Spandidos Publications Logo
  • About
    • About Spandidos
    • Aims and Scopes
    • Abstracting and Indexing
    • Editorial Policies
    • Reprints and Permissions
    • Job Opportunities
    • Terms and Conditions
    • Contact
  • Journals
    • All Journals
    • Oncology Letters
      • Oncology Letters
      • Information for Authors
      • Editorial Policies
      • Editorial Board
      • Aims and Scope
      • Abstracting and Indexing
      • Bibliographic Information
      • Archive
    • International Journal of Oncology
      • International Journal of Oncology
      • Information for Authors
      • Editorial Policies
      • Editorial Board
      • Aims and Scope
      • Abstracting and Indexing
      • Bibliographic Information
      • Archive
    • Molecular and Clinical Oncology
      • Molecular and Clinical Oncology
      • Information for Authors
      • Editorial Policies
      • Editorial Board
      • Aims and Scope
      • Abstracting and Indexing
      • Bibliographic Information
      • Archive
    • Experimental and Therapeutic Medicine
      • Experimental and Therapeutic Medicine
      • Information for Authors
      • Editorial Policies
      • Editorial Board
      • Aims and Scope
      • Abstracting and Indexing
      • Bibliographic Information
      • Archive
    • International Journal of Molecular Medicine
      • International Journal of Molecular Medicine
      • Information for Authors
      • Editorial Policies
      • Editorial Board
      • Aims and Scope
      • Abstracting and Indexing
      • Bibliographic Information
      • Archive
    • Biomedical Reports
      • Biomedical Reports
      • Information for Authors
      • Editorial Policies
      • Editorial Board
      • Aims and Scope
      • Abstracting and Indexing
      • Bibliographic Information
      • Archive
    • Oncology Reports
      • Oncology Reports
      • Information for Authors
      • Editorial Policies
      • Editorial Board
      • Aims and Scope
      • Abstracting and Indexing
      • Bibliographic Information
      • Archive
    • Molecular Medicine Reports
      • Molecular Medicine Reports
      • Information for Authors
      • Editorial Policies
      • Editorial Board
      • Aims and Scope
      • Abstracting and Indexing
      • Bibliographic Information
      • Archive
    • World Academy of Sciences Journal
      • World Academy of Sciences Journal
      • Information for Authors
      • Editorial Policies
      • Editorial Board
      • Aims and Scope
      • Abstracting and Indexing
      • Bibliographic Information
      • Archive
    • International Journal of Functional Nutrition
      • International Journal of Functional Nutrition
      • Information for Authors
      • Editorial Policies
      • Editorial Board
      • Aims and Scope
      • Abstracting and Indexing
      • Bibliographic Information
      • Archive
    • International Journal of Epigenetics
      • International Journal of Epigenetics
      • Information for Authors
      • Editorial Policies
      • Editorial Board
      • Aims and Scope
      • Abstracting and Indexing
      • Bibliographic Information
      • Archive
    • Medicine International
      • Medicine International
      • Information for Authors
      • Editorial Policies
      • Editorial Board
      • Aims and Scope
      • Abstracting and Indexing
      • Bibliographic Information
      • Archive
  • Articles
  • Information
    • Information for Authors
    • Information for Reviewers
    • Information for Librarians
    • Information for Advertisers
    • Conferences
  • Language Editing
Spandidos Publications Logo
  • About
    • About Spandidos
    • Aims and Scopes
    • Abstracting and Indexing
    • Editorial Policies
    • Reprints and Permissions
    • Job Opportunities
    • Terms and Conditions
    • Contact
  • Journals
    • All Journals
    • Biomedical Reports
      • Information for Authors
      • Editorial Policies
      • Editorial Board
      • Aims and Scope
      • Abstracting and Indexing
      • Bibliographic Information
      • Archive
    • Experimental and Therapeutic Medicine
      • Information for Authors
      • Editorial Policies
      • Editorial Board
      • Aims and Scope
      • Abstracting and Indexing
      • Bibliographic Information
      • Archive
    • International Journal of Epigenetics
      • Information for Authors
      • Editorial Policies
      • Editorial Board
      • Aims and Scope
      • Abstracting and Indexing
      • Bibliographic Information
      • Archive
    • International Journal of Functional Nutrition
      • Information for Authors
      • Editorial Policies
      • Editorial Board
      • Aims and Scope
      • Abstracting and Indexing
      • Bibliographic Information
      • Archive
    • International Journal of Molecular Medicine
      • Information for Authors
      • Editorial Policies
      • Editorial Board
      • Aims and Scope
      • Abstracting and Indexing
      • Bibliographic Information
      • Archive
    • International Journal of Oncology
      • Information for Authors
      • Editorial Policies
      • Editorial Board
      • Aims and Scope
      • Abstracting and Indexing
      • Bibliographic Information
      • Archive
    • Medicine International
      • Information for Authors
      • Editorial Policies
      • Editorial Board
      • Aims and Scope
      • Abstracting and Indexing
      • Bibliographic Information
      • Archive
    • Molecular and Clinical Oncology
      • Information for Authors
      • Editorial Policies
      • Editorial Board
      • Aims and Scope
      • Abstracting and Indexing
      • Bibliographic Information
      • Archive
    • Molecular Medicine Reports
      • Information for Authors
      • Editorial Policies
      • Editorial Board
      • Aims and Scope
      • Abstracting and Indexing
      • Bibliographic Information
      • Archive
    • Oncology Letters
      • Information for Authors
      • Editorial Policies
      • Editorial Board
      • Aims and Scope
      • Abstracting and Indexing
      • Bibliographic Information
      • Archive
    • Oncology Reports
      • Information for Authors
      • Editorial Policies
      • Editorial Board
      • Aims and Scope
      • Abstracting and Indexing
      • Bibliographic Information
      • Archive
    • World Academy of Sciences Journal
      • Information for Authors
      • Editorial Policies
      • Editorial Board
      • Aims and Scope
      • Abstracting and Indexing
      • Bibliographic Information
      • Archive
  • Articles
  • Information
    • For Authors
    • For Reviewers
    • For Librarians
    • For Advertisers
    • Conferences
  • Language Editing
Login Register Submit
  • This site uses cookies
  • You can change your cookie settings at any time by following the instructions in our Cookie Policy. To find out more, you may read our Privacy Policy.

    I agree
Search articles by DOI, keyword, author or affiliation
Search
Advanced Search
presentation
Oncology Letters
Join Editorial Board Propose a Special Issue
Print ISSN: 1792-1074 Online ISSN: 1792-1082
Journal Cover
March-2016 Volume 11 Issue 3

Full Size Image

Sign up for eToc alerts
Recommend to Library

Journals

International Journal of Molecular Medicine

International Journal of Molecular Medicine

International Journal of Molecular Medicine is an international journal devoted to molecular mechanisms of human disease.

International Journal of Oncology

International Journal of Oncology

International Journal of Oncology is an international journal devoted to oncology research and cancer treatment.

Molecular Medicine Reports

Molecular Medicine Reports

Covers molecular medicine topics such as pharmacology, pathology, genetics, neuroscience, infectious diseases, molecular cardiology, and molecular surgery.

Oncology Reports

Oncology Reports

Oncology Reports is an international journal devoted to fundamental and applied research in Oncology.

Experimental and Therapeutic Medicine

Experimental and Therapeutic Medicine

Experimental and Therapeutic Medicine is an international journal devoted to laboratory and clinical medicine.

Oncology Letters

Oncology Letters

Oncology Letters is an international journal devoted to Experimental and Clinical Oncology.

Biomedical Reports

Biomedical Reports

Explores a wide range of biological and medical fields, including pharmacology, genetics, microbiology, neuroscience, and molecular cardiology.

Molecular and Clinical Oncology

Molecular and Clinical Oncology

International journal addressing all aspects of oncology research, from tumorigenesis and oncogenes to chemotherapy and metastasis.

World Academy of Sciences Journal

World Academy of Sciences Journal

Multidisciplinary open-access journal spanning biochemistry, genetics, neuroscience, environmental health, and synthetic biology.

International Journal of Functional Nutrition

International Journal of Functional Nutrition

Open-access journal combining biochemistry, pharmacology, immunology, and genetics to advance health through functional nutrition.

International Journal of Epigenetics

International Journal of Epigenetics

Publishes open-access research on using epigenetics to advance understanding and treatment of human disease.

Medicine International

Medicine International

An International Open Access Journal Devoted to General Medicine.

Journal Cover
March-2016 Volume 11 Issue 3

Full Size Image

Sign up for eToc alerts
Recommend to Library

  • Article
  • Citations
    • Cite This Article
    • Download Citation
    • Create Citation Alert
    • Remove Citation Alert
    • Cited By
  • Similar Articles
    • Related Articles (in Spandidos Publications)
    • Similar Articles (Google Scholar)
    • Similar Articles (PubMed)
  • Download PDF
  • Download XML
  • View XML
Article Open Access

BCL9, a coactivator for Wnt/β‑catenin transcription, is targeted by miR‑30c and is associated with prostate cancer progression

  • Authors:
    • Xiao‑Hui Ling
    • Zhi‑Yun Chen
    • Hong‑Wei Luo
    • Ze‑Zhen Liu
    • Ying‑Ke Liang
    • Guan‑Xing Chen
    • Fu‑Neng Jiang
    • Wei‑De Zhong
  • View Affiliations / Copyright

    Affiliations: Reproductive Medicine Centre, Huizhou Municipal Central People's Hospital, Huizhou, Guangdong 516001, P.R. China, Department of Urology, Guangdong Key Laboratory of Clinical Molecular Medicine and Diagnostics, Guangzhou First People's Hospital, Guangzhou Medical University, Guangzhou, Guangdong 510180, P.R. China
    Copyright: © Ling et al. This is an open access article distributed under the terms of Creative Commons Attribution License.
  • Pages: 2001-2008
    |
    Published online on: January 29, 2016
       https://doi.org/10.3892/ol.2016.4161
  • Expand metrics +
Metrics: Total Views: 0 (Spandidos Publications: | PMC Statistics: )
Metrics: Total PDF Downloads: 0 (Spandidos Publications: | PMC Statistics: )
Cited By (CrossRef): 0 citations Loading Articles...

This article is mentioned in:



Abstract

B‑cell lymphoma 9 (BCL9), a component of aberrantly activated Wnt signaling, is an important contributing factor to tumor progression. Our previous data indicated that downregulation of the tumor suppressor microRNA‑30c (miR‑30c) was a frequent pathogenetic event in prostate cancer (PCa). However, a functional link between miR‑30c and BCL9/Wnt signaling, and their clinical and pathological significance in PCa, have not been well established. The present study demonstrated that miR‑30c serves as a key negative regulator targeting BCL9 transcription in PCa cells. Ectopic expression of miR‑30c was associated with reduced expression of Wnt pathway downstream targets, including c‑Myc, cluster of differentiation 44 and sex determining region Y‑box 9 in DU145 human PCa cells. Examination of clinical prostate specimens revealed higher levels of BCL9 expression in PCa compared with that in benign prostate tissues. After substantiating this finding by patient sample analysis, BCL9 expression or activity was observed to be closely correlated with PCa biochemical recurrence (BCR) and disease progression, whereas it was inversely associated with miR‑30c. Furthermore, overexpression of BCL9 in PCa acted cooperatively with miR‑30c low expression to predict earlier BCR in PCa. These findings indicate that inhibition of BCL9/Wnt signaling by miR‑30c is important in the progression of PCa. Furthermore, the combined analysis of miR‑30c and BCL9 may be valuable tool for prediction of BCR in PCa patients following radical prostatectomy.

Introduction

Prostate cancer (PCa) is the second leading cause of cancer-related mortality in men (1). During the progression of PCa, a number of factors play important roles, including genetic and epigenetic alternations and the tumor microenvironment. Previous studies have indicated that a single oncogenic event is not sufficient to initiate prostate neoplasia, and that cooperating oncogenic events are required (2). Accordingly, a detailed understanding of how oncogenic aberrations in PCa may cooperate with one another to augment malignant progression and produce an aggressive, metastasis-prone tumor are critical.

MicroRNAs (miRNAs) are small non-coding RNAs of 18–25 nucleotides, which negatively regulate gene expression by binding to regulatory sites predominantly located in the 3′-untranslated region (3-UTR) of a transcript (3). Numerous miRNAs have been demonstrated to be involved in a wide range of biological functions, including cellular proliferation, migration, differentiation and apoptosis (4). The dysregulation of these miRNAs has been implicated in cancer development and metastasis, and may be useful in predicting the outcome of various malignancies, including PCa (5).

Previous studies, including our own, have demonstrated that miRNAs and components of the intracellular miRNA machinery exhibit widespread dysregulation in PCa biology (6,7). We have also shown that microRNA-30c (miR-30c) acts as a tumor suppressor gene in PCa cells by inhibiting proliferation, migration, invasion and metastasis (8). Accordingly, our results further demonstrated the involvement of miR-30c in PCa progression and suggested its potential role as an independent predictor of biochemical recurrence (BCR)-free survival (8). miR-30c has been demonstrated to be involved in inhibiting the self-renewal capacity of breast tumor-initiating cells via reducing ubiquitin carrier protein 9, in inducing cellular senescence via regulating B-Myb, and in promoting an invasive phenotype via reducing epithelial-to-mesenchymal transition (EMT) (9–11). However, whilst accumulating evidence indicates an involvement of aberrant miR-30c expression in carcinogenesis, there are still limited data available regarding the functional role and mechanism of miR-30c in PCa.

The canonical Wnt/β-catenin pathway has been implicated in the pathogenesis of a broad range of human cancers (12), and its components have emerged as targets for cancer therapy (13). Numerous coactivators for β-catenin transcription have been identified, including B-cell lymphoma 9 (BCL9), its homolog BCL9-like, Pygopus and others (14,15). The human BCL9 gene was first identified by cloning the t(1;14)(q21;q32) translocation from a patient with precursor B-cell acute lymphoblastic leukemia (16). BCL9 is overexpressed in a variety of malignancies and, as a component of the aberrantly activated Wnt signaling pathway, promotes cell proliferation, migration, invasion and metastasis of tumor cells (17,18). Previous studies have identified BCL9 as a direct target of miR-30c in a number of cancer types (19,20). However, a functional link between miR-30c and the Wnt pathway coactivator BCL9, and their association with clinicopathological variables in PCa have not been established.

The present study aimed to investigate the effects of miR-30c overexpression on BCL9 in PCa cells, and whether BCL9 is a direct target of miR-30c. In addition, the effects of ectopic expression of miR-30c on the expression of Wnt pathway downstream targets, including c-Myc, CD44 and SOX9 were explored. Furthermore, the association between BCL9 expression and various clinicopathological factors, including Gleason score and BCR, were assessed. The findings indicate that there is a functional link between miR-30c and BCL9 in PCa, and that the small molecule miR-30c may serve as a potential therapy by inhibiting the BCL9/β-catenin interaction and selectively suppressing oncogenic Wnt transcription.

Materials and methods

Patients and tissues samples

Approval for the present study was obtained from the Research Ethics Committee of Guangzhou First People's Hospital Affiliated to Guangzhou Medical University (Guangzhou, China). For miRNA extraction and immunohistochemistry, 98 tumor tissue samples were obtained from PCa patients who underwent radical prostatectomy at Guangzhou First People's Hospital between January 2002 and August 2012. In addition, 20 benign prostate hyperplasia (BPH) specimens obtained by transurethral resection of the prostate were collected for subsequent experiments. Patients with PCa who received radiotherapy or hormonal treatment prior to surgery were excluded. PCa cases were classified by the World Health Organization criteria (21) and staged according to the tumor node metastasis classification (22) and the Gleason grading system (23). The detailed characteristics of these patients are presented in Table I. BCR was defined as a postoperative serum prostate-specific antigen (PSA) level of ≥0.2 ng/ml.

Table I.

Characteristics of prostate cancer patients (n=98).

Table I.

Characteristics of prostate cancer patients (n=98).

Clinicopathological featureValue
Age
  Median, years63
  Range, years54–83
Preoperative prostate-specific antigen (ng/ml), n
  ﹤417
  4–1063
  ≥1018
Gleason score, n
  633
  754
  8  6
  9  5
Pathological tumor stage, n
  pT268
  pT325
  pT4  5
Follow-up, months
  Median45
  Range1–128
Biochemical recurrence (months), n18
  1–12  7
  13–24  6
  >24  5
Cell culture and reagents

The DU145 prostate cancer cell line (American Type Culture Collection, Rockville, MD, USA) was cultured in RPMI 1640 medium (GE Healthcare Life Sciences, Logan, UT, USA), supplemented with fetal bovine serum (Gibco; Thermo Fisher Scientific, Inc., Waltham, MA, USA) and 100 U/ml penicillin and 100 µg/ml streptomycin (Invitrogen; Thermo Fisher Scientific, Inc.) and maintained at 37°C in an atmosphere of 5% CO2.

Transfection of mature miRNA

For transient transfection, 0.5×105 DU145 cells were plated in 24 well plates, 12 h prior to transfection. The pGCMV/EGFP/Neo vector (catalog no., C05001) with overexpression of miR-30c was purchased from Shanghai GenePharma Co., Ltd. (Shanghai, China). The blank vector was used as negative control. DU145 human prostate carcinoma cells were transiently transfected with mature miR-30c or control (miR-NC) using Invitrogen™ Lipofectamine 2000 reagent (Thermo Fisher Scientific, Inc.) according to the manufacturer's instructions. Following the transfection of cells, BCL9 and several Wnt pathway downstream targets were detected by western blot analysis.

Western blot analysis

Following the standard protocol, total proteins were extracted from cultured cells using 200 µl M-PER Mammalian Protein Extraction Reagent (Thermo Fisher Scientific, Inc.). Protein concentration was measured using a bicinchoninic acid protein assay kit (Thermo Fisher Scientific, Inc.). Total protein concentration was calculated by measuring the absorbance at a wavelength of 260 nm (NanoDrop 2000c Spectrophotometer; Thermo Fisher Scientific Inc., Wilmington, DE, USA). Next, the lysates were separated by sodium dodecyl sulfate-polyacrylamide gel electrophoresis (NuPAGE™ Novex 4–12% Bis-Tris Gel; catalog no., NP0322BOX; Thermo Fisher Scientific, Inc., Waltham, MA, USA) and blotted onto polyvinylidene fluoride (PVDF) membranes (catalog no., IPFL00010; EMD Millipore, Billerica, MA, USA). The PVDF membranes were blocked with 5% skim milk in phosphate-buffered saline (PBS)-Tween 20 and probed with rabbit polyclonal IgG antibodies against human BCL9 (catalog no., ab37305; dilution, 1:200; Abcam, Cambridge, MA, USA), SOX9 (catalog no., sc-20095; dilution, 1:200; Santa Cruz Biotechnology, Inc., Santa Cruz, CA, USA), c-Myc (catalog no., sc-764; dilution, 1:200; Santa Cruz Biotechnology) or CD44 (catalog no., ab41478; dilution, 1:1,000; Abcam), or a mouse monoclonal IgG1 antibody against human β-actin (catalog no., sc-47778; dilution, 1:100; Santa Cruz Biotechnology) overnight at 4°C. The membranes were then washed with Tris-Buffered Saline with Tween 20 and incubated with alkaline phosphatase-conjugated goat anti-rabbit (catalog no., SAB3700852; dilution, 1:2,000; Sigma-Aldrich, St. Louis, MO, USA) or anti-mouse IgG secondary antibody (catalog no., A2179; dilution, 1:2,000; Sigma-Aldrich) for 1 h at room temperature. Signals were visualized using SuperSignal West Pico Chemiluminescent Substrate (Thermo Fisher Scientific, Inc.) and the STORM 860 Molecular Imager (Amersham Biosciences, Uppsala, Sweden).

Luciferase reporter assay

The putative miR-30c complementary site in the 3′-UTR of BCL9 mRNA, or mutant sequence, were cloned into the pGL3 luciferase reporter vector (Promega Corporation, Madison, WI, USA) (Fig. 1A). Cultured DU145 cells were cotransfected with 10–24 ng Firefly reporter wild-type BCL9 constructs or the mutant vector (3′-UTR-BCL9wt FLuci or 3′-UTR-BCL9mut FLuci vectors; Promega Corporation), 3 ng Renilla reporter plasmid pGL3 and 30 nM miR-30c mimic or NC mimic. Following 48 h of transfection, PCa cells were harvested, and reporter assays were performed using a Dual-Glo® Luciferase Assay System (Promega Corporation) based on the manufacturer's protocol. The results of the relative reporter activity were normalized to the activity of the Renilla luciferase second reporter (internal control), according to the manufacturer's protocol. The experiment was conducted in triplicate.

Figure 1.

BCL9 is a direct target of miR-30c in PCa cells. (A) The sequence alignment of miR-30c, with the ‘seed’ binding sequences on the 3′-UTR region of BCL9 mRNA. (B) Reverse transcription-quantitative polymerase chain reaction verification of induced ectopic expression of miR-30c in DU145 cells following transduction of miR-30c or miR-NC (negative control). (C and D) Western blot analysis confirmed that proteins of multiple target genes of the Wnt/β-catenin pathway, including c-Myc, CD44, SOX9 and BCL9, were substantially downregulated in miR-30c-expressing DU145 cells. β-actin was used as an internal loading control. (D) Quantification of western blot revealed that ectopic expression of miR-30c significantly inhibited BCL9 protein levels in DU145 cells. (E) Luciferase activity was detected following transfection of FLuci vector (3-UTR-BCL9wt FLuci or 3-UTR-BCL9mut FLuci vectors) into miR-30c- or miR-NC-transfected DU145 cells. **P<0.01. CMV, cytomegalovirus; BCL9, B-cell lymphoma 9; miR, microRNA; PCa, prostate cancer; 3-UTR, 3-untranslated region; wt, wild type; mut, mutated.

Immunohistochemical analysis

BCL9 expression was detected by immunohistochemistry assays performed on formalin-fixed, paraffin-embedded slides of PCa and BPH tissues. The tissues were cut into 5 µm-thick sections. Using a Dako EnVision system (Dako Diagnostics AG, Zug, Switzerland), the slides were deparaffinized with xylene and rehydrated for further hematoxylin and eosin and immunohistochemical staining. Following proteolytic digestion (Trypsin Enzymatic Antigen Retrieval Solution; catalog no., ab970; Abcam) and peroxidase blocking with hydrogen peroxide blocking reagent (catalog no., ab94666; Abcam) of tissue slides, the slides were incubated overnight at 4°C with the primary antibody against BCL9 protein (ab37305; Abcam) at a dilution of 1:150. After washing, the staining was visualized with a peroxidase-labeled polymer (EnVision; Dako, Glostrup, Denamark) and DAB substrate-chromogen system (Dako) using an Olympus AX70 microscope (Olympus Corporation, Tokyo, Japan).

The stained slides were scored independently by two experienced pathologists in a blinded manner. If any discrepant scores were generated, the pathologists simultaneously re-examined the slide to achieve a consensus score. The percentages of positively staining cells exhibiting immunoreactivity in the cell nucleus and cytoplasm in 10 representative microscopic fields were calculated and a score of 0–4 was assigned, as follows: 0, 0%; 1, 1–25%; 2, 26–50%; 3, 51–75%; or 4, 76–100%. Meanwhile, the staining intensity of the cells was calculated and scored as follows: 0, no staining; 1, weakly positive; 2, moderately positive; or 3, strongly positive. The sum of the two scores was calculated to determine a final staining score. Tumor specimens with an overall score of ≥3 were considered to be positive.

miRNA reverse transcription-quantitative polymerase chain reaction (RT-qPCR)

This assay was conducted as previously described (8). miRNA was extracted from 98 PCa frozen tissues and transfected DU145 cells using an miRNA Fast Extraction Kit (BioTeke Corporation, Beijing, China). The primers specific for miR-30c and the internal control, RNU6B, were purchased from Thermo Fisher Scientific, Inc. The primer sequences were as follows: Forward, 5′-TGTGTTTTTATTGTTTTTGTTGTCCCA-3′ and reverse, 5′-GGGACAGAACAGGTTAATGGGAA-3′ for miR-30c; and forward, 5′-CTCGCTTCGGCAGCACA-3′ and reverse, 5′-AACGCTTCACGAATTTGCGT-3′ for RNU6B. cDNA synthesis and amplification were performed according to the instructions of the All-in-One™ miRNA qRT-PCR detection kit (GeneCopoeia, Inc., Guangzhou, China) with the specific primers. PCR was performed using the MyiQ2 Two-Color Real-Time PCR Detection System (Bio-Rad Laboratories, Inc.) under the following conditions: Initial denaturation step at 95°C for 5 min, followed by 40 cycles at 95°C for 10 seconds and 60°C for 20 sec, with a final extension step at 72°C for 20 sec. All assays were conducted in triplicate. Relative quantification of miR-30c was performed using IQ5 Standard Edition Optical System version 2.0 software (Bio-Rad Laboratories, Inc.) and the comparative quantification cycle (Cq) method (24), and normalized to the expression of RNU6B. For the analysis of the possible correlations between miR-30c expression levels and BCR, the 98 PCa patients were divided into a negative and a positive expression group according to median relative expression of miR-30c.

Statistical analysis

All statistical analyses were performed using SPSS version 17.0 for Windows (SPSS, Inc., Chicago, IL, USA). Continuous variables were compared using a Students t-test. The associations between miR-30c and BCL9 expression were assessed by Spearman's rank correlation coefficient. Associations between BCL9 and clinicopathological variables were evaluated by Fisher's exact or Pearsons χ2 tests. Kaplan-Meier survival curves were generated to evaluate the effect of miR-30c and BCL9 expression levels on survival rate. A Cox proportional hazards regression model was used to establish independent factors associated with BCR. P<0.05 was considered to indicate a statistically significant difference.

Results

BCL9 is a direct target of miR-30c in PCa cells

The present study first investigated whether BCL9 is modulated by miR-30c in PCa cells. DU145 cells were transiently transfected with miR-30c vector or blank vector (miR-NC). Subsequent RT-qPCR analysis confirmed that the miR-30c expression level was significantly increased in cells transfected with miR-30c compared with those transfected with miR-NC (P<0.001) (Fig. 1B). The cells were then used for further assays. Western blot analysis revealed that ectopic expression of miR-30c was associated with a significant reduction in the expression of BCL9 protein (P=0.007; Fig. 1C and D). Consistent with the role of BCL9 as a transcriptional coactivator of the Wnt signaling pathway, proteins of multiple target genes of the Wnt/β-catenin pathway, including c-Myc, CD44 and SOX9, were observed to be substantially downregulated in miR-30c-transfected DU145 cells compared with their expression in miR-NC-transfected cells (all P<0.001; Fig. 1C) (17,25).

To further determine whether miR-30c may interact directly with BCL9 protein, a luciferase reporter assay was conducted. Using the databases TargetScan (http://targetscan.org/), PicTar (http://pictar.mdc-berlin.de/) and miRDB (http://www.mirdb.org/miRDB/), the 3′-UTR of BCL9 containing a sequence motif matching with the ‘seed’ sequence of miR-30c was identified (Fig. 1A). The wild-type and mutant BCL9 3′-UTR reporter vectors (Fig. 1A) were cotransfected into DU145 cells, together with miR-30c or miR-NC. The luciferase activity of wild-type, but not mutant, BCL9 3′-UTR reporters was significantly downregulated when cotransfected with miR-30c compared with that of miR-NC-transfected cells, confirming that BCL9 is a direct target of miR-30c (P=0.004; Fig. 1E).

BCL9 is upregulated in PCa tissues, and its expression is inversely correlated with miR-30c expression

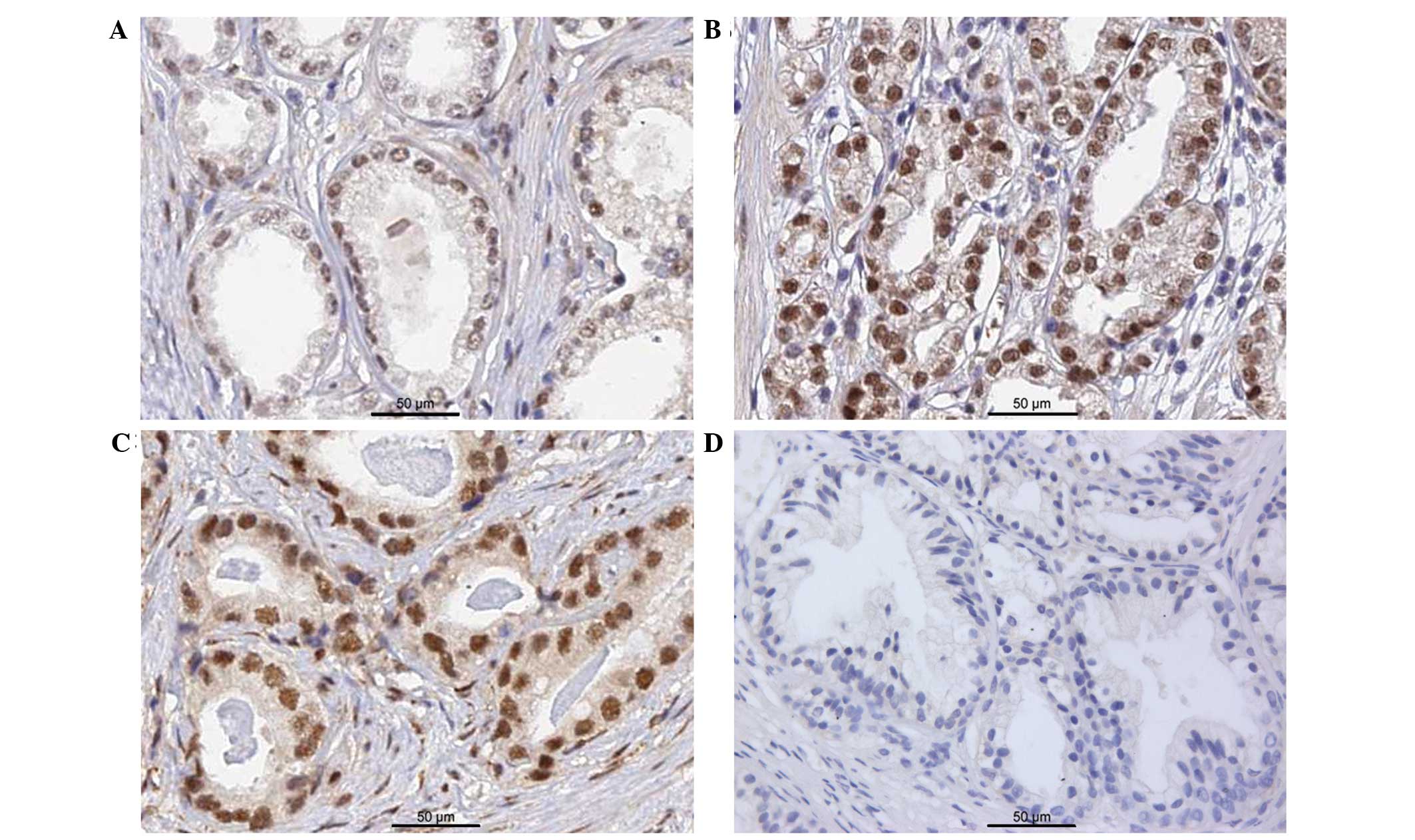
Immunohistochemical analyses were conducted on tissue samples from a cohort comprising 98 PCa and 20 BPH cases, using an antibody specific for BCL9. Staining was predominantly distributed in the nuclei of PCa cells (Fig. 2A–C). In some sections of BPH tissues, very faint BCL9 staining was observed when compared to PCa tissues, and was considered in the negative range (Fig. 2D). The positive expression rate of BCL9 in the tissues from PCa patients (52/98; 53.1%) was significantly higher than that in normal prostate tissues (5/20; 25.0%) (P=0.022).

Figure 2.

Immunohistochemical staining of BCL9 in PCa and benign prostate tissues reveals that BCL9 is upregulated in PCa tissues. Positive BCL9 staining with (A) low, (B) intermediate and (C) high expression levels in PCa observed predominantly in the cell nuclei. (D) Negative BCL9 staining in benign prostate tissue. BCL9, B-cell lymphoma 9; PCa, prostate cancer.

To further investigate the association between BCL9 expression and miR-30c levels, RT-qPCR was conducted to quantify the expression of miR-30c in the samples from the 98 PCa patients. A non-parametric Spearman's rank correlation coefficient (rS) analysis was then conducted using the cases with both miR-30c and BCL9 protein quantification data. The results indicated that BCL9 and miR-30c expression across these cases was significantly inversely correlated (rS=0.38; P<0.001).

BCL9 is associated with clinicopathological features

The possible correlation between BCL9 and clinicopathological features was further investigated in 98 PCa patients. As shown in Table II, increased expression levels of BCL9 were frequently observed in PCa patients with a high Gleason score (P=0.016) and BCR (P=0.020). However, a statistically significant correlation was not identified between BCL9 expression and other features, including preoperative PSA levels (P=0.326), pathological stage (P=0.073) and surgical margin (P=0.111).

Table II.

BCL9 expression and clinicopathological features.

Table II.

BCL9 expression and clinicopathological features.

BCL9 expression, n (%)

Clinicopathological featuresNo. of patientsNegativePositiveP-value
Preoperative PSA (ng/ml) 0.326
  <107939 (49.4)40 (50.6)
  ≥1019  7 (36.8)12 (63.2)
Gleason score 0.016
  ≤63322 (66.7)11 (33.3)
  75421 (38.9)33 (61.1)
  ≥811  3 (27.3)  8 (72.7)
Pathological tumor stage 0.073
  pT26836 (52.9)32 (47.1)
  pT3-pT43010 (33.3)20 (66.7)
Surgical margin status 0.111
  Negative8141 (50.6)40 (49.4)
  Positive17  5 (29.4)12 (70.6)
Biochemical recurrence 0.020
  Negative8042 (52.5)38 (47.5)
  Positive18  4 (22.2)14 (77.8)

[i] BCL9, B-cell lymphoma 9; PSA, prostate-specific antigen.

Coexpression status of miR-30c and BCL9 predicts BCR

Our previous data indicated the involvement of miR-30c in PCa progression and suggested its potential role as an independent predictor of BCR in PCa (8). In the present study, the combined utility of these two biomarkers was investigated with regard to predicting BCR in patients who had undergone radical prostatectomy. A Kaplan-Meier analysis revealed that increased BCL9 expression (P=0.037) and reduced miR-30c expression (P=0.023) were significant predictors of shorter BCR-free survival time (Fig. 3A and B). Furthermore, the group of PCa patients with miR-30c-negative and BCL9-positive expression had a significantly lower BCR-free survival relative to patients with a miR-30c-positive and BCL9-negative combined expression status (P=0.010) (Fig. 3C) or to those with any other combined expression status (P=0.001) (Fig. 3D).

Figure 3.

Coexpression of miR-30c and BCL9 predicts BCR. Kaplan-Meier curves for the BCR-free survival of PCa patients according to (A) BCL9 and (B) miR-30c expression status, and (C and D) combined expression status of BCL9 and miR-30c (other groups: miR-30c-positive/BCL9-negative; miR-30c-positive/BCL9-positive; miR-30c-negative/BCL9-negative). miR, microRNA; BCL9, B-cell lymphoma 9; BCR, biochemical recurrence.

When a univariate Cox proportional hazards regression model was applied, the pathological stage (P=0.001), Gleason score (P<0.001), PSA level (P=0.001) and surgical margin (P=0.003) were identified to be significant predictors of BCR. Furthermore, a high hazard ratio (HR) for BCR was observed in patients with miR-30c-negative and BCL9-positive expression (HR, 5.79; 95% confidence interval, 1.28–26.19; P=0.023) (Table III). On multivariate analysis, miR-30c-negative and BCL9-positive expression (HR, 5.08; P=0.048) and a higher Gleason score (HR, 6.89; P=0.006) were revealed to be independent prognostic factors for poor BCR-free survival (Table III).

Table III.

Univariate and multivariate analyses with Cox proportional hazards regression model for biochemical recurrence-free survival.

Table III.

Univariate and multivariate analyses with Cox proportional hazards regression model for biochemical recurrence-free survival.

VariablesHR (95% CI)P-value
Univariate
  miR-30c/BCL9 status5.79 (1.28–26.19)   0.023
  Gleason score3.39 (2.10–5.47)<0.001
  Preoperative PSA1.01 (1.01–1.04)   0.001
  Pathological tumor stage4.78 (1.84–12.37)   0.001
  Surgical margin status4.14 (1.63–10.53)   0.003
Multivariate
  miR-30c/BCL9 status5.08 (1.02–25.39)   0.048
  Gleason score6.89 (1.75–27.13)   0.006
  Preoperative PSA0.97 (0.89–1.05)   0.449
  Pathological tumor stage1.29 (0.20–5.79)   0.744
  Surgical margin status2.10 (0.60–7.31)   0.246

[i] HR, hazard ratio; CI, confidence interval; miR, microRNA; BCL9, B-cell lymphoma 9; PSA, prostate-specific antigen.

Discussion

Our previous study demonstrated that miR-30c serves as a tumor suppressor, and its aberrant expression is associated with PCa progression (8). However, the underlying mechanisms of the tumor-suppressive role of miR-30c have not been well described, particularly its role in the Wnt/β-catenin pathway. The canonical Wnt/β-catenin pathway constitutes a receptor-mediated signal transduction network during normal embryonic development and adult tissue homeostasis, and plays a critical role in multiple types of human cancer, including PCa (26). Although the Wnt/β-catenin pathway is constitutively activated in PCa, mutations that have frequently been shown to activate the pathway in other malignancies (e.g., β-catenin mutation or adenomatous polyposis coli truncation in colon cancers) have rarely been observed in PCa (27,28). Therefore, further investigation of the Wnt/β-catenin signaling components is merited.

Earlier studies revealed that dysregulation of BCL9 expression is an oncogenic mechanism of Wnt pathway activation (29). BCL9 serves fundamental roles in tumor progression by increasing tumor load, metastasis, angiogenesis and invasion through regulation of Wnt target genes (30,31). The current investigation identified significant overexpression of BCL9 in PCa tissues compared with that of BPH tissues. This finding is consistent with a number of previous studies that have reported elevated levels of BCL9 in other cancer types (17,32). Further investigation in the present study indicated that increased expression of BCL9 was associated with pathological predictors of PCa aggressiveness. Furthermore, Kaplan-Meier survival curves indicated that BCL9 expression was closely associated with BCR in PCa patients; those with high levels of BCL9 and low levels of miR-30c experienced earlier BCR following radical prostatectomy. Meanwhile, the Cox proportional hazards regression model revealed that BCL9 and miR-30c coexpression could serve as an independent predictor of BCR-free survival in PCa patients. These findings support the notion that BCL9 may have potential as a biomarker for PCa, and that therapeutic approaches targeting aberrant levels of BCL9 should be explored as a potential approach to improve clinical outcomes.

The current study identified a new signaling pathway in PCa connecting miR-30c to BCL9/Wnt/β-catenin transcriptional activity. The connection is achieved by the silencing of the miR-30c locus, which targets BCL9 at its 3′-UTR. These results are in agreement with those of previous studies documenting a link between miR-30c (also denoted as miR-30c-5p) and BCL9 in other cancer types, including ovarian carcinoma and multiple myeloma (19,20). More importantly, the current analysis of expression patterns in PCa patient samples indicated that expression levels of miR-30c and BCL9 are inversely correlated, corroborating the physiological significance of a miR-30c-mediated BCL9 inhibitory mechanism in PCa biology. The other well-known functions of miR-30c include its ability to regulate the expression of several targets. For example, a previous study found that miR-30c directly targeted and downregulated Rab18 expression and inhibited the proliferation of non-small cell lung cancer cells (33). miR-30c also regulates invasion of breast cancer by targeting the cytoskeletal network genes encoding twinfilin 1 and vimentin, important for the EMT (34). Additional studies are likely to further highlight the association between miR-30c and these identified targets in PCa.

In conclusion, the present study demonstrated that the tumor suppressor miR-30c is involved in PCa pathogenesis, possibly by targeting BCL9, which is a known transcriptional coactivator of the Wnt/β-catenin signaling pathway. Furthermore, the coexpression status of BCL9 and miR-30c is associated with PCa progression. Further studies are required to validate the clinical utility of BCL9 and miR-30c as prognostic biomarkers in large and multicenter PCa patient cohorts.

Acknowledgements

The present study was supported by grants from the Key Projects of Huizhou Municipal Central People's Hospital [no. (2014)#115], the National Natural Science Foundation of China (nos. 81170699, 81272813, 81200550), the Science and Technology Project of Guangdong (no. 2014A020212035) and the Medical Research Fund of Guangdong (no. A2012489).

References

1 

Kakehi Y: Watchful waiting as a treatment option for localized prostate cancer in the PSA era. Jpn J Clin Oncol. 33:1–5. 2003. View Article : Google Scholar : PubMed/NCBI

2 

Heng HH, Bremer SW, Stevens JB, Ye KJ, Liu G and Ye CJ: Genetic and epigenetic heterogeneity in cancer: A genome-centric perspective. J Cell Physiol. 220:538–547. 2009. View Article : Google Scholar : PubMed/NCBI

3 

Wu Q, Song R, Ortogero N, Zheng H, Evanoff R, Small CL, Griswold MD, Namekawa SH, Royo H, Turner JM, et al: The RNase III enzyme DROSHA is essential for microRNA production and spermatogenesis. J Biol Chem. 287:25173–25190. 2012. View Article : Google Scholar : PubMed/NCBI

4 

Plaisier CL, Pan M and Baliga NS: A miRNA-regulatory network explains how dysregulated miRNAs perturb oncogenic processes across diverse cancers. Genome Res. 22:2302–2314. 2012. View Article : Google Scholar : PubMed/NCBI

5 

Kent OA and Mendell JT: A small piece in the cancer puzzle: microRNAs as tumor suppressors and oncogenes. Oncogene. 25:6188–6196. 2006. View Article : Google Scholar : PubMed/NCBI

6 

He HC, Han ZD, Dai QS, Ling XH, Fu X, Lin ZY, Deng YH, Qin GQ, Cai C, Chen JH, et al: Global analysis of the differentially expressed miRNAs of prostate cancer in Chinese patients. BMC Genomics. 14:7572013. View Article : Google Scholar : PubMed/NCBI

7 

Rane JK, Scaravilli M, Ylipää A, Pellacani D, Mann VM, Simms MS, Nykter M, Collins AT, Visakorpi T and Maitland NJ: MicroRNA Expression Profile of Primary Prostate Cancer Stem Cells as a Source of Biomarkers and Therapeutic Targets. Eur Urol. 67:7–10. 2014. View Article : Google Scholar : PubMed/NCBI

8 

Ling XH, Han ZD, Xia D, He HC, Jiang FN, Lin ZY, Fu X, Deng YH, Dai QS, Cai C, et al: MicroRNA-30c serves as an independent biochemical recurrence predictor and potential tumor suppressor for prostate cancer. Mol Biol Rep. 41:2779–2788. 2014. View Article : Google Scholar : PubMed/NCBI

9 

Yu F, Deng H, Yao H, Liu Q, Su F and Song E: Mir-30 reduction maintains self-renewal and inhibits apoptosis in breast tumor-initiating cells. Oncogene. 29:4194–4204. 2010. View Article : Google Scholar : PubMed/NCBI

10 

Martinez I, Cazalla D, Almstead LL, Steitz JA and DiMaio D: miR-29 and miR-30 regulate B-Myb expression during cellular senescence. Proc Natl Acad Sci USA. 108:522–527. 2011. View Article : Google Scholar : PubMed/NCBI

11 

Zhong Z, Xia Y, Wang P, Liu B and Chen Y: Low expression of microRNA-30c promotes invasion by inducing epithelial mesenchymal transition in non-small cell lung cancer. Mol Med Rep. 10:2575–2579. 2014.PubMed/NCBI

12 

Yun SI, Kim HH, Yoon JH, Park WS, Hahn MJ, Kim HC, Chung CH and Kim KK: Ubiquitin specific protease 4 positively regulates the WNT/β-catenin signaling in colorectal cancer. Mol Oncol. 9:1834–1851. 2015. View Article : Google Scholar : PubMed/NCBI

13 

Carotenuto M, De Antonellis P, Liguori L, Benvenuto G, Magliulo D, Alonzi A, Turino C, Attanasio C, Damiani V, Bello AM, et al: H-Prune through GSK-3β interaction sustains canonical WNT/β-catenin signaling enhancing cancer progression in NSCLC. Oncotarget. 5:5736–5749. 2014. View Article : Google Scholar : PubMed/NCBI

14 

Kramps T, Peter O, Brunner E, Nellen D, Froesch B, Chatterjee S, Murone M, Züllig S and Basler K: Wnt/wingless signaling requires BCL9/legless-mediated recruitment of pygopus to the nuclear beta-catenin-TCF complex. Cell. 109:47–60. 2002. View Article : Google Scholar : PubMed/NCBI

15 

Townsley FM, Cliffe A and Bienz M: Pygopus and Legless target Armadillo/beta-catenin to the nucleus to enable its transcriptional co-activator function. Nat Cell Biol. 6:626–633. 2004. View Article : Google Scholar : PubMed/NCBI

16 

Willis TG, Zalcberg IR, Coignet LJ, Wlodarska I, Stul M, Jadayel DM, Bastard C, Treleaven JG, Catovsky D, Silva ML, et al: Molecular cloning of translocation t(1;14)(q21;q32) defines a novel gene (BCL9) at chromosome 1q21. Blood. 91:1873–1881. 1998.PubMed/NCBI

17 

Mani M, Carrasco DE, Zhang Y, Takada K, Gatt ME, Dutta-Simmons J, Ikeda H, Diaz-Griffero F, Pena-Cruz V, Bertagnolli M, et al: BCL9 promotes tumor progression by conferring enhanced proliferative, metastatic, and angiogenic properties to cancer cells. Cancer Res. 69:7577–7586. 2009. View Article : Google Scholar : PubMed/NCBI

18 

Deka J, Wiedemann N, Anderle P, Murphy-Seiler F, Bultinck J, Eyckerman S, Stehle JC, André S, Vilain N, Zilian O, et al: Bcl9/Bcl9l are critical for Wnt-mediated regulation of stem cell traits in colon epithelium and adenocarcinomas. Cancer Res. 70:6619–6628. 2010. View Article : Google Scholar : PubMed/NCBI

19 

Zhao JJ, Lin J, Zhu D, Wang X, Brooks D, Chen M, Chu ZB, Takada K, Ciccarelli B, Admin S, et al: miR-30-5p functions as a tumor suppressor and novel therapeutic tool by targeting the oncogenic Wnt/β-catenin/BCL9 pathway. Cancer Res. 74:1801–1813. 2014. View Article : Google Scholar : PubMed/NCBI

20 

Jia W, Eneh JO, Ratnaparkhe S, Altman MK and Murph MM: MicroRNA-30c-2* expressed in ovarian cancer cells suppresses growth factor-induced cellular proliferation and downregulates the oncogene BCL9. Mol Cancer Res. 9:1732–1745. 2011. View Article : Google Scholar : PubMed/NCBI

21 

World Health Organization. HO (2010) International statistical classification of diseases and related health problems. 10th revision. 2:2010.http://www.who.int/classifications/icd/ICD10Volume2_en_2010.pdfAccessed. August 10–2012

22 

International Union Against Cancer (UICC): Urological Tumors, Prostate. TNM Classification of Malignant Tumours (6th). Sobin LH and Wittekind Ch: (New York, NY). Wiley-Liss. 184–187. 2002.

23 

Montironi R, Mazzuccheli R, Scarpelli M, Lopez-Beltran A, Fellegara G and Algaba F: Gleason grading of prostate cancer in needle biopsies or radical prostatectomy specimens: Contemporary approach, current clinical significance and sources of pathology discrepancies. BJU Int. 95:1146–1152. 2005. View Article : Google Scholar : PubMed/NCBI

24 

Livak KJ and Schmittgen TD: Analysis of relative gene expression data using real-time quantitative PCR and the 2(−Delta Delta C(T)) Method. Methods. 25:402–408. 2001. View Article : Google Scholar : PubMed/NCBI

25 

Hsieh IS, Chang KC, Tsai YT, Ke JY, Lu PJ, Lee KH, Yeh SD, Hong TM and Chen YL: MicroRNA-320 suppresses the stem cell-like characteristics of prostate cancer cells by downregulating the Wnt/beta-catenin signaling pathway. Carcinogenesis. 34:530–538. 2013. View Article : Google Scholar : PubMed/NCBI

26 

Sun Y, Campisi J, Higano C, Beer TM, Porter P, Coleman I, True L and Nelson PS: Treatment-induced damage to the tumor microenvironment promotes prostate cancer therapy resistance through WNT16B. Nat Med. 18:1359–1368. 2012. View Article : Google Scholar : PubMed/NCBI

27 

Femia AP, Dolara P, Giannini A, Salvadori M, Biggeri A and Caderni G: Frequent mutation of Apc gene in rat colon tumors and mucin-depleted foci, preneoplastic lesions in experimental colon carcinogenesis. Cancer Res. 67:445–449. 2007. View Article : Google Scholar : PubMed/NCBI

28 

Yardy GW, Bicknell DC, Wilding JL, Bartlett S, Liu Y, Winney B, Turner GD, Brewster SF and Bodmer WF: Mutations in the AXIN1 gene in advanced prostate cancer. Eur Urol. 56:486–494. 2009. View Article : Google Scholar : PubMed/NCBI

29 

de la Roche M, Worm J and Bienz M: The function of BCL9 in Wnt/beta-catenin signaling and colorectal cancer cells. BMC Cancer. 8:1992008. View Article : Google Scholar : PubMed/NCBI

30 

Adachi S, Jigami T, Yasui T, Nakano T, Ohwada S, Omori Y, Sugano S, Ohkawara B, Shibuya H, Nakamura T, et al: Role of a BCL9-related beta-catenin-binding protein, B9L, in tumorigenesis induced by aberrant activation of Wnt signaling. Cancer Res. 64:8496–8501. 2004. View Article : Google Scholar : PubMed/NCBI

31 

Mieszczanek J, de la Roche M and Bienz M: A role of Pygopus as an anti-repressor in facilitating Wnt-dependent transcription. Proc Natl Acad Sci USA. 105:19324–19329. 2008. View Article : Google Scholar : PubMed/NCBI

32 

Hyeon J, Ahn S, Lee JJ, Song DH and Park CK: Prognostic Significance of BCL9 Expression in Hepatocellular Carcinoma. Korean J Pathol. 47:130–136. 2013. View Article : Google Scholar : PubMed/NCBI

33 

Zhong K, Chen K, Han L and Li B: MicroRNA-30b/c inhibits non-small cell lung cancer cell proliferation by targeting Rab18. BMC Cancer. 14:7032014. View Article : Google Scholar : PubMed/NCBI

34 

Bockhorn J, Yee K, Chang YF, Prat A, Huo D, Nwachukwu C, Dalton R, Huang S, Swanson KE, Perou CM, et al: MicroRNA-30c targets cytoskeleton genes involved in breast cancer cell invasion. Breast Cancer Res Treat. 137:373–382. 2013. View Article : Google Scholar : PubMed/NCBI

Related Articles

  • Abstract
  • View
  • Download
  • Twitter
Copy and paste a formatted citation
Spandidos Publications style
Ling XH, Chen ZY, Luo HW, Liu ZZ, Liang YK, Chen GX, Jiang FN and Zhong WD: BCL9, a coactivator for Wnt/β‑catenin transcription, is targeted by miR‑30c and is associated with prostate cancer progression. Oncol Lett 11: 2001-2008, 2016.
APA
Ling, X., Chen, Z., Luo, H., Liu, Z., Liang, Y., Chen, G. ... Zhong, W. (2016). BCL9, a coactivator for Wnt/β‑catenin transcription, is targeted by miR‑30c and is associated with prostate cancer progression. Oncology Letters, 11, 2001-2008. https://doi.org/10.3892/ol.2016.4161
MLA
Ling, X., Chen, Z., Luo, H., Liu, Z., Liang, Y., Chen, G., Jiang, F., Zhong, W."BCL9, a coactivator for Wnt/β‑catenin transcription, is targeted by miR‑30c and is associated with prostate cancer progression". Oncology Letters 11.3 (2016): 2001-2008.
Chicago
Ling, X., Chen, Z., Luo, H., Liu, Z., Liang, Y., Chen, G., Jiang, F., Zhong, W."BCL9, a coactivator for Wnt/β‑catenin transcription, is targeted by miR‑30c and is associated with prostate cancer progression". Oncology Letters 11, no. 3 (2016): 2001-2008. https://doi.org/10.3892/ol.2016.4161
Copy and paste a formatted citation
x
Spandidos Publications style
Ling XH, Chen ZY, Luo HW, Liu ZZ, Liang YK, Chen GX, Jiang FN and Zhong WD: BCL9, a coactivator for Wnt/β‑catenin transcription, is targeted by miR‑30c and is associated with prostate cancer progression. Oncol Lett 11: 2001-2008, 2016.
APA
Ling, X., Chen, Z., Luo, H., Liu, Z., Liang, Y., Chen, G. ... Zhong, W. (2016). BCL9, a coactivator for Wnt/β‑catenin transcription, is targeted by miR‑30c and is associated with prostate cancer progression. Oncology Letters, 11, 2001-2008. https://doi.org/10.3892/ol.2016.4161
MLA
Ling, X., Chen, Z., Luo, H., Liu, Z., Liang, Y., Chen, G., Jiang, F., Zhong, W."BCL9, a coactivator for Wnt/β‑catenin transcription, is targeted by miR‑30c and is associated with prostate cancer progression". Oncology Letters 11.3 (2016): 2001-2008.
Chicago
Ling, X., Chen, Z., Luo, H., Liu, Z., Liang, Y., Chen, G., Jiang, F., Zhong, W."BCL9, a coactivator for Wnt/β‑catenin transcription, is targeted by miR‑30c and is associated with prostate cancer progression". Oncology Letters 11, no. 3 (2016): 2001-2008. https://doi.org/10.3892/ol.2016.4161
Follow us
  • Twitter
  • LinkedIn
  • Facebook
About
  • Spandidos Publications
  • Careers
  • Cookie Policy
  • Privacy Policy
How can we help?
  • Help
  • Live Chat
  • Contact
  • Email to our Support Team