International Journal of Molecular Medicine is an international journal devoted to molecular mechanisms of human disease.
International Journal of Oncology is an international journal devoted to oncology research and cancer treatment.
Covers molecular medicine topics such as pharmacology, pathology, genetics, neuroscience, infectious diseases, molecular cardiology, and molecular surgery.
Oncology Reports is an international journal devoted to fundamental and applied research in Oncology.
Experimental and Therapeutic Medicine is an international journal devoted to laboratory and clinical medicine.
Oncology Letters is an international journal devoted to Experimental and Clinical Oncology.
Explores a wide range of biological and medical fields, including pharmacology, genetics, microbiology, neuroscience, and molecular cardiology.
International journal addressing all aspects of oncology research, from tumorigenesis and oncogenes to chemotherapy and metastasis.
Multidisciplinary open-access journal spanning biochemistry, genetics, neuroscience, environmental health, and synthetic biology.
Open-access journal combining biochemistry, pharmacology, immunology, and genetics to advance health through functional nutrition.
Publishes open-access research on using epigenetics to advance understanding and treatment of human disease.
An International Open Access Journal Devoted to General Medicine.
Cadmium (Cd) is the most widespread environmental pollutant, which exerts diverse toxic effects in various tissues and organs of humans and animals (1). The human population is exposed to Cd toxicity through food, water and the air (2). The main sources of Cd include agricultural and industrial pollution (3). Cd toxicity is dependent on its biological characteristics, and it is defined as non-biodegradable with an extensive biological half-life, particularly below the earth (4).
It has previously been reported that exposure to low doses of Cd [1–2 mg/kg body weight (BW)] predominantly affects the testes, and no other organs (5). The mechanism underlying Cd toxicity to the testes remains unclear. One theory hypothesized that Cd toxicity induced failure in the circulatory system due to vascular damage, particularly in the testes, which may result in the inability to utilize zinc (6). Cd may therefore replace zinc in the bloodstream of the testes. Zinc, manganese and selenium are important for testicular function and fertility, whereas Cd, cobalt and mercury are very toxic, and impair testicular function and reduce fertility (7).
It is well-known that Cd toxicity induces oxidative stress via the production of free radicals, which are harmful to cells. Free radicals may damage protein, lipid, enzymes and DNA, and therefore must be neutralized by antioxidants before entering cells (8). Antioxidants serve as potent scavengers for free radicals and prevent the occurrence of disease (9). Recently, the use of natural products and flavonoids, including curcumin and cinnamon, for the treatment of diabetes and toxicity has been widely reported due to their protective effects (10,11). Such findings suggest that identifying herbal medicines for the protection of antioxidants, and the treatment of toxicity and human disease is required. Among such natural products recently identified is the grape seed extract (GSE).
GSE is one of the most powerful antioxidants, which contains high levels of bioflavonoids, vitamin C and vitamin E (12). GSE protects cells from damage by regulating cell oxidative damage (13), reducing organ injury, improving the balance between oxidants and antioxidants, and reducing the release of inflammatory mediators (14,15). In addition, GSE has been reported to exert anticarcinogenic effects (16). It is well-known that the organs most affected by Cd are the testes, and the present study aimed to determine the beneficial effects of GSE on human health. Therefore, the present study was designed to examine the possible ameliorative and protective effects of GSE against chronic Cd-induced testicular dysfunction.
CdCl2, diethyl ether, ethidium bromide and agarose were purchased from Sigma-Aldrich (St. Louis, MO, USA). GSE was purchased from GNC (Jeddah, Saudi Arabia). The adult male Wistar rats (age, 3 months; weight, 250–280 g) were obtained from King Fahd Center for Scientific Research, King Abdulaziz University (Jeddah, Saudi Arabia). Kits for the detection of catalase, glutathione reductase (GSH-R), glutathione peroxidase (GSH-Px) and malondialdehyde (MDA) were purchased from Bio-Diagnostic (Giza, Egypt). The DNA ladder (100 bp) was purchased from Thermo Fisher Scientific, Inc. (Waltham, MA, USA). QIAzol reagent and oligo dT primers were obtained from Qiagen, Inc. (Valencia, CA, USA).
All procedures for animal handling and treatments were approved by the Ethical Committee Office of the Scientific Deanship of Taif University (Taif, Saudi Arabia). A total of 40 male adult Wistar rats (n=10/group; age, 3 months; weight, 250–280 g) were used in the present study. For acclimation, the rats were handled manually for 2 weeks prior to the experiment. The rats were maintained under a light/dark cycle (12–12 h) and received ad libitum access to food and water. The healthy male Wistar rats were randomly divided into four groups (n=10/group) as follows: Control group, which received a balanced diet; Cd chloride (CdCl2) group, which orally received 5 mg CdCl2/kg BW/day dissolved in water, based on a previous study (17); GSE group, which orally received GSE (400 mg/kg BW/day) dissolved in water (18); and the protective group, which orally received a mixture of GSE and CdCl2 dissolved in water as described for each individual group. All treatments were administered for 3 consecutive months. At the end of the experiment, the rats were sacrificed by inhalation of diethyl ether. Blood samples were collected for the extraction of serum by centrifugation for 10 min at 4,000 × g, and testicular tissues were collected for RNA extraction and immunohistochemistry.
Alterations in the serum levels of testosterone were measured using a commercial kit (Testosterone ELISA kit; cat. no. ab108666; Abcam, Tokyo, Japan) that was purchased from CliniLab (Cairo, Egypt). All kit procedures were followed as stated in the manufacturer's protocol.
Serum levels of catalase, GSH-R, GSH-Px and MDA were measured spectrophotometrically using specific commercial kits. The assays were conducted according to the manufacturer's protocols.
Sections (4 µM) were cut using a microtome from the left and right testes of the rats, and were processed for general histological staining using hematoxylin and eosin stain (Sigma-Aldrich), based on previously stated protocols (19). The sections were deparaffinized in xylene, and were dehydrated in various ascending concentrations of ethanol. Endogenous peroxidase activity was blocked with 3% hydrogen peroxide for 15 min. After heating for 20 min in 0.01 mol/l citrate buffer using a microwave pressure cooker, the sections were allowed to cool to room temperature. Blocking of non-specific binding was conducted using normal horse serum (Sigma-Aldrich) for 20 min at room temperature. Subsequently, the testicular sections were incubated with the following primary antibodies for 30 min: Anti-B-cell lymphoma 2-associated X protein (Bax; sc-493; mouse monoclonal; clone no. 2D2; Thermo Fisher Scientific, Inc.) and anti-Ki-67 (sc-7846; Dako, Glostrup, Denmark) at dilutions of 1:1,000 for each antibody. Subsequently, the immunoperoxidase technique [avidin-biotin complex (ABC) kit; Lab Vision Corporation, Fremont, CA, USA) was used to stain the testicular sections, and the binding sites were detected with ABC chromogen. For rinsing between each step, phosphate-buffered saline was used. Finally, all sections were counterstained with hematoxylin and eosin stain and images were viewed microscopically (Wolfe-S90982; Carolina Biological Supply Co., Burlington, NC, USA) and images captures using a Canon Power-Shot SX500 IS digital camera (Canon, Inc., Tokyo, Japan) (20).
Total RNA was extracted from testicular samples using QIAzol reagent as previously described (10,11). Integrity of the RNA was visualized using 1.5% denatured agarose gel electrophoresis, followed by ethidium bromide staining. Total RNA (2 µg) in a total volume of 11 µl, together with 0.5 ng oligo dT primers and sterilized diethylpyrocarbonate (DEPC) water, was used to synthesize cDNA. Briefly, the mixture was incubated in a T100™ Thermal Cycler (Bio-Rad Laboratories, Inc., Hercules, CA, USA) at 70°C for 10 min for denaturation. Subsequently, 2 µl 10X reverse transcription (RT)-buffer, 100 U Moloney Murine Leukemia Virus Reverse Transcriptase (Thermo Fisher Scientific, Inc.), 1 µl 10 mM dNTPs and 5 µl DEPC water was added (total volume, 20 µl). This mixture was then incubated in the thermal cycler at 37°C for 1 h, and at 70°C for 10 min in order to induce inactivation of the enzyme. For RT-polymerase chain reaction (PCR) analysis, specific primers were used (Table I), which were designed using Oligo-4 software and were synthesized by Macrogen, Inc. (Seoul, South Korea). In a total volume of 25 µl [1 µl synthesized cDNA, 1 µl each primer (10 pM), 12.5 µl PCR master mix (Promega Corporation, Madison, WI, USA) and 9.5 µl sterilized deionized water], PCR was conducted. The PCR cycling conditions were set as follows: Initial denaturation for 1 cycle at 95°C for 4 min, followed by 27 cycles (each consisting of denaturation at 94°C for 1 min, annealing as stated in Table I for each gene, and extension at 72°C for 1 min) with a final extension step at 72°C for 7 min. G3PDH was used as an internal control. PCR products were separated by 1.5% agarose gel electrophoresis for 30 min (Bio Basic Inc., Markham, ON, Canada) and were stained with ethidium bromide in Tris-borate-EDTA buffer. The gels were visualized under ultraviolet light and subsequently photographed using an InGenius version 3.0 gel documentation system (Syngene, Cambridge, UK). The band intensities were densitometrically quantified and calculated using ImageJ software version 1.47 (http://imagej.en.softonic.com/).
The data are presented as the mean ± standard error of the mean. Experiments were repeated 3 times. One-way analysis of variance and Fisher post-hoc descriptive test were used to analyze the data using SPSS software version 11.5 for Windows (SPSS, Inc., Chicago, IL, USA). P<0.05 were considered to indicate a statistically significant difference.
Serum testosterone levels were 0.52±0.2 ng/ml in the control rats. Treatment with CdCl2 significantly decreased the testosterone levels (0.07±0.02 ng/ml). Notably, GSE increased testosterone levels (3.4±0.39 ng/ml). Co-treatment with GSE and CdCl2 exhibited a protective effect, and the testosterone levels were significantly increased in this group, compared with the CdCl2-treated rats (P<0.05; 3.6±0.42 ng/ml).
Treatment with CdCl2 for 3 months resulted in a significant decrease in the levels of catalase, GSH-R and GSH-Px (P<0.05; Table II). In addition, CDCl2 significantly increased the levels of MDA. Co-treatment with GSE and CdCl2 inhibited and normalized these alterations. Treatment with GSE alone exhibited good antioxidant activity (Table II). Consistent with the alterations to serum levels, treatment with CdCl2 significantly downregulated the mRNA expression levels of superoxide dismutase (SOD) and glutathione S-transferase (GST), the expression of which was normalized following co-treatment with GSE and CdCl2 (P<0.05; Fig. 1A and B).
Table IISerum alterations in antioxidant and MDA levels following CdCl2 administration for 3 months in Wistar rats. |
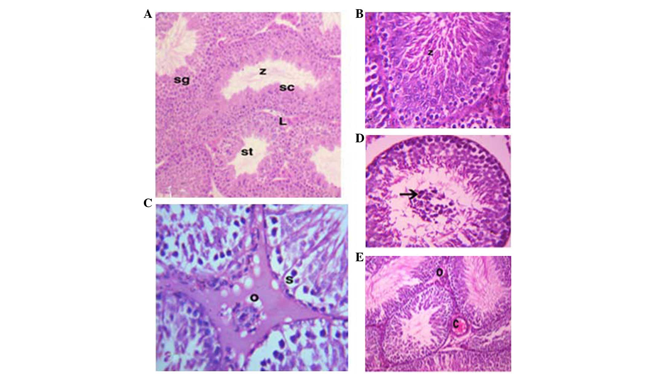
As shown in Fig. 2, the testes consist of numerous seminiferous tubules (STs), which are lined with spermatogenic cells. Interstitial connective tissue and Leydig cells are located between the STs (Fig. 2A). The STs of the GSE group were characterized by highly active spermatocytes and spermatozoa (Fig. 2B). However, the testes of the CdCl2 group exhibited congestion and edema in the interstitial blood vessels (Fig. 2C). The STs of the CdCl2 group were characterized by irregular arrangement of the epithelial lining, degeneration and sloughing of spermatogenic cells, and central accumulation in the STs (Fig. 2D). The testes of the protective group (GSE+CdCl2) exhibited improved histological ST structure; however, low levels of edema and congestion persisted in the interstitial tissue (Fig. 2E).
The testes of the control group exhibited positive Bax immunostaining of a few spermatogenic cells (Fig. 3A), whereas Bax expression was decreased in the spermatogenic cells of the GSE group (Fig. 3B). Immunostaining of the ST cells of the CdCl2 group was strongly positive (Fig. 3C), whereas co-treatment with GSE induced a marked decrease in Bax immunoreactivity in ST cells (Fig. 3D).
Ki-67 expression was upregulated in the ST cells of the control rats. Immunostaining was localized to the spermatogonia and spermatocytes (Fig. 4A). In addition, Ki-67 expression was activated in the ST cells of the GSE group (Fig. 4B). Conversely, immunostaining of Ki-67 was weak in the ST cells of the CdCl2 group (Fig. 4C). Co-treatment with GSE and CdCl2 led to an improvement in Ki-67 expression in ST cells; however, the staining was not as strong as reported in the control rats (Fig. 4D).
The expression levels of steroidogenesis-associated genes were downregulated following treatment with CdCl2 for 3 months (Fig. 5). There was a significant downregulation in the mRNA expression levels of cytochrome P450 cholesterol side-chain cleavage enzyme (P450scc), cytochrome P450 17A1 (P450c17), 3β-hydroxysteroid dehydrogenase (3β-HSD), 17β-HSD, androgen receptor (AR), steroidogenic acute regulatory protein (StAR), and follicle-stimulating hormone receptor (FSHR) in the CdCl2 group (P<0.05; Fig. 5A and B). Notably, GSE exhibited a stimulatory effect on the expression of steroidogenesis-associated enzymes. Co-treatment with CdCl2 and GSE normalized and significantly upregulated the mRNA expression levels of steroidogenesis-associated genes, which were decreased in the CdCl2 group, as determined by densitometric analysis (P<0.05; Fig. 5C and D).
The present study demonstrated that CdCl2 toxicity induced serious alterations in the testes, which were protected against by co-administration of GSE. CdCl2 administration induced significant decreases in the serum levels of testosterone and antioxidants, increased the expression of an apoptosis-associated biomarker in the testes, and downregulated the mRNA expression levels of steroidogenesis-associated enzymes in the rat testes. Furthermore, GSE ameliorated all alterations induced by CdCl2 toxicity. It is well-known that Cd is considered one of the most toxic elements, and has a toxicity grade of seven (21). Humans are exposed to Cd toxicity by either inhalation or ingestion; skin absorption of Cd is relatively insignificant (22,23). Cd is reported to be contained in industrial emissions, cigarette smoke and agricultural fertilizers (23). One method of Cd toxicity occurs through Cd-containing pigments, which are included in utensils and electrode materials contained within nickel-Cd batteries. Another method occurs through handling of contaminated food and water, and by smoking (24). During exposure to Cd, it may accumulate in the liver, kidneys, reproductive organs, and other tissues (25,26).
Cd accumulation may occur in the testes, where it induces testicular oxidative stress by two mechanisms: By reacting with the sulfhydryl groups of various proteins or by glutathione depletion (27), as confirmed in the findings of the present study (Table II and Fig. 1). Oxidative stress may induce cell proliferation via alterations in the DNA repair mechanism (28). The results of the present study confirmed that GSE exerts potential effects against oxidative stress, and may inhibit the production of free radicals, as described in a previous study (29). Treatment with Cd decreased antioxidant levels and increased MDA levels. It has previously been reported that Cd acts through overproduction of ROS and enhanced lipid peroxidation (30).
Cd toxicity alters testicular function and reduces fertility by lowering sperm count and motility (31). In addition, Cd toxicity may cause the formation of multinucleated giant cells. Giant cell formation is caused by additional DNA replication of the primary spermatocytes that fail to undergo meiosis (32). In addition, chronic Cd toxicity leads to impairment of the H2O2 removal system, which leads to inhibition of steroidogenesis in the Leydig cells due to an accumulation of H2O2 (33).
It has been demonstrated that low doses of CdCl2 induces alterations in testicular tissues, represented by mild interstitial fibrosis, while high doses of CdCl2 result in edema, degeneration, calcification of the tunica albuginea and hypertrophy of interstitial cells (34). The present study used the optimal dose of CdCl2 to induce toxicity without lethal effects. The results demonstrated that congestion and edema were present in the interstitial blood vessels, and sloughing of the spermatogenic cells resulted in central accumulation in the STs. These findings are consistent with those reported in other studies (31,35,36). The reported histopathological changes are mainly caused by disturbances in vascular permeability as a result of Cd toxicity (37).
Bax is a proapoptotic marker, which is increased in the early stages of intoxication and disease. Conversely, Ki-67 expression is a marker for cell proliferation. High expression of Ki-67 has been reported in cells during G2 and early M stages of cell growth (38,39). The results of the present study confirmed that Bax markers were increased in the spermatogenic cells of the CdCl2-treated group, while Ki67 was decreased. The expression of Bax and Ki67 is a mechanism of the body that acts against the degenerative effects caused by CdCl2 in the testes; the administration of GSE counteracted these effects. These findings were supported by the results of previous studies (38,40). Cd has been shown to exert biological effects on the Sertoli cells of piglets, resulting in DNA damage and the appearance of apoptotic cells (41). Apoptosis of the germ cells of the testes can be induced by intrinsic and extrinsic pathways (42). Bax expression has been detected in Leydig cells, indicating that Bax, a promotor of cell death, is often positively regulated by the tumour-suppressor gene p53 (43).
Androgenesis in the testes involves multi-critical steps that start with the synthesis of cholesterol, followed by its transport within the steroidogenic testicular tissues and its metabolism to form steroid biosynthesis. Steroidogenic cells (SCs) acquire cholesterol either by de novo synthesis or from the high density lipoproteins (HDL) or low density lipoproteins (LDL) that circulate in the blood (44). Scavenger receptor class B member 1 (SRB-1) is a specific receptor for lipoproteins and is located on the surface of SCs. SRB-1 aids LDL and HDL uptake by SCs (44). The increased production of luteinizing hormone (LH) and follicle-stimulating hormone (FSH) allows the synthesis of cholesterol by activating the enzymes of cholesterol biosynthesis, including cholesterol ester hydrolase. Furthermore, LH and FSH production regulates the uptake of cholesterol esters by SCs through the enhancement of the expression of HDL and LDL receptors, which recognize SRB-1 (45). The present study detected a marked decrease in the serum levels of testosterone, possibly due to Cd-induced decreased synthesis and availability of cholesterol for steroidogenesis. Consequently, decreases in cholesterol biosynthesis result in downregulation of steroid biosynthesis (46).
Following cholesterol biosynthesis, StAR transports it to the inner mitochondrial membrane (IMM) (47). The results of the present study detected a decrease in the mRNA expression levels of StAR in the testicular tissues of Cd-treated rats. This decrease may be due to a decrease in serum levels of LH, since LH is responsible for steroidogenesis through StAR activation in SCs (45,48). In agreement with these findings, previous studies have confirmed the role of StAR expression and activity in steroidogenesis (45,48). In the IMM, pregnenolone is produced by the action of cholesterol on P450scc, which is a major enzyme that regulates steroidogenesis (49).
The present study detected a significant reduction in the levels of the P450scc enzyme in Cd-treated rats, which may result from a decrease in availability of cholesterol in the IMM due to a reduction in FSH receptor, which regulates P450scc levels (46). Therefore, a significant decrease in the expression of P450scc is another factor that may contribute to an attenuation in steroidogenesis. In addition, it has been reported that a decrease in StAR activity is associated with a decrease in steroidogenesis (49). Notably, GSE counteracted the Cd-induced inhibitory effects.
CdCl2 administration downregulates the expression of 3β-HSD and 17β-HSD enzymes, and serves a critical role in steroidogenesis. A direct effect of endocrine disruptors on enzyme levels has also been reported in previous studies (50,51). Steroidogenic enzymes and steroidogenesis can be disrupted at various levels; however, StAR is the enzyme most affected by up- or downregulation of steroidogenesis and its related enzymes (52). Furthermore, the expression levels of AR were downregulated in the rats treated with Cd. The decreased serum levels of testosterone may be explained by this downregulation in AR expression. In conclusion, GSE ameliorated Cd-induced alterations in antioxidants, histopathology, immunoreactivity of an apoptotic marker, and mRNA expression of steroidogenesis-associated genes. Future in vitro studies are required in order to outline the direct beneficial effect of GSE on lyedig cell function, and its availability for treatment of testicular dysfunction during CdCl2 toxicity.
|
No authors listed. Meeting of the IARC working group on beryllium, cadmium, mercury and exposures in the glass manufacturing industry. Scand J Work Environ Health. 19:360–363. 1993. View Article : Google Scholar : PubMed/NCBI | |
|
Woodruff TJ, Carlson A, Scwartz JM and Giudice LC: Proceedings of the Summit on Environmental Challenges to Reproductive Health and Fertility: Executive summary. Fertil Steril. 89:281–300. 2008. View Article : Google Scholar : PubMed/NCBI | |
|
Järup L and Akesson A: Current status of cadmium as an environmental health problem. Toxicol Appl Pharmacol. 238:201–208. 2009. View Article : Google Scholar : PubMed/NCBI | |
|
Goyer R: Toxic effect of metal: Casarett and doult's toxicology. The Basic Science of Poisons. 5th edition. Klaassen CD: McGraw-Hill; New York: pp. 691–736. 1995 | |
|
Prozialeck WC, Edwards JR and Woods JM: The vascular endothelium as a target of cadmium toxicity. Life Sci. 79:1493–1506. 2006. View Article : Google Scholar : PubMed/NCBI | |
|
Amara S, Abdelmelek H, Garrel C, Guiraud P, Douki T, Ravanat J, Favier A, Sakly M and Ben Rhounia K: Preventive effect of zinc against cadmium-induced oxidative stress in the rat testis. J Reprod Dev. 54:129–134. 2008. View Article : Google Scholar | |
|
Anderson MB, Pedigo NG, Katz RP and George WJ: Histopathalogy of testes from mice chronically treated with cobalt. Reprod Toxicol. 6:41–50. 1992. View Article : Google Scholar | |
|
Naskar S, Islam A, Mazumder UK, Saha P, Haldar PK and Gupta M: In vitro and in vivo antioxidant potential of hydromethanolic extract of Phoenix dactylifera fruits. J Sci Res. 2:144–157. 2010. | |
|
Islam MR, Shahnaj MP, Raihan MO, Hasan SMR and Islam ME: In vitro and in vivo antioxidant potential of ethanolic extract of Syzigium jambos (L.) bark. IJRAP. 2:810–815. 2011. | |
|
Soliman MM, Attia HF, Hussein MM, Hassan ME and Ismail TA: Protective effect of N-acetylcystiene against titanium dioxide nanoparticles modulated immune responses in male albino rats. Am J Immunol. 9:148–158. 2013. View Article : Google Scholar | |
|
Soliman MM, Baiomy AA and Yassin MH: Molecular and histopathological study on the ameliorative effects of curcumin against lead acetate-induced hepatotoxicity and nephrototoxicity in Wistar rats. Biol Trace Elem Res. 167:91–102. 2015. View Article : Google Scholar : PubMed/NCBI | |
|
Sachs A: A natural alternative for treating colds, infections, herpes, candida and many other ailments. The Authoritative Guide to Grapefruit Extract. Stay Healthy Naturally. Life rhythm; Mendocino, California: pp. 775–795. 1997 | |
|
El-Ashmawy IM, Saleh A and Salama OM: Effects of marjoram volatile oil and grape seed extract on ethanol toxicity in male rats. Basic Clin Pharmacol Toxicol. 101:320–327. 2007. View Article : Google Scholar : PubMed/NCBI | |
|
Sehirli O, Ozel Y, Dulundu E, Topaloglu U, Ercan F and Sener G: Grape seed extract treatment reduces hepatic ischemia-reperfusion injury in rats. Phytother Res. 22:43–48. 2008. View Article : Google Scholar : PubMed/NCBI | |
|
Alkhedaide AQ: The anti-inflammatory effect of grape seed extract in rats exposed to cadmium chloride toxicity. Int J Adv Res. 3:298–305. 2015. | |
|
Cetin A, Kaynar L, Koçyiğit I, Hacioğlu SK, Saraymen R, Oztürk A, Orhan O and Sağdiç O: The effect of grape seed extract on radiation-induced oxidative stress in the rat liver. Turk J Gatroenterol. 19:92–98. 2008. | |
|
El-Demerdash FM, Yousef MI, Kedwany FS and Baghdadi HH: Cadmium-induced changes in lipid peroxidation, blood hematology, biochemical parameters and semen quality of male rats: Protective role of vitamin E and beta-carotene. Food Chem Toxicol. 42:1563–1571. 2004. View Article : Google Scholar : PubMed/NCBI | |
|
Li SG, Ding YS, Niu Q, Xu SZ, Pang LJ, Ma RL, Jing MX, Feng GL, Liu JM and Guo SX: Grape seed proanthocyanidin extract alleviates arsenic-induced oxidative reproductive toxicity in male mice. Biomed Environ Sci. 28:272–280. 2015.PubMed/NCBI | |
|
Bancroft JD and Gamble A: General stains. Theory and Practice of Histological Techniques. 5th edition. Churchill Livingstone; Edinburgh: pp. 116–117. 2002 | |
|
Kiernan JA: Histological and Histochemical Methods: Theory and Practice. 4th edition. Scion Publishing Ltd; Banbury: pp. 211–235. 2008 | |
|
Fay RM and Mumtaz MM: Development of a priority list of chemical mixtures occurring at 1188 hazardous waste sites, using the HazDat database. Food Chemical Toxicol. 34:1163–1165. 1996. View Article : Google Scholar | |
|
Mead MN: Cadmium confusion: Do consumers need protection? Environ Health Perspect. 118:a528–a534. 2010. View Article : Google Scholar : PubMed/NCBI | |
|
Zalups RK and Ahmad S: Molecular handling of cadmium in transporting epithelia. Toxicol Appl Pharmacol. 186:163–188. 2003. View Article : Google Scholar : PubMed/NCBI | |
|
Waisberg M, Joseph P, Hale B and Beyersmann D: Molecular and cellular mechanisms of cadmium carcinogenesis. Toxicology. 192:195–117. 2003. View Article : Google Scholar | |
|
Godt JF, Scheidig C, Grosse-Siestrup V, Esche P, Brandenburg P, Reich A and Groneberg DA: The toxicity of cadmium and resulting hazards for human health. J Occup Med Toxicol. 1:222006. View Article : Google Scholar : PubMed/NCBI | |
|
Takamure Y, Shimada H, Kiyozumi M, Yasutake A and Imamura Y: A possible mechanism of resistance to cadmium toxicity in male Long-Evans rats. Environ Toxicol Pharmacol. 21:231–234. 2006. View Article : Google Scholar : PubMed/NCBI | |
|
Valko M, Morris H and Cronin MT: Metals, toxicity and oxidative stress. Curr Med Chem. 12:1161–1208. 2005. View Article : Google Scholar : PubMed/NCBI | |
|
Beyersmann D and Hartwig A: Carcinogenic metal compounds: Recent insight into molecular and cellular mechanisms. Arch Toxicol. 82:493–512. 2008. View Article : Google Scholar : PubMed/NCBI | |
|
Dulundu E, Ozel Y, Topaloglu U, Toklu H, Ercan F, Gedik N and Sener G: Grape seed extract reduces oxidative stress and fibrosis in experimental biliary obstruction. J Gastroenterol Hepatol. 22:885–892. 2007. View Article : Google Scholar : PubMed/NCBI | |
|
Sen Gupta R, Sen Gupta E, Dhakal BK, Thakur AR and Ahnn J: Vitamin C and vitamin E protect the rat testes from cadmium-induced reactive oxygen species. Mol Cells. 17:132–139. 2004.PubMed/NCBI | |
|
Yang HS, Han DK, Kim JR and Sim JC: Effects of alpha-tocopherol on cadmium-induced toxicity in rat testis and spermatogenesis. J Korean Med Sci. 21:445–451. 2006. View Article : Google Scholar : PubMed/NCBI | |
|
Yang HJ, Lee SH, Jin Y, Choi JH, Han CH and Lee MH: Genotoxicity and toxicological effects of acrylamide on reproductive system in male rats. J Vet Sci. 6:103–109. 2005.PubMed/NCBI | |
|
Diemer T, Allen JA, Hales KH and Hales DB: Reactive oxygen disrupts mitochondria in MA-10 tumor Leydig cells and inhibits steroidogenic acute regulatory (StAR) protein and steroidogenesis. Endocrinology. 144:2882–2891. 2003. View Article : Google Scholar : PubMed/NCBI | |
|
Ekhoye EI, Nwangwa EK and Aloamaka CP: Changes in some testicular biometric parameters and testicular function in cadmium chloride administered Wistar rats. Br J Med Med Res. 3:2031–2041. 2013. View Article : Google Scholar | |
|
Elgawish RAR and Ghanem ME: Effect of long term cadmium chloride exposure on testicular functions in male albino rats. Am J Anim Vet Sci. 9:182–188. 2014. View Article : Google Scholar | |
|
El-Shahat AE, Gabr A, Meki AR and Mehana ES: Altered testicular morphology and oxidative stress induced by cadmium in experimental rats and protective effect of simultaneous green tea extract. Inter J Morphol. 27(3): 757–764. 2009. | |
|
de Souza Predes F, Diamante MA and Dolder H: Testis response to low doses of cadmium in Wistar rats. Int J Exp Pathol. 91:125–131. 2010. View Article : Google Scholar | |
|
Sakr SA and Nooh HZ: Effect of Ocimum basilicum extract on cadmium-induced testicular histomorphometric and immunohistochemical alterations in albino rats. Anat Cell Biol. 46:122–130. 2013. View Article : Google Scholar : PubMed/NCBI | |
|
Sasaki K, Murakami T, Kawasaki M and Takahashi M: The cell cycle associated change of the Ki-67 reactive nuclear antigen expression. J Cell Physiol. 133:579–584. 1987. View Article : Google Scholar : PubMed/NCBI | |
|
Falana BA, Ogundele OM, Duru FI, Oshinubi AA and Falode DT: Role of Se+Zn in regeneration (Ki-67) following Pb toxicity (p53andcad) in the germinal epithelium of adult Wistar rats. Pak J Biol Sci. 16:67–73. 2013. View Article : Google Scholar : PubMed/NCBI | |
|
Zhang M, He Z, Wen L, Wu J, Yuan L, Lu Y, Guo C, Zhu L, Deng S and Yuan H: Cadmium suppresses the proliferation of piglet Sertoli cells and causes their DNA damage, cell apoptosis and aberrant ultrastructure. Reprod Biol Endocrinol. 8:972010. View Article : Google Scholar : PubMed/NCBI | |
|
Fadeel B and Orrenius S: Apoptosis: A basic biological phenomenon with wide-ranging implications in human disease. J Intern Med. 258:479–517. 2005. View Article : Google Scholar : PubMed/NCBI | |
|
Taylor MF, Woolveridge I, Metcalfe AD, Streuli CH, Hickman JA and Morris ID: Leydige cell apoptosis in the rat testes after administration of the cytotoxin ethane dimethanesulphonate: Role of the Bcl-2 family members. J Endocrinol. 157:317–326. 1998. View Article : Google Scholar : PubMed/NCBI | |
|
Cao G, Zhao L, Stangl H, Hasegawa T, Richardson JA, Parker KL and Hobbs HH: Developmental and hormonal regulation of murine scavenger receptor, class B, type 1. Mol Endocrinol. 13:1460–1473. 1999. View Article : Google Scholar : PubMed/NCBI | |
|
Fauser BCJM: Molecular biology of steroidogenesis. Molecular Biology in Reproductive Medicine. Fauser BCJM, Rutherford AJ, Strauss JF and Van Steirteghem A: 1st edition. Parthenon Publishing; New York: pp. 234–251. 1999 | |
|
Barlow NJ, Phillips SL, Wallace DG, Gaido KW and Foster PM: Quantitative changes in gene expression in fetal rat testes following exposure to di(n-butyl) phthalate. Toxicol Sci. 73:431–441. 2003. View Article : Google Scholar : PubMed/NCBI | |
|
Hasegawa T, Zhao L, Caron KM, Majdic G, Suzuki T, Shizawa S, Sasano H and Parker KL: Developmental roles of the steroidogenic acute regulatory protein (StAR) as revealed by StAR knockout mice. Mol Endocrinol. 14:1462–1471. 2000. View Article : Google Scholar : PubMed/NCBI | |
|
Murugesan P, Muthusamy T, Balasubramanian K and Arunakaran J: Effects of vitamins C and E on steroidogenic enzymes mRNA expression in polychlorinated biphenyl (Aroclor 1254) exposed adult rat Leydig cells. Toxicology. 232:170–182. 2007. View Article : Google Scholar : PubMed/NCBI | |
|
Omura T and Morohashi K: Gene regulation of steroidogenesis. J Steroid Biochem Mol Biol. 53:19–25. 1995. View Article : Google Scholar : PubMed/NCBI | |
|
Lyssimachou A, Jessen BM and Arukwe A: Brain cytochrome P450 aromatase gene isoforms and activity levels in atlantic salmon after waterborne exposure to nominal environmental concentrations of the pharmaceutical ethynylestradiol and antifoulant tributyltin. Toxicol Sci. 91:82–92. 2006. View Article : Google Scholar : PubMed/NCBI | |
|
Lin TC, Chien SC, Hsu PC and Li LA: Mechanistic study of polychlorinated biphenyl 126-induced CYP11B1 and CYP11B2 up-regulation. Endocrinol. 147:1536–1544. 2006. View Article : Google Scholar | |
|
Rice S, Mason HD and Whitehead SA: Phytoestrogens and their low dose combinations inhibit mRNA expression and activity of aromatase in human granulosa-luteal cells. J Steroid Biochem Mol Biol. 101:216–225. 2006. View Article : Google Scholar : PubMed/NCBI |