Spandidos Publications Logo
  • About
    • About Spandidos
    • Aims and Scopes
    • Abstracting and Indexing
    • Editorial Policies
    • Reprints and Permissions
    • Job Opportunities
    • Terms and Conditions
    • Contact
  • Journals
    • All Journals
    • Oncology Letters
      • Oncology Letters
      • Information for Authors
      • Editorial Policies
      • Editorial Board
      • Aims and Scope
      • Abstracting and Indexing
      • Bibliographic Information
      • Archive
    • International Journal of Oncology
      • International Journal of Oncology
      • Information for Authors
      • Editorial Policies
      • Editorial Board
      • Aims and Scope
      • Abstracting and Indexing
      • Bibliographic Information
      • Archive
    • Molecular and Clinical Oncology
      • Molecular and Clinical Oncology
      • Information for Authors
      • Editorial Policies
      • Editorial Board
      • Aims and Scope
      • Abstracting and Indexing
      • Bibliographic Information
      • Archive
    • Experimental and Therapeutic Medicine
      • Experimental and Therapeutic Medicine
      • Information for Authors
      • Editorial Policies
      • Editorial Board
      • Aims and Scope
      • Abstracting and Indexing
      • Bibliographic Information
      • Archive
    • International Journal of Molecular Medicine
      • International Journal of Molecular Medicine
      • Information for Authors
      • Editorial Policies
      • Editorial Board
      • Aims and Scope
      • Abstracting and Indexing
      • Bibliographic Information
      • Archive
    • Biomedical Reports
      • Biomedical Reports
      • Information for Authors
      • Editorial Policies
      • Editorial Board
      • Aims and Scope
      • Abstracting and Indexing
      • Bibliographic Information
      • Archive
    • Oncology Reports
      • Oncology Reports
      • Information for Authors
      • Editorial Policies
      • Editorial Board
      • Aims and Scope
      • Abstracting and Indexing
      • Bibliographic Information
      • Archive
    • Molecular Medicine Reports
      • Molecular Medicine Reports
      • Information for Authors
      • Editorial Policies
      • Editorial Board
      • Aims and Scope
      • Abstracting and Indexing
      • Bibliographic Information
      • Archive
    • World Academy of Sciences Journal
      • World Academy of Sciences Journal
      • Information for Authors
      • Editorial Policies
      • Editorial Board
      • Aims and Scope
      • Abstracting and Indexing
      • Bibliographic Information
      • Archive
    • International Journal of Functional Nutrition
      • International Journal of Functional Nutrition
      • Information for Authors
      • Editorial Policies
      • Editorial Board
      • Aims and Scope
      • Abstracting and Indexing
      • Bibliographic Information
      • Archive
    • International Journal of Epigenetics
      • International Journal of Epigenetics
      • Information for Authors
      • Editorial Policies
      • Editorial Board
      • Aims and Scope
      • Abstracting and Indexing
      • Bibliographic Information
      • Archive
    • Medicine International
      • Medicine International
      • Information for Authors
      • Editorial Policies
      • Editorial Board
      • Aims and Scope
      • Abstracting and Indexing
      • Bibliographic Information
      • Archive
  • Articles
  • Information
    • Information for Authors
    • Information for Reviewers
    • Information for Librarians
    • Information for Advertisers
    • Conferences
  • Language Editing
Spandidos Publications Logo
  • About
    • About Spandidos
    • Aims and Scopes
    • Abstracting and Indexing
    • Editorial Policies
    • Reprints and Permissions
    • Job Opportunities
    • Terms and Conditions
    • Contact
  • Journals
    • All Journals
    • Biomedical Reports
      • Information for Authors
      • Editorial Policies
      • Editorial Board
      • Aims and Scope
      • Abstracting and Indexing
      • Bibliographic Information
      • Archive
    • Experimental and Therapeutic Medicine
      • Information for Authors
      • Editorial Policies
      • Editorial Board
      • Aims and Scope
      • Abstracting and Indexing
      • Bibliographic Information
      • Archive
    • International Journal of Epigenetics
      • Information for Authors
      • Editorial Policies
      • Editorial Board
      • Aims and Scope
      • Abstracting and Indexing
      • Bibliographic Information
      • Archive
    • International Journal of Functional Nutrition
      • Information for Authors
      • Editorial Policies
      • Editorial Board
      • Aims and Scope
      • Abstracting and Indexing
      • Bibliographic Information
      • Archive
    • International Journal of Molecular Medicine
      • Information for Authors
      • Editorial Policies
      • Editorial Board
      • Aims and Scope
      • Abstracting and Indexing
      • Bibliographic Information
      • Archive
    • International Journal of Oncology
      • Information for Authors
      • Editorial Policies
      • Editorial Board
      • Aims and Scope
      • Abstracting and Indexing
      • Bibliographic Information
      • Archive
    • Medicine International
      • Information for Authors
      • Editorial Policies
      • Editorial Board
      • Aims and Scope
      • Abstracting and Indexing
      • Bibliographic Information
      • Archive
    • Molecular and Clinical Oncology
      • Information for Authors
      • Editorial Policies
      • Editorial Board
      • Aims and Scope
      • Abstracting and Indexing
      • Bibliographic Information
      • Archive
    • Molecular Medicine Reports
      • Information for Authors
      • Editorial Policies
      • Editorial Board
      • Aims and Scope
      • Abstracting and Indexing
      • Bibliographic Information
      • Archive
    • Oncology Letters
      • Information for Authors
      • Editorial Policies
      • Editorial Board
      • Aims and Scope
      • Abstracting and Indexing
      • Bibliographic Information
      • Archive
    • Oncology Reports
      • Information for Authors
      • Editorial Policies
      • Editorial Board
      • Aims and Scope
      • Abstracting and Indexing
      • Bibliographic Information
      • Archive
    • World Academy of Sciences Journal
      • Information for Authors
      • Editorial Policies
      • Editorial Board
      • Aims and Scope
      • Abstracting and Indexing
      • Bibliographic Information
      • Archive
  • Articles
  • Information
    • For Authors
    • For Reviewers
    • For Librarians
    • For Advertisers
    • Conferences
  • Language Editing
Login Register Submit
  • This site uses cookies
  • You can change your cookie settings at any time by following the instructions in our Cookie Policy. To find out more, you may read our Privacy Policy.

    I agree
Search articles by DOI, keyword, author or affiliation
Search
Advanced Search
presentation
Oncology Reports
Join Editorial Board Propose a Special Issue
Print ISSN: 1021-335X Online ISSN: 1791-2431
Journal Cover
2014-March Volume 31 Issue 3

Full Size Image

Sign up for eToc alerts
Recommend to Library

Journals

International Journal of Molecular Medicine

International Journal of Molecular Medicine

International Journal of Molecular Medicine is an international journal devoted to molecular mechanisms of human disease.

International Journal of Oncology

International Journal of Oncology

International Journal of Oncology is an international journal devoted to oncology research and cancer treatment.

Molecular Medicine Reports

Molecular Medicine Reports

Covers molecular medicine topics such as pharmacology, pathology, genetics, neuroscience, infectious diseases, molecular cardiology, and molecular surgery.

Oncology Reports

Oncology Reports

Oncology Reports is an international journal devoted to fundamental and applied research in Oncology.

Experimental and Therapeutic Medicine

Experimental and Therapeutic Medicine

Experimental and Therapeutic Medicine is an international journal devoted to laboratory and clinical medicine.

Oncology Letters

Oncology Letters

Oncology Letters is an international journal devoted to Experimental and Clinical Oncology.

Biomedical Reports

Biomedical Reports

Explores a wide range of biological and medical fields, including pharmacology, genetics, microbiology, neuroscience, and molecular cardiology.

Molecular and Clinical Oncology

Molecular and Clinical Oncology

International journal addressing all aspects of oncology research, from tumorigenesis and oncogenes to chemotherapy and metastasis.

World Academy of Sciences Journal

World Academy of Sciences Journal

Multidisciplinary open-access journal spanning biochemistry, genetics, neuroscience, environmental health, and synthetic biology.

International Journal of Functional Nutrition

International Journal of Functional Nutrition

Open-access journal combining biochemistry, pharmacology, immunology, and genetics to advance health through functional nutrition.

International Journal of Epigenetics

International Journal of Epigenetics

Publishes open-access research on using epigenetics to advance understanding and treatment of human disease.

Medicine International

Medicine International

An International Open Access Journal Devoted to General Medicine.

Journal Cover
2014-March Volume 31 Issue 3

Full Size Image

Sign up for eToc alerts
Recommend to Library

  • Article
  • Citations
    • Cite This Article
    • Download Citation
    • Create Citation Alert
    • Remove Citation Alert
    • Cited By
  • Similar Articles
    • Related Articles (in Spandidos Publications)
    • Similar Articles (Google Scholar)
    • Similar Articles (PubMed)
  • Download PDF
  • Download XML
  • View XML
Article

PGC-1α integrates glucose metabolism and angiogenesis in multiple myeloma cells by regulating VEGF and GLUT-4

  • Authors:
    • Dedong Cao
    • Hao Zhou
    • Jikai Zhao
    • Lu Jin
    • Wen Yu
    • Han Yan
    • Yu Hu
    • Tao Guo
  • View Affiliations / Copyright

    Affiliations: Department of Hematology, Union Hospital, Tongji Medical College, Huazhong University of Science and Technology, Wuhan, Hubei 430000, P.R. China
  • Pages: 1205-1210
    |
    Published online on: January 9, 2014
       https://doi.org/10.3892/or.2014.2974
  • Expand metrics +
Metrics: Total Views: 0 (Spandidos Publications: | PMC Statistics: )
Metrics: Total PDF Downloads: 0 (Spandidos Publications: | PMC Statistics: )
Cited By (CrossRef): 0 citations Loading Articles...

This article is mentioned in:



Abstract

Human peroxisome proliferator-activated receptor-γ coactivator 1α (PGC-1α) is a key coactivator in the regulation of gene transcriptional activity in normal tissues. However, it is not clear whether it is involved in the angiogenesis and metabolism of multiple myeloma (MM). The aim of the present study was to investigate the role of PGC-1α in MM. Small interfering RNA (siRNA) was used to inhibit PGC-1α expression in RPMI-8226 cells. An endothelial cell migration assay was performed using transwell chambers and the expression of PGC-1α, estrogen-related receptor-α (ERR‑α), vascular endothelial growth factor (VEGF) and glucose transporter-4 (GLUT-4) was tested by reverse transcription-polymerase chain reaction (RT-PCR). The protein expression of PGC-1α, ERR-α and GLUT-4 was assayed by western blot analysis. Lastly, RPMI-8226 cell proliferation was evaluated using CCK-8 assay. VEGF and GLUT-4 mRNA levels were decreased in cells treated with siRNA targeting PGC-1α, as was the level of GLUT-4 protein. Endothelial cell migration was significantly reduced when these cells were cultured with culture medium from RPMI-8226 cells treated with siPGC-1α. The proliferation rates at 24 and 48 h were suppressed by PGC-1α inhibition. Our results showed that inhibition of PGC-1α suppresses cell proliferation probably by downregulation of VEGF and GLUT-4. The present study suggests that PGC-1α integrates angiogenesis and glucose metabolism in myeloma through regulation of VEGF and GLUT-4.

Introduction

Multiple myeloma (MM) accounts for nearly 20% of mortality due to total hematologic tumors (1). The pathologic features of MM involve aberrant activation of metabolism and signal pathways, including uncontrolled and unlimited angiogenesis and increased glucose consumption. These changes play important roles in the clinical course of MM, particularly MM invasion and metastasis (2–4).

The angiogenic switch is controlled by the activation of pro-tumor genes such as hypoxia inducible factor-1 (HIF-1) and brain-derived neurotrophic factor (BDNF), which encode pro-angiogenic factors, such as vascular endothelial growth factor (VEGF) (5–7). Studies have shown that angiogenesis is associated with upregulated HIF/VEGF pathways in ~40% MM patients (6), suggesting that other pathways could be involved in the regulation of VEGF besides the HIF/VEGF pathway.

PGC-1α is an important co-activator that participates in the regulation of gene transcriptional activity (8). It is now well established that PGC-1α contributes to several important functions, including mitochondrial biogenesis and metabolism, by interacting with transcription factors such as nuclear respiratory factors(NRFs) and estrogen-related receptor (ERR)-α (9–11). PGC-1α influences glucose consumption by regulating glucose transporter-4 (GLUT-4), which is upregulated in MM and is responsible for basal glucose consumption and maintenance of myeloid cell leukemia-1 (Mcl-1) expression, growth and survival (3). Studies have also found that PGC-1α promotes angiogenesis by binding with ERR-α, thereby increasing VEGF expression (12). Thus, angiogenesis and metabolism may be linked via PGC-1α. However it is not clear whether PGC-1α is involved in the regulation of angiogenesis and glucose metabolism in MM. Therefore, in the present study, we explored the role of PGC-1α in angiogenesis and glucose metabolism in MM.

Materials and methods

Cells and culture

Chemicals were purchased from HyClone, Sigma and Thermo Fisher Scientific, unless otherwise noted. The human MM cell line RPMI-8226 was obtained from the American Type Culture Collection (ATCC; Manassas, VA, USA) and was grown in RPMI-1640 medium (HyClone, Thermo Fisher Scientific, Waltham, MA, USA) supplemented with 10% fetal bovine serum (FBS) and 100 U/ml penicillin/streptomycin. Human umbilical vein endothelial cells (HUVECs) were cultured using the trypsin digestion method. All cells were grown at 37°C in an atmosphere containing 5% (v/v) CO2. Peripheral blood mononuclear cells from normal healthy volunteers were separated and used as the normal control.

Cell proliferation assay with CCK-8 reagent

Cell proliferation was assayed using Cell Counting Kit-8 (CCK-8) according to the manufacturer’s protocol (Dojindo Laboratories, Kumamoto, Japan). Cells were suspended at a concentration of 5×104/ml in complete medium, seeded in 96-well plates at 0.1-ml suspension/well, and cultured at 37°C. Then, 10 μl CCK-8 solution was added to each well after 24 and 48 h of culture, respectively. After incubation at 37°C for 1 h, the plate was examined with a microplate reader (Bio-Rad, La Jolla, CA, USA) and the absorbance at 450 nm was recorded. Each experiment was performed in triplicate.

siRNA transfection

siRNA duplexes for ERR-α and PGC-1α were designed and produced by Shanghai GenePharma Co., Ltd. (Shanghai, China). RPMI-8226 cells were transfected with Lipofectamine® 2000 reagent (Invitrogen, Carlsbad, CA, USA) according to the manufacturer’s protocol. The sequence information for siRNA was: siERR-α, 5′-GGCAGAAA CCUAUCUCAGGUU-3′ (sense) and 5′-CCUGAGAUAG GUUUCUGCCUC-3′ (antisense); siPGC-1α, 5′-GCCAAA CCAACAACUUUAUUU-3′ (sense) and 5′-AUAAAGUU GUUGGUUUGGCUU-3′ (antisense).

Migration assay

Endothelial cell migration was assessed as previously described (13). Briefly, 1.5–2.0×104 of RPMI-8226 cells were loaded in the lower chamber of Transwell, and siRNA targeting PGC-1α or ERR-α was added. After 4–6 h of transfection, the culture medium was replaced with fresh RPMI-1640 medium, and then cultured for 24 h. Then, 1.5–2.0×104 of HUVECs were seeded in the upper chamber (8-μm pore; Costar Corp., Cambridge, MA, USA). The plates were then cultured at 37°C in 5% CO2 for 12 h. The cells migrated across the membrane and adhered to the lower part of the membrane, while those that did not migrate were removed with a cotton swab. The former were stained with crystal violet and examined under a microscope. The cell number before and after the experiments was counted in order to quantify proliferation.

RT-PCR

Total RNA was extracted using the TRIzol-based method (Sigma) from RPMI-8226 cells and the biopsy samples. Approximately 2 μg of total RNA was reverse-transcribed into the first-strand complementary DNA (cDNA) pool using a First-Strand cDNA Synthesis kit and real-time RT-PCR was carried out using SYBR-Green (Toyobo Co., Ltd., Osaka, Japan) with the Applied Biosystems 7500 System (Life Technologies, Carlsbad, CA, USA) according to the manufacturer’s instructions. Data analysis was carried out using the comparative Ct method. The following human-specific primers were used: β-actin, 5′-TTCCAGCCTTCCTTCCTGG-3′ (forward) and 5′-TTGCGCTCAGGAGCAAT-3′ (reverse); PGC-1α, 5′-TGGTGCCACCACCATCAAAGA-3′ (forward) and 5′-TC ACCAAACAGCCGCAGACTG-3′ (reverse); ERR-α, 5′-GTG GATGGAGGTGCTGGTGCT-3′ (forward) and 5′-AGCCT CGGCATCTTCGATGTG-3′ (reverse); MEF2C, 5′-GCCCT GAGTCTGAGGACAAG-3′ (forward) and 5′-AGTGAG CTGACAGGGTTGCT-3′ (reverse); GLUT-4, 5′-GGCTTC TTCATCTTCACCTTCT-3′ (forward) and 5′-CTCAGTTC TGTGCTGGGTTTC-3′ (reverse); VEGF, 5′-GAAGTGGTG AAGTTCATGGATGTC-3′ (forward) and 5′-CGATCGTTC TGTATCAGTCTTTCC-3′ (reverse).

Western blot analysis

Total cell proteins were prepared, fractionated and electroblotted on sodium dodecyl sulfate gels, and western blot analysis was performed as previously described (12).

Statistical analysis

To measure overall differences, particularly those between different treatments and control, SPSS 17.0 (SPSS Inc., Chicago, IL, USA) was used. Analysis of variance and post-hoc tests (two-sided Dunnett’s t test) were applied to analyze the average values of replicate results obtained by independent experiments. A P-value of <0.05 was considered to indicate a statistically significant difference.

Results

PGC-1α is upregulated in MM

We found that the level of PGC-1α was upregulated in the MM RPMI-8226 cells. The level of ERR-α, which is a PGC-1α related co-activated factor, was also increased. The relative expression of PGC-1α and ERR-α in RPMI-8226 cells was >7-fold higher than that in the control (Fig 1).

Figure 1

Relative expression of PGC-1α and ERR-α in RPMI-8226 cells. mRNA of PGC-1α and ERR-α is present in RPMI-8226 cells and >7-fold higher than that of peripheral blood mononuclear cells from normal healthy volunteers. Levels are expressed as percentage relative to the values obtained for control cells.

PGC-1α regulates the expression of VEGF in vitro

The effect of PGC-1α and ERR-α on the expression of VEGF in the MM cell line RPMI-8226 was examined. PGC-1α was suppressed by siRNA in the RPMI-8226 cells, and the VEGF mRNA expression was then measured by RT-PCR. As shown in Fig. 2, our results showed that VEGF mRNA was significantly lower in the siPGC-1α group than in the control. Next, we treated the RPMI-8226 cells with siRNA targeting ERR-α and found that mRNA level of VEGF was also markedly reduced. These data indicated that both PGC-1α and ERR-α were required for the regulation of VEGF in RPMI-8226 cells, and these results are in accordance with those of other studies (12).

Figure 2

(A–D) PGC-1α and ERR-α expression in RPMI-8226 cells treated with siRNA. (A and B) mRNA and (C and D) protein expression of PGC-1α and ERR-α in RPMI-8226 cells were downregulated after siPGC-1α and siERR-α treatment; (E) VEGF expression in RPMI-8226 cells treated with siRNA. After the RPMI-8226 cells were transfected with siRNA, they showed suppressed VEGF expression in RPMI-8226 cells when compared with the siControl group, respectively.

Suppression of PGC-1α inhibits in vitro angiogenesis in RPMI-8226 cells

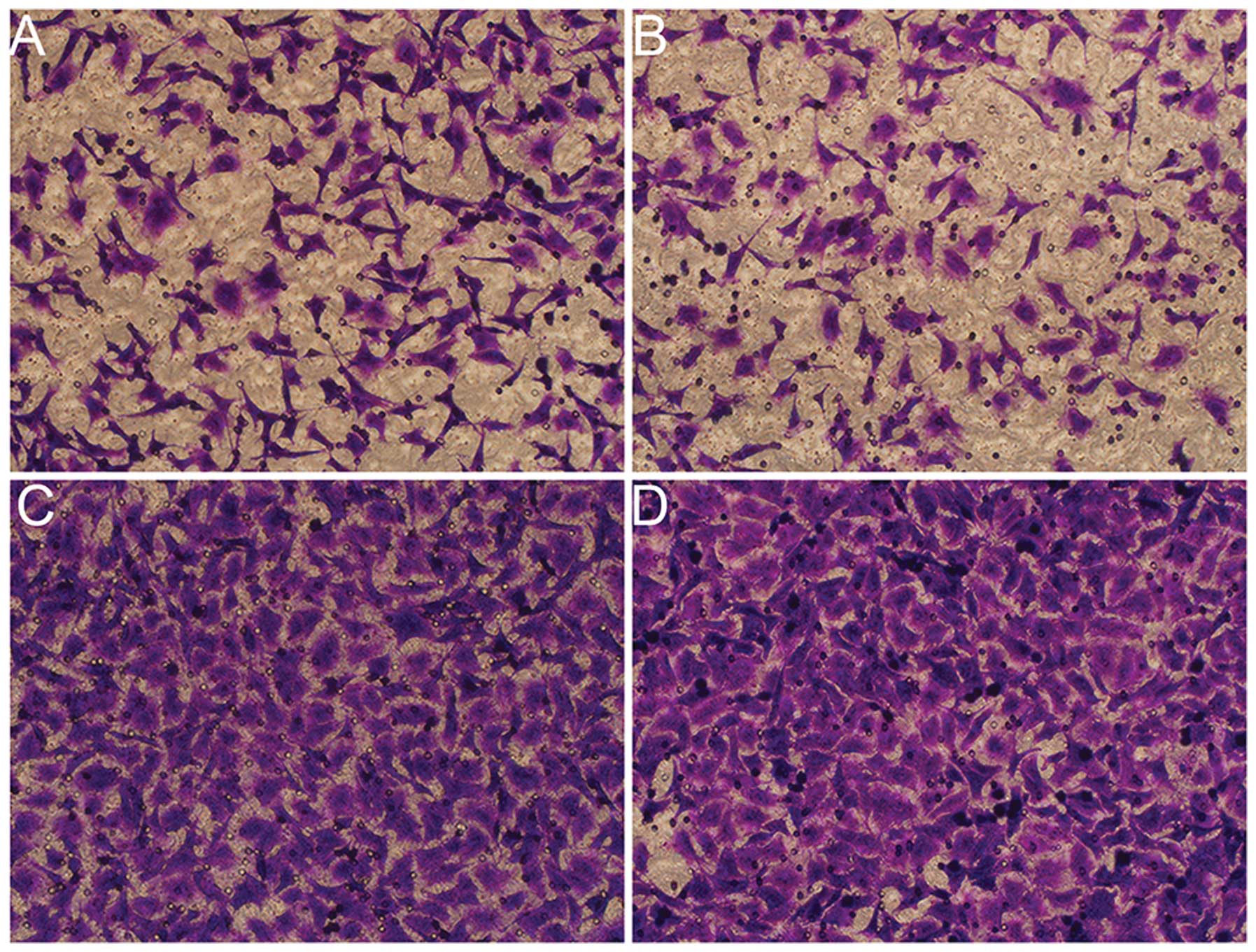
In the present study, we also determined whether PGC-1α and ERR-α inhibition of MM cells affects the migration of human vascular endothelial cells. As shown in Fig. 3, RPMI-8226 cells without any treatment evidently promoted the migration of HUVECs, wherein a large number of cells were observed to have crossed the membrane of the Transwell chamber. RPMI-8226 cells transfected with siRNA targeting PGC-1α or ERR-α inhibited HUVEC migration and the counts of the migratory HUVECs reduced.

Figure 3

In vitro angiogenesis. From top left above to bottom right: (A) siPGC-1α, (B) siERR-α, (C) siCONTROL and (D) control group. Migration of HUVECs in different treatment groups. The migration of HUVECs was reduced when co-cultured with RPMI-8226 cells transfected with siPGC-1α or siERR-α (A and B), whereas migration of HUVECs was unchanged compared with the control group (C and D).

Suppression of PGC-1α reduces GLUT-4 expression in MM

Myeloma cells exhibit upregulated expression of GLUT-4, which is necessary for glucose consumption, lactate production, growth and viability (3). We sought to determine whether PGC-1α plays a role in the regulation of GLUT-4 in MM. As shown in Fig. 4, suppression of PGC-1α led to decreased GLUT-4 expression in the RPMI-8226 cells.

Figure 4

(A) Expression of GLUT-4 mRNA in RPMI-8226 cells. (B) Relative expression of GLUT-4 protein in RPMI-8226 cells. GLUT-4 expression was reduced when inhibiting the expression of PGC-1α in RPMI-8226 cells by siRNA. GLUT-4 mRNA expression was decreased in siPGC-1α-transfected RPMI-8226 cells, accompanied by a modest decrease in the level of the GLUT-4 protein. In cells treated with siERR-α, a 45% increase of GLUT-4 expression was observed compared with the siControl group.

Inhibition of PGC-1α results in growth and proliferation defects

Cells transfected with siPGC-1α or siERR-α were found to grow more slowly than the control cells. Similarly, the results of the CCK-8 assay also showed that proliferation of RPMI-8226 cells was diminished by siPGC-1α or siERR-α (Fig. 5), indicating that PGC-1α or ERR-α inhibition hampers the proliferation of myeloma cells.

Figure 5

Proliferation rate at 24 and 48 h. We evaluated the effects of inhibiting PGC-1α or ERR-α on the proliferation of RPMI-8226 cells. RPMI-8226 cells were transiently transfected with siPGC-1α, siERR-α or the negative control without specifically targeting any human gene products. A cell proliferation assay using CCK-8 was performed 24 and 48 h after transfection. The proliferation of RPMI-8226 cells was hampered by PGC-1α or ERR-α inhibition at 24 and 48 h after transfection.

Discussion

MM is a hematological malignancy characterized by the aberrant expression of malignant plasma cells within the bone marrow (14). A number of studies have shown that increased microvessel density (MVD) correlates with disease state, suggesting that increased bone marrow angiogenesis is important in myeloma progression (15). Other studies indicate that a high rate of glucose consumption beyond that necessary for ATP synthesis is exhibited by transformed cells including MM cells (16). This phenomenon has been further confirmed by F-18 fluorodeoxyglucose positron emission tomography-computed tomography (F-18-FDG PET-CT) scanning. Studies have shown that MM exhibits a high uptake rate of F-18 FDG and is positively correlated with the percentage of CD38/CD138-expressing myeloma cells in the bone marrow (17,18). Moreover, Kaira et al (19) showed that F-18 FDG uptake in cancers is determined by the presence of glucose metabolism, angiogenesis and other factors, suggesting that MM with high rates of F-18 FDG uptake is most likely characterized by increased angiogenesis and glucose metabolism.

Research on the formation of new blood vessels and VEGF in particular, is a major focus of MM investigations and has led to the clinical approval of monoclonal anti-VEGF agents (20). Although these agents show significant preclinical and clinical anticancer activity, they prolong overall survival of patients for months only, after which the tumor continues to grow. Therefore, an understanding of tumor angiogenesis is still needed (20).

The present study demonstrated that PGC-1α strongly regulated VEGF expression and angiogenesis by coactivating the orphan nuclear receptor ERR-α, suggesting that PGC-1α and ERR-α control a novel angiogenic pathway that delivers the needed oxygen and substrates (3). In addition, it has been suggested that activation of the ERR-α/PGC-1α pathway increases VEGF expression and angiogenesis (21), and that the ErbB2/Neu-induced mammary tumor cells ectopically expressing PGC-1α exhibit increased concentrations of the angiogenic factor VEGF compared with controls (22). Our results showed that PGC-1α and ERR-α are upregulated in MM and their expression was associated with the VEGF level. They also showed that PGC-1α or ERR-α inhibition can significantly suppress the expression of VEGF in vitro. Taken together, the results suggest that PGC-1α and ERRα, major regulators of mitochondrial function and cellular energy metabolism, also play an important role in the regulation of VEGF and angiogenesis, not only in normal cells and tissues but also in MM. This also illustrates that only targeting the classical pathways involved in angiogenesis could probably not achieve the goal of anti-angiogenesis. Indeed, lenalidomide and other similar agents show limited efficacy in the treatment of MM, and this further supports the complexity of tumor angiogenesis. Targeting PGC-1α and/or ERR-α may improve the anti-angiogenesis effect of agents in clinical use.

Deregulation of glycolytic metabolism is another feature of MM (23). This observation and F-18-FDG PET results regarding MM suggest the reliance of myeloma on increased glucose consumption and glycolysis (24,25). Glucose is involved in generating NADH and FADH, which contribute to maintaining the integrity of mitochondria (26). Glucose also prevents the release of cytochrome c by maintaining the interaction between hexokinase II and mitochondria (27,28). In addition to generating energy-related chemicals, such as ATP, glucose also provides biosynthetic intermediates for lipid and nucleotide synthesis and plays a role in the regulation of several factors associated with cell death (i.e., Mcl-1, Bcl-2-associated death promoter protein) (29–32). The contribution of the glycolytic phenotype to increased resistance to apoptosis-inducing agents (33,34) supports the benefits of targeting glucose consumption.

Few studies have focused on determining the biological and molecular role of GLUT activation in tumors, knowledge that could facilitate the identification of potential therapeutic targets. McBrayer et al (3) performed gene expression profiling studies to identify deregulated GLUT family members in MM and demonstrated that myeloma cells exhibit reliance on constitutively cell surface-localized GLUT-4 for basal glucose consumption, maintenance of Mcl-1 expression, growth and survival. It can, thus, be concluded that GLUT-4 is highly important to the MM proliferation and progression. GLUT-4 and its regulation controlled by other factors are well studied in normal cells. However, the pathway involved in regulating the expression of GLUT-4 is rarely studied in cancer, especially in MM. Our investigation of the interaction between MM cell proliferation and GLUT-4 activity delineates a pathway linking GLUT-4 activity with the aberrant expression of PGC-1α. PGC-1α inhibition can decrease GLUT-4 expression and results in hampered proliferation of RPMI-8226 cells. However, by silencing ERR-α expression, PGC-1α expression is as much as 7-fold increased and GLUT-4 expression is also increased, suggesting that ERR-α is a repressor of PGC-1α and that the latter is associated with GLUT-4 regulation, probably by enhancing transcription of the GLUT-4 gene (Fig. 6).

Figure 6

PGC-1α connects glucose metabolism and angiogenesis in MM cells by regulating VEGF and GLUT-4. PGC-1α triggers expression of ERR-α and GLUT-4, leading to greater glucose uptake and inducing VEGF expression and resulting in angiogenesis. ERR-α negatively regulates the level of PGC-1α; the underlying mechanism requires further exploration.

ERR-α is an orphan member of the nuclear receptor superfamily of transcription factors whose activity is regulated by the expression level and/or activity of its obligate co-regulator, PGC-1α. Under normal physiological conditions, and in response to different environmental stimuli, the ERR-α/PGC-1α complex is involved in regulating metabolic homeostasis under conditions of high energy demand in brown adipocytes, proliferating T cells and muscle. Notably, increased expression and activity of the ERR-α/PGC-1α axis have also been shown to correlate with unfavorable clinical outcomes in both breast and ovarian tumors (35). However, little is known about the role of ERR-α/PGC-1α in hematological malignances, particularly in MM.

In conclusion, our results demonstrate that PGC-1α and ERR-α are both upregulated in MM and human myeloma RPMI-8226 cells. Furthermore, this upregulation affects the in vitro expression of GLUT-4 and the angiogenesis in MM by increasing VEGF expression. Suppression of PGC-1α impairs the proliferation of RPMI-8226 cells, although not to a very great extent. Targeting PGC-1α may provide another effective and probably more potent way to curb the increased needs of glucose and angiogenesis in MM.

References

1 

Munshi NC: Plasma cell disorders: an historical perspective. Hematology Am Soc Hematol Educ Program. 297:2008.PubMed/NCBI

2 

Ria R, Reale A, De Luisi A, Ferrucci A, Moschetta M and Vacca A: Bone marrow angiogenesis and progression in multiple myeloma. Am J Blood Res. 1:76–89. 2011.PubMed/NCBI

3 

McBrayer SK, Cheng JC, Singhal S, Krett NL, Rosen ST and Shanmugam M: Multiple myeloma exhibits novel dependence on GLUT4, GLUT8, and GLUT11: implications for glucose transporter-directed therapy. Blood. 119:4686–4697. 2012. View Article : Google Scholar : PubMed/NCBI

4 

Stocks T, Rapp K, Bjorge T, et al: Blood glucose and risk of incident and fatal cancer in the metabolic syndrome and cancer project (me-can): analysis of six prospective cohorts. PLoS Med. 6:e10002012009. View Article : Google Scholar : PubMed/NCBI

5 

Vacca A, Ribatti D, Roccaro AM, Frigeri A and Dammacco F: Bone marrow angiogenesis in patients with active multiple myeloma. Semin Oncol. 28:543–550. 2001. View Article : Google Scholar : PubMed/NCBI

6 

Giatromanolaki A, Bai M, Margaritis D, et al: Hypoxia and activated VEGF/receptor pathway in multiple myeloma. Anticancer Res. 30:2831–2836. 2010.PubMed/NCBI

7 

Sun CY, Hu Y, Huang J, et al: Brain-derived neurotrophic factor induces proliferation, migration, and VEGF secretion in human multiple myeloma cells via activation of MEK-ERK and PI3K/AKT signaling. Tumour Biol. 31:121–128. 2010. View Article : Google Scholar : PubMed/NCBI

8 

Puigserver P, Wu Z, Park CW, Graves R, Wright M and Spiegelman BM: A cold-inducible coactivator of nuclear receptors linked to adaptive thermogenesis. Cell. 92:829–839. 1998. View Article : Google Scholar : PubMed/NCBI

9 

Handschin C and Spiegelman BM: Peroxisome proliferator-activated receptor γ coactivator 1 coactivators, energy homeostasis, and metabolism. Endocr Rev. 27:728–735. 2006.

10 

Puigserver P and Spiegelman BM: Peroxisome proliferator-activated receptor-γ coactivator 1 α (PGC-1 α): transcriptional coactivator and metabolic regulator. Endocr Rev. 24:78–90. 2003.

11 

Finck BN and Kelly DP: PGC-1 coactivators: inducible regulators of energy metabolism in health and disease. J Clin Invest. 116:615–622. 2006. View Article : Google Scholar : PubMed/NCBI

12 

Arany Z, Foo SY, Ma Y, et al: HIF-independent regulation of VEGF and angiogenesis by the transcriptional coactivator PGC-1α. Nature. 451:1008–1012. 2008.PubMed/NCBI

13 

Lu J, Zhang K, Chen S and Wen W: Grape seed extract inhibits VEGF expression via reducing HIF-1α protein expression. Carcinogenesis. 30:636–644. 2009.PubMed/NCBI

14 

Otjacques E, Binsfeld M, Noel A, Beguin Y, Cataldo D and Caers J: Biological aspects of angiogenesis in multiple myeloma. Int J Hematol. 94:505–518. 2011. View Article : Google Scholar : PubMed/NCBI

15 

Nikhil C and Kenneth C: Advances in Biology and Therapy of Multiple Myeloma. 1. Basic Science. Springer; New York, NY: 2012

16 

Adekola K, Rosen ST and Shanmugam M: Glucose transporters in cancer metabolism. Curr Opin Oncol. 24:650–654. 2012. View Article : Google Scholar : PubMed/NCBI

17 

Ak I and Gulbas Z: F-18 FDG uptake of bone marrow on PET/CT scan: its correlation with CD38/CD138 expressing myeloma cells in bone marrow of patients with multiple myeloma. Ann Hematol. 90:81–87. 2011. View Article : Google Scholar : PubMed/NCBI

18 

Bartel TB, Haessler J, Brown TL, et al: F18-fluorodeoxyglucose positron emission tomography in the context of other imaging techniques and prognostic factors in multiple myeloma. Blood. 114:2068–2076. 2009. View Article : Google Scholar : PubMed/NCBI

19 

Kaira K, Endo M, Abe M, et al: Biologic correlation of 2-[18F]-fluoro-2-deoxy-D-glucose uptake on positron emission tomography in thymic epithelial tumors. J Clin Oncol. 28:3746–3753. 2010.

20 

Podar K and Anderson KC: Emerging therapies targeting tumor vasculature in multiple myeloma and other hematologic and solid malignancies. Curr Cancer Drug Targets. 11:1005–1024. 2011. View Article : Google Scholar : PubMed/NCBI

21 

Klimcakova E, Chenard V, McGuirk S, et al: PGC-1α promotes the growth of ErbB2/Neu-induced mammary tumors by regulating nutrient supply. Cancer Res. 72:1538–1546. 2012.

22 

Altenberg B and Greulich KO: Genes of glycolysis are ubiquitously overexpressed in 24 cancer classes. Genomics. 84:1014–1020. 2004. View Article : Google Scholar : PubMed/NCBI

23 

Durie BG, Waxman AD, D’Agnolo A and Williams CM: Whole-body 18F-FDG PET identifies high-risk myeloma. J Nucl Med. 43:1457–1463. 2002.PubMed/NCBI

24 

Zhang K, Lu J, Mori T, et al: Baicalin increases VEGF expression and angiogenesis by activating the ERRα/PGC-1α pathway. Cardiovasc Res. 89:426–435. 2011.PubMed/NCBI

25 

Bredella MA, Steinbach L, Caputo G, Segall G and Hawkins R: Value of FDG PET in the assessment of patients with multiple myeloma. AJR Am J Roentgenol. 184:1199–1204. 2005. View Article : Google Scholar : PubMed/NCBI

26 

Gendron MC, Schrantz N, Metivier D, et al: Oxidation of pyridine nucleotides during Fas- and ceramide-induced apoptosis in Jurkat cells: correlation with changes in mitochondria, glutathione depletion, intracellular acidification and caspase 3 activation. Biochem J. 353:357–367. 2001. View Article : Google Scholar

27 

Mathupala SP, Ko YH and Pedersen PL: Hexokinase II: cancer’s double-edged sword acting as both facilitator and gatekeeper of malignancy when bound to mitochondria. Oncogene. 25:4777–4786. 2006.

28 

Gottlob K, Majewski N, Kennedy S, Kandel E, Robey RB and Hay N: Inhibition of early apoptotic events by Akt/PKB is dependent on the first committed step of glycolysis and mitochondrial hexokinase. Genes Dev. 15:1406–1418. 2001. View Article : Google Scholar : PubMed/NCBI

29 

DeBerardinis RJ, Mancuso A, Daikhin E, et al: Beyond aerobic glycolysis: transformed cells can engage in glutamine metabolism that exceeds the requirement for protein and nucleotide synthesis. Proc Natl Acad Sci USA. 104:19345–19350. 2007. View Article : Google Scholar

30 

Zhao Y, Altman BJ, Coloff JL, et al: Glycogen synthase kinase 3α and 3β mediate a glucose-sensitive antiapoptotic signaling pathway to stabilize Mcl-1. Mol Cell Biol. 27:4328–4339. 2007.

31 

Danial NN, Gramm CF, Scorrano L, et al: BAD and glucokinase reside in a mitochondrial complex that integrates glycolysis and apoptosis. Nature. 424:952–956. 2003. View Article : Google Scholar

32 

Rathmell JC, Fox CJ, Plas DR, Hammerman PS, Cinalli RM and Thompson CB: Akt-directed glucose metabolism can prevent Bax conformation change and promote growth factor-independent survival. Mol Cell Biol. 23:7315–7328. 2003. View Article : Google Scholar : PubMed/NCBI

33 

Gatenby RA and Gillies RJ: Why do cancers have high aerobic glycolysis? Nat Rev Cancer. 4:891–899. 2004. View Article : Google Scholar : PubMed/NCBI

34 

Plas DR and Thompson CB: Cell metabolism in the regulation of programmed cell death. Trends Endocrinol Metab. 13:75–78. 2002. View Article : Google Scholar : PubMed/NCBI

35 

Chang CY and McDonnell DP: Molecular pathways: the metabolic regulator estrogen-related receptor α as a therapeutic target in cancer. Clin Cancer Res. 18:6089–6095. 2012.

Related Articles

  • Abstract
  • View
  • Download
  • Twitter
Copy and paste a formatted citation
Spandidos Publications style
Cao D, Zhou H, Zhao J, Jin L, Yu W, Yan H, Hu Y and Guo T: PGC-1α integrates glucose metabolism and angiogenesis in multiple myeloma cells by regulating VEGF and GLUT-4. Oncol Rep 31: 1205-1210, 2014.
APA
Cao, D., Zhou, H., Zhao, J., Jin, L., Yu, W., Yan, H. ... Guo, T. (2014). PGC-1α integrates glucose metabolism and angiogenesis in multiple myeloma cells by regulating VEGF and GLUT-4. Oncology Reports, 31, 1205-1210. https://doi.org/10.3892/or.2014.2974
MLA
Cao, D., Zhou, H., Zhao, J., Jin, L., Yu, W., Yan, H., Hu, Y., Guo, T."PGC-1α integrates glucose metabolism and angiogenesis in multiple myeloma cells by regulating VEGF and GLUT-4". Oncology Reports 31.3 (2014): 1205-1210.
Chicago
Cao, D., Zhou, H., Zhao, J., Jin, L., Yu, W., Yan, H., Hu, Y., Guo, T."PGC-1α integrates glucose metabolism and angiogenesis in multiple myeloma cells by regulating VEGF and GLUT-4". Oncology Reports 31, no. 3 (2014): 1205-1210. https://doi.org/10.3892/or.2014.2974
Copy and paste a formatted citation
x
Spandidos Publications style
Cao D, Zhou H, Zhao J, Jin L, Yu W, Yan H, Hu Y and Guo T: PGC-1α integrates glucose metabolism and angiogenesis in multiple myeloma cells by regulating VEGF and GLUT-4. Oncol Rep 31: 1205-1210, 2014.
APA
Cao, D., Zhou, H., Zhao, J., Jin, L., Yu, W., Yan, H. ... Guo, T. (2014). PGC-1α integrates glucose metabolism and angiogenesis in multiple myeloma cells by regulating VEGF and GLUT-4. Oncology Reports, 31, 1205-1210. https://doi.org/10.3892/or.2014.2974
MLA
Cao, D., Zhou, H., Zhao, J., Jin, L., Yu, W., Yan, H., Hu, Y., Guo, T."PGC-1α integrates glucose metabolism and angiogenesis in multiple myeloma cells by regulating VEGF and GLUT-4". Oncology Reports 31.3 (2014): 1205-1210.
Chicago
Cao, D., Zhou, H., Zhao, J., Jin, L., Yu, W., Yan, H., Hu, Y., Guo, T."PGC-1α integrates glucose metabolism and angiogenesis in multiple myeloma cells by regulating VEGF and GLUT-4". Oncology Reports 31, no. 3 (2014): 1205-1210. https://doi.org/10.3892/or.2014.2974
Follow us
  • Twitter
  • LinkedIn
  • Facebook
About
  • Spandidos Publications
  • Careers
  • Cookie Policy
  • Privacy Policy
How can we help?
  • Help
  • Live Chat
  • Contact
  • Email to our Support Team