Spandidos Publications Logo
  • About
    • About Spandidos
    • Aims and Scopes
    • Abstracting and Indexing
    • Editorial Policies
    • Reprints and Permissions
    • Job Opportunities
    • Terms and Conditions
    • Contact
  • Journals
    • All Journals
    • Oncology Letters
      • Oncology Letters
      • Information for Authors
      • Editorial Policies
      • Editorial Board
      • Aims and Scope
      • Abstracting and Indexing
      • Bibliographic Information
      • Archive
    • International Journal of Oncology
      • International Journal of Oncology
      • Information for Authors
      • Editorial Policies
      • Editorial Board
      • Aims and Scope
      • Abstracting and Indexing
      • Bibliographic Information
      • Archive
    • Molecular and Clinical Oncology
      • Molecular and Clinical Oncology
      • Information for Authors
      • Editorial Policies
      • Editorial Board
      • Aims and Scope
      • Abstracting and Indexing
      • Bibliographic Information
      • Archive
    • Experimental and Therapeutic Medicine
      • Experimental and Therapeutic Medicine
      • Information for Authors
      • Editorial Policies
      • Editorial Board
      • Aims and Scope
      • Abstracting and Indexing
      • Bibliographic Information
      • Archive
    • International Journal of Molecular Medicine
      • International Journal of Molecular Medicine
      • Information for Authors
      • Editorial Policies
      • Editorial Board
      • Aims and Scope
      • Abstracting and Indexing
      • Bibliographic Information
      • Archive
    • Biomedical Reports
      • Biomedical Reports
      • Information for Authors
      • Editorial Policies
      • Editorial Board
      • Aims and Scope
      • Abstracting and Indexing
      • Bibliographic Information
      • Archive
    • Oncology Reports
      • Oncology Reports
      • Information for Authors
      • Editorial Policies
      • Editorial Board
      • Aims and Scope
      • Abstracting and Indexing
      • Bibliographic Information
      • Archive
    • Molecular Medicine Reports
      • Molecular Medicine Reports
      • Information for Authors
      • Editorial Policies
      • Editorial Board
      • Aims and Scope
      • Abstracting and Indexing
      • Bibliographic Information
      • Archive
    • World Academy of Sciences Journal
      • World Academy of Sciences Journal
      • Information for Authors
      • Editorial Policies
      • Editorial Board
      • Aims and Scope
      • Abstracting and Indexing
      • Bibliographic Information
      • Archive
    • International Journal of Functional Nutrition
      • International Journal of Functional Nutrition
      • Information for Authors
      • Editorial Policies
      • Editorial Board
      • Aims and Scope
      • Abstracting and Indexing
      • Bibliographic Information
      • Archive
    • International Journal of Epigenetics
      • International Journal of Epigenetics
      • Information for Authors
      • Editorial Policies
      • Editorial Board
      • Aims and Scope
      • Abstracting and Indexing
      • Bibliographic Information
      • Archive
    • Medicine International
      • Medicine International
      • Information for Authors
      • Editorial Policies
      • Editorial Board
      • Aims and Scope
      • Abstracting and Indexing
      • Bibliographic Information
      • Archive
  • Articles
  • Information
    • Information for Authors
    • Information for Reviewers
    • Information for Librarians
    • Information for Advertisers
    • Conferences
  • Language Editing
Spandidos Publications Logo
  • About
    • About Spandidos
    • Aims and Scopes
    • Abstracting and Indexing
    • Editorial Policies
    • Reprints and Permissions
    • Job Opportunities
    • Terms and Conditions
    • Contact
  • Journals
    • All Journals
    • Biomedical Reports
      • Information for Authors
      • Editorial Policies
      • Editorial Board
      • Aims and Scope
      • Abstracting and Indexing
      • Bibliographic Information
      • Archive
    • Experimental and Therapeutic Medicine
      • Information for Authors
      • Editorial Policies
      • Editorial Board
      • Aims and Scope
      • Abstracting and Indexing
      • Bibliographic Information
      • Archive
    • International Journal of Epigenetics
      • Information for Authors
      • Editorial Policies
      • Editorial Board
      • Aims and Scope
      • Abstracting and Indexing
      • Bibliographic Information
      • Archive
    • International Journal of Functional Nutrition
      • Information for Authors
      • Editorial Policies
      • Editorial Board
      • Aims and Scope
      • Abstracting and Indexing
      • Bibliographic Information
      • Archive
    • International Journal of Molecular Medicine
      • Information for Authors
      • Editorial Policies
      • Editorial Board
      • Aims and Scope
      • Abstracting and Indexing
      • Bibliographic Information
      • Archive
    • International Journal of Oncology
      • Information for Authors
      • Editorial Policies
      • Editorial Board
      • Aims and Scope
      • Abstracting and Indexing
      • Bibliographic Information
      • Archive
    • Medicine International
      • Information for Authors
      • Editorial Policies
      • Editorial Board
      • Aims and Scope
      • Abstracting and Indexing
      • Bibliographic Information
      • Archive
    • Molecular and Clinical Oncology
      • Information for Authors
      • Editorial Policies
      • Editorial Board
      • Aims and Scope
      • Abstracting and Indexing
      • Bibliographic Information
      • Archive
    • Molecular Medicine Reports
      • Information for Authors
      • Editorial Policies
      • Editorial Board
      • Aims and Scope
      • Abstracting and Indexing
      • Bibliographic Information
      • Archive
    • Oncology Letters
      • Information for Authors
      • Editorial Policies
      • Editorial Board
      • Aims and Scope
      • Abstracting and Indexing
      • Bibliographic Information
      • Archive
    • Oncology Reports
      • Information for Authors
      • Editorial Policies
      • Editorial Board
      • Aims and Scope
      • Abstracting and Indexing
      • Bibliographic Information
      • Archive
    • World Academy of Sciences Journal
      • Information for Authors
      • Editorial Policies
      • Editorial Board
      • Aims and Scope
      • Abstracting and Indexing
      • Bibliographic Information
      • Archive
  • Articles
  • Information
    • For Authors
    • For Reviewers
    • For Librarians
    • For Advertisers
    • Conferences
  • Language Editing
Login Register Submit
  • This site uses cookies
  • You can change your cookie settings at any time by following the instructions in our Cookie Policy. To find out more, you may read our Privacy Policy.

    I agree
Search articles by DOI, keyword, author or affiliation
Search
Advanced Search
presentation
Molecular Medicine Reports
Join Editorial Board Propose a Special Issue
Print ISSN: 1791-2997 Online ISSN: 1791-3004
Journal Cover
March-2016 Volume 13 Issue 3

Full Size Image

Sign up for eToc alerts
Recommend to Library

Journals

International Journal of Molecular Medicine

International Journal of Molecular Medicine

International Journal of Molecular Medicine is an international journal devoted to molecular mechanisms of human disease.

International Journal of Oncology

International Journal of Oncology

International Journal of Oncology is an international journal devoted to oncology research and cancer treatment.

Molecular Medicine Reports

Molecular Medicine Reports

Covers molecular medicine topics such as pharmacology, pathology, genetics, neuroscience, infectious diseases, molecular cardiology, and molecular surgery.

Oncology Reports

Oncology Reports

Oncology Reports is an international journal devoted to fundamental and applied research in Oncology.

Experimental and Therapeutic Medicine

Experimental and Therapeutic Medicine

Experimental and Therapeutic Medicine is an international journal devoted to laboratory and clinical medicine.

Oncology Letters

Oncology Letters

Oncology Letters is an international journal devoted to Experimental and Clinical Oncology.

Biomedical Reports

Biomedical Reports

Explores a wide range of biological and medical fields, including pharmacology, genetics, microbiology, neuroscience, and molecular cardiology.

Molecular and Clinical Oncology

Molecular and Clinical Oncology

International journal addressing all aspects of oncology research, from tumorigenesis and oncogenes to chemotherapy and metastasis.

World Academy of Sciences Journal

World Academy of Sciences Journal

Multidisciplinary open-access journal spanning biochemistry, genetics, neuroscience, environmental health, and synthetic biology.

International Journal of Functional Nutrition

International Journal of Functional Nutrition

Open-access journal combining biochemistry, pharmacology, immunology, and genetics to advance health through functional nutrition.

International Journal of Epigenetics

International Journal of Epigenetics

Publishes open-access research on using epigenetics to advance understanding and treatment of human disease.

Medicine International

Medicine International

An International Open Access Journal Devoted to General Medicine.

Journal Cover
March-2016 Volume 13 Issue 3

Full Size Image

Sign up for eToc alerts
Recommend to Library

  • Article
  • Citations
    • Cite This Article
    • Download Citation
    • Create Citation Alert
    • Remove Citation Alert
    • Cited By
  • Similar Articles
    • Related Articles (in Spandidos Publications)
    • Similar Articles (Google Scholar)
    • Similar Articles (PubMed)
  • Download PDF
  • Download XML
  • View XML
Article

A novel virulence-associated protein, vapE, in Streptococcus suis serotype 2

  • Authors:
    • Xue Ji
    • Yang Sun
    • Jun Liu
    • Lingwei Zhu
    • Xuejun Guo
    • Xulong Lang
    • Shuzhang Feng
  • View Affiliations / Copyright

    Affiliations: Molecular Bacteriology Department, Institute of Military Veterinary Science, Academy of Military Medical Sciences, Changchun, Jilin 130122, P.R. China
  • Pages: 2871-2877
    |
    Published online on: January 28, 2016
       https://doi.org/10.3892/mmr.2016.4818
  • Expand metrics +
Metrics: Total Views: 0 (Spandidos Publications: | PMC Statistics: )
Metrics: Total PDF Downloads: 0 (Spandidos Publications: | PMC Statistics: )
Cited By (CrossRef): 0 citations Loading Articles...

This article is mentioned in:



Abstract

Streptococcus suis serotype 2 (SS2) is an important pathogen that affects pigs. However, neither its virulence nor its pathogenesis of infection has yet to be fully elucidated. The present study identifies a novel virulence‑associated protein E gene (vapE) of SS2. To investigate the importance of vapE in SS2 infection, a vapE knock‑out mutant based on SS2 wild‑type strain ZY458 was designated 458ΔvapE. 458ΔvapE was generated through homologous recombination, using a combined plasmid with a vapE knock‑out fragment and a pSET4s suicide vector. Additionally, the 458ΔvapE strain was transformed by a pAT18 shuttle plasmid containing the vapE gene. A functionally complemented strain for the vapE gene [termed 458ΔvapE (pvapE)] was constructed. Animal experiments demonstrated that mice infected with ZY458 and 458ΔvapE (pvapE) exhibited severe clinical symptoms, including depression, apathy, fever, anorexia, emaciation, swollen eyes and neural disorders, and died within two days of infection. All mice infected with ZY458, and 85% of mice infected with 458ΔvapE (pvapE), died within 2 days of infection. In contrast, mice inoculated with 458ΔvapE exhibited only mild clinical symptoms in the first 2 days following infection, and recovered within a week. A bacterial colonization assay demonstrated the ability of the 458ΔvapE mutant SS2 strain to colonize the heart, liver, spleen, lung and kidney of infected mice. PCR analysis of the vapE gene revealed that functional vapE was detected in virulent strains, but not in avirulent and carrier strains of S. suis SS2. These findings indicate that vapE is important for the pathogenesis of SS2.

Introduction

Streptococcus suis is a major pathogen affecting pigs. It is endemic in countries involved in pig husbandry; however, it may also lead to meningitis, endocarditis, septicemia, arthritis, polyserositis, pneumonia and sudden death in pigs. Occasionally, it may lead to serious zoonotic infections in humans (1). The large-scale outbreak of human S. suis (type) 2 infection, with the feature of streptococcal toxic shock syndrome, in the Jiangsu and Sichuan provinces of China (2) indicated that S. suis remains a challenge for public health.

Serotype 2 of S. suis (also termed SS2) is considered to be the most virulent of the 33 established serotypes of this pathogen. However, the primary factors contributing to its virulence have yet to be fully elucidated. Previous studies on virulence-associated factors of SS2 have focused primarily on the bacterial capsular polysaccharide, muramidase-released protein, extracellular protein factor and suilysin (3,4). Over the last decade, a large number of putative virulence factors associated with SS2 have been investigated (4), including fibronectin- and fibrinogen-binding proteins (5), opacity factor of S. suis (6), peptidoglycan (7), glutamine synthetase (8), di-peptidyl peptidase IV (9), inosine 5-monophosphate dehydrogenase (10), trigger factor tig gene (11), virulence-associated gene A (12), Rgg transcription regulator (13), surface-associated subtilisin-like protease (14), catabolite control protein A (15) and superoxide dismutase A (16). Notably, an 89 K pathogenicity island (PAI) (17) and SalK/SalR (a two-component signal transduction system) (18) have been identified as requisites for the full virulence of ethnic Chinese isolates of highly pathogenic SS2. However, the importance of these proteins in the pathogenicity of SS2, and the pathogenesis of the infection triggered by S. suis, remain to be elucidated.

To identify genes contributing to the virulence of virulent strains, a previous study conducted suppression and subtractive hybridization using a ZY458 virulent SS2 strain and a 13w avirulent SS2 strain (19). A total of 42 genomic regions were identified as being present in the virulent strain, but were absent in the avirulent one (19). Protein E gene (termed vapE) is one of these 42 genes, although it is absent in the non-virulent SS2 strain 1330. The objective of the present study was to investigate the effects of the ∆458VapE mutation on the virulence of SS2.

Materials and methods

Bacterial strains, plasmids and primers

Bacterial strains and plasmids used in the present study are listed in Table I. S. suis 2 strains were cultured in brain-heart infusion (BHI) broth (Difco; BD Biosciences, Franklin Lakes, NJ, USA) supplemented with 5% (v/v) calf serum or BHI agar at 37°C. Escherichia coli strain DH5α was used for cloning purposes and was cultured in Luria broth (LB) or LB agar at 37°C (20). When recombinants were screened or cultured, plates or broth were supplemented with appropriate antibiotics at the following concentrations: i) Spectinomycin (Spc), 100 µg/ml for S. suis 2 with plasmid pSET4s and 50 µg/ml for DH5α with plasmid pSET4; ii) ampicillin (Amp), 100 µg/ml for DH5α with plasmid pMD18-T; iii) erythromycin (Ery), 8 µg/ml for S. suis 2 with plasmid pAT18 and 150 µg/ml for DH5α with plasmid pAT18 (all antibiotics from Sigma-Aldrich, St. Louis, MO, USA). DNA extraction, cloning, transformation, and other molecular techniques used in the present study were implemented following protocols described previously (20). All primer synthesis and DNA sequencing were outsourced to Invitrogen (Thermo Fisher Scientific, Inc., Waltham, MA, USA).

Table I

Bacterial strains and plasmids used in the current study.

Table I

Bacterial strains and plasmids used in the current study.

A, Plasmid
NameDescriptionSource
pMD18-TA clone vectorTakara
pSET4sSuicide vector, shuttle vector between E. coli and S. suis (8,22)Huazhong Agricultural University, China
pAT18Shuttle vector between E. coli and S. suis (21,29)Huazhong Agricultural University, China
B, Bacterial strain
NameDescriptionSource
DH5αHost cell for maintaining the recombinant plasmidsTakara
ZY458S. suis 2 wild-type strain, diseased pig in Sichuan in 2005, mrp+epf+sly+Our laboratory
1330S. suis 2, avirulence reference strain, mrp−epf−sly−Canada (30)
SP3S. suis 2, Spanish strain, diseased pig, mrp+epf+sly+Spain (31)
SP6S. suis 2, Spanish strain, diseased pig, mrp+epf+sly+Spain (31)
SP8S. suis 2, carrier strain, healthy pig, mrp−epf–sly−Spain (31)
ZD89S. suis 2, carrier strain, healthy pig, mrp−epf–sly−Veterinary Institute of Harbin, China
B22S. suis 2, carrier strain, healthy pig, mrp−epf−sly−Veterinary Institute of Harbin, China
B3S. suis 2, carrier strain, healthy pig, mrp−epf–sly−Veterinary Institute of Harbin, China
458ΔvapEvapE deletion mutant of S. suis 2 strain ZY458The present study
458ΔvapE (pvapE)Complemented strain of 458ΔvapE, carrying the recombinant plasmid pAT18::vapEThe present study
Construction of the vapE mutant strain

The primers used in the current study are presented in Table II. The PCR was performed according to a standard protocol. Each reaction was conducted using a 50 µl mixture containing 5 µl 10X buffer, 50 pmol each primer, 2 mM each deoxynucleoside triphosphate, 5 units Ex Taq polymerase (all obtained from Takara Biotechnology Co., Ltd., Dalian, China) and 5 µl supernatant of denatured bacteria. The PCR was performed with a Techgene FTGENE2D thermocycler (Techne Ltd., Duxford, UK). In order to generate a vapE gene-deleted mutant, a primer set was designed with a 194 bp internal deletion in the vapE gene by overlap extension polymerase chain reaction (OE PCR), using denatured bacteria as the DNA template (20). Two pairs of primers (VapE-1/VapE-2 and VapE-3/VapE-4) were used to independently amplify the 674 and 743 bp fragments of vapE, including flanking sequences from genomic DNA of the wild-type SS2 strain, ZY458. 16S rDNA was used as the reference gene, the primers were as follows: Sense, 5′-AGAGTTTGATCCTGGCTCAG-3′ and antisense, 5′-ACGGCTACCTTGTTACGACTT-3′. Amplification was performed as follows: i) Initial denaturation at 94°C for 3 min; ii) 30 cycles of 94°C for 30 sec, 60°C for 30 sec and 72°C for 50 sec; and iii) a final elongation step at 72°C for 10 min. Primers VapE-2 and VapE-3 contained 15 nt stretches complementary to each other; thus, the PCR fragments were fused by OE PCR using primers VapE-1 and VapE-4. The following PCR protocol was used: 3 min at 94°C, followed by 30 cycles at 94°C for 30 sec, 59°C for 30 sec and 72°C for 1 min 40 sec, followed by 72°C for 10 min. The resultant 1,417 bp PCR product contained an internal in-frame deletion of 194 bp in the vapE gene (from 1 to 194 nt). The PCR product was purified by DNA Gel Extraction kit (Takara Biotechnology Co., Ltd.) Band subsequently cloned into a pMD18-T vector using a pMD18-T Vector Cloning kit (Takara Biotechnology Co., Ltd.) to generate the pMD18-T::ΔvapE plasmid. The pMD18-T::ΔvapE plasmid was digested with BamHI and EcoRI enzymes (Takara Biotechnology Co., Ltd., Dalian, China), and the DNA fragment containing the mutated vapE (ΔvapE) was then cloned into a pSET4s thermosensitive suicide plasmid (21) to generate the pSET4s::ΔvapE suicide plasmid. The resultant plasmid was confirmed by DNA sequencing and transfected into a ZY458 SS2 strain to screen for deletion mutants as described by Takamatsu et al (22). Subsequently, the SS2 strain ZY458 was electrotransfected with pSET4s::ΔvapE using the ECM 399 electroporation system (BTX Harvard Apparatus, Inc., Holliston, MA, USA) at 2,000 V, and cultured at 28°C in the presence of Spc to select the recombinant. The resultant ZY458 (pSET4s::ΔvapE) cells were cultured in BHI broth with Spc at 28°C until the early logarithmic growth phase, and then were shifted to 37°C and incubated for an additional 10 h. Subsequently, the cultures were diluted and spread onto BHI agar plates without antibiotic and incubated overnight at 37°C. The cultures were screened for mutants that had lost the vectors and had exchanged their wild-type allele for a genetic segment containing the ΔvapE gene as a consequence of homologous recombination via a double cross-over. A resultant 458ΔvapE mutant strain was verified by PCR amplification with the primers VapE-5/VapE-R and further confirmed by DNA sequencing. The PCR cycle protocol, performed on Techgene FTGENE2D thermocycler, was as follows: i) Initial denaturation at 94° for 3 min; ii) 30 cycles of 94°C for 30 sec, 50°C for 30 sec and 72°C for 40 sec; and iii) a final elongation step at 72°C for 10 min.

Table II

Primers used for PCR amplification and identification.

Table II

Primers used for PCR amplification and identification.

PrimerSequence (5′-3′)Restriction sitePositiona (bp)
VapE-1GGATCCCACCAGCTTGCACATCGTCBamHI+850 to +868
VapE-2 GCCTGTTCCACCTTTGATAGTTGCCC+194 to +220
VapE-3 AAAGGTGGAACAGGCCTTCTTTCTATGGTC+195 to +209; −1 to −15
VapE-4GAATTCGAAAACCCCGAAATTTATCAAGTGEcoRI−721 to −744
VapE-5 CCCTATCATTGATATAAATTCCCTC+301 to +325
VapE-U TAGGTTTCCCCTTAAAGTGC+1059 to +1078
VapE-D TACACCGCTAAACCTCTTTC−929 to −948
VapE-FGAATTCTCAGATTGTCATATTCACTAGEcoRI+1952 to +1972
VapE-RGGATCCATTGAGAAATACATGTTAGBamHI−302 to −320

a Position of the primer sequence span in the vapE gene of S. suis 2 strain 05ZYH33 (GenBank accession no. NC_009442): (+) represents a position upstream of the start codon of the vapE gene, whereas (−) represents a position downstream of the start codon of the vapE gene. The restriction sites are underlined.

Functional complemented vapE mutant strain

To generate a functionally complemented strain of 458ΔvapE, the structural gene of vapE with its promoter sequence (from 320 bp upstream of the start codon to 439 bp downstream of the stop codon) was amplified using primers VapE-F and VapE-R. PCR was performed on a Techgene FTGENE2D thermocycler under the following conditions: i) Initiation and elongation, 3 min at 94°; ii) 30 cycles of denaturation for 30 sec at 94°, annealing for 30 sec at 50°C; and iii) elongation for 2 min at 72°C; and a final elongation step at 72°C for 10 min. The PCR product (2,292 bp) was purified using the DNA Gel Extraction kit and subsequently cloned into pMD18-T to generate the plasmid, pMD18-T::vapE. The vapE fragment was then subcloned into shuttle vector pAT18. The resultant plasmid was verified by DNA sequencing, and subsequently used to electrotransfect the mutant strain 458ΔvapE using the ECM 399 electroporation system, as described above (BTX Harvard Apparatus, Inc.), which was plated onto BHI agar supplemented with Ery to screen for the complemented strain, 458ΔvapE (pvapE).

Bacterial growth curve

Wild-type strain S. suis 2 ZY458, mutant strain 458ΔvapE and complemented strain 458ΔvapE (pvapE) were separately inoculated into 100 ml BHI broth and incubated at 37°C. Samples of culture were monitored by spectrophotometry using a T6 UV spectrophotometer (Beijing Purkinje General Instrument Co., Ltd, Beijing, China). The absorbance was measured at 600 nm in a quartz cuvette (Beijing Purkinje General Instrument Co., Ltd.) at 1 h intervals. BHI broth minus the inoculation of bacteria served as a blank.

Experimental infection of mice

The present study was approved by the Review Board of the Academy of Military Medical Sciences (Changchun, China). All animal experiments were conducted in accordance with the accepted standards of the Animal Care and Use Committee of Academy of Military Medical Sciences. The protocol was approved by the Animal Care and Use Committee of Academy of Military Medical Sciences and all efforts were made to minimize suffering. All experiments involving mice were conducted in accordance with the Council for International Organizations of Medical Sciences: International Guiding Principles for Biomedical Research Involving Animals (23). The bacterial cultures were serially diluted in BHI broth and plated onto BHI agar plates in order to determine the colony forming unit (CFU)/ml. The working cultures for experimental infection were adjusted to a final concentration of 1×109 CFU/ml.

Female BALB/c mice (age, 4 weeks; weight, 13–14 g) were housed at 24±1°C and 60% relative humidity in a 12-h light/dark cycle with access to food and water ad libitum. They were randomly divided into four groups (12 mice/group), and individual groups were injected intraperitoneally (i.p.) with 100 µl of the ZY458 wild-type strain, ZD89 carrier strain, 458ΔvapE mutant strain or 458ΔvapE (pvapE) complemented strain cultures. The animals were monitored daily for 1 week for mortality and clinical signs, including depression, swollen eyes, ruffled hair, lethargy and nervous symptoms. Tissues of the heart, liver, spleen, lung and kidney from infected mice (12 mice/group) were harvested for detection of the SS2 bacteria by plating onto BHI agar plates. Positive cultures were confirmed by PCR using VapE-F and VapE-R primers (Table II).

Bacterial colonization assay

To evaluate the pathogenicity of SS2, the capacity of the bacteria to colonize the tissues of the heart, liver, spleen, lung and kidney of infected mice was analyzed using a colonization assay. Further BALB/c (13–14 g) mice were randomly divided into three groups (nine mice/group) and injected i.p. with 1×108 CFU/mouse of one of the ZY458, ZD89 or 458ΔvapE strains. One mouse from each group was euthanized by cervical dislocation at 12, 24 and 36 h post-infection, and the tissues were collected and ground with an electric pestle (Tiangen Biotech Co., Ltd., Beijing, China) in 0.9% NaCl (0.03 g tissue/ml). The supernatants were diluted 10-fold and plated onto BHI agar plates. Following an overnight incubation, the bacterial colonies were counted and the data were expressed as CFU/g of tissue, as described previously (24).

Distribution analysis of the vapE gene by PCR

The primers VapE-F and VapE-R were designed on the basis of the published sequence of the SS2 strain, 05ZYH33 (GenBank accession no. NC_009442), to detect the vapE gene from the genomic DNA of SS2 strains ZY458, SP3, SP6, 1330, ZD89, B22, B3 and SP8 by PCR. 16S rDNA served as the reference gene. Each reaction was conducted using a 25 µl mixture containing 2.5 µl 10X buffer, 25 pmol each primer, 2 mM each deoxynucleoside triphosphate, 2.5 units Taq polymerase and 2.5µl supernatant of denatured bacteria. The PCR was performed with Techgene FTGENE2D thermocycler, under the following conditions: i) Initiation and elongation for 3 min at 94°; ii) 30 cycles of denaturation for 30 sec at 94°, annealing for 30 sec at 50°C and elongation for 2 min at 72°C; and iii) a final elongation step at 72°C for 10 min. Amplicons were visualized by running at 100 V for 30 min on a 1% agarose gel containing ethidium bromide (Takara Biotechnology Co., Ltd.). A DL2000 DNA ladder (Takara Biotechnology Co., Ltd.) was used as a size marker.

Results

Generation of vapE mutant

A vapE deletion mutant strain, 458ΔvapE, was generated by a homologous replacement method using ZY458 as the parent strain. The vapE gene knock-out mutant strain was confirmed by PCR (Fig. 1). Comparing the nucleotide sequences using basic local alignment search tool (BLAST) searching revealed that a 194 bp segment of the vapE gene (from 1 to 194 nt of the vapE coding sequence) had been deleted without alteration of the remaining sequence.

Figure 1

Identification of SS2 458ΔvapE mutants and the complemented strain 458ΔvapE (pvapE) using a polymerase chain reaction assay. M is the DL2000 DNA marker, and lanes 1 to 3 are PCR products amplified from SS2 strains 458ΔvapE, 458ΔvapE (pvapE) and ZY458, respectively.

Generation of a functional complemented ΔvapE mutant

The PCR-amplified structural gene of vapE was cloned into a pAT18 shuttle vector. The resultant plasmid was confirmed by PCR (Fig. 1) and designated as pAT18::vapE, which was then electrotransfected into 458ΔvapE cells to produce the complemented strain, 458ΔvapE (pvapE). A BLAST analysis of the nucleotide sequences in the National Center for Biotechnology Information database with the vapE gene confirmed that the amplified 2,292 bp fragment was identical with the other strains.

Bacterial growth rates

To determine whether the deletion of the vapE gene leads to a defect in bacterial growth, the growth characteristics of wild-type SS2 strain ZY458, the vapE deletion mutant, 458ΔvapE, and the complemented strain, 458ΔvapE (pvapE), were compared at 37°C in BHI broth. The optical density values of the bacterial cultures at 600 nm were measured. The growth curves indicated that the growth rates of the mutant strains 458ΔvapE and 458ΔvapE (pvapE) were similar to that of the wild-type strain, ZY458 (Fig. 2).

Figure 2

Growth curves of S. suis 2 wild–type strain ZY458 and its derivatives.

The virulence of the ΔvapE mutant is attenuated in mice

To further assess the effect of vapE deletion on the pathogenesis of SS2, four groups of mice were infected with one of the SS2 wild-type strain ZY458, the carrier strain, ZD89, or the mutant strains, 458ΔvapE or 458ΔvapE (pvapE). The results indicated that all mice infected with wild-type SS2 exhibited severe clinical symptoms, including depression, apathy, fever, anorexia, emaciation, swollen eyes and neural disorders, and died within 2 days of infection (Table III). Similarly, animals infected with the complemented strain 458ΔvapE(pvapE) developed severe clinical symptoms and 83.3% of the mice died 2 days post-infection. By contrast, 100% of the mice infected with mutant strain 458ΔvapE exhibited only mild clinical symptoms in the first 2 days post-infection, and recovered fully within a week. None of the mice injected with ZD89 developed any clinical symptoms. Furthermore, SS2 bacteria were recovered from the organs of mice infected with ZY458 and 458ΔvapE (pvapE). However, no bacteria were detected in the heart, liver, spleen, lung or kidney of any mice infected with 458ΔvapE or ZD89 over a test period of 7 days post-infection (data not shown).

Table III

Virulence of S. suis wild-type and mutant strains evaluated in BALB/c micea.

Table III

Virulence of S. suis wild-type and mutant strains evaluated in BALB/c micea.

StrainMorbidity (%)Mortality (%)Percentage of mice from which SS2 was isolated
HeartLiverSpleenLungKidney
ZY458100.0100.0100.0100.0100.0100.0100.0
ΔvapE100.00.00.00.00.00.00.0
ΔvapE (pvapE)100.083.383.383.383.383.383.3
Negative (ZD89)0.00.00.00.00.00.00.0

a Data were collected 2–7 days post-infection, n=12 for each group.

To further evaluate the virulence attenuation of 458ΔvapE, a bacterial colonization assay was performed. As indicated in Table IV, a reduction in clone-forming efficiency was observed in the infected mice. Mice infected with ZY458 died within 36 h, in contrast, mice infected with 458ΔvapE remained alive with 105–106 CFU/g of tissue.

Table IV

Bacterial colonization of the tissues of mice infected with S. suis 2 (CFU/g tissue).

Table IV

Bacterial colonization of the tissues of mice infected with S. suis 2 (CFU/g tissue).

OrganZY458 infection
ΔvapE infection
ZD89 infection
12 h24 h36 ha12 h24 h36 h12 h24 hb36 hb
Heart 6.6×1010 2.0×108(−) 1.3×1010 2.0×107 5.0×105 1.5×106(−)(−)
Liver 8.7×1010 1.3×109(−) 3.0×1010 2.4×108 5.5×106 2.0×106(−)(−)
Spleen 2.8×1011 1.3×109(−) 2.8×1010 5.5×108 1.2×106 3.0×106(−)(−)
Lung 1.1×1010 6.0×108(−) 2.4×1010 4.2×107 5.5×105 7.0×106(−)(−)
Kidney 8.7×1010 1.5×108(−) 1.7×1010 4.7×107 2.5×105 4.0×106(−)(−)

a All the animals were deceased at this time point.

b No bacteria detected.

Distribution analysis of the vapE gene in various S. suis 2 strains

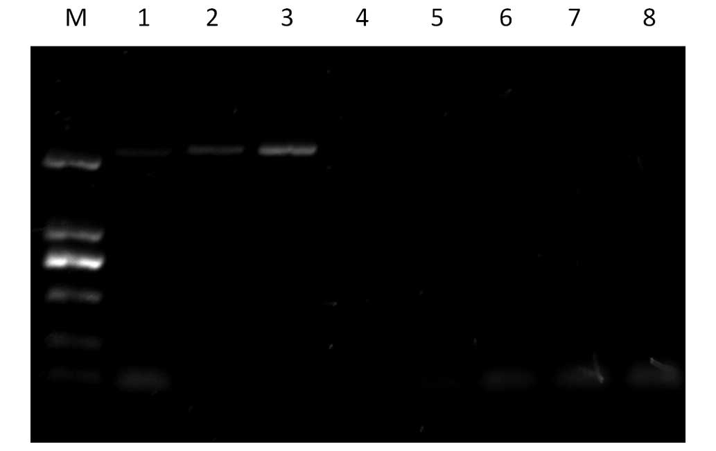
To determine whether the vapE gene exists only in virulent strains of SS2, PCR amplification of the vapE gene was performed using primers of VapE-F and VapE-R (Table II). A 2,292 bp portion of the target fragment was amplified from the virulent strains (ZY458, SP3, SP6), but not from any of the avirulent (1330) and carrier strains that were investigated (ZD89, B22, B3 and SP8) (Fig. 3).

Figure 3

PCR detection of the vapE gene from virulent and avirulent strains of S. suis 2 identified in Table I. M is the DL2000 DNA marker (Takara). Lanes 1 to 8 are PCR products amplified from strains ZY458, SP3, SP6, 1330, ZD89, B22, B3 and SP8, respectively. The amplified vapE PCR fragment is 2292 bp. PCR, polymerase chain reaction.

Discussion

S. suis 2 is a major swine pathogen and a zoonotic agent that leads to septicemia and meningitis in pigs and humans (25). An improved understanding of its pathogenesis is critical for developing effective approaches to combat its severe infectivity. A 1,533 bp vapE open reading frame sequence of the ZY458 virulent strain was submitted to GenBank (accession no. JX270678). There was a 100% identity match to the corresponding sequences of S. suis P1/7 SSU1332 (GenBank accession no. AM946016), S. suis A7 SSUA7_1349 (accession no. CP002570), S. suis GZ1SSGZ1_1350 (accession no. CP000837), S. suis BM407 SSUBM407_1409 (accession no. FM252032), S. suis SC84 SSUSC84_1362 (accession no. FM252031), S. suis 98HAH33 SSU98_1525 (accession no. CP000408), S. suis 05ZYH33 SSU05_1514 (accession no. CP000407), and serotype 1/2 S. suis SS12 SSU12_1401 (accession no. CP002640), serotype 14 S. suis JS14 SSUJS14_1484 (accession no. CP002465).

To investigate the role of the vapE gene in the pathogenesis of SS2, a vapE in-frame deletion mutant of wild-type strain ZY458 was generated using a gene knock-out, and the impact of the vapE deletion on the virulence of S. suis 2 was assessed in a mouse infection model. The current findings indicated that mice infected with the ZY458 wild-type strain or the 458ΔvapE (pvapE) complemented strain presented severe clinical symptoms, including body weight loss, and died within 2 days of infection, suggesting that the complemented strain retained the virulence of the wild-type strain. By contrast, mice inoculated with the vapE deletion mutant developed only mild clinical signs, with marginal weight loss in the first 2 days post-infection, and they recovered fully within a week. This indicates that deletion of the vapE gene in the ZY458 virulent strain leads to reduced pathogenicity of SS2 in mice. Together with the molecular evidence that the vapE gene is present only in virulent SS2 strains, these findings suggest that the vapE gene is critical for the pathogenicity of S. suis 2.

The exact function of the vapE gene in SS2 remains unclear; however, the vapE protein was predicted to be cytoplasmic by the Cell-Ploc package (26). The corresponding gene products in S. suis strains P1/7, BM407 and SC84 have been annotated as 'putative phage primase' in GenBank, and as 'virulence-associated protein E' in other S. suis strains. In a previous study, Wei et al (27) identified various putative PAIs of S. suis 2, with the vapE gene located in PAI4. Notably, this putative PAI only existed in virulent S. suis 2 strains and was able to encode phage integrases, certain hypothetical proteins, phage protein and tRNA. On the basis of its original phage elements, vapE has been suggested to be from a bacteriophage that integrated into the S. suis 2 genome through a horizontal gene transfer (28). Its absence may reduce the expression of other virulence-associated proteins in PAI4, thus reducing the overall pathogenicity of S. suis 2. As a result, animals exhibited mild clinical symptoms and recovered fully after 2 days.

In conclusion, the results reported in the present study clearly indicate that vapE is associated with the pathogenicity of S. suis 2. Although its function requires further investigation, this finding may contribute to the understanding of the pathogenesis of S. suis 2 and may help in the development of novel strategies against S. suis infections. Further investigation will require research into the transcriptome of S. suis ZY458 and 458ΔvapE.

Acknowledgments

We would like to thank Dr JF Fernández-Garayzábal (Departamento Patología Animal I, Facultad de Veterinaria, Universidad Complutense, Spain) and Dr Marcelo Gottschalk (University of Montreal, Faculty of Veterinary Medicine, St. Hyacinthe, QC, Canada) for kindly providing S. suis 2 strains and S. suis 2 avirulent reference strain 1330, respectively. The present study was supported by grants from National Natural Science Foundation of China (grant nos. 31172340 and 31101790/C1803).

References

1 

Wertheim HF, Nghia HDT, Taylor W and Schultsz C: Streptococcus suis: an emerging human pathogen. Clin Infect Dis. 48:617–625. 2009. View Article : Google Scholar : PubMed/NCBI

2 

Yu H, Jing H, Chen Z, Zheng H, Zhu X, Wang H, Wang S, Liu L, Zu R, Luo L, et al Streptococcus suis study groups: Human Streptococcus suis outbreak, Sichuan, China. Emerg Infect Dis. 12:914–920. 2006. View Article : Google Scholar : PubMed/NCBI

3 

Gottschalk M and Segura M: The pathogenesis of the meningitis caused by Streptococcus suis: the unresolved questions. Vet Microbiol. 76:259–272. 2000. View Article : Google Scholar : PubMed/NCBI

4 

Fittipaldi N, Segura M, Grenier D and Gottschalk M: Virulence factors involved in the pathogenesis of the infection caused by the swine pathogen and zoonotic agent Streptococcus suis. Future Microbiol. 7:259–279. 2012. View Article : Google Scholar : PubMed/NCBI

5 

de Greeff A, Buys H, Verhaar R, Dijkstra J, van Alphen L and Smith HE: Contribution of fibronectin-binding protein to pathogenesis of Streptococcus suis serotype 2. Infect Immun. 70:1319–1325. 2002. View Article : Google Scholar : PubMed/NCBI

6 

Baums CG, Kaim U, Fulde M, Ramachandran G, Goethe R and Valentin-Weigand P: Identification of a novel virulence determinant with serum opacification activity in Streptococcus suis. Infect Immun. 74:6154–6162. 2006. View Article : Google Scholar : PubMed/NCBI

7 

Fittipaldi N, Sekizaki T, Takamatsu D, de la Cruz Domínguez-Punaro M, Harel J, Bui NK, Vollmer W and Gottschalk M: Significant contribution of the pgdA gene to the virulence of Streptococcus suis. Mol Microbiol. 70:1120–1135. 2008. View Article : Google Scholar : PubMed/NCBI

8 

Si Y, Yuan F, Chang H, Liu X, Li H, Cai K, Xu Z, Huang Q, Bei W and Chen H: Contribution of glutamine synthetase to the virulence of Streptococcus suis serotype 2. Vet Microbiol. 139:80–88. 2009. View Article : Google Scholar : PubMed/NCBI

9 

Ge J, Feng Y, Ji H, Zhang H, Zheng F, Wang C, Yin Z, Pan X and Tang J: Inactivation of dipeptidyl peptidase IV attenuates the virulence of Streptococcus suis serotype 2 that causes streptococcal toxic shock syndrome. Curr Microbiol. 59:248–255. 2009. View Article : Google Scholar : PubMed/NCBI

10 

Zhang XH, He KW, Duan ZT, Zhou JM, Yu ZY, Ni YX and Lu CP: Identification and characterization of inosine 5-monophosphate dehydrogenase in Streptococcus suis type 2. Microb Pathog. 47:267–273. 2009. View Article : Google Scholar : PubMed/NCBI

11 

Wu T, Zhao Z, Zhang L, Ma H, Lu K, Ren W, Liu Z, Chang H, Bei W, Qiu Y and Chen H: Trigger factor of Streptococcus suis is involved in stress tolerance and virulence. Microb Pathog. 51:69–76. 2011. View Article : Google Scholar

12 

Li P, Liu J, Zhu L, Qi C, Bei W, Cai X, Sun Y and Feng S: VirA: A virulence-related gene of Streptococcus suis serotype 2. Microb Pathog. 49:305–310. 2010. View Article : Google Scholar : PubMed/NCBI

13 

Zheng F, Ji H, Cao M, Wang C, Feng Y, Li M, Pan X, Wang J, Qin Y, Hu F and Tang J: Contribution of the Rgg transcription regulator to metabolism and virulence of Streptococcus suis serotype 2. Infect Immun. 79:1319–1328. 2011. View Article : Google Scholar :

14 

Bonifait L and Grenier D: The SspA subtilisin-like protease of Streptococcus suis triggers a pro-inflammatory response in macrophages through a non-proteolytic mechanism. BMC Microbiol. 11:472011. View Article : Google Scholar : PubMed/NCBI

15 

Willenborg J, Fulde M, de Greeff A, Rohde M, Smith HE, Valentin-Weigand P and Goethe R: Role of glucose and CcpA in capsule expression and virulence of Streptococcus suis. Microbiology. 157:1823–1833. 2011. View Article : Google Scholar : PubMed/NCBI

16 

Tang Y, Zhang X, Wu W, Lu Z and Fang W: Inactivation of the sodA gene of Streptococcus suis type 2 encoding superoxide dismutase leads to reduced virulence to mice. Vet Microbiol. 158:360–366. 2012. View Article : Google Scholar : PubMed/NCBI

17 

Chen C, Tang J, Dong W, Wang C, Feng Y, Wang J, Zheng F, Pan X, Liu D, Li M, et al: A glimpse of streptococcal toxic shock syndrome from comparative genomics of S. suis 2 Chinese isolates. PLoS One. 2:e3152007. View Article : Google Scholar : PubMed/NCBI

18 

Li M, Wang C, Feng Y, Pan X, Cheng G, Wang J, Ge J, Zheng F, Cao M, Dong Y, et al: SalK/SalR, a two-component signal transduction system, is essential for full virulence of highly invasive Streptococcus suis serotype 2. PLoS One. 3:e20802008. View Article : Google Scholar : PubMed/NCBI

19 

Qi C, Liu J, Zhu LW, Wang WD, Meng FQ and Feng SZ: Genetic difference between Streptococcus suis serotype 2 virulent strain and avirulent strain by suppression subtractive hybridization. Chin J Vet Sci. 588–593. 2009.In Chinese.

20 

Sambrook J and Russell DW: Molecular Cloning: A Laboratory Manual. 3rd edition. Cold Spring Harbor Laboratory Press; New York: 2001

21 

Takamatsu D, Osaki M and Sekizaki T: Construction and characterization of Streptococcus suis-Escherichia coli shuttle cloning vectors. Plasmid. 45:101–113. 2001. View Article : Google Scholar : PubMed/NCBI

22 

Takamatsu D, Osaki M and Sekizaki T: Thermosensitive suicide vectors for gene replacement in Streptococcus suis. Plasmid. 46:140–148. 2001. View Article : Google Scholar : PubMed/NCBI

23 

No Authors Listed. CIOMS International guiding principles for biomedical research involving animals. Altern Lab Anim. 12:ii1985.PubMed/NCBI

24 

Wang G, Lo LF and Maier RJ: The RecRO pathway of DNA recombinational repair in Helicobacter pylori and its role in bacterial survival in the host. DNA Repair (Amst). 10:373–379. 2011. View Article : Google Scholar

25 

Gottschalk M, Segura M and Xu J: Streptococcus suis infections in humans: The Chinese experience and the situation in North America. Anim Health Res Rev. 8:29–45. 2007. View Article : Google Scholar : PubMed/NCBI

26 

Chou KC and Shen HB: Cell-PLoc: A package of web servers for predicting subcellular localization of proteins in various organisms. Nature Protoc. 3:153–162. 2008. View Article : Google Scholar

27 

Wei W, Ding GH, Wang XQ, Sun JC, Tu K, Hao P, Wang C, Cao ZW, Shi TL and Li YX: Comparative genome analysis of Streptococcus suis. Chin Sci Bull. 51:808–818. 2006. View Article : Google Scholar

28 

Juhas M, van der Meer JR, Gaillard M, Harding RM, Hood DW and Crook DW: Genomic islands: Tools of bacterial horizontal gene transfer and evolution. FEMS Microbiol Rev. 33:376–393. 2009. View Article : Google Scholar : PubMed/NCBI

29 

Trieu-Cuot P, Carlier C, Poyart-Salmeron C and Courvalin P: Shuttle vectors containing a multiple cloning site and a lacZ α gene for conjugal transfer of DNA from Escherichia coli to gram-positive bacteria. Gene. 102:99–104. 1991. View Article : Google Scholar : PubMed/NCBI

30 

Quessy S, Dubreuil JD, Caya M and Higgins R: Discrimination of virulent and avirulent Streptococcus suis capsular type 2 isolates from different geographical origins. Infect Immun. 63:1975–1979. 1995.PubMed/NCBI

31 

Vela AI, Goyache J, Tarradas C, Luque I, Mateos A, Moreno MA, Borge C, Perea JA, Domínguez L and Fernández-Garayzábal JF: Analysis of genetic diversity of Streptococcus suis clinical isolates from pigs in Spain by pulsed-field gel electrophoresis. J Clin Microbiol. 41:2498–2502. 2003. View Article : Google Scholar : PubMed/NCBI

Related Articles

  • Abstract
  • View
  • Download
  • Twitter
Copy and paste a formatted citation
Spandidos Publications style
Ji X, Sun Y, Liu J, Zhu L, Guo X, Lang X and Feng S: A novel virulence-associated protein, vapE, in Streptococcus suis serotype 2. Mol Med Rep 13: 2871-2877, 2016.
APA
Ji, X., Sun, Y., Liu, J., Zhu, L., Guo, X., Lang, X., & Feng, S. (2016). A novel virulence-associated protein, vapE, in Streptococcus suis serotype 2. Molecular Medicine Reports, 13, 2871-2877. https://doi.org/10.3892/mmr.2016.4818
MLA
Ji, X., Sun, Y., Liu, J., Zhu, L., Guo, X., Lang, X., Feng, S."A novel virulence-associated protein, vapE, in Streptococcus suis serotype 2". Molecular Medicine Reports 13.3 (2016): 2871-2877.
Chicago
Ji, X., Sun, Y., Liu, J., Zhu, L., Guo, X., Lang, X., Feng, S."A novel virulence-associated protein, vapE, in Streptococcus suis serotype 2". Molecular Medicine Reports 13, no. 3 (2016): 2871-2877. https://doi.org/10.3892/mmr.2016.4818
Copy and paste a formatted citation
x
Spandidos Publications style
Ji X, Sun Y, Liu J, Zhu L, Guo X, Lang X and Feng S: A novel virulence-associated protein, vapE, in Streptococcus suis serotype 2. Mol Med Rep 13: 2871-2877, 2016.
APA
Ji, X., Sun, Y., Liu, J., Zhu, L., Guo, X., Lang, X., & Feng, S. (2016). A novel virulence-associated protein, vapE, in Streptococcus suis serotype 2. Molecular Medicine Reports, 13, 2871-2877. https://doi.org/10.3892/mmr.2016.4818
MLA
Ji, X., Sun, Y., Liu, J., Zhu, L., Guo, X., Lang, X., Feng, S."A novel virulence-associated protein, vapE, in Streptococcus suis serotype 2". Molecular Medicine Reports 13.3 (2016): 2871-2877.
Chicago
Ji, X., Sun, Y., Liu, J., Zhu, L., Guo, X., Lang, X., Feng, S."A novel virulence-associated protein, vapE, in Streptococcus suis serotype 2". Molecular Medicine Reports 13, no. 3 (2016): 2871-2877. https://doi.org/10.3892/mmr.2016.4818
Follow us
  • Twitter
  • LinkedIn
  • Facebook
About
  • Spandidos Publications
  • Careers
  • Cookie Policy
  • Privacy Policy
How can we help?
  • Help
  • Live Chat
  • Contact
  • Email to our Support Team