 27, no. 6 (2024): 274. https://doi.org/10.3892/ol.2024.14407
Copy and paste a formatted citation
x
Spandidos Publications style
Li X, Li M, Wang L, Tian J, Shi Z and Song K: Acute promyelocytic leukemia with additional chromosome abnormalities in a patient positive for HIV: A case report and literature review. Oncol Lett 27: 274, 2024.
APA
Li, X., Li, M., Wang, L., Tian, J., Shi, Z., & Song, K. (2024). Acute promyelocytic leukemia with additional chromosome abnormalities in a patient positive for HIV: A case report and literature review. Oncology Letters, 27, 274. https://doi.org/10.3892/ol.2024.14407
MLA
Li, X., Li, M., Wang, L., Tian, J., Shi, Z., Song, K."Acute promyelocytic leukemia with additional chromosome abnormalities in a patient positive for HIV: A case report and literature review". Oncology Letters 27.6 (2024): 274.
Chicago
Li, X., Li, M., Wang, L., Tian, J., Shi, Z., Song, K."Acute promyelocytic leukemia with additional chromosome abnormalities in a patient positive for HIV: A case report and literature review". Oncology Letters 27, no. 6 (2024): 274. https://doi.org/10.3892/ol.2024.14407
Follow us
  • Twitter
  • LinkedIn
  • Facebook
About
  • Spandidos Publications
  • Careers
  • Cookie Policy
  • Privacy Policy
How can we help?
  • Help
  • Live Chat
  • Contact
  • Email to our Support Team