Spandidos Publications Logo
  • About
    • About Spandidos
    • Aims and Scopes
    • Abstracting and Indexing
    • Editorial Policies
    • Reprints and Permissions
    • Job Opportunities
    • Terms and Conditions
    • Contact
  • Journals
    • All Journals
    • Oncology Letters
      • Oncology Letters
      • Information for Authors
      • Editorial Policies
      • Editorial Board
      • Aims and Scope
      • Abstracting and Indexing
      • Bibliographic Information
      • Archive
    • International Journal of Oncology
      • International Journal of Oncology
      • Information for Authors
      • Editorial Policies
      • Editorial Board
      • Aims and Scope
      • Abstracting and Indexing
      • Bibliographic Information
      • Archive
    • Molecular and Clinical Oncology
      • Molecular and Clinical Oncology
      • Information for Authors
      • Editorial Policies
      • Editorial Board
      • Aims and Scope
      • Abstracting and Indexing
      • Bibliographic Information
      • Archive
    • Experimental and Therapeutic Medicine
      • Experimental and Therapeutic Medicine
      • Information for Authors
      • Editorial Policies
      • Editorial Board
      • Aims and Scope
      • Abstracting and Indexing
      • Bibliographic Information
      • Archive
    • International Journal of Molecular Medicine
      • International Journal of Molecular Medicine
      • Information for Authors
      • Editorial Policies
      • Editorial Board
      • Aims and Scope
      • Abstracting and Indexing
      • Bibliographic Information
      • Archive
    • Biomedical Reports
      • Biomedical Reports
      • Information for Authors
      • Editorial Policies
      • Editorial Board
      • Aims and Scope
      • Abstracting and Indexing
      • Bibliographic Information
      • Archive
    • Oncology Reports
      • Oncology Reports
      • Information for Authors
      • Editorial Policies
      • Editorial Board
      • Aims and Scope
      • Abstracting and Indexing
      • Bibliographic Information
      • Archive
    • Molecular Medicine Reports
      • Molecular Medicine Reports
      • Information for Authors
      • Editorial Policies
      • Editorial Board
      • Aims and Scope
      • Abstracting and Indexing
      • Bibliographic Information
      • Archive
    • World Academy of Sciences Journal
      • World Academy of Sciences Journal
      • Information for Authors
      • Editorial Policies
      • Editorial Board
      • Aims and Scope
      • Abstracting and Indexing
      • Bibliographic Information
      • Archive
    • International Journal of Functional Nutrition
      • International Journal of Functional Nutrition
      • Information for Authors
      • Editorial Policies
      • Editorial Board
      • Aims and Scope
      • Abstracting and Indexing
      • Bibliographic Information
      • Archive
    • International Journal of Epigenetics
      • International Journal of Epigenetics
      • Information for Authors
      • Editorial Policies
      • Editorial Board
      • Aims and Scope
      • Abstracting and Indexing
      • Bibliographic Information
      • Archive
    • Medicine International
      • Medicine International
      • Information for Authors
      • Editorial Policies
      • Editorial Board
      • Aims and Scope
      • Abstracting and Indexing
      • Bibliographic Information
      • Archive
  • Articles
  • Information
    • Information for Authors
    • Information for Reviewers
    • Information for Librarians
    • Information for Advertisers
    • Conferences
  • Language Editing
Spandidos Publications Logo
  • About
    • About Spandidos
    • Aims and Scopes
    • Abstracting and Indexing
    • Editorial Policies
    • Reprints and Permissions
    • Job Opportunities
    • Terms and Conditions
    • Contact
  • Journals
    • All Journals
    • Biomedical Reports
      • Information for Authors
      • Editorial Policies
      • Editorial Board
      • Aims and Scope
      • Abstracting and Indexing
      • Bibliographic Information
      • Archive
    • Experimental and Therapeutic Medicine
      • Information for Authors
      • Editorial Policies
      • Editorial Board
      • Aims and Scope
      • Abstracting and Indexing
      • Bibliographic Information
      • Archive
    • International Journal of Epigenetics
      • Information for Authors
      • Editorial Policies
      • Editorial Board
      • Aims and Scope
      • Abstracting and Indexing
      • Bibliographic Information
      • Archive
    • International Journal of Functional Nutrition
      • Information for Authors
      • Editorial Policies
      • Editorial Board
      • Aims and Scope
      • Abstracting and Indexing
      • Bibliographic Information
      • Archive
    • International Journal of Molecular Medicine
      • Information for Authors
      • Editorial Policies
      • Editorial Board
      • Aims and Scope
      • Abstracting and Indexing
      • Bibliographic Information
      • Archive
    • International Journal of Oncology
      • Information for Authors
      • Editorial Policies
      • Editorial Board
      • Aims and Scope
      • Abstracting and Indexing
      • Bibliographic Information
      • Archive
    • Medicine International
      • Information for Authors
      • Editorial Policies
      • Editorial Board
      • Aims and Scope
      • Abstracting and Indexing
      • Bibliographic Information
      • Archive
    • Molecular and Clinical Oncology
      • Information for Authors
      • Editorial Policies
      • Editorial Board
      • Aims and Scope
      • Abstracting and Indexing
      • Bibliographic Information
      • Archive
    • Molecular Medicine Reports
      • Information for Authors
      • Editorial Policies
      • Editorial Board
      • Aims and Scope
      • Abstracting and Indexing
      • Bibliographic Information
      • Archive
    • Oncology Letters
      • Information for Authors
      • Editorial Policies
      • Editorial Board
      • Aims and Scope
      • Abstracting and Indexing
      • Bibliographic Information
      • Archive
    • Oncology Reports
      • Information for Authors
      • Editorial Policies
      • Editorial Board
      • Aims and Scope
      • Abstracting and Indexing
      • Bibliographic Information
      • Archive
    • World Academy of Sciences Journal
      • Information for Authors
      • Editorial Policies
      • Editorial Board
      • Aims and Scope
      • Abstracting and Indexing
      • Bibliographic Information
      • Archive
  • Articles
  • Information
    • For Authors
    • For Reviewers
    • For Librarians
    • For Advertisers
    • Conferences
  • Language Editing
Login Register Submit
  • This site uses cookies
  • You can change your cookie settings at any time by following the instructions in our Cookie Policy. To find out more, you may read our Privacy Policy.

    I agree
Search articles by DOI, keyword, author or affiliation
Search
Advanced Search
presentation
Oncology Letters
Join Editorial Board Propose a Special Issue
Print ISSN: 1792-1074 Online ISSN: 1792-1082
Journal Cover
September-2025 Volume 30 Issue 3

Full Size Image

Sign up for eToc alerts
Recommend to Library

Journals

International Journal of Molecular Medicine

International Journal of Molecular Medicine

International Journal of Molecular Medicine is an international journal devoted to molecular mechanisms of human disease.

International Journal of Oncology

International Journal of Oncology

International Journal of Oncology is an international journal devoted to oncology research and cancer treatment.

Molecular Medicine Reports

Molecular Medicine Reports

Covers molecular medicine topics such as pharmacology, pathology, genetics, neuroscience, infectious diseases, molecular cardiology, and molecular surgery.

Oncology Reports

Oncology Reports

Oncology Reports is an international journal devoted to fundamental and applied research in Oncology.

Experimental and Therapeutic Medicine

Experimental and Therapeutic Medicine

Experimental and Therapeutic Medicine is an international journal devoted to laboratory and clinical medicine.

Oncology Letters

Oncology Letters

Oncology Letters is an international journal devoted to Experimental and Clinical Oncology.

Biomedical Reports

Biomedical Reports

Explores a wide range of biological and medical fields, including pharmacology, genetics, microbiology, neuroscience, and molecular cardiology.

Molecular and Clinical Oncology

Molecular and Clinical Oncology

International journal addressing all aspects of oncology research, from tumorigenesis and oncogenes to chemotherapy and metastasis.

World Academy of Sciences Journal

World Academy of Sciences Journal

Multidisciplinary open-access journal spanning biochemistry, genetics, neuroscience, environmental health, and synthetic biology.

International Journal of Functional Nutrition

International Journal of Functional Nutrition

Open-access journal combining biochemistry, pharmacology, immunology, and genetics to advance health through functional nutrition.

International Journal of Epigenetics

International Journal of Epigenetics

Publishes open-access research on using epigenetics to advance understanding and treatment of human disease.

Medicine International

Medicine International

An International Open Access Journal Devoted to General Medicine.

Journal Cover
September-2025 Volume 30 Issue 3

Full Size Image

Sign up for eToc alerts
Recommend to Library

  • Article
  • Citations
    • Cite This Article
    • Download Citation
    • Create Citation Alert
    • Remove Citation Alert
    • Cited By
  • Similar Articles
    • Related Articles (in Spandidos Publications)
    • Similar Articles (Google Scholar)
    • Similar Articles (PubMed)
  • Download PDF
  • Download XML
  • View XML
Article Open Access

Clinical importance of E‑cadherin deficiency in resectable gastric cancer: A nested case‑control study

  • Authors:
    • Cheng Zheng
    • Min Dai
    • Dongying Wang
    • Xingchen Liu
    • Zhiyi Xiang
    • Anyi Xu
    • Ping Chen
    • Feng Wu
    • Yuan Yuan
    • Shengqiang Ji
    • Lihu Gu
  • View Affiliations / Copyright

    Affiliations: Department of General Surgery, Ningbo No. 2 Hospital, Ningbo, Zhejiang 315010, P.R. China, The Second Clinical Medical College, Zhejiang Chinese Medical University, Hangzhou, Zhejiang 310053, P.R. China, The First Clinical Medical College, Zhejiang Chinese Medical University, Hangzhou, Zhejiang 310053, P.R. China, Intensive Care Unit, Ningbo No. 2 Hospital, Ningbo, Zhejiang 315010, P.R. China, Department of Histopathology II, Ningbo Clinical Pathology Diagnosis Center, Ningbo, Zhejiang 315021, P.R. China
    Copyright: © Zheng et al. This is an open access article distributed under the terms of Creative Commons Attribution License.
  • Article Number: 427
    |
    Published online on: July 4, 2025
       https://doi.org/10.3892/ol.2025.15173
  • Expand metrics +
Metrics: Total Views: 0 (Spandidos Publications: | PMC Statistics: )
Metrics: Total PDF Downloads: 0 (Spandidos Publications: | PMC Statistics: )
Cited By (CrossRef): 0 citations Loading Articles...

This article is mentioned in:



Abstract

The prognosis of gastric cancer (GC) remains unsatisfactory despite advancements in diagnosis and treatment. Epithelial‑mesenchymal transition‑induced decreased cell‑cell adhesion, often associated with E‑cadherin deficiency, serves a crucial role in tumor invasion and metastasis. However, the relationship between E‑cadherin deficiency and GC prognosis is unclear. The present study aimed to explore the association between E‑cadherin deficiency and the prognosis of resectable GC. The nested case‑control study involved prospective data collection and retrospective analysis. Between January 2013 and December 2022, a total of 1,574 patients treated for GC were eligible for prognostic analysis (104 in the E‑cadherin deficiency group and 1,470 in the E‑cadherin expression group). Logistic regression analysis was utilized to evaluate the univariate and multivariate associations between clinicopathological factors and E‑cadherin deficiency. Propensity score matching analysis at a ratio of 1:4 was performed. Kaplan‑Meier curves were employed to analyze the relationship between the prognosis of the E‑cadherin deficiency group and the E‑cadherin expression group. There were 104 cases of E‑cadherin deficiency, accounting for an incidence of 6.6%. The results of the analysis revealed that a family history of GC [odds ratio (OR), 7.60; P<0.001], poorly differentiated tumors (OR, 8.67; P<0.001), perineural invasion (OR, 1.63; P=0.030) and elevated carcinoembryonic antigen (CEA) (OR, 1.83; P=0.034) were independent risk factors for E‑cadherin deficiency in all enrolled patients. Following propensity score matching analysis, 86 cases in the E‑cadherin deficiency group and 344 cases in the E‑cadherin expression group were included. Survival analysis demonstrated no statistically significant difference in 5‑year disease‑free survival rates between the E‑cadherin deficiency and expression groups (P=0.590). Similarly, the 5‑year overall survival rates were comparable between the two groups (P=0.863). In summary, E‑cadherin deficiency is associated with a family history of GC, poorly differentiated tumors, perineural invasion and elevated CEA levels. However, E‑cadherin deficiency does not impact the prognosis of resectable GC.

Introduction

The latest global cancer data released by the World Health Organization's International Agency for Research on Cancer in 2020 revealed that gastric cancer (GC) ranks as the fifth most common cancer and the fourth leading cause of cancer-associated mortalities worldwide (1). The occurrence of GC is the result of the long-term effects of a variety of factors, such as Helicobacter pylori infection, diet, smoking and family history. There are obvious regional differences in GC, with the main high-end regions being East Asia, Eastern Europe and some Latin American countries. Notably, China stands out as an area with a high incidence of GC, with projections indicating ~10 million new GC cases and 5.6 million associated deaths between 2021 and 2035 (2). In the United States, the 5-year overall age-standardized relative survival rates of patients with GC were 38.3% (2007–2011), 40.6% (2012–2016) and 42.9% (2017–2021) (3). Despite progress in GC diagnosis and treatment, such as use of the gold-standard gastroscopy treatment and biopsy pathology, the patient prognosis remains unsatisfactory.

GC invasion and metastasis represent the primary causes of mortality. In various malignancies, such as breast cancer and nasopharyngeal carcinoma, epithelial-mesenchymal transition (EMT)-mediated reduction in cell-cell adhesion and enhanced migration properties serve a pivotal role in promoting tumor invasion and migration (3–7). Downregulation of E-cadherin, a key epithelial cell adhesion molecule, has been implicated in enhancing EMT occurrence (8). Decreased E-cadherin expression in breast cancer has been associated with a worse prognosis (9). Notably, while E-cadherin deficiency in patients with GC is relatively low and there are limited related reports, GC is associated with mutations in the E-cadherin gene (CDH1), characterizing hereditary diffuse GC (HDGC), which accounts for 1–2% of GC cases (10). Therefore, the present single-center study aimed to investigate the association between E-cadherin expression and the prognosis of patients with GC.

Patients and methods

Clinical data

A total of 1,574 patients with GC who underwent radical gastrectomy at Ningbo No. 2 Hospital (Ningbo, China) between January 2013 and December 2022 were included in the present study. Among them, the number of men was 1,103 and the number of women was 471. The age ranged from 23 to 92 years, with a median age of 66 years. It is notable that clinical subjects were opportunistically recruited in the present study, with no sample size restrictions and inclusion based only on recruitment time. Due to the rarity of E-cadherin deficiency (~8% of GC), this was the largest sample size available to the research team. Clinical databases were prospectively extracted and retrospectively analyzed. Inclusion criteria comprised histologically confirmed primary gastric adenocarcinoma, no chemotherapy or radiotherapy before surgery, radical gastrectomy, no history of gastrectomy or other malignant tumors, and complete clinical and pathological data. Patient's refusing to participate were excluded. The acquisition and utilization of tissue specimens were approved by the Ethics Committee of Ningbo No. 2 Hospital (approval nos. PJ-NBEY-KY-2019-153-01 and PJ-NBEY-KY-2012-681-08), and patients provided written informed consent.

Immunohistochemical staining and evaluation

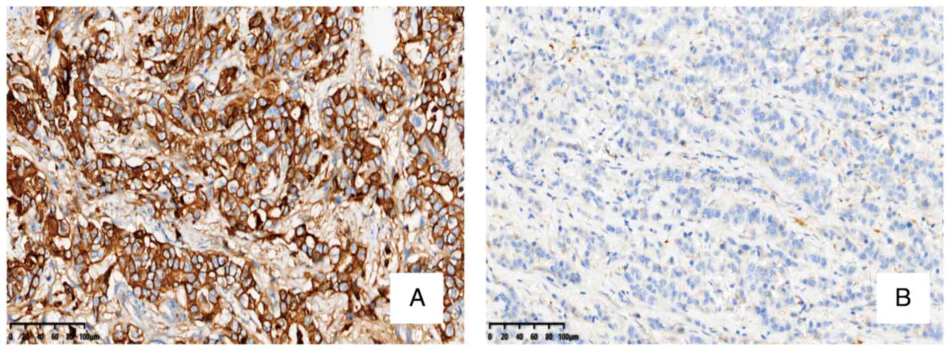
Rabbit anti-human E-cadherin antibody (clone number, EP6; Beijing Zhongshan Jinqiao Biotechnology Co., Ltd.) was utilized for immunohistochemical staining. The initial specimens were fixed in 40 g/l formaldehyde for 7 h at 65°C and embedded in paraffin. Specimens from the paraffin embedded block were cut into 4-µm sections. The first section was routinely stained with hematoxylin-eosin for histological diagnosis and subsequent sections were stained for immunohistochemical analysis. E-cadherin immunohistochemical staining was performed using ABC detection system (Vector Laboratories, Inc.). The sections were incubated with a primary antibody against E-Cadherin (clone number, EP6; diluted at 1:200; cat. no. ZA-0565; Beijing Zhongshan Jinqiao Biotechnology Co., Ltd.) for 1.5 h at room temperature. Sections were dewaxed, and rehydrated. Antigen retrieval was performed in 0.1 mM citric buffer with a microwave at 700 W for 5 min. Endogenous peroxidase activity and non-specific bindings were blocked using a 30-min incubation with 3% hydrogen peroxide/methanol followed by a 30-min incubation with 5% goat serum, respectively. The sections were covered with HRP-conjugated secondary antibody at room temperature for 30 min. Thereafter, specimens were stained with 3′,3-diaminobenzidine tetrahydrochloride. The slides were then counterstained with hematoxylin, dehydrated, and evaluated by light microscopy. The results were interpreted via double-blind reading by three pathologists. Any tan-colored staining, indicative of a notable increase in cell membrane expression, was considered a positive signal (Fig. 1A), regardless of nuclear or cytoplasmic staining. E-cadherin-negative was defined as complete loss of membranous expression (Fig. 1B) (11,12).

Expression of E-cadherin in
resectable gastric cancer tissues (magnification, ×200). (A)
E-cadherin-positive group. (B) E-cadherin-negative group.

Figure 1.

Expression of E-cadherin in resectable gastric cancer tissues (magnification, ×200). (A) E-cadherin-positive group. (B) E-cadherin-negative group.

Follow-up

Patients underwent follow-up every 3–6 months for the first 2 years postoperatively and annually thereafter until mortality or ≥5 years after radical surgery. Adjuvant chemotherapy based on 5-fluorouracil or platinum was recommended for all postoperative patients with stage II–III GC (American Joint Committee on Cancer/International Union against Cancer Tumor-Node-Metastasis classification system, 8th Edition) (13). Follow-up assessments included physical examinations, laboratory tests (complete blood count, liver function tests, tumor markers) and imaging tests [chest X-ray, B-scan ultrasound, gastroscopy, computed tomography (CT), magnetic resonance imaging or positron emission tomography-CT] to detect recurrence or metastasis. Disease-free survival (DFS) was defined as the time from surgery to locoregional recurrence, distant recurrence or mortality, while overall survival (OS) was defined as the time from the start of randomization to mortality from any cause. The median follow-up for the entire cohort was 52 months (range, 1–122 months), with follow-up of all patients included in the present study closing in October 2023.

Statistical analysis

Demographic characteristics of the E-cadherin-negative group (E-cadherin deficiency) and the E-cadherin-positive group were compared and analyzed. Continuous variables were compared using independent-samples t-test or Wilcoxon's rank-sum test, while categorical variables were compared using Pearson's χ2 test or Fisher's exact test as appropriate. Logistic regression analysis was employed to evaluate the univariate and multivariate associations between clinicopathological factors and E-cadherin deficiency. Odds ratios (ORs) and 95% confidence intervals were calculated. To mitigate selection bias, 1:4 propensity score matching analysis was performed for the E-cadherin-negative and E-cadherin-positive groups. Kaplan-Meier curves were utilized to estimate DFS and OS, with the log-rank test determining significance. Propensity scores were generated using a logistic regression model incorporating covariates such as age, sex, tumor location, tumor size, perineural invasion, lymphovascular invasion, pathological tumor (pT) category, pathological lymph node (pN) category, number of lymph node dissections, carcinoembryonic antigen (CEA) and adjuvant chemotherapy. Individuals in the E-cadherin-negative group were matched to those in the E-cadherin-positive group based on these propensity scores. All statistical tests were two-tailed, with P<0.05 considered to indicate a statistically significant difference. Statistical analysis was performed using SPSS software (version 25.0; IBM Corp.).

Results

Patient recruitment

Between January 2013 and December 2022, a total of 2,297 gastrectomies were performed at Ningbo No. 2 Hospital. Following application of the inclusion criteria, 723 patients were excluded, resulting in the analysis of 1,574 patients (104 in the E-cadherin-negative group and 1,470 in the E-cadherin-positive group). E-cadherin negativity was observed in 6.6% of cases (Fig. 2).

Flow diagram of selection of patients
with gastric cancer.

Figure 2.

Flow diagram of selection of patients with gastric cancer.

Clinicopathological factors and E-cadherin

E-cadherin deficiency was potentially associated with a family history of GC, tumor size, histological type, perineural invasion, pT category and pN category in GC (all P<0.05; Table I). Univariate logistic regression indicated potential associations between E-cadherin deficiency and a family history of GC, histological type, perineural invasion, pT category, pN category and CEA levels in GC (all P<0.05; Table II). Further multivariate logistic regression identified a family history of GC (OR, 7.60; P<0.001), poorly differentiated histology (OR, 8.67; P<0.001), perineural invasion (OR, 1.63; P=0.030) and elevated CEA levels (OR, 1.83; P=0.034) as independent risk factors for E-cadherin deficiency in all enrolled patients (Table III).

Table I.

Baseline clinicopathological characteristics of the enrolled patients with or without E-cadherin expression.

Table I.

Baseline clinicopathological characteristics of the enrolled patients with or without E-cadherin expression.

Clinicopathological featureNo E-cadherin expression (n=104)Positive E-cadherin expression (n=1,470)P-value
Age, years64.5±9.365.5±9.60.315
Sex 0.508
  Male70 (67.3)1,033 (70.3)
  Female34 (32.7)437 (29.7)
Family history of gastric cancer <0.001
  Absence93 (89.4)1,447 (98.4)
  Presence11 (10.6)23 (1.6)
Tumor location 0.692
  Upper third14 (13.5)172 (11.7)
  Middle third18 (17.3)258 (17.6)
  Lower third68 (65.4)1,007 (68.5)
  Two-thirds or more4 (3.8)33 (2.2)
Type of gastrectomy 0.708
  Distal subtotal76 (73.1)1,091 (74.2)
  Total28 (26.9)371 (25.2)
  Proximal subtotal0 (0.0)8 (0.6)
Tumor size, cm4.5±2.34.0±2.30.046
Histological type <0.001
  Differentiated10 (9.6)759 (51.6)
  Undifferentiated94 (90.4)711 (48.4)
Perineural invasion <0.001
  Absence36 (34.6)815 (55.4)
  Presence68 (65.4)655 (44.6)
Lymphovascular invasion 0.123
  Absence36 (34.6)626 (42.6)
  Presence68 (65.4)844 (57.4)
pT category <0.001
  T116 (15.4)402 (27.3)
  T26 (5.8)209 (14.2)
  T38 (7.7)198 (13.5)
  T4a70 (67.3)609 (41.4)
  T4b4 (3.8)52 (3.6)
pN category 0.005
  N034 (32.7)638 (43.4)
  N116 (15.4)260 (17.7)
  N218 (17.3)255 (17.3)
  N3a22 (21.2)250 (17.0)
  N3b14 (13.4)67 (4.6)
Number of lymph node dissections24.7±10.025.1±9.20.644
Carcinoembryonic antigen levela 0.050
  Normal82 (82.0)1,253 (88.9)
  Abnormal18 (18.0)156 (11.1)

{ label (or @symbol) needed for fn[@id='tfn1-ol-30-3-15173'] } Data are presented as n (%) or mean ± SD.

a 4 and 61 patients in the no E-cadherin and positive E-cadherin expression groups, respectively, did not have CEA examination data. pT, pathological tumor stage; pN, pathological lymph node stage.

Table II.

Univariate regression analysis of clinicopathological factors associated with E-cadherin deficiency.

Table II.

Univariate regression analysis of clinicopathological factors associated with E-cadherin deficiency.

Clinicopathological featureOR95% CIP-value
Age, years
  ≤601.00
  >600.740.49–1.120.156
Sex
  Male1.00
  Female1.150.75–1.760.524
Family history of gastric cancer
  Absence1.00
  Presence7.503.30–16.90<0.001
Tumor location
  Upper third1.00
  Middle third0.860.42–1.770.677
  Lower third0.830.46–1.510.540
  Two-thirds or more1.490.46–4.810.505
Tumor size, cm
  ≤51.00
  >51.240.80–1.920.345
Histological type
  Differentiated1.00
  Undifferentiated10.045.19–19.41<0.001
Perineural invasion
  Absence1.00
  Presence2.351.55–3.57<0.001
Lymphovascular invasion
  Absence1.00
  Presence1.400.92–2.130.113
pT category
  T11.00
  T20.720.28–1.870.502
  T31.020.43–2.410.973
  T4a2.891.65–5.04<0.001
  T4b1.930.62–6.000.254
pN category
  N01.00
  N11.160.63–2.130.645
  N21.330.74–2.390.350
  N3a1.650.95–2.880.077
  N3b3.922.00–7.67<0.001
Carcinoembryonic antigen level
  Normal1.00
  Abnormal1.761.03–3.020.038

[i] pT, pathological tumor stage; pN, pathological lymph node stage; OR, odds ratio; CI, confidence interval.

Table III.

Multivariate regression analysis of clinicopathological factors associated with E-cadherin deficiency.

Table III.

Multivariate regression analysis of clinicopathological factors associated with E-cadherin deficiency.

Clinicopathological featureOR95% CIP-value
Family history of gastric cancer
  Absence1.00
  Presence7.603.30–17.30<0.001
Histological type
  Differentiated1.00
  Undifferentiated8.674.44–16.94<0.001
Perineural invasion
  Absence1.00
  Presence1.631.05–2.530.030
Carcinoembryonic antigen level
  Normal1.00
  Abnormal1.831.05–3.210.034

[i] OR, odds ratio; CI, confidence interval.

Propensity score matching analysis

In a 1:4 match analysis, age, sex, tumor location, tumor size, perineural invasion, lymphovascular invasion, pT category, pN category, number of lymph node dissections, CEA levels and adjuvant chemotherapy were matched. After matching, 86 patients in the E-cadherin deficiency group and 344 patients in the E-cadherin-positive expression group were analyzed. No significant differences were observed in the covariates of age, sex, tumor location, tumor size, perineural invasion, lymphovascular invasion, pT category, pN category, number of lymph node dissections, CEA levels and adjuvant chemotherapy (all P>0.05; Table IV). Kaplan-Meier analysis revealed no statistically significant differences in 5-year DFS rates between the E-cadherin deficiency group and the E-cadherin-positive expression group (P=0.590; Fig. 3). Similarly, no significant differences were observed in 5-year OS rates between the two groups (P=0.863; Fig. 4).

Comparison of curves of DFS between
patients with E-cadherin deficiency and E-cadherin-positive
expression in resectable gastric cancer after propensity score
matching (P=0.590). DFS, disease-free survival.

Figure 3.

Comparison of curves of DFS between patients with E-cadherin deficiency and E-cadherin-positive expression in resectable gastric cancer after propensity score matching (P=0.590). DFS, disease-free survival.

Comparison of curves of OS between
patients with E-cadherin deficiency and E-cadherin-positive
expression in resectable gastric cancer after propensity score
matching (P=0.863). OS, overall survival.

Figure 4.

Comparison of curves of OS between patients with E-cadherin deficiency and E-cadherin-positive expression in resectable gastric cancer after propensity score matching (P=0.863). OS, overall survival.

Table IV.

Baseline characteristics of patients with or without E-cadherin expression after 1:4 propensity score matching.

Table IV.

Baseline characteristics of patients with or without E-cadherin expression after 1:4 propensity score matching.

Clinicopathological featureNoe E-cadherin expression (n=86)Positive E-cadherin expression (n=344)P-value
Age, years64.0±9.663.9±9.90.959
Sex 0.897
  Male58 (67.4)236 (68.6)
  Female28 (32.6)108 (31.4)
Tumor location 0.264
  Upper third12 (14.0)44 (12.8)
  Middle third14 (16.3)53 (15.4)
  Lower third56 (65.1)243 (70.6)
  Two-thirds or more4 (4.7)4 (1.2)
Tumor size, cm4.5±2.34.4±2.20.533
Perineural invasion 0.389
  Absence30 (34.9)139 (40.4)
  Presence56 (65.1)205 (59.6)
Lymphovascular invasion 0.801
  Absence32 (37.2)121 (35.2)
  Presence54 (62.8)223 (64.8)
pT category 0.542
  T112 (14.0)47 (13.7)
  T26 (7.0)33 (9.6)
  T34 (4.7)26 (7.6)
  T4a60 (69.8)212 (61.6)
  T4b4 (4.7)26 (7.6)
pN category 0.234
  N028 (32.6)83 (24.1)
  N116 (18.6)56 (16.3)
  N214 (16.3)73 (21.2)
  N3a16 (18.6)94 (27.3)
  N3b12 (14.0)38 (11.0)
Number of lymph node dissections24.2±8.425.8±9.40.133
Carcinoembryonic antigen levela 0.285
  Normal70 (83.3)291 (87.7)
  Abnormal14 (16.7)41 (12.3)
Adjuvant chemotherapy 0.496
  No20 (23.3)95 (27.6)
  Yes66 (76.7)249 (72.4)

{ label (or @symbol) needed for fn[@id='tfn5-ol-30-3-15173'] } Data are presented as n (%) or mean ± SD.

a 2 and 12 patients in the no E-cadherin and positive E-cadherin expression groups, respectively, did not have CEA examination data. pT, pathological tumor stage; pN, pathological lymph node stage.

Discussion

GC histology samples from the Human Protein Atlas demonstrated that E-cadherin deficiency accounted for 8% of GC cases (14). The present study, encompassing 1,574 patients with resectable GC, revealed a proportion of E-cadherin deficiency at 6.6%, which is consistent with the results of the literature. However, another study from China reported that E-cadherin deficiency accounted for 34.5% of patients with GC (15). This result potentially differs from the present study due to inclusion of a limited sample size of 84 patients who had already undergone GC surgery. E-cadherin deficiency is a molecular marker event of GC, and its clinical value is reflected in genetic counseling (CDH1 mutation detection), pathological classification, prognostic stratification and individualized treatment decisions.

The prognosis of resectable GC may be associated with factors such as age, sex, tumor size, depth of invasion, lymph node metastasis and histological type (16). Older age (≥70 years) is an independent risk factor for postoperative complications (17); as some older patients do not receive systemic therapy, they may not experience a survival benefit from adjuvant chemotherapy or radiation therapy (18). However, Hoffman et al (19) reported that postoperative radiotherapy and chemotherapy did not markedly improve survival in older patients with gastric adenocarcinoma resection. It has also been suggested that younger patients have a higher mortality rate compared with older patients, as GC in younger patients exhibits more aggressive features and may be more advanced (20). In summary, the difference in prognosis of GC with age is controversial. A study by Suh et al (21) demonstrated no notable difference between male and female patient outcomes after resection for early-stage GC in younger patients. However, older men have worse OS rate compared with older women, as they generally have more comorbidities compared with women of the same age (22,23). Currently, there are no previous studies that suggest that sex is an independent factor in the prognosis of GC.

Del Rio et al (24) showed that, in patients with GC, tumor size is associated with the degree of malignancy of the tumor and it is a notable predictor of survival. There is a positive association between tumor size and lymph node metastasis, with larger tumors likely to lead to a worse prognosis by promoting lymph node metastasis. A study by Lee et al (25) found that undifferentiated GC was associated with lymph node metastasis, which may also be associated with GC prognosis. T, N and metastasis (M) stages are recognized as the most important independent prognostic factors for GC (26,27). TNM staging for GC remains the most important basis for the selection of clinical treatment strategies and the judgment of clinical prognosis (28).

The expression of E-cadherin has an effect on the prognosis of malignant tumors (1). E-cadherin downregulation leads to E-cadherin-mediated signaling pathway dysfunction, thereby changing cell polarity, increasing cell viability and promoting the EMT process, as well as cell invasion and migration (29). Inactivation of E-cadherin contributes to EMT and tumor progression through a number of signaling pathways, including Wnt signaling, Rho GTPases and epidermal growth factor receptor (EGFR) (30). E-cadherin also has a growth-inhibiting function, inhibiting cell-cell contact and inducing cell cycle arrest by upregulating cyclin-dependent kinase inhibitor 1B (31). E-cadherin deficiency leads to the loss of this growth-inhibiting function, and tumors are more likely to invade and metastasize (3). Chronic inflammation caused by bacterial infection erodes the gastric mucosa, resulting in its eventual regeneration by bone marrow-derived cells, leading to GC through metaplasia-dysplasia sequences. However, this phenomenon may be limited to cancer types that arise after extensive destruction of inflammatory tissue, such as stomach ulcers. It has been established that Helicobacter pylori infection leads to NF-κB activation in the gastric epithelium. NF-κB regulates the phenotype of epithelial cells during inflammation and contributes to inflammation-associated carcinogenesis (32). E-cadherin has the ability to downregulate NF-κB activity, thereby reducing NF-κB-mediated carcinogenic effects (32,33). Thus, E-cadherin deficiency leads to NF-κB activation (4). E-cadherin acts as a tumor suppressor, and downregulation of E-cadherin has been observed in various cancer types, such as breast cancer and cutaneous melanoma (34). Somatic mutations of the the E-cadherin gene CDH1 have been found in sporadic diffuse GC (35). Gene mutations are a major mechanism of silencing tumor suppressor genes. In addition to the downregulation of E-cadherin induced by CDH1 gene mutations, epigenetic factors can also regulate the expression of E-cadherin. DNA methylation is a major type of epigenetic alteration, and promoter hypermethylation often serves as a secondary mechanism for silencing genes (36). This may also be associated with the prognosis of GC.

The present study demonstrated that E-cadherin deficiency in patients with resectable GC is associated with a family history of GC, poorly differentiated tumors, perineural invasion and elevated CEA levels. Germline mutations in CDH1 are closely associated with HDGC, leading to a higher incidence of E-cadherin deficiency in patients with a family history of GC (37). Apart from CDH1 gene mutations, factors such as loss of heterozygosity at E-cadherin chromosomal loci, CDH1 promoter hypermethylation, transcriptional repression and post-translational modifications (such as abnormal glycosylation) contribute to E-cadherin deficiency (38). For example, the study by Tedaldi et al (39) utilized next-generation sequencing (NGS) analysis to demonstrate different methylation patterns in the regulatory region of the CDH1 enhancer, serving a crucial role in gene expression regulation and subsequent E-cadherin deficiency. NGS analysis holds promise for diagnosing family members of patients with familial GC, enabling them to undergo preventive total gastrectomy (39,40).

A study by Chen et al (15) indicated a notable association between E-cadherin expression and GC differentiation. E-cadherin expression is more frequently lost in signet ring cell and mucinous adenocarcinomas, while it is often maintained in GC with glandular or nodular formation. Previous studies have identified E-cadherin gene mutations in signet ring cancer, disrupting the Adhesome and facilitating interactions between human EGFR2 and mucin 4, leading to the formation of signet ring cell carcinoma (41,42). The present study further demonstrates the association between poorly differentiated tumors and the prognosis of GC. Studies across different cancer types, including breast, endometrial and prostate cancer, have demonstrated that the reduction or loss of E-cadherin expression is associated with poor differentiation (43–45). This may be attributed to E-cadherin deficiency contributing to tumor dedifferentiation, thereby enhancing invasiveness. Key regulatory transcription factors of EMT, such as Snail, Slug, transcription factor 3 and Smad interacting protein 1/zinc finger E-box binding homeobox 2, are actively involved in inhibiting junction proteins and desmosomes, which are responsible for epithelial cell differentiation (46,47). Previous studies have not extensively explored the associations between E-cadherin deficiency and perineural invasion in GC. We hypothesize that E-cadherin deficiency may enhance the invasiveness of GC, facilitating perineural invasion. Notably, prior studies have not established a direct association between CEA and E-cadherin deficiency. CEA tends to enhance tumor aggressiveness (48), and concurrently, the aggressiveness of E-cadherin deficiency is higher. Therefore, based on the present findings, it is plausible that the two factors may exhibit a synergistic effect. In conclusion, the present study is the first to report the association of CEA elevation with E-cadherin deficiency in GC.

A meta-analysis of 26 studies demonstrated a notable association between decreased E-cadherin expression and poor prognosis in patients with GC (49). E-cadherin serves a multifaceted role in cancer biology, not only influencing invasion and metastasis but also functioning as a tumor suppressor in various cancer types, including GC (50,51). However, the present results indicated no significant association between E-cadherin deficiency and the prognosis of resectable GC. This disparity may stem from differences in study focus, with the present study investigation centering on E-cadherin deficiency rather than decreased expression levels. Additionally, the heterogeneity in thresholds for decreased E-cadherin expression across the original studies in the meta-analysis, ranging from 5 to 90%, coupled with predominantly univariate analyses, contributes to heterogeneity. Consequently, while the meta-analysis suggested a worse prognosis in patients with GC with reduced E-cadherin expression, the confidence in these findings remains tentative. Thus, the association between E-cadherin expression and prognosis in patients with GC remains controversial.

The present study highlights the contentious nature of the associations between four factors associated with E-cadherin deficiency and the prognosis of GC, namely family history of GC, poorly differentiated tumors, perineural invasion and elevated CEA levels. While hereditary cases associated with known cancer susceptibility syndromes or genetic causes account for a small proportion of all GC cases (52), their prognostic implications compared with sporadic GC remain unproven due to limited case numbers. The prognostic importance of histological type in GC has been debated, with numerous studies suggesting it lacks independent prognostic value (26,53). Although perineural invasion is a critical pathway for cancer metastasis, its status as an independent prognostic factor for GC remains unclear (54). Similarly, the association between GC prognosis and elevated CEA levels is disputed. While CEA serves as a vital tumor marker, elevated serum levels may also occur in benign conditions. Numerous patients with advanced metastatic GC may not exhibit elevated CEA levels (55,56). In conclusion, the present study found no significant association between E-cadherin deficiency and the prognosis of resectable GC. If there are more studies on E-cadherin deficiency in the future, a relevant meta-analysis will be performed.

While the present study provides valuable insights into E-cadherin deficiency in patients with GC in China, it has several limitations. Firstly, the low prevalence of E-cadherin deficiency in clinical practice limits the sample size. Additionally, the study lacks sufficient follow-up time. There are five internationally recognized patterns of GC recurrence: Local recurrence, lymph node metastases, peritoneal metastases, hematogenous metastases and mixed recurrence (57). The present study classified the prognosis and a total of 163 out of 430 patients had relapsed. According to the five recognized patterns of GC recurrence, 5 of the cases were local recurrence, 18 were lymph node metastases, 128 were peritoneal metastases, 87 were hematogenous metastases and the remaining patients were mixed recurrences. The primary outcome of the present study was DFS. Due to the sample size, it was not possible to further classify specific recurrence patterns for statistical analysis. Moreover, the cases included were all of patients with resectable GC in stages I–III. After propensity matching, there were 86 patients with E-cadherin deficiency in the study. Among them, there were 14 patients with stage I disease, and none of them relapsed. There were 18 patients with stage II, of whom 6 had recurrence, and there were 54 in stage III, of whom 26 were recurrent. Due to sample size limitations, further stratification analysis could not be performed (especially in patients with stage I). If more samples become available in the future the results should be updated. Finally, E-cadherin deficiency was defined solely based on immunohistochemistry, overlooking other mechanisms such as CDH1 gene mutations, promoter hypermethylation, transcriptional repression and post-translational modifications. Although NGS analysis is recommended for comprehensive gene analysis associated with E-cadherin deficiency, financial and technical constraints precluded further analysis in the present study.

In conclusion, the present study demonstrated that the proportion of E-cadherin deficiency in resectable GC in China may be ~6.6% based on data from one hospital. E-cadherin deficiency was associated with a family history of GC, poorly differentiated tumors, perineural invasion and elevated CEA levels. However, the present study did not confirm a significant association between E-cadherin deficiency and the prognosis of GC.

Acknowledgements

Not applicable.

Funding

The present study was funded by the Zhu Xiu Shan Talent Project of Ningbo No. 2 Hospital (grant no. 2023HMYQ09), the Ningbo Clinical Research Center for Digestive System Tumors (grant no. 2019A21003) and Ningbo Medical Key Discipline (grant no. 2022-B09).

Availability of data and materials

The data generated in the present study may be requested from the corresponding author.

Authors' contributions

CZ and MD conceptualized the study and designed the experimental methods. DW, XL and ZX collected and analyzed the data. AX and PC performed the follow-up of the patients. FW and YY analyzed data. SJ and LG were responsible for interpretation of the data. CZ was responsible for writing the original draft and editing the figures. MD and DW reviewed and edited the manuscript. LG supervised the study and contributed to the revision of the manuscript. CZ, MD, DW, XL, ZX, AX, PC, FW, YY, SJ and LG confirm the authenticity of all the raw data. All authors read and approved the final manuscript.

Ethics approval and consent to participate

In accordance with the Declaration of Helsinki, the studies involving humans were approved by the Ethics Committee of Ningbo No. 2 Hospital (approval nos. PJ-NBEY-KY-2019-153-01 and PJ-NBEY-KY-2012-681-08). The participants provided their written informed consent to participate in the study.

Patient consent for publication

Not applicable.

Competing interests

The authors declare that they have no competing interests.

Glossary

Abbreviations

Abbreviations:

EMT

epithelial-mesenchymal transition

GC

gastric cancer

CEA

carcinoembryonic antigen

HDGC

hereditary diffuse gastric cancer

CT

computed tomography

DFS

disease-free survival

OS

overall survival

OR

odds ratio

CI

confidence interval

NGS

next-generation sequencing

References

1 

Ferlay J, Colombet M, Soerjomataram I, Parkin DM, Piñeros M, Znaor A and Bray F: Cancer statistics for the year 2020: An overview. Int J Cancer. April 5–2021.(Epub ahead of print). View Article : Google Scholar

2 

Wang Z, Han W, Xue F, Zhao Y, Wu P, Chen Y, Yang C, Gu W and Jiang J: Nationwide gastric cancer prevention in China, 2021–2035: A decision analysis on effect, affordability and cost-effectiveness optimisation. Gut. 71:2391–2400. 2022. View Article : Google Scholar

3 

Li Y, Feng A, Zheng S, Chen C and Lyu J: Recent estimates and predictions of 5-year survival in patients with gastric cancer: A model-based period analysis. Cancer Control. 29:107327482210992272022. View Article : Google Scholar

4 

Zhou Y, Xia L, Lin J, Wang H, Oyang L, Tan S, Tian Y, Su M, Wang H, Cao D and Liao Q: Exosomes in nasopharyngeal carcinoma. J Cancer. 9:767–777. 2018. View Article : Google Scholar : PubMed/NCBI

5 

Loh CY, Chai JY, Tang TF, Wong WF, Sethi G, Shanmugam MK, Chong PP and Looi CY: The E-Cadherin and N-Cadherin Switch in Epithelial-to-Mesenchymal transition: Signaling, therapeutic implications, and challenges. Cells. 8:11182019. View Article : Google Scholar : PubMed/NCBI

6 

Maeda M, Johnson KR and Wheelock MJ: Cadherin switching: Essential for behavioral but not morphological changes during an epithelium-to-mesenchyme transition. J Cell Sci. 118:873–887. 2005. View Article : Google Scholar

7 

Park M, Kim D, Ko S, Kim A, Mo K and Yoon H: Breast cancer metastasis: Mechanisms and therapeutic implications. Int J Mol Sci. 23:68062022. View Article : Google Scholar

8 

Sharaireh AM, Fitzpatrick LM, Ward CM, McKay TR and Unwin RD: Epithelial cadherin regulates transition between the naïve and primed pluripotent states in mouse embryonic stem cells. Stem Cells. 38:1292–1306. 2020. View Article : Google Scholar : PubMed/NCBI

9 

Corso G, Figueiredo J, De Angelis SP, Corso F, Girardi A, Pereira J, Seruca R, Bonanni B, Carneiro P, Pravettoni G, et al: E-cadherin deregulation in breast cancer. J Cell Mol Med. 24:5930–5936. 2020. View Article : Google Scholar : PubMed/NCBI

10 

Fitzgerald RC and Caldas C: E-cadherin mutations and hereditary gastric cancer: Prevention by resection? Dig Dis. 20:23–31. 2002. View Article : Google Scholar : PubMed/NCBI

11 

Setia N, Agoston AT, Han HS, Mullen JT, Duda DG, Clark JW, Deshpande V, Mino-Kenudson M, Srivastava A, Lennerz JK, et al: A protein and mRNA expression-based classification of gastric cancer. Mod Pathol. 29:772–784. 2016. View Article : Google Scholar

12 

Zhao C, Feng Z, He H, Zang D, Du H, Huang H, Du Y, He J, Zhou Y and Nie Y: Protein expression-based classification of gastric cancer by immunohistochemistry of tissue microarray. PLoS One. 15:e02388362020. View Article : Google Scholar : PubMed/NCBI

13 

Sano T, Coit DG, Kim HH, Roviello F, Kassab P, Wittekind C, Yamamoto Y and Ohashi Y: Proposal of a new stage grouping of gastric cancer for TNM classification: International Gastric Cancer Association staging project. Gastric Cancer. 20:217–225. 2017. View Article : Google Scholar : PubMed/NCBI

14 

Caldeira J, Figueiredo J, Brás-Pereira C, Carneiro P, Moreira AM, Pinto MT, Relvas JB, Carneiro F, Barbosa M, Casares F, et al: E-cadherin-defective gastric cancer cells depend on Laminin to survive and invade. Hum Mol Genet. 24:5891–5900. 2015. View Article : Google Scholar

15 

Chen HC, Chu RY, Hsu PN, Hsu PI, Lu JY, Lai KH, Tseng HH, Chou NH, Huang MS, Tseng CJ and Hsiao M: Loss of E-cadherin expression correlates with poor differentiation and invasion into adjacent organs in gastric adenocarcinomas. Cancer Lett. 201:97–106. 2003. View Article : Google Scholar

16 

Yang WJ, Zhao HP, Yu Y, Wang JH, Guo L, Liu JY, Pu J and Lv J: Updates on global epidemiology, risk and prognostic factors of gastric cancer. World J Gastroenterol. 29:2452–2468. 2023. View Article : Google Scholar

17 

Shin HS, Oh SJ and Suh BJ: Factors related to morbidity in elderly gastric cancer patients undergoing gastrectomies. J Gastric Cancer. 14:173–179. 2014. View Article : Google Scholar : PubMed/NCBI

18 

Song P, Wu L, Jiang B, Liu Z, Cao K and Guan W: Age-specific effects on the prognosis after surgery for gastric cancer: A SEER population-based analysis. Oncotarget. 7:48614–48624. 2016. View Article : Google Scholar

19 

Hoffman KE, Neville BA, Mamon HJ, Kachnic LA, Katz MS, Earle CC and Punglia RS: Adjuvant therapy for elderly patients with resected gastric adenocarcinoma: Population-based practices and treatment effectiveness. Cancer. 118:248–257. 2012. View Article : Google Scholar : PubMed/NCBI

20 

Seo JY, Jin EH, Jo HJ, Yoon H, Shin CM, Park YS, Kim N, Jung HC and Lee DH: Clinicopathologic and molecular features associated with patient age in gastric cancer. World J Gastroenterol. 21:6905–6913. 2015. View Article : Google Scholar

21 

Suh DD, Oh ST, Yook JH and Kim BS and Kim BS: Differences in the prognosis of early gastric cancer according to sex and age. Therap Adv Gastroenterol. 10:219–229. 2017. View Article : Google Scholar

22 

Lim JH, Lee DH, Shin CM, Kim N, Park YS, Jung HC and Song IS: Clinicopathological features and surgical safety of gastric cancer in elderly patients. J Korean Med Sci. 29:1639–1645. 2014. View Article : Google Scholar

23 

Lee JY, Kim HI, Kim YN, Hong JH, Alshomimi S, An JY, Cheong JH, Hyung WJ, Noh SH and Kim CB: Clinical significance of the prognostic nutritional index for predicting Short- and Long-term surgical outcomes after Gastrectomy: A retrospective analysis of 7781 gastric cancer patients. Medicine (Baltimore). 95:e35392016. View Article : Google Scholar : PubMed/NCBI

24 

Del Rio P, Viani L, Bertocchi E, Iapichino G, Luzietti E, Dell'Abate P and Sianesi M: The prognostic role of tumor size in patients with gastric cancer. Ann Ital Chir. 88:478–484. 2017.PubMed/NCBI

25 

Lee JH, Choi IJ, Han HS, Kim YW, Ryu KW, Yoon HM, Eom BW, Kim CG, Lee JY, Cho SJ, et al: Risk of lymph node metastasis in differentiated type mucosal early gastric cancer mixed with minor undifferentiated type histology. Ann Surg Oncol. 22:1813–1819. 2015. View Article : Google Scholar

26 

Tan YE, Wang PL, Yin SC, Zhang C, Hou WB and Xu HM: Thirty-year trends in clinicopathologic characteristics and prognosis after gastrectomy for gastric cancer: A single institution in Northern China. J Cancer. 11:1056–1062. 2020. View Article : Google Scholar : PubMed/NCBI

27 

Kulig P, Pach R, Majewska O and Kulig J: Clinicopathological prognostic factors determining outcomes of treatment in gastric cancer surgery. In Vivo. 36:2927–2935. 2022. View Article : Google Scholar : PubMed/NCBI

28 

Chen D, Fu M, Chi L, Lin L, Cheng J, Xue W, Long C, Jiang W, Dong X, Sui J, et al: Prognostic and predictive value of a pathomics signature in gastric cancer. Nat Commun. 13:69032022. View Article : Google Scholar : PubMed/NCBI

29 

Van Aken E, De Wever O, Correia da Rocha AS and Mareel M: Defective E-cadherin/catenin complexes in human cancer. Virchows Arch. 439:725–751. 2001. View Article : Google Scholar : PubMed/NCBI

30 

Cavallaro U and Christofori G: Cell adhesion and signalling by cadherins and Ig-CAMs in cancer. Nat Rev Cancer. 4:118–132. 2004. View Article : Google Scholar : PubMed/NCBI

31 

St Croix B, Sheehan C, Rak JW, Flørenes VA, Slingerland JM and Kerbel RS: E-Cadherin-dependent growth suppression is mediated by the cyclin-dependent kinase inhibitor p27(KIP1). J Cell Biol. 142:557–571. 1998. View Article : Google Scholar

32 

Karin M and Greten FR: NF-kappaB: Linking inflammation and immunity to cancer development and progression. Nat Rev Immunol. 5:749–759. 2005. View Article : Google Scholar

33 

Cowell CF, Yan IK, Eiseler T, Leightner AC, Döppler H and Storz P: Loss of cell-cell contacts induces NF-kappaB via RhoA-mediated activation of protein kinase D1. J Cell Biochem. 106:714–728. 2009. View Article : Google Scholar : PubMed/NCBI

34 

Berx G and van Roy F: Involvement of members of the cadherin superfamily in cancer. Cold Spring Harb Perspect Biol. 1:a0031292009. View Article : Google Scholar

35 

Becker KF, Atkinson MJ, Reich U, Becker I, Nekarda H, Siewert JR and Höfler H: E-cadherin gene mutations provide clues to diffuse type gastric carcinomas. Cancer Res. 54:3845–3852. 1994.PubMed/NCBI

36 

Strathdee G: Epigenetic versus genetic alterations in the inactivation of E-cadherin. Semin Cancer Biol. 12:373–379. 2002. View Article : Google Scholar

37 

Caldas C, Carneiro F, Lynch HT, Yokota J, Wiesner GL, Powell SM, Lewis FR, Huntsman DG, Pharoah PD, Jankowski JA, et al: Familial gastric cancer: Overview and guidelines for management. J Med Genet. 36:873–880. 1999.

38 

van Roy F and Berx G: The cell-cell adhesion molecule E-cadherin. Cell Mol Life Sci. 65:3756–3788. 2008. View Article : Google Scholar

39 

Tedaldi G, Molinari C, São José C, Barbosa-Matos R, André A, Danesi R, Arcangeli V, Ravegnani M, Saragoni L, Morgagni P, et al: Genetic and epigenetic alterations of CDH1 regulatory regions in hereditary and sporadic gastric cancer. Pharmaceuticals (Basel). 14:4572021. View Article : Google Scholar : PubMed/NCBI

40 

Gjyshi O, Vashi P, Seewald L, Kohan M, Abboud E, Fowler E, Suppiah R and Halabi H: Therapeutic and prophylactic gastrectomy in a family with hereditary diffuse gastric cancer secondary to a CDH1 mutation: A case series. World J Surg Oncol. 16:1432018. View Article : Google Scholar

41 

Fukui Y: Mechanisms behind signet ring cell carcinoma formation. Biochem Biophys Res Commun. 450:1231–1233. 2014. View Article : Google Scholar : PubMed/NCBI

42 

Hamilton LE, Jones K, Church N and Medlicott S: Synchronous appendiceal and intramucosal gastric signet ring cell carcinomas in an individual with CDH1-associated hereditary diffuse gastric carcinoma: A case report of a novel association and review of the literature. BMC Gastroenterol. 13:1142013. View Article : Google Scholar

43 

Gamallo C, Palacios J, Suarez A, Pizarro A, Navarro P, Quintanilla M and Cano A: Correlation of E-cadherin expression with differentiation grade and histological type in breast carcinoma. Am J Pathol. 142:987–993. 1993.

44 

Romero-Pérez L, López-García MÁ, Díaz-Martín J, Biscuola M, Castilla MÁ, Tafe LJ, Garg K, Oliva E, Matias-Guiu X, Soslow RA and Palacios J: ZEB1 overexpression associated with E-cadherin and microRNA-200 downregulation is characteristic of undifferentiated endometrial carcinoma. Mod Pathol. 26:1514–1524. 2013. View Article : Google Scholar

45 

Umbas R, Isaacs WB, Bringuier PP, Schaafsma HE, Karthaus HF, Oosterhof GO, Debruyne FM and Schalken JA: Decreased E-cadherin expression is associated with poor prognosis in patients with prostate cancer. Cancer Res. 54:3929–3933. 1994.PubMed/NCBI

46 

Moreno-Bueno G, Cubillo E, Sarrió D, Peinado H, Rodríguez-Pinilla SM, Villa S, Bolós V, Jordá M, Fabra A, Portillo F, et al: Genetic profiling of epithelial cells expressing E-cadherin repressors reveals a distinct role for Snail, Slug, and E47 factors in epithelial-mesenchymal transition. Cancer Res. 66:9543–9556. 2006. View Article : Google Scholar : PubMed/NCBI

47 

Vandewalle C, Comijn J, De Craene B, Vermassen P, Bruyneel E, Andersen H, Tulchinsky E, Van Roy F and Berx G: SIP1/ZEB2 induces EMT by repressing genes of different epithelial cell-cell junctions. Nucleic Acids Res. 33:6566–6578. 2005. View Article : Google Scholar : PubMed/NCBI

48 

Beauchemin N and Arabzadeh A: Carcinoembryonic antigen-related cell adhesion molecules (CEACAMs) in cancer progression and metastasis. Cancer Metastasis Rev. 32:643–671. 2013. View Article : Google Scholar : PubMed/NCBI

49 

Xing X, Tang YB, Yuan G, Wang Y, Wang J, Yang Y and Chen M: The prognostic value of E-cadherin in gastric cancer: A meta-analysis. Int J Cancer. 132:2589–2596. 2013. View Article : Google Scholar : PubMed/NCBI

50 

Jeanes A, Gottardi CJ and Yap AS: Cadherins and cancer: How does cadherin dysfunction promote tumor progression? Oncogene. 27:6920–6929. 2008. View Article : Google Scholar : PubMed/NCBI

51 

Perl AK, Wilgenbus P, Dahl U, Semb H and Christofori G: A causal role for E-cadherin in the transition from adenoma to carcinoma. Nature. 392:190–193. 1998. View Article : Google Scholar : PubMed/NCBI

52 

Gullo I, Grillo F, Mastracci L, Vanoli A, Carneiro F, Saragoni L, Limarzi F, Ferro J, Parente P and Fassan M: Precancerous lesions of the stomach, gastric cancer and hereditary gastric cancer syndromes. Pathologica. 112:166–185. 2020. View Article : Google Scholar

53 

Park JM, Jang YJ, Kim JH, Park SS, Park SH, Kim SJ, Mok YJ and Kim CS: Gastric cancer histology: Clinicopathologic characteristics and prognostic value. J Surg Oncol. 98:520–525. 2008. View Article : Google Scholar

54 

Marchesi F, Piemonti L, Mantovani A and Allavena P: Molecular mechanisms of perineural invasion, a forgotten pathway of dissemination and metastasis. Cytokine Growth Factor Rev. 21:77–82. 2010. View Article : Google Scholar : PubMed/NCBI

55 

Ruibal Morell A: CEA serum levels in non-neoplastic disease. Int J Biol Markers. 7:160–166. 1992. View Article : Google Scholar : PubMed/NCBI

56 

Zhang S, Li JZ, Du T, Li HQ, Hu RH, Ma CY, Cui XM, Song C and Jiang XH: The modified Glasgow prognostic score predicts survival in gastric cancer patients with normal CEA and CA19-9. Can J Gastroenterol Hepatol. 2022:39530042022. View Article : Google Scholar

57 

Nakanishi Y, Ohara M, Domen H, Shichinohe T, Hirano S and Ishizaka M: Differences in risk factors between patterns of recurrence in patients after curative resection for advanced gastric carcinoma. World J Surg Oncol. 11:982013. View Article : Google Scholar

Related Articles

  • Abstract
  • View
  • Download
  • Twitter
Copy and paste a formatted citation
Spandidos Publications style
Zheng C, Dai M, Wang D, Liu X, Xiang Z, Xu A, Chen P, Wu F, Yuan Y, Ji S, Ji S, et al: Clinical importance of E‑cadherin deficiency in resectable gastric cancer: A nested case‑control study. Oncol Lett 30: 427, 2025.
APA
Zheng, C., Dai, M., Wang, D., Liu, X., Xiang, Z., Xu, A. ... Gu, L. (2025). Clinical importance of E‑cadherin deficiency in resectable gastric cancer: A nested case‑control study. Oncology Letters, 30, 427. https://doi.org/10.3892/ol.2025.15173
MLA
Zheng, C., Dai, M., Wang, D., Liu, X., Xiang, Z., Xu, A., Chen, P., Wu, F., Yuan, Y., Ji, S., Gu, L."Clinical importance of E‑cadherin deficiency in resectable gastric cancer: A nested case‑control study". Oncology Letters 30.3 (2025): 427.
Chicago
Zheng, C., Dai, M., Wang, D., Liu, X., Xiang, Z., Xu, A., Chen, P., Wu, F., Yuan, Y., Ji, S., Gu, L."Clinical importance of E‑cadherin deficiency in resectable gastric cancer: A nested case‑control study". Oncology Letters 30, no. 3 (2025): 427. https://doi.org/10.3892/ol.2025.15173
Copy and paste a formatted citation
x
Spandidos Publications style
Zheng C, Dai M, Wang D, Liu X, Xiang Z, Xu A, Chen P, Wu F, Yuan Y, Ji S, Ji S, et al: Clinical importance of E‑cadherin deficiency in resectable gastric cancer: A nested case‑control study. Oncol Lett 30: 427, 2025.
APA
Zheng, C., Dai, M., Wang, D., Liu, X., Xiang, Z., Xu, A. ... Gu, L. (2025). Clinical importance of E‑cadherin deficiency in resectable gastric cancer: A nested case‑control study. Oncology Letters, 30, 427. https://doi.org/10.3892/ol.2025.15173
MLA
Zheng, C., Dai, M., Wang, D., Liu, X., Xiang, Z., Xu, A., Chen, P., Wu, F., Yuan, Y., Ji, S., Gu, L."Clinical importance of E‑cadherin deficiency in resectable gastric cancer: A nested case‑control study". Oncology Letters 30.3 (2025): 427.
Chicago
Zheng, C., Dai, M., Wang, D., Liu, X., Xiang, Z., Xu, A., Chen, P., Wu, F., Yuan, Y., Ji, S., Gu, L."Clinical importance of E‑cadherin deficiency in resectable gastric cancer: A nested case‑control study". Oncology Letters 30, no. 3 (2025): 427. https://doi.org/10.3892/ol.2025.15173
Follow us
  • Twitter
  • LinkedIn
  • Facebook
About
  • Spandidos Publications
  • Careers
  • Cookie Policy
  • Privacy Policy
How can we help?
  • Help
  • Live Chat
  • Contact
  • Email to our Support Team