International Journal of Molecular Medicine is an international journal devoted to molecular mechanisms of human disease.
International Journal of Oncology is an international journal devoted to oncology research and cancer treatment.
Covers molecular medicine topics such as pharmacology, pathology, genetics, neuroscience, infectious diseases, molecular cardiology, and molecular surgery.
Oncology Reports is an international journal devoted to fundamental and applied research in Oncology.
Experimental and Therapeutic Medicine is an international journal devoted to laboratory and clinical medicine.
Oncology Letters is an international journal devoted to Experimental and Clinical Oncology.
Explores a wide range of biological and medical fields, including pharmacology, genetics, microbiology, neuroscience, and molecular cardiology.
International journal addressing all aspects of oncology research, from tumorigenesis and oncogenes to chemotherapy and metastasis.
Multidisciplinary open-access journal spanning biochemistry, genetics, neuroscience, environmental health, and synthetic biology.
Open-access journal combining biochemistry, pharmacology, immunology, and genetics to advance health through functional nutrition.
Publishes open-access research on using epigenetics to advance understanding and treatment of human disease.
An International Open Access Journal Devoted to General Medicine.
Gynecological pelvic abscess is a common infectious disease in clinical practice that includes pyometra, ovarian cyst infection and fallopian tube abscess. Surgery for gynecologic cancer with lymphadenectomy and pelvic radiotherapy can induce lymphatic congestion and produce lymphoceles. Infection is sometimes complicated, resulting in abscess (1). Such cases are treated with antibiotics and drainage or surgery, similarly to gut-derived pelvic abscess; however, few studies have focused on gynecological pelvic abscess. This condition develops in the deep pelvis; therefore, attention should be paid to the indication for a surgical procedure and percutaneous drainage. A culture test is needed to choose antibiotics to treat the infection, but it is difficult to collect specimens. Furthermore, invasive approaches are required for specimen collection in many patients who are not improved by conservative treatment, but the results of the culture tests are modified by antibiotic therapy. Therefore, tests are needed that allow identification of appropriate antibiotics and predict the clinical course before treatment.
Magnetic resonance imaging (MRI) detects differences in radiofrequency changes in protons in a magnetic field in free water compared to that of protons in other molecules, including proteins. The amounts of substances containing protons can be estimated from the changes in radiofrequency using magnetic resonance spectroscopy (MRS), which is used in clinical practice to detect necrosis and recurrence after radiotherapy for head tumors (2-4). This technology may also be applicable to pelvic tumors, including identification of pathogenic bacteria and prediction of clinical course using MRS signals from abscesses.
The ‘true causative bacteria of the abscess’ can be difficult to detect due to prior antimicrobial agents, as culture specimens may be collected after treatment has started. Recent innovative genome sequencing technology, which is referred to as next-generation sequencing (NGS), enables analyses of bacterial flora using 16S ribosomal DNA. NGS is frequently used to detect true pathogenic bacteria in abscesses (5,6) and can also detect dead bacteria if 16S ribosomal DNA remains, leading to identification of pathogenic bacteria after antibiotic therapy. In this exploratory study, we examined the utility of MRS for treatment of gynecological pelvic abscess using detection of pathogenic bacteria with NGS. This is the first report in the world using NGS and MRS simultaneously.
The subjects were patients diagnosed with gynecological pelvic abscess (ovarian abscess, fallopian tube abscess, postoperative cyst of the pouch of Douglas, and infectious lymphocele) and treated in our hospital from July 2015 to September 2016. Inclusion criteria were those who were hospitalized and treated in our hospital for a diagnosis of pelvic abscess during the above period. Exclusion criteria were i) those for whom MRI or MRS imaging was not possible or sufficient signal could not be obtained, ii) those for whom close examination revealed disease other than pelvic abscess, and iii) those for whom the patient did not give consent to participate in the study. Treatment was provided based on normal clinical decision-making and the disease course was recorded. Most patients received antimicrobials prior to or from the time of admission, had MRI and MRS imaging after admission, and subsequently underwent surgical intervention if considered necessary. A culture test and NGS analyses of bacterial flora were performed using specimens collected in surgery and percutaneous drainage, and lactic acid in abscess fluid was determined. All patients gave written informed consent after receiving an oral explanation of the study. The study was approved by the research ethics committee of Keio University School of Medicine (approval no. 20140406; Tokyo, Japan) and is registered in the UMIN Clinical Trials Registry (http://www.umin.ac.jp/ctr/index-j.htm; registration no. UMIN000016705 on March 11, 2015).
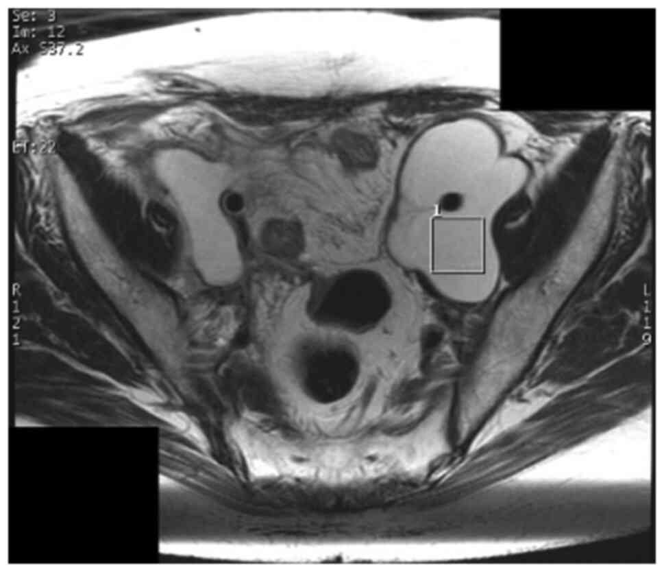
MRI and MRS were performed with a 3T clinical scanner equipped with a 32-channel body coil (Discovery MR750 3.0T, GE Healthcare, Waukesha, WI). Before MRS, routine clinical MRI was performed, including collection of fast spin echo (FSE) T2-weighted images (T2WI) in the axial and sagittal planes (TR/TE=4,000/100 msec), FSE T1-weighted images (T1WI, TR/TE=500/6 msec), and axial diffusion-weighted images (DWI, TR/TE=6,000/60 msec, b=0 and 1,500 s/mm2). MRS was performed before surgery or drainage using a point-resolved spectroscopic sequence (PRESS) (TR/TE=2,000/144 msec, spectral width=2,500 Hz, number of points=2,048, total number of scans=96) with an automated shimming method. A region of interest (ROI) for data acquisition of size 20x20x20 mm3 was placed in the center of the abscess, with reference to previously obtained T2WIs in the axial and sagittal planes (Figs. 1 and 2). In general, lesions in the pelvis show little respiratory variability. To obtain signal intensity and to minimize errors, a cube with 20 mm long sides was set as ROI inside the abscess, which was considered to be a homogenous area, without including wall.
Following MRS, a 3D-fat suppressed gradient echo sequence (TR/TE=4.4/2.2 msec) was obtained. In patients in whom Gd-based contrast material was not contraindicated, Gadoteridol (Bracco Diagnostics Inc, Princeton, NJ) (0.1 mmol/kg body weight) was transvenously injected and 3D-fat suppressed T1WIs were obtained in the axial, sagittal and coronal planes.
MRS data were analyzed using Spectroscopy Analysis by General Electric (SAGE) on the scanner console (GE Healthcare). An MRS spectrum was generated for each receiver coil; therefore, 32 MRS images were generated in every case. MRS spectra were classified into three categories based on the peak height at a chemical shift of about 1.3 ppm, which is representing lipid or lactate. The peak level was classified into three classes, in comparison with the noise level by visual estimation: that is, twofold higher than the average noise level (++), higher than the average noise level but lower than a twofold higher noise level (+), and the same as the average noise level (-), respectively, based on the criteria proposed by Okada et al (7). Okada's criteria were not designed for abscesses, but were used to qualitatively categorize the signal strength of MRS, a quantitative and continuous variable, in analyzing the results of this exploratory study.
Purulent drainage samples were stored at -80˚C until DNA extraction. Genomic DNA was isolated using a NucleoSpin Microbial DNA kit (Macherey-Nagel). The extraction protocol was performed according to the manufacturer's instructions. DNA samples were extracted from approximately 500 µl of purulent contents of each abscess, but the DNA concentration of the sample from Case 11 was too low for subsequent analysis. Thus, extraction was performed again using all the remaining sample from Case 11.
Two steps of PCR were used for the purified DNA samples to obtain sequence libraries. The first PCR was performed for amplification using a 16S (V3-V4) Metagenomic Library Construction Kit for NGS (Takara Bio Inc.) with primer pair 341F (5'-TCGTCGGCAGCGTCAGATGTGTATAAGAGACAGCCTACGGGNGGCWGC AG-3') and 806R (5'-GTCTCGTGGGCTCGGAGATGTGTATAAGAGACAGGGACTACHVGGGTWTCTAAT-3'), corresponding to the V3-V4 region of the 16S rRNA gene. N, W, H and V were mixed base codes (N for A, C, G, T; W for A, T; H for A, C, T; V for A, C, G). The accession number of the gene used in designing primers was Gene ID 948332 (rrsA, Escherichia coli str. K-12 substr. MG1655; https://www.ncbi.nlm.nih.gov/gene/?term=948332). These pair primers are universal primers in popular use (8,9). The second PCR was performed to add the index sequences for the Illumina sequencer with a barcode sequence using the Nextera XT Index Kit (Illumina, San Diego, CA). The prepared libraries were subjected to sequencing of 250 paired-end bases using the MiSeq Reagent Kit v.3 on the MiSeq (Illumina) at Takara Bio. In processing of sequence data, operational taxonomic unit (OTU) definition, taxonomy assignment, and an OTU BLAST search were performed using CD-HIT-OTU 0.0.1, QIIME ver. 1.8, and the DDBJ 16S rRNA database, respectively.
Fisher's exact test and Student's t-test was used for statistical analysis. P<0.05 was considered statistically significant. Data were analyzed using SPSS (version 25).
MRS was performed in 17 patients, including 4 with fallopian tube abscess, one with ovarian abscess (endometriotic ovarian cyst), 9 with infectious lymphocele, and 2 with a Douglas cyst. One patient was excluded from the study because her pelvic lesion was found to be a tumor of recurrent cervical cancer, rather than an abscess. Twelve patients received antimicrobials prior to or from the time of admission, and had MRI and MRS imaging after admission. In four cases, no antimicrobials were administered prior to MRI and MRS imaging. All cases were assessed for indications for surgery or percutaneous drainage after MRS and MRI, which were performed if considered necessary. Consequently, 13 of the 16 patients underwent surgical intervention. Three patients with infectious lymphocele were improved rapidly with only conservative treatment with antimicrobial agents, they were determined that drainage was not indicated. In MRS, peaks other than that for H2O (4.7 ppm) were found in 6 of 16 patients. Peaks at around 1-2 ppm found in 5 cases suggested the presence of lipid (cases 1, 3, 4, 7 and 15). An inverted peak at 1.33 ppm found in one case suggested the presence of lactate acid (case 16). MRS signals for (+) and (++) cases are shown in Fig. 3 and those for MRS (-) cases are shown in Fig. 4.
The treatment plan was determined by normal clinical decision-making, and not by a prescribed study protocol. Attending doctors considered that infectious lymphocele needed drainage only when not improved by antibiotics, and fallopian tube or ovarian abscess usually needed a surgical procedure due to its severity. Thus, all patients with a fallopian tube or ovarian abscess or a Douglas cyst underwent surgery or drainage and abscess fluids were collected. Six of 9 patients with infectious lymphocele underwent drainage, and three were improved by conservative therapy with antibiotics alone. Age, diagnosis, lesion type, immunosuppressive conditions, results of blood culture, antibiotic treatment before imaging, tumor size on MRI, MRS signals, apparent diffusion coefficient (ADC) values, treatment before drainage, properties of tumor fluid, lactic acid levels, results of culture tests, and bacterial strains identified by NGS are shown in Tables I and II, in which cases are sorted by disease, rather than by onset date.
MRS signals and the necessity for surgery and drainage were examined in patients with infectious lymphocele. A total of 7 cases were MRS (-) and 6 of these subjects required drainage. Two (+) or (++) cases were improved without drainage (P=0.083, Fig. 5). These results suggest that MRS signals can predict the requirement for drainage in patients with infectious lymphocele, although the number of cases was small.
There was significant difference in ADC values between lymphocele infection case and non-lymphocele infection cases (P<0.001, Fig. 5). Although we found no association between ADC values and the causative organisms, all non-lymphocele infection cases required surgery or drainage, and low ADC appears to be associated with severity.
Compared only among the lymphocele infection cases, those that required drainage tended to have lower ADC values. MRS (-) tended to correlate with the requirement for drainage, but MRS (-) case that did not require drainage had particularly high ADC values (red point in Fig. 5). Simultaneous determination of MRS signals and ADC values is likely to provide a more accurate estimation of the clinical course.
The contents abscess samples were purulent or transparent yellow or red. We found no association between the properties of the contents of abscess samples and the causative bacteria. All MRS (+) lesion had the purulent contents, and properties of contents of abscess samples tended to correlate with MRS singles (Fig. 6).
MRS signals, lactic acid in abscess fluid, and results from bacterial strain analysis were compared. In Fig. 6, aerobes identified by NGS are shown in light green, and facultative and obligate anaerobes in green and dark green, respectively. Correlation between MRS signals and the causative bacteria identified by NGS, the most promising result of this study, was documented in only Fig. 6. There was no correlation between metabolism and MRS signals (P=0.521, Fig. 6). No significant differences in lactic acid levels were found among bacterial strains, but lactic acid tended to be high for facultative anaerobes and low for obligate anaerobes (P=0.176, Fig. 6).
One of the problems of abscess treatment is that it is started without performance of culture tests, which are important for choosing antibiotics, because sampling is invasive. Drainage is performed for patients who do not respond to treatment, but the true pathogenic bacteria often remain unclear because of modifications by the initial antibiotics. Therefore, a test that would allow the appropriate choice of antibiotics at the start of treatment would be useful, and for this reason we examined MRS as a basis for detection of bacteria in this study. To our knowledge, there are few reports of evaluation of gynecological pelvic abscess using MRS. In this study, we examined whether the pathogenic bacteria and clinical course could be predicted by identifying metabolites in abscess fluid. From previous reports, we predicted that the MR peaks are due to metabolites such as lactic acid (10,11). However, almost all detected peaks other than that for H2O indicate the presence of lipids, which suggests a limitation of scanning protocols and postprocessing of MRS data in the current study.
The heights of the peaks reflect the concentration of the metabolites, but are also affected by acquisition noises. Okada's classification was used to analyze the peaks for categorizing the peak heights, which are a quantitative and continuous values, into qualitative values. Quantitative indicators are better suited for developing specific numerical criteria using large numbers of cases, but qualitative indicators are better suited for seeking new findings and trends in a small number of cases. Okada's criteria were not the result of a study for abscesses, but they were for pelvic lesions as in the present study.
A peak matching lactic acid was found in one patient; however, we could not confirm the actual lactic acid level in the content of the abscess in that case due to improvement without drainage. If the true pathogenic bacteria identified by NGS were facultative anaerobes that readily produce lactic acid in abscesses, lactic acid should have a tendency to increase. A correlation between bacterial metabolic activity and metabolites in the abscess was found, which suggests that detection using MRS may not always be accurate.
Identification of pathogenic bacteria has been reported based on MRS signals in patients with brain abscess and in case reports of pelvic abscess in women (11,12). These studies were based on the presence of acetate and succinate, as metabolites of facultative anaerobes similar to lactic acid. In bacterial metabolism, facultative anaerobes ferment lactic acid under anaerobic conditions and obtain energy, whereas bacterial activities depend on environments and obligate anaerobes that metabolize lactic acid, leading to consumption (13,14). In clinical practice for infection, anaerobes are generally obligate anaerobes and antibiotics are also classified by activity against these anaerobes, including Bacteroides. Identification of obligate anaerobes contributes to the choice of antibiotics; however, optimal antibiotics for Gram-positive cocci including Streptococcus sp. differ from those for Gram-negative bacillus including Escherichia coli, although both are facultative anaerobes. Therefore, it is difficult to choose antibiotics based only on such information. These findings indicate that MRS cannot be used definitively for treatment decision-making, even if detection of metabolites in abscesses is possible.
Difficulty with detecting signals inside an abscess was also suggested by our results. Detection of true signals from abscess contents requires establishment of ROIs inside the abscess only. Because of the small respiratory variability in the pelvis, we decided to set a cube with 20 mm long sides, which was the largest possible size for a homogeneous area, due to obtaining the signal strength and minimalizing sampling error. However, we still could not deny the possibility that respiratory variability might have affected the results. For lymphoceles, respiratory variability were virtually absent because they were in the retroperitoneum and were anchored in the vascular territory, whereas fallopian tubes are inside the pelvis and may be affected by respiration. Consequently, errors may be caused by variance during detection of signals by MRS. Furthermore, as shown in ADC, abscesses were not uniform among the subjects. The ROI was established at the center to cover all layers, but setting of the ROI may also have led to errors at certain sites.
Despite the difficulties with use of MRS, our results suggest that MRS signals at the start of treatment may allow prediction of the need for drainage due to lymphocele infection. Patients with a signal other than H2O in MRS at the start of treatment are likely to respond to conservative therapy, whereas those without this signal are unlikely to be improved and will need drainage. In addition, patients with an abscess with low ADC levels and high viscous contents were likely to require surgical intervention. For these patients, early drainage may shorten the treatment period. Abscess size has been suggested to be a predictor of the need for lymphocele drainage (15), but this tendency was not found in the current study. However, this is a small-scale study and specimens were not collected from patients who responded to treatment, which might explain this result. Further studies are needed to examine this issue.
As for other diseases in terms of the use of MRS for pelvic lesions, there are reports in the field of malignancies. There were reports that in ovarian tumors, high peaks of choline and lactate (more than twice the noise) were findings suggestive of malignancy (16), and that in locally advanced cervical cancer, high peak of lipid was predictive marker of a poor response to neo-adjuvant chemotherapy (17). The indication for pelvic lesions seems feasible, and future studies are expected on abscesses as well.
Initial administration of antibiotics is involved in identifying pathogenic bacteria causing the abscess, as described above. In fact, the results of culture tests in this study showed many cases that were negative for bacteria. If based on only culture results, the analysis might be poorer than those on NGS results. In NGS analysis of flora, pathogenic bacteria were identified in all cases, which shows the value of this method for abscess examination. The current study was performed retrospectively, but NGS has been shown to be useful during treatment in clinical practice (5) and is expected to decrease costs and time.
The greatest limitation of this study was the small number of cases. The disease of pelvic abscesses included a wide variety of conditions, and focusing on each of them would lead to a dispersion of cases. However, we found promising results in lymphocele infections, which involved the largest number of cases. In infectious lymphocele, existence of peaks of metabolites other than H2O (lipid or lactate) in MRS might predict improving without drainage. This was a finding that had never been studied or reported before. An exploratory study of MRS for treatment of gynecological pelvic abscess was conducted. In conclusion, currently, we cannot show marked utility of MRS for identification of pathogenic bacteria and prediction of the clinical course. However, MRS may be useful for predicting the need for drainage in patients with infectious lymphocele.
Not applicable.
Funding: This work was supported by JSPS KAKENHI (Tokyo, Japan; grant no. 18K16779).
The raw sequencing data generated and/or analyzed during the current study are available in the DDBJ Sequence Read Archive (DRA) under accession number DRA015101 (https://ddbj.nig.ac.jp/resource/sra-submission/DRA015101). The other datasets used and/or analyzed during the current study are available from the corresponding author on reasonable request.
YN collected data and wrote the manuscript. KB analyzed data, managed the project and contributed to critical revision of the manuscript. YN and KB confirm the authenticity of all the raw data. YK collected data, managed the patients and advised on experimental design. ET collected data, managed the patients and advised on experimental design. SO collected data, analyzed the MRS signals, and advised on interpretation of MRI and MRS results. DA supervised the project and advised on experimental design. All authors read and approved the final manuscript.
All patients gave written informed consent after receiving an oral explanation of the study for participating and publication. The study was approved by the institutional research ethics committee (approval no. 20140406) and is registered in the UMIN Clinical Trials Registry (http://www.umin.ac.jp/ctr/index-j.htm; registration no. UMIN000016705 on March 11, 2015).
All patients gave written informed consent after receiving an oral explanation of the study for participating and publication.
The authors declare that they have no competing interests.
|
Weinberger V, Cibula D and Zikan M: Lymphocele: Prevalence and management in gynecological malignancies. Exp Rev Anticancer Ther. 14:307–317. 2014.PubMed/NCBI View Article : Google Scholar | |
|
Zhang H, Ma L, Wang Q, Zheng X, Wu C and Xu BN: Role of magnetic resonance spectroscopy for the differentiation of recurrent glioma from radiation necrosis: A systematic review and meta-analysis. Eur J Radiol. 83:2181–2189. 2014.PubMed/NCBI View Article : Google Scholar | |
|
Taylor JS, Langston JW, Reddick WE, Kingsley PB, Ogg RJ, Pui MH, Kun LE, Jenkins JJ III, Chen G, Ochs JJ, et al: Clinical value of proton magnetic resonance spectroscopy for differentiating recurrent or residual brain tumor from delayed cerebral necrosis. Int J Rad Oncol Biol Phys. 36:1251–1261. 1996.PubMed/NCBI View Article : Google Scholar | |
|
Anbarloui MR, Ghodsi SM, Khoshnevisan A, Khadivi M, Abdollahzadeh S, Aoude A, Naderi S, Najafi Z and Faghih-Jouibari M: Accuracy of magnetic resonance spectroscopy in distinction between radiation necrosis and recurrence of brain tumors. Iran J Neurol. 14:29–34. 2015.PubMed/NCBI | |
|
Guo LY, Feng WY, Guo X, Liu B, Liu G and Dong J: The advantages of next-generation sequencing technology in the detection of different sources of abscess. J Infect. 78:75–86. 2019.PubMed/NCBI View Article : Google Scholar | |
|
Song YG, Shim SG, Kim KM, Lee DH, Kim DS, Choi SH, Song JY, Kang HL, Baik SC, Lee WK, et al: Profiling of the bacteria responsible for pyogenic liver abscess by 16S rRNA gene pyrosequencing. J Microbiol. 52:504–509. 2014.PubMed/NCBI View Article : Google Scholar | |
|
Okada T, Harada M, Matsuzaki K, Nishitani H and Aono T: Evaluation of female intrapelvic tumors by clinical proton MR spectroscopy. J Magn Reson Imaging. 13:912–917. 2001.PubMed/NCBI View Article : Google Scholar | |
|
Nadatani Y, Watanabe T, Suda W, Nakata A, Matsumoto Y, Kosaka S, Higashimori A, Otani K, Hosomi S, Tanaka F, et al: Gastric acid inhibitor aggravates indomethacin-induced small intestinal injury via reducing Lactobacillus johnsonii. Sci Rep. 9(17490)2019.PubMed/NCBI View Article : Google Scholar | |
|
Kakiuchi T, Yamamoto K, Imamura I, Hashiguchi K, Kawakubo H, Yamaguchi D, Fujioka Y and Okuda M: Gut microbiota changes related to Helicobacter pylori eradication with vonoprazan containing triple therapy among adolescents: A prospective multicenter study. Sci Rep. 11(755)2021.PubMed/NCBI View Article : Google Scholar | |
|
Burn PR, Haider MA, Alfuhaid T, Brown MP and Roberts TP: Proton magnetic resonance spectroscopy as a potential tool for differentiating between abdominal fluid collections. J Magn Reson Imaging. 18:740–744. 2003.PubMed/NCBI View Article : Google Scholar | |
|
Takeuchi M, Matsuzaki K and Harada M: In vivo proton MR spectroscopy in uterine abscesses. J Magn Reson Imaging. 38:955–957. 2013.PubMed/NCBI View Article : Google Scholar | |
|
Pal D, Bhattacharyya A, Husain M, Prasad KN, Pandey CM and Gupta RK: In vivo proton MR spectroscopy evaluation of pyogenic brain abscesses: A report of 194 cases. AJNR Am J Neuroradiol. 31:360–366. 2010.PubMed/NCBI View Article : Google Scholar | |
|
Macfarlane S and Macfarlane GT: Regulation of short-chain fatty acid production. Proc Nutr Soc. 62:67–72. 2003.PubMed/NCBI View Article : Google Scholar | |
|
Watabe J: Carbohydrate fermentation in the colon. J Intestinal Microbiol. 19:169–177. 2005. | |
|
Tanaka K, Tominaga E, Nogami Y, Nakamura M, Nishio H, Yamagami W, et al: Therapeutic procedures for postoperative infectious lymphocele. Tokyo J Obstet Gynecol. 64:571–575. 2015. | |
|
Mansour SM, Gomma MMM and Shafik PN: Proton MR spectroscopy and the detection of malignancy in ovarian masses. Br J Radiol. 92(20190134)2019.PubMed/NCBI View Article : Google Scholar | |
|
Dolciami M, Canese R, Testa C, Pernazza A, Santangelo G, Palaia I, Rocca CD, Catalano C and Manganaro L: The contribution of the 1H-MRS lipid signal to cervical cancer prognosis: A preliminary study. Eur Radiol Exp. 6(47)2022.PubMed/NCBI View Article : Google Scholar |