Spandidos Publications Logo
  • About
    • About Spandidos
    • Aims and Scopes
    • Abstracting and Indexing
    • Editorial Policies
    • Reprints and Permissions
    • Job Opportunities
    • Terms and Conditions
    • Contact
  • Journals
    • All Journals
    • Oncology Letters
      • Oncology Letters
      • Information for Authors
      • Editorial Policies
      • Editorial Board
      • Aims and Scope
      • Abstracting and Indexing
      • Bibliographic Information
      • Archive
    • International Journal of Oncology
      • International Journal of Oncology
      • Information for Authors
      • Editorial Policies
      • Editorial Board
      • Aims and Scope
      • Abstracting and Indexing
      • Bibliographic Information
      • Archive
    • Molecular and Clinical Oncology
      • Molecular and Clinical Oncology
      • Information for Authors
      • Editorial Policies
      • Editorial Board
      • Aims and Scope
      • Abstracting and Indexing
      • Bibliographic Information
      • Archive
    • Experimental and Therapeutic Medicine
      • Experimental and Therapeutic Medicine
      • Information for Authors
      • Editorial Policies
      • Editorial Board
      • Aims and Scope
      • Abstracting and Indexing
      • Bibliographic Information
      • Archive
    • International Journal of Molecular Medicine
      • International Journal of Molecular Medicine
      • Information for Authors
      • Editorial Policies
      • Editorial Board
      • Aims and Scope
      • Abstracting and Indexing
      • Bibliographic Information
      • Archive
    • Biomedical Reports
      • Biomedical Reports
      • Information for Authors
      • Editorial Policies
      • Editorial Board
      • Aims and Scope
      • Abstracting and Indexing
      • Bibliographic Information
      • Archive
    • Oncology Reports
      • Oncology Reports
      • Information for Authors
      • Editorial Policies
      • Editorial Board
      • Aims and Scope
      • Abstracting and Indexing
      • Bibliographic Information
      • Archive
    • Molecular Medicine Reports
      • Molecular Medicine Reports
      • Information for Authors
      • Editorial Policies
      • Editorial Board
      • Aims and Scope
      • Abstracting and Indexing
      • Bibliographic Information
      • Archive
    • World Academy of Sciences Journal
      • World Academy of Sciences Journal
      • Information for Authors
      • Editorial Policies
      • Editorial Board
      • Aims and Scope
      • Abstracting and Indexing
      • Bibliographic Information
      • Archive
    • International Journal of Functional Nutrition
      • International Journal of Functional Nutrition
      • Information for Authors
      • Editorial Policies
      • Editorial Board
      • Aims and Scope
      • Abstracting and Indexing
      • Bibliographic Information
      • Archive
    • International Journal of Epigenetics
      • International Journal of Epigenetics
      • Information for Authors
      • Editorial Policies
      • Editorial Board
      • Aims and Scope
      • Abstracting and Indexing
      • Bibliographic Information
      • Archive
    • Medicine International
      • Medicine International
      • Information for Authors
      • Editorial Policies
      • Editorial Board
      • Aims and Scope
      • Abstracting and Indexing
      • Bibliographic Information
      • Archive
  • Articles
  • Information
    • Information for Authors
    • Information for Reviewers
    • Information for Librarians
    • Information for Advertisers
    • Conferences
  • Language Editing
Spandidos Publications Logo
  • About
    • About Spandidos
    • Aims and Scopes
    • Abstracting and Indexing
    • Editorial Policies
    • Reprints and Permissions
    • Job Opportunities
    • Terms and Conditions
    • Contact
  • Journals
    • All Journals
    • Biomedical Reports
      • Information for Authors
      • Editorial Policies
      • Editorial Board
      • Aims and Scope
      • Abstracting and Indexing
      • Bibliographic Information
      • Archive
    • Experimental and Therapeutic Medicine
      • Information for Authors
      • Editorial Policies
      • Editorial Board
      • Aims and Scope
      • Abstracting and Indexing
      • Bibliographic Information
      • Archive
    • International Journal of Epigenetics
      • Information for Authors
      • Editorial Policies
      • Editorial Board
      • Aims and Scope
      • Abstracting and Indexing
      • Bibliographic Information
      • Archive
    • International Journal of Functional Nutrition
      • Information for Authors
      • Editorial Policies
      • Editorial Board
      • Aims and Scope
      • Abstracting and Indexing
      • Bibliographic Information
      • Archive
    • International Journal of Molecular Medicine
      • Information for Authors
      • Editorial Policies
      • Editorial Board
      • Aims and Scope
      • Abstracting and Indexing
      • Bibliographic Information
      • Archive
    • International Journal of Oncology
      • Information for Authors
      • Editorial Policies
      • Editorial Board
      • Aims and Scope
      • Abstracting and Indexing
      • Bibliographic Information
      • Archive
    • Medicine International
      • Information for Authors
      • Editorial Policies
      • Editorial Board
      • Aims and Scope
      • Abstracting and Indexing
      • Bibliographic Information
      • Archive
    • Molecular and Clinical Oncology
      • Information for Authors
      • Editorial Policies
      • Editorial Board
      • Aims and Scope
      • Abstracting and Indexing
      • Bibliographic Information
      • Archive
    • Molecular Medicine Reports
      • Information for Authors
      • Editorial Policies
      • Editorial Board
      • Aims and Scope
      • Abstracting and Indexing
      • Bibliographic Information
      • Archive
    • Oncology Letters
      • Information for Authors
      • Editorial Policies
      • Editorial Board
      • Aims and Scope
      • Abstracting and Indexing
      • Bibliographic Information
      • Archive
    • Oncology Reports
      • Information for Authors
      • Editorial Policies
      • Editorial Board
      • Aims and Scope
      • Abstracting and Indexing
      • Bibliographic Information
      • Archive
    • World Academy of Sciences Journal
      • Information for Authors
      • Editorial Policies
      • Editorial Board
      • Aims and Scope
      • Abstracting and Indexing
      • Bibliographic Information
      • Archive
  • Articles
  • Information
    • For Authors
    • For Reviewers
    • For Librarians
    • For Advertisers
    • Conferences
  • Language Editing
Login Register Submit
  • This site uses cookies
  • You can change your cookie settings at any time by following the instructions in our Cookie Policy. To find out more, you may read our Privacy Policy.

    I agree
Search articles by DOI, keyword, author or affiliation
Search
Advanced Search
presentation
Oncology Letters
Join Editorial Board Propose a Special Issue
Print ISSN: 1792-1074 Online ISSN: 1792-1082
Journal Cover
December-2024 Volume 28 Issue 6

Full Size Image

Sign up for eToc alerts
Recommend to Library

Journals

International Journal of Molecular Medicine

International Journal of Molecular Medicine

International Journal of Molecular Medicine is an international journal devoted to molecular mechanisms of human disease.

International Journal of Oncology

International Journal of Oncology

International Journal of Oncology is an international journal devoted to oncology research and cancer treatment.

Molecular Medicine Reports

Molecular Medicine Reports

Covers molecular medicine topics such as pharmacology, pathology, genetics, neuroscience, infectious diseases, molecular cardiology, and molecular surgery.

Oncology Reports

Oncology Reports

Oncology Reports is an international journal devoted to fundamental and applied research in Oncology.

Experimental and Therapeutic Medicine

Experimental and Therapeutic Medicine

Experimental and Therapeutic Medicine is an international journal devoted to laboratory and clinical medicine.

Oncology Letters

Oncology Letters

Oncology Letters is an international journal devoted to Experimental and Clinical Oncology.

Biomedical Reports

Biomedical Reports

Explores a wide range of biological and medical fields, including pharmacology, genetics, microbiology, neuroscience, and molecular cardiology.

Molecular and Clinical Oncology

Molecular and Clinical Oncology

International journal addressing all aspects of oncology research, from tumorigenesis and oncogenes to chemotherapy and metastasis.

World Academy of Sciences Journal

World Academy of Sciences Journal

Multidisciplinary open-access journal spanning biochemistry, genetics, neuroscience, environmental health, and synthetic biology.

International Journal of Functional Nutrition

International Journal of Functional Nutrition

Open-access journal combining biochemistry, pharmacology, immunology, and genetics to advance health through functional nutrition.

International Journal of Epigenetics

International Journal of Epigenetics

Publishes open-access research on using epigenetics to advance understanding and treatment of human disease.

Medicine International

Medicine International

An International Open Access Journal Devoted to General Medicine.

Journal Cover
December-2024 Volume 28 Issue 6

Full Size Image

Sign up for eToc alerts
Recommend to Library

  • Article
  • Citations
    • Cite This Article
    • Download Citation
    • Create Citation Alert
    • Remove Citation Alert
    • Cited By
  • Similar Articles
    • Related Articles (in Spandidos Publications)
    • Similar Articles (Google Scholar)
    • Similar Articles (PubMed)
  • Download PDF
  • Download XML
  • View XML
Article Open Access

Whole‑exome sequencing insights into synchronous bilateral breast cancer with discordant molecular subtypes

  • Authors:
    • Shi-Han Hu
    • Bo Gao
    • Zheng-Jin Li
    • Ya-Chen Yuan
  • View Affiliations / Copyright

    Affiliations: Department of Pathology and Pathophysiology, College of Medicine, Dali University, Dali, Yunnan 671000, P.R. China, Department of Pathology, The First Affiliated Hospital of Dali University, Dali, Yunnan 671000, P.R. China
    Copyright: © Hu et al. This is an open access article distributed under the terms of Creative Commons Attribution License.
  • Article Number: 595
    |
    Published online on: October 8, 2024
       https://doi.org/10.3892/ol.2024.14728
  • Expand metrics +
Metrics: Total Views: 0 (Spandidos Publications: | PMC Statistics: )
Metrics: Total PDF Downloads: 0 (Spandidos Publications: | PMC Statistics: )
Cited By (CrossRef): 0 citations Loading Articles...

This article is mentioned in:



Abstract

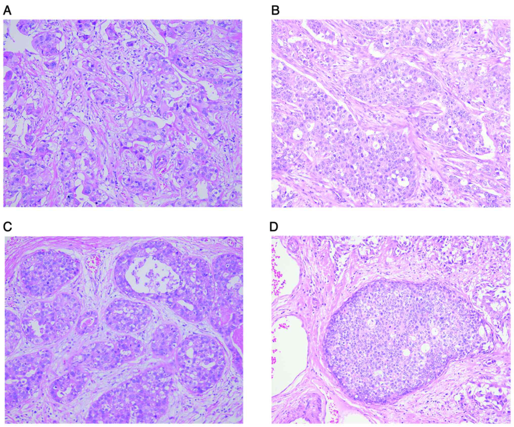
The incidence of synchronous bilateral breast cancer (SBBC) is very low, and SBBC with discordant molecular subtypes is even more uncommon. As such, little is known about the pathogenesis of SBBC with discordant molecular subtypes, and reports about this entity are scarce. In the present study, the case of a 72‑year‑old female patient who presented with SBBC with discordant molecular subtypes is reported, with a stage IA hormone receptor negative {human epidermal growth factor receptor‑2 [HER2(+)]} tumor in the left breast and a stage IIIA hormone sensitive tumor [HER2(‑)] in the right breast. Whole‑exome sequencing was performed to identify the differential genetic variations in the BBC tissues. A total of 8 key mutated cancer susceptibility genes (ALK, BRCA1, FAT1, HNF1A, KDR, PTCH1, SDHA and SETBP1) were screened, and mutations were found in 10 vital cancer driver genes, including BRCA1, EBF1, MET, NF2, NUMA1 RALGAPA1, ROBO2, SMYD4, UBR5 and ZNF844. The high‑frequency mutated genes mainly contained missense mutations, among which single nucleotide variants were the most common mutations, with C > T and C > A as the main forms. The pathways associated with the high frequency mutated genes were further elucidated by functional category and Kyoto Encyclopedia of Genes and Genomes pathway enrichment analyses. Heterogeneity in the hormone receptor and HER2 status of SBBC poses unique therapeutic challenges. Future studies should aim to identify the optimal management strategy for this disease.
View Figures

Figure 1

Figure 2

Figure 3

Figure 4

Figure 5

Figure 6

View References

1 

Siegel RL, Miller KD and Jemal A: Cancer statistics, 2020. CA Cancer J Clin. 70:7–30. 2020. View Article : Google Scholar : PubMed/NCBI

2 

Giuliano AE, Edge SB and Hortobagyi GN: Eighth edition of the AJCC cancer staging manual: Breast cancer. Ann Surg Oncol. 25:1783–1785. 2018. View Article : Google Scholar : PubMed/NCBI

3 

Jia H, Zheng Y, Wang P, Wei Z, Li X, Fu G and Wang C: A retrospective study on the clinicopathologic characteristics and outcomes of 179 cases of synchronous and metachronous bilateral breast cancer in China. Clin Breast Cancer. 22:e341–e349. 2022. View Article : Google Scholar : PubMed/NCBI

4 

Yin M, Zhang X, Zhu L, Niu S and Chen Q: A case of simultaneous primary bilateral breast cancer and literature review. J Xinxiang Med Coll. 7:623–625. 2018.(In Chinese).

5 

Goldhirsch A, Ingle JN, Gelber RD, Coates AS, Thürlimann B and Senn HJ; Panel members, : Thresholds for therapies: Highlights of the St Gallen international expert consensus on the primary therapy of early breast cancer 2009. Ann Oncol. 20:1319–1329. 2009. View Article : Google Scholar : PubMed/NCBI

6 

Chen S, Chen CM, Yu KD, Zhou RJ and Shao ZM: Prognostic value of a positive-to-negative change in hormone receptor status after neoadjuvant chemotherapy in patients with hormone receptor-positive breast cancer. Ann Surg Oncol. 19:3002–3011. 2012. View Article : Google Scholar : PubMed/NCBI

7 

Chen Y, Liu X, Yu K, Sun X, Xu S, Qiu P, Lv Z, Zhang X, Guo A and Xu Y: Impact of hormone receptor, HER2, and Ki-67 status conversions on survival after neoadjuvant chemotherapy in breast cancer patients: A retrospective study. Ann Transl Med. 10:932022. View Article : Google Scholar : PubMed/NCBI

8 

Iwase H: Current topics and perspectives on the use of aromatase inhibitors in the treatment of breast cancer. Breast Cancer. 15:278–290. 2008. View Article : Google Scholar : PubMed/NCBI

9 

Arora A, Shen R and Seshan VE: FACETS: Fraction and allele-specific copy number estimates from tumor sequencing. Methods Mol Biol. 2493:89–105. 2022. View Article : Google Scholar : PubMed/NCBI

10 

Dees ND, Zhang Q, Kandoth C, Wendl MC, Schierding W, Koboldt DC, Mooney TB, Callaway MB, Dooling D, Mardis ER, et al: MuSiC: Identifying mutational significance in cancer genomes. Genome Res. 22:1589–1598. 2012. View Article : Google Scholar : PubMed/NCBI

11 

Sondka Z, Bamford S, Cole CG, Ward SA, Dunham I and Forbes SA: The COSMIC cancer gene census: Describing genetic dysfunction across all human cancers. Nat Rev Cancer. 18:696–705. 2018. View Article : Google Scholar : PubMed/NCBI

12 

Martínez-Jiménez F, Muiños F, Sentís I, Deu-Pons J, Reyes-Salazar I, Arnedo-Pac C, Mularoni L, Pich O, Bonet J, Kranas H, et al: A compendium of mutational cancer driver genes. Nat Rev Cancer. 20:555–572. 2020. View Article : Google Scholar : PubMed/NCBI

13 

Bailey MH, Tokheim C, Porta-Pardo E, Sengupta S, Bertrand D, Weerasinghe A, Colaprico A, Wendl MC, Kim J, Reardon B, et al: Comprehensive characterization of cancer driver genes and mutations. Cell. 173:371–385.e18. 2018. View Article : Google Scholar : PubMed/NCBI

14 

Tamborero D, Gonzalez-Perez A, Perez-Llamas C, Deu-Pons J, Kandoth C, Reimand J, Lawrence MS, Getz G, Bader GD, Ding L and Lopez-Bigas N: Comprehensive identification of mutational cancer driver genes across 12 tumor types. Sci Rep. 3:26502013. View Article : Google Scholar : PubMed/NCBI

15 

Vogelstein B, Papadopoulos N, Velculescu VE, Zhou S, Diaz LA Jr and Kinzler KW: Cancer genome landscapes. Science. 339:1546–1558. 2013. View Article : Google Scholar : PubMed/NCBI

16 

Sung H, Ferlay J, Siegel RL, Laversanne M, Soerjomataram I, Jemal A and Bray F: Global cancer statistics 2020: GLOBOCAN estimates of incidence and mortality worldwide for 36 cancers in 185 countries. CA Cancer J Clin. 71:209–249. 2021. View Article : Google Scholar : PubMed/NCBI

17 

Huang KL, Liu YL, Hsu YY and Kuo WL: Retrospective analysis of clinicopathological features and familial cancer history of synchronous bilateral breast cancer. Healthcare (Basel). 9:12032021. View Article : Google Scholar : PubMed/NCBI

18 

Holm M, Tjønneland A, Balslev E and Kroman N: Prognosis of synchronous bilateral breast cancer: A review and meta-analysis of observational studies. Breast Cancer Res Treat. 146:461–475. 2014. View Article : Google Scholar : PubMed/NCBI

19 

Amin MB, Greene FL, Edge SB, Compton CC, Gershenwald JE, Brookland RK, Meyer L, Gress DM, Byrd DR and Winchester DP: The eighth edition AJCC cancer staging manual: Continuing to build a bridge from a population-based to a more ‘personalized’ approach to cancer staging. CA Cancer J Clin. 67:93–99. 2017. View Article : Google Scholar : PubMed/NCBI

20 

Huo D, Melkonian S, Rathouz PJ, Khramtsov A and Olopade OI: Concordance in histological and biological parameters between first and second primary breast cancers. Cancer. 117:907–915. 2011. View Article : Google Scholar : PubMed/NCBI

21 

Chaudary MA, Millis RR, Hoskins EO, Halder M, Bulbrook RD, Cuzick J and Hayward JL: Bilateral primary breast cancer: A prospective study of disease incidence. Br J Surg. 71:711–714. 1984. View Article : Google Scholar : PubMed/NCBI

22 

Padmanabhan N, Subramanyan A and Radhakrishna S: Synchronous bilateral breast cancers. J Clin Diagn Res. 9:XC05–XC08. 2015.PubMed/NCBI

23 

Londero AP, Bernardi S, Bertozzi S, Angione V, Gentile G, Dri C, Minucci A, Caponnetto F and Petri R: Synchronous and metachronous breast malignancies: A cross-sectional retrospective study and review of the literature. Biomed Res Int. 2014:2507272014. View Article : Google Scholar : PubMed/NCBI

24 

Gong SJ, Rha SY, Jeung HC, Roh JK, Yang WI and Chung HC: Bilateral breast cancer: Differential diagnosis using histological and biological parameters. Jpn J Clin Oncol. 37:487–492. 2007. View Article : Google Scholar : PubMed/NCBI

25 

Kan X: Bilateral primary breast cancer (review). Foreign Medicine (Oncology). 1:15–18. 1980.(In Chinese).

26 

Robbins GF and Berg JW: Bilateral primary breast cancer: A prospective clinicopathological study. Cancer. 17:1501–1527. 1964. View Article : Google Scholar : PubMed/NCBI

27 

Aranda-Gutierrez A, Gomez-Picos A, Ferrigno AS, Moncada-Madrazo M and Diaz-Perez H: Molecular subtype discordance in a young woman with synchronous bilateral breast cancer: A case report. Cureus. 12:e72422020.PubMed/NCBI

28 

Dhadlie S, Whitfield J and Hendahewa R: Synchronous bilateral breast cancer: A case report of heterogeneous estrogen receptor status. Int J Surg Case Rep. 53:102–106. 2018. View Article : Google Scholar : PubMed/NCBI

29 

Esclovon JW, Ponder M, Aydin N and Misra S: Challenges of treating incidental synchronous bilateral breast cancer with differing tumour biology. BMJ Case Rep. 2016:bcr20162162012016. View Article : Google Scholar : PubMed/NCBI

30 

Hayashi M, Yamamoto Y, Takata N and Iwase H: A case of synchronous bilateral breast cancer with different pathological responses to neoadjuvant chemotherapy with different biological character. Springerplus. 2:2722013. View Article : Google Scholar : PubMed/NCBI

31 

Copur MS, Ramaekers R, Gauchan D, Crockett D and Clark D: Synchronous bilateral breast cancer with discordant histology. Oncology (Williston Park). 31:274–277. 3122017.PubMed/NCBI

32 

Ojo AS, Shittu A, Amadife S, Jackson D, Grantham M, Ali A and Sarma R: Synchronous bilateral breast cancer with discordant receptor status: Treating one patient but two diseases. World J Oncol. 14:224–229. 2023. View Article : Google Scholar : PubMed/NCBI

33 

McCart Reed AE, Kutasovic JR, Lakhani SR and Simpson PT: Invasive lobular carcinoma of the breast: Morphology, biomarkers and 'omics. Breast Cancer Res. 17:122015. View Article : Google Scholar : PubMed/NCBI

34 

Li J and Jiang Z: Chinese society of clinical oncology breast cancer (CSCO BC) guidelines in 2022: Stratification and classification. Cancer Biol Med. 19:769–773. 2022. View Article : Google Scholar : PubMed/NCBI

35 

Montemurro F, Nuzzolese I and Ponzone R: Neoadjuvant or adjuvant chemotherapy in early breast cancer? Expert Opin Pharmacother. 21:1071–1082. 2020. View Article : Google Scholar : PubMed/NCBI

36 

Hartman M, Czene K, Reilly M, Adolfsson J, Bergh J, Adami HO, Dickman PW and Hall P: Incidence and prognosis of synchronous and metachronous bilateral breast cancer. J Clin Oncol. 25:4210–4216. 2007. View Article : Google Scholar : PubMed/NCBI

37 

Pan B, Xu Y, Zhou YD, Yao R, Wu HW, Zhu QL, Wang CJ, Mao F, Lin Y, Shen SJ and Sun Q: The prognostic comparison among unilateral, bilateral, synchronous bilateral, and metachronous bilateral breast cancer: A meta-analysis of studies from recent decade (2008–2018). Cancer Med. 8:2908–2918. 2019. View Article : Google Scholar : PubMed/NCBI

38 

Jobsen JJ, van der Palen J, Ong F, Riemersma S and Struikmans H: Bilateral breast cancer, synchronous and metachronous; differences and outcome. Breast Cancer Res Treat. 153:277–283. 2015. View Article : Google Scholar : PubMed/NCBI

39 

Mejdahl MK, Wohlfahrt J, Holm M, Balslev E, Knoop AS, Tjønneland A, Melbye M and Kroman N: Breast cancer mortality in synchronous bilateral breast cancer patients. Br J Cancer. 120:761–767. 2019. View Article : Google Scholar : PubMed/NCBI

40 

Liu S, Nyström NN, Kelly JJ, Hamilton AM, Fu Y and Ronald JA: Molecular imaging reveals a high degree of cross-seeding of spontaneous metastases in a novel mouse model of synchronous bilateral breast cancer. Mol Imaging Biol. 24:104–114. 2022. View Article : Google Scholar : PubMed/NCBI

41 

Yang WT and Zhu XZ: The introduction of 2012 WHO classification of tumours of the breast. Zhonghua Bing Li Xue Za Zhi. 42:78–80. 2013.(In Chinese). PubMed/NCBI

42 

Ding S, Sun X, Lu S, Wang Z, Chen X and Shen K: Association of molecular subtype concordance and survival outcome in synchronous and metachronous bilateral breast cancer. Breast. 57:71–79. 2021. View Article : Google Scholar : PubMed/NCBI

43 

Zhang H and Shan CP: Research progress on risk factors of bilateral primary breast cancer. Shandong Medical Journal. 56:99–101. 2016.(In Chinese).

44 

Wadasadawala T, Lewis S, Parmar V, Budrukkar A, Gupta S, Nair N, Shet T, Badwe R and Sarin R: Bilateral breast cancer after multimodality treatment: A report of clinical outcomes in an asian population. Clin Breast Cancer. 18:e727–e737. 2018. View Article : Google Scholar : PubMed/NCBI

45 

Miki Y, Swensen J, Shattuck-Eidens D, Futreal PA, Harshman K, Tavtigian S, Liu Q, Cochran C, Bennett LM, Ding W, et al: A strong candidate for the breast and ovarian cancer susceptibility gene BRCA1. Science. 266:66–71. 1994. View Article : Google Scholar : PubMed/NCBI

46 

Roy R, Chun J and Powell SN: BRCA1 and BRCA2: Different roles in a common pathway of genome protection. Nat Rev Cancer. 12:68–78. 2011. View Article : Google Scholar : PubMed/NCBI

47 

Xu B, Kim St and Kastan MB: Involvement of Brca1 in S-phase and G(2)-phase checkpoints after ionizing irradiation. Mol Cell Biol. 21:3445–3450. 2001. View Article : Google Scholar : PubMed/NCBI

48 

Deng CX: BRCA1: Cell cycle checkpoint, genetic instability, DNA damage response and cancer evolution. Nucleic Acids Res. 34:1416–1426. 2006. View Article : Google Scholar : PubMed/NCBI

49 

Huen MSY, Sy SMH and Chen J: BRCA1 and its toolbox for the maintenance of genome integrity. Nat Rev Mol Cell Biol. 11:138–148. 2010. View Article : Google Scholar : PubMed/NCBI

50 

Shao C, Wan J, Lam FC, Tang H, Marley AR, Song Y, Miller C, Brown M, Han J and Adeboyeje G: A comprehensive literature review and meta-analysis of the prevalence of pan-cancer BRCA mutations, homologous recombination repair gene mutations, and homologous recombination deficiencies. Environ Mol Mutagen. 63:308–316. 2022. View Article : Google Scholar : PubMed/NCBI

51 

Kuchenbaecker KB, Hopper JL, Barnes DR, Phillips KA, Mooij TM, Roos-Blom MJ, Jervis S, van Leeuwen FE, Milne RL, Andrieu N, et al: Risks of breast, ovarian, and contralateral breast cancer for BRCA1 and BRCA2 mutation carriers. JAMA. 317:2402–2416. 2017. View Article : Google Scholar : PubMed/NCBI

52 

Daly MB, Pilarski R, Yurgelun MB, Berry MP, Buys SS, Dickson P, Domchek SM, Elkhanany A, Friedman S, Garber JE, et al: NCCN guidelines insights: Genetic/familial High-risk assessment: Breast, ovarian, and pancreatic, version 1.2020. J Natl Compr Canc Netw. 18:380–391. 2020. View Article : Google Scholar : PubMed/NCBI

53 

Wang YA, Jian JW, Hung CF, Peng HP, Yang CF, Cheng HS and Yang AS: Germline breast cancer susceptibility gene mutations and breast cancer outcomes. BMC Cancer. 18:3152018. View Article : Google Scholar : PubMed/NCBI

54 

Lydersen BK and Pettijohn DE: Human-specific nuclear protein that associates with the polar region of the mitotic apparatus: Distribution in a human/hamster hybrid cell. Cell. 22:489–499. 1980. View Article : Google Scholar : PubMed/NCBI

55 

Kilpivaara O, Rantanen M, Tamminen A, Aittomäki K, Blomqvist C and Nevanlinna H: Comprehensive analysis of NuMA variation in breast cancer. BMC Cancer. 8:712008. View Article : Google Scholar : PubMed/NCBI

56 

Vidi PA, Liu J, Salles D, Jayaraman S, Dorfman G, Gray M, Abad P, Moghe PV, Irudayaraj JM, Wiesmüller L and Lelièvre SA: NuMA promotes homologous recombination repair by regulating the accumulation of the ISWI ATPase SNF2h at DNA breaks. Nucleic Acids Res. 42:6365–6379. 2014. View Article : Google Scholar : PubMed/NCBI

57 

Ohata H, Miyazaki M, Otomo R, Matsushima-Hibiya Y, Otsubo C, Nagase T, Arakawa H, Yokota J, Nakagama H, Taya Y and Enari M: NuMA is required for the selective induction of p53 target genes. Mol Cell Biol. 33:2447–2457. 2013. View Article : Google Scholar : PubMed/NCBI

58 

Salvador Moreno N, Liu J, Haas KM, Parker LL, Chakraborty C, Kron SJ, Hodges K, Miller LD, Langefeld C, Robinson PJ, et al: The nuclear structural protein NuMA is a negative regulator of 53BP1 in DNA double-strand break repair. Nucleic Acids Res. 47:2703–2715. 2019. View Article : Google Scholar : PubMed/NCBI

59 

Wells RA, Catzavelos C and Kamel-Reid S: Fusion of retinoic acid receptor alpha to NuMA, the nuclear mitotic apparatus protein, by a variant translocation in acute promyelocytic leukaemia. Nat Genet. 17:109–113. 1997. View Article : Google Scholar : PubMed/NCBI

60 

Yin S, Zhao S, Li J, Liu K, Ma X, Zhang Z, Wang R, Tian J, Liu F, Song Y, et al: NUMA1 modulates apoptosis of esophageal squamous cell carcinoma cells through regulating ASK1-JNK signaling pathway. Cell Mol Life Sci. 80:2112023. View Article : Google Scholar : PubMed/NCBI

61 

Sebestyén E, Singh B, Miñana B, Pagès A, Mateo F, Pujana MA, Valcárcel J and Eyras E: Large-scale analysis of genome and transcriptome alterations in multiple tumors unveils novel cancer-relevant splicing networks. Genome Res. 26:732–744. 2016. View Article : Google Scholar : PubMed/NCBI

62 

Kammerer S, Roth RB, Hoyal CR, Reneland R, Marnellos G, Kiechle M, Schwarz-Boeger U, Griffiths LR, Ebner F, Rehbock J, et al: Association of the NuMA region on chromosome 11q13 with breast cancer susceptibility. Proc Natl Acad Sci USA. 102:2004–2009. 2005. View Article : Google Scholar : PubMed/NCBI

63 

Boller S and Grosschedl R: The regulatory network of B-cell differentiation: A focused view of early B-cell factor 1 function. Immunol Rev. 261:102–115. 2014. View Article : Google Scholar : PubMed/NCBI

64 

Fernandez-Jimenez N, Sklias A, Ecsedi S, Cahais V, Degli-Esposti D, Jay A, Ancey PB, Woo HD, Hernandez-Vargas H and Herceg Z: Lowly methylated region analysis identifies EBF1 as a potential epigenetic modifier in breast cancer. Epigenetics. 12:964–972. 2017. View Article : Google Scholar : PubMed/NCBI

65 

Qiu Z, Guo W, Dong B, Wang Y, Deng P, Wang C, Liu J, Zhang Q, Grosschedl R, Yu Z, et al: EBF1 promotes triple-negative breast cancer progression by surveillance of the HIF1α pathway. Proc Natl Acad Sci USA. 119:e21195181192022. View Article : Google Scholar : PubMed/NCBI

66 

Yan S, Jiao X, Zou H and Li K: Prognostic significance of c-Met in breast cancer: A meta-analysis of 6010 cases. Diagn Pathol. 10:622015. View Article : Google Scholar : PubMed/NCBI

67 

Ho-Yen CM, Jones JL and Kermorgant S: The clinical and functional significance of c-Met in breast cancer: A review. Breast Cancer Res. 17:522015. View Article : Google Scholar : PubMed/NCBI

68 

Ahronowitz I, Xin W, Kiely R, Sims K, MacCollin M and Nunes FP: Mutational spectrum of the NF2 gene: A meta-analysis of 12 years of research and diagnostic laboratory findings. Hum Mutat. 28:1–12. 2007. View Article : Google Scholar : PubMed/NCBI

69 

Wang Z, Zhou Z, Wang Z and Cui Y: NF2 inhibits proliferation and cancer stemness in breast cancer. Open Med (Wars). 15:302–308. 2020. View Article : Google Scholar : PubMed/NCBI

70 

Gu F, Ma Y, Zhang J, Qin F and Fu L: Function of Slit/Robo signaling in breast cancer. Front Med. 9:431–436. 2015. View Article : Google Scholar : PubMed/NCBI

71 

Harburg G, Compton J, Liu W, Iwai N, Zada S, Marlow R, Strickland P, Zeng YA and Hinck L: SLIT/ROBO2 signaling promotes mammary stem cell senescence by inhibiting Wnt signaling. Stem Cell Reports. 3:385–393. 2014. View Article : Google Scholar : PubMed/NCBI

72 

Hu L, Zhu YT, Qi C and Zhu YJ: Identification of Smyd4 as a potential tumor suppressor gene involved in breast cancer development. Cancer Res. 69:4067–4072. 2009. View Article : Google Scholar : PubMed/NCBI

73 

Han S, Zou H, Lee JW, Han J, Kim HC, Cheol JJ, Kim LS and Kim H: miR-1307-3p stimulates breast cancer development and progression by targeting SMYD4. J Cancer. 10:441–448. 2019. View Article : Google Scholar : PubMed/NCBI

74 

Xiang G, Wang S, Chen L, Song M, Song X, Wang H, Zhou P, Ma X and Yu J: UBR5 targets tumor suppressor CDC73 proteolytically to promote aggressive breast cancer. Cell Death Dis. 13:4512022. View Article : Google Scholar : PubMed/NCBI

Related Articles

  • Abstract
  • View
  • Download
  • Twitter
Copy and paste a formatted citation
Spandidos Publications style
Hu S, Gao B, Li Z and Yuan Y: Whole‑exome sequencing insights into synchronous bilateral breast cancer with discordant molecular subtypes. Oncol Lett 28: 595, 2024.
APA
Hu, S., Gao, B., Li, Z., & Yuan, Y. (2024). Whole‑exome sequencing insights into synchronous bilateral breast cancer with discordant molecular subtypes. Oncology Letters, 28, 595. https://doi.org/10.3892/ol.2024.14728
MLA
Hu, S., Gao, B., Li, Z., Yuan, Y."Whole‑exome sequencing insights into synchronous bilateral breast cancer with discordant molecular subtypes". Oncology Letters 28.6 (2024): 595.
Chicago
Hu, S., Gao, B., Li, Z., Yuan, Y."Whole‑exome sequencing insights into synchronous bilateral breast cancer with discordant molecular subtypes". Oncology Letters 28, no. 6 (2024): 595. https://doi.org/10.3892/ol.2024.14728
Copy and paste a formatted citation
x
Spandidos Publications style
Hu S, Gao B, Li Z and Yuan Y: Whole‑exome sequencing insights into synchronous bilateral breast cancer with discordant molecular subtypes. Oncol Lett 28: 595, 2024.
APA
Hu, S., Gao, B., Li, Z., & Yuan, Y. (2024). Whole‑exome sequencing insights into synchronous bilateral breast cancer with discordant molecular subtypes. Oncology Letters, 28, 595. https://doi.org/10.3892/ol.2024.14728
MLA
Hu, S., Gao, B., Li, Z., Yuan, Y."Whole‑exome sequencing insights into synchronous bilateral breast cancer with discordant molecular subtypes". Oncology Letters 28.6 (2024): 595.
Chicago
Hu, S., Gao, B., Li, Z., Yuan, Y."Whole‑exome sequencing insights into synchronous bilateral breast cancer with discordant molecular subtypes". Oncology Letters 28, no. 6 (2024): 595. https://doi.org/10.3892/ol.2024.14728
Follow us
  • Twitter
  • LinkedIn
  • Facebook
About
  • Spandidos Publications
  • Careers
  • Cookie Policy
  • Privacy Policy
How can we help?
  • Help
  • Live Chat
  • Contact
  • Email to our Support Team