Spandidos Publications Logo
  • About
    • About Spandidos
    • Aims and Scopes
    • Abstracting and Indexing
    • Editorial Policies
    • Reprints and Permissions
    • Job Opportunities
    • Terms and Conditions
    • Contact
  • Journals
    • All Journals
    • Oncology Letters
      • Oncology Letters
      • Information for Authors
      • Editorial Policies
      • Editorial Board
      • Aims and Scope
      • Abstracting and Indexing
      • Bibliographic Information
      • Archive
    • International Journal of Oncology
      • International Journal of Oncology
      • Information for Authors
      • Editorial Policies
      • Editorial Board
      • Aims and Scope
      • Abstracting and Indexing
      • Bibliographic Information
      • Archive
    • Molecular and Clinical Oncology
      • Molecular and Clinical Oncology
      • Information for Authors
      • Editorial Policies
      • Editorial Board
      • Aims and Scope
      • Abstracting and Indexing
      • Bibliographic Information
      • Archive
    • Experimental and Therapeutic Medicine
      • Experimental and Therapeutic Medicine
      • Information for Authors
      • Editorial Policies
      • Editorial Board
      • Aims and Scope
      • Abstracting and Indexing
      • Bibliographic Information
      • Archive
    • International Journal of Molecular Medicine
      • International Journal of Molecular Medicine
      • Information for Authors
      • Editorial Policies
      • Editorial Board
      • Aims and Scope
      • Abstracting and Indexing
      • Bibliographic Information
      • Archive
    • Biomedical Reports
      • Biomedical Reports
      • Information for Authors
      • Editorial Policies
      • Editorial Board
      • Aims and Scope
      • Abstracting and Indexing
      • Bibliographic Information
      • Archive
    • Oncology Reports
      • Oncology Reports
      • Information for Authors
      • Editorial Policies
      • Editorial Board
      • Aims and Scope
      • Abstracting and Indexing
      • Bibliographic Information
      • Archive
    • Molecular Medicine Reports
      • Molecular Medicine Reports
      • Information for Authors
      • Editorial Policies
      • Editorial Board
      • Aims and Scope
      • Abstracting and Indexing
      • Bibliographic Information
      • Archive
    • World Academy of Sciences Journal
      • World Academy of Sciences Journal
      • Information for Authors
      • Editorial Policies
      • Editorial Board
      • Aims and Scope
      • Abstracting and Indexing
      • Bibliographic Information
      • Archive
    • International Journal of Functional Nutrition
      • International Journal of Functional Nutrition
      • Information for Authors
      • Editorial Policies
      • Editorial Board
      • Aims and Scope
      • Abstracting and Indexing
      • Bibliographic Information
      • Archive
    • International Journal of Epigenetics
      • International Journal of Epigenetics
      • Information for Authors
      • Editorial Policies
      • Editorial Board
      • Aims and Scope
      • Abstracting and Indexing
      • Bibliographic Information
      • Archive
    • Medicine International
      • Medicine International
      • Information for Authors
      • Editorial Policies
      • Editorial Board
      • Aims and Scope
      • Abstracting and Indexing
      • Bibliographic Information
      • Archive
  • Articles
  • Information
    • Information for Authors
    • Information for Reviewers
    • Information for Librarians
    • Information for Advertisers
    • Conferences
  • Language Editing
Spandidos Publications Logo
  • About
    • About Spandidos
    • Aims and Scopes
    • Abstracting and Indexing
    • Editorial Policies
    • Reprints and Permissions
    • Job Opportunities
    • Terms and Conditions
    • Contact
  • Journals
    • All Journals
    • Biomedical Reports
      • Information for Authors
      • Editorial Policies
      • Editorial Board
      • Aims and Scope
      • Abstracting and Indexing
      • Bibliographic Information
      • Archive
    • Experimental and Therapeutic Medicine
      • Information for Authors
      • Editorial Policies
      • Editorial Board
      • Aims and Scope
      • Abstracting and Indexing
      • Bibliographic Information
      • Archive
    • International Journal of Epigenetics
      • Information for Authors
      • Editorial Policies
      • Editorial Board
      • Aims and Scope
      • Abstracting and Indexing
      • Bibliographic Information
      • Archive
    • International Journal of Functional Nutrition
      • Information for Authors
      • Editorial Policies
      • Editorial Board
      • Aims and Scope
      • Abstracting and Indexing
      • Bibliographic Information
      • Archive
    • International Journal of Molecular Medicine
      • Information for Authors
      • Editorial Policies
      • Editorial Board
      • Aims and Scope
      • Abstracting and Indexing
      • Bibliographic Information
      • Archive
    • International Journal of Oncology
      • Information for Authors
      • Editorial Policies
      • Editorial Board
      • Aims and Scope
      • Abstracting and Indexing
      • Bibliographic Information
      • Archive
    • Medicine International
      • Information for Authors
      • Editorial Policies
      • Editorial Board
      • Aims and Scope
      • Abstracting and Indexing
      • Bibliographic Information
      • Archive
    • Molecular and Clinical Oncology
      • Information for Authors
      • Editorial Policies
      • Editorial Board
      • Aims and Scope
      • Abstracting and Indexing
      • Bibliographic Information
      • Archive
    • Molecular Medicine Reports
      • Information for Authors
      • Editorial Policies
      • Editorial Board
      • Aims and Scope
      • Abstracting and Indexing
      • Bibliographic Information
      • Archive
    • Oncology Letters
      • Information for Authors
      • Editorial Policies
      • Editorial Board
      • Aims and Scope
      • Abstracting and Indexing
      • Bibliographic Information
      • Archive
    • Oncology Reports
      • Information for Authors
      • Editorial Policies
      • Editorial Board
      • Aims and Scope
      • Abstracting and Indexing
      • Bibliographic Information
      • Archive
    • World Academy of Sciences Journal
      • Information for Authors
      • Editorial Policies
      • Editorial Board
      • Aims and Scope
      • Abstracting and Indexing
      • Bibliographic Information
      • Archive
  • Articles
  • Information
    • For Authors
    • For Reviewers
    • For Librarians
    • For Advertisers
    • Conferences
  • Language Editing
Login Register Submit
  • This site uses cookies
  • You can change your cookie settings at any time by following the instructions in our Cookie Policy. To find out more, you may read our Privacy Policy.

    I agree
Search articles by DOI, keyword, author or affiliation
Search
Advanced Search
presentation
Experimental and Therapeutic Medicine
Join Editorial Board Propose a Special Issue
Print ISSN: 1792-0981 Online ISSN: 1792-1015
Journal Cover
June-2023 Volume 25 Issue 6

Full Size Image

Sign up for eToc alerts
Recommend to Library

Journals

International Journal of Molecular Medicine

International Journal of Molecular Medicine

International Journal of Molecular Medicine is an international journal devoted to molecular mechanisms of human disease.

International Journal of Oncology

International Journal of Oncology

International Journal of Oncology is an international journal devoted to oncology research and cancer treatment.

Molecular Medicine Reports

Molecular Medicine Reports

Covers molecular medicine topics such as pharmacology, pathology, genetics, neuroscience, infectious diseases, molecular cardiology, and molecular surgery.

Oncology Reports

Oncology Reports

Oncology Reports is an international journal devoted to fundamental and applied research in Oncology.

Experimental and Therapeutic Medicine

Experimental and Therapeutic Medicine

Experimental and Therapeutic Medicine is an international journal devoted to laboratory and clinical medicine.

Oncology Letters

Oncology Letters

Oncology Letters is an international journal devoted to Experimental and Clinical Oncology.

Biomedical Reports

Biomedical Reports

Explores a wide range of biological and medical fields, including pharmacology, genetics, microbiology, neuroscience, and molecular cardiology.

Molecular and Clinical Oncology

Molecular and Clinical Oncology

International journal addressing all aspects of oncology research, from tumorigenesis and oncogenes to chemotherapy and metastasis.

World Academy of Sciences Journal

World Academy of Sciences Journal

Multidisciplinary open-access journal spanning biochemistry, genetics, neuroscience, environmental health, and synthetic biology.

International Journal of Functional Nutrition

International Journal of Functional Nutrition

Open-access journal combining biochemistry, pharmacology, immunology, and genetics to advance health through functional nutrition.

International Journal of Epigenetics

International Journal of Epigenetics

Publishes open-access research on using epigenetics to advance understanding and treatment of human disease.

Medicine International

Medicine International

An International Open Access Journal Devoted to General Medicine.

Journal Cover
June-2023 Volume 25 Issue 6

Full Size Image

Sign up for eToc alerts
Recommend to Library

  • Article
  • Citations
    • Cite This Article
    • Download Citation
    • Create Citation Alert
    • Remove Citation Alert
    • Cited By
  • Similar Articles
    • Related Articles (in Spandidos Publications)
    • Similar Articles (Google Scholar)
    • Similar Articles (PubMed)
  • Download PDF
  • Download XML
  • View XML

  • Supplementary Files
    • Supplementary_Data.pdf
Case Report Open Access

Multilocular thymic cyst detected during COVID‑19 treatment in an HIV‑positive adult man: A case report and literature review

  • Authors:
    • Hiroto Hatano
    • Ryusuke Sumiya
    • Kento Misumi
    • Hideki Miyazaki
    • Takeshi Ikeda
    • Satoshi Nagasaka
  • View Affiliations / Copyright

    Affiliations: Department of General Thoracic Surgery, National Center for Global Health and Medicine, Tokyo 162‑8655, Japan, Pathology Division of Clinical Laboratory, National Center for Global Health and Medicine, Tokyo 162‑8655, Japan
    Copyright: © Hatano et al. This is an open access article distributed under the terms of Creative Commons Attribution License.
  • Article Number: 285
    |
    Published online on: April 28, 2023
       https://doi.org/10.3892/etm.2023.11984
  • Expand metrics +
Metrics: Total Views: 0 (Spandidos Publications: | PMC Statistics: )
Metrics: Total PDF Downloads: 0 (Spandidos Publications: | PMC Statistics: )
Cited By (CrossRef): 0 citations Loading Articles...

This article is mentioned in:


Abstract

A multilocular thymic cyst (MTC) is a rare mediastinal tumor with multiloculated cyst‑like structures in the anterior mediastinum. This tumfor is associated with inflammatory diseases, including human immunodeficiency virus (HIV) infection. The present study reports a case of MTC detected during coronavirus disease 2019 (COVID‑19) treatment in an adult who was tested HIV positive. An anterior mediastinal tumor was incidentally detected on computed tomography in a 52‑year‑old man with a 20‑year history of HIV infection on the 9th day of COVID‑19. The patient was asymptomatic with no notable physical findings. Magnetic resonance imaging revealed a 28‑mm bilocular cyst. Robot‑assisted thoracoscopic tumor resection was performed. Pathological examination showed that the cyst was lined with squamous or cuboidal epithelium, and the cystic lesion wall was mainly composed of thymic tissue with follicular hyperplasia. Based on these findings, the patient was diagnosed with MTC. To date, only 15 MTC cases have been reported in patients with HIV, and the majority of cases showed HIV infection‑related symptoms such as lymphoid interstitial pneumonia and parotid gland enlargement. The present case was atypical for an HIV‑related MTC because it did not involve HIV infection‑related symptoms, suggesting the possibility for an alternative etiology such as COVID‑19. Further reports on MTC development in patients with COVID‑19 are required to elucidate the relationship between MTC and COVID‑19.

Introduction

A multilocular thymic cyst (MTC) is a rare mediastinal tumor which is recognized by a radiologic finding of a multiloculated cyst-like structure in the anterior mediastinum (1). It often develops following inflammatory diseases such as Sjogren's syndrome, human immunodeficiency virus (HIV) infection and acquired immunodeficiency syndrome (AIDS) (1). Because similar radiologic features can be observed in other tumors, such as thymoma, thymic carcinoma, Hodgkin lymphoma, and seminoma (2), a pathological examination is necessary for final diagnosis. Particularly, with the improvement in AIDS prognosis, HIV-associated tumor cases have been increasing, and caution needs to be exercised in differential diagnosis (3). MTC in people living with HIV/AIDS (PLWHA) often involves other HIV/AIDS-related symptoms such as lymphoid interstitial pneumonia (LIP) and parotid gland enlargement (4), and asymptomatic cases are rare.

Since the beginning of the coronavirus disease of 2019 (COVID-19) pandemic, COVID-19 has been associated with incidentalomas (5,6), as well as various complications owing to its pro-inflammatory behavior (7), including formation of the cystic lesions such as hepatic cyst enlargement (8) and pneumatocele formation (9,10). Severity of COVID-19 is known to be modified by co-infected pathogens, and individuals who are HIV-infected are reported to be at higher risk of severe disease (11,12). However, the relationship between COVID-19 and MTC development in PLWHA remains unknown. Here, we present a case of asymptomatic MTC that was incidentally found on a computed tomography (CT) scan during COVID-19 treatment in a male patient who was HIV positive.

Case report

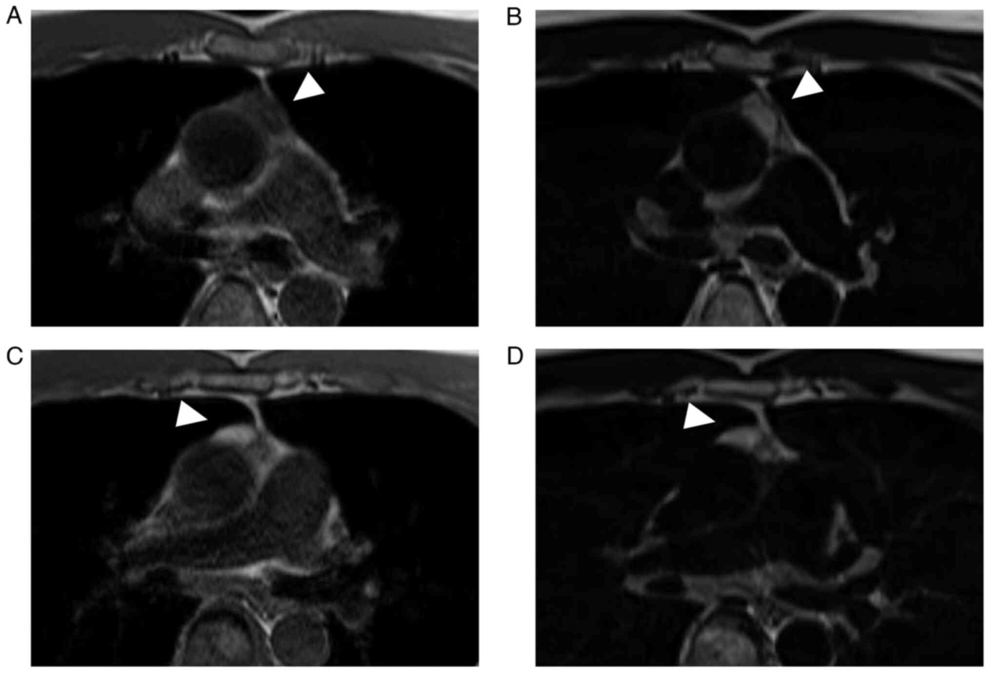
A 52-year-old man with a 20-year history of HIV infection who was undergoing antiretroviral therapy was admitted to our hospital with a COVID-19 pneumonia. On CT scan performed on day 9 of COVID-19, an anterior mediastinal tumor was incidentally detected (Fig. 1). There was no history of smoking, and the clinical history included type-1 diabetes mellitus (Islet Antigen-2 antibody positive), hypertension, renal failure, and syphilis. The patient was asymptomatic with no notable findings on physical examination. Blood examination showed renal dysfunction (urea nitrogen, 25.7 mg/dl; creatinine, 2.41 mg/dl) and hyperglycemia (fasting blood sugar, 112 mg/dl; hemoglobin A1c, 8.3%; glycoalbumin, 21.0%). Rapid plasma reagin, Treponema pallidum antibody, HIV antigen, and HIV antibody tests were positive. Anti-acetylcholine receptor antibody test was negative, ruling out the possibility of myasthenia gravis. There was no significant elevation in tumor markers, including human chorionic gonadotropin β, alpha-fetoprotein, squamous cell carcinoma antigen, cytokeratin 19 fragments, and carcinoembryonic antigen. Regarding HIV control, the cluster of differentiation 4 count was decreased (576/µl), and the HIV RNA load was less than 20 copies/ml. Magnetic resonance imaging revealed a 28-mm bilocular cyst. One of the two chambers showed low intensity on T1-weighted images and high intensity on T2-weighted images, whereas the other chamber showed high intensity on both T1-weighted and T2-weighted images. No infiltration of the capsule or adjacent organs was observed (Fig. 2). As malignancy could not be excluded, robot-assisted thoracoscopic resection of the anterior mediastinal tumor was performed.

Figure 1

Computed tomography scan showing 22-mm anterior mediastinal tumor (white arrow).

Figure 2

Magnetic resonance images showing a 28-mm bilocular cyst (white arrow). One of the two chambers shows (A) low intensity on T1-weighted images and (B) high intensity on T2-weighted images, whereas the other chamber shows high intensity on both (C) T1-weighted and (D) T2-weighted images.

Intraoperatively, the tumor was a cystic lesion within the thymus located just anterior to the pericardium and caudal to the left brachiocephalic vein. There were diffuse smaller cystic lesions within the thymus, and the non-cystic thymic tissue exhibited an uneven surface, suggesting hyperplasia. Thymectomy was performed. The resected tissue was composed of multiple cysts of various sizes containing exudative turbid yellow fluid (total protein, 6.3 g/dl; lactate dehydrogenase, 1676 U/L) with lymphocyte predominance (white blood cells, 44.0x103/l; lymphocyte, 94%).

Hematoxylin and eosin staining was performed on the formalin-fixed paraffin-embedded surgically resected thymic tissue sections of 4 µm thickness. A light microscope was used for observation. Pathologically, the cysts were lined with squamous or cuboidal epithelium. The cyst wall was primarily composed of thymic tissue with follicular hyperplasia, and Hassall's corpuscles were noted. Cholesterol granuloma formation adjacent to the cysts was also observed. Signs of malignancy were not observed (Fig. 3). Based on these findings, the patient was diagnosed with MTC. The postoperative course was uneventful, and the patient is currently being followed up at an outpatient clinic; to date there are no signs of recurrence.

Figure 3

Pathology of resected tissue. The cyst wall is mainly composed of thymic tissue with (A) follicular hyperplasia (magnification, x12.5) and (B) Hassall's corpuscles are observed (white arrows) (magnification, x40). Cysts are lined by (C) squamous (white arrows) or cuboidal epithelium, x100. (D) Cholesterol granuloma formation is also observed (magnification, x40).

Discussion

MTC is a rare disease, accounting for approximately 3% of anterior mediastinal tumors (13). It is recognized by a multiloculated cyst-like structure in the anterior mediastinum on CT, and a pathological examination is necessary for final diagnosis. Pathologically, the inner surface of the cysts is lined by cuboidal, squamous, or columnar epithelia. The cyst wall comprises thymic tissue containing Hassall's corpuscles and hyperplastic lymphoid follicles with a well-formed germinal center. Hyalinization, calcification, and cholesterol granuloma formation can also be observed within the cyst walls (1,14). MTC is associated with inflammatory diseases, including human immunodeficiency virus (HIV) infection and acquired immunodeficiency syndrome (AIDS). In our case, MTC developed in a man who was HIV positive. Although a bilocular cyst in the anterior mediastinum was observed on imaging, the resected thymic tissue exhibited a multiloculated cyst formation. The pathological findings were consistent with typical MTC characteristics.

To further understand the clinical characteristics of MTC in PLWHA, a literature review was conducted. Literature was collected through a PubMed search under the following query: ((multilocular thymic cyst[Title]) OR (multilocular thymic cysts[Title])) AND ((hiv[Title]) OR (human immunodeficiency virus[Title]) OR (acquired immunodeficiency syndrome[title]) OR (aids[title])). A total of seven studies reported 15 cases reported on MTC in PLWHA (4,15-20). The main clinical characteristics of the 16 cases, including ours, are listed in Table S1 and its summary is presented in Table I. MTC in PLWHA is most commonly reported in children, with 12 of the 16 cases occurring at the age of 15 years or younger. Four cases including ours occur in adults, with age of onset in middle age ranging from 35 to 52 years old (4,16,19). Most of the cases had only mildly reduced CD4 counts, with a median CD4 count of 308/µl. Median time from HIV infection to MTC development was 9 years, with 10 of 16 cases developed within 10 years after HIV infection. Our case has a 21-year history of HIV infection and a relatively high CD4 count of 576/µl, which is atypical compared to previous cases. Most patients had comorbidities or symptoms such as LIP and parotid gland enlargement, and only one patient was asymptomatic (15). Asymptomatic case was a pediatric case, with no obvious differences in CD4 counts or duration of HIV infection compared to other cases. Seven of the 16 patients underwent tumor resection, and the others were followed up without surgical intervention. There have been no reports of postoperative recurrence. In five of the nine patients who did not undergo surgical intervention, the tumor resolved or decreased in size. One patient showed tumor enlargement during the first six months after diagnosis, but the size stabilized thereafter (15). Of the remaining three cases, tumor diameter remained unchanged in one case and the post-diagnostic course was not stated in two cases (4,15,19). Although MTC must be differentiated from other malignant tumors, it is associated with a good prognosis when accurately diagnosed using needle biopsy or based on findings during resection.

Table I

Summary of 16 cases (15 previous cases and the present case) of multilocular thymic cyst in people living with HIV/acquired immunodeficiency syndrome.

Table I

Summary of 16 cases (15 previous cases and the present case) of multilocular thymic cyst in people living with HIV/acquired immunodeficiency syndrome.

CharacteristicsTotal
Median age, years (range)10 (2-52)
Age, n (%) 
     <15 years12(75)
     15-35 years0 (0)
     >35 years4(25)
Male sex, n (%)11 (68.8)
Median CD4+ T-cell count, n (IQR)308 (191-416)
Median HIV-positive years, years (IQR)9 (3-11.5)
Associated symptoms, n (%) 
     LIP7 (43.8)
     Lymphadenopathy6 (37.5)
     Parotid gland enlargement5 (31.3)
     Hepatic enlargement5 (31.3)
     Chest pain4(25)
     Fever2 (12.5)
     Cough1 (6.3)
     None1 (6.3)
Surgical intervention, n (%) 
     Yes7 (43.8)
     No9 (56.2)

[i] IQR, interquartile range; LIP, lymphoid interstitial pneumonia; HIV, human immunodeficiency virus.

Our case was atypical for an HIV-related MTC because it did not involve the typical comorbidities associated with HIV infection. Considering that MTC was detected on the 9th day of SARS-CoV-2 infection, it is possible that the MTC was associated with COVID-19. While there have been no reports of MTC development related to COVID-19, cystic lesions such as hepatic cyst enlargement (8) and pneumatocele formation (9,10) have been found to be associated with COVID-19. Furthermore, patients with COVID-19 commonly exhibit thymus hyperplasia, which is seen in the context of MTC (21). Our case alone cannot prove the etiological relationship between COVID-19 and MTC development; however, previous reports suggest the possibility for this relationship. Biologically, the expression of angiotensin-converting enzyme 2 and type 2 transmembrane serine proteases, which are SARS-CoV-2 receptors and proteases (22), has not yet been quantified in the thymus, and the affinity of SARS-CoV-2 for the thymus remains unknown. More case reports on MTC development in patients with COVID-19 and related biological investigations are needed for further discussion on the relationship between COVID-19 and MTC development.

In conclusion, we encountered a rare case of MTC detected during COVID-19 evaluation and treatment in an adult living with HIV. More reports on MTC cases in patients with COVID-19 are needed to elucidate the relationship between MTC and COVID-19.

Supplementary Material

Description of 16 cases (15 previous cases and our case) of MTC in PLWHA.

Acknowledgements

Not applicable.

Funding

Funding: This study was supported by the National Center for Global Health and Medicine COVID-19 Gift Fund.

Availability of data and materials

The datasets used and/or analyzed during the current study are available from the corresponding author on reasonable request.

Authors' contributions

HH and RS acquired data and wrote the manuscript. KM and HM analyzed and interpreted pathology data. TI and SN made substantial contributions to conception and design. HH and RS confirm the authenticity of all the raw data. All authors read and approved the manuscript.

Ethics approval and consent to participate

Not applicable.

Patient consent for publication

Written informed consent was obtained from the patient for publication of this report and any accompanying images.

Competing interests

The authors declare that they have no competing interests.

References

1 

Suster S and Rosai J: Multilocular thymic cyst: An acquired reactive process. Study of 18 cases. Am J Surg Pathol. 15:388–398. 1991.PubMed/NCBI

2 

Oramas DM and Moran CA: Multilocular thymic cyst (MTC) and other tumors with MTC features: Pitfalls in diagnosis. Semin Diagn Pathol. 39:105–112. 2022.PubMed/NCBI View Article : Google Scholar

3 

Yarchoan R, Ramaswami R and Lurain K: HIV-associated malignancies at 40: much accomplished but much to do. Glob Health Med. 3:184–186. 2021.PubMed/NCBI View Article : Google Scholar

4 

Leonidas JC, Berdon WE, Valderrama E, Neveling U, Schuval S, Weiss SJ, Hilfer C and Godine L: Human immunodeficiency virus infection and multilocular thymic cysts. Radiology. 198:377–379. 1996.PubMed/NCBI View Article : Google Scholar

5 

Gokce A, Hatipoglu M, Kandemir NO and Akkas Y: Thoracic incidentaloma in a chest computed tomography scan of a patient with COVID-19. Br J Hosp Med (Lond). 82:1–3. 2021.PubMed/NCBI View Article : Google Scholar

6 

Huynh I: When COVID-19 saves lives: Accidental cancer diagnosis in an epidemic context. Ethics Med Public Health. 18(100666)2021.PubMed/NCBI View Article : Google Scholar

7 

Anka AU, Tahir MI, Abubakar SD, Alsabbagh M, Zian Z, Hamedifar H, Sabzevari A and Azizi G: Coronavirus disease 2019 (COVID-19): An overview of the immunopathology, serological diagnosis and management. Scand J Immunol. 93(e12998)2021.PubMed/NCBI View Article : Google Scholar

8 

D'Amico FE, Glavas D, Noaro G, Bassi D, Boetto R, Gringeri E, De Luca M and Cillo U: Case report: Liver cysts and SARS-CoV-2: No evidence of virus in cystic fluid. Front Surg. 8(677889)2021.PubMed/NCBI View Article : Google Scholar

9 

Shi H, Han X, Jiang N, Cao Y, Alwalid O, Gu J, Fan Y and Zheng C: Radiological findings from 81 patients with COVID-19 pneumonia in Wuhan, China: A descriptive study. Lancet Infect Dis. 20:425–434. 2020.PubMed/NCBI View Article : Google Scholar

10 

Hamad AM and El-Saka HA: Post COVID-19 large pneumatocele: Clinical and pathological perspectives. Interact Cardiovasc Thorac Surg. 33:322–324. 2021.PubMed/NCBI View Article : Google Scholar

11 

Malekifar P, Pakzad R, Shahbahrami R, Zandi M, Jafarpour A, Rezayat SA, Akbarpour S, Shabestari AN, Pakzad I, Hesari E, et al: Viral coinfection among COVID-19 Patient Groups: An update systematic review and meta-analysis. Biomed Res Int. 2021(5313832)2021.PubMed/NCBI View Article : Google Scholar

12 

Soltani S, Zakeri A, Zandi M, Kesheh MM, Tabibzadeh A, Dastranj M, Faramarzi S, Didehdar M, Hafezi H, Hosseini P and Farahani A: The role of bacterial and fungal human respiratory microbiota in COVID-19 Patients. Biomed Res Int. 2021(6670798)2021.PubMed/NCBI View Article : Google Scholar

13 

Davis RD Jr, Oldham HN Jr and Sabiston DC Jr: Primary cysts and neoplasms of the mediastinum: Recent changes in clinical presentation, methods of diagnosis, management, and results. Ann Thorac Surg. 44:229–237. 1987.PubMed/NCBI View Article : Google Scholar

14 

Izumi H, Nobukawa B, Takahashi K, Kumasaka T, Miyamoto H, Yamazaki A, Sonobe S, Uekusa T and Suda K: Multilocular thymic cyst associated with follicular hyperplasia: Clinicopathologic study of 4 resected cases. Hum Pathol. 36:841–844. 2005.PubMed/NCBI View Article : Google Scholar

15 

Kontny HU, Sleasman JW, Kingma DW, Jaffe ES, Avila NA, Pizzo PA and Mueller BU: Multilocular thymic cysts in children with human immunodeficiency virus infection: Clinical and pathologic aspects. J Pediatr. 131:264–270. 1997.PubMed/NCBI View Article : Google Scholar

16 

Shi X, Nasseri F, Berger DM and Nachiappan AC: Large multilocular thymic cyst: A rare finding in an HIV positive adult female. J Clin Imaging Sci. 2(55)2012.PubMed/NCBI View Article : Google Scholar

17 

Tamagno M, Bibas BJ, Bernardi F, Lian YC, Bammann RH, Fernandez A and Jatene FB: Giant multilocular thymic cyst in an HIV-infected adolescent. J Pediatr Surg. 46:1842–1845. 2011.PubMed/NCBI View Article : Google Scholar

18 

Mishalani SH, Lones MA and Said JW: Multilocular thymic cyst. A novel thymic lesion associated with human immunodeficiency virus infection. Arch Pathol Lab Med. 119:467–470. 1995.PubMed/NCBI

19 

Chhieng DC, Demaria S, Yee HT and Yang GC: Multilocular thymic cyst with follicular lymphoid hyperplasia in a male infected with HIV. A case report with fine needle aspiration cytology. Acta Cytol. 43:1119–1123. 1999.PubMed/NCBI View Article : Google Scholar

20 

Shalaby-Rana E, Selby D, Ivy P, Schutzbank T, Chan M, Chandra R and Majd M: Multilocular thymic cyst in a child with acquired immunodeficiency syndrome. Pediatr Infect Dis J. 15:83–86. 1996.PubMed/NCBI View Article : Google Scholar

21 

Cuvelier P, Roux H, Couëdel-Courteille A, Dutrieux J, Naudin C, Charmeteau de Muylder B, Cheynier R, Squara P and Marullo S: Protective reactive thymus hyperplasia in COVID-19 acute respiratory distress syndrome. Crit Care. 25(4)2021.PubMed/NCBI View Article : Google Scholar

22 

Hoffmann M, Kleine-Weber H, Schroeder S, Krüger N, Herrler T, Erichsen S, Schiergens TS, Herrler G, Wu NH, Nitsche A, et al: SARS-CoV-2 cell entry depends on ACE2 and TMPRSS2 and is blocked by a clinically proven protease inhibitor. Cell. 181:271–280.e8. 2020.PubMed/NCBI View Article : Google Scholar

Related Articles

  • Abstract
  • View
  • Download
  • Twitter
Copy and paste a formatted citation
Spandidos Publications style
Hatano H, Sumiya R, Misumi K, Miyazaki H, Ikeda T and Nagasaka S: Multilocular thymic cyst detected during COVID‑19 treatment in an HIV‑positive adult man: A case report and literature review. Exp Ther Med 25: 285, 2023.
APA
Hatano, H., Sumiya, R., Misumi, K., Miyazaki, H., Ikeda, T., & Nagasaka, S. (2023). Multilocular thymic cyst detected during COVID‑19 treatment in an HIV‑positive adult man: A case report and literature review. Experimental and Therapeutic Medicine, 25, 285. https://doi.org/10.3892/etm.2023.11984
MLA
Hatano, H., Sumiya, R., Misumi, K., Miyazaki, H., Ikeda, T., Nagasaka, S."Multilocular thymic cyst detected during COVID‑19 treatment in an HIV‑positive adult man: A case report and literature review". Experimental and Therapeutic Medicine 25.6 (2023): 285.
Chicago
Hatano, H., Sumiya, R., Misumi, K., Miyazaki, H., Ikeda, T., Nagasaka, S."Multilocular thymic cyst detected during COVID‑19 treatment in an HIV‑positive adult man: A case report and literature review". Experimental and Therapeutic Medicine 25, no. 6 (2023): 285. https://doi.org/10.3892/etm.2023.11984
Copy and paste a formatted citation
x
Spandidos Publications style
Hatano H, Sumiya R, Misumi K, Miyazaki H, Ikeda T and Nagasaka S: Multilocular thymic cyst detected during COVID‑19 treatment in an HIV‑positive adult man: A case report and literature review. Exp Ther Med 25: 285, 2023.
APA
Hatano, H., Sumiya, R., Misumi, K., Miyazaki, H., Ikeda, T., & Nagasaka, S. (2023). Multilocular thymic cyst detected during COVID‑19 treatment in an HIV‑positive adult man: A case report and literature review. Experimental and Therapeutic Medicine, 25, 285. https://doi.org/10.3892/etm.2023.11984
MLA
Hatano, H., Sumiya, R., Misumi, K., Miyazaki, H., Ikeda, T., Nagasaka, S."Multilocular thymic cyst detected during COVID‑19 treatment in an HIV‑positive adult man: A case report and literature review". Experimental and Therapeutic Medicine 25.6 (2023): 285.
Chicago
Hatano, H., Sumiya, R., Misumi, K., Miyazaki, H., Ikeda, T., Nagasaka, S."Multilocular thymic cyst detected during COVID‑19 treatment in an HIV‑positive adult man: A case report and literature review". Experimental and Therapeutic Medicine 25, no. 6 (2023): 285. https://doi.org/10.3892/etm.2023.11984
Follow us
  • Twitter
  • LinkedIn
  • Facebook
About
  • Spandidos Publications
  • Careers
  • Cookie Policy
  • Privacy Policy
How can we help?
  • Help
  • Live Chat
  • Contact
  • Email to our Support Team