Spandidos Publications Logo
  • About
    • About Spandidos
    • Aims and Scopes
    • Abstracting and Indexing
    • Editorial Policies
    • Reprints and Permissions
    • Job Opportunities
    • Terms and Conditions
    • Contact
  • Journals
    • All Journals
    • Oncology Letters
      • Oncology Letters
      • Information for Authors
      • Editorial Policies
      • Editorial Board
      • Aims and Scope
      • Abstracting and Indexing
      • Bibliographic Information
      • Archive
    • International Journal of Oncology
      • International Journal of Oncology
      • Information for Authors
      • Editorial Policies
      • Editorial Board
      • Aims and Scope
      • Abstracting and Indexing
      • Bibliographic Information
      • Archive
    • Molecular and Clinical Oncology
      • Molecular and Clinical Oncology
      • Information for Authors
      • Editorial Policies
      • Editorial Board
      • Aims and Scope
      • Abstracting and Indexing
      • Bibliographic Information
      • Archive
    • Experimental and Therapeutic Medicine
      • Experimental and Therapeutic Medicine
      • Information for Authors
      • Editorial Policies
      • Editorial Board
      • Aims and Scope
      • Abstracting and Indexing
      • Bibliographic Information
      • Archive
    • International Journal of Molecular Medicine
      • International Journal of Molecular Medicine
      • Information for Authors
      • Editorial Policies
      • Editorial Board
      • Aims and Scope
      • Abstracting and Indexing
      • Bibliographic Information
      • Archive
    • Biomedical Reports
      • Biomedical Reports
      • Information for Authors
      • Editorial Policies
      • Editorial Board
      • Aims and Scope
      • Abstracting and Indexing
      • Bibliographic Information
      • Archive
    • Oncology Reports
      • Oncology Reports
      • Information for Authors
      • Editorial Policies
      • Editorial Board
      • Aims and Scope
      • Abstracting and Indexing
      • Bibliographic Information
      • Archive
    • Molecular Medicine Reports
      • Molecular Medicine Reports
      • Information for Authors
      • Editorial Policies
      • Editorial Board
      • Aims and Scope
      • Abstracting and Indexing
      • Bibliographic Information
      • Archive
    • World Academy of Sciences Journal
      • World Academy of Sciences Journal
      • Information for Authors
      • Editorial Policies
      • Editorial Board
      • Aims and Scope
      • Abstracting and Indexing
      • Bibliographic Information
      • Archive
    • International Journal of Functional Nutrition
      • International Journal of Functional Nutrition
      • Information for Authors
      • Editorial Policies
      • Editorial Board
      • Aims and Scope
      • Abstracting and Indexing
      • Bibliographic Information
      • Archive
    • International Journal of Epigenetics
      • International Journal of Epigenetics
      • Information for Authors
      • Editorial Policies
      • Editorial Board
      • Aims and Scope
      • Abstracting and Indexing
      • Bibliographic Information
      • Archive
    • Medicine International
      • Medicine International
      • Information for Authors
      • Editorial Policies
      • Editorial Board
      • Aims and Scope
      • Abstracting and Indexing
      • Bibliographic Information
      • Archive
  • Articles
  • Information
    • Information for Authors
    • Information for Reviewers
    • Information for Librarians
    • Information for Advertisers
    • Conferences
  • Language Editing
Spandidos Publications Logo
  • About
    • About Spandidos
    • Aims and Scopes
    • Abstracting and Indexing
    • Editorial Policies
    • Reprints and Permissions
    • Job Opportunities
    • Terms and Conditions
    • Contact
  • Journals
    • All Journals
    • Biomedical Reports
      • Information for Authors
      • Editorial Policies
      • Editorial Board
      • Aims and Scope
      • Abstracting and Indexing
      • Bibliographic Information
      • Archive
    • Experimental and Therapeutic Medicine
      • Information for Authors
      • Editorial Policies
      • Editorial Board
      • Aims and Scope
      • Abstracting and Indexing
      • Bibliographic Information
      • Archive
    • International Journal of Epigenetics
      • Information for Authors
      • Editorial Policies
      • Editorial Board
      • Aims and Scope
      • Abstracting and Indexing
      • Bibliographic Information
      • Archive
    • International Journal of Functional Nutrition
      • Information for Authors
      • Editorial Policies
      • Editorial Board
      • Aims and Scope
      • Abstracting and Indexing
      • Bibliographic Information
      • Archive
    • International Journal of Molecular Medicine
      • Information for Authors
      • Editorial Policies
      • Editorial Board
      • Aims and Scope
      • Abstracting and Indexing
      • Bibliographic Information
      • Archive
    • International Journal of Oncology
      • Information for Authors
      • Editorial Policies
      • Editorial Board
      • Aims and Scope
      • Abstracting and Indexing
      • Bibliographic Information
      • Archive
    • Medicine International
      • Information for Authors
      • Editorial Policies
      • Editorial Board
      • Aims and Scope
      • Abstracting and Indexing
      • Bibliographic Information
      • Archive
    • Molecular and Clinical Oncology
      • Information for Authors
      • Editorial Policies
      • Editorial Board
      • Aims and Scope
      • Abstracting and Indexing
      • Bibliographic Information
      • Archive
    • Molecular Medicine Reports
      • Information for Authors
      • Editorial Policies
      • Editorial Board
      • Aims and Scope
      • Abstracting and Indexing
      • Bibliographic Information
      • Archive
    • Oncology Letters
      • Information for Authors
      • Editorial Policies
      • Editorial Board
      • Aims and Scope
      • Abstracting and Indexing
      • Bibliographic Information
      • Archive
    • Oncology Reports
      • Information for Authors
      • Editorial Policies
      • Editorial Board
      • Aims and Scope
      • Abstracting and Indexing
      • Bibliographic Information
      • Archive
    • World Academy of Sciences Journal
      • Information for Authors
      • Editorial Policies
      • Editorial Board
      • Aims and Scope
      • Abstracting and Indexing
      • Bibliographic Information
      • Archive
  • Articles
  • Information
    • For Authors
    • For Reviewers
    • For Librarians
    • For Advertisers
    • Conferences
  • Language Editing
Login Register Submit
  • This site uses cookies
  • You can change your cookie settings at any time by following the instructions in our Cookie Policy. To find out more, you may read our Privacy Policy.

    I agree
Search articles by DOI, keyword, author or affiliation
Search
Advanced Search
presentation
Oncology Letters
Join Editorial Board Propose a Special Issue
Print ISSN: 1792-1074 Online ISSN: 1792-1082
Journal Cover
May-2025 Volume 29 Issue 5

Full Size Image

Sign up for eToc alerts
Recommend to Library

Journals

International Journal of Molecular Medicine

International Journal of Molecular Medicine

International Journal of Molecular Medicine is an international journal devoted to molecular mechanisms of human disease.

International Journal of Oncology

International Journal of Oncology

International Journal of Oncology is an international journal devoted to oncology research and cancer treatment.

Molecular Medicine Reports

Molecular Medicine Reports

Covers molecular medicine topics such as pharmacology, pathology, genetics, neuroscience, infectious diseases, molecular cardiology, and molecular surgery.

Oncology Reports

Oncology Reports

Oncology Reports is an international journal devoted to fundamental and applied research in Oncology.

Experimental and Therapeutic Medicine

Experimental and Therapeutic Medicine

Experimental and Therapeutic Medicine is an international journal devoted to laboratory and clinical medicine.

Oncology Letters

Oncology Letters

Oncology Letters is an international journal devoted to Experimental and Clinical Oncology.

Biomedical Reports

Biomedical Reports

Explores a wide range of biological and medical fields, including pharmacology, genetics, microbiology, neuroscience, and molecular cardiology.

Molecular and Clinical Oncology

Molecular and Clinical Oncology

International journal addressing all aspects of oncology research, from tumorigenesis and oncogenes to chemotherapy and metastasis.

World Academy of Sciences Journal

World Academy of Sciences Journal

Multidisciplinary open-access journal spanning biochemistry, genetics, neuroscience, environmental health, and synthetic biology.

International Journal of Functional Nutrition

International Journal of Functional Nutrition

Open-access journal combining biochemistry, pharmacology, immunology, and genetics to advance health through functional nutrition.

International Journal of Epigenetics

International Journal of Epigenetics

Publishes open-access research on using epigenetics to advance understanding and treatment of human disease.

Medicine International

Medicine International

An International Open Access Journal Devoted to General Medicine.

Journal Cover
May-2025 Volume 29 Issue 5

Full Size Image

Sign up for eToc alerts
Recommend to Library

  • Article
  • Citations
    • Cite This Article
    • Download Citation
    • Create Citation Alert
    • Remove Citation Alert
    • Cited By
  • Similar Articles
    • Related Articles (in Spandidos Publications)
    • Similar Articles (Google Scholar)
    • Similar Articles (PubMed)
  • Download PDF
  • Download XML
  • View XML
Case Report Open Access

Misdiagnosis of esophageal leiomyoma combined with adrenal cortical adenoma as esophageal cancer with adrenal metastasis by fluorine-18-fluorodeoxyglucose positron emission tomography: A case report

  • Authors:
    • Xiaoming Sun
    • Lin Lv
    • Daming Fan
    • Yubin Huang
    • Liangming Zhu
    • Haibo Liu
  • View Affiliations / Copyright

    Affiliations: Department of Thoracic Surgery, Jinan Central Hospital, Jinan, Shandong 250013, P.R. China, Department of Pathology, Jinan Central Hospital, Jinan, Shandong 250013, P.R. China
    Copyright: © Sun et al. This is an open access article distributed under the terms of Creative Commons Attribution License.
  • Article Number: 238
    |
    Published online on: March 20, 2025
       https://doi.org/10.3892/ol.2025.14984
  • Expand metrics +
Metrics: Total Views: 0 (Spandidos Publications: | PMC Statistics: )
Metrics: Total PDF Downloads: 0 (Spandidos Publications: | PMC Statistics: )
Cited By (CrossRef): 0 citations Loading Articles...

This article is mentioned in:



Abstract

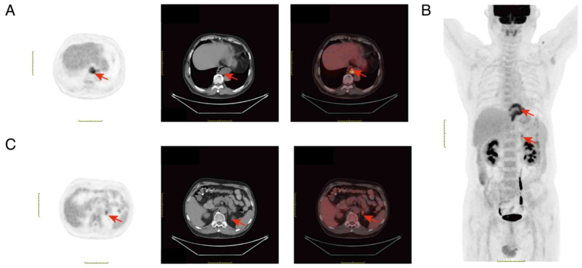
Leiomyoma is a benign muscular abnormality that commonly occurs in the middle and distal third of the esophagus, leading to thickening of the esophageal wall and subsequent esophageal luminal narrowing. Notably, esophageal leiomyoma often does not show increased 18F-fluorodeoxyglucose (FDG) uptake on positron emission tomography (PET). The present study described a case of esophageal leiomyoma combined with adrenal adenoma. Results of the PET-computed tomography analysis revealed that FDG metabolism was increased in the lower segment of the esophagus and the left adrenal gland, with maximum standardized uptake values of 6.5 and 4.1, respectively. Therefore, initially, the patient was diagnosed with an esophageal malignant tumor with left adrenal metastasis. Open surgery was performed for complete removal of the lesions, and results of a routine pathological analysis revealed esophageal leiomyoma combined with adrenal cortical adenoma. The present study indicates that to avoid unnecessary surgeries, esophageal leiomyoma and adrenal cortical adenoma should be diagnosed through a comprehensive assessment with endoscopy, endoscopic ultrasound, computed tomography, magnetic resonance imaging and tissue sample pathology, not just PET. 
View Figures

Figure 1

Figure 2

Figure 3

View References

1 

Jiang W, Rice TW and Goldblum JR: Esophageal leiomyoma: Experience from a single institution. Dis Esophagus. 26:167–174. 2013. View Article : Google Scholar : PubMed/NCBI

2 

Conca F, Rosso N, López Grove R, Savluk L, Santino JP and Ulla M: Esophageal tumors: The keys to diagnosis by pneumo-computed tomography. Radiologia (Engl Ed). 65:546–553. 2023. View Article : Google Scholar : PubMed/NCBI

3 

An YS and Kim DY: 18F-fluorodeoxyglucose PET/CT in a patient with esophageal and genital leiomyomatosis. Korean J Radiol. 10:632–634. 2009. View Article : Google Scholar : PubMed/NCBI

4 

Beji H, Bouassida M, Kallel Y, Tormane MA, Mighri MM and Touinsi H: Leiomyoma of the esophagus: A case report and review of the literature. Int J Surg Case Rep. 94:1070782022. View Article : Google Scholar : PubMed/NCBI

5 

Zhou P, Li Z and Qin X: Chinese consensus on endoscopic diagnosis and managment of gastrointestinal submucosal tumors (version 2023). Chin J Dig Endosc. 253–263. 2023.

6 

Deprez PH, Moons LMG, O'Toole D, Gincul R, Seicean A, Pimentel-Nunes P, Fernández-Esparrach G, Polkowski M, Vieth M, Borbath I, et al: Endoscopic management of subepithelial lesions including neuroendocrine neoplasms: European Society of Gastrointestinal Endoscopy (ESGE) Guideline. Endoscopy. 54:412–429. 2022. View Article : Google Scholar : PubMed/NCBI

7 

Lee LS, Singhal S, Brinster CJ, Marshall B, Kochman ML, Kaiser LR and Kucharczuk JC: Current management of esophageal leiomyoma. J Am Coll Surg. 198:136–146. 2004. View Article : Google Scholar : PubMed/NCBI

8 

Xu H, Li Y, Wang F, Wang W and Zhang L: Video-assisted thoracoscopic surgery for esophageal leiomyoma: A Ten-year single-institution experience. J Laparoendosc Adv Surg Tech A. 28:1105–1108. 2018. View Article : Google Scholar : PubMed/NCBI

9 

Nero LD, Moscatelli A, Fazio V, Pellegatta G, Bongioanni F, Sambuceti G, Savarino V and Giannini EG: Positive PET in a patient with esophageal leiomyoma. Am J Gastroenterol. 111:7672016. View Article : Google Scholar : PubMed/NCBI

10 

Miyoshi K, Naito M, Ueno T, Hato S and Ino H: Abnormal fluorine-18-fluorodeoxyglucose uptake in benign esophageal leiomyoma. Gen Thorac Cardiovasc Surg. 57:629–632. 2009. View Article : Google Scholar : PubMed/NCBI

11 

Rahman WT, Wale DJ, Viglianti BL, Townsend DM, Manganaro MS, Gross MD, Wong KK and Rubello D: The impact of infection and inflammation in oncologic 18F-FDG PET/CT imaging. Biomed Pharmacother. 117:1091682019. View Article : Google Scholar : PubMed/NCBI

12 

Yao Y, Li YM, He ZX, Civelek AC and Li XF: Likely common role of hypoxia in driving 18F-FDG uptake in cancer, myocardial ischemia, inflammation and infection. Cancer Biother Radiopharm. 36:624–631. 2021.PubMed/NCBI

13 

Dendy M, Johnson K and Boffa DJ: Spectrum of FDG uptake in large (>10 cm) esophageal leiomyomas. J Thorac Dis. 7:E648–E651. 2015.PubMed/NCBI

14 

Meirelles GS, Ravizzini G, Yeung HW and Akhurst T: Esophageal leiomyoma: A rare cause of false-positive FDG scans. Clin Nucl Med. 31:342–344. 2006. View Article : Google Scholar : PubMed/NCBI

15 

Ak I, Ozalp S, Yalçin OT, Zor E and Vardareli E: Uptake of 2-[18F]fluoro-2-deoxy-D-glucose in uterine leiomyoma: Imaging of four patients by coincidence positron emission tomography. Nucl Med Commun. 25:941–945. 2004. View Article : Google Scholar : PubMed/NCBI

16 

Memisoglu E, Agarwal B, Akduman I, Prather C, Collins B and Civelek AC: Multimodality diagnostic imaging of diffuse esophageal leiomyomatosis. J Comput Assist Tomogr. 30:100–104. 2006. View Article : Google Scholar : PubMed/NCBI

Related Articles

  • Abstract
  • View
  • Download
  • Twitter
Copy and paste a formatted citation
Spandidos Publications style
Sun X, Lv L, Fan D, Huang Y, Zhu L and Liu H: Misdiagnosis of esophageal leiomyoma combined with adrenal cortical adenoma as esophageal cancer with adrenal metastasis by fluorine-18-fluorodeoxyglucose positron emission tomography: A case report. Oncol Lett 29: 238, 2025.
APA
Sun, X., Lv, L., Fan, D., Huang, Y., Zhu, L., & Liu, H. (2025). Misdiagnosis of esophageal leiomyoma combined with adrenal cortical adenoma as esophageal cancer with adrenal metastasis by fluorine-18-fluorodeoxyglucose positron emission tomography: A case report. Oncology Letters, 29, 238. https://doi.org/10.3892/ol.2025.14984
MLA
Sun, X., Lv, L., Fan, D., Huang, Y., Zhu, L., Liu, H."Misdiagnosis of esophageal leiomyoma combined with adrenal cortical adenoma as esophageal cancer with adrenal metastasis by fluorine-18-fluorodeoxyglucose positron emission tomography: A case report". Oncology Letters 29.5 (2025): 238.
Chicago
Sun, X., Lv, L., Fan, D., Huang, Y., Zhu, L., Liu, H."Misdiagnosis of esophageal leiomyoma combined with adrenal cortical adenoma as esophageal cancer with adrenal metastasis by fluorine-18-fluorodeoxyglucose positron emission tomography: A case report". Oncology Letters 29, no. 5 (2025): 238. https://doi.org/10.3892/ol.2025.14984
Copy and paste a formatted citation
x
Spandidos Publications style
Sun X, Lv L, Fan D, Huang Y, Zhu L and Liu H: Misdiagnosis of esophageal leiomyoma combined with adrenal cortical adenoma as esophageal cancer with adrenal metastasis by fluorine-18-fluorodeoxyglucose positron emission tomography: A case report. Oncol Lett 29: 238, 2025.
APA
Sun, X., Lv, L., Fan, D., Huang, Y., Zhu, L., & Liu, H. (2025). Misdiagnosis of esophageal leiomyoma combined with adrenal cortical adenoma as esophageal cancer with adrenal metastasis by fluorine-18-fluorodeoxyglucose positron emission tomography: A case report. Oncology Letters, 29, 238. https://doi.org/10.3892/ol.2025.14984
MLA
Sun, X., Lv, L., Fan, D., Huang, Y., Zhu, L., Liu, H."Misdiagnosis of esophageal leiomyoma combined with adrenal cortical adenoma as esophageal cancer with adrenal metastasis by fluorine-18-fluorodeoxyglucose positron emission tomography: A case report". Oncology Letters 29.5 (2025): 238.
Chicago
Sun, X., Lv, L., Fan, D., Huang, Y., Zhu, L., Liu, H."Misdiagnosis of esophageal leiomyoma combined with adrenal cortical adenoma as esophageal cancer with adrenal metastasis by fluorine-18-fluorodeoxyglucose positron emission tomography: A case report". Oncology Letters 29, no. 5 (2025): 238. https://doi.org/10.3892/ol.2025.14984
Follow us
  • Twitter
  • LinkedIn
  • Facebook
About
  • Spandidos Publications
  • Careers
  • Cookie Policy
  • Privacy Policy
How can we help?
  • Help
  • Live Chat
  • Contact
  • Email to our Support Team