Spandidos Publications Logo
  • About
    • About Spandidos
    • Aims and Scopes
    • Abstracting and Indexing
    • Editorial Policies
    • Reprints and Permissions
    • Job Opportunities
    • Terms and Conditions
    • Contact
  • Journals
    • All Journals
    • Oncology Letters
      • Oncology Letters
      • Information for Authors
      • Editorial Policies
      • Editorial Board
      • Aims and Scope
      • Abstracting and Indexing
      • Bibliographic Information
      • Archive
    • International Journal of Oncology
      • International Journal of Oncology
      • Information for Authors
      • Editorial Policies
      • Editorial Board
      • Aims and Scope
      • Abstracting and Indexing
      • Bibliographic Information
      • Archive
    • Molecular and Clinical Oncology
      • Molecular and Clinical Oncology
      • Information for Authors
      • Editorial Policies
      • Editorial Board
      • Aims and Scope
      • Abstracting and Indexing
      • Bibliographic Information
      • Archive
    • Experimental and Therapeutic Medicine
      • Experimental and Therapeutic Medicine
      • Information for Authors
      • Editorial Policies
      • Editorial Board
      • Aims and Scope
      • Abstracting and Indexing
      • Bibliographic Information
      • Archive
    • International Journal of Molecular Medicine
      • International Journal of Molecular Medicine
      • Information for Authors
      • Editorial Policies
      • Editorial Board
      • Aims and Scope
      • Abstracting and Indexing
      • Bibliographic Information
      • Archive
    • Biomedical Reports
      • Biomedical Reports
      • Information for Authors
      • Editorial Policies
      • Editorial Board
      • Aims and Scope
      • Abstracting and Indexing
      • Bibliographic Information
      • Archive
    • Oncology Reports
      • Oncology Reports
      • Information for Authors
      • Editorial Policies
      • Editorial Board
      • Aims and Scope
      • Abstracting and Indexing
      • Bibliographic Information
      • Archive
    • Molecular Medicine Reports
      • Molecular Medicine Reports
      • Information for Authors
      • Editorial Policies
      • Editorial Board
      • Aims and Scope
      • Abstracting and Indexing
      • Bibliographic Information
      • Archive
    • World Academy of Sciences Journal
      • World Academy of Sciences Journal
      • Information for Authors
      • Editorial Policies
      • Editorial Board
      • Aims and Scope
      • Abstracting and Indexing
      • Bibliographic Information
      • Archive
    • International Journal of Functional Nutrition
      • International Journal of Functional Nutrition
      • Information for Authors
      • Editorial Policies
      • Editorial Board
      • Aims and Scope
      • Abstracting and Indexing
      • Bibliographic Information
      • Archive
    • International Journal of Epigenetics
      • International Journal of Epigenetics
      • Information for Authors
      • Editorial Policies
      • Editorial Board
      • Aims and Scope
      • Abstracting and Indexing
      • Bibliographic Information
      • Archive
    • Medicine International
      • Medicine International
      • Information for Authors
      • Editorial Policies
      • Editorial Board
      • Aims and Scope
      • Abstracting and Indexing
      • Bibliographic Information
      • Archive
  • Articles
  • Information
    • Information for Authors
    • Information for Reviewers
    • Information for Librarians
    • Information for Advertisers
    • Conferences
  • Language Editing
Spandidos Publications Logo
  • About
    • About Spandidos
    • Aims and Scopes
    • Abstracting and Indexing
    • Editorial Policies
    • Reprints and Permissions
    • Job Opportunities
    • Terms and Conditions
    • Contact
  • Journals
    • All Journals
    • Biomedical Reports
      • Information for Authors
      • Editorial Policies
      • Editorial Board
      • Aims and Scope
      • Abstracting and Indexing
      • Bibliographic Information
      • Archive
    • Experimental and Therapeutic Medicine
      • Information for Authors
      • Editorial Policies
      • Editorial Board
      • Aims and Scope
      • Abstracting and Indexing
      • Bibliographic Information
      • Archive
    • International Journal of Epigenetics
      • Information for Authors
      • Editorial Policies
      • Editorial Board
      • Aims and Scope
      • Abstracting and Indexing
      • Bibliographic Information
      • Archive
    • International Journal of Functional Nutrition
      • Information for Authors
      • Editorial Policies
      • Editorial Board
      • Aims and Scope
      • Abstracting and Indexing
      • Bibliographic Information
      • Archive
    • International Journal of Molecular Medicine
      • Information for Authors
      • Editorial Policies
      • Editorial Board
      • Aims and Scope
      • Abstracting and Indexing
      • Bibliographic Information
      • Archive
    • International Journal of Oncology
      • Information for Authors
      • Editorial Policies
      • Editorial Board
      • Aims and Scope
      • Abstracting and Indexing
      • Bibliographic Information
      • Archive
    • Medicine International
      • Information for Authors
      • Editorial Policies
      • Editorial Board
      • Aims and Scope
      • Abstracting and Indexing
      • Bibliographic Information
      • Archive
    • Molecular and Clinical Oncology
      • Information for Authors
      • Editorial Policies
      • Editorial Board
      • Aims and Scope
      • Abstracting and Indexing
      • Bibliographic Information
      • Archive
    • Molecular Medicine Reports
      • Information for Authors
      • Editorial Policies
      • Editorial Board
      • Aims and Scope
      • Abstracting and Indexing
      • Bibliographic Information
      • Archive
    • Oncology Letters
      • Information for Authors
      • Editorial Policies
      • Editorial Board
      • Aims and Scope
      • Abstracting and Indexing
      • Bibliographic Information
      • Archive
    • Oncology Reports
      • Information for Authors
      • Editorial Policies
      • Editorial Board
      • Aims and Scope
      • Abstracting and Indexing
      • Bibliographic Information
      • Archive
    • World Academy of Sciences Journal
      • Information for Authors
      • Editorial Policies
      • Editorial Board
      • Aims and Scope
      • Abstracting and Indexing
      • Bibliographic Information
      • Archive
  • Articles
  • Information
    • For Authors
    • For Reviewers
    • For Librarians
    • For Advertisers
    • Conferences
  • Language Editing
Login Register Submit
  • This site uses cookies
  • You can change your cookie settings at any time by following the instructions in our Cookie Policy. To find out more, you may read our Privacy Policy.

    I agree
Search articles by DOI, keyword, author or affiliation
Search
Advanced Search
presentation
Experimental and Therapeutic Medicine
Join Editorial Board Propose a Special Issue
Print ISSN: 1792-0981 Online ISSN: 1792-1015
Journal Cover
February-2022 Volume 23 Issue 2

Full Size Image

Sign up for eToc alerts
Recommend to Library

Journals

International Journal of Molecular Medicine

International Journal of Molecular Medicine

International Journal of Molecular Medicine is an international journal devoted to molecular mechanisms of human disease.

International Journal of Oncology

International Journal of Oncology

International Journal of Oncology is an international journal devoted to oncology research and cancer treatment.

Molecular Medicine Reports

Molecular Medicine Reports

Covers molecular medicine topics such as pharmacology, pathology, genetics, neuroscience, infectious diseases, molecular cardiology, and molecular surgery.

Oncology Reports

Oncology Reports

Oncology Reports is an international journal devoted to fundamental and applied research in Oncology.

Experimental and Therapeutic Medicine

Experimental and Therapeutic Medicine

Experimental and Therapeutic Medicine is an international journal devoted to laboratory and clinical medicine.

Oncology Letters

Oncology Letters

Oncology Letters is an international journal devoted to Experimental and Clinical Oncology.

Biomedical Reports

Biomedical Reports

Explores a wide range of biological and medical fields, including pharmacology, genetics, microbiology, neuroscience, and molecular cardiology.

Molecular and Clinical Oncology

Molecular and Clinical Oncology

International journal addressing all aspects of oncology research, from tumorigenesis and oncogenes to chemotherapy and metastasis.

World Academy of Sciences Journal

World Academy of Sciences Journal

Multidisciplinary open-access journal spanning biochemistry, genetics, neuroscience, environmental health, and synthetic biology.

International Journal of Functional Nutrition

International Journal of Functional Nutrition

Open-access journal combining biochemistry, pharmacology, immunology, and genetics to advance health through functional nutrition.

International Journal of Epigenetics

International Journal of Epigenetics

Publishes open-access research on using epigenetics to advance understanding and treatment of human disease.

Medicine International

Medicine International

An International Open Access Journal Devoted to General Medicine.

Journal Cover
February-2022 Volume 23 Issue 2

Full Size Image

Sign up for eToc alerts
Recommend to Library

  • Article
  • Citations
    • Cite This Article
    • Download Citation
    • Create Citation Alert
    • Remove Citation Alert
    • Cited By
  • Similar Articles
    • Related Articles (in Spandidos Publications)
    • Similar Articles (Google Scholar)
    • Similar Articles (PubMed)
  • Download PDF
  • Download XML
  • View XML
Case Report

Bacterial endocarditis masked by COVID‑19: A case report

  • Authors:
    • Mircea Bajdechi
    • Nicoleta Dorina Vlad
    • Mirela Dumitrascu
    • Elena Mocanu
    • Irina Magdalena Dumitru
    • Roxana Carmen Cernat
    • Sorin Rugină
  • View Affiliations / Copyright

    Affiliations: Doctoral School of Medicine, ‘Ovidius’ University, 900470 Constanta, Romania, Department of Infectious Disease, Clinical Infectious Diseases Hospital, 900709 Constanta, Romania, Department of Public Health, Faculty of Medicine, ‘Ovidius’ University, 900470 Constanta, Romania
  • Article Number: 186
    |
    Published online on: December 30, 2021
       https://doi.org/10.3892/etm.2021.11109
  • Expand metrics +
Metrics: Total Views: 0 (Spandidos Publications: | PMC Statistics: )
Metrics: Total PDF Downloads: 0 (Spandidos Publications: | PMC Statistics: )
Cited By (CrossRef): 0 citations Loading Articles...

This article is mentioned in:



Abstract

Infective endocarditis represents a rare complication among patients infected with severe acute respiratory syndrome coronavirus‑2 (SARS‑CoV‑2); it is often a nosocomial infection and the symptomatology can be masked by respiratory failure symptoms from SARS‑CoV‑2 bronchopneumonia. Management of patients with severe forms of SARS‑COV‑2 infection who also have associated infective endocarditis is very difficult, especially in mono‑specialty hospitals (such as infectious diseases hospitals) where access to cardiological investigations is limited. The current study presents the case of a 73‑year‑old woman with increased cardiovascular risk (high blood pressure, diabetes mellitus and obesity), with uninvestigated ischaemic heart disease, who was admitted to the Department of Infectious Diseases in the Clinical Infectious Diseases Hospital (Constanta, Romania) due to SARS‑CoV‑2. Although the evolution was initially favorable, the condition of the patient significantly deteriorated on the 14th day of hospitalization due to the development of Enterococcus faecium infective endocarditis. Despite the therapy, the evolution was fulminant. Infection with coronavirus disease 2019 can result in numerous comorbidities, which cause higher mortality rates than in the general population.

Introduction

Pre-existing cardiovascular comorbidities are important risk factors for patients with severe acute respiratory syndrome coronavirus-2 (SARS-CoV-2). A recent study reported a 20-fold higher mortality rate in patients with cardiovascular diseases and SARS-CoV-2 infection, with a >10 times higher risk of being admitted to the intensive care unit (1). Heart failure, coronary artery disease and arrhythmias are risk factors for coronavirus disease 2019 (COVID-19) progression and they are associated with poor outcome (2).

However, one study showed that acute cardiovascular events during COVID-19 hospitalization are frequent. Among the 3,011 hospitalized patients from The Netherlands over a 3-month period, cardiac complications occurred in 11.6%, atrial fibrillation being the most common, followed by heart failure, acute coronary syndrome, ventricular arrhythmia, bacterial endocarditis, myocarditis, pericarditis and pulmonary embolism (3).

During the pandemic, a total of 920 COVID-19 patients were admitted to the Department of Infectious Disease in the Clinical Infectious Diseases Hospital (Constanta, Romania) between March 2020 and March 2021. The patients exhibited different stages of the disease, with most of them having moderate or severe forms. Cardiovascular complications were diagnosed in 103 patients (11.20%), with cardiac rhythm and conduction abnormalities being the most frequent, including atrial fibrillation (n=12), atrial flutter (n=2), other supraventricular tachycardias (n=19), bradycardia (n=16), bundle branch block (n=6) and a prolonged QT interval (n=16). The incidence of pulmonary embolism was 0.87% (n=8) and of deep vein thrombosis 0.65% (n=6). Acute renal artery occlusion caused by systemic thromboembolism occurred in two cases. The incidence of other cardiovascular complications was 1.20% for pericarditis (n=11), 0.33% for stroke (n=3), 0.11% for myocarditis (n=1) and 0.11% for bacterial endocarditis (n=1). Most of the complications occurred in men, with a median age of 69 years, male sex and advanced age (>55 years old) being two important cardiovascular factors. SARS-COV2-infected patients have a high risk of developing cardiovascular complications such as bacterial endocarditis. A complete routine echocardiography, in patients with severe SARS-COV-2 pneumonia admitted to intensive care units may be required for the early diagnosis and treatment of infective endocarditis.

Case report

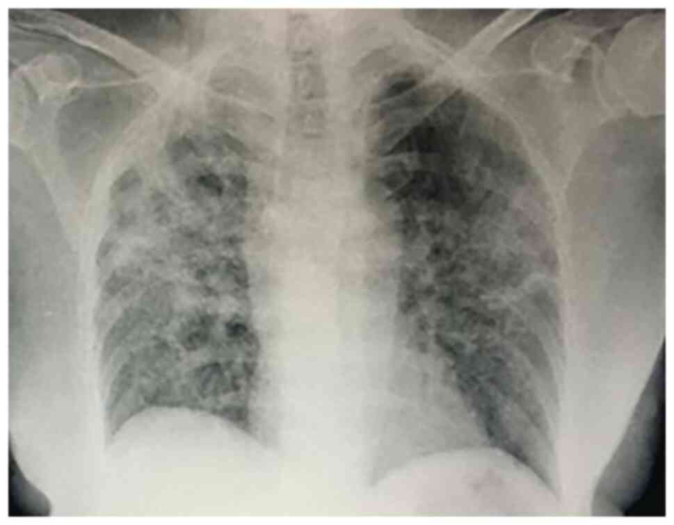
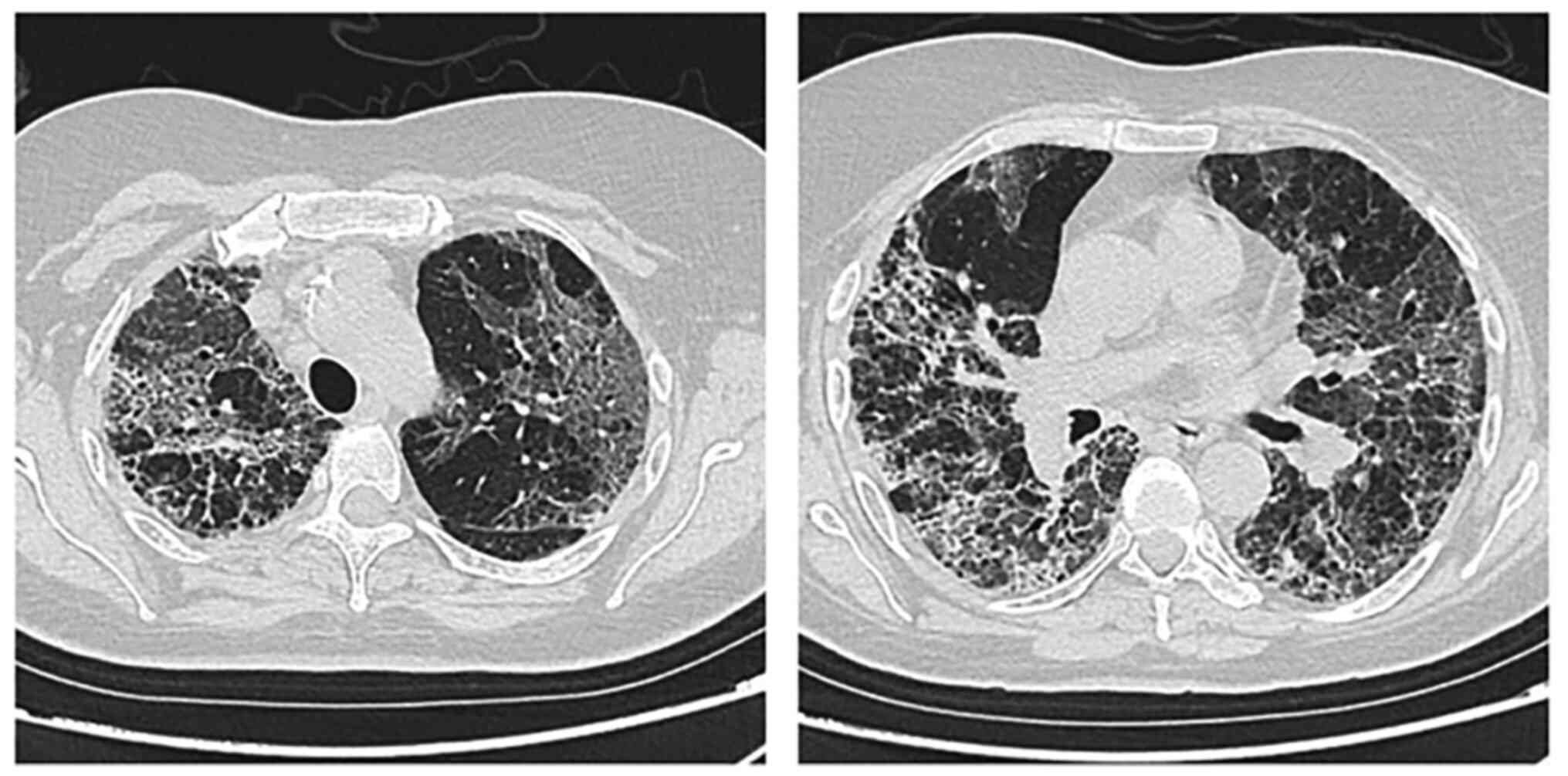
A 73-year-old woman was admitted in May 2021 to the Department of Infectious Disease in the Clinical Infectious Diseases Hospital with a cough, shortness of breath and fatigue that was found to be due to severe SARS-CoV-2 pneumonia by nasopharyngeal swab. The patient had multiple cardiovascular risk factors, including arterial hypertension, type 2 diabetes mellitus, obesity (36.7 BMI) and a history of coronary heart disease for a number of years. Chest X-rays showed bilateral pneumonia with peripheral consolidations and a reticular pattern due to septal thickening with ground-glass opacities (Fig. 1). From admission, the patient exhibited dyspnea, with acute respiratory failure (mixed venous oxygen saturation, 78%), and blood tests showed inflammatory syndrome [elevated erythrocyte sedimentation rate (80 mm/h; cut-off, 3-9 mm/h), and fibrinogen (820 mg/dl; cut-off, 196-372 mg/dl), C reactive protein (120 mg/l; cut-off, 0-5 mg/dl), ferritin (1,206 ng/ml; cut-off, 70-435 ng/ml) and IL-6 (276 pg/ml; cut-off, 0-7 pg/ml) levels]. The serum level of procalcitonin was normal. The patient received corticosteroid therapy (8 mg dexamethasone twice daily) from admission, as well as tocilizumab (2x800 mg twice daily), remdesivir (200 mg on day 1, then 100 mg daily for 5 days) and prophylactic low molecular weight heparin (4,000 IU enoxaparin daily). The clinical and biological evolution was favorable during the first hospitalization period, but on the 14th day, the patient developed a fever (38.5˚C temperature) and their general condition worsened. Laboratory tests revealed a high procalcitonin level of 4.1 ng/ml (cut-off <0.5 ng/ml), mildly elevated liver transaminase levels (ALT, 120 u/l; cut-off, 4-36 U/l; AST, 163 U/l; cut-off, 5-40 U/l) and a decreased estimated glomerular filtration rate (41 ml/min/1.73 m2). The hs-troponin (152 ng/l; cut-off, 4.9-50 ng/l) and D-Dimer (1.78 µg FEU/ml; cut-off, 0-0.5 µg FEU/ml) levels were also elevated. The patient developed respiratory distress (arterial oxygen partial pressure/fractional inspired oxygen ratio <100) that required non-invasive continuous positive airway pressure ventilation. A pulmonary computed tomography scan was therefore performed, which ruled out a pulmonary embolism and showed diffuse ground-glass opacities, peripheral consolidation and bronchiectasis (Fig. 2). Blood cultures were positive for Enterococcus faecium sensible to vancomycin, linezolid, teicoplanin and tigecycline.

Figure 1

Chest X-ray image showing bilateral pneumonia with peripheral consolidations and a reticular pattern due to septal thickening, with ground-glass opacities.

Figure 2

Computed tomography images showing diffuse ground-glass opacities, peripheral consolidation and bronchiectasis.

A transthoracic echocardiography was performed and revealed vegetation on the posterior mitral valve leaflet measuring 14x5 mm, leading to moderate mitral regurgitation (Fig. 3). Infective endocarditis was defined by the modified Duke criteria (4). A positive diagnosis of infective endocarditis manifesting >48 h after hospital admission was based on a positive Enterococcus faecium blood culture and posterior mitral valve vegetation revealed by transthoracic echocardiography.

Figure 3

Transthoracic echocardiography (apical 4 chamber view) showing vegetation on the posterior mitral valve leaflet measuring 14x5 mm, with moderate mitral regurgitation.

Antibiotic therapy with 1,000 mg meropenem (3 times daily) and 600 mg linezolid (2 times daily) was administered. Initially the patient had a favorable evolution, with improvements in symptomatology and inflammatory syndrome, but after 20 days of treatment, thrombocytopenia (platelet count, 58,000/mm3) developed. Thus, linezolid was switched to teicoplanin (12 mg/kg body weight twice daily as the loading dose, followed by 12 mg/kg body weight daily for the maintenance dose).

Despite antibiotic treatment, the patient developed multiple organ system failure and died 25 days after admission.

Discussion

Bacterial endocarditis is a less frequent disease among patients infected with SARS-CoV-2 compared to other cardiac comorbidities in these patients. However, a study published by Ramos-Martínez et al (5) showed a higher incidence of hospital-acquired infective endocarditis in a single hospital during the first 2 months of the COVID-19 pandemic. Compared with the pre-pandemic period, when the incidence was 0.3 patients/month, during March and April 2020, the incidence was 2 patients/month (P=0.033). The etiology of infective endocarditis was Enterococcus faecalis (2 cases), Staphylococcus aureus (1 case) and Candida albicans (1 case), with an in-hospital mortality rate of 50%.

It has also been observed that the etiology of endocarditis associated with SARS-COV-2 infection is different from the etiology of endocarditis in patients without SARS-COV-2 infection. Erdem et al (6) performed a recent study on 867 patients diagnosed with bacterial endocarditis and the most frequently involved germ was found to be Staphylococcus aureus, followed by Streptococcus viridans and Enterococci (untyped, E. Faecium and E. Faecalis). Endocarditis can be overlooked in patients with COVID-19, as SARS-CoV-2, acute respiratory distress syndrome and inflammatory syndrome can mask the symptoms. Still, the reported endocarditis cases revealed gram-negative germs, especially Klebsiella pneumoniae and Enterococcus faecium (7,8).

Echocardiography is the most useful imaging technique to diagnose endocarditis due to its large availability, accuracy and safety, allowing a comprehensive evaluation of cardiac valves (9).

In the present study, the patient exhibited the risk factors of advanced age, pre-existing cardiac comorbidities, type 2 diabetes mellitus, obesity, immunosuppressive therapy and central venous catheterization upon admission. Similar to patients with HIV, patients infected with COVID-19 can have multiple comorbidities, which cause higher mortality rates compared with that in the general population, in spite of therapeutic care advances (10).

The number and severity of respiratory infections is continuously increasing due to environmental changes and the lack of vaccination (11). The mRNA vaccine against SARS-COV-2, based on a new genetic method, turns the human body into living laboratory (12). Although vaccination represents the main weapon against the virus, prevention strategies such as early detection of infected individuals, updating new discoveries and social distancing still play a major role (13).

In conclusion, SARS-COV2-infected patients have a higher risk of developing cardiovascular complications. This viral infection is able to mask bacterial endocarditis. The management of patients with severe of SARS-COV-2 infection who also exhibit associated infectious endocarditis is difficult, especially in mono-specialty hospitals (such as infectious diseases hospitals) where access to cardiological investigations is limited. A complete routine examination, including echocardiography, in patients with severe SARS-COV-2 pneumonia admitted to intensive care units may be required for the early diagnosis and treatment of infective endocarditis. Bacterial endocarditis remains a major challenge in patients infected with SARS-COV-2, with a poor prognosis.

Acknowledgements

Not applicable.

Funding

Funding: No funding was received.

Availability of data and materials

All data generated or analyzed during this study are included in this published article.

Authors' contributions

MB is the corresponding author and participated in the design of the case report. MD, NDV and EM were involved in acquisition of data and described the patient evolution and management. IMD, RCC and SR were involved in the analysis and interpretation of data, and revising the final manuscript. All authors confirm the authenticity of all the raw data. All authors have read and approved the final manuscript.

Ethics approval and consent to participate

Ethics approval was obtained from the Medical Ethics Commission for Clinical Studies in the Constanta Clinical Hospital of Infectious Diseases (approval no. 6/24.05.2021).

Patient consent for publication

Written informed consent was obtained from the patient prior to publication at the time of admission.

Competing interests

The authors declare that they have no competing interests.

References

1 

Momtazmanesh S, Shobeiri P, Hanaei S, Mahmoud-Elsayed H, Dalvi B and Malakan EM: Cardiovascular disease in COVID-19: A systematic review and meta-analysis of 10,898 patients and proposal of a triage risk stratification tool. Egypt Heart J. 72(41)2020.PubMed/NCBI View Article : Google Scholar

2 

Hessami A, Shamshirian A, Heydari K, Pourali F, Alizadeh-Navaei R, Moosazadeh M, Abrotan S, Shojaie L, Sedighi S, Shamshirian D and Rezaei N: Cardiovascular diseases burden in COVID-19: Systematic review and meta-analysis. Am J Emerg Med. 46:382–391. 2020.PubMed/NCBI View Article : Google Scholar

3 

Linschoten M, Peters S, van Smeden M, Jewbali LS, Schaap J, Siebelink HM, Smits PC, Tieleman RG, van der Harst P, van Gilst WH, et al: Cardiac complications in patients hospitalised with COVID-19. Eur Heart J Acute Cardiovasc Care. 9:817–823. 2020.PubMed/NCBI View Article : Google Scholar

4 

Li JS, Sexton DJ, Mick N, Nettles R, Fowler VG Jr, Ryan T, Bashore T and Corey GR: Proposed modifications to the duke criteria for the diagnosis of infective endocarditis. Clin Infect Dis. 30:633–638. 2000.PubMed/NCBI View Article : Google Scholar

5 

Ramos-Martínez A, Fernández-Cruz A, Domínguez F, Forteza A, Cobo M, Sánchez-Romero I and Asensio A: Hospital-acquired infective endocarditis during Covid-19 pandemic. Infect Prev Pract. 2(100080)2020.PubMed/NCBI View Article : Google Scholar

6 

Erdem H, Puca E, Ruch Y, Santos L, Ghanem-Zoubi N, Argemi X, Hansmann Y, Guner R, Tonziello G, Mazzucotelli JP, et al: Portraying infective endocarditis: Results of multinational ID-IRI study. Eur J Clin Microbiol Infect Dis. 38:1753–1763. 2019.PubMed/NCBI View Article : Google Scholar

7 

Hayes DE, Rhee DW, Hisamoto K, Smith D, Ro R, Vainrib AF, Bamira D, Zhou F and Saric M: Two cases of acute endocarditis misdiagnosed as COVID-19 infection. Echocardiography. 38:798–804. 2021.PubMed/NCBI View Article : Google Scholar

8 

Amir M, Djaharuddin I, Sudharsono A and Ramadanyd S: COVID-19 concomitant with infective endocarditis: A case report and review of management. Int J Infect Dis. 98:109–112. 2020.PubMed/NCBI View Article : Google Scholar

9 

Gurghean AL, Savulescu-Fiedler I and Mihailescu A: Multiple cardiac complications after adjuvant therapy for breast cancer: The importance of echocardiography. A case report and review of the literature. Med Ultrason. 19:117–120. 2017.PubMed/NCBI View Article : Google Scholar

10 

Streinu-Cercel A, Săndulescu O, Poiană C, Dorobanţu M, Mircescu G, Lăzureanu VE, Dumitru IM, Chirilă O and Streinu-Cercel A: Extended Consensus Group. Consensus statement on the assessment of comorbidities in people living with HIV in Romania. Germs. 9:198–210. 2019.PubMed/NCBI View Article : Google Scholar

11 

Dumitru IM, Lilios G and Arbune M: Respiratory infections and air pollution, retrospective study over the past 10 years. J Environ Prot Ecol. 19:1445–1451. 2018.

12 

Calina D, Docea AO, Petrakis D, Egorov AM, Ishmukhametov AA, Gabibov AG, Shtilman MI, Kostoff R, Carvalho F, Vinceti M, et al: Towards effective COVID-19 vaccines: Updates, perspectives and challenges (Review). Int J Mol Med. 46:3–16. 2020.PubMed/NCBI View Article : Google Scholar

13 

Docea AO, Tsatsakis A, Albulescu D, Cristea O, Zlatian O, Vinceti M, Moschos SA, Tsoukalas D, Goumenou M, Drakoulis N, et al: A new threat from an old enemy: Re-emergence of coronavirus (Review). Int J Mol Med. 45:1631–1643. 2020.PubMed/NCBI View Article : Google Scholar

Related Articles

  • Abstract
  • View
  • Download
  • Twitter
Copy and paste a formatted citation
Spandidos Publications style
Bajdechi M, Vlad ND, Dumitrascu M, Mocanu E, Dumitru IM, Cernat RC and Rugină S: Bacterial endocarditis masked by COVID‑19: A case report. Exp Ther Med 23: 186, 2022.
APA
Bajdechi, M., Vlad, N.D., Dumitrascu, M., Mocanu, E., Dumitru, I.M., Cernat, R.C., & Rugină, S. (2022). Bacterial endocarditis masked by COVID‑19: A case report. Experimental and Therapeutic Medicine, 23, 186. https://doi.org/10.3892/etm.2021.11109
MLA
Bajdechi, M., Vlad, N. D., Dumitrascu, M., Mocanu, E., Dumitru, I. M., Cernat, R. C., Rugină, S."Bacterial endocarditis masked by COVID‑19: A case report". Experimental and Therapeutic Medicine 23.2 (2022): 186.
Chicago
Bajdechi, M., Vlad, N. D., Dumitrascu, M., Mocanu, E., Dumitru, I. M., Cernat, R. C., Rugină, S."Bacterial endocarditis masked by COVID‑19: A case report". Experimental and Therapeutic Medicine 23, no. 2 (2022): 186. https://doi.org/10.3892/etm.2021.11109
Copy and paste a formatted citation
x
Spandidos Publications style
Bajdechi M, Vlad ND, Dumitrascu M, Mocanu E, Dumitru IM, Cernat RC and Rugină S: Bacterial endocarditis masked by COVID‑19: A case report. Exp Ther Med 23: 186, 2022.
APA
Bajdechi, M., Vlad, N.D., Dumitrascu, M., Mocanu, E., Dumitru, I.M., Cernat, R.C., & Rugină, S. (2022). Bacterial endocarditis masked by COVID‑19: A case report. Experimental and Therapeutic Medicine, 23, 186. https://doi.org/10.3892/etm.2021.11109
MLA
Bajdechi, M., Vlad, N. D., Dumitrascu, M., Mocanu, E., Dumitru, I. M., Cernat, R. C., Rugină, S."Bacterial endocarditis masked by COVID‑19: A case report". Experimental and Therapeutic Medicine 23.2 (2022): 186.
Chicago
Bajdechi, M., Vlad, N. D., Dumitrascu, M., Mocanu, E., Dumitru, I. M., Cernat, R. C., Rugină, S."Bacterial endocarditis masked by COVID‑19: A case report". Experimental and Therapeutic Medicine 23, no. 2 (2022): 186. https://doi.org/10.3892/etm.2021.11109
Follow us
  • Twitter
  • LinkedIn
  • Facebook
About
  • Spandidos Publications
  • Careers
  • Cookie Policy
  • Privacy Policy
How can we help?
  • Help
  • Live Chat
  • Contact
  • Email to our Support Team