Spandidos Publications Logo
  • About
    • About Spandidos
    • Aims and Scopes
    • Abstracting and Indexing
    • Editorial Policies
    • Reprints and Permissions
    • Job Opportunities
    • Terms and Conditions
    • Contact
  • Journals
    • All Journals
    • Oncology Letters
      • Oncology Letters
      • Information for Authors
      • Editorial Policies
      • Editorial Board
      • Aims and Scope
      • Abstracting and Indexing
      • Bibliographic Information
      • Archive
    • International Journal of Oncology
      • International Journal of Oncology
      • Information for Authors
      • Editorial Policies
      • Editorial Board
      • Aims and Scope
      • Abstracting and Indexing
      • Bibliographic Information
      • Archive
    • Molecular and Clinical Oncology
      • Molecular and Clinical Oncology
      • Information for Authors
      • Editorial Policies
      • Editorial Board
      • Aims and Scope
      • Abstracting and Indexing
      • Bibliographic Information
      • Archive
    • Experimental and Therapeutic Medicine
      • Experimental and Therapeutic Medicine
      • Information for Authors
      • Editorial Policies
      • Editorial Board
      • Aims and Scope
      • Abstracting and Indexing
      • Bibliographic Information
      • Archive
    • International Journal of Molecular Medicine
      • International Journal of Molecular Medicine
      • Information for Authors
      • Editorial Policies
      • Editorial Board
      • Aims and Scope
      • Abstracting and Indexing
      • Bibliographic Information
      • Archive
    • Biomedical Reports
      • Biomedical Reports
      • Information for Authors
      • Editorial Policies
      • Editorial Board
      • Aims and Scope
      • Abstracting and Indexing
      • Bibliographic Information
      • Archive
    • Oncology Reports
      • Oncology Reports
      • Information for Authors
      • Editorial Policies
      • Editorial Board
      • Aims and Scope
      • Abstracting and Indexing
      • Bibliographic Information
      • Archive
    • Molecular Medicine Reports
      • Molecular Medicine Reports
      • Information for Authors
      • Editorial Policies
      • Editorial Board
      • Aims and Scope
      • Abstracting and Indexing
      • Bibliographic Information
      • Archive
    • World Academy of Sciences Journal
      • World Academy of Sciences Journal
      • Information for Authors
      • Editorial Policies
      • Editorial Board
      • Aims and Scope
      • Abstracting and Indexing
      • Bibliographic Information
      • Archive
    • International Journal of Functional Nutrition
      • International Journal of Functional Nutrition
      • Information for Authors
      • Editorial Policies
      • Editorial Board
      • Aims and Scope
      • Abstracting and Indexing
      • Bibliographic Information
      • Archive
    • International Journal of Epigenetics
      • International Journal of Epigenetics
      • Information for Authors
      • Editorial Policies
      • Editorial Board
      • Aims and Scope
      • Abstracting and Indexing
      • Bibliographic Information
      • Archive
    • Medicine International
      • Medicine International
      • Information for Authors
      • Editorial Policies
      • Editorial Board
      • Aims and Scope
      • Abstracting and Indexing
      • Bibliographic Information
      • Archive
  • Articles
  • Information
    • Information for Authors
    • Information for Reviewers
    • Information for Librarians
    • Information for Advertisers
    • Conferences
  • Language Editing
Spandidos Publications Logo
  • About
    • About Spandidos
    • Aims and Scopes
    • Abstracting and Indexing
    • Editorial Policies
    • Reprints and Permissions
    • Job Opportunities
    • Terms and Conditions
    • Contact
  • Journals
    • All Journals
    • Biomedical Reports
      • Information for Authors
      • Editorial Policies
      • Editorial Board
      • Aims and Scope
      • Abstracting and Indexing
      • Bibliographic Information
      • Archive
    • Experimental and Therapeutic Medicine
      • Information for Authors
      • Editorial Policies
      • Editorial Board
      • Aims and Scope
      • Abstracting and Indexing
      • Bibliographic Information
      • Archive
    • International Journal of Epigenetics
      • Information for Authors
      • Editorial Policies
      • Editorial Board
      • Aims and Scope
      • Abstracting and Indexing
      • Bibliographic Information
      • Archive
    • International Journal of Functional Nutrition
      • Information for Authors
      • Editorial Policies
      • Editorial Board
      • Aims and Scope
      • Abstracting and Indexing
      • Bibliographic Information
      • Archive
    • International Journal of Molecular Medicine
      • Information for Authors
      • Editorial Policies
      • Editorial Board
      • Aims and Scope
      • Abstracting and Indexing
      • Bibliographic Information
      • Archive
    • International Journal of Oncology
      • Information for Authors
      • Editorial Policies
      • Editorial Board
      • Aims and Scope
      • Abstracting and Indexing
      • Bibliographic Information
      • Archive
    • Medicine International
      • Information for Authors
      • Editorial Policies
      • Editorial Board
      • Aims and Scope
      • Abstracting and Indexing
      • Bibliographic Information
      • Archive
    • Molecular and Clinical Oncology
      • Information for Authors
      • Editorial Policies
      • Editorial Board
      • Aims and Scope
      • Abstracting and Indexing
      • Bibliographic Information
      • Archive
    • Molecular Medicine Reports
      • Information for Authors
      • Editorial Policies
      • Editorial Board
      • Aims and Scope
      • Abstracting and Indexing
      • Bibliographic Information
      • Archive
    • Oncology Letters
      • Information for Authors
      • Editorial Policies
      • Editorial Board
      • Aims and Scope
      • Abstracting and Indexing
      • Bibliographic Information
      • Archive
    • Oncology Reports
      • Information for Authors
      • Editorial Policies
      • Editorial Board
      • Aims and Scope
      • Abstracting and Indexing
      • Bibliographic Information
      • Archive
    • World Academy of Sciences Journal
      • Information for Authors
      • Editorial Policies
      • Editorial Board
      • Aims and Scope
      • Abstracting and Indexing
      • Bibliographic Information
      • Archive
  • Articles
  • Information
    • For Authors
    • For Reviewers
    • For Librarians
    • For Advertisers
    • Conferences
  • Language Editing
Login Register Submit
  • This site uses cookies
  • You can change your cookie settings at any time by following the instructions in our Cookie Policy. To find out more, you may read our Privacy Policy.

    I agree
Search articles by DOI, keyword, author or affiliation
Search
Advanced Search
presentation
Molecular Medicine Reports
Join Editorial Board Propose a Special Issue
Print ISSN: 1791-2997 Online ISSN: 1791-3004
Journal Cover
February-2016 Volume 13 Issue 2

Full Size Image

Sign up for eToc alerts
Recommend to Library

Journals

International Journal of Molecular Medicine

International Journal of Molecular Medicine

International Journal of Molecular Medicine is an international journal devoted to molecular mechanisms of human disease.

International Journal of Oncology

International Journal of Oncology

International Journal of Oncology is an international journal devoted to oncology research and cancer treatment.

Molecular Medicine Reports

Molecular Medicine Reports

Covers molecular medicine topics such as pharmacology, pathology, genetics, neuroscience, infectious diseases, molecular cardiology, and molecular surgery.

Oncology Reports

Oncology Reports

Oncology Reports is an international journal devoted to fundamental and applied research in Oncology.

Experimental and Therapeutic Medicine

Experimental and Therapeutic Medicine

Experimental and Therapeutic Medicine is an international journal devoted to laboratory and clinical medicine.

Oncology Letters

Oncology Letters

Oncology Letters is an international journal devoted to Experimental and Clinical Oncology.

Biomedical Reports

Biomedical Reports

Explores a wide range of biological and medical fields, including pharmacology, genetics, microbiology, neuroscience, and molecular cardiology.

Molecular and Clinical Oncology

Molecular and Clinical Oncology

International journal addressing all aspects of oncology research, from tumorigenesis and oncogenes to chemotherapy and metastasis.

World Academy of Sciences Journal

World Academy of Sciences Journal

Multidisciplinary open-access journal spanning biochemistry, genetics, neuroscience, environmental health, and synthetic biology.

International Journal of Functional Nutrition

International Journal of Functional Nutrition

Open-access journal combining biochemistry, pharmacology, immunology, and genetics to advance health through functional nutrition.

International Journal of Epigenetics

International Journal of Epigenetics

Publishes open-access research on using epigenetics to advance understanding and treatment of human disease.

Medicine International

Medicine International

An International Open Access Journal Devoted to General Medicine.

Journal Cover
February-2016 Volume 13 Issue 2

Full Size Image

Sign up for eToc alerts
Recommend to Library

  • Article
  • Citations
    • Cite This Article
    • Download Citation
    • Create Citation Alert
    • Remove Citation Alert
    • Cited By
  • Similar Articles
    • Related Articles (in Spandidos Publications)
    • Similar Articles (Google Scholar)
    • Similar Articles (PubMed)
  • Download PDF
  • Download XML
  • View XML
Article

Aloe vera and Vitis vinifera improve wound healing in an in vivo rat burn wound model

  • Authors:
    • Li‑Xin Lin
    • Peng Wang
    • Yu‑Ting Wang
    • Yong Huang
    • Lei Jiang
    • Xue‑Ming Wang
  • View Affiliations / Copyright

    Affiliations: Department of Plastic and Aesthetic Center, Yantai Yuhuangding Hospital, Yantai, Shandong 264000, P.R. China
  • Pages: 1070-1076
    |
    Published online on: December 11, 2015
       https://doi.org/10.3892/mmr.2015.4681
  • Expand metrics +
Metrics: Total Views: 0 (Spandidos Publications: | PMC Statistics: )
Metrics: Total PDF Downloads: 0 (Spandidos Publications: | PMC Statistics: )
Cited By (CrossRef): 0 citations Loading Articles...

This article is mentioned in:



Abstract

Aloe vera and Vitis vinifera have been traditionally used as wound healing agents. The present study aimed to investigate the effects of aloe emodin and resveratrol in the burn wound healing procedure. Burn wounds are common in developed and developing countries, however, in developing countries, the incidence of severe complications is higher and financial resources are limited. The results of the present study demonstrated that neither aloe emodin or resveratrol were cytotoxic to THP‑1 macrophages at concentrations of 1, 100 and 500 ng/ml. A significant increase in wound‑healing activity was observed in mice treated with the aloe emodin and resveratrol, compared with those which received control treatments. The levels of IL‑1β in the exudates of the burn wound area of the treated mice increased in a time‑dependent manner over 7 days following burn wound injury. At 10 days post‑injury, steady and progressive wound healing was observed in the control animals. The present study confirmed that increased wound healing occurs following treatment with aloe emodin,, compared with resveratrol, providing support for the use of Aloe vera plants to improve burn wound healing.

Introduction

The skin can damaged due to burn injuries, chronic wounds, skin excision, tumours or other dermatological conditions (1). For the repair and regeneration of damaged tissue, a continuous cascade of events occurs, which involves the interaction of cellular components, growth factors and cytokines within four sequential and overlapping phases, including haemostasis, inflammation, proliferation and tissue remodelling or maturation (2,3).

The Aloe vera plant has long been used in medicine, as a dietary supplement and for cosmetic purposes (4). Aloe vera extracts are a rich source of polyphenols, including aloin and aloe emodin, and exhibit a wide range of pharmacological properties, including anti-inflammatory and anti-cancer properties (5). The claimed therapeutic uses of Aloe vera range over a broad list of conditions, as do its associated pharmacological activities. The majority of these claims are based on historical use, rather than scientific evidence. Different sections of the plant are used in the traditional management of veterinary and human diseases (6). Aloe vera is the most biologically active of the Aloe species, and is composed of >70 active compounds, including vitamins, minerals, amino acids, anthraquinones, enzymes and salicylic acids (7). The beneficial properties of the plant are ascribed to the colourless leaf gel, which has been reported to stimulate wound-healing and skin hydration, induce hematopoiesis, antimicrobial and anti-inflammatory activities (8–10). The pharmacological properties of Aloe vera appear to be mediated predominantly by the activation of monocytes and macrophages, and extracts of Aloe vera have been reported to enhance the release of cytokines, including interleukin (IL)-1, IL-2, IL-6, interferon, granulocyte/monocyte-colony stimulating factor and tumor necrosis factor (TNF) in vitro (11). Oryan et al (12) reported that Aloe vera aqueous extract may be used as a promising medication for wound healing.

The common grape (Vitis vinifera L. Vitaceae) is regarded as an important medicinal plant. European doctors have suggested the use of grapevine sap, juice and whole grape in the treatment of pain, allergic reactions, inflammation and to promote wound healing (13,14). Resveratrol (trans-3,4′, 5-trihydroxystillbene), a phytoalexin that belongs to a group of compounds termed stilbenes, is found in dietary items, including red wine, grapes and peanuts (15). It has been demonstrated that resveratrol confers several beneficial effects in human and animal models, and is being investigated as a chemopreventative agent for cancer and cardiovascular disease, most likely due to its antioxidative and anti-proliferative activities (16,17). IL-1β functions as a 'master' cytokine, which has an indispensable role in orchestrating effective innate and adaptive immune responses (18).

In the present study, the burn wound healing properties of aloe emodin (Aloe vera) and resveratrol (Vitis vinifera) were investigated using in vitro and in vivo methods, in order to identify the clinical effects of the two compounds.

Materials and methods

Materials

Resveratrol was isolated, as previously described by Park et al (19). Aloe emodin was purchased from Sigma-Aldrich (St. Louis, MO, USA). Dulbecco's modified Eagle's medium and RPMI-1640 medium were purchased from Sigma-Aldrich and used as a culture media. A 100X antibiotic and antimycotic solution containing 10,000 U/ml penicillin, 10 mg/ml streptomycin and 25 µg/ml amphotericin B in 0.9% NaCl, was purchased from Sigma-Aldrich. Multi-well plates (6-, 12- or 48-well) were purchased from Corning Incorporated (Corning, NY, USA). Human and murine vascular endothelial growth factor (VEGF), murine IL-1β and murine monocyte chemoattractant protein-1 (MCP-1) ELISA kits were obtained from Cusabio Biotech Co., Ltd. (Wuhan, China). An ImmunoCruz™ staining kit for the detection of murine VEGF was purchased from Santa Cruz Biotechnology, Inc. (Dallas, TX, USA). Rat monoclonal anti-mouse MCP 1 (clone ECE.2; cat. no. CLYPAR-100-MCP1) (CCL2/MCP1 antibody was raised against synthetic peptide corresponding to residues 102–130 of mouse MCP-1 specific to mouse CCR2), rat monoclonal anti-mouse macrophage (clone BM8; cat. no. T-2028) (BM8 monoclonal antibody reacts with mouse F4/80 antigen specific to mouse and rat) and rabbit polyclonal anti-myeloperoxidase antibodies (cat. no. P05164) (rabbit polyclonal to myeloperoxidase raised from human granulocytes reacts specific to mouse, rat, human, pig and monkey) were purchased from Sanbio BV (Uden, Netherlands), BMA Biomedicals (Augst, Switzerland), and Thermo Fisher Scientific, Inc. (Waltham, MA, USA), respectively.

Cells

The THP-1 human acute monocytic leukemia and HaCaT human keratinocyte cell lines (American Type Culture Collection, Rockville, MD, USA) were and maintained in RPMI-1640 medium supplemented with 10% fetal bovine serum (Sigma-Aldrich), penicillin (100 U/ml), streptomycin (100 µg/ml) and amphotericin (0.25 µg/ml). The plates were incubated overnight for 12 or 72 h.

Animals

Male BALB/c mice (5-week-old, n=30) were obtained from ShanDong University (Jinan China) and housed one per cage (to prevent attacks on wounds) for 1 week in a temperature-controlled room at 25±1°C with 60% relative humidity and a 12-h light-dark cycle, and provided with access to a standard laboratory diet and water ad libitum prior to experimentation. The ethical guidelines of the Animal Center of Yantai Yuhuangding Hospital, Yantai, Shandong Province, China. The mice were treated according to the ethical guidelines of the Animal Center of Yantai Yuhuangding Hospital (Yantai, China), and the Animal Studies Committee of the Shan Dong University approved all experimental procedures.

Cell proliferation determination using MTT assays

Following treatment with different concentrations of aloe emodin (1, 100 and 500 ng/ml) for 24 h, the cells were washed with phosphate-buffered saline (PBS; pH 7.2) and incubated in fresh medium for 4 days. The number of surviving cells was then indirectly determined using an MTT cytotoxicity assay (Sigma-Aldrich), according to the manufacturer's instructions. The absorbance was measured using a Multiskan EX ELISA plate reader (MTX Lab Systems, Inc., Vienna, VA, USA) at a wavelength of 570 nm, with a reference wavelength of 650 nm (20,21).

Measurement of burn wound healing

To examine the effects of aloe emodin and isolated resveratrol on the burn wound healing process, burn wounds were created on the backs of male BALB/c mice following anesthetization with an intraperitoneal injection of pentobarbital (50 µg/g; Hubei Nosk Chemical Co., Ltd., Hubei, China). Briefly, the hair on the backs of the mice was removed using a hair remover (Xiantao Topmed Nonwoven Protective Products, Co. Ltd., Hubei, China) under anaesthesia with pentobarbital, and the back was subsequently wiped with distilled water warmed to 37°C, followed by 70% ethanol. The back skin was subjected with a 100°C custom-made soldering iron tip (Shenzhen Kingdom Technology Co., Ltd. Guangdong, China) for 10 sec. A full-thickness excision of the burn skin wound was made in the dorsal skin by lifting a fold of skin at the midline and punching through two layers of skin using a sterile disposable biopsy punch (diameter 8 mm) on the same day. The mice were housed separately and provided with free access to a standard laboratory diet and water following the completion of the surgical procedure. Subsequently, the indicated quantities (100 mg ointment/mouse) of resveratrol [2×10−4 and 5×10−4% (w/w)] and aloe-emodin [1×10−8, 1×10−10 and 1×10−12% (w/w)] were layered on the burn wound surface for 19 consecutive days and covered with Opsite Flexigrid film dressing (Smith & Nephew, London, UK) to prevent infection or licking of the ointment samples. Clear Vaseline alone was applied to the control burn wound mice. On day 20, the mice were sacrificed by cervical dislocation and the skin of the wound area was removed. In the experiment of the effects of resveratrol on burn wound healing, a vehicle control group, which received treatment with clear Vaseline alone, and two treatment groups, treated with ointment containing 2×10−4 or 5×10−4% (w/w) aloe emodin (n=3 per group) were compared. In the experiments examining the effects of resveratrol, the number of animals in each treatment group were as follows: A vehicle control group treated with clear Vaseline alone (n=11); a 1×10−8% (w/w) aloe emodin-treated group (n=11); a 1×10−10 (w/w) aloe emodin-treated group (n=7); and a 1×10−12% (w/w) aloe emodin-treated group (n=7). The above topical applications were performed under anaesthesia with pentobarbital.

Assessment of polymorphonuclear neutrophil levels

The backs of the mice were subjected to burn wounds using the same method as described above. A polyethylene filter pellet (~6 mm diameter; 2 mm thickness; Hebei Yuyin Trade Co., Ltd., Hebei, China) containing the above-mentioned quantities of aloe emodin and resveratrol was applied to the burn wound surface and covered with Opsite Flexigrid film dressing to prevent dislodging of the filter pellet. The filter pellets were removed after 1, 3, 5 and 7 days and replaced with fresh filter pellets. The control mice were treated with filter pellets containing 0.9% (isotonic) NaCl solution alone at the same time-points. On day 9, the mice were sacrificed and the filter pellets were removed prior to the addition of 200 µl PBS (pH 7.0) to the filter pellets. The solution was mixed for 10 min using a Vortex (vortex mixer-V8, 200–3,000 rpm/min; Seoulin Bioscience, Seoul, Korea). Following removal of the filter pellet, the mixture was centrifuged at 1,000 × g for 10 min at 4°C. The obtained cell pellets were resuspended in PBS.

The total number of leukocytes, including polymorpho-nuclear leukocytes and macrophages, were measured using a Vi-CELL XR Coulter cell counter (Beckman Coulter Inc., Brea, CA, USA), and the ratio of polymorphonuclear leukocytes to macrophages was determined using Giemsa-stained smear samples. Briefly, the blood samples were placed on clean slides, air dried, fixed in methanol and stained with Giemsa (Sigma- Aldrich). They were then observed under ×100 magnification.

Measurement of cytokine levels in burn wounds

For this assessment, seven mice were used for each treatment group, which consisted of a vehicle control group treated with 0.9% NaCl solution alone, and 1, 100, and 500 ng aloe emodin and resveratrol-treated groups. These experiments were also performed under anaesthesia with pentobarbital. Briefly, 100 mg tissue was rinsed with 1X PBS, homogenized in 1 ml of 1X PBS and stored overnight at −20°C. Two freeze-thaw cycles were then performed to break the cell membranes, and the homogenates were centrifuged for 5 min at 5,000 × g and 2–8°C. The supernatant was removed and assayed immediately. The expression levels of MCP-1, IL-1β and VEGF in the filter pellets were measured using mouse MCP-1, IL-1β and VEGF ELISA kits (BD Biosciences, Franklin Lakes, NJ, USA), according to the manufacturer's instructions. The readings were taken at 450 nm using an ELISA reader (Thermo Fisher Scientific, Inc.).

Wound analysis

Wound closure rate was assessed by tracing the wound 1, 2, 4, 8, 16 and 20 days post-wounding using transparency paper and a permanent marker. The time to wound closure was defined as the time-point at which the wound bed was completely re-epithelialised with new tissue. The wound area was measured by tracing the wound margin, and its surface area was calculated using Image J software (National Institutes of Health, Bethesda, MA, USA). The wound area was visually measured using an L×400 microscope (Labomed, Fremont, CA, USA) at ×10 magnification. The wound healing rate was calculated using the following formula: (Surface area of the original wound − surface area of the remaining wound)/surface area of the original wound × 100.

Histopathological analysis

On days 4 and 10 of experimentation, seven mice were sacrificed from each group were sacrificed and the wounds were excised, together with the surrounding skin. The tissue samples were fixed in 10% neutral-buffered formalin (Shijiazhuang Xinlongwei Chemical Co., Ltd., Hebei, China) for at least 24 h, progressively dehydrated in solutions containing an increasing percentage of ethanol (70, 80, 95 and 100%), cleared in Histoclear (AS ONE Corp., Tokyo, Japan), embedded in paraffin (Raylabel Instrument Co., Ltd., Shanghai, China) under vacuum, sectioned (5 µm), de-paraffinised and stained with hematoxylin and eosin (Beijing Tidybio Science & Technology Co., Ltd., Beijing, China). The stained sections were examined for collagen, inflammatory cells and blood vessel markers of healing.

Statistical analysis

The data are expressed as the mean ± standard error of the mean. The results were analysed using one-way analysis of variance and Dunnett's multiple comparison test. Statistical analyses were performed using SPSS software version 16.0 (SPSS Inc., Chicago, IL, USA). P<0.05 was considered to indicate a statistically significant difference.

Results

Cell proliferation assay

The molecular structures of aloe emodin and resveratrol were similar to those reported previously (Fig. 1A and B). Treatment with either aloe emodin or resveratrol did not result in cytotoxicity in either the HaCaT cells or THP-1 macrophages at concentrations of 1, 100 and 500 ng/ml (Fig. 2). Furthermore, aloe emodin and resveratrol had no effect on the proliferation of the HaCaT cells or THP-1 macrophages.

Figure 1

Molecular structures of (A) aloe emodin. (B) resveratrol.

Figure 2

Cell proliferation of aloe emodin and resveratrol-treated HaCaT and THP-1 cells, determined using an MTT assay. Data are presented as the mean ± standard error of the mean. Neither compound exhibited cytotoxicity towards either cell line. (P>0.005).

Wound healing

Wound healing rates were measured on different days following wounding. In all groups, wound healing rates increased with increasing duration. Significant increases in wound-healing activity were observed in the mice treated with aloe emodin and resveratrol, compared with those that received control treatments. The effects of the treatments on the wound-healing activity levels in mice with excision wounds are presented in Tables I and II. In this model, the aloe emodin-treated mice exhibited a significant increase in wound healing rate (P<0.05), and a decreased time to epithelialization, compared with the control mice.

Table I

Effects of aloe emodin and resveratrol on the levels of VEGF and MCP-1 in cultured HaCaT cells in vitro.

Table I

Effects of aloe emodin and resveratrol on the levels of VEGF and MCP-1 in cultured HaCaT cells in vitro.

Treatment (ng/ml)VEGF (ng/well)aMCP-1 (ng/well)a
Medium alone87.32±7.472.471±0.241
Aloe emodin
 196.18±8.463.341±0.345b
 10092.26±6.253.333±0.431b
 50097.40±6.213.697±0.143b
Medium alone84.62±2.672.562±0.533
Resveratrol
 193.13±7.353.332±0.842b
 10092.23±6.633.652±0.435b
 50097.36±6.353.637±0.144b

a Values are presented as the mean ± standard error of the mean of six experiments.

b P<0.05, vs. medium alone. VEGF, vascular endothelial growth factor; MCP-1, monocyte chemoattractant protein-1.

Table II

Effects of treatment with aloe emodin and resveratrol on the epithelialization of the burn wounds in mice.

Table II

Effects of treatment with aloe emodin and resveratrol on the epithelialization of the burn wounds in mice.

GroupTime to decrustationa (days)Healing timeb (days)
Control9.80±1.5621.89±2.36
Aloe emodin7.24±1.45a17.20±4.35a
Resveratrol10.05±5.2319.10±2.57a

{ label (or @symbol) needed for fn[@id='tfn3-mmr-13-02-1070'] } Values are presented as the mean ± standard error of the mean of six experiments. P<0.05, vs. control group.

a The appearance of an eschar.

b Rate of wound closure.

Effects of aloe emodin and resveratrol on burn wound healing in mice

The wound injury area created by an iron bar heated at 100°C reached a maximum on days 6–8, and wound repair was subsequently observed. The burn wound area in the groups treated with the topical application of resveratrol at doses of 2×10−4 and 5×10−4% (w/w) decreased on days 8 and 19, compared with those in the vehicle-treated control mice (Fig. 3A–C). Previous studies have investigated the effect of natural products isolated from medicinal plants on skin regeneration in burn wound healing (22). The present study also demonstrated that the burn wound areas in mice treated with aloe emodin and resveratrol at doses of 1×10−8 and 1×10−12% were significantly (P<0.05) reduced after 6–18 days, compared with those of the control group, however, no significant difference was observed between the non-control treatment groups (Fig. 4A and B).

Figure 3

Images of wound healing. Representative images of mice in the (A) control group and the groups treated with (B) 500 ng aloe emodin ointment and (C) 500 ng resveratrol. Wound healing was incomplete in the mice treated with resveratrol, in which marginal healing and scarce hair follicle formation was observed after 19 days.

Figure 4

Effects of aloe emodin and resveratrol on burn wound healing in BALB/c mice. (A) Aloe emodin and (B) resveratrol-treated groups. Data are expressed as the mean ± standard error of the mean of three mice.

Measurement of the levels of IL-1β, MCP-1 and VEGF in the tissue samples

The levels of IL 1β, MCP-1 and VEGF in the exudates of vehicle-treated burn wounded control mice were analysed. The levels of IL-1β increased in a time-dependent manner over the 7 days following wound formation. It is well-known that the production of IL-1β by macrophages is stimulated by lipopolysaccharide. Aloe emodin (500 ng) significantly increased the level of IL-1β on days 1, 3, 5 and 9, compared with the level observed in the resveratrol (100 ng) and control groups (P<0.05) (Figs. 5A and B). At a dose of 1 ng, aloe emodin also increased the level of IL-1β on day 6. The migration of polymorphonuclear leukocytes was reduced by aloe emodin and resveratrol (1, 100 and 500 ng/ml) 1 or 3 days after treatment of the burn. The level of IL-1β production in the exudates of the burn wound area of treated mice increased time dependently 7 days after the tissue was wounded. The MCP-1 level in the exudates of the wound area of control mice reached a maximum level 1 day after burn treatment, and declined 3 days after burn treatment (Figs. 5C and D). The VEGF level in the exudates of the wound area of control mice increased until day 7. The application of asiaticoside at a dose of 100 ng/filter pellet increased the VEGF level on days 1 and 5 compared with that in control mice, and at a dose of 1 ng/filter pellet, it increased the VEGF level on day 9 (Figs. 5E and F).

Figure 5

Effects of aloe emodin and resveratrol on the levels of (A and B) IL-1β, (C and D) MCP-1 and (E and F) VEGF in the exudates of burn wounded mice. Data are presented as the mean ± standard error of the mean. P<0.05, vs. control group. VEGF, vascular endothelial growth factor; MCP-1, monocyte chemoattractant protein-1; IL, interleukin.

Histopathology

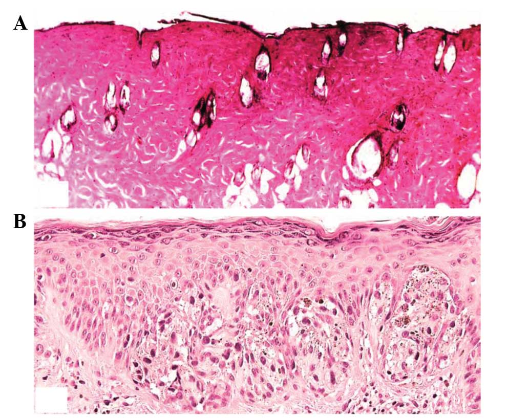
H&E-stained sections of granulation tissue samples collected on days 4 and 10 following wound formation were examined for cellular infiltration, epithelial regeneration and matrix organization. Granulation tissue was collected on days 4 and 10 for H&E staining Histopathological analysis of the wounds on day 4 indicated increased cellular infiltration in the treated groups, compared with the control group, with no epidermal regeneration observed. After 10 days, the wounds exhibited steady and progressive wound healing in the control group. The eschar had separated, leaving space for the epidermis to grow to complete re-epithelisation. A reasonable level of collagen and numerous inflammatory cells were observed in the corium. The regeneration, stratification and polarity of the epithelial cells were markedly higher in the aloe emodin-treated burn wound, compared with the control. Fig. 6A and B shows the appearance of the mouse burn wound skin tissues at day 10 in the aloe emodin- and resveratrol-treated groups.

Figure 6

Histological images of the appearance of the skin tissue following burn wounding in the (A) aloe emodin- and (B) resveratrol-treated groups. hematoxylin and eosin staining was performed prior to histological analysis of the tissues. Magnification, ×100.

Discussion

Wound healing is a response to injury aimed at reconstructing damaged tissue, and requires the precise coordination of connective tissue repair, re-epithelialization and angiogenesis for generation of new tissue and healing of the wound, increase in fibroblast proliferation and the production of several extracellular matrix proteins and growth factors (23,24). Angiogenesis is required during wound healing, and supplies oxygen and metabolites to new tissue, and disposes of metabolic waste products during wound repair (25). Angiogenesis may also be a key regulatory process in wound healing, as impairment of angiogenesis leads to delayed or unsuccessful wound healing (26).

In the present study, the histological scores demonstrated that the aloe emodin-treated group exhibited higher levels of re-epithelialization and angiogenesis, compared with the control group. Angiogenesis in granulation tissues improves circulation in the wound site, thus providing oxygen and nutrients that are essential for the healing process (27).

It was also observed that aloe emodin concentrations between 10 and 100 ng per wound area The progressive changes in wound area were measured in mm2 by tracing the wound boundaries on a transparent paper every 2 days.

increased the production of VEGF, IL-1β and MCP-1 and the accumulation of macrophages and VEGF-positive cells in the tissue surrounding the burn wound, compared with the control mice. VEGF is a homodimeric glycoprotein, which is highly conserved and shares structural homology with placental growth factor and platelet-derived growth factor (28). Kitano et al (29) demonstrated the suppression of TNF-α-induced fibroblast migration and fibronectin deposition in vitro, and that VEGF induced neovascularization, but did not affect cell proliferation or type 1 collagen production. MCP-1 is one of the few chemo attractants expressed by cells, predominantly fibroblasts (30). The recruitment of macrophages occurs due to its upregulation, resulting in the induction of fibrotic reactions through their expression of TNF-α., which is a proinflamatory cytokine expressed by epithelial cells and macrophages (29). In the present study, the direct stimulation of VEGF production in HaCaT keratinocyte cell lines resulted in an increase in the healing action of aloe emodin. Therefore, the results of the present study suggested that aloe emodin promoted angiogenesis during skin wound repair as a result of VEGF stimulation due to an increase in the expression of IL-1β in macrophages. Further experiments are required to elucidate the clinical implication of these findings for burn wound healing.

In conclusion, the present study demonstrated that the application of aloe emodin and resveratrol resulted in a significant increase in healing activity when topically applied on murine burn wounds. These results provide pharmacological evidence supporting the potential use of Aloe vera and Vitis vinifera for burn wound healing.

Acknowledgments

The authors would like to thank the Department of Plastic of Aesthetic Center, Yantai Yuhuangding Hospital for providing the animals and lab facilities for this study.

References

1 

Reddy KK, Grossman L and Rogers GS: Common complementary and alternative therapies with potential use in dermatologic surgery: risks and benefits. J Am Acad Dermatol. 68:e127–e135. 2013. View Article : Google Scholar

2 

Wild T, Rahbarnia A, Kellner M, Sobotka L and Eberlein T: Basics in nutrition and wound healing. Nutrition. 26:862–866. 2010. View Article : Google Scholar : PubMed/NCBI

3 

Pereira RF, Carvalho A, Gil MH, Mendes A and Bartolo PJ: Influence of Aloe vera on water absorption and enzymatic in vitro degradation of alginate hydrogel films. Carbohydr Polym. 98:311–320. 2013. View Article : Google Scholar : PubMed/NCBI

4 

Eshun K and He Q: Aloe vera: a valuable ingredient for the food, pharmaceutical and cosmetic industries - a review. Crit Rev Food Science Nutri. 44:91–96. 2004. View Article : Google Scholar

5 

Naqvi S, Ullah MF and Hadi SM: DNA degradation by aqueous extract of Aloe vera in the presence of copper ions. Indian J Biochem Biophys. 47:161–165. 2010.PubMed/NCBI

6 

Blumenhal M, Busse NR and Golddberg A: The complete commission E. monographs therapeutic guide to herbal medicine. Integrative Medicines Communications; Boston, MA: pp. 80–81. 1998

7 

WHO Monographs on Selected Medicinal Plants. 1. World Health Organization; Geneva, Switzerland: 1999

8 

Dat AD, Poon F, Pham KB and Doust J: Aloe vera for treating acute and chronic wounds. Cochrane Database Syst Rev. 2:CD0087622012.PubMed/NCBI

9 

Hamman JH: Composition and applications of Aloe vera Leaf Gel. Molecules. 13:1599–1616. 2008. View Article : Google Scholar : PubMed/NCBI

10 

Im SA, Lee YR, Lee YH, Lee MK, Park YI, Lee S, Kim K and Lee CK: In vivo evidence of the immunomodulatory activity of orally administered Aloe vera gel. Arch Pharm Res. 33:451–456. 2010. View Article : Google Scholar : PubMed/NCBI

11 

Talmadge J, Chavez J, Jacobs L, Munger C, Chinnah T, Chow JT, Williamson D and Yates K: Fractionation of Aloe vera L. inner gel, purification and molecular profiling of activity. Int Immunopharmacol. 4:1757–1773. 2004. View Article : Google Scholar : PubMed/NCBI

12 

Oryan A, Naeini AT, Nikahval B and Gorjian E: Effect of aqueous extract of Aloe vera on experimental cutaneous wound healing in rat. Veterinarski Arhiv. 80:509–522. 2010.

13 

Nayak BS, Ramdath DD, Marshall JR, Isitor GN, Eversley M, Xue S and Shi J: Wound-healing activity of the skin of the common grape (Vitis Vinifera) variant, Cabernet Sauvignon. Phytother Res. 24:1151–1157. 2010.PubMed/NCBI

14 

Hemmati AA, Aghel N, Rashidi I and Gholampur-Aghdami A: Topical grape (Vitis vinifera) seed extract promotes repair of full thickness wound in rabbit. Int Wound J. 8:514–520. 2011. View Article : Google Scholar : PubMed/NCBI

15 

Chan MMY: Antimicrobial effect of resveratrol on dermatophytes and bacterial pathogens of the skin. Biochem Pharmacol. 63:99–104. 2002. View Article : Google Scholar : PubMed/NCBI

16 

Schneider Y, Vincent F, Duranton B, Badolo L, Gossé F, Bergmann C, Seiler N and Raul F: Anti-proliferative effect of resveratrol, a natural component of grapes and wine, on human colonic cancer cells. Cancer Lett. 158:85–91. 2000. View Article : Google Scholar : PubMed/NCBI

17 

Romero-Pérez AI, Ibern-Gómez M, Lamuela-Raventós RM and de La Torre-Boronat MC: Piceid, the major resveratrol derivative in grape juices. J Agric Food Chem. 47:1533–1536. 1999. View Article : Google Scholar : PubMed/NCBI

18 

Dinarello CA: Immunological and inflammatory functions of the interleukin-1 family. Annu Rev Immunol. 27:519–550. 2009. View Article : Google Scholar : PubMed/NCBI

19 

Park J and Boo YC: Isolation of resveratrol from vitis viniferae caulis and its potent inhibition of human tyrosinase. Evidence-Based Complement Alternat Med. 2013:6452572013. View Article : Google Scholar

20 

Lee E and Surh YJ: Induction of apoptosis in HL-60 cells by pungent vanilloids, (6)-gingerol and (6)-paradol. Cancer Lett. 134:163–168. 1998. View Article : Google Scholar

21 

Mosmann T: Rapid colorimetric assay for cellular growth and survival: Application to proliferation and cytotoxicity assays. J Immunol Methods. 65:55–63. 1983. View Article : Google Scholar : PubMed/NCBI

22 

Maenthaisong R, Chaiyakunapruk N, Niruntraporn S and Kongkaew C: The efficacy of Aloe vera used for burn wound healing: A systematic review. Burns. 33:713–718. 2007. View Article : Google Scholar : PubMed/NCBI

23 

Singer AJ and Clark RA: Cutaneous wound healing. N Engl J Med. 341:738–746. 1999. View Article : Google Scholar : PubMed/NCBI

24 

Jettanacheawchankit S, Sasithanasate S, Sangvanich P, Banlunara W and Thunyakitpisal P: Acemannan stimulates gingival fibroblast proliferation; Expressions of keratinocyte growth factor-1, vascular endothelial growth factor and type I collagen; and wound healing. J Pharmacol Sci. 109:525–531. 2009. View Article : Google Scholar : PubMed/NCBI

25 

İnan A, Meral Ş, Cemile K, Metin E and Cenap D: Effects of Aloe vera on colonic anastomoses of rats. Surg Prac. 11:60–65. 2007. View Article : Google Scholar

26 

Moon EJ, Lee YM, Lee OH, Lee MJ, Lee SK, Chung MH, Park YI, Sung CK, Choi JS and Kim KW: A novel angiogenic factor derived from Aloe vera gel: Beta-sitosterol, a plant sterol. Angiogenesis. 3:117–123. 1999. View Article : Google Scholar

27 

Szabo S, Kusstatscher S, Sakoulas G, Sandor Z, Vincze A and Jadus M: Growth factors: New 'endogenous drugs' for ulcer healing. Scand J Gastroenterol Suppl. 210:15–18. 1995. View Article : Google Scholar : PubMed/NCBI

28 

Tischer E, Gospodarowicz D, Mitchell R, Silva M, Schilling J, Lau K, Crisp T, Fiddes JC and Abraham JA: Vascular endothelial growth factor: A new member of the platelet-derived growth factor gene family. Biochem Biophys Res Commun. 165:1198–1206. 1989. View Article : Google Scholar : PubMed/NCBI

29 

Kitano A, Saika S, Yamanaka O, Ikeda K, Okada Y, Shirai K and Reinach PS: Emodin suppression of ocular surface inflammatory reaction. Invest Ophthalmol Vis Sci. 48:5013–5022. 2007. View Article : Google Scholar : PubMed/NCBI

30 

Simpson JE, Newcombe J, Cuzner ML and Woodroofe MN: Expression of monocyte chemoattractant protein-1 and other β-chemokines by resident glia and inflammatory cells in multiple sclerosis lesions. J Neuroimmunol. 84:238–249. 1998. View Article : Google Scholar : PubMed/NCBI

Related Articles

  • Abstract
  • View
  • Download
  • Twitter
Copy and paste a formatted citation
Spandidos Publications style
Lin LX, Wang P, Wang YT, Huang Y, Jiang L and Wang XM: Aloe vera and Vitis vinifera improve wound healing in an in vivo rat burn wound model. Mol Med Rep 13: 1070-1076, 2016.
APA
Lin, L., Wang, P., Wang, Y., Huang, Y., Jiang, L., & Wang, X. (2016). Aloe vera and Vitis vinifera improve wound healing in an in vivo rat burn wound model. Molecular Medicine Reports, 13, 1070-1076. https://doi.org/10.3892/mmr.2015.4681
MLA
Lin, L., Wang, P., Wang, Y., Huang, Y., Jiang, L., Wang, X."Aloe vera and Vitis vinifera improve wound healing in an in vivo rat burn wound model". Molecular Medicine Reports 13.2 (2016): 1070-1076.
Chicago
Lin, L., Wang, P., Wang, Y., Huang, Y., Jiang, L., Wang, X."Aloe vera and Vitis vinifera improve wound healing in an in vivo rat burn wound model". Molecular Medicine Reports 13, no. 2 (2016): 1070-1076. https://doi.org/10.3892/mmr.2015.4681
Copy and paste a formatted citation
x
Spandidos Publications style
Lin LX, Wang P, Wang YT, Huang Y, Jiang L and Wang XM: Aloe vera and Vitis vinifera improve wound healing in an in vivo rat burn wound model. Mol Med Rep 13: 1070-1076, 2016.
APA
Lin, L., Wang, P., Wang, Y., Huang, Y., Jiang, L., & Wang, X. (2016). Aloe vera and Vitis vinifera improve wound healing in an in vivo rat burn wound model. Molecular Medicine Reports, 13, 1070-1076. https://doi.org/10.3892/mmr.2015.4681
MLA
Lin, L., Wang, P., Wang, Y., Huang, Y., Jiang, L., Wang, X."Aloe vera and Vitis vinifera improve wound healing in an in vivo rat burn wound model". Molecular Medicine Reports 13.2 (2016): 1070-1076.
Chicago
Lin, L., Wang, P., Wang, Y., Huang, Y., Jiang, L., Wang, X."Aloe vera and Vitis vinifera improve wound healing in an in vivo rat burn wound model". Molecular Medicine Reports 13, no. 2 (2016): 1070-1076. https://doi.org/10.3892/mmr.2015.4681
Follow us
  • Twitter
  • LinkedIn
  • Facebook
About
  • Spandidos Publications
  • Careers
  • Cookie Policy
  • Privacy Policy
How can we help?
  • Help
  • Live Chat
  • Contact
  • Email to our Support Team