Spandidos Publications Logo
  • About
    • About Spandidos
    • Aims and Scopes
    • Abstracting and Indexing
    • Editorial Policies
    • Reprints and Permissions
    • Job Opportunities
    • Terms and Conditions
    • Contact
  • Journals
    • All Journals
    • Oncology Letters
      • Oncology Letters
      • Information for Authors
      • Editorial Policies
      • Editorial Board
      • Aims and Scope
      • Abstracting and Indexing
      • Bibliographic Information
      • Archive
    • International Journal of Oncology
      • International Journal of Oncology
      • Information for Authors
      • Editorial Policies
      • Editorial Board
      • Aims and Scope
      • Abstracting and Indexing
      • Bibliographic Information
      • Archive
    • Molecular and Clinical Oncology
      • Molecular and Clinical Oncology
      • Information for Authors
      • Editorial Policies
      • Editorial Board
      • Aims and Scope
      • Abstracting and Indexing
      • Bibliographic Information
      • Archive
    • Experimental and Therapeutic Medicine
      • Experimental and Therapeutic Medicine
      • Information for Authors
      • Editorial Policies
      • Editorial Board
      • Aims and Scope
      • Abstracting and Indexing
      • Bibliographic Information
      • Archive
    • International Journal of Molecular Medicine
      • International Journal of Molecular Medicine
      • Information for Authors
      • Editorial Policies
      • Editorial Board
      • Aims and Scope
      • Abstracting and Indexing
      • Bibliographic Information
      • Archive
    • Biomedical Reports
      • Biomedical Reports
      • Information for Authors
      • Editorial Policies
      • Editorial Board
      • Aims and Scope
      • Abstracting and Indexing
      • Bibliographic Information
      • Archive
    • Oncology Reports
      • Oncology Reports
      • Information for Authors
      • Editorial Policies
      • Editorial Board
      • Aims and Scope
      • Abstracting and Indexing
      • Bibliographic Information
      • Archive
    • Molecular Medicine Reports
      • Molecular Medicine Reports
      • Information for Authors
      • Editorial Policies
      • Editorial Board
      • Aims and Scope
      • Abstracting and Indexing
      • Bibliographic Information
      • Archive
    • World Academy of Sciences Journal
      • World Academy of Sciences Journal
      • Information for Authors
      • Editorial Policies
      • Editorial Board
      • Aims and Scope
      • Abstracting and Indexing
      • Bibliographic Information
      • Archive
    • International Journal of Functional Nutrition
      • International Journal of Functional Nutrition
      • Information for Authors
      • Editorial Policies
      • Editorial Board
      • Aims and Scope
      • Abstracting and Indexing
      • Bibliographic Information
      • Archive
    • International Journal of Epigenetics
      • International Journal of Epigenetics
      • Information for Authors
      • Editorial Policies
      • Editorial Board
      • Aims and Scope
      • Abstracting and Indexing
      • Bibliographic Information
      • Archive
    • Medicine International
      • Medicine International
      • Information for Authors
      • Editorial Policies
      • Editorial Board
      • Aims and Scope
      • Abstracting and Indexing
      • Bibliographic Information
      • Archive
  • Articles
  • Information
    • Information for Authors
    • Information for Reviewers
    • Information for Librarians
    • Information for Advertisers
    • Conferences
  • Language Editing
Spandidos Publications Logo
  • About
    • About Spandidos
    • Aims and Scopes
    • Abstracting and Indexing
    • Editorial Policies
    • Reprints and Permissions
    • Job Opportunities
    • Terms and Conditions
    • Contact
  • Journals
    • All Journals
    • Biomedical Reports
      • Information for Authors
      • Editorial Policies
      • Editorial Board
      • Aims and Scope
      • Abstracting and Indexing
      • Bibliographic Information
      • Archive
    • Experimental and Therapeutic Medicine
      • Information for Authors
      • Editorial Policies
      • Editorial Board
      • Aims and Scope
      • Abstracting and Indexing
      • Bibliographic Information
      • Archive
    • International Journal of Epigenetics
      • Information for Authors
      • Editorial Policies
      • Editorial Board
      • Aims and Scope
      • Abstracting and Indexing
      • Bibliographic Information
      • Archive
    • International Journal of Functional Nutrition
      • Information for Authors
      • Editorial Policies
      • Editorial Board
      • Aims and Scope
      • Abstracting and Indexing
      • Bibliographic Information
      • Archive
    • International Journal of Molecular Medicine
      • Information for Authors
      • Editorial Policies
      • Editorial Board
      • Aims and Scope
      • Abstracting and Indexing
      • Bibliographic Information
      • Archive
    • International Journal of Oncology
      • Information for Authors
      • Editorial Policies
      • Editorial Board
      • Aims and Scope
      • Abstracting and Indexing
      • Bibliographic Information
      • Archive
    • Medicine International
      • Information for Authors
      • Editorial Policies
      • Editorial Board
      • Aims and Scope
      • Abstracting and Indexing
      • Bibliographic Information
      • Archive
    • Molecular and Clinical Oncology
      • Information for Authors
      • Editorial Policies
      • Editorial Board
      • Aims and Scope
      • Abstracting and Indexing
      • Bibliographic Information
      • Archive
    • Molecular Medicine Reports
      • Information for Authors
      • Editorial Policies
      • Editorial Board
      • Aims and Scope
      • Abstracting and Indexing
      • Bibliographic Information
      • Archive
    • Oncology Letters
      • Information for Authors
      • Editorial Policies
      • Editorial Board
      • Aims and Scope
      • Abstracting and Indexing
      • Bibliographic Information
      • Archive
    • Oncology Reports
      • Information for Authors
      • Editorial Policies
      • Editorial Board
      • Aims and Scope
      • Abstracting and Indexing
      • Bibliographic Information
      • Archive
    • World Academy of Sciences Journal
      • Information for Authors
      • Editorial Policies
      • Editorial Board
      • Aims and Scope
      • Abstracting and Indexing
      • Bibliographic Information
      • Archive
  • Articles
  • Information
    • For Authors
    • For Reviewers
    • For Librarians
    • For Advertisers
    • Conferences
  • Language Editing
Login Register Submit
  • This site uses cookies
  • You can change your cookie settings at any time by following the instructions in our Cookie Policy. To find out more, you may read our Privacy Policy.

    I agree
Search articles by DOI, keyword, author or affiliation
Search
Advanced Search
presentation
Oncology Letters
Join Editorial Board Propose a Special Issue
Print ISSN: 1792-1074 Online ISSN: 1792-1082
Journal Cover
December-2024 Volume 28 Issue 6

Full Size Image

Sign up for eToc alerts
Recommend to Library

Journals

International Journal of Molecular Medicine

International Journal of Molecular Medicine

International Journal of Molecular Medicine is an international journal devoted to molecular mechanisms of human disease.

International Journal of Oncology

International Journal of Oncology

International Journal of Oncology is an international journal devoted to oncology research and cancer treatment.

Molecular Medicine Reports

Molecular Medicine Reports

Covers molecular medicine topics such as pharmacology, pathology, genetics, neuroscience, infectious diseases, molecular cardiology, and molecular surgery.

Oncology Reports

Oncology Reports

Oncology Reports is an international journal devoted to fundamental and applied research in Oncology.

Experimental and Therapeutic Medicine

Experimental and Therapeutic Medicine

Experimental and Therapeutic Medicine is an international journal devoted to laboratory and clinical medicine.

Oncology Letters

Oncology Letters

Oncology Letters is an international journal devoted to Experimental and Clinical Oncology.

Biomedical Reports

Biomedical Reports

Explores a wide range of biological and medical fields, including pharmacology, genetics, microbiology, neuroscience, and molecular cardiology.

Molecular and Clinical Oncology

Molecular and Clinical Oncology

International journal addressing all aspects of oncology research, from tumorigenesis and oncogenes to chemotherapy and metastasis.

World Academy of Sciences Journal

World Academy of Sciences Journal

Multidisciplinary open-access journal spanning biochemistry, genetics, neuroscience, environmental health, and synthetic biology.

International Journal of Functional Nutrition

International Journal of Functional Nutrition

Open-access journal combining biochemistry, pharmacology, immunology, and genetics to advance health through functional nutrition.

International Journal of Epigenetics

International Journal of Epigenetics

Publishes open-access research on using epigenetics to advance understanding and treatment of human disease.

Medicine International

Medicine International

An International Open Access Journal Devoted to General Medicine.

Journal Cover
December-2024 Volume 28 Issue 6

Full Size Image

Sign up for eToc alerts
Recommend to Library

  • Article
  • Citations
    • Cite This Article
    • Download Citation
    • Create Citation Alert
    • Remove Citation Alert
    • Cited By
  • Similar Articles
    • Related Articles (in Spandidos Publications)
    • Similar Articles (Google Scholar)
    • Similar Articles (PubMed)
  • Download PDF
  • Download XML
  • View XML
Article Open Access

Comparative effectiveness of two abbreviated rectal MRI protocols in assessing tumor response to neoadjuvant chemoradiotherapy in patients with rectal cancer

  • Authors:
    • Filiz Taşçi
    • Yavuz Metin
    • Nurgül Orhan Metin
    • Sema Rakici
    • Melih Gaffar Gözükara
    • Erencan Taşçi
  • View Affiliations / Copyright

    Affiliations: Department of Radiology, Faculty of Medicine, Recep Tayyip Erdogan University, 53000 Rize, Turkey, Faculty of Medicine, Ankara University, 06230 Ankara, Turkey, Radiology Unit, Beytepe Murat Erdi Eker State Hospital, 06800 Ankara, Turkey, Department of Radiation Oncology, Faculty of Medicine, Recep Tayyip Erdogan University, 53000 Rize, Turkey, Health Directorate, Ankara Yıldırım Beyazıt University Faculty of Medicine, 06800 Ankara, Turkey, Güneysu Physical Therapy Unit, Faculty of Medicine, Recep Tayyip Erdogan University, 53000 Rize, Turkey
    Copyright: © Taşçi et al. This is an open access article distributed under the terms of Creative Commons Attribution License.
  • Article Number: 565
    |
    Published online on: September 26, 2024
       https://doi.org/10.3892/ol.2024.14696
  • Expand metrics +
Metrics: Total Views: 0 (Spandidos Publications: | PMC Statistics: )
Metrics: Total PDF Downloads: 0 (Spandidos Publications: | PMC Statistics: )
Cited By (CrossRef): 0 citations Loading Articles...

This article is mentioned in:



Abstract

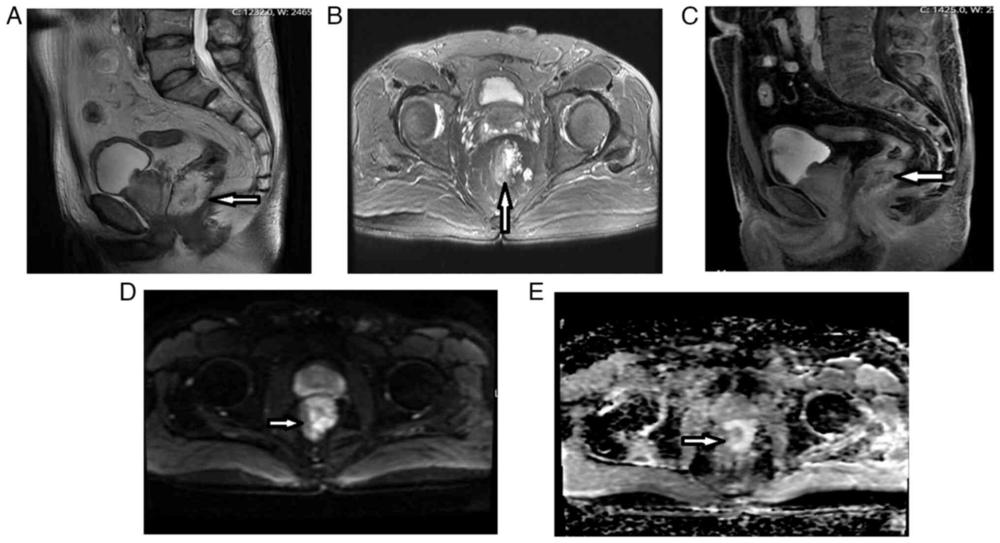
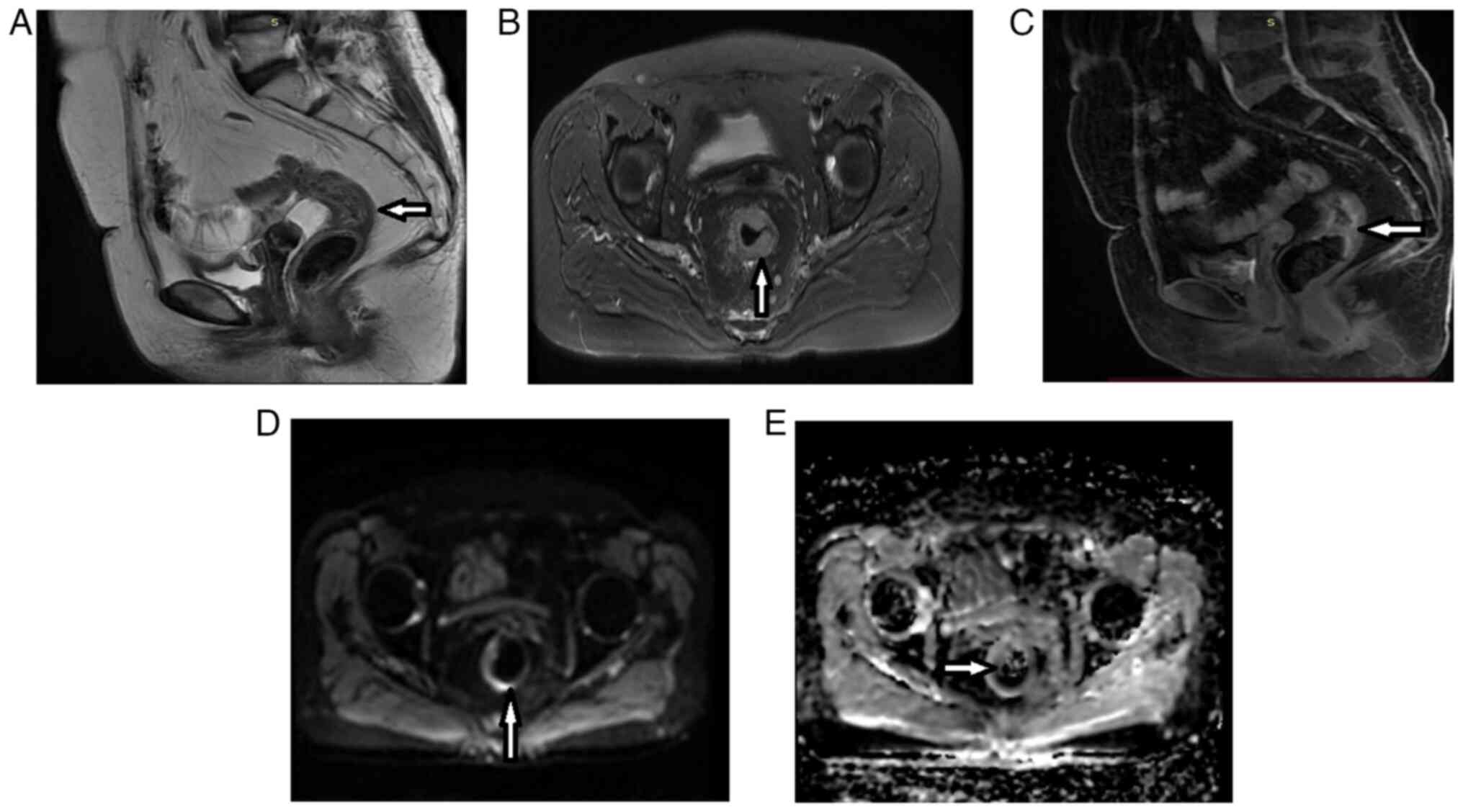
The present study aimed to compare the effectiveness of two abbreviated magnetic resonance imaging (MRI) protocols in assessing the response to neoadjuvant chemoradiotherapy (CRT) in patients with rectal cancer. Data from the examinations of 62 patients with rectal cancer who underwent neoadjuvant CRT and standard contrast‑enhanced rectal MRI were retrospectively evaluated. Standard contrast‑enhanced T2‑weighted imaging (T2‑WI), post‑contrast T1‑weighted imaging (T1‑WI) and diffusion‑weighted imaging (DWI) MRI, as well as two abbreviated protocols derived from these images, namely protocol AB1 (T2‑WI and DWI) and protocol AB2 (post‑contrast fat‑suppressed (FS) T1‑WI and DWI), were assessed.Measurements of lesion length and width, lymph node short‑axis length, tumor staging, circumferential resection margin (CRM), presence of extramural venous invasion (EMVI), luminal mucin accumulation (MAIN), mucinous response, mesorectal fascia (MRF) involvement, and MRI‑based tumor regression grade (mrTRG) were obtained. The reliability and compatibility of the AB1 and AB2 protocols in the evaluation of tumor response were analyzed. The imaging performed according to the AB1 and AB2 protocols revealed significant decreases in lesion length, width and lymph node size after CRT. These protocols also showed reductions in lymph node positivity, CRM, MRF, EMVI.Furthermore, both protocols were found to be reliable in determining lesion length and width. Additionally, compliance was observed between the protocols in determining lymph node size and positivity, CRM involvement, and EMVI after CRT. In conclusion, the use of abbreviated MRI protocols, specifically T2‑WI with DWI sequences or post‑contrast FS T1‑WI with DWI sequences, is effective for evaluating tumor response in patients with rectal cancer following neoadjuvant CRT.The AB protocols examined in this study yielded similar results in terms of lesion length and width, lymph node positivity, CRM involvement, EMVI, MAIN, and MRF involvement.
View Figures

Figure 1

Figure 2

Figure 3

Figure 4

View References

1 

Maheshwari E, Bajaj G, Jambhekar K, Pandey T and Ram R: Magnetic Resonance Imaging of Rectal Cancer. J Gastrointestinal Abdominal Radiol ISGAR. 2:18–32. 2019. View Article : Google Scholar

2 

Zhao M, Zhao L, Yang H and Duan Y: Apparent diffusion coefficient for the prediction of tumor response to neoadjuvant chemo-radiotherapy in locally advanced rectal cancer. Radiat Oncol. 16:172021. View Article : Google Scholar : PubMed/NCBI

3 

Heald RJ and Ryall RD: Recurrence and survival after total mesorectal excision for rectal cancer. Lancet. 1:1479–1482. 1986. View Article : Google Scholar : PubMed/NCBI

4 

Adjuvant therapy for patients with colon and rectum cancer. Consens Statement. 8:1–25. 1990.

5 

Sauer R, Becker H, Hohenberger W, Rödel C, Wittekind C, Fietkau R, Martus P, Tschmelitsch J, Hager E, Hesss CF, et al: Preoperative versus postoperative chemoradiotherapy for rectal cancer. N Engl J Med. 351:1731–1740. 2004. View Article : Google Scholar : PubMed/NCBI

6 

Haak HE, Maas M, Trebeschi S and Beets-Tan RGH: Modern MR imaging technology in rectal cancer;there is more than meets the eye. Front Oncol. 10:5375322020. View Article : Google Scholar : PubMed/NCBI

7 

Horvat N, Carlos Tavares Rocha C, Clemente Oliveira B, Petkovska I and Gollub MJ: MRI of rectal cancer: Tumor staging, imaging techniques, and management. Radiographics. 39:367–387. 2019. View Article : Google Scholar : PubMed/NCBI

8 

Glimelius B, Tiret E, Cervantes A and Arnold D; ESMO Guidelines Working Group, : Rectal cancer: ESMO Clinical Practice Guidelines for diagnosis, treatment and follow-up. Ann Oncol. 24 (Suppl 6):vi81–vi88. 2013. View Article : Google Scholar : PubMed/NCBI

9 

Beets-Tan RGH, Lambregts DMJ, Maas M, Bipat S, Barbaro B, Curvo-Semedo L, Fenlon HM, Gollub MJ, Gourtsoyianni S, Halligan S, et al: Magnetic resonance imaging for clinical management of rectal cancer: Updated recommendations from the 2016 European Society of Gastrointestinal and Abdominal Radiology (ESGAR) consensus meeting. Eur Radiol. 28:1465–1475. 2018. View Article : Google Scholar : PubMed/NCBI

10 

Patel UB, Taylor F, Blomqvist L, George C, Evans H, Tekkis P, Quirke P, Sebag-Montefiore D, Moran B, HAeld R, et al: Magnetic resonance imaging-detected tumor response for locally advanced rectal cancer predicts survival outcomes: MERCURY experience. J Clin Oncol. 29:3753–3760. 2011. View Article : Google Scholar : PubMed/NCBI

11 

Taylor FG, Swift RI, Blomqvist L and Brown G: A systematic approach to the interpretation of preoperative staging MRI for rectal cancer. AJR Am J Roentgenol. 191:1827–1835. 2018. View Article : Google Scholar : PubMed/NCBI

12 

Seo N, Kim H, Cho MS and Lim JS: Response assessment with MRI after Chemoradiotherapy in rectal cancer: Current evidences. Korean J Radiol. 20:1003–1018. 2019. View Article : Google Scholar : PubMed/NCBI

13 

Granata V, Bicchierai G, Fusco R, Cozzi D, Grazzini G, Danti G, De Muzio F, Maggialetti N, Smorchkova O, D'Elia M, et al: Diagnostic protocols in oncology: Workup and treatment planning. Part 2: Abbreviated MR protocol. Eur Rev Med Pharmacol Sci. 25:6499–6528. 2021.PubMed/NCBI

14 

Fornell-Perez R, Vivas-Escalona V, Aranda-Sanchez J, Gonzalez-Dominguez MC, Rubio-Garcia J, Aleman-Flores P, Lozano-Rodriguez A, Porcel-de-Peralta G and Loro-Ferrer JF: Primary and post-chemoradiotherapy MRI detection of extramural venous invasion in rectal cancer: The role of diffusion-weighted imaging. Radiol Med. 125:522–530. 2020. View Article : Google Scholar : PubMed/NCBI

15 

Lambregts DMJ, Boellaard TN and Beets-Tan RGH: Response evaluation after neoadjuvant treatment for rectal cancer using modern MR imaging: A pictorial review. Insights Imaging. 10:152019. View Article : Google Scholar : PubMed/NCBI

16 

Dijkhoff RAP, Beets-Tan RGH, Lambregts DMJ, Beets GL and Maas M: Value of DCE-MRI for staging and response evaluation in rectal cancer: A systematic review. Eur J Radiol. 95:155–168. 2017. View Article : Google Scholar : PubMed/NCBI

17 

Petrillo A, Fusco R, Granata V, Filice S, Sansone M, Rega D, Delrio P, Bianco F, Romano GM, Tatangelo F, et al: Assessing response to neo-adjuvant therapy in locally advanced rectal cancer using Intra-voxel Incoherent Motion modelling by DWI data and Standardized Index of Shape from DCE-MRI. Ther Adv Med Oncol. 10:17588359188098752018. View Article : Google Scholar : PubMed/NCBI

18 

Fusco R, Sansone M, Granata V, Grimm R, Pace U, Delrio P, Tatangelo F, Botti G, Avallone A, Pecori B and Petrillo A: Diffusion and perfusion MR parameters to assess preoperative short-course radiotherapy response in locally advanced rectal cancer: A comparative explorative study among Standardized Index of Shape by DCEMRI, intravoxel incoherent motion- and diffusion kurtosis imaging-derived parameters. Abdom Radiol (NY). 44:3683–3700. 2019. View Article : Google Scholar : PubMed/NCBI

19 

Fusco R, Granata V, Rega D, Russo C, Pace U, Pecori B, Tatangelo F, Botti G, Izzo F, Cascella M, et al: Morphological and functional features prognostic factor of magnetic resonance imaging in locally advanced rectal cancer. Acta Radiol. 60:815–825. 2019. View Article : Google Scholar : PubMed/NCBI

20 

Granata V, Grassi R, Fusco R, Izzo F, Brunese L, Delrio P, Avallone A, Pecori B and Petrillo A: Current status on response to treatment in locally advanced rectal cancer: What the radiologist should know. Eur Rev Med Pharmacol Sci. 24:12050–12062. 2020.PubMed/NCBI

21 

Patel UB, Blomqvist LK, Taylor F, George G, Guthrie A, Bees N and Brown G: MRI After treatment of locally advanced rectal cancer: How to report tumor response-the MERCURY Experience. AJR Am J Roentgenol. 199:W486–W495. 2012. View Article : Google Scholar : PubMed/NCBI

22 

Kuhl CK: Abbreviated magnetic resonance imaging (MRI) for breast cancer screening: Rationale, concept, and transfer to clinical practice. Annu Rev Med. 70:501–519. 2019. View Article : Google Scholar : PubMed/NCBI

23 

Gao Y and Heller SL: Abbreviated and ultrafast breast MRI in clinical practice. Radiographics. 40:1507–1527. 2020. View Article : Google Scholar : PubMed/NCBI

24 

Hötker AM, Vargas HA and Donati OF: Abbreviated MR protocols in prostate MRI. Life (Basel). 12:5522022.PubMed/NCBI

25 

Lee SL, Shin YR and Kim K: The added value of pelvic surveillance by MRI during postoperative follow-up of rectal cancer, with a focus on abbreviated MRI. Eur Radiol. 30:3113–3124. 2020. View Article : Google Scholar : PubMed/NCBI

26 

Maas M, Nelemans PJ, Valentini V, Das P, Rödel C, Kuo LJ, Calvo FA, Garcia-Aguilar J, Glynne-Jones R, Haustermans K, et al: Long-term outcome in patients with a pathological complete response after chemoradiation for rectal cancer: A pooled analysis of individual patient data. Lancet Oncol. 11:835–844. 2010. View Article : Google Scholar : PubMed/NCBI

27 

Garcia-Aguilar J, Marcet J, Coutsoftides T, Cataldo P, Fichera A, Smith LE, Oomen S, Hunt SR, Herzig D, Dietz D, et al: Impact of neoadjuvant chemotherapy following chemoradiation on tumor response, adverse events, and surgical complications in patients with advanced rectal cancer treated with TME. J Clin Oncol. 29 (15 suppl):S35142011. View Article : Google Scholar

28 

Jhaveri KS and Hosseini-Nik H: MRI of rectal cancer: An overview and update on recent advances. AJR Am J Roentgenol. 205:W42–W55. 2015. View Article : Google Scholar : PubMed/NCBI

29 

Jung SH, Heo SH, Kim JW, Jeong YY, Shin SS, Soung MG, Kim HR and Kang HK: Predicting response to neoadjuvant chemoradiation therapy in locally advanced rectal cancer: Diffusion-weighted 3 Tesla MR imaging. J Magn Reson Imaging. 35:110–116. 2012. View Article : Google Scholar : PubMed/NCBI

30 

van der Paardt MP, Zagers MB, Beets-Tan RG, Stoker J and Bipat S: Patients who undergo preoperative chemoradiotherapy for locally advanced rectal cancer restaged by using diagnostic MR imaging: A systematic review and meta-analysis. Radiology. 269:101–112. 2013. View Article : Google Scholar : PubMed/NCBI

31 

Vliegen RF, Beets GL, von Meyenfeldt MF, Kessels AG, Lemaire EE, van Engelshoven JM and Beets-Tan RG: Rectal Cancer: MRI in local staging-is gadolinium-based contrast material helpful? Radiology. 234:179–188. 2005. View Article : Google Scholar : PubMed/NCBI

32 

Jang JK, Lee JL, Park SH, Park HJ, Park IJ, Kim JH, Choi SH, Kim J, Yu CS and Kim JC: Magnetic resonance tumour regression grade and pathological correlates in patients with rectal cancer. Br J Surg. 105:1671–1679. 2018. View Article : Google Scholar : PubMed/NCBI

33 

Battersby NJ, Dattani M, Rao S, Cunningham D, Tait D, Adams R, Moran BJ, Khakoo S, Tekkis P, Rasheed S, et al: A rectal cancer feasibility study with an embedded phase III trial design assessing magnetic resonance tumour regression grade (mrTRG) as a novel biomarker to stratify management by good and poor response to chemoradiotherapy (TRIGGER): Study protocol for a randomised controlled trial. Trials. 18:3942017. View Article : Google Scholar : PubMed/NCBI

34 

Lambregts DM, Rao SX, Sassen S, Martens MH, Heijnen LA, Buijsen J, Sosef M, Beets GL, Vliegen RA and Beets-Tan RGH: MRI and Diffusion-weighted MRI volumetry for identification of complete tumor responders after preoperative chemoradiotherapy in patients with rectal cancer: A Bi-institutional validation study. Ann Surg. 262:1034–1039. 2015. View Article : Google Scholar : PubMed/NCBI

35 

Vliegen RF, Beets GL, Lammering G, Dresen RC, Rutten HJ, Kessels AG, Oei TK, de Bruine PA, van Engelshoven JM and Beets-Tan RGH: Mesorectal fascia invasion after neoadjuvant chemotherapy and radiation therapy for locally advanced rectal cancer: Accuracy of MR imaging for prediction. Radiology. 246:454–462. 2008. View Article : Google Scholar : PubMed/NCBI

36 

Park SH, Lim JS, Lee J, Kim HY, Koom WS, Hur H, Park MS, Kim MJ and Kim H: Rectal mucinous adenocarcinoma: MR imaging assessment of response to concurrent chemotherapy and radiation Therapy-A hypothesis-generating study. Radiology. 285:124–133. 2017. View Article : Google Scholar : PubMed/NCBI

37 

Shia J, McManus M, Guillem JG, Leibold T, Zhou Q, Tang LH, Riedel ER, Weiser MR, Paty PB, Temple LK, et al: Significance of acellular mucin pools in rectal carcinoma after neoadjuvant chemoradiotherapy. Am J Surg Pathol. 35:127–134. 2011. View Article : Google Scholar : PubMed/NCBI

38 

Kaur H, Choi H, You YN, Rauch GM, Jensen CT, Hou P, Chang GJ, Skibber JM and Ernst RD: MRI for preoperative evaluation of primary rectal cancer: Practical considerations. Radiographics. 32:389–409. 2012. View Article : Google Scholar : PubMed/NCBI

39 

Sauer R, Liersch T, Merkel S, Fietkau R, Hohenberger W, Hess C, Becker H, Raab HR, Villanueva MT, Witzigmann H, et al: Preoperative versus postoperative chemoradiotherapy for locally advanced rectal cancer: Results of the German CAO/ARO/AIO-94 randomized phase III trial after a median followup of 11 years. J Clin Oncol. 30:1926–1933. 2012. View Article : Google Scholar : PubMed/NCBI

40 

MERCURY Study Group, : Diagnostic accuracy of preoperative magnetic resonance imaging in predicting curative resection of rectal cancer: Prospective observational study. BMJ. 333:7792006. View Article : Google Scholar : PubMed/NCBI

41 

Kulkarni T, Gollins S, Maw A, Hobson P, Byrne R and Widdowson D: Magnetic resonance imaging in rectal cancer downstaged using neoadjuvant chemoradiation: Accuracy of prediction of tumour stage and circumferential resection margin status. Colorectal Dis. 10:479–489. 2008. View Article : Google Scholar : PubMed/NCBI

42 

Kim KH, Park MJ, Lim JS, Kim NK, Min BS, Ahn JB, Kim TI, Kim HG and Koom WS: Circumferential resection margin positivity after preoperative chemoradiotherapy based on magnetic resonance imaging for locally advanced rectal cancer: Implication of boost radiotherapy to the involved mesorectal fascia. Jpn J Clin Oncol. 46:316–322. 2016. View Article : Google Scholar : PubMed/NCBI

43 

Park MJ, Kim SH, Lee SJ, Jang KM and Rhim H: Locally advanced rectal cancer: Added value of diffusion-weighted MR imaging for predicting tumor clearance of the mesorectal fascia after neoadjuvant chemotherapy and radiation therapy. Radiology. 260:771–780. 2011. View Article : Google Scholar : PubMed/NCBI

44 

van Heeswijk MM, Lambregts DM, Palm WM, Henddriks BM, Mass M, Beets GL and Beets-Tan RG: DWI for assessment of rectal cancer nodes after chemoradiotherapy: Is the Absence of Nodes at DWI proof of a negative nodal status? AJR Am J Roentgenol. 208:W79–W84. 2017. View Article : Google Scholar : PubMed/NCBI

45 

Chand M, Evans J, Swift RI, Tekkis PP, West NP, Stamp G, Heald RJ and Brown G: The prognostic significance of postchemoradiotherapy High-resolution MRI and histopathology detected extramural venous invasion in rectal cancer. Ann Surg. 261:473–479. 2015. View Article : Google Scholar : PubMed/NCBI

46 

Tan JJ, Carten RV, Babiker A, Abulafi M, Lord AC and Brown G: Prognostic Importance of MRI-Detected extramural venous invasion in rectal cancer: A literature review and systematic meta-analysis. Int J Radiat Oncol Biol Phys. 111:385–394. 2021. View Article : Google Scholar : PubMed/NCBI

Related Articles

  • Abstract
  • View
  • Download
  • Twitter
Copy and paste a formatted citation
Spandidos Publications style
Taşçi F, Metin Y, Metin NO, Rakici S, Gözükara MG and Taşçi E: Comparative effectiveness of two abbreviated rectal MRI protocols in assessing tumor response to neoadjuvant chemoradiotherapy in patients with rectal cancer. Oncol Lett 28: 565, 2024.
APA
Taşçi, F., Metin, Y., Metin, N.O., Rakici, S., Gözükara, M.G., & Taşçi, E. (2024). Comparative effectiveness of two abbreviated rectal MRI protocols in assessing tumor response to neoadjuvant chemoradiotherapy in patients with rectal cancer. Oncology Letters, 28, 565. https://doi.org/10.3892/ol.2024.14696
MLA
Taşçi, F., Metin, Y., Metin, N. O., Rakici, S., Gözükara, M. G., Taşçi, E."Comparative effectiveness of two abbreviated rectal MRI protocols in assessing tumor response to neoadjuvant chemoradiotherapy in patients with rectal cancer". Oncology Letters 28.6 (2024): 565.
Chicago
Taşçi, F., Metin, Y., Metin, N. O., Rakici, S., Gözükara, M. G., Taşçi, E."Comparative effectiveness of two abbreviated rectal MRI protocols in assessing tumor response to neoadjuvant chemoradiotherapy in patients with rectal cancer". Oncology Letters 28, no. 6 (2024): 565. https://doi.org/10.3892/ol.2024.14696
Copy and paste a formatted citation
x
Spandidos Publications style
Taşçi F, Metin Y, Metin NO, Rakici S, Gözükara MG and Taşçi E: Comparative effectiveness of two abbreviated rectal MRI protocols in assessing tumor response to neoadjuvant chemoradiotherapy in patients with rectal cancer. Oncol Lett 28: 565, 2024.
APA
Taşçi, F., Metin, Y., Metin, N.O., Rakici, S., Gözükara, M.G., & Taşçi, E. (2024). Comparative effectiveness of two abbreviated rectal MRI protocols in assessing tumor response to neoadjuvant chemoradiotherapy in patients with rectal cancer. Oncology Letters, 28, 565. https://doi.org/10.3892/ol.2024.14696
MLA
Taşçi, F., Metin, Y., Metin, N. O., Rakici, S., Gözükara, M. G., Taşçi, E."Comparative effectiveness of two abbreviated rectal MRI protocols in assessing tumor response to neoadjuvant chemoradiotherapy in patients with rectal cancer". Oncology Letters 28.6 (2024): 565.
Chicago
Taşçi, F., Metin, Y., Metin, N. O., Rakici, S., Gözükara, M. G., Taşçi, E."Comparative effectiveness of two abbreviated rectal MRI protocols in assessing tumor response to neoadjuvant chemoradiotherapy in patients with rectal cancer". Oncology Letters 28, no. 6 (2024): 565. https://doi.org/10.3892/ol.2024.14696
Follow us
  • Twitter
  • LinkedIn
  • Facebook
About
  • Spandidos Publications
  • Careers
  • Cookie Policy
  • Privacy Policy
How can we help?
  • Help
  • Live Chat
  • Contact
  • Email to our Support Team