Spandidos Publications Logo
  • About
    • About Spandidos
    • Aims and Scopes
    • Abstracting and Indexing
    • Editorial Policies
    • Reprints and Permissions
    • Job Opportunities
    • Terms and Conditions
    • Contact
  • Journals
    • All Journals
    • Oncology Letters
      • Oncology Letters
      • Information for Authors
      • Editorial Policies
      • Editorial Board
      • Aims and Scope
      • Abstracting and Indexing
      • Bibliographic Information
      • Archive
    • International Journal of Oncology
      • International Journal of Oncology
      • Information for Authors
      • Editorial Policies
      • Editorial Board
      • Aims and Scope
      • Abstracting and Indexing
      • Bibliographic Information
      • Archive
    • Molecular and Clinical Oncology
      • Molecular and Clinical Oncology
      • Information for Authors
      • Editorial Policies
      • Editorial Board
      • Aims and Scope
      • Abstracting and Indexing
      • Bibliographic Information
      • Archive
    • Experimental and Therapeutic Medicine
      • Experimental and Therapeutic Medicine
      • Information for Authors
      • Editorial Policies
      • Editorial Board
      • Aims and Scope
      • Abstracting and Indexing
      • Bibliographic Information
      • Archive
    • International Journal of Molecular Medicine
      • International Journal of Molecular Medicine
      • Information for Authors
      • Editorial Policies
      • Editorial Board
      • Aims and Scope
      • Abstracting and Indexing
      • Bibliographic Information
      • Archive
    • Biomedical Reports
      • Biomedical Reports
      • Information for Authors
      • Editorial Policies
      • Editorial Board
      • Aims and Scope
      • Abstracting and Indexing
      • Bibliographic Information
      • Archive
    • Oncology Reports
      • Oncology Reports
      • Information for Authors
      • Editorial Policies
      • Editorial Board
      • Aims and Scope
      • Abstracting and Indexing
      • Bibliographic Information
      • Archive
    • Molecular Medicine Reports
      • Molecular Medicine Reports
      • Information for Authors
      • Editorial Policies
      • Editorial Board
      • Aims and Scope
      • Abstracting and Indexing
      • Bibliographic Information
      • Archive
    • World Academy of Sciences Journal
      • World Academy of Sciences Journal
      • Information for Authors
      • Editorial Policies
      • Editorial Board
      • Aims and Scope
      • Abstracting and Indexing
      • Bibliographic Information
      • Archive
    • International Journal of Functional Nutrition
      • International Journal of Functional Nutrition
      • Information for Authors
      • Editorial Policies
      • Editorial Board
      • Aims and Scope
      • Abstracting and Indexing
      • Bibliographic Information
      • Archive
    • International Journal of Epigenetics
      • International Journal of Epigenetics
      • Information for Authors
      • Editorial Policies
      • Editorial Board
      • Aims and Scope
      • Abstracting and Indexing
      • Bibliographic Information
      • Archive
    • Medicine International
      • Medicine International
      • Information for Authors
      • Editorial Policies
      • Editorial Board
      • Aims and Scope
      • Abstracting and Indexing
      • Bibliographic Information
      • Archive
  • Articles
  • Information
    • Information for Authors
    • Information for Reviewers
    • Information for Librarians
    • Information for Advertisers
    • Conferences
  • Language Editing
Spandidos Publications Logo
  • About
    • About Spandidos
    • Aims and Scopes
    • Abstracting and Indexing
    • Editorial Policies
    • Reprints and Permissions
    • Job Opportunities
    • Terms and Conditions
    • Contact
  • Journals
    • All Journals
    • Biomedical Reports
      • Information for Authors
      • Editorial Policies
      • Editorial Board
      • Aims and Scope
      • Abstracting and Indexing
      • Bibliographic Information
      • Archive
    • Experimental and Therapeutic Medicine
      • Information for Authors
      • Editorial Policies
      • Editorial Board
      • Aims and Scope
      • Abstracting and Indexing
      • Bibliographic Information
      • Archive
    • International Journal of Epigenetics
      • Information for Authors
      • Editorial Policies
      • Editorial Board
      • Aims and Scope
      • Abstracting and Indexing
      • Bibliographic Information
      • Archive
    • International Journal of Functional Nutrition
      • Information for Authors
      • Editorial Policies
      • Editorial Board
      • Aims and Scope
      • Abstracting and Indexing
      • Bibliographic Information
      • Archive
    • International Journal of Molecular Medicine
      • Information for Authors
      • Editorial Policies
      • Editorial Board
      • Aims and Scope
      • Abstracting and Indexing
      • Bibliographic Information
      • Archive
    • International Journal of Oncology
      • Information for Authors
      • Editorial Policies
      • Editorial Board
      • Aims and Scope
      • Abstracting and Indexing
      • Bibliographic Information
      • Archive
    • Medicine International
      • Information for Authors
      • Editorial Policies
      • Editorial Board
      • Aims and Scope
      • Abstracting and Indexing
      • Bibliographic Information
      • Archive
    • Molecular and Clinical Oncology
      • Information for Authors
      • Editorial Policies
      • Editorial Board
      • Aims and Scope
      • Abstracting and Indexing
      • Bibliographic Information
      • Archive
    • Molecular Medicine Reports
      • Information for Authors
      • Editorial Policies
      • Editorial Board
      • Aims and Scope
      • Abstracting and Indexing
      • Bibliographic Information
      • Archive
    • Oncology Letters
      • Information for Authors
      • Editorial Policies
      • Editorial Board
      • Aims and Scope
      • Abstracting and Indexing
      • Bibliographic Information
      • Archive
    • Oncology Reports
      • Information for Authors
      • Editorial Policies
      • Editorial Board
      • Aims and Scope
      • Abstracting and Indexing
      • Bibliographic Information
      • Archive
    • World Academy of Sciences Journal
      • Information for Authors
      • Editorial Policies
      • Editorial Board
      • Aims and Scope
      • Abstracting and Indexing
      • Bibliographic Information
      • Archive
  • Articles
  • Information
    • For Authors
    • For Reviewers
    • For Librarians
    • For Advertisers
    • Conferences
  • Language Editing
Login Register Submit
  • This site uses cookies
  • You can change your cookie settings at any time by following the instructions in our Cookie Policy. To find out more, you may read our Privacy Policy.

    I agree
Search articles by DOI, keyword, author or affiliation
Search
Advanced Search
presentation
International Journal of Oncology
Join Editorial Board Propose a Special Issue
Print ISSN: 1019-6439 Online ISSN: 1791-2423
Journal Cover
September-2014 Volume 45 Issue 3

Full Size Image

Cover Legend PDF

Sign up for eToc alerts
Recommend to Library

Journals

International Journal of Molecular Medicine

International Journal of Molecular Medicine

International Journal of Molecular Medicine is an international journal devoted to molecular mechanisms of human disease.

International Journal of Oncology

International Journal of Oncology

International Journal of Oncology is an international journal devoted to oncology research and cancer treatment.

Molecular Medicine Reports

Molecular Medicine Reports

Covers molecular medicine topics such as pharmacology, pathology, genetics, neuroscience, infectious diseases, molecular cardiology, and molecular surgery.

Oncology Reports

Oncology Reports

Oncology Reports is an international journal devoted to fundamental and applied research in Oncology.

Experimental and Therapeutic Medicine

Experimental and Therapeutic Medicine

Experimental and Therapeutic Medicine is an international journal devoted to laboratory and clinical medicine.

Oncology Letters

Oncology Letters

Oncology Letters is an international journal devoted to Experimental and Clinical Oncology.

Biomedical Reports

Biomedical Reports

Explores a wide range of biological and medical fields, including pharmacology, genetics, microbiology, neuroscience, and molecular cardiology.

Molecular and Clinical Oncology

Molecular and Clinical Oncology

International journal addressing all aspects of oncology research, from tumorigenesis and oncogenes to chemotherapy and metastasis.

World Academy of Sciences Journal

World Academy of Sciences Journal

Multidisciplinary open-access journal spanning biochemistry, genetics, neuroscience, environmental health, and synthetic biology.

International Journal of Functional Nutrition

International Journal of Functional Nutrition

Open-access journal combining biochemistry, pharmacology, immunology, and genetics to advance health through functional nutrition.

International Journal of Epigenetics

International Journal of Epigenetics

Publishes open-access research on using epigenetics to advance understanding and treatment of human disease.

Medicine International

Medicine International

An International Open Access Journal Devoted to General Medicine.

Journal Cover
September-2014 Volume 45 Issue 3

Full Size Image

Cover Legend PDF

Sign up for eToc alerts
Recommend to Library

  • Article
  • Citations
    • Cite This Article
    • Download Citation
    • Create Citation Alert
    • Remove Citation Alert
    • Cited By
  • Similar Articles
    • Related Articles (in Spandidos Publications)
    • Similar Articles (Google Scholar)
    • Similar Articles (PubMed)
  • Download PDF
  • Download XML
  • View XML
Article

Ginsenoside Rg3 inhibition of vasculogenic mimicry in pancreatic cancer through downregulation of VE‑cadherin/EphA2/MMP9/MMP2 expression

  • Authors:
    • Jing-Qiang Guo
    • Qing-Hui Zheng
    • Hui Chen
    • Liang Chen
    • Jin-Bo Xu
    • Min-Yuan Chen
    • Dian Lu
    • Zhao-Hong Wang
    • Hong-Fei Tong
    • Shengzhang Lin
  • View Affiliations / Copyright

    Affiliations: Department of Hepatobiliary-Pancreatic Surgery, The Second Affiliated Hospital, Wenzhou Medical University, Wenzhou 325027, P.R. China, Guangxi Medical University, Nanning 530021, P.R. China
  • Pages: 1065-1072
    |
    Published online on: June 16, 2014
       https://doi.org/10.3892/ijo.2014.2500
  • Expand metrics +
Metrics: Total Views: 0 (Spandidos Publications: | PMC Statistics: )
Metrics: Total PDF Downloads: 0 (Spandidos Publications: | PMC Statistics: )
Cited By (CrossRef): 0 citations Loading Articles...

This article is mentioned in:



Abstract

Ginsenoside Rg3 (Rg3), a trace tetracyclic triterpenoid saponin, is extracted from ginseng and shown to have anticancer activity against several types of cancers. This study explored the effect of Rg3 on pancreatic cancer vasculogenic mimicry. Altered vasculogenic mimicry formation was assessed using immunohistochemistry and PAS staining and associated with the expression of vascular endothelial-cadherin (VE-cadherin), epithelial cell kinase (EphA2), matrix metalloproteinase (MMP)-2 and MMP-9. The effect of Rg3 on the regulation of pancreatic cancer vasculogenic mimicry was evaluated in vitro and in vivo. The data showed vasculogenic mimicry in pancreatic cancer tissues. In addition, the expression of VE-cadherin, EphA2, MMP-2 and MMP-9 proteins associated with formation of pancreatic cancer vasculogenic mimicry. Rg3 treatment reduced the levels of vasculogenic mimicry in nude mouse xenografts in vitro and in vivo, while the expression of VE-cadherin, EphA2, MMP-2 and MMP-9 mRNA and proteins was downregulated by Rg3 treatment in vitro and in tumor xenografts. In conclusion, ginsenoside Rg3 effectively inhibited the formation of pancreatic cancer vasculogenic mimicry by downregulating the expression of VE-cadherin, EphA2, MMP9 and MMP2. Further studies are required to evaluate ginsenoside Rg3 as an agent to control pancreatic cancer.

Introduction

Pancreatic cancer is a lethal disease with only a 6% of overall 5-year survival rate. Surgical resection remains the only cure option, which improves the 5-year survival rate to 20%; however, frequent recurrence is recorded after surgery (1). Most pancreatic cancer patients are diagnosed at advanced stages of the disease, making curable surgery impossible. During disease progression, the blood supply is necessary for tumor growth, invasion and metastasis (2,3), thus, neoangiogenesis is the key for cancer development and progression. It was thought that formation of new blood vessels in tumor lesions depends on vascular endothelial cells. However, in 1999, Maniotis et al (4) reported that there was a ring-shaped loop interconnecting network from extracellular matrix and melanoma cells to facilitate neoangiogenesis in skin or liver metastasis. Under a scanning electron microscope, red cells were observed in this network. Both indocyanine green angiography and in vitro microinjection demonstrated that the networks are similar to the artery with vascular lumen tissue perfusion effects. This novel network, which is independent from endothelial cells, was referred to as vasculogenic mimicry (VM). The level of VM was associated with poor prognosis of patients (4). As a part of the classic tumor vascular endothelium-dependent complement, VM may provide a reasonable explanation of ineffective anti-angiogenesis therapy for cancer patients. VM has been observed in several other aggressive tumor types, such as laryngeal squamous cell carcinoma, ovarian cancer, breast cancer, osteosarcoma, astrocytoma and gallbladder cancer (5–12). Most recent studies have shown that vascular endothelial-cadherin (VE-cadherin), epithelial cell kinase (EphA2), and matrix metalloproteinase (MMPs) play a crucial role in VM formation (13–21). Thus, regulation of VM formation could be a novel cancer therapy strategy against human cancers, including pancreatic cancer.

Ginseng is an oriental medicine used for thousand years and possesses immunomodulatory, ‘qi’ and anti-aging effects (22). Ginsenoside Rg3 (Rg3) is a trace tetracyclic triterpenoid saponin extracted from ginseng and can induce tumor cell apoptosis, but inhibits tumor cell proliferation, adhesion, invasion and metastasis as well as tumor angiogenesis (23–29). Rg3 adjuvant therapy synergies the effects of chemotherapy drugs and enhances host immune function (23–29). Since the last decade, anti-angiogenesis therapy has been widely accepted as a means for tumor therapy, mainly to control the growth of vascular endothelial cells. However, in recent studies (30,31), anti-angiogenesis therapy using angiostatin or endostatin to target endothelial cells showed to have little effect on regulating the progression of tumors with VM formation. This may be because VM does not involve endothelial cells, and thus does not respond to anti-angiogenesis therapy (30,31). Moreover, van der Schaft et al (32) reported that Anginex, TNP-470, and endostatin inhibit growth of vascular endothelial cells, but did not prevent melanoma cells to form VM. Further research on VM inhibition could yield a better antitumor activity (33). Indeed, Wang et al (34) demonstrated that Rg3 could inhibit tube-like structure formation in a human nasopharyngeal carcinoma cell line in vitro.

In this study, we assessed VM formation in pancreatic cancer tissues ex vivo and then investigated correlations between the expression of VE-cadherin, EphA2 and MMP protein and VM formation. In addition, we explored the effects of Rg3 on the regulation of VM formation in vitro and in vivo nude mouse xenografts.

Materials and methods

Patients and tissue specimens

A total of 117 patients with pancreatic cancer and 62 patients with benign pancreatic disease were recruited from The Second Affiliated Hospital, Wenzhou Medical University (Wenzhou, China) and First Affiliated Hospital, Zhejiang University School of Medicine, (Hangzhou, China) between 2007, and 2012. Our institutional review board approved this study and a written informed consent form was obtained from each patient. All patients were diagnosed histologically and confirmed by an experienced pathologist. Paraffin-embedded tissue specimens were retrieved from the Pathology Department for immunohistochemistry and PAS staining.

Immunohistochemistry

Paraffin sections (4-μm thick) of pancreatic tissue specimens were prepared for immunohistochemistry. Briefly, the sections were heated in an oven at 65°C for 60 min and then deparaffinized in xylene and rehydrated in series of ethanol. The sections were then subjected to high boiling antigen retrieval in a pressure cooker and washed with phosphate-buffered saline (PBS) 3 times, 5 min each. Next, the sections were treated with 3% hydrogen peroxide for 20 min at room temperature to inactivate peroxidase and then rinsed with PBS and blocked subsequently with 5% normal goat serum. Next, the sections were incubated with the primary antibody (i.e., the anti-CD31 at a dilution of 1:100, anti-VE-cadherin at a dilution of 1:100, anti-EphA2 at a dilution of 1:50, anti-MMP-2 at a dilution of 1:100, or anti-MMP-9 at a dilution of 1:200) in a moist chamber overnight at 4°C. A mouse monoclonal anti-CD31 antibody was purchased from Santa Cruz Biotechnology (Santa Cruz, CA, USA), mouse anti-MMP-2 and rabbit anti-VE-cadherin antibodies were purchased from Abgent (San Diego, CA, USA), a mouse anti-EphA2 was purchased from R&D Systems (Boston, MA, USA), and a rabbit anti-MMP-9 was obtained from Abcam (Cambridge, MA, USA). The next day, the sections were rinsed with PBS for three times and further incubated with a horseradish peroxidase (hRP)-conjugated secondary antibody (Beyotime Biotechnology, Haimen, China) at room temperature for 30 min. Then, peroxidase labeling was developed by incubating the sections with diaminobenzidine tetrahydrochloride (DAB) solution for 3 min, counterstained with hematoxylin, and then mounted and evaluated under a light microscope (Olympus BX51, Japan). Negative control sections were incubated with PBS instead of the specific primary antibody.

CD31 and PAS double-staining

Sections were first stained for CD31 immunohistochemistry and then stained with 0.5% periodic-acid-Schiff (PAS) solution for 10 min and rinsed with distilled water for 2–3 min. In a dark chamber, these sections were further stain treated with Schiff solution for 15 min and then rinsed with distilled water, dehydrated and mounted. Normal pancreatic tissues were used as a positive control. CD31 staining was used to visualize blood vessels, helping to distinguish the PAS-positive network of VM from endothelium-lined microvessel. PAS staining was used to identify matrix-associated vascular channels in pancreatic cancer tissues. Levels of VM were quantified according to a previous study (35). Specifically, the stained sections were scored under a microscope for 10 randomly chosen fields at ×400. The vessels lined by endothelial cells, regardless of the presence of basement membrane, were counted as endothelium-dependent vessels. In contrast VM was defined as enclosed pancreatic cancer cells with PAS-positive material. The average number of VM channels was determined for each section.

Cell line and culture

Human pancreatic cancer cell lines (PANC-1 and SW1990) were obtained from Shanghai Cell Bank (Shanghai, China). Human pancreatic cancer cell lines (Bxpc-3 and MiaPaCa-2) were obtained from American Type Culture Collection (Manassas, VA, USA). All the cell lines were cultured in Dulbecco’s modified Eagle’s medium (DMEM) supplemented with 10% fetal bovine serum (FBS), 100 U/ml penicillin, and 100 μg/ml streptomycin (all from Gibco-BRL/Invitrogen, Grand Island, NY, USA) at 37°C in a humidified incubator with 5% CO2. Cells were passaged at 70–80% confluence. For Rg3 treatment, ginsenoside Rg3 standard with a purity ≥98% was purchased from Shanghai Bo Yun Biotechnology (Shanghai, China) and dissolved in dimethylsulfoxide (DMSO, Invitrogen, Carlsbad, CA, USA) at the concentration of 200×10 μmol/l. The solution was then diluted with DMEM to the desired concentration before use. The cells were grown overnight and then treated with Rg3 at different concentrations, while the medium containing 0.1% DMSO served as a negative control.

Tumor cell three-dimension culture and PAS staining

Three-dimensional type I collagen gels were prepared as described previously (19). A total of 25 μl of rat-tail type I collagen (average 3 mg/ml; from BD Biosciences, Bedford, MA, USA) were dropped onto 18-mm glass coverslips in 12-well culture plates and polymerized 5 min at room temperature. After washing with PBS for 5 min, 5×105 tumor cells were seeded onto the three-dimensional type I collagen gel and treated with Rg3 at 0, 25, 50, 100 and 200 μmol/l for 72 h to analyze the ability of tumor cells to form VM. At the end of the experiments, the cells were fixed with 4% formaldehyde in PBS for 10 min and washed with PBS. The cells were then stained with PAS.

Animal experiments

A protocol of animal experiments was approved by Wenzhou Medical University Experimental Animal Center (Wenzhou, China). Briefly, 28 six-week old, male, athymic, BaLB/c nu/nu mice were purchased from the Shanghai Cancer Institute (Shanghai, China) and were maintained in a specific-pathogen-free environment in our animal center. The housing temperature was maintained at 25±1°C and relative humidity was controlled at 40–60%. SW-1990 cells in the log-growth phase were detached with 0.05% trypsin and re-suspended with serum-free culture medium. The cells were then subcutaneously injected into the right flank with 5×106 SW-1990 cells per injection (36). Three days later, the mice were randomly assigned into control and ginsenoside Rg3 groups. The control mice (n=7) were treated by intraperitoneal injection with 0.9% sodium chloride once every other day and three groups of ginsenoside Rg3-treated mice (n=7, each group) were intraperitoneally injected with 5, 10 or 20 mg/kg/day ginsenoside, respectively. The treatment was continued every other day for 28 days. At the end of the experiments, the mice were sacrificed and tumor xenografts were resected, weighed and then fixed in 10% neutral buffered formalin and embedded in paraffin. Paraffin-embedded tissue blocks were cut into 4-μm thick sections for immunohistochemistry and PAS staining.

RNA isolation and qRT-PCR

Total cellular RNA from cell lines or tissues was isolated using TRIzol reagent (Invitrogen) according to the manufacturer’s protocol. RNA was then reverse transcribed into cDNA using RevertAid First Strand cDNA Synthesis Kit (Fermentas, South Logan, UT, USA) according to the manufacturer’s instructions. PCR amplification was performed using gene-specific primers (Table I) in a Roche real-time PCR machine in a total of 10 μl reaction mixture that contained 1 μl cDNA, 5 μl SYBR-Green real-time PCR master mix-plus (Toyobo, Japan), and 1 μl primer each. The PCR conditions were set to an initial denaturation at 95°C for 90 sec and 40 cycles of 95°C for 5 sec, 60°C for 30 sec, and 72°C for 45 sec. GAPDH mRNA was used as a loading control. The experiments were performed in triplicates and repeated three times with independently derived samples. The data were analyzed using LightCycler 480 software (Roche, Switzerland).

Table I

Primer sequences and PCR product size.

Table I

Primer sequences and PCR product size.

GenePrimersSize of PCR products (bp)
VE-cadherin 5′-aagcgtgagtcgcaa-3′
5′-tctccaggttttcgc-3′
179
EphA2 5′-gagggcgtcatctccaaata-3′
5′-tcagacaccttgcagaccag-3′
236
MMP-2 5′-gatacccctttgacggtaagga-3′
5′-ccttctcccaaggtccatagc-3′
112
MMP-9 5′-ttgacagcgacaagaagtgg-3′
5′-gccattcacgtcgtccttat-3′
179
GAPDH 5′-gagtcaacggatttggtcgt-3′
5′-ttgattttggagggatctcg-3′
238
Protein extraction and western blot analysis

Total cellular protein was extracted from cultured cells or tissue samples using a radioimmunoprecipitation assay (RIPA) buffer (Pierce, Rockford, IL, USA). After centrifugation at 12,000 × g for 20 min at 4°C, the supernatant was collected and protein concentration was measured using the BCA Protein Assay Kit (Pierce) according to the manufacturer’s instructions. Samples containing 40 μg of protein from cell culture and 60 μg of protein from tissue samples were subjected to 8% sodium dodecyl sulfate-polyacrylamide gel electrophoresis (SDS-PAGE) and transferred electrophoretically on to polyvinylidene fluoride (PVDF) membranes (Invitrogen). Equal protein loading was confirmed by Coomassie staining (Bio-Rad, Hercules, CA, USA) of the gel. After blocking with 5% bovine serum albumin (BSA), the membrane was incubated with the primary antibodies followed by incubation with the secondary antibodies. Immunoreactivity was detected using the Enhanced Chemiluminescence Kit (Pierce) according to the manufacturer’s instructions. Each experiment was repeated three times and the data were analyzed using AlphaEaseFC 4.0 software (San Leandro, CA, USA).

Statistical analysis

Data are summarized as mean ± SD. Statistical analysis was performed using SPSS 17.0. (SPSS, Chicago, IL, USA) and differences between ginsenoside Rg3 and DMSO-treated (control) groups were analyzed with an unpaired Student’s t-test or ANOVA analysis. Association of clinicopathological data from pancreatic cancer cases or between groups was analyzed by the χ2 test. p<0.05 was considered statistically significant.

Results

Induction of VM in pancreatic cancer tissues

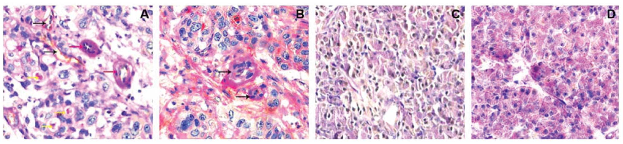
Endothelial structure has stained brown by an anti-CD31 antibody, while VM pipe and extracellular matrix were stained red color by PAS staining. Based on CD31 and PAS staining, CD31-negative, PAS-positive vascular-like structures were VM. In these 117 cases of pancreatic cancer tissues, VM was shown for 71.79% (84/117) of pancreatic cancer cases, while all 53 benign pancreatic disease cases had no VM (0%, 0/53) (Fig. 1).

Figure 1

Induction of vasculogenic mimicry in pancreatic cancer tissues. (A and B) Double staining of CD31/PAS in pancreatic cancer tissues. Vascular mimicry is shown by red arrows. PAS-positive substances lined these channels and formed basement membrane-like structures (vascular mimicry). Pancreatic acinar cells are purple granules or secretory vesicles (yellow arrows) and CD31-positive (black arrows) (×400). (C and D) Double staining of CD31/PAS in benign pancreatic disease. There is no dyed purple extracellular matrix-like material (magnification, ×400).

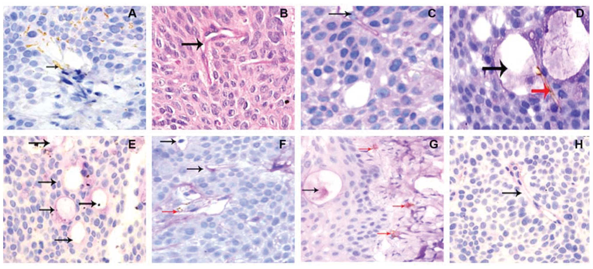
Association of VM with the expression of VE-cadherin, EphA2, MMP-2 and MMP-9 proteins in pancreatic cancer tissues

We then assessed the expression of VE-cadherin, EphA2, MMP-2 and MMP-9 proteins in pancreatic tissues for association with VM. The data showed that expression of these proteins was associated with VM formation of pancreatic cancer tissues compared to those of benign pancreatic tissues (Fig. 2 and Table II).

Figure 2

Expression of VE-cadherin, EphA2, MMP-2 and MMP-9 proteins in pancreatic cancer tissues associated with vascular mimicry formation. (A) Expression of VE-cadherin protein in vascular mimicry (black arrow). (B) Expression of EphA2 protein in vascular mimicry (black arrow). (C) Expression of MMP-9 protein in vascular mimicry (black arrow). (D) Expression of MMP-2 protein in vascular mimicry (black arrow) (magnification, ×400).

Table II

Association of VE-cadherin, EphA2, MMP-2 and MMP-9 proteins with VM.

Table II

Association of VE-cadherin, EphA2, MMP-2 and MMP-9 proteins with VM.

VM (+)VM (−)p-value
VE-cadherin (+)782<0.05
VM (−)04
EphA2 (+)688<0.05
EphA2 (−)17
MMP-2 (+)774<0.05
MMP-2 (−)03
MMP-9 (+)703<0.05
MMP-9 (−)38
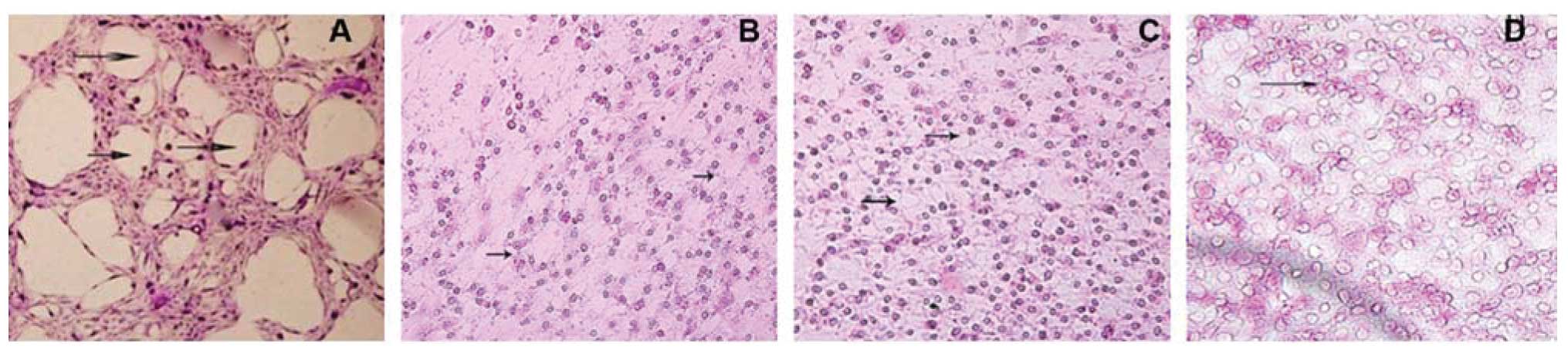
Different levels of VM in pancreatic cancer cell lines

We then detected VM in pancreatic cancer cell lines using 3D cultures and found that SW-1990 cells formed circular channel features, while Panc-1, Bxpc-3 and MiaPaCa-2 did not (Fig. 3).

Figure 3

Different levels of vasculogenic mimicry in four different pancreatic cancer cell lines (SW-1990, Panc-1, Bxpc-3 and MiaPaCa-2). (A) SW-1990 cells formed circular channel features in a 3D environment following 72 h of culture (black arrow). (B and C) Bxpc-3 and MiaPaCa-2 cells in 3D culture for 72 h. The tumor cells connected filaments (black arrows). (D) Panc-1 cells in 3D culture for 72 h. The tumor cells showed overlap growth (black arrows) (magnification, ×200).

Effects of ginsenoside Rg3 on the regulation of VM levels in vitro

Since SW-1990 cells can form VM in a 3D culture, we utilized this cell line for further study of the effects of Rg3 on the regulation of VM formation in vitro. We found that SW-1990 cells treated with 25 μmol/l ginsenoside Rg3 began to form irregular VM, while 50 μmol/l concentrations led more SW-1990 cells to form irregular vascular mimicry. Ginsenoside Rg3 (200 μmol/l) totally inhibited SW-1990 cells to form VM (Fig. 4). We then analyzed the expression of VE-cadherin, EphA2, MMP-2 and MMP-9 protein and mRNA in SW-1990 cells. We found that ginsenoside Rg3 dose-dependently reduced expression of these proteins in SW-1990 cells (p<0.05, Fig. 5A) and levels of their mRNA (Fig. 5B).

Figure 4

Effect of ginsenoside Rg3 on the regulation of vasculogenic mimicry levels in pancreatic cancer SW-1190 cells in a 3D collagen I culture. Cells were treated with different concentrations of ginsenoside Rg3. (A) Ginsenoside Rg3 (0 μmol/l), the formation of vasculogenic mimicry (black arrow). (B) Ginsenoside Rg3 (25 μmol/l) began to form irregular vascular mimicry (black arrows show vascular mimicry; red arrows show irregular vascular mimicry). (C) Ginsenoside Rg3 (50 μmol/l) formed irregular vascular mimicry (black arrow). (D) Ginsenoside Rg3 (100 μmol/l) formed irregular vascular mimicry (black arrow) or failed to form VM channels (red arrow). (E) Ginsenoside Rg3 (200 μmol/l) totally inhibited VM channel formation (black arrow) or tumor cells grew densely (red arrow). Magnification, ×200.

Figure 5

Effects of ginsenoside Rg3 on the regulation of VE-cadherin, EphA2, MMP-2 and MMP-9 expression in vitro. (A) Expression of VE-cadherin, EphA2, MMP-2 and MMP-9 proteins was analyzed using western blot analysis. Rg3 significantly reduced the levels of these proteins (p<0.05). (B) qRT-PCR. The duplicate samples were subjected to RNA isolation and qRT-PCR analysis. *p<0.05.

Effects of ginsenoside Rg3 on the regulation of tumor growth and VM formation in vivo

Next, we assessed the effects of Ginsenoside Rg3 on the regulation of tumor growth and VM formation in vivo in a nude mouse model. The data showed that Ginsenoside Rg3 dose-dependently suppressed tumor growth in nude mice (Fig. 6 and Table III). Similarly, ginsenoside Rg3 treatment of mice dose-dependently suppressed VM formation (Fig. 7 and Table IV).

Figure 6

Effect of Ginsenoside Rg3 on the regulation of pancreatic cancer SW-1990 cell xenografts in nude mice.

Figure 7

Effect of different concentrations of ginsenoside Rg3 on vasculogenic mimicry formation in nude mouse xenografts. (A) CD31 staining. CD31-positive (black arrow). (B) PAS staining. PAS-positive (black arrow). (C) CD31/PAS double staining. Tumor cell vasculogenic mimicry (black arrow). (D) CD31/PAS double staining. CD31-positive (red arrow) and PAS-positive (black arrow). (E) RG3 treatment (0 mg/kg). CD31/PAS double staining. PAS-positive (black arrow). (F) RG3 treatment (5 mg/kg). CD31/PAS double staining. CD31-positive (red arrow) and PAS-positive (black arrow). (G) RG3 treatment (10 mg/kg). CD31/PAS double staining. CD31-positive (red arrow) and PAS-positive (black arrow). (H) RG3 treatment (20 mg/kg). CD31/PAS double staining. PAS-positive (black arrow). Magnification, ×400.

Table III

Effect of ginsenoside Rg3 on regulation of pancreatic cancer cell xenograft growth in nude mice.

Table III

Effect of ginsenoside Rg3 on regulation of pancreatic cancer cell xenograft growth in nude mice.

TreatmentTumor weight (g)Tumor volume (mm3)
0 mg/kg1.48±0.130662.78±12.91
5 mg/kg1.11±0.455 414.64±13.46a
10 mg/kg0.95±0.317 351.43±20.65a
20 mg/kg0.58±0.236a 300.33±14.71a

a p<0.05.

Table IV

Effects of ginsenoside Rg3 on the regulation of tumor xenograft VM formation in vivo.

Table IV

Effects of ginsenoside Rg3 on the regulation of tumor xenograft VM formation in vivo.

VM (+)p-value
0 mg/kg2.3±1.159
5 mg/kg1.6±0.8430.563
10 mg/kg0.5±0.5720.004
20 mg/kg0.3±0.4830.002
Effects of ginsenoside Rg3 on the regulation of gene expression in tumor xenografts in vivo

Ginsenoside Rg3 treatment of nude mice also showed a dose-dependent inhibition of VE-cadherin, EphA2, MMP-2 and MMP-9 proteins (p<0.05; Fig. 8A) and mRNA in pancreatic cancer cell xenografts (p<0.05; Fig. 8B).

Figure 8

Effects of ginsenoside Rg3 on the regulation of VE-cadherin, EphA2, MMP-2 and MMP-9 protein expression in tumor xenografts in vivo. (A) Western blot analysis. (B) qRT-PCR. Tumor xenografts were resected from nude mice and subjected to western blot and qRT-PCR analysis.

Discussion

VM was first reported by Maniotis et al (4) in 1999 as a ring-shaped loop interconnecting network, which is made of extracellular matrix and melanoma tumor cells. This structure can transport erythrocytes and plays an important role in tumor progression. As a novel tumor microcirculation system, VM differs from classically described endothelium-dependent angiogenesis. In addition, VM has been observed in several other tumor types, such as laryngeal squamous cell carcinoma, ovarian cancer, breast cancer, osteosarcoma, astrocytoma and gallbladder cancer (5–10). Thus, more recently, VM has been targeted as a novel strategy to treat solid tumors (32,37). However, not all tumor cells can form VM. Histologically, VM channels are patterned networks of interconnected loops of PAS-positive extracellular matrix formed by highly malignant melanoma cells, but not by endothelia cells (4). Other studies have demonstrated that VM levels are associated with a poor prognosis in certain tumor patients (4,38–40). In the current study, we confirmed VM in pancreatic cancer tissues and cell lines, even though we did not provide patient survival data. In the 117 cases of pancreatic cancer tissues in this study, VM was shown to be expressed in 71.79% (84/117) of pancreatic cancer cases.

Moreover, previous studies have shown that VM formation is associated with the expression of particular genes, such as VE-cadherin, EphA2, MMP-2 and MMP-9. VE-cadherin belongs to the cadherin family and is specifically expressed in endothelial cells. VE-cadherin is a transmembrane protein and functions to mainly mediate adhesion between cells (41), while EphA2 is a tyrosine kinase receptor and can regulate angiogenesis. VE-cadherin protein is highly expressed in high-grade malignant melanoma cells, but is not expressed in low-grade malignant melanoma cells (41). Inhibition of VE-cadherin expression using thiosulfate-modified oligonucleotides blocks vasculogenic mimicry formation in high-grade malignant melanoma (13). Similarly, immunofluorescence staining showed that the tube-like network channels in vitro expressed phosphorylated tyrosine kinase and EphA2 proteins, whereas tyrosine kinase inhibitor and/or knockdown of EphA2 expression suppressed CM formation (15). VE-cadherin co-localizes with EphA2 at areas of cell-cell contact and directly interact during VM (14). Furthermore, matrix metalloproteinases are a group of zinc-dependent endopeptidases that degrade extracellular matrix. Seftor et al (19) reported that the expression of MMP-2, MMP-9, MMP-14 and tumor cell surface laminin receptor is significantly increased in high-grade invasive melanoma tissues. Activated MMP decomposition can cleave laminin into multiple short-chains, promoting the formation of VM. Sood et al (21) demonstrated that the expression of MMP-1, MMP-2, MMP-9, MT1-MMP and laminin is significantly increased in 3D culture of invasive ovarian cancer cells. Interestingly, they showed that the metalloproteinase inhibitor Metastat in the 3D culture could inhibit VM. Transfection with extracellular matrix metalloproteinase CD147 CDNA into low invasive ovarian cancer cells leads to the formation of VM in 3D culture. In addition, MMP-2 and MMP-9 protein levels and their activity are significantly increased, and this promoted formation of vasculogenic mimicry (6). Taken together, these proteins promote VM formation in different tumor cell lines and inhibition or knockdown of these proteins suppresses VM formation. Indeed, our current study also confirmed these studies ex vivo.

Classic tumor angiogenesis theory believes that tumor lesions greater than 1–2 mm will activate and promote endothelial cells to build new blood vessels for tumor cell growth. Thus, tumor growth, invasion, metastasis and recurrence are dependent on the blood supply (2,3). Anti-angiogenesis therapy could be a useful treatment strategy for cancer therapy. The traditional anti-angiogenesis therapies mainly target vascular endothelial cells. Liu et al (42) showed that melanin anti-angiogenesis therapy has little effect on a patient’s prognosis. Van der Schaft et al (32) reported that angiogenesis inhibitors (Anginex, TNP-470 and endostatin) inhibit angiogenesis, but cannot prevent melanoma cells forming VM. In this regard, VM formation may provide a reasonable explanation for ineffective clinical anti-angiogenesis therapy against human cancers. In the current study, we assessed ginsenoside Rg3 as an alternative strategy to inhibit VM formation for adjuvant treatment of pancreatic cancer. Indeed, previous studies reported by Shin et al (43) and Xu et al (44) showed that Ginsenoside Rg3 was able to inhibit MMP-9 expression in cultured mammalian and ovarian cancer cells and metastasis of ovarian cancer cells. Chen et al (45) revealed that Ginsenoside Rg3 inhibits MMP-2 expression in a human lung adenocarcinoma cell line. Our current study showed that Ginsenoside Rg3 treatment reduced tumor xenograft weigh and tumor size in vivo in nude mice. This was associated with the inhibition of VM formation and downregulation of VE-cadherin, EphA2, MMP-9 and MMP-2 expression.

In summary, our current study demonstrated increased VM formation in pancreatic cancer tissues when compared to benign pancreatic diseases. VM formation was associated with the expression of cell adhesion and MMP proteins. Furthermore, ginsenoside Rg3 effectively inhibited VM formation of pancreatic cancer cells in vivo and in vitro. At the gene level, ginsenoside Rg3-inhibited VM formation was associated with the downregulation of VE-cadherin, EphA2, MMP-9 and MMP-2 protein expression. Thus, our present study provides preliminary evidence for the use of Rg3 for the treatment of pancreatic cancer.

Acknowledgements

We would like to thank Dr Liwei Xie and Dr Qiaoqiao Hua of The Second Affiliated Hospital, Wenzhou Medical University (Wenzhou, China) and The Pathology Department of First Affiliated Hospital, Zhejiang University School of Medicine (Hangzhou, China) for providing help in immunohistochemistry. We are grateful for funding support from: the Administration of Traditional Chinese Medicine of Zhengjing Province, China (grant no. 2011ZZ010), Zhejiang Provincial Science Fund for Distinguished Young Scholars (grant no. LR12H280001) and the National Natural Science Foundation of China (grant no. 81173606).

References

1 

Saif M, Lee Y and Kim R: Harnessing gemcitabine metabolism: a step towards personalized medicine for pancreatic cancer. Ther Adv Med Oncol. 4:341–346. 2012. View Article : Google Scholar : PubMed/NCBI

2 

Folkman J: Angiogenesis in cancer, vascular, rheumatoid and other disease. Nat Med. 1:27–31. 1995. View Article : Google Scholar : PubMed/NCBI

3 

Bergers G and Benjamin LE: Tumorigenesis and the angiogenic switch. Nat Rev Cancer. 3:401–410. 2003. View Article : Google Scholar

4 

Maniotis AJ, Folberg R, Hess A, Seftor EA, Gardner LM, Pe’er J, Trent JM, Meltzer PS, et al: Vascular channel formation by human melanoma cells in vivo and in vitro: vasculogenic mimicry. Am J Pathol. 155:739–752. 1999. View Article : Google Scholar : PubMed/NCBI

5 

Wang W, Lin P, Han C, Cai W, Zhao X and Sun B: Vasculogenic mimicry contributes to lymph node metastasis of laryngeal squamous cell carcinoma. J Exp Clin Cancer Res. 60:2–9. 2010.PubMed/NCBI

6 

Millimaggi D, Marl M, D’Ascenzo S, Giusti I, Pavan A and Dolo V: Vasculogenic mimicry of human ovarian cancer cells: Role of CDl47. Int J Oncol. 35:1423–1428. 2009.PubMed/NCBI

7 

Clemente M, Pérez-Alenza MD, Illera JC, Illera JC and Peña L: Histological, immunohistological, and ultrastructural description of vasculogenic mimicry in canine mammary cancer. Vet Pathol. 47:265–274. 2010. View Article : Google Scholar

8 

Cai XS, Jia YW, Jiong M and Tang RY: Tumor blood vessels formation in osteosarcoma: vasculogenesis mimicry. Chin J Med. 117:94–98. 2004.PubMed/NCBI

9 

Yue WY and Chen ZP: Does vasculogenic mimicry exist in astrocytoma? J Histochem Cytochem. 539:997–1002. 2005. View Article : Google Scholar : PubMed/NCBI

10 

Sun W, Fan YZ, Zhang WZ and Ge CY: A pilot histomorphology and hemodynamic of vasculogenic mimicry in gallbladder carcinomas in vivo and in vitro. J Exp Clin Cancer Res. 46:2–11. 2011.

11 

Yue WY and Chen ZP: Vasculogenic mimicry - potential target for tumor therapy. Ai Zheng. 25:914–916. 2006.(In Chinese).

12 

Shirakawa K, Kobayashi H, Heike Y, Kawamoto S, Brechbiel MW, Kasumi F, Iwanaga T, et al: Hemodynamics in vasculogenic mimicry and angiogenesis of inflammatory breast cancer xenograft. Cancer Res. 62:560–566. 2002.PubMed/NCBI

13 

Hendrix MJ, Seftor EA, Meltzer PS, Gardner LM, Hess AR, Kirschmann DA, Schatteman GC, et al: Expression and functional signiicance of VE-cadherin in aggressive human melanoma cells: role in vasculogenic mimicry. Proc Natl Acad Sci USA. 98:8018–8023. 2001. View Article : Google Scholar : PubMed/NCBI

14 

Hess AR, Seftor EA, Gruman LM, Kinch MS, Seftor RE and Hendrix MJ: VE-cadherin regulates EphA2 in aggressive melanoma cells through a novel signaling pathway: implications for vasculogenic mimicry. Cancer Biol Ther. 5:228–233. 2006. View Article : Google Scholar : PubMed/NCBI

15 

Hess AR, Seftor EA, Gardner LM, Carles-Kinch K, Schneider GB, Seftor RE, Kinch MS, et al: Molecular regulation of tumor cell vasculogenic mimicry by tyrosine phosphorylation: role of epithelial cell kinase (Eck/EphA2). Cancer Res. 61:3250–3255. 2001.PubMed/NCBI

16 

Margaryan NV, Strizzi L, Abbott DE, Seftor EA, Rao MS, Hendrix MJ and Hess AR: EphA2 as a promoter of melanoma tumorigenicity. Cancer Biol Ther. 8:279–288. 2008. View Article : Google Scholar : PubMed/NCBI

17 

Hess AR, Margaryan NV, Seftor EA and Hendrix MJ: Deciphering the signaling events that promote melanoma tumor cell vasculogenic mimicry and their link to embryonic vasculogenesis: role of the Eph receptors. Dev Dyn. 236:3283–3296. 2007. View Article : Google Scholar : PubMed/NCBI

18 

Seftor RE, Seftor EA, Koshikawa N, Meltzer PS, Gardner LM, Bilban M, Stetler-Stevenson WG, et al: Cooperative interactions of laminin 5 gamma 2 chain, matrix metalloproteinase-2, and membrane type-1-matrix/metalloproteinase are required for mimicry of embryonic vasculogenesis by aggressive melanoma. Cancer Res. 61:6322–6327. 2001.

19 

Seftor RE, Seftor EA, Kirschmann DA and Hendrix MJ: Targeting the tumor microenvironment with chemically modified tetracyclines: inhibition of laminin 5 gamma 2 chain promigratory fragments and vasculogenic mimicry. Mol Cancer Ther. 1:1173–1179. 2002.

20 

Hess AR, Seftor EA, Seftor RE and Hendrix MJ: Phosphoinositide 3-kinase regulates membrane type 1-matrix metalloproteinase (MMP) and MMP-2 activity during melanoma cell vasculogenic mimicry. Cancer Res. 63:4757–4762. 2003.PubMed/NCBI

21 

Sood AK, Fletcher MS, Cofin JE, Yang M, Seftor EA, Gruman LM, Gershenson DM, et al: Functional role of matrix metalloproteinases in ovarian tumor cell plasticity. Am J Obstet Gynecol. 190:899–909. 2004. View Article : Google Scholar : PubMed/NCBI

22 

Yue PY, Wong DY and Wu PK: The angiosuppressive effects of 20(R)-ginsenoside Rg3. Biochem Pharmacol. 72:437–445. 2006. View Article : Google Scholar : PubMed/NCBI

23 

Han J, Hao F, Hao F, An Y, Xu Y, Xiaokaiti Y, Pan Y, et al: Ginsenoside Rg3 attenuates cell migration via inhibition of aquaporin 1 expression in PC-3M prostate cancer cells. Eur J Pharmacol. 683:27–34. 2012. View Article : Google Scholar : PubMed/NCBI

24 

Kim JW, Jung SY, Kwon YH, Lee JH, Lee YM, Lee BY and Kwon SM: Ginsenoside Rg3 attenuates tumor angiogenesis via inhibiting bioactivities of endothelial progenitor cells. Cancer Biol Ther. 13:504–515. 2012. View Article : Google Scholar : PubMed/NCBI

25 

Zhang C, Liu L, Yu Y, Chen B, Chen B, Tang C and Li X: Antitumor effects of ginsenoside Rg3 on human hepatocellular carcinoma cells. Mol Med Rep. 5:1295–1298. 2012.PubMed/NCBI

26 

Lee CK, Park KK, Chung AS and Chung WY: Ginsenoside Rg3 enhances the chemosensitivity of tumors to cisplatin by reducing the basal level of nuclear factor erythroid 2-related factor 2-mediated heme oxygenase-1/NAD(P)H quinone oxidoreductase-1 and prevents normal tissue damage by scavenging cisplatin-induced intracellular reactive oxygen species. Food Chem Toxicol. 50:2565–2574. 2012.

27 

Liu JP, Lu D, Nicholson RC, Li PY and Wang F: Toxicity of a novel anti-tumor agent 20(S)-ginsenoside Rg3: a 26-week intramuscular repeated administration study in Beagle dogs. Food Chem Toxicol. 49:1718–1727. 2011. View Article : Google Scholar : PubMed/NCBI

28 

Yuan HD, Quan HY, Zhang Y, Kim SH and Chung SH: 20(S)-Ginsenoside Rg3-induced apoptosis in HT-29 colon cancer cells is associated with AMPK signaling pathway. Mol Med Rep. 3:825–831. 2010.PubMed/NCBI

29 

Chen XP, Qian LL, Jiang H and Chen JH: Ginsenoside Rg3 inhibits CXCR4 expression and related migrations in a breast cancer cell line. Int J Clin Oncol. 16:519–523. 2011. View Article : Google Scholar : PubMed/NCBI

30 

Greenberg E, Hershkovitz L, Itzhaki O, Hajdu S, Nemlich Y, Ortenberg R, Gefen N, et al: Regulation of cancer aggressive features in melanoma cells by microRNAs. PLoS One. 6:e189362011. View Article : Google Scholar : PubMed/NCBI

31 

Folkman J: Tumor angiogenesis therapeutic implications. N Engl J Med. 285:1182–1186. 1971. View Article : Google Scholar : PubMed/NCBI

32 

Van der Schaft DW, Seftor RE, Seftor EA, Hess AR, Gruman LM, Kirschmann DA, Yokoyama Y, et al: Effects of angiogenesis inhibitors on vascular network formation by human endothelial and melanoma cells. J Natl Cancer Inst. 96:1473–1477. 2004.PubMed/NCBI

33 

Chen LX, He YJ, Zhao SZ, Wu JG, Wang JT, Zhu LM, Lin TT, et al: Inhibition of tumor growth and vasculogenic mimicry by curcumin through downregulation of the EphA2/PI3K/MMP pathway in a murine choroidal melanoma model. Cancer Biol Ther. 11:229–235. 2011. View Article : Google Scholar : PubMed/NCBI

34 

Wang HB, Lin YC, Zeng DE, Lin W, Hong CQ, Lin WZ and Chen JY: Inhibitory effect of ginsenoside Rg3 on the tube-like structure formation in human nasopharyngeal carcinoma HNE-1 cell line in vitro. Zhonghua Zhong Liu Za Zhi. 32:739–742. 2010.(In Chinese).

35 

Sun B, Zhang S, Zhang D, Yin X, Wang S, Gu Y and Wang Y: Doxycycline influences microcirculatin patterns in B16 melanoma. Exp Biol Med (Maywood). 232:1300–1307. 2007. View Article : Google Scholar : PubMed/NCBI

36 

Guo HC, Bu HQ, Luo J, Wei WT, Liu DL, Chen H, Tong HF, et al: Emodin potentiates the antitumor effects of gemcitabine in PANC-1 pancreatic cancer xenograft model in vivo via inhibition of inhibitors of apoptosis. Int J Oncol. 40:1849–1857. 2012.PubMed/NCBI

37 

Ruf W, Seftor EA, Petrovan RJ, Weiss RM, Gruman LM, Margaryan NV, Seftor RE, et al: Differential role of tissuefactor pathway inhibitors 1 and 2 in melanoma vasculogenic mimicry. Cancer Res. 63:5381–5389. 2003.PubMed/NCBI

38 

Kirschmann DA, Seftor EA, Hardy KM, Seftor RE and Hendrix MJ: Molecular pathways: vasculogenic mimicry in tumor cells: diagnostic and therapeutic implications. Clin Cancer Res. 18:2726–2732. 2012. View Article : Google Scholar : PubMed/NCBI

39 

Hendrix MJ, Seftor EA, Hess AR and Seftor RE: Vasculogenic mimicry and tumour-cell plasticity: lessons from melanoma. Nat Rev Cancer. 3:411–421. 2003. View Article : Google Scholar : PubMed/NCBI

40 

Folberg R, Arbieva Z, Moses J, Hayee A, Sandal T, Kadkol S, Lin AY, et al: Tumor cell plasticity in uveal melanoma: microenvironment directed dampening of the invasive and metastatic genotype and phenotype accompanies the generation of vasculogenic mimicry patterns. Am J Pathol. 169:1376–1389. 2006. View Article : Google Scholar

41 

Fan YZ and Sun W: Molecular regulation of vasculogenic mimicry in tumors and potential tumor-target therapy. World J Gastrointest Surg. 2:117–127. 2010. View Article : Google Scholar : PubMed/NCBI

42 

Liu R, Cao Z, Tu J, Pan Y, Shang B, Zhang G, Bao M, et al: Lycorine hydrochloride inhibits metastatic melanoma cell-dominant vasculogenic mimicry. Pigment Cell Melanoma Res. 25:630–638. 2012. View Article : Google Scholar : PubMed/NCBI

43 

Shin YM, Jung HJ, Choi WY and Lim CJ: Antioxidative, anti-inflammatory, and matrix metalloproteinase inhibitory activities of 20(S)-ginsenoside Rg3 in cultured mammalian cell lines. Mol Biol Rep. 40:269–279. 2013. View Article : Google Scholar

44 

Xu TM, Cui MH, Xin Y, Gu LP, Jiang X, Su MM, Wang DD, et al: Inhibitory effect of ginsenoside Rg3 on ovarian cancer metastasis. Chin Med J. 121:1394–1397. 2008.PubMed/NCBI

45 

Chen MW, Ni L, Zhao XG and Niu XY: The inhibition of 20(R)-ginsenoside Rg3 on the expressions of angiogenesis factors proteins in human lung adenocarcinoma cell line A549 and HUVEC304 cell. Zhongguo Zhong Yao Za Zhi. 30:357–360. 2005.(In Chinese).

Related Articles

  • Abstract
  • View
  • Download
  • Twitter
Copy and paste a formatted citation
Spandidos Publications style
Guo J, Zheng Q, Chen H, Chen L, Xu J, Chen M, Lu D, Wang Z, Tong H, Lin S, Lin S, et al: Ginsenoside Rg3 inhibition of vasculogenic mimicry in pancreatic cancer through downregulation of VE‑cadherin/EphA2/MMP9/MMP2 expression. Int J Oncol 45: 1065-1072, 2014.
APA
Guo, J., Zheng, Q., Chen, H., Chen, L., Xu, J., Chen, M. ... Lin, S. (2014). Ginsenoside Rg3 inhibition of vasculogenic mimicry in pancreatic cancer through downregulation of VE‑cadherin/EphA2/MMP9/MMP2 expression. International Journal of Oncology, 45, 1065-1072. https://doi.org/10.3892/ijo.2014.2500
MLA
Guo, J., Zheng, Q., Chen, H., Chen, L., Xu, J., Chen, M., Lu, D., Wang, Z., Tong, H., Lin, S."Ginsenoside Rg3 inhibition of vasculogenic mimicry in pancreatic cancer through downregulation of VE‑cadherin/EphA2/MMP9/MMP2 expression". International Journal of Oncology 45.3 (2014): 1065-1072.
Chicago
Guo, J., Zheng, Q., Chen, H., Chen, L., Xu, J., Chen, M., Lu, D., Wang, Z., Tong, H., Lin, S."Ginsenoside Rg3 inhibition of vasculogenic mimicry in pancreatic cancer through downregulation of VE‑cadherin/EphA2/MMP9/MMP2 expression". International Journal of Oncology 45, no. 3 (2014): 1065-1072. https://doi.org/10.3892/ijo.2014.2500
Copy and paste a formatted citation
x
Spandidos Publications style
Guo J, Zheng Q, Chen H, Chen L, Xu J, Chen M, Lu D, Wang Z, Tong H, Lin S, Lin S, et al: Ginsenoside Rg3 inhibition of vasculogenic mimicry in pancreatic cancer through downregulation of VE‑cadherin/EphA2/MMP9/MMP2 expression. Int J Oncol 45: 1065-1072, 2014.
APA
Guo, J., Zheng, Q., Chen, H., Chen, L., Xu, J., Chen, M. ... Lin, S. (2014). Ginsenoside Rg3 inhibition of vasculogenic mimicry in pancreatic cancer through downregulation of VE‑cadherin/EphA2/MMP9/MMP2 expression. International Journal of Oncology, 45, 1065-1072. https://doi.org/10.3892/ijo.2014.2500
MLA
Guo, J., Zheng, Q., Chen, H., Chen, L., Xu, J., Chen, M., Lu, D., Wang, Z., Tong, H., Lin, S."Ginsenoside Rg3 inhibition of vasculogenic mimicry in pancreatic cancer through downregulation of VE‑cadherin/EphA2/MMP9/MMP2 expression". International Journal of Oncology 45.3 (2014): 1065-1072.
Chicago
Guo, J., Zheng, Q., Chen, H., Chen, L., Xu, J., Chen, M., Lu, D., Wang, Z., Tong, H., Lin, S."Ginsenoside Rg3 inhibition of vasculogenic mimicry in pancreatic cancer through downregulation of VE‑cadherin/EphA2/MMP9/MMP2 expression". International Journal of Oncology 45, no. 3 (2014): 1065-1072. https://doi.org/10.3892/ijo.2014.2500
Follow us
  • Twitter
  • LinkedIn
  • Facebook
About
  • Spandidos Publications
  • Careers
  • Cookie Policy
  • Privacy Policy
How can we help?
  • Help
  • Live Chat
  • Contact
  • Email to our Support Team