Spandidos Publications Logo
  • About
    • About Spandidos
    • Aims and Scopes
    • Abstracting and Indexing
    • Editorial Policies
    • Reprints and Permissions
    • Job Opportunities
    • Terms and Conditions
    • Contact
  • Journals
    • All Journals
    • Oncology Letters
      • Oncology Letters
      • Information for Authors
      • Editorial Policies
      • Editorial Board
      • Aims and Scope
      • Abstracting and Indexing
      • Bibliographic Information
      • Archive
    • International Journal of Oncology
      • International Journal of Oncology
      • Information for Authors
      • Editorial Policies
      • Editorial Board
      • Aims and Scope
      • Abstracting and Indexing
      • Bibliographic Information
      • Archive
    • Molecular and Clinical Oncology
      • Molecular and Clinical Oncology
      • Information for Authors
      • Editorial Policies
      • Editorial Board
      • Aims and Scope
      • Abstracting and Indexing
      • Bibliographic Information
      • Archive
    • Experimental and Therapeutic Medicine
      • Experimental and Therapeutic Medicine
      • Information for Authors
      • Editorial Policies
      • Editorial Board
      • Aims and Scope
      • Abstracting and Indexing
      • Bibliographic Information
      • Archive
    • International Journal of Molecular Medicine
      • International Journal of Molecular Medicine
      • Information for Authors
      • Editorial Policies
      • Editorial Board
      • Aims and Scope
      • Abstracting and Indexing
      • Bibliographic Information
      • Archive
    • Biomedical Reports
      • Biomedical Reports
      • Information for Authors
      • Editorial Policies
      • Editorial Board
      • Aims and Scope
      • Abstracting and Indexing
      • Bibliographic Information
      • Archive
    • Oncology Reports
      • Oncology Reports
      • Information for Authors
      • Editorial Policies
      • Editorial Board
      • Aims and Scope
      • Abstracting and Indexing
      • Bibliographic Information
      • Archive
    • Molecular Medicine Reports
      • Molecular Medicine Reports
      • Information for Authors
      • Editorial Policies
      • Editorial Board
      • Aims and Scope
      • Abstracting and Indexing
      • Bibliographic Information
      • Archive
    • World Academy of Sciences Journal
      • World Academy of Sciences Journal
      • Information for Authors
      • Editorial Policies
      • Editorial Board
      • Aims and Scope
      • Abstracting and Indexing
      • Bibliographic Information
      • Archive
    • International Journal of Functional Nutrition
      • International Journal of Functional Nutrition
      • Information for Authors
      • Editorial Policies
      • Editorial Board
      • Aims and Scope
      • Abstracting and Indexing
      • Bibliographic Information
      • Archive
    • International Journal of Epigenetics
      • International Journal of Epigenetics
      • Information for Authors
      • Editorial Policies
      • Editorial Board
      • Aims and Scope
      • Abstracting and Indexing
      • Bibliographic Information
      • Archive
    • Medicine International
      • Medicine International
      • Information for Authors
      • Editorial Policies
      • Editorial Board
      • Aims and Scope
      • Abstracting and Indexing
      • Bibliographic Information
      • Archive
  • Articles
  • Information
    • Information for Authors
    • Information for Reviewers
    • Information for Librarians
    • Information for Advertisers
    • Conferences
  • Language Editing
Spandidos Publications Logo
  • About
    • About Spandidos
    • Aims and Scopes
    • Abstracting and Indexing
    • Editorial Policies
    • Reprints and Permissions
    • Job Opportunities
    • Terms and Conditions
    • Contact
  • Journals
    • All Journals
    • Biomedical Reports
      • Information for Authors
      • Editorial Policies
      • Editorial Board
      • Aims and Scope
      • Abstracting and Indexing
      • Bibliographic Information
      • Archive
    • Experimental and Therapeutic Medicine
      • Information for Authors
      • Editorial Policies
      • Editorial Board
      • Aims and Scope
      • Abstracting and Indexing
      • Bibliographic Information
      • Archive
    • International Journal of Epigenetics
      • Information for Authors
      • Editorial Policies
      • Editorial Board
      • Aims and Scope
      • Abstracting and Indexing
      • Bibliographic Information
      • Archive
    • International Journal of Functional Nutrition
      • Information for Authors
      • Editorial Policies
      • Editorial Board
      • Aims and Scope
      • Abstracting and Indexing
      • Bibliographic Information
      • Archive
    • International Journal of Molecular Medicine
      • Information for Authors
      • Editorial Policies
      • Editorial Board
      • Aims and Scope
      • Abstracting and Indexing
      • Bibliographic Information
      • Archive
    • International Journal of Oncology
      • Information for Authors
      • Editorial Policies
      • Editorial Board
      • Aims and Scope
      • Abstracting and Indexing
      • Bibliographic Information
      • Archive
    • Medicine International
      • Information for Authors
      • Editorial Policies
      • Editorial Board
      • Aims and Scope
      • Abstracting and Indexing
      • Bibliographic Information
      • Archive
    • Molecular and Clinical Oncology
      • Information for Authors
      • Editorial Policies
      • Editorial Board
      • Aims and Scope
      • Abstracting and Indexing
      • Bibliographic Information
      • Archive
    • Molecular Medicine Reports
      • Information for Authors
      • Editorial Policies
      • Editorial Board
      • Aims and Scope
      • Abstracting and Indexing
      • Bibliographic Information
      • Archive
    • Oncology Letters
      • Information for Authors
      • Editorial Policies
      • Editorial Board
      • Aims and Scope
      • Abstracting and Indexing
      • Bibliographic Information
      • Archive
    • Oncology Reports
      • Information for Authors
      • Editorial Policies
      • Editorial Board
      • Aims and Scope
      • Abstracting and Indexing
      • Bibliographic Information
      • Archive
    • World Academy of Sciences Journal
      • Information for Authors
      • Editorial Policies
      • Editorial Board
      • Aims and Scope
      • Abstracting and Indexing
      • Bibliographic Information
      • Archive
  • Articles
  • Information
    • For Authors
    • For Reviewers
    • For Librarians
    • For Advertisers
    • Conferences
  • Language Editing
Login Register Submit
  • This site uses cookies
  • You can change your cookie settings at any time by following the instructions in our Cookie Policy. To find out more, you may read our Privacy Policy.

    I agree
Search articles by DOI, keyword, author or affiliation
Search
Advanced Search
presentation
Molecular Medicine Reports
Join Editorial Board Propose a Special Issue
Print ISSN: 1791-2997 Online ISSN: 1791-3004
Journal Cover
November-2014 Volume 10 Issue 5

Full Size Image

Sign up for eToc alerts
Recommend to Library

Journals

International Journal of Molecular Medicine

International Journal of Molecular Medicine

International Journal of Molecular Medicine is an international journal devoted to molecular mechanisms of human disease.

International Journal of Oncology

International Journal of Oncology

International Journal of Oncology is an international journal devoted to oncology research and cancer treatment.

Molecular Medicine Reports

Molecular Medicine Reports

Covers molecular medicine topics such as pharmacology, pathology, genetics, neuroscience, infectious diseases, molecular cardiology, and molecular surgery.

Oncology Reports

Oncology Reports

Oncology Reports is an international journal devoted to fundamental and applied research in Oncology.

Experimental and Therapeutic Medicine

Experimental and Therapeutic Medicine

Experimental and Therapeutic Medicine is an international journal devoted to laboratory and clinical medicine.

Oncology Letters

Oncology Letters

Oncology Letters is an international journal devoted to Experimental and Clinical Oncology.

Biomedical Reports

Biomedical Reports

Explores a wide range of biological and medical fields, including pharmacology, genetics, microbiology, neuroscience, and molecular cardiology.

Molecular and Clinical Oncology

Molecular and Clinical Oncology

International journal addressing all aspects of oncology research, from tumorigenesis and oncogenes to chemotherapy and metastasis.

World Academy of Sciences Journal

World Academy of Sciences Journal

Multidisciplinary open-access journal spanning biochemistry, genetics, neuroscience, environmental health, and synthetic biology.

International Journal of Functional Nutrition

International Journal of Functional Nutrition

Open-access journal combining biochemistry, pharmacology, immunology, and genetics to advance health through functional nutrition.

International Journal of Epigenetics

International Journal of Epigenetics

Publishes open-access research on using epigenetics to advance understanding and treatment of human disease.

Medicine International

Medicine International

An International Open Access Journal Devoted to General Medicine.

Journal Cover
November-2014 Volume 10 Issue 5

Full Size Image

Sign up for eToc alerts
Recommend to Library

  • Article
  • Citations
    • Cite This Article
    • Download Citation
    • Create Citation Alert
    • Remove Citation Alert
    • Cited By
  • Similar Articles
    • Related Articles (in Spandidos Publications)
    • Similar Articles (Google Scholar)
    • Similar Articles (PubMed)
  • Download PDF
  • Download XML
  • View XML
Article

Synergistic effects of puerarin combined with 5-fluorouracil on esophageal cancer

  • Authors:
    • Jun Wang
    • Zi-Rong Yang
    • Xu-Feng Guo
    • Jia Song
    • Ji‑Xiang  Zhang
    • Jing Wang
    • Wei-Guo Dong
  • View Affiliations / Copyright

    Affiliations: Department of Gastroenterology, Renmin Hospital of Wuhan University, Wuhan, Hubei 430060, P.R. China
  • Pages: 2535-2541
    |
    Published online on: September 5, 2014
       https://doi.org/10.3892/mmr.2014.2539
  • Expand metrics +
Metrics: Total Views: 0 (Spandidos Publications: | PMC Statistics: )
Metrics: Total PDF Downloads: 0 (Spandidos Publications: | PMC Statistics: )
Cited By (CrossRef): 0 citations Loading Articles...

This article is mentioned in:



Abstract

Puerarin is an isoflavone derived from kudzu roots with a wide range of biological and medicinal properties. The aim of the present study was to investigate the inhibitive effects of puerarin combined with 5‑fluorouracil (5‑FU) on Eca‑109 esophageal cancer cells in vitro and in vivo. Inhibitive effects of the treatments on Eca‑109 cells were detected by cell counting kit‑8, Hoechst 33258 staining and flow cytometry. A tumor xenograft model was established in nude mice. Puerarin and 5‑FU, administered either in combination or individually, were injected into mice and the inhibitive effects along with any side effects were observed. Apoptosis was detected by terminal deoxynucleotidyl transferase dUTP nick end labeling assay. Puerarin and 5‑FU, administered as combined treatment or individual drugs, significantly inhibited proliferation and induced marked apoptosis. The mean growth inhibition rate (± standard deviation) reached 87.27±5.37% and the apoptotic rate at 48 h reached 36.18±1.24% in the combined treatment group. The percentages of apoptotic cells induced by puerarin and 5‑FU (combined or alone) were significantly higher than those of the control group (P<0.05). Puerarin or 5‑FU alone significantly inhibited the growth of xenograft tumors in comparison to the control group (P<0.05), with inhibition rates of 76.93 and 72.21%, respectively. The drugs combined exhibited a significantly greater effect than either drug alone (P<0.05), with the tumor inhibition rate reaching 89.06%. During the course of chemotherapy, no evident side effects were observed. The results suggested that the combined inhibitive effects of puerarin and 5‑FU were greater than the effects of the agents used individually. In addition, puerarin combined with 5‑FU exhibited synergistic effects at lower concentrations and promoted apoptosis, but did not increase the side effects of chemotherapy, which indicated that puerarin may be a safe and effective chemosensitive agent in the treatment of human esophageal cancer.

Introduction

Esophageal cancer is a common malignant gastrointestinal disease, and the global incidence and mortality has been increasing in recent years (1,2). China has a high incidence of esophageal cancer, with esophageal squamous cell carcinoma being the predominant histological subtype (3). When patients are diagnosed, the majority have already developed late-stage cancer and thus are not eligible for surgical treatment; therefore, chemotherapy is the main treatment option for advanced esophageal cancer.

5-fluorouracil (5-FU) has been employed as a first-line chemotherapeutic agent in esophageal cancer for a number of years, and has been demonstrated to successfully promote the efficiency rate and the patient’s quality of life (4). However, this treatment may result in side effects, including bone marrow suppression, local irritation and gastrointestinal disorders, including nausea, vomiting and appetite loss. Therefore, identifying anticancer drugs with high efficiency and low toxicity, and which may be able to be used in combination therapy, is of increasing importance.

Puerarin, a well-known isoflavone-C-glycoside, has been identified as a major constituent of Pueraria lobata. Puerarin has been used in Traditional Chinese Medicine for millennia, and has been shown to possess various beneficial effects for patients with Parkinson’s disease (5), diabetes (6), hypertension (7), osteoporosis (8,9), alcoholism (10) and cardiovascular and cerebrovascular diseases (11–13). Furthermore, numerous studies have demonstrated the anticancer activity of puerarin in animal models as well as in a variety of cancer cell lines (14–19). However, the antitumor effect of puerarin on esophageal cancer have been rarely reported (16). The present study thus examined the activity of puerarin combined with 5-FU against esophageal cancer in vitro and in vivo.

Materials and methods

Chemicals and cell culture

Puerarin was obtained from Sigma-Aldrich (P5555; Sigma-Aldrich Co. LLC, Shanghai, China). The puerarin stock solution was prepared at 100 mM in serum-free culture medium and stored at −20°C. 5-FU (F6627; Sigma-Aldrich), was dissolved in Dulbecco’s modified Eagle’s medium (DMEM; Gibco-BRL, Gaithersburg, MD, USA) to yield a 20 mM stock solution, which was stored at −20°C. The Eca-109 esophageal cancer cell line was obtained from the China Center for Type Culture Collection (Wuhan, China). The cells were cultured in DMEM supplemented with 10% fetal bovine serum (FBS) and 1% antibiotics (100 μg/ml streptomycin and 100 IU penicillin; Genom, Hangzhou, China) in a humidified incubator at 37°C under 5% CO2.

Cell viability inhibition

The inhibitive effects of puerarin and 5-FU on the in vitro growth of Eca-109 cells were determined using the cell counting kit-8 (CCK-8; Dojindo Molecular Technologies, Inc., Kunamoto, Japan). The cells (5×103 cells per well) were seeded in 96-well microtitre plates. Following exposure to puerarin (400, 800, 1,600, 3,200, 6,400 μM), 5-FU (40, 80, 160, 320, 640 μM) or puerarin + 5-FU for 48 h, 10 μl CCK-8 solution [5 mg/ml in phosphate-buffered saline (PBS)] was added to each well and the plates were incubated for an additional 2 h at 37°C. The CCK-8 solution in the medium was removed and the optical density at 450 nm was determined by an iMark Microplate Absorbance Reader (Bio-Rad, Hercules, CA, USA). Each assay was performed in triplicate. The results are expressed as the inhibition rate (IR): IR = (A×B)/A×100%, where A and B are the absorbance of the control and sample groups, respectively, after 48 h of incubation.

Hoechst 33258 assay for apoptosis

Apoptotic cells were detected by Hoechst 33258 staining following the manufacturer’s instructions (C0003; Beyotime Institute of Biotechnology, Shanghai, China). The cells were cultured in DMEM for 12 h following seeding in a sterile six-well plate, and then fixed in 0.5 ml methanol for 30 min and washed with PBS twice. 0.5 ml Hoechst 33258 reagent was used to stain the apoptotic cells in the dark at room temperature for 5 min following exposure to puerarin (160 μM), 5-FU (160 μM) alone or puerarin and 5-FU combined for 48 h. The cells were then rinsed with PBS twice. Apoptotic cells were identified on the basis of morphological changes in the nuclear assembly by observing chromatin condensation and fragment staining using Hoechst 33258. The stained cells were examined and photographed under a fluorescence microscope (Olympus 1X71; Olympus Corporation, Tokyo, Japan) at an excitation wavelength of 330–380 nm. In each group, ten microscopic fields were selected randomly and the cells were counted.

Annexin V/propidium iodide (PI) staining

To quantify the percentage of cells undergoing apoptosis, the Annexin V-fluorescein isothiocyanate (FITC) kit (Multi-Sciences Biotechnology Co., Ltd., Hangzhou, China) was used according to the manufacturer’s instructions. Briefly, cells were incubated for either 24 h or 48 h with puerarin and 5-FU alone or in combination. The cells were then washed twice with cold PBS and resuspended in fluorescein isothiocyanate conjugated annexin V binding buffer at a concentration of 1×106 cells/ml. Following incubation, 100 μl solution was transferred to a 5-ml culture tube, and 5 μl Annexin V-FITC and 10 μl PI were added. The tube was gently centrifuged at 1,000 × g and incubated for 15 min at room temperature in the dark. At the end of the incubation, 400 μl binding buffer was added and the cells were analyzed immediately by flow cytometry (FACSAria™; Beckman Coulter, Inc., Fullerton, CA, USA). Flow cytometric analysis was performed using CellQuest™ software (BD Biosciences, Franklin Lakes, NJ, USA).

Xenograft tumor model

All procedures were performed in compliance with the National Institutes of Health Guide for the Care and Use of Laboratory Animals, and the study was approved by the Ethics Committee for Animal Research of Wuhan University, China. Male BALB/c nude mice, aged 5–6 weeks, were purchased from the Center for Animal Experiments of Wuhan University (Wuhan, China). The mice weighed 16–18 g at the beginning of the experiment. The mice were maintained in autoclaved filter-top micro-isolator cages with autoclaved water and sterile food provided ad libitum. The cages were maintained in an isolator unit provided with filtered air. Tumor cells used for inoculation were grown in culture and harvested as described above. A total of 24 mice were inoculated subcutaneously with injections of 1×107 cells/mouse; a further six mice inoculated with saline acted as a control group. Tumor sizes were determined using micrometer calipers and mice with similarly sized tumors were randomly divided into four groups (with six mice/group): Saline control group; puerarin 25 mg/kg/day group; 5-FU 12 mg/kg/day group; and puerarin + 5-FU combination group. Following 3 weeks, all mice were sacrificed by spinal dislocation and the xenograft tumors were removed and measured. Tumor volume (TV) was calculated using the following formula: TV (mm3) = d2xD/2, where d and D signify the shortest and the longest diameters, respectively.

TUNEL assay

For histological examination, the tumor tissues were fixed in 10% buffered formalin and embedded in paraffin, and 4 μm tissue sections were prepared. The TUNEL assay was performed with an in situ apoptosis detection kit (Roche, Branchburg, NJ, USA) according to the manufacturer’s instructions. Positive cells were identified, counted (six random fields per slide) and analyzed by an Olympus-BX53 upright fluorescence microscope (Olympus).

Evaluation of side effects

The livers and kidneys of the mice from the different groups were fixed in 10% buffered formalin, and the preserved tissues were cleaned in running water, processed for histological examination according to the conventional methods and stained with haematoxylin and eosin. The morphology of any lesions observed was classified and registered by a skilled histologist who was blinded to the treatment groups. Blood was collected by cardiac puncture using heparin-rinsed 1-ml syringes (20 gauge needles). The levels of alanine aminotransferase (ALT), aspartate aminotransferase (AST), blood urea nitrogen (BUN) and serum creatinine (Cr), biomarkers of liver and renal injury were detected by a Beckman 700 spectrophotometer (Beckman-Coulter, Chicago, IL, USA).

Statistical analysis

Data were subjected to non-parametric analysis using the Mann-Whitney rank sum test. P<0.05 was considered to indicate a statistically significant difference. Statistical analyses were performed using SPSS 17.0 software (SPSS, Inc., Chicago, IL, USA).

Results

Effects of drug exposure on the growth of the Eca-109 esophageal cancer cell line

The inhibition of proliferation by puerarin and 5-FU in the Eca-109 cells was assessed after 48 h of drug exposure, following 24 h culture in drug-free medium. As shown in Fig. 1, after 48 h of treatment, growth of the Eca-109 cells was significantly inhibited in a dose-dependent manner (P<0.01). The mean [± standard deviation (SD)] inhibition rate was 6.56±0.04% at 400 μM puerarin and 90.76±0.83% at 6,400 μM. 5-FU at 40 μM exhibited an inhibition rate of 7.10±0.06%, while the rate at 640 μM was 76.56±4.71%. In addition, the effect of puerarin and 5-FU combined was higher than that of puerarin or 5-FU alone and the difference was identified to be statistically significant (P<0.05). This indicated that puerarin and 5-FU exhibited a synergistic effect on inhibiting the proliferation of Eca-109 cells.

Figure 1

Effects of puerarin and 5-FU treatment on proliferation of Eca-109 cells. Cells were treated with puerarin, 5-FU or puerarin + 5-FU at different concentrations for 48 h, and then quantified using the cell counting kit-8 assay. Results are expressed as inhibition rate. The proliferation of Eca-109 cells was inhibited by puerarin and 5-FU in a dose-dependent manner (P<0.01). 5-FU, 5-fluorouracil..

Apoptosis induced by puerarin and 5-FU

Apoptosis induced by puerarin and 5-FU was confirmed using Annexin V/PI staining to detect externalization of phosphatidylserine on the cell membrane. As shown in Fig. 2, the proportion of Annexin V-positive/PI-negative cells increased progressively in Eca-109 cells incubated at low concentrations of puerarin (400 μM) and/or 5-FU (40 μM) for 48 h. Puerarin and 5-FU alone significantly promoted apoptosis compared with the control group (P<0.05), although the combined effects of the two drugs were greater than the effects of puerarin or 5-FU alone (P<0.05).

Figure 2

Detection of apoptosis via Annexin V/PI staining and flow cytometric quantification. X-axis, Annexin V; Y-axis, PI. Cells that were Annexin V-positive/PI-negative were in early apoptosis, Annexin V-negative/PI-positive staining signified that the cells were necrotic and Annexin V-positive/PI-positive cells were in late apoptosis. Comparing the rate of cells in the early stages of apoptosis, the puerarin, 5-FU and puerarin + 5-FU groups exhibited a significantly increased rate of apoptosis compared with that of the control group (P<0.05). The compined treatment group exhibited a significantly increased rate of apoptosis compared with those of the puerarin- and 5-FU-only treatment groups (P<0.05). PI, propidium iodide; 5-FU, 5-fluorouracil; FITC, fluorescein isothiocyanate.

Hoechst 33258 staining was used to detect the morphological features of apoptotic cells induced by puerarin and 5-FU in vitro, which revealed that apoptotic bodies containing nuclear fragments were generated in apoptotic cells. The mean (±SD) of apoptotic cells in the control, puerarin, 5-FU and combined group were 3.67±2.16, 51.67±8.45, 55.17±10.17 and 83.0±9.21, respectively. Therefore, the percentages of apoptotic cells induced by either puerarin and 5-FU alone or the two drugs combined were significantly elevated compared with that in the control group (P<0.05, Fig. 3). Furthermore, the apoptotic rate in the combined treatment group was significantly greater than that of either respective treatment alone (P<0.05, Fig. 3).

Figure 3

Apoptosis was detected by staining with Hoechst 33258. Apoptotic features were assessed by observing chromatin condensation and fragment staining. Scale bar, 50 μm; magnification, ×200. (A) Control; (B) Puerarin; (C) 5-FU; and (D) Puerarin + 5-FU groups. 5-FU, 5-fluorouracil.

Antitumor effects in vivo

Following the investigation of apoptosis in Eca-109 cells in vitro, the antitumor effect of puerarin and 5-FU was evaluated in xenograft tumor mouse models. None of the mice died over the course of treatment and all 24 mice successfully developed tumor xenografts. On day 14, the tumor xenografts reached a mean size of 216.53±32.29 mm3. The 24 mice were randomly divided into four groups as described above. No statistically significant differences were detected among the sizes of the tumors in the different groups. Subsequently, the mice were administered the different treatments. The results revealed that puerarin and 5-FU administered either in combination or individually exhibited significant inhibitory effects in vivo, with tumor volumes and weights in the mice in these groups all significantly reduced as compared with the saline control group (P<0.05, Table I), and the average tumor volume in the combination group was significantly lower than that in either the puerarin or the 5-FU group (P<0.05, Table I). The mean (±SD) tumor volume in the control group was 1,015.26±108.88 mm3 at the end of the experiment, and the tumor inhibition rate of puerarin combined with 5-FU was 89.06%, whereas the inhibition rates of puerarin and 5-FU alone were 76.93 and 72.21%, respectively (Table I). The mean tumor weights in the different groups are shown in Table I; the inhibition rates were 87.48, 65.93 and 61.81%, for the combined treatment, puerarin only and 5-FU only groups, respectively. These results demonstrated that the antitumor effect of puerarin combined with 5-FU was superior to the effects of the drugs when used individually.

Table I

Inhibitory effects of puerarin and 5-FU on Eca-109 xenograft tumors in nude mice.

Table I

Inhibitory effects of puerarin and 5-FU on Eca-109 xenograft tumors in nude mice.

GroupNo.Volume (mm3)Inhibition rate (%)Weight (g)Inhibition rate (%)
Puerarin6234.23±15.17ab76.930.358±0.161ab65.93
5-FU6282.10±58.87ab72.210.402±0.151ab61.81
Puerarin + 5-FU6111.09±34.79b89.060.132±0.067b87.48
Control61,015.26±108.881.052±0.522

{ label (or @symbol) needed for fn[@id='tfn1-mmr-10-05-2535'] } Data are presented as the mean ± standard deviation of the mean and are expressed as inhibition rate (%) = [1 - mean of tumor volume (or weight) of test group/mean of tumor volume (or weight) of control group] ×100%. There were six mice per group.

a P<0.05 compared with the puerarin + 5-FU group;

b P<0.05 compared with the control group.

{ label (or @symbol) needed for fn[@id='tfn4-mmr-10-05-2535'] } 5-FU, 5-fluorouracil.

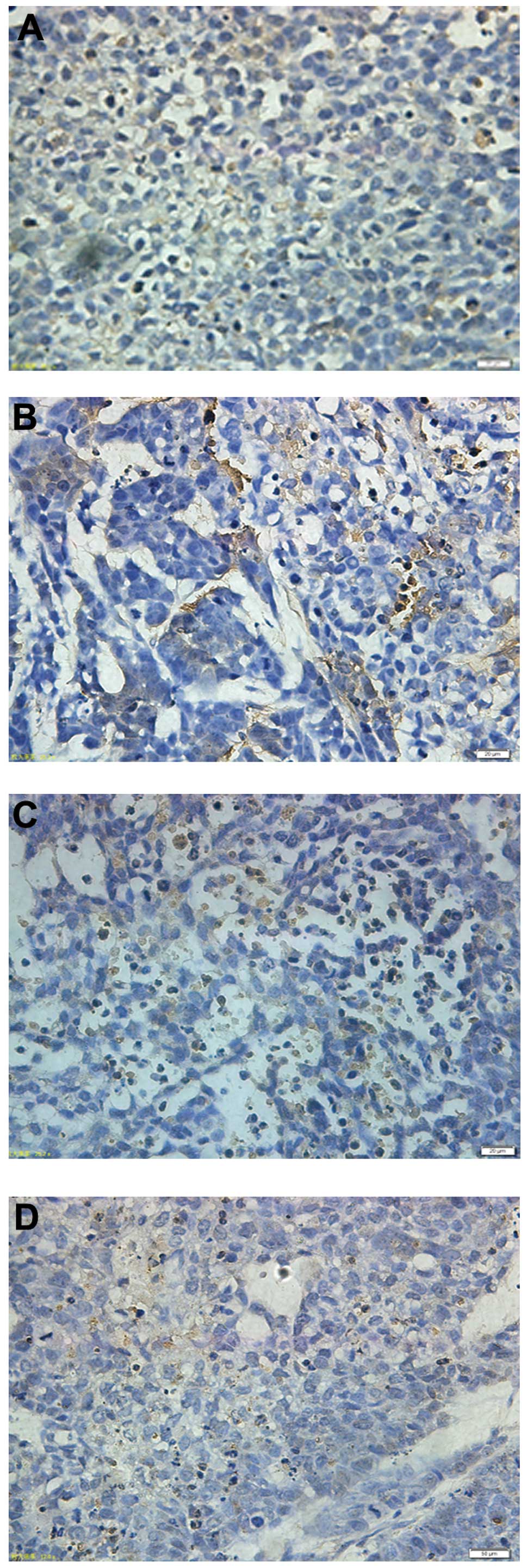
Tumor tissues isolated from the xenograft mice of the four groups were assessed using the TUNEL assay; representative micrographs are shown in Fig. 4. The tumors derived from combination-treated mice exhibited a markedly higher count of apoptotic bodies compared with the control tumors, suggesting that puerarin potentiates the activity of 5-FU, which includes the suppression of cellular viability and increased apoptosis of tumor cells in vivo.

Figure 4

Detection of apoptotic cells in xenograft tumor tissue by TUNEL assay. Control, equal volume of saline; Puerarin, 25 mg/kg/day puerarin; 5-FU, 12 mg/kg/day 5-FU; Puerarin + 5-FU, combination treatment. Brown color indicates apoptosis. Scale bar, 50 μm; magnification, ×400. (A) Control; (B) Puerarin; (C) 5-FU; and (D) Puerarin + 5-FU groups. 5-FU, 5-fluorouracil; TUNEL, terminal deoxynucleotidyl transferase dUTP nick end labeling.

Evaluation of side effects

At the end of the experiment, the nude mice were necropsied. No clear metastasis, peptic ulcer and haemorrhage, or injury to the liver and kidney was visible to the naked eye.

Hepatic toxicity was monitored by quantitative analysis of the ALT and AST expression levels that served as biochemical markers of liver injury (20). The hepatic toxicity induced by different treatments is shown in Table II. ALT and AST activities in the serum were not significantly elevated compared with the control group (P>0.05), and no differences between the combination, puerarin and 5-FU groups compared with the control groups were identified (P>0.05). No observable gross or histological changes were observed in the livers of either the treated groups or the control groups; similar results were obtained for renal injury.

Table II

Effect of puerarin combined with 5-FU or alone on hepatic and renal function.

Table II

Effect of puerarin combined with 5-FU or alone on hepatic and renal function.

GroupNo.ALT (U/l)AST (U/l)BUN (μmol/l)Cr (μmol/l)
Puerarin635.33±5.75131.17±22.167.38±1.2216.54±3.86
5-FU637.67±8.24134.33±24.087.39±0.8816.63±2.52
Puerarin + 5-FU637.17±12.51152.33±20.477.84±1.1018.74±4.87
Tumor control632.83±12.07129.83±21.327.22±0.5315.81±2.91
Normal control633.33±7.55124.50±22.497.09±1.2616.81±8.65

[i] Data are presented as the mean ± standard deviation of the mean, with n=6 mice/group. Groups were treated as follows: Puerarin (25 mg/kg/day); 5-FU (12 mg/kg/day); puerarin (25 mg/kg/day) + 5-FU (12 mg/kg/day); tumor control (saline of equal volume); normal control. No differences were observed in the ALT, AST, BUN and Cr levels among all groups (P>0.05). 5-FU, 5-fluorouracil; ALT, alanine aminotransferase; AST, aspartate aminotransferase; BUN, blood urea nitrogen; Cr, creatinine.

Discussion

Esophageal cancer is the seventh most frequent cause of cancer-related mortality worldwide (2). Although the level of diagnosis and treatment has greatly improved, the mortality rate remains high, and the median overall five-year survival rate has not improved in the last 40 years. The rate of complete resection by surgical treatment is low; therefore, chemotherapy is the predominant treatment method. 5-FU is one of the most commonly used agents in esophageal cancer treatment, but the gradual emergence of drug resistance and adverse effects limit its clinical application.

Puerarin has been demonstrated to exhibit antitumor effects in various cancers, including colorectal cancer, breast cancer and human endometrial carcinoma. Yu et al (14) reported that puerarin altered the expression levels of apoptosis-associated genes [an increase in B-cell lymphoma-2 associated X protein (bax) and reductions in c-myc and B-cell lymphoma-2 (bcl-2)] and may act as a chemopreventive and/or chemotherapeutic agent in colon cancer cells. Wang et al (15) evaluated the anticancer activity of puerarin nanosuspensions in the HT-29 human colon cancer cell line in vitro and in vivo. The results also suggested that the puerarin nanosuspensions may serve as a chemotherapeutic agent for colon cancer. Lin et al (17) suggested that puerarin may act as a chemopreventive and/or chemotherapeutic agent against breast cancer as it inhibited cell proliferation via upregulation of p21/Waf1, p53, caspase-9 and bax. In addition, Yu et al (19) reported that puerarin may be a natural alternative to estrogen replacement therapy for endometrial cancers and the potential mechanism may be associated with the downregulation of the transcription factors activator protein-1 or c-jun. However, there are few studies addressing the effects of puerarin on esophageal cancer (16).

In the present study, the administration of either puerarin or 5-FU alone was found to significantly inhibit the proliferation of esophageal cancer cells in a dose-dependent manner. However, the combined effect of puerarin and 5-FU on esophageal cancer in vitro or in vivo was superior to that of either puerarin or 5-FU alone, and the combined effect was synergistic. In addition, puerarin combined with 5-FU induced apoptosis to a greater extent than that of puerarin or 5-FU alone. The results are notable and encourage further studies into the mechanism of this synergistic effect.

Apoptosis is a tightly regulated cellular process. Two predominant signaling pathways in cell apoptosis have been described: The mitochondria-independent death receptor signaling pathway and the mitochondrial signaling pathway (21,22). 5-FU inhibits the thymic pyrimidine nucleotidase of tumor cells and affects DNA stability (23). A number of experiments have observed that 5-FU also induces apoptosis of gastroenteral carcinoma cells, which proceeded through p53, bcl-2, caspase-3 and caspase-8 (24–28). In the present study, puerarin combined with 5-FU at lower concentrations was identified to promote apoptosis; however, the mechanism for this remains elusive.

The present study found no evident side effects of the drug treatments (ulcer and haemorrhage, or injury of the liver and kidney) during the entire course of the experiment. Compared with the control group, no significant differences in the expression levels of ALT, AST, BUN and Cr were detected in the treatment groups (P>0.05). Therefore, puerarin combined with 5-FU may not increase the toxicity of chemotherapy.

In conclusion, puerarin combined with 5-FU was demonstrated to exhibit a significantly greater antitumor effect than either puerarin or 5-FU used alone. Furthermore, the toxicity did not increase when the drugs were used in combination, which indicated that there may be potential for the combined use of these drugs in the clinical treatment of esophageal cancer.

Acknowledgements

The authors would like to thank Mr. Hong Xia from the Key Laboratory of Hubei Province for Digestive System Disease for assistance in data collection.

References

1 

Jemal A, Bray F, Center MM, et al: Global cancer statistics. CA Cancer J Clin. 61:69–90. 2011. View Article : Google Scholar

2 

Enzinger PC and Mayer RJ: Esophageal cancer. N Engl J Med. 349:2241–2252. 2003. View Article : Google Scholar : PubMed/NCBI

3 

Tran GD, Sun XD, Abnet CC, et al: Prospective study of risk factors for esophageal and gastric cancers in the Linxian general population trial cohort in China. Int J Cancer. 113:456–463. 2005. View Article : Google Scholar

4 

Allum WH, Stenning SP, Bancewicz J, et al: Long-term results of a randomized trial of surgery with or without preoperative chemotherapy in esophageal cancer. J Clin Oncol. 27:5062–5067. 2009. View Article : Google Scholar : PubMed/NCBI

5 

Song JX, Sze SC, Ng TB, et al: Anti-Parkinsonian drug discovery from herbal medicines: what have we got from neurotoxic models? J Ethnopharmacol. 139:698–711. 2012. View Article : Google Scholar : PubMed/NCBI

6 

Xie W and Du L: Diabetes is an inflammatory disease: evidence from traditional Chinese medicines. Diabetes Obes Metab. 13:289–301. 2011. View Article : Google Scholar : PubMed/NCBI

7 

Zhang NB, Huang ZG, Cui WD and Ding BP: Effects of puerarin on expression of cardiac Smad3 and Smad7 mRNA in spontaneously hypertensive rat. J Ethnopharmacol. 138:737–740. 2011. View Article : Google Scholar : PubMed/NCBI

8 

Mori M, Aizawa T, Tokoro M, et al: Soy isoflavone tablets reduce osteoporosis risk factors and obesity in middle-aged Japanese women. Clin Exp Pharmacol Physiol. 31(Suppl 2): S39–S41. 2004. View Article : Google Scholar : PubMed/NCBI

9 

Michihara S, Tanaka T, Uzawa Y, et al: Puerarin exerted anti-osteoporotic action independent of estrogen receptor-mediated pathway. J Nutr Sci Vitaminol. 58:202–209. 2012. View Article : Google Scholar : PubMed/NCBI

10 

Benlhabib E, Baker JI, Keyler DE and Singh AK: Effects of purified puerarin on voluntary alcohol intake and alcohol withdrawal symptoms in P rats receiving free access to water and alcohol. J Med Food. 7:180–186. 2004. View Article : Google Scholar

11 

Hertog MG, Feskens EJ, Hollman PC, Katan MB and Kromhout D: Dietary antioxidant flavonoids and risk of coronary heart disease: the Zutphen Elderly Study. Lancet. 342:1007–1011. 1993. View Article : Google Scholar : PubMed/NCBI

12 

Wong KH, Li GQ, Li KM, et al: Kudzu root: traditional uses and potential medicinal benefits in diabetes and cardiovascular diseases. J Ethnopharmacol. 134:584–607. 2011. View Article : Google Scholar : PubMed/NCBI

13 

Tao HQ, Meng Q, Li MH, et al: HP-β-CD-PLGA nanoparticles improve the penetration and bioavailability of puerarin and enhance the therapeutic effects on brain ischemia-reperfusion injury in rats. Naunyn Schmiedebergs Arch Pharmacol. 386:61–70. 2013.

14 

Yu Z and Li W: Induction of apoptosis by puerarin in colon cancer HT-29 cells. Cancer Lett. 238:53–60. 2006. View Article : Google Scholar : PubMed/NCBI

15 

Wang Y, Ma Y, Zheng Y, et al: In vitro and in vivo anticancer activity of a novel puerarin nanosuspension against colon cancer, with high efficacy and low toxicity. Int J Pharm. 441:728–735. 2013. View Article : Google Scholar : PubMed/NCBI

16 

Li XR, Zhang QQ, Cui YH, et al: The growth influence on human esophageal cancer cells EC9706 induced by puerarin. Journal of Oncology Medicine. 2010.1922–1924. 2010.(In Chinese).

17 

Lin YJ, Hou YC, Lin CH, et al: Puerariae radix isoflavones and their metabolites inhibit growth and induce apoptosis in breast cancer cells. Biochem Biophys Res Commun. 378:683–688. 2009. View Article : Google Scholar : PubMed/NCBI

18 

Hien TT, Kim HG, Han EH, et al: Molecular mechanism of suppression of MDR1 by puerarin from Pueraria lobata via NF-kappaB pathway and cAMP-responsive element transcriptional activity-dependent up-regulation of AMP-activated protein kinase in breast cancer MCF-7/adr cells. Mol Nutr Food Res. 54:918–928. 2010. View Article : Google Scholar

19 

Yu C, Li Y, Chen H, et al: Decreased expression of aromatase in the Ishikawa and RL95-2 cells by the isoflavone, puerarin, is associated with inhibition of c-jun expression and AP-1 activity. Food Chem Toxicol. 46:3671–3676. 2008. View Article : Google Scholar : PubMed/NCBI

20 

Awad ME, Abdel-Rahman MS and Hassan SA: Acrylamide toxicity in isolated rat hepatocytes. Toxicol in Vitro. 12:699–704. 1998. View Article : Google Scholar : PubMed/NCBI

21 

Chen M and Wang J: Initiator caspases in apoptosis signaling pathways. Apoptosis. 7:313–319. 2002. View Article : Google Scholar

22 

Green DR: Apoptotic pathways: ten minutes to dead. Cell. 121:671–674. 2005. View Article : Google Scholar : PubMed/NCBI

23 

Yeh KH, Yeh SH, Hsu CH, et al: Prolonged and enhanced suppression of thymidylate synthase by weekly 24-h infusion of high-dose 5-fluorouracil. Br J Cancer. 83:1510–1515. 2000. View Article : Google Scholar : PubMed/NCBI

24 

Wu XX, Kakehi Y, Mizutani Y, et al: Activation of caspase-3 in renal cell carcinoma cells by anthracyclines or 5-fluorouracil. Int J Oncol. 19:19–24. 2001.PubMed/NCBI

25 

Ikebukuro K, Adachi Y, Toki J, et al: Morphological change, loss of deltapsi(m) and activation of caspases upon apoptosis of colorectal adenocarcinoma induced by 5-FU. Cancer Lett. 153:101–108. 2000. View Article : Google Scholar : PubMed/NCBI

26 

Shears LL, Ribeiro U, Kane J, et al: apoptosis in esophageal cancer following induction chemoradiotherapy. J Surg Res. 79:20–24. 1998. View Article : Google Scholar : PubMed/NCBI

27 

Matsuhashi N, Saio M, Matsuo A, et al: The evaluation of gastric cancer sensitivity to 5-FU/CDDP in terms of induction of apoptosis: time-and p53 expression-dependency of anti-cancer drugs. Oncol Rep. 14:609–615. 2005.PubMed/NCBI

28 

Tian F, Fan T, Zhang Y, et al: Curcumin potentiates the antitumor effects of 5-FU in treatment of esophageal squamous carcinoma cells through downregulating the activation of NF-κB signaling pathway in vitro and in vivo. Acta Biochim Biophys Sin (Shanghai). 44:847–855. 2012.PubMed/NCBI

Related Articles

  • Abstract
  • View
  • Download
  • Twitter
Copy and paste a formatted citation
Spandidos Publications style
Wang J, Yang Z, Guo X, Song J, Zhang JX, Wang J and Dong W: Synergistic effects of puerarin combined with 5-fluorouracil on esophageal cancer. Mol Med Rep 10: 2535-2541, 2014.
APA
Wang, J., Yang, Z., Guo, X., Song, J., Zhang, J., Wang, J., & Dong, W. (2014). Synergistic effects of puerarin combined with 5-fluorouracil on esophageal cancer. Molecular Medicine Reports, 10, 2535-2541. https://doi.org/10.3892/mmr.2014.2539
MLA
Wang, J., Yang, Z., Guo, X., Song, J., Zhang, J., Wang, J., Dong, W."Synergistic effects of puerarin combined with 5-fluorouracil on esophageal cancer". Molecular Medicine Reports 10.5 (2014): 2535-2541.
Chicago
Wang, J., Yang, Z., Guo, X., Song, J., Zhang, J., Wang, J., Dong, W."Synergistic effects of puerarin combined with 5-fluorouracil on esophageal cancer". Molecular Medicine Reports 10, no. 5 (2014): 2535-2541. https://doi.org/10.3892/mmr.2014.2539
Copy and paste a formatted citation
x
Spandidos Publications style
Wang J, Yang Z, Guo X, Song J, Zhang JX, Wang J and Dong W: Synergistic effects of puerarin combined with 5-fluorouracil on esophageal cancer. Mol Med Rep 10: 2535-2541, 2014.
APA
Wang, J., Yang, Z., Guo, X., Song, J., Zhang, J., Wang, J., & Dong, W. (2014). Synergistic effects of puerarin combined with 5-fluorouracil on esophageal cancer. Molecular Medicine Reports, 10, 2535-2541. https://doi.org/10.3892/mmr.2014.2539
MLA
Wang, J., Yang, Z., Guo, X., Song, J., Zhang, J., Wang, J., Dong, W."Synergistic effects of puerarin combined with 5-fluorouracil on esophageal cancer". Molecular Medicine Reports 10.5 (2014): 2535-2541.
Chicago
Wang, J., Yang, Z., Guo, X., Song, J., Zhang, J., Wang, J., Dong, W."Synergistic effects of puerarin combined with 5-fluorouracil on esophageal cancer". Molecular Medicine Reports 10, no. 5 (2014): 2535-2541. https://doi.org/10.3892/mmr.2014.2539
Follow us
  • Twitter
  • LinkedIn
  • Facebook
About
  • Spandidos Publications
  • Careers
  • Cookie Policy
  • Privacy Policy
How can we help?
  • Help
  • Live Chat
  • Contact
  • Email to our Support Team