Spandidos Publications Logo
  • About
    • About Spandidos
    • Aims and Scopes
    • Abstracting and Indexing
    • Editorial Policies
    • Reprints and Permissions
    • Job Opportunities
    • Terms and Conditions
    • Contact
  • Journals
    • All Journals
    • Oncology Letters
      • Oncology Letters
      • Information for Authors
      • Editorial Policies
      • Editorial Board
      • Aims and Scope
      • Abstracting and Indexing
      • Bibliographic Information
      • Archive
    • International Journal of Oncology
      • International Journal of Oncology
      • Information for Authors
      • Editorial Policies
      • Editorial Board
      • Aims and Scope
      • Abstracting and Indexing
      • Bibliographic Information
      • Archive
    • Molecular and Clinical Oncology
      • Molecular and Clinical Oncology
      • Information for Authors
      • Editorial Policies
      • Editorial Board
      • Aims and Scope
      • Abstracting and Indexing
      • Bibliographic Information
      • Archive
    • Experimental and Therapeutic Medicine
      • Experimental and Therapeutic Medicine
      • Information for Authors
      • Editorial Policies
      • Editorial Board
      • Aims and Scope
      • Abstracting and Indexing
      • Bibliographic Information
      • Archive
    • International Journal of Molecular Medicine
      • International Journal of Molecular Medicine
      • Information for Authors
      • Editorial Policies
      • Editorial Board
      • Aims and Scope
      • Abstracting and Indexing
      • Bibliographic Information
      • Archive
    • Biomedical Reports
      • Biomedical Reports
      • Information for Authors
      • Editorial Policies
      • Editorial Board
      • Aims and Scope
      • Abstracting and Indexing
      • Bibliographic Information
      • Archive
    • Oncology Reports
      • Oncology Reports
      • Information for Authors
      • Editorial Policies
      • Editorial Board
      • Aims and Scope
      • Abstracting and Indexing
      • Bibliographic Information
      • Archive
    • Molecular Medicine Reports
      • Molecular Medicine Reports
      • Information for Authors
      • Editorial Policies
      • Editorial Board
      • Aims and Scope
      • Abstracting and Indexing
      • Bibliographic Information
      • Archive
    • World Academy of Sciences Journal
      • World Academy of Sciences Journal
      • Information for Authors
      • Editorial Policies
      • Editorial Board
      • Aims and Scope
      • Abstracting and Indexing
      • Bibliographic Information
      • Archive
    • International Journal of Functional Nutrition
      • International Journal of Functional Nutrition
      • Information for Authors
      • Editorial Policies
      • Editorial Board
      • Aims and Scope
      • Abstracting and Indexing
      • Bibliographic Information
      • Archive
    • International Journal of Epigenetics
      • International Journal of Epigenetics
      • Information for Authors
      • Editorial Policies
      • Editorial Board
      • Aims and Scope
      • Abstracting and Indexing
      • Bibliographic Information
      • Archive
    • Medicine International
      • Medicine International
      • Information for Authors
      • Editorial Policies
      • Editorial Board
      • Aims and Scope
      • Abstracting and Indexing
      • Bibliographic Information
      • Archive
  • Articles
  • Information
    • Information for Authors
    • Information for Reviewers
    • Information for Librarians
    • Information for Advertisers
    • Conferences
  • Language Editing
Spandidos Publications Logo
  • About
    • About Spandidos
    • Aims and Scopes
    • Abstracting and Indexing
    • Editorial Policies
    • Reprints and Permissions
    • Job Opportunities
    • Terms and Conditions
    • Contact
  • Journals
    • All Journals
    • Biomedical Reports
      • Information for Authors
      • Editorial Policies
      • Editorial Board
      • Aims and Scope
      • Abstracting and Indexing
      • Bibliographic Information
      • Archive
    • Experimental and Therapeutic Medicine
      • Information for Authors
      • Editorial Policies
      • Editorial Board
      • Aims and Scope
      • Abstracting and Indexing
      • Bibliographic Information
      • Archive
    • International Journal of Epigenetics
      • Information for Authors
      • Editorial Policies
      • Editorial Board
      • Aims and Scope
      • Abstracting and Indexing
      • Bibliographic Information
      • Archive
    • International Journal of Functional Nutrition
      • Information for Authors
      • Editorial Policies
      • Editorial Board
      • Aims and Scope
      • Abstracting and Indexing
      • Bibliographic Information
      • Archive
    • International Journal of Molecular Medicine
      • Information for Authors
      • Editorial Policies
      • Editorial Board
      • Aims and Scope
      • Abstracting and Indexing
      • Bibliographic Information
      • Archive
    • International Journal of Oncology
      • Information for Authors
      • Editorial Policies
      • Editorial Board
      • Aims and Scope
      • Abstracting and Indexing
      • Bibliographic Information
      • Archive
    • Medicine International
      • Information for Authors
      • Editorial Policies
      • Editorial Board
      • Aims and Scope
      • Abstracting and Indexing
      • Bibliographic Information
      • Archive
    • Molecular and Clinical Oncology
      • Information for Authors
      • Editorial Policies
      • Editorial Board
      • Aims and Scope
      • Abstracting and Indexing
      • Bibliographic Information
      • Archive
    • Molecular Medicine Reports
      • Information for Authors
      • Editorial Policies
      • Editorial Board
      • Aims and Scope
      • Abstracting and Indexing
      • Bibliographic Information
      • Archive
    • Oncology Letters
      • Information for Authors
      • Editorial Policies
      • Editorial Board
      • Aims and Scope
      • Abstracting and Indexing
      • Bibliographic Information
      • Archive
    • Oncology Reports
      • Information for Authors
      • Editorial Policies
      • Editorial Board
      • Aims and Scope
      • Abstracting and Indexing
      • Bibliographic Information
      • Archive
    • World Academy of Sciences Journal
      • Information for Authors
      • Editorial Policies
      • Editorial Board
      • Aims and Scope
      • Abstracting and Indexing
      • Bibliographic Information
      • Archive
  • Articles
  • Information
    • For Authors
    • For Reviewers
    • For Librarians
    • For Advertisers
    • Conferences
  • Language Editing
Login Register Submit
  • This site uses cookies
  • You can change your cookie settings at any time by following the instructions in our Cookie Policy. To find out more, you may read our Privacy Policy.

    I agree
Search articles by DOI, keyword, author or affiliation
Search
Advanced Search
presentation
Oncology Reports
Join Editorial Board Propose a Special Issue
Print ISSN: 1021-335X Online ISSN: 1791-2431
Journal Cover
May-2014 Volume 31 Issue 5

Full Size Image

Sign up for eToc alerts
Recommend to Library

Journals

International Journal of Molecular Medicine

International Journal of Molecular Medicine

International Journal of Molecular Medicine is an international journal devoted to molecular mechanisms of human disease.

International Journal of Oncology

International Journal of Oncology

International Journal of Oncology is an international journal devoted to oncology research and cancer treatment.

Molecular Medicine Reports

Molecular Medicine Reports

Covers molecular medicine topics such as pharmacology, pathology, genetics, neuroscience, infectious diseases, molecular cardiology, and molecular surgery.

Oncology Reports

Oncology Reports

Oncology Reports is an international journal devoted to fundamental and applied research in Oncology.

Experimental and Therapeutic Medicine

Experimental and Therapeutic Medicine

Experimental and Therapeutic Medicine is an international journal devoted to laboratory and clinical medicine.

Oncology Letters

Oncology Letters

Oncology Letters is an international journal devoted to Experimental and Clinical Oncology.

Biomedical Reports

Biomedical Reports

Explores a wide range of biological and medical fields, including pharmacology, genetics, microbiology, neuroscience, and molecular cardiology.

Molecular and Clinical Oncology

Molecular and Clinical Oncology

International journal addressing all aspects of oncology research, from tumorigenesis and oncogenes to chemotherapy and metastasis.

World Academy of Sciences Journal

World Academy of Sciences Journal

Multidisciplinary open-access journal spanning biochemistry, genetics, neuroscience, environmental health, and synthetic biology.

International Journal of Functional Nutrition

International Journal of Functional Nutrition

Open-access journal combining biochemistry, pharmacology, immunology, and genetics to advance health through functional nutrition.

International Journal of Epigenetics

International Journal of Epigenetics

Publishes open-access research on using epigenetics to advance understanding and treatment of human disease.

Medicine International

Medicine International

An International Open Access Journal Devoted to General Medicine.

Journal Cover
May-2014 Volume 31 Issue 5

Full Size Image

Sign up for eToc alerts
Recommend to Library

  • Article
  • Citations
    • Cite This Article
    • Download Citation
    • Create Citation Alert
    • Remove Citation Alert
    • Cited By
  • Similar Articles
    • Related Articles (in Spandidos Publications)
    • Similar Articles (Google Scholar)
    • Similar Articles (PubMed)
  • Download PDF
  • Download XML
  • View XML
Article

Prostaglandin E2 receptor EP2 mediates Snail expression in hepatocellular carcinoma cells

  • Authors:
    • Shan-Yu Cheng
    • Hai Zhang
    • Min Zhang
    • Shu-Kai Xia
    • Xiao‑Ming Bai
    • Li Zhang
    • Juan Ma
    • Rong Rong
    • Yi-Pin Wang
    • Ming-Zhan Du
    • Jie Wang
    • Meng Chen
    • Feng Shi
    • Qin-Yi Yang
    • Jing Leng
  • View Affiliations / Copyright

    Affiliations: Cancer Center, Department of Pathology, Nanjing Medical University, Nanjing, Jiangsu 210029, P.R. China
  • Pages: 2099-2106
    |
    Published online on: March 11, 2014
       https://doi.org/10.3892/or.2014.3074
  • Expand metrics +
Metrics: Total Views: 0 (Spandidos Publications: | PMC Statistics: )
Metrics: Total PDF Downloads: 0 (Spandidos Publications: | PMC Statistics: )
Cited By (CrossRef): 0 citations Loading Articles...

This article is mentioned in:



Abstract

Prostaglandin E2 (PGE2) has been shown to influence cell invasion and metastasis in several types of cancer, including hepatocellular carcinoma (HCC). however, the molecular mechanisms underlying it remain to be further elucidated. Snail, as one of key inducers of epithelial-mesenchymal transition (EMT), plays pivotal roles in HCC invasion and metastasis. The present study was designed to evaluate the possible signaling pathways through which PGE2 regulates Snail protein expression in HCC cell lines. PGE2 markedly enhanced Huh-7 cell invasion and migration ability by upregulating the expression level of Snail protein, and EP2 receptor played an important role in this process. Src, EGFR, Akt and mTOR were all activated and involved in the regulation of snail protein expression. Our findings suggest that PGE2 could upregulate the expression level of Snail protein through the EP2/Src/EGFR/Akt/mTOR pathway in Huh-7 cells, which promotes HCC cell invasion and migration.

Introduction

Malignant tumor is one of the leading causes of mortality. The mortality rates of liver cancer are the third highest in the world (1). Hepatocellular carcinoma (HCC) is a malignant tumor with a potent ability to invade locally and metastasize distantly (2). Due to the lack of effective chemoprevention or systematic treatment, the prognosis of HCC is very poor (3). Therefore, it is of utmost importance to explore the molecular mechanisms of HCC.

Prostaglandin E2 (PGE2), a predominant metabolic product of cyclooxygenase-2 (COX-2), has been shown to affect numerous tumorigenic progressions, such as HCC (4), renal cell carcinoma (5) and prostate cancer (6). Endogenous and exogenous PGE2 might promote carcinoma cell growth (7), invasion (8) and migration (6) via activation of a series of signal transduction pathways. PGE2 exerts its biological functions through binding with four types of E prostanoid receptors on the cell surface membrane (9,10), among which, the EP2 receptor is believed to be involved in cancer cell proliferation and invasion (11–13).

Tumor invasion and metastasis are characterized by epithelial-mesenchymal transition (EMT) (14). EMT is a critical process enabling the tumor cells to migrate from the primary tumor and metastasize to distant sites (15). Previous studies suggested that Snail is a zinc-finger transcriptional repressor governing EMT during tumor progression (16–18). Snail has been found to play a major role in promoting tumor cell migration and invasion in many cancer types (19–21), and its expression predicts a poor outcome in patients with metastatic cancer (16).

In HCC, the most abundant prostaglandin is PGE2 (22); increased COX-2 expression has been documented (23) and Snail expression was significantly higher (24). Based on these findings, our previous studies showed that PGE2 could significantly enhance HCC cell invasion and migration through upregulation of Snail expression level; however, the detailed mechanisms through which PGE2 regulates Snail protein expression remains to be further clarified. In the present study, PGE2 was found to upregulate Snail expression level via the EP2 receptor in Huh-7 cells. Src, EGFR, Akt and mTOR were all involved in the EP2 receptor-mediated Snail protein expression. These findings reveal that PGE2 could promote HCC cell invasion through upregulating Snail expression level via the EP2/Src/EGFR/Akt/mTOR pathway.

Materials and methods

Materials

The human HCC cell line Huh-7 was obtained from the American Type Culture Collection (ATCC; Manassas, VA, USA). Dulbecco’s modified Eagle’s medium (DMEM) was from Invitrogen (Carlsbad, CA, USA). PGE2 and PI3K inhibitor LY294002 were from Cayman Chemical Co. (Ann Arbor, MI, USA). EP2 receptor agonist butaprost, Src inhibitor PP2 and anti-β-actin antibody were from Sigma-Aldrich (St. Louis, MO, USA). EGFR inhibitor AG1478 and mTOR inhibitor PP242 were from Merck Millipore. Anti-phosphorylated EGFR (Tyr1173) antibody was from SAB (Signalway Antibody, Nanjing, China), anti-EGFR antibody, anti-phosphorylated Akt (Ser473) antibody, anti-Akt antibody, anti-phosphorylated mTOR antibody, anti-mTOR antibody, anti-Snail antibody were from Cell Signaling Technology (Danvers, MA, USA). The protein assay was from Bio-Rad Laboratories (Hercules, CA, USA). Electrochemiluminescence (ECL) reagents were from Amersham Biosciences (Piscataway, NJ, USA). The Transwell unit was from Costar Corning (Cambridge, MA, USA). Matrigel was from BD Biosciences, (Discovery Labware, Bedford, MA, USA).

Cell line and culture

HCC Huh-7 cells were cultured in DMEM, supplemented with 10% fetal calf serum at 37°C in a humidified 5% CO2 incubator. The experiments were performed when cells reached 80% confluence and were conducted in serum-free medium with serum deprivation for 12 h before the experiments.

Cell migration assays

Cell migration assays were performed in 24-well Transwell chambers Prior to experiment, the lower surfaces of the membranes were coated with gelatin (1%) diluted in PBS. Cells (5×104) were added to the upper Transwell chamber and media with 10%FBS were added to the lower Transwell chamber. The serum-free media plus pharmacological agents were added in the upper Transwell chamber. After 12 h of incubation at 37°C, the cells were fixed and stained by 0.1% crystal violet for 30 min at room temperature. After washing the wells with PBS, the cells on the upper surface of the filter were removed with a cotton swab. The migrating cells on the lower surface of the filter were solubilized with 10% acetic acid 10 min and quantified by measuring the absorbance at 550 nm.

Cell invasion assays

Cell invasion assays were performed in Matrigel-coated 24-well Transwell chambers. Cells (5×104) were added to the upper Transwell chamber and media with 10% FBS were added to the lower Transwell chamber. The serum-free media plus pharmacological agents were added in the upper Transwell chamber. After 24 h of incubation at 37°C, the cells were fixed and stained by 0.1 % crystal violet for 30 min at room temperature. After washing the wells with PBS, the cells on the upper surface of the filter were removed with a cotton swab. The invading cells on the lower surface of the membrane were solubilized with 10% acetic acid 10 min and quantified by measuring the absorbance at 550 nm.

Western blot analysis

Different pharmacological agents were used for the treatment of HCC Huh-7 cells for various times. The cells were collected into modified radioimmunoprecipitation assay (RIPA) buffer (50 mM Tris-HCl pH 7.4, 1% NP-40, 0.25% Na-deoxycholate, 150 mM NaCl, 1 mM EDTA, 1 mM PMSF, protease inhibitor cocktail) and placed on ice for 30 min. Lysates were sonicated on ice and centrifuged at 15,000 × g/min for 30 min. Protein concentrations of cells were measured by Bio-Rad protein assay kit. Equal amounts of proteins (40–60 μg) were separated by SDS-PAGE and transferred onto nitrocellulose membranes. Membranes were blocked with 5% non-fat dry milk-PBST buffer for 1 h at room temperature and incubated with the corresponding primary antibodies overnight at 4°C with gentle shaking. Then, membranes were washed by PBST and incubated for 2 h with the peroxidase-conjugated secondary anti-rabbit or anti-mouse antibodies at room temperature. The signals were detected by enhanced chemiluminescent reagent (ECL) and analyzed with the ImageJ analysis software.

Statistical analysis

Data are expressed as the means ± SD. Student’s t-test was used for evaluation of statistical significance and a value of P<0.05 was considered to indicate a statistically significant difference.

Results

PGE2 promotes HCC cell migration and invasion

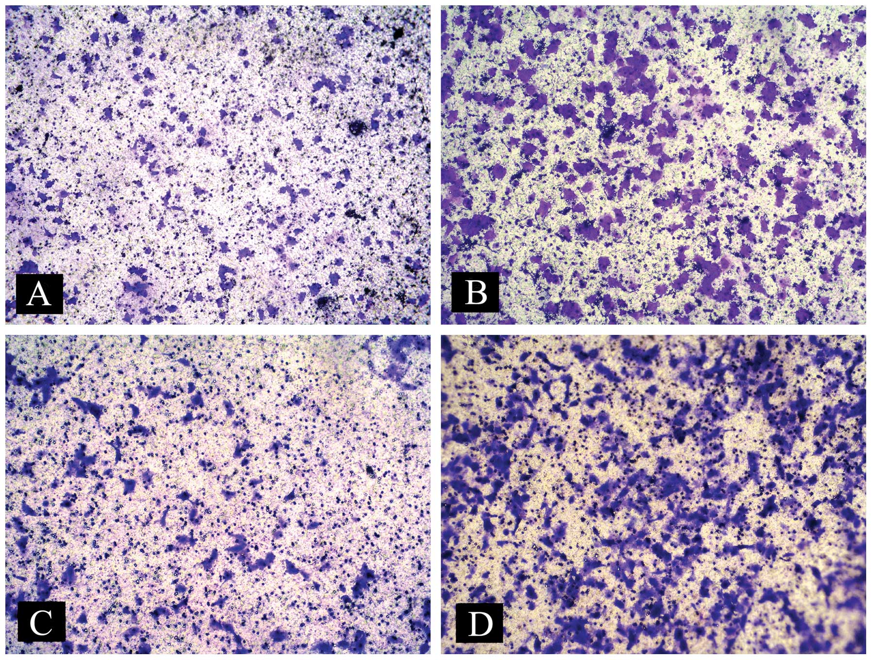
The cell invasion assays were utilized to analyze the effects of PGE2 on HCC cell migration and invasion. Huh-7 cells were treated with vehicle or exogenous 10 μM PGE2 in the upper chamber and media plus 10% FBS were added to the lower Transwell chamber. As shown in Fig. 1, in the Transwell assay, cell migration was found to increase by 192% when the cells were treated with PGE2 for 12 h. Cell invasion was found to increase by 186% when the cells were treated with PGE2 for 24 h. These results demonstrate that PGE2 significantly promotes Huh-7 cell migration and invasion.

Figure 1

The migration and invasion abilities of Huh-7 cells are induced by PGE2. (A) The control group cell migration. (B) The PGE2 treatment group cell migration. The cell migration assay was performed in 24-well Transwell chambers. Huh-7 cells (5×104) were plated in the upper chamber in the presence of vehicle or 10 μM PGE2 in serum-free medium. The medium with 10% FBS was added to the lower chamber at 37°C for 12 h. Then, the cells were fixed with ethanol and stained with 0.1% crystal violet for 30 min at room temperature. The cells on the upper surface of the filter were removed with a moist cotton swab. The migrating cells on the lower surface of the filter were solubilized with 10% acetic acid 10 min and quantified by measuring the absorbance at 550 nm. (C) The control group cell invasion. (D) The PGE2 treatment group cell invasion. The cell invasion assay was performed in Matrigel-coated 24-well Transwell chambers. Huh-7 cells (5×104) were plated in the upper chamber in the presence or absence of 10 μM PGE2 in serum-free medium. The medium with 10% FBS was added to the lower chamber at 37°C for 24 h. Then, the cells were fixed with ethanol and stained with 0.1% crystal violet for 30 min at room temperature. The cells on the upper surface of the filter were removed with a moist cotton swab. The invading cells on the lower surface of the membrane were solubilized with 10% acetic acid 10 min and quantified by measuring the absorbance at 550 nm. Data are expressed as the mean ± SD of three independent experiments.

PGE2 induces Snail expression in HCC cells

To identify the potential effects of PGE2 on Snail expression, Huh-7 cells were treated with various concentrations of PGE2 for 24 h. As shown in Fig. 2, treatment of Huh-7 cells with PGE2 significantly increased the expression level of Snail protein compared with the control group. These data indicate that PGE2 upregulates Snail expression in a dose-dependent manner in Huh-7 cells.

Figure 2

PGE2 induces the expression of Snail protein in Huh-7 cells. Huh-7 cells cultured in serum-free medium were treated with different concentrations of PGE2 for 24 h; 40 mM Licl and 10 μM MG132 were added 7 h before lysis of the cells. Total protein was isolated and equal amounts of protein were separated by SDS-PAGE. Snail expression level was determined by immunoblotting with anti-Snail antibody. β-actin as loading control was determined by immunoblotting with anti-β-actin antibody. Quantitative analysis of Snail expression level was carried out by calculating the ratio between the Snail protein and β-actin expression levels from three different experiments. *P<0.05, **P<0.01 compared with the control.

EP2 receptor is involved in PGE2-induced Snail expression

Based on our previous results, we know that PGE2 promotes HCC cell proliferation and invasion via EP2 receptor, and PGE2 also markedly increases the Snail expression level. Thus, we postulated that PGE2 could increase the expression level of Snail protein via EP2 receptor. To evaluate this hypothesis, we treated Huh-7 cells with various concentrations of EP2 agonist butaprost; as shown in Fig. 3, treatment of Huh-7 cells with butaprost significantly increased the expression level of Snail protein compared with the control group. These results indicate that EP2 receptor plays an important role in PGE2-induced Snail expression.

Figure 3

PGE2 induces Snail expression via the EP2 receptor in Huh-7 cells. Huh-7 cells cultured in serum-free medium were treated with different concentrations of butaprost for 24 h; 40 mM Licl and 10 μM MG132 were added 7 h before lysis of the cells. Cell lysates were collected and analyzed by western blotting. Snail expression level was determined by immunoblotting with anti-Snail antibody. β-actin as loading control was determined by immunoblotting with anti-β-actin antibody. Quantitative analysis of Snail expression level was carried out by calculating the ratio between the Snail protein and β-actin expression levels from three different experiments. **P<0.01, compared with the control.

Involvement of Src in PGE2-induced Snail expression

We further investigated whether Src is involved in the Snail expression induced by butaprost. As shown in Fig. 4, pretreatment of Huh-7 cells with Src inhibitor PP2 markedly suppressed the Snail expression induced by butaprost. These observations indicate that Src kinase is involved in EP2 receptor-mediated Snail expression.

Figure 4

Src is involved in the Snail expression induced by EP2 receptor. Huh-7 cells cultured in serum-free medium were pretreated with PP2 at 10 μM for 1 h, and were then treated with 5 μM butaprost for 24 h; 40 mM Licl and 10 μM MG132 were added 7 h before lysis of the cells. Snail expression level was determined by immunoblotting with anti-Snail antibody. β-actin as loading control was determined by immunoblotting with anti-β-actin antibody. Quantitative analysis of the Snail expression level was carried out by calculating the ratio between Snail protein and β-actin expression levels from three different experiments **P<0.01, compared with the control; ##P<0.01, compared with butaprost treatment. Buta, butaprost.

EGFR/Akt is involved in EP2-mediated Snail expression

Phosphatidylinositol 3-kinase (PI3K), the kinase that modulates the phosphorylation of Akt, is one of the most important downstream proteins in the EGFR signaling pathway. We sought to clarify the EGFR and Akt effects on EP2 receptor agonist-induced Snail expression. As PI3K modulates the phosphorylation of Akt, Huh-7 cells were pre-treated with EGFR inhibitor 5 μM AG1478 or PI3K inhibitor 10 μM LY294002 for 1 h before 5 μM butaprost treatment for 24 h, and were subsequently subjected to immunoblotting assay to assess the effect of these inhibitors on butaprost-induced expression of Snail. The data in Fig. 5A show that butaprost-induced Snail expression was decreased ~67.92% by the EGFR inhibitor and ~56.63% by the PI3K inhibitor. To determine whether EGFR and Akt were activated by EP2 receptor agonist stimulation, activation of EGFR and Akt was measured by detecting the phosphorylation of EGFR and Akt with western blot analysis. Huh-7 cells were exposed to 5 μM butaprost for different periods of time. EGFR and Akt activation were detected at 5 min following butaprost treatment. As shown in Fig. 5B and C, the phosphorylation level of EGFR and Akt increased significantly after butaprost treatment in Huh-7 cells, and the effect reached its maximum at 30 and 45 min, respectively. These data indicate that butaprost induced EGFR and Akt phosphorylation in a time-dependent manner in Huh-7 cells. Based on these findings, treatment with 5 μM butaprost for 45 min was used for subsequent experiments. Huh-7 cells were pre-treated with Src inhibitor 10 μM PP2 or EGFR inhibitor 5 μM AG1478 for 1 h before 5 μM butaprost treatment for 45 min. The data in Fig. 5D show that AG1478 and PP2 suppressed the butaprost-induced Akt phosphorylation, further indicating that activated Src and EGFR are upstream of Akt. The experiments in the above sections showed that EGFR/Akt is involved in the EP2-mediated Snail expression in Huh-7 cells.

Figure 5

EGFR and Akt are involved in the expression of Snail protein induced by PGE2 via EP2 receptor. (A) The effect of EGFR inhibitor AG1478 and PI3K inhibitor LY294002 on Snail expression induced by the EP2 receptor. Huh-7 cells cultured in serum-free medium were pretreated with 5 μM AG1478 or 10 μM LY294002 for 1 h, and were then treated with 5 μM butaprost for 24 h; 40 mM Licl and 10 μM MG132 were added 7 h before lysis of the cells. Snail expression level was determined by immunoblotting with anti-Snail antibody. β-actin as loading control was determined by immunoblotting with anti-β-actin antibody. Quantitative analysis of the Snail expression level was carried out by calculating the ratio between Snail protein and β-actin expression levels from three different experiments. **P<0.01, compared with the control; ##P<0.01, compared with butaprost treatment. (B) The effect of butaprost on EGFR phosphorylation. Huh-7 cells cultured in serum-free medium were treated with butaprost at 5 μM for the indicated times, and cell lysates were obtained. EGFR phosphorylation level was determined by immunoblotting with anti-phospho-EGFR antibody. Total EGFR expression level in cell lysates was determined by reprobing the same blot with anti-EGFR antibody. (C) The effect of butaprost on Akt phosphorylation. Huh-7 cells cultured in serum-free medium were treated with butaprost at 5 μM for the indicated times, and cell lysates were obtained. Akt phosphorylation level was determined by immunoblotting with anti-phospho-Akt antibody. Total Akt expression level in cell lysates was determined by reprobing the same blot with anti-Akt antibody. Quantitative analysis of the Akt phosphorylation level was carried out by calculating the ratio between Akt protein and phosphorylation level from three different experiments. *P<0.05, **P<0.01 compared with the control. (D) The Src and EGFR inhibitors suppressed butaprost-induced phosphorylation of Akt. Huh-7 cells were serum-starved for 12 h and then pre-treated with 10 μM PP2 or 5 μM AG1478 for 1 h before 5 μM butaprost treatment for 45 min. Akt phosphorylation level was determined by immunoblotting with anti-phospho-Akt antibody. Total Akt expression level in cell lysates was determined by reprobing the same blot with anti-Akt antibody. Quantitative analysis of the Akt phosphorylation level was carried out by calculating the ratio between Akt protein and phosphorylation level from three different experiments. *P<0.05, compared with the control; ##P<0.01 compared with butaprost treatment. Buta or B, butaprost; P, PP2; AG, AG1478; LY, LY94002.

mTOR plays a key role in EP2-mediated Snail expression

Mammalian target of rapamycin (mTOR) is an important downstream of PI3K/Akt signaling. To clarify the mTOR inhibitor 5 μM PP242 effects on EP2 agonist-induced Snail expression, Huh-7 cells were pre-treated with or without PP242 for 1 h prior to 5 μM butaprost treatment for 24 h, and were subsequently subjected to immunoblotting assay to assess the effect of these inhibitors on butaprost-induced expression of Snail. As shown in Fig. 6A, butaprost-induced Snail expression was almost completely suppressed by the mTOR inhibitor. Then, to determine whether the mTOR was activated by EP2 receptor agonist stimulation, activation of mTOR was measured by detecting the phosphorylation of mTOR with western blot analysis. Huh-7 cells were exposed to 5 μM butaprost for different periods of time. mTOR activation was detected at 5 min following butaprost treatment. As shown in Fig. 6B, the phosphorylation level of mTOR increased significantly after butaprost treatment, and the effect reached its maximum at 15 min. The data indicate that butaprost induced mTOR phosphorylation in a time-dependent manner in Huh-7 cells. The data presented in the above sections indicate that mTOR is involved in the EP2-mediated expression of Snail in Huh-7 cells.

Figure 6

mTOR is involved in the expression of Snail protein induced by EP2 receptor. (A) The effect of mTOR inhibitor PP242 on Snail expression induced by EP2 receptor. Huh-7 cells cultured in serum-free medium were pretreated with PP242 at 5 μM for 1 h, and were then treated with 5 μM butaprost or 10 μM PGE2 for 24 h; 40 mM Licl and 10 μM MG132 were added 7 h before lysis of the cells. Snail expression level was determined by immunoblotting with anti-Snail antibody. β-actin as loading control was determined by immunoblotting with anti-β-actin antibody. (B) The effect of butaprost on mTOR phosphorylation. Huh-7 cells cultured in serum-free medium were treated with butaprost at 5 μM for the indicated times, and cell lysates were obtained. mTOR phosphorylation level was determined by immunoblotting with anti-phospho-mTOR antibody. Total mTOR expression level in cell lysates was determined by reprobing the same blot with anti-mTOR antibody. Quantitative analysis of the mTOR phosphorylation level was carried out by calculating the ratio between mTOR protein and phosphorylation level from three different experiments. *P<0.05, **P<0.01 compared with the control.

Discussion

Cyclooxygenase-2 (COX-2) plays a significant role in the progression of HCC; higher tumor cytosolic COX-2 level is associated with poorer patient survival (25,26). PGE2, the key product of COX-2, plays crucial roles in the development of several human malignant tumors, including HCC (27–30). However, the exact mechanisms through which PGE2 promotes hepatocarcinogenesis are only beginning to be resolved. Previous studies indicated that PGE2 exerts its biological functions via interaction with four types of G-protein-coupled receptors (GPCRs): EP1, EP2, EP3 and EP4, on the cell surface membrane (31). The downstream signaling transduction pathways of these EP receptors have been well characterized. The EP1 receptor is coupled with Gαq protein and thus signals through protein kinase C (PKC) and intracellular Ca2+; the EP3 receptor is coupled with Gαi protein, with inhibitory effects on adenylyl cyclase (AC); the EP2 and EP4 receptors are both coupled with Gαs protein, but they have different downstream signal pathways; the EP4 receptor could activate the phosphatidylinositol 3-kinase (PI3K)-Akt pathway and the EP2 receptor could increase intracellular cAMP level and thus activate protein kinase A (PKA) pathway (10,32,33).

The epithelial-mesenchymal transition (EMT) is regarded as a key step in epithelium-derived tumor invasion and metastasis (34). During the EMT process, epithelial cells lose cell polarity and adhesion, and undergo transdifferentiation into a mesenchymal phenotype with highly migratory abilities. Snail, as one of the zinc-finger transcriptional factors, plays pivotal roles in a number of tumor invasions and metastasis (15,35). As one of the main transcription factors controlling the EMT process, Snail could repress E-cadherin (one of the epithelial marker proteins) transcription level by binding with E-box element on the E-cadherin promoter, and increase some mesenchymal marker proteins expression level, such as Vimentin (19,36). Furthermore, recent studies have indicated that during the progression of HCC, Snail expression level was markedly increased and could enhance the cancer cell invasion ability through upregulating the MMP gene family expression (37,38). Meanwhile, in renal cell carcinoma, elevated Snail and MMP protein expression level frequently indicated the poor prognosis of patients with this malignant tumor (39).

It was reported that in non-small cell lung cancer (NSCLC), knockdown of Snail protein interrupted the PGE2-induced repression of E-cadherin expression level (40). In the Huh-7 cell line, we confirmed that PGE2 could promote HCC cell migration and invasion. At the same time, we also found that PGE2 markedly increased Snail expression level. However, the mechanisms underlying PGE2-upregulated Snail protein expression level remain unclear. PGE2 could bind with four types of EP receptors on the cell surface membrane and transmit the different signal transduction pathways to show various physiological and pathophysiological functions. Hence, which type of EP receptor is mainly responsible for this phenomenon is of particular interest to us. It is well-established that EP2 receptor plays a crucial role in various types of carcinogenesis (11,41). The present study showed that treatment of Huh-7 cells with butaprost could significantly increase the Snail expression level, which indicates that EP2 receptor plays a key role in PGE2-induced Snail expression.

On the basis of previous research, we know that the EP2 receptor is coupled with the Gαs protein to exert its biological functions. The heterotrimeric G protein consists of α, β and γ subunits, and α subunits could be divided into Gαs, Gαi and Gαq. Different subtypes of Gα subunits could mediate specific signaling pathways. When binding with PGE2, EP2 receptor could activate the Gαs subunit, which increases intracellular cAMP level, and thus enhances the PKA activity. Based on this canonic pathway, treatment of Huh-7 cells with the AC inhibitor SQ22536 and the PKA inhibitor H89 should block the effects of PGE2 or EP2 receptor agonist-induced-snail expression. However, we did not observe these expected results in our experiments (data not shown). These results indicate that the Gαs/AC/PKA pathway, the canonic pathway of EP2 receptor may not be responsible for the EP2 receptor-mediated Snail protein expression.

Several studies have shown that GPCRs could also modulate the activation of the EGFR (8,27,42,43). In endometrial cancer, activation of EGFR resulted in overexpression of Snail (44). In human mesenchymal stem cells, PGE2 could promote cell migration and proliferation, at least in part, via the EP2 receptor-dependent β-arrestin-1/JNK signaling pathways (45). In squamous cell carcinoma, activation of the EP2 receptor could transactivate the EGFR via PKA and c-Src kinases (46). In mouse skin papilloma, the EP2 receptor could form a complex with β-arrestin-1 and Src, which promoted the tumor formation (47). Therefore, we hypothesized that the EP2 receptor might upregulate the Snail expression in β-arrestin-1/Src/EGFR pathways. The observations that the inhibitor of the Src and EGFR suppressed the expression of Snail induced by EP2 receptor agonist support our hypothesis. These data suggest that Src and EGFR are involved in butaprost-mediated Snail expression.

The EGF receptor is a transmembrane tyrosine kinase that belongs to the HER/ErbB protein family. EGFR controls a variety of biological responses such as cell proliferation and migration (48). These effects are mediated via activation of downstream molecules, including the PI3K/Akt pathway (43,49). PI3K is composed of the p85 regulatory subunit and the p110 catalytic subunit. When EGFR is activated, which could recruit the p85 subunit, the p110 subunit is activated, leading to PI3K activation. Activated PI3K can phosphorylate PIP2 to form the second messenger PIP3. PIP3 could activate 3′-phosphoinositide-dependent kinase (PDK) by binding to the PH domain of PDK. Activated PDK activates Akt by phosphorylating its Thr308 and Ser473. Early reports showed that, in HCC cells and human liver cancer tissues, the level of COX-2 expression and Akt phosphorylation is correlated positively with the cell proliferation (50). Blocking of either COX-2 or the Akt pathway can inhibit the process of EMT (51). In glioma C6 cells, PGE2 induces HO-1 protein expression via EP2 receptor through PKA and PI3K signaling pathways (52). These findings suggest that Akt may play an important role in the EP2 receptor-mediated Snail expression. Our data showed that when binding with PGE2, the EP2 receptor could markedly enhance Akt activity.

Activation of Akt mainly goes through phosphorylation of the forkhead family transcription factor FKHR and inhibition of BAD phosphorylation activity to anti-apoptosis, via mTOR to mediate cell proliferation, via GSK-3β, caspase-9 and other downstream substrates to exert biological effects (53). One protein that is emerging as a central downstream of Akt is mTOR, which regulates tumor cell proliferation, growth and survival (54,55). mTOR usually regulates biogenesis with two types of complexes, mTORC1 and mTORC2, activating p70S6 kinase, which enhances the translation of mRNAs, and inhibiting 4E-BP1, a translational repressor of mRNAs, contributes to cell growth and proliferation (56,57). Our data showed that EP2 receptor agonist triggered the activation of mTOR. The results suggest that the activation of mTOR may be involved in EP2-mediated Snail expression.

In conclusion, the results showed that the subtype 2 of PGE2 receptor upregulating Snail protein appears not to be through the canonic G protein-dependent activation of PKA pathway but through the Src-EGFR-Akt-mTOR pathway. The present study provides further insight into the mechanisms by which PGE2 promotes HCC invasion and migration. Targeting of the PGE2/EP2/Snail pathway may be a novel therapeutic strategy in the prevention and treatment of malignant diseases.

Acknowledgements

The present study was supported by the National Natural Science Foundation of China (30871015 and 81172003) and by a Project Funded by the Priority Academic Program Development of Jiangsu Higher Education Institutions (PAPD).

References

1 

Wu T: Cyclooxygenase-2 in hepatocellular carcinoma. Cancer Treat Rev. 32:28–44. 2006. View Article : Google Scholar

2 

Pang RW, Joh JW, Johnson PJ, Monden M, Pawlik TM and Poon RT: Biology of hepatocellular carcinoma. Ann Surg Oncol. 15:962–971. 2008. View Article : Google Scholar

3 

Uchino K, Tateishi R, Shiina S, et al: Hepatocellular carcinoma with extrahepatic metastasis: clinical features and prognostic factors. Cancer. 117:4475–4483. 2011. View Article : Google Scholar : PubMed/NCBI

4 

Bai XM, Zhang W, Liu NB, et al: Focal adhesion kinase: Important to prostaglandin E2-mediated adhesion, migration and invasion in hepatocellular carcinoma cells. Oncol Rep. 21:129–136. 2009.PubMed/NCBI

5 

Wu J, Zhang Y, Frilot N, Kim JI, Kim WJ and Daaka Y: Prostaglandin E2 regulates renal cell carcinoma invasion through the EP4 receptor-Rap GTPase signal transduction pathway. J Biol Chem. 286:33954–33962. 2011.

6 

Vo BT, Morton D Jr, Komaragiri S, Millena AC, Leath C and Khan SA: TGF-β effects on prostate cancer cell migration and invasion are mediated by PGE2 through activation of PI3K/AKT/mTOR pathway. Endocrinology. 154:1768–1779. 2013.

7 

Zhang L, Jiang L, Sun Q, et al: Prostaglandin E2 enhances mitogen-activated protein kinase/Erk pathway in human cholangiocarcinoma cells: involvement of EP1 receptor, calcium and EGF receptors signaling. Mol Cell Biochem. 305:19–26. 2007. View Article : Google Scholar

8 

Han C, Michalopoulos GK and Wu T: Prostaglandin E2 receptor EP1 transactivates EGFR/MET receptor tyrosine kinases and enhances invasiveness in human hepatocellular carcinoma cells. J Cell Physiol. 207:261–270. 2006.

9 

Breyer RM, Bagdassarian CK, Myers SA and Breyer MD: Prostanoid receptors: subtypes and signaling. Annu Rev Pharmacol Toxicol. 41:661–690. 2001. View Article : Google Scholar : PubMed/NCBI

10 

Bos CL, Richel DJ, Ritsema T, Peppelenbosch MP and Versteeg HH: Prostanoids and prostanoid receptors in signal transduction. Int J Biochem Cell Biol. 36:1187–1205. 2004. View Article : Google Scholar : PubMed/NCBI

11 

Jiang J and Dingledine R: Role of prostaglandin receptor EP2 in the regulations of cancer cell proliferation, invasion, and inflammation. J Pharmacol Exp Ther. 344:360–367. 2012. View Article : Google Scholar : PubMed/NCBI

12 

Pan MR, Hou MF, Chang HC and Hung WC: Cyclooxygenase-2 up-regulates CCR7 via EP2/EP4 receptor signaling pathways to enhance lymphatic invasion of breast cancer cells. J Biol Chem. 283:11155–11163. 2008. View Article : Google Scholar : PubMed/NCBI

13 

Wang X and Klein RD: Prostaglandin E2 induces vascular endothelial growth factor secretion in prostate cancer cells through EP2 receptor-mediated cAMP pathway. Mol Carcinog. 46:912–923. 2007. View Article : Google Scholar : PubMed/NCBI

14 

Guarino M, Rubino B and Ballabio G: The role of epithelial-mesenchymal transition in cancer pathology. Pathology. 39:305–318. 2007. View Article : Google Scholar : PubMed/NCBI

15 

Fan F, Samuel S, Evans KW, et al: Overexpression of snail induces epithelial-mesenchymal transition and a cancer stem cell-like phenotype in human colorectal cancer cells. Cancer Med. 1:5–16. 2013. View Article : Google Scholar : PubMed/NCBI

16 

Wang Y, Shi J, Chai K, Ying X and Zhou BP: The role of Snail in EMT and tumorigenesis. Curr Cancer Drug Targets. 13:963–972. 2013. View Article : Google Scholar : PubMed/NCBI

17 

Emadi Baygi M, Soheili ZS, Schmitz I, Sameie S and Schulz WA: Snail regulates cell survival and inhibits cellular senescence in human metastatic prostate cancer cell lines. Cell Biol Toxicol. 26:553–567. 2010.PubMed/NCBI

18 

Nishioka R, Itoh S, Gui T, et al: SNAIL induces epithelial-to-mesenchymal transition in a human pancreatic cancer cell line (BxPC3) and promotes distant metastasis and invasiveness in vivo. Exp Mol Pathol. 89:149–157. 2010. View Article : Google Scholar : PubMed/NCBI

19 

Haslehurst AM, Koti M, Dharsee M, et al: EMT transcription factors snail and slug directly contribute to cisplatin resistance in ovarian cancer. BMC Cancer. 12:912012. View Article : Google Scholar : PubMed/NCBI

20 

Wang H, Wang HS, Zhou BH, et al: Epithelial-mesenchymal transition (EMT) induced by TNF-α requires AKT/GSK-3β-mediated stabilization of snail in colorectal cancer. PLoS One. 8:e566642013.

21 

He H, Chen W, Wang X, et al: Snail is an independent prognostic predictor for progression and patient survival of gastric cancer. Cancer Sci. 103:1296–1303. 2012. View Article : Google Scholar : PubMed/NCBI

22 

Han C, Demetris AJ, Michalopoulos G, Shelhamer JH and Wu T: 85-kDa cPLA2 plays a critical role in PPAR-mediated gene transcription in human hepatoma cells. Am J Physiol Gastrointest Liver Physiol. 282:G586–G597. 2002.PubMed/NCBI

23 

Rahman MA, Dhar DK, Yamaguchi E, et al: Coexpression of inducible nitric oxide synthase and COX-2 in hepatocellular carcinoma and surrounding liver: possible involvement of COX-2 in the angiogenesis of hepatitis C virus-positive cases. Clin Cancer Res. 7:1325–1332. 2001.

24 

Li T, Zhu Y, Ren W, et al: High co-expression of vascular endothelial growth factor receptor-1 and Snail is associated with poor prognosis after curative resection of hepatocellular carcinoma. Med Oncol. 29:2750–2761. 2012. View Article : Google Scholar : PubMed/NCBI

25 

Tang TC, Poon RT, Lau CP, Xie D and Fan ST: Tumor cyclooxygenase-2 levels correlate with tumor invasiveness in human hepatocellular carcinoma. World J Gastroenterol. 11:1896–1902. 2005. View Article : Google Scholar : PubMed/NCBI

26 

Koga H: Hepatocellular carcinoma: is there a potential for chemoprevention using cyclooxygenase-2 inhibitors? Cancer. 98:661–667. 2003. View Article : Google Scholar : PubMed/NCBI

27 

Bai XM, Jiang H, Ding JX, et al: Prostaglandin E2 upregulates survivin expression via the EP1 receptor in hepatocellular carcinoma cells. Life Sci. 86:214–223. 2009.

28 

Ma J, Chen M, Xia SK, et al: Prostaglandin E2 promotes liver cancer cell growth by the upregulation of FUSE-binding protein 1 expression. Int J Oncol. 42:1093–1104. 2013.

29 

Mayoral R, Fernandez-Martinez A, Bosca L and Martin-Sanz P: Prostaglandin E2 promotes migration and adhesion in hepatocellular carcinoma cells. Carcinogenesis. 26:753–761. 2005.PubMed/NCBI

30 

Sheng H, Shao J, Washington MK and DuBois RN: Prostaglandin E2 increases growth and motility of colorectal carcinoma cells. J Biol Chem. 276:18075–18081. 2001.PubMed/NCBI

31 

Breyer MD and Breyer RM: G protein-coupled prostanoid receptors and the kidney. Annu Rev Physiol. 63:579–605. 2001. View Article : Google Scholar : PubMed/NCBI

32 

Boie Y, Stocco R, Sawyer N, et al: Molecular cloning and characterization of the four rat prostaglandin E2 prostanoid receptor subtypes. Eur J Pharmacol. 340:227–241. 1997. View Article : Google Scholar : PubMed/NCBI

33 

Regan JW: EP2 and EP4 prostanoid receptor signaling. Life Sci. 74:143–153. 2003.

34 

Sanchez-Tillo E, Liu Y, de Barrios O, et al: EMT-activating transcription factors in cancer: beyond EMT and tumor invasiveness. Cell Mol Life Sci. 69:3429–3456. 2012. View Article : Google Scholar : PubMed/NCBI

35 

Blechschmidt K, Kremmer E, Hollweck R, et al: The E-cadherin repressor snail plays a role in tumor progression of endometrioid adenocarcinomas. Diagn Mol Pathol. 16:222–228. 2007. View Article : Google Scholar : PubMed/NCBI

36 

Guaita S, Puig I, Franci C, et al: Snail induction of epithelial to mesenchymal transition in tumor cells is accompanied by MUC1 repression and ZEB1 expression. J Biol Chem. 277:39209–39216. 2002. View Article : Google Scholar : PubMed/NCBI

37 

Miyoshi A, Kitajima Y, Sumi K, et al: Snail and SIP1 increase cancer invasion by upregulating MMP family in hepatocellular carcinoma cells. Br J Cancer. 90:1265–1273. 2004. View Article : Google Scholar : PubMed/NCBI

38 

Miyoshi A, Kitajima Y, Kido S, et al: Snail accelerates cancer invasion by upregulating MMP expression and is associated with poor prognosis of hepatocellular carcinoma. Br J Cancer. 92:252–258. 2005.PubMed/NCBI

39 

Mikami S, Katsube K, Oya M, et al: Expression of Snail and Slug in renal cell carcinoma: E-cadherin repressor Snail is associated with cancer invasion and prognosis. Lab Invest. 91:1443–1458. 2011. View Article : Google Scholar : PubMed/NCBI

40 

Dohadwala M, Yang SC, Luo J, et al: Cyclooxygenase-2-dependent regulation of E-cadherin: prostaglandin E2 induces transcriptional repressors ZEB1 and snail in non-small cell lung cancer. Cancer Res. 66:5338–5345. 2006. View Article : Google Scholar : PubMed/NCBI

41 

Kuo KT, Wang HW, Chou TY, et al: Prognostic role of PGE2 receptor EP2 in esophageal squamous cell carcinoma. Ann Surg Oncol. 16:352–360. 2009. View Article : Google Scholar : PubMed/NCBI

42 

Buchanan FG and DuBois RN: Emerging roles of β-arrestins. Cell Cycle. 5:2060–2063. 2006.

43 

Fischer OM, Hart S, Gschwind A and Ullrich A: EGFR signal transactivation in cancer cells. Biochem Soc Trans. 31:1203–1208. 2003. View Article : Google Scholar : PubMed/NCBI

44 

Hipp S, Walch A, Schuster T, et al: Activation of epidermal growth factor receptor results in snail protein but not mRNA overexpression in endometrial cancer. J Cell Mol Med. 13:3858–3867. 2009. View Article : Google Scholar : PubMed/NCBI

45 

Yun SP, Ryu JM, Jang MW and Han HJ: Interaction of profilin-1 and F-actin via a β-arrestin-1/JNK signaling pathway involved in prostaglandin E2-induced human mesenchymal stem cells migration and proliferation. J Cell Physiol. 226:559–571. 2010.

46 

Donnini S, Finetti F, Solito R, et al: EP2 prostanoid receptor promotes squamous cell carcinoma growth through epidermal growth factor receptor transactivation and iNOS and ERK1/2 pathways. FASEB J. 21:2418–2430. 2007. View Article : Google Scholar

47 

Chun KS, Lao HC, Trempus CS, Okada M and Langenbach R: The prostaglandin receptor EP2 activates multiple signaling pathways and β-arrestin1 complex formation during mouse skin papilloma development. Carcinogenesis. 30:1620–1627. 2009.

48 

Ayuso-Sacido A, Moliterno JA, Kratovac S, et al: Activated EGFR signaling increases proliferation, survival, and migration and blocks neuronal differentiation in post-natal neural stem cells. J Neurooncol. 97:323–337. 2009. View Article : Google Scholar : PubMed/NCBI

49 

Glaysher S, Bolton LM, Johnson P, et al: Targeting EGFR and PI3K pathways in ovarian cancer. Br J Cancer. 109:1786–1794. 2013. View Article : Google Scholar : PubMed/NCBI

50 

Leng J, Han C, Demetris AJ, Michalopoulos GK and Wu T: Cyclooxygenase-2 promotes hepatocellular carcinoma cell growth through Akt activation: evidence for Akt inhibition in celecoxib-induced apoptosis. Hepatology. 38:756–768. 2003. View Article : Google Scholar : PubMed/NCBI

51 

Ogunwobi OO, Wang T, Zhang L and Liu C: Cyclooxygenase-2 and Akt mediate multiple growth-factor-induced epithelial-mesenchymal transition in human hepatocellular carcinoma. J Gastroenterol Hepatol. 27:566–578. 2011. View Article : Google Scholar

52 

Park MK, Kang YJ, Ha YM, et al: EP2 receptor activation by prostaglandin E2 leads to induction of HO-1 via PKA and PI3K pathways in C6 cells. Biochem Biophys Res Commun. 379:1043–1047. 2009.PubMed/NCBI

53 

Fresno Vara JA, Casado E, de Castro J, Cejas P, Belda-Iniesta C and Gonzalez-Baron M: PI3K/Akt signalling pathway and cancer. Cancer Treat Rev. 30:193–204. 2004.PubMed/NCBI

54 

Lau MT and Leung PC: The PI3K/Akt/mTOR signaling pathway mediates insulin-like growth factor 1-induced E-cadherin down-regulation and cell proliferation in ovarian cancer cells. Cancer Lett. 326:191–198. 2012. View Article : Google Scholar : PubMed/NCBI

55 

Hung CM, Garcia-Haro L, Sparks CA and Guertin DA: mTOR-dependent cell survival mechanisms. Cold Spring Harb Perspect Biol. 4:a0087712012.PubMed/NCBI

56 

Garcia-Maceira P and Mateo J: Silibinin inhibits hypoxia-inducible factor-1α and mTOR/p70S6K/4E-BP1 signalling pathway in human cervical and hepatoma cancer cells: implications for anticancer therapy. Oncogene. 28:313–324. 2009.

57 

Vivanco I and Sawyers CL: The phosphatidylinositol 3-Kinase AKT pathway in human cancer. Nat Rev Cancer. 2:489–501. 2002. View Article : Google Scholar : PubMed/NCBI

Related Articles

  • Abstract
  • View
  • Download
  • Twitter
Copy and paste a formatted citation
Spandidos Publications style
Cheng S, Zhang H, Zhang M, Xia S, Bai XM, Zhang L, Ma J, Rong R, Wang Y, Du M, Du M, et al: Prostaglandin E2 receptor EP2 mediates Snail expression in hepatocellular carcinoma cells. Oncol Rep 31: 2099-2106, 2014.
APA
Cheng, S., Zhang, H., Zhang, M., Xia, S., Bai, X., Zhang, L. ... Leng, J. (2014). Prostaglandin E2 receptor EP2 mediates Snail expression in hepatocellular carcinoma cells. Oncology Reports, 31, 2099-2106. https://doi.org/10.3892/or.2014.3074
MLA
Cheng, S., Zhang, H., Zhang, M., Xia, S., Bai, X., Zhang, L., Ma, J., Rong, R., Wang, Y., Du, M., Wang, J., Chen, M., Shi, F., Yang, Q., Leng, J."Prostaglandin E2 receptor EP2 mediates Snail expression in hepatocellular carcinoma cells". Oncology Reports 31.5 (2014): 2099-2106.
Chicago
Cheng, S., Zhang, H., Zhang, M., Xia, S., Bai, X., Zhang, L., Ma, J., Rong, R., Wang, Y., Du, M., Wang, J., Chen, M., Shi, F., Yang, Q., Leng, J."Prostaglandin E2 receptor EP2 mediates Snail expression in hepatocellular carcinoma cells". Oncology Reports 31, no. 5 (2014): 2099-2106. https://doi.org/10.3892/or.2014.3074
Copy and paste a formatted citation
x
Spandidos Publications style
Cheng S, Zhang H, Zhang M, Xia S, Bai XM, Zhang L, Ma J, Rong R, Wang Y, Du M, Du M, et al: Prostaglandin E2 receptor EP2 mediates Snail expression in hepatocellular carcinoma cells. Oncol Rep 31: 2099-2106, 2014.
APA
Cheng, S., Zhang, H., Zhang, M., Xia, S., Bai, X., Zhang, L. ... Leng, J. (2014). Prostaglandin E2 receptor EP2 mediates Snail expression in hepatocellular carcinoma cells. Oncology Reports, 31, 2099-2106. https://doi.org/10.3892/or.2014.3074
MLA
Cheng, S., Zhang, H., Zhang, M., Xia, S., Bai, X., Zhang, L., Ma, J., Rong, R., Wang, Y., Du, M., Wang, J., Chen, M., Shi, F., Yang, Q., Leng, J."Prostaglandin E2 receptor EP2 mediates Snail expression in hepatocellular carcinoma cells". Oncology Reports 31.5 (2014): 2099-2106.
Chicago
Cheng, S., Zhang, H., Zhang, M., Xia, S., Bai, X., Zhang, L., Ma, J., Rong, R., Wang, Y., Du, M., Wang, J., Chen, M., Shi, F., Yang, Q., Leng, J."Prostaglandin E2 receptor EP2 mediates Snail expression in hepatocellular carcinoma cells". Oncology Reports 31, no. 5 (2014): 2099-2106. https://doi.org/10.3892/or.2014.3074
Follow us
  • Twitter
  • LinkedIn
  • Facebook
About
  • Spandidos Publications
  • Careers
  • Cookie Policy
  • Privacy Policy
How can we help?
  • Help
  • Live Chat
  • Contact
  • Email to our Support Team