Spandidos Publications Logo
  • About
    • About Spandidos
    • Aims and Scopes
    • Abstracting and Indexing
    • Editorial Policies
    • Reprints and Permissions
    • Job Opportunities
    • Terms and Conditions
    • Contact
  • Journals
    • All Journals
    • Oncology Letters
      • Oncology Letters
      • Information for Authors
      • Editorial Policies
      • Editorial Board
      • Aims and Scope
      • Abstracting and Indexing
      • Bibliographic Information
      • Archive
    • International Journal of Oncology
      • International Journal of Oncology
      • Information for Authors
      • Editorial Policies
      • Editorial Board
      • Aims and Scope
      • Abstracting and Indexing
      • Bibliographic Information
      • Archive
    • Molecular and Clinical Oncology
      • Molecular and Clinical Oncology
      • Information for Authors
      • Editorial Policies
      • Editorial Board
      • Aims and Scope
      • Abstracting and Indexing
      • Bibliographic Information
      • Archive
    • Experimental and Therapeutic Medicine
      • Experimental and Therapeutic Medicine
      • Information for Authors
      • Editorial Policies
      • Editorial Board
      • Aims and Scope
      • Abstracting and Indexing
      • Bibliographic Information
      • Archive
    • International Journal of Molecular Medicine
      • International Journal of Molecular Medicine
      • Information for Authors
      • Editorial Policies
      • Editorial Board
      • Aims and Scope
      • Abstracting and Indexing
      • Bibliographic Information
      • Archive
    • Biomedical Reports
      • Biomedical Reports
      • Information for Authors
      • Editorial Policies
      • Editorial Board
      • Aims and Scope
      • Abstracting and Indexing
      • Bibliographic Information
      • Archive
    • Oncology Reports
      • Oncology Reports
      • Information for Authors
      • Editorial Policies
      • Editorial Board
      • Aims and Scope
      • Abstracting and Indexing
      • Bibliographic Information
      • Archive
    • Molecular Medicine Reports
      • Molecular Medicine Reports
      • Information for Authors
      • Editorial Policies
      • Editorial Board
      • Aims and Scope
      • Abstracting and Indexing
      • Bibliographic Information
      • Archive
    • World Academy of Sciences Journal
      • World Academy of Sciences Journal
      • Information for Authors
      • Editorial Policies
      • Editorial Board
      • Aims and Scope
      • Abstracting and Indexing
      • Bibliographic Information
      • Archive
    • International Journal of Functional Nutrition
      • International Journal of Functional Nutrition
      • Information for Authors
      • Editorial Policies
      • Editorial Board
      • Aims and Scope
      • Abstracting and Indexing
      • Bibliographic Information
      • Archive
    • International Journal of Epigenetics
      • International Journal of Epigenetics
      • Information for Authors
      • Editorial Policies
      • Editorial Board
      • Aims and Scope
      • Abstracting and Indexing
      • Bibliographic Information
      • Archive
    • Medicine International
      • Medicine International
      • Information for Authors
      • Editorial Policies
      • Editorial Board
      • Aims and Scope
      • Abstracting and Indexing
      • Bibliographic Information
      • Archive
  • Articles
  • Information
    • Information for Authors
    • Information for Reviewers
    • Information for Librarians
    • Information for Advertisers
    • Conferences
  • Language Editing
Spandidos Publications Logo
  • About
    • About Spandidos
    • Aims and Scopes
    • Abstracting and Indexing
    • Editorial Policies
    • Reprints and Permissions
    • Job Opportunities
    • Terms and Conditions
    • Contact
  • Journals
    • All Journals
    • Biomedical Reports
      • Information for Authors
      • Editorial Policies
      • Editorial Board
      • Aims and Scope
      • Abstracting and Indexing
      • Bibliographic Information
      • Archive
    • Experimental and Therapeutic Medicine
      • Information for Authors
      • Editorial Policies
      • Editorial Board
      • Aims and Scope
      • Abstracting and Indexing
      • Bibliographic Information
      • Archive
    • International Journal of Epigenetics
      • Information for Authors
      • Editorial Policies
      • Editorial Board
      • Aims and Scope
      • Abstracting and Indexing
      • Bibliographic Information
      • Archive
    • International Journal of Functional Nutrition
      • Information for Authors
      • Editorial Policies
      • Editorial Board
      • Aims and Scope
      • Abstracting and Indexing
      • Bibliographic Information
      • Archive
    • International Journal of Molecular Medicine
      • Information for Authors
      • Editorial Policies
      • Editorial Board
      • Aims and Scope
      • Abstracting and Indexing
      • Bibliographic Information
      • Archive
    • International Journal of Oncology
      • Information for Authors
      • Editorial Policies
      • Editorial Board
      • Aims and Scope
      • Abstracting and Indexing
      • Bibliographic Information
      • Archive
    • Medicine International
      • Information for Authors
      • Editorial Policies
      • Editorial Board
      • Aims and Scope
      • Abstracting and Indexing
      • Bibliographic Information
      • Archive
    • Molecular and Clinical Oncology
      • Information for Authors
      • Editorial Policies
      • Editorial Board
      • Aims and Scope
      • Abstracting and Indexing
      • Bibliographic Information
      • Archive
    • Molecular Medicine Reports
      • Information for Authors
      • Editorial Policies
      • Editorial Board
      • Aims and Scope
      • Abstracting and Indexing
      • Bibliographic Information
      • Archive
    • Oncology Letters
      • Information for Authors
      • Editorial Policies
      • Editorial Board
      • Aims and Scope
      • Abstracting and Indexing
      • Bibliographic Information
      • Archive
    • Oncology Reports
      • Information for Authors
      • Editorial Policies
      • Editorial Board
      • Aims and Scope
      • Abstracting and Indexing
      • Bibliographic Information
      • Archive
    • World Academy of Sciences Journal
      • Information for Authors
      • Editorial Policies
      • Editorial Board
      • Aims and Scope
      • Abstracting and Indexing
      • Bibliographic Information
      • Archive
  • Articles
  • Information
    • For Authors
    • For Reviewers
    • For Librarians
    • For Advertisers
    • Conferences
  • Language Editing
Login Register Submit
  • This site uses cookies
  • You can change your cookie settings at any time by following the instructions in our Cookie Policy. To find out more, you may read our Privacy Policy.

    I agree
Search articles by DOI, keyword, author or affiliation
Search
Advanced Search
presentation
International Journal of Molecular Medicine
Join Editorial Board Propose a Special Issue
Print ISSN: 1107-3756 Online ISSN: 1791-244X
Journal Cover
March-2018 Volume 41 Issue 3

Full Size Image

Sign up for eToc alerts
Recommend to Library

Journals

International Journal of Molecular Medicine

International Journal of Molecular Medicine

International Journal of Molecular Medicine is an international journal devoted to molecular mechanisms of human disease.

International Journal of Oncology

International Journal of Oncology

International Journal of Oncology is an international journal devoted to oncology research and cancer treatment.

Molecular Medicine Reports

Molecular Medicine Reports

Covers molecular medicine topics such as pharmacology, pathology, genetics, neuroscience, infectious diseases, molecular cardiology, and molecular surgery.

Oncology Reports

Oncology Reports

Oncology Reports is an international journal devoted to fundamental and applied research in Oncology.

Experimental and Therapeutic Medicine

Experimental and Therapeutic Medicine

Experimental and Therapeutic Medicine is an international journal devoted to laboratory and clinical medicine.

Oncology Letters

Oncology Letters

Oncology Letters is an international journal devoted to Experimental and Clinical Oncology.

Biomedical Reports

Biomedical Reports

Explores a wide range of biological and medical fields, including pharmacology, genetics, microbiology, neuroscience, and molecular cardiology.

Molecular and Clinical Oncology

Molecular and Clinical Oncology

International journal addressing all aspects of oncology research, from tumorigenesis and oncogenes to chemotherapy and metastasis.

World Academy of Sciences Journal

World Academy of Sciences Journal

Multidisciplinary open-access journal spanning biochemistry, genetics, neuroscience, environmental health, and synthetic biology.

International Journal of Functional Nutrition

International Journal of Functional Nutrition

Open-access journal combining biochemistry, pharmacology, immunology, and genetics to advance health through functional nutrition.

International Journal of Epigenetics

International Journal of Epigenetics

Publishes open-access research on using epigenetics to advance understanding and treatment of human disease.

Medicine International

Medicine International

An International Open Access Journal Devoted to General Medicine.

Journal Cover
March-2018 Volume 41 Issue 3

Full Size Image

Sign up for eToc alerts
Recommend to Library

  • Article
  • Citations
    • Cite This Article
    • Download Citation
    • Create Citation Alert
    • Remove Citation Alert
    • Cited By
  • Similar Articles
    • Related Articles (in Spandidos Publications)
    • Similar Articles (Google Scholar)
    • Similar Articles (PubMed)
  • Download PDF
  • Download XML
  • View XML
Article

Arcuate nucleus neurons are not essential for the preprandial peak in plasma ghrelin after neonatal monosodium glutamate treatment

  • Authors:
    • Qing‑Chun Li
    • Qing‑Feng Li
    • Yan‑Lin Wang
    • Hong‑Liang Sun
    • Zheng‑Yao Jiang
  • View Affiliations / Copyright

    Affiliations: Department of Reproductive Medicine, The Affiliated Hospital of Binzhou Medical University, Binzhou, Shandong 256603, P.R. China, Smart Division Gas, Qingdao iESLab Electronic Co., Ltd., Qingdao 266071, P.R. China, Department of Physiology, Qingdao University Medical College, Qingdao, Shandong 266071, P.R. China
  • Pages: 1635-1642
    |
    Published online on: January 5, 2018
       https://doi.org/10.3892/ijmm.2018.3365
  • Expand metrics +
Metrics: Total Views: 0 (Spandidos Publications: | PMC Statistics: )
Metrics: Total PDF Downloads: 0 (Spandidos Publications: | PMC Statistics: )
Cited By (CrossRef): 0 citations Loading Articles...

This article is mentioned in:



Abstract

The aim of the present study was to determine whether arcuate nucleus (ARC) lesions affect the ghrelin level in the plasma and the stomach in monosodium glutamate (MSG)‑treated mice. The aim of the present study was to investigate whether the ARC was destroyed in mice treated neonatally with MSG, and whether the ARC lesions affect the ghrelin level in the plasma and lipid mobilization in MSG‑treated mice. The results revealed that MSG led to a marked reduction in ARC cresyl violet staining, tyrosine hydroxylase-immunoreactive (IR) neurons and neuropeptide Y‑IR fibers, compared with saline controls. MSG‑treated mice exhibited significantly increased body mass compared with saline controls, and MSG treatment did not prevent food deprivation‑induced decrease in white adipose tissue mass compared with controls. Plasma ghrelin levels were significantly increased in MSG‑treated mice that were fasted for 48 h, compared with the levels prior to fasting and re‑feeding, and the preprandial peak of plasma ghrelin persisted in MSG‑treated mice. In summary, the ARC was not found to be essential for food deprivation‑induced lipid mobilization and preprandial peak in MSG‑treated mice. However, this finding does not mean that ARC neurons do not contribute to food sensing and lipid mobilization under normal conditions, as compensatory mechanisms may have emerged after the ablation of ARC neurons.

Introduction

Ghrelin was first identified in 1999 by Kojima et al as the endogenous ligand of the long-known growth hormone secretagogue receptor 1a (GHS-R1a) isoform (1). Ghrelin-positive X/A-like cells distributed throughout the gastric oxyntic mucosa (2,3) are the main source of circulating ghrelin (4), as demonstrated by the sharp decline in ghrelin levels following gastrectomy (5). Ghrelin has been also been detected in the central nervous system in the arcuate nucleus (ARC) of the hypothalamus (6), as well as in neurons adjacent to the third ventricle (7). The ARC is strongly implicated in the regulation of food intake. Ghrelin-containing neurons in the ARC send projections to neuropeptide Y (NPY) and agouti-related peptide (AgRP)-positive neurons (8). NPY and AgRP are orexigenic neuropeptides and are regulated by ghrelin (9). The peripheral injection of ghrelin was found to selectively activate NPY-containing neurons in the ARC in mice (10). Similarly, the intracerebroventricular (ICV) administration of ghrelin activates NPY/AgRP-expressing neurons and stimulates the expression of NPY and AgRP mRNA in the ARC (11). Total ghrelin levels are inversely correlated with the body mass index, as they increase in anorexic and cachectic patients and decrease under conditions of obesity (12). In humans and other mammals, ghrelin levels increase before meals, and decline rapidly postprandially (13,14). The postprandial suppression of plasma ghrelin has been considerably more extensively investigated compared with the preprandial peak. Although the physiological importance of this event remains unclear, the suppression of this orexigenic hormone may play a role in the satiating effect of ingested nutrients (15). Furthermore, the brain mechanism underlying the preprandial peak of plasma ghrelin remains unknown. ARC neurons are destroyed by neonatal administration of monosodium glutamate (MSG). The destruction of the ARC by neonatal administration of MSG leads to a significant decrease in the number of ARC neurons (16). This is an effect attributed to the underdeveloped blood-brain barrier (BBB) in this area, allowing MSG to penetrate the brain (16,17). Other areas with a weak BBB were destroyed by neonatal MSG administration, including the area postrema (AP) (16,18). One of the most notable effects of neonatal MSG treatment is obesity in adult mice (16) and rats (19). The aim of the present study was to test whether ARC lesions affect the ghrelin level in the plasma and stomach in MSG-treated mice.

Materials and methods

Animals

All animal experiments (total number of animals, 58) were conducted in accordance with the guidelines for animal care of Qingdao University. A total of 33 neonatal Kunming mice (obtained from the Laboratory Animal Center of Shandong University of Traditional Chinese Medicine; license: SCXK Lu 20050015) were subcutaneously injected into the dorsal dermis area, just below the interscapular region on days 1, 3, 5, 7 and 9 after birth with 10 μl MSG (Sigma-Aldrich; Merck KGaA, St. Louis, MO, USA) to deliver 4 mg/g (body mass), or with equivalent volumes of 0.9% saline. A 24.2% death rate occurred in MSG-treated pups, while there were no deaths among the 25 pups injected with saline. However, 6 animals (3 treated with MSG and 3 with saline) were excluded from the analysis, as their body mass index was low and >2 standard deviations from the mean. Finally, 22 animals were treated with MSG (10 male and 12 female) and 22 with saline (10 male and 12 female). At 4 weeks of age, the pups were weaned, bred and housed in groups according to treatment. The mice were housed in air-conditioned animal quarters, with lights on from 8:00 a.m. to 9:00 p.m., and were provided with food and water ad libitum.

Food deprivation, serum and tissue harvesting

Food intake was measured weekly after weaning. At 12 weeks of age, food was discontinued; in addition, the beddings were removed and replaced with new beddings. In order to measure the response to fasting, mice (n=8 per group) were provided with water (but no food) for 48 h. After fasting, food was provided. The body mass index was measured before and after food deprivation. Before fasting, at 48 h of fasting and after re-feeding, the animals were lightly anesthetized with diethyl ether and an orbital blood sample was collected for the measurement of serum ghrelin. Blood was collected into EDTA tubes containing 500 KIU of aprotinin, centrifuged at 4°C for 15 min at 1,500 × g, and the separated serum was stored at −80°C until use. All samples obtained from each subject were run in duplicate in the same assay. A commercially available mouse ghrelin EIA kit (Phoenix Pharmaceuticals, Belmont, CA, USA) was used. The sensitivity of the assay was 0.07 ng/ml. The intra- and inter-assay error was 5-10% and <15%, respectively. The remaining animals were divided into the before fasting (MSG, n=7; saline, n=7) and fasting for 48 h (MSG, n=7; saline, n=7) groups. The mice were deeply anesthetized with a lethal dose of pentobarbital (30 mg/kg, i.p.) before fasting or after fasting for 48 h. Then, the stomachs and brains were quickly removed and rinsed with double-distilled water. The stomach was deep-frozen in liquid nitrogen for reverse transcription (RT)-polymerase chain reaction or western blot analysis. The bilateral inguinal white adipose tissue (IWAT), bilateral retroperitoneal WAT (RWAT), bilateral gonadal WAT (GWAT) and interscapular brown adipose tissue depots were quickly removed and weighed.

Perfusions and immunohistochemistry

The animals were perfused with 25 ml isotonic saline, followed by 25 ml 4% paraformaldehyde in 0.01 M phosphate-buffered saline (PBS) solution (pH 7.2). The brains were quickly dissected out and stored in 4% paraformaldehyde, then transferred to 20% sucrose (0.1% sodium azide) for 24 h and 30% sucrose (0.1% sodium azide) for 48 h. The brains were embedded in optimal cutting temperature compound (Sakura Finetek USA, Inc., Torrance, CA, USA) and sectioned in the coronal plane on a freezing microtome (Kryostat 1720; Leica, Mannheim, Germany) at a thickness of 20 μm. Brain sections were stored in an ultra-cold freezer at −40°C for immunohistochemistry staining.

For immunohistochemistry staining, the sections were first rinsed with distilled water and immersed in PBS for 5 min. Next, the sections were treated with a solution containing 3% H2O2 (V/V) and 0.5% Triton X-100 in 0.01 M PBS for 30 min to block endogenous peroxidase activity. Subsequently, the sections were treated with PBS containing 10% normal goat serum for 30 min to prevent non-specific binding of secondary antibodies, followed by incubation overnight at 4°C with primary antibodies: Rabbit anti-NPY (dilution, 1:6,000; N9528), and mouse anti-tyrosine hydroxylase (TH; dilution, 1:4,000; T1299) (both from Sigma-Aldrich; Merck KGaA). The sections were next rinsed with PBS three times and incubated for 30 min at room temperature with biotin-conjugated secondary antibodies: Goat anti-mouse (TH; dilution, 1:500; sc-2039) and goat anti-rabbit (NPY; dilution, 1:500; sc-2040) (both from Santa Cruz Biotechnology, Inc., Santa Cruz, CA, USA). Subsequently, the sections were rinsed with PBS three times and immersed in a horseradish peroxidase-conjugated streptavidin complex for 30 min at room temperature, then rinsed again with PBS three times. The immunoreaction was visualized by DAB staining (DAB substrate kit; Zhongshan Golden Bridge Biotechnology Co., Ltd., Beijing, China) for 5 min and observed under an Olympus BX50 microscope (Olympus Corporation, Tokyo, Japan). The reaction was terminated by rinsing the sections with distilled water. The sections were covered by neutral balata after counterstaining and dehydration. Negative controls were determined by omission of the primary antibody. Three representative sections of ARC or AP were selected from each mouse. In each section, an area within the ARC or AP was selected for counting TH- or NPY-positive neurons and optical density analysis. The amount and mean optical density of TH- or NPY-IR fiber staining, as well as Nissl staining, were obtained using an Olympus BX50 microscope (Olympus Corporation); these were analyzed using image analysis software (Compix, Inc., Arizona, USA).

RT of extracted tissue RNA

Total RNA was extracted from the stomach tissues (~200 mg) of each mouse using TRIzol reagent, according to the manufacturer's instructions. RT was performed using the AMV Reverse Transcriptase system (Promega Corp., Madison, WI, USA). The ghrelin cDNA fragment (108 bp) was amplified with the following primers: Forward, 5′-TCAGGAGCTCAGTATCAGCAGCA-3′ and reverse, 5′-GCCTGTCCGTGGTTACTTGTCA-3′; β-actin (171 bp) was amplified with the following primers: Forward, 5′-CATCCGTAAAGACCTCTATGCCAAC-3′ and reverse, 5′-ATGGAGCCACCGATCCACA-3′. The DNA was immediately amplified with a single cycle at 94°C for 5 min, followed by 30 cycles at 94°C for 30 sec, 58°C for 30 sec and 72°C for 30 sec; and a final extension step was performed at 72°C for 10 min. Ethidium bromide stained gels were scanned and qualified using Tanon Image Software (Tanon 1600R; Tanon, Shanghai, China). Ghrelin mRNA levels were expressed as ratios to β-actin mRNA.

Western blot analysis

Western blot analysis was performed to detect the expression of proghrelin peptide in mouse gastric tissues. Tissue protein was extracted in lysis buffer (50 mmol/l Tris-HCl, 150 mmol/l NaCl, 1% Nonidet P-40, 0.5% sodium deoxycholate, 1 mmol/l EDTA and 1 mmol/l PMSF) with protease inhibitors (1 mg/ml pepstatin, 1 mg/ml aprotinin and 1 mg/ml leupeptin). Protein concentration was determined using the Bradford assay kit (Bio-Rad Laboratories, Hercules, CA, USA). Protein (20 μg) was boiled for 10 min in 4X loading buffer (250 mM Tris-Cl [pH 6.8], 2% sodium dodecyl sulfate, 10% glycerol, 20 mM dithiothreitol and 0.01% bromophenol blue), electrophoresed on 10% SDS-PAGE gels, and transferred by electroblotting onto nitrocellulose membranes. Following overnight blocking with 4% non-fat milk at 4°C, the membranes were incubated with rabbit anti-ghrelin antibody (1:5,000; Phoenix Pharmaceuticals) and rabbit anti-β-actin (1:1,000; bs-0061R; BIOSS, Beijing, China) for 2 h at room temperature. After washing in Tris-buffered saline/Tween-20, the membranes were incubated with an anti-rabbit secondary antibody conjugated to horseradish peroxidase (1:10,000; sc-2040; Santa Cruz Biotechnology, Inc.) for 1 h at room temperature. Cross-reactivity was visualized using ECL western blot analysis detection reagents, and analyzed through scanning densitometry by the Tanon Image system. Proghrelin levels were expressed as ratios to β-actin.

Statistical analysis

Values are expressed as mean ± standard error of mean. Data were analyzed using two-way analysis of variance (ANOVA) [2×2: treatment (MSG/saline) × food deprivation/non-food deprivation group] with Bonferroni post hoc tests, when appropriate. Food intake was analyzed by using repeated measures ANOVA (MSG/saline) with Bonferroni post hoc tests. The remaining data were all analyzed by one-way ANOVA. P<0.05 was considered to indicate statistically significant differences. Statistical analyses were performed using SPSS for Windows, version 16.0 (SPSS, Inc., Chicago, IL, USA).

Results

Effects of MSG on ARC and AP neuroanatomy

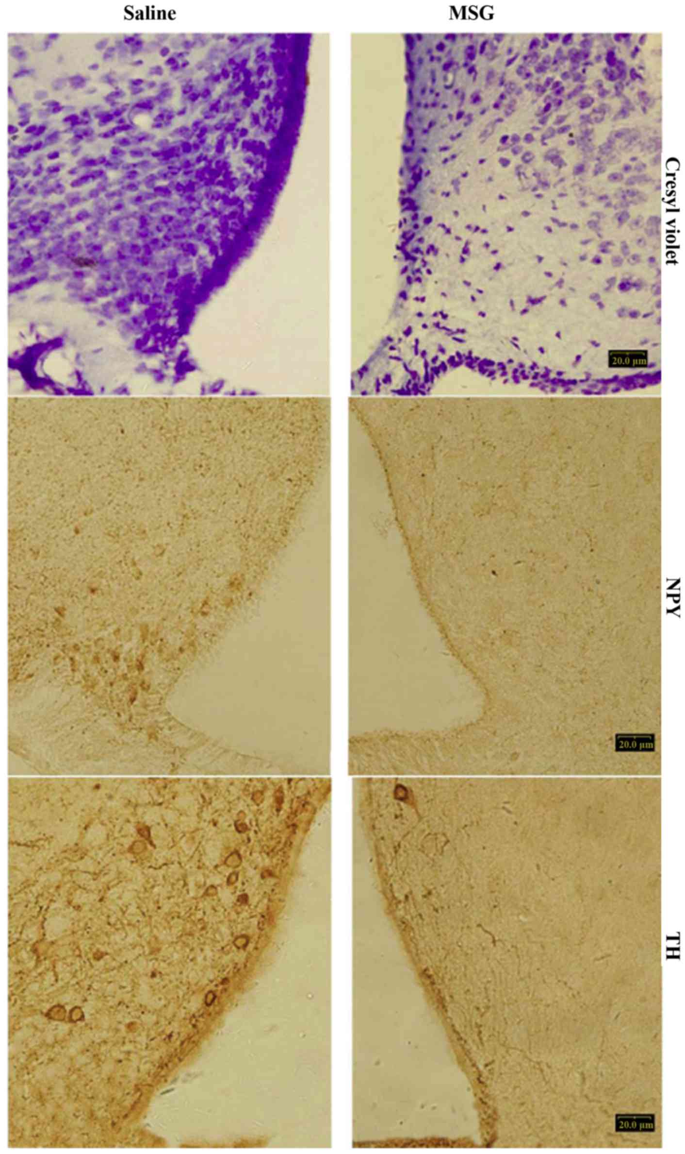
Compared with saline controls, MSG-treated mice exhibited significantly decreased cresyl violet (Nissl) staining (Fig. 1), NPY-IR cells and fibers (Figs. 1, 2A and B), and TH-positive cells (Figs. 1 and 2C) in the ARC (P<0.01). Furthermore, TH-positive cells were significantly reduced in the AP of MSG-treated mice (P<0.01, Fig. 3).

Figure 1

Photomicrographs of representative immunohistochemistry staining of the ARC in MSG (right)- and saline (left)-treated mice. There was a significant reduction in all histological measures, namely cresyl echt violet, NPY and TH (P<0.01). Bar, 20 μm. MSG, monosodium glutamate; ARC, arcuate nucleus; TH, tyrosine hydroxylase; NPY, neuropeptide Y.

Figure 2

Relative optical density and the cell counts in ARC of MSG- and saline-treated mice. (A) Relative optical density of Nissl staining (cresyl violet) of the ARC in neonatally MSG- vs. saline-treated mice in adult life. Values are presented as means ± SEM. (B) Relative optical density of NPY-immunoreactive (IR) fibers of the ARC in neonatally MSG- vs. saline-treated mice in adult life. Values are presented as means ± SEM. (C) Counts of TH-IR cells of the ARC in neonatally MSG- vs. saline-treated mice in adult life. Values are presented as means ± SEM. ★P<0.01, MSG vs. saline. NPY, neuropeptide Y; TH, tyrosine hydroxylase; ARC, arcuate nucleus; AP, area postrema; MSG, monosodium glutamate; SEM, standard error of mean.

Figure 3

Photomicrographs and cell counts of representative IHC of TH cells in the AP of MSG- and saline-treated mice. TH-positive cells were significantly decreased in MSG- vs. saline-treated mice (★P<0.01). Bar, 20 μm. AP, area postrema; TH, tyrosine hydroxylase; IHC, immunohistochemistry; MSG, monosodium glutamate. Cc, central canal.

Body and WAT pad masses, and food intake

Body mass index was significantly increased in MSG-treated 3-month-old mice (P<0.01) compared with saline controls (Fig. 4), but the difference in food intake from 1- to 3-month-old mice between the two groups was not statistically significant (Fig. 5).

Figure 4

Body mass of MSG- and saline-treated mice. Values represent means ± standard error of the mean. #P<0.01, MSG vs. saline. ★P<0.05 food deprivation effect within each group. MSG, monosodium glutamate.

Figure 5

Weekly food intake of MSG- and saline-treated mice after weaning prior to food deprivation. Values represent means ± standard error of the mean. There was no significant difference in food intake from 1 to 3 months of age between the two groups. MSG, monosodium glutamate.

Compared with saline controls, the WAT pad mass was significantly increased in MSG-treated mice for all depots assayed (IWAT, RWAT, and GWAT; P<0.01; Fig. 7), as well as the total dissected WAT (P<0.01, Fig. 6). Both MSG- and saline-treated animals exhibited significant food deprivation-induced decreases in the three depots (IWAT, RWAT and GWAT; P<0.05), compared with their respective ad libitum fed counterparts (Fig. 7). As all depot assayed masses (IWAT, RWAT and GWAT) decreased (Figs. 6 and 7), neonatal MSG administration did not prevent food deprivation-induced lipid mobilization.

Figure 7

Fat pad mass of individual WAT in MSG- and saline-treated mice. Values represent means ± standard error of the mean. All WAT masses were significantly increased in MSG- vs. saline-treated mice. Only the bilateral inguinal WAT (IWAT) and bilateral retroperitoneal WAT (RWAT) masses were decreased by fasting, and this was observed in both MSG- and saline-treated mice. #P<0.01, MSG vs. saline; treatment effect. ★P<0.05, food deprivation effect within groups. WAT, white adipose tissue; GWAT, gonadal WAT; BAT, interscapular brown adipose tissue; MSG, monosodium glutamate.

Figure 6

Total dissectible WAT mass of MSG- and saline-treated mice. Values represent means ± standard error of the mean. Fat mobilization occurred in both MSG- and saline-treated mice during fasting. #P<0.01, MSG vs. saline. ★P<0.05, food deprivation effect within groups. WAT, white adipose tissue; MSG, monosodium glutamate.

Plasma ghrelin concentrations

Plasma ghrelin levels were significantly increased in MSG- and saline-treated mice that were fasted for 48 h, compared with the levels before fasting and after re-feeding (P<0.01); however, there was no significant difference between MSG- and saline-treated mice before and after fasting for 48 h, and during re-feeding (Fig. 8).

Figure 8

Plasma ghrelin concentrations of MSG- and saline-treated mice. Values represent means ± standard error of the mean. Plasma ghrelin levels were significantly increased in MSG- and saline-treated mice fasted for 48 h compared with the levels before fasting and refeeding (P<0.01), but there was no statistically significant difference between MSG-treated and saline-treated mice before fasting, after fasting for 48 h and refeeding. MSG, monosodium glutamate.

Ghrelin mRNA expression

Ghrelin mRNA expression in the stomach significantly increased in MSG- and saline-treated mice that were fasted for 48 h, compared with their respective counterparts before fasting (P<0.05). However, there was no significant difference in ghrelin mRNA expression in the stomach between MSG- and saline-treated mice before and after fasting for 48 h (Fig. 9).

Figure 9

(A and B) Ghrelin mRNA expression in the stomach of MSG- and saline-treated mice. Values represent means ± standard error of the mean. The ghrelin mRNA expression in the stomach was significantly increased in MSG- and saline-treated mice fasted for 48 h compared with their respective counterparts before fasting (P<0.05), but there were no significant difference of ghrelin mRNA expression in the stomach between MSG-and saline-treated mice before and after fasting 48 h. M: maker; 1 and 2: fasting 48 h; 3 and 4: before fasting. 1 and 3-MSG, 2 and 4-saline. MSG, monosodium glutamate.

Proghrelin protein expression

Proghrelin protein expression in the stomach significantly increased in MSG- and saline-treated mice that were fasted for 48 h, compared with their respective counterparts before fasting (P<0.01); however, there was no significant difference in proghrelin protein expression in the stomach between MSG-and saline-treated mice before and after fasting for 48 h (Fig. 10).

Figure 10

(A and B) Proghrelin expression in the stomach of MSG- and saline-treated mice. Values represent means ± standard error of the mean. The proghrelin protein expression in the stomach was significantly increased in MSG- and saline-treated mice fasted for 48 h compared with their respective counterparts before fasting (P<0.01), but there were no significant differences in proghrelin protein expression in the stomach between MSG- and saline-treated mice before and after fasting for 48 h. 1 and 2: fasting 48 h; 3 and 4: before fasting. 1 and 3-MSG, 2 and 4-saline. MSG, monosodium glutamate.

Discussion

The role of ARC cells in altering energy intake is indisputable, with increasing emphasis placed on their involvement in energy expenditure (20,21). The activation of ARC neurons by energy-related stimuli is clear: ARC NPY (22) and AgRP gene expression (22,23) increases with food deprivation, while ARC pro-opiomelanocortin and cocaine- and amphetamine-regulated transcript gene expression decreases (22,24). In the present study, ARC crystal violet staining was significantly decreased in MSG-treated mice, indicating overall cell loss, as well as significantly decreased ARC, NPY-IR and TH-IR neurons. TH-IR cells were significantly decreased in the AP (Fig. 3). Therefore, there were distinct MSG-induced ARC and AP lesions. Our results revealed that the body mass index significantly increased in 3-month-old MSG-treated mice, compared with saline controls; however, there were no significant differences in food intake in 1- to 3-month-old mice between the two groups. The previously reported MSG-induced obesity without overeating (25) was similar to our results. The precise reason for the MSG-induced obesity in the present study is unknown, although one possible reason may be the decrease in energy expenditure. The ARC was revealed by transneuronal viral tract tracing using the pseudo-rabies virus (26-29) as a component of the sympathetic nervous system outflow circuit to WAT. Thus, ARC peptide systems appear to be likely candidates not only for the modulation of energy intake and expenditure, but may also participate in other energy-related responses, such as lipid mobilization. However, that MSG was found to induce the destruction of ARC, and food deprivation-induced lipid mobilization did not differ from that in saline controls. These data suggest that the ARC is not essential for food deprivation-induced lipid mobilization, but that the central nervous system contains sufficient neurocircuitry for such responses.

Ghrelin, a recently discovered peptide hormone, has been described as a 'hunger signal'. Ghrelin increases food intake when injected into either the forebrain or hindbrain ventricles and has been well-established to stimulate food consumption in both lean and obese humans (30), as well as food intake upon peripheral and brain injection in various naive animal species (31). In addition to regulating food consumption, ghrelin is also involved in body weight modulation. Chronic administration of this peptide leads to body weight gain in rodents, not only through increasing appetite, but also more prominently by promoting fat storage in WAT (32,33). Furthermore, total ghrelin levels are inversely correlated with body mass index, as these levels increase in anorexic and cachectic patients, and decrease under conditions of obesity (33,34). In the present study, it was observed that the body mass index significantly increased in 3-month-old MSG-treated mice compared with saline-treated controls; however, the plasma ghrelin levels were not significantly different between MSG-treated and saline-treated mice. Furthermore, there were no significant differences in food intake in 1- to 3-month-old mice between the two groups. Since there were no changes in plasma ghrelin levels, there were no changes in appetite in the two groups. Chronic alterations of ghrelin signaling pathways more prominently affect energy expenditure rather than food intake, although adaptive and compensatory regulatory mechanisms may also take place under conditions of chronically altered ghrelin signaling by genetic modifications (35). These data strongly support the hypothesis that the cause of obesity in MSG-treated mice is the decrease in energy expenditure. Hence, larger studies are required to confirm this hypothesis.

The ARC is strongly implicated in the regulation of food intake (8); ghrelin is also produced centrally in the ARC of the hypothalamus (6) and in neurons adjacent to the third ventricle (7). NPY and AgRP are orexigenic neuropeptides (9) regulated by ghrelin. Ghrelin, which is detected in neurons of the ARC, sends projections to NPY/AgRP neurons (7,36). Circulating ghrelin levels increase prior to a meal and decline postprandially in experimental animals and humans (37). The postprandial suppression of plasma ghrelin has been considerably more extensively investigated compared with the preprandial peak. The brain mechanism of the preprandial peak in plasma ghrelin remains unknown. If ARC does perform such a function, it would affect the preprandial peak of plasma ghrelin when destroyed. However, contrary to our hypothesis in the present study, plasma ghrelin levels significantly increased in MSG-treated mice that were fasted for 48 h, compared with levels prior to fasting and after re-feeding; however, the prepran-dial peak of plasma ghrelin continued to exist in MSG-treated mice. A recent study by Luquet et al (38) demonstrated that neonatal ablation of NPY/AgRP neurons had minimal effects on feeding, while their ablation in adults caused rapid starvation. Their results suggest that network-based compensatory mechanisms may develop following ablation of NPY/AgRP neurons in neonates, but these do not readily occur when these neurons become essential in adults. Luquet et al (39) also reported that the ablation of NPY/AgRP neurons in neonatal mice did not affect feeding in response to glucoprivation, while the feeding response to the ghrelin receptor agonist was completely abrogated. Their findings demonstrate that NPY/AgRP neurons are not necessary for generating or mediating the orexigenic response to glucose deficiency, but these neurons are essential for the feeding response to ghrelin and re-feeding on standard chow after fasting. Tamura et al (40) reported that the ICV administration of 1 μg ghrelin significantly increased 4 h food intake in normal controls, while this peptide did not increase food intake in MSG-treated rats. This indicates that feeding response to ghrelin requires an intact ARC. The primary action of ghrelin on appetite control is via the ARC, although it may act on another type of GHS-R, besides GHS-R1a. Faulconbridge et al (41) demonstrated that fourth ventricle ghrelin (150 pmol) injections increased Fos expression only in the nucleus of the solitary tract, but not in the ARC or PVN. This indicates that the ingestive response to caudal brainstem ghrelin administration does not depend on the activation of neurons in the PVN or ARC. Tamura et al (40) revealed that the ablation of ARC neurons by neonatal MSG treatment resulted in the loss of the appetite-stimulating effects of ghrelin, as well as the double knockout of the potent orexigenic neurotransmitters NPY and AgRP (42). Therefore, although ARC neurons are not essential for rodents to respond to food deprivation, this does not mean that they do not contribute to food sensing under normal conditions, since compensatory mechanisms may have emerged after the ablation of ARC neurons. The neonatal ablation of ARC neurons allows alternative mechanisms to develop, in order for rodents not to depend on these neurons for survival.

Ghrelin-positive X/A-like cells distributed throughout the gastric oxyntic mucosa (2,3) are the main source of circulating ghrelin (43), as demonstrated by the sharp decline in ghrelin levels following gastrectomy (5). We also investigated changes in ghrelin mRNA and preprotein levels in the stomach in the two groups of mice. In our results, ghrelin mRNA and preprotein (proghrelin) expression in the stomach significantly increased in MSG- and saline-treated mice that were fasted for 48 h, compared with their respective counterparts before fasting; however, there were no significant differences in ghrelin mRNA and preprotein expression in the stomach between MSG-treated and saline-treated mice before and after fasting for 48 h. Ghrelin mRNA and proghrelin expression in the stomach significantly increased in the two groups of mice that were fasted for 48 h. Hence, the plasma ghrelin level was increased, and the preprandial peak of plasma ghrelin persisted in MSG-treated mice. After re-feeding, plasma ghrelin levels decreased in these two groups of mice. These data suggest that ARC is not essential for the preprandial ghrelin peak and postprandial suppression in MSG-treated mice.

In conclusion, our results demonstrated that MSG induced the destruction of the ARC, but food deprivation-induced lipid mobilization did not different from that in saline controls, and the preprandial peak of plasma ghrelin persisted in MSG-treated mice. Hence, ARC is not essential for normal food deprivation-induced preprandial ghrelin peak and lipid mobilization in MSG-treated mice. However, these findings do not mean that ARC neurons do not contribute to food sensing and lipid mobilization under normal conditions, as compensatory mechanisms may emerge following ablation of ARC neurons.

Acknowledgments

The present study was supported by the National Natural Science Foundation of China (grant nos. 30670679 and 30870816 to Z.Y. Jiang) and the Medical Science and Technology Development Program of Shandong Province (grant no. 2011QZ002 to Q.C. Li).

References

1 

Kojima M, Hosoda H, Date Y, Nakazato M, Matsuo H and Kangawa K: Ghrelin is a growth-hormone-releasing acylated peptide from stomach. Nature. 402:656–660. 1999. View Article : Google Scholar : PubMed/NCBI

2 

Date Y, Kojima M, Hosoda H, Sawaguchi A, Mondal MS, Suganuma T, Matsukura S, Kangawa K and Nakazato M: Ghrelin, a novel growth hormone-releasing acylated peptide, is synthesized in a distinct endocrine cell type in the gastrointestinal tracts of rats and humans. Endocrinology. 141:4255–4261. 2000. View Article : Google Scholar : PubMed/NCBI

3 

Mizutani M, Atsuchi K, Asakawa A, Matsuda N, Fujimura M, Inui A, Kato I and Fujimiya M: Localization of acyl ghrelin- and des-acyl ghrelin-immunoreactive cells in the rat stomach and their responses to intragastric pH. Am J Physiol Gastrointest Liver Physiol. 297:G974–G980. 2009. View Article : Google Scholar

4 

Tschöp M, Weyer C, Tataranni PA, Devanarayan V, Ravussin E and Heiman ML: Circulating ghrelin levels are decreased in human obesity. Diabetes. 50:707–709. 2001. View Article : Google Scholar : PubMed/NCBI

5 

Jeon TY, Lee S, Kim HH, Kim YJ, Son HC, Kim DH and Sim MS: Changes in plasma ghrelin concentration immediately after gastrectomy in patients with early gastric cancer. J Clin Endocrinol Metab. 89:5392–5396. 2004. View Article : Google Scholar : PubMed/NCBI

6 

Lu S, Guan JL, Wang QP, Uehara K, Yamada S, Goto N, Date Y, Nakazato M, Kojima M, Kangawa K, et al: Immunocytochemical observation of ghrelin-containing neurons in the rat arcuate nucleus. Neurosci Lett. 321:157–160. 2002. View Article : Google Scholar : PubMed/NCBI

7 

Cowley MA, Smith RG, Diano S, Tschöp M, Pronchuk N, Grove KL, Strasburger CJ, Bidlingmaier M, Esterman M, Heiman ML, et al: The distribution and mechanism of action of ghrelin in the CNS demonstrates a novel hypothalamic circuit regulating energy homeostasis. Neuron. 37:649–661. 2003. View Article : Google Scholar : PubMed/NCBI

8 

Schwartz MW, Woods SC, Porte D Jr, Seeley RJ and Baskin DG: Central nervous system control of food intake. Nature. 404:661–671. 2000. View Article : Google Scholar : PubMed/NCBI

9 

Abizaid A and Horvath TL: Brain circuits regulating energy homeostasis. Regul Pept. 149:3–10. 2008. View Article : Google Scholar : PubMed/NCBI

10 

Wang L, Saint-Pierre DH and Taché Y: Peripheral ghrelin selectively increases Fos expression in neuropeptide Y-synthesizing neurons in mouse hypothalamic arcuate nucleus. Neurosci Lett. 325:47–51. 2002. View Article : Google Scholar : PubMed/NCBI

11 

Kamegai J, Tamura H, Shimizu T, Ishii S, Sugihara H and Wakabayashi I: Chronic central infusion of ghrelin increases hypothalamic neuropeptide Y and Agouti-related protein mRNA levels and body weight in rats. Diabetes. 50:2438–2443. 2001. View Article : Google Scholar : PubMed/NCBI

12 

Tschöp M, Flora DB, Mayer JP and Heiman ML: Hypophysectomy prevents ghrelin-induced adiposity and increases gastric ghrelin secretion in rats. Obes Res. 10:991–999. 2002. View Article : Google Scholar : PubMed/NCBI

13 

Cummings DE, Purnell JQ, Frayo RS, Schmidova K, Wisse BE and Weigle DS: A preprandial rise in plasma ghrelin levels suggests a role in meal initiation in humans. Diabetes. 50:1714–1719. 2001. View Article : Google Scholar : PubMed/NCBI

14 

Tschöp M, Wawarta R, Riepl RL, Friedrich S, Bidlingmaier M, Landgraf R and Folwaczny C: Post-prandial decrease of circulating human ghrelin levels. J Endocrinol Invest. 24:RC19–RC21. 2001. View Article : Google Scholar : PubMed/NCBI

15 

Williams DL and Cummings DE: Regulation of ghrelin in physiologic and pathophysiologic states. J Nutr. 135:1320–1325. 2005. View Article : Google Scholar : PubMed/NCBI

16 

Olney JW: Brain lesions, obesity, and other disturbances in mice treated with monosodium glutamate. Science. 164:719–721. 1969. View Article : Google Scholar : PubMed/NCBI

17 

Perez VJ and Olney JW: Accumulation of glutamic acid in the arcuate nucleus of the hypothalamus of the infant mouse followng subcutaneous administration of monosodium glutamate. J Neurochem. 19:1777–1782. 1972. View Article : Google Scholar : PubMed/NCBI

18 

Takasaki Y: Studies on brain lesion by administration of monosodium L-glutamate to mice. I. Brain lesions in infant mice caused by administration of monosodium L-glutamate. Toxicology. 9:293–305. 1978. View Article : Google Scholar : PubMed/NCBI

19 

Nikoletseas MM: Obesity in exercising, hypophagic rats treated with monosodium glutamate. Physiol Behav. 19:767–773. 1977. View Article : Google Scholar : PubMed/NCBI

20 

Small CJ, Liu YL, Stanley SA, Connoley IP, Kennedy A, Stock MJ and Bloom SR: Chronic CNS administration of Agouti-related protein (Agrp) reduces energy expenditure. Int J Obes Relat Metab Disord. 27:530–533. 2003. View Article : Google Scholar : PubMed/NCBI

21 

Yasuda T, Masaki T, Kakuma T and Yoshimatsu H: Centrally administered ghrelin suppresses sympathetic nerve activity in brown adipose tissue of rats. Neurosci Lett. 349:75–78. 2003. View Article : Google Scholar : PubMed/NCBI

22 

Mercer JG, Moar KM, Ross AW, Hoggard N and Morgan PJ: Photoperiod regulates arcuate nucleus POMC, AGRP, and leptin receptor mRNA in Siberian hamster hypothalamus. Am J Physiol Regul Integr Comp Physiol. 278:R271–R281. 2000. View Article : Google Scholar : PubMed/NCBI

23 

Ebihara K, Ogawa Y, Katsuura G, Numata Y, Masuzaki H, Satoh N, Tamaki M, Yoshioka T, Hayase M, Matsuoka N, et al: Involvement of agouti-related protein, an endogenous antagonist of hypothalamic melanocortin receptor, in leptin action. Diabetes. 48:2028–2033. 1999. View Article : Google Scholar : PubMed/NCBI

24 

Kristensen P, Judge ME, Thim L, Ribel U, Christjansen KN, Wulff BS, Clausen JT, Jensen PB, Madsen OD, Vrang N, et al: Hypothalamic CART is a new anorectic peptide regulated by leptin. Nature. 393:72–76. 1998. View Article : Google Scholar : PubMed/NCBI

25 

Bunyan J, Murrell EA and Shah PP: The induction of obesity in rodents by means of monosodium glutamate. Br J Nutr. 35:25–39. 1976. View Article : Google Scholar : PubMed/NCBI

26 

Bamshad M, Aoki VT, Adkison MG, Warren WS and Bartness TJ: Central nervous system origins of the sympathetic nervous system outflow to white adipose tissue. Am J Physiol. 275:R291–R299. 1998.PubMed/NCBI

27 

Bowers RR, Festuccia WTL, Song CK, Shi H, Migliorini RH and Bartness TJ: Sympathetic innervation of white adipose tissue and its regulation of fat cell number. Am J Physiol Regul Integr Comp Physiol. 286:R1167–R1175. 2004. View Article : Google Scholar : PubMed/NCBI

28 

Shi H and Bartness TJ: Neurochemical phenotype of sympathetic nervous system outflow from brain to white fat. Brain Res Bull. 54:375–385. 2001. View Article : Google Scholar : PubMed/NCBI

29 

Song CK and Bartness TJ: CNS sympathetic outflow neurons to white fat that express MEL receptors may mediate seasonal adiposity. Am J Physiol Regul Integr Comp Physiol. 281:R666–R672. 2001. View Article : Google Scholar : PubMed/NCBI

30 

Druce MR, Wren AM, Park AJ, Milton JE, Patterson M, Frost G, Ghatei MA, Small C and Bloom SR: Ghrelin increases food intake in obese as well as lean subjects. Int J Obes. 29:1130–1136. 2005. View Article : Google Scholar

31 

Wren AM, Small CJ, Ward HL, Murphy KG, Dakin CL, Taheri S, Kennedy AR, Roberts GH, Morgan DG, Ghatei MA, et al: The novel hypothalamic peptide ghrelin stimulates food intake and growth hormone secretion. Endocrinology. 141:4325–4328. 2000. View Article : Google Scholar : PubMed/NCBI

32 

Davies JS, Kotokorpi P, Eccles SR, Barnes SK, Tokarczuk PF, Allen SK, Whitworth HS, Guschina IA, Evans BA, Mode A, et al: Ghrelin induces abdominal obesity via GHS-R-dependent lipid retention. Mol Endocrinol. 23:914–924. 2009. View Article : Google Scholar : PubMed/NCBI

33 

Tschöp M, Smiley DL and Heiman ML: Ghrelin induces adiposity in rodents. Nature. 407:908–913. 2000. View Article : Google Scholar : PubMed/NCBI

34 

Cummings DE, Weigle DS, Frayo RS, Breen PA, Ma MK, Dellinger EP and Purnell JQ: Plasma ghrelin levels after diet-induced weight loss or gastric bypass surgery. N Engl J Med. 346:1623–1630. 2002. View Article : Google Scholar : PubMed/NCBI

35 

Stengel A, Goebel M, Wang L and Taché Y: Ghrelin, des-acyl ghrelin and nesfatin-1 in gastric X/A-like cells: Role as regulators of food intake and body weight. Peptides. 31:357–369. 2010. View Article : Google Scholar

36 

Guan JL, Wang QP, Kageyama H, Takenoya F, Kita T, Matsuoka T, Funahashi H and Shioda S: Synaptic interactions between ghrelin- and neuropeptide Y-containing neurons in the rat arcuate nucleus. Peptides. 24:1921–1928. 2003. View Article : Google Scholar

37 

Cummings DE, Purnell JQ, Frayo RS, Schmidova K, Wisse BE and Weigle DS: A preprandial rise in plasma ghrelin levels suggests a role in meal initiation in humans. Diabetes. 50:1714–1719. 2001. View Article : Google Scholar : PubMed/NCBI

38 

Luquet S, Perez FA, Hnasko TS and Palmiter RD: NPY/AgRP neurons are essential for feeding in adult mice but can be ablated in neonates. Science. 310:683–685. 2005. View Article : Google Scholar : PubMed/NCBI

39 

Luquet S, Phillips CT and Palmiter RD: NPY/AgRP neurons are not essential for feeding responses to glucoprivation. Peptides. 28:214–225. 2007. View Article : Google Scholar

40 

Tamura H, Kamegai J, Shimizu T, Ishii S, Sugihara H and Oikawa S: Ghrelin stimulates GH but not food intake in arcuate nucleus ablated rats. Endocrinology. 143:3268–3275. 2002. View Article : Google Scholar : PubMed/NCBI

41 

Faulconbridge LF, Grill HJ, Kaplan JM and Daniels D: Caudal brainstem delivery of ghrelin induces fos expression in the nucleus of the solitary tract, but not in the arcuate or paraventricular nuclei of the hypothalamus. Brain Res. 1218:151–157. 2008. View Article : Google Scholar : PubMed/NCBI

42 

Chen HY, Trumbauer ME, Chen AS, Weingarth DT, Adams JR, Frazier EG, Shen Z, Marsh DJ, Feighner SD, Guan XM, et al: Orexigenic action of peripheral ghrelin is mediated by neuropeptide Y and agouti-related protein. Endocrinology. 145:2607–2612. 2004. View Article : Google Scholar : PubMed/NCBI

43 

Ariyasu H, Takaya K, Tagami T, Ogawa Y, Hosoda K, Akamizu T, Suda M, Koh T, Natsui K, Toyooka S, et al: Stomach is a major source of circulating ghrelin, and feeding state determines plasma ghrelin-like immunoreactivity levels in humans. J Clin Endocrinol Metab. 86:4753–4758. 2001. View Article : Google Scholar : PubMed/NCBI

Related Articles

  • Abstract
  • View
  • Download
  • Twitter
Copy and paste a formatted citation
Spandidos Publications style
Li QC, Li QF, Wang YL, Sun HL and Jiang ZY: Arcuate nucleus neurons are not essential for the preprandial peak in plasma ghrelin after neonatal monosodium glutamate treatment. Int J Mol Med 41: 1635-1642, 2018.
APA
Li, Q., Li, Q., Wang, Y., Sun, H., & Jiang, Z. (2018). Arcuate nucleus neurons are not essential for the preprandial peak in plasma ghrelin after neonatal monosodium glutamate treatment. International Journal of Molecular Medicine, 41, 1635-1642. https://doi.org/10.3892/ijmm.2018.3365
MLA
Li, Q., Li, Q., Wang, Y., Sun, H., Jiang, Z."Arcuate nucleus neurons are not essential for the preprandial peak in plasma ghrelin after neonatal monosodium glutamate treatment". International Journal of Molecular Medicine 41.3 (2018): 1635-1642.
Chicago
Li, Q., Li, Q., Wang, Y., Sun, H., Jiang, Z."Arcuate nucleus neurons are not essential for the preprandial peak in plasma ghrelin after neonatal monosodium glutamate treatment". International Journal of Molecular Medicine 41, no. 3 (2018): 1635-1642. https://doi.org/10.3892/ijmm.2018.3365
Copy and paste a formatted citation
x
Spandidos Publications style
Li QC, Li QF, Wang YL, Sun HL and Jiang ZY: Arcuate nucleus neurons are not essential for the preprandial peak in plasma ghrelin after neonatal monosodium glutamate treatment. Int J Mol Med 41: 1635-1642, 2018.
APA
Li, Q., Li, Q., Wang, Y., Sun, H., & Jiang, Z. (2018). Arcuate nucleus neurons are not essential for the preprandial peak in plasma ghrelin after neonatal monosodium glutamate treatment. International Journal of Molecular Medicine, 41, 1635-1642. https://doi.org/10.3892/ijmm.2018.3365
MLA
Li, Q., Li, Q., Wang, Y., Sun, H., Jiang, Z."Arcuate nucleus neurons are not essential for the preprandial peak in plasma ghrelin after neonatal monosodium glutamate treatment". International Journal of Molecular Medicine 41.3 (2018): 1635-1642.
Chicago
Li, Q., Li, Q., Wang, Y., Sun, H., Jiang, Z."Arcuate nucleus neurons are not essential for the preprandial peak in plasma ghrelin after neonatal monosodium glutamate treatment". International Journal of Molecular Medicine 41, no. 3 (2018): 1635-1642. https://doi.org/10.3892/ijmm.2018.3365
Follow us
  • Twitter
  • LinkedIn
  • Facebook
About
  • Spandidos Publications
  • Careers
  • Cookie Policy
  • Privacy Policy
How can we help?
  • Help
  • Live Chat
  • Contact
  • Email to our Support Team