Spandidos Publications Logo
  • About
    • About Spandidos
    • Aims and Scopes
    • Abstracting and Indexing
    • Editorial Policies
    • Reprints and Permissions
    • Job Opportunities
    • Terms and Conditions
    • Contact
  • Journals
    • All Journals
    • Oncology Letters
      • Oncology Letters
      • Information for Authors
      • Editorial Policies
      • Editorial Board
      • Aims and Scope
      • Abstracting and Indexing
      • Bibliographic Information
      • Archive
    • International Journal of Oncology
      • International Journal of Oncology
      • Information for Authors
      • Editorial Policies
      • Editorial Board
      • Aims and Scope
      • Abstracting and Indexing
      • Bibliographic Information
      • Archive
    • Molecular and Clinical Oncology
      • Molecular and Clinical Oncology
      • Information for Authors
      • Editorial Policies
      • Editorial Board
      • Aims and Scope
      • Abstracting and Indexing
      • Bibliographic Information
      • Archive
    • Experimental and Therapeutic Medicine
      • Experimental and Therapeutic Medicine
      • Information for Authors
      • Editorial Policies
      • Editorial Board
      • Aims and Scope
      • Abstracting and Indexing
      • Bibliographic Information
      • Archive
    • International Journal of Molecular Medicine
      • International Journal of Molecular Medicine
      • Information for Authors
      • Editorial Policies
      • Editorial Board
      • Aims and Scope
      • Abstracting and Indexing
      • Bibliographic Information
      • Archive
    • Biomedical Reports
      • Biomedical Reports
      • Information for Authors
      • Editorial Policies
      • Editorial Board
      • Aims and Scope
      • Abstracting and Indexing
      • Bibliographic Information
      • Archive
    • Oncology Reports
      • Oncology Reports
      • Information for Authors
      • Editorial Policies
      • Editorial Board
      • Aims and Scope
      • Abstracting and Indexing
      • Bibliographic Information
      • Archive
    • Molecular Medicine Reports
      • Molecular Medicine Reports
      • Information for Authors
      • Editorial Policies
      • Editorial Board
      • Aims and Scope
      • Abstracting and Indexing
      • Bibliographic Information
      • Archive
    • World Academy of Sciences Journal
      • World Academy of Sciences Journal
      • Information for Authors
      • Editorial Policies
      • Editorial Board
      • Aims and Scope
      • Abstracting and Indexing
      • Bibliographic Information
      • Archive
    • International Journal of Functional Nutrition
      • International Journal of Functional Nutrition
      • Information for Authors
      • Editorial Policies
      • Editorial Board
      • Aims and Scope
      • Abstracting and Indexing
      • Bibliographic Information
      • Archive
    • International Journal of Epigenetics
      • International Journal of Epigenetics
      • Information for Authors
      • Editorial Policies
      • Editorial Board
      • Aims and Scope
      • Abstracting and Indexing
      • Bibliographic Information
      • Archive
    • Medicine International
      • Medicine International
      • Information for Authors
      • Editorial Policies
      • Editorial Board
      • Aims and Scope
      • Abstracting and Indexing
      • Bibliographic Information
      • Archive
  • Articles
  • Information
    • Information for Authors
    • Information for Reviewers
    • Information for Librarians
    • Information for Advertisers
    • Conferences
  • Language Editing
Spandidos Publications Logo
  • About
    • About Spandidos
    • Aims and Scopes
    • Abstracting and Indexing
    • Editorial Policies
    • Reprints and Permissions
    • Job Opportunities
    • Terms and Conditions
    • Contact
  • Journals
    • All Journals
    • Biomedical Reports
      • Information for Authors
      • Editorial Policies
      • Editorial Board
      • Aims and Scope
      • Abstracting and Indexing
      • Bibliographic Information
      • Archive
    • Experimental and Therapeutic Medicine
      • Information for Authors
      • Editorial Policies
      • Editorial Board
      • Aims and Scope
      • Abstracting and Indexing
      • Bibliographic Information
      • Archive
    • International Journal of Epigenetics
      • Information for Authors
      • Editorial Policies
      • Editorial Board
      • Aims and Scope
      • Abstracting and Indexing
      • Bibliographic Information
      • Archive
    • International Journal of Functional Nutrition
      • Information for Authors
      • Editorial Policies
      • Editorial Board
      • Aims and Scope
      • Abstracting and Indexing
      • Bibliographic Information
      • Archive
    • International Journal of Molecular Medicine
      • Information for Authors
      • Editorial Policies
      • Editorial Board
      • Aims and Scope
      • Abstracting and Indexing
      • Bibliographic Information
      • Archive
    • International Journal of Oncology
      • Information for Authors
      • Editorial Policies
      • Editorial Board
      • Aims and Scope
      • Abstracting and Indexing
      • Bibliographic Information
      • Archive
    • Medicine International
      • Information for Authors
      • Editorial Policies
      • Editorial Board
      • Aims and Scope
      • Abstracting and Indexing
      • Bibliographic Information
      • Archive
    • Molecular and Clinical Oncology
      • Information for Authors
      • Editorial Policies
      • Editorial Board
      • Aims and Scope
      • Abstracting and Indexing
      • Bibliographic Information
      • Archive
    • Molecular Medicine Reports
      • Information for Authors
      • Editorial Policies
      • Editorial Board
      • Aims and Scope
      • Abstracting and Indexing
      • Bibliographic Information
      • Archive
    • Oncology Letters
      • Information for Authors
      • Editorial Policies
      • Editorial Board
      • Aims and Scope
      • Abstracting and Indexing
      • Bibliographic Information
      • Archive
    • Oncology Reports
      • Information for Authors
      • Editorial Policies
      • Editorial Board
      • Aims and Scope
      • Abstracting and Indexing
      • Bibliographic Information
      • Archive
    • World Academy of Sciences Journal
      • Information for Authors
      • Editorial Policies
      • Editorial Board
      • Aims and Scope
      • Abstracting and Indexing
      • Bibliographic Information
      • Archive
  • Articles
  • Information
    • For Authors
    • For Reviewers
    • For Librarians
    • For Advertisers
    • Conferences
  • Language Editing
Login Register Submit
  • This site uses cookies
  • You can change your cookie settings at any time by following the instructions in our Cookie Policy. To find out more, you may read our Privacy Policy.

    I agree
Search articles by DOI, keyword, author or affiliation
Search
Advanced Search
presentation
Oncology Reports
Join Editorial Board Propose a Special Issue
Print ISSN: 1021-335X Online ISSN: 1791-2431
Journal Cover
January-2015 Volume 33 Issue 1

Full Size Image

Sign up for eToc alerts
Recommend to Library

Journals

International Journal of Molecular Medicine

International Journal of Molecular Medicine

International Journal of Molecular Medicine is an international journal devoted to molecular mechanisms of human disease.

International Journal of Oncology

International Journal of Oncology

International Journal of Oncology is an international journal devoted to oncology research and cancer treatment.

Molecular Medicine Reports

Molecular Medicine Reports

Covers molecular medicine topics such as pharmacology, pathology, genetics, neuroscience, infectious diseases, molecular cardiology, and molecular surgery.

Oncology Reports

Oncology Reports

Oncology Reports is an international journal devoted to fundamental and applied research in Oncology.

Experimental and Therapeutic Medicine

Experimental and Therapeutic Medicine

Experimental and Therapeutic Medicine is an international journal devoted to laboratory and clinical medicine.

Oncology Letters

Oncology Letters

Oncology Letters is an international journal devoted to Experimental and Clinical Oncology.

Biomedical Reports

Biomedical Reports

Explores a wide range of biological and medical fields, including pharmacology, genetics, microbiology, neuroscience, and molecular cardiology.

Molecular and Clinical Oncology

Molecular and Clinical Oncology

International journal addressing all aspects of oncology research, from tumorigenesis and oncogenes to chemotherapy and metastasis.

World Academy of Sciences Journal

World Academy of Sciences Journal

Multidisciplinary open-access journal spanning biochemistry, genetics, neuroscience, environmental health, and synthetic biology.

International Journal of Functional Nutrition

International Journal of Functional Nutrition

Open-access journal combining biochemistry, pharmacology, immunology, and genetics to advance health through functional nutrition.

International Journal of Epigenetics

International Journal of Epigenetics

Publishes open-access research on using epigenetics to advance understanding and treatment of human disease.

Medicine International

Medicine International

An International Open Access Journal Devoted to General Medicine.

Journal Cover
January-2015 Volume 33 Issue 1

Full Size Image

Sign up for eToc alerts
Recommend to Library

  • Article
  • Citations
    • Cite This Article
    • Download Citation
    • Create Citation Alert
    • Remove Citation Alert
    • Cited By
  • Similar Articles
    • Related Articles (in Spandidos Publications)
    • Similar Articles (Google Scholar)
    • Similar Articles (PubMed)
  • Download PDF
  • Download XML
  • View XML
Article

Evaluation of melatonin treatment in primary culture of canine mammary tumors

  • Authors:
    • Juliana Ramos Lopes
    • Larissa Bazela Maschio
    • Bruna Victorasso Jardim-Perassi
    • Marina Gobbe Moschetta
    • Lívia Carvalho Ferreira
    • Gustavo Rodrigues Martins
    • Gabriela Bottaro Gelaleti
    • Debora Aparecida Pires De Campos Zuccari
  • View Affiliations / Copyright

    Affiliations: Post-graduate Program in Genetics, São Paulo State University (UNESP), São José do Rio Preto, SP, Brazil, Laboratory of Molecular Research in Cancer (LIMC), São José do Rio Preto, SP, Brazil
  • Pages: 311-319
    |
    Published online on: November 11, 2014
       https://doi.org/10.3892/or.2014.3596
  • Expand metrics +
Metrics: Total Views: 0 (Spandidos Publications: | PMC Statistics: )
Metrics: Total PDF Downloads: 0 (Spandidos Publications: | PMC Statistics: )
Cited By (CrossRef): 0 citations Loading Articles...

This article is mentioned in:



Abstract

Mammary neoplasias are the most common tumors observed in female dogs. Identification of these tumors is valuable in order to identify beneficial therapeutic agents as alternative treatments for this tumor type. Oral administration of melatonin appears to exert an oncostatic effect on mammary neoplasia and may have a possible mechanism of action through its interaction with estrogen receptors on epithelial cells. Hence, we analyzed the potential therapeutic value of melatonin in tumors that are estrogen-dependent or -independent, and established a relationship of its action with the expression of the melatonin receptors MT1 and MT2. Furthermore, we analyzed the rate of cell proliferation and apoptosis after treatment with melatonin. Cell cultures were performed using 10 canine mammary tumor fragments and were divided into estrogen receptor (ER)-positive and ER-negative tumors. The results showed that both ER-positive and ER-negative tumors had decreased cell viability and proliferation after treatment with melatonin (p<0.05), although treatment was more effective in the ER-positive tumors. Analysis of the relative expression of the MT1 and MT2 genes by quantitative PCR was performed and the data were compared with the expression of ER in 24 canine mammary tumors and the cellular response to melatonin in 10 samples. MT1 was overexpressed in ER-positive tumors (p<0.05), whereas MT2 was not expressed. Furthermore, melatonin treatment in ER-positive tumors showed an efficient oncostatic effect by inhibiting cell viability and proliferation and inducing apoptosis. These results suggest that melatonin decreased neoplastic mammary cell proliferation and viability and induced apoptosis, with greater efficacy in ER-positive tumors that have a high expression of melatonin receptor MT1. This is a strong evidence for the use of melatonin as a therapeutic agent for estrogen-dependent canine mammary tumors.

Introduction

Mammary neoplasms are the most common tumors observed in female dogs and are the main cause of mortality and morbidity (1). Mammary tumors in female dogs provide a suitable model for the study of cancer biology (2–4) and also for therapeutic agents, since these animals have tumors with epidemiological and clinical characteristics, as well as biological behavior similar to mammary carcinomas in women (5–7).

Many studies have attempted to individualize the behavior of breast carcinomas by tumor-specific characteristics, trying to predict whether or not a tumor will respond to proposed treatment (8,9). Estrogen receptor (ER) and progesterone receptor (PR) are both predictive and prognostic factors used in the clinic to customize the management of each breast cancer case (10). ER-positive and PR-positive mammary tumors have a better prognosis and capacity to respond to therapy (11).

In this sense, the identification of therapeutic agents that can interact with specific molecular markers and inhibit tumor progression are potentially useful. Exogenous administration of melatonin appears to play an important role in tumor growth inhibition (12,13). The oncostatic properties of melatonin can be exerted through interference at different levels of the signaling pathways of estrogen (14). Melatonin may inhibit estradiol hormone precursors produced in the ovary, thereby reducing the mitogenic response of estrogen-dependent breast tumor cells (15). Particularly in breast cancer, estrogen and melatonin are co-regulators of cell proliferation. Estrogen promotes proliferation and invasiveness, whereas melatonin suppresses these effects by decreasing the mitogenic response in estrogen-dependent tumor cells (16). Thus, the antiestrogenic properties of melatonin are the basis of its oncostatic action in ER-positive breast cancer tumors (17,18) and can be an excellent adjunct to drugs commonly used for the prevention of breast cancer (19).

In addition, melatonin acts by inducing apoptosis. The induction of apoptosis by melatonin has been described in the last few years in particular cancer types involving different action mechanisms (20,21). Melatonin exerts significant inhibition of apoptotic processes in normal tissues or non-neoplastic diseases and there is evidence that melatonin may promote apoptosis in several cancer cell lines (22). Eck et al (23) found that sequential treatment with melatonin and all-trans-retinoic acid inhibits the proliferation and induces apoptosis of MCF-7 cells by decreasing the protein levels of the death suppressor, Bcl-2, and increasing, although with different time courses, the levels of death promoters, Bax and Bak (23).

Furthermore, melatonin may exert its physiologic effects through membrane receptors. This hormone binds to and activates MT1 and MT2 G-protein-coupled receptors (24). The activated MT1 and MT2 receptors can reduce proliferation of tumor cells (25). Much of the inhibitory effect of melatonin on breast cancer cell proliferation is related with its binding to receptors MT1 and MT2 (26,27). Thus, melatonin and its receptors may provide a promising avenue for establishing new therapeutic approaches in human cancer (12). Furthermore, there are no studies in the literature, which relate canine mammary tumors with melatonin receptors. Therefore, we explored the potential therapeutic value of melatonin in canine estrogen-positive and estrogen-negative mammary tumors, and related its action to MT1 and MT2 expression.

Materials and methods

Sample characterization

Tumor samples were collected from 24 female dogs with mammary neoplasia during the years of 2011 and 2012. After tumor excision, the animals were followed up from 1 to 18 months, with a median of 540 days. During the follow-up time, the veterinarians evaluated tumor metastasis and recurrence, as well as the cause of death of the animals.

For histopathologic diagnostics, the tumor biopsies collected were classified according to Misdorp et al (28) by the Armed Forces Institute of Pathology (AFIP). The parameters employed for the classification of clinical tumor staging were in accordance with the TNM system (size, lymph node involvement, metastasis) established by WHO for canine mammary gland tumors [modified (29)]: tumor mass size (T): T1, <3 cm; T2, between 3 and 5 cm; T3, >5 cm; lymph node involvement (N): N0, no apparent involvement; N1, unilateral involvement; N2, bilateral involvement; and distant metastasis (M): M0, no evident metastasis; M1, distant metastasis including non-regional lymph nodes. Clinical staging was assigned as I, II, III or IV according to the tumor extension and prognostic establishment.

The presence of local tumor recurrence, metastasis and death were described and the overall survival was determined from the date of diagnosis until the date of last follow-up or death. The cause of death was evaluated by the attending veterinarian and only female dogs that died of the illness were included in the group for the study. The dogs that had died of respiratory failure were diagnosed with lung metastasis as shown by X-ray. This study was approved by the Ethics Committee of the Faculdade de Medicina de São José do Rio Preto (protocol no. 001-005222/2010).

Immunohistochemistry technique

Tumor samples were embedded into paraffin blocks and cut to provide 3-μm sections. The samples were prepared on silanized glass slides before the paraffin was removed. The sections were rehydrated in an ascending range of alcohol concentrations and incubated with 3% hydrogen peroxide for 30 min. Antigenic recovery was made in a recipient at 95°C in buffer for 35 min for each specific antibody, and then the slides were covered with bovine serum albumin (BSA) and incubated with the primary antibody (Table I). After cooling, the slides were covered with BSA for 30 min and incubated at 4°C overnight with the antibodies. After being washed with phosphate-buffered saline (PBS) for 15 min, incubation was carried out with Starr Trek Universal HRP Detection kit (Medical Biocare, Concord, CA, USA), consisting of the secondary antibody ‘anti-mouse, rabbit and goat immunoglobulin with biotin’ for 1 h and ‘streptoavidin complex with peroxidase’ for 30 min, followed by washes with PBS for 15 min and 0.5% of 3,3′-diaminobenzidine tetrahydrochloride (DAB; Signet® Laboratories, Dedham, MA, USA) was applied to the slides for 2–5 min at 20–22°C. The slides were counterstained with Harris’ hematoxylin for 40 min. Negative controls were obtained by omitting the primary antibody, and human kidney or breast cancer tissues served as the internal positive control in every assay.

Table I

Antibodies and dilutions.

Table I

Antibodies and dilutions.

AntibodySpecificityCloneDilutionCompany
ERMonoclonal (mouse)1D51:150Santa Cruz
PRMonoclonal (rabbit)SP421:400Abcam
Her2/neuPolyclonal (rabbit)C-181:800Santa Cruz
Ki-67Monoclonal (rabbit)SP61:200Biocare Medical
P53Monoclonal (mouse)FPS3921:100Santa Cruz
Caspase-3Polyclonal (rabbit)N/A1:1,000Biocare Medical

[i] ER, estrogen receptor; PR, progesterone receptor.

Immunohistochemistry quantification

The slides were photographed and the proteins were quantified using ImageJ software (NIH, Bethesda, MD, USA) at ×40 magnification under a Nikon Eclipse E200 microscope. For each sample, three regions of the tumor tissue were selected and 20 points in the tumor cells were marked in each region. In this way 60 different points were analyzed in each sample to obtain an average relative intensity of immunoreactivity. The values were expressed in arbitrary units (a.u.) and the mean optical density (MOD) showing the specific immunostaining intensity at immunoreactive areas. Cases were considered positive for estrogen receptors when >10% tumor cells had cytoplasmic staining (30).

Cell culture
In vitro study

The cell culture was performed with tumor biopsies of 10 dogs out of the 24 with mammary tumors from the immunohistochemistry and PCR study. The tumor biopsies were sliced into microfragments and incubated at 37°C in 5% CO2 in Dulbecco’s modified Eagle’s medium (DMEM; Cultilab, São Paulo, Brazil) supplemented with 20% fetal bovine serum (Cultilab), 1% streptomycin/penicillin/fungizone (Sigma-Aldrich, St. Louis, MO, USA), 200 μl hydrocortisone (Sigma-Aldrich) and 10 μl epidermal growth factor (EGF; Sigma-Aldrich). The cells were submitted to immunocytochemistry for confirmation of the epithelium origin, with the anti-cytokeratin antibody, resulting in a positive protein staining.

Cell viability by the 3-(4.5-dimethylthiazol-2-yl)-2.5-diphe-nyltetrazolium bromide (MTT) assay

The cells from each tumor biopsy were plated into 96-well plates containing 3×103 cells/well and divided into 2 groups: control (untreated) and treatment with different concentrations of melatonin (Sigma-Aldrich) (0.5, 1, 2, 5 and 10 mM) for 24 h. Melatonin was diluted in 0.05% ethanol. In the control cells, equivalent amounts of ethanol were added as vehicle. Thereafter, 10 μl of MTT solution (Invitrogen Life Technologies, Carlsbad, CA, USA) was added to each well and the plates were incubated at 37°C for 4 h. To solubilize the MTT formazan crystals, the cells were incubated with dimethylsulfoxide (DMSO; Sigma-Aldrich) for 10 min at 37°C. Absorbance was measured at 540 nm by an ELISA reader (Thermo Plate, Waltham, MA, USA). Medium was used as background and subtracted from the samples. Cell viability (%) was calculated for all groups compared to the control sample. All experimental samples were in triplicate.

Immunocytochemistry

To confirm the efficacy of the treatment with melatonin, immunocytochemistry was performed with the anti-caspase-3 and anti-Ki-67 antibodies. For the procedure, the canine mammary tumor cell line CMT-U229 was treated with 1 mM of melatonin. Two treatment groups were established: Group I (control) containing only cells in culture medium and group II treated also with 1 mM of melatonin. The cells were thus incubated for 24 h. Initially, the whole content was taken from the bottles and the cells were washed with PBS. They were then incubated with paraformaldehyde 4% fixative and rinsed with PBS. Next, they were incubated with 3% hydrogen peroxide for 30 min. Antigenic recovery was carried out in a recipient at 95°C in buffer for 35 min for each specific antibody, and then the slides were covered with BSA and incubated with the anti-caspase-3 and anti-Ki-67 primary antibodies (Table I). After cooling, the slides were covered with BSA for 30 min and incubated at 4°C overnight with the antibodies. They were then washed with PBS for 15 min and incubated with the EasyPath kit (Biocare Medical, Concord, CA, USA) composed of the secondary antibody. In the next stage, they were stabilized at room temperature, washed with PBS buffer solution, and incubated with the EasyPath kit (Erviegas, São Paulo, SP, Brazil) containing the secondary antibody (biotinylated anti-mouse, rabbit, goat immunoglobulins). They were once again rinsed with PBS and incubated with the tertiary antigen (peroxidase-streptavidin conjugates) and then rinsed one last time with PBS. The result was revealed using chromogenic substrate (DAB; Signet Laboratories), 1 drop/ml and hematoxylin for counter-staining. Finally, the apoptosis and cell proliferation indices were analyzed.

Apoptosis and cell proliferation indices

Tumors were categorized in relation to apoptosis and cellular proliferation according to the staining of caspase-3 and Ki-67, respectively. For analysis of immunocytochemistry slides, five areas were photographed at ×40 magnification (center, bottom, top, left and right regions). Caspase-3- and Ki-67-positive cells were counted using Image J. At least 75–100 neoplastic cells were counted. The cut-off of positivity was set as 5% of positive neoplastic cells.

Gene expression of MT1 and MT2

Quantitative RT-PCR tests were performed in triplicate using a System Step One Plus (Applied Biosystems, Foster City, CA, USA). The PCR reactions contained 100 ng cDNA, 10 μl TaqMan Universal Master Mix, 8 μl of DEPC solution, 1 μl TaqMan Gene Expression for MT1, MT2 and RPL8 (Applied Biosystems); and 100 ng cDNA, 10 μl TaqMan Universal Master Mix (Applied Biosystems), 8 μl of DEPC solution (Applied Biosystems), 100 nmol of each primer, 250 nmol of the probe for RPS19 were subjected to the following amplification scheme: 50°C for 2 min, 95°C for 10 min, followed by 40 cycles of 95°C for 15 sec and 60°C for 1 min.

Endogenous control RPS19 (Applied Biosystems) and RPL8 were used for normalization. The relative expression values of the genes of interest were determined with Data Assist v3.0, by the quantification method related to the average of the normalizing genes used as endogenous control (ΔΔCt) (31). All samples were tested in triplicate and the negative control was included in each reaction.

The gene RPS19 was researched, selected in PUBMED (http://www.ncbi.nlm.nih.gov/entrez), and synthesized from canine messenger RNA already sequenced and confirmed. The design used the program Primer Express. Primers used for amplification were: RPS19 (endogenous control) sense (5′-GCCTTCCTCAAAAAGTCTGGG-3′), antisense (5′-GCT TGCTCCCTACGATGAGAAC-3′) and probe (5′-CCCTGAA TGGGTGGAC-3′) (GenBank: NG_006583.3). For analyses of the expression of other genes, TaqMan assays (Applied Biosystems) were used: MT1 (Cf02705306_g1), MT2 (Cf02730504_g1) and RPL8 (endogenous control) (Cf02663820_m1).

For analyses of MT1 and MT2 expression, the relative quantitation (RQ) value for the control group (used as reference) was established as unity and are expressed in log10 scale as zero.

Statistical analysis

The results were submitted for descriptive analysis to determine normality. For samples with normal distribution, the Student’s t-test or ANOVA was used, followed by the Bonferroni test. The Kruskal-Wallis test was used for samples with non-normal distributions. For all tests, p<0.05 was considered significant. GraphPad Prism4 (GraphPad Software, La Jolla, CA) and DataAssist 3.0 (Applied Biosystems) were used for the analyses.

Results

Clinical data

The age of the animals varied from 7 to 14 years (mean, 10 years). There was a prevalence of malignant tumors, which were represented by 9 (37.5%) tubulopapillary carcinomas, 5 (20.8%) carcinomas of mixed type, 1 (4.2%) carcinosarcoma, 1 (4.2%) in situ carcinoma, 1 (4.2%) sarcoma, 1 (4.2%) adenocarcinoma and 1 (4.2%) solid carcinoma with tubular areas. Benign changes were represented by 2 (8.3%) benign mixed tumors, 1 (4.2%) high-grade dysplasia, 1 (4.2%) papilloma and 1 (4.2%) adenoma. Among the clinicopathological characteristics, there was a prevalence of tumors with clinical stage III and IV (46%); 21 (88%) tumors had the absence of ulceration, 13 (54%) tumors had time course (range among the observation of the anomaly by the owner/injury diagnosis by the veterinarian and removal by surgery) greater than 6 months, 17 (71%) tumors showed moderate vascularization, 19 (79%) had the absence of tumor recurrence and 22 (92%) did not show metastasis. All data are documented in Table II.

Table II

Correlation between the five antibody stains with the clinical and pathological factors of the female dogs with mammary tumors.

Table II

Correlation between the five antibody stains with the clinical and pathological factors of the female dogs with mammary tumors.

Clinicopathological factorsNo. of female dogs (%)ERPRKi-67P53Her2/neu
Age (years)
 ≥1014 (58)165.7±4.145153.2±4.040162.6±6.074153.9±2.695166.8±5.046
 <1010 (42)148.0±6.011152.5±5.278160.5±6.425160.0±5.363158.3±8.227
 P-value 0.0193a0.91310.82150.28170.3564
Time course
 ≥6 months11 (46)156.2±5.486150.4±4.560166.7±5.039154.9±4.030160.3±7.864
 >6 months13 (54)158.1±5.275155.1±4.750157.4±7.237157.1±3.977165.0±5.516
 P-value0.79870.49080.31810.70520.6165
Clinical stage
 I and II11 (54)158.9±4.677154.7±5.635167.7±5.688157.0±3.944171.5±5.437
 III and IV13 (46)155.9±5.782151.5±3.909154.5±6.628155.3±4.045157.1±6.353
 P-value0.69780.63790.15610.76210.1087
Number of nodules
 Multiple12 (50)153.1±5.477152.3±5.165158.1±8.094157.0±4.437161.3±5.520
 Single12 (50)161.4±5.003153.6±4.268165.3±4.370155.2±3.550164.3±7.592
 P-value0.27690.83780.44010.75560.7528
Tumor vascularization
 Abundant7 (29)163.8±6.918150.0±5.949164.0±7.370159.4±3.613163.6±6.683
 Moderate17 (71)154.5±4.386152.8±3.993160.7±5.799154.7±3.651162.5±6.003
 P-value0.26450.70220.75300.45790.9175
Tumor ulceration
 Yes3 (12)164.7±11.04161.2±4.100172.7±6.015161.7±2.159167.5±4.310
 No21 (88)156.2±4.009151.8±3.652160.1±5.082155.3±3.141162.2±5.232
 P-value0.45980.35040.37210.45480.7105
Metastasis
 Yes2 (8)145.8±31.97130.1±2.308173.9±8.266144.2±12.27171.5±13.85
 No22 (92)158.3±3.401155.0±3.221160.6±4.883157.1±2.821162.0±4.910
 P-value0.36630.03270.42980.20700.5816
Censure
 Living21 (87)154.6±3.904152.6±3.502159.8±5.055155.4±3.137163.5±5.200
 Death3 (13)175.5±4.685155.1±11.33174.6±5.368160.8±3.491158.5±6.580
 P-value0.06280.81440.29300.53280.7282
Tumor recurrence
 Yes5 (21)152.5±10.82153.5±5.798162.0±11.70156.7±6.109146.4±9.696
 No19 (79)158.5±3.895152.8±3.923161.6±5.057155.9±3.214167.2±4.863
 P-value0.52380.93910.96900.90960.0645

a Significant value, Student’s t-test.

{ label (or @symbol) needed for fn[@id='tfn3-or-33-01-0311'] } ER, estrogen receptor; PR, progesterone receptor.

Immunohistochemistry study
Correlation between the expression of prognostic markers and clinical and pathological characteristics of the female dogs

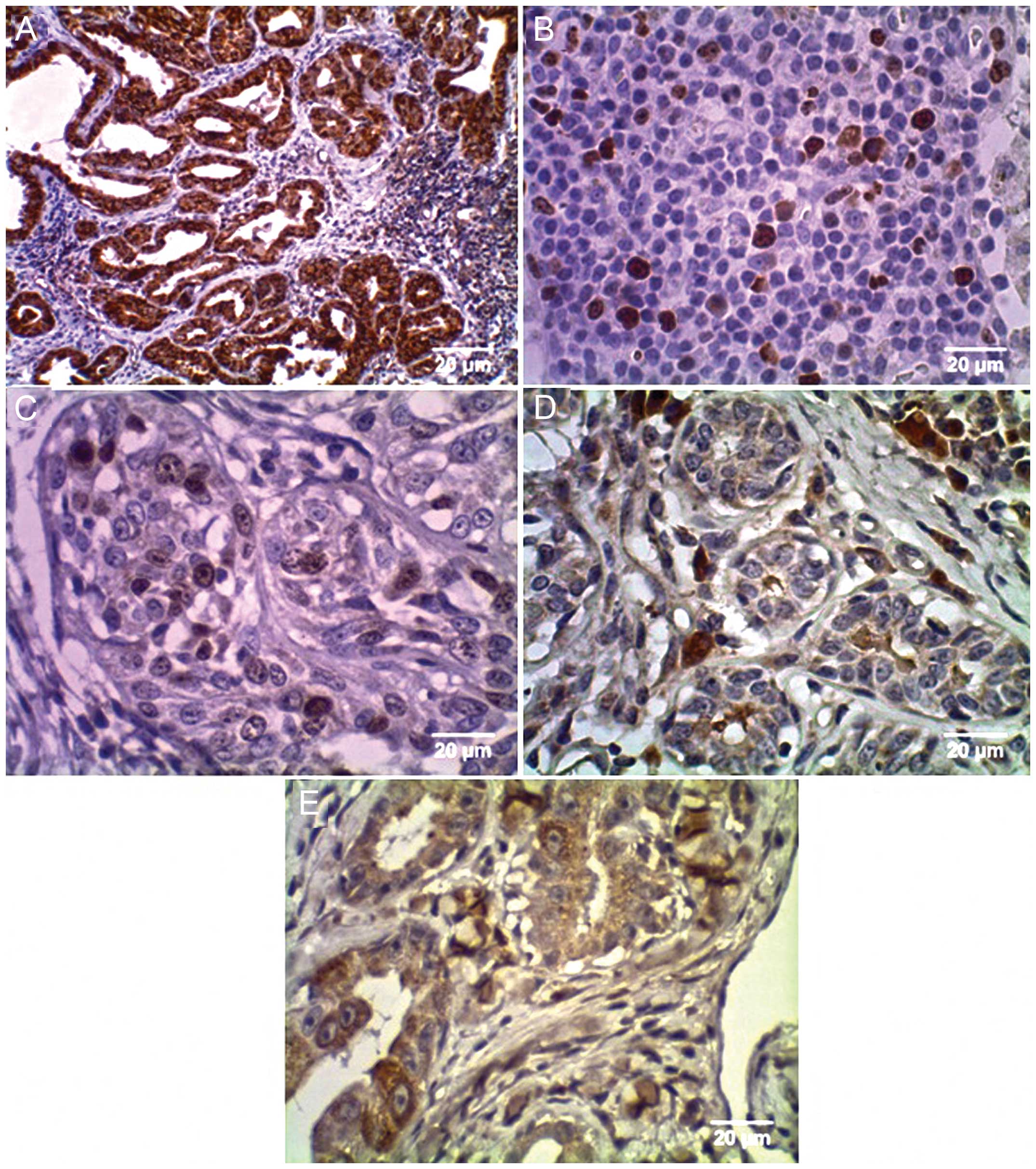
The panel of classic prognostic markers, analyzed by the immunohistochemical expression of ER, PR, Her2/neu, p53 and cell proliferation marker, Ki-67, were determined for all animal casex (Fig. 1).

Figure 1

Photomicrographs of the immunohistochemical staining procedure demonstrating antibody staining in female dogs with mammary tumors. Nikon Eclipse E200, magnification ×40. (A) Her2/neu immunostaining (in situ carcinoma). (B) Ki-67 immunostaining (carcinosarcoma). (C) p53 immunostaining (in situ carcinoma). (D) Estrogen receptor (ER) immunostaining (high-grade dysplasia). (E) Progesterone receptor (PR) immunostaining (tubulopapillary carcinoma).

Thirteen of 24 (54%) tumors were positive for ER, with immunostaining in the nucleus and cytoplasm (Fig. 1). PR immunostaining was cytoplasmic; Ki-67 and p53 were evident in the nucleus of the neoplastic cells while Her2/neu presented staining in the membrane of tumor cells (Fig. 1).

There was no correlation between ER expression and clinical characteristics and pathology including time course, clinical stage, number of nodules, tumor vascularization, ulceration and metastasis (p>0.05; Table II). However, the high expression of ER had a statistically significant correlation with age (p=0.02; Table II). The expression of ER, PR, HER2/neu, p53 and Ki-67 by immunohistochemistry was compared with the clinical development of the female dogs, including metastasis and death. PR expression was increased in the female dogs that did not present with metastasis (p=0.03; Table II). There was no significant statistical relationship between the analyzed variables and the expression of the enzymes HER2/neu, p53 and Ki-67 (p>0.05; Table II).

MTT assay
In vitro study

Ten tumor specimens were analyzed from the 24 samples used for immunohistochemistry and PCR. The canine mammary tumors were divided into ER-positive and ER-negative tumors. To target the antitumor activity by melatonin, we evaluated the cell viability in primary culture of canine mammary neoplasms by MTT assay following melatonin treatment. As shown in Fig. 2, cell viability was decreased in both the ER-positive and ER-negative tumors at all melatonin concentrations tested when compared to the control (p<0.05) after 24 h. However, in the ER-positive tumors, the pharmacological concentration of 1 mM of melatonin significantly decreased the cell viability and the same occurred with the highest concentration of melatonin (10 mM) in ER-negative tumors (p<0.05; Fig. 2).

Figure 2

Inhibitory effect of melatonin on cell viability of the primary culture cells from the mammary tumors of the female dogs. The cells were treated with five different concentrations of melatonin for 24 h and cell viability was measured by MTT assay. The white column represents the control without treatment. The black columns correspond to the cells treated with the indicated concentrations of melatonin. Data are shown as mean ± SD. (A) Estrogen receptor (ER)-negative female canine mammary tumors. (B) ER-positive female canine mammary tumors. *Significant value, ANOVA followed by Bonferroni.

Apoptosis and cell proliferation

The level of caspase-3 immunostaining and the rate of apoptosis in the group treated with 1 mM of melatonin were higher than these values in the control cell group (Fig. 3). Regarding Ki-67, numerous positive cells were observed in the control group, whereas few positive cells were observed in the group treated with 1 mM of melatonin (Fig 4).

Figure 3

Photomicrographs of the immunocytochemical reaction for caspase-3 in the CMT-U229 cell line. (A) Cells without treatment (control). (B) Cells treated with 1 mM of melatonin. Magnification, ×400.

Figure 4

Photomicrographs of the immunocytochemical reaction for Ki-67 in the CMT-U229 cell line. (A) Cells without treatment (control). (B) Cells treated with 1 mM of melatonin. Magnification, ×400.

MT1 and MT2 gene expression analysis

In order to compare the expression of the receptors MT1 and MT2 with ER expression and with the cellular response to melatonin, analysis of the relative expression of the MT1 and MT2 genes by quantitative PCR was carried out and the data were compared with the expression of ER in 24 canine mammary tumors and the cellular response to melatonin in the 10 samples.

The RQ value for the control group (used as a calibrator) was established as 1 and is shown on a log10 scale as zero.

Results showed that the MT1 gene was overexpressed in the ER-positive breast tumors compared to the ER-negative tumors (p<0.05; Fig. 5). Although the MT2 receptor was not detectable in the mammary tumors, it was expressed but apparently not fully functional (p>0.05; Fig. 6). Furthermore, melatonin treatment in the ER-positive tumors that overexpressed MT1 showed efficient an oncostatic effect by inhibiting cell viability.

Figure 5

MT1 gene expression in estrogen receptor (ER)-positive and ER-negative female canine mammary tumors relative to normal tissues (considered as zero). Gene expression values are expressed on a log10 scale. *Significant value, Student’s t-test.

Figure 6

MT2 gene expression in estrogen receptor (ER)-positive and ER-negative female canine mammary tumors relative to normal tissues (considered as zero). Gene expression values are expressed on a log10 scale.

Discussion

In the present study, we used an immunohistochemistry technique to examine the expression of the estrogen receptor in 10 breast tumor samples. We categorized these samples into two subgroup and compared the cellular response to melatonin by MTT assay and immunocytochemistry for the cell proliferation Ki-67 and apoptosis caspase-3 markers. We found that treatment with a pharmacological dose (1 mM) of melatonin inhibited cell proliferation of ER-positive tumors. For ER-negative tumors the reduction in cell proliferation was observed at the highest dose of melatonin evaluated (10 mM). However, the 10 mM dose has been described as cytotoxic (32). According to Jung et al (32) treatment at pharmacological levels of melatonin (8 and 16 mM) in ER-negative (MDA-MB-231) cells showed weak cytotoxicity. Melatonin has been described as able to inhibit the precursors of estradiol production, reducing the mitogenic response of ER-positive breast cancer cells (15). Rato et al (33) found that MCF-7 cells stimulated with estradiol had a high binding activity to the ER, which was prevented by treatment with melatonin suggesting their role in inhibition of the estrogen signaling pathway. Other authors also showed that melatonin inhibits proliferation of ER-positive breast cancer (MCF-7) cells (11,14,23,34), but not ER-negative (MDA-MB-231) cells (11,23). These studies indicate the positive relationship between the estrogen receptor and melatonin.

Furthermore, Eck et al (23) found that combined in vitro treatment of melatonin and all-trans-retinoic acid inhibited the growth of MCF-7 cells, but was ineffective against MDA-MB-231 cells, also suggesting that this treatment be used only for estrogen-dependent mammary tumors. Consistent with our results, Leman et al (35) showed that melatonin at a pharmacological level (1 mM) significantly decreased the proliferation of ER-positive breast cancer MCF-7 cells.

Cellular responses to melatonin in our study were related to ER-positive tumors and is in agreement with the literature.

Furthermore, additional routes of action of melatonin have been described. Some authors showed that melatonin induced apoptosis in MCF-7 cells, leading to decreased expression of the ER and the anti-apoptotic Bcl-2 protein, and increased expression of the pro-apoptotic Bax protein (23,35). Our results showed that treatment with melatonin in ER-positive canine mammary (CMT-U229) cells increased the expression of caspase-3 protein. In the same way, Sanchez-Hidalgo et al (36) demonstrated that the treatment with melatonin in a panel of human cell lines increased the expression of caspase-3. Similarly, the results of Wang et al (37) showed that treatment with melatonin significantly increased the activities and the levels of caspase-3 protein, confirming the involvement of the caspase-3 pathway in melatonin-induced cell apoptosis indicating that caspase inhibitors can prevent melatonin-induced cell apoptosis in breast cancer cells. It was also suggested that the oncostatic actions of melatonin are mediated by MT1 melatonin receptor; melatonin binds to the high affinity G-protein linked, MT1 and MT2, reducing proliferation and inducing cell differentiation (27,38). Furthermore, the expression of MT1 receptor was found to be positively correlated with the expression of the ER (26). Through activation of its receptor MT1, melatonin can suppress the development of cancer by a broad spectrum of mechanisms with and without the involvement of ER (38). Thus, in this study, the expression of MT1 and MT2 receptors in breast tumors of dogs was evaluated by real-time PCR. Furthermore, the expression of these receptors was compared to the expression of ER and cellular responses to melatonin. Our results showed that ER-positive tumors had a high expression of melatonin receptor MT1 and these tumors responded better to treatment with melatonin. However, these tumors did not express the MT2 receptor. Consistent with our results, other authors also showed that treatment with melatonin of ER-positive cancer cells that overexpress the melatonin receptor MT1 significantly decreased cell proliferation (11,39–41). Moreover, Lai et al (26) verified high expression of the MT1 receptor in ER-positive MCF-7 cells and low expression in an ER-negative MDA-MB-231 cell line; however, both strains did not express the MT2 receptor. Similarly, Ram et al. (42) found a positive correlation between the MT1 receptor and the expression of ER-α in women with breast cancer. However, Yuan et al (11) indicated that both MCF-7 and MDA-MB-231 cells have a high expression of the MT1 receptor.

Breast cancer is one of the cancers with the highest mortality rate, thus new therapeutic approaches are needed to make the treatment more effective. Through this study it was possible to verify the action of melatonin in primary cell culture of canine mammary tumors. Thus, the results found in this study in canine mammary tumors were similar to those observed in strains of human breast cancer described in the literature, verifying that the canine mammary tumors are an excellent model for the study of breast cancer. Our results demonstrated that melatonin is able to reduce mammary tumor cell viability and proliferation and this reduction was most pronounced in ER-positive cells that overexpress the MT1 receptor. Thus, ER-positive tumors with high expression of MT1 respond better to treatment with melatonin. Furthermore, treatment with melatonin increased the apoptosis of canine mammary tumor cells. Taken together, our results showed that melatonin treatment inhibits cell viability, proliferation and induces apoptosis in canine mammary tumors. In this way, the therapeutic response of melatonin and the expression of MT1 receptor in estrogen-dependent breast tumor will greatly aid the potential of its use as a therapeutic agent in the treatment of this tumor type.

Acknowledgements

We thank Dr Cassali for the support in the reading and analyzing the slides, the veterinary practitioners from São José do Rio Preto and region and the owners of the dogs who cooperated with this study. The study was made possible by financial support received from FAPESP and CNPq.

References

1 

Manuali E, De Giuseppe A, Feliziani F, et al: CA 15-3 cell lines and tissue expression in canine mammary cancer and the correlation between serum levels and tumour histological grade. BMC Vet Res. 8:862012. View Article : Google Scholar : PubMed/NCBI

2 

Schneider R: Comparison of age, sex, and incidence rates in human and canine breast cancer. Cancer. 26:419–426. 1970. View Article : Google Scholar : PubMed/NCBI

3 

Mottolese M, Morelli L, Agrimi U, et al: Spontaneous canine mammary tumors. A model for monoclonal antibody diagnosis and treatment of human breast cancer. Lab Invest. 71:182–187. 1994.PubMed/NCBI

4 

Phillips JC, Lembcke L and Chamberlin T: A novel locus for canine osteosarcoma (OSA1) maps to CFA34, the canine orthologue of human 3q26. Genomics. 96:220–227. 2010. View Article : Google Scholar : PubMed/NCBI

5 

MacEwen EG: Spontaneous tumors in dogs and cats: models for the study of cancer biology and treatment. Cancer Metastasis Rev. 9:125–136. 1990. View Article : Google Scholar : PubMed/NCBI

6 

Peleteiro M: Tumores mamários na cadela e na gata. Revista Portuguesa de Ciências Veterinárias. 89:10–29. 1994.

7 

Andrade FH, Figueiroa FC, Bersano PR, Bissacot DZ and Rocha NS: Malignant mammary tumor in female dogs: environmental contaminants. Diagn Pathol. 5:452010. View Article : Google Scholar : PubMed/NCBI

8 

Hamilton A and Hortobagyi G: Chemotherapy: what progress in the last 5 years? J Clin Oncol. 23:1760–1775. 2005. View Article : Google Scholar : PubMed/NCBI

9 

Winer E, Gralow J, Diller L, et al: Clinical cancer advances 2008: major research advances in cancer treatment, prevention, and screening - a report from the American Society of Clinical Oncology. J Clin Oncol. 27:812–826. 2009. View Article : Google Scholar :

10 

Hsiao YH, Chou MC, Fowler C, Mason JT and Man YG: Breast cancer heterogeneity: mechanisms, proofs, and implications. J Cancer. 1:6–13. 2010. View Article : Google Scholar : PubMed/NCBI

11 

Yuan L, Collins AR, Dai J, Dubocovich ML and Hill SM: MT(1) melatonin receptor overexpression enhances the growth suppressive effect of melatonin in human breast cancer cells. Mol Cell Endocrinol. 192:147–156. 2002. View Article : Google Scholar : PubMed/NCBI

12 

Maganhin CC1, Carbonel AA, Hatty JH, et al: Melatonin effects on the female genital system: a brief review. Rev Assoc Med Bras. 54:267–271. 2008.(In Portuguese). View Article : Google Scholar : PubMed/NCBI

13 

Luchetti F, Canonico B, Betti M, et al: Melatonin signaling and cell protection function. FASEB J. 24:3603–3624. 2010. View Article : Google Scholar : PubMed/NCBI

14 

Cos S and Sánchez-Barceló EJ: Melatonin, experimental basis for a possible application in breast cancer prevention and treatment. Histol Histopathol. 15:637–647. 2000.PubMed/NCBI

15 

Neto J and Scaldaferri P: Melatonina e câncer - revisão da literatura. Revista Brasileira Cancerol. 51:49–58. 2005.(In Portuguese).

16 

Jablonska K, Pula B, Zemla A, et al: Expression of melatonin receptor MT1 in cells of human invasive ductal breast carcinoma. J Pineal Res. 54:334–345. 2013. View Article : Google Scholar : PubMed/NCBI

17 

Mediavilla MD, Sanchez-Barcelo EJ, Tan DX, Manchester L and Reiter RJ: Basic mechanisms involved in the anti-cancer effects of melatonin. Curr Med Chem. 17:4462–4481. 2010. View Article : Google Scholar : PubMed/NCBI

18 

Sturgeon SR, Doherty A, Reeves KW, et al: Urinary levels of melatonin and risk of postmenopausal breast cancer: Women’s health initiative observational cohort. Cancer Epidemiol Biomarkers Prev. 23:629–637. 2014. View Article : Google Scholar : PubMed/NCBI

19 

Sanchez-Barcelo EJ, Mediavilla MD, Alonso-Gonzalez C and Rueda N: Breast cancer therapy based on melatonin. Recent Pat Endocr Metab Immune Drug Discov. 6:108–116. 2012. View Article : Google Scholar : PubMed/NCBI

20 

Bejarano I, Espino J, Barriga C, Reiter RJ, Pariente JA and Rodríguez AB: Pro-oxidant effect of melatonin in tumour leucocytes: relation with its cytotoxic and pro-apoptotic effects. Basic Clin Pharmacol Toxicol. 108:14–20. 2011. View Article : Google Scholar

21 

Rodriguez C, Martín V, Herrera F, et al: Mechanisms involved in the pro-apoptotic effect of melatonin in cancer cells. Int J Mol Sci. 14:6597–6613. 2013. View Article : Google Scholar : PubMed/NCBI

22 

Cucina A, Proietti S, D’Anselmi F, et al: Evidence for a biphasic apoptotic pathway induced by melatonin in MCF-7 breast cancer cells. J Pineal Res. 46:172–180. 2009. View Article : Google Scholar : PubMed/NCBI

23 

Eck KM, Yuan L, Duffy L, et al: A sequential treatment regimen with melatonin and all-trans retinoic acid induces apoptosis in MCF-7 tumour cells. Br J Cancer. 77:2129–2137. 1998. View Article : Google Scholar : PubMed/NCBI

24 

Blask DE, Sauer LA and Dauchy RT: Melatonin as a chronobiotic/anticancer agent: cellular, biochemical, and molecular mechanisms of action and their implications for circadian-based cancer therapy. Curr Top Med Chem. 2:113–132. 2002. View Article : Google Scholar : PubMed/NCBI

25 

Hardeland R, Pandi-Perumal SR and Cardinali DP: Melatonin. Int J Biochem Cell Biol. 38:313–316. 2006. View Article : Google Scholar

26 

Lai L, Yuan L, Cheng Q, Dong C, Mao L and Hill SM: Alteration of the MT1 melatonin receptor gene and its expression in primary human breast tumors and breast cancer cell lines. Breast Cancer Res Treat. 118:293–305. 2009. View Article : Google Scholar

27 

Grant SG, Melan MA, Latimer JJ and Witt-Enderby PA: Melatonin and breast cancer: cellular mechanisms, clinical studies and future perspectives. Expert Rev Mol Med. 11:e52009. View Article : Google Scholar : PubMed/NCBI

28 

Misdorp W, Else R, Hellmen E and Lipscomb E: Definitions and explanatory notes. Who Histological Classification of Mammary Tumors of the Dog and Cat. Armed Forces Institute of Pathology; Washington: pp. 18–27. 1999

29 

Cassali G, Bertagnolli A, Lavalle G, et al: Perpectives for diagnosis, prognosis and treatment of mammary neoplasms in dogs. In: 34th World Small Animal Veterinary Congress - WSAVA; São Paulo. 2009

30 

Li XR, Liu M, Zhang YJ, et al: ER, PgR, HER-2, Ki-67, topoisomerase IIα, and nm23-H1 proteins expression as predictors of pathological complete response to neoadjuvant chemotherapy for locally advanced breast cancer. Med Oncol. 28(Suppl 1): S48–S54. 2011. View Article : Google Scholar

31 

Livak K and Schimittgen T: Analyzing real-time PCR data by the comparative C(T) method. Nature Protocols. 3:1101–1108. 2008. View Article : Google Scholar : PubMed/NCBI

32 

Jung JW, Park SB, Lee SJ, Seo MS, Trosko JE and Kang KS: Metformin represses self-renewal of the human breast carcinoma stem cells via inhibition of estrogen receptor-mediated OCT4 expression. PLoS One. 6:e280682011. View Article : Google Scholar : PubMed/NCBI

33 

Rato AG, Pedrero JG, Martinez MA, del Rio B, Lazo PS and Ramos S: Melatonin blocks the activation of estrogen receptor for DNA binding. FASEB J. 13:857–868. 1999.PubMed/NCBI

34 

Mao L, Cheng Q, Guardiola-Lemaître B, et al: In vitro and in vivo antitumor activity of melatonin receptor agonists. J Pineal Res. 49:210–221. 2010. View Article : Google Scholar : PubMed/NCBI

35 

Leman ES, Sisken BF, Zimmer S and Anderson KW: Studies of the interactions between melatonin and 2 Hz, 0.3 mT PEMF on the proliferation and invasion of human breast cancer cells. Bioelectromagnetics. 22:178–184. 2001. View Article : Google Scholar : PubMed/NCBI

36 

Sánchez-Hidalgo M, Guerrero JM, Villegas I, Packham G and de la Lastra CA: Melatonin, a natural programmed cell death inducer in cancer. Curr Med Chem. 19:3805–3821. 2012. View Article : Google Scholar : PubMed/NCBI

37 

Wang J, Xiao X, Zhang Y, et al: Simultaneous modulation of COX-2, p300, Akt, and Apaf-1 signaling by melatonin to inhibit proliferation and induce apoptosis in breast cancer cells. J Pineal Res. 53:77–90. 2012. View Article : Google Scholar : PubMed/NCBI

38 

Oprea-Ilies G, Haus E, Sackett-Lundeen L, et al: Expression of melatonin receptors in triple negative breast cancer (TNBC) in African American and Caucasian women: relation to survival. Breast Cancer Res Treat. 137:677–687. 2013. View Article : Google Scholar :

39 

Collins A, Yuan L, Kiefer TL, Cheng Q, Lai L and Hill SM: Overexpression of the MT1 melatonin receptor in MCF-7 human breast cancer cells inhibits mammary tumor formation in nude mice. Cancer Lett. 189:49–57. 2003. View Article : Google Scholar

40 

Hill SM, Blask DE, Xiang S, et al: Melatonin and associated signaling pathways that control normal breast epithelium and breast cancer. J Mammary Gland Biol Neoplasia. 16:235–245. 2011. View Article : Google Scholar : PubMed/NCBI

41 

Gonzalez-Angulo AM, Morales-Vasquez F and Hortobagyi GN: Overview of resistance to systemic therapy in patients with breast cancer. Adv Exp Med Biol. 608:1–22. 2007. View Article : Google Scholar : PubMed/NCBI

42 

Ram PT, Kiefer T, Silverman M, Song Y, Brown GM and Hill SM: Estrogen receptor transactivation in MCF-7 breast cancer cells by melatonin and growth factors. Mol Cell Endocrinol. 141:53–64. 1998. View Article : Google Scholar : PubMed/NCBI

Related Articles

  • Abstract
  • View
  • Download
  • Twitter
Copy and paste a formatted citation
Spandidos Publications style
Lopes JR, Maschio LB, Jardim-Perassi BV, Moschetta MG, Ferreira LC, Martins GR, Gelaleti GB and De Campos Zuccari DP: Evaluation of melatonin treatment in primary culture of canine mammary tumors. Oncol Rep 33: 311-319, 2015.
APA
Lopes, J.R., Maschio, L.B., Jardim-Perassi, B.V., Moschetta, M.G., Ferreira, L.C., Martins, G.R. ... De Campos Zuccari, D.P. (2015). Evaluation of melatonin treatment in primary culture of canine mammary tumors. Oncology Reports, 33, 311-319. https://doi.org/10.3892/or.2014.3596
MLA
Lopes, J. R., Maschio, L. B., Jardim-Perassi, B. V., Moschetta, M. G., Ferreira, L. C., Martins, G. R., Gelaleti, G. B., De Campos Zuccari, D. P."Evaluation of melatonin treatment in primary culture of canine mammary tumors". Oncology Reports 33.1 (2015): 311-319.
Chicago
Lopes, J. R., Maschio, L. B., Jardim-Perassi, B. V., Moschetta, M. G., Ferreira, L. C., Martins, G. R., Gelaleti, G. B., De Campos Zuccari, D. P."Evaluation of melatonin treatment in primary culture of canine mammary tumors". Oncology Reports 33, no. 1 (2015): 311-319. https://doi.org/10.3892/or.2014.3596
Copy and paste a formatted citation
x
Spandidos Publications style
Lopes JR, Maschio LB, Jardim-Perassi BV, Moschetta MG, Ferreira LC, Martins GR, Gelaleti GB and De Campos Zuccari DP: Evaluation of melatonin treatment in primary culture of canine mammary tumors. Oncol Rep 33: 311-319, 2015.
APA
Lopes, J.R., Maschio, L.B., Jardim-Perassi, B.V., Moschetta, M.G., Ferreira, L.C., Martins, G.R. ... De Campos Zuccari, D.P. (2015). Evaluation of melatonin treatment in primary culture of canine mammary tumors. Oncology Reports, 33, 311-319. https://doi.org/10.3892/or.2014.3596
MLA
Lopes, J. R., Maschio, L. B., Jardim-Perassi, B. V., Moschetta, M. G., Ferreira, L. C., Martins, G. R., Gelaleti, G. B., De Campos Zuccari, D. P."Evaluation of melatonin treatment in primary culture of canine mammary tumors". Oncology Reports 33.1 (2015): 311-319.
Chicago
Lopes, J. R., Maschio, L. B., Jardim-Perassi, B. V., Moschetta, M. G., Ferreira, L. C., Martins, G. R., Gelaleti, G. B., De Campos Zuccari, D. P."Evaluation of melatonin treatment in primary culture of canine mammary tumors". Oncology Reports 33, no. 1 (2015): 311-319. https://doi.org/10.3892/or.2014.3596
Follow us
  • Twitter
  • LinkedIn
  • Facebook
About
  • Spandidos Publications
  • Careers
  • Cookie Policy
  • Privacy Policy
How can we help?
  • Help
  • Live Chat
  • Contact
  • Email to our Support Team