Spandidos Publications Logo
  • About
    • About Spandidos
    • Aims and Scopes
    • Abstracting and Indexing
    • Editorial Policies
    • Reprints and Permissions
    • Job Opportunities
    • Terms and Conditions
    • Contact
  • Journals
    • All Journals
    • Oncology Letters
      • Oncology Letters
      • Information for Authors
      • Editorial Policies
      • Editorial Board
      • Aims and Scope
      • Abstracting and Indexing
      • Bibliographic Information
      • Archive
    • International Journal of Oncology
      • International Journal of Oncology
      • Information for Authors
      • Editorial Policies
      • Editorial Board
      • Aims and Scope
      • Abstracting and Indexing
      • Bibliographic Information
      • Archive
    • Molecular and Clinical Oncology
      • Molecular and Clinical Oncology
      • Information for Authors
      • Editorial Policies
      • Editorial Board
      • Aims and Scope
      • Abstracting and Indexing
      • Bibliographic Information
      • Archive
    • Experimental and Therapeutic Medicine
      • Experimental and Therapeutic Medicine
      • Information for Authors
      • Editorial Policies
      • Editorial Board
      • Aims and Scope
      • Abstracting and Indexing
      • Bibliographic Information
      • Archive
    • International Journal of Molecular Medicine
      • International Journal of Molecular Medicine
      • Information for Authors
      • Editorial Policies
      • Editorial Board
      • Aims and Scope
      • Abstracting and Indexing
      • Bibliographic Information
      • Archive
    • Biomedical Reports
      • Biomedical Reports
      • Information for Authors
      • Editorial Policies
      • Editorial Board
      • Aims and Scope
      • Abstracting and Indexing
      • Bibliographic Information
      • Archive
    • Oncology Reports
      • Oncology Reports
      • Information for Authors
      • Editorial Policies
      • Editorial Board
      • Aims and Scope
      • Abstracting and Indexing
      • Bibliographic Information
      • Archive
    • Molecular Medicine Reports
      • Molecular Medicine Reports
      • Information for Authors
      • Editorial Policies
      • Editorial Board
      • Aims and Scope
      • Abstracting and Indexing
      • Bibliographic Information
      • Archive
    • World Academy of Sciences Journal
      • World Academy of Sciences Journal
      • Information for Authors
      • Editorial Policies
      • Editorial Board
      • Aims and Scope
      • Abstracting and Indexing
      • Bibliographic Information
      • Archive
    • International Journal of Functional Nutrition
      • International Journal of Functional Nutrition
      • Information for Authors
      • Editorial Policies
      • Editorial Board
      • Aims and Scope
      • Abstracting and Indexing
      • Bibliographic Information
      • Archive
    • International Journal of Epigenetics
      • International Journal of Epigenetics
      • Information for Authors
      • Editorial Policies
      • Editorial Board
      • Aims and Scope
      • Abstracting and Indexing
      • Bibliographic Information
      • Archive
    • Medicine International
      • Medicine International
      • Information for Authors
      • Editorial Policies
      • Editorial Board
      • Aims and Scope
      • Abstracting and Indexing
      • Bibliographic Information
      • Archive
  • Articles
  • Information
    • Information for Authors
    • Information for Reviewers
    • Information for Librarians
    • Information for Advertisers
    • Conferences
  • Language Editing
Spandidos Publications Logo
  • About
    • About Spandidos
    • Aims and Scopes
    • Abstracting and Indexing
    • Editorial Policies
    • Reprints and Permissions
    • Job Opportunities
    • Terms and Conditions
    • Contact
  • Journals
    • All Journals
    • Biomedical Reports
      • Information for Authors
      • Editorial Policies
      • Editorial Board
      • Aims and Scope
      • Abstracting and Indexing
      • Bibliographic Information
      • Archive
    • Experimental and Therapeutic Medicine
      • Information for Authors
      • Editorial Policies
      • Editorial Board
      • Aims and Scope
      • Abstracting and Indexing
      • Bibliographic Information
      • Archive
    • International Journal of Epigenetics
      • Information for Authors
      • Editorial Policies
      • Editorial Board
      • Aims and Scope
      • Abstracting and Indexing
      • Bibliographic Information
      • Archive
    • International Journal of Functional Nutrition
      • Information for Authors
      • Editorial Policies
      • Editorial Board
      • Aims and Scope
      • Abstracting and Indexing
      • Bibliographic Information
      • Archive
    • International Journal of Molecular Medicine
      • Information for Authors
      • Editorial Policies
      • Editorial Board
      • Aims and Scope
      • Abstracting and Indexing
      • Bibliographic Information
      • Archive
    • International Journal of Oncology
      • Information for Authors
      • Editorial Policies
      • Editorial Board
      • Aims and Scope
      • Abstracting and Indexing
      • Bibliographic Information
      • Archive
    • Medicine International
      • Information for Authors
      • Editorial Policies
      • Editorial Board
      • Aims and Scope
      • Abstracting and Indexing
      • Bibliographic Information
      • Archive
    • Molecular and Clinical Oncology
      • Information for Authors
      • Editorial Policies
      • Editorial Board
      • Aims and Scope
      • Abstracting and Indexing
      • Bibliographic Information
      • Archive
    • Molecular Medicine Reports
      • Information for Authors
      • Editorial Policies
      • Editorial Board
      • Aims and Scope
      • Abstracting and Indexing
      • Bibliographic Information
      • Archive
    • Oncology Letters
      • Information for Authors
      • Editorial Policies
      • Editorial Board
      • Aims and Scope
      • Abstracting and Indexing
      • Bibliographic Information
      • Archive
    • Oncology Reports
      • Information for Authors
      • Editorial Policies
      • Editorial Board
      • Aims and Scope
      • Abstracting and Indexing
      • Bibliographic Information
      • Archive
    • World Academy of Sciences Journal
      • Information for Authors
      • Editorial Policies
      • Editorial Board
      • Aims and Scope
      • Abstracting and Indexing
      • Bibliographic Information
      • Archive
  • Articles
  • Information
    • For Authors
    • For Reviewers
    • For Librarians
    • For Advertisers
    • Conferences
  • Language Editing
Login Register Submit
  • This site uses cookies
  • You can change your cookie settings at any time by following the instructions in our Cookie Policy. To find out more, you may read our Privacy Policy.

    I agree
Search articles by DOI, keyword, author or affiliation
Search
Advanced Search
presentation
Oncology Letters
Join Editorial Board Propose a Special Issue
Print ISSN: 1792-1074 Online ISSN: 1792-1082
Journal Cover
September-2025 Volume 30 Issue 3

Full Size Image

Sign up for eToc alerts
Recommend to Library

Journals

International Journal of Molecular Medicine

International Journal of Molecular Medicine

International Journal of Molecular Medicine is an international journal devoted to molecular mechanisms of human disease.

International Journal of Oncology

International Journal of Oncology

International Journal of Oncology is an international journal devoted to oncology research and cancer treatment.

Molecular Medicine Reports

Molecular Medicine Reports

Covers molecular medicine topics such as pharmacology, pathology, genetics, neuroscience, infectious diseases, molecular cardiology, and molecular surgery.

Oncology Reports

Oncology Reports

Oncology Reports is an international journal devoted to fundamental and applied research in Oncology.

Experimental and Therapeutic Medicine

Experimental and Therapeutic Medicine

Experimental and Therapeutic Medicine is an international journal devoted to laboratory and clinical medicine.

Oncology Letters

Oncology Letters

Oncology Letters is an international journal devoted to Experimental and Clinical Oncology.

Biomedical Reports

Biomedical Reports

Explores a wide range of biological and medical fields, including pharmacology, genetics, microbiology, neuroscience, and molecular cardiology.

Molecular and Clinical Oncology

Molecular and Clinical Oncology

International journal addressing all aspects of oncology research, from tumorigenesis and oncogenes to chemotherapy and metastasis.

World Academy of Sciences Journal

World Academy of Sciences Journal

Multidisciplinary open-access journal spanning biochemistry, genetics, neuroscience, environmental health, and synthetic biology.

International Journal of Functional Nutrition

International Journal of Functional Nutrition

Open-access journal combining biochemistry, pharmacology, immunology, and genetics to advance health through functional nutrition.

International Journal of Epigenetics

International Journal of Epigenetics

Publishes open-access research on using epigenetics to advance understanding and treatment of human disease.

Medicine International

Medicine International

An International Open Access Journal Devoted to General Medicine.

Journal Cover
September-2025 Volume 30 Issue 3

Full Size Image

Sign up for eToc alerts
Recommend to Library

  • Article
  • Citations
    • Cite This Article
    • Download Citation
    • Create Citation Alert
    • Remove Citation Alert
    • Cited By
  • Similar Articles
    • Related Articles (in Spandidos Publications)
    • Similar Articles (Google Scholar)
    • Similar Articles (PubMed)
  • Download PDF
  • Download XML
  • View XML

  • Supplementary Files
    • Supplementary_Data.pdf
Case Report Open Access

Radical treatment for metastasis of HER2‑positive rectal adenocarcinoma to the liver: A case report and literature review

  • Authors:
    • Jiandi Huang
    • Zhiru Li
    • Dongwei He
    • Xin Li
    • Yaping Wang
    • Qingxia Li
    • Dongmiao Wang
    • Xiaoyan Fan
  • View Affiliations / Copyright

    Affiliations: Graduate School, Hebei North University, Zhangjiakou, Hebei 075132, P.R. China, Department of Oncology, Hebei General Hospital, Shijiazhuang, Hebei 050051, P.R. China, Laboratory of Pathology, Hebei Cancer Institute, The Fourth Hospital of Hebei Medical University, Shijiazhuang, Hebei 050010, P.R. China, Graduate School, Hebei Medical University, Shijiazhuang, Hebei 050011, P.R. China
    Copyright: © Huang et al. This is an open access article distributed under the terms of Creative Commons Attribution License.
  • Article Number: 408
    |
    Published online on: June 24, 2025
       https://doi.org/10.3892/ol.2025.15154
  • Expand metrics +
Metrics: Total Views: 0 (Spandidos Publications: | PMC Statistics: )
Metrics: Total PDF Downloads: 0 (Spandidos Publications: | PMC Statistics: )
Cited By (CrossRef): 0 citations Loading Articles...

This article is mentioned in:


Abstract

Human epidermal growth factor receptor 2 (HER2) positivity, including gene amplification and mutation, is uncommon in colorectal cancer (CRC), with an incidence of only ~5%. Targeted HER2 therapy has been shown to be feasible in patients with HER2‑positive CRC after the failure of standard treatments. However, the importance of anti‑HER2 therapy in patients with HER2‑positive CRC is not yet fully reflected in clinical guidelines. The present report describes the case of a 60‑year‑old female patient who presented with abdominal pain and bloody stools and was diagnosed with rectal adenocarcinoma and liver metastasis. The next‑generation sequencing of biopsy tissue obtained during colonoscopy suggested HER2 mutation/amplification. After two cycles of chemotherapy, the tumor marker levels of the patient continued to increase, indicating poor treatment efficacy. The patient subsequently received six cycles of chemotherapy combined with anti‑HER2 therapy, leading to a reduction in tumor marker levels and gradual shrinkage of the lesions. After this, the colorectal and liver lesions were surgically removed. There is currently no definitive treatment for HER2‑positive CRC. However, the present case highlights a favorable response to anti‑HER2 therapy in a patient with HER2‑positive metastatic CRC, suggesting that this treatment approach may be beneficial for HER2‑positive CRC and warrants further investigation.

Introduction

Colorectal cancer (CRC) is one of the most common malignancies of the digestive tract and is ranked third for incidence and second for cancer-related mortality worldwide (1). It has been reported that 20% of patients with CRC have metastatic disease at the time of presentation, and a further 25% who initially present with in situ tumors develop metastases during follow-up (2). Notably, 5% of metastatic CRCs harbor alterations in Erb-B2 receptor tyrosine kinase 2 (ERBB2), also known as human epidermal growth factor receptor 2 (HER2). HER2 is a known oncogene (3) that can trigger carcinogenesis via the upregulation of HER2 protein expression, gene amplification of ERBB2, or point mutations, which occur mainly in patients with breast or gastric cancer (4).

HER2 positivity is considerably less common in CRC than in breast or gastric cancer, affecting only ~5% cases overall, but represents an important focus of research (5). First-line chemotherapeutic agents currently approved for KRAS/NRAS wild-type (WT) metastatic CRC include conventional cytotoxic agents such as fluorouracil, oxaliplatin and irinotecan, vascular endothelial growth factor inhibitors such as bevacizumab, and epidermal growth factor receptor (EGFR) inhibitors, including cetuximab and panitumab (2,6,7). However, there is no standard treatment for HER2-positive metastatic CRC. Although several recent studies have found anti-HER2 therapy to be effective in HER2-positive CRC (8–10), the evidence is not conclusive enough to warrant the inclusion of anti-HER2 agents in the relevant diagnostic and treatment guidelines. The present case report describes a patient who was diagnosed with rectal adenocarcinoma and multiple metastases to the liver in whom next-generation sequencing (NGS) results suggested positive HER2 expression. As two cycles of an intensive folinic acid (leucovorin) + fluorouracil + oxaliplatin (FOLFOX) exhibited poor treatment efficacy, anti-HER2 therapy was introduced. The clinical findings for this case are described to highlight the important role of anti-HER2 therapy in HER2-positive CRC and underscore the importance of further investigating personalized treatment strategies for this disease.

Case report

A 60-year-old woman with complaints of abdominal pain and passage of bloody stools was admitted to Hebei General Hospital (Shijiazhuang, China) in October 2023. Contrast-enhanced scans of the abdomen and pelvis revealed wall thickening in the sigmoid colon and rectum, enlarged lymph nodes in the surrounding area suggestive of malignancy, and low-density shadows in the S2, S3 and S4 segments of the liver that were thought to be metastases (Fig. 1). Colonoscopy suggested rectal cancer, and a tissue biopsy revealed moderately and well-differentiated adenocarcinoma with necrosis (Fig. 2). Magnetic resonance images revealed liver metastases in the S2, S3 and S4 segments and two enlarged lymph nodes, one anterior and one posterior to the portal vein (Fig. 3). Digestive tract tumor marker levels, including carcinoembryonic antigen, carbohydrate antigen (CA)242 and CA724, were all higher than normal (Fig. 4). NGS of a biopsy specimen obtained by colonoscopy suggested that KRAS, NRAS and BRAF were WT (Figs. S1 and S2). It also revealed that ERBB2 (HER2) had a mutation abundance 8.3-fold higher than the reference level, suggesting possible resistance to panitumumab and cetuximab. In addition, TP53 exon5c.399del had a mutation abundance of 31.61%, suggesting microsatellite stability. The NGS was performed by Novogene Bioinformatics Technology Co., Ltd. DNA extraction and library preparation was performed using the Qiagen QIAamp DNA FFPE Kit (Qiagen, GmbH) and Agilent SureSelect XT HS2 (Agilent Technologies, Inc.), respectively. Sample quality was assessed by pathological analysis of tumor cell content, nucleic acid quality assessment (total DNA amount, DNA degradation degree and total pre-library amount) and sequencing quality assessment (average sequencing depth, coverage uniformity, genome alignment rate and base quality Q30 proportion). The hybridization capture method was used, and the read length and sequencing direction were double ends of 150 bp and double-end sequencing, respectively. The sequencing platform and sequencing kit were the Illumina NextSeq 550 and Illumina NextSeq 550 High Output kits (Illumina, Inc.), respectively. Final library loading concentration was 1.2–1.8 pM. The software used for the analysis included CNVkit (version 0.9.9; University of California), GATK Mutect2 (version 4.1.8.1; Broad Institute of MIT and Havard) and PierianDx (version 7.3; Velsera, Inc.).

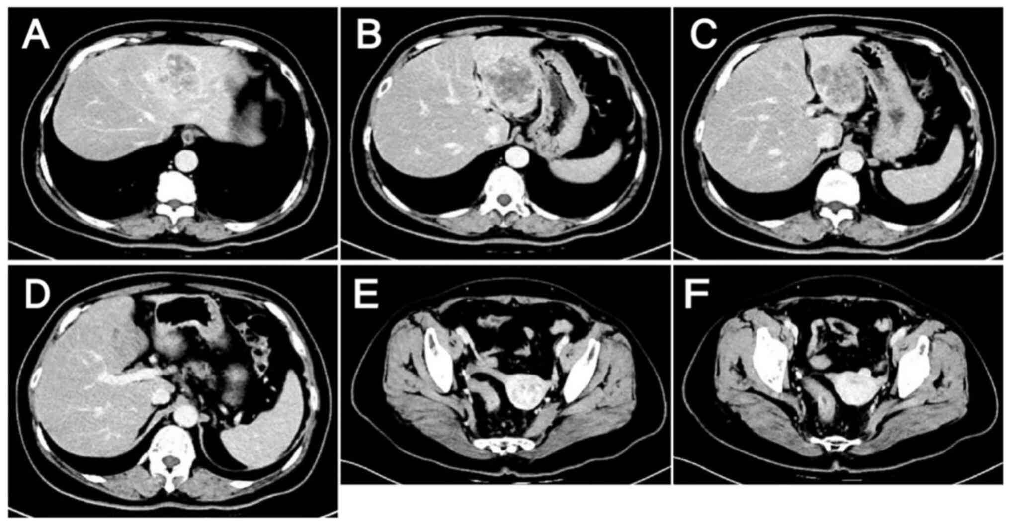
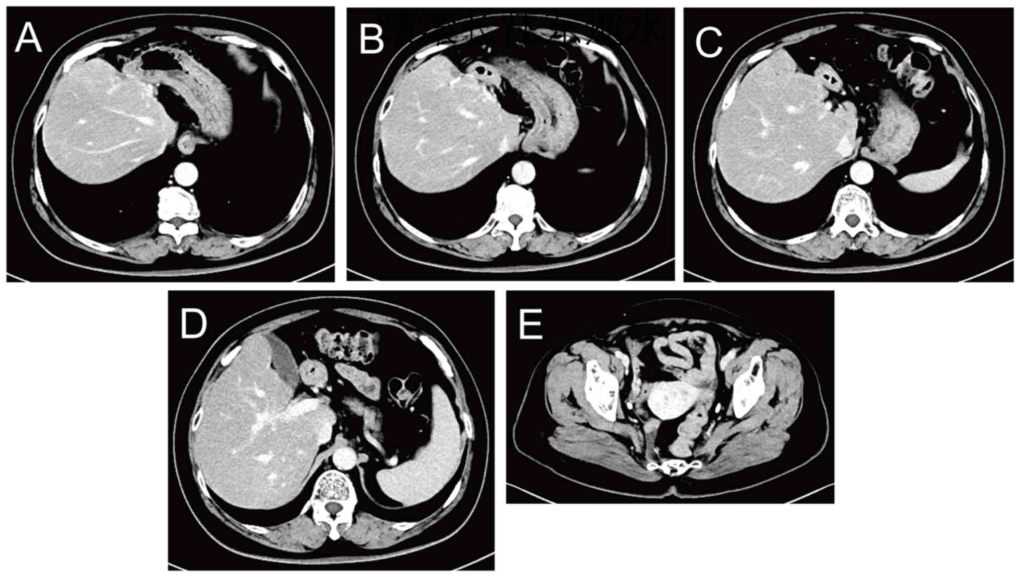
Initial assessment of the lesions by
computed tomography on October 15, 2023. (A-D) Metastatic liver
lesions: Slightly hypodense shadows are visible in the S2, S3 and
S4 segments of the liver, suggestive of metastasis. (E and F) Colon
lesions: Thickening of the sigmoid-rectal wall and enlargement of
the peripheral lymph nodes are indicative of malignancy. Lesions
are indicated by arrows.

Figure 1.

Initial assessment of the lesions by computed tomography on October 15, 2023. (A-D) Metastatic liver lesions: Slightly hypodense shadows are visible in the S2, S3 and S4 segments of the liver, suggestive of metastasis. (E and F) Colon lesions: Thickening of the sigmoid-rectal wall and enlargement of the peripheral lymph nodes are indicative of malignancy. Lesions are indicated by arrows.

Images captured during colonoscopy
performed on October 17, 2023.

Figure 2.

Images captured during colonoscopy performed on October 17, 2023.

Initial assessment of the liver
lesions by magnetic resonance imaging on October 20, 2023. (A-C)
Metastases in the S2, S3 and S4 segments and (D) two enlarged lymph
nodes, one anterior and one posterior to the portal vein are shown.
Lesions are indicated by arrows.

Figure 3.

Initial assessment of the liver lesions by magnetic resonance imaging on October 20, 2023. (A-C) Metastases in the S2, S3 and S4 segments and (D) two enlarged lymph nodes, one anterior and one posterior to the portal vein are shown. Lesions are indicated by arrows.

Changes in tumor markers during
treatment. Time course of the changes in (A) carcinoembryonic
antigen (normal level, <5.5 ng/ml), (B) carbohydrate antigen 242
(normal level, <6.9 U/ml) and (C) carbohydrate antigen 724
(normal level, <6.9 U/ml).

Figure 4.

Changes in tumor markers during treatment. Time course of the changes in (A) carcinoembryonic antigen (normal level, <5.5 ng/ml), (B) carbohydrate antigen 242 (normal level, <6.9 U/ml) and (C) carbohydrate antigen 724 (normal level, <6.9 U/ml).

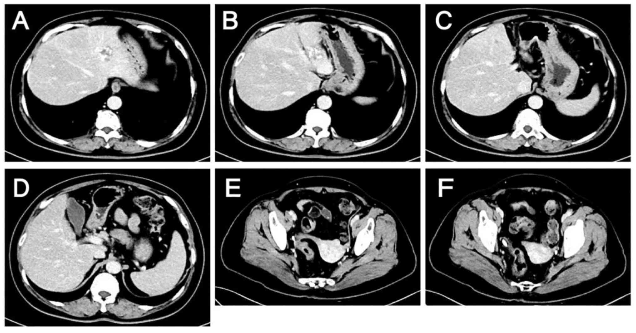
Following discussions among the multidisciplinary team and considering the patient's preference for surgery, neoadjuvant therapy was initiated, with plans to proceed to surgery for the primary CRC lesions and liver metastases if the treatment was effective. After obtaining informed consent, the patient was treated with two cycles of a modified FOLFOX6 regimen based on a body surface area of 1.66 m2, comprising oxaliplatin 140 mg + leucovorin calcium 600 mg + fluorouracil 0.625 g by intravenous injection + fluorouracil 3.75 g. This regimen was administered by continuous intravenous drip on 13 days post admission and 28 days post admission. However, after the two cycles, no reduction in the size of the tumor lesions was evident (Fig. 5) and the tumor marker levels remained elevated (Fig. 4), suggesting poor treatment efficacy.

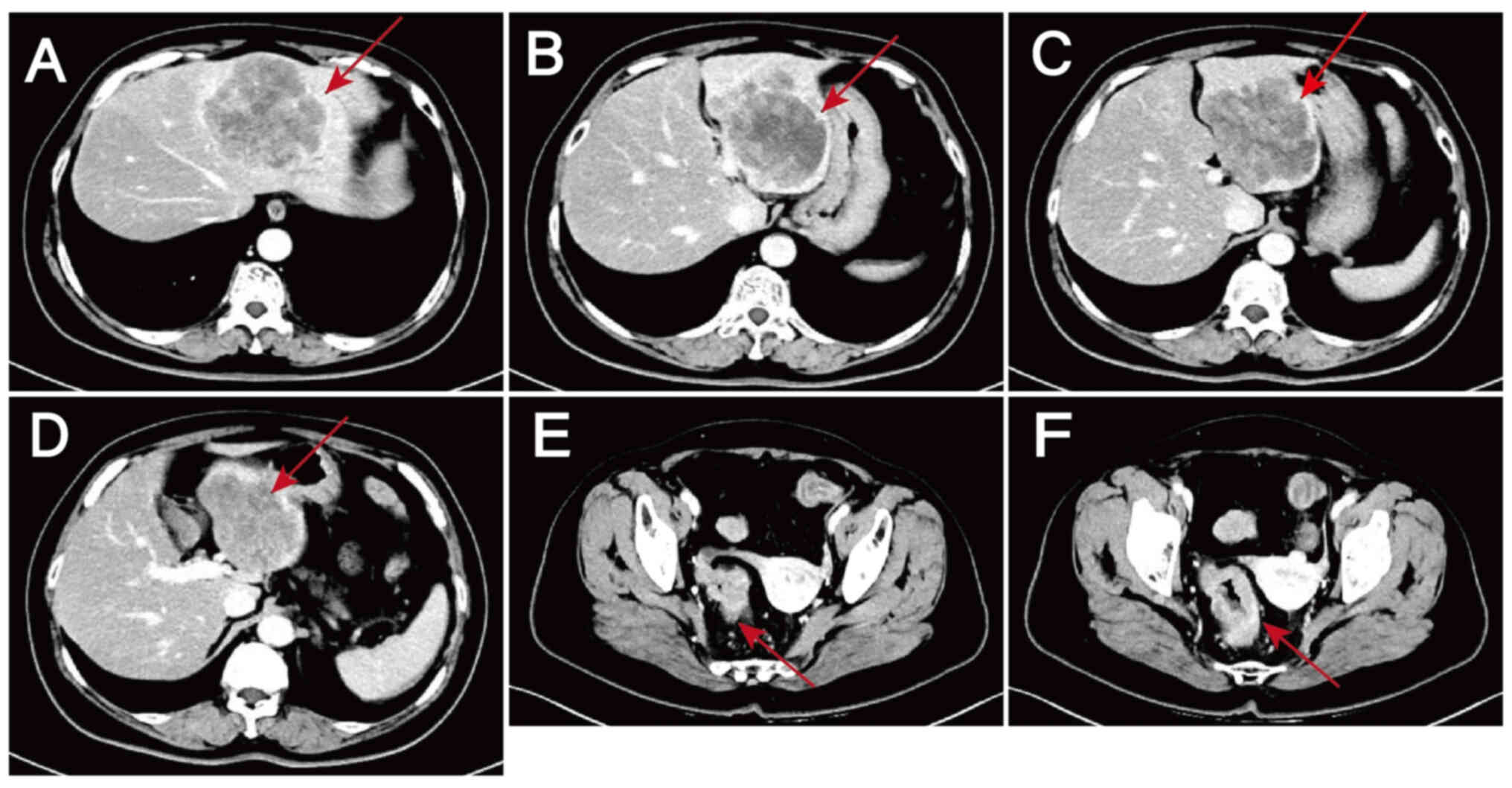
Lesions after 1 cycle of chemotherapy
as evaluated by computed tomography on November 10, 2023. (A-D)
Metastatic liver lesions: No marked change is visible compared with
those on October 15, 2023. (E and F) Colon lesions: Thickening of
the sigmoid-rectal wall is slightly less severe than that on
October 15, 2023, but no changes are evident in the surrounding
enlarged lymph nodes.

Figure 5.

Lesions after 1 cycle of chemotherapy as evaluated by computed tomography on November 10, 2023. (A-D) Metastatic liver lesions: No marked change is visible compared with those on October 15, 2023. (E and F) Colon lesions: Thickening of the sigmoid-rectal wall is slightly less severe than that on October 15, 2023, but no changes are evident in the surrounding enlarged lymph nodes.

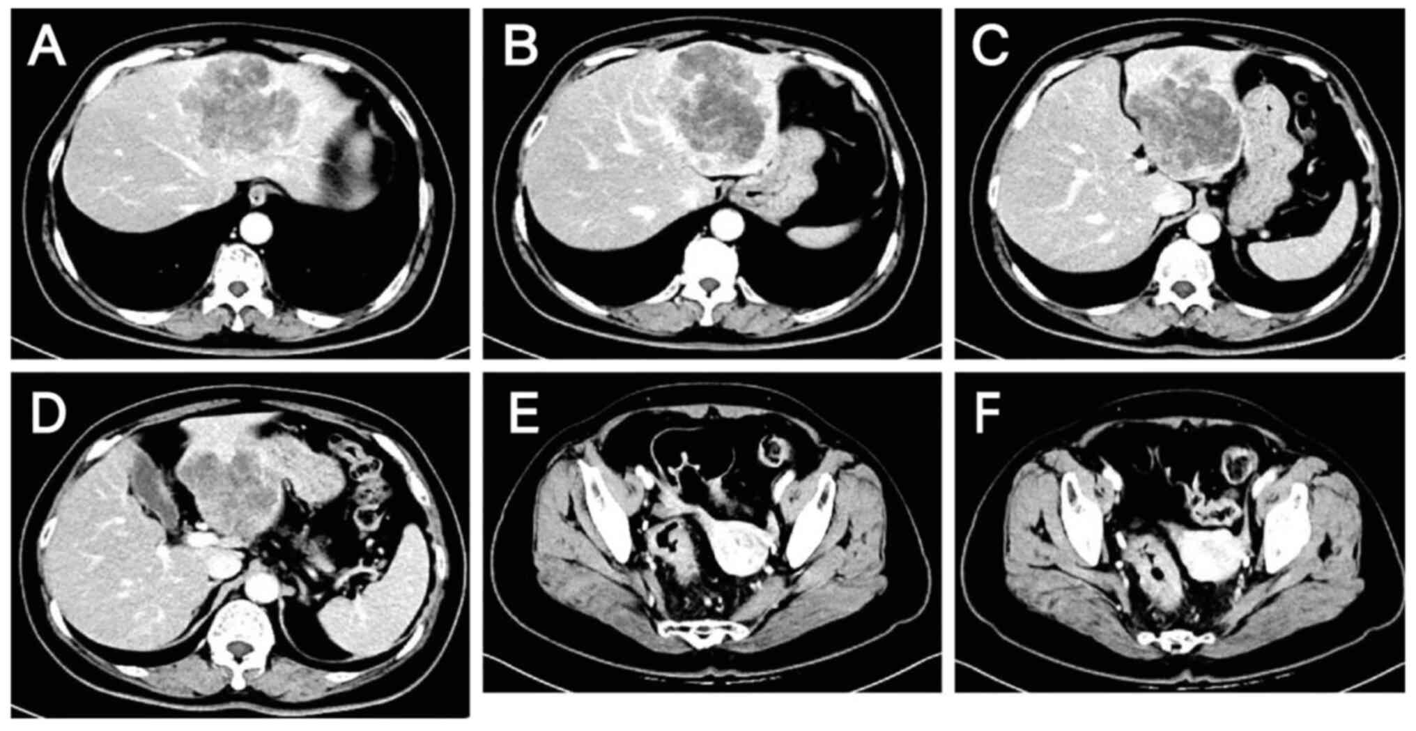
EGFR inhibitor therapy was not considered due to the NGS result and the evidence suggesting that patients with HER2-positive CRC are highly resistant to EGFR inhibitors (11,12). Furthermore, targeted bevacizumab therapy was not started because hemorrhage is one of the most serious adverse effects of bevacizumab and the patient had persistent hematochezia. In light of the recent developments in CRC research and the financial circumstances of the patient, single-agent anti-HER2 therapy combined with a modified FOLFOX6 regimen was selected as the subsequent treatment, in which the doses of chemotherapeutic agents were adjusted and administered on a 3-week cycle. The patient received six cycles of trastuzumab 450 mg + FOLFOX, with the latter comprising oxaliplatin 150 mg + leucovorin calcium 600 mg + fluorouracil 0.625 g by injection + fluorouracil 4 g by continuous intravenous drip. These agents were administered on 41 days post admission, 62 days post admission, 83 days post admission, 108 days post admission, 134 days post admission, and 157 days post admission. During treatment, the tumor marker levels gradually decreased (Fig. 4), and computed tomography (CT) and magnetic resonance scans of the liver indicated a marked reduction in the size of the tumor lesions (Fig. 6, Fig. 7, Fig. 8, Fig. 9). This was evaluated as a partial response.

Lesions after 1 cycle of anti-HER2
therapy combined with chemotherapy as evaluated by computed
tomography on December 13, 2023. (A-D) Metastatic liver lesions:
Lesions appear smaller compared with those on November 10, 2023. (E
and F) Colon lesions: Thickening of the sigmoid-rectal wall is
reduced, and the enlarged surrounding lymph nodes are slightly
smaller than they were on November 10, 2023.

Figure 6.

Lesions after 1 cycle of anti-HER2 therapy combined with chemotherapy as evaluated by computed tomography on December 13, 2023. (A-D) Metastatic liver lesions: Lesions appear smaller compared with those on November 10, 2023. (E and F) Colon lesions: Thickening of the sigmoid-rectal wall is reduced, and the enlarged surrounding lymph nodes are slightly smaller than they were on November 10, 2023.

Lesions after 4 cycles of anti-HER2
therapy combined with chemotherapy as evaluated by computed
tomography on February 16, 2024. (A-D) Metastatic liver lesions:
Lesions are smaller compared with those on December 13, 2023. (E
and F) Colon lesions: Thickening of the sigmoid-rectal wall is
reduced and the surrounding lymph nodes are slightly smaller than
they were on December 13, 2023.

Figure 7.

Lesions after 4 cycles of anti-HER2 therapy combined with chemotherapy as evaluated by computed tomography on February 16, 2024. (A-D) Metastatic liver lesions: Lesions are smaller compared with those on December 13, 2023. (E and F) Colon lesions: Thickening of the sigmoid-rectal wall is reduced and the surrounding lymph nodes are slightly smaller than they were on December 13, 2023.

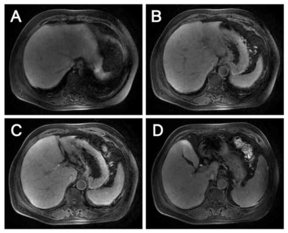
Metastatic liver lesions after 3
cycles of anti-HER2 therapy combined with chemotherapy as evaluated
by magnetic resonance imaging on January 25, 2024. (A-C) Metastases
in the S2, S3 and S4 segments of the liver are clearly reduced in
size compared with those on October 20, 2023. (D) The two lymph
nodes anterior and posterior to the portal vein are also less
enlarged.

Figure 8.

Metastatic liver lesions after 3 cycles of anti-HER2 therapy combined with chemotherapy as evaluated by magnetic resonance imaging on January 25, 2024. (A-C) Metastases in the S2, S3 and S4 segments of the liver are clearly reduced in size compared with those on October 20, 2023. (D) The two lymph nodes anterior and posterior to the portal vein are also less enlarged.

Metastatic liver lesions after 6
cycles of anti-HER2 therapy combined with chemotherapy as assessed
by magnetic resonance imaging on April 10, 2024. When compared with
the images captured on January 25, 2024, (A-C) the larger
metastases in S2, S3 and S4 have decreased in size, while the
smaller metastasis appears unchanged. (D) No changes in the two
enlarged lymph nodes anterior and posterior to the portal vein are
evident.

Figure 9.

Metastatic liver lesions after 6 cycles of anti-HER2 therapy combined with chemotherapy as assessed by magnetic resonance imaging on April 10, 2024. When compared with the images captured on January 25, 2024, (A-C) the larger metastases in S2, S3 and S4 have decreased in size, while the smaller metastasis appears unchanged. (D) No changes in the two enlarged lymph nodes anterior and posterior to the portal vein are evident.

On April, 2024, the patient underwent laparoscopy-assisted resection of rectal cancer and abdominal lymph node dissection, followed by surgery for the liver metastases. This included dissection of the group 8a lymph nodes, complete resection of the left outer liver lobe with intrahepatic metastases, and S4 resection, including metastases. This radical resection of the rectal cancer and liver metastases provided a foundation for subsequent treatment and potential improvements in survival and quality of life. Postoperative pathological examination of the rectal specimen suggested moderately and well-differentiated adenocarcinoma penetrating the muscularis propria to the subserosa, with no intravascular cancer thrombus or nerve invasion, and negative resection margins. One positive regional lymph node was detected. Immunohistochemistry (IHC) of the rectal specimen suggested positivity for mismatch repair endonuclease PMS2 (PMS2), DNA mismatch repair protein Msh2 (MSH2), DNA mismatch repair protein Msh6 (MSH6) and DNA mismatch repair protein Mlh1 (MLH1), which indicated microsatellite stability (Fig. S3). Postoperative pathological examination of the excised liver tissue suggested moderately and well-differentiated adenocarcinoma with a negative resection margin and no lymph node involvement. For IHC, the tissues were paraffin-embedded and fixed in 10% neutral-buffered formalin for 24 h at room temperature. The tissues were section to a 3-µm thickness. 3% Hydrogen peroxide was used for blocking for 10 min at room temperature. The following ready-to-use primary antibodies supplied by Roche Diagnostics, were added at 37°C for 32 min: VENTANA anti-MLH1 (M1) Mouse Monoclonal Primary Antibody (cat. no. 08033668001), VENTANA anti-MSH2 (G219-1129) Mouse Monoclonal Primary Antibody (cat. no. 07862253001), VENTANA anti-MSH6 (SP93) Rabbit Monoclonal Primary Antibody (cat. no. 07862245001) and VENTANA anti-PMS2 (A16-4) Mouse Monoclonal Primary Antibody (cat. no. 08033692001). These primary antibodies and OptiView DAB IHC Detection Kit (cat. no. 06396500001) supplied by Roche Diagnostics were used together to detect mismatch repair protein. The OptiView DAB IHC Detection Kit includes HRP-conjugated secondary antibodies optimized for automated staining on Ventana BenchMark instruments and was added at 37°C for 30 min. Results were assessed under a light microscope.

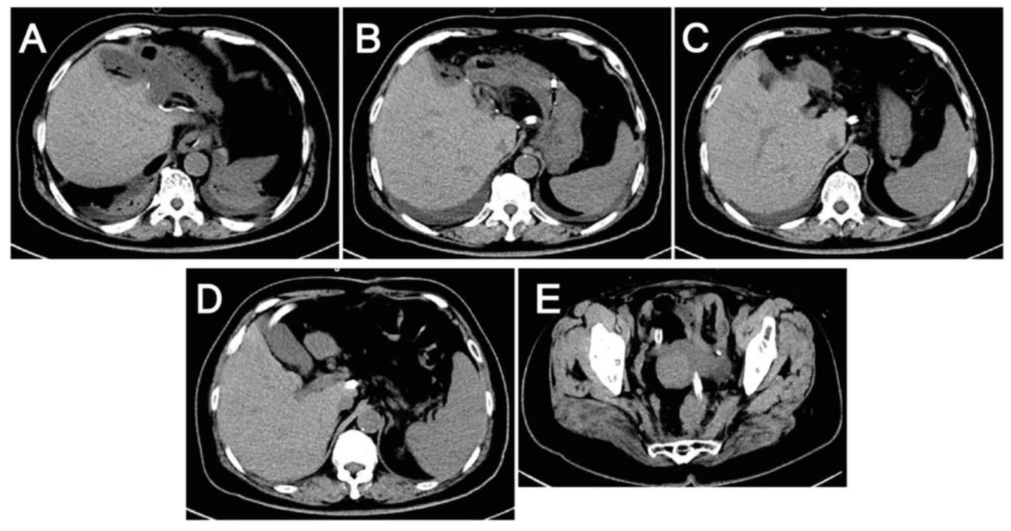
On postoperative day 6, abdominal-pelvic CT revealed postoperative changes in the rectum and liver, along with blurring of the left abdominal fat space, and small local nodules and small lymph nodes in the hilar area and omental capsule (Fig. 10). Repeat CT examination on 27 days post surgery showed less shadowing from the small nodules (Fig. 11).

Lesions 6 days after surgery as
assessed by computed tomography on April 25, 2024. Sites of
excision of the (A-D) metastatic liver lesions and (E) primary
colon lesion.

Figure 10.

Lesions 6 days after surgery as assessed by computed tomography on April 25, 2024. Sites of excision of the (A-D) metastatic liver lesions and (E) primary colon lesion.

Lesions 3 weeks after surgery as
assessed by computed tomography on May 16, 2024. Sites of excision
of the (A-D) Metastatic liver lesions and (E) primary colon
lesion.

Figure 11.

Lesions 3 weeks after surgery as assessed by computed tomography on May 16, 2024. Sites of excision of the (A-D) Metastatic liver lesions and (E) primary colon lesion.

The CT results indicated that a small lymph node in the hilum and omental capsule had a short diameter of ~8 mm, could be malignant, and would be difficult to remove surgically. Therefore, seven 3-week cycles of anti-HER2 therapy (300 mg trastuzumab on day 1 of the cycle) combined with oral chemotherapy (1 g capecitabine twice daily on days 1–14 of the cycle) were administered on 28, 39, 60, 81, 102, 123 and 145 days post-surgery. Thereafter, the chemotherapy was discontinued and the patient received three 3-week cycles of anti-HER2 therapy (trastuzumab 300 mg) on 165, 186 and 207 days post-surgery. The tumor marker levels were within the normal range during the postoperative period, and the patient remained on anti-HER2 therapy for 1 year. The latest CT result, which was recorded on 210 days post-surgery, showed postoperative changes in the rectum and liver, along with no signs of recurrence (Fig. 12). The patient was found to be in good condition and discontinued anti-HER2 therapy with instructions to attend for review every 3 months. The timeline of the treatment sequences, imaging evaluations and key clinical events are shown in Fig. 13.

Computed tomography images acquired
on November 25, 2024, 1 year after the initiation of anti-HER2
therapy. Sites of excision of the (A-D) metastatic liver lesions
and (E) the primary colon lesion.

Figure 12.

Computed tomography images acquired on November 25, 2024, 1 year after the initiation of anti-HER2 therapy. Sites of excision of the (A-D) metastatic liver lesions and (E) the primary colon lesion.

Timeline of treatment. PR, partial
response; CT, computed tomography; MRI, magnetic resonance imaging;
NGS, next-generation sequencing.

Figure 13.

Timeline of treatment. PR, partial response; CT, computed tomography; MRI, magnetic resonance imaging; NGS, next-generation sequencing.

Discussion

The incidence of HER2 positivity in CRC is relatively low, at only ~5% overall (5). HER2 is a member of the ERBB family of transmembrane receptor tyrosine kinases (RTKs), which also includes ERBB1 (EGFR), ERBB3 and ERBB4 (13,14). It is widely accepted that the overexpression, amplification or mutation of HER2 results in resistance to EGFR inhibitors and can be used as a biomarker for the prediction of treatment efficacy (11,12,15). The EGFR inhibitor cetuximab exerts an antitumor effect by inhibiting EGFR and downstream ERK activation, thereby hindering cancer cell proliferation (16). The mechanism underlying resistance to EGFR inhibitors is thought to involve HER2 amplification, leading to aberrant activation of HER2-ERK signal transduction and the bypass of EGFR-ERK signaling (16). Accordingly, ERK activation is maintained in HER2-amplified cells, conferring resistance to EGFR inhibitors in patients with HER2-positive tumors (16). The specific targeting of HER2 with small interfering RNA or HER2 inhibitors has been shown to block HER2 and ERK activation in HER2-amplified cells, thereby restoring sensitivity to cetuximab (16). These findings suggest that the HER2-mediated activation of alternative signaling pathways promotes resistance to EGFR inhibitors and that anti-HER2 therapy could potentially restore sensitivity to EGFR inhibitors and exert an anticancer effect in HER2-positive tumors. Preclinical and clinical studies have shown that the progression-free and overall survival rates achieved by EGFR inhibitors in patients with HER2-amplified CRC are significantly lower than those of their WT counterparts and comparable with those in patients with RAS or BRAF mutations (17,18). This suggests that HER2 predicts a poor response to EGFR inhibitor therapy. Therefore, we hypothesize that CRC with HER2 positivity, whether amplified, overexpressed or mutated, can lead to resistance to EGFR inhibitors and that the early initiation of anti-HER2 therapy should be considered.

In the present case, the NGS results indicated that KRAS, NRAS and BRAF were all WT, while ERBB2 (HER2) was mutated and amplified with a mutation abundance elevated 8.3-fold. These findings suggest possible resistance to drugs such as panitumumab and cetuximab, based on the aforementioned findings. Accordingly, first-line chemotherapy alone was initiated for metastatic CRC; however, after two cycles, an increase in tumor marker levels was observed and no clear change in the size of the lesions was shown by imaging, indicating that chemotherapy alone was having a poor effect. Given advances in clinical trials on CRC diagnosis and treatment, as well as the patient's circumstances, the patient was subsequently treated with anti-HER2 therapy combined with chemotherapy. Notably, tumor markers gradually decreased during the treatment, and imaging revealed a reduction in the size of the lesions. After six cycles of treatment, the tumor marker levels were within the normal range and the lesions were markedly smaller. Simultaneous surgical resection of the rectal cancer and liver metastases was subsequently achieved, demonstrating that anti-HER2 therapy can be beneficial in the treatment of metastatic CRC. Although HER2 has a well-established prognostic significance in breast cancer, its prognostic role in metastatic CRC remains unclear (19). However, HER2 positivity appears to have been beneficial in the present case, converting unresectable lesions into resectable ones after anti-HER2 therapy, potentially improving the prognosis and quality of life of the patient.

HER2 positivity is more common in patients with RAS/BRAF WT disease (20), with one study reporting HER2 upregulation in only 1.0% of patients with KRAS/BRAF mutations compared with 5.2% in those with WT disease (21). In the MyPathway trial, 23% of patients had KRAS mutations, with an objective response rate (ORR) of only 8%, much lower than the ORR of 40% observed for patients with KRAS WT disease (22). An exploratory analysis of the Phase II TRIUMPH study also showed the treatment responses in patients with alterations in RTK/RAS/PI3K-related genes detected by circulating tumor DNA were poorer compared with those of patients without these alterations (23). These studies suggest that patients with KRAS WT disease may have a stronger response to anti-HER2 therapy. The microsatellite instability (MSI) status of CRC can be classified as MSI-high, MSI-low or microsatellite-stable (MS-stable) (24). Immunotherapy offers significant benefits to patients with MSI-high CRC and has been approved in this indication by the US Food and Drug Administration. However, it does not provide a significant survival advantage in patients with MS-stable CRC (25). In the present case, NGS results showed that KRAS, NRAS and BRAF were WT, the tumor microsatellite status was MS-stable, and HER2 expression was positive; therefore, anti-HER2 therapy was recommended.

HER2 overexpression or amplification is traditionally assessed by IHC to evaluate protein expression and by in situ hybridization (ISH) to evaluate gene amplification. The diagnostic criteria developed by Valtorta et al (26) for the HERACLES clinical trial established a standardized procedure for defining HER2 positivity in CRC by IHC and ISH. According to these criteria, HER2 status is considered positive if there is intense (3+) IHC staining in ≥50% of cells, or either intense (3+) IHC staining in >10 to <50% of cells or moderate (2+) IHC staining in ≥50% of cells, combined with amplification on ISH testing, defined as an ERBB2 to centromere of chromosome 17 ratio of ≥2 in ≥50% of cells (26). Studies (27,28) have shown that NGS results are closely consistent with IHC/ISH testing results, and can also be used to evaluate the amplification of HER2 in CRC. Furthermore, the assessment of circulating tumor DNA by liquid biopsy is a simple method for the detection of HER2 status that requires only a blood sample rather than a tissue biopsy, with some studies demonstrating its success in metastatic CRC (23,29,30). Therefore, the circulating tumor DNA assay can be used to complement tissue-based methods or serve as an alternative when tissue testing is not feasible. Sartore-Bianchi et al (12) proposed that HER2 status assessment should be included in the molecular diagnostic workup of all patients with metastatic CRC to allow prompt referral to clinical trials involving HER2-targeted double blockade, regardless of previous anti-EGFR treatment. Another study emphasized the importance of detecting HER2 status in patients with advanced or metastatic CRC, particularly those with RAS WT and MS-stable disease (31). The current National Comprehensive Cancer Network guidelines recommend the assessment of HER2 status in all patients with metastatic CRC using either IHC/ISH or NGS (32). This indicates that greater emphasis should be placed on the detection of HER2 expression in patients with CRC, particularly those with metastatic disease. Timely treatment based to these results may lead to enhanced clinical outcomes and an improved prognosis.

The findings from the Trastuzumab for Gastric Cancer trial, published in 2010, revealed that the mean overall survival of patients with HER2-positive (IHC 3+ or overexpression on fluorescence ISH) recurrent or metastatic gastric adenocarcinoma or gastric-esophageal junction cancer was prolonged when trastuzumab was added to first-line chemotherapy. In addition, the combination of trastuzumab and chemotherapy exhibited a safety profile comparable with that of first-line chemotherapy alone (33). This discovery marked a shift from traditional therapy to a new era of molecular targeted therapy for gastric cancer. Trastuzumab combined with chemotherapy is now considered the standard first-line treatment for HER2-positive gastric cancer (34,35). Furthermore, the 2023 Chinese Society of Clinical Oncology gastric cancer guidelines emphasize that HER2 status testing is necessary in all patients with a confirmed pathological diagnosis of gastric adenocarcinoma (36).

Patients with gastric cancer are tested early for HER2 status, and those who are positive receive first-line anti-HER2 treatment. However, in CRC, the testing of anti-HER2 treatment typically occurs later. Insights from the present case and a review of the literature on anti-HER2 therapy for gastric cancer suggest some notable similarities between the diagnosis and treatment principles of gastric cancer and those of CRC (33). This leads to the suggestion that the early detection of the HER2 expression status of patients with CRC, particularly those with metastatic CRC, could allow anti-HER2 therapy to be brought forward into the first-line setting, potentially improving patient outcomes and quality of life. Similarly, another study proposed that anti-HER2 therapy for HER2-amplified CRC should be initiated as soon as possible rather than reserved for last-line application (37). However, further research is necessary to determine whether the earlier application of anti-HER2 therapy should be included in clinical guidance on the diagnosis and treatment of CRC.

At present, anti-HER2 therapy mainly includes monoclonal antibodies such as trastuzumab and pertuzumab, tyrosine kinase inhibitors such as lapatinib and tucatinib, and antibody-drug conjugates, including trastuzumab deruxtecan and trastuzumab emtansine. Advances in molecular pathology and detection methods have led to a series of studies in patients with HER2-positive CRC, including MyPathway, TRIUMPH, MOUNTAINEER, DESTINY-CRC and HERACLES (22,38–40). Most treatments in these studies involved a dual-targeted approach, such as a combination of two anti-HER2 antibodies or a monoclonal antibody combined with a tyrosine kinase inhibitor. Significant improvements have been reported in the overall prognosis for these treatments compared with standard treatment or best supportive care in the aforementioned trials, particularly with regard to the ORR, suggesting that patients with HER2-positive CRC can benefit from anti-HER2 therapy. Based on these promising outcomes, the National Comprehensive Cancer Network guidelines recommend four HER2-targeted regimens, namely, trastuzumab combined with pertuzumab, lapatinib or tucatinib, or trastuzumab deruxtecan (DS-8201) alone for patients with CRC, HER2 amplification and WT RAS/BRAF (32). In the present case, a dual-targeted regimen was not feasible due to financial constraints. Therefore, single-agent trastuzumab was used as a targeted therapy and achieved favorable results. Nevertheless, a dual-targeted approach is recommended when financial resources allow.

Trastuzumab deruxtecan is an antibody-drug conjugate consisting of trastuzumab linked to a topoisomerase I inhibitor. The Phase II DESTINY-CRC01 trial assessed the activity of this agent in patients with HER2-positive, WT RAS/BRAF and previously treated metastatic CRC at a dosage of 6.4 mg/kg every 3 weeks (40). In contrast with the aforementioned trials (22,38,39), the DESTINY-CRC01 trial allowed the inclusion of patients who had previously received anti-HER2 therapy (40). This trial found no significant reduction in the response rate in patients who had previously received anti-HER2 therapy, suggesting that trastuzumab deruxtecan is effective in anti-HER2-pretreated patients (40). The subsequent DESTINY-CRC02 trial explored the efficacy of two dose levels of trastuzumab deruxtecan (6.4 and 5.4 mg/kg) administered every 3 weeks (41). Unlike DESTINY-CRC01, DESTINY-CRC02 enrolled patients with both RAS-WT and RAS-mutant CRC (41). No significant difference in treatment response was observed between the two dose levels (41). However, due to toxicity concerns, the 5.4 mg/kg dosage was preferred, supporting its use in future treatments. This trial demonstrated a promising treatment effect in patients with RAS-mutated disease (n=20; ORR 20.0%) and those who had previously received anti-HER2 therapy (n=27; ORR 40.1%), suggesting that trastuzumab deruxtecan could be considered for the subsequent treatment of HER2-positive and RAS-mutated metastatic CRC (41). In addition, both trials showed that the response of patients with IHC 3+ disease was improved compared with that of patients with IHC 2+/ISH+ disease, indicating that high HER2 expression may be important for an effective response to anti-HER2 therapy (40,41).

Most anti-HER2 therapy regimens used in clinical trials for HER2-positive CRC have demonstrated good tolerability. However, cardiotoxicity associated with anti-HER2 agents, and interstitial lung disease or pneumonia associated with trastuzumab deruxtecan warrant careful monitoring (42–44). In the present case, the patient tolerated anti-HER2 therapy well, with no adverse effects observed. The results of regular electrocardiograms and measurements of left ventricular ejection fraction were within the normal ranges. Cardiac function should be assessed before, during and after the completion of HER2-targeted therapy, and treatment should be withheld or discontinued if a significant reduction in ejection fraction is observed (45,46). Grade ≥3 treatment-related adverse events have been reported in clinical trials of trastuzumab deruxtecan for breast cancer, gastric cancer and CRC (47–49). Therefore, patients treated with this agent should be promptly evaluated for any signs or symptoms of pulmonary toxicity. The aforementioned studies (40,41) have investigated a variety of anti-HER2 agents, including some that remain under investigation. Further clinical research is necessary to determine the optimal anti-HER2 regimen and the appropriate sequencing of subsequent anti-HER2 therapies.

Currently available anti-HER2 therapies have provided clinical benefits to certain patients with HER2-positive CRC. However, more than half of patients do not experience any benefit, suggesting that anti-HER2 therapy has some limitations. A meta-analysis found a median progression-free survival of only 4.89 months in patients with advanced CRC receiving anti-HER2 therapy (50). The relatively lower efficacy of anti-HER2 therapy in patients with HER2-positive CRC in comparison with that in patients with other types of cancer may be associated with HER2 resistance (51). While a number of studies have shown that the overexpression or mutation of genes involved in the RTK/RAS and PI3K pathways may contribute to resistance to anti-HER2 therapy (51–53), additional studies are necessary to explore the mechanisms of this resistance. This may facilitate the identification of strategies that can overcome drug resistance and enhance the clinical benefits of this therapy for patients with HER2-positive CRC.

In conclusion, anti-HER2 therapy has not been thoroughly investigated in CRC, and the relationship between HER2 positivity and the prognosis of patients with CRC remains inconclusive. The present case provides evidence that patients with HER2-positive CRC could significantly benefit from anti-HER2 therapy, and such therapy may confer a good prognosis for patients. Moreover, given that HER2 positivity is associated with resistance to EGFR inhibitors, early anti-HER2-containing combination therapy is warranted. Therefore, it is important to assess HER2 status promptly and accurately in patients with CRC, particularly those with metastatic disease. Further studies are required to determine whether anti-HER2 therapy can be moved into the frontline setting for patients with HER2-positive CRC and to identify the optimal anti-HER2 regimen.

Supplementary Material

Supporting Data

Acknowledgements

Not applicable.

Funding

This study was supported by the Natural Science Foundation of Hebei Province in 2021 and 2024 (grant nos. H2021307016 and H2024206176) and Projects from Health and Family Planning Commission of Hebei Province (grant no. 20220829).

Availability of data and materials

The NGS data generated in the present study may be found in the BioProject database under accession number PRJNA1247027 or at the following URL: https://www.ncbi.nlm.nih.gov/sra/PRJNA1247027. The remaining data generated in the present study are included in the figures and/or tables of this article.

Authors' contributions

JH, ZL and XF collected clinical data, reviewed the literature and drafted the manuscript. DH, XL, YW, QL and DW collected clinical data and contributed to drafting the manuscript. XF and JH confirm the authenticity of all the raw data. All authors have read and approved the final version of the manuscript.

Ethics approval and consent to participate

Not applicable.

Patient consent for publication

The patient provided written informed consent for the publication of their data and associated images.

Competing interests

The authors declare that they have no competing interests.

Glossary

Abbreviations

Abbreviations:

CRC

colorectal cancer

CT

computed tomography

EGFR

epidermal growth factor receptor

HER2

human epidermal growth factor receptor 2

NGS

next-generation sequencing

ORR

objective response rate

WT

wild-type

References

1 

Sung H, Ferlay J, Siegel RL, Laversanne M, Soerjomataram I, Jemal A and Bray F: Global cancer statistics 2020: GLOBOCAN estimates of incidence and mortality worldwide for 36 cancers in 185 countries. CA Cancer J Clin. 71:209–249. 2021. View Article : Google Scholar : PubMed/NCBI

2 

Biller LH and Schrag D: Diagnosis and treatment of metastatic colorectal cancer: A review. JAMA. 325:669–685. 2021. View Article : Google Scholar : PubMed/NCBI

3 

Yarden Y and Sliwkowski MX: Untangling the ErbB signalling network. Nat Rev Mol Cell Biol. 2:127–137. 2001. View Article : Google Scholar : PubMed/NCBI

4 

Ross JS, Fakih M, Ali SM, Elvin JA, Schrock AB, Suh J, Vergilio JA, Ramkissoon S, Severson E, Daniel S, et al: Targeting HER2 in colorectal cancer: The landscape of amplification and short variant mutations in ERBB2 and ERBB3. Cancer. 124:1358–1373. 2018. View Article : Google Scholar : PubMed/NCBI

5 

Siena S, Sartore-Bianchi A, Marsoni S, Hurwitz HI, McCall SJ, Penault-Llorca F, Srock S, Bardelli A and Trusolino L: Targeting the human epidermal growth factor receptor 2 (HER2) oncogene in colorectal cancer. Ann Oncol. 29:1108–1119. 2018. View Article : Google Scholar : PubMed/NCBI

6 

Margonis GA, Buettner S, Andreatos N, Kim Y, Wagner D, Sasaki K, Beer A, Schwarz C, Løes IM, Smolle M, et al: Association of BRAF mutations with survival and recurrence in surgically treated patients with metastatic colorectal liver cancer. JAMA Surg. 153:e1809962018. View Article : Google Scholar : PubMed/NCBI

7 

Suwaidan AA, Lau DK and Chau I: HER2 targeted therapy in colorectal cancer: New horizons. Cancer Treat Rev. 105:1023632022. View Article : Google Scholar : PubMed/NCBI

8 

Rosati G, Aprile G, Colombo A, Cordio S, Giampaglia M, Cappetta A, Porretto CM, De Stefano A, Bilancia D and Avallone A: Colorectal cancer heterogeneity and the impact on precision medicine and therapy efficacy. Biomedicines. 10:10352022. View Article : Google Scholar : PubMed/NCBI

9 

Yang L, Li W, Lu Z, Lu M, Zhou J, Peng Z, Zhang X, Wang X, Shen L and Li J: Clinicopathological features of HER2 positive metastatic colorectal cancer and survival analysis of anti-HER2 treatment. BMC Cancer. 22:3552022. View Article : Google Scholar : PubMed/NCBI

10 

Chitkara A, Bakhtiar M, Sahin IH, Hsu D, Zhang J, Anamika F, Mahnoor M, Ahmed R, Gholami S and Saeed A: A meta-analysis to assess the efficacy of HER2-targeted treatment regimens in HER2-positive metastatic colorectal cancer (mCRC). Curr Oncol. 30:8266–8277. 2023. View Article : Google Scholar : PubMed/NCBI

11 

Li QH, Wang YZ, Tu J, Liu CW, Yuan YJ, Lin R, He WL, Cai SR, He YL and Ye JN: Anti-EGFR therapy in metastatic colorectal cancer: Mechanisms and potential regimens of drug resistance. Gastroenterol Rep (Oxf). 8:179–191. 2020. View Article : Google Scholar : PubMed/NCBI

12 

Sartore-Bianchi A, Amatu A, Porcu L, Ghezzi S, Lonardi S, Leone F, Bergamo F, Fenocchio E, Martinelli E, Borelli B, et al: HER2 positivity predicts unresponsiveness to EGFR-targeted treatment in metastatic colorectal cancer. Oncologist. 24:1395–1402. 2019. View Article : Google Scholar : PubMed/NCBI

13 

Hynes NE and Lane HA: ERBB receptors and cancer: The complexity of targeted inhibitors. Nat Rev Cancer. 5:341–354. 2005. View Article : Google Scholar : PubMed/NCBI

14 

Popescu NC, King CR and Kraus MH: Localization of the human erbB-2 gene on normal and rearranged chromosomes 17 to bands q12-21.32. Genomics. 4:362–366. 1989. View Article : Google Scholar : PubMed/NCBI

15 

Wang G, He Y, Sun Y, Wang W, Qian X, Yu X and Pan Y: Prevalence, prognosis and predictive status of HER2 amplification in anti-EGFR-resistant metastatic colorectal cancer. Clin Transl Oncol. 22:813–822. 2020. View Article : Google Scholar : PubMed/NCBI

16 

Yonesaka K, Zejnullahu K, Okamoto I, Satoh T, Cappuzzo F, Souglakos J, Ercan D, Rogers A, Roncalli M, Takeda M, et al: Activation of ERBB2 signaling causes resistance to the EGFR-directed therapeutic antibody cetuximab. Sci Transl Med. 3:99ra862011. View Article : Google Scholar : PubMed/NCBI

17 

Sawada K, Nakamura Y, Yamanaka T, Kuboki Y, Yamaguchi D, Yuki S, Yoshino T, Komatsu Y, Sakamoto N, Okamoto W and Fujii S: Prognostic and predictive value of HER2 amplification in patients with metastatic colorectal cancer. Clin Colorectal Cancer. 17:198–205. 2018. View Article : Google Scholar : PubMed/NCBI

18 

Jeong JH, Kim J, Hong YS, Kim D, Kim JE, Kim SY, Kim KP, Yoon YK, Kim D, Chun SM, et al: HER2 amplification and cetuximab efficacy in patients with metastatic colorectal cancer harboring wild-type RAS and BRAF. Clin Colorectal Cancer. 16:e147–e152. 2017. View Article : Google Scholar : PubMed/NCBI

19 

Jang JY, Jeon YK, Jeong SY, Lim SH, Park YS, Lim HY, Lee JY and Kim ST: Effect of human epidermal growth factor receptor 2 overexpression in metastatic colorectal cancer on standard chemotherapy outcomes. J Gastrointest Oncol. 14:2097–1110. 2023. View Article : Google Scholar : PubMed/NCBI

20 

Nam SK, Yun S, Koh J, Kwak Y, Seo AN, Park KU, Kim DW, Kang SB, Kim WH and Lee HS: BRAF, PIK3CA, and HER2 oncogenic alterations according to KRAS mutation status in advanced colorectal cancers with distant metastasis. PLoS One. 11:e01518652016. View Article : Google Scholar : PubMed/NCBI

21 

Richman SD, Southward K, Chambers P, Cross D, Barrett J, Hemmings G, Taylor M, Wood H, Hutchins G, Foster JM, et al: HER2 overexpression and amplification as a potential therapeutic target in colorectal cancer: Analysis of 3256 patients enrolled in the QUASAR, FOCUS and PICCOLO colorectal cancer trials. J Pathol. 238:562–570. 2016. View Article : Google Scholar : PubMed/NCBI

22 

Meric-Bernstam F, Hurwitz H, Raghav KPS, McWilliams RR, Fakih M, VanderWalde A, Swanton C, Kurzrock R, Burris H, Sweeney C, et al: Pertuzumab plus trastuzumab for HER2-amplified metastatic colorectal cancer (MyPathway): An updated report from a multicentre, open-label, phase 2a, multiple basket study. Lancet Oncol. 20:518–530. 2019. View Article : Google Scholar : PubMed/NCBI

23 

Nakamura Y, Okamoto W, Kato T, Esaki T, Kato K, Komatsu Y, Yuki S, Masuishi T, Nishina T, Ebi H, et al: Circulating tumor DNA-guided treatment with pertuzumab plus trastuzumab for HER2-amplified metastatic colorectal cancer: A phase 2 trial. Nat Med. 27:1899–1903. 2021. View Article : Google Scholar : PubMed/NCBI

24 

Jass JR: Classification of colorectal cancer based on correlation of clinical, morphological and molecular features. Histopathology. 50:113–130. 2007. View Article : Google Scholar : PubMed/NCBI

25 

Zumwalt TJ and Goel A: Immunotherapy of metastatic colorectal cancer: Prevailing challenges and new perspectives. Curr Colorectal Cancer Rep. 11:125–140. 2015. View Article : Google Scholar : PubMed/NCBI

26 

Valtorta E, Martino C, Sartore-Bianchi A, Penaullt-Llorca F, Viale G, Risio M, Rugge M, Grigioni W, Bencardino K, Lonardi S, et al: Assessment of a HER2 scoring system for colorectal cancer: Results from a validation study. Mod Pathol. 28:1481–1491. 2015. View Article : Google Scholar : PubMed/NCBI

27 

Fujii S, Magliocco AM, Kim J, Okamoto W, Kim JE, Sawada K, Nakamura Y, Kopetz S, Park WY, Tsuchihara K, et al: International harmonization of provisional diagnostic criteria for ERBB2-amplified metastatic colorectal cancer allowing for screening by next-generation sequencing panel. JCO Precis Oncol. 4:6–19. 2020. View Article : Google Scholar : PubMed/NCBI

28 

Shimada Y, Yagi R, Kameyama H, Nagahashi M, Ichikawa H, Tajima Y, Okamura T, Nakano M, Nakano M, Sato Y, et al: Utility of comprehensive genomic sequencing for detecting HER2-positive colorectal cancer. Hum Pathol. 66:1–9. 2017. View Article : Google Scholar : PubMed/NCBI

29 

Siravegna G, Sartore-Bianchi A, Nagy RJ, Raghav K, Odegaard JI, Lanman RB, Trusolino L, Marsoni S, Siena S and Bardelli A: Plasma HER2 (ERBB2) copy number predicts response to HER2-targeted therapy in metastatic colorectal cancer. Clin Cancer Res. 25:3046–3053. 2019. View Article : Google Scholar : PubMed/NCBI

30 

Takegawa N, Yonesaka K, Sakai K, Ueda H, Watanabe S, Nonagase Y, Okuno T, Takeda M, Maenishi O, Tsurutani J, et al: HER2 genomic amplification in circulating tumor DNA from patients with cetuximab-resistant colorectal cancer. Oncotarget. 7:3453–3460. 2016. View Article : Google Scholar : PubMed/NCBI

31 

Singh H, Kang A, Bloudek L, Hsu LI, Corinna Palanca-Wessels M, Stecher M, Siadak M and Ng K: Systematic literature review and meta-analysis of HER2 amplification, overexpression, and positivity in colorectal cancer. JNCI Cancer Spectr. 8:pkad0822024. View Article : Google Scholar : PubMed/NCBI

32 

Benson AB, Venook AP, Adam M, Chang G, Chen YJ, Ciombor KK, Cohen SA, Cooper HS, Deming D, Garrido-Laguna I, et al: Colon cancer, version 3.2024, NCCN clinical practice guidelines in oncology. J Natl Compr Canc Netw. 22:e2400292024. View Article : Google Scholar : PubMed/NCBI

33 

Bang YJ, Van Cutsem E, Feyereislova A, Chung HC, Shen L, Sawaki A, Lordick F, Ohtsu A, Omuro Y, Satoh T, et al: Trastuzumab in combination with chemotherapy versus chemotherapy alone for treatment of HER2-positive advanced gastric or gastro-oesophageal junction cancer (ToGA): A phase 3, open-label, randomised controlled trial. Lancet. 376:687–697. 2010. View Article : Google Scholar : PubMed/NCBI

34 

Smyth EC, Nilsson M, Grabsch HI, van Grieken NC and Lordick F: Gastric cancer. Lancet. 396:635–648. 2020. View Article : Google Scholar : PubMed/NCBI

35 

Ajani JA, D'Amico TA, Bentrem DJ, Chao J, Cooke D, Corvera C, Das P, Enzinger PC, Enzler T, Fanta P, et al: Gastric cancer, version 2.2022, NCCN clinical practice guidelines in oncology. J Natl Compr Canc Netw. 20:167–192. 2022. View Article : Google Scholar : PubMed/NCBI

36 

Wang FH, Zhang XT, Tang L, Wu Q, Cai MY, Li YF, Qu XJ, Qiu H, Zhang YJ, Ying JE, et al: The Chinese society of clinical oncology (CSCO): Clinical guidelines for the diagnosis and treatment of gastric cancer, 2023. Cancer Commun (Lond). 44:127–172. 2024. View Article : Google Scholar : PubMed/NCBI

37 

Nakamura Y, Sawada K, Fujii S and Yoshino T: HER2-targeted therapy should be shifted towards an earlier line for patients with anti-EGFR-therapy naïve, HER2-amplified metastatic colorectal cancer. ESMO Open. 4:e0005302019. View Article : Google Scholar : PubMed/NCBI

38 

Sartore-Bianchi A, Trusolino L, Martino C, Bencardino K, Lonardi S, Bergamo F, Zagonel V, Leone F, Depetris I, Martinelli E, et al: Dual-targeted therapy with trastuzumab and lapatinib in treatment-refractory, KRAS codon 12/13 wild-type, HER2-positive metastatic colorectal cancer (HERACLES): A proof-of-concept, multicentre, open-label, phase 2 trial. Lancet Oncol. 17:738–746. 2016. View Article : Google Scholar : PubMed/NCBI

39 

Sartore-Bianchi A, Lonardi S, Martino C, Fenocchio E, Tosi F, Ghezzi S, Leone F, Bergamo F, Zagonel V, Ciardiello F, et al: Pertuzumab and trastuzumab emtansine in patients with HER2-amplified metastatic colorectal cancer: The phase II HERACLES-B trial. ESMO Open. 5:e0009112020. View Article : Google Scholar : PubMed/NCBI

40 

Siena S, Di Bartolomeo M, Raghav K, Masuishi T, Loupakis F, Kawakami H, Yamaguchi K, Nishina T, Fakih M, Elez E, et al: Trastuzumab deruxtecan (DS-8201) in patients with HER2-expressing metastatic colorectal cancer (DESTINY-CRC01): A multicentre, open-label, phase 2 trial. Lancet Oncol. 22:779–789. 2021. View Article : Google Scholar : PubMed/NCBI

41 

Raghav K, Siena S, Takashima A, Kato T, Van den Eynde M, Pietrantonio F, Komatsu Y, Kawakami H, Peeters M, Andre T, et al: Trastuzumab deruxtecan in patients with HER2-positive advanced colorectal cancer (DESTINY-CRC02): Primary results from a multicentre, randomised, phase 2 trial. Lancet Oncol. 25:1147–1162. 2024. View Article : Google Scholar : PubMed/NCBI

42 

Long HD, Lin YE, Zhang JJ, Zhong WZ and Zheng RN: Risk of congestive heart failure in early breast cancer patients undergoing adjuvant treatment with trastuzumab: A meta-analysis. Oncologist. 21:547–554. 2016. View Article : Google Scholar : PubMed/NCBI

43 

Suter TM and Ewer MS: Cancer drugs and the heart: Importance and management. Eur Heart J. 34:1102–1111. 2013. View Article : Google Scholar : PubMed/NCBI

44 

Swain SM, Nishino M, Lancaster LH, Li BT, Nicholson AG, Bartholmai BJ, Naidoo J, Schumacher-Wulf E, Shitara K, Tsurutani J, et al: Multidisciplinary clinical guidance on trastuzumab deruxtecan (T-DXd)-related interstitial lung disease/pneumonitis-Focus on proactive monitoring, diagnosis, and management. Cancer Treat Rev. 106:1023782022. View Article : Google Scholar : PubMed/NCBI

45 

Armenian SH, Lacchetti C, Barac A, Carver J, Constine LS, Denduluri N, Dent S, Douglas PS, Durand JB, Ewer M, et al: Prevention and monitoring of cardiac dysfunction in survivors of adult cancers: American society of clinical oncology clinical practice guideline. J Clin Oncol. 35:893–911. 2017. View Article : Google Scholar : PubMed/NCBI

46 

Gradishar WJ, Moran MS, Abraham J, Abramson V, Aft R, Agnese D, Allison KH, Anderson B, Bailey J, Burstein HJ, et al: Breast cancer, version 3.2024, NCCN clinical practice guidelines in oncology. J Natl Compr Canc Netw. 22:331–357. 2024. View Article : Google Scholar : PubMed/NCBI

47 

Modi S, Saura C, Yamashita T, Park YH, Kim SB, Tamura K, Andre F, Iwata H, Ito Y, Tsurutani J, et al: Trastuzumab deruxtecan in previously treated HER2-positive breast cancer. N Engl J Med. 382:610–621. 2020. View Article : Google Scholar : PubMed/NCBI

48 

Shitara K, Bang YJ, Iwasa S, Sugimoto N, Ryu MH, Sakai D, Chung HC, Kawakami H, Yabusaki H, Lee J, et al: Trastuzumab deruxtecan in previously treated HER2-positive gastric cancer. N Engl J Med. 382:2419–2430. 2020. View Article : Google Scholar : PubMed/NCBI

49 

Edoardo C and Giuseppe C: Trastuzumab-deruxtecan in solid tumors with HER2 alterations: From early phase development to the first agnostic approval of an antibody-drug conjugate. Expert Opin Investig Drugs. 33:851–865. 2024. View Article : Google Scholar : PubMed/NCBI

50 

Gao M, Jiang T, Li P, Zhang J, Xu K and Ren T: Efficacy and safety of HER2-targeted inhibitors for metastatic colorectal cancer with HER2-amplified: A meta-analysis. Pharmacol Res. 182:1063302022. View Article : Google Scholar : PubMed/NCBI

51 

Siravegna G, Lazzari L, Crisafulli G, Sartore-Bianchi A, Mussolin B, Cassingena A, Martino C, Lanman RB, Nagy RJ, Fairclough S, et al: Radiologic and genomic evolution of individual metastases during HER2 blockade in colorectal cancer. Cancer Cell. 34:148–162.e7. 2018. View Article : Google Scholar : PubMed/NCBI

52 

Wang N, Cao Y, Si C, Shao P, Su G, Wang K, Bao J and Yang L: Emerging role of ERBB2 in targeted therapy for metastatic colorectal cancer: Signaling pathways to therapeutic strategies. Cancers (Basel). 14:51602022. View Article : Google Scholar : PubMed/NCBI

53 

Lazzari L, Corti G, Picco G, Isella C, Montone M, Arcella P, Durinikova E, Zanella ER, Novara L, Barbosa F, et al: Patient-derived xenografts and matched cell lines identify pharmacogenomic vulnerabilities in colorectal cancer. Clin Cancer Res. 25:6243–6259. 2019. View Article : Google Scholar : PubMed/NCBI

Related Articles

  • Abstract
  • View
  • Download
  • Twitter
Copy and paste a formatted citation
Spandidos Publications style
Huang J, Li Z, He D, Li X, Wang Y, Li Q, Wang D and Fan X: Radical treatment for metastasis of HER2‑positive rectal adenocarcinoma to the liver: A case report and literature review. Oncol Lett 30: 408, 2025.
APA
Huang, J., Li, Z., He, D., Li, X., Wang, Y., Li, Q. ... Fan, X. (2025). Radical treatment for metastasis of HER2‑positive rectal adenocarcinoma to the liver: A case report and literature review. Oncology Letters, 30, 408. https://doi.org/10.3892/ol.2025.15154
MLA
Huang, J., Li, Z., He, D., Li, X., Wang, Y., Li, Q., Wang, D., Fan, X."Radical treatment for metastasis of HER2‑positive rectal adenocarcinoma to the liver: A case report and literature review". Oncology Letters 30.3 (2025): 408.
Chicago
Huang, J., Li, Z., He, D., Li, X., Wang, Y., Li, Q., Wang, D., Fan, X."Radical treatment for metastasis of HER2‑positive rectal adenocarcinoma to the liver: A case report and literature review". Oncology Letters 30, no. 3 (2025): 408. https://doi.org/10.3892/ol.2025.15154
Copy and paste a formatted citation
x
Spandidos Publications style
Huang J, Li Z, He D, Li X, Wang Y, Li Q, Wang D and Fan X: Radical treatment for metastasis of HER2‑positive rectal adenocarcinoma to the liver: A case report and literature review. Oncol Lett 30: 408, 2025.
APA
Huang, J., Li, Z., He, D., Li, X., Wang, Y., Li, Q. ... Fan, X. (2025). Radical treatment for metastasis of HER2‑positive rectal adenocarcinoma to the liver: A case report and literature review. Oncology Letters, 30, 408. https://doi.org/10.3892/ol.2025.15154
MLA
Huang, J., Li, Z., He, D., Li, X., Wang, Y., Li, Q., Wang, D., Fan, X."Radical treatment for metastasis of HER2‑positive rectal adenocarcinoma to the liver: A case report and literature review". Oncology Letters 30.3 (2025): 408.
Chicago
Huang, J., Li, Z., He, D., Li, X., Wang, Y., Li, Q., Wang, D., Fan, X."Radical treatment for metastasis of HER2‑positive rectal adenocarcinoma to the liver: A case report and literature review". Oncology Letters 30, no. 3 (2025): 408. https://doi.org/10.3892/ol.2025.15154
Follow us
  • Twitter
  • LinkedIn
  • Facebook
About
  • Spandidos Publications
  • Careers
  • Cookie Policy
  • Privacy Policy
How can we help?
  • Help
  • Live Chat
  • Contact
  • Email to our Support Team