Spandidos Publications Logo
  • About
    • About Spandidos
    • Aims and Scopes
    • Abstracting and Indexing
    • Editorial Policies
    • Reprints and Permissions
    • Job Opportunities
    • Terms and Conditions
    • Contact
  • Journals
    • All Journals
    • Oncology Letters
      • Oncology Letters
      • Information for Authors
      • Editorial Policies
      • Editorial Board
      • Aims and Scope
      • Abstracting and Indexing
      • Bibliographic Information
      • Archive
    • International Journal of Oncology
      • International Journal of Oncology
      • Information for Authors
      • Editorial Policies
      • Editorial Board
      • Aims and Scope
      • Abstracting and Indexing
      • Bibliographic Information
      • Archive
    • Molecular and Clinical Oncology
      • Molecular and Clinical Oncology
      • Information for Authors
      • Editorial Policies
      • Editorial Board
      • Aims and Scope
      • Abstracting and Indexing
      • Bibliographic Information
      • Archive
    • Experimental and Therapeutic Medicine
      • Experimental and Therapeutic Medicine
      • Information for Authors
      • Editorial Policies
      • Editorial Board
      • Aims and Scope
      • Abstracting and Indexing
      • Bibliographic Information
      • Archive
    • International Journal of Molecular Medicine
      • International Journal of Molecular Medicine
      • Information for Authors
      • Editorial Policies
      • Editorial Board
      • Aims and Scope
      • Abstracting and Indexing
      • Bibliographic Information
      • Archive
    • Biomedical Reports
      • Biomedical Reports
      • Information for Authors
      • Editorial Policies
      • Editorial Board
      • Aims and Scope
      • Abstracting and Indexing
      • Bibliographic Information
      • Archive
    • Oncology Reports
      • Oncology Reports
      • Information for Authors
      • Editorial Policies
      • Editorial Board
      • Aims and Scope
      • Abstracting and Indexing
      • Bibliographic Information
      • Archive
    • Molecular Medicine Reports
      • Molecular Medicine Reports
      • Information for Authors
      • Editorial Policies
      • Editorial Board
      • Aims and Scope
      • Abstracting and Indexing
      • Bibliographic Information
      • Archive
    • World Academy of Sciences Journal
      • World Academy of Sciences Journal
      • Information for Authors
      • Editorial Policies
      • Editorial Board
      • Aims and Scope
      • Abstracting and Indexing
      • Bibliographic Information
      • Archive
    • International Journal of Functional Nutrition
      • International Journal of Functional Nutrition
      • Information for Authors
      • Editorial Policies
      • Editorial Board
      • Aims and Scope
      • Abstracting and Indexing
      • Bibliographic Information
      • Archive
    • International Journal of Epigenetics
      • International Journal of Epigenetics
      • Information for Authors
      • Editorial Policies
      • Editorial Board
      • Aims and Scope
      • Abstracting and Indexing
      • Bibliographic Information
      • Archive
    • Medicine International
      • Medicine International
      • Information for Authors
      • Editorial Policies
      • Editorial Board
      • Aims and Scope
      • Abstracting and Indexing
      • Bibliographic Information
      • Archive
  • Articles
  • Information
    • Information for Authors
    • Information for Reviewers
    • Information for Librarians
    • Information for Advertisers
    • Conferences
  • Language Editing
Spandidos Publications Logo
  • About
    • About Spandidos
    • Aims and Scopes
    • Abstracting and Indexing
    • Editorial Policies
    • Reprints and Permissions
    • Job Opportunities
    • Terms and Conditions
    • Contact
  • Journals
    • All Journals
    • Biomedical Reports
      • Information for Authors
      • Editorial Policies
      • Editorial Board
      • Aims and Scope
      • Abstracting and Indexing
      • Bibliographic Information
      • Archive
    • Experimental and Therapeutic Medicine
      • Information for Authors
      • Editorial Policies
      • Editorial Board
      • Aims and Scope
      • Abstracting and Indexing
      • Bibliographic Information
      • Archive
    • International Journal of Epigenetics
      • Information for Authors
      • Editorial Policies
      • Editorial Board
      • Aims and Scope
      • Abstracting and Indexing
      • Bibliographic Information
      • Archive
    • International Journal of Functional Nutrition
      • Information for Authors
      • Editorial Policies
      • Editorial Board
      • Aims and Scope
      • Abstracting and Indexing
      • Bibliographic Information
      • Archive
    • International Journal of Molecular Medicine
      • Information for Authors
      • Editorial Policies
      • Editorial Board
      • Aims and Scope
      • Abstracting and Indexing
      • Bibliographic Information
      • Archive
    • International Journal of Oncology
      • Information for Authors
      • Editorial Policies
      • Editorial Board
      • Aims and Scope
      • Abstracting and Indexing
      • Bibliographic Information
      • Archive
    • Medicine International
      • Information for Authors
      • Editorial Policies
      • Editorial Board
      • Aims and Scope
      • Abstracting and Indexing
      • Bibliographic Information
      • Archive
    • Molecular and Clinical Oncology
      • Information for Authors
      • Editorial Policies
      • Editorial Board
      • Aims and Scope
      • Abstracting and Indexing
      • Bibliographic Information
      • Archive
    • Molecular Medicine Reports
      • Information for Authors
      • Editorial Policies
      • Editorial Board
      • Aims and Scope
      • Abstracting and Indexing
      • Bibliographic Information
      • Archive
    • Oncology Letters
      • Information for Authors
      • Editorial Policies
      • Editorial Board
      • Aims and Scope
      • Abstracting and Indexing
      • Bibliographic Information
      • Archive
    • Oncology Reports
      • Information for Authors
      • Editorial Policies
      • Editorial Board
      • Aims and Scope
      • Abstracting and Indexing
      • Bibliographic Information
      • Archive
    • World Academy of Sciences Journal
      • Information for Authors
      • Editorial Policies
      • Editorial Board
      • Aims and Scope
      • Abstracting and Indexing
      • Bibliographic Information
      • Archive
  • Articles
  • Information
    • For Authors
    • For Reviewers
    • For Librarians
    • For Advertisers
    • Conferences
  • Language Editing
Login Register Submit
  • This site uses cookies
  • You can change your cookie settings at any time by following the instructions in our Cookie Policy. To find out more, you may read our Privacy Policy.

    I agree
Search articles by DOI, keyword, author or affiliation
Search
Advanced Search
presentation
Molecular Medicine Reports
Join Editorial Board Propose a Special Issue
Print ISSN: 1791-2997 Online ISSN: 1791-3004
Journal Cover
June-2019 Volume 19 Issue 6

Full Size Image

Sign up for eToc alerts
Recommend to Library

Journals

International Journal of Molecular Medicine

International Journal of Molecular Medicine

International Journal of Molecular Medicine is an international journal devoted to molecular mechanisms of human disease.

International Journal of Oncology

International Journal of Oncology

International Journal of Oncology is an international journal devoted to oncology research and cancer treatment.

Molecular Medicine Reports

Molecular Medicine Reports

Covers molecular medicine topics such as pharmacology, pathology, genetics, neuroscience, infectious diseases, molecular cardiology, and molecular surgery.

Oncology Reports

Oncology Reports

Oncology Reports is an international journal devoted to fundamental and applied research in Oncology.

Experimental and Therapeutic Medicine

Experimental and Therapeutic Medicine

Experimental and Therapeutic Medicine is an international journal devoted to laboratory and clinical medicine.

Oncology Letters

Oncology Letters

Oncology Letters is an international journal devoted to Experimental and Clinical Oncology.

Biomedical Reports

Biomedical Reports

Explores a wide range of biological and medical fields, including pharmacology, genetics, microbiology, neuroscience, and molecular cardiology.

Molecular and Clinical Oncology

Molecular and Clinical Oncology

International journal addressing all aspects of oncology research, from tumorigenesis and oncogenes to chemotherapy and metastasis.

World Academy of Sciences Journal

World Academy of Sciences Journal

Multidisciplinary open-access journal spanning biochemistry, genetics, neuroscience, environmental health, and synthetic biology.

International Journal of Functional Nutrition

International Journal of Functional Nutrition

Open-access journal combining biochemistry, pharmacology, immunology, and genetics to advance health through functional nutrition.

International Journal of Epigenetics

International Journal of Epigenetics

Publishes open-access research on using epigenetics to advance understanding and treatment of human disease.

Medicine International

Medicine International

An International Open Access Journal Devoted to General Medicine.

Journal Cover
June-2019 Volume 19 Issue 6

Full Size Image

Sign up for eToc alerts
Recommend to Library

  • Article
  • Citations
    • Cite This Article
    • Download Citation
    • Create Citation Alert
    • Remove Citation Alert
    • Cited By
  • Similar Articles
    • Related Articles (in Spandidos Publications)
    • Similar Articles (Google Scholar)
    • Similar Articles (PubMed)
  • Download PDF
  • Download XML
  • View XML
Article Open Access

Carbon monoxide releasing molecule‑2 (CORM‑2)‑liberated CO ameliorates acute pancreatitis

  • Authors:
    • Yishu Liu
    • Xu Wang
    • Xiaohan Xu
    • Weiting Qin
    • Bingwei Sun
  • View Affiliations / Copyright

    Affiliations: Department of General Surgery, Affiliated Hospital of Jiangsu University, Zhenjiang, Jiangsu 212001, P.R. China, Department of Oncology, Affiliated Hospital of Jiangsu University, Zhenjiang, Jiangsu 212001, P.R. China, Department of Burns and Plastic Surgery, Affiliated Hospital of Jiangsu University, Zhenjiang, Jiangsu 212001, P.R. China
    Copyright: © Liu et al. This is an open access article distributed under the terms of Creative Commons Attribution License.
  • Pages: 5142-5152
    |
    Published online on: April 19, 2019
       https://doi.org/10.3892/mmr.2019.10173
  • Expand metrics +
Metrics: Total Views: 0 (Spandidos Publications: | PMC Statistics: )
Metrics: Total PDF Downloads: 0 (Spandidos Publications: | PMC Statistics: )
Cited By (CrossRef): 0 citations Loading Articles...

This article is mentioned in:



Abstract

The purpose of the present study was to investigate the effect of carbon monoxide (CO) released from CO‑releasing molecule 2 (CORM‑2) on mice with acute pancreatitis (AP). To perform the investigation, a mouse AP model was established using caerulein. The mice were treated with or without CORM‑2. The survival rate of the mice in the different groups was analyzed, and serum amylase and lipase levels were measured to assess the degree of pancreatic injury. The severity of AP was also evaluated by histological examination, and histopathological scoring of the pancreatic damage was performed. Pancreatic cell apoptosis was analyzed using a terminal deoxynucleotidyl‑transferase‑mediated dUTP nick end labelling assay. The function of the lung and liver was also assessed in the present study. Furthermore, the role of CORM‑2 on oxidative stress, intercellular adhesion molecule 1 (ICAM‑1) and vascular cell adhesion molecule 1 (VCAM‑1) expression, pro‑inflammatory cytokine production, and nuclear factor (NF)‑κB activation in the pancreas of AP mice was determined. The results demonstrated that CORM‑2 reduced the mortality, pancreatic damage, and lung and liver injury of AP mice. CORM‑2 administration also reduced systemic and localized inflammatory cell factors. Furthermore, treatment with CORM‑2 inhibited the expression of ICAM‑1 and VCAM‑1, and the activation of NF‑κB and phosphorylated inhibitor of NF‑κB subunit α, in the pancreas of AP mice. These results indicated that CO released from CORM‑2 exerted protective effects on AP mice, and the beneficial effects were likely due to inhibition of NF‑κB pathway activation.

Introduction

Acute pancreatitis (AP) is a serious disease associated with the release of digestive enzymes into the systemic circulation and pancreatic interstitium, which has notable morbidity and mortality (1–4). It is generally known that cytokines are involved in the pathogenic mechanism of AP (5). Cytokines not only increase pancreatic damage, but also cause subsequent systemic inflammatory response syndrome (SIRS) (5,6). The role of oxidative stress has been a concern in the pathophysiology of acute pancreatitis (6,7). In the initial stage of AP, inflammatory cells (neutrophils and macrophages) infiltrate into the pancreatic tissues (8). Such infiltrating inflammatory cells (particularly neutrophils) produce reactive oxygen species (ROS), which subsequently destroy lipid membranes through lipid peroxidation and induce the development of widespread inflammation (2,9,10). Increasing evidence indicates that the interaction between oxidative stress and cytokines is closely associated with the development of AP, leading to the amplification of uncontrolled inflammatory cascades and multiple organ dysfunction syndrome (MODS) (8,11). Organs that commonly fail in AP include the lungs and liver, increasing the severity of AP and leading to a poor prognosis (2,12). Therefore, the implementation of effective measures to control oxidative stress and cytokines would conduce to impede the development of AP.

Carbon monoxide (CO) is one of the products produced by heme degradation by the rate-limiting enzyme heme oxygenase-1 in mammals. It is known to be a poisonous gaseous molecule, due to its capacity to combine with hemoglobin (13). There is increasing evidence indicating that CO is a cytoprotective and homeostatic molecule that has crucial signaling capabilities under physiological and pathophysiological conditions (14–17). Transition metal carbonyl compounds, known as CO-releasing molecules (CORMs), have been used in biological systems for releasing CO in a controlled way without markedly altering carboxy-hemoglobin (CO-Hb) levels (18). Lipid-soluble metal carbonyl complex tricarbonyldichlororuthenium (II) dimer ([Ru(CO)3Cl2]2), also termed CORM-2, was the first compound to make this technology feasible (19). CORM-2 is able to spontaneously transfer CO and serve an important role in CO-mediated pharmacology (20). Studies have revealed that CORM-2 is able to inhibit inflammatory responses in various experimental models (21–24). However, to the best of our knowledge, there is no relevant research on the effect of CORM-2 on AP.

Caerulein is a cholecystokinin analog that is commonly used to induce either acute or chronic pancreatitis. It is recognized that large doses of caerulein cause acute interstitial (edematous) pancreatitis characterized by massive disruption of the acinar cells (25–27). Caerulein-induced acute pancreatitis is currently recognized as an in vivo study model for AP (25–27). In the present study, caerulein was used to induce AP in a mouse model, and it was hypothesized that CORM-2 may have a protective effect on AP mice induced by caerulein. The potential molecular mechanism was also examined.

Materials and methods

Ethics statement

All experiments were strictly in accordance with the Guidelines for the Care and Use of Laboratory Animals published by the National Institutes of Health (Bethesda, MD, USA; NIH Publication No. 85-23, revised in 1996). The present study was approved by the Animal Ethics Committee of Jiangsu University (Zhenjiang, China).

Materials

Tricarbonyldichlororuthenium (II) dimer (CORM-2), and dimethyl sulfoxide (DMSO) were obtained from Sigma-Aldrich (Merck KGaA, Darmstadt, Germany). CORM-2 was dissolved in DMSO to acquire a 40 mM stock solution. Inactive (i)CORM-2 was used as the negative control, and it was prepared as previously described (28). The primary antibodies of nuclear factor (NF)-κB, phosphorylated inhibitor of NF-κB subunit α (p-IκB-α), intercellular adhesion molecule 1 (ICAM-1) and vascular cell adhesion molecule 1 (VCAM-1) were purchased from Santa Cruz Biotechnology, Inc. (Dallas, TX, USA). The nuclear protein extraction buffer kit was purchased from Vazyme (Piscataway, NJ, USA). Tumor necrosis factor-α (TNF-α; JER-06), interleukin-6 (IL-6; JER-04) and IL-1β (JER-01) ELISA kits were obtained from Joyee Biotechnics Co., Ltd. (Shanghai, China). Caerulein (purity ≥97% by high-performance liquid chromatography) was obtained from Sigma-Aldrich (Merck KGaA).

AP model and experimental protocol

C57BL/6 mice (n=180; male, 6–8 weeks old, 20±2 g) were obtained from the Experimental Animal Center of Jiangsu University, Zhenjiang, Jiangsu, China. The mice were housed in standard wire-topped cages and in temperature-controlled units (18–23°C with 40–60% humidity and 12-h light/dark cycle). Food and water were supplied ad libitum.

Caerulein was used to induce AP in the mice. The mice were randomly divided into four groups (n=30 mice/group): i) The control group, in which mice were treated hourly (×10) with normal saline (0.9% NaCl) (equal in volume to caerulein) intraperitoneally (i.p.); ii) the AP group, in which mice were treated hourly (×10) with caerulein (50 µg/kg, suspended in normal saline, i.p.); iii) the AP+CORM-2 group, in which mice received CORM-2 [8 mg/kg, intravenously (i.v.)] treatment 30 min after the induction of pancreatitis (first caerulein injection), and thereafter received hourly caerulein i.p. (×10); and iv) the AP+iCORM-2 group, in which mice received iCORM-2 (8 mg/kg, i.v.) treatment 30 min after the induction of pancreatitis (first caerulein injection), and thereafter received hourly caerulein i.p. (×10). The dosage of CORM-2 used in the present study was based on our previous studies (29,30).

In another set of experiments, mice were randomly divided into four groups (n=15 mice/group), and were monitored for 5 days to observe their survival rate.

Tissue harvesting

A total of 12 h after the induction of pancreatitis, the mice were sacrificed by overdose of anesthesia. Blood samples were collected by cardiac puncture and serum was immediately obtained by centrifugation 3,000 × g for 5 min at 4°C. The separated serum was used for the subsequent determination of lipase, amylases, aspartate aminotransferase (AST) and alanine aminotransferase (ALT) levels. Meanwhile, pancreas, lung and liver tissues were harvested and immediately frozen in liquid nitrogen or fixed with 10% formalin at room temperature overnight for following analysis.

Biochemical measurement

The activity of serum amylase and lipase was detected to assess pancreatic damage using a commercial kit (SNM144-BOU, Biolebo Technology Co., Ltd., Beijing, China), according to the manufacturers' protocol. Liver injury was assessed by measuring the enzymatic activities of ALT and AST in serum samples using a set of commercial kits (Roche Diagnostics GmbH, Mannheim, Germany), according to the manufacturer's protocol.

Morphological examination

Samples of 10% formalin-fixed pancreas, lung and liver tissues were embedded in paraffin and segmented to 4 µm for routine histology. The fixed tissues were stained with hematoxylin and eosin (H&E), and examined by two experienced morphologists who were unaware of the sample identity. A total of 10 randomly selected microscope fields (magnification, ×200) were tested for each pancreas tissue sample. The severity of pancreatic injury was scored in accordance with the previously described 0–4 (normal to severe) scale (31).

Apoptotic cell determination

A terminal deoxynucleotidyl-transferase-mediated dUTP nick end labelling (TUNEL) kit (Roche Diagnostics, Indianapolis, IN, USA) was used to measure apoptosis in pancreatic cells, according to the manufacturers' protocol. Tissue was fixed in 10% neutral formalin overnight, dehydrated and embedded in paraffin wax. Paraffin-embedded pancreas sections (4 µm) were incubated for 20 min at 60°C prior to being deparaffinized and rehydrated. Following digestion with 20 µg/ml proteinase K at room temperature for 20 min, the sections were washed with PBS three times, and incubated in 25 mM cobalt chloride according to the manufacturer's protocol. Tissue sections were mounted using Aqua-Poly/Mount mounting medium (Thermo Fisher Scientific, Inc., Waltham, MA, USA). Finally, apoptotic cells were observed under a microscope, and 10 microscope fields (magnification, ×200) were randomly selected for analysis in each viewed sample. Finally, apoptotic cells were observed under a microscope, and 10 microscope fields (magnification, ×200) were randomly selected for analysis in each viewed sample.

Measurement of lung edema

A previous study included a detailed description of the measurement of whole lung wet/dry ratio, an index of lung edema (32). Lung tissues were dissected from the heart and large blood vessels, the trachea was separated at the carina, external liquid was removed by blotting, and the lungs were placed on a pre-weighed pan to obtain the wet weight. Subsequently, the lungs were incubated overnight in a dry atmosphere at 85°C and were re-weighed to obtain the dry weight.

Immunohistochemical staining. Pancreatic tissues were fixed in 10% formalin and 3–4 µm slices were prepared from paraffin-embedded tissues. Following paraffin removal and rehydration, slices were subjected to heat-mediated antigen repair in sodium citrate buffer (10 mM sodium citrate, pH 6.0) and blocked in 10% normal goat serum (Santa Cruz Biotechnology, Inc.) for 2 h at room temperature. The samples were subsequently incubated with the primary antibodies against ICAM-1 (1:200; sc-1511; Santa Cruz Biotechnology, Inc.) and VCAM-1 (1:200; sc1504; Santa Cruz Biotechnology, Inc.) at 4°C overnight. Following washing three times with PBS, samples were incubated with horseradish peroxidase (HRP)-conjugated goat anti-rabbit secondary antibody (1:100; sc-2004; Santa Cruz Biotechnology, Inc.) at room temperature for 20 min. Subsequently, when the samples had again been washed three times with TBS, they were stained with freshly prepared diaminobenzidine chromogen (brown) for 3–5 min at room temperature, washed with distilled water, and counterstained with hematoxylin for 10 sec at room temperature. The samples were dehydrated with a gradient of ethanol. Finally, the slides were mounted with mounting medium, labelled and viewed under the microscope (IX51-A12PH; Olympus Corporation, Tokyo, Japan). Among the pancreas samples, 10 microscope fields (magnification, ×200) were randomly selected for analysis in each tissue sample. The average optical density of ICAM-1 and VCAM-1 was evaluated using Image Pro-Plus software 6.0 (Media Cybernetics, Inc., Rockville, MD, USA).

Myeloperoxidase (MPO) activity detection

MPO activity was determined in tissues from the pancreas, lung and liver, according to a previous study (33). Tissue samples were homogenized in 50 mM potassium phosphate buffer (PB, pH 6.0) and centrifuged at 10,000 × g for 10 min at room temperature. The precipitate was collected and the pellet was suspended in 50 mM PB containing 0.5% hexadecyltrimethylammonium bromide. The samples were sonicated (30 times, and each time was 5–10 s at room temperature at 20 kHz and 200 W) and centrifuged again at 10,000 × g for 10 min at room temperature. Aliquots of 0.3 ml were added to 2.3 ml reaction mixture containing 50 mM PB, o-dianisidine, and 20 mM H2O2 solution. One unit of enzyme activity was regarded as the MPO content which resulted in a change in absorbance detection at 460 nm for 3 min. MPO activity is expressed as U/g tissue.

Malondialdehyde (MDA) activity detection

The MDA levels in pancreatic, lung and liver tissue samples were also assessed. The tissue samples were homogenized with a 1.15% KCl solution. An aliquot (100 µl) of the homogenate was added to a reaction mixture, which included 200 µl 8.1% SDS, 1,500 µl 20% acetic acid (pH 3.5), 1,500 µl 0.8% thiobarbituric acid and 700 µl distilled water. The samples were boiled for 1 h at 95°C and centrifuged for 10 min at 3,000 × g at room temperature. The absorbance at 650 nm was determined by spectrophotometry.

TNF-α, IL-6 and IL-1β level determination

To determine the levels of TNF-α, IL-1β and IL-6 in the serum and tissue homogenates of the pancreas, lung and liver, ELISA kits were used, according to the manufacturer's instructions of each kit.

Western blotting

A nuclear protein extraction buffer kit (Vazyme) was used for nucleic protein extraction. BCA protein assay kit (Pierce; Thermo Fisher Scientific, Inc.) was used to evaluate the protein concentrations. Samples (10 µg of protein) were separated on 10% SDS-PAGE gels and transferred to PVDF membranes. The membranes were blocked with 5% non-fat milk at room temperature for 1.5 h and subsequently incubated with anti-mouse NF-κB-specific polyclonal antibody (1:1,000; cat. no. sc-514451) or anti-mouse p-IκB-α-specific polyclonal antibody (1:1,000; cat. no. sc-7977) at 4°C overnight and secondary HRP-conjugated goat anti-mouse IgG antibody at the correct concentration (1:10,000; cat. no. sc-2031; all from Santa Cruz Biotechnology, Inc.) at room temperature for 2 h. Enhanced chemiluminescence was used to visualize the bands using FluorChem FC3 (ProteinSimple, San Jose, CA, USA), and AlphaView 3.4.0 software (ProteinSimple) was used for quantitative analysis.

Statistical analysis

GraphPad Prism 5 (GraphPad Software, Inc., La Jolla, CA, USA) was used for the statistical analyses. All experiments were repeated at least three times and the data are presented as the mean ± standard deviation. Comparisons between groups were analyzed using one-way factorial analysis of variance followed by Tukey's test. P<0.05 was considered to indicate a statistically significant difference.

Results

Effect of CORM-2 on the function of the pancreas in caerulein-induced AP

To confirm the therapeutic effects of CORM-2, caerulein hyperstimulation animal models of AP were used. The survival rate was calculated to be 100% (15/15) in the control group, 20% (3/15) in the AP group, 73.3% (11/15) in the CORM-2 group, and 20% (3/15) in the iCORM-2 group at 5 days (Fig. 1A). This suggested that the administration of CORM-2 led to significantly lower mortality compared with the AP group and protected against the lethality of AP, and that treatment with iCORM-2 did not serve a protective role against mortality (Fig. 1A). The levels of serum amylase and lipase were examined, as these reflect the degree of pancreatic injury. The levels of serum amylase and lipase were increased at 12 h post-AP induction, and were reduced by the administration of CORM-2 (Fig. 1B and C). The AP animals treated with iCORM-2 exhibited unaltered serum amylase and lipase activity compared with the AP group (Fig. 1B and C).

Figure 1.

Effect of CORM-2 on survival and serum amylase and lipase levels in mice with caerulein-induced AP. C57BL/6 mice received intraperitoneal injections of caerulein (50 µg/kg) hourly (×10), and CORM-2 or inactive CORM-2 (iCORM-2) was used as the intervention. (A) Animal survival was monitored for 5 days following AP induction. The majority of the mice treated with caerulein succumbed, and CORM-2, although not iCORM-2, markedly increased the survival of septic mice from 20 to 73.3%. (B) Serum amylase and (C) lipase levels were determined following the induction of AP for 12 h. Serum amylase and lipase levels were discovered to be significantly elevated in 12 h post-AP mice compared with the mice of the control group. However, the corresponding values in the AP+CORM-2 group were significantly lower compared with those in the AP and AP+iCORM-2 groups. These data are expressed as the mean ± standard deviation, n=5 for each group. *P<0.05 vs. control group; #P<0.05 vs. AP group; &P<0.05 vs. AP+CORM-2. AP, acute pancreatitis; CORM-2, CO-releasing molecule 2; iCORM-2, inactive CO-releasing molecule 2.

The severity of AP was also assessed by histological examination (Fig. 2). The pancreatic architecture was normal in control group mice (Fig. 2Aa), whereas the pancreatic tissues in AP group mice exhibited severe pathological damage at 12 h post-AP induction (Fig. 2Ab). Treatment with CORM-2 improved the pancreatic damage induced by caerulein (Fig. 2Ac), while iCORM-2 treatment had no marked alleviating effect on injury in the pancreas (Fig. 2Ad). Histopathological scoring of the pancreatic injury indicated that caerulein induction induced edema, inflammatory cell infiltration, and necrosis of the acinar cells compared with the control group (Fig. 2C). This damage was markedly alleviated by treating the AP mice with CORM-2 (Fig. 2C). However, iCORM-2 treatment failed to obviously improve the histological score (Fig. 2C). Previous clinical and experimental studies have reported that apoptosis is observed during the course of AP (34,35). In order to further investigate the effect of CORM-2 on pancreatic cell apoptosis in caerulein-induced AP, a TUNEL assay was performed to detect pancreatic cell apoptosis. As presented in Fig. 2B, a mass of apoptotic cells (including pancreatic acinar cells, intercalated ducts cells and certain types of islet cells) with brown nuclei was observed in the pancreases from mice of the AP group (Fig. 2Bb), although not in mice of the control group (Fig. 2Ba). The number of apoptotic cells with brown nuclei was significantly reduced by treatment with CORM-2 (Fig. 2Bc). No significant alterations in staining were seen in the iCORM-2 treatment group compared with the AP group (Fig. 2Bd).

Figure 2.

Effect of CORM-2 on the function of the pancreas in caerulein-induced AP. (A) Effect of CORM-2 on pancreatic injury at 12 h post-induction of AP. Pancreatic injury was assessed by H&E staining (×200 magnification). (Aa) The pancreas obtained from the control group exhibited a normal acinar structure. (Ab) The pancreas obtained from the AP group exhibited a significant increase in edema, inflammatory cell infiltration and acinar necrosis. (Ac) Treatment with CORM-2 decreased the extent and severity of the histological signs of pancreatic injury when compared with the AP group. (Ad) Pathological alterations in the pancreas of the AP+iCORM-2 group were analogous to those of the AP group. Magnification, ×200. (B) Effect of CORM-2 on apoptotic cells in the pancreas at 12 h post-induction of AP. Apoptotic cells were determined by terminal deoxynucleotidyl-transferase-mediated dUTP nick end labelling. Apoptotic cells with brown nuclei are displayed in the images. Apoptotic cells were quantified in 10 random high-power fields at ×100 magnification. (Ba) Few apoptotic cells were observed in the pancreas obtained from the control group. (Bb) The pancreas obtained from the AP group revealed a large number of apoptotic cells compared with the control group. (Bc) Administration of CORM-2 reduced the numbers of apoptotic cells in the pancreas induced by caerulein. (Bd) Administration of iCORM-2 did not exert any effect on reducing the number of apoptotic cells. Magnification, ×200. (C) Effect of CORM-2 on the histopathological scoring of pancreatic damage. H&E-stained sections were assessed for (Ca) edema, (Cb) inflammatory cell infiltration and (Cc) acinar necrosis. These data are expressed as the mean ± standard deviation, n=10 for each group. *P<0.05 vs. control group; #P<0.05 vs. AP group. H&E, hematoxylin and eosin; AP, acute pancreatitis; CORM-2, CO-releasing molecule 2; iCORM-2, inactive CO-releasing molecule 2.

Effect of CORM-2 on organ function in lung and liver tissues during caerulein-induced AP

In addition to pancreas injury, caerulein injections may also induce injury to the lung and liver in wild-type mice, as previously reported (2,12,25,26). The severity of lung and liver injury was evaluated by histological analysis in the current study (Fig. 3). H&E staining demonstrated the normal structure of the sections of lung and liver in the control group (Fig. 3A and E). In caerulein-induced AP mice, increased numbers of alveolar epithelial cells and red blood cells with inflammatory cell infiltration were observed in the lung (Fig. 3B). Furthermore, marked degeneration and necrosis of liver tissues, hyperemia in the central veins of the liver and infiltration of the liver by inflammatory cells was also observed (Fig. 3F). These morphological alterations caused systemic inflammation and organ damage in the lung and liver, and were also observed in the iCORM-2-treated AP group (Fig. 3D and H). Following in vivo CORM-2 treatment, the pathological alterations in the lung and liver were decreased (Fig. 3C and G), indicating that CORM-2 had a protective effect on vital organs in AP.

Figure 3.

Effects of CORM-2 on injury to the lung and liver following AP induction for 12 h. C57BL/6 mice received intraperitoneal injections of caerulein (50 µg/kg) hourly (×10), and CORM-2 or inactive CORM-2 (iCORM-2) was used as the intervention. Following AP induction for 12 h, the lung and liver specimens were harvested from the different groups of mice. Tissue morphological characteristics were evaluated under light microscope. (A) Sections obtained from control mice showed normal architecture of the lung. (B) Sections obtained from AP mice displayed inflammatory cell infiltration and lung epithelial cell proliferation. (C) Sections obtained from AP mice treated with intravenous administration of CORM-2 indicated that the histological damage and inflammatory cell infiltration in the lung tissue was decreased. (D) No notable differences were observed in the lung tissue of the AP+iCORM-2 group compared with the AP group. (E) Sections obtained from control mice showed normal architecture of the liver. (F) Sections obtained from AP mice displayed inflammatory cell infiltration and hepatocellular necrosis. (G) Sections obtained from AP mice treated with intravenous administration of CORM-2 indicated that the histological damage and inflammatory cell infiltration in the liver tissue was decreased. (H) No notable differences were observed in the liver tissue of the AP+iCORM-2 group compared with the AP group. The images are representative of at least three experiments performed on different days. Magnification, ×200. AP, acute pancreatitis; CORM-2, CO-releasing molecule 2; iCORM-2, inactive CO-releasing molecule 2.

Additionally, lung injury induced by caerulein (Fig. 4) was also characterized by marked pulmonary edema (Fig. 4F), sequestration of lung neutrophils (increase in MPO content; Fig. 4B), lipid peroxidation (increase in MDA content; Fig. 4C) and an increase in pro-inflammatory cytokine levels (TNF-α, IL-1β and IL-6; Fig. 4D). The manifestation of the liver injury induced by caerulein also included an increase in the serum concentrations of ALT and AST (Fig. 4A), while CORM-2 treatment effectively relieved the injury to the lung and liver, and this was not the case with iCORM-2 (Fig. 4).

Figure 4.

Effects of CORM-2 on organ function, MPO levels, MDA activity and cytokine levels in liver and lung tissues. (A) Serum ALT and AST levels, (B) MDA levels, (C) MPO activity, levels of TNF-α, IL-6 and IL-1β in (D) the lungs and (E) liver, and (F) the lung wet/dry weight ratio were observed to be significantly elevated in the AP group compared with the control group. In contrast, the corresponding values in the AP+CORM-2 group were significantly lower than those in the AP and AP+iCORM-2 groups. These data are expressed as the mean ± standard deviation, n=5 for each group. *P<0.05 vs. control group; #P<0.05 vs. AP group; &P<0.05 vs. AP+CORM-2. ALT, alanine aminotransferase; AST, aspartate aminotransferase; IL, interleukin; TNF-α, tumor necrosis factor-α; MPO, myeloperoxidase; MDA, malondialdehyde; AP, acute pancreatitis; CORM-2, CO-releasing molecule 2; iCORM-2, inactive CO-releasing molecule 2.

Effect of CORM-2 on MPO and MDA activity in the pancreas of caerulein-induced AP animals

The levels of MPO and MDA that were increased by caerulein injection were reduced by treatment with CORM-2. The results for MPO levels were also in accordance with the histological results. In the AP group, significant areas of inflammatory cell infiltration were evident (Fig. 5A) and the histological score of inflammatory cell infiltration was significantly increased (Fig. 2Cb). Treatment with CORM-2 reduced neutrophil infiltration and the extent of lipid peroxidation in the pancreas (Fig. 5A and B). There was no significant difference between the AP group and the AP+iCORM-2 group (Fig. 5A and B).

Figure 5.

Effects of CORM-2 on the levels of MPO and MDA in the pancreas. The levels of (A) MPO and (B) MDA in the pancreas were discovered to be significantly increased in the AP group. The increase was inhibited by treatment with CORM-2, while treatment with iCORM-2 exerted no preventative effect. These data are expressed as the mean ± standard deviation, n=5 for each group. *P<0.05 vs. control group; #P<0.05 vs. AP group. MPO, myeloperoxidase; MDA, malondialdehyde; AP, acute pancreatitis; CORM-2, CO-releasing molecule 2; iCORM-2, inactive CO-releasing molecule 2.

Effect of CORM-2 on the expression of ICAM-1 and VCMP-1 in the pancreas of caerulein-induced AP animals

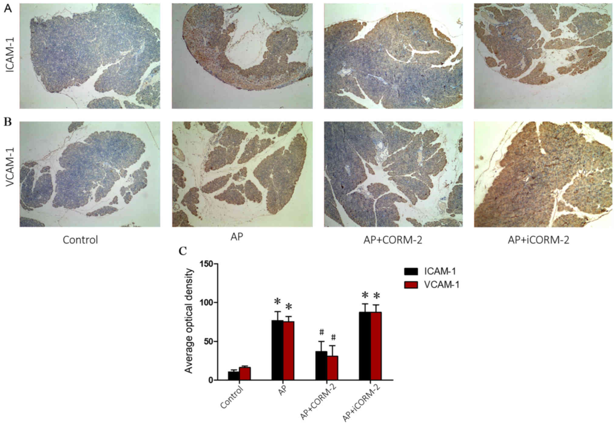
Increased adherence of neutrophils to endothelial cells leads to the accumulation of neutrophils in tissues, which is primarily mediated by adhesion molecules (36). Sequestered neutrophils in the pancreas augment the injury to the tissue (37). Therefore, the expression of the ICAM-1 and VCAM-1 adhesion molecules was assessed, as they facilitate the attachment of neutrophils to the endothelium. No positive staining for ICAM-1 and VCAM-1 was observed in the pancreatic tissue sections that were obtained from mice in the control group (Fig. 6A and B). Sections obtained from AP mice 12 h post-caerulein induction exhibited strong positive staining for ICAM-1 and VCAM-1 (Fig. 6A and B). The degree of pancreatic staining for ICAM-1 and VCAM-1 was reduced in tissue sections obtained from CORM-2-treated AP mice (Fig. 6A and B). No marked alterations in staining were observed in the iCORM-2-treated AP group compared with the AP group (Fig. 6A and B). Quantitative analysis of the average optical density for ICAM-1 and VCAM-1 is presented in Fig. 6C.

Figure 6.

Effects of CORM-2 on the levels of ICAM-1 and VCAM-1 in pancreatic tissue of caerulein-induced AP mice. The (A) ICAM-1 and (B) VCAM-1 levels in the pancreas were determined following induction of AP for 12 h by immunohistochemical staining. No positive staining for ICAM-1 and VCAM-1 was discovered in the pancreatic tissue sections from the control group. Sections from the AP group exhibited intense positive staining for ICAM-1 and VCAM-1. The degree of pancreatic staining for ICAM-1 and VCAM-1 was markedly decreased in tissue sections from the AP+CORM-2 group. No marked difference in staining for ICAM-1 and VCAM-1 was observed in tissue sections from the AP+iCORM-2 group compared with the AP group. Magnification, ×200. (C) Quantitative analysis of the average optical density for ICAM-1 and VCAM-1 in pancreatic tissues. These data are expressed as the mean ± standard deviation, n=10 for each group. *P<0.05 vs. control group; #P<0.05 vs. AP group. ICAM-1, intercellular adhesion molecule 1; VCAM-1, vascular cell adhesion molecule 1; AP, acute pancreatitis; CORM-2, CO-releasing molecule 2; iCORM-2, inactive CO-releasing molecule 2.

Effect of CORM-2 on the production of pro-inflammatory cytokines in the pancreas of caerulein-induced AP animals

For the purpose of investigating the regulation of inflammation by CORM-2 treatment, ELISA was performed to detect the levels of the pro-inflammatory cytokines IL-6, IL-1β and TNF-α in the serum and pancreas of mice. The levels of IL-6, IL-1β and TNF-α in the serum and pancreas of the mice markedly increased at 12 h post-AP induction (Fig. 7A). In vivo administration of CORM-2 significantly decreased the caerulein-induced increase in the levels of IL-6, IL-1β and TNF-α (Fig. 7). However, treatment with iCORM-2 did not alter the levels of these cytokines compared with the AP group (Fig. 7).

Figure 7.

Effects of CORM-2 on the cytokine levels in the serum and pancreas of caerulein-induced AP mice. The levels of IL-6, IL-1β and TNF-α in the serum and pancreas were assessed following the induction of AP for 12 h. In the AP group, the levels of the cytokines IL-6, IL-1β and TNF-α in (A) the serum and (B) pancreatic homogenates were significantly increased compared with the corresponding control groups. In the AP+CORM-2 group, the increased levels of those cytokines in the serum and pancreatic homogenate were reduced compared with the corresponding AP group. Treatment with iCORM-2 did not decrease the increased levels of these cytokines. These data are presented as the mean ± standard deviation, n=5 for each group. *P<0.05 vs. control group; #P<0.05 vs. AP group. IL, interleukin; TNF-α, tumor necrosis factor-α; AP, acute pancreatitis; CORM-2, CO-releasing molecule 2; iCORM-2, inactive CO-releasing molecule 2.

Effect of CORM-2 on NF-κB activation in the pancreas of caerulein-induced AP animals

To examine whether the NF-κB pathway was involved in the observed anti-inflammatory effects of CORM-2-derived CO, western blotting was used to detect the expression of NF-κB (p65) in the pancreas. The results revealed that AP mice exhibited a significant increase in NF-κB expression compared with control animals (Fig. 8A). This increase was prevented by treatment with CORM-2, although not by iCORM-2 (Fig. 8A). Furthermore, the phosphorylation of IκB-α (p-IκB-α), which is required for the initiation of NF-κB activation, was also examined by western blotting in the pancreas. There was a significant increase in the level of p-IκB-α in the pancreas of AP mice, which was suppressed by administration of CORM-2 (Fig. 8B). No significant difference in the p-IκB-α level in the pancreas was observed following treatment with iCORM-2 compared with the pancreas from AP mice (Fig. 8B).

Figure 8.

Effect of CORM-2 on the expression of NF-κB p65 and p-IκB-α in the pancreas of caerulein-induced AP mice. The protein expression of NF-κB p65 and p-IκB-α were analyzed by western blotting following the induction of AP for 12 h. (A) NF-κB p65 and (B) p-IκB-α levels were significantly increased in the pancreas of the AP group compared with the control group, while this increase was suppressed by the administration of CORM-2. Treatment with iCORM-2 had no effect on preventing the increase in NF-κB p65 or p-IκB-α (B) levels. These data are expressed as the mean ± standard deviation, n=5 for each group. *P<0.05 vs. control group; #P<0.05 vs. AP group. AP, acute pancreatitis; CORM-2, CO-releasing molecule 2; iCORM-2, inactive CO-releasing molecule 2; NF-κB, nuclear factor-κB; p-IκB-α, phosphorylated inhibitor of NF-κB subunit α.

Discussion

AP is an inflammatory disease accompanied by acinar cell damage, and the rapid secretion and release of inflammatory factors results in local pancreatic inflammation and systemic complications (25,38,39). It is generally known that cytokines and oxidative stress are involved in the pathophysiology of AP (40,41). Crosstalk between cytokines and oxidative stress helps to convert local inflammatory processes into systemic inflammatory responses, which may subsequently lead to the development of SIRS and the occurrence of MODS and mortality (6). Despite the considerable morbidity and mortality associated with AP, effective therapeutic measures have not thus far been available.

Previous studies have indicated that exogenous CO has particular and independent roles in the modulation of inflammation (16,17,28). In the present study, CORM-2 was used due to its ability to release CO in biological systems in a controlled manner (18,39). Studies have demonstrated that CORM-2 inhibits the production and release of cytokines in sepsis induced by lipopolysaccharide (LPS) and cecal ligation and puncture (42–44). In addition, Xue and Habtezion (45) reported that CORM-2 reduced the levels of systemic inflammatory cytokines and suppressed systemic and pancreatic macrophage TNF-α secretion in a mouse model of AP. However, the potential mechanisms of CO in AP were not completely understood.

To study the therapeutic function of CO, an AP mouse model was established using caerulein. In the present study, it was demonstrated that caerulein induced significant mortality, highly elevated levels of serum amylase and lipase, and markedly increased apoptosis of the pancreas at 12 h post-induction of AP. Treatment with CORM-2 decreased mortality, reduced serum amylase and lipase levels and inhibited the apoptosis of the pancreas. Treatment of AP mice with iCORM-2 exerted no notable effects on pancreatic damage when compared with AP mice. Furthermore, mild histological alterations in the pancreas were observed in the CORM-2 treatment group compared with the AP group, whereas treatment with iCORM-2 failed to relieve pancreatic damage.

Severe AP leads to SIRS and multiple organ failure, highlighting the severity of AP (11,40). The present study assessed the injury to the lung and liver induced by AP. Mice in the AP group had apparent lung and liver damage with characteristics of considerable histological alterations, high levels of MPO and MDA, and increased expression of TNF-α, IL-1β and IL-6 in tissues, in addition to increased serum AST and ALT levels, which were attenuated by treatment with CORM-2. No statistical difference was determined between the AP group and the AP+iCORM-2 group.

MPO is an enzyme that is largely present in the azurophilic granules of neutrophils, which is used as an indicator of neutrophil accumulation (15,28). MPO activity is associated with the number of histologically determined polymorphonuclear neutrophils in tissues. Infiltration of neutrophils in tissues produces ROS that subsequently damage lipid membranes via peroxidation and give rise to a variety of inflammatory processes (4,6). Oxidative stress and inflammation may interact and occur simultaneously, and are associated with major acinar cell damage (6). The present study identified that pancreatic MPO and MDA activity levels were increased following AP induction and evidently attenuated by the administration of CORM-2. The results also demonstrated that CORM-2 effectively prevented neutrophil chemotaxis and infiltration in the pancreas following AP and suppressed oxidative stress, and consequently decreased pancreatic injury. In addition, oxidative stress is one of the principal causes of DNA damage and death in acinar cells. Apoptosis was examined by TUNEL in AP mice, and the apoptosis level in the pancreas was observed to be significantly reduced following treatment with CORM-2.

Adhesion molecules are important regulatory factors of neutrophil flux, and they are able to regulate the processes of neutrophil chemoattraction, adhesion and migration from the vasculature to the tissues (4). ICAM-1 and VCAM-1 are involved in neutrophil adhesion. It was identified that treatment with caerulein increased the expression of ICAM-1 and VCAM-1 in the pancreas of mice. By contrast, it was demonstrated that the expression of ICAM-1 and VCAM-1 was decreased in CORM-2-treated mice at 12 h after caerulein induction. No significant differences in expression levels were determined in iCORM-2-treated mice compared with AP mice.

The development of pancreatic injury results in a local inflammatory response that leads to SIRS and distant organ failure (39). The systemic manifestations of the disease are mediated by the free radicals and different cytokines released during the AP process. TNF-α and IL-1β are the key cytokines involved in the progression of SIRS and the subsequent organ failure in AP (46,47). IL-6 is a foremost induction factor of the acute-phase protein response (47). The serum level of IL-6 is considered to be a marker of AP severity, although it does not form the basis of the occurrence and spread of systemic inflammatory responses (6). The present study indicated that the levels of TNF-α, IL-1β and IL-6 in the serum and pancreas of mice increased at 12 h post-AP induction, and were attenuated by treatment with CORM-2. These data indicated that CORM-2 exerted potent anti-inflammatory effects on AP.

The NF-κB family members, as a crucial factor in the transmission of intracellular signals, are ubiquitous, and trigger transcription factors that mediate immune and inflammatory reactions by regulating the expression of cytokines (48,49). In a number of experimental models of pancreatitis, it has been reported that the pancreatic damage is associated with NF-κB dimer p65/p50-mediated nuclear translocation of cytokine release (2,39). Additionally, the phosphorylation of IκB-α in the pancreas, which is required for the activation of NF-κB, was assessed by western blotting. The results indicated that NF-κB p65 and p-IκB-α were markedly increased at 12 h post-AP and that this increase was suppressed by treatment with CORM-2.

Although exogenous CO has therapeutic and anti-inflammatory effects in a variety of diseases and injury models, its use in clinical disease remains limited. The principal issue is the method of administration of CO. Although low-dose inhaled CO has been demonstrated to have anti-inflammatory effects on ventilator-induced lung injury, it is also associated with reduced levels of TNF-α (50–52). However, it is difficult to ensure a certain dose range of therapeutic CO without increasing the level of CO-Hb (53). The concentrations of CORM-2 and iCORM-2 used in this study have previously been demonstrated to be non-toxic to mammalian cells in vitro and to mice in vivo (20,54). However, the safety of intravenous injection with CORM-2 in vivo has not been demonstrated satisfactorily. Therefore, a novel method of administration of CO requires further investigation.

In summary, it was demonstrated that the application of CORM-2 attenuated mortality, pancreatic damage, lung and liver injury in a mouse model of AP. CORM-2 suppressed neutrophil infiltration and oxidative stress in the pancreas, lung and liver, and decreased local and systemic inflammatory cytokines. The mechanism by which CORM-2-derived CO inhibited pro-inflammatory cytokine release involved NF-κB activation. However, the current study is a preliminary study of the effect of CORM-2 on AP. The current research had certain limitations: i) Mice from the AP+CORM-2 group received treatment with CORM-2 (8 mg/kg, i.v.) 30 min after the induction of pancreatitis (first caerulein injection), and in order to verify the effect of CORM-2 on AP, investigation of different timings and dosages of CORM-2 therapy is necessary; ii) there is a marked difference between the caerulein-induced AP animal model and human AP; and iii) whether NF-κB pathway activation is involved in the protective effects of CORM-2 on AP mice requires further experiments to confirm. In the future, in-depth research may be performed to address these issues.

Acknowledgements

Not applicable.

Funding

This study was supported by the National Natural Science Foundation of China (grant nos. 81272148 and 81471903) and the Jiangsu Natural Science Foundation (grant no. BK2012703).

Availability of data and materials

The datasets used and/or analyzed during the current study are available from the corresponding author on reasonable request.

Authors' contributions

YL and XW conducted experiments and drafted the manuscript. XX carried out the western blotting, immunohistochemical staining and helped to revise the manuscript. WQ participated in organ function assay and the data analysis. BS conceived of the study, helped to draft the manuscript and finalized the manuscript. All authors read and approved the final manuscript.

Ethics approval and consent to participate

The present study was approved by the Animal Ethics Committee of Jiangsu University (Zhenjiang, China).

Patient consent for publication

Not applicable.

Competing interests

The authors declare that they have no competing interests.

References

1 

Yadav D and Lowenfels AB: Trends in the epidemiology of the first attack of acute pancreatitis: A systematic review. Pancreas. 33:323–330. 2006. View Article : Google Scholar : PubMed/NCBI

2 

Ohashi S, Nishio A, Nakamura H, Kido M, Ueno S, Uza N, Inoue S, Kitamura H, Kiriya K, Asada M, et al: Protective roles of redox-active protein thioredoxin-1 for severe acute pancreatitis. Am J Physiol Gastrointest Liver Physiol. 290:G772–G781. 2006. View Article : Google Scholar : PubMed/NCBI

3 

Bhatia M, Ramnath RD, Chevali L and Guglielmotti A: Treatment with bindarit, a blocker of MCP-1 synthesis, protects mice against acute pancreatitis. Am J Physiol Gastrointest Liver Physiol. 288:G1259–G1265. 2005. View Article : Google Scholar : PubMed/NCBI

4 

Cuzzocrea S, Genovese T, Mazzon E, Di Paola R, Muià C, Britti D and Salvemini D: Reduction in the development of cerulein-induced acute pancreatitis by treatment with M40401, a new selective superoxide dismutase mimetic. Shock. 22:254–261. 2004. View Article : Google Scholar : PubMed/NCBI

5 

Escobar J, Pereda J, Arduini A, Sandoval J, Sabater L, Aparisi L, López-Rodas G and Sastre J: Cross-talk between oxidative stress and pro-inflammatory cytokines in acute pancreatitis: A key role for protein phosphatases. Curr Pharm Des. 15:3027–3042. 2009. View Article : Google Scholar : PubMed/NCBI

6 

Zhou HX, Han B, Hou LM, An TT, Jia G, Cheng ZX, Ma Y, Zhou YN, Kong R, Wang SJ, et al: Protective effects of hydrogen gas on experimental acute pancreatitis. PLoS One. 11:e01544832016. View Article : Google Scholar : PubMed/NCBI

7 

Pereda J, Escobar J, Sandoval J, Rodríguez JL, Sabater L, Pallardó FV, Torres L, Franco L, Viña J, López-Rodas G and Sastre J: Glutamate cysteine ligase up-regulation fails in necrotizing pancreatitis. Free Radic Biol Med. 44:1599–1609. 2008. View Article : Google Scholar : PubMed/NCBI

8 

Gómez-Cambronero LG, Sabater L, Pereda J, Cassinello N, Camps B, Viña J and Sastre J: Role of cytokines and oxidative stress in the pathophysiology of acute pancreatitis: therapeutical implications. Curr Drug Targets Inflamm Allergy. 1:393–403. 2002. View Article : Google Scholar : PubMed/NCBI

9 

Altavilla D, Famulari C, Passaniti M, Galeano M, Macrì A, Seminara P, Minutoli L, Marini H, Calò M, Venuti FS, et al: Attenuated cerulein-induced pancreatitis in nuclear factor-kappaB-deficient mice. Lab Invest. 83:1723–1732. 2003. View Article : Google Scholar : PubMed/NCBI

10 

Yu JH, Lim JW, Namkung W, Kim H and Kim KH: Suppression of cerulein-induced cytokine expression by antioxidants in pancreatic acinar cells. Lab Invest. 82:1359–1368. 2002. View Article : Google Scholar : PubMed/NCBI

11 

Pereda J, Sabater L, Aparisi L, Escobar J, Sandoval J, Viña J, López-Rodas G and Sastre J: Interaction between cytokines and oxidative stress in acute pancreatitis. Curr Med Chem. 13:2775–2787. 2006. View Article : Google Scholar : PubMed/NCBI

12 

Frossard JL, Hadengue A, Spahr L, Morel P and Pastor CM: Natural history of long-term lung injury in mouse experimental pancreatitis. Crit Care Med. 30:1541–1546. 2002. View Article : Google Scholar : PubMed/NCBI

13 

Bak I, Szendrei L, Turoczi T, Papp G, Joo F, Das DK, de Leiris J, Der P, Juhasz B, Varga E, et al: Heme oxygenase-1-related carbon monoxide production and ventricular fibrillation in isolated ischemic/reperfused mouse myocardium. FASEB J. 17:2133–2135. 2003. View Article : Google Scholar : PubMed/NCBI

14 

Song H, Zhao H, Qu Y, Sun Q, Zhang F, Du Z, Liang W, Qi Y and Yang P: Carbon monoxide releasing molecule-3 inhibits concurrent tumor necrosis factor-α- and interleukin-1β-induced expression of adhesion molecules on human gingival fibroblasts. J Periodontal Res. 46:48–57. 2011. View Article : Google Scholar : PubMed/NCBI

15 

Patterson EK, Fraser DD, Capretta A, Potter RF and Cepinskas G: Carbon monoxide-releasing molecule 3 inhibits myeloperoxidase (MPO) and protects against MPO-induced vascular endothelial cell activation/dysfunction. Free Radic Biol Med. 70:167–173. 2014. View Article : Google Scholar : PubMed/NCBI

16 

Zheng M, Zhang Q, Joe Y, Kim SK, Uddin MJ, Rhew H, Kim T, Ryter SW and Chung HT: Carbon monoxide-releasing molecules reverse leptin resistance induced by endoplasmic reticulum stress. Am J Physiol Endocrinol Metab. 304:E780–E788. 2013. View Article : Google Scholar : PubMed/NCBI

17 

Lee TS and Chau LY: Heme oxygenase-1 mediates the anti-inflammatory effect of interleukin-10 in mice. Nat Med. 8:240–246. 2002. View Article : Google Scholar : PubMed/NCBI

18 

Motterlini R, Mann BE, Johnson TR, Clark JE, Foresti R and Green CJ: Bioactivity and pharmacological actions of carbon monoxide-releasing molecules. Curr Pharm Des. 9:2525–2539. 2003. View Article : Google Scholar : PubMed/NCBI

19 

Seixas JD, Santos MF, Mukhopadhyay A, Coelho AC, Reis PM, Veiros LF, Marques AR, Penacho N, Gonçalves AM, Romão MJ, et al: A contribution to the rational design of Ru(CO)3Cl2L complexes for in vivo delivery of CO. Dalton Trans. 44:5058–5075. 2015. View Article : Google Scholar : PubMed/NCBI

20 

Motterlini R, Clark JE, Foresti R, Sarathchandra P, Mann BE and Green CJ: Carbon monoxide-releasing molecules: Characterization of biochemical and vascular activities. Circ Res. 90:E17–E24. 2002. View Article : Google Scholar : PubMed/NCBI

21 

Chung SW, Liu X, Macias AA, Baron RM and Perrella MA: Heme oxygenase-1-derived carbon monoxide enhances the host defense response to microbial sepsis in mice. J Clin Invest. 118:239–247. 2008. View Article : Google Scholar : PubMed/NCBI

22 

Sun B, Sun Z, Jin Q and Chen X: CO-releasing molecules (CORM-2)-liberated CO attenuates leukocytes infiltration in the renal tissue of thermally injured mice. Int J Biol Sci. 4:176–183. 2008. View Article : Google Scholar : PubMed/NCBI

23 

Lee S, Lee SJ, Coronata AA, Fredenburgh LE, Chung SW, Perrella MA, Nakahira K, Ryter SW and Choi AM: Carbon monoxide confers protection in sepsis by enhancing beclin 1-dependent autophagy and phagocytosis. Antioxid Redox Signal. 20:432–442. 2014. View Article : Google Scholar : PubMed/NCBI

24 

Wang X, Qin W, Qiu X, Cao J, Liu D and Sun B: A novel role of exogenous carbon monoxide on protecting cardiac function and improving survival against sepsis via mitochondrial energetic metabolism pathway. Int J Biol Sci. 10:777–788. 2014. View Article : Google Scholar : PubMed/NCBI

25 

Pastor CM, Pugin J, Kwak B, Chanson M, Mach F, Hadengue A and Frossard JL: Role of Toll-like receptor 4 on pancreatic and pulmonary injury in a mice model of acute pancreatitis associated with endotoxemia. Crit Care Med. 32:1759–1763. 2004. View Article : Google Scholar : PubMed/NCBI

26 

Bhatia M, Slavin J, Cao Y, Basbaum AI and Neoptolemos JP: Preprotachykinin-a gene deletion protects mice against acute pancreatitis and associated lung injury. Am J Physiol Gastrointest Liver Physiol. 284:G830–G836. 2003. View Article : Google Scholar : PubMed/NCBI

27 

Sharif R, Dawra R, Wasiluk K, Phillips P, Dudeja V, Kurt-Jones E, Finberg R and Saluja A: Impact of toll-like receptor 4 on the severity of acute pancreatitis and pancreatitis-associated lung injury in mice. Gut. 58:813–819. 2009. View Article : Google Scholar : PubMed/NCBI

28 

Shen WC, Wang X, Qin WT, Qiu XF and Sun BW: Exogenous carbon monoxide suppresses Escherichia coli vitality and improves survival in an Escherichia coli-induced murine sepsis model. Acta Pharmacol Sin. 35:1566–1576. 2014. View Article : Google Scholar : PubMed/NCBI

29 

Liu DM, Sun BW, Sun ZW, Jin Q, Sun Y and Chen X: Suppression of inflammatory cytokine production and oxidative stress by CO-releasing molecules-liberated CO in the small intestine of thermally-injured mice. Acta Pharmacol Sin. 29:838–846. 2008. View Article : Google Scholar : PubMed/NCBI

30 

Sun BW, Jin Q, Sun Y, Sun ZW, Chen X, Chen ZY and Cepinskas G: Carbon liberated from CO-releasing molecules attenuates leukocyte infiltration in the small intestine of thermally injured mice. World J Gastroenterol. 13:6183–6190. 2007. View Article : Google Scholar : PubMed/NCBI

31 

Deng W, Hui Y, Yu J, Wang W, Xu S, Chen C and Xiong X: A new pathological scoring method for adrenal injury in rats with severe acute pancreatitis. Pathol Res Pract. 210:1011–1017. 2014. View Article : Google Scholar : PubMed/NCBI

32 

Barker PM, Nguyen MS, Gatzy JT, Grubb B, Norman H, Hummler E, Rossier B, Boucher RC and Koller B: Role of gammaENaC subunit in lung liquid clearance and electrolyte balance in newborn mice. Insights into perinatal adaptation and pseudohypoaldosteronism. J Clin Invest. 102:1634–1640. 1998. View Article : Google Scholar : PubMed/NCBI

33 

Hillegass LM, Griswold DE, Brickson B and Albrightson-Winslow C: Assessment of myeloperoxidase activity in whole rat kidney. J Pharmacol Methods. 24:285–295. 1990. View Article : Google Scholar : PubMed/NCBI

34 

Wang J, Chen G, Gong H, Huang W, Long D and Tang W: Amelioration of experimental acute pancreatitis with dachengqi decoction via regulation of necrosis-apoptosis switch in the pancreatic acinar cell. PLoS One. 7:e401602012. View Article : Google Scholar : PubMed/NCBI

35 

Bang S, Kang YH, Reynolds C and Kang M: The pan-Bcl-2 family inhibitor ABT-737 synergizes with DNA damaging agents by enhancing apoptosis in acute lymphoblastic leukemia cells. Cancer Research. 69:2009.

36 

Funaro A, Ortolan E, Ferranti B, Gargiulo L, Notaro R, Luzzatto L and Malavasi F: CD157 is an important mediator of neutrophil adhesion and migration. Blood. 104:4269–4278. 2004. View Article : Google Scholar : PubMed/NCBI

37 

Dawra R, Ku YS, Sharif R, Dhaulakhandi D, Phillips P, Dudeja V and Saluja AK: An improved method for extracting myeloperoxidase and determining its activity in the pancreas and lungs during pancreatitis. Pancreas. 37:62–68. 2008. View Article : Google Scholar : PubMed/NCBI

38 

Armbruster C and Kriwanek S: Multicentre audit of death from acute pancreatitis. Br J Surg. 81:16971994. View Article : Google Scholar : PubMed/NCBI

39 

Chen P, Sun B, Chen H, Wang G, Pan S, Kong R, Bai X and Wang S: Effects of carbon monoxide releasing molecule-liberated CO on severe acute pancreatitis in rats. Cytokine. 49:15–23. 2010. View Article : Google Scholar : PubMed/NCBI

40 

Rae D, Bowyer RC and Wharton RQ: Inflammatory mediators in acute pancreatitis. Br J Surg. 82:8551995. View Article : Google Scholar : PubMed/NCBI

41 

de Beaux AC, Goldie AS, Ross JA, Carter DC and Fearon KC: Serum concentrations of inflammatory mediators related to organ failure in patients with acute pancreatitis. Br J Surg. 83:349–353. 1996. View Article : Google Scholar : PubMed/NCBI

42 

Wang X, Qin W, Song M, Zhang Y and Sun B: Exogenous carbon monoxide inhibits neutrophil infiltration in LPS-induced sepsis by interfering with FPR1 via p38 MAPK but not GRK2. Oncotarget. 7:34250–34265. 2016.PubMed/NCBI

43 

Sun BW, Zhang P, Zou XQ, Shi GS and Sun Y: Inhibitive effect of exogenous carbon monoxide-releasing molecules 2 on the activation of Janus kinase/signal transducer and activator of transcription pathway in sepsis. Zhonghua Shao Shang Za Zhi. 26:100–103. 2010.(In Chinese). PubMed/NCBI

44 

Sun BW, Shi GS, Zhang P, Zou XQ and Chen X: Inhibitive effect of exogenous carbon monoxide-releasing molecules 2 on tissue factor expression in sepsis. Zhonghua Shao Shang Za Zhi. 25:111–114. 2009.(In Chinese). PubMed/NCBI

45 

Xue J and Habtezion A: Carbon monoxide-based therapy ameliorates acute pancreatitis via TLR4 inhibition. J Clin Invest. 124:437–447. 2014. View Article : Google Scholar : PubMed/NCBI

46 

Kim GY, Roh SI, Park SK, Ahn SC, Oh YH, Lee JD and Park YM: Alleviation of experimental septic shock in mice by acidic polysaccharide isolated from the medicinal mushroom Phellinus linteus. Biol Pharm Bull. 26:1418–1423. 2003. View Article : Google Scholar : PubMed/NCBI

47 

Bettaieb A, Chahed S, Tabet G, Yang J, Morisseau C, Griffey S, Hammock BD and Haj FG: Effects of soluble epoxide hydrolase deficiency on acute pancreatitis in mice. PLoS One. 9:e1130192014. View Article : Google Scholar : PubMed/NCBI

48 

Yin MJ, Yamamoto Y and Gaynor RB: The anti-inflammatory agents aspirin and salicylate inhibit the activity of I(kappa)B kinase-beta. Nature. 396:77–80. 1998. View Article : Google Scholar : PubMed/NCBI

49 

Sun B, Zou X, Chen Y, Zhang P and Shi G: Preconditioning of carbon monoxide releasing molecule-derived CO attenuates LPS-induced activation of HUVEC. Int J Biol Sci. 4:270–278. 2008. View Article : Google Scholar : PubMed/NCBI

50 

Dolinay T, Szilasi M, Liu M and Choi AM: Inhaled carbon monoxide confers antiinflammatory effects against ventilator-induced lung injury. Am J Respir Crit Care Med. 170:613–620. 2004. View Article : Google Scholar : PubMed/NCBI

51 

Motterlini R and Otterbein LE: The therapeutic potential of carbon monoxide. Nat Rev Drug Discov. 9:728–743. 2010. View Article : Google Scholar : PubMed/NCBI

52 

Tzeng E: Carbon monoxide: Vascular therapeutic for the future. Vascular. 17 (Suppl 1):S55–S62. 2009. View Article : Google Scholar : PubMed/NCBI

53 

Thom SR, Weaver LK and Hampson NB: Therapeutic carbon monoxide may be toxic. Am J Respir Crit Care Med. 171:13182005. View Article : Google Scholar : PubMed/NCBI

54 

Desmard M, Foresti R, Morin D, Dagouassat M, Berdeaux A, Denamur E, Crook SH, Mann BE, Scapens D, Montravers P, et al: Differential antibacterial activity against Pseudomonas aeruginosa by carbon monoxide-releasing molecules. Antioxid Redox Signal. 16:53–63. 2012. View Article : Google Scholar

Related Articles

  • Abstract
  • View
  • Download
  • Twitter
Copy and paste a formatted citation
Spandidos Publications style
Liu Y, Wang X, Xu X, Qin W and Sun B: Carbon monoxide releasing molecule‑2 (CORM‑2)‑liberated CO ameliorates acute pancreatitis. Mol Med Rep 19: 5142-5152, 2019.
APA
Liu, Y., Wang, X., Xu, X., Qin, W., & Sun, B. (2019). Carbon monoxide releasing molecule‑2 (CORM‑2)‑liberated CO ameliorates acute pancreatitis. Molecular Medicine Reports, 19, 5142-5152. https://doi.org/10.3892/mmr.2019.10173
MLA
Liu, Y., Wang, X., Xu, X., Qin, W., Sun, B."Carbon monoxide releasing molecule‑2 (CORM‑2)‑liberated CO ameliorates acute pancreatitis". Molecular Medicine Reports 19.6 (2019): 5142-5152.
Chicago
Liu, Y., Wang, X., Xu, X., Qin, W., Sun, B."Carbon monoxide releasing molecule‑2 (CORM‑2)‑liberated CO ameliorates acute pancreatitis". Molecular Medicine Reports 19, no. 6 (2019): 5142-5152. https://doi.org/10.3892/mmr.2019.10173
Copy and paste a formatted citation
x
Spandidos Publications style
Liu Y, Wang X, Xu X, Qin W and Sun B: Carbon monoxide releasing molecule‑2 (CORM‑2)‑liberated CO ameliorates acute pancreatitis. Mol Med Rep 19: 5142-5152, 2019.
APA
Liu, Y., Wang, X., Xu, X., Qin, W., & Sun, B. (2019). Carbon monoxide releasing molecule‑2 (CORM‑2)‑liberated CO ameliorates acute pancreatitis. Molecular Medicine Reports, 19, 5142-5152. https://doi.org/10.3892/mmr.2019.10173
MLA
Liu, Y., Wang, X., Xu, X., Qin, W., Sun, B."Carbon monoxide releasing molecule‑2 (CORM‑2)‑liberated CO ameliorates acute pancreatitis". Molecular Medicine Reports 19.6 (2019): 5142-5152.
Chicago
Liu, Y., Wang, X., Xu, X., Qin, W., Sun, B."Carbon monoxide releasing molecule‑2 (CORM‑2)‑liberated CO ameliorates acute pancreatitis". Molecular Medicine Reports 19, no. 6 (2019): 5142-5152. https://doi.org/10.3892/mmr.2019.10173
Follow us
  • Twitter
  • LinkedIn
  • Facebook
About
  • Spandidos Publications
  • Careers
  • Cookie Policy
  • Privacy Policy
How can we help?
  • Help
  • Live Chat
  • Contact
  • Email to our Support Team